Аллергический пневмонит
Добавил пользователь Евгений Кузнецов Обновлено: 29.01.2026
Экзогенный аллергический альвеолит (ЭАА) или гиперчувствительный пневмонит, включает в себя группу близких интерстициальных заболеваний легких, характеризующихся преимущественно диффузными воспалительными изменениями легочной паренхимы и мелких дыхательных путей, развивающимися в ответ на повторную ингаляцию различных антигенов, являющихся продуктами бактерий, грибов, животных белков, некоторых низкомолекулярных химических соединений.
Заболевание было впервые описано в 1932 г. J. Campbell у пяти фермеров, у которых наблюдалось развитие острых респираторных симптомов после работы с влажным заплесневелым сеном. Эта форма заболевания получила название "легкое фермера". Затем были описаны варианты ЭАА, связанные с другими причинами. Так, вторая по значению форма ЭАА - "легкое любителей птиц" - была описана в 1965 г. С. Reed и соавт. у трех больных, занимавшихся разведением голубей.
Причиной развития болезни является регулярное вдыхание мелкодисперсной, сложной по составу пыли, компонентами которой могут быть частички различного происхождения: пылевого клеща и других насекомых, плесневых и дрожжеподобных грибов, споры актиномицетов, животные и растительные протеины, содержащиеся в продуктах жизнедеятельности, перьях, мехе домашних животных, стиральных порошков, компонентами которых являются ферменты, пищевых продуктов, пары металлов, красок и полиуретановых материалов.
В сельскохозяйственных районах ведущими причинными агентами являются термофильные актиномицеты - бактерии размером менее 1 мкм, обладающие морфологическими свойствами грибов, они широко встречаются в почве, компосте, воде, в кондиционерах. Наиболее частыми видами термофильных актиномицет, ассоциированными с ЭАА, являются Мicropolyspora faeni, Thermoactinomyces vulgaris, Thermoactinomyces viridis, Thermoactinomyces saccharis, Thermoactinomyces candidum. Причины ЭАА значительно различаются в разных странах и регионах.
Так, в Великобритании среди форм ЭАА преобладает "легкое любителей волнистых попугаев", в США - "легкое пользующихся кондиционерами и увлажнителями, в Японии - "летний тип" ЭЭА, этиологически связанный с сезонным ростом грибов вида Trichosporon cutaneum (75% всех вариантов). В крупных промышленных центрах (в Москве) в настоящее время ведущими причинами являются птичьи и грибковые (Аspergillus spp.) антигены. По данным статистики больные экзогенным аллергическим альвеолитом составляют около 3 % от общего числа больных, наблюдающихся у врачей пульмонологов. Также в группу риска входят: люди в возрасте старше 50-ти лет (в особенности мужчины), люди, проживающие в промышленных, районах и люди, у которых уже наблюдались аллергические реакции.
Симптомы альвеолита легких (гиперчувствительного пневмонита)
Патогенез ЭАА справедливо считается иммунопатологическим заболеванием, в развитии которого ведущая роль принадлежит аллергическим реакциям 3-го и 4-го типов (по классификации Gell, Coombs), имеет значение и неиммунное воспаление, при котором повторный контакт с антигеном у людей, имеющих наследственную предрасположенность, приводит к острому нейтрофильному и мононуклеарному альвеолиту, сопровождаемому интерстициальной инфильтрацией лимфоцитами и гранулематозной реакцией. При длительном контакте развивается фиброз с облитерацией бронхиол.
Экзогенный альвеолит проявляется в острой и хронической формах, четкое разграничение которых часто не представляется возможным, нередко наблюдается смешанная картина болезни. Острый альвеолит не всегда перерастает в хроническое заболевание, даже при продолжающемся контакте с агентом. Хронический альвеолит может развиться без предшествующего острого и может прогрессировать даже после прекращения контакта с вызвавшим его агентом.
Острый альвеолит проявляется гриппоподобным состоянием с миалгиями, лихорадкой, головной болью и затруднением дыхания, развивающимися через несколько часов после повышения температуры. При обследовании выявляется тахикардия и хрипы в легких при аускультации. Исследование функции легких выявляет снижение жизненной емкости легких и нарушение газообмена; на рентгенограмме легких может обнаруживаться мелкоузловой или более диффузный инфильтрат. Поскольку развитие аллергического альвеолита сопровождается ухудшением очищения бронхиального дерева, спустя несколько дней после возникновения первых признаков заболевания к ним могут присоединяться симптомы инфекционно-воспалительных процессов в легких, например, острой пневмонии или бронхита. Симптомы обычно разрешаются через 48 часов, но изменения функций легких и рентгенологические аномалии могут сохраняться в течение месяцев.
Хронический альвеолит может развиваться после повторных приступов острого альвеолита или начинается с прогрессирующей одышки от напряжения. Физикальные данные могут быть скудными или вообще отсутствовать. Пальцы в виде барабанных палочек развиваются редко и дыхательные шумы, как правило, в норме. Вентиляция легких нарушается по рестриктивному типу, изменяется газообмен и иногда возникает обструкция воздухоносных путей, что является следствием вовлечения в процесс бронхиол. Рентгенограмма грудной клетки показывает фиброзные тени в основном в верхних отделах.
Диагноз экзогенный аллергический альвеолит легких
Острый альвеолит часто неверно принимается за рецидивирующие респираторные инфекции, но тщательный сбор анамнеза выявляет связь с условиями окружающей среды. Диагноз в основном устанавливают на основании:
- клинической картины;
- гематологических нарушений, выражающихся в наличии лейкоцитоза, эозинофилии, повышении СОЭ;
- выявления антител в сыворотки к ожидаемым антигенам;
- функциональных легочных проб;
- данных о вредных производственных или бытовых факторах;
- наличия признаков фиброза на рентгенологических снимках;
- данных трахеобронхиальной биопсии, проводимой, если другие методы не дали достаточной информации для постановки диагноза.
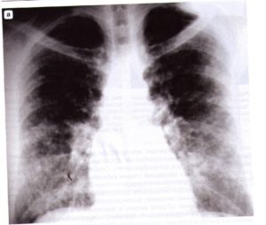
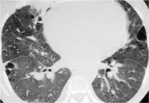
В сомнительных случаях проводят дальнейшие исследования. Компьютерная томография (КТ) с высокой разрешающей способностью выявляет типичные признаки: центролобулярные узелки, окруженные имеющими неправильную форму участками легочной ткани повышенной прозрачности, отражающей обструкцию мелких дыхательных путей. Лучше всего они видны на снимках, сделанных в момент вдоха. Между острыми приступами КТ может не выявить изменений вовсе, или обнаружить малоспецифичные признаки фиброза легких.
Иногда затемнение по типу матового стекла является преобладающим или единственным изменением. Данные затемнения обычно диффузные, но иногда не затрагивают периферические отделы вторичных долек легкого. Локальные зоны повышенной интенсивности, подобные выявляемым при облитерирующем бронхиолите, могут быть основным проявлением у некоторых пациентов (например, мозаичное повышение плотности с задержкой воздуха при КТ на выдохе).
При хронической форме заболевания имеются симптомы фиброза легкого (например, уменьшение объема долей, затемнения линейной формы, усиление легочного рисунка или «сотовое легкое»). Некоторые некурящие пациенты имеют признаки эмфиземы верхних долей легких. Увеличение лимфатических узлов средостения встречается редко и помогает отличить аллергический альвеолит от саркоидоза. В бронхоальвеолярном смыве обнаруживаются повышенное содержание CD-8 лимфоцитов, что позволяет исключить инфекцию и саркоидоз, связанные с повышением CD-4 (Т-хелперов) лимфоцитов. К исследованиям, имеющим диагностическую ценность при выявлении других заболеваний, относятся серологические и микробиологические исследования (при орнитозе и других пневмониях) и исследования аутоантител (при системных заболеваниях и васкулитах). Повышенное количество эозинофилов может свидетельствовать о хронической эозинофильной пневмонии, а увеличение лимфоузлов в корнях легких и паратрахеальных лимфоузлов более характерно для саркоидоза.
Рекомендации и лечение аллергического фиброзного альвеолита легких в Самаре

Главный принцип в борьбе с аллергическим альвеолитом - как можно быстрее исключить взаимодействие, контакт с аллергеном. Часто случается, что исключения контакта бывает достаточно и болезнь отступает. А это значит, что нужно в самые короткие сроки выявить, на что именно возникает такая реакция. Затем врач-пульмонолог назначает лечение: цитостатики, глюкокортикостероиды (подавляют воспаление), бронхолитики (для подавления одышки). После терапии лекарственными средствами назначается кислородная терапия (кислородные ингаляции, озонотерапия), дыхательная гимнастика, массаж грудной клетки, физиотерапевтические мероприятия. Обычно лечение занимает от одного до четырех месяцев.
В тяжелых случаях, при отсутствии эффекта от лечения может потребоваться пересадка легкого. Следует помнить, что при лечении альвеолита легких противопоказаны антибиотики. После излечения заболевания требуется продолжить диспансерное наблюдение. Первый визит к пульмонологу советуют нанести через 1 месяц, следующий - через 3 месяца. Только при полной нормализации показателей больной может быть снят с учета. Взрослые, переболевшие альвеолитом, должны пересмотреть свою трудовую деятельность. Для профилактики экзогенного аллергического альвеолита рекомендуется своевременно лечить заболевания легких, ограничивать контакты с вышеназванными аллергенами, а также химическими и токсическими веществами и отказаться от такой вредной привычки как курение.
Ранняя диагностика и своевременно начатое лечение позволяют избежать развитие необратимых изменений в лёгочной ткани. При запоздалом обнаружении патологический воспалительный процесс переходит в грубую микросотовую дегенерацию лёгких, ведущую к инвалидизации пациентов. Средняя продолжительность жизни пациентов с лёгочным фиброзом тяжёлой степени составляет от 3 до 5 лет.
Аллергический пневмонит
Аллергический пневмонит (аллергический альвеолит, аллергический интерстициальный пневмонит, пневмокониоз органической пыли) – воспаление крошечных воздушных пузырьков легких (альвеол) и окружающей ткани, вызванное аллергической реакцией на вдыхание органической пыли или, реже, какого-либо химического вещества.
Если у человека развивается гиперчувствительность к органической пыли, то повышение температуры тела, кашель, озноб и одышка обычно появляются через 4-8 часов после повторного контакта с ней. Среди других симптомов можно назвать потерю аппетита, тошноту и рвоту. Хрипы возникают редко. При отсутствии дальнейшего контакта с антигеном симптомы обычно проходят в течение нескольких часов, но полное выздоровление может занимать недели.
При более медленной (подострой) форме аллергической реакции кашель и одышка усиливаются в течение многих дней или недель и бывают настолько тяжелыми, что требуется госпитализация.
Хронический аллергический пневмонит развивается, если человек неоднократно контактирует с аллергеном в течение многих месяцев и лет. В легких формируются многочисленные рубцовые зоны. Это состояние называется фиброзирующим альвеолитом. Одышка во время физической нагрузки, кашель с мокротой, утомляемость и потеря веса прогрессируют в течение нескольких месяцев или лет. В конечном счете болезнь может вести к дыхательной недостаточности.
Аллергические реакции в легких могут вызвать многие виды пыли. Причинами аллергического пневмонита являются органическая пыль, которая содержит микроорганизмы или белки, а также химические вещества, например изоцианаты. Известным примером аллергического пневмонита является болезнь «легкие фермера». Она развивается вследствие повторного попадания в дыхательные пути термофильных бактерий, размножающихся при высокой температуре в заплесневелом сене.
Лишь у небольшого количества людей, вдыхающих такую пыль, наблюдаются аллергические реакции, и только у малой части из них происходит необратимое повреждение легких. Как правило, человек непрерывно в течение долгого времени контактирует с антигеном, прежде чем развиваются повышенная чувствительность к нему и сама болезнь.
Повреждение легких, по-видимому, является следствием сочетания аллергических реакций III и IV типа. Контакт с пылью вызывает повышение чувствительности к ней лимфоцитов и формирование антител, что ведет к воспалению легких и накоплению лейкоцитов в стенках альвеол. Функция ткани легких может быть нарушена, что сопровождается появлением симптомов.
Профессиональные болезни и источник пневмонита:
- "Легкие фермера" (заплесневелое сено);
- Болезнь птицеводов (фекалии голубей, циплят и других птиц);
- Альеолит работающих с аэрационными системами (увлажнители воздуха и кондиционеры);
- Багассоз (заплесневелый сахарный тростник и его отходы);
- Болезнь "грибного производства" (грибной компост);
- Болезнь "коры клена" (Канада, США);
- Болезнь обработчиков солода (заплесневелый ячмень или солод);
- Болезнь мойщиков сыра (сырная плесень);
- Болезнь "пшеничного долгоносика" (зараженная пшеничная мука)
- Болезнь сборщика кофе (кофейные зерна);
- Болезнь кровельщиков соломенных крыш (солома или тростник для кровли);
- Болезнь рабочего химического производства (вещества в составе полиуретановой пены, дрожжей, изоляционных материалов, синтетического каучука и упаковочных материалов).
Диагностика аллергического пневмонита связана с идентификацией пыли или другого вещества, вызывающего заболевание. Иногда это сделать довольно трудно. У людей, контактирующих с аллергеном на работе, порой не бывает никаких симптомов в течение нескольких часов после того, как они вернутся домой. Если человек плохо чувствует себя в рабочие дни, но ему становится лучше в выходные или в отпуске, это может стать хорошей подсказкой для врача.
Заболевание позволяют заподозрить патологические изменения на рентгеновском снимке грудной клетки. Исследования функции легких, при которых измеряют их объем и функциональную способность, могут помочь диагностировать аллергический пневмонит. Исследование крови на антитела позволяет подтвердить контакт с подозреваемым антигеном. Когда антиген не удается установить и диагноз вызывает сомнения, делают биопсию легких (берут маленький кусочек ткани для исследования под микроскопом) во время бронхоскопии (исследования дыхательных путей с помощью специального прибора), торакоскопии (исследования поверхности легких и плевральной полости с помощью специального прибора) или торакотомии (операции, при которой делают разрез стенки грудной клетки и вскрывают плевральную полость).
После острого аллергического пневмонита люди обычно выздоравливают, если избегают дальнейшего контакта с аллергенным веществом. При тяжелом течении кортикостероиды, например преднизолон, уменьшают симптомы и помогают устранить воспаление. При длительных или рецидивирующих заболеваниях может развиваться необратимое повреждение; иногда легочная функция настолько ухудшается, что требуется терапия кислородом.
Самая лучшая профилактика – избегать контакта с антигеном, но, если человек не может сменить работу, это не всегда удается. Удаление или уменьшение содержания пыли, применение защитных респираторов помогают предупредить рецидив болезни. Химическая обработка сена или отходов сахарного тростника, использование хорошей системы вентиляции предотвращают контакт рабочих с этими веществами и развитие гиперчувствительности.
Пневмонит аллергический (гиперчувствительный): симптомы, рентген признаки

Пневмонит – это воспалительный процесс неинфекционного, аллергического или идиопатического характера, поражающий интерстициальную ткань легкого, экстраальвеолярную соединительную ткань при отсутствии альвеолярной экссудации. Цифровая рентгенограмма: идиопатический фиброзирующий альвеолит (Хаммена-Ричи) Некоторые авторы сравнивают нозологию с альвеолитом, при котором возникает воспаление в альвеолах, но не всегда поражение альвеолярных ацинусов переходит на паренхиму легких. Изменения происходят на морфологическом уровне, что не влияет на симптомы, тактику лечения. Из-за сложностей с верификацией этих нозологических форм отечественные медики не рекомендуют пытаться искать отличия между пневмонитом и альвеолитом, а скорее считать их синонимами. Большинство интерстициальных пневмонитов имеют неизвестную причину, хотя при аллергических (гиперчувствительных), идиопатических воспалительных процессах в интерстиции клинические, функциональные и рентгенологические признаки сходны. Единственным отличием идиопатического фиброзирующего альвеолита является разрастание фиброзной ткани на месте воспаления с последующими необратимыми изменениями легких. Нозология часто встречается у пациентов старше 50 лет. Рассмотрим подробности все патологических форм.
Аллергический пневмонит: причины, симптомы, рентген признаки

Аллергический пневмонит – заболевание с поражением альвеолярной ткани по причине образования антител на аллергены, попадающие в легкие – пыль, химические вещества, микробные антигены. При аллергическом пневмонике поражаются легочные альвеолы без выраженного инфильтрата, поэтому рентген снимок на начальных этапах не показывает существенных изменений. Точнее, мелкие воспалительные инфильтраты находятся за пределы разрешающей способности рентгенографии. Компьютерная томография позволяет верифицировать очаги, так как видит затемнения, просветления более 1 мм диаметром. Интерстициальный альвеолит на компьютерной томограмме Диагностировать аллергический пневмонит позволяет клиническая картина при остром течении болезни. Симптомы появляются через 4-8 часов после контакта с аллергеном: • Одышка; • Кашель; • Повышение температуры. Редкие симптомы – это потеря аппетита, рвота, тошнота. Признаки исчезают через несколько часов, если отсутствует повторная встреча с аллергическим фактором. На полное выздоровление следует рассчитывать через несколько недель при отсутствии действия причинного фактора. Контакт с аллергеном возможен на протяжении длительного времени, но при постоянном действии аллергена болезнь постепенно переходит в хроническую фазу. На протяжении нескольких месяцев или лет при физической нагрузке появляется кашель с мокротой, быстрая утомляемость, которая приводит к большой потере веса. Последствие состояния – выраженная дыхательная недостаточность. Самой частой причиной аллергического пневмонита является органическая пыль, содержащая многочисленные микроорганизмы, белки, химические соединения. Медики называют болезнь «легкие фермера». Работники данной профессии постоянно контактируют с бактериями, пылевыми частицами, химическими веществами. Основные формы аллергического альвеолита: 1. Пневмонит при длительной работе с кондиционерами; 2. Болезнь птицеводов – у работников птицефабрик; 3. Багассоз – нозология у фермеров, работающих с тростником; 4. Болезнь работников грибного производства; 5. Заболевания обработчиков солода; 6. Пневмонит мойщиков сыра (вдыхание плесени); 7. Альвеолит работников химических предприятий. Дифференцировать вышеописанные формы можно только морфологическим способом после биопсии тканей. Микроскопическое исследование не всегда позволяет разграничить патологию. Рентген снимок при выраженном воспалении альвеол показывает только инфильтрат, но не определяет причину состояния. При рентгенографии выявить аллергический интерстициальный пневмонит сложно, так как размеры экссудата небольшие. Если после первичного контакта с аллергеном, не возникает повторного попадания провоцирующего фактора в легочные альвеолы, симптомы пневмонита проходят самостоятельно без определенных последствий для здоровья. При попадании аллергена снова, возникает острая клиническая картина. На рентгенограмме прослеживается картина пневмонии. Исчезает инфильтрации не после приема антибиотиков, а после лечения кортикостероидами. Преднизолон, гидрокортизон – это сильнодействующие лекарственные препараты, устраняющие реакции гиперчувствительности. На фоне рецидивов возникают необратимые состояния с разрастанием фиброзной ткани. Дыхательная недостаточность устраняется кислородотерапией. Работники фермерских хозяйств, сотрудники химических предприятий способны избавиться от патологии только после отказа от привычной профессиональной деятельности. Чтобы предотвратить аллергический пневмонит, человеку следует избегать следующие провоцирующие факторы: • Бактериальные факторы – грибы, актиномицеты, продукты жизнедеятельности бактерий (липопротеиды, эндотоксины, протеины, полисахариды); • Биологические животные субстанции (шерсть, сывороточные белки); • Растительные компоненты (солома, опилки, экстракты кофейного зерна); • Низкомолекулярные вещества (соли тяжелых металлов, ангидрид); • Лекарственные препараты (нитрофураны, антибиотики, гормоны, ферменты). Для здоровья опасен, как первичный, так и повторный контакт с этими аллергенами.
Гиперчувствительный пневмонит – рентген признаки

Гиперчувствительный альвеолит – это заболевание, возникающее у хлопкоробов, тростниководов, зерноводов, табаководов, скорняков, сыроделов, производителей пеньки, сотрудников овощехранилищ и другими соединениями, способными вызывать реакции гиперчувствительности. Специфическим проявлением заболевания на рентгеновском снимке является появление инфильтративных теней, которые возникают короткое время. При патологии появляются специфические лабораторные изменения – увеличение эозинофилов или базофилов крови. Случаи экзогенного аллергического альвеолита появляются под действием металлов (цинк, медь, мышьяк, золото, кобальт). Растительные инсектициды также вызывают аллергические альвеолиты. При выявлении на рентгенограмме инфильтрации в проекции сегмента, доли или целого легкого, увеличении эозинофиллов в общем анализе крови следует предполагать аллергическую (гиперчувствительную) форму. Подтверждением результата является быстрое исчезновение рентген признаков пневмонии самостоятельно после ликвидации аллергена или лечении стероидными противовоспалительными препаратами (преднизолон, гидрокортизон). При морфологическом обследовании легких у работников фермерских хозяйств обнаруживается специфическая картина острого или хронического альвеолита. При иммуноферментном анализе крови выявляются преципитирующие антитела к экстрактам сена. Аллергические реакции 3,4 типа выявляются при экзогенном аллергическом пневмоните. Ведущая роль в патогенезе патологии принадлежит целым иммунным комплексам, вызывающим многочисленные изменения организма с участием клеток системы комплемента, альвеолярных макрофагов. Данные клетки выделяют хемотоксины, интерлейкин-2, активные кислородные радикалы, которые способствуют образованию коллагена, росту фибробластов. Результатом патологии является альвеолобронхиолит, при котором формируются гранулемы, последовательно развивается фиброзное преобразование легочной ткани с поражением интерстиция. Фото рентген снимка при аллергическом альвеолите Для экзогенного аллергического альвеолита характерно образование химических веществ, появление ряда иммунных реакций, для которых формируется появление разных токсических поражений легочной паренхимы. При этой нозологической форме появляется экзогенное воспаление альвеол. Иммуноферментный анализ (ИФА) обнаруживает антитела к клеткам альвеолярной ткани. На серии рентгенограмм периодически прослеживаются инфильтративные очаги, которые не лечатся антибиотиками.
Интерстициальный пневмонит: виды признаки
Интерстициальный пневмонит – это группа заболеваний, при которых повреждается легочной интерстиций за счет воспалительного процесса. Заболевание полиэтиологично, но не все причины нозологии выяснены. Проблему для медиков представляют идиопатические формы. Лабораторные, клинические, функциональные показатели для патологии неспецифичны. При рентгенографии обнаруживаются двухсторонние изменения. Дополнительное исследование с помощью компьютерной томографии позволяет выявить симптом «матового стекла». Криптогенный пневмонит – это «облитерирующий бронхиолит с интерстициальной пневмонией». Нозология сопровождается нарушением проходимости бронхиального тракта, при котором воспалительный процесс затрагивает значительную часть легких. Болезнь чаще всего формируется у людей 50-60 лет. С одинаковой частотой поражаются женщины и мужчины. Подострая, острая картина заболевания напоминает бактериальную пневмонию. На рентгенограмме прослеживаются двухсторонние пятнистые плотные очаги консолидации с субплевральным расположением инфильтратов. Для интерстициального пневмонита характерна миграция инфильтратов. Постепенно очаги распространяются от нижней доле к верхней. При такой рентген картине требуется дифференциальная диагностика с лимфомой, бронхоальвеолярным раком, эозинофильной пневмонией.
Симптомы гиперчувствительного пневмонита
По течению заболевание разделяется на острую, подострую, хроническую форму. В зависимости от нозологической формы определяются клинические признаки. Врачам не всегда удается определить аллергический генез заболевания, так как человек не всегда четко указывает на связь с аллергеном. Если на рентген снимке обнаруживается инфильтрация, выставляется диагноз пневмонии, проводится антибактериальное обследование. Такой подход не совсем верный. Конечно, при отсутствии контакта с аллергическим фактором, нозология исчезнет самостоятельно. Под действием провоцирующего фактора заболевание будет прогрессировать, несмотря на проводимое лечение антибиотиками. Симптомы «легких фермера»: • Повышение температуры через 5-8 часов после контакта с сеном; • Недомогание; • Озноб; • Одышка и кашель с отсутствием астматического компонента. Отсутствие причинных факторов возникновения пневмонии или гриппа позволяет заподозрить аллергический пневмонит. При любой форме гиперчувствительного альвеолита вероятно возникновение «симптома понедельника». Признак означает улучшение состояния больного в выходные дни и ухудшение симптомов в понедельник при выходе на работу. Признаки подострой формы протекают скрыто на протяжении нескольких недель, когда после воздействия появляется одышка и кашель. Прогрессирование синюшности, нарушение дыхания, появляются при прогрессировании дыхания. Подострая картина развивается при продолжительном действии антигена с определенной периодичностью. После прекращения влияния вредного фактора еще несколько недель появляются симптомы альвеолярного воспаления. Если на протяжении этого промежутка человек контактирует с аллергеном, клиническая картина заболевания усиливается. Если на рентгенограммах до этого времени не прослеживается патология, то если выполнить рентгеновский снимок после повторного контакта с провоцирующим фактором, возможно выявление инфильтративного затемнения с неровным нечетким контуром. Аналогичные рентген признаки прослеживаются при неспецифической бактериальной пневмонии. Хроническое течение болезни характеризуется постепенным прогрессированием интерстициального пневмонита. Симптомы – продуктивный кашель, нарастание одышки при физической нагрузке, похудении. Постепенное начало возникает под влиянием низких доз радиации. Аускультативно выслушиваются мелко- или среднепузырчатые хрипы. Ослабленное дыхание ощущается при пальцевой перкуссии. Коробочный звук определяется над местом компенсаторного расширения альвеол. Эмфизема физиологически направлена на предотвращение дыхательной недостаточности при снижении функциональности поврежденных легочных ацинусов.
Десквамационный интерстициальный пневмонит – морфологические признаки
Интерстициальный пневмонит с десквамацией легких формирует у курильщиков при приеме лекарственных препаратов, действии других аллергенов. При сомнительных симптомах рекомендовано проведение биопсии легочной ткани. Чтобы вылечить эту форму, следует отказаться от курения. Для повышения эффективности рекомендуется лечение преднизолоном в дозе 40-60 мг в сутки.
Респираторный альвеолит с интерстициальным поражением
Респираторный интерстициальный пневмонит – это болезнь с поражением легочного интерстиция, альвеол. Нозология формируется часто у курильщиков со стажем более 30 лет. Для излечения достаточно отказа от вредной привычки или кратковременная терапия глюкокортикоидами. Лимфоцитарный интерстициальный пневмонит – это редкая болезнь. Морфологически при ней прослеживается лимфоцитарная инфильтрация интерстициальной ткани. При исследовании материала из патологического очага выявляются не только массивная лимфоцитарная инфильтрация, но прослеживается разрастание коллагеновых волокон. Рентгеновская картина неспецифична для патологии, так как выявляются мелкие инфильтративные тени, подобные для хронической пневмонии. Термином пневмонит врачи не пользуются, так как биопсия проводится только при экстренных показаниях. Процедура инвазивна, сопровождается повреждением ткани. В заключение скажем о том, что вышеперечисленные интерстициальные пневмониты (кроме аллергических) долго время врачи относили к синдрому Хаммена-Рича. С появлением современной техники градация уменьшилась. Сейчас к патологии относят лишь острые интерстициальные пневмониты.
Публикации в СМИ
Гиперчувствительный пневмонит (ГП) — диффузное интерстициальное гранулематозное воспалительное заболевание лёгких, обусловленное аллергической реакцией после повторных ингаляций пыли, содержащей белки животного и растительного происхождения или (реже) неорганические соединения. Статистические данные. У 1–8% фермеров и 6–15% лиц, разводящих птиц.
Этиология. Основной этиологический фактор — микроорганизмы либо чужеродные белки (как растительного, так и животного происхождения), а также более простые химические вещества, вдыхаемые в больших количествах • Лёгкое фермера: споры термофильных актиномицетов (Micropolyspora faeni, Thermoactinomyces vulgaris). Источник — заплесневелое сено • Лёгкое птицевода (работники птицефабрик, голубеводы, любители волнистых попугайчиков): Аг перьев, белки помёта попугаев, голубей, кур • Лёгкое рабочих, обрабатывающих грибы: споры термофильных актиномицетов (Micropolyspora faeni, Thermoactinomyces vulgaris). Источник — перепревший грибной компост • Лёгкое рабочего, обрабатывающего солод: споры Aspergillus clavatus. Источник — заплесневелый ячмень, солод • Болезнь работника зернохранилища: Аг зернового долгоносика. Источник — заражённая долгоносиком мука • Багассоз: термофильные актиномицеты. Источник — остатки сахарного тростника • Лёгкое сыровара: Penicillum casei. Источник — заплесневелый сыр • Болезнь от вдыхания порошка гипофиза (питуитриновой пудры): белок бычьей и свиной сыворотки, гипофизарные Аг. Источник — препарат гипофиза для назального применения • Пневмонит работников химической промышленности: изоцианаты, фталевый ангидрид, винилхлорид. Источники — производство пенополиуретана, работа с каучуком, изоляционными материалами, упаковка продуктов • Заболевание, связанное с использованием увлажнителя (кондиционера): термофильные актиномицеты. Источники: увлажнители или кондиционеры.
Патогенез. Длительный контакт с компонентами пыли приводит к образованию преципитирующих АТ и формированию иммунных комплексов, а также активации альвеолярных макрофагов и Т-лимфоцитов — эффекторов ГЗТ. Формирование иммунных комплексов на уровне альвеолярно-капиллярной мембраны, а также высвобождение ферментов альвеолярными макрофагами и лимфокинов Т-клетками сопровождается инфильтрацией интерстиция лимфоцитами и плазматическими клетками с образованием гранулёмы и нарушением процессов диффузии. В зависимости от интенсивности и продолжительности контакта с Аг, а также реактивности организма процесс может протекать в виде острого, подострого и хронического пневмонита, приводя в случае несвоевременного выявления и терапии к развитию фиброза лёгкого с прогрессирующей дыхательной недостаточностью и формированию лёгочного сердца.
Факторы риска • Длительный контакт с пылью • Размер частиц менее 5 мкм в диаметре (более крупные частицы до альвеол не проникают).
Клинические проявления • Острый ГП обычно развивается у сенсибилизированных лиц через 4–8 ч от момента повторного воздействия Аг и может напоминать острую пневмонию. Характерные симптомы: •• Лихорадка до 40 °C •• Кашель, иногда с кровохарканьем •• Одышка •• Недомогание, тошнота, рвота •• Ломота во всём теле •• Мелко- и среднепузырчатые инспираторные хрипы • Хронический ГП — длительный, медленно прогрессирующий процесс без выраженных обострений. Характерные жалобы: •• Постоянный кашель •• Одышка при незначительной нагрузке •• Анорексия и похудание •• Слабость и плохое самочувствие • При объективном исследовании •• Прогрессирующая дыхательная недостаточность (гипоксия и цианоз) •• Пальцы в виде «барабанных палочек» •• Крепитирующие хрипы, при развитии фиброза — влажные трескучие хрипы («треск целлофана») •• Хроническое лёгочное сердце.
Лабораторные исследования • При острых формах — лейкоцитоз с преобладанием нейтрофилов • Неспецифическое повышение уровня иммуноглобулинов и СОЭ • Бактериологическое исследование крови и мокроты — отсутствие роста специфических возбудителей • Наличие преципитирующих АТ в сыворотке. Следует учитывать, что у 40–50% лиц без признаков заболевания, но имевших длительный контакт с патогенными факторами окружающей среды, этот тест ложноположителен.
Специальные исследования
• Рентгенологическое исследование •• При остром ГП изменения в лёгких выявляют в 30–49% случаев (часто изменчива) ••• Диффузная интерстициальная инфильтрация с затемнением базальных отделов ••• Нежные округлые тени размером от 1–3 мм и более ••• Усиление и деформация лёгочного рисунка ••• Пневмофиброз •• При хроническом ГП ••• Усиление лёгочного рисунка, двусторонние пятнисто-очаговые или узелковые инфильтраты ••• При прогрессировании болезни — диссеминация процесса ••• Прикорневая лимфаденопатия, плевральный выпот или пневмоторакс не характерны ••• В 40–50% случаев в верхних долях превалируют округлые тени и бронхоэктазы.
• ФВД — преобладает рестриктивный или смешанный тип нарушений •• Уменьшение жизненной ёмкости лёгких •• Объём форсированного выдоха за первую секунду (ОФВ1), форсированная жизненная ёмкость лёгких (ФЖЕЛ) и индекс Тиффно на начальных стадиях могут быть нормальными, но затем с развитием хронической обструкции дыхательных путей уменьшаются •• Средняя объёмная скорость (СОС25–75%) и остаточный объём (ОО) обычно уменьшены •• Растяжимость лёгких уменьшена.
• Бронхоальвеолярный лаваж (редко). Характерные изменения: •• Острая форма: нейтрофилы и лимфоциты •• Хроническая форма: высокое содержание лимфоцитов (60%), в основном Т-клетки типа CD8+ (в отличие от саркоидоза, при котором большинство Т-клеток типа CD4+).
• Биопсия лёгкого (редко). Характерные изменения: •• Острый ГП ••• Инфильтрация стенок альвеол нейтрофилами, плазматическими клетками, лимфоцитами, макрофагами ••• Отёк межальвеолярных перегородок, в полости альвеол — экссудат ••• Альвеолярные капилляры с фибриновыми и тромбоцитарными тромбами, но без признаков васкулита •• Хронический ГП ••• Альвеолит и интерстициальное воспаление (присутствуют плазматические клетки и гистиоциты), формирование гранулём ••• Локальное гранулематозное воспаление бронхиол ••• Интерстициальный фиброз, в тяжёлых случаях образование «сотового лёгкого».
• Провокационный ингаляционный тест с предполагаемыми аллергенами проводят прежде всего в исследовательских целях в специализированных отделениях.
Диагностика основана на данных анамнеза (контакт с патогенными факторами окружающей среды), клинических проявлениях, данных рентгенографии и результатах функциональных исследований лёгких. При постановке диагноза учитывают • Повторяющиеся эпизоды пневмонита, а также фиброз лёгкого • Появление симптомов через 4–8 ч после контакта с Аг и ремиссия при элиминации • Типичную рентгенологическую картину • Функциональные исследования лёгких — преобладает рестриктивный или смешанный тип нарушений.
Дифференциальная диагностика • Острый ГП •• Острая бактериальная пневмония •• Грипп и аденовирусная инфекция •• Микоплазменная инфекция •• Пневмоцистная пневмония •• Грибковые поражения лёгких •• «Силосное лёгкое» • Хронический ГП •• Туберкулёз •• Идиопатический лёгочный фиброз •• Саркоидоз •• Пневмокониоз •• Склеродермия •• СКВ •• Эозинофильная гранулёма •• Карциноматозный лимфангиит •• Грибковые поражения лёгких •• Пневмоцистная пневмония •• Гемосидероз •• Опухоли и их метастазы.
Лечение • Прекращение воздействия аллергена • Острая форма (тяжёлое течение) •• ГК — преднизолон 60 мг/сут или его аналоги в эквивалентных дозах в течение 1–2 нед с последующим постепенным снижением дозы в течение 2 нед до 20 мг/сут, а затем — на 2,5 мг/нед вплоть до отмены •• Оксигенотерапия, бронхолитические, жаропонижающие, противокашлевые средства — при необходимости •• Антибиотики — только при присоединении инфекции • Хроническая форма — лечение ГК продолжают в случае положительной клинической и рентгенологической динамики.
Осложнения • Прогрессирующий интерстициальный фиброз • Хроническое лёгочное сердце.
Прогноз хороший при остром ГП и своевременной элиминации и эффективном лечении начальных стадий заболевания.
Профилактика • Борьба с запылённостью на рабочем месте • Использование защитных масок • Очистка систем вентиляции, кондиционеров и рабочих помещений.
Синонимы • Экзогенный аллергический альвеолит • Аллергический интерстициальный пневмонит
Сокращения • ГП — гиперчувствительный пневмонит.
МКБ-10 • J67 Гиперсенситивный пневмонит, вызванный органической пылью.
Примечания
• Остаточный объём (ОО) — объём воздуха, остающийся в лёгких после максимально усиленного выдоха.
• Средняя объёмная скорость (СОС25–75%) — скорость потока форсированного выдоха в его середине (т.е. между 25 и 75% ФЖЕЛ). СОС25–75% прежде всего отражает состояние мелких дыхательных путей, что более информативно, чем ОФВ1 при выявлении ранних обструктивных нарушений, и не зависит от усилия.
• Объём форсированного выдоха за первую секунду (ОФВ1) — объём воздуха, изгоняемый с максимальным усилием из лёгких в течение первой секунды выдоха после глубокого вдоха. ОФВ1 прежде всего отражает состояние крупных дыхательных путей и часто выражается в процентах от ЖЕЛ (нормальное значение ОФВ1 = 75% ЖЕЛ).
• ОФВ1/ФЖЕЛ — отношение ОФВ1 к ФЖЕЛ (индекс Тиффно), выраженное в процентах (в норме больше или равно 70%). Значение ОФВ1/ФЖЕЛ, прямо пропорциональное силе выдоха, важно для выявления обструктивных нарушений, но также помогает в диагностике рестриктивных расстройств. Снижение только ОФВ1 (ОФВ1/ФЖЕЛ <70%) свидетельствует об обструкции; снижение обоих показателей указывает на рестриктивную патологию.
• Растяжимость лёгких (C) определяют по наклону кривой «давление–объём» (P–V) над уровнем дыхательного объёма: C = V/P (в норме 200 мл/см вод.ст.).
Код вставки на сайт
Пневмонит гиперчувствительный пневмонит
Гиперчувствительный пневмонит (ГП) — диффузное интерстициальное гранулематозное воспалительное заболевание лёгких, обусловленное аллергической реакцией после повторных ингаляций пыли, содержащей белки животного и растительного происхождения или (реже) неорганические соединения. Статистические данные. У 1–8% фермеров и 6–15% лиц, разводящих птиц.
Этиология. Основной этиологический фактор — микроорганизмы либо чужеродные белки (как растительного, так и животного происхождения), а также более простые химические вещества, вдыхаемые в больших количествах • Лёгкое фермера: споры термофильных актиномицетов (Micropolyspora faeni, Thermoactinomyces vulgaris). Источник — заплесневелое сено • Лёгкое птицевода (работники птицефабрик, голубеводы, любители волнистых попугайчиков): Аг перьев, белки помёта попугаев, голубей, кур • Лёгкое рабочих, обрабатывающих грибы: споры термофильных актиномицетов (Micropolyspora faeni, Thermoactinomyces vulgaris). Источник — перепревший грибной компост • Лёгкое рабочего, обрабатывающего солод: споры Aspergillus clavatus. Источник — заплесневелый ячмень, солод • Болезнь работника зернохранилища: Аг зернового долгоносика. Источник — заражённая долгоносиком мука • Багассоз: термофильные актиномицеты. Источник — остатки сахарного тростника • Лёгкое сыровара: Penicillum casei. Источник — заплесневелый сыр • Болезнь от вдыхания порошка гипофиза (питуитриновой пудры): белок бычьей и свиной сыворотки, гипофизарные Аг. Источник — препарат гипофиза для назального применения • Пневмонит работников химической промышленности: изоцианаты, фталевый ангидрид, винилхлорид. Источники — производство пенополиуретана, работа с каучуком, изоляционными материалами, упаковка продуктов • Заболевание, связанное с использованием увлажнителя (кондиционера): термофильные актиномицеты. Источники: увлажнители или кондиционеры.
Патогенез. Длительный контакт с компонентами пыли приводит к образованию преципитирующих АТ и формированию иммунных комплексов, а также активации альвеолярных макрофагов и Т-лимфоцитов — эффекторов ГЗТ. Формирование иммунных комплексов на уровне альвеолярно-капиллярной мембраны, а также высвобождение ферментов альвеолярными макрофагами и лимфокинов Т-клетками сопровождается инфильтрацией интерстиция лимфоцитами и плазматическими клетками с образованием гранулёмы и нарушением процессов диффузии. В зависимости от интенсивности и продолжительности контакта с Аг, а также реактивности организма процесс может протекать в виде острого, подострого и хронического пневмонита, приводя в случае несвоевременного выявления и терапии к развитию фиброза лёгкого с прогрессирующей дыхательной недостаточностью и формированию лёгочного сердца.
Факторы риска • Длительный контакт с пылью • Размер частиц менее 5 мкм в диаметре (более крупные частицы до альвеол не проникают).
Клинические проявления • Острый ГП обычно развивается у сенсибилизированных лиц через 4–8 ч от момента повторного воздействия Аг и может напоминать острую пневмонию. Характерные симптомы: •• Лихорадка до 40 °C •• Кашель, иногда с кровохарканьем •• Одышка •• Недомогание, тошнота, рвота •• Ломота во всём теле •• Мелко- и среднепузырчатые инспираторные хрипы • Хронический ГП — длительный, медленно прогрессирующий процесс без выраженных обострений. Характерные жалобы: •• Постоянный кашель •• Одышка при незначительной нагрузке •• Анорексия и похудание •• Слабость и плохое самочувствие • При объективном исследовании •• Прогрессирующая дыхательная недостаточность (гипоксия и цианоз) •• Пальцы в виде «барабанных палочек» •• Крепитирующие хрипы, при развитии фиброза — влажные трескучие хрипы («треск целлофана») •• Хроническое лёгочное сердце.
Лабораторные исследования • При острых формах — лейкоцитоз с преобладанием нейтрофилов • Неспецифическое повышение уровня иммуноглобулинов и СОЭ • Бактериологическое исследование крови и мокроты — отсутствие роста специфических возбудителей • Наличие преципитирующих АТ в сыворотке. Следует учитывать, что у 40–50% лиц без признаков заболевания, но имевших длительный контакт с патогенными факторами окружающей среды, этот тест ложноположителен.
Специальные исследования
• Рентгенологическое исследование •• При остром ГП изменения в лёгких выявляют в 30–49% случаев (часто изменчива) ••• Диффузная интерстициальная инфильтрация с затемнением базальных отделов ••• Нежные округлые тени размером от 1–3 мм и более ••• Усиление и деформация лёгочного рисунка ••• Пневмофиброз •• При хроническом ГП ••• Усиление лёгочного рисунка, двусторонние пятнисто-очаговые или узелковые инфильтраты ••• При прогрессировании болезни — диссеминация процесса ••• Прикорневая лимфаденопатия, плевральный выпот или пневмоторакс не характерны ••• В 40–50% случаев в верхних долях превалируют округлые тени и бронхоэктазы.
• ФВД — преобладает рестриктивный или смешанный тип нарушений •• Уменьшение жизненной ёмкости лёгких •• Объём форсированного выдоха за первую секунду (ОФВ1), форсированная жизненная ёмкость лёгких (ФЖЕЛ) и индекс Тиффно на начальных стадиях могут быть нормальными, но затем с развитием хронической обструкции дыхательных путей уменьшаются •• Средняя объёмная скорость (СОС25–75%) и остаточный объём (ОО) обычно уменьшены •• Растяжимость лёгких уменьшена.
• Бронхоальвеолярный лаваж (редко). Характерные изменения: •• Острая форма: нейтрофилы и лимфоциты •• Хроническая форма: высокое содержание лимфоцитов (60%), в основном Т-клетки типа CD8+ (в отличие от саркоидоза, при котором большинство Т-клеток типа CD4+).
• Биопсия лёгкого (редко). Характерные изменения: •• Острый ГП ••• Инфильтрация стенок альвеол нейтрофилами, плазматическими клетками, лимфоцитами, макрофагами ••• Отёк межальвеолярных перегородок, в полости альвеол — экссудат ••• Альвеолярные капилляры с фибриновыми и тромбоцитарными тромбами, но без признаков васкулита •• Хронический ГП ••• Альвеолит и интерстициальное воспаление (присутствуют плазматические клетки и гистиоциты), формирование гранулём ••• Локальное гранулематозное воспаление бронхиол ••• Интерстициальный фиброз, в тяжёлых случаях образование «сотового лёгкого».
• Провокационный ингаляционный тест с предполагаемыми аллергенами проводят прежде всего в исследовательских целях в специализированных отделениях.
Диагностика основана на данных анамнеза (контакт с патогенными факторами окружающей среды), клинических проявлениях, данных рентгенографии и результатах функциональных исследований лёгких. При постановке диагноза учитывают • Повторяющиеся эпизоды пневмонита, а также фиброз лёгкого • Появление симптомов через 4–8 ч после контакта с Аг и ремиссия при элиминации • Типичную рентгенологическую картину • Функциональные исследования лёгких — преобладает рестриктивный или смешанный тип нарушений.
Дифференциальная диагностика • Острый ГП •• Острая бактериальная пневмония •• Грипп и аденовирусная инфекция •• Микоплазменная инфекция •• Пневмоцистная пневмония •• Грибковые поражения лёгких •• «Силосное лёгкое» • Хронический ГП •• Туберкулёз •• Идиопатический лёгочный фиброз •• Саркоидоз •• Пневмокониоз •• Склеродермия •• СКВ •• Эозинофильная гранулёма •• Карциноматозный лимфангиит •• Грибковые поражения лёгких •• Пневмоцистная пневмония •• Гемосидероз •• Опухоли и их метастазы.
Лечение • Прекращение воздействия аллергена • Острая форма (тяжёлое течение) •• ГК — преднизолон 60 мг/сут или его аналоги в эквивалентных дозах в течение 1–2 нед с последующим постепенным снижением дозы в течение 2 нед до 20 мг/сут, а затем — на 2,5 мг/нед вплоть до отмены •• Оксигенотерапия, бронхолитические, жаропонижающие, противокашлевые средства — при необходимости •• Антибиотики — только при присоединении инфекции • Хроническая форма — лечение ГК продолжают в случае положительной клинической и рентгенологической динамики.
Осложнения • Прогрессирующий интерстициальный фиброз • Хроническое лёгочное сердце.
Прогноз хороший при остром ГП и своевременной элиминации и эффективном лечении начальных стадий заболевания.
Профилактика • Борьба с запылённостью на рабочем месте • Использование защитных масок • Очистка систем вентиляции, кондиционеров и рабочих помещений.
Синонимы • Экзогенный аллергический альвеолит • Аллергический интерстициальный пневмонит
Сокращения • ГП — гиперчувствительный пневмонит.
МКБ-10 • J67 Гиперсенситивный пневмонит, вызванный органической пылью.
Примечания
• Остаточный объём (ОО) — объём воздуха, остающийся в лёгких после максимально усиленного выдоха.
• Средняя объёмная скорость (СОС25–75%) — скорость потока форсированного выдоха в его середине (т.е. между 25 и 75% ФЖЕЛ). СОС25–75% прежде всего отражает состояние мелких дыхательных путей, что более информативно, чем ОФВ1 при выявлении ранних обструктивных нарушений, и не зависит от усилия.
• Объём форсированного выдоха за первую секунду (ОФВ1) — объём воздуха, изгоняемый с максимальным усилием из лёгких в течение первой секунды выдоха после глубокого вдоха. ОФВ1 прежде всего отражает состояние крупных дыхательных путей и часто выражается в процентах от ЖЕЛ (нормальное значение ОФВ1 = 75% ЖЕЛ).
• ОФВ1/ФЖЕЛ — отношение ОФВ1 к ФЖЕЛ (индекс Тиффно), выраженное в процентах (в норме больше или равно 70%). Значение ОФВ1/ФЖЕЛ, прямо пропорциональное силе выдоха, важно для выявления обструктивных нарушений, но также помогает в диагностике рестриктивных расстройств. Снижение только ОФВ1 (ОФВ1/ФЖЕЛ <70%) свидетельствует об обструкции; снижение обоих показателей указывает на рестриктивную патологию.
• Растяжимость лёгких (C) определяют по наклону кривой «давление–объём» (P–V) над уровнем дыхательного объёма: C = V/P (в норме 200 мл/см вод.ст.).
Аллергический пневмонит
Аллергический пневмонит является одной из разновидностей воспаления внутри и вокруг мельчайших воздухоносных мешочков (альвеол) и мельчайших участков дыхательных путей (бронхиол) легких, вызванного реакцией гиперчувствительности на вдыхаемую органическую пыль или реже на химические вещества.
Пыль, содержащая микроорганизмы или белки, может вызывать реакцию гиперчувствительности в легких.
У больных может развиться лихорадка, кашель, озноб и одышка в течение 4-8 часов после повторного воздействия веществ, к которым у них имеется повышенная чувствительность.
Для определения наличия проблем с легкими врачи используют компьютерную томографию (КТ) органов грудной клетки и исследование функции внешнего дыхания.
Вещество, вызывающее реакцию, можно иногда установить с помощью анализа крови. При поражении человека на работе специалист по промышленной гигиене может провести анализ рабочего места для определения провоцирующих веществ.
Лицам, работающим с веществами, способными вызвать реакции гиперчувствительности, во время работы следует использовать защитные средства, такие, как маски.
Лица, которые могут избежать повторного воздействия, обычно выздоравливают, но иногда им для уменьшения воспалительной реакции со стороны легких необходимо принимать кортикостероидные препараты.
При этих реакциях гиперчувствительности Общие сведения об аллергических реакциях Аллергические реакции (реакции гиперчувствительности) представляют собой неадекватный ответ иммунной системы на обычно безвредные вещества. Обычно при аллергии начинают слезиться и чесаться. Прочитайте дополнительные сведенияПричины аллергического пневмонита
Реакции гиперчувствительности в легких могут вызывать большинство веществ. Органическая пыль, которая содержит микроорганизмы или белки, и химические вещества, такие, как изоцианаты, может вызывать развитие аллергического пневмонита. «Легкое фермера», заболевание, которое является следствием многократного вдыхания теплолюбивых (термофильных) бактерий заплесневелого сена, является хорошо известным примером аллергического пневмонита. Еще одним примером является «легкое любителей птиц». Это заболевание возникает при вдыхании пыли из перьев птиц (либо живых птиц, либо из подушек и одеял).
Знаете ли Вы, что.
Реакции гиперчувствительности развиваются только у небольшого количества людей, которые вдыхают эти распространенные виды пыли. В большинстве случаев человек должен неоднократно в течение достаточно длительного времени подвергаться воздействию пыли до появления повышенной чувствительности и в результате — развития заболевания.
Поражение легких возникает в результате повреждения лимфоцитами, разновидностью лейкоцитов Лейкоциты Иммунная система защищает организм от чужеродных или опасных элементов. Такие элементы включают: микроорганизмы (обычно называемые микробами, такие, как бактерии, вирусы и грибки); паразиты. Прочитайте дополнительные сведения . Первое воздействие пыли сенсибилизирует лимфоциты. Затем некоторые лимфоциты способствуют выработке антител, которые играют определенную роль в повреждении тканей. После последующего воздействия антигена другие лимфоциты принимают непосредственное участие в воспалении. Повторное воздействие антигена приводит к хронической воспалительной реакции, которая проявляется увеличением количества лейкоцитов в стенках альвеол и мелких дыхательных путях. Это накопление лейкоцитов постепенно приводит к появлению симптомов и развитию заболевания.
Симптомы аллергического пневмонита
В зависимости от скорости развития симптомов, аллергический пневмонит может быть:
При остром аллергическом пневмоните у людей развивается повышение температуры, кашель, озноб и одышка, как правило, спустя 4–8 часов после повторного воздействия значительного количества вызывающей болезнь органической пыли. Свистящие хрипы отмечаются редко. Если у человека отсутствуют дальнейшие контакты с антигеном, выраженность симптомов обычно уменьшается в течение одного–двух дней, но до полного выздоровления может пройти несколько недель.
Подострый аллергический пневмонит развивается медленнее. Кашель и одышка могут возникать и усугубляться на протяжении нескольких дней или недель. Иногда симптомы могут быть такими тяжелыми, что возникает необходимость в госпитализации человека.
При хроническом аллергическом пневмоните люди повторно контактируют с антигеном в течение месяцев или лет, и это может приводить к рубцовым изменениям в легких (фиброзу). Одышка при физической нагрузке, кашель и утомляемость могут постепенно прогрессировать в течение нескольких месяцев или лет. В конце концов заболевание может привести к развитию дыхательной недостаточности Дыхательная недостаточность Дыхательная недостаточность — это состояние, при котором уровень кислорода в крови становится опасно низким или уровень углекислого газа в крови — опасно высоким. К дыхательной недостаточности. Прочитайте дополнительные сведения . Пожилые люди могут быть более склонны к хроническому, постепенному ухудшению течения заболевания, поскольку они подвергались воздействию антигена в течение длительного периода времени.
Диагностика аллергического пневмонита
Компьютерная томография органов грудной клетки
Диагноз аллергического пневмонита основывается частично на симптомах, клинических особенностях, идентификации (по возможности) вида пыли или других веществ, являющихся причиной проблемы по словам человека, анализе рабочего места, проведенном специалистом по промышленной гигиене, наличии антител в анализе крови, или на сочетании вышеуказанных факторов.
Врачи могут предположить этот диагноз на основании результатов рентгенологического исследования органов грудной клетки. Тем не менее, для подтверждения диагноза обычно требуется провести компьютерную томографию (КТ) органов грудной клетки. Результаты исследования функции внешнего дыхания Исследование функции внешнего дыхания (ИФВД) Исследование функции внешнего дыхания определяет способность легких удерживать воздух, перемещать воздух внутрь и наружу и поглощать кислород. Исследование функции внешнего дыхания лучше подходит. Прочитайте дополнительные сведенияВ неясных случаях, особенно при подозрении на инфекцию, врачи могут взять небольшие кусочки ткани легкого для исследования под микроскопом (биопсия легких). Для получения образца ткани, а также для исследования поверхности легких и плевральной полости может потребоваться введение через стенку грудной клетки зонда с оптической системой ( торакоскопия Торакоскопия Торакоскопия — это визуальный осмотр поверхности легких и плевральной полости с помощью трубки для проведения осмотра (торакоскопа). Торакоскопия используется для осмотра легких и пространства. Прочитайте дополнительные сведения ) или проведение операции, при которой грудная стенка разрезается ( торакотомия Торакотомия Торакотомия — хирургическая операция, во время которой вскрывают грудную клетку для осмотра внутренних органов грудной клетки, взятия образцов тканей для проведения лабораторного исследования. Прочитайте дополнительные сведения ). Иногда вместо (или в дополнение к) взятия ткани с помощью острого инструмента врач, выполняющий бронхоскопию, может промыть легкие жидкостью (бронхоальвеолярный лаваж) для извлечения клеток для исследования.
В редких случаях необходимо проведение анализов крови для определения вещества, вызывающего гиперчувствительность, или для исключения других возможных причин.
Профилактика аллергического пневмонита
Лучшей профилактикой является устранение воздействия антигена, но это может быть неосуществимо (например, если человек не может сменить работу). Устранение или уменьшение количества пыли, ношение защитных масок и использование хорошей системы вентиляции может помочь в профилактике как сенсибилизации, так и повторных приступов заболевания. Однако даже лучшие профилактические меры могут быть неэффективными.
Лечение аллергического пневмонита
Кортикостероиды или иммунодепрессанты
Лица с острым эпизодом аллергического пневмонита обычно выздоравливают при устранении дальнейшего контакта с веществом. При тяжелом эпизоде кортикостероиды, например, преднизон, уменьшают симптомы и могут способствовать уменьшению тяжелого воспаления. Длительные или повторяющиеся эпизоды могут привести к необратимости заболевания и прогрессирующей инвалидизации и требуют длительного подавления иммунитета.
ПРИМЕЧАНИЕ: Это — пользовательская версия ВРАЧИ: Нажмите здесь, чтобы перейти к профессиональной версии
Авторское право © 2022 Merck & Co., Inc., Rahway, NJ, США и ее аффилированные лица. Все права сохранены.
Читайте также:
