Голопрозэнцефалия на МРТ
Добавил пользователь Евгений Кузнецов Обновлено: 02.11.2025
Поскольку непосредственные этиологические факторы аномалии развития не известны, в работе выделены основные группы причин, способствующих формированию пороков развития головного мозга. Большое значение отводится ранней диагностике пороков развития, котора
Clinical case of semilobar holoprosencephaly / A. V. Serezhkina*, **, 1, I. G. Khmelevskaya*, **, N. S. Razinkova*, **, T. A. Minenkova*, **, I. I. Zhiznevskaya*, **, A. S. Plekhanova* / * Federal State Budget Educational Establishment of Higher Education Kursk State Medical University Ministry of Health Care of Russian Federation, Kursk, Russia / ** Regional public health institution Regional Children's Clinical Hospital Committee of Health Kursk region, Kursk, Russia
Резюме. Поскольку непосредственные этиологические факторы аномалии развития не известны, в работе выделены основные группы причин, способствующих формированию пороков развития головного мозга. Большое значение отводится ранней диагностике пороков развития, которая позволяет своевременно решить вопрос о возможности пролонгирования беременности, что определяется видом порока, совместимостью с жизнью и прогнозом в отношении постнатального развития. В исследовании рассматриваемого порока развития большую роль играют такие современные методы, как пренатальная ультразвуковая диагностика, нейросонография, рентгеновская компьютерная и магнитно-резонансная томография головного мозга, имеющие достаточно высокую информативность. Указаны сроки гестации, позволяющие выявить структурные дефекты головного мозга. Медико-генетическое консультирование помогает выявить риск появления больного потомства. Проведена дифференциальная диагностика семилобарной с другими формами голопрозэнцефалии. Также отмечены возможные клинические проявления рассматриваемой нозологии. В данной статье представлен клинический случай семилобарной голопрозэнцефалии, диагностированной у мальчика в возрасте 1 месяц. При поступлении мать предъявляла жалобы на срыгивания и периодическое беспокойство сына. Объем и результаты обследования ребенка изложены ниже. Выявлена сопутствующая патология в виде пупочной грыжи, врожденной аномалии развития мочевой системы: подковообразная почка; водянки яичек и головчатой формы гипоспадии. После проведения курса поддерживающей терапии пациент был выписан в стабильном состоянии. В настоящее время специфическое лечение голопрозэнцефалии отсутствует. Оперативные вмешательства на головном мозге проводятся редко ввиду тяжести состояния больных, в связи с чем лечение данной патологии возможно только с помощью хирургической коррекции симптомов. Длительная дыхательная и кардиоваскулярная дисфункция предопределяет летальный исход заболевания.
Семилобарная голопрозэнцефалия считается умеренной формой голопрозэнцефалии. Так же, как и другие типы, этот можно диагностировать внутриутробно по отсутствию межполушарной щели (кроме задней части мозга).
Непосредственные этиологические факторы аномалии развития не известны. Многие авторы выделяют две группы причин развития порока: наследственные и экологические. Наследственные представлены хромосомными аномалиями, ведущими к анеуплоидии: трисомия 13 (синдром Патау), трисомия 18 (синдром Эдвардса), трисомия 21 (синдром Дауна), синдром триплоидии. Нередко встречающиеся мутации, связанные с голопрозэнцефалией: синдром 13 q, синдром Генуя, хвостовой дисгенез, синдром Айкарди, псевдотрисомия 13, синдром Меккеля – Грубера.
К экологическим причинам относятся сахарный диабет (СД) у матери, прием беременной салицилатов, ретиноевой кислоты, статинов, мизопростола, метотрексата, дифенилгидантоина, употребление алкогольных напитков. Доказана роль ионизирующего излучения в I триместре беременности. В основе патогенетических механизмов развития голопрозэнцефалии лежит нарушение формирования головного мозга по срединной линии. Зачастую эти процессы происходят на 5-10 неделях беременности [6].
Голопрозэнцефалия – порок, который может быть результатом заболеваний, характерных для Х-сцепленного, аутосомно-рецессивного и аутосомно-доминантного типа наследования, а также сочетания голопрозэнцефалии с инсулинзависимым СД [2].
Семилобарная голопрозэнцефалия характеризуется слиянием лобных долей при наличии незначительной перегородки в задней части с присутствием серпа и межполушарной щели. Клинически проявляться данная форма аномалии может по-разному: отсутствием носовой перегородки, анофтальмией, близким расположением глаз, аномалиями радужной оболочки и сетчатки, предчелюстными агенезиями, срединной расщелиной нёба и губы. Возможны дефекты других систем организма, в том числе врожденные пороки сердца, дисплазии яичек и половых органов, кистозность почек, кишечные мальротации, пупочные грыжи, почечные дисплазии, водянка плода и т. п. [8].
Голопрозэнцефалию можно диагностировать начиная с 13-14 недели гестации с помощью ультразвукового исследования (УЗИ). В большинстве случаев диагноз ставят на 20-24 неделях.
Пренатальная диагностика голопрозэнцефалии основана на обнаружении сочетанных аномалий лицевого черепа, лица и головного мозга. Определение аномалий лица заставляет заподозрить и начать более подробный поиск интракраниальных изменений, таких как единственный желудочек мозга, сращение таламусов, отсутствие межполушарной щели, микроцефалия. По данным УЗИ невозможно уверенно дифференцировать алобарную и семилобарную голопрозэнцефалию. Диагностика лобарной голопрозэнцефалии связана с большими трудностями [9].
Использование трансвагинальной эхографии способствовало накоплению опыта ультразвуковой визуализации структур мозга плода на ранних этапах развития, что дало возможность диагностики голопрозэнцефалии уже в конце I триместра беременности [5].
В пренатальном периоде ведущий метод диагностики – сонография. Алобарную и семилобарную форму голопрозэнцефалии необходимо диагностировать с помощью УЗИ в течение первой половины беременности, поэтому прибегать к другим технологиям нет необходимости. Диагностика лобарной формы голопрозэнцефалии возможна только с помощью магнитно-резонансной томографии (МРТ). В постнатальном периоде МРТ служит методом выбора.
Семилобарная форма голопрозэнцефалии – результат частичного недоразделения мозга на левую и правую полусферы. Существуют определенные критерии для дифференциальной диагностики этой формы с алобарной и лобарной формами порока. При семилобарной голопрозэнцефалии два полушария мозга частично разделены в задней части, имеется один общий желудочек с рудиментарными задними рогами. Алобарная и семилобарная формы часто сочетаются с микроцефалией и реже с макроцефалией. При алобарной и семилобарной голопрозэнцефалии всегда отсутствует мозолистое тело [2].
Дифференциальная диагностика аномалии развития головного мозга с помощью МРТ основана на следующих признаках: при алобарной форме мозг малых размеров и содержит одну единую полость с дорзальным саком вместо третьего и боковых желудочков, таламусы соединены вместе, нет обонятельных луковиц и обонятельных трактов; мальформации лица – наиболее неблагоприятный вариант. При семилобарной голопрозэнцефалии мозг также маленький, с рудиментами затылочных долей. Межполушарная щель имеется в переднем или заднем отделах. Поскольку мозолистое тело отсутствует частично или полностью, то дорзальный сак поднимается высоко с формированием межполушарной ликворной кисты. Самая легкая форма голопрозэнцефалии – лобарная. При ней гемисферы большого мозга отделены друг от друга, кроме передних отделов, боковые желудочки соединены между собой за счет агенезии прозрачной перегородки. Мозолистое тело отсутствует [1].
В качестве примера приведен клинический случай семилобарной голопрозэнцефалии, диагностированной у ребенка 1 месяца. Даниил Р. поступил в Курскую детскую клиническую больницу с жалобами на срыгивания и периодическое беспокойство.
При сборе анамнеза стало известно, что ребенок от 7-й беременности, протекавшей на фоне приема регулона, цикличных менструаций, четвертых преждевременных домашних родов, мать на учете в женской консультации не состояла. При рождении вес мальчика составил 1700 г, рост – 42 см. Ребенок осмотрен участковым педиатром на 10-е сутки. Нейросонография по месту жительства показала: межполушарная щель смещена влево, визуализируется большое количество жидкостного элемента. Мальчик был госпитализирован в Курскую ОДКБ в отделение № 3 для обследования и лечения.
Аллергологический и наследственный анамнез не отягощен.
Объективные данные при поступлении: общее состояние ребенка средней степени тяжести. Малыш на грудном вскармливании. Вес – 3600 г, рост – 51 см. Слизистые чистые, влажные. Склеры – субиктеричные. Дыхание ритмичное, с частотой 36 в минуту, хрипов нет. Тоны сердца ритмичные. Частота сердечных сокращений – 134 в минуту, артериальное давление (АД) – 85/55 мм рт. ст. Пупочная грыжа небольших размеров. Наружные половые органы сформированы по мужскому типу, обе половины мошонки увеличены в размерах. Головка полового члена открыта, отверстие уретры смещено книзу.
В неврологическом статусе: сознание ребенка ясное, улыбается. Окружность головы – 37,5 см, большой родничок – 2,0 × 2,0 см на уровне костей черепа. Голова гидроцефальной формы. Менингиальные симптомы отсутствуют. Двигательная активность сохранена. Мышечный тонус умеренно повышен по флексорному типу в сгибателях конечности. Определяются рефлексы Бабинского, Моро, ползания, опоры и автоматической ходьбы, при тракции за руки голову выводит. В положении на животе голову выводит, опора на предплечья.
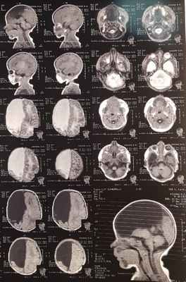
Даниилу Р. была проведена ЭЭГ в состоянии физиологического дневного сна (20 минут), на которой достоверных изменений эпилептиформного характера не было выявлено (рис. 1).

При УЗИ головного мозга было обнаружено, что структуры мозга сформированы неправильно, правое полушарие практически полностью отсутствует. Ядра таламуса и структуры задней черепной ямки сохранены, но правое ядро таламуса гипоплазировано. Эхогенность левого полушария средняя. Рисунок извилин и борозд отчетливый слева. Межполушарная щель в сечении через тела боковых желудочков – 1,7 (норма – до 4 мм). Субдуральное пространство – 0 мм (норма – 2 мм).Субарахноидальное пространство справа – 1,7 мм; слева – 1,8 (норма – 2 мм). Правый боковой желудочек отсутствует. Передний рог – 4,0 мм, латеральный рог – 3,0 мм, задний рог – 7,0 мм. Третий желудочек в сечении через тела боковых желудочков – 3,0 мм (норма – 3 мм), форма желудочка неправильная. Четвертый желудочек в сагиттальном сечении – 3,0 мм (норма – 4 мм). Контуры сосудистых сплетений ровные, толщина левого – 7,0 мм, структура однородная. Мозжечок, таламус, подкорковые ядра – эхогенность повышена справа, слева без особенностей, эхоструктура однородная. Заключение: врожденная аномалия развития головного мозга, характерная для алобарной формы голопрозэнцефалии.
МРТ: на серии Т1- и Т2-взвешенных томограмм в сагиттальной и аксиальной проекции получено изображение супратенториальных структур головного мозга. Правые лобная, теменная и частично височная доли (кроме гиппокампа), мозолистое тело и прозрачная перегородка отсутствуют, нижний червь мозжечка гипопластичный. Правый зрительный бугор увеличен в размерах, визуализируется частично правая затылочная доля. Левое полушарие большого мозга, полушария мозжечка и ствол сформированы правильно. Ретенции желудочковой системы нет. Признаков объемного воздействия не отмечено. Базальные цистерны открыты. В заключении отмечено, что полученные данные могут соответствовать МР-картине семилобарной голопрозэнцефалии (рис. 2).

Из сопутствующей патологии отмечено наличие пупочной грыжи и врожденной аномалии развития мочевой системы (подковообразная почка, водянка яичек и головчатая форма гипоспадии).
Во время пребывания в стационаре ребенок находился на грудном вскармливании, получал ноотропную поддержку – курс церебролизина, метаболическую (витамин D3) и симптоматическую терапию (Урсофальк).
Пациент выписан в стабильном состоянии. Вес мальчика при выписке составил 3960 г (+360 г). Неврологический статус – без динамики.
Согласно данным C. Olsen и соавт. [4], среди 78 родившихся детей общая смертность составила 32% в течение первых 48 часов и 38,5% — в течение 1-й недели соответственно. При синдромальных случаях смертность в течение первых 48 часов жизни составила 57%, у больных с алобарной формой выживаемость на 1-й неделе — 50%. До 12 месяцев с изолированной формой голопроз-энцефалии дожили 54%, при синдромальных случаях — 14%, несиндромальных в сочетании с другими пороками развития головного мозга — 25%. Высокая смертность, по-видимому, связана с дисфункцией ствола или гипоталамических структур головного мозга в сочетании с полиорганной патологией. Длительная дыхательная и кардио-васкулярная дисфункция предопределяет летальный исход заболевания [3]. В настоящее время специфическое лечение голопрозэнцефалии отсутствует. Оперативные вмешательства на головном мозге проводятся редко ввиду тяжести состояния больных, в связи с чем лечение данной патологии возможно только с помощью хирургической коррекции симптомов (аномалий развития лица). При тяжелых формах заболевания отмечаются также трудности вскармливания новорожденных, связанные со слабостью сосания, невозможностью проглатывания пищи, поперхиванием, рвотой с риском аспирации, эзофагии и др. [7]. В связи с этим в некоторых случаях применяется гастротомия (при исключении центрального нарушения питания) [9]. При наличии декомпенсированной гидроцефалии рекомендовано нейрохирургическое лечение. При наличии эпилептических приступов проводится подбор противосудорожной терапии с использованием антиконвульсантов под контролем обычной ЭЭГ и видео-ЭЭГ-мониторинга. M. Barr и соавт. [1] доказали, что для восстановления нарушенных физиологических ритмов сна можно использовать внешний шум (например, радио).
В заключение отмечаем, что голопрозэнцефалия может входить в структуру хромосомных или моногенных заболеваний, а также встречаться как изолированная мальформация. Этиология голопрозэнцефалии остается недостаточно изученной. В диагностике рассматриваемого порока развития большую роль играют такие современные методы, как пренатальная ультразвуковая диагностика, нейросонография, рентгеновская компьютерная и магнитно-резонансная томография головного мозга, имеющие достаточно высокую информативность. Медико-генетическое консультирование помогает выявить риск появления больного потомства. Установлено, что молодые пары, дающие жизнь ребенку со стандартной трисомией, имеют неспецифический (около 1%) риск рекуррентной трисомии 13-й хромосомы.
КОНФЛИКТ ИНТЕРЕСОВ. Авторы статьи подтвердили отсутствие конфликта интересов, о котором необходимо сообщить.
CONFLICT OF INTERESTS. Not declared.
Литература/References
- Barr M. Jr., Cohen M. M. Jr. Autosomal recessive alobar holoprosencephaly with essentially normal facies // Am J Med Genet. 2002; 112: 28.
- Barr M. Jr., Cohen M. M. Jr. Holoprosencephaly survival and performance // Am J Med Genet. 1999; 89: 116.
- Cohen M. M. Jr. Problems in the definition of holoprosencephaly // Am J Med Genet. 2001; 103: 183.
- Olsen C. L., Hughes J. P., Youngblood L. G. et al. Epidemiology of holoprosencephaly and phenotypic characteristics of affected children. New York state 1984-1989 // Am J Med Genet. 1997; 73: 217.
- Барашнев Ю. И. Перинатальные повреждения нервной системы у новорожденных. Руководство по безопасному материнству / Под ред. Ю. И. Барашнева. М.: Триада-Х, 1998. С. 373-432. [Barashnev Yu. I. Perinatal damage to the nervous system in newborns. Safe Motherhood Guide / Pod red. Yu. I. Barashneva. M.: Triada-KH, 1998. Pp. 373-432.]
- Аминофф М. Дж., Гринберг Д. А., Саймон Р. П. Клиническая неврология. М.: МЕДпресс-информ, 2009. 480 c. [Aminoff M. Dzh., Grinberg D. A., Saymon R. P. Clinical neurology. M.: MEDpress-inform, 2009. P. 480.]
- Неонатология: Национальное руководство. Краткое издание / Под ред. Н. Н. Володина. М.: ГЭОТАР-Медиа, 2014. [Neonatology: National Guidelines. Short edition / Pod red. N. N. Volodina. M.: GEOTAR-Media, 2014.]
- Никифоров А. С., Гусев Е. И. Общая неврология. 2-е изд., испр. и доп. М.: ГЭОТАР-Медиа, 2015. [Nikiforov A. S., Gusev Ye. I. General neurology. 2nd ed., Rev. and add. M.: GEOTAR-Media, 2015.]
- Петрухин А. С. Детская неврология. В 2 т. Том 1. М.: ГЭОТАР-Медиа, 2009. 272 c. [Petrukhin A. S. Pediatric neurology. In 2 volumes, Volume 1. M.: GEOTAR-Media, 2009. P. 272.]
А. В. Серёжкина* , ** , 1
И. Г. Хмелевская* , **, доктор медицинских наук, профессор
Н. С. Разинькова* , **, кандидат медицинских наук
Т. А. Миненкова* , **
И. И. Жизневская* , **, кандидат медицинских наук
А. С. Плеханова*
* ФГБОУ ВО КГМУ Минздрава России, Курск, Россия
** ОБУЗ ОДКБ, Курск, Россия
Голопрозэнцефалия на МРТ
Голопрозэнцефалия на МРТ
а) Терминология:
• Неполное разделение полушарий головного мозга
б) Визуализация:
• Выраженность и тяжесть аномалии определяется степенью расщепления переднего мозга:
о Спектр; нет четкого разделения между типами
• Алобарная голопрозэнцефалия (ГПЭ):
о Единый мозг в виде «мяча», «чаши» или «блина», расположенный вокруг примитивного моножелудочка
о ± дорсальная киста, дисморфичное лицо
• Семилобарная голопрозэнцефалия (ГПЭ):
о Слияние лобных долей в > 50% случаев
о Слияние таламусов, гипоталамусов о Задняя межполушарная борозда, серп могут присутствовать
о ± дорсальная киста, легкие пороки развития лица или их отсутствие
• Лобарная голопрозэнцефалия (ГПЭ):
о Межполушарная борозда присутствует вдоль большей части средней линии
о Слияние только самых нижних отделов лобных долей
о Практически полное/полное разделение таламусов
о Прозрачная перегородка отсутствует всегда
о Недоразвитие передних рогов боковых желудочков ± нормальное или неполное развитие III желудочка, мозолистого тела
(а) 3D реконструкция костей лицевого черепа новорожденного с расщелиной губы и неба: выраженный гипотелоризм, а также умеренно выраженный срединный дефект верхней челюсти, распространяющийся на твердое небо и носовую перегородку. Два центральных резца отсутствуют.
(б) Бесконтрастная КТ, аксиальный срез: у этого же пациента определяется подковообразный центральный моножелудочек с тонким ободком окружающей коры головного мозга обоих неразделенных полушарий, которая сливается по средней линии. Базальные ганглии также не разделены, что характерно для алобарной голопрозэнцефалии. (а) МРТ, Т2-ВИ, сагиттальный срез: у этого же пациента в возрасте 17 месяцев задняя черепная ямка и ствол головного мозга внешне выглядят нормальными.
Супратенториальный отдел практически полностью заполнен ликворосодержащим моножелудочком. Гипоталамус и базальные ганглии слиты воедино.
В области переднего отдела моножелудочка определяется тонкий слой коры головного мозга в сочетании с агирией.
(б) МРТ, Т2-ВИ, аксиальный срез: у этого же пациента определяется слияние тонкого слоя коры головного мозга по средней линии спереди. Также наблюдается отсутствие межполушарной борозды и серпа мозга.
в) Дифференциальная диагностика:
• Максимально выраженная обструктивная гидроцефалия:
о Наличие небольшого участка коры головного мозга, серпа; разделение базальных ганглиев
• Гидроанэнцефалия:
о Минимальная выраженность/отсутствие коры головного мозга, разделение базальных ганглиев, наличие серпа мозга
• Синтелэнцефалия или средний межполушарный вариант (СМПВ):
о Разделение посредством серпа передних и задних отделов полушарий головного мозга
о Срединные борозды слиты по средней линии
• Септооптическая дисплазия:
о Лобные рога сформированы достаточно; своды мозга слиты, но присутствуют
• Шизэнцефалия:
о Полушарные расщелины выстланы гетеротопным серым веществом, своды мозга присутствуют
Голопрозэнцефалия на МРТ
Данный обзор касается очень редкой формы патологии - голопрозэнцефалии. Это мальформация головного мозга, развивающаяся в результате нарушения дифференциации эмбрионального переднего мозга на два полушария [32, 34, 38, 42, 45].
Распространенность голопрозэнцефалии варьирует от 0,48 до 0,88 на 10 000 детей [7, 13, 33, 44]. Средняя частота - 1 случай на 10 000 новорожденных или 1,2 на 10 000 абортусов и мертворожденных [7, 13].
К настоящему времени известен ряд мутаций генов, приводящий к развитию голопрозэнцефалии [8, 25, 39, 45, 46, 49] (см. таблицу).
Практически каждая мутация генов связана с определенной анатомической разновидностью голопрозэнцефалии. Трисомия 13-й хромосомы - часто встречаемая аномалия при голопрозэнцефалии. C. Olsen и соавт. [33] описали 77% кариотипированных случаев голопрозэнцефалии, из которых в 53% диагностирована трисомия 13-й хромосомы. В подобном исследовании P. Bullen и соавт. [7] с голопрозэнцефалией трисомию 13-й хромосомы верифицировали у 75% больных. В нескольких независимых исследованиях [13, 14, 18, 29, 33, 35] была подтверждена выживаемость девочек с трисомией 13-й хромосомы. Пока нет информации о половом соотношении абортусов.
М. Muenke и соавт. [31] выявили мутации 4 генов, вызывающих изолированную голопрозэнцефалию.
В одном из исследований [26] было установлено, что голопрозэнцефалия у детей с синдромом Smith-Lemli-Opitz вызвана врожденным метаболическим нарушением обмена холестерина, оказывающим влияние на экспрессию гена SHH. В ряде исследований [7, 11, 13, 33] было выявлено, что одной из причин голопрозэнцефалии является наличие у матери больного сахарного диабета, в одной работе [34] указывается на несахарный диабет [34], в одной [28] - на роль приема алкоголя во время беременности. Эксперименты на животных [22] подтвердили влияние алкоголя на возникновение голопрозэнцефалии и/или других ассоциированных с ней аномалий.
По данным P. Bullen и соавт. [7] и E. Matsunaga и соавт. [29], средний возраст родителей детей, страдавших голопрозэнцефалией, не отличался от возраста в популяции в целом, хотя в более ранних публикациях C. Olsen и соавт. [33] указывалось на двукратное увеличение числа больных детей, родившихся у матерей моложе 18 лет.
P. Bullen и соавт. [7] сообщили о ретроспективном исследовании 45 пациентов с голопрозэнцефалией: у 30 из них впоследствии подтверждена голопрозэнцефалия, у 15 - диагностированы вентрикуломегалия, кистозная деформация головного мозга, микроцефалия, энцефалоцеле и др. Однако другие исследователи [47] указывают на необходимость дифференцировать описанную выше патологию от врожденной срединной порэнцефалии. В ряде соответствующих работ пренатальная диагностика недостаточно информативна [48].
Голопрозэнцефалия в постнатальном периоде диагностируется при соматическом осмотре новорожденного [9, 11]. Неврологическое обследование в таких случаях включает обязательное тестирование обонятельного анализатора для исключения данной аномалии [36]; обонятельные луковицы и обонятельные тракты могут встречаться как гипо-, так и апластичными [37]. В 80% случаев тяжелая форма голопрозэнцефалии сочетается с лицевыми аномалиями [35]. Тем не менее при наличии выраженных краниофациальных стигм возможно нормальное развитие головного мозга [6, 16, 18, 34]. Эта вариабельность связана не только с воздействием неблагоприятных факторов в нейроонтогенезе, но и их влиянием в его критических периодах. M. Barr и соавт. [4] описали больных с алобарной голопрозэнцефалией при нормальном строении лица. Подобное «несочетаемое» сочетание клинических признаков, возможно, вызвано мутацией генов в процессе морфогенеза голопрозэнцефалии. I. Kjaer и соавт. [27] проанализировали строение твердого неба у 11 плодов с алобарной голопроээнцефалией с лицевыми аномалиями, у части больных - резцовая кость имела аномальное строение. По данным H. Ardinger и соавт. [2], лицевые аномалии: микроцефалия, тригоноцефалия, малый лоб, гипотелоризм, малый и уплощенный нос, а также односторонняя унилатеральная щель губы сочетались с голопрозэнцефалией.
К. Jellinger и соавт. [23], анализируя аутопсийный материал, сообщили о наличии гипотелоризма в 2 из 8 случаев семилобарной и в 1 из 9 случаев лобарной формы голопрозэнцефалии. Некоторые формы синдромальной голопрозэнцефалии сочетаются с гипотелоризмом.
Гипогнатия/агнатия - редкая мальформация, встречающаяся как изолированно, так и в сочетании с голопрозэнцефалией. Тем не менее дефект на уровне верхней и средней части лица является предиктором состояния переднего мозга [10].
При нейрорадиологических исследованиях [19, 21, 34, 40, 42] было выделено 3 формы голопрозэнцефалии: алобарная, семилобарная, лобарная. При алобарной форме большие полушария головного мозга не разделены, крупная дорсальная киста занимает заднюю половину супратенториального внутричерепного пространства. У ряда больных через передний родничок визуализируется энцефалоцеле [38], отсутствуют серп мозга, межполушарная борозда, височные и затылочные рога. Третий желудочек может быть представлен срединно расположенным «желобком» в имеющем нечеткую структуру таламусе. При алобарной голопрозэнцефалии часто выявляются микро-, гидроцефалия [34]. Вес «алобарного» мозга около 100 г. При семилобарной форме визуализируются третий желудочек, височные рога, часть задних рогов боковых желудочков мозга. Межполушарная щель разделяет головной мозг на две гемисферы. При ало- и семилобарной формах видны подкорковые ядра [12, 42]. Лобарная форма голопрозэнцефалии нередко ошибочно диагностируется, поскольку межполушарная щель может быть различной глубины. Близко расположены узкие боковые желудочки. Передние рога имеют прямоугольную форму с плоской поверхностью. В некоторых случаях отсутствует прозрачная перегородка [20]. Зрительные бугры и боковые желудочки почти всегда разделены, кроме передних рогов. Агенезия мозолистого тела, обонятельных луковиц и обонятельных трактов присутствует во всех случаях за исключением относительно «доброкачественных» форм голопрозэнцефалии. Методом исследования магнитно-резонансной ангиографии C. Fitz [17] установил, что виллизиев круг является неполным в результате замещения переднего компонента одно- или двусторонними ветвями внутренних сонных артерий, а при краниографии определяются отсутствие назальной перегородки и решетчатых пазух, уменьшение турецкого седла.
При макро- и микроскопических исследованиях [5] было установлено, что толщина коры больших полушарий и глубина борозд у пациентов с лобарной и семилобарной формами соответствует норме. При лобарной форме определяется полимикрогирия в передних отделах головного мозга [17, 20], при алобарной - полимикрогирия с участками гетеротопии, а также аномальный гиральный паттерн [5, 20]. При голопрозэнцефалии нарушения цитоархитектоники доминируют в переднемедиальных отделах больших полушарий головного мозга [20, 38]. При семилобарной форме М. Judas и соавт. [24] в коре больших полушарий обнаружили незначительные изменения цитоархитектоники базальной дендритической длины в III слое.
К настоящему времени выделены несколько типов строения лица, черепа, головного мозга при тяжелой форме голопрозэнцефалии. Первый тип - циклопия в сочетании с микроцефалией, с одним глазом или частично разделенным глазом в одной орбите; второй тип - этмоцефалия, характеризующаяся выраженным гипотелоризмом, микроофтальмией, микроцефалией; третий - цебоцефалия с формированием гипотелоризма, деформациями носа (уплощенный нос с единственной ноздрей), отсутствием срединного расщепления губы, микроцефалией, четвертый - срединное расщепление губы сочетается с гипотелоризмом, плоским носом, микроцефалией, тригоноцефалией. При проведении нейровизуализации больным с указанными выше нарушениями строения лица и черепа чаще верифицировали алобарную голопрозэнцефалию. Для пятого типа характерно наличие срединного премаксиллярного зачатка в сочетании с гипотелоризмом, двусторонним боковым расщеплением губы, микроцефалией, иногда тригоноцефалией, семилобарной или лобарной голопрозэнцефалией.
По данным P. Bullen и соавт. [7], лицевые аномалии при голопрозэнцефалии встречаются у 90% пациентов с этмоцефалией, у 60% - с цефалоцефалией, у 33% - со срединно расщепленной губой в сочетании с патологией твердого неба. Степень лицевых аномалий зависит от тяжести голопрозэнцефалии. Однако L. Plawner и соавт. [34] описали 3 пациентов, страдающих алобарной формой с нормальным строением лица. Согласно данным K. Jellinger и соавт. [23], у больных с этмоцефалией в 70% случаев возникают аномалии костной, мочевыделительной, кардиоваскулярной, дыхательной и пищеварительной систем.
По данным M. Barr и соавт. [3], в половине случаев голопрозэнцефалии развиваются фармакорезистентные эпилептические приступы. Анализируя алобарную форму, они установили, что частота и интенсивность приступов варьируют. Например, у одного из наблюдавшихся ими двух младенцев с практически идентичными морфологическими дефектами отмечались тяжелые эпилептические приступы, а у другого - единичные, купировавшиеся при монотерапии антиконвульсантами. Авторы считают, что одна из причин такого различия, возможно, связана с медиолатеральным градиентом экспрессии генов, поскольку цитоархитектоника парасагиттальных отделов коры больших полушарий нарушена сильнее, чем в латеральных областях при нормальной структуре коры больших полушарий (VI слой). H. Sarnat и M. Netshy [38] предполагают, что причиной эпилептических приступов может быть и синаптическая дезорганизация коры больших полушарий.
Для различных форм голопрозэнцефалии достаточно характерна дисфункция гипоталамо-гипофизарной системы [12]. В 32% случаев, описанных L. Plawner и соавт. [34], она проявлялась «температурной нестабильностью» (в пределах от 36 до 38,6 °C), не связанной с инфекцией.
Достаточно часто встречающаяся при рассматриваемой патологии задержка психомоторного развития может быть разной степени выраженности. Это зависит от особенности структурных повреждений головного мозга.
L. Plawner и соавт. [34] сообщили о наличии грубого двигательного дефекта у больных с алобарной и семилобарной формами. Более половины пациентов с лобарной голопрозэнцефалией могли ходить при поддержке или самостоятельно. У 4 из 30 пациентов с семилобарной и половины детей с лобарной формой отмечалось ограничение функции верхних конечностей с нарушением мелкой моторики. У детей с алобарной формой предречевое развитие сохранялось на стадии гуления, у 2 детей с семилобарной и 2 - с лобарной голопрозэнцефалией была сформирована простая фразовая речь. M. Barr и соавт. [4] отметили у младенцев с алобарной формой способность манипулировать игрушками, несмотря на отсутствие экспрессивной речи.
Прогноз голопрозэнцефалии в целом неблагоприятный. Согласно данным C. Olsen и соавт. [33], среди 78 родившихся детей общая смертность составила 32% в течение первых 48 ч и 38,5% - в течение 1-й недели соответственно. При синдромальных случаях смертность в течение первых 48 ч жизни составила 57%, у больных с алобарной формой выживаемость на 1-й неделе - 50%. До 12 мес с изолированной формой голопрозэнцефалии дожили 54%, при синдромальных случаях - 14%, несиндромальных в сочетании с другими пороками развития головного мозга - 25%. Высокая смертность, по-видимому, связана с дисфункцией ствола мозга или гипоталамических структур головного мозга в сочетании с полиорганной патологией. Длительная дыхательная и кардиоваскулярная дисфункция предопределяет летальный исход заболевания [3]. Рекуррентные инфекции, повышенной восприимчивостью к которым отличаются больные, также могут быть причиной смерти.
В настоящее время специфическое лечение голопрозэнцефалии отсутствует. При тяжелых формах заболевания отмечаются также трудности вскармливания новорожденных, связанные со слабостью сосания, невозможностью проглатывания пищи, поперхиванием, рвотой с риском аспирации, эзофагии и др. [3]. В связи с этим в некоторых случаях применяется гастротомия (при исключении центрального нарушения питания) [3].
При наличии декомпенсированной гидроцефалии рекомендовано нейрохирургическое лечение. При оперативном вмешательстве риск у больных с голопрозэнцефалией не превышает популяционный. При наличии эпилептических приступов проводится подбор противосудорожной терапии с использованием антиконвульсантов под контролем обычной ЭЭГ и видео-ЭЭГ-мониторинга.
M. Barr и соавт. [3] доказали, что для восстановления нарушенных физиологических ритмов сна можно использовать внешний шум (например, радио).
В заключение можно сделать вывод, что голопрозэнцефалия может входить в структуру хромосомных или моногенных заболеваний, а также встречаться как изолированная мальформация. Этиология голопрозэнцефалии остается недостаточно изученной. В диагностике рассматриваемого порока развития большую роль играют такие современные методы, как пренатальная ультразвуковая диагностика, нейросонография, рентгеновская компьютерная и магнитно-резонансная томография головного мозга, имеющие достаточно высокую информативность.
Медико-генетическое консультирование помогает выявить риск появления больного потомства. Установлено, что молодые пары, дающие жизнь ребенку со стандартной трисомией, имеют неспецифический (около 1%) риск рекуррентной трисомии 13-й хромосомы.
Голопрозэнцефалия. Поиск мутаций в гене SНH, м. (Holoprosencephaly 3, Gene SНH, Mut.)

Спасибо вам огромное! Врачи -проффесионалы ! Девушки на ресепшене очень вежливые ,все доступно объяснят и проводят к доктору ,отдельное спасибо Кашириной Вере Ивановне ,давно не встречала такого чуткого и профессионального доктора ,спасибо Вам Вера Ивановна ! Выслушали внимательно ,правильно лече.
Была на приёме 19апреля у Аичкиной ю. Г. Вежливая, умная, грамотная. Врач на своём месте. Объяснила, назначила лечение, ничего лишнего. Очень приятно и легко общаться. Советую. Спасибо вам.
Несколько лет обращаюсь к врачам этой клиники. Доверяю им полностью. Сильная профессиональная команда. Недавно открыла для себя еще одного классного доктора - Степанову Наталью Павловну. Как хорошо,что у нас есть такие врачи. Спасибо Вам Наталья Павловна. Здоровья Вам и успехов.
После УЗИ и консультации у доктора Дмитрия Олеговича Пак я ещё раз убедилась в том, что "Клиника Эксперт" - это команда высококлассных профессионалов, задачей которых является помогать людям стать здоровыми и счастливыми. Дмитрий Олегович обладает прекрасными качествами человека с добрым сердцем .
Второй раз посетила "Клинику Эксперт" и хочу выразить огромную благодарность и искреннюю признательность врачу Новичковой Наталье Владимировне. Уровень ее профессионализма в сочетании с искренним желанием помочь пациенту чувствуется с первых минут приема. Наталья Владимировна детально разъяснила .
Хотелось бы выразить слова благодарности за высочайший профессионализм,знание своего дела,бережное отношение к пациентам Наталье Михайловне Косянчук! Уникальный врач!! Спасибо. Успехов, профессионального роста!!
Сдавала анализы 16.07.2021г. ранним утром, это очень удобно. Не все клиники начинают забор крови с 7:00. Девочки очень вежливые и обходительные, все улыбаются. Очень приятно, когда тебя встречают радушно. Осведомлены во всех вопросах. Отвечают охотно, поясняют названия анализов. Вернусь сюда обяз.
Не буду говорить кратко, тут есть, о чем написать. Как только вошла в клинику , меня сразу встретила приветливая девушка , поздоровалась, спросила куда я записана и направила меня к моему врачу. Так как я на костылях и мне не очень удобно одевать бахилы-думала, ох что же делать. как одеть.. . .
Искал врача своей маме, т. к. ее сильно беспокоил варикоз. Прочитав отзывы, мы обратились по рекомендации оператора клиники по телефону к доктору Мамонову Александру Валентиновичу на комплексное обследование узи и консультацию и остались очень довольны. Персонал доброжелательный, общались по т.
В сложившейся обстановке в мире плановую операцию сделать практически невозможно без нужных диагностик, , знакомые кричат о несвоевременном оказании мед. помощи и о халатности клиник в городе Воронеж. Вот под таким давлением я записываюсь в Клинику Эксперт на ул.Пушкинской 11 , и как же приятно и.
Хочу выразить огромную благодарность клинике Экспер. Обратилась в клинику для прохождения КТ. Такого прекрасного приёма я ещё не где не встречала. Прием проводила оператор КТ девушка Галина. Все прошло замечательно, все страхи ушли сразу. Добрый й и вежливый прием,сразу поднимается настроение. Хо.
Низкий поклон и большое спасибо необыкновенному человеку и врачу Кетовой Елене Николаевне! Такие люди редко встречаются по жизни. А встретить ТАКОГО врача - удача для пациента! Работайте долго и дай Вам Бог здоровья и терпения, оптимизма и внутреннего равновесия! Верю, что положительная энергия .
Повторно проходила УЗДС вен нижних конечностей 30.03 опять у врача Пак Д.О. ждала специально его. Я так благодарна ему за профессионализм и доброе отношение к больному, чуткость и неподдельное внимание. Спасибо Вам Дмитрий Олегович.
После многолетних проблем с повышенным давлением и учащенным сердебиением, многократных курсов химиотерапии и лучевой терапии в области сердца, не получив необходимого лечения у кардиологов ВОККДЦ и городской поликлиники, обратилась к доктору Першукову Игорю Викторовичу, положившись на отзывы в .
Проходил в данной клинике мрт, все очень понравилось, вежливый персонал, быстро оформили, все объяснили, предложили консультацию невролога. Всем рекомендую данную клинику!
Записалась на УЗИ 14.02 на 12.40. в 13 не принял узист, сказал ещё ждать 1человека. Вы для чего записываете людей ко времени и говорите приходить заранее оформиться. Я пришла во время, почему я должна так долго ждать? Я ушла и не стала ждать, потому что у меня была ещё одна запись в другой клиник.
Добрый день. Неоднократно обращалась в клинику на Пушкинской как по дмс, так и платно. Практически при каждом посещении возникает проблема при оформлении документов/оплате из-за очередей к администраторам-кассирам. Недостаточно приходить за 10-15 минут, как предупреждают при записи. Необходимо б.
Проходила УЗИ вен 23.01.21 . Хочу выразить благодарность врачу Дмитрию Олеговичу за доброе , внимательное отношение к пожилой пациентке , кропотливое исследование вен и за то, что объяснил серьёзность моих нарушений назначенного лечения и при этом не напугал меня . Советую обращаться к этому спец.
19.01.2021 проходила в вашем центре колоноскопию. Скажу честно,что шла на процедуру,как на казнь,даже ноги подкашивались. Начиталась в интернете отзывов таких,что . Но ,увидев улыбку врача ,немного отлегнуло. Спокойный,добрый человек. Все сделал отлично. После процедуры позвонила родственникам .
Голопрозэнцефалия на МРТ
Серёжкина А.В. 1, 2 Миненкова Т.А. 2 Разинькова Н.С. 2 Емельянова Т.А. 2 Матвиенко Е.В. 2 Тилипкина К.А. 2
Голопрозэнцефалия относится к порокам развития головного мозга, обусловленным неполным разделением эмбрионального переднего мозга. В норме передний мозг (прозэнцефалон) примерно на 32-е сутки гестации делится на две части: конечный мозг, или телэнцефалон (хвостатые ядра, скорлупу, гемисферы большого мозга), и промежуточный мозг (зрительные бугры, гипоталамусы, бледные шары). Результатом нарушения деления могут быть различные аномалии лица и/или головного мозга. Ключевые слова: голопрозэнцефалия, врожденные пороки развития, педиатрия.
1. Лучевая диагностика и терапия заболеваний головы и шеи : национальное руководство / гл. ред. тома Т. Н. Трофимова. - М. : ГЭОТАР-Медиа, 2013. - 888 с. -(Серия "Национальные руководства по лучевой диагностике и терапии" / гл. ред. серии С. К. Терновой).
2. Влияние различных факторов на плод/ Л.А. Озолиня, И.В. Бахарева, А.В. Тягунова - М. : ГЭОТАР-Медиа, 2017.
3. Неонатология: Национальное руководство. Краткое издание / Под ред. Н.Н. Володина. - М. : ГЭОТАР-Медиа, 2014.
4. The Merck Manual. Руководство по медицине. Диагностика и лечение / гл. ред. Марк Х. Бирс ; пер. с англ. под ред. А. Г. Чучалина. - 2-е изд. - М. : Литтерра, 2011. - 3744 с.
6. Общая неврология/ А. С. Никифоров, Е. И. Гусев. - 2-е изд., испр. и доп. - М. : ГЭОТАР-Медиа, 2015.
7. Патологическая анатомия : национальное руководство / гл. ред. М. А. Пальцев, Л. В. Кактурский, О. В. Зайратьянц. - М. : ГЭОТАР-Медиа, 2014. - 1264 с.
Семилобарная голопрозэнцефалия - серп мозга и межполушарная щель частично сформированы в задних отделах мозга. В передних отделах отмечают «слияние» гемисфер мозга, частичное «сращение» таламусов. Мозолистое тело как анатомическая структура отсутствует, но в области валика могут определять единичные волокна. Выделяют срединный межгемисферный вариант голопрозэнцефалии, когда межполушарная щель присутствует в лобных и затылочных отделах, а сращение (неразделение) происходит в задней лобной и теменной области. Данное состояние также называют синтелэнцефалией.
Этиологическими факторами в ее возникновении считают трисомию 13, 15 и 21 пары хромосом, синдром Дауна, другие хромосомные аберрации, воздействие ионизирующего излучения.
Голопрозэнцефалия – порок, который может быть результатом заболеваний, характерных для Х-сцепленного, аутосомно-рецессивного и аутосомно-доминантного типа наследования. Таким образом, для носителей аутосомно-доминантной голопрозэнцефалии процент рождения ребёнка со стёртой формой порока, составляет 14%, а с выраженной – 21%. Данный порок весьма разнороден, поэтому его проявление у одного из членов семьи может быть обусловлено основным заболеванием: например, если мать больна сахарным диабетом, то есть риск родить ребёнка с голопрозэнцефалией и он составляет 1 %. В случае, если у родителей присутствует синдромальная форма, то у детей может проявиться в случае повторения соответствующего синдрома. Цитогенетическая аномалия может иметь повторение в случае наличия порока у одного из потенциальных родителей. В случаях, если в роду не было ни одного случая проявления данного порока развития головного мозга, его появление может иметь место в 4-5% случаев. В некоторых из них возникновение аномалии объясняется дигенным наследованием. [5]
Эта аномалия является одной из наиболее распространенных нарушений формирования конечного мозга. Первое полное описание патологии было подготовлено в 1963-м году В. Де Маейром. Исследователь выделил три разновидности данного состояния: алобарную, семилобарную и лобарную. В 1993 году после дополнительного изучения специалисты выделили четвертый подтип голопрозэнцефалии – среднее межполушарное слияние, представляющего собой самый мягкий вариант этого заболевания. Встречаемость всех форм патологии по различным данным составляет 1 случай на 8000-16000 родов, особенно часто такие пороки выявляются у выходцев из Пакистана, Гавайев и Юго-Восточной Азии. У девочек голопрозэнцефалия диагностируется примерно в 2 раза чаще, чем у мальчиков. [2]
Проявления голопрозэнцефалии сильно различаются в зависимости от формы патологии. Тем не менее, существуют общие симптомы, характерные практически для всех разновидностей заболевания. В список таких симптомов входят расщепление твердого нёба и верхней губы, выявляющиеся почти у всех пациентов (за исключением варианта среднего межполушарного слияния). Кроме того, у всех больных голопрозэнцефалией наблюдаются судорожные припадки, тяжелая умственная отсталость, нарушение рефлексов, патологии роговицы и сетчатки. При наиболее тяжелой алобарной форме заболевания выявляется циклопизм, отсутствие носа, резкое уменьшение размера головы и многочисленные пороки других органов. [6] При этом типе голопрозэнцефалии в 70% случаев происходит самопроизвольный аборт или мертворождение, выжившие младенцы крайне редко доживают до 6-ти месяцев.
Семилобарная форма заболевания характеризуется более мягкими симптомами. Глаза больных близко расположены (гипотелоризм), голова несколько уменьшена в размерах, нередко имеются дефекты носа (недоразвитие одного носового хода). Голопрозэнцефалия этого типа, тем не менее, является достаточно тяжелым состоянием, больные умирают в первые два года жизни. Лобарная форма характеризуется еще более легкими проявлениями. При своевременной хирургической коррекции дефектов нёба и верхней губы возможно достижение пациентами подросткового и даже взрослого возраста. Летальность при этой разновидности голопрозэнцефалии во многом зависит от наличия или отсутствия сопутствующих заболеваний и пороков развития. Вариант среднего межполушарного слияния характеризуется отсутствием аномалий развития лица, однако умственная отсталость, судорожные припадки и другие неврологические проявления сохраняются. Семилобарная форма – классический вариант голопрозэнцефалии, проявляющийся тяжелыми, но менее выраженными аномалиями развития. Она также является самым распространенным типом заболевания, составляющим от 40 до 60% всех эпизодов патологии.
В педиатрии и неонатологии диагностика голопрозэнцефалии не представляет особых затруднений, поскольку даже стертый вариант среднего межполушарного слияния достаточно легко выявить методами современной медицинской визуализации. Нередко это заболевание диагностируется еще на пренатальном этапе при проведении профилактических ультразвуковых исследований (иногда – уже на 12-й неделе беременности). [3] На УЗИ можно отчетливо увидеть аномальное строение черепа и головного мозга плода. При алобарной форме мозг выглядит как наполненный жидкостью пузырь без каких-либо признаков разделения на полушария. Семилобарный тип голопрозэнцефалии характеризуется наличием борозды в задней части мозга, соответствующей неполному или начальному разделению на полушария. Лобарная форма заболевания несколько сложнее обнаруживается при помощи УЗИ, поскольку признаки нарушения разделения мозга фиксируются только в его глубоких слоях – мозолистом теле, таламусе и желудочках. [1]
Определить наличие голопрозэнцефалии на пренатальном этапе развития можно при помощи методов молекулярной генетики. Материал для исследования в подозрительных случаях (неоднозначные результаты УЗИ, наличие аналогичных нарушений у родственников или при прошлых беременностях, микросимптомы у родителей, сахарный диабет у матери) берут методом амниоцентеза или биопсии ворсин хориона. Генетическая диагностика голопрозэнцефалии может включать в себя прямое секвенирование гена SHH для выявления мутаций, а также исследование кариотипа плода или ребенка для выявления хромосомных патологий. Примерно в 60% случаев заболевания изменения кариотипа не обнаруживаются, поэтому методика считается низкоспецифичной. [4]
На МРТ при семилобарной голопрозэнцефалии межполушарную щель определяют между затылочными долями. Таламусы частично разделены, вследствие чего III желудочек небольшого размера. Лобные доли не разделены. Мозолистое тело не визуализируют.[1]
Голопрозэнцефалию возможно диагностировать, начиная с 13-14 нед гестации с помощбю ультразвукового исследования. В большинстве случаев диагноз ставят на 20-24-й неделе. [3] Пренатальная диагностика голопрозэнцефалии основана на обнаружении сочетанных аномалий лицевого черепа, лица и головного мозга. Определение аномалий лица заставляет заподозрить и начать более подробный поиск интракраниальных изменений, таких как единственный желудочек мозга, сращение таламусов, отсутствие межполушарной щели, микроцефалию. По данным УЗИ невозможно уверенно дифференцировать алобарную и семилобарную голопрозэнцефалию. Диагностика лобарной голопрозэнцефалии связана с большими трудностями.
В пренатальном периоде голопрозэнцефалию следует дифференцировать от вентрикуломегалии выраженной степени, гидранэнцефалии, энцефалоцеле, внутримозговых кист.
В качестве примера мы приводим клинический случай семилобарной голопрозэнцефалии, диагностированной у ребенка в возрасте 1 мес 4 дня в Курскую ОДКБ поступил ребенок Даниил Р., с жалобами на срыгивания, периодическое беспокойство.
Из анамнеза известно: ребенок от 7 беременности, на фоне приема регулона, цикличных менструаций, мать на учете не состояла, 4 преждевременных домашних родов. При рождении: вес 1700г, рост 42см. Ребенок осмотрен участковым педиатром на 10сутки. Нейросонография по м/ж межполушарная щель смещена влево, визуализируется большое количество жидкостного элемента. Госпитализирован в Курскую ОДКБ в отделение №3 для обследования и лечения.
Аллергоанамнез не отягощен. Наследственность не отягощена.
Объективные данные при поступлении: Общее состояние ребенка средней степени тяжести. На грудном вскармливании. Вес 3600г, рост 51см. Слизистые чистые, влажные. Склеры – субиктеричные. Дыхание ритмичное, хрипов нет. ЧД =36 в мин. Тоны сердца ритмичные. ЧСС =134 в мин, АД 85/55мм.рт.ст. Пупочная грыжа небольших размеров. Наружные половые органы сформированы по мужскому типу, обе половины мошонки увеличены в размерах. Головка полового члена открыта, отверстие уретры смещено книзу.
В неврологическом статусе: Сознание ясное. Улыбается. Окружность головы 37,5см, большой родничок 2,0х2,0см на уровне костей черепа. Голова гидроцефальной формы. Менингиальные симптомы отсутствуют. Двигательная активность сохранена. Мышечный тонус умеренно повышен по флексорному типу в сгибателях конечности. Рефлексы: Бабинский+, Моро+, ползания +, опора+, рефлекс автоматической ходьбы+, при тракции за руки голову выводит. В положении на животе голову выводит, опора на предплечья.
При УЗИ головного мозга: Структуры мозга сформированы неправильно, правое полушарие практически полностью отсутствует. Ядра таламуса и структуры задней черепной ямки сохранены, но правое ядро таламуса гипоплазировано. Эхогенность левого полушария средняя. Рисунок извилин и борозд отчетливый слева. Межполушарная щель в сечении через тела боковых желудочков :1,7 (N-до 4 мм). Субдуральное пространство : 0 мм (N-2 мм) Субарахноидальное пространство D=1.7 мм; S=1.8 (N-2 мм). Боковые желудочки: правый желудочек отсутствует. Передний рог s=4,0 мм, латеральный рог – s=3,0 мм, задний рог-s=7,0мм. Третий желудочек в сечении через тела боковых желудочков : 3,0 мм(N-3 мм), форма желудочка неправильная. Четвертый желудочек в сагиттальном сечении : 3,0 мм (N-4 мм). Сосудистые сплетения контуры ровные толщина:левое-7,0мм, структура однородная. Мозжечок, таламус, подкорковые ядра – эхогенность повышена справа повышена, слева без особенностей, эхоструктура однородная. Заключение: ВАР головного мозга, характерная для алобарной формы голопрозэнцефалии.
Так же пациенту Р. было проведено МРТ головного мозга: Заключение –полученные данные могут соответствовать МР-картине семилобарной голопрозэнцефалии.

Были проведены консультации специалистов и сделаны такие заключения:
- Консультация невролога: ВАР головного мозга, характерная для алобарной формы голопрозэнцефалии. Последствия перинатального гипоксически-ишемического поражения ЦНС. Синдром двигательных нарушений.
- Консультация генетика МГК: ВАР головного мозга: семилобарная голопрозэнцефалия. Перинатальная энцефалопатия. Синдром двигательных нарушений
За время пребывания в стационаре пациент Р. Находился на грудном вскармливании и получал ноотропную поддержку – курс церебролизина; метаболическую терапию – Витамин D3, левокаринитин ; симптоматическую терапию - Урсофальк.
Выписан в стабильном состоянии. Вес при выписке 3960г (+360г). Неврологический статус без динамики.
Специфического лечения голопрозэнцефалии не существует. Осуществляют хирургическую коррекцию аномалий развития лица, проводят симптоматическую терапию. При семилобарной форме заболевания к помощи нейрохирургов прибегают редко из-за тяжести состояния больного – ребенок попросту может не вынести такую операцию. Пациентам, дожившим до детского или взрослого возраста, необходимо лечение у психиатра, дефектолога. [5]
Прогноз при большинстве форм голопрозэнцефалии неблагоприятный – больные либо умирают в первые часы, дни, месяцы или годы жизни (алобарная и семилобарная формы), либо на всю жизнь остаются умственно отсталыми, страдают от судорожных припадков и других неврологических нарушений. У ребенка могут наблюдаться проблемы со зрением, обонятельные нарушения, эндокринологические расстройства, а также гидроцефалия. [7]
Читайте также:
