Африканский туберкулез. Возбудитель африканского туберкулеза. Лепра. Проказа. Возбудитель лепры ( проказы ).
Добавил пользователь Евгений Кузнецов Обновлено: 27.01.2026
В 2020 году в России появилось шесть новых случаев заболевания лепрой — проказой. Старейшая из известных человечеству, но так и не побежденная болезнь каждый год поражает несколько сотен тысяч людей на планете.
Директор Научно-исследовательского института по изучению лепры, доктор медицинских наук, заслуженный врач РФ Виктор Дуйко подтвердил «360», что Всемирная организация здравоохранения относит лепру к старым, забытым инфекциям, но это не значит, что человечество готово вот-вот проститься с этим недугом.
«Лепра — первая инфекция, известная человечеству, ее возбудитель был открыт в 1873 году, на шесть лет раньше возбудителя туберкулеза. Но тем не менее в лепре еще очень и очень много неизведанного, много загадок. Источник инфекции, пути передачи, инкубационный период — все это особенности и коварство этого заболевания», — поделился ученый.
Считается, что это болезнь стран с низким социальным уровнем — к группе риска относятся жители районов с загрязненной водой. В мире больше всего больных в Индии и Непале, Бразилии, на Африканском континенте. Ежегодно в мире выявляют 200–220 тысяч новых случаев.
У нас в стране из 200 пациентов, больных лепрой, основная масса, более 60%, — это жители Нижнего Поволжья. Эта территория — старые очаги заразы, которые до сих пор тлеют. Сегодня неизвестно, как попала лепра на астраханскую землю: то ли жители Азии и Индии занесли во времена Великого шелкового пути, то ли стоит «благодарить» воинские походы.
В Астрахани находится единственное государственное учреждение в стране, которое занимается диагностикой и лечением проказы. 1 сентября 1896 года на окраине города был открыт благотворительный комитет по призрению прокаженных. Сегодня это Научно-исследовательского института по изучению лепры.
«Благодаря тому, что в нашей стране выстроена четкая система противолепрозных мероприятий, наши пациенты — долгожители, средняя продолжительность жизни у них 82 года. Кроме того, совсем нет детской лепры — ни в самой России, ни в СНГ», — рассказал директор НИИ.
Чем лечат лепру
Болезнь успешно поддается лечению препаратами сульфонового ряда, открытыми американскими исследователями еще в 1943 году и внедренными в отечественную практику в 50-х годах прошлого века. Также хорошо себя зарекомендовали и антибиотики нового типа, показала свою эффективность и комбинированная противолепрозная терапия.
«Когда активный больной выявляется, он госпитализируется и пролечивается в клинике. Если в течение года не наблюдается рецидивов, он выписывается домой на амбулаторное лечение и последующее дистанционное наблюдение. Он полностью безопасен для окружающих», — пояснил врач.
Виктор Дуйко также отметил, что возможны рецидивы: у мужчин возвращение заболевания могут спровоцировать вредные привычки, у женщин — роды. Поэтому больные должны находиться под диспансерным наблюдением специалистов на протяжении всей жизни.
В 2020 году ученые синтезировали новое средство от коронавируса, добавив к средству от лепры импортный противовирусный препарат «Дапсон». Разработкой нового вещества «Иммофон» занимался небезызвестный создатель нервно-паралитического яда «Новичок» Леонид Ринк, который в 1990-х годах переключился на создание лекарства. Впрочем, врачи усомнились в препарате от ковида, основанном на средстве против проказы.
Победу праздновать рано
ВОЗ активно занимается проблемой лепры, но нередко торопится праздновать победу. Например, специалисты организации уже утверждали, что к 2000 году человечество избавится от лепры. В октябре 2020 года на глобальной конференции ВОЗ снова пообещала полностью проститься с болезнью к 2030 году. По мнению Виктора Дуйко, говорить так пока все-таки рано.
«Лепра есть, и об этом должны помнить врачи. Любая патология, которая длительное время не поддается лечению, — повод задуматься: а нет ли здесь лепры? Особенно, когда поражается центральная нервная система, отсутствует чувствительность, есть различные кожные проявления, не поддающиеся лечению», — сказал глава НИИ.
Он отметил: если раньше лепру диагностировали в старых очагах, то сейчас один из шестерых выявленных в прошлом году больных — житель Санкт-Петербурга, еще один — из Калмыкии, где тоже давно не встречалось это заболевание. Так что столкнуться с болезнью медики могут в любом регионе, особенно учитывая неконтролируемые миграции людей.
Лепра
Лепра – хроническая инфекционная болезнь, вызываемая кислотоустойчивой палочковидной бациллой Mycobacterium leprae. Болезнь поражает в основном кожные покровы, периферические нервы, слизистую оболочку верхних дыхательных путей и органы зрения. Лепра излечима, и лечение, проведенное на ранних стадиях болезни, позволяет предотвратить инвалидность.
Краткая история и лечение лепры
Лепра известна с давних пор и упоминается в письменных источниках древних цивилизаций. На протяжении всей истории больные лепрой часто подвергались остракизму со стороны своих общин и семей.
В прошлом лепру лечили разными способами, но первый настоящий прорыв в лечении произошел в 1940-х гг., когда был разработан лекарственный препарат дапсон. Лечение было необходимо проводить в течение многих лет, иногда пожизненно, и это затрудняло соблюдение схемы лечения. В 1960-х гг. стала развиваться устойчивость M. leprae к дапсону – единственному противолепрозному препарату, известному в то время в мире. В начале 1960-х гг. были открыты рифампицин и клофазимин, которые были включены в схему лечения, названную позднее комбинированной лекарственной терапией (КЛТ).
В 1981 г. КЛТ была рекомендована ВОЗ. В настоящее время рекомендуемый курс КЛТ включает следующие препараты: дапсон, рифампицин и клофазимин. Курс лечения продолжается шесть месяцев в случае олигобациллярной лепры и 12 месяцев при ее мультибациллярной форме. КЛТ убивает патогенный микроорганизм и приводит к излечению пациента.
С 1981 г. ВОЗ предоставляет КЛТ бесплатно. Первоначально бесплатную КЛТ финансировал Фонд Ниппона, а начиная с 2000 г. она безвозмездно предоставляется в рамках соглашения с компанией «Новартис», действующего до 2025 г.
Деятельность ВОЗ
В 2018 г. ВОЗ провела обзор имеющихся данных о ключевых проблемах, препятствующих элиминации лепры, и разработала документ «Руководящие принципы ВОЗ по диагностике, лечению и профилактике лепры», в котором для лечения как олигобациллярной, так и мультибациллярной лепры было рекомендовано применять трехкомпонентную схему (рифампицин, дапсон и клофазимин). В руководящих принципах была также впервые предложена схема профилактики лепры среди контактных лиц из семейного и социального окружения больного в виде однократной дозы рифампицина.
В апреле 2021 г. после подробных консультаций со странами, экспертами по лепре, партнерами и лицами, затронутыми заболеванием, ВОЗ выпустила документ «На пути к нулевым показателям лепры – Глобальная стратегия по борьбе с лепрой (болезнью Хансена) на 2021–2030 гг.», который согласован с Дорожной картой по борьбе с ЗТБ на период до 2030 г.
Стратегия опубликована на английском языке и в интересах более широкой аудитории во всем мире переведена на французский, португальский и русский языки.
НА ПУТИ К НУЛЕВЫМ ПОКАЗАТЕЛЯМ ЛЕПРЫ – ГЛОБАЛЬНАЯ СТРАТЕГИЯ ПО БОРЬБЕ С ЛЕПРОЙ (БОЛЕЗНЬ ХАНСЕНА) НА 2021–2030 гг.
Долгосрочное видение
Нулевые показатели лепры – ноль случаев инфицирования и заболевания, ноль инвалидности, ноль стигматизации и дискриминации
Цель
Элиминация лепры (определяется как прерывание передачи инфекции)
Глобальные целевые показатели на 2030 г.
- отсутствие новых автохтонных случаев заболевания в 120 странах
- снижение ежегодного числа выявляемых новых случаев на 70%
- снижение числа новых случаев заболевания с инвалидностью 2-й группы (ИГ2) на миллион населения на 90%
- снижение показателя новых случаев лепры среди детей (на миллион детей) на 90%
Стратегические элементы и ключевые компоненты
1. Реализация комплексных национальных дорожных карт по борьбе с лепрой во всех эндемичных странах
- Политическая приверженность, подкрепленная надлежащими ресурсами для борьбы с лепрой, в контексте комплексного подхода
- Национальные партнерства для достижения нулевых показателей лепры и разработки дорожных карт для этих целей с привлечением всех заинтересованных сторон
- Развитие потенциала системы здравоохранения для оказания качественных услуг
- Эффективный эпидемиологический надзор и совершенствование систем управления данными
- Мониторинг устойчивости к противомикробным препаратам (УПП) и побочных реакций на лекарственные средства
2. Расширение масштабов профилактики лепры наряду с комплексным активным выявлением случаев заболевания
- Отслеживание контактов всех новых случаев
- Расширение масштабов профилактической химиотерапии
- Комплексное активное выявление случаев среди целевых групп населения
- Существующие и потенциальные новые вакцины
3. Ведение случаев лепры и ее осложнений и предотвращение развития новых случаев инвалидности
- Раннее выявление случаев заболевания, точная диагностика и быстрое лечение
- Доступ к комплексным, хорошо организованным специализированным службам
- Диагностика и лечение лепрозных реакций, невритов и предотвращение инвалидности
- Мониторинг, поддержка и обучение самопомощи
- Психическое благополучие благодаря базовой психологической помощи и терапевтическому консультированию
4. Борьба со стигматизацией и обеспечение соблюдения прав человека
- Принятие Принципов и руководящих положений Организации Объединенных Наций для ликвидации дискриминации в отношении лиц, страдающих лепрой, и членов их семей
- Вовлечение организаций и сетей лиц, затронутых лепрой
- Внесение поправок в дискриминационные законы
- Мероприятия и процессы по сокращению и мониторингу стигматизации, связанной с лепрой, в местных сообществах;
- Доступ к социальной поддержке и реабилитации
Научные исследования
Стратегия включает набор приоритетов в области научных исследований, имеющих ключевое значение для этого стратегического периода. Для достижения нулевых показателей лепры необходимы глобальные и национальные инвестиции в исследовательскую работу.
