Анатомия: Рентгеноанатомия почки
Добавил пользователь Евгений Кузнецов Обновлено: 14.12.2025
Рентген почек – лучевой метод исследования, призванный оценить анатомическое строение и функциональное состояние мочевыделительной системы. Один из наиболее распространенных методов обследования пациентов при подозрении на мочекаменную болезнь.
Что собой представляет?
Метод основан на способности рентгеновских лучей проходить через ткани организма, от степени плотности которых зависит степень затемнения (так называемой тени) на готовом снимке. Учитывая вредное воздействие ионизирующего излучения на организм, интенсивность лучей строго дозируется, а процедура проводится только по медицинским показаниям.
Рентгенография почек: показания для проведения обследования
- Мочекаменная болезнь или подозрение на нее
- Хронические заболевания почек (в целях наблюдения и контроля лечения)
- Диагностика опухолей, метастазов
- Травмы тазовой, поясничной области
- Послеоперационный контроль
- Существенные отклонения в анализе мочи: гематурия (кровь в моче), протеинурия (белок в моче), патологическое изменение запаха, цвета, плотности и прозрачности мочи
- Боли характерной локализации (поясничная область и низ живота), почечная колика
- Болезненное мочеиспускание
- Подозрение на непроходимость (обтурацию) мочевыводящих путей, задержка мочи, отеки век и лица
- Гипертензия
- Уточнение ультразвукового исследования
Рентген (урография) почек: виды исследования
- Обзорный рентген почек – снимок в прямой проекции без контрастного вещества. Позволяет оценить расположение, форму и количество почек, состояние костной системы близлежащих областей, крупные очаги воспаления, некроза, опухолей, крупные кальциевые конкременты
- Экскреторная урография – рентген почек с контрастным веществом. Позволяет оценить экскреторные (выделительные) функции почек: состояние системы, целостность и проходимость мочевыводящих путей; выполняется в двух и более проекциях
- Прямая пиелография – ввод контраста через катетер из нижних мочевыводящих путей или через нефропиелостому непосредственно в почку. Выполняется в стационаре
Контрастная урография
Наиболее информативный, простой и недорогой метод исследования. Может проводиться амбулаторно: сразу после процедуры пациент отправляется домой. Основное преимущество – это введение контрастного вещества на основе йода, которое, по мере фильтрации клубочковой системой и выведения через мочевыводящие пути, подсвечивает различные участки на снимке.
Что покажет рентгенография почек?
Метод позволяет определить:
- Анатомические особенности строения органа: количество, расположение, форму, размер, однородность, целостность
- Функциональные особенности: скорость фильтрации и выведения вещества, наполняемость системы внутри почки, диаметр и проходимость мочевыводящих путей
- Инородные включения: наличие конкрементов (камней), инородных повреждающих частиц (отломков костей после травмы, осколков)
- Опухоль, ее размеры, распространенность, наличие метастазов
Как проходит процедура?
Пациенту вводится контрастное вещество, после чего выполняется 3 снимка через строго определенные интервалы времени: первый – через 5–7 минут после введения, второй – через 15–17 минут, третий – через 20–23. Таким образом, снимок фиксирует контраст в системе, затем в мочеточнике и, наконец, в мочевом пузыре.
Как подготовиться к рентгену почек
- До направления на исследование врач назначает анализы, позволяющие исключить почечную недостаточность. Некоторые лекарственные препараты принимать не следует; важен аллергический анамнез, при его наличии необходима консультация аллерголога
- За 3 дня до процедуры из рациона исключаются газообразующие продукты
- Накануне процедуры (утром, натощак) при наличии запора рекомендуется очистительная клизма. Исследование проводится натощак
- Перед процедурой пациент снимает металлические украшения, часы, протезы, ремень и располагается на кушетке в легкой одежде без застежек. Области, не участвующие в исследовании, накрываются свинцовым фартуком
Противопоказания к проведению рентгенографии почек
Противопоказанием к рентгену является только беременность, остальные ограничения относятся к введению контраста:
- Аллергия на йодсодержащие препараты
- Реакции гиперчувствительности в анамнезе
- Астма
- Декомпенсированная почечная недостаточность
- Сердечная недостаточность вне компенсации
- Коллапс, шок, кома
- Применение некоторых гипогликемических средств
- Беременность и грудное вскармливание
- Возраст менее недели от рождения
Возможные побочные действия рентгена почек с контрастом
Наиболее частые – это аллергические реакции. Также во время введения контраста могут возникнуть: кратковременное чувство жара, тошнота и необычный привкус во рту.
Преимущества проведения процедуры в МЕДСИ
- Наличие последнего поколения, позволяющих индивидуально выставлять экспозицию
- Оснащение и технические возможности аппаратуры обеспечивают более 50 видов рентгенографических исследований
- Снимки описывают с большим практическим опытом
- Возможна экстренная рентгенография при травмах, острых состояниях
- Проведение рентгенографии детям разных возрастов
В некоторых клиниках МЕДСИ запись на рентгенографию не требуется. Для уточнения подробностей звоните по круглосуточному
Рентген почек и мочевыводящих путей
Один из методов диагностики почек и других органов мочеполовой системы – рентген. Он считается одним из наиболее точных и безопасных обследований. Применяется несколько видов рентгена почек и мочевыводящих путей, каждый из которых имеет свои особенности и цели проведения. Необходимое обследование почек и других органов на современном цифровом аппарате можно пройти в лечебно-диагностическом центре «Кутузовский».
Что покажет урография
Рентгенологическое обследование почек и мочевыводящих путей или урография позволяет обнаружить патологии такие заболевания и состояния:
- Мочекаменная болезнь – нарушение в эндокринных процессах обмена веществ, которое приводит к образованию конкрементов разных размеров и состава.
- Пиелонефрит – воспалительные процессы в почках.
- Поликистоз – образование в них многочисленных кист, которые замещают ткани почек.
- Дистрофия, нефроптоз – патологическую подвижность или расположение органа.
- Гидронефроз (водянка) почек – нарушение оттока мочи из почек из-за расширения почечной лоханки и чашечек.
- Туберкулез почек – инфекционно-воспалительный процесс в почках из-за заражения возбудителями туберкулеза.
- Присутствие инородных тел в мочевыделительной системе.
- Доброкачественные и злокачественные опухоли.
По снимкам можно определить:
- Особенности органов – строение, расположение, форма, размер, целостность и однородность структуры.
- Особенности работы – с какой скоростью фильтруется и выводится вещество, как наполняется почка, какой диаметр и проходимость мочевыводящих путей.
- Особенности опухолей и инородных частиц – присутствие кальцинатов, кристаллов солей и других отложений, размеры новообразований, наличие метастаз и другие детали.
Кроме почек на снимках видны соседние органы – желчный пузырь, тазовые кости, пояснично-крестцовый отдел позвоночника.
Виды урографии
В зависимости от метода проведения различают:
- Обзорную рентгенографию почек – снимок, который применяется как первичное исследование для оценки анатомических особенностей почек и других органов малого таза, определения опухолей, воспалений, отложений камней. Снимок делается в прямой проекции без введения контрастного вещества.
- Экскреторную урографию – рентген с контрастом (быстро выводимыми маркирующимися веществами), для изучения функциональности почек, проходимости и целостности мочевыводящих путей. Снимки делаются как минимум в двух проекциях, а метод отличается большей степенью точности в сравнении с обзорным рентгеном.
- Инфузионную урографию – рентген, при котором контрастное вещество вводится внутривенно.
- Прямую пиелографию – рентген с контрастом, вводимым из нижних мочеполовых путей через катетер.
Каждый видов урографии отличается особенностями проведениями и имеет свои цели и показания для назначения.
Показания
Обзорный рентген почек назначают для:
- Обследования особенностей строения и расположения почки.
- Обнаружения конкрементов в мочевыделительной системе.
Для уточнения характера и особенностей уже выявленных патологий, применяются экскреторная или внутривенная урография. Исследование позволяет узнать насколько проходимы мочеточники, как работают почки, особенности новообразований, инородных тел, точное строение органов мочевыводящей системы (почек, мочевого пузыря, мочеточников) и другие особенности.
Основные показания для экскреторной урографии:
- Обнаруженные на обзорном рентгене патологии.
- Боли в области поясницы или живота.
- Отклонения от нормы в анализах мочи, которые сохраняются более месяца.
- Макрогематурия – заметные следы крови в моче.
- Повышенное артериальное давление без выявленных причин со стороны сердечно-сосудистой системы.
- Субфебрильная температура тела без заболеваний органов дыхания или других систем.
- Аномалии и пороки развития наружных половых органов.
- Травмы поясницы и живота.
- Недержание мочи.
Противопоказания для рентгена почек
Заменить урографию на другие методы диагностики (УЗИ, МРТ и прочие) придется при:
- Беременности на любом сроке – есть риск для развивающегося плода.
- Тяжелой форме почечной недостаточности.
- Аллергии на йод для процедур с контрастом.
- Тяжелом состоянии здоровья пациентов.
Возможные противопоказания лечащий врач обсудит при назначении обследования и при необходимости предложит альтернативу рентгену. Перед обследованием сдается анализ крови и проба на выявление аллергической реакции на контраст.
Подготовка
Для хорошей визуализации всех внутренних органов необходимо тщательно очистить кишечник, скопления газов в котором могут стать причиной затемнения снимков. Для этого за 3-4 дня до рентгена пациенту рекомендуется придерживаться диеты без некоторых продуктов (капусты, бобовых, черного хлеба и других).
За день до обследования можно принимать активированный уголь, чтобы снизить метеоризм, а перед процедурой обязательно очищение кишечника. Рентген почек делается натощак, накануне вечером возможен легкий ужин.
Как проходит урография
Пациенту перед входом в рентгеновский кабинет необходимо снять одежду, надев специальный халат, металлические украшения. Снимки делаются в положении лежа или стоя, по решению врача. Время обследования зависит от метода, использования контрастных веществ и особенностей работы почек. Процедура совершенно безболезненна, а главное, что требуется от пациента – не двигаться несколько секунд пока выполняется снимок.
Результат рентгена – один или серия снимков области обследования. Изображения сохраняются на диске (или другом носителе информации), а на основе снимков рентгенологи составят заключение. В нем подробно описывается строение, состояние почек, мочевого пузыря и мочеточников, обнаруженные патологии и их особенности.
Рентгенография почек и мочевыводящих путей в Москве
Приглашаем на урографию и другие обследования в нашу клинику. Наши приоритеты в работе:
- Забота о пациенте и его здоровье.
- Качество предоставляемых услуг и сервиса.
- Высокая точность диагностики благодаря передовому оборудованию.
Мы уверены в профессионализме наших врачей – у каждого из них большой опыт работы, регулярное повышение квалификации на курсах и тренингах, специализированное обучение работе диагностическом оборудовании клиники.
Все это позволяет быстро и точно поставить диагноз и определиться с оптимальным методом лечения самых разных патологий.
Анатомия: Рентгеноанатомия почки
При обычной рентгенографии поясничной области можно видеть контуры нижней половины почек. Для того чтобы увидеть почку целиком, приходится прибегать к введению воздуха в околопочечную клетчатку — pneumoren.
Рентгенологически можно определять скелетотопию почек. При этом XII ребро при саблеобразной форме наслаивается на середину почки, при стилетообразной форме — на ее верхний конец.

Верхние концы почек слегка наклонены медиально, поэтому продолжения длинных осей почек пересекаются над последними на высоте IX—X грудных позвонков.
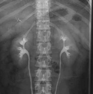
Рентгеновские лучи позволяют исследовать у живого экскреторное дерево почки: чашки, лоханку, мочеточник. Для этого инъецируют в кровь контрастное вещество, которое выделяется через почки и, присоединяясь к моче, дает на рентгенограмме силуэт почечной лоханки и мочеточника (контрастное вещество можно ввести и непосредственно в почечную лоханку с помощью мочеточникового катетера и особого инструмента — цистоскопа). Этот метод называется уретеропиелография.

Лоханка на рентгенограмме проецируется на уровне между I и II поясничными позвонками, причем справа несколько ниже, чем слева.
По отношению к почечной паренхиме отмечают два типа расположения почечной лоханки: экстраренальный, когда часть ее находится вне почки, и интраренальный, когда лоханка не выходит за пределы почечной пазухи.
Рентгенологическое исследование выявляет перистальтику почечной лоханки. При помощи серийных рентгенограмм можно видеть, как сокращаются и расслабляются отдельные чашки и лоханка, как открывается и за крывается верхний сфинктер мочеточника. Эти функциональные изменения имеют ритмичный характер, поэтому различаются систола и диастола экскреторного дерева почки. Процесс опорожнения экскреторного дерева протекает так, что большие чашки сокращаются (систола), а лоханка расслабляется (диастола) и наоборот. Полное опорожнение происходит в течение 6 — 8 мин.







Информация на сайте подлежит консультации лечащим врачом и не заменяет очной консультации с ним.
См. подробнее в пользовательском соглашении.
Рентген-анатомия почек, мочеточников, мочевого пузыря. Особенности детского возраста.
Почки располагаются по обеим сторонам позвоночника, обычно на уровне ThXII-LIII (справа) и ThXI—LII (слева). В отличие от взрослых у детей, особенно младшего возраста, почки относительно большие, поэтому на рентгенограммах нижние полюса их расположены ближе к гребню подвздошной кости и нередко находятся на уровне последнего. Продольная ось почки расположена параллельно краю поясничной мышцы, так что угол, образованный продольными осями обеих почек, открыт книзу и равен 20—30°, причем у мужчин он обычно несколько больше. Знание этого признака, который легко определяется на рентгенограмме, очень важно, поскольку при патологических состояниях (аномалии развития, пиелонефрит, нефроптоз, паранефрит и т.д.) направление продольной оси почки может меняться с одной или двух сторон.
Нормальные почки дают на рентгенограмме гомогенные бобовидные тени с ровными контурами размером 12x7 см (у мужчин несколько больше, у женщин несколько меньше). Правая почка располагается на 1,5—2 см ниже левой, и тень ее пересекается ХII ребром обычно посредине. У 30% людей обе почки расположены на одинаковом уровне, у 5% людей левая почка расположена ниже правой.
Размеры почек у детей различны в зависимости от их возраста, у новорожденных 4,5x2,7 см, к году эти размеры увеличиваются в 2 раза, а к 13—14 годам — в 7 раз. Почки у детей относительно большие, а поясничная часть позвоночника сравнительно короткая, поэтому на рентгенограммах нижние полюса почек расположены близко к гребню подвздошной кости, а иногда находятся на уровне последнего.
Определение размеров почек имеет большое диагностическое значение при многих заболеваниях (пиелонефрит, опухоль, нефрогенная гипертензия и т.д.). Почки обладают физиологической «дыхательной» подвижностью в пределах тела одного позвонка. Большая подвижность свидетельствует о нефроптозе, отсутствие смешения — о дистопии или поражении околопочечной клетчатки (паранефрит, педункулит).
Мочеточники на всем протяжении имеют четыре физиологических сужения:
1) в месте перехода лоханки в мочеточник;
2) над подвздошными сосудами;
3) в предпузырном отделе (юкставезикальная часть мочеточника);
4) в интрамуральном отделе.
Мочеточник состоит из трех цистоидов — веретенообразных резервуаров, между которыми на уретерограмме обычно заметны сужения. Длина мочеточника взрослого человека составляет 25—30 см, наружный диаметр — 1—1,3 см, внутренний диаметр — 0,4—0,6 см.
Длина мочеточника у новорожденного составляет 5—7 см, он избыточно развит, в поясничном отделе значительно расширен, имеет коленообразные изгибы; к первому году жизни длина мочеточника достигает 9—10 см, к 2 годам — 13—14 см, к 5, 7, 16, 18 годам — 10, 15, 20, 25 см соответственно. Длина интрамурального отдела мочеточника с возрастом также претерпевает значительные изменения: у новорожденных она варьирует в пределах 4—6 мм, а у 12-летних детей достигает 10—13 мм. В последующие годы жизни длина данного отдела мочеточника не увеличивается.
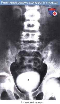
В мочевом пузыре различают верхушку, шейку, дно и тело. Верхушка - место перехода мочевого пузыря в среднюю пузырно-пупочную связку (заросший урахус). Дно — наиболее широкая нижнезадняя часть мочевого пузыря, обращенная у мужчин в сторону прямой кишки, у женщин — в сторону матки и верхней части передней стенки влагалища. Шейка - суженная часть мочевого пузыря, граничащая с мочеиспускательным каналом. Средний отдел, расположенный между верхушкой и дном мочевого пузыря, называется телом.
В наполненном мочевом пузыре различают переднюю, заднюю, верхнюю, правую и левую боковые стенки. На рентгенограммах нормальный мочевой пузырь, наполненный рентгеноконтрастным веществом, имеет овальную (у женщин) или шаровидную (у мужчин) форму и ровные четкие контуры. Нижняя граница мочевого пузыря обычно расположена на уровне верхнего края симфиза лобковых костей или немного ниже.
У новорожденных мочевой пузырь выступает над симфизом; с возрастом он постепенно опускается в малый таз. Емкость мочевого пузыря у новорожденных колеблется в пределах 50—80 мл, с возрастом он увеличивается. Емкость пузыря для каждого возраста определяется по формуле: 146 + (6,1 х возраст).
Рентген почек у детей отличается от исследования у взрослых.
Детям практически никогда не делают рентгеноскопию (просмотр без снимка в лучах рентгена), только рентгенографию.
Проводится только по показаниям, после проведения ультразвукового исследования.
Чаще всего ребенку вводят седативные препараты для легкого наркоза.
Повторные исследования стараются делать через большие промежутки времени.
Обследование делается в присутствии врача, чаще – двоих – рентгенолога и анестезиолога.
Для маленьких детей нужны помощники для фиксации ребенка. Обычно в их роли выступают родители, которые одевают защитные просвинцованные фартуки.
Йод-содержащий контраст вводят в расчетной дозировке, исходя их массы тела ребенка.
В качестве подготовки перед исследованием рекомендуют не только проведение двукратной очистительной клизмы. Ребенку в течение 1-2 дней до исследования дают препараты типа «Эспумизан» в возрастной дозировке, а за час до процедуры ставят газоотводную трубку.
Детям старше года за 2 дня до обследования отменяют в рационе жареное мясо, бобовые, компот, соки, фруктовые каши.
За 6-8 часов до экскреторной урографии ограничивают прием жидкости.
На рентген можно взять 1-2 игрушки и соску-пустышку.
Нужно взять также молоко или жидкую молочную кашу в бутылке: если газов в кишечнике настолько много, наполнение желудка таким содержимым может спасти ситуацию.
Рентген почек

Рентгенография почек, в отличие от УЗИ, несет некоторую лучевую нагрузку на организм, однако бывает необходима для уточнения диагноза и дополнения сведений, полученных путем ультразвукового исследования. Рентген почек позволяет выявить патологии почек, оценить структуру, а также функциональную способность данного органа.
Существует два основных метода проведения рентгенодиагностики почек: обзорный метод и методика введения контрастирующего йодсодержащего вещества. Для более точной визуализации строения почек и сосудов используется второй метод. Введение рентгеноконтрастного вещества производится внутривенным способом (экскреторная урография), либо посредством катетера или прямого укола в почку (инфузионная урография). Тот или иной метод диагностики выбирается в зависимости от предварительного диагноза на основании клинических симптомов и анамнеза.
Показания для проведения рентгенодиагностики почек
Есть ряд очевидных признаков, когда однозначно потребуется пройти рентген почек:
- сильные боли в области поясницы;
- моча имеет примеси слизи, крови и нехарактерный запах;
- отечность в области вен, голеней;
- отклонения от допустимых показателей анализа крови;
- недостаточность данных, полученных посредством ультразвукового способа обследования почек и/или мочевого пузыря.
Основанием для назначения врачом урографии почек будут следующие симптомы и показания:
- кровь в моче;
- почечные колики;
- рецидивирующих инфекционные заболевания мочевыделительной системы;
- мочекаменная болезнь;
- признаки обструкции мочеточника;
- послеоперационный период;
- необходимость определения локализации камня, застрявшего в мочеточнике, камней в мочевом пузыре и почках;
- дисфункция почек и мочеточников;
- признаки пассивного рефлюкса;
- опущение почек;
- симптомы гидронефроза;
- опухоли и метастатические процессы;
- различного рода травмы
Обзорная рентгенография – более простой метод лучевой диагностики, дающий представление в основном об анатомических параметрах органа: размере, форме, локализации почек, позволяет обнаружить камни крупных размеров. К подобному малоинформативному способу прибегают только в случае, если контрастная рентгенография почек неприменима, например, по причине аллергической непереносимости йода у пациента. Обзорный рентген, к примеру, не дает возможности обнаружить камни, состоящие из цистина, фосфатов, оксалаты. Также к неинформативности снимка может привести наложение изображения позвонков, газы кишечника и т.д.
Что покажет урография
- локализацию и форму камней в мочевыделительной системе;
- причину рецидивирующих заболеваний инфекционного характера;
- эффективность проведенного хирургического вмешательства, либо ультразвукового дробления камней;
- кисту и поликистоз;
- опухоли;
- опущение;
- степень перекрытия мочевыводящих каналов;
- аномалии развития мочеточников, почек, мочеполовой системы в целом;
- различного рода травматические последствия (разрывы почек, мочеточника, повреждения мочевого пузыря и т.д.)
- пиелонефрит и другие воспалительные заболевания бактериальной природы;
- признаки протекания туберкулезных процессов;
- почечную гипертензию
Что необходимо сделать перед процедурой урографии
Подготовка к рентгенографии почек предполагает, что за двое – трое суток перед планируемой процедурой обследуемой исключит из рациона продукты, вызывающие газообразование в кишечнике. Это связано с тем, что газы значительно снижают информативность рентгеновских изображений. К такого рода продуктам питания относят: свежие овощи и фрукты, ржаной хлеб, капуста, картофель, бобовые, газированные напитки, молоко, сдобные изделия. Если пациент страдает запорами, то необходимо принимать слабительные, накануне вечером, а затем утром поставить клизму. Процедура выполняется натощак. Однако, чтобы избежать образования «голодных газов», можно выпить несладкий чай и съесть яйцо или кусочек сыра, особенно если процедура запланирована не на утро.
Как проходит процедура рентгенодиагностики почек
Обзорный рентген и урография отличаются особенностями проведения. Обзорный метод производится согласно следующему алгоритму:
- пациент снимает все металлические предметы со своего тела, раздевается до пояса;
- занимает горизонтальное положение на специальном столе (при необходимости делают и вертикальный снимок)
Урография почек – более сложная процедура. В данном случае последовательность действий выглядит так:
- исключение возможности аллергических реакций на йод и йодсодержащие вещества (проведение проб, изучение анамнеза);
- информирование обследуемого о необходимости контроля состояния в момент введения контрастирующего вещества в организм и признаках нормальной реакции, которые однако не должны быть чрезмерными: тошнота, жжение, покраснение лица (в случае экскреторной урографии почек), неприятные ощущения в области над лобком и в мочеточнике (в случае пиелографии). Если будет наблюдаться сильный приступ тошноты, зуд, пигментация кожи, слезотечение, кашель, затрудненность дыхания, исследование должно быть остановлено;
- пациент принимает седативное средство, либо анальгетик;
- требуется опорожнить мочевой пузырь непосредственно перед исследованием;
- получение изображения методом обзорной урографии;
- введение рентген-контрастного вещества;
- получение рентгенологических проекций с некоторыми временными интервалами: 5-я – 7-я минуты, 12-я – 15-я минуты, 20-я – 25-я минуты, возможно, потребуется снимок на 45-й – 60-й минутах.
После этого врач-рентгенолог даст детализированное описание полученных изображений, врач, который направил сделать рентген почек, на основании предоставленных данных сможет провести анализ функционирования почек, скорости процессов фильтрации плазмы крови, визуализирует форму почек, аномалии развития, увидит структуру мочевыводящих каналов, лоханки и мочевого пузыря. Сопоставив все с клиническими симптомами и анамнезом, врач поставит диагноз.
Цена экскреторной урографии и пиелографии выше, чем обзорной рентгенографии.
Специфика рентген-исследований почек у детей

Такая процедура проводится только в случаях, когда данных, полученных в результате УЗИ, недостаточно для постановки диагноза. Есть ряд особенностей проведения процедуры:
- ребенку вводят препараты седативного действия;
- процедура проводится в присутствии врача и иногда – анастезиолога;
- если ребенок маленький, потребуются взрослый (обычно родители), который поможет удерживать ребенка в максимально неподвижном положении;
- двукратное очищение клизмой кишечника накануне процедуры обязательно
Противопоказания процедуры рентгенодиагностики почек
Лучевая диагностика методом рентгенографии противопоказана беременным женщинам, особенно в первом триместре беременности. Рентген на столь ранних сроках показан только в качестве экстренной меры. В остальных случаях процедуру переносят, как минимум на второй триместр беременности. Кроме того, категорически противопоказан рентген почек в случае почечной недостаточности, аллергической реакции на йод (контрастный).
Цена рентгена почек будет зависеть от того, какая методика рентгена используется, какое количество снимков в разных проекциях необходимо, от размеров исследуемых участков тела. В Немецкой Семейной клинике пациенты любого возраста могут пройти урографию на низкодозном цифровом оборудовании. Такое оборудование может быть использовано даже для диагностики детей грудничкового возраста.
Читайте также:
