Аневризмы головного мозга
Добавил пользователь Евгений Кузнецов Обновлено: 02.11.2025

Артериальные аневризмы головного мозга являются одной из частых причин опасных для жизни внутричерепных кровоизлияний.
Артериальные аневризмы представляют собой ограниченное или диффузное расширение просвета артерии или выпячивание ее стенки. Чаще всего, встречаются так называемые мешотчатые аневризмы, имеющие вид небольшого тонкостенного мешка, в котором можно различить дно, среднюю часть и шейку. Более редкими формами являются сферическая, фузиформная (веретенообразная) или S-образная.
Стенка аневризмы, как правило, представляет собой различной толщины пластинку рубцовой соединительной ткани. В полости аневризмы могут находиться кровяные сгустки различной давности.
Наиболее частой локализацией артериальных аневризм являются артерии основания головного мозга, обычно в местах их деления и анастомозирования. Особенно часто аневризмы локализуются на передней соединительной артерии, вблизи отхождения задней соединительной артерии или в области ветвей средней мозговой артерии. В 80-85% случаев аневризмы располагаются в системе внутренних сонных артерий, в 15% - в системе позвоночных и основной артерий.
Причина образования артериальных аневризм устанавливается лишь у небольшого числа больных. Около 4-5% аневризм развивается в связи с попаданием в артерии мозга инфицированных эмболов. Это так называемые микотические аневризмы. В происхождении крупных сферических и S-образных аневризм несомненную роль играет атеросклероз. Возникновение мешотчатых аневризм связывают с врожденной неполноценностью артериальной системы головного мозга. Немалую роль играют атеросклероз и гипертоническая болезнь, а также травма. Аневризмы могут быть одиночными или множественными.
Клиническая картина
Различают две формы клинического проявления артериальных аневризм - апоплексическую и опухолеподобную. Наиболее частой является апоплексическая форма, характеризующаяся внезапным развитием субарахноидального кровоизлияния. Обычно заболевание развивается внезапно, без предвестников. Иногда больных до кровоизлияния беспокоят ограниченные боли в лобно-глазничной области, наблюдаются парезы черепных нервов.
Первым и основным симптомом разрыва аневризмы является внезапная острая головная боль. В первый момент заболевания она может иметь местный характер в соответствии с локализацией аневризмы, затем становится разлитой, диффузной. Почти одновременно с головной болью возникают тошнота, многократная рвота, утрата сознания различной продолжительности. Быстро развивается менингеальный синдром; иногда наблюдаются эпилептиформные припадки. Нередко появляются психические нарушения - от небольшой спутанности и дезориентировки до тяжелых психозов. В остром периоде наблюдаются повышение температуры, изменения со стороны крови в виде умеренного лейкоцитоза и сдвига лейкоцитарной формулы влево; в спинномозговой жидкости обнаруживается примесь крови.
При разрыве базальных аневризм наблюдается поражение черепных нервов, чаще всего глазодвигательного. При разрыве аневризмы, помимо субарахноидального, может произойти и кровоизлияние в вещество головного мозга (субарахноидально-паренхиматозное кровоизлияние). Клиническая картина в таких случаях дополняется симптомами очагового поражения головного мозга. Выявление последних иногда затруднено в связи с выраженностью общемозговых симптомов.
В случае прорыва крови в желудочки мозга (субарахноидально-паренхиматозно-вентрикулярное кровоизлияние) заболевание протекает очень тяжело и быстро заканчивается смертью.
Симптомы поражения мозга при разрывах аневризм могут быть обусловлены не только кровоизлиянием в мозг, но и ишемией мозга, возникающей вследствие характерного для субарахноидального кровоизлияния длительного спазма артерий как вблизи разорвавшейся аневризмы, так и на отдалении. Выявляемые при этом локальные неврологические симптомы часто оказывают существенную помощь в установлении локализации аневризмы.
В некоторых случаях артериальные аневризмы, медленно увеличиваясь в размерах, могут вызывать поражение мозга и появление симптомов, характерных для доброкачественных опухолей базальных отделов мозга. Симптоматика их различна в зависимости от локализации. Наиболее часто аневризмы с опухолевидным течением локализуются в кавернозном синусе и хиазмальной области.
Лечение
Консервативное лечение при разрыве аневризмы не отличается от такового при кровоизлиянии в мозг. Необходимо соблюдение строгого постельного режима в течение 6-8 недель.
Проведение повторных спинномозговых пункций с терапевтической целью оправдано лишь для купирования тяжелых головных болей, не уступающих медикаментозным средствам. Спазм внутричерепных артерий, нередко приводящий к обширным размягчениям, в том числе стволовых отделов мозга, консервативными мероприятиями пока снимать не удается.
Единственным радикальным методом лечения мешотчатых аневризм является хирургическое вмешательство, которое заключается в клипировании шейки аневризмы. Иногда укрепляют стенку аневризмы, применяя "окутывание" ее мышцей или марлей.
В последние годы предложен ряд усовершенствований и новых методов оперативного лечения аневризм:микрохирургический, искусственное тромбирование аневризм с помощью коагулянтов или взвеси порошкообразного железа в магнитном поле, стереотаксическая электрокоагуляция, тромбирование при помощи сбрасываемого баллона-катетера, стереотаксическое клипирование.
При артерио-венозных мальформациях наиболее радикальным методом является экстирпация всего сосудистого клубка после клипирования приводящих и дренирующих сосудов.
Прогноз при разрыве аневризм часто бывает неблагоприятным, особенно при субарахноидально-паренхиматозных кровоизлияниях - умирает 30-50% больных. Постоянно сохраняется опасность повторных кровотечений, которые чаще всего наблюдаются на второй неделе болезни. Наиболее неблагоприятен прогноз при множественных артериальных аневризмах в больших не удаляемых хирургическим путем артерио-венозных аневризмах.
Кровоизлияния, обусловленные ангиомами (мальформациями), имеют несколько лучший прогноз.
Ультразвуковое сканирование и компьютерная томография позволяют вовремя выявить аневризмы небольших размеров.
Аневризма сосудов головного мозга
Аневризма сосудов головного мозга (внутричерепная, церебральная, интракраниальная) – патологическое расширение мозгового сосуда, в котором скапливается кровь. При разрыве происходит серьезное повреждение головного мозга. Это опасное для жизни состояние, т. к. кровь не поступает дальше в соответствующие органы, а бесконтрольно вытекает в окружающие ткани (кровоизлияние в мозг).
Симптомы внутричерепной аневризмы
Во многих случаях небольшая аневризма сосудов головного мозга вообще не обнаруживается, т. к. ее наличие обычно не вызывает дискомфорта. Поэтому поражения сосуда часто обнаруживается только при случайных исследованиях. Симптомы заболевания варьируются в зависимости от размера и локализации расширения.

Симптоматика при неразрываемой аневризме головного мозга:
- нарушение движения глаз;
- паралич глазных мышц;
- боль над глазом и за ним;
- расширенные зрачки;
- двойное зрение;
- висячее веко;
- паралич половины лица.
Симптомы при разорванной интракраниальной аневризме иные. Характерна потеря речи, полный или частичный паралич (парез), нарушение церебрального кровообращения (гемипарез). Симптомы, вызванные повышенным мозговым давлением, могут включать внезапную, очень сильную головную боль, тошноту и рвоту, сонливость, чувствительность к свету, потерю сознания и кому.
Причины возникновения аневризмы сосудов головного мозга
Причина развития интракраниальной аневризмы мозга не всегда может быть точно определена. Учитывая статистические данные, определенная роль отводится предрасположенности на генетическом уровне.

Помимо наследственности на развитие влияют следующие факторы:
- высокое кровяное давление;
- атеросклероз (кальцификация сосудов);
- травмы головы;
- возраст от 50 лет и старше;
- злоупотребление алкоголем и наркотиками;
- заболевания кровеносной системы;
- низкий уровень эстрогена после менопаузы;
- курение (способствует возникновению атеросклероз, повышает кровяное давление).
Причиной повышенного риска развития аневризмы сосудов головного мозга могут стать наследственные заболевания, такие как синдром Марфана и синдром Элерса-Данлоса.
Методы диагностики церебральной аневризмы
Бессимптомная аневризма мозга часто случайно обнаруживается при проведении магнитно-резонансной или компьютерной томографии, выполняемой по другим причинам. При подозрении на расширение мозгового сосуда назначаются следующие методы визуализации:
Методы лечения аневризмы сосудов головного мозга
Лечение аневризмы сосудов головного мозга зависит от ее размера и локализации, симптомов и общего состояния пациента. Цель терапии заключается в предотвращении возможного кровотечения. Несимптоматические аневризмы размером до 7 мм не лечатся, т. к. риск оперативного вмешательства больше, чем последствия кровотечения (здесь показана выжидательная тактика). При этом больной находится под постоянным наблюдением.
- эхокардиографию (систематический контроль состояния аневризмы);
- препараты для нормализации кровяного давления;
- контроль уровня холестерина и свертываемости крови;
- рекомендации здорового образа жизни;
- медикаментозное лечение атеросклероза.
Если начинают проявляться характерные для заболевания симптомы, назначается немедленное лечение независимо от размера внутричерепной аневризмы.
Нейрохирургия различает два стандартных варианта терапии:
- Отсечение аневризмы (клипирование) – это открытая операция, при которой с помощью зажима закрывается пораженная часть сосуда. Эффективность операции доказана, но она имеет длительный восстановительный период.
- Эндоваскулярная эмболизация аневризмы – малотравматичная процедура, без разрезов, с минимальным реабилитационным периодом. Операция проводится путем введения в пораженный сосуд специальной «проволоки», с помощью которой блокируется кровоснабжение образовавшегося мешка.
Выбор терапии обусловлен различными факторами и обсуждается индивидуально с лечащим врачом.
Профилактика и программы лечения аневризмы сосудов головного мозга в клинике «Хадасса»
Чтобы предотвратить образование аневризмы сосудов головного мозга, необходимо минимизировать влияние опасных факторов.
Основные профилактические мероприятия:
- контроль кровяного давления;
- здоровый образ жизни;
- адекватная физическая активность;
- правильное питание;
- своевременные осмотры у врача;
- лечение сопутствующих заболеваний.
Если конкретное патологическое состояние способствует возникновению церебральной аневризмы, лечение проводится в качестве профилактики расширение сосуда. Женщины в период менопаузы испытывают нехватку эстрогена, поэтому рекомендуется заместительная гормональная терапия.
Диагностика и лечение аневризмы сосудов головного мозга проводится в клинике «Хадасса» в Москве. В медицинском центре работают неврологи с большим практическим опытом. Преимущественно назначается лекарственная терапия, направленная на устранение факторов риска. При отсутствии эффективности пациент направляется на операцию.
Малотравматичное лечение аневризм сосудов головного мозга – по ВМП
В Ростовской областной клинической больнице приступили к планомерному проведению малотравматичного лечения аневризм церебральных артерий в рамках оказания высокотехнологичной медицинской помощи (ВМП). Рентгенэндоваскулярная эмболизация аневризмы сосудов головного мозга была освоена в РОКБ еще 10 лет назад, но проводилась редко, так как не включена в обязательное медицинское страхование и до этого года не входила в программу оказания ВМП на Дону.

Аневризма – это значительное расширение артерии головного мозга, в результате которого сдавливаются окружающие ее структуры. Среди провоцирующих заболевание причин, кроме стандартной наследственности: атеросклероз и гипертония, травма головы, инфекция и многое другое. Поражает где-то 5% населения планеты, чаще всего, между 30 и 50 годами. Проявляется, только достаточно развившись, как правило, зрительными и слуховыми нарушениями, головными болями, проблемами с координацией движений и пр. Консервативно аневризма не лечится, а, прогрессируя, угрожает разрывом стенок, геморрагическим инсультом. Смертность при таком варианте развития событий составляет порядка 30 процентов, а выжившие пациенты часто имеют впоследствии тяжелые неврологические нарушения, и крайне высок риск повторного разрыва аневризмы.
В течение многих лет стандартной нейрохирургической практикой оперативного лечения аневризм является клипирование шейки аневризмы. Это сложнейшее вмешательство, которое требует вскрытия черепной коробки, манипуляций на открытом мозге, но, как отмечает главный нейрохирург Ростовской области, заведующий Нейрохирургическим отделением Ростовской областной клинической больницы Владимир Ефанов, в большинстве случаев оно даже предпочтительнее малотравматичного лечения.
– Важнейшее преимущество эндоваскулярного метода – это возможность лечения аневризм, чья локализация или размеры серьезно затрудняют, а то и просто исключают прямое вмешательство, – поясняет Владимир Ефанов. – Он также показан для больных в остром периоде кровоизлияния, тех, кто не способен перенести открытую операцию. Именно таким пациентам и были успешно проведены первые семь процедур в нашей больнице. И, как и всегда при малотравматичном вмешательстве, все пациенты быстро восстановились и уже выписаны из отделения.

Во время процедуры эмболизации аневризмы задача у рентгенохирургов та же, что и у нейрохирургов – что называется, выключить опасный участок из кровотока, но не снаружи, а изнутри сосуда. Для этого в ходе процедуры через прокол на бедренной артерии, по сосудам больного, врачи проводят, а затем укладывают в полость аневризмы, часто имеющей форму мешочка, платиновые спирали. Так создаются необходимые условия для последующегго тромбирования опасного участка, кровоток больше не оказывает критического давления, риск разрыва исчезает. Однако встречаются аневризмы, в которых смещение витков спиралей в просвет сосуда неизбежно, и для закрепления конструкции приходится дополнительно устанавливать специальный стент.

– Сейчас мы выполнили еще более сложную процедуру, – рассказывает главный рентгенохирург Ростовской области, заведующий Отделением рентгенохирургических методов диагностики и лечения № 2 Сосудистого центра Ростовской областной клинической больницы Михаил Малеванный. – Мы впервые на Дону установили поток перенаправляющие стенты, которые позволяют снижать давление в аневризме, направляя основной поток крови по несущему сосуду. Тромбирование аневризмы после установки такого стента в среднем наступает в период от 4 до 6 месяцев после операции. Эта методика наиболее эффективна для лечения аневризм крупных и гигантских размеров.
Всего в 2019 году в Ростовской областной клинической больнице, благодаря финансированию из областного бюджета, будет проведено в рамках оказания высокотехнологичной медицинской помощи 17 процедур рентгенэндоваскулярного лечения аневризмы сосудов головного мозга.
Артериальные аневризмы сосудов головного мозга различной локализации
Аневризма - местное расширение просвета артерии вследствие изменения или повреждения ее стенки.
Аневризмы сосудов головного мозга являются основной причиной нетравматического субарахноидального кровоизлияния, обуславливая до 85% всех случаев внутричерепных кровоизлияний.
Разрыв аневризмы чаще всего происходит в возрасте от 30 до 50 лет.
ИСТОРИЯ. Е.Moniz в 1927 году выполнил первую церебральную ангиографию при субарахноидальном кровоизлиянии, а спустя 10 лет W.E.Dendy впервые произвел удачное хирургическое вмешательство по поводу разрыва аневризмы.

Откуда они "берутся"? В настоящее время единой теории происхождения аневризм нет. Большинство авторов считают, что происхождение аневризм зависит от двух причин: наличия дегенеративных изменений сосудистой стенки и факторов, их вызывающих.
Дефекты артериальной стенки, лежащие в основе формирования аневризмы:
- дефект мышечного слоя,
- повреждения внутренней эластической мембраны,
- гиперплазия интимы и атеромы артериального ствола,
- повреждение коллагеновых волокон артерии,
- сочетание возрастающей ригидности стенки артерии с уменьшением ее толщины.
Гемодинамическе факторы - аневризмы чаще располагаются в области отхождения ветвей от артерии или в месте изгибов артерии, т.к. эти участки испытывают наибольшее гемодинамическое воздействие.
Аневризмы часто сочетаются с пороками развития или заболеваниями, которые приводят к:
- артериальной гипертензии (наследственная артериальная гипертензия, коарктация аорты, поликистоз почек);
- повреждению соединительной ткани (фибромускулярная дисплазия, синдром поражения соединительной ткани);
- изменению церебральной гемодинамики (опухоль мозга, АВМ, аномалии развития артериального круга большого мозга)
Классификация аневризм.
Существует множество классификаций аневризм головного мозга, наиболее распространенные из них – классификация по форме, величине и артерии, на которой они расположены.
Классификация аневризмы по форме.
1. Мешотчатые (одно- или многокамерные).
2. Веретенообразные (фузиформные).

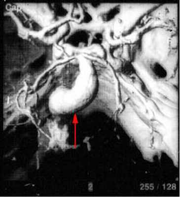
ЗD-KT ангиография - мешотчатая аневризма развилки основной артерии

3D-KT ангиография - фузиформное расширение основной артерии
Классификация аневризм по артерии, на которой они расположены.
1. На передней мозговой – передней соединительной артериях (45 %).
2. На внутренней сонной артерии (32%).
3. На средней мозговой артерии (19%).
4. На артериях вертебро-базилярной системы (4%).
5. Множественные аневризмы – на двух и более артериях (13%).
Классификация аневризм по величине.
1. До 3 мм – милиарные.
2. 4 - 15 мм – обычные.
3. 16 - 25 мм – большие.
4. Более 25 мм – гигантские.Велизиев круг (артериальный круг головного мозга) с гигантской аневризмой внутренней сонной артерии (слева
Строение аневризм.

Велизиев круг (артериальный круг головного мозга) с гигантской аневризмой внутренней сонной артерии (слева)
Аневризма состоит из шейки, тела и купола. Шейка – имеет трехслойное строение церебральной артерии, это наиболее прочная часть аневризмы. Тело аневризмы характеризуется отсутствием трехслойной сосудистой стенки (прежде всего мышечного слоя) и недоразвитием эластической мембраны. Купол аневризмы представлен одним слоем интимы, он наиболее тонок, и кровотечение возникает именно отсюда. В области аневризмы практически всегда имеются атероматозные изменения и разрыв ее часто возникает на месте этих изменений.
Риск кровоизлияния из неразорвавшейся аневризмы составляет около 1% в течение года, однако риск повторного кровоизлияния из аневризмы значительно повышается и в первые 2 недели после него составляет 15 - 25%, в течение полугода - 50%.
При аневризмах большого размера возрастает и риск кровоизлияния. При аневризме менее 5 мм риск кровоизлияния составляет 2,5% в течение жизни, аневризма размерами 6-10 мм разрывается в 41% случаев, а при размерах её 11-15 мм кровоизлияние происходит в 87%. Если аневризма имеет размеры более 15 мм в диаметре, то риск кровоизлияния снижается, в вязи с формированием сгустков в ее полости.Риск летального исхода при повторном разрыве аневризмы в течение первой недели после кровоизлияния составляет 32%, на второй неделе - 43%, а в течение первого года после кровоизлияния достигает 63% (из-за повторных кровоизлияний, которые, как правило, протекают значительно тяжелее, чем первое).
Осложнения, развивающиеся в остром периоде разрыва аневризмы, следующие:
1. Повторное кровотечения из аневризмы.
2. Сосудистый спазм, который развивается в 100% случаев (пик развития спазма на 3-14 сутки), ишемия мозга вследствие ангиоспазма развивается в 64% случаев.
3. Внутримозговая гематома – 22%.
4. Внутрижелудочковое кровоизлияние – 14%.В настоящее время ведущие нейрохирурги всего мира склоняются к ранним операциям при разрывах аневризм сосудов головного мозга. Таким образом проводится профилактика повторного кровоизлияния, сосудистого спазма и гидроцефалии.
Обледование больных с аневризмой сосудов головного мозга - см. субарахноидальное кровоизлияние.
Выбросьте это из головы
Гибридную операцию на головном мозге впервые в нашей стране провели специалисты Городской клинической больницы скорой медицинской помощи Минска. Операционный театр — так назвали врачи то, что в течение трех часов происходило во время нового вмешательства по поводу разорвавшейся аневризмы. В чем заключаются преимущества необычной медицинской технологии, корреспонденту «Р» рассказал врач-нейрохирург, режиссировавший масштабное хирургическое действо, Павел Коновалов.

Операционный театр — так врачи назвали то, что происходило во время нового вмешательства.
КОЛЛАЖ ЮЛИИ КОСТИКОВОЙ
Надувающийся пузырь
Ограниченная, наполненная кровью мешкообразная выпуклость из стенки сосуда — аневризма — проблема мировой медицины, которую до сих пор решить не удается. Сильный приступ головной боли, потеря сознания — в 85 процентах случаев пациенты поступают в больницы уже с разрывом аневризмы и кровоизлиянием в головной мозг. А до этого момента наполненный кровью сосудистый мешочек молчит и никакими симптомами о себе не заявляет. Обычно немую аневризму выявляют случайно во время компьютерной или магнитно-резонансной томографии головного мозга. Но так везет лишь малой части больных.
— Как правило, это врожденное заболевание, связанное с недоразвитием эндотелия, — поясняет Павел Владимирович. — Неплотная стенка сосуда предрасполагает к образованию мешка. У людей со стойкой гипертонией развиваются приобретенные аневризмы в изгибах сонных артерий.
Пациенты с разрывом аневризмы поступают в БСМП каждую неделю. В основном — молодого возраста. Мешочек лопается — и развивается катастрофа мозга. Излившаяся кровь затопляет полость черепа, сдавливая сосуды. По статистике, половина пациентов умирают. Многие из тех, кого удается спасти, остаются на пожизненной инвалидности. Доктор Коновалов вспоминает типичный трагический случай:
По словам доктора, проблема очень масштабная. Исход во многом зависит от объема кровоизлияния. В пожилом возрасте помочь бывает проще, потому что из-за атрофии в полости черепа появляются резервные пространства, где может скапливаться кровь с наименьшим давлением на мозг. А вот молодые организмы переносят кровоизлияния очень тяжело.
Разрыв аневризмы и, как следствие, инсульт — тот случай, когда малейшее промедление смерти подобно. Чтобы изменить печальную картину и еще больше сэкономить столь драгоценное для пациента время, хирурги БСМП внедрили гибридную операцию на головном мозге. По масштабу действа это не просто хирургическое вмешательство, а настоящий операционный театр, где разворачивается остродраматический сюжет по спасению жизни.
Тонкая режиссура
Сильная головная боль, тошнота, головокружение — Дионизе стало плохо утром, на часах было около шести. Что так надвигается инсульт, даже не подумалось. Симптомы между тем нарастали. Пока женщину доставили из Заславля в приемное отделение БСМП, от начала заболевания прошло три часа. Медики оценили состояние больной как средней тяжести. Она была в оглушении, слабо доступна контакту, движения в левой стороне отсутствовали. Система оказания помощи таким пациентам в больнице выстроена четко: компьютерная томография, операционная, нейрохирургическая реанимация. На счету каждая секунда.
И вот работает большая бригада хирургов. Одни эмболизируют патологически расширенный участок сосуда, заполняя мешок аневризмы спиралями, которые подводят стентом через бедренную артерию. Другие освобождают мозг от гематомы. И это не хаотичное кружение около пациента, а выверенные последовательные действия, которые тщательно режиссируются. Первая гибридная операция в нашей стране прошла успешно.
Павел Владимирович показывает томограммы. По изображениям можно отследить, как развивалась история спасения Дионизы:
— Мы выполнили трепанацию черепа и эмболизацию аневризмы через бедренную артерию. Одновременно опорожняли гематому. Видите, появляется сосудистый рисунок, что говорит о восстановлении кровоснабжения. В последующем неврологический дефицит уменьшается. Остатки кровоизлияния рассасываются. Вот спиральки, которые мы поставили в мешок аневризмы. На третьи сутки томограмма показала, что есть еще небольшие участки ишемии как последствия катастрофы мозга, но больная после операции пришла в себя и находилась в ясном сознании. Через двое суток она встала на ноги. Остались легкий паралич в ноге и кисти. Двигательная активность вернется. На десятые сутки мы сняли швы, больную перевели в реабилитацию.
Первые часы — самые важные
Сегодня Диониза чувствует себя значительно лучше, разговаривает, ходит пока с посторонней помощью, но специалисты уверяют, что постепенно походка восстановится.
— Биплановый ангиографический комплекс, в котором есть функция интраоперационного компьютерного томографа, позволяет нам проводить гибридные операции, — обращает внимание Павел Владимирович. —Наши нейрохирурги и рентгенэндоваскулярные хирурги взаимозаменяемы. Ранее мы сначала эмболизировали аневризму, а затем, если надо было, опорожняли гематому. Для этого перевозили больного в другую операционную, затем на томограмму. При этом терялось какое-то время. А ведь первые часы после разрыва самые важные. Чем быстрее мы уберем кровь, тем лучше будут результаты. Сейчас весь мир идет по пути гибридных операций в нейрохирургии, кардиохирургии, открытой хирургии. Они считаются малотравматичными. Операционные оснащаются современным оборудованием. При этом больного в наркозе не нужно перекладывать с одного операционного стола на другой.
В БСМП планируют операции такого рода поставить на поток. В перспективе можно развивать плановые гибридные вмешательства для лечения очень сложных по анатомии доступа еще не разорвавшихся аневризм, опухолей, артериовенозных мальформаций, остеохондроза позвоночника.
Читайте также:
- Жгутиконосцы. Трихомоноз. Возбудитель трихомоноза.
- Аномалии рефракции. Эмметропия. Близорукость ( миопия ). Дальнозоркость ( гиперметропия ). Астигматизм.
- Рак маточной трубы
- Лучевые признаки эндометриальной стромальной саркомы матки
- Плевра. Топография плевры. Полость плевры. Висцеральная плевра. Париетальная плевра.