Оценка прогресса в достижении глобальных целевых показателей Глобальной стратегии по борьбе с лепрой на 2021–2030 гг.
| ПОКАЗАТЕЛЬ | 2019 г.* (по отчетным данным) | 2023 г. (контрольный рубеж) | 2025 г. (контрольный рубеж) | 2030 г. (целевой показатель) |
|---|---|---|---|---|
| Число стран с нулевым показателем новых автохтонных случаев | 34 | 75 (39%) | 95 (49%) | 120 (62%) |
| Число выявленных новых случаев (в разбивке по полу и возрасту) | 202 256 | 148 000 | 123 500 | 62 500 |
| Показатель новых случаев с И2Г (на миллион населения) | 1,40 | 0,92 | 0,68 | 0,12 |
| Показатель новых автохтонных случаев заболевания лепрой среди детей (на 1 млн детей) | 7,83 | 5,66 | 4,24 | 0,77 |
*В качестве исходных данных для отслеживания прогресса в достижении целевых показателей Дорожной карты по борьбе с ЗТБ на период до 2030 г. и Глобальной стратегии по борьбе с лепрой на 2021–2030 гг. используются годовые данные о лепре за 2019 г.
В 2020 г. ВОЗ выпустила документ «Лепра/болезнь Хансена: лечение реакций, предупреждение инвалидности. Техническое руководство», в котором содержатся практические рекомендации для медицинских работников по ранней диагностике и лечению лепрозных реакций – состояний, которые могут возникать в результате иммунной реакции носителя инфекции на ее возбудителя M. leprae. Такие периодические и повторяющиеся случаи воспаления называются лепрозными реакциями. Они могут возникать почти у 50% пациентов. В отсутствие лечения они в большинстве случаев приводят необратимой, прогрессирующей и обезображивающей внешность инвалидности.
Задача данного технического руководства заключается в том, чтобы представить обзор текущих методов лечения лепрозных реакций и невритов и способы повышения эффективности этих методов, позволяющие национальным программам достигать целей по профилактике и минимизации инвалидности, вызванной лепрой.
В 2020 г. ВОЗ выпустила техническое руководство «Лепра/болезнь Хансена: выявление контактов и постконтактная профилактика» (на английском языке). Задача технического руководства заключается в предоставлении странам и программам рекомендаций о способах организации скрининга контактных лиц и проведения химиопрофилактики однократной дозой рифампицина. Содержание документа отражает логическую последовательность шагов: консультирование и получение согласия, выявление индексного пациента, составление списка контактных лиц, отслеживание контактных лиц, их скрининг, назначение профилактических препаратов. Также подробно описаны организационные аспекты проведения скрининга контактных лиц и химиопрофилактики, в том числе планирование, обучение, контроль за мероприятиями и расходованием лекарственных препаратов.
Глобальная стратегия по борьбе с лепрой на 2021–2030 гг. служит руководящим документом для стран по вопросам ускорения прогресса в достижении нулевых показателей лепры в соответствии с Целями в области устойчивого развития. Важнейшим направлением деятельности, позволяющим прервать передачу инфекции, является оптимизация существующих методов, таких как выявление контактных лиц, активный поиск случаев, постконтактная профилактика однократной дозой рифампицина и проведение КЛТ. Для обеспечения элиминации заболевания к 2030 г. достигнутые успехи должны иметь устойчивый характер.
Хотя пандемия COVID-19 вызвала повсеместные перебои в оказании медицинской помощи, в нескольких странах она стала поводом для укрепления инициатив по внедрению технологий цифрового здравоохранения в области диагностики, маршрутизации пациентов, мониторинга и обучения персонала.
ВОЗ разработала электронные учебные модули, направленные на совершенствование знаний и навыков работников всех уровней по широкому кругу тем, от маршрутизации пациентов с подозрением на лепру и проведения диагностики до лечения лепры и инвалидизирующих осложнений.
Древнейшие болезни человечества

Современные исследования, проводимые на границах естественных и гуманитарных наук, позволяют узнать, чем болели люди прошлых эпох, и понять, как болезни влияли на ход мировой истории.
В 1899-1905 годах в пещере близ города Крапина (Хорватия) антрополог Карл Горянович-Крамбергер раскопал более 900 костей неандертальцев, живших 120-100 тыс. лет назад. Здесь не сохранилось ни одного полного скелета или свидетельств преднамеренного захоронения. Это позволило предположить, что крапинские неандертальцы практиковали каннибализм. А наличие среди крапинских неандертальцев грацильных и массивных особей породило в первой половине ХХ века гипотезу о том, что они представляли собой самостоятельный вид ископаемого человека. В настоящее время стоянку относят к мустьерским неандертальцам. Некоторые кости из крапинской пещеры были отмечены следами костной патологии. В настоящее время они хранятся в специализированном музее.
Исследуя эти скелеты, антрополог Дэвид Фрайер (университет Канзаса) открыл древнейшую в мире опухоль кости. Ранее в палеопатологии не были известны подобные опухоли древнее Бронзового века. Опухоль была открыта в реберных костях, принадлежавших неполному скелету, что не позволило установить, оказалась ли она смертельной для этого человека и была ли она вторичной или первичной. Уникальность открытия определяется ещё и тем, что и у приматов, и у человека подобные опухоли весьма редки. Макроскопический анализ определил, что кости принадлежали взрослому мужчине. Рентгенограмма показала процесс разрушения костной ткани со значительным повреждением надкостницы, трабекулы, заполненные у здоровых людей коллагеновой тканью и костным мозгом, разрушены. Рентгенологическая микротомография определила размеры опухоли (24 на 16 мм) и исключила другие патологические причины, такие как травматическая опухоль или остеомиелит.
Открытие Дэвида Фрайера позволяет понять механизм канцерогенеза. В современной онкологии сосуществуют несколько теорий. Одна из них отводит ведущую роль в появлении злокачественных новообразований канцерогенам и обосновывает рост онкологических заболеваний экологическими факторами. Открытие рака у неандертальцев, обитавших в экологически чистой среде, позволяет утверждать, что эта причина не является основной для возникновения онкологии. Объяснением может служить генетическая теория, описывающая рак как результат генетических аномалий, вызывающих перерождение клеток. Неандертальские популяции Европы, а, особенно, приледниковой зоны, в генетическом плане представляли собой достаточно малочисленные изоляты. В таких условиях в них достаточно быстро накапливались летальные аномалии, в том числе и онкологического характера. Онкологический больной из Крапины может указывать на начало такого процесса. Вместе с тем, ученые считают, что исчезновение неандертальца как биологического вида стало следствием суммирующего воздействия многих факторов и ни один из них (демографические, биологические, генетические, социальные, пищевые) нельзя абсолютизировать.

Мюриэл Мэссон из Эдинбургского университета и ее коллеги из университета Сегеда опубликовали статью об остеологическом и биомолекулярном исследовании скелетов из некрополя неолитического поселения Hódmezővásárhely-Gorzsa (культура Тисы, 4970-4550 г. до н.э.). В настоящее время есть довольно много публикаций, фиксирующих наличие туберкулеза у доисторических людей, обитавших в различных регионах Земли, но большинство таких работ основаны на макроскопических, а не биомолекулярных исследованиях. Редкое исключение составляет исследование скелетов из Атлит-Ям. Статья Мэссон во многом восполняет имеющийся пробел. На основании исследований живых людей и скелетов людей, умерших в XIX-XX веках, известно, что легочная патология, вызываемая туберкулезом, проявляется в виде симметричных новообразований на костях (синдром Мари-Бамбергер). Такие новообразования отмечены на всех 70 обследованных скелетах, открытых на поселении Hódmezővásárhely-Gorzsa, это означает, что вся деревня была больна туберкулёзом. Для проверки, вызваны ли эти новообразования туберкулезом, было проведено комплексное исследование скелета с наиболее яркими макроскопическими признаками туберкулеза. Это был скелет мужчины 19-20 лет и ростом около 165 см. Такой рост может служить косвенным указанием на раннее или внутриутробное заражение. При макроскопическом анализе патология у него наблюдалась на черепе, грудной клетке, позвоночнике, верхних и нижних конечностях. Из его голени, ребер и позвоночника были взяты образцы массой около 55 мг костной ткани. После выявления ДНК микобактерии возбудителя туберкулеза был проведен анализ, выявивший присутствие в кости следов микоцерозной и миколипенической кислот, а также липидный биомаркер HGO-53.
Исследование Мюриэл Мэссон раскрывает негативную сторону неолитической революции в Европе, состоявшую в длительном проживании одной и той же общины людей на ограниченной территории. Древнейшим свидетельством туберкулеза являются скелеты 25-летней женщины и ее годовалого ребенка, найденные в ныне затопленном поселении Атлит-Ям (Израиль, VII тыс. до н.э.). У них были выявлены характерные элементы ДНК микобактерий и миколиновые биомаркеры клеточной стенки. Туберкулез был обнаружен и у мумий додинастического Египта (IV тыс. до н.э.). Однако, чаще всего он диагностировался в раннесредневековое время, например, на меровингском селении Ле Рут де Винь (Северная Франция, 500-700 г.н.э.) и Чарна Велька (Польша, ок. 600 г.н.э.). Наличие туберкулеза в доколумбовой Америке, например, у классических майя (300-900 г.н.э.) и в культуре Тикоман, формативного периода (II-I тыс. до н.э.), позволяет говорить о том, что заражение произошло в палеолите. Источником туберкулеза служили крупные копытные, так недавние исследования выявили туберкулез у бизона, убитого палеолитическими охотниками, жившими 17 000 лет назад в Вайоминге. До неолитической революции туберкулёз не носил характер эпидемии. Заражение туберкулезом в палеолите или мезолите приводило к вымиранию рода или большой семьи, соответственно, но с появлением крупных поселений от одного больного со временем могло вымереть всё селение.

Данные палеомедицины позволяют говорить, что туберкулез стал значительной проблемой для Европы эпохи неолита-бронзы. Он был выявлен при макроскопическим исследовании у женщин 15 и 30 лет из пещеры Арене Кандиде (Лигурия, ок. 3750 г. до н.э.), у мужчины из Межановиц (Польша, ок. 3000 г. до н.э.), а также в Германии и в Венгрии (Alsónyék-Bátaszék, V тыс. до н.э. и Vésztő-Mágor, IV тыс. до н.э.). К числу неблагоприятных факторов, способствовавших развитию туберкулеза в Европе, следует отнести более сырой и холодный по сравнению с Ближним Востоком климат Балкано-Дунайского региона и слабую адаптивность неолитического населения, пришедшего в Европу из Малой Азии. Также отметим, что переход к производящему хозяйству был связан со значительными генетическими изменениями в популяциях, такими как появление способности усваивать молоко и молокопродукты, что привело к значительному снижению иммунитета. Все эти факторы сдерживали распространение неолитической революции на запад и север. Северо-западная волна миграций балкано-дунайского неолита (культура линейно-ленточной керамики) была, в основном, представлена отдельными хуторами, состоящими из одного (редко – нескольких) большесемейных хозяйств. Поселения северо-восточной волны балкано-дунайского неолита (культура Триполье-Кукутени) на первой фазе ее развития были довольно незначительными. Появление крупных протогородов, таких как Майданецкое поселение, было обусловлено необходимостью обороны от индоевропейской миграции. Ни одно из таких поселений не содержало более одного археологического слоя (то есть не просуществовало более 40-50 лет) и всегда перекрывалось пожаром. Возможно, что вымирание от туберкулеза и служило причиной прекращения жизни на поселении, а ритуальное сожжение поселения было профилактической мерой, направленной на то, чтобы приостановить распространение заболевания. Поскольку туберкулез живуч и кумулятивен, вполне вероятно, что движение неолитического «фронтира» в Европе было вызвано не только перенаселением, но и стремлением уйти из зараженных поселений на новые, более здоровые земли, однако переселенцы несли с собой и туберкулез.
Лепру (проказу) считают одной из древнейших болезней. В Средневековой Европе она наносила урон, сопоставимый с эпидемиями чумы. И, в отличие от чумы, лепра до сих пор не побеждена – ежегодно в мире ею заболевают 200 тысяч человек. Первое достоверное упоминание о проказе встречается в Ведах, записанных около 600 г. до н.э., хотя некоторые исследователи предполагают, что она была известна и египтянам (папирус Эберса, 1550 г. до н.э.) и авторам Ветхого Завета (VII-VI в. до н.э.). Исследование древнейшего скелета со следами лепры было опубликовано в 2009 году группой ученых во главе с антропологом Гвен Роббинс из Аппалачского университета (Северная Каролина). Скелет был найден при раскопках поселения Балатхал (3700-1200 г. до н.э.), то ли бывшего хараппской колонией, то ли находившегося под значительным хараппским влиянием (керамика, медный инвентарь, ремесла, архитектура, оружие). Погребение датируется 2000 г. до н.э. Отличием этого погребения от других погребений поселения служит то, что оно было совершено в горе пепла, оставшегося от сожжения сухого навоза. Этнографические данные свидетельствуют, что умерших от проказы в некоторых регионах Индии не кремировали после смерти, а захоранивали в аналогичных кучах, которые сжигались намного позже погребения. Такие погребения известны в Северо-Западной Индии и Южном Декане от неолита до раннего железного века (800-500 г. до н.э.). В железном веке они синхронны с мегалитическими памятниками. Таким образом, речь идет о преемственности культурной традиции отношения к трупам прокажённых, что позволяет предполагать, что проказа появилась ранее конца III тыс. до н.э.
В пользу этого говорит и сравнительная геномика, которая выявила два ареала лепры (Восточная Африка и Южная Азия), каждому из которых соответствует особый генотип возбудителя: азиатский штамм (тип I) значительно отличается от африканского штамма (тип II). При этом африканский штамм намного более вариабелен, и это позволяет утверждать, что возбудитель заболевания возник в Восточной Африке около 40 тыс. лет назад, проник оттуда в Южную Азию, и далее в Европу (тип III). Из Европы тип III попал в Западную Африку (где мутировал в тип IV) и Америку. Вопрос о времени миграции лепры в Азию является дискуссионным. Одни ученые предполагают, что она произошла во время позднеплейстоценового расселения кроманьонца, другие склонны датировать переселение лепры в Азию энеолитическим временем, когда сформировались торговые пути между Египтом, Месопотамией, Центральной Азией (Туран), Аравией (Дильмун и Маган) и Индией (Мелухха).

Поддерживает короткую хронологию возникновения лепры и новейшее исследование палеогенетиков Йоханнеса Краузе, Кай Низельт (Тюбингенский университет) и Стюарда Коула (университет Лозанны). Сравнение последовательностей нуклеотидов лепры из средневековых скелетов Дании, Швеции и Великобритании с геномами современной микобактерии из разных регионов мира позволило определить основные мутаций генома и реконструировать генотип общего предка всех современных и древних штаммов. На основании «молекулярных часов» генетики датировали время существование этого общего предка рубежом III u II тыс. до н.э., то есть примерно тем временем, которым датируется погребение прокаженного из Балатхала. Сравнение восточноазиатских штаммов лепры с американскими показало их значительные различия: восточноазиатские относятся к типу II, тогда как американские принесены европейскими колонистами (тип III) и рабами из Западной Африки (тип IV). Это означает, что лепра не участвовала в палеолитическом заселении Америки.
Найден древнейший большой проказой
Проказа постарела на несколько веков и, возможно, раздвоилась. В Индии найден скелет возрастом около 4 тысяч лет со следами болезни. Находка — свидетельство независимого возникновения двух штаммов лепры в Азии и в Африке.

Сколько ещё человечество будет страдать от микобактерий лепры, не сможет сказать ни один эпидемиолог, а вот выяснить, когда это всё началось, палеонтологам и историкам вполне под силу.
Гвендолин Роббинс из Государственного университета Аппалачей в США и её коллеги
обнаружили на севере Индии останки человека, страдавшего от лепры примерно 3 800, а возможно, и 4 400 лет назад, что на сотни лет старше всех известных письменных свидетельств.
Место находки в некотором смысле удивило самих специалистов: по расчетам, лепра стала опасной для человека в позднем плейстоцене и постепенно распространилась из Африки. Самое раннее упоминание о чём-то похожем на проказу содержится в египетском папирусе XVI века до н. э., похожие описания есть и в индийских текстах первого тысячелетия до н. э., в Ветхом и в Новом Завете, в греческих текстах IV и китайских III веков до н. э. Новое тысячелетие отметилось работами Плиния старшего, а к концу первого тысячелетия о болезни знали и в Европе.

(болезнь Хансена, хансеноз, хансениаз; устаревшие названия — проказа, elephantiasis graecorum, lepra arabum, lepra orientalis, финикийская болезнь, satyriasis, скорбная болезнь, крымка, ленивая смерть, болезнь Святого Лазаря и др.) --.
В Индии, судя по последней находке Роббинс, о болезни узнали гораздо раньше. На обнаруженном ещё в 1997 году скелете мужчины ученые нашли следы лепры: частично пораженная болезнью носовая перегородка, некроз верхней челюсти и альвеол мест крепления зубов. Всего к концу жизни у него осталось 8 зубов – резцы, клыки и пара коренных.
От лепры пострадали и позвонки, и конечности жителя поселения времен энеолита. Пока ученые ограничились датировкой по слоям захоронения, установленная дата примерно в 1800-й год до н. э. – это среднее между 2350 и 1510 годами, характерными для вышележащего и нижележащего слоя.
Тем самым ученые дополнительно подтвердили гипотезу «двух штаммов», согласно которой два отличающихся штамма микобактерии лепры независимо возникли в Азии и в Восточной Африке более 40 тысяч лет назад.
В костях матери и ребенка 9000-летней давности обнаружены следы туберкулеза, что, по мнению ученых, «состарило» эту проблемную и сегодня болезнь на три тысячелетия. Марк.
А самый активный период миграции, в соответствии с этими данными, пришелся на третье тысячелетие до нашей эры, а не на поздний плейстоцен, как считалось ранее. Что же касается поселения Балатхал, в центре которого и было обнаружено захоронение, то оно, хотя и не являлось торговым центром, но существовало во времена, когда отношения между жителями южной и западной Азии с одной стороны и северной Африки с другой уже налаживались.
Авторы, представившие свои размышления к публикации в Nature, намерены искать свидетельства миграции лепры и дальше. Это вряд ли поможет помочь искоренению заболевания, но наверняка прольёт свет на историю проказы. В том, что это рано или поздно будет сделано, сомневаться не приходится, ведь клуб любителей истории инфекций, будь то чума, ВИЧ или туберкулёз, в последнее время только ширится.
Лепра (проказа): этиология, патогенез, симптомы и особенности терапии
Слово «прокаженный» даже в наше время наделено резко негативным подтекстом. Понятие «проказа» для многих является хоть и не вполне понятным, но очень неприятным, а раньше оно на всех наводило жуть и ужас. В этой статье мы расскажем, что это за недуг – проказа, какие у него симптомы, этиология, эпидемиология, патогенез, какое существует лечение, а главное, нужно ли бояться прокаженных людей, и как можно от них заразиться.
Проказа или лепра?

Существует болезнь, при которой лицо становится невероятно отталкивающим, а кисти рук и стопы делаются уродливыми из-за потери пальцев. Названий у нее около десятка. Есть экзотические - болезнь скорбная, болезнь финикийская, ленивая смерть. Есть мудреные, например, хансеноз или хронический гранулематоз, а есть широко известные, такие как лепра или проказа, породившая страшное слово «прокаженный». Каждое название подчеркивает ту или иную особенность недуга. Например, «хансеноз» появилось в честь ученого Хансена, первым открывшего возбудителя болезни, а «лепра» произошло от древнегреческого lepras, то есть «чешуя». По-видимому, ее напоминали древним грекам наросты и ужасные струпья на лицах больных. Древние славяне на основе слов «про» и «казИть», то есть изменять внешний вид, назвали болячку «проказа». Этиология, патогенез, а тем более лечение недуга до сих пор вызывают споры и разногласия, а раньше люди о нем абсолютно ничего не знали, поэтому боялись. Церковь объявила болезнь карой господней за прегрешения, и верующие не смели в этом сомневаться. Вот и стало единственным методом лечения замаливание грехов.
Несколько исторических фактов

Ученые провели ряд анализов древних останков и выяснили, что уже более 6 тысяч лет человечеству известен ужас по имени проказа. Этиология, патогенез недуга описывались еще Гиппократом, но он ошибочно туда же относил и псориаз. Родиной проказы считается Африка (по другим источникам Азия, отсюда и финикийская болезнь), в Европу заразу занесли «доблестные» крестоносцы, а в Америку ее первооткрыватели и их последователи. Получив огромное количество свежих жертв и не встречая преград, болезнь легко завоевала пол мира. Никто понятия не имел, лепра - что это такое. Этиология и патогенез лепры сводились к тому, что человек вдруг становился уродом, у него отваливались пальцы на руках-ногах, а потом и сам он сгнивал заживо. Люди пребывали в паническом ужасе и всеми путями избавлялись от прокаженных. В лучшем случае их просто изгоняли. Существовал ритуал «похорон» несчастного, во время которого его клали в гроб, заколачивали, опускали в яму и даже присыпали землей. После, правда, доставали, но для всех человека среди живых уже не существовало. В худшем случае заболевшего убивали по-настоящему. Чем бы это закончилось, неизвестно, но случилось невероятное – Европу атаковала другая смертельная зараза, вытеснившая первую. После пандемии чумы проказа здесь стала редким явлением.
Лепра в наши дни

Еще в средневековье при монастырях создавали дома для прокаженных, где они жили до своей смерти. Назвали их лепрозориями. В 1873 году ученому Хансену, трудившемуся в одном из таких заведений, удалось обнаружить в материале, взятом у больного, невиданные доселе бактерии. Их назвали палочками Хансена. Но прошло еще много лет, прежде чем выяснили их связь с таким заболеванием, как проказа. Этиология, патогенез и методы лечения теперь стали более понятны. Когда-то в мире существовали тысячи лепрозориев, потому что прокаженных тогда было более 20 миллионов. Только в России лепрозориев насчитывалось 19 штук. Благодаря найденному лекарству к концу 20-го века число больных в мире снизилось до 12 миллионов, а на данный момент их около полутора миллионов. Однако статистика за 2015 год вновь показала небольшое увеличение числа больных. В России лепрозориев сейчас всего 4, а больных лепрой 600 человек. Основная масса «прокаженных» нынче сосредоточена в Индии, Китае, других странах Южной Азии, почти на всей территории Африки, включая Мадагаскар, в Южной Америке, на Аравийском полуострове, на Филиппинах, в Карибском бассейне.
Портрет возбудителя

Патогенез проказы начинается с проникновения в тело человека палочки Хансена. Это микроскопическая бактерия длиной до 8 мкм, а диаметром всего до 0,5 мкм. Палочки имеют заостренные либо утолщенные края и покрыты четырьмя слоями очень плотных оболочек, защищающими их от внешних раздражителей. Они неподвижны, не образуют споры, размножаются невероятно медленно. Деление одной бактерии длится примерно 14 дней. Держатся палочки группами, тогда они напоминают рассыпанные сигареты. Иногда паразитов можно встретить и по одному. Живут они исключительно в клетках жертв, поэтому, попав во внешнюю среду, быстро погибают. Палочки Хансена паразитируют только в человеке, но есть мнение, что они могут заражать мышей, броненосцев, бурундуков и некоторые виды обезьян. Этиология и патогенез проказы (лепры) изучаются трудно, потому что колонии палочек Хансена на питательной среде в лабораториях растут необыкновенно плохо и медленно - от 6 недель, против нескольких часов у других бактерий. Еще одна трудность – вне клетки они становятся непатогенными, а в подопытных животных практически не приживаются. И все-таки удалось узнать, что палочки Хансена и Коха (вызывают туберкулез) произошли от одной бактерии, но в процессе эволюции несколько видоизменили свои структуры. А в 2009 году открыли еще один вид этой бактерии, который вызывает диффузную лепроматозную проказу.
Пути заражения
Источником микроба лепры может быть только страдающий этим недугом в активной форме человек. Но по некоторым сведениям иногда причиной инфицирования становится работа без перчаток с животными, которых поражает бактерия Хансена. Как происходит патогенез лепры? Инфекции, передающиеся воздушно-капельным путем, всегда самые вирулентные и способны заразить многих. Но в случае с лепрой этого не происходит по пока невыясненным причинам. Известно лишь, что палочки Хансена активно размножаются на участках тела, которые может охлаждать воздух, а именно на слизистых ротовой полости. От больного здоровому они передаются при чихании, поцелуе, кашле, эмоциональном разговоре. Кроме того, микроб может передаться с кровью больного или при попадании его экссудатов, насыщенных паразитами, непосредственно на травмированную кожу новой жертвы.
Группы риска

Высокая вероятность заразиться у тех, в чьих семьях есть больной проказой. Во-первых, из-за того, что между членами семьи трудно избежать длительных контактов, а во-вторых, потому что существует генетическая предрасположенность к данному заболеванию. Семейным парам запрещено иметь наследников. Но у больных матерей дети рождаются здоровыми. Если таких малышей сразу изолировать, их совершенно не поражает лепра (проказа). Этиология заболевания пока не выяснена и в отношении других категорий риска среди населения. Пока точно установлено, что недуг активно развивается у лиц с ослабленным иммунитетом. Есть случаи, когда люди, ухаживающие за прокаженными, оставались здоровыми, но заболевали их родственники, не принимавшие участия в уходе. Врач Даниэль Даниэльсон долгие годы вводил себе кровь прокаженных, помещал в свои раны экссудат из бугорков на их теле, но так и не был инфицирован. А вообще, болезнь наиболее вероятна там, где низкий уровень жизни.
Патогенез проказы
Предположительно, из-за медленного размножения бактерий Хансена слишком долго развивается и вызываемая ими проказа. Этиология, патогенез болезни таковы: возбудитель, попав на слизистые либо в рану, просачивается в кровь и лимфу, а с этими жидкостями в нервную систему и другие внутренние органы. Там бактерии образуют гранулемы, содержащие множество макрофагов. Заразившись, человек может десятилетия жить и не подозревать о своем недуге. Инкубационный период у некоторых длится полгода, чаще около 5 лет, а в отдельных случаях 20 и даже 40 лет. Помимо инкубационного, существует латентный период (время, с которого инфицированный способен заражать окружающих). Для лепры он несколько меньше инкубационного. У пациента в это время может вообще не быть симптомов либо наблюдаться легкое недомогание, потеря аппетита, необъяснимо быстрая утомляемость, но о серьезном заболевании он не предполагает, хотя уже является заразным.
Симптомы
Микроб поражает не только слизистые во рту, но и в легких, а также клетки в нервных окончаниях (швановские). При прогрессировании заболевания бактерии находят в глазах, в печени, даже в головном мозге. Первый признак недуга – это тяжело переносимые боли в конечностях, в спине. Тогда же больные могут жаловаться на слабость, сонливость, потерю аппетита, расстройства кишечника. В дальнейшем боли сменяются ощущением покалывания, а потом человек вообще утрачивает чувствительность в пораженных местах. Это часто становится причиной травм, заражения другой инфекцией и в конечном итоге потерей пальцев, необратимыми дефектами рук и ног. Палочки Хансена сами по себе больного конечностей не лишают. У лепры выделяют два основных вида – туберкулоидную лепру и лепроматозную. Их симптомы отличаются, поэтому рассмотрим каждую подробнее.
Туберкулоидная проказа, этиология, симптомы, лечение
Этот вид заболевания диагностируется в трех формах:
- полярная;
- пограничная;
- недифференцированная.

Основным симптомом туберкулоидной лепры является появление на коже четкого гипопигментированного (светлого) пятна. Недифференцированная форма способна самостоятельно исцелиться, либо перейти к более тяжелым. Вначале кожа на месте пигментации очень чувствительна, но вскоре пятно начинает увеличиваться, его края выпячиваются, а центральная часть, наоборот, западает. Здесь отсутствуют потовые железы, исчезают волосы, кожа теряет чувствительность. За пределами пятна нервы утолщаются, так как палочки Хансена, разрастаясь, раздувают пораженные клетки. Инфицирование нервов вызывает атрофию мышц, контрактуру ступней и кистей рук. Когда бактерии поражают лицевой нерв, у больных развиваются заболевания глаз, в конечном итоге приводящие к слепоте.
Лепроматозная проказа
Этот вид заболевания протекает тяжелее и более опасен для людей в окружении больного. Здесь различают две формы:
Одним из первичных симптомов заболевания также являются пятна, но они имеют несколько другую картину – обширны, располагаются симметрично по отношению к условной срединной линии человеческого тела, с нечеткими границами и плотным выпуклым центром. Кроме пятен высыпания могут иметь вид узелков, блях либо папул. Все они называются лепромами и содержат в инфильтрате тысячи палочек Хансена. Очень характерно, что происходит во время лепры с лицами больных. У них выпадают ресницы и брови, проваливается нос (поздние стадии), искажается (утолщается) форма ушей, кожа на лице («львиная морда»), нарушается мимика. Другие симптомы:
- проблемы с носом (заложенность, затруднено дыхание, иногда из носа идет кровь);
- изменение голоса (становится хриплым);
- проблемы со зрением (кератит, иридоциклит);
- увеличение лимфоузлов в паху;
- инфильтрация ткани в яичках;
- образование на месте распавшихся лепром обезображивающих язв;
- слабость конечностей, атрофия, а в дальнейшем некроз.

Существует смешанная форма проказы, при которой одновременно наблюдаются симптомы туберкулоидной и лепроматозной форм.
Диагностика
Заболевание лепра, этиология и патогенез которого еще изучаются, диагностируется несколькими методами.
- Клинический. Состоит в визуальном осмотре кожи больного, выявлении нечувствительных слизистой и участков кожи.
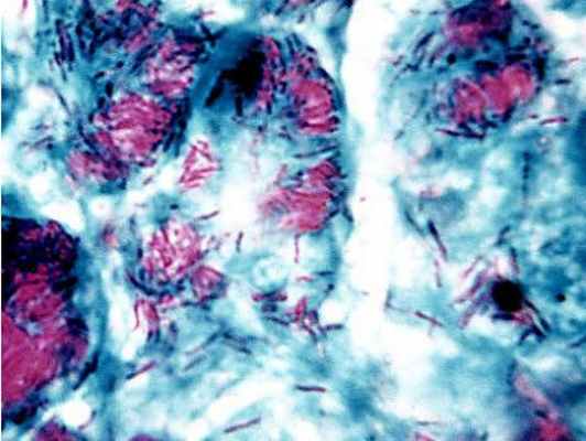
- Микроскопический. В носоглотке делают довольно интенсивный (до крови) соскоб, берут материал из лимфоузлов. Микроскоп показывает у больного наличие характерных овальных или круглых лепрозных клеток. Мазки окрашивают по методу Циля - Нильсена, в результате старые палочки Хансена становятся красными, а молодые в основном синими.
- Аллергический тест (Мит-суда). Под кожу вводят лепромин (готовят из тканей, взятых у больных лепрой). Если испытуемый заражен, у него менее чем за сутки кожа в месте пробы напухает и краснеет.
- Серологический метод.
Лечение
Проказу лечат очень долго, до 12 месяцев, а порой несколько лет. Терапия только комплексная с участием офтальмологов, ортопедов, невропатологов. Антибактериальные препараты используются также в комплексе. Это «Дапсон» в тандеме с «Клофазимином» и «Рифампицином». Для каждого больного дозы и алгоритм приема лекарств индивидуальны. Некоторые формы заболевания возможно лечить с применением только двух из приведенных трех антибиотиков, что определяет врач. Сейчас ведутся испытания лекарств «Миноциклина», «Кларитромицина», «Офлоксацина» в качестве медикаментов против лепры. В результате у больных убиваются все бактерии лепры, но нанесенный ими ущерб органам и коже (если до этого дошло) остается.
Прогноз
Если лечение начато вовремя, исход достаточно благоприятный. У больных даже может не остаться на коже никаких следов. В запущенных стадиях вернуть здоровье уже не удается, человек остается инвалидом пожизненно, но у него возможно восстановление работы внутренних органов, что позволяет продлить ему жизнь.
Читайте также:
