Атипичная и злокачественная менингиома на МРТ
Добавил пользователь Евгений Кузнецов Обновлено: 29.01.2026
Атипичная и злокачественная менингиома на МРТ
а) Терминология:
• Типичная (доброкачественная) менингиома = I степень злокачественности по классификации ВОЗ (grade I)
• Атипичная менингиома (AM) = grade II
• Злокачественная менингиома (ММ) = grade III
б) Визуализация атипичной и злокачественной менингиомы:
• Триада ММ при КТ: внечерепное объемное образование, остеолизис, внутричерепная опухоль
• МРТ:
о Локально-инвазивное образование, прилегающее широким основанием к твердой мозговой оболочке, с участками некроза, выраженным отеком мозговой ткани
о Нечеткие границы опухоли (инвазия опухоли, «вплетение» в структуры головного мозга)
о Заметный опухолевой паннус, простирающийся на большом протяжении от объемного образования = грибовидная форма
о Выраженный перитуморальный отек
о Изменения ИКД, на ДВИ коррелируют с гиперселлюлярностью при гистопатологическом исследовании (высокая интенсивность сигнала на ДВИ, низкий ИКД)
(Слева) Злокачественная менингиома, инфильтрирующая кожу волосистой части головы, череп и смежные отделы головного мозга. Протяженной вазогенный отек изображен серым цветом. Обратите внимание на остеолизис, инвазию твердой/паутинной мозговой оболочки, «грибовидную» форму опухоли и ее «вплетение» в головной мозг.
(Справа) МРТ, постконтрастное Т1 -ВИ, сагиттальный срез: злокачественная менингиома, накапливающая контрастное вещество, и вовлекающая в процесс кожу головы, череп и смежные отделы головного мозга. Обратите внимание на «грибовидное» прорастание опухоли через твердую мозговую оболочку, выраженный гипоинтенсивный отек мозговой ткани. (Слева) МРТ, Т2-ВИ, аксиальный срез: у мужчины 71 года визуализируется объемное образование с четкими контурами, прилежащее широким основанием к твердой мозговой оболочке по ходу большого крыла клиновидной кости. Объемное образование изоинтенсивно по отношению к коре, отчетливо визуализируется ликворная щель, признаков локальной инвазии мозгвой ткани не отмечается.
(Справа) МРТ, постконтрастное Т1-ВИ, режим подавления сигнала от жира, аксиальный срез: интенсивное равномерное контрастное усиление. При операции признаков инвазии смежной мозговой паренхимы выявлено не было. При патоморфологическом исследовании была диагностирована менингиома grade II.
в) Дифференциальная диагностика:
• Менингиома (типичная)
• Метастатическое поражение твердой мозговой оболочки
• Лимфома
• Саркома (остеосаркома, Юинга, глиосаркома и т.д.)
г) Патология:
• AM: высокая митотическая активность
• ММ: признаки AM + признаки явной злокачественности
д) Клиническая картина атипичной и злокачественной менингиомы:
• Рецидив AM-29% случаев (ММ-26% случаев)
• Рецидив ММ - 50% случаев
е) Диагностическая памятка:
• По данным диагностической визуализации прогнозировать степень злокачественности менингиомы затруднительно
• Рентгенологические признаки типичной менингиомы не исключают атипичный, злокачественный ее варианты
Менингиома: причины, диагностика и лечение
Менингиома — доброкачественная опухоль головного мозга и позвоночника, развивается из паутинной оболочки, окружающей нервные структуры. Составляет четвертую часть всех первичных новообразований мозга. Достаточно редко встречаются ее злокачественные формы — по разным данным 10-15% от всех выявленных случаев.
менингиома
Менингиома — доброкачественная опухоль головного мозга и позвоночника, развивается из паутинной оболочки, окружающей нервные структуры. Составляет четвертую часть всех первичных новообразований мозга. Достаточно редко встречаются ее злокачественные формы — по разным данным 10-15% от всех выявленных случаев.
Чаще всего менингиома является единичной опухолью, значительно реже диагностируют множественные опухоли, растущие из разных очагов и располагающиеся в разных зонах спинного или головного мозга.
Факторы риска
Точные причины развития опухоли неизвестны. Существуют факторы риска, которые могут привести к заболеванию:
- Возраст старше 40 лет. Чаще всего опухоль в головном или спинном мозге появляется в возрасте от 40 до 70 лет.
- Женский пол. Риск развития заболевания у женщин в 3 раза выше, что связано с влиянием на рост менингиомы женских половых гормонов. Однако у мужчин чаще встречаются злокачественные варианты опухоли.
- Ионизирующее излучение в высоких дозах, которое способствует возникновению различных внутричерепных опухолей. По последним исследованиям рост может спровоцировать и низкодозовое облучение.
- Генетические заболевания. Например, нейрофиброматоз 2 типа.
- Черепно-мозговые травмы или травмы позвоночника.
Симптомы менингиомы
Менингиома головного мозга и позвоночника, как и большинство доброкачественных опухолей, отличается медленным ростом и иногда протекает без выраженных симптомов. Бывает так, что опухоль становится случайной находкой во время МРТ или КТ головы.
Несмотря на доброкачественность, образование нарушает работу головного мозга.
Ее проявления разделяют на общемозговые, вызванные повышением внутричерепного давления, а также местные, возникающие при давлении опухоли на различные анатомические структуры головного или спинного мозга.
Среди общемозговых симптомов часто встречаются следующие:
- Головная боль, которая постепенно становится сильнее, обостряется ночью.
- Нарушение зрения, в частности двоение и потеря его остроты.
- Тошнота и рвота.
- Нарушение памяти, изменение психики.
- Эпилептические припадки.
- Слабость в руках или ногах, чаще с одной стороны.
- Головокружения, нарушения координации.
Основные признаки при различных локализациях опухоли:
- Односторонняя или двусторонняя слепота — при поражении бугорка турецкого седла.
- Нарушение обоняния и нарушения психики — при риноольфакторной форме.
- Слабость в ногах и нарушение мочеиспускания — симптом парасагитальной опухоли парацентральных локализаций.
- Глазодвигательные нарушения и двоение в глазах — при поражении крыла основной кости.
- Один глаз выпирает наружу (экзофтальм) — при новообразовании орбиты глаза.
- Нарушения речи и слуха — при локализации в височной доле.
- Слабость в руках и ногах — при опухоли в области большого затылочного отверстия.
Из-за многообразия симптомов часто возникают затруднения с постановкой диагноза. У пожилых пациентов проявления опухоли иногда связывают с возрастными изменениями мозга.
Классификация менингиом
В подавляющем большинстве случаев менингиома представляет собой доброкачественную опухоль, однако, возможны и злокачественные варианты.
Согласно действующей классификации ВОЗ, существует три типа менингиом:
- Grade-1 — 1-я степень злокачественности, составляет 94,5 % от всех случаев. Это доброкачественные, медленно растущие образования, не поражающие окружающие ткани. Характеризуются благоприятным прогнозом и низкой частотой рецидивов.
- Grade-2 — 2-я степень злокачественности, 4,7 % случаев. Характеризуются более агрессивным и быстрым ростом, высокой частотой рецидивирования и менее благоприятным прогнозом.
- Grade-3 — 3-я степень злокачественности, 1% случаев. Злокачественные новообразования с неблагоприятным прогнозом, высокой частотой рецидивирования, быстро растущие и вовлекающие окружающие ткани мозга в процесс.
Методика лечения опухолей головного и спинного мозга, а также прогноз выживаемости зависят от степени злокачественности, расположения и размера.
Диагностика менингиомы
Диагноз ставится по данным КТ, МРТ или ПЭТ/КТ. МРТ с контрастом считается наиболее информативным методом для обнаружения доброкачественных менингиом позвоночника и головного мозга. Оно позволяет увидеть взаимоотношение опухоли с окружающими тканями и оценить состояние сосудов. КТ выявляет до 90% опухолей, показывает изменения костей и кальцинаты в новообразовании.
ПЭТ/КТ применяют для обнаружения злокачественных форм, обследование помогает оценить скорость обмена веществ в опухоли, а значит определить вероятность ее злокачественного перерождения.
Нужна дополнительная информация по ПЭТ КТ диагностике? Получите бесплатную консультацию наших специалистов
Лечение менингиомы
Существует несколько методов лечения заболевания:
- хирургическое удаление менингиомы — оперативное лечение позволяет удалить опухоль, но может быть травматичным для пациента. Исход операции зависит от близости новообразования к жизненно важным структурам головного мозга. При доброкачественных формах, как правило, удается добиться полного излечения.
- классическая лучевая терапия — малоэффективна для лечения опухоли. При ее использовании могут повреждаться соседние участки головного мозга и спинной мозг при новообразованиях позвоночника. Иногда используется совместно с хирургическим удалением, чтобы разрушить очаги в неоперабельных зонах или снизить риск рецидива.
- лучевая терапия на установке Кибер-Нож — современный и малотравматичный метод лечения образований размером до 3.5-4 см. На опухоль воздействуют направленным потоком ионизирующего излучения. Окружающие ткани при этом практически не повреждаются.

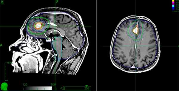
Лечение менингиомы. Этапы подготовки мишени для облучения на системе "Кибер-нож”
Кибер-Нож позволяет удалить опухоль без боли и повреждения важных структур мозга. Процедура проводится в амбулаторных условиях без госпитализации пациента, после терапии пациент сразу может ехать домой. В ПЭТ-центре план лечения составляется врачами радиологом и онкологом, что позволяет выбрать наиболее эффективную тактику для конкретного пациента.
Лечение на Кибер-Ноже в Уфе доступно не только для жителей региона, но и для иногородних и иностранных пациентов — для них разработаны специальные программы.
Остались вопросы по лечению на Кибер-ноже? Вы можете получить бесплатную консультацию наших специалистов.
Последствия и прогноз
В случае, когда у пациента была выявлена доброкачественная менингиома без прорастания в окружающие ткани, ее удаление часто означает полное выздоровление. Выживаемость пациентов в течение 5 лет составляет около 70-90%.
Однако даже доброкачественные образования могут рецидивировать в 3% случаях. Атипичные — рецидивируют в 38% случаях, злокачественные — в 78%. Тяжесть последствий зависит от размеров, расположения и злокачественности опухолевого очага.
Атипичная и злокачественная менингиома на МРТ
НИИ нейрохирургии им. акад. Н.Н. Бурденко РАМН, Москва
Московский клинический научно-практический центр Департамента здравоохранения Москвы, Москва, Россия
ФГБНУ «НИИ нейрохирургии им. акад. Н.Н. Бурденко», Москва, Россия
НИИ нейрохирургии им. акад. Н.Н. Бурденко РАМН, Москва
ГБУ НИИ нейрохирургии им. Н.Н. Бурденко
Менингиома с экстракраниальными метастазами
Журнал: Журнал «Вопросы нейрохирургии» имени Н.Н. Бурденко. 2011;75(2): 62‑67
Шиманский В.Н., Ротин Д.Л., Шишкина Л.В., Отарашвили И.А., Кобяков Г.Л. Менингиома с экстракраниальными метастазами. Журнал «Вопросы нейрохирургии» имени Н.Н. Бурденко. 2011;75(2):62‑67.
Shimanskiĭ VN, Rotin DL, Shishkina LV, Otarashvili IA, Kobiakov GL. Meningioma with extracranial metastases. Zhurnal Voprosy Neirokhirurgii Imeni N.N. Burdenko. 2011;75(2):62‑67. (In Russ.).
НИИ нейрохирургии им. акад. Н.Н. Бурденко РАМН, Москва
Обсуждается случай из практики рецидивирующей менингиомы основания задней черепной ямки с экстракраниальным метастазированием. Метастазы менингиомы распространяются через венозную систему, по лимфатическим путям и цереброспинальную жидкость, а также контактным (имплантационным) путем. Инвазия твердой мозговой оболочки венозных синусов приводит к попаданию клеток опухоли в легочный круг кровообращения, систему непарной и полунепарной вены, венозное сплетение позвоночника, откуда уже происходит дальнейшее распространение опухоли. Гистологическое исследование рецидивирующих менингиом требует дополнительного иммуногистологического исследования с уточнением пролиферативной активности опухоли.
НИИ нейрохирургии им. акад. Н.Н. Бурденко РАМН, Москва
Московский клинический научно-практический центр Департамента здравоохранения Москвы, Москва, Россия
ФГБНУ «НИИ нейрохирургии им. акад. Н.Н. Бурденко», Москва, Россия
НИИ нейрохирургии им. акад. Н.Н. Бурденко РАМН, Москва
ГБУ НИИ нейрохирургии им. Н.Н. Бурденко
Менингиомы — в большинстве случаев доброкачественные опухоли, развивающиеся из оболочек головного или спинного мозга. Они составляют 15—20% от всех интракраниальных опухолей и характеризуются тенденцией к местному рецидивированию, частота и скорость которого зависят от гистологического типа и радикальности удаления. Метастазирование менингиом встречается очень редко и характеризуется распространением отдаленных вторичных очагов либо в легкие, либо в органы брюшной полости и очень редко — в трубчатые кости или в позвоночник. Как правило, оно наблюдается при анапластических менингиомах (Grade III по классификации ВОЗ), хотя и не является четким признаком злокачественной природы опухоли. Мы представляем случай рецидивирующей менингиомы основания задней черепной ямки с экстракраниальным метастазированием, а также обзор литературы по интракраниальным менингиомам, распространяющимся за пределы центральной нервной системы.
Больная Л., 62 лет, учительница, поступила в НИИ нейрохирургии 26.01.09. С осени 2008 г. стало беспокоить двоение предметов перед глазами при взгляде в правую сторону и почти одновременно шаткость походки. Несколько недель спустя появилось дрожание в правой руке, ежедневная утренняя тошнота. Тогда же обратила внимание на быструю утомляемость даже при незначительной физической нагрузке, что заставило оставить педагогическую деятельность. На произведенной магнитно-резонансной томографии (МРТ головы и шеи) выявлена опухоль задней черепной ямки справа, нейровизуализационная семиотика которой соответствовала менингиоме задней поверхности пирамиды височной кости (рис. 1, а—г). Рисунок 1. Вид опухоли при нейровизуализации и гистологические препараты после первой операции. а — МРТ, аксиальный срез до первой операции. Опухоль основания задней черепной ямки справа; б — спиральная компьютерная томография через 6 мес. После удаления менингиомы задней поверхности пирамиды височной кости справа. Данных, свидетельствующих о продолженном росте опухоли, нет; в — менингиома атипическая: гиперхромные ядра, фигуры митозов, единичные микронекрозы. Ув. ×200. Окраска гематоксилином и эозином; г — экспрессия пролиферативного маркера Ki-67 в ядрах опухоли, индекс мечения более 5%. Ув. 400. Необычным для менингиомы было наличие на медиальной ее поверхности кисты. Других новообразований в полости черепа и на шее на тот момент не выявлялось. При обследовании в институте при остроте зрения 1,0 с двух сторон не определялись какие-либо симптомы внутричерепной гипертензии. В неврологическом статусе выявлялось ограничение подвижности правого глазного яблока в правую сторону, что указывало на парез отводящего нерва, мозжечковая симптоматика в виде нарушения координации в правой руке и ноге и неустойчивости в пробе Барре, множественный спонтанный горизонтальный нистагм. Проведенное предоперационное обследование лимфатических узлов и внутренних органов не выявило какой-либо патологии. 28.01.09 произведена операция — удаление менингиомы задней поверхности пирамиды височной кости справа. Использован ретросигмовидный субокципитальный доступ, выполненный через парамедианный разрез кожи в шейно-затылочной области. Опухоль умеренно кровоточивая, мягкоэластичной консистенции, имела четкую границу со стволом мозга и признаки инвазии прилежащей к ней коры мозжечка. Киста на медиальной поверхности опухоли имела интратуморальное расположение. Матрикс опухоли располагался сразу же за внутренним слуховым проходом. Он иссечен вместе с измененной твердой мозговой оболочкой. Последняя была инфильтрирована опухолью кпереди от матрикса до канала отводящего нерва, книзу — до области яремного отверстия. Здесь оболочка коагулирована. Таким образом, опухоль удалена тотально. Гистологический диагноз: менингиома смешанного строения. Спустя 6 дней после операции в удовлетворительном состоянии выписана домой. При контрольном обследовании через 4 нед каких-либо неврологических симптомов не выявлялось. На контрольных спиральных компьютерных томограммах (СКТ) головного мозга без и с контрастным усилением, произведенных спустя 4 и 6 мес после операции, признаков рецидива опухоли нет. Состояние пациентки было удовлетворительным, планировала в сентябре вновь приступить к работе. Однако осенью вновь наступило ухудшение состояния. Как и прежде, отметила двоение предметов перед глазами, но уже при взгляде в разные стороны, шаткость походки, впервые появилось снижение слуха на правое ухо, онемение правой половины лица и жестокая сжимающая головная боль. Повторно госпитализирована в НИИ нейрохирургии в ноябре 2009 г. При неврологическом обследовании выявлена симптоматика поражения правого мостомозжечкового угла в виде снижения слуха на правое ухо, слабости лицевой мускулатуры (по классификации Хаус Бракмана 3-я степень), гипестезии в зоне иннервации тройничного нерва справа, мозжечковая и стволовая симптоматика. На контрольных МРТ головы и шеи определялись множественные узлы менингиомы области задней черепной ямки (рис. 2, а—г). Рисунок 2. Вид опухоли при нейровизуализации (рецидив и после курса радиохирургии), гистологические препараты после второй операции. а — МРТ, аксиальный срез, рецидив менингиомы через 10 мес после операции; б — МРТ, аксиальный срез после проведения курса радиохирургии; в — менингиома анапластическая: видны множественные очаги некрозов, митозы. Ув. 200. Окраска гематоксилином и эозином; г — экспрессия пролиферативного маркера Ki-67 в ядрах опухоли, индекс мечения около 15%. Ув. 400. Они располагались в задних отделах кавернозных синусов (справа узел большего размера), верхних отделах ската, области петрокливального сочленения, внутреннего слухового прохода, задней поверхности пирамиды височной кости на стороне бывшей операции. По внутренним органам патологии не выявлено. 30.11.09 с использованием прежнего оперативного доступа произведена повторная операция удаления множественных узлов менингиомы основания задней черепной ямки справа: задней поверхности пирамиды височной кости, внутреннего слухового прохода и петрокливальной области справа (гистологический диагноз: анапластическая менингиома). Узлы менингиомы, расположенные в области кавернозных синусов, верхних отделов ската, не удалялись. Таким образом, произведено частичное удаление опухоли. В послеоперационном периоде отмечен регресс только мозжечковой симптоматики. Учитывая характер заболевания, объем оперативного вмешательства, распространение опухолей, через 1 мес после повторной операции в НИИ нейрохирургии проведено 7 сеансов курса радиотерапии с хорошим лечебным эффектом. Состояние пациентки постепенно улучшалось: уменьшилось двоение предметов перед глазами, исчезли головная боль, онемение лица, улучшилось общее самочувствие. На этом фоне в марте 2010 г. отметила появление плотного образования на шее справа в месте бывших оперативных вмешательств. Образование на протяжении нескольких недель увеличилось в размерах, стало выбухать в правой заушной области, вызывая напряжение и локальное побледнение кожи, было болезненным при его ощупывании, поворотах головы. Произведенная контрольная МРТ головы и шеи не выявила прогрессии интракраниальной опухоли. В мягких тканях шеи в месте бывшего парамедианного доступа выявлено два разноразмерных очага (рис. 3, а—в). Рисунок 3. Вид опухоли при нейровизуализации (экстракраниальное метастазирование менингиомы), гистологические препараты. а — МРТ, сагиттальный срез, стрелкой указан метастаз менингиомы в шейную область; б — анапластическая менингиома, инфильтрирующая жировую и мышечную ткани. Ув. 400. Окраска гематоксилином и эозином; в — экспрессия пролиферативного индекса Ki-67 в клетках опухоли, ИМ около 15%. Ув. 400. Пациентка вновь поступает в НИИ нейрохирургии, где 23.06.10 произведено удаление двух узлов менингиомы. Каждая опухоль свободно выделена из мышц шеи, в которых они располагались, и единым узлом каждая удалена. Гистологический диагноз: анапластическая менингиома. После операции самочувствие удовлетворительное. Изменений в неврологическом статусе не отмечено. Обследование лимфатических узлов, органов грудной клетки и брюшной полости не выявило каких-либо узлов. На 4-е сутки после операции выписана домой.
Менингиомы — обычно медленно растущие новообразования, составляющие до 20% всех первичных внутримозговых и спинальных опухолей [9, 38]. Внутрижелудочковые менингиомы встречаются реже, составляя от 0,5 до 3% всех менингиом [17]. Они, как правило, доброкачественные. Несмотря на свой доброкачественный характер, эти опухоли могут поражать стенки синусов, кости, мягкие ткани. Частота местных рецидивов менингиомы, по данным разных авторов, колеблется от 9 до 32% [8] и зависит от радикальности удаления и гистологического типа опухоли. Частота опухолей с более агрессивным биологическим видом (атипические и анапластические типы, соответственно Grade II и III по классификации ВОЗ) варьирует от 2 до 10% [25]. Метастазирование доброкачественных менингиом наблюдается редко — не более чем в 0,1% случаев [11, 18, 23, 32]. При злокачественных менингиомах частота возникновения метастазов существенно выше от 5 до 46% [6, 31]. Наиболее часто отдаленное метастазирование менингиом происходит в легкие (60%), внутренние органы брюшной полости, в первую очередь в печень (34%), шейные лимфатические узлы (18%), длинные трубчатые кости, кости черепа и кости таза (11%), плевру (9%), позвоночник (7%), центральную нервную систему (7%) и средостение (5%) [3, 5, 12, 14, 21, 36]. Почки, мочевой пузырь, щитовидная железа, молочная железа, сердце, кожа, надпочечники и глазное яблоко поражаются метастазами менингиом в единичных случаях [12]. Период между постановкой диагноза интракраниальной менингиомы и появлением метастазов очень вариабелен и колеблется от нескольких месяцев до 20 лет [20]. Он короче для злокачественных менингиом и длиннее для доброкачественных [4, 20, 29]. Таким образом, в случае метастазирования менингиомы должно быть обязательно проведено исследование внутренних органов, прежде всего легких.
В нашем случае этот период составил 17 мес, а метастазирование наступило в мягкие ткани шеи. Указаний на столь необычное место метастазирования в современной специальной литературе нами не найдено.
Считается, что метастазы менингиомы распространяются через венозную систему, по лимфатическим путям и цереброспинальную жидкость, а также контактным (имплантационным) путем. Инвазия твердой мозговой оболочки венозных синусов приводит к попаданию клеток опухоли в легочный круг кровообращения, систему непарной и полунепарной вены, венозное сплетение позвоночника, откуда происходит дальнейшее распространение опухоли в «привычные» места [37]. Первоначально считалось, что хирургия помогает формированию метастазов, позволяя опухолевым клеткам поступать в кровеносную и лимфатическую систему циркуляции [30]. В нашем случае имело место одновременное поражение обоих кавернозных синусов, верхнего каменистого синуса, области луковицы яремного отверстия, что, очевидно, имело патогенетическое значение для гематогенного метастазирования. Однако мы не исключаем, что первичным путем распространения метастазов у нашей пациентки было drop-метастазирование, т.е. по предшествовавшей хирургической траектории.
Менингиомы происходят из клеток паутинной мозговой оболочки (арахноидного эпителия) и естественным путем всегда попадают в цереброспинальную жидкость в процессе своего роста, или во время хирургического вмешательства. Диссеминация или обсеменение через цереброспинальную жидкость встречается реже, чем развитие гематогенных метастазов в экстракраниальных внутренних органах, но тем не менее тоже может иметь место [13]. Цитологический анализ ликвора в нашем случае не проводился, поэтому роль распространения метастазов на шею через спинномозговую жидкость остается только гипотетической.
Некоторые нейровизуализационные данные, такие как грибоподобный рост опухоли, негомогенное усиление, перитуморозный отек, остеолизис, внутренние кистозноподобные области и нечеткие границы опухоли, также могут рассматриваться как дополнительные факторы в отношении злокачественности и агрессивности опухоли, а также возможности ее метастазирования [11, 33]. В нашем случае на злокачественную природу менингиомы могли указывать такие данные МРТ, как перитуморозный отек, отсутствие ликворной щели, что ассоциируется с нечеткой границей с мозговой тканью, наличие кист на медальной, т.е. граничащей с мозгом поверхности опухоли. Но следует еще раз подчеркнуть, что они не являются признаками злокачественности менингиом. Место локализации матрикса опухоли, распространение ее относительно намета мозжечка суб- или супратенториально также не является прогностическим фактором для метастазирования [11, 18].
Гистологический тип менингиомы в большинстве случаев является прогностическим фактором не только в отношении возникновения рецидивов менингиом [1], но и для их метастазирования [2, 6, 7, 21, 27].
В последней классификации опухолей нервной системы ВОЗ (2007) приводятся 15 гистологических вариантов менингиомы, большинство из которых относятся к Grade I и имеют доброкачественный характер [10]. Атипические менингиомы имеют следующие гистологические признаки: повышенную митотическую активность, участки плотноклеточности, наличие мелких клеток с высоким ядерно-цитоплазматическим отношением, выраженными ядрышками, солидный характер роста с очагами «географических» или «спонтанных» некрозов. Для такого варианта возросшей митотической активностью считается наличие четырех или более митозов в 10 полях зрения при большом увеличении [25]. Анапластические менингиомы демонстрируют еще более злокачественные признаки по сравнению с атипическими менингиомами. Такие признаки включают или очевидно злокачественные цитологические признаки, или высокий митотический индекс (20 и более митозов на 10 полей зрения на большом увеличении) [26].
Тем не менее гистопатологические критерии злокачественности менингиом до настоящего времени полностью не изучены. Более трех фигур митоза на 10 полей зрения, по-видимому, на сегодняшний день наиболее надежный индикатор агрессивного биологического поведения опухоли, но все же не бесспорный [20]. Некоторые авторы [6, 16, 28, 31, 35] придерживаются мнения, что высокий индекс пролиферативной активности клеток не является основным прогностическим фактором ни метастазирования, ни рецидивирования менингиом, поскольку в редких случаях доброкачественные менингиомы также могут метастазировать. Учитывая, что 90% менингиом доброкачественные, но к ним относится до 60% всех отдаленных метастазов [4], гистологические признаки злокачественности менингиом, предложенные ВОЗ, не являются абсолютно достоверными. В отношении оценки типа опухоли и ее потенциала злокачественности в этой ситуации полезны такие иммуногистохимические маркеры, как Ki-67 и р53, или молекулярно-биологические исследования: делеции CDKN2A и 9р21 [6, 13, 24, 34]. Индекс мечения Ki-67 особенно показывает высокозначимое увеличение от доброкачественного (в среднем 3,8%), через атипическую (в среднем 7,2%), к анапластической менингиоме (в среднем 14,7%) [19]. Аналогичные результаты, подтверждающие важное значение уровня индекса мечения Ki-67 и делеции 9р21 для оценки злокачественности и вероятности развития рецидива опухоли, получены и для менингиом основания задней черепной ямки [1]. В нашем случае индекс мечения Ki-67 в материале от первой операции был относительно высоким — около 7%, что приближало эту опухоль к атипической менингиоме (Grade II).
При исследовании рецидива опухоли морфологическая картина (наличие множественных некрозов и митозов) и индекс мечения Ki-67, равный 15%, уже соответствовали анапластической менингиоме Grade III. Гистологическое исследование метастатической опухоли на шее выявило инфильтративно растущую в мышечную, фиброзную и жировую ткани анапластическую менингиому.
Таким образом, в представленном наблюдении имела место злокачественная прогрессия опухоли с последующим метастазированием в мягкие ткани.
Заключение
В случаях злокачественной трансформации рецидивирующей опухоли или признаков метастазирования в схему обследования пациента помимо МРТ-исследования головы целесообразно включать исследование органов грудной и брюшной полостей. Гистологическое исследование рецидивирующих менингиом требует дополнительного иммуногистологического исследования с уточнением пролиферативной активности опухоли.
Менингиома

«Пока не появится хотя бы 2-3 негативных симптома, пациенты даже не задумываются, что у них может быть менингиома. Так проходит и основная часть многих других опухолевых процессов головного мозга. В случае менингоимы причиной часто становится наследственный фактор и генетические сбои (нейрофиброматоз, множественный гемангиоматоз). Комплексный подход к диагностике и лечению таких новообразований в нашем центре дает свои результаты».
Что такое менингиома?
Менингиома — это опухоль, образующаяся из паутинной (арахноидальной) оболочки спинного или головного мозга. Морфологически менингиома четко ограничена и представляет собой узел в форме шара или подковы, который часто может быть сращен с твердой мозговой оболочкой. В большинстве случаев опухоль доброкачественная, но любое новообразование, которое разрастается в черепной коробке, является относительно опасным для жизни образованием, так как по мере его роста может развиваться симптоматика, связанная со сдавливанием вещества мозга.
Злокачественные варианты диагностируются не часто. Такая опухоль начинает агрессивно расти и характеризуется частыми рецидивами ракового заболевания после операции по удалению менингиомы. Опухоль не изолированная, имеет несколько очагов роста, также и по ходу спинного мозга.
Локализуется злокачественная опухоль в следующих областях мозга:
- Область больших полушарий.
- Большое затылочное отверстие.
- Крылья клиновидной кости.
- Пирамида височной кости.
- Тенториальная вырезка.
- Пещеристый синус.
- Мостомозжечковый угол.
- Парасагиттальный синус.
Несмотря на то, что относится патология к опухолям головного мозга, она поражает не саму нервную ткань, а располагается на ее поверхности в твердой оболочке мозга. Обычно менингиома развивается у женщин и происходит из твердой мозговой оболочки, которая находится между костями черепной коробки и мозгом. Менингиомы занимают 15% от всех опухолей головного мозга и в 97% случаев они доброкачественные. Большинство опухолей разрастаются медленно и когда диагностируются, уже имеют значительный размер.
Причины возникновения менингиомы
Прямые причины, как уже сказано выше, не известны, зато есть факторы риска, которые могут спровоцировать развитие патологии, когда клетки рака начнут активно разрастаться:
- Возрастная группа за 40.
- Половая принадлежность. Мозг женщин поражается чаще. Риск развития рака у женщин в три раза больше, это связано с влиянием женских половых гормонов (эстрогена, прогестерона) на рост новообразований, зачастую доброкачественных. Но для представителей сильного пола обычно характерны злокачественные новообразования.
- Ионизирующее излучение окружающей среды в больших дозировках. Из-за этого может развиться внутричерепная опухоль. Однако по данным ученых риск развития опухоли связан как раз со сниженной дозировкой радиации.
- На развитие опухоли также влияет генетика. Нейрофиброматоз II типа является предрасполагающим фактором к развитию многочисленных злокачественных очагов в любых отделах внутричерепной коробки, иногда вокруг спинного мозга.
Некоторые менингиомы захватывают нервы и кровеносные сосуды, что сильно осложняет их лечение. Обычно это происходит при опухолях основания черепной коробки, где располагаются многие жизненно важные артерии и нервы.
Признаки и симптомы опухоли
Заподозрить наличие образования может опытный доктор после того, как будут обнаружены характерные общемозговые и локальные симптомы.
- Общемозговые признаки связаны с нарушением функционирования мозга, ухудшившимся снабжением крови и давлением образования на мягкие ткани. У человека проявляется такая симптоматика: кружение головы, рвотный рефлекс, плохая память и изменения психоэмоционального характера.
- Локальные признаки. Локализация опухоли оказывает влияние на состояние человека и отражается в нарушениях движений конечностей, ухудшении слуха и зрения.
Выполняя дифференциальное диагностирование, нейрохирург заметит неврологические симптомы, которые указывают на локализацию новообразования, и назначит дополнительное исследование пораженной области.
Виды патологии
Локальные признаки указывают на такие разновидности патологии:
- Фалькс менингиома — образование, которое растет из серповидного отростка. Симптоматика проявляется судорогами, припадками, как во время эпилепсии обычно джексоновского типа. По мере развития патологии может наступить парализация ног и нарушение работоспособности органов в области таза.
- Атипическая менингиома, которой соответствует 2 степень недоброкачественной опухоли, проявляется в постоянно нарастающей неврологической симптоматике. Такое новообразование очень быстро растет.
- Анапластическая менингиома — злокачественное новообразование. Определить этот вид патологии по симптомам не представляется возможным. Для точного диагностирования применяют технологии. На магнитно-резонансной томографии видно плотное расположение клеток, присутствие зон некротических тканей и митоза разного размера.
- Петрифицированная менингиома — для болезни характерна высокая утомляемость, слабость ног и рук. Эти признаки бывают настолько сильными, что человеку бывает трудно выполнить даже простейшие упражнения, ведь постоянно кружится голова, мышцы работают плохо, чувствуется тошнота.
- Парасагиттальная менингиома. Для этого вида болезни характерна внутричерепная гипертензия. Симптоматика бывает следующей: судорожное состояние, признаки эпилепсии и парестезии. Наблюдаются проблемы с движением ног, конечности немеют в противоположной или контралатеральной области. Если опухоль локализовалась в правом полушарии головного мозга, проблемы будут проявляться в левой нижней конечности и наоборот.
- Менингиома лобной доли головного мозга проявляется нарушениями в психическом и эмоциональном плане. Человек не может сконцентрировать внимание, становится равнодушным, не хочет принимать решений. По мере разрастания новообразования проявляются признаки раздраженности, развиваются галлюцинации и больной впадает в депрессивное состояние.
- Конвекситальная менингиома височной области. Первостепенно возникают проблемы с функциями, напрямую связанными с этим участком и гиппокампом мозга. Развиваются проблемы со слуховым и речевым аппаратом, наблюдается тремор конечностей.
- Обызвествленная в теменной области — начинаются проблемы с ориентированием в пространстве, становится хуже ассоциативное мышление. Симптоматика сопровождается расстройствами психики и приступами эпилепсии.
- Менинготелиоматозная — растет опухоль крайне медленно, наблюдаются первично-очаговые симптомы.
- Опухоль бугорка турецкого седла — доброкачественное образование, может быть пролечено без операции. Проявляется нарушением зрения на одном глазу и спустя время развитием хиамзального синдрома.
- Менингиома намета мозжечка проявляется проблемами с координацией движений, головными болями и памятью. Могут проявляться эпилептические припадки.
В TomoClinic с помощью современных методик проводится лечение раковых опухолей различной локализации. Современное медицинское оборудование позволяет удалять опухоли, не задевая близлежащие органы и ткани.
Факторы риска
Понять, какова точная причина развития раковых образований, пока невозможно. В отношении опухоли головного мозга возможно лишь подозревать, что некоторую роль в провокации патологического процесса играют половые гормоны. Данная теория выстроена на том, что патология обычно диагностируется у представительниц слабого пола, что связано с резким колебанием гормонального фона в период вынашивания ребенка или климактерический период.

Заболевание может развиться из-за того, что женщина принимает гормональные медикаменты. Также доктора сошлись во мнении, что опухолевый процесс может быть спровоцирован лучевым действием на человеческий организм и наличием патологий ЦНС. Прогноз при терапии болезни в большинстве случаев позитивный, хотя последствия заболевания могут быть разными, вплоть до появления рецидивов патологии, в особенности в теменной доле. Очень важно как можно раньше выявить новообразование, чтобы опухоль ямки не стала причиной полнейшей потери обоняния, а образование турецкого седла не привело к полной потере зрения.
Диагностика
Прогноз данной патологии головного мозга сделать сложно, не проводя специальных медицинских обследований, так как в начале развития проявление опухолевого процесса может быть слабым и установить верный диагноз становится очень сложно. Симптоматология менингиомы обычно связана с развитием проблем с памятью, слуховым аппаратом, органами зрения, координации движений, речевым аппаратом и т. д.
Симптоматологию провоцирует давление на отдельные участки головного мозга. Обычно доктор в самом начале выполняет неврологическое обследование, по результату которого проверяются рефлексы, функции зрения, слуха, мозжечка и вестибулярного аппарата. Кроме того, прибегают к обязательным способам диагностирования, среди которых:
- Анализ крови — лабораторные исследования доступны для выявления такого новообразования, как менингиома.
- Электроэнцефалограмма — при помощи данной методики фиксируется активность головного мозга посредством измерения проходящего через мозг электротока.
- Ангиография — используя контрастирующее вещество, вводится инъекция, благодаря чему выделяются кровеносные сосуды в мозгу. Этот метод используют для выявления интенсивности снабжения раковой опухоли кровью. Ангиографию применяют в качестве подготовки перед оперативным вмешательством или как дополнительный способ диагностирования.
- МРТ — магнитно-резонансная томография. Используются магнитные волны, которые дают возможность получить четкую послойную картинку о состоянии головного мозга.
- МРС — магнитно-резонансная спектроскопия. Помогает определить характер и химический профиль новообразования.
- КТ — компьютерная томография. Метод диагностики применяется для визуализации головного мозга.
- ПЭТ — позитивно-эмиссионная томография. Позволяет выявить в головном мозге рецидивы, но активного распространения не получила, так как имеет низкую специфичность и дорого обходится.
Самый достоверный прогноз раковой опухоли головного мозга дает биопсия. В период проведения операции докторами извлекается частичка опухоли для определения ее классификации. Иногда хирург в процессе биопсии может сразу удалить всю опухоль.
Способы лечения
Выбор методики лечения зависит от общего состояния пациента, степени роста новообразования и клиники патологии. Традиционно применяются несколько подходов к лечению:
- Консервативное лечение. В данном случае используются методы, которые сокращают вероятность дальнейшего разрастания новообразования. При лечении консервативными способами на начальных стадиях и при невозможности выполнить операцию назначается курс медикаментозных средств, а также альтернативные способы контроля над ростом образования. Для этого была разработана методика узконаправленного излучения, при которой радиоактивный изотоп устраивают в зону, расположенную рядом с раковым образованием. Таким образом происходит облучение новообразования, и клетки опухоли погибают. Так можно достигнуть полного излечения.
- Радикальная терапия выполняется при сильнейшем увеличении объема новообразования или при злокачественной природе опухоли.
В связи с тем, что менингиома — это обычно доброкачественное образование, то для лечения часто применяется хирургический метод.
При удалении важно устранить и волокна опухоли, поразившие ткани вокруг. Но это может быть очень опасно, когда поражена ткань мозговой оболочки или венозные синусы. Последствия такого оперативного вмешательства могут негативно сказаться на качестве жизнедеятельности пациента, поэтому в данном случае разумнее будет оставить часть опухолевых тканей с последующим постоянным наблюдением за ее ростом. Злокачественные опухоли могут рецидивировать и требуют повторных оперативных вмешательств. Нередко применяются методики лучевой терапии, в особенности тогда, когда полностью удалить опухоль хирургическим путем не представляется возможным. Также применяют большую дозировку рентгеновского облучения для того, чтобы ликвидировать аномальные клетки.
Традиционная лучевая терапия дает слабый эффект в случае менингиом большого размера. Если опухоль локализовалась в труднодоступных для нейрохирурга местах или рядом располагаются области, повреждение которых грозит нарушением функций жизнедеятельности пациента, то используют стереотаксические способы. Более эффективно лечение опухолей до 3,5 см, но методика успешно используется и для терапии крупных новообразований.
Стереотаксические методики основаны на прицельном облучении опухолевых структур лучами, расположенными под различными углами. Часто стереотаксическая радиохирургия используется совместно с традиционной хирургией. Это оправдано, когда опухоль удалять нельзя или не безопасно. Эффективность данной методики составляет примерно 93%. Химиотерапия не применяется в лечении доброкачественных менингиом. Систематическое медицинское обследование и лечение поможет предотвратить перерождение доброкачественной опухоли в злокачественную патологию.
Только врач может назначить терапию. Самостоятельно лечить менингиому нельзя, так как могут быть противопоказания, которые приведут к негативным последствиям. При менингиоме противопоказаны медикаменты, виды мануального и терапевтического воздействия, которые провоцируют стремительный рост клеток опухоли. Так, нельзя принимать ноотропные вещества, витамины группы В и медикаменты, которые улучшают обмен веществ. Лечение гомеопатией должно согласовываться с лечащим врачом.
Очень важно не допустить стремительного увеличения новообразования и его разрастания, а также перерождения образования в онкологическую патологию. При выявлении опухоли у женщины строго запрещено принимать гормональные противозачаточные препараты. В период развития доброкачественного или злокачественного новообразования у пациента наблюдаются проблемы с функционированием мозга, которые связаны с увеличивающимся давлением на мягкие ткани. После того, как образование будет удалено, мозговым тканям нужно время, чтобы прийти в норму.
Реабилитация продолжается от нескольких недель до 6 месяцев в зависимости от тяжести состояния человека. Для восстановления понадобится назначение лечебной физкультуры и дополнительных процедур, которые запустят проводимость нервной и мышечной системы. Лучший эффект показала комплексная терапия. В зависимости от состояния, в котором находится человек, ему может быть назначено:
Профилактических мер, которые касаются менингиомы головного мозга, на сегодня нет. Доктора советуют лишь вести здоровый образ жизни: отказаться от вредных привычек, питаться полезной пищей и проявлять заботу о своем здоровье. Если малое доброкачественное образование не разрастается и не имеет симптомов, то лечение не потребуется. В случае со злокачественными опухолями нужно срочно обратиться к опытному специалисту, который поставит диагноз и назначит курс комплексного лечения.
Правильное и здоровое питание имеет важное значение при опухоли мозга. Пациенту советуют убрать из рациона жирные продукты и копчености, мясные отвары и наваристые бульоны, а также «фастфуд». Забыть следует и об алкогольных напитках, табакокурении, а про наркотики и речи не идет. Здоровый образ жизни является лучшей профилактической мерой.
Менингиома головного мозга
Менингиома головного мозга (код по МКБ 10 – D32.0) представляет собой новообразование, которое происходит из арахноидальной (паутинной) оболочки мозга. Менингиома головного мозга морфологически имеет четкие очертания и выглядит как подковообразный или шаровидный узел, чаще всего сращенный с твердой оболочкой мозга.
В Юсуповской больнице для лечения менингиомы квалифицированные специалисты применяют самые передовые технологии и проверенные временем эффективные методы: лучевую терапию, стереотаксическую радиохирургию, качественное удаление менингиомы головного мозга. Восстановление после операции проводится в отделении реабилитации Юсуповской больницы под тщательным наблюдением компетентных врачей-реабилитологов и внимательного медицинского персонала.

Менингиома: что это такое?
Как правило, менингиома имеет доброкачественный характер, однако, как и любая другая опухоль, локализованная внутри черепной коробки, доброкачественная менингиома головного мозга считается относительно злокачественной, сопровождающейся симптомами, связанными со сдавлением мозгового вещества. Злокачественная опухоль головного мозга (менингиома) - менее распространенное заболевание, для которого характерен агрессивный рост и высокая частота рецидивов после хирургического лечения.
Наиболее часто менингиома мозга локализуется в области большого затылочного отверстия, больших полушарий, пирамиды височной кости, крыльев клиновидной кости, тенториальной вырезки, парасагиттального синуса и мостомозжечкового угла.
В большинстве случаев менингиома находится в капсуле. Опухоль не характеризуется образованием кист, может быть маленькой, всего несколько миллиметров или достигать больших размеров - свыше 15 сантиметров в диаметре. Если менингиома растет в сторону мозга, то образуется узел, который со временем начинает сдавливать мозговое вещество. Если опухоль растет в сторону костей черепа, то со временем она прорастает между клетками кости и вызывает утолщение и деформацию кости. Опухоль может расти одновременно в сторону кости и мозга, тогда образуются узлы и деформация костей черепа.
Причины развития
Прямые причины развития менингиом на сегодняшний день достоверно не изучены. Однако существует ряд факторов, которые могут провоцировать их возникновение:
- чаще всего менингиома головного мозга диагностируется у пациентов зрелого возраста, после 40 лет;
- известно, что женщины подвержены развитию менингиомы мозга больше, чем мужчины. Это обусловлено тем, что на рост опухоли оказывают большое влияние женские половые гормоны;
- возникновение различных новообразований в головном мозге нередко связано с высокими дозами ионизирующего излучения;
- влияние таких негативных факторов, как химические и токсические вещества, травма, воздействие мобильного телефона и других;
- немалая роль в развитии менингиомы принадлежит генетическим заболеваниям, одним из которых является нейрофиброматоз второго типа, вызывающий множественные злокачественные менингиомы.
Симптомы и признаки
Менингиома головного мозга (МКБ 10 – D32.0) отличается относительно медленным ростом, поэтому достаточно долго может развиваться бессимптомно.
Одним из первых симптомов является головная боль – тупая, распирающая или ноющая. Она отличается разлитым характером и локализацией в области затылка, лба или висков.
Возникновение других симптомов связано с локализацией опухоли (сдавлением тех или иных структур головного мозга). Подобная симптоматика называется очаговой.
Менингиома головного мозга может подозреваться в случае наличия следующих симптомов:
- парезов конечностей (выраженной слабости, снижения чувствительности, появления патологических рефлексов);
- выпадения полей зрения и иных зрительных расстройств (снижение остроты зрения, двоение в глазах). Характерным признаком является птоз – опущение верхнего века;
- ухудшения слуховой функции;
- снижения или полной потери обоняния, обонятельных галлюцинаций;
- эпилептиформных припадков;
- психоэмоциональных нарушений, поведенческих расстройств – такими симптомами чаще всего проявляется менингиома лобной доли головного мозга;
- нарушений мышления;
- нарушения координации и походки;
- повышения внутриглазного давления;
- тошноты и рвоты, не приносящей облегчения.
При нарушении оттока ликвора отмечается возникновение гидроцефалии, отека головного мозга, вследствие чего у пациентов появляются упорная головная боль, головокружения, психические расстройства.

Диагностика
Наиболее информативными и точными методами диагностики менингиомы являются компьютерная томография (КТ) и магнитно-резонансная томография (МРТ). Как правило, данные исследования проводят с контрастированием. КТ и МРТ позволяют определить размер опухоли, её локализацию, степень поражения окружающих тканей и возможные осложнения.
Для определения химического профиля и характера новообразования применяют магнитно-резонансную спектроскопию (МРС). Установить очаги рецидива менингиомы позволяет позитронно-эмиссионная томография (ПЭТ).
Вспомогательным методом, позволяющим определить характер кровоснабжения опухоли, является ангиография. Данное исследование нередко используется в процессе предоперационной подготовки.
Различают 11 видов доброкачественных менингиом:
- менинготелиальные менингиомы – 60%;
- переходные менингиомы – 25%;
- фиброзные менингиомы – 12%;
- редкие виды менингиом – 3%.
Опухоль мозга может располагаться на разных участках головного мозга:
- конвекситальная опухоль – 40%;
- парасаггитальная – 30%;
- базальное расположение опухоли – 30%.
Менингиома головного мозга лобной доли
Менингиома лобной области образуется очень часто, в большинстве случаев длительное время не беспокоит больного. Если менингиома расположена в правой лобной доли, то симптомы будут проявляться на противоположной стороне тела.
Причины развития менингиомы лобной области различные: черепно-мозговая травма, воспалительное заболевание оболочек мозга, генетическая предрасположенность, пища с высоким содержанием нитратов, нейрофиброматоз и другие причины. Доказанной причиной развития опухоли считается радиоактивное облучение, все остальные причины относятся к факторам риска.
Менингиома лобной области может вызывать ухудшение зрения, головную боль, парез мимических лицевых нервов, мускулатуры рук, вялость и другие симптомы.
Анапластическая менингиома
Анапластическая менингиома – это опухоль головного мозга 3 степени злокачественности, в течение трех лет после лечения у всех больных происходит рецидив опухоли.
Менингиома парасаггитальная
Менингиома парасаггитальная располагается в затылочной, теменной или лобной части вдоль продольной средней линии. Нередко эта опухоль сопровождается патологическим увеличением содержания костного вещества в костной ткани. Менингиомы парасаггитальные, растущие в лобной части головы, вызывают:
- повышение внутричерепного давления;
- развитие застойных дисков зрительного нерва на глазном дне;
- сильную тошноту и рвоту, головную боль;
- эпилептические припадки.
Парасаггитальная менингиома теменной области головы характеризуется нарушением чувствительности и эпилептическими припадками. Менингиома затылочной области характеризуется повышением внутричерепного давления, беспокоят галлюцинации.
Атипичная менингиома
Атипичная менингиома головного мозга – это опухоль 2 степени злокачественности, рецидив опухоли возникает у 30% больных в течение 10 лет после лечения.
Менингиома фалькс
Опухоль, растущая из большого серповидного отростка мозга, называется менингиома фалькс. Со временем опухоль прорастает в сагиттальный венозный синус, возникает нарушение венозного кровообращения, внутричерепная гипертензия. Рост опухоли вызывает следующие негативные симптомы: эпилептические припадки, нарушение чувствительности и двигательной активности ног, тазовые нарушения.

Лечение
Менингиома очень часто вызывает развитие отека окружающих тканей, что влияет на появление различных негативных симптомов. Для снятия отека назначают стероидные препараты. Лечение менингиомы зависит от типа и размера опухоли, ее локализации, состояния здоровья и возраста пациента.
Согласно данным медицинской статистики, в 90% случаев менингиомы головного мозга представляют собой доброкачественные опухоли, для которых характерно медленное развитие и отсутствие сопутствующего поражения жизненно важных органов.
Злокачественные образования отличаются быстрым ростом, наличием метастазов в любых других органах человеческого организма.
Удаление опухоли
Удаление менингиомы проводится не всегда. Чаще всего за доброкачественной опухолью устанавливается наблюдение. Хирургическое вмешательство требуется, если менингиома злокачественная и увеличивается в размерах.
Основным методом лечения растущей доброкачественной и злокачественной опухоли является операция по удалению менингиомы головного мозга. Очень важно выполнить грамотное удаление новообразования. Последствия некорректного хирургического вмешательства, при котором были поражены окружающие ткани мозга или венозные синусы могут быть весьма плачевными. Такая операция может стать причиной значительного снижения качества жизни больного, поэтому нередко нейрохирурги оставляют часть раковых тканей, постоянно контролируя их рост.
Злокачественные менингиомы имеют склонность рецидивировать, что требует проведения повторного хирургического вмешательства.
Последствия операции
В зависимости от расположения опухоли и ее размера, после операции могут развиться осложнения: ухудшение или потеря зрения, частичная или полная потеря памяти, парез конечностей, нарушение концентрации внимания, изменение характера, личности, отек мозга, кровотечение.
Лучевая терапия
Лечение менингиомы мозга без операции предполагает применение методов лучевой терапии, которые используются при отсутствии возможности эффективного удаления опухоли хирургическим путем. Патологические клетки разрушаются под воздействием высоких доз рентгеновского облучения. Применение стандартной лучевой терапии нецелесообразно для лечения пациентов с диагнозом «большая менингиома головного мозга». Однако лечение без операции в таких случаях малоэффективно.
При локализации опухоли в труднодоступном для нейрохирурга месте, либо при близком расположении к ней зон, повреждение которых может привести к нарушению жизненно важных функций, специалисты Юсуповской больницы отдают предпочтение стереотаксическим методам. Данный вид терапии может применяться для лечения опухолей большого размера. В основе стереотаксической радиохирургии лежит прицельное облучение опухолевого образования лучами, расположенными под разными углами.
Часто стереотаксический метод комбинируют с хирургическим лечением – при наличии противопоказаний для удаления опухолей обычным способом.
Для лечения доброкачественных менингиом головного мозга не применяется химиотерапия.

Рецидивы
При обнаружении у больного доброкачественной, четко ограниченной менингиомы, не проросшей в окружающие ткани, хирургическое вмешательство чаще всего обеспечивает полное выздоровление.
Однако необходимо помнить, что после удаления даже доброкачественных менингиом могут возникнуть рецидивы. Рецидивы атипичных менингиом регистрируются почти в 40% случаев, злокачественных – в 80%.
Развитие рецидивов в течение пяти лет после операции зависит и от локализации опухоли.
Реже всего возникают рецидивы при менингиоме, локализованной в своде черепа, чаще – в области турецкого седла и тела клиновидной кости. Наиболее часто рецидивируют опухоли, поражающие клиновидную кость и пещеристый синус.
Реабилитация
Реабилитационный период после операции длится, как правило, 7-8 недель. В первую, щадящую неделю пациенту необходимо строгое соблюдение постельного режима, режима сна и отдыха, исключение стрессов, лечебная гимнастика, правильное питание, отказ от физических нагрузок.
Стационарный медицинский контроль необходим пациентам, которым была удалена атипичная или злокачественная менингиома головного мозга. Операция стереотаксическим методом проводится для увеличения продолжительности ремиссии в случае выявления рецидива на ранних стадиях развития.
Полное выздоровление может быть гарантировано только в случаях, когда абсолютно удалена менингиома головного мозга. Прогноз жизни без операции менее благоприятен.
Для того, чтобы сократить реабилитационный период после операции, специалисты Юсуповской больницы проводят мероприятия, способствующие более быстрому восстановлению пациентов: медикаментозную терапию (больному назначается прием препаратов, снижающих внутричерепное давление, снимающих отек и воспаление, купирующих неврологические проявления), физиотерапию и др.
Пройти диагностику и лечение злокачественных и доброкачественных опухолей можно в Юсуповской больнице, которая оснащена инновационным оборудованием. Высококвалифицированные специалисты работают только в поле доказательной медицины с применением стандартов, протоколов и лечебных подходов ведущих стран мира. Записаться на консультацию можно по телефону и через форму записи на сайте.
Читайте также:
