Аура при височной эпилепсии. Эпилептические височные автоматизмы
Добавил пользователь Владимир З. Обновлено: 27.01.2026
Понимание эпилепсии как болезни началось с детального описания эпилептических приступов. Именно на основе внешних проявлений врачи пытались классифицировать приступ, выделить синдром, поставить точный диагноз. Но даже на сегодняшний день, когда эпилептологи «вооружены» новейшими технологиями и возможностями (ЭЭГ, МРТ, ПЭТ, ОФЭКТ. ), тщательный анализ клинических проявлений приступа (семиологии) — основа правильного диагноза и одна из наиболее важных частей предхирургического обследования. Поэтому врач всегда хочет увидеть видеозапись пароксизма при видео-ЭЭГ мониторинге или на видеокамеру дома. Это отнюдь не прихоть, во внешних проявлениях и динамике развития приступа заложено много информации, которая позволяет различить эпилептические и неэпилептические пароксизмы, предполагать зону, из которой исходят эпилептические приступы. Безусловно, на сегодняшний день максимально информативен видео-ЭЭГ мониторинг, который дает возможность оценить не только внешние проявления пароксизма, но и активность головного мозга в этот момент.
Согласно классификации международной противоэпилептической лиги(1989), эпилептические приступы принято разделять на фокальные и генерализованные, кроме того, рекомендуется уточнение семиологической структуры пароксизма. В ряде случаев для точной классификации требуется знание его ЭЭГ-паттерна.
Согласно семиологической классификации эпилептических приступов (Luders et al., 1998) при описании приступов отмечаются возникшие нарушения сознания, а также описываются приступные феномены в сенсорной, моторной и вегетативной сферах.
В ходе приступа принято выделять следующие феномены:
1. Соматосенсорные, зрительные, слуховые, обонятельные, вкусовые, абдоминальные, вегетативные и психические феномены. Как отдельные типы приступов они могут отмечаться в виде аур.
2. Диалептические феномены в виде изолированных нарушений сознания. Расстройства сознания могут наблюдаться
при абсансах, при наличии на ЭЭГ пик-волновой активности с частотой 3 Гц.
при атипичных абсансах, если частота генерализованных разрядов менее 3 Гц.
при парциальных височных или лобных приступах, начало которых на ЭЭГ соответствует фокальный ЭЭГ-паттерн.
При отсутствии ЭЭГ данных, удобной является исключительно семиологическая классификация пароксизма, т.е. его описание как диалептического.
3. Моторные феномены, которые разделяют на простые и сложные.
К простым моторным феноменам (приступам) относят: миоклонические,тонико-клонические,тонические, клонические, версивные и эпилептические спазмы.
К сложным моторным феноменам (приступам) – гипермоторные иаутомоторные, иктальный смех или плач (геластические и дакристические приступы).
Отдельно выделяются специфические типы приступов:
Негативные миоклонические приступы
Кроме того, необходимо помнить, что любой тип приступов, а наиболее часто генерализованные тонико-клонические приступы, кожевниковская эпилепсия и абсансы, могут проявиться эпилептическим статусом, для описания которых используется другая классификация.
В предхирургическом обследовании пациентов с фармакорезистентными формами эпилепсии при анализе клинических проявлений приступов наибольшее значение имеют
латерализационные и локализационные феномены.
Локализационные феномены позволяют предположить зону или зоны начала приступа, а латерализационные — определить полушарие, из которого исходит приступ.
Для выявления этих феноменов требуется максимально подробное описание семиологии приступа. Так, например, если у пациента наблюдались клонические подергивания в правой руке, то приступ должен быть описан как простой моторный, с клоническими судорогами в правой руке. То есть, должна быть описана феноменология пароксизма с указанием части тела, которая вовлечена в приступ, а так же отмечена его эволюция во времени.
Наибольшее значение для локализации зоны начала приступа имеют ауры, поскольку они являются первыми клиническими проявлениями фокальных припадков.
Выделяют следующие локализационные феномены для аур:
Соматосенсорная аурахарактеризуется возникновением парестезий (локальное онемение, ползание мурашек, покалывание или зуд) в определенной части тела. Как правило, эти ощущения возникают в части тела, контралатерально очагу поражения, и далее возможно распространение ощущения по телу подобно «джексоновскому маршу», что соответствует распространению эпилептиформных разрядов по соматосенсорной коре. Иногда плохо поддающиеся описанию билатеральные ощущения в туловище или в дистальных отделах конечностей могут наблюдаться при локализации источника приступной активности в дополнительной сенсомоторной коре или вторичной сенсорной зоне. Многие из этих симптомов могут возникать перед тоническим напряжением в этой же группе мышц, что является следствием распространения эпиактивности из первичной соматосенсорной коры (постцентральная извилина) на аналогичные участки первичной моторной коры (прецентральная извилина).
Зрительные ауры, как правило, описываются как яркие или темные пятна, которые возникают вследствие активации зрительной коры. Слепота во время приступа может возникать в результате зрительной ауры, но чаще является постприступным феноменом.
Слуховая аура обычно представлена слуховыми галлюцинациями. Источником простых галлюцинаций является извилина Гешля. Сложные слуховые галлюцинации могут развиваться при активации височной ассоциативной коры.
Обонятельные ауры являются проявлением эпиактивности в амигдале или орбитофронтальной части прямой извилины.
Вкусовая аура возникает у пациентов с височной и, реже, лобной эпилепсией.
Как обонятельные, так и вкусовые ауры трудно поддаются описанию. Как правило, пациенты описывают их как неприятные (запах жженой резины, запах серы, противный вкус).
Психическая аура, как правило, заключается в странном, искаженном восприятии внешнего или внутреннего мира. Сюда относятся ощущения никогда невиданного, не слышанного (jamais vu) или, наоборот, уже виденного (déjà vu), иллюзии изменения размеров и (или) формы собственного тела, отдельных его частей, их взаимного расположения; величины и формы всего окружающего. Психические ауры включают в себя сложные галлюцинации (зрительные, слуховые, обонятельные, вкусовые), смешанные с различными видами иллюзий и сопровождающиеся, как правило, негативными эмоциями. В их основе лежит активация височной ассоциативной коры.
Абдоминальная аура обычно состоит из странных, неприятных ощущении в эпигастрии, которые могут описываться как «восходящее ощущение» из желудка. Могут сопровождаться тошнотой. Абдоминальные ауры наблюдаются при височнодолевой эпилепсии, наиболее часто — при активации инсулярной области.
Вегетативная аура обычно проявляется избыточным потоотделением, тахикардий, учащенным дыханием. Подобные ауры, без каких-либо других моторных феноменов, могут давать эпилептические разряды в базальной лобной доле, передней поясной извилины. Иктальная тахикардия — четкий признак височной локализации эпилептических разрядов, о
днако не стоит забывать о том, что тахикардия и потоотделение в начале приступа могут быть просто физиологической реакцией организма. Кроме того, могут быть приступы, характеризующиеся только вегетативными проявлениями. В таком случае, на ЭЭГ мы видим классический паттерн приступа, но при этом у пациента присутствует только тахикардия или иктальная бледность, которые пациент не осознает.
Приступы, характеризующиеся расстройством сознания (диалептические приступы):
Эпизоды потери или нарушения сознания, во время которых пациент совсем не реагирует на внешние стимулы или реагирует ограниченно, и не может вспомнить произошедшего впоследствии. Подобные приступы могут быть описаны как эпизоды «остановки», «замирания», «прекращения деятельности». Их длительность составляет 15-20 секунд, с внезапным началом и окончанием, при этом в рамках приступа могут наблюдаться незначительные моторные проявления: дрожание век, оральные автоматизмы или автоматизмы в конечностях. Чаще подобные приступа наблюдаются у пациентов с генерализованными формами эпилепсии, но могут быть и при фокальных формах. В таком случае каких-либо четких семиологических особенностей для них не описано.
Моторные приступы:
Миоклонические приступы состоят из молниеносных, аритмичных сокращений мышц длительностью меньше 400 мс, могут быть двухсторонними (генерализованными) или односторонними. Генерализованные миоклонические судороги, при которых в основном задействованы плечи и проксимальные отделы конечностей, чаще всего наблюдаются у пациентов с ювенильной миоклонической эпилепсией (ЮМЭ), пациентов с синдромом Леннокса-Гасто, а так же при детских эпилептических энцефалопатиях (например, синдроме Драве). На ЭЭГ наблюдаются генерализованные полиспайки с максимальной амплитудой в лобных отведениях. В генерации приступов данного типа задействованы первичная моторная кора и премоторная зона.
Тонические приступы состоят из длительного сокращений одной или нескольких мышечных групп, обычно длятся более 3 секунд и приводят к формированию асимметричной позы. Как правило, тоническое напряжение возникает с двух сторон, но в стороне, противоположной очагу, напряжение более выражено. Зачастую сознание у таких пациентов остается сохранным, а само представительство фокальных тонических приступов находится в первичной моторной и дополнительной сенсомоторной коре. Однако, ретикулярная формация и таламус также могут быть вовлечены в процесс генерирования тонических приступов у пациентов с болезнью Леннокса-Гасто.
Эпилептические спазмы обычно приурочены к определенному периоду жизни (3 - 12 месяцев), поэтому их часто называют инфантильными спазмами. Эпилептические спазмы представлены тоническим и миоклоническим компонентом, состоят из коротких массивных сокращений аксиальной мускулатуры и проксимальных отделов конечностей, могут быть сгибательными, разгибательными, или смешанными. Они длятся 2-10 секунд и часто группируются в кластеры. Данный тип приступов характерен как для фокальных, так и для генерализованных форм эпилепсии. Как правило, эпилептические спазмы после 3-5 лет трансформируются в другой тип приступов, однако при синдроме Леннокса-Гасто (который может выявляться у пациентов, значительно старше указанного возрастного периода), является одним из облигатных видов приступов.
Версивные приступы характеризуются насильственным поворотом глаз и головы в одну сторону. При подобном приступе происходит активация поля 4 или 6 по Бродману в лобной области, всегда контралатерально тоническому отведению. Кроме того, активность может начинаться в затылочной или височной доле, распространяясь в лобную, но в таких случаях, обычно, поворот головы и глаз происходит у пациента с измененным уровнем сознания.
Тонико-клонические приступы характеризуются клоническими судорогами после тонического напряжения. Эволюция данных приступов весьма характерна: они начинаются с напряжения во всех четырех конечностях, которое длится около 5-12 секунд, затем возникает тремороподобное дрожание. Постепенно частота тремора уменьшается, а амплитуда увеличивается, и судороги переходят в клоническую фазу.
Клоническая фаза состоит преимущественно из сгибательных подергиваний в конечностях. Длительность клонической фазы 1-2 минуты. Как правило, сознание нарушается с начала тонической фазы, кроме того, зачастую возникает постприступная спутанность и даже кома. Генерализованные тонико-клонические судороги могут быть при генерализованной и фокальной формах эпилепсии. При фокальной эпилепсии они возникают, как правило, после простого парциального приступа, когда за счет феномена вторичной билатеральной синхронизации эпилептическая активность распространяется с одного полушария на другое и клонические судороги наблюдаются в конечностях ипсилатерально очагу начала приступа.
Сложные моторные феномены (автоматизмы):
Данный тип приступа характеризуется движениями, близкими к обычной жизни – автоматизмами. Слово «сложный» (по Людерсу) относится именно к моторным проявлениям, но не к уровню сознания, как это принято в классификации ILAE (1989).
При гипермоторных приступах отмечаются быстрые размашистые движения в проксимальных отделах конечностей, при этом сознание может быть сохранено. Источник эпилептической активности при данных приступах – срединная лобная доля или дополнительная сенсомоторная область, кроме того, эпилептическая активность может распространяться в эти области из других зон мозга.
Аутомоторные приступы характерны для очага в височной доле, но также могут иметь лобное происхождение (орибитофронтальная кора).Типичны оральные автоматизмы в виде жевания, глотания, чмоканья. Часто отмечаются ощупывающие движения руками. Зачастую, сознание при подобных приступах нарушено, но есть исключение из правил - автоматизмы при височной эпилепсии из недоминантного полушария могут протекать без нарушения сознания.
Иктальный смех, как правило, карикатурный, неестественный, может быть в начале или конце приступа. Как изолированный тип приступа, этот феномен патогномоничен для гамартомы гипоталамуса.
(в эту группу вошли приступы, которые нельзя классифицировать как ауры, моторные, вегетативные или диалептические).
Данные приступы характеризуются негативными феноменами по отношению к моторной или когнитивным сферам.
Атонические приступы характеризуются резкой потерей тонуса во всем теле или отдельных частях. Проявляются в падениях головы, туловища. Могут предшествовать короткому миоклоническому приступу. Как правило, наблюдаются у пациентов с генерализованными формами эпилепсии, при синдроме Леннокса-Гасто. Кроме того, существуют фокальные атонические приступы, с возникновением пареза в одной из конечностей. Если подобные приступы происходят с нарушением сознания, то крайне сложно отличить их от постприступного Тоддовского паралича, последствий транзиторной ишемической атаки или приступа мигрени.
Астатические приступы проявляются падением, при возникновении в вертикальном положении тела, вследствие тонических, миоклонических или атонических приступов. Таким образом, фактически, не являются отдельным видом приступов, а лишь подчеркивают тот факт, что один из вышеперечисленных видов приступов может приводить к падению пациента. Однако, с учетом того, что полиграфическое исследование проводится не всегда, и (или) приступ приведший к падению не может быть с уверенностью классифицирован, возможно использовать термин "астатический".
Негативные миоклонические приступы характеризуются короткими — 30-400 мс эпизодами мышечной атонии, могут быть генерализованными и фокальными. Генез до конца не ясен, ингибиторное воздействие может исходить из первичной сенсомоторной коры и премоторной зоны.
Акинетические приступы характеризуются неспособностью выполнить произвольное движение. По определению, сознание не может быть нарушено при этих приступах. Источником подобных приступов считаются негативные моторные зоны, находящиеся в лобной доле.
Афатические приступы характеризуются неспособностью говорить или понимать речь, как правило, возникают за счет активации корковых речевых зон доминатного полушария.
Гипомоторные приступы могут возникать при фокальных и генерализованных формах эпилепсии. Двигательная активность при данных приступах резко уменьшается или полностью исчезает. Определение «гипомоторный» применяется только в тех случаях, когда у пациента невозможно определить уровень сознания (дети, новорожденные и больные со значительным снижением интеллекта). У таких больных отсутствие движений может наблюдаться по другой причине (аура или невозможность выполнения произвольных движений при акинетических приступах), но разграничить это не представляется возможным.
Эволюция приступа:
Существует «классическое» сочетание феноменов в приступе, знание которого значительно облегчает постановку диагноза. Нередко диагноз можно с высокой вероятностью предположить уже при сборе анамнеза.
Например, после депривации сна, развитие кластера миоклонических судорог с последующим переходом к тонико-клоническим судорогам характерно для юношеской миоклонической эпилепсии.
Абдоминальная аура с последующим аутомоторным приступом характерна для височной эпилепсии.
Клонические приступы с последующими автоматизами в руках более характерны для неокортикальной височной эпилепсии, нежели для медиальной. В свою очередь, у пациентов с медиальной височной эпилепсией чаще наблюдается латерализованное тоническое напряжение в конечностях.
Комбинация ипсилатеральных автоматизмов в руках с контралатеральным тоническим напряжением в конечностях является значимым латерализационным феноменом мезиальной височной эпилепсии.
Пациенты могут отвечать на вопросы и воспринимать события окружающей действительности, если приступ исходит из недоминатного полушария.
Гипермоторные или двухсторонние тонические приступы с сохранным сознанием характерны для приступов исходящих из дополнительных сенсомоторных зон.
Даже окончание приступа может иметь латерализационное значение. В 65% случаев генерализованные тонико-клонические приступы заканчиваются асимметрично. Односторонние клонические судороги в конце приступа проявляются ипсилатерально эпилептогенной зоне у 80 % пациентов (например, феномен "Burned-out hippocampus").
Наиболее значимыелатерализационные феномены
приведены в этой таблице:
Таблица 1. Латерализационные феномены.
Латерализационный феномен
Полушарие
Автор
Поворот головы и глаз в сторону
Wyllie et al., 1986
O’Dwyer et al., 2007
Дистоническая установка руки
Bleasel et al., 1997
Kotagal et al., 1989
Контралатеральное повороту головы
Kotagal et al., 2000
Автоматизмы с сохраненным сознанием
Ebner et al., 1995
Noachtar et al., 1992
Речь в приступе
Gabr et al., 1989
Постприступные речевые нарушения
Gabr et al., 1989
Тошнота в приступе
Kramer et al., 1988
Сплевывание в приступе
Voss et al., 1999
Упускание мочи в ходе фокального приступа
Baumgartner et al., 2000
Постиктальное почесывание носа
Leutmezer et al., 1998
Односторонние тонические судороги
Werhahn et al., 2000
Односторонние клонические судороги
Benbadis et al., 1996
Henkel et al., 1999
Асимметричное окончание приступа
Trinka et al., 2002
Аура при височной эпилепсии. Эпилептические височные автоматизмы
Аура при височной эпилепсии. Эпилептические височные автоматизмы
При сравнении характера припадков в зависимости от латерализации очага статистически достоверные различия получены только для трех видов припадков: сложных автоматизмов, преобладающих у больных с левополушарными очагами, психосенсорных и вегетативно-висцеральных припадков, домннирующнх у больных с правосторонними очагами.
Аура имела место у 74 (44,3%) больных с судорожными и бессудорожнымн припадками. Обращает на себя внимание высокая частота аур при сложных парциальных припадках: по данным R. Q. Feldman (1983)—50%, по нашим данным — 66,7%.
Наиболее характерная черта аур в этих случаях — качественное своеобразие ощущений, чувство нереальности переживаемого, в результате чего больной затрудняется описать свои ощущения. 9 больных характеризовали ауру как «какое-то отвратительное ощущение», «мне дурно», «мне плохо», «время остановилось», «что-то изменилось вокруг», «тягостное ощущение, что сейчас будет припадок» и т. д. «Психическая» аура —страх, тоска, ужас — отмечалась у 6, сенситивная — в виде «ватных ног», «чувства жара в груди», «ощущения прохождения электрического тока», «кома в горле» и т. д. — у 9, моторная — у 6, «пространственная» («пространство расширяется») —у 2 больных. О вкусовой, слуховой, вестибулярной и обонятельной ауре говорилось выше. Частой была вегетативно-висцеральная аура: эпигастральная — у 7, кардиальная — у 5, позывы к дефекации — у 2 больных. У 16 больных наблюдалась сложная аура, включавшая различные феномены. Отмечались также другие виды ауры — миестнческая и речевая.
При изучении распределения аур в зависимости от латерализации очага достоверное различие выявлено только в отношении двух типов аур — дереализации и вегетатнвио-висцеральных, которые преобладали у больных с правосторонними очагами. Специфичными левосторонними аурами (для правшей) были идеаториые, включая н речевую.

Помимо различной частоты ряда припадков и аур при разной латерализации очага, имеют место и качественные отличия. При правосторонних очагах висцерально-вегетативные проявления припадков максимально выражены, в частности характеризуются особой эмоциональной переживаемостью и физической ощутимостью.
Одновременно имеет место крайняя степень дереализации и деперсонализации. Больные переживают ощущение полного отчуждения собственного тела, внешнего мира, остановку времени, агнозию пространства н т. д. Эти качественно необычные восприятия усугубляют эмоциональные нарушения, порождая тревогу и страх. Нередки описанные J. H. Jackson сиоподобные состояния, которые включают в себя «уже виденное», «никогда не виденное», яркие образные картины прошлого. Это может сопровождаться неподвижностью больного, при котором он ощущает себя отчужденным, или чаще сложными двигательными автоматизмами. В последнем случае обычны аффекты страха, хотя возможны аффекты ярости и агрессивное поведение.
При левосторонних височных очагах соответствующие проявления менее ярки, более монотонны. Имеются и качественные отличия: преобладание слуховых расстройств — иллюзий, галлюцинаций, нарушение восприятия речи, чтения, состояние «уже слышанного», «никогда не слышанного», идеаторные пароксизмы.
Эмоциональный компонент припадка, как правило, более беден, лишен аффективной насыщенности.
Часто проявлением височной эпилепсии служат эпилептические автоматизмы, отмеченные нами в начальной стадии заболевания в качестве нзолироваииого феномена у 16, а в развернутой— у 40 больных. Припадки автоматизма проявлялись жеванием, глотанием, облизыванием (алиментарные автоматизмы), мимическими движениями, отражающими, как правило, соответствующие аффекты (страх), жестами, словесными автоматизмами или относительно координированной двигательной активностью.
Кроме приступов изолированных автоматизмов, последние часто оказываются одним из проявлений сложных многокомпонентных парциальных припадков. Поскольку в виде пароксизмов могут выражаться не только парциальные, но и генерализованные припадки (абсанс автоматизма), необходим тщательный анализ.
Что такое аура при эпилепсии?
Аура при эпилепсии – это явления или ощущения, которые возникают перед приступом эпилепсии. Аура может проявляться по-разному: в виде ярких мерцающих вспышек перед глазами, сужения поля зрения, внезапной перемене эмоций, покалывания в конечностях, ощущении дежавю и специфических запахов и т.д.
Говоря простыми словами, аура – это состояние и специфические симптомы, которые чувствует человек перед эпилептическим приступом.
Сколько длится аура при эпилепсии?
У конкретных пациентов ауры при эпилепсии всегда постоянные и проявляются одинаково. Зачастую, специфические симптомы проявляется в течение короткого промежутка времени, когда ребёнок или взрослый находится в полном сознании и может их ощутить. Однако, иногда ауры могут быть длительными, так как их продолжительность зависит от вида эпилепсии у пациента, его возраста, назначенного лечения и множества других факторов.
Почему возникают эпилептические ауры
Аура возникает во время раздражения эпилептического очага в головном мозге. Описание ощущений пациента даёт врачам понять, где именно у конкретного пациента начинается эпилептический приступ.
Например, если у ребёнка или взрослого поражена зрительная зона, то он будет ощущать зрительные ауры. Если пораженной является зона сенсорная, то наблюдается сенсорная симптоматика – покалывание в конечностях, зуд, легкие пощипывания и т.д.
Виды
Все эпилептические ауры разделяются на 3 большие группы:
- Сенсорные;
- Психические;
- Моторные.
Каждый из данных типов подразделяется на несколько категорий.
Сенсорные ауры
- Зрительная. Выражается в помутнении зрения, которое отмечается даже у людей со 100% зрением, возникновения перед глазами ярких мерцающих фигур или сужения поля зрения.
- Слуховая. Пациент может слышать звон в ушах или даже музыку.
- Обонятельная. Ощущаются приятные или неприятные запахи, обоняние в целом становится очень чувствительным к окружающим ароматам.
- Вкусовая. Пациент резко ощущает горький, кислый или острый вкус во рту, даже если не принимает пищу во время возникновения ауры.
- Соматосенсорная. В конечностях или на теле возникает ощущение жжения, зуд.
- Абдоминальная. Чувство сдавленности между горлом и животом.
- Вегетативная. Проявляется в учащении сердцебиения, ощущении удушья или сильной жажды. Вегетативная аура может проявляться таким образом, словно пациент ощущает сильнейший стресс, а потому крайне важно научиться отличать ауры перед эпилептическим приступом от состояния перевозбуждения или стресса.
Психические ауры
Особенностью данного типа является искажение внутреннего и внешнего восприятия, ощущение страха или тревожного состояния.
- Аффективная. Ощущается гнев или страх. Как правило, у большинства пациентов отмечается резкое ухудшение настроения, но иногда наоборот отмечаются приливы сил и радость.
- Мнемоническая. Пациент ощущает те чувства и эмоции, которые сопровождали его в период какого-то уже происходящего или ещё не произошедшего с ним события.
- Галлюцинаторная. Является одной из самых сложных аур. Представляет собой совокупность сенсорной и психической ауры: человек ощущает зрительные и слуховые галлюцинации, к которым присоединяются сильные эмоции.
- Иллюзорные. Формы предметов мира начинают искажаться. При этом пациент может также слышать различные звуки или голоса.
Моторные ауры
Данный тип возникает при поражении сенсомоторной области головного мозга. Пациент непроизвольно начинает повторять какие-либо слова или движения. В большинстве случаев, пациенты запрокидывают голову назад, поворачивают её в разные стороны, производят повторяющиеся движения конечностями или глазами.
Если моторная ауры выражается в речи, то ребёнок или взрослый может выкрикивать какие-либо слова, в том числе и непонятные для окружающих выражения.
Хотите знать, что действительно помогает при эпилепсии и как жить максимально полноценной жизнью, несмотря на заболевание?
Раз в неделю мы выпускаем видео или статью о лечении эпилепсии. Это БЕСПЛАТНАЯ и ЕДИНСТВЕННАЯ в своем роде электронная рассылка в мире и мы уверены, что в этих выпусках вы найдёте для себя много полезных рекомендаций.
- Можно ли вылечить эпилепсию?
- Переходит ли эпилепсия по наследству?
- Помогают ли альтернативные методы лечения контролировать приступы?
- Что нельзя делать при эпилепсии?
- Сколько должен спать пациент с эпилепсией?
- Чем опасны приступы эпилепсии во сне?
- Как помочь пациенту во время приступа?
- Можно ли заниматься спортом?
- Может ли эпилепсия привести к проблемам в учебе, задержке развития, проблем с памятью и поведением?
Введите адрес вашей электронной почты и проверьте почту через 5 минут
Аура при височной эпилепсии. Эпилептические височные автоматизмы
Традиционные представления о том, что эпилепсия является хроническим заболеванием, характеризующимся постепенным нарастанием тяжести и частоты пароксизмов и углублением изменений личности, в последние десятилетия были пересмотрены. Установлено, что течение и исход эпилепсии весьма разнообразны. В части случаев болезненный процесс становится прогредиентным, а иногда заканчивается слабоумием. Однако наряду с тяжелыми случаями эпилепсии существуют и относительно благоприятные варианты с длительными ремиссиями, а иногда с практическим выздоровлением. В зависимости от темпа нарастания пароксизмальной активности и углубления психических изменений выделяли медленно и остро текущие формы [Мнухин С. С., 1933]; медленный, подострый, комбинированный и ремиттирующий типы течения [Полибина М. Н., Шубина С. А., 1939]; не-прерывно-прогредиентный, ремиттирующий и стабильный тип течения [Сухарева Г. Е., 1955].
Тяжесть эпилептической болезни определяется взаимодействием трех основных групп факторов: 1) локализацией и активностью эпилептического очага; 2) состоянием защитных и компенсаторных свойств организма, его индивидуальной и возрастной реактивностью; 3) влиянием внешнесредовых факторов. Несомненно также, что течение болезни во многом определяется и временем ее начала, регулярностью и адекватностью антиэпилептического лечения и мер реабилитации.
Большое значение для формирования клинической картины и течения болезни имеет локализация эпилептического очага. В соответствии с этим выделяются некоторые клинические формы эпилепсии — височная, диэнцефальная и др.
Височная (психомоторная) эпилепсия. При этой форме болезни эпилептический очаг в височной доле мозга далеко не всегда проявляется анатомическими изменениями [Penfield W., Jasper H., 1954].
Клинические особенности височной эпилепсии достаточно очерчены. Припадки начинаются с выраженной ауры. Как правило, это сенсорная аура типа сенестопатической, обонятельной, а также сложная психическая аура, главным образом в виде вербального галлюциноза или состояний с резким изменением восприятия окружающего. Оно представляется больным отчужденным, устрашающим, угрожающим, иногда комичным, нереальным, нечетким.
Другая клиническая особенность височной эпилепсии — бессудорожные пароксизмы с различными вариантами сумеречных состояний, в частности в виде явлений психического автоматизма, а также возникновение у этих больных состояний, психопатологически сходных с аурой, предшествующей судорожным пароксизмам. A. Matthes (1977) описывает при височной эпилепсии пароксизмы в виде более или менее сложных двигательных актов, нередко с агрессивностью, аффективными расстройствами, вегетативными нарушениями; причем в отдельных случаях автоматизмы сочетались с тоническими судорогами или резким снижением мышечного тонуса.
Наличие описанных пароксизмальных состояний без помрачения сознания, бессудорожных пароксизмов с сумеречным расстройством сознания, развитие сумеречных состояний после припадков позволили именовать этот вариант болезни «психомоторной эпилепсией». Характеризуя течение такой эпилепсии, A. M atthes подчеркивает периодичность приступов, их наибольшую частоту в возрасте 20—40 лет, сочетание описанных пароксизмов с типичными судорожными припадками в течение первых 3 лет болезни. Как уже говорилось, многие авторы [Сухарева Г. Е., 1974; Gastaut H. et al., 1956, 1959, и др.] считают, что височная эпилепсия сопровождается наиболее глубокими и типичными изменениями личности.
Диэнцефальная (вегетативная) эпилепсия. Эту форму болезни изучают преимущественно невропатологи, но больные диэнцефальной эпилепсией нередко оказываются и пациентами психиатрических диспансеров и стационаров.
В структуре периодически возникающих пароксизмов при диэнцефальной эпилепсии основное место занимают различные вегетативные расстройства [Иценко Н. М., Гринштейн A. M., Давыденков С. Н., 1937; Кулькова-Давиденкова Е. Ф., 1958, и др.].
Пароксизмы при вегетативной (диэнцефальной) эпилепсии проходят несколько последовательных стадий [Кулькова-Давиденкова Е. Ф., 1958]. Пароксизмам обычно предшествует продром продолжительностью от нескольких часов до суток. Он характеризуется изменением настроения, чаще всего приближающимся к дисфории, головной болью, усиленной жаждой или повышенным аппетитом. Начальные признаки пароксизма: неопределенный страх, тревога, неприятные ощущения в подложечной области. Собственно пароксизм проявляется крайне разнообразно — ознобом, гиперемией или бледностью кожных покровов, слюнотечением, слезотечением, шумом в ушах, адинамией, одышкой, тахикардией, повышением артериального давления. Сравнительно нередки тонические судороги. Пароксизм завершается потливостью, задержкой мочи или учащением мочеиспускания, частыми позывами на дефекацию, сонливостью, повышением аппетита, жаждой. Пароксизмы могут сопровождаться помрачением или потерей сознания.
Наряду с описанными пароксизмами в клинической картине диэнцефальной эпилепсии сравнительно нередки нарколептические и каталептические приступы, а также пароксизмы, сопровождающиеся тоническими судорогами. В целом течение болезненного процесса при локализации очага в диэнцефальных отделах мозга относительно благоприятно.
Некоторые авторы [Matches A., 1977, и др.], помимо височной и диэнцефальной, выделяют особые формы эпилепсии, к которым относят рефлекторную эпилепсию, олигоэпилепсию, латентную эпилепсию и псевдоэпилепсию. Помимо форм эпилепсии, приводимых в этой главе, существуют кожевниковская эпилепсия, миоклонус-эпилепсия, хореическая падучая эпилепсия, описанная Бехтеревым, которые по существу не имеют отношения к эпилепсии и представляют собой проявления органических поражений мозга.
Рефлекторная эпилепсия — сравнительно редкая разновидность заболевания, при которой эпилептические припадки или различные виды бессудорожных пароксизмов возникают при раздражении зрительных, слуховых, обонятельных анализаторов, интерорецепторов внутренних органов (плевра, желудочно-кишечный тракт), а также периферических нервов конечностей и туловища. Пароксизмы могут возникать при воздействии звука определенной силы, высоты и тембра, света определенной яркости или игры светотени, определенных запахов, при погружении тела в воду, определенном охлаждении или нагревании, при еде, дефекации и т. д. Полагают, что для развития рефлекторной эпилепсии необходимы наследственная предрасположенность, повышенная судорожная готовность мозга.
Олигоэпилепсия — болезнь с редкими приступами, наблюдаемыми в отдельные периоды жизни и проходящими без специальной терапии.
При латентной (так называемой биоэлектрической) эпилепсии имеется определенный очаг в мозге, регистрируемый электроэнцефалографически, но отсутствуют пароксизмы.
Псевдоэпилепсия понимается как неправильный диагноз на основе ошибочной трактовки клинических данных или электроэнцефалографических находок, например: синкопальных цереброваскулярных, тетанических, психогенных приступов, а в детском возрасте — респираторных судорог.
Поздняя эпилепсия (epilepsia tarda) — это благоприятно текущий вариант болезни с нерезко выраженной прогредиентностью, возникающий у лиц старше 30 лет. Многие исследователи связывают возникновение эпилепсии в среднем или позднем возрасте с травмами, сосудистой патологией и особенно с артериальной гипертензией, дегенеративной атрофией головного мозга [Gowers R., 1881; Abadi M., 1893, и др.]. Тем не менее приблизительно Vs или /6 всех случаев поздней эпилепсии, по мнению большинства авторов, должна рассматриваться как эпилептическая болезнь [Helmchen H., 1975, и др.]. Редкие припадки, значительные интервалы между ними, достигающие нескольких месяцев или лет, отсутствие резко выраженных изменений личности характеризуют этот тип эпилепсии.
Скрытая (психическая) эпилепсия давно привлекает к себе внимание психиатров. Термин «скрытая эпилепсия» (epilepsia larvata) В. Morel (1860) предложил для обозначения случаев эпилепсии в виде остро начинающихся и заканчивающихся кратковременных приступов психического расстройства с помрачением сознания, резким двигательным возбуждением с разрушительными тенденциями, а также яркими устрашающими галлюцинациями и бредом. Описания скрытой эпилепсии занимают в психиатрической литературе значительное место [Боткин Я. А., 1883; Ковалевский П. Я., 1889; Муратов В. А., 1900; Наджаров Р. А., Шумский Н. Г., 1960; Falret J., 1864; Samt P., 1875]. В настоящее время к скрытой эпилепсии стали относить также смешанные варианты, когда наряду с психозами наблюдаются бессудорожные пароксизмы (пароксизмально возникающие приступы катаплексии, дисфорические состояния, деперсонализационные расстройства) и случаи эпилепсии с преобладанием различных бессудорожных пароксизмов без затяжных психозов. Глубина изменений личности при психической (скрытой) эпилепсии также оценивается неоднозначно. У одних больных уже на ранних стадиях болезни обнаруживаются глубокие изменения личности, у других они выражены нерезко, хотя заболевание длится несколько лет с весьма частыми пароксизмами.
Течение эпилепсии в ряде случаев следует определенным закономерностям в смене пароксизмальных состояний. Нередко заболевание, манифестирующее большими судорожными припадками, в последующем видоизменяется: судорожные припадки сменяются бессудорожными пароксизмами различной психопатологической структуры. Урежение больших судорожных припадков и бессудорожных пароксизмов сопровождается появлением острых психотических состояний типа сумеречных или онейроидного помрачения сознания вначале после припадка, а далее самостоятельно. В дальнейшем возможно появление в картине болезни затяжных психотических состояний аффективной или бредовой психопатологической структуры.
Данные многих авторов свидетельствуют о том, что течение эпилепсии на разных этапах может видоизменяться. О том или ином типе течения (прогредиентное, ремиттирующее, регредиентное или стабильное) можно говорить лишь применительно к определенному этапу заболевания на конкретном отрезке времени.
Систематическое адекватное лечение может приостановить болезненный процесс с полным или частичным восстановлением социальной адаптации больного (терапевтическая ремиссия). Полная терапевтическая ремиссия определяется длительным отсутствием пароксизмальных расстройств и психических нарушений. При неполной ремиссии пароксизмы значительно урежаются при более или менее выраженных, но не углубляющихся изменениях личности.
Фокальная эпилепсия
Фокальная эпилепсия - это форма эпилепсии, при которой возникающие приступы происходят из-за наличия ограниченной и чётко локализованной зоны в головном мозге с повышенной пароксизмальной активностью. Чаще носит вторичный характер. Может проявляться как парциальными сложными, так и простыми эпи-пароксизмами. Клиническое проявление данных пароксизмов зависит от расположения эпилептогенного очага. Для диагностики фокальной эпилепсии используют электроэнцефалоскопию и магнитно-резонансную томографию. Лечение основывается на приеме противоэпилептических препаратов. При необходимости возможно хирургическое вмешательство.

Получите консультацию эпилептолога
Тысячина Мария Дмитриевна
Опыт работы: 15 лет.
Специализация: Невролог-эпилептолог, врач функциональной диагностики.
Основное направление: диагностика и лечение эпилепсии у детей.
Общие сведения о фокальной эпилепсии
Определение «фокальная эпилепсия» соединяет все формы эпилептических пароксизмов, которые возникают из-за наличия локального очага повышенной эпи-активности в церебральных структурах. Эпилептическая активность начинается фокально, но может распространяться от очага возбуждения на окружающие ткани головного мозга, что обуславливает вторичную генерализацию эпиприступа. Важно дифференцировать пароксизмы ФЭ и приступы генерализованной эпилепсии с первично-диффузным характером возбуждения. Помимо этого, существует мультифокальная форма эпилепсии. При этой форме эпилепсии имеются несколько локальных эпилептогенных зон в головном мозге.
Примерно 82% от всех эпилептических синдромов составляет фокальная эпилепсия, причём в 75% случаев она начинается в детском периоде. Чаще всего она возникает на фоне травматического, ишемического или инфекционного поражения, нарушений развития головного мозга. Вторичная фокальная эпилепсия подобного характера диагностируется у 71% всех пациентов, страдающих эпилепсией.
Патогенез фокальной эпилепсии
Причинами развития фокальной эпилепсии являются: пороки развития, которые затрагивают ограниченный участок головного мозга (артериовенозные мальформации головного мозга, фокальная корковая дисплазия, врождённые церебральные кисты и т. п.), черепно-мозговые травмы, инфекции (абсцесс головного мозга, энцефалит, нейросифилис, цистицеркоз), нарушения сосудистой системы (перенесенный геморрагический инсульт), метаболическая энцефалопатия, опухоли головного мозга. При ФЭ одними из этиологических факторов при сохранной морфологии нейронов и мозгового вещества в целом могут быть приобретенные и генетически обусловленные метаболические дефекты нейронов некоторой зоны коры больших полушарий.
Перинатальные поражения ЦНС являются ведущей причиной среди факторов возникновения фокальной эпилепсии. Такими поражениями являются: гипоксия плода, асфиксия новорожденного, внутричерепная родовая травма, внутриутробные инфекции. Появление фокального паталогического очага в детском возрасте может быть связано с нарушением созревания коры.
Патофизиологической основой ФЭ выступает эпилептогенный фокус, в котором выделяют несколько зон. Зона патологического повреждения соответствует участку морфологических изменений церебральной ткани, которую можно зафиксировать при помощи МРТ.
Первичная зона — это та часть мозговой коры, в которой генерируются эпи-разряды.
Симптоматогенная зона – это область коры, при возбуждении которой возникает эпилептический приступ.
Ирритативная зона— это область, которая регистрируется на ЭЭГ в межприступный промежуток, и является источником эпилептического приступа.
Зона функционального дефицита — это участок, отвечающий за неврологические расстройства, которые сопутствуют эпиприступам.
Классификация фокальной эпилепсии
Выделяют симптоматические, идиопатические и криптогенные формы фокальной эпилепсии.
При симптоматической форме можно установить источник и причину появления патологии , а так же выявить морфологические изменения, которые фиксируются при томографических исследованиях.
Особенностью криптогенной ФЭ является то, что, не смотря на ее вторичный характер, ни один из существующих методов визуализации не способен выявить морфологические нарушения в структуре головного мозга.
Для идиопатической ФЭ не характерны типичные для данной группы патологий дефекты головного мозга. Субстратом для ее развития, как правило, выступает наследственная предрасположенность: генетически детерминированные каналопатии, дефекты мембран клеток ЦНС, дисгенезии коры больших полушарий. Прогноз при данном заболевании благоприятный, течение доброкачественное. Идиопатическая ФЭ включает: доброкачественную роландическую эпилепсию, детскую затылочную эпилепсию Гасто, синдром Панайотопулоса, доброкачественные затылочные эпилептические синдромы.
Симптомы фокальной эпилепсии
Фокальная эпилепсия характеризуется парциальными фокальными эпилептическими пароксизмами. Пароксизмы бывают простые, не сопровождающиеся потерей сознания, и сложные, без утраты сознания. Простые парциальные эпилептические припадки бывают вегетативными, соматосенсорными, моторными, сенсорными, с галлюцинаторным компонентом и с психическими расстройствами.
Сложные парциальные эпилептические приступы могут начинаться как простые, но затем происходит повреждение сознания. После припадка может быть спутанность сознания.
Вторично генерализованные парциальные припадки начинаются как простой или сложный фокальный приступ, но затем возбуждение переходит и на другие отделы коры головного мозга. Таким образом пароксизм приобретает клонико-тонический вид. У больного могут фиксироваться различные виды парциальных пароксизмов.
Симптоматическая фокальная эпилепсия сопровождается той симптоматикой, которая соответствует основному поражению мозга. Данный вид эпилепсии характеризуется снижением интеллекта, задержкой психического развития и нарушением когнитивной сферы ребенка.
Идиопатическая фокальная эпилепсия доброкачественна, и не характеризуется нарушениями психических и интеллектуальных сфер.
Особенности клинических проявлений эпилепсии в зависимости от локализации патологического очага
Височная форма фокальной эпилепсия является самой часто встречаемой. Эпилептогенный очаг расположен в височной доле головного мозга. Височная фокальная эпилепсия характеризуется припадками с потерей сознания, наличием автоматизмов и ауры. Приступ длится в среднем 30-60 секунд. Оральные автоматизмы присущи детям, а автоматизмы по типу жестов – взрослым. Пароксизмы височной фокальной эпилепсии имеют вторничную генерализацию. Постприступная афазия фиксируется при поражении доминантного полушария височной доли головного мозга.
Эпилептический очаг лобной фокальной эпилепсии расположен в лобной доле головного мозга. Данный очаг провоцирует кратковременные пароксизмы, которые могут проходить сериями. Для лобной ФЭ не характерна аура. Симптомы лобной ФЭ: поворот глаз и головы в одну сторону, сложные автоматические жесты, эмоциональное возбуждение, крики, вздрагивания, агрессия. Если очаг патологии находится в предцентральной извилине, то появляются двигательные пароксизмы джексоновской эпилепсии. Эпилептические приступы лобной фокальной эпилепсии возникают во время сна.
При расположении очага в затылочной доле головного мозга происходят эпилептические приступы, сопровождающиеся нарушением зрения. Например, сужение зрительных полей, зрительные галлюцинации, иктальное моргание, транзиторный амавроз и др. Длительность зрительных галлюцинаций – 13 минут.
Расположение очага эпилептической активности в теменной доле является редкостью. Теменная доля поражается в случае наличия опухоля или корковой дисплазии. Теменная фокальная эпилепсия характеризуется простыми соматосенсорными пароксизмами: кратковременная афазия или паралич Тодда. Если зона эпилептической активности локализуется в постцентральной извилине, то могут происходить джексоновские припадки.
Диагностика фокальной эпилепсии
Если парциальный пароксизм возник впервые, то пациенту необходимо детальное обследование, так как данный симптом может быть проявлением серьезной церебральной патологии. Во время консультации врач-невролог просит полностью описать длительность, характер, последовательность развития эпилептического приступа. Выявленные отклонения помогают установить расположение очага патологии.
Эпилептическая активность диагностируется с помощью ЭЭГ. Эпи-активность фокальной эпилепсии можно зафиксировать на ЭЭГ даже в межприступный период. Если ЭЭГ без приступа малоинформативна, то следует провести электроэнцефалоскопию с провокационными пробами и/или во время приступа. Субдуральная кортикография – это электроэнцефалоскопия с установлением электродов под твердой мозговой оболочкой. Помогает точно определить локализацию патологического очага.
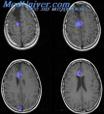
Из инструментальных методов исследований наиболее эффективным для выяснения морфологических основ ФЭ является МРТ. Толщина срезов должна составлять около 1-2 мм, чтобы как можно точнее обнаружить мельчайшие дефекты вещества головного мозга. В случае симптоматической эпилепсии МРТ даёт возможность выявить первопричину: очаговые поражения, атрофии, дисплазии. В ряде случаев обнаружить подобные изменения не удается и тогда диагноз - идиопатическая или криптогенная ФЭ. В качестве дополнительного, но необязательного исследования может быть назначена ПЭТ головного мозга. ПЭТ зафиксирует эпилептогенный участок как зону повышенной метаболической активности. ОФЭКТ также применяется в качестве дополнительного метода диагностики, в ходе которого специалист способен отслеживать динамику перфузии церебрального вещества: в течение припадка будет наблюдаться картина гиперперфузии эпилептогенного очага, а в отрезок времени между пароксизмами - гипоперфузия.
Терапия фокальной эпилепсии
Лечение фокальной эпилепсии назначается врачом-неврологом и эпилептологом, и включает в себя прием антиконвульсантов. К антиконвульсантам относится: карбамазепин, топирамат, фенобарбитал, леветирацетам и др. Для лечения теменной и затылочной эпилепсии фармакотерапии будет достаточно. При височной фокальной эпилепсиии спустя 1-2 года терапии может возникнуть резистентность к проводимому противосудорожному лечению. Если эффект от терапии отсутствует, то врач назначает операцию.
Операция проводится нейрохирургами, и направлена на полное удаление очагового образования (мальформации, опухоли, кисты) или частичное удаление эпи-участка. Фокальная резекция применяется в том случае, если очаг эпилептической активности хорошо локализуем. Если к эпилептогенной зоне прилегают клетки, которые тоже являются источником эпилептической активности, то назначается расширенная резекция.
Прогноз фокальной эпилепсии
Прогноз фокальной эпилепсии зависит от ее типа.
Так как идиопатическая эпилепсия доброкачественна, протекает без когнитивных нарушений, то прекращение пароксизмов происходит самопроизвольно в подростковом возрасте.
Церебральная патология обуславливает прогноз симптоматической эпилепсии. К сожалению, он неблагоприятен при тяжелых пороках развития мозга и опухолях. Данная эпилепсия проявляется задержкой психического развития, которая отмечается при раннем начале эпилепсии.
У 60-70% пациентов после хирургического лечения отмечается снижение или отсутствие эпи-пароксизмов. Полное исчезновение эпилепсии через продолжительное время фиксируется у 30%.
Читайте также:
