Аневризма предсердной перегородки. Аневризма межжелудочковой перегородки.
Добавил пользователь Евгений Кузнецов Обновлено: 27.01.2026

Нарушение анатомического строения сердца (пороки сердца) всегда негативно сказывается на жизни человека. К таким нарушениям относится и аневризма межпредсердной перегородки (АМПП). Она встречается как у взрослых, так и у маленьких детей и представляет собой деформацию перегородки между предсердиями. В совокупности с другими патологиями сердца, может привести к летальному исходу. Рассказываем, как АМПП лечат, и как избежать осложнений.
Особенности заболевания
Аневризма – выпячивание или расширение стенки артерии, в некоторых случаях вены. Это происходит из-за истончения гладкой мускулатуры в стенках сосудов. В результате происходит увеличение площади поверхности сосуда, что ведет к нарушению кровообращения. Это явление может быть как врожденным, так и приобретенным.
Аневризмы могут быть истинными или ложными. Стенками истинной аневризмы всегда является стенка сосуда, пусть и измененная. Ложные аневризмы образуются чаще всего в результате повреждения артериального сосуда, когда стенками аневризмы становятся прилежащие мягкие ткани. Как и все аневризмы сердца, АМПП относится к истинным.
Межпредсердная перегородка – это внутренняя стенка сердца, разделяющая левое и правое предсердия, камеры, в которых начинаются малый и большой круг кровообращения.
Аневризма межпредсердной перегородки – это первичная аномалия развития межпредсердной перегородки (МПП). Патология представляет собой выпячивание части МПП в левое или правое предсердие из-за повышенной эластичности тканей. Растяжение вызывает давление крови во время сердечных сокращений.
Это заболевание относится к малым порокам сердца и редко несет серьезную опасность для жизни и здоровья. Но оно способно усилить негативное воздействие других сердечных патологий.
При выпячивании аневризмы более чем на 10 мм. в любое из предсердий, существует риск нарушения динамики крови. В этом случае к АМПП относятся как к более серьезной патологии.
О распространенности АМПП говорить сложно. Исследования, по данному вопросу, имели различные выборки пациентов и разные методы диагностики. Поэтому предполагаемый диапазон частоты встречаемости заболевания широк. По разным данным АМПП наблюдается у 1-5% населения, а иногда исследователи говорят о более чем 10%.
Формы АМПП
У АМПП широкая классификация, которая строится как на анатомических особенностях заболевания, так и на причинах и особенностях его возникновения.
Первоначальная анатомическая классификации выделяла три типа АМПП:
- P – Аневризма выпячивается в правое предсердие;
- L – Аневризма выпячивается в левое предсердие;
- S - образная. В этом случае разные участки перегородки выпячиваются в разные предсердия, образуя S - образный изгиб.
Современная классификация выделяет 5 форм, которые позволяют более точно анализировать особенности гемодинамики:
- Тип 1R. АМПП выгибается в правое предсердие от центра перегородки в процессе сердечных сокращений.
- Тип 2L. АМПП выгибается в левое предсердие от центра перегородки.
- Тип 3RL. Максимальное выпячивание аневризмы в правое предсердие с последующим частичным выгибанием в левое, в процессе сердечных сокращений.
- Тип 4LR. Максимальное выпячивание аневризмы в левое предсердие с последующим частичным выгибанием в правое.
- Тип 5. Аневризма равномерно выгибается в правое и левое предсердие.
Классификация АМПП по характеру возникновения:
- Врожденные. Обнаруживаются уже в детском возрасте и основными их причинами становятся нарушения эмбрионального развития.
- Приобретенные. Характерны для взрослых людей и возникают в течении жизни.
Классификация АМПП по степени вовлеченности межпредсердной перегородки:
- Частичный. Наиболее распространенный тип, при котором аневризма формируется из ограниченного участка перегородки.
- Генерализованный. Вся МПП подвержена аневризматическому растяжению.
Помимо первичной аневризмы, возникшей из-за анатомических нарушений в тканях, выделяют вторичную АМПП. Она может возникнуть даже на здоровой перегородке в результате слишком сильного кровяного давления в сердце, вызванного другими патологиями. В этом случае лечение направлено на борьбу с заболеванием, ставшим причиной аневризмы.
Причины АМПП
Риск возникновения АМПП берет свое начало во время эмбриогенеза человека. Дело в том, что подавляющее большинство АМПП развивается на месте овального открытого окна (ОО). ОО – отверстие соединяющее левое и правое предсердие, когда ребенок находится в утробе матери.
У ребенка в утробе нет возможности дышать легкими. Поэтому часть крови следует из правого предсердия к легким, чтобы обеспечить их питание и развитие. А остальная часть крови сбрасывается через ОО в левое предсердие и направляется на большой круг кровообращения, для питания всего организма.
После рождения, когда ребенок делает свой первый вдох, и начинает функционировать малый круг кровообращения, необходимость в ОО отпадает. При нормальных условиях оно зарастает в течении нескольких дней. Заросший участок является слабой точкой в перегородке и подвержен максимальным деформациям.
Важно! Закрытие отверстия в течении нескольких месяцев не считается патологией.
Здоровая МПП способна выдерживать давление крови без изменения формы. Однако существует ряд факторов, нарушающих нормальное анатомическое строение перегородки и провоцирующих выпячивание.
Для детей характерна только врожденная АМПП. Главной ее причиной, в большинстве случаев, является образ жизни матери во время беременности и состояние ее здоровья. К факторам, которые вызывают АМПП у младенцев относят:
- Наследственную предрасположенность;
- Инфекционные заболевания во время беременности;
- Курение и употребление алкоголя во время беременности;
- Применение лекарств оказывающих неблагоприятное, тератогенное действие;
- Неблагоприятные условия окружающей среды;
- Авитаминоз.
У взрослых АМПП возникает из-за сердечных патологий, которые ослабляют ткани перегородки.
- Инфаркт миокарда;
- Миокардит;
- Кардиомиопатия.
Приобретенная АМПП классифицируется по скорости развития заболевания:
- Острая аневризма – возникает в течении двух недель после перенесенного инфаркта. Сопровождается повышенной температурой, аритмией и и аномально большим количеством лейкоцитов в крови.
- Подострая аневризма – развивается от трех до шести недель. Аневризма возникает из-за нарушенного формирования соединительной ткани на месте погибших кардиомиоцитов. Сопровождается сердечной недостаточностью и отеком в ногах.
- Хроническая аневризма – развивается более шести недель. Симптоматика соответствует застойной сердечной недостаточности.
Эта классификация необходима для составления плана лечения и прогнозирования заболевания.
Симптомы АМПП
При небольшх выпячиваниях МПП заболевание может проходить бессимптомно, и о наличии патологии может сказать только инструментальная диагностика. Однако у детей подросткового возраста и беременных женщин могут наблюдаться некоторые неспецифические симптомы:
- Небольшое посинение носа и носогубного треугольника;
- Бледная кожа;
- Малый рост и вес;
- Слабый иммунитет;
- Быстрая утомляемость;
- Головные боли и головокружения;
- Потеря сознания;
- Дискомфорт в груди и аритмия;
- Бессонница;
- Запоздалое половое созревание у подростков.
Важно! Высокие физические нагрузки также могут провоцировать проявление симптомов. Они характерны для широкого спектра заболеваний, а характер проявления индивидуален для каждого человека. Поэтому их анализ редко помогает в диагностике конкретного заболевания.
При сочетании АМПП с другими пороками сердца на первый план выходит предрасположенность к легочным инфекциям и хроническому бронхиту.
Существует риск разрыва аневризмы из-за сильного кровяного давления. Симптомы развиваются крайне быстро и представлены:
- Посинением лица и ладоней;
- Повышенным потоотделением;
- Одышкой;
- Потерей сознания.
АМПП при беременности
При наличии у беременной женщины небольшой АМПП не существует каких либо серьезных рисков и противопоказаний. Опасность несут только аневризмы с выпячиванием более 10 мм. В таком случае весь процесс беременности должен проходить под наблюдением специалиста, так как кардинальные изменения в гемодинамике могут стать поводом к отказу от естественных родов и применению кесарева сечения.
Беременность может быть категорически противопоказана, когда аневризма осложнена другими пороками сердца. До 70% АМПП имеют одно или несколько небольших отверстий, которые могут не соответствовать эмбриональному развитию ОО. В таком случае АМПП рассматривают в сочетании с малым дефектом МПП (отверстие в МПП).
При небольших размерах дефекта межпредсердной перегородки (ДМПП) беременность и роды не противопоказаны, но при этом требуется постоянное наблюдение врача.
Однако если размер дефекта МПП достигает определенного значения, могут наблюдаться следующие явления:
- Высокая легочная гипертензия;
- Кардиомегалия;
- Высокая сердечная недостаточность.
В таком случае, на ранних сроках беременности (до 12 недель) производится искусственный аборт, в более поздние сроки – кесарево сечение.
Диагностика заболевания
Широкий спектр неспецифических симптомов и частая бессимптомная картина заболевания требуют точной диагностики. К ним относятся:
- Электрокардиография;
- Допплерография;
- Компьютерная томография;
- Эхокардиографическое исследование.
Они позволяют выяснить местоположение и размер аневризмы, а также наличие сопутствующих заболеваний.
При изучении работы сердца, в первую очередь применяется электрокардиография. Метод основан на регистрации электрических импульсов, которые с пределенной частотой иннервирую мускулатуру сердца, заставляея все его камеры сокращаться в определенном порядке. Это простой безболезненный метод дающий общие представления о работе сердца человека.
При изучении динамики крови применяются методы допплерографии или компьютерной томографии. Благодаря им удается исследовать все особенности, нарушения и аномалии кровообращения, их локализацию и размеры.
Но наиболее эффективным и информативным методом, при диагностике АМПП, является чреспищеводное эхокардиографическое исследование (ЧП-ЭхоКГ). Метод основан на обычном ультразвуковом исследовании, во время которого пациенту через пищевод вводят ультразвуковой датчик. Это позволяет получать наиболее точные данные о работе сердца так как отсутствуют помехи в виде ребер, подкожного жира и слоев мягких тканей.
Для предотвращения рвотного рефлекса применяется местная анестезия глотки и языка. При введении датчика на глубину около 10 см, пациенту необходимо его проглотить. Процедура проводится на голодный желудок и длится 5-15 минут.
Для ЧП-ЭхоКГ существует протокол, по которому необходимо изучать следующие параметры:
- Тип аневризмы согласно современной классификации;
- Длина основания аневризмы и степень вовлеченности перегородки (локальная или генерализованная);
- Длина выпячивания аневризмы;
- Наличие или отсутствие тока крови между предсердиями. При наличии отмечается:
- Размер ДМПП;
- Количество сбрасываемой крови;
- Направление сбрасывания крови.
Противопоказания для ЧП-ЭхоКГ:
Заболевания пищевода (варикозное расширение вен, воспалительные процессы, кровотечения);
Лечение
При размерах аневризмы менее 10 мм в лечении нет необходимости. Пациенту рекомендуют профилактические мероприятия, правильная диета и регулярные осмотры у кардиолога.
При аневризмах больших размеров или при наличии в МПП отверстия, для пациента разрабатывается курс комплексных мероприятий, которые включают в себя как консервативное, так и хирургическое лечение.
Консервативное лечение
Применяется при аневризме, размер которой может повлиять на гемодинамику крови, но хирургическое вмешательство несет больше рисков, чем потенциальной пользы.
В первую очередь оно направлено на:
- Лечение сердечной недостаточности, которое было вызвано аневризмой или заболеванием, которое послужило причиной ее образования;
- Контроль симптомов и снижение нагрузки на сердце с помощью медикаментов;
- Лечение аритмии;
- Поддержание оптимального кровяного давления;
Все лекарственные препараты назначаются исключительно лечащим врачом. В их число входят:
- Сердечные гликозиды;
- Препараты с высоким содержанием витамина B;
- Увеличивающие кровяное давление;
- Лекарства с высоким содержанием калия и магния, способствующие лучшему сокращению сердца;
- Средства, препятствующие образованию тромбов.
К консервативному лечению относят и составление правильной диеты.
Хирургическое лечение
Хирургическое вмешательство показано в следующих случаях:
- При подозрении на разрыв аневризмы;
- При симптомах сердечной недостаточности у пациентов с хронической аневризмой;
- При высокой степени тромбообразования из-за аневризмы.
Операция проходит в 3 этапа:
- Получение доступа к сердцу путем вскрытия грудины и последующей операции на открытом сердце. Для поддержания достаточного количества кислорода в организме применяется метод искусственного (экстракопорального) кровообращения, что позволяет освободить на время сердце от крови;
- Удаление аневризматической части перегородки;
- Замещение удаленного участка перикардиальной заплатой.
Послеоперационный период пациент проводит в отделении интенсивной терапии с проведением искусственной вентиляцией легких до тех пор, пока пациент не вернется в стабильное состояние. Время в стационаре зависит от скорости восстановления пациента и может достигать нескольких месяцев.
Возможные осложнения
При наличии аневризмы возможны следующие осложнения:
- Разрыв аневризмы и резкое изменение гемодинамики;
- Острое нарушение мозгового кровообращения;
- Аритмия;
- Сердечная недостаточность;
- Хроническое низкое артериальное давление.
Прогноз и профилактика
Не существует какого либо целенаправленного метода профилактики АМПП. Есть только общие рекомендации, снижающие риски ее возникновения:
- Сбалансированные физические нагрузки, укрепляющие сосудистую систему, но не вызывающие ее перенапряжения;
- Отказ от вредных привычек. Курение и употребление алкоголя способствуют частым сменам гемодинамики, что ведет к усилению выпячивания;
- Избегание стрессовых ситуаций, отдых при серьезных умственных нагрузках;
- Тщательное планирование беременности;
- Регулярные осмотры у лечащего врача.
Заключение
Аневризма межпредсердной перегородки может быть опасным заболеванием, нуждающимся в серьезном лечении. Однако в большинстве случаев эта патология требует только здоровой диеты и умеренной физической активности и регулярного наблюдения у своего лечащего врача.
Аневризма межпредсердной перегородки
Аневризма (изредка употребляется менее корректный термин «аневризм») – локальное выбухание, выпячивание какой-либо граничной поверхности в виде растянутого мешка, либо веретенообразное расширение стенок кровеносного сосуда (мешотчатые аневризмы также встречаются на сосудах, однако значительно реже). Таким образом, аневризма межпредсердной перегородки (МПП) – это искривление мембраны, отделяющей правое предсердие от левого. В норме эта перегородка герметична, сравнительно пряма и не выгибается, – по крайней мере, существенно, – ни в одну из сторон.
Аневризма МПП многими авторами квалифицируется как патология лишь в том случае, если выпячивание в какую-либо сторону (в правое предсердие, в левое или S-образно) превышает 10 мм и сочетается с пролапсом (провисанием) митрального клапана. В пересчете к общей популяции такая аномалия встречается редко, чаще она сопутствует врожденным заболеваниям соединительной ткани. Аневризму МПП называют «малой сердечной аномалией» или «малым пороком сердца», поскольку в большинстве бессимптомных случаев она не представляет реальной опасности и не нуждается в лечении, да и обнаруживается, как правило, случайно. Однако из этого отнюдь не следует, что о данной аномалии можно забыть, не придавая ей никакого значения: ситуация может резко усугубиться с началом увеличения аневризмы, истончения МПП и ее спонтанного прорыва, после чего динамика становится уже непредсказуемой.
2. Причины
Т.н. овальное окно в МПП после рождения должно зарастать, но в некоторых случаях перегородка остается очень тонкой и в дальнейшем под давлением крови выпячивается. Основными факторами риска, как указано выше, являются генетически обусловленные аномалии продукции и развития соединительной ткани, а также ВУИ – внутриутробные инфекции плода.
3. Симптомы и диагностика
В раннем детском возрасте течение, как правило, бессимптомное. Однако поводом для тщательного обследования, – в т.ч. кардиологического, где обычно и выявляется аневризма, – должны стать отставание ребенка в психофизическом развитии, недостаточная масса тела, частые ОРВИ; на более поздних этапах – признаки инфантильности репродуктивной системы, постоянная бледность, утомляемость от малейших физических нагрузок, боли в области сердца, иногда заметное выпячивание грудной клетки в кардиальной зоне.
В диагностике, помимо анамнеза, результатов клинического осмотра и наблюдения, наибольшее значение приобретает ультразвуковая эхокардиография (ЭхоКГ), которая практически не имеет противопоказаний, допускает повторные исследования в динамике и позволяет наглядно визуализировать аневризму с точной оценкой ее характеристик. В качестве уточняющей диагностики, – обычно для выявления и исследования сопутствующих аномалий и пороков, – дополнительно могут быть назначены чреспищеводное УЗИ, КТ, катетеризация сердца.
4. Лечение
При неосложненной аневризме нет необходимости ни в консервативном, ни в кардиохирургическом лечении (по очевидным причинам любое хирургическое вмешательство на сердце само по себе рискованно и применяется только как крайняя, не имеющая альтернатив мера). Однако наблюдение и регулярные контрольные обследования у кардиолога являются строго обязательными: состояние и размеры аневризмы необходимо отслеживать. В случаях угрожающего развития клинической ситуации больной немедленно госпитализируется, и в кардиохирургическом стационаре производится ушивание дефекта или пластика МПП с использованием биоинертных материалов.
Лечение аневризмы сердца

Лечение аневризмы сердца в Израиле проводится в кардиологическом и кардиохирургическом отделениях «Герцлия Медикал Центр». Врачами клиники применяются последние достижения в области хирургии на открытом сердце, что позволило существенно расширить показания к операциям при аневризме.
Что такое аневризма сердца?
Аневризма сердца представляет собой изолированное выпячивание стенки, возникшее в результате патологических изменений (истончения) мышечного слоя – миокарда. Чаще всего встречается следующая локализация заболевания:
- Аневризма левого желудочка сердца
- Аневризма одной из перегородок сердца (межпредсердной или межжелудочковой)
Поражения других отделов сердца наблюдаются крайне редко.
Аневризма сердца развивается в «слабых» участках сердечной мышцы под воздействием высокого давления внутри камер. Так, например, аневризма межпредсердной перегородки развивается в области овального отверстия, где мышечный слой является очень тонким. Дополнительных фактором в развитии аневризмы межпредсердной перегородки является высокая разница в давлении между левым и правым предсердием (соответственно выпячивание происходит в сторону правого предсердия, где давление существенно меньше). Аневризма левого желудочка и межжелудочковой перегородки сердца нередко является следствием обширного инфаркта миокарда, реже – хронических ишемических или дистрофических процессов.
Симптомы и осложнения аневризмы сердца
Клиника аневризмы сердца зависит от ее локализации и размера. Нередко резкое ухудшение гемодинамических показателей пациента на фоне острой или подострой стадии инфаркта может свидетельствовать о наличии аневризмы. Среди основных симптомов и осложнений следует выделить:
- Разрыв сердца в месте аневризмы и тампонада. Это наиболее тяжелое осложнение требует экстренного хирургического вмешательства по жизненным показаниям и ставит под угрозу жизнь пациента в течение считанных минут
- Сердечная недостаточность вследствие снижения сократительной способности миокарда. Область аневризмы не принимает участие в сокращении и отрицательно влияет на глобальную систолическую функцию
- Нарушения ритма развиваются при поражении узлов и ответвлений проводящей системы сердца в области аневризмы. Так, например, аневризма межпредсердной перегородки нередко сопровождается мерцательной аритмией или наджелудочковой тахикардией, а аневризмы левого желудочка сердца могут осложняться нарушением внутрижелудочкового проведения (блокады) или очагами эктопической активности
- Тромботические осложнения вызваны застоем крови в области аневризмы или в следствие нарушений сердечного ритма. Пристеночный тромб склонен к распаду, что может вызвать тяжелые тромбоэмболические осложнения, преимущественно в бассейне сосудов головного мозга (ишемический инсульт)
Диагностика аневризмы сердца
В больнице «Герцлия Медикал Центр» применяются все современные методы кардиологической диагностики, позволяющие безошибочно определить наличие аневризмы и ее осложнений. Профилирующим методом является эхокардиографическое исследование (через грудную стенку или чрезпищеводное исследование). Помимо оценки состояния миокарда и его функциональной способности, эхокардиография позволяет определить наличие и размеры пристеночного тромба. При соответствующих показаниях пациенты клиники проходят также томографическую визуализацию сердца (кардио-КТ), изотопное сканирование, мониторинг сердечного ритма и катетеризацию коронарных сосудов.
Консервативное лечение аневризмы сердца
Небольшие по размеру аневризмы сердца подлежат консервативному лечению, основными направлениями которого являются:
- Контроль артериального давления у пациентов с гипертонической болезнью
- Лечение сердечной недостаточности, вызванной аневризмой или заболеванием, послужившим причиной возникновения аневризмы. Медикаментозный контроль за симптомами сердечной недостаточности позволяет уменьшить нагрузку на сердце и предотвратить дальнейший рост аневризмы
- Противоаритмическое лечение
- Профилактика образования пристеночного тромба и тромбоэмболических осложнений
Эффективный лекарственный контроль за симптомами, вызванными аневризмой сердца, улучшает прогноз пациентов, однако, не способен устранить механический дефект стенки и полностью предотвратить развитие осложнений.
Операции при аневризме сердца
Показаниями к операции при аневризме сердца в отделении кардиохирургии являются:
- Экстренное хирургическое вмешательство при подозрении на разрыв аневризмы (как правило в острой или подострой стадии инфаркта миокарда)
- Развитие симптомов сердечной недостаточности у пациентов с хронической аневризмой
- Образование пристеночных тромбов у пациентов с мешковидной формой аневризмы сердца. Операция показана при высоком риске тромбоэмболических осложнений и отсутствии эффекта от применения антикоагулянтов
- Прогрессирующие и устойчивые к консервативным методам лечения нарушения ритма, приводящие к гемодинамическим нарушениям
Операция при аневризме сердца заключается в иссечении области выпячивания с последующей пластикой стенки левого желудочка или межжелудочковой перегородки сердца. Применение малоинвазивной кардиохирургии, а также применение высокочастотной абляции при лечении аритмии, часто сопутствующей аневризме сердца, имеют ограниченное применение и рассматриваются в строго индивидуальном порядке. Пациенты, прошедшие операцию при аневризме сердца проходят интенсивный курс восстановительной терапии и продолжают дальнейшее наблюдение в амбулаторном порядке.
Аневризма МПП

Одной из патологий сердечно-сосудистой системы считается аневризма межпредсердной перегородки (МПП). При этом состоянии возникает патологическое изменение ее структуры. Это заболевание довольно часто поражает взрослых мужчин. Однако аневризма МПП врожденного типа часто встречается и у маленьких детей. Протекает заболевание у всех людей одинаково. Данное заболевание хорошо диагностируется и не создает большого риска для здоровья при его своевременном лечении. При игнорировании лечения, со временем образуется выпячивание одной из стенок перегородки в правую или левую сторону, что ухудшает состояние пациента.
Информацию из данного раздела нельзя использовать для самодиагностики и самолечения. В случае боли или иного обострения заболевания диагностические исследования должен назначать только лечащий врач. Для постановки диагноза и правильного назначения лечения следует обратиться к профильному специалисту.

Симптомы болезни
На ранних стадиях сердце с аневризмой МПП, как правило, не отзывается болью. Появиться она может со временем развития патологии. Интенсивность боли возрастает при физических нагрузках, изначально локализуется в загрудинном пространстве и оттуда разрастается на переднюю поверхность грудной клетки. Устранить эти ощущения не всегда получается даже с помощью анальгетиков и нитроглицерина. Бывают случаи, когда аневризма межпредсердной перегородки сопровождается такими проявлениями:
- общая слабость и быстрая утомляемость;
- приступы головокружения;
- одышка;
- снижение частоты пульса;
- затрудненное дыхание;
- скачки артериального давления;
- сухой, затяжной кашель.
У пациента наблюдается изменение голоса. Он становится более грубым и сиплым. Также к жалобам, которыми часто сопровождается аневризма межпредсердной перегородки относятся:
- ощущение приливов крови в области сердца;
- отек нижних конечностей;
- чувство переполненности шейных вен.
Однако вышеперечисленные проявления аневризмы МПП у новорожденного возникают довольно редко, поэтому ориентироваться на них не стоит. Зачастую выпячивание стенок сосудов протекает без каких-либо характерных симптомов.

Причины МПП у новорожденного
Мнения по поводу возникновения этого заболевания сосудов, у медиков расходятся. Некоторые ученые считают, что аневризма МПП у новорожденного появляется в результате нарушения соединительной ткани в дородовой период. Происходит это на фоне различных инфекционных процессов в организме матери. К прочим причинам заболевания относят:
- табакокурение;
- пристрастие к алкоголю;
- патологии сердечно-сосудистой системы;
- инфекционные процессы в тромбах;
- травмы и патологии сосудов.
Многие врач считают, что наследственность — это одна из наиболее распространенных причин, которые приводят к развитию аневризмы межпредсердной перегородки у детей. Это заболевание возникает чаще у лиц, чьи родственники также страдали от него. Стоит сказать, что данная патология встречается у 1 % новорожденных. Диагностировать ее, как правило, можно еще в период беременности. Привести к аневризме могут некоторые хронические или острые заболевания, например, такие:
- ;
- аритмия;
- синдром Марфана;
- атеросклероз;
- кистозный медиальный некроз.
Также поспособствовать развитию аневризмы межпредсердной перегородки может артериальная гипертензия. Особенно если она не контролируется врачом и не лечится. Перепады кровяного давления создают повышенную нагрузку на стенки сосудов. В результате в ослабленных участках может образоваться выпячивание.
Какой врач лечит аневризму межпредсердной перегородки у детей?
Данная патология требует немедленного вмешательства со стороны квалифицированного специалиста. Своевременное лечение аневризмы межпредсердной перегородки убережет ребенка от серьезных осложнений. Поэтому при первых же нехарактерных изменениях в организме или поведении малыша, следует показать его врачу. Диагностикой и лечением аневризмы МПП занимаются такие специалисты:
Современная эхокардиография, шумы в сердце, беременные женщины и дайвинг
Кандидат медицинских наук.
Доцент кафедры УЗД РМАПО.
Руководитель эхокардиографического общества г. Москвы.

УЗИ сканер WS80
Идеальный инструмент для пренатальных исследований. Уникальное качество изображения и весь спектр диагностических программ для экспертной оценки здоровья женщины.
Опыт работы в лечебно-диагностическом центре "Арт-Мед" позволяет разделить пациентов, которые приходят на эхокардиографию, на определенные группы, в зависимости от причин их обращения.
Первую категорию составят беременные женщины, поскольку эхокардиографическое исследование считается обязательным и входит в план обследования. Вторую, многочисленную категорию, составят люди молодого возраста с кардиалгиями. Третью группу составят больные с хронической патологией сердца, нуждающиеся в динамическом наблюдении (врожденные и приобретенные пороки и т.д.) или в уточнении диагноза.
Четвертую группу составят больные с впервые возникшими жалобами на боли в области сердца, одышку, проявления сердечной недостаточности. Данная группа пациентов наиболее серьезная, т.к. среди них можно встретить "острую" патологию (аневризма грудной восходящей аорты, тромбоэмболия в систему легочной артерии, развитее аневризмы левого желудочка и т.д.). Пятую группу составят пациенты с шумом в области сердца. Попытаемся объяснить возможности эхокардиографии в диагностике патологии сердца и дифференциальной диагностике. Для этого попытаемся проанализировать вышеперечисленные группы пациентов.
Эхокардиография при беременности
Во время беременности у здоровой женщины можно наблюдать незначительные изменения размеров полостей сердца и изменения со стороны гемодинамики по сравнению с исходными. Систолическое давление в легочной артерии может увеличивается до 40 мм рт. ст. На 2 - 3 мм может увеличиться диаметр корня аорты,левого предсердия и левого желудочка. Частота сердечных сокращений возрастает на 25 - 30 %, уже в первом триместре беременности увеличивается минутный объем кровотока и ударный объем. Артериальное давление не изменяется. Увеличивается степень клапанной регургитации (на трикуспидальном клапане и клапане легочно артерии до 3 степени, на митральном клапане до 2 степени). В редких случаях можно наблюдать реакцию листков перикарда - наличие незначительного количества жидкости в перикарде. Жидкость исчезает спустя 1 - 3 месяца после родов в отсутствии лечения.
Одной из особенностей у беременных женщин является динамический стеноз нижней полой вены. Данное явление может сопровождаться аускультативной картиной - шумом при аускультации и синкопальными состояниями, возникающими при перемене положения тела в пространстве. В ряде случаев на фоне беременности открывается овальное окно и отмечается небольшое шунтирование крови слева направо. Все вышеперечисленные изменения как правило ичезают после родов. Динамику лучше проводить через 1 - 3 месяца после родов.
Причины кардиалгии - болей, симулирующих боли в сердце
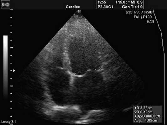
Наиболее частой причиной кардиалгии у людей молодого возраста является переутомление, стресс и гипокалиемия (недостаток калия). Иногда у данной категории больных можно наблюдать незначительное пролабирование онования передней створки митрального клапана в полость левого предсердия, что является вариантом норы для молодых людей и детей (рис. 1). Данный пролапс нельзя путать с патологическим, когда имеются органические изменения створок (например, при миксоматозной дегенерации - рис. 2).

Рис. 1. Незначительный пролапс передней створки митрального клапана (вариант нормы).
Читайте также:
- Травма - повреждение. Механические травмы
- Факторы патогенности микроорганизмов. Факторы патогенности микробов. Способность к колонизации. Адгезия. Факторы колонизации.
- Туберкулез кожи. Гистология туберкулеза кожи
- Мембранные иммуноглобулины. Поверхностные антитела
- Гиперпластический гингивит. Десквамативный гингивит.
