Анатомия лобной пазухи
Добавил пользователь Владимир З. Обновлено: 23.11.2025
Околоносовые пазухи представляют собой воздухоносные полости, располагающиеся вокруг полости носа и сообщающиеся с ней через выводные отверстия или протоки.
Имеется четыре пары пазух:
верхнечелюстные,
лобные,
решетчатый лабиринт и
клиновидные (основные).
В клинике различают передние пазухи (верхнечелюстные, лобные и передние и средние решетчатые) и задние (задние ячейки решетчатой кости и клиновидные). Такое подразделение удобно с позиции диагностики, так как передние пазухи открываются в средний носовой ход, а задние - в верхний носовой ход.
Верхнечелюстная пазуха, (она же гайморова) расположенная в теле верхнечелюстной кости, представляет собой пирамиду неправильной формы размером от 15 до20 см3.
Передняя или лицевая стенка пазухи имеет углубление, называемое собачьей ямкой. В этой области обычно производится вскрытие пазухи.
Медиальная стенка является латеральной стенкой полости носа и содержит в области среднего носового хода естественное выводное отверстие. Оно расположено почти под крышей пазухи, что затрудняет отток содержимого и способствует развитию застойных воспалительных процессов.
Верхняя стенка пазухи представляет одновременно нижнюю стенку глазницы. Она достаточно тонкая, часто имеет костные незаращения, что способствует развитию внутриглазничных осложнений.
Нижняя стенка образована альвеолярным отростком верхней челюсти и обычно занимает пространство от второго премоляра до второго моляра. Низкое положение дна пазухи способствует близкому расположению корней зубов к полости пазухи. В некоторых случаях верхушки корней зубов выстоят в просвет пазухи и лишь прикрыты слизистой оболочкой, что может содействовать развитию одонтогенного инфицирования пазухи, попаданию пломбировочного материала в полость пазухи или образованию стойкого перфоративного отверстия при удалении зуба.
Задняя стена пазухи толстая, граничит с клетками решетчатого лабиринта и клиновидной пазухой.
Лобная пазуха находится в толще лобной кости и имеет четыре стенки:
нижнюю глазничную - самую тонкую,
переднюю - самую толстую до 5-8 мм,
заднюю, отделяющую пазуху от передней черепной ямки, и
внутреннюю - перегородку.
Лобная пазуха сообщается с полостью носа при помощи тонкого извилистого канала, который открывается в передний отдел среднего носового хода. Величина пазухи колеблется от 3 до 5 см3, а в 10-15% случаев она может отсутствовать.
Решетчатый лабиринт расположен между глазницей и полостью носа и состоит из 5-20 воздухоносных ячеек, каждая из которых имеет свои выводные отверстия в полость носа. Различают три группы ячеек: передние и средние, открывающиеся в средний носовой ход, и задние, открывающиеся в верхний носовой ход.
Клиновидная, или основная, пазуха расположена в теле клиновидной кости, разделена перегородкой на две половины, имеющие самостоятельный выход в область верхнего носового хода. Вблизи клиновидной пазухи расположены кавернозный синус, сонная артерия, перекрест зрительных нервов, гипофиз. Вследствие этого воспалительный процесс клиновидной пазухи представляет серьезную опасность.
Кровоснабжение околоносовых пазух происходит за счет ветвей наружной и внутренней сонной артерии. Вены верхнечелюстной пазухи образуют многочисленные анастомозы с венами глазницы, носа, синусами твердой мозговой оболочки.
Лимфатические сосуды тесно связаны с сосудами полости носа, сосудами зубов, заглоточными и глубокими шейными лимфоузлами.
Иннервация осуществляется первой и второй ветвями тройничного нерва.
Особенности строения околоносовых пазух в детском возрасте
У новорожденных имеется только две пазухи: верхнечелюстная пазуха и решетчатый лабиринт.
Верхнечелюстная пазуха представляет собой складку слизистой длиной около 1 см у внутреннего угла орбиты, латеральнее, под нижней стенкой глазницы, расположены два ряда зачатков молочных и постоянных зубов. К концу первого года жизни пазуха приобретает округлую форму. К 6-7 годам зубы постепенно занимают свое положение, и пазуха становится многогранной. В раннем детском возрасте ближе всего к пазухе расположен клык, в 6 лет располагаются два премоляра и моляр. К 12 годам объем пазухи увеличивается и топография приближается к норме взрослого человека.
Клетки решетчатого лабиринта у новорожденных находятся в зачаточном состоянии и полностью развиваются к 14-16 годам.
Лобные и клиновидные пазухи у новорожденных отсутствуют и начинают формироваться с 3-4 летнего возраста. Лобные пазухи развиваются из передних клеток решетчатого лабиринта и к 6 летнему возрасту имеют объем около 1 см3. Клиновидные пазухи формируются из клеток решетчатого лабиринта, расположенных в теле клиновидной кости. Окончательное развитие пазух заканчивается к 25-30 годам.
Анатомия и физиология носа

Наружный нос имеет форму трехгранной пирамиды. Костная часть представлена носовыми костями. Соединяясь по средней линии, они образуют спинку носа. Кнаружи от носовых костей расположены лобные отростки верхней челюсти, которые являются боковыми поверхностями наружного носа. Носовые кости, лобные отростки верхней челюсти, верхняя челюсть образуют грушевидное отверстие, к краям которого примыкают хрящевые образования. Под край носовых костей в форме крыши подходят верхние латеральные (треугольные) хрящи. В боковом направлении они переходят в фиброзную ткань, достигающую краев грушевидного отверстия. К треугольным хрящам прилежат нижние латеральные (крыльные) хрящи, которые располагаются в кончике носа и носовых крыльях. Каждый из хрящей образует две ножки: более крупная - латеральная располагается в крыле носа, более узкая - медиальная идет в кожной перегородке. Между треугольными и крыльными хрящами располагается четырехугольный хрящ перегородки носа. Наружный нос покрыт кожей. Кожа покрывает не только наружную, но и внутреннюю часть поверхности крыльев, перегородки носа и его дно.

Полость носа осуществляет связь организма с воздушной средой. Она представляет собой различного диаметра воздушный канал, окруженный костями лицевого и мозгового отделов черепа, спереди сообщающийся через носовые отверстия с внешней средой, сзади с носоглоткой. Боковая стенка полости носа представлена: носовой костью, верхней челюстью, слезной костью, решетчатой костью, небной костью, нижней носовой раковиной, крыловидным отростком основной кости. Особенностью этой стенки является наличие на ней носовых раковин: нижней, средней, верхней, которые отграничивают соответствующие носовые ходы. В нижнем носовом ходе открывается носослезный канал. Под средний носовой ход открывается соустье верхнечелюстной пазухи, передние и средние клетки решетчатой кости. В верхний носовой ход открываются задние клетки решетчатой кости и клиновидная пазуха. Дно полости носа образовано горизонтальными отростками верхней челюсти и небной кости, которые одновременно служат основой твердого неба.

Перегородка носа делит полость носа на две части. Она состоит из костной и хрящевой частей. Костная часть образована перпендикулярной пластинкой решетчатой кости и сошником. Перпендикулярная пластинка сверху спереди примыкает к лобной кости и к внутренней поверхности носовых костей, а сзади и снизу соединяется с верхним краем сошника. Между передним краем перпендикулярной пластинки и передней трети сошника входит четырехугольный хрящ. Верхний край хряща образует передний отдел спинки носа. К переднему краю четырехугольного хряща примыкает медиальная ножка большого крыльного хряща. Кожно-хрящевой, передний, отдел перегородки носа в отличие от костного является подвижным.
Полость носа выполняет следующие функции: обонятельную, дыхательную, защитную, речевую.
Обонятельная область представлена обонятельными, базальными и поддерживающими клетками. Она занимает пространство выше середины средней носовой раковины. В обонятельной области имеются трубчато-альвеолярные железы, вырабатывающие серозный секрет, который смачивает обонятельные волоски и способствует восприятию обонятельного раздражения.
Дыхательная область выстлана слизистой оболочкой, продолжающейся в околоносовые пазухи. Слизистая оболочка снабжена кавернозной тканью и слизистыми железами, расположенными преимущественно в нижней носовой раковине. Выстлана слизистая оболочка мерцательным эпителием, среди клеток которого расположены секреторные клетки. При дыхании носом главная масса воздуха направляется дугообразно вверх, оттуда спускается вниз к хоанам. При выдыхании воздух устремляется в обратном направлении по тому же пути, несколько заходя в обонятельную область Носовое дыхание, является нормальным физиологическим актом, и нарушение его вызывает различные патологические состояния всего организма. Понижается газообмен в легких, следовательно, уменьшается щелочной резерв крови. Нарушается кислородный обмен, вызывающий уменьшение количества гемоглобина и эритроцитов. Выключение носового дыхания и затруднение его отражается на работе сердца и артериальном давлении.
К защитным носовым рефлексам следует отнести: чихание, возникающее в результате раздражения окончаний тройничного нерва, грубыми взвешенными частицами, содержащимися в воздухе; слезотечение возникающее при вдыхании вредных примесей воздуха. Слеза стекает не только с конъюнктивального мешка наружу, но и через носослезный канал в полость носа, смывая тем самым вредное вещество.
Носовую полость и придаточные пазухи можно сравнить с физическими резонаторами. Звук, произведенный голосовыми связками–сложный звук. Этот звук достигает носовой полости и усиливается. Нос считается органом, участвующим в образовании тембра и окраски звука. Участие носа в речевой функции приобретает ведущее значение в произношении носовых согласных. Во время фонации мягкое небо свисает, но со стороны хоан становится открытым, в результате чего звуки речи получают носовой механизм.
Компьютерная томография анатомии носа и придаточных пазух
В связи с тем, что практически вся визуализация при хронических синуситах осуществляется при помощи КТ, настоящая статья посвящена КТ анатомии, а так же обсуждаются наиболее частые анатомические варианты. До ознакомления со статьей читателям рекомендуется повторить анатомию данной области.
АНАТОМИЯ
Понимание анатомии полости носа и ее аномалий является важным, так как оно ведет к пониманию рентгенологической анатомии, необходимой для планирования хирургического доступа.
Полость носа
Полость носа согревает и увлажняет вдыхаемый воздух и отфильтровывает мелкие инородные тела, которые в нем содержатся, прежде чем воздух попадет в легкие. Выстилает ее тот же самый цилиндрический эпителий, который выстилает воздухоносные пути легких — трахею и бронхи. Этот эпителий секретирует слизь, покрывающую стенки полости носа, которая участвует в процессе мукоцилиарного клиренса, при котором мелкие инородные частицы выводятся наружу.
В полость носа также дренируются придаточные пазухи, кроме того, она обеспечивает поступление воздуха к обонятельному эпителию в обонятельных карманах, участвуя тем самым в акте распознавания запахов. Обонятельные карманы (пазухи) расположены в верхних носовых ходях, медиально от парных верхних носовых раковин. Полость носа окружена воздухоносными, выстланными слизистой оболочкой полостями, называемыми придаточными пазухами носа, которые включают в себя парные верхнечелюстные (гайморовы), лобные, решетчатые и клиновидные пазухи. Пазухи напрямую сообщаются с полостью носа, в которую выводится их секрет, выделяемый слизистой оболочкой стенок пазух. Реснички эпителия мерцают по направлению к естественным дренажным отверстиям, обеспечивая выведение секрета из полостей пазух в нос. Дном полости носа является твердое небо. На латеральных стенках имеются спиралевидные складки слизистой, покрывающие носовые раковины и дренирующие придаточные пазухи отверстия. Искривленные поверхности носовых раковин увеличивают контакт вдыхаемого
воздуха со слизистой. Крыша полости носа состоит из решетчатой пластинки в центре и по бокам – нижних стенок ячеек решетчатой кости. Посередине полость носа разделена на две половины перегородкой, которая частично – костная и частично – хрящевая, и выстлана, в отличие от латеральных стенок, плоским эпителием.
Придаточные пазухи
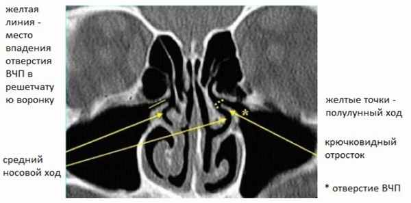
Парные лобные, верхнечелюстные, решетчатые и клиновидные пазухи окружают полость носа. Решетчатые пазухи формируют крышу, а верхнечелюстные – латеральные стенки. Лобные располагаются спереди и сверху, а клиновидные – сзади и сверху от решетчатых. Основные дренирующие отверстия — передние остиомеатальные комплексы (ОМК) (см. Рис.1), которые дренируют лобные и верхнечелюстные пазухи и передние и средние трети решетчатых.

Рисунок 1. КТ полости носа. Нормальный передний остиомеатальный комплекс Хорошо видна анатомия решетчатой воронки и крючковидного отростка.
Крючковидный отросток (КО) и латеральная стенка полости носа формируют решетчатую воронку (РВ). Вышеуказанные пазухи дренируются в РВ через разные отверстия. Отверстие верхнечелюстной пазухи (ВЧП) и карман (или проток) лобной пазухи (ЛП) (см. Рис. 2) открываются в самую переднюю часть ОМК, хорошо и постоянно видны на КТ сканах.

Рисунок 2. КТ полости носа. Лобная пазуха открывается в средний носовой ход сразу латерально от передней части средней носовой раковины. Самые передние решетчатые ячейки называются «агаровые ячейки носа».
Другие отверстия формируются из передних и средних групп решетчатых ячеек и тоже открываются в РВ, но не видны даже на 2 мм фронтальных КТ. Когда в процесс вовлечены лобные, верхнечелюстные пазухи, а также передние и средние ячейки решетчатых лабиринтов, такой паттерн называется инфундибулярным паттерном. Данный паттерн наиболее часто встречается при хроническом синусите.
Задний ОМК (Рис. 3) расположен в сфеноэтмоидальном кармане, дренирует задние решетчатые ячейки и клиновидные пазухи.

Рисунок 3. КТ полости носа. Сошник разделяет два отверстия клиновидных пазух, которые расположены в сфеноэтмоидальном кармане. Сошник пневматизирован (норма).
Сошник разделяет два отверстия клиновидных пазух. При хроническом синусите этот комплекс вовлекается реже, потому что в нем более редко встречаются анатомические варианты. Сагиттальная реконструкция ОМК, демонстрирующая искривленный край полулунного хода с нижней складкой слизистой, покрывающей крючковидный отросток показана на рисунке 4. Также здесь виден лобный карман.

Рисунок 4. КТ полости носа. Реконструированное сагиттальное изображение ОМК демонстрирует искривленный край полулунного хода с нижней складкой слизистой, покрывающей крючковидный отросток. Виден также лобный карман/проток.
Носовая перегородка
Передняя верхняя часть носовой перегородки состоит их хряща. Задняя верхняя ее часть состоит из перпендикулярной пластинки решетчатой кости, а нижняя часть состоит из сошника и носового гребня верхней челюсти и небных костей. Костная часть носовой перегородки часто пневматизирована. При раздутии пневматизированной части, она может нарушать ток воздуха в клиновидные отверстия (которые прилежат к обеим сторонам сошника на фронтальных КТ) в клиновиднорешетчатых карманах. Шипы и искривления носовой перегородки могут нарушать ток воздуха, особенно если компримируют слизистую носовых раковин или латеральной стенки полости носа. Грубые искривления носовой перегородки могут деформировать носовые раковины и совсем прекращать ток воздуха.
Латеральная стенка
Анатомия латеральной стенки носовой полости достаточно сложная и большинство анатомических аномалий встречается именно в ней. Обычно у человека имеется 3 носовых раковины: верхняя, средняя и нижняя. Иногда имеется 4-ая носовая раковина, самая верхняя. Пространства между носовыми раковинами вдоль их наружных краев и боковой стенкой носовой полости называются носовыми ходами. Нижняя носовая раковина прикрепляется к латеральной стенке полости носа и в нижний носовой ход открывается только носослезный проток. Бóльшая часть вдыхаемого воздуха проходит через средний, а не нижний носовой ход. Функционально средний носовой ход является наиболее важным, так как в него открываются ВЧП, ЛП и передние и средние ячейки решетчатых лабиринтов. Большинство анатомических вариантов встречаются в среднем носовом ходе и области носовой раковины. Задние ячейки решетчатых лабиринтов и клиновидные пазухи открываются в верхний носовой ход.
Крючковидный отросток
Крючковидный отросток (КО), который формирует переднюю часть ОМК является одной из самых важных костных структур. КО действует как воздушный клапан, предотвращая прямое попадание воздуха в ВЧП и обеспечивая нормальный мукоцилиарный клиренс. Простой аллергический или даже вирусный ринит, а также анатомический вариант КО может вести к сужению РВ, результатом которого является нарушение нормального дренажа придаточных пазух. Эта костная структура является центральной в функциональной эндоскопической хирургии придаточных пазух носа (FESS), так как это первая структура, которую при FESS идентифицируют и удаляют. КО начинается из латеральной стенки полости носа, иногда от нижней носовой раковины и выступает в область воздушного потока. Его верхний край прикрепляется к дну передних решетчатых ячеек и затем уменьшается в высоту по направлению к носоглотке, верхним свободным краем формируя полулунный ход, который открывается прямо в средний носовой ход.
Дно орбиты или медиальная стенка располагаются кнаружи от КО, а РВ лежит между ними,
открываясь непосредственно в ВЧП через ее отверстия в переднем, среднем и верхнем углу.
Несколько решетчатых ячеек, а также лобные пазухи тоже дренируются в РВ. Лобный карман, или проток открывается в переднюю решетчатую часть среднего носового хода.Увеличение так называемых холмовых, бугорковых клеток носа(«agger nasi cells»), наиболее впереди расположенных решетчатых ячеек, может вызывать сужение данного дренирующего канала. Таким образом, обе лобные и ВЧП, а также передние и среднеи решетчатые ячейки открываются в РВ.
Автор: Charles Lee, MD, Руководитель отделения диагностической радиологии Университета Кентукки.
Лобная пазуха
- Лобные пазухи (лат. sinus frontalis) — придаточные пазухи носа, расположенные в лобной кости сзади от её надбровных дуг. Нижние стенки лобных пазух являются верхними стенками глазниц, задние стенки отделяют пазухи от лобных долей головного мозга. Изнутри пазухи выстланы слизистой оболочкой. При рождении лобные пазухи отсутствуют, развиваются к 7-8 годам и достигают своих максимальных размеров после полового созревания. Чаще они несимметричны, костная перегородка между ними отклонена в ту или иную сторону от срединной линии. Встречаются дополнительные перегородки. Приблизительно у 5 % людей лобные пазухи отсутствуют.
Средние размеры лобных пазух составляют: высота — 28 мм, ширина — 24 мм, глубина — 20 мм, объём 6-7 мл.
Связанные понятия
Синосто́з (от др.-греч. σίν- — «с» и оστός — «кость») — вид непрерывного соединения костей посредством костной ткани. Термин принадлежит к Basle Nomina Anatomica. Костная ткань в синостозе образуется из мезенхимы при десмальном остеогенезе и из хряща при хондральной. Таким образом, во втором случае синостоз появляется по мере окостенения синхондроза.
Пеще́ристый си́нус (пеще́ристая па́зуха, также каверно́зный си́нус; лат. sinus cavernosus) — один из синусов твёрдой мозговой оболочки головного мозга. Пещеристый синус является парным и располагается на основании черепа по бокам от турецкого седла; играет важную роль в осуществлении венозного оттока от мозга и глазниц, а также в регуляции внутричерепного кровообращения.
Мета́физ — отдел трубчатой кости, прилегающий к эпифизарной пластинке. За счёт эпифизарной пластинки осуществляется рост кости в длину в детстве и юношеском возрасте; в процессе роста отмечается окостенение метафиза со стороны эпифиза. В 18—25 лет метафиз перестаёт расти и окостенение завершается с формированием целостной кости.
Упоминания в литературе
Лобные пазухи находятся в чешуе лобной кости. Конфигурация и размеры их могут быть разными. Нижняя стенка лобной пазухи является верхней стенкой глазницы.
Лобные пазухи (фронтальные) находятся в лобной кости. Лобные пазухи имеют четыре стенки: переднюю (лицевую), заднюю (мозговую), которая граничит с передней черепной ямкой (там находится лобная доля головного мозга), нижнюю (глазничную), большая часть которой является верхней стенкой глазницы, и медиальную (межпазушную) (см. рис. № 4 в приложении).
При изучении наружной стенки орбиты отмечают, что она граничит с височной черепной ямкой. Орбитальный отросток скуловой кости отделяет орбиту от гайморовой пазухи, а клиновидная кость внутренней стенки – содержимое орбиты от решетчатой пазухи. Тем обстоятельством, что верхняя стенка глазницы является одновременно нижней стенкой лобной пазухи , нижняя – верхней стенкой гайморовой пазухи, а внутренняя – боковой стенкой решетчатого лабиринта, объясняется сравнительно беспрепятственный и быстрый переход заболевания с придаточных пазух носа на содержимое орбиты и наоборот.
При изучении наружной стенки орбиты отмечают, что она граничит с височной черепной ямкой. Орбитальный отросток скуловой кости отделяет орбиту от гайморовой пазухи, а клиновидная кость внутренней стенки – содержимое орбиты от решетчатой пазухи. Тем обстоятельством, что верхняя стенка глазницы является одновременно нижней стенкой лобной пазухи , нижняя – верхней стенкой гайморовой пазухи, а внутренняя – боковой стенкой решетчатого лабиринта, объясняется сравнительно беспрепятственный и быстрый переход заболевания с придаточных пазух носа на содержимое орбиты, и наоборот.
Заболевание передних клеток решетчатого лабиринта протекает обычно одновременно с поражением гайморовой и лобной пазух , а задних – с воспалением основной пазухи.
Связанные понятия (продолжение)
Прямая мышца живота (лат. Musculus rectus abdominis) — парная плоская длинная лентовидной формы мышца, широкая вверху и суженная внизу, располагается сбоку от срединной линии. Обе прямые мышцы отделены друг от друга белой линией живота. Начинается на лобковом симфизе, направляется вверх и прикрепляется к передней поверхности мечевидного отростка и к наружной поверхности хрящей V—VII рёбер. Мышечные пучки прямой мышцы живота прерываются 3-4 горизонтальными сухожильными перемычками.
Жева́тельные мы́шцы (лат. Musculi masticatorii) — мышцы головы, которые обеспечивают процесс жевания.
Комиссу́ра (лат. commissura) — термин, используемый в основном в анатомии, чтобы определить — в общем смысле — связь между двумя органами, структурами или нервными центрами. В узком смысле это пучки нервных волокон, соединяющие элементы нервной системы, как правило, продольные нервные стволы, ганглии одного сегмента (или одноименные ганглии у моллюсков), парные (правую и левую) структуры головного мозга у позвоночных. Так, например, мозолистое тело — наиболее крупная комиссура, соединяющая правое.
Семеннóй канáтик (funiculus spermaticus) мягкий округлый тяж длиной 15—20 см, расположенный в паховом канале и простирающийся от глубокого пахового кольца до верхнего конца яичка.
Цемент (лат. — cementum) — специфическая костная ткань, покрывающая корень и шейку зуба человека, а также зубов других млекопитающих. Служит для плотного закрепления зуба в костной альвеоле. Цемент состоит на 68—70 % из неорганического компонента и 30—32 % из органических веществ.
Ше́йное не́рвное сплете́ние (лат. plexus cervicalis) — это нервное сплетение, парное образование, сформированное передними ветвями четырёх верхних шейных спинномозговых нервов, соединённых тремя дугообразными петлями. Располагается на переднелатеральной поверхности глубоких мышц шеи (мышца, поднимающая лопатку, медиальная лестничная мышца, ременная мышца шеи) на уровне четырёх верхних шейных позвонков. Спереди и сбоку оно прикрыто грудино-ключично-сосцевидной мышцей.
Фиброзная оболочка, или фиброзная капсула (лат. Tunica fibrosa) — соединительная оболочка, которая снаружи покрывает паренхиматозный орган.
Глазодви́гательные мы́шцы (лат. musculi oculomotorii) — мышцы, участвующие в поворотах глаз. Расположены внутри глазницы и крепятся к глазному яблоку. При их сокращении глазное яблоко поворачивается, направляя взгляд в соответствующую сторону.
Сегме́нт лёгкого (лёгочный сегмент, бронхолёгочный сегмент) — участок лёгкого, входящий в состав доли и вентилируемый постоянным сегментарным бронхом, снабжённый соответствующей ветвью лёгочной артерии (Kramer и Glass, 1932 г.). Бронх и артерия занимают центр сегмента. Отводящие от соответствующих сегментов кровь вены располагаются в соединительнотканных перегородках между лежащими рядом сегментами. По форме сегмент лёгкого напоминает неправильный усечённый конус, вершина которого обращена к корню.
Нисходя́щая ободо́чная кишка́ (лат. colon descendens) — третий отдел ободочной кишки (являющейся, в свою очередь, отделом толстой кишки), продолжение поперечной ободочной кишки. Дальнейшим продолжением нисходящей ободочной кишки является сигмовидная ободочная кишка.
Ресни́чный у́зел (также цилиа́рный га́нглий, лат. ganglion ciliare) — анатомическое образование, расположенное в толще жировой клетчатки глазницы. Представляет собой элемент периферической нервной системы.
Покрышка среднего мозга — это та часть среднего мозга, которая простирается от чёрного вещества до водопровода мозга на горизонтальном разрезе среднего мозга. Покрышка среднего мозга формирует нижнюю, базальную, или «подошвенную» часть среднего мозга, окружающую снизу и частично с боков водопровод мозга. Структуры, относимые к покрышке среднего мозга, включают в себя чёрное вещество, ретикулярную формацию среднего мозга, красное ядро, вентральную область покрышки, дорсальную область покрышки, околоводопроводное.
Серозная оболочка (лат. tunica serosa) — тонкая плотная соединительнотканная мембрана толщиной около 1 мм, выстилающая внутреннюю поверхность полостей тела человека и животных. К серозным оболочкам относятся брюшина, плевра, перикард и др. Покрыта однослойным плоским эпителием (мезотелием).
Ободо́чная кишка́ (лат. colon) — основной отдел толстой кишки, продолжение слепой кишки. Продолжением ободочной кишки является прямая кишка.
Барабанная полость (лат. Cavum tympani) — полость среднего уха у наземных позвоночных животных и у человека. Развивается из полости первой жаберной щели — брызгальца.
Парные задние соединительные артерии (левая и правая) — это артерии в основании головного мозга человека, составляющие одну из частей Виллизиева круга. Каждая из задних соединительных артерий соединяет три мозговые артерии на соответствующей стороне. Передней своей частью задняя соединительная артерия соединяется с соответствующей внутренней сонной артерией до её окончательного разделения на две артерии — переднюю и среднюю мозговые артерии. В то же время задней своей частью задняя соединительная.
Миотом (миомер, мышечная пластинка, мышечный сегмент; от др.-греч. myos — «мышца» и tome — «разрез, отрезок») — парный зачаток скелетной мускулатуры у зародышей хордовых животных (в том числе и человека).
Остео́н или Га́версова система — структурная единица компактного вещества пластинчатой кости, обеспечивающая её прочность. Между соседними остеонами имеются так называемые вставочные, или промежуточные, костные пластинки. Обычно остеон состоит из 5—20 костных пластинок. Диаметр остеона 0,3—0,4 мм. Компактная костная ткань представлена остеонами у многих позвоночных животных.
Венозный синус склеры (лат. sinus venosus sclerae; синонимы: канал Шлемма, шлеммов канал, венозная пазуха склеры, лаутов канал, склеральный канал) — венозный круговой сосуд, который располагается в толще склеры. Канал расположен на месте стыка роговицы и радужки, в так называемом углу передней камеры глаза (angulus iridocornealis) и проходит циркулярно вблизи всего края роговицы. Он отводит водянистую влагу из передней камеры глаза и проводит её в переднюю цилиарную вену.
Остеоци́ты (от др.-греч. ὀστέον — кость и κύτος — «вместилище», здесь — «клетка»), клетки костной ткани позвоночных животных и человека. Образуются из остеобластов в процессе развития костной ткани. Тела остеоцитов располагаются в полостях основного вещества кости, которые называются костными лакунами, а их длинные отростки — в канальцах, отходящих от полостей. В человеческом организме остеоцит имеет примерные размеры 10 микрон по короткой оси и 20 микрон — по длинной.
Прола́пс (лат. prolapsus — «выпадение») — выпячивание органа или его части, не покрытой брюшиной, через естественные отверстия (например, выпадение матки через влагалище или прямой кишки через анус).
Надостная мышца (лат. Musculus supraspinatus) треугольная, полностью заполняет надостную ямку лопатки, начинаясь от её стенок. Мышечные пучки, сходясь в более узкую часть мышцы, направляются кнаружи. Затем они проходят под акромион и прикрепляются к большому бугорку плечевой кости. Концевое сухожилие надостной мышцы срастается с задней поверхностью плечевого сустава. При сокращении мышца оттягивает капсулу, предотвращая её ущемление.
Малая грудная мышца (лат. musculus pectoralis minor) — небольшая мышца треугольной формы, расположенная в верхней части груди под большой грудной мышцей.
Корень лёгкого (лат. radix pulmonis) — комплекс анатомических структур, проходящих через ворота лёгкого и соединяющих лёгкое с органами средостения.
Височная мышца (лат. musculus temporalis) заполняет височную ямку. Начинается от височной поверхности лобной кости, большого крыла клиновидной кости и чешуйчатой части височной кости. Пучки мышцы, направляясь вниз, конвергируют и образуют мощное сухожилие, которое проходит внутри от скуловой дуги и прикрепляется к венечному отростку нижней челюсти. Височная мышца имеет веерообразное строение. Её передние волокна идут вертикально вверх, средние — наискось сзади, а задние — почти горизонтально сзади.
Ни́жний констри́ктор гло́тки (лат. musculus constrictor pharyngis inferior) — мышца-сжиматель глотки человека. Кроме нижнего констриктора имеются другие сжиматели глотки: средний и верхний констрикторы глотки и мышцы-подниматели глотки: шилоглоточная и трубно-глоточная.
Подъязычная слюнная железа человека (лат. glandula sublingualis) — парная слюнная железа. Наряду с околоушными и подчелюстными, подъязычные железы относятся к так называемым большим слюнным железам.
Надчерепная мышца (лат. m. epicranius) — одна из мимических мышц головы, покрывающая почти весь свод черепа и связанная с сухожильным шлемом (лат. galea aponeurotica).
Миксоцель (от др.-греч. μῖξις «смешение» и κοῖλος «полый»), или смешанная полость тела — полость тела, характерная для членистоногих. Образуется в процессе эмбрионального развития путём слияния редуцированной вторичной полости тела (целома) с остатками первичной полости тела. Другими словами, первичная полость тела (протоцель) и вторичная полость тела (целом) слиты в одну.
Парные задние мозговые артерии — левая и правая — это артерии, которые кровоснабжают заднюю часть головного мозга у человека (теменную долю конечного мозга) и формируют часть Виллизиева круга. Задняя мозговая артерия каждой стороны находится возле пересечения соответствующей задней соединительной артерии c основной артерией. Каждая из двух задних мозговых артерий соединяется с соответствующей средней мозговой артерией и с соответствующей внутренней сонной артерией при помощи соответствующей задней.
Лёгочные вены несут артериальную кровь из лёгких в левое предсердие. Начавшись из капилляров лёгких, они сливаются в более крупные вены, идущие соответственно бронхам, сегментам и долям, и в воротах лёгких складываются в крупные стволы, по два ствола из каждого лёгкого (один — верхний, другой — нижний), которые в горизонтальном направлении идут к левому предсердию и впадают в его верхнюю стенку, причём каждый ствол впадает отдельным отверстием: правые — у правого, левые — у левого края левого предсердия.
Ме́ккелев хрящ (лат. cartilago arcus pharyngei primi) — первичная нижняя челюсть у челюстноротых животных и человека, названная в честь Иоганна Меккеля (открывшего этот хрящ в 1820 году). Низший отдел первой висцеральной дуги. Часть хряща у человека, как и у прочих млекопитающих, редуцировалась, сохранившись лишь у эмбрионов, часть (сочленовная и квадратная кости) — стала молоточком и наковальней, слуховыми косточками. У всех рыб кроме хрящевых, а также у наземных животных хрящ покрыт покровными.
Уростиль (от др.-греч. urá — «хвост» и stýlos — «палочка») — палочковидная кость в хвостовой части осевого скелета у некоторых позвоночных животных, в частности у бесхвостых земноводных и костистых рыб.
Решётчатая кость (лат. os ethmoidale) — непарная кость мозгового отдела черепа человека, отделяет носовую полость от полости черепа. Имеет близкую к кубической форму и ячеистое строение. Название происходит от слова греч. ηθμοειδες —«решётчатый» и связано со схожестью ячеистой структуры кости с решёткой.
Синовиа́льная оболо́чка — внутренний слой суставной сумки или костно-фиброзного канала. Синовиальная оболочка выстилает всю поверхность суставной полости и связки, расположенные в суставе, за исключением хрящевых участков. Она богата нервами и сосудами, которые обеспечивают обмен веществ в полости сустава, питание суставного хряща. Осуществляет дополнительную амортизацию суставов, повышает подвижность эпифизов за счет своих жировых складок, обеспечивает биологическую защиту, так как препятствует.
Ропалии или краевые тельца (от греч. rhopalon — дубинка) — видоизмененные щупальца, встречающиеся у сцифоидных медуз и кубомедуз. Несут глаза, статоцисты и нервные центры.
Лимб роговицы, край роговицы — место сочленения роговицы со склерой: разделительная полоса между роговицей и склерой шириной в 1,0-1,5 миллиметра. Как многое в глазу, малый размер его отдельной части не исключает критической важности для нормальной работы всего органа в целом. В лимбе располагается много сосудов, которые принимают участие в питании роговицы. Лимб является важной ростковой зоной для эпителия роговицы. Существует целая группа глазных болезней, причиной которой является повреждение.
Антипериста́льтика (синоним: ретрогра́дная периста́льтика; лат. antiperistalsis) — перистальтические, волнообразные сокращения стенок трубчатых полых органов, продвигающих содержимое этих органов в противоположном естественному направлению, от «выхода» органа ко «входу».
Нервное сплетение — сложные соединения между нервными волокнами. Различают внутренние и наружные нервные сплетения. Внутренние могут быть частью центральной нервной системы и объединять периферические нервы. Наружные сплетения находятся только в периферической области.
Лоное сочленение или лобковый симфиз (лат. symphysis pubica) — расположенное по срединной линии вертикальное соединение верхних ветвей лонных костей. Располагается спереди от мочевого пузыря и сверху от наружных половых органов (входа во влагалище у женщин и полового члена у мужчин). У мужчин к лонному сочленению прикрепляется связка, подвешивающая половой член. У женщин рядом с лонным сочленением располагается клитор.
Фиброзная (волокнистая) ткань — разновидность соединительной ткани, которая обладает относительно высокой прочностью на растяжение. Она состоит из коллагеновых и упругих волокон. Чаще всего из такой ткани состоят связки и сухожилия. Этот вид ткани практически не содержит живых клеток и, в основном, состоит из полисахаридов, белков и воды.
Симпто́м бараба́нных па́лочек (бараба́нные па́льцы, пальцы Гиппокра́та) — колбовидное утолщение концевых фаланг пальцев кистей и стоп при хронических болезнях сердца, лёгких, печени с характерной деформацией ногтевых пластинок в виде часовых стёкол. При этом угол, который составляют задний ногтевой валик и ногтевая пластинка, если смотреть сбоку, превышает 180°. Ткань между ногтем и подлежащей костью приобретает губчатый характер, благодаря чему при надавливании на основание ногтя возникает ощущение.
Анатомия лобной пазухи
В статье представлены результаты исследования, выполненные на материале, полученном при проведении магнитно-резонансной томографии у 136 пациентов без патологии селлярной области. Выполнены измерения краниологических показателей для характеристики формы черепа и линейных параметров клиновидной пазухи (ширина, длина, высота). В ходе выполнения анализа исследуемого материала, полученные данные были подвергнуты статистической обработке. Согласно которым все данные были разделены по гендерному типу и форме черепа. Из 136 пациентов было 86 человек женщин и 50 мужин, что соответственно составило 63% и 37%. Среди женщин 31 человек (23%) имели мезокранную, 43 (31%) - брахикранную и 12 (9%) - долихокранную форму черепа. Среди мужчин 21 человек (16%) имели мезокранную, 25 (18%) - брахикранную, 4 (3%) - долихокранную форму черепа. Линейные размеры клиновидной пазухи были проанализированы согласно полу и форме черепа пациентов. Таким образом, полученная информация о результатах статистического анализа антропометрических показателей в условиях значительной индивидуальной анатомической изменчивости клиновидной пазухи позволила выявить ряд достаточно стабильных линейных показателей ее формы. Полученные новые данные расширяют возможности оперативных вмешательств, как на самой пазухе, так и на соседних анатомических структурах с применением трансназосфеноидального доступа. Знание линейных размеров клиновидной пазухи снизят вероятность возникновения операционных осложнений во время проведения оперативных вмешательств. Данные размеры клиновидной пазухи позволят клиницисту прогнозировать распространение патологического процесса из пазух на близлежащие анатомические структуры.
1. Бегун Д.Н. Введение в статистический анализ медицинских данных. Учебное пособие для аспирантов. - Оренбург, 2014. -118с.
2. Гайворонский А.И. Особенности строения и рельефа стенок клиновидной пазухи по данным эндовидиоскопии // Ученые записки СПбГМУ им. Акад. И.П. Павлова. Т. XVIII. №2. 2011. - С. 47-48.
3. Гайворонский И.В. Прикладные исследования вопросов вариантной анатомии в современной медицинской краниологии // Вестник Российской военно-медицинской академии. - 2015. - №2(50) - С. 55-56.
4. Гайворонский А.В., Гайворонский А.И., Пажинский Л.В. Вариантная анатомия решетчатого лабиринта и клиновидной пазухи у человека // Вестник Санкт-Петербургского университета - 2007. - Сер. 11. - Вып. 1. - С. 86-89.
5. Заболотный Д.И., Боенко Д.С. Особенности строения клиновидной пазухи: этиология, патогенез и патологическая анатомия сфеноидита / // Журнал вушних, носових і горлових хвороб. - 2007. - № 2. - С.73-80.
6. Пискунов И.С., Пискунов В.С. Клиническая анатомия решетчатой и клиновидной костей и формирующихся в них пазух: Монография. - Курск: ГОУ ВПО КГМУ Росздрава. - 2011. - 296 с.
Околоносовые пазухи - полости, располагающиеся в решетчатой, верхнечелюстной, лобной и клиновидной костях, окружающие полость носа и сообщающиеся с ней соустьями, обладают большой вариабельностью анатомического строения и топографии [6].
Клиновидная пазуха представляет собой парную полость, образующуюся в результате пневматизиции костной ткани в теле клиновидной кости [2]. Она является наиболее скрытой и недоступной из всех придаточных пазух носа, имеет сложную конструкцию и топографо-анатомические взаимоотношения с окружающими структурами.
Варианты ее анатомического строения и взаимосвязи с окружающими структурами обуславливают многообразие клинических проявлений заболеваний, локализующихся в ней.
Относительно малая доступность клиновидной пазухи для хирурга, ее особенности анатомо-топографических взаимоотношений со структурами головного мозга, многообразие индивидуальных вариантов строения оказывают влияние на ход и успешность оперативных вмешательств на ней [4,5]. Некоторые анатомические особенности строения клиновидных пазух могут вызвать риск травмы прилегающих структур при эндоскопических операциях. Знание вариантов анатомического строения клиновидных пазух позволит избежать осложнений при выполнении хирургических эндоскопических вмешательств на клиновидных пазухах [6,7].
В литературных источниках появляется большое количество данных о транссфеноидальном удалении объемных образований селлярной зоны. Показания к использованию транссфеноидального доступа в хирургии как аденом гипофиза, так и прочих базальных экстрацеребральных опухолей значительно расширились. Минимальная травматичность трансназосфеноидального подхода делает его методом выбора при хирургическом лечении опухолей селлярной зоны.
Все эти обстоятельства определяют важность изучения строения этой придаточной пазухи полости носа.
Современный этап развития медицины характеризуется широким внедрением высокоинформативных технологий визуализации различных структур черепа и находящихся в нем образований с помощью лучевых и не лучевых методов исследования. Вследствие этого, понимание визуализируемых сложных структур черепа возможно на основе тщательных исследований с учетом индивидуальной анатомической изменчивости [3].
С развитием эндоскопии, компьютерной (КТ) и магнитно-резонансной томографии (МРТ) появились возможности получить новые данные о состоянии клиновидной пазухи, степени ее пневматизации, форме и размерах.
Цель исследования: получить новые данные о линейных размерах клиновидной пазухи у лиц с разной формой черепа.
Материалы и методы
Исследование выполнено на материале, полученном при проведении магнитно-резонансной томографии (МРТ) на аппарате Philips Gyroscan T5-NT у 136 пациентов без патологии селлярной области. С помощью программ «Philips DICOM Viewer R 2.4» (производитель - «Philips Medical Systems», Nederland B.V.) и 3D Doctor (производитель - Able Software Corporation) выполнены измерения краниологических показателей для характеристики формы черепа и линейных параметров клиновидной пазухи (ширина, длина, высота). Пациенты были разделены по гендерному типу и форме черепа.
Распределение по форме черепа проведено на основе подсчета поперечно - продольного указателя (черепной или головной указатель), который представлен отношением поперечного диаметра (ширины) к его продольному диаметру (длине), выраженное в процентах.
Поперечный диаметр измеряли между наиболее удаленными от срединной плоскости точками на боковой поверхности черепа (эурионами) правой и левой сторон, а продольный диаметр - между передней наиболее выступающей точкой лобной кости (глабеллой) и точкой на затылочной кости, наиболее отстоящей от глабеллы (опистокранион).
По полученной искомой величине, согласно классификации R. Martin (1928), была определена принадлежность черепов к формам - долихокран - длинный череп (индекс черепного указателя от 70 до 74,9), брахикран - широкий череп (индекс черепного указателя 80 и более) и мезокран - средняя форма (индекс черепного указателя 75-79,9) [7].
Измерение линейных размеров клиновидной пазухи проводили в двух её половинах (правой и левой). Ее ширину измеряли от латеральной стенки до медиальной стенки, длину - от передней до задней стенок, а высоту - от нижней стенки до верхней стенки клиновидной пазухи.
В ходе проведения статистического анализа, полученные анатомометрические данные, были обработаны с помощью программы Statistica 6.1. В самом начале анализа полученных количественных данных было определено соответствие распределения анализируемых количественных признаков закону нормального распределения с использованием критерия Шапиро - Уилка, согласно которому исследуемые параметры распределились отлично от нормального распределения. В связи с чем для описания центральной тенденции была рассчитана медиана, а для характеристики разнообразия признака - квартили [2].
Результаты и их обсуждения
Из 136 пациентов было 86 человек женского пола и 50 человек мужского пола, что соответственно составило 63% и 37%. Среди женщин 31 пациентка (23%) имели мезокранную, 43 (31%) - брахикранную и 12 (9%) - долихокранную форму черепа.
Среди мужчин 21 пациент (16%) имели мезокранную, 25 (18%) - брахикранную, а 4 (3%) - долихокранную форму черепа.
У женщин имеющих мезокранную форму черепа средние размеры правой половины клиновидной пазухи составили: ширина 15(12-17) мм, длина 19(14-25) мм, высота 17(16-19) мм, средние показатели левой половины пазухи - ширина 15(11-18) мм, длина 21(14-26) мм, высота 17(14-18) мм.
Сводные данные, отражающие линейные размеры клиновидной пазухи в зависимости от пола и формы черепа представлены в таблице 1.
Читайте также:
