Бабезиоз
Добавил пользователь Владимир З. Обновлено: 23.11.2025
Бабезиоз у собак (второе название — пироплазмоз) — опасное заболевание, которое возникает от заражения пироплазмами (Piroplasma canis). Это одноклеточные паразиты, которых переносят иксодовые клещи. Чтобы укус не стал для питомца смертельным, тщательно осматривайте собаку после прогулок. Особенно весной, в первой половине лета и осенью, когда клещи наиболее активны.
Как происходит заражение
Иксодовые клещи, зараженные пироплазмами, во время укуса выделяют в кровь собаки вредоносные микроорганизмы. Они проникают в эритроциты и там развиваются. В процессе жизнедеятельности пироплазмы выделяют ядовитые вещества и постепенно разрушают кровяные клетки. Заражение сказывается на работе всего организма.
У собак при бабезиозе наблюдаются следующие явления:
1. падение уровня глюкозы;
2. анемия и гипоксия (недостаток кислорода) тканей;
3. нарушение в крови баланса кислот и щелочей;
4. высвобождение гемоглобина с его распадом на билирубин и токсины;
5. желтуха — нарушение работы печени из-за интоксикации;
6. разрушение токсинами мелких сосудов;
7. воспаления внутренних органов;
8. нарушение работы нервной системы;
9. сердечная недостаточность;
10. отек легких;
11. дистрофия почек.
Последствием бабезиоза у собак может стать почечная, сердечная недостаточность, хроническое воспаление печени, патологии головного мозга. Заболевание может развиваться стремительно — в течение 2-3 дней, поэтому лучше обратиться к врачу при первых его признаках.
Симптомы бабезиоза у собак
1. Темная моча (может быть даже черной).
2. Мелкие кровоизлияния на слизистых глаз и в пасти.
3. Желтушный оттенок слизистых.
4. Увеличенная печень.
5. Слабый ритм сердца.
6. Повышение температуры до 41-42 градусов.
7. Слабость, вялость, отказ от пищи.
8. Нарушения движения.
9. В тяжелых случаях параличи задних конечностей.
10. Рвота, понос с кровью.
Некоторые собаки с сильным иммунитетом выздоравливают самостоятельно. Большинство особей при отсутствии ветеринарной помощи, к сожалению, погибают.
Лечение бабезиоза у собак
В домашних условиях не проводится. Обращение к ветеринарному врачу при бабезиозе обязательно! Болезнь лечат с помощью специальных препаратов.
Наша компания выпускает средства в виде уже готового раствора для инъекций или в порошковой форме — для приготовления раствора. Уже через 3-5 часов после инъекции одного из перечисленных ниже препаратов вашему любимцу должно стать легче.
- ». Основу составляют диминазен и феназон — вещества, которые с эффективностью до 98,5% могут уничтожать паразитов в крови животных. Причем это касается широкого спектра вредоносных микроорганизмов. Феназон также снижает температуру тела и облегчает состояние животного.
- Препарат готов к применению. Терапевтическая доза — 0,5 мл/10 кг веса. Эта доза разбивается на две внутримышечные инъекции с интервалом 1-2 часа. После инъекции активные вещества начинают уничтожать пироплазм в крови, способствуют снижению боли и последующему выздоровлению. При необходимости через 24 часа можно повторить введение препарата. ». Тот же препарат мы выпускаем в форме порошка, расфасованного во флаконы по 2,36 г. Для получения раствора достаточно добавить во флакон 12,5 мл воды для инъекций. Доза также составляет 0,5 мл/10 кг.
Если ветеринар поставил вашей собаке диагноз «бабезиоз», уточните возможность лечения препаратами NITA-FARM. При высокой эффективности они доступнее импортных аналогов. Купить продукцию компании можно у наших дистрибьюторов в регионах. Пусть ваши домашние любимцы будут здоровы!
Похожие материалы
Пироплазмоз крупного рогатого скота - облигатно-трансмиссивное, сезонное (пастбищный период), остро протекающее заболевание, проявляющееся лихорадкой постоянного типа, анемией, желтушностью слизистых оболочек, нарушением функции сердечнососудистой и пищеварительной систем, гемогпобинурией.
Пироплазмидозы — облигатно-трансмиссивные заболевания животных, вызываемые беспигментными эндогло-булярными паразитами крови. Болеют многие виды домашних и диких животных, особенно часто — крупный и мелкий рогатый скот.
Бабезиоз
Бабезиоз относится к заболеваниям, которые передаются от человека к человеку или от животного к человеку через пастбищных клещей. Клещи пироплазмоза распространены повсюду, кроме Антарктиды. В частности, на российской территории они живут в степном районе юга Сибири или на северо-западе, на юге Европейской части.
Внимание!
Здесь вы сможете выбрать врача, занимающегося лечением Бабезиоз Если вы не уверены в диагнозе, запишитесь на прием к терапевту или врачу общей практики для уточнения диагноза.
Статьи на тему Бабезиоз:
Причины
Симптомы
Диагностика
Лечение
В мире есть множество типов возбудителей данного заболевания, поэтому пироплазмоз у людей может развиваться по-разному с неоднократной степенью патогенности. Зачастую заболевание переносится лишь между некоторыми животными, но так как укус иксодовых клещей может быть перенесен и человеком, то вирус может распространяться между людьми. При этом прямого контакта передачи между животным и человеком нет, а, следовательно, лишь укус клеща может вызвать заражение. Обычно такое заболевание распространено среди сельскохозяйственных рабочих, пастухов, туристов.
Причины
Бабезиоз вызывается возбудителем из класса споровиков, и, при попадании в кровь, концентрируется в центре эритроцитов, а также по периферии строения клетки. Таким образом, бабезии начинают размножаться внутри эритроцитов, в результате чего может наблюдаться гемолитический кризис, сопровождающийся появлением гемоглобина в моче – обычно происходит при поражении порядка 5% эритроцитов. От повышенного уровня гемоглобина страдают почки и развивается повышенный уровень непрямого билирубина.
Возникновение заболевания может вызвать летальный исход в большинстве случаев. Переносчиком является клещ, в организме которого вирус сохраняется пожизненно, вследствие чего может передаваться и трансовариально.
Часто поражаются таким заболеванием люди, у которых слабый иммунитет, особенно ВИЧ-инфицированные или же сельскохозяйственные работники в период активности клещей, а это - летне-осенний или весенне-летний период. При бессимптомном развитии возможна передача от инфицированных людей, которые сами не подозревают о вирусе в организме.
Также бабезиоз может передаваться через переливание крови от зараженного донора, что в дальнейшем характеризуется хроническим или бессимптомным течением болезни. Практически ежегодно в Европе регистрируют множество случаев заболевания домашних животных.
Симптомы
В зависимости от типа заражения проявляются признаки пироплазмоза. Когда инфекция попадает в организм через кровь, то латентный период составляет порядка 6-12 дней, а при заражении через клещей – 10-15 суток.
Первое, что наблюдается - резкое повышение температуры до отметки 40 градусов, дыхание учащается и нарушается работа сердца. Через несколько дней происходит заметное ухудшение состояния, угнетенность, диареи, чередующиеся с запорами, вследствие чего наблюдается резкое снижение веса. Также второстепенные симптомы пироплазмоза выявляются в виде сонливости, слабости, сухого кашля, утомляемости, сниженного внимания и подавленности.
При нормальном функционировании иммунной системы заболевание протекает без симптомов, а в случае возникновения и ослабления иммунитета обычно несет за собой осложнения. После пироплазмоза возможно проявление почечно-печеночной недостаточности, острой полиорганной недостаточности, а также нарушение доставки кислорода к тканям организма человека.
Диагностика
Диагностировать заболевание очень сложно, так как проведено недостаточное количество наблюдений. Следовательно, при бессимптомном течении болезнь можно выявить лишь при сборе анализа пребывания человека в районах укуса клещей. Эффект от антибиотиков отсутствует – это также признак тяжелой степени заболевания. В моче обнаруживается гемоглобин и анемия, а в крови - паразиты. Более-менее эффективным способом выявления болезни является реакция непрямой иммунофлюоресценции.
Стоит дифференцировать инфекцию пироплазмоза от тропической малярии, сепсиса, ГЛПС, заболеваний крови.
Лечение
Для лечения животных используют акаприн, альбаргин, ихтарган и прочее. В чрезмерно тяжелых ситуациях людям необходимо делать переливание крови, а также применять комбинации хинина и клиндамицина, атоваквона и азитромицина. Определенных антибиотиков для лечения пироплазмоза не разработано, поэтому приходиться применять те препараты, которые более-менее влияют на вирус.
Но оставлять заболевание без лечения опасно, так как в большинстве случаев инфекция пироплазмоза заканчивается летальным исходом (50-80%). Однако своевременное лечение дает благоприятный прогноз.
Профилактика
Определенных профилактических методов против бабезиоза не разработано. В частности, необходимо уничтожение клещей и обработка одежды средствами от клещей, а за животными следует проводить тщательный ветеринарный контроль.
БАБЕЗИОЗ
Бабезиоз (Babesiosis) – внутриэритроцитарный паразит домашних животных, являющийся причиной возникновения анемии и гемоглобинурии. Babesia передается клещами, в организме которых простейшие проходят трансовариально, через яйца, из одного поколения клещей в другое. Заболевание бабезиоз особенно тяжело протекает у животных, ввезенных в эндемичные области.
Дефинитивные хозяева: все домашние животные.
Промежуточные хозяева: клещи семейства Ixodidae, у которых трансовариальное заражение обеспечивает передачу Babesia стадиями следующего поколения клещей. В зависимости от вида Babesia это могут быть личиночные, нимфальные или взрослые стадии, или даже все три.
Локализация: простейшие располагаются поодиночке или парами в эритроцитах.
Эпизоотологические данные.
Бабезиоз собак распространен повсеместно, исключая регионы Крайнего Севера, где отсутствуют клещи. Учитывая, что собаки заражаются данным заболеванием чаще в дикой природе, где присутствуют клещи, а также дикие псовые, то данное заболевание можно условно отнести к природно-очаговым. Однако, в некоторых местностях, возможно существование исключительно синантропных очагов заболевания.
Резервуаром возбудителя служат дикие плотоядные и сами популяции клещей, в которых возбудитель сохраняется за счёт трансоовариальной и трансфазной передачи. Циркуляция возбудителя в синатропных очагах поддерживается за счёт большого числа паразитоносителей – переболевших животных. Особенно высока доля таких животных среди беспризорных собак. Основным способом распространения бабезии среди клещей является трансовариальный путь передачи. Лимитирующими факторами распределения клещей является влажность и температура. Другими важными факторами в отношении вспышек заболеваемости являются усиление резистентности к акарицидам, а также распространение клещей при благоприятных климатических условиях в тех ареалах, в которых бабезиоз обычно не наблюдается. Изменения климата вследствие глобального потепления также способствует расширению ареалов распространения клещей, а, следовательно, и бабезиоза.
Бабезиоз заболевание с выраженной сезонностью, характеризующееся двумя подъёмами заболеваемости в год. В средней полосе заболевание обычно регистрируется с начала мая до июля и с конца августа до октября. Сезонность обеспечивают два фактора – температура, влияющая на активность клещей, и короткий инкубационный период болезни. В отдельные годы случаи пироплазмоза могут отмечаться от первых чисел марта вплоть до зимних месяцев, что связано также с климатическими условиями, оттепелями. В южных регионах случаи заболевания отмечаются в более ранние и поздние сроки. Единичные случаи бабезиоза отмечаются и в зимнее время.
Бабезии проявляют возрастную специфичность. Наиболее тяжело переболевают взрослые собаки. Щенки чаще переносят заболевание в лёгкой или скрытой форме. У старых животных чаще встречаются тяжёлые осложнения.
В РФ среди собак распространен в основном один подвид бабезий B. canis, второй вид Babesia gibsoni отмечен на Дальнем Востоке и в северо-западных регионах страны. Вне России бабезия Гибсона отмечена в странах Азии, Африки (Египет, Нигерия, Мали), Америки (США, Бразилия) и Европы (Испания, Франция).
Цикл развития.
Бабезии размножаются бесполым путем, делением надвое, формируя две, а иногда четыре особи в эритроците. В конце концов клетка хозяина разрушается, и простейшие высвобождаются, а затем внедряются в новые эритроциты.
Впоследствии кровь с простейшими заглатывается соответствующим иксодовым клещом, обычно наполняющейся кровью взрослой самкой. В кишечнике клеща происходит половая фаза развития, после чего – шизогония и образование удлиненных, подвижных, булавовидных тел, называемых вермикулами. Они мигрируют в ткани клеща, особенно яичники и подвергаются дальнейшему размножению, вызывая новые вермикулы. В целом процесс занимает около 7 дней.
В яичнике клеща вермикулы проникают в яйца и продолжают делиться в тканях вылупившейся личинки. Затем вермикулы проникают в слюнные железы и в течение нескольких дней формируют инвазионные спорозоиты, которые инокулируются в нового хозяина до того, как прекращается питание клеща.
Когда происходит передача из стадии в стадию, вермикулы снова достигают слюнных желез клеща, становясь инвазивными формами.
Имеется достаточно свидетельств того, что некоторые виды бабезий могут передаваться через яичник двух или более поколений самок клещей; это называется вертикальной трансмиссией.
Патогенез.
Активно делящиеся в эритроцитах бабезии вызывают быстрое разрушение эритроцитов, что сопровождается гемоглобинурией, гемоглобинемией и лихорадкой. Заболевание может протекать остро и заканчиваться смертью, наступающей через несколько дней. За это время объем эритроцитов падает ниже 20%. Паразитемия, которую можно определить сразу же при возникновении клинических признаков, может вовлекать от 0,2 до 45% эритроцитов в зависимости от вида бабезии.
Более легко протекающее заболевание, вызываемое воздействием менее патогенных видов бабезий или, если хозяин достаточно резистентен, характеризуется лихорадкой, анорексией и, возможно, небольшой желтухой в течение нескольких дней.
При инвазировании В. сanis в капиллярах головного мозга может происходить агрегация (склеивание) эритроцитов, что проявляется гипервозбудимостью и нарушением координации движений.
1. Babesia canis
Промежуточные хозяева: собаки, лисы, волки, а также другие хищники из семейства собачьих в областях распространения.
Морфология.
Морфология.
Паразит относится к так называемым «крупным» бабезиям, мерозоиты в эритроцитах имеют грушевидную форму размером 4 – 5 μм либо амебоидную форму размером 2 – 4 μм.
Клинические признаки.
Хотя чаще всего бабезиоз, вызванный этим видом бабезии, проявляется лихорадкой, анемией, желтухой и гемоглобинурией, в подострых случаях у собак, ввезенных в эндемичные области, может отмечаться коллапс и глубокая анемия, приводящая к смерти в течение 1-2 дней. Реже отмечается гипервозбудимость, вызванная поражением бабезиями головного мозга.
При инвазировании Babesia canis у собак могут возникать различные другие признаки и синдромы, включающие асцит, бронхит и сильные мышечные боли.
2. Babesia gibsoni
Промежуточные хозяева: собаки, лисы, волки, а также другие хищники из семейства собачьих в областях распространения.
Морфология.
Это «мелкая» бабезия. Мерозоиты обычно овальные и не больше ⅛ эритроцита хозяина. Можно также найти большие овоидные формы заполняющие ½ эритроцита или продолговатые мерозоиты, расположенные поперёк всей клетки хозяина.
Клинические признаки.
Случаются перемежающиеся лихорадки, анемия, гемоглобинурия, запоры, гепатоспленомегалия. Заболевание переходит в хроническую форму со спадом лихорадки. Смерть может произойти через 3 – 4 недели.
3. Babesia felis
Промежуточные хозяева: кошка, а также остальные представители семейства Felidae (кошачьих), живущие в области распространения паразита.
Морфология.
Относится к так называемым «мелким» бабезиям размером 1,5 – 2 μм. Мерозоиты в эритроцитах неправильно округлой формы. Некоторые могут быть вытянутые и достигать 2-3 μм.
Клинические признаки.
Заболевание проявляется общей слабостью, сомнамбулизмом, анемией, желтухой, гемоглобинурией, спленомегалией. К относительно типичным признакам относят запор и кал от жёлтого до оранжевого цвета.
Пироплазмоз (бабезиоз) собак: симптомы, диагностика, лечение
Известны два вида Babesia, способные инфицировать собак:
- Babesia canis и Babesia vogeli, которые также известны как «крупные бабезии».
- Babesia gibsoni и Theileria annae, близкий к Babesia microti вид, называемые «малыми бабезиями».
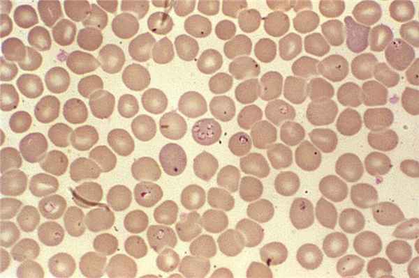
Бабезии инфицируют эритроциты, в которых можно обнаружить мерозоиты возбудителя. Они представляют собой грушевидной, субсферической или округлой формы паразитов, которые в клетке могут располагаться парами или одиночно.
Несколько видов Babesia были описаны в различных европейских странах: B. canis, B. vogeli, Theileria annae и B. gibsoni. Они представляют собой грушевидной, субсферической или округлой формы паразитов, которые в клетке могут располагаться парами или одиночно.
Препатентный период короткий, длится 4–20 дней, а иногда даже может составлять 1 или 2 дня. Стоимость лечения собаки можно посмотреть в нашем прайс-листе.
Патогенез заболевания
Особенности патогенеза зависят от нескольких факторов:
- От паразита: вирулентность изолята, произошло ли первичное инфицирование или реинфекция, инфицирующая доза.
- От хозяина: молодые животные или те, у которых имеются сопутствующие заболевания, или те, кто не имел ранее контактов с этим паразитом при попадании в эндемичный район, являются более восприимчивыми к заболеванию, а течение болезни у таких животных проходит в более тяжелой форме.
Патогенез одинаковый для различных видов Babesia:
- Механическое воздействие: разрушение эритроцитов в результате размножения трофозоитов внутри этих клеток. Это приводит к тяжелой анемии (внутрисосудистый гемолиз), которая сохраняется в течение паразитемии.
- Увеличение сосудистой проницаемости приводит к развитию отеков, вазодилатации, артериальной гипотензии и застою крови, что ведет к метаболическому ацидозу, который усугубляет течение болезни.
- Эритроциты прилипают к эндотелию кровеносных сосудов, вызывая риск развития тромбозов. Процесс усугубляется образованием иммунных комплексов, которые осаждаются на мембране инфицированных эритроцитов и в некоторых тканях.
Возможно развитие различных клинических исходов заболевания, в зависимости от поражаемого органа (печени, почек, легких, скелетной мускулатуры или сердца, ЦНС).
Эпидемиология
Сезонность заболевания связана с климатическими потребностями его переносчиков — иксодовых клещей.
Основные источники инфекции
- Инфицированные бабезиозом клещи.
- Больные животные.
- Клинически здоровые носители, обитающие в эндемичных районах.
Менее распространенные, пути заражения бабезиозом
- Переливание крови.
- Хирургический материал.
- Вертикальная передача и передача от собаки к собаке (инфицирование животных описано для В. gibsoni после укуса инвазированной собакой).
Клинические признаки (симптомы) бабезиоза собак
- Гипертермия (выше 41 °C).
- Астения, анорексия, потеря массы тела.
- Дегидратация.
- Желудочно-кишечные расстройства (рвота, диарея).
- Гепатоспленомегалия, отеки, асцит, желтуха, геморрагии на коже и слизистых оболочках, одышка, бледность, боли в мышцах, парезы, атаксия.
- Клинико-патологические изменения: нормохромная, нормоцитарная, нерегенеративная анемия, нейтропения, тромбоцитопения и гемоглобинурия.
Развитие симптомов бабезиоза (пироплазмоза)
Развитие клинических признаков зависит от вида паразита, возраста животного, гигиены и условий питания. Препатентный период короткий, длится 4–20 дней, а иногда даже может составлять 1 или 2 дня.
- У молодых животных клинические признаки бабезиоза, как правило, протекают остро, с препатентным периодом в 4–6 дней и патентным
- периодом от 7 до 10 дней. В этой возрастной группе бабезиоз может оказаться смертельным.
- У взрослых животных, как правило, чаще возникает обострение хронического течения болезни на фоне ослабления иммунной системы.
Сезонность заболевания связана с климатическими потребностями его переносчиков — иксодовых клещей.

Диагностика бабезиоза (пироплазмоза) собак
Клиническая диагностика основывается на данных клинического осмотра и результатах лабораторных исследований.
Специфическая диагностика
Исследование мазка крови, методы молекулярной диагностики и серологические методы исследования.
- В окрашенных мазках крови: трудно обнаружить паразитов из-за ограниченного периода паразитемии. Тонкие мазки приготавливают из периферической крови (кончик уха, капиллярная кровь из когтя).
- Молекулярная диагностика: ПЦР, особенно в случаях низкой паразитемии и для определения вида Babesia.
- Серологические методы не считаются методами выбора в связи с перекрестной реактивностью, главным образом между B. сanis и В. gibsoni. Перекрестные реакции могут возникать и между остальными видами бабезий, что затрудняет интерпретацию. Кроме того, невозможно точно установить, является ли это результатом прошлой инвазии или настоящей. В любом случае, эти методы удобны для исследования образцов при выздоровлении и исследования образца, повторно взятого через 3-4 недели с целью оценки сероконверсии.
Лечение бабезиоза (пироплазмоза) собак
- Пироплазмициды: имидокарб дипропионат. Эффективен в лечении инвазий, вызываемых Babesia canis и Babesia vogeli. Также применяется для профилактики. Важно не путать с вакцнацией (прививкой) от пироплазмоза!
- Препараты против инвазии Theileria annae: атоваквон и бупарвакон.
- Поддерживающая терапия: в зависимости от клинических признаков и изменений лабораторных показателей.
- Могут быть использованы другие лекарственные препараты, например, фенамедин, пентамидин или диминазен, но они достаточно токсичны и
- имеют низкую эффективность.
- В некоторых случаях показано назначение доксициклина и клиндамицина. Персистенция инвазии возможна у собак на протяжении всей жизни.
Профилактика и контроль бабезиоза (пироплазмоза) собак
Для профилактики бчабезоза (пироплазмоза) собак применяется вакцина против B. canis — Пиродог компании Мериал, изготовленные на основе растворимых паразитарных антигенов от простейших, выращенных на специфических культурах.
Вакцина (прививка) от пироплазмоза Пиродог
Вакцина Пиродог эффективна для профилактики бабезиоза собак. Даже в случае заболевания вакцинированной Пиродогом собаки, существенно снижается тяжесть заболевания пироплазмозом.
Щенков можно вакцинировать с 5-месячного возраста, с повторной ревакцинацией через 3-4 недели. Далее вакцинация Пиродогом проводится каждые полгода (для эндемичных районов) или ежегодно.
Как и на другие вакцины возможно появление общих иоли местных нежелательных реакций, которые по своим свойствам не отличаются от реакций после введения других вакцин. Иногда можно услышать о негативном влиянии вакцинации Пиродогом на печень или другие органы.
Такое мнение вызвано тем, что с вакцинацией путают введение пироплазмицидов, что абсолютно не верно. Наиболее оптимальное время для вакцинации Пиродогом — зима и лето.
Важно помнить, что как и другие прививки, Пиродог начинает «действовать» спустя время. Иммунитет образуется через 2-3 недели после вакцинации. Прививку Пиродог можно комбинировать с применением препаратов, защищающих от клещей и блох.
Для предотвращения инвазии Babesia spp. важно регулярно применять собакам акарициды. Нужно убить клеща до того как он успеет заразить собаку. Так как заражение бабезиозом происходит не сразу после начала питания клеща, а спустя примерно 48 часов, существует высокая вероятность защиты собаки от пироплазмоза с помощью различных препаратов.
Капли (спот-он) от клещей для собак
Сертифект спот-он — обладает экспеллентным эффектом, влияющем на возможность питания клеща: клещи не могут прикрепиться, даже если успеют, открепляются сами.
Доказана защита собаки не только от бабезиоза, но и от анаплазмоза, эрлихиоза и боррелиоза, заболеваний, которые также передаются собакам клещами. Сертифект Спот-Он хороший препарат, но он требует очень корректной и правильной обработки, в противном случае у собаки можно наблюдать вялость и аппатию после его применения.
Если вам нужен мощный препарат против клещей и вы готовы неукоснительно соблюдать инсторукцию, то обратите внимание на Сертифект. В ином случае — используйте другие препараты.
Фронтлайн Три-Акт — новинка 2016 года. Препарат для топикального нанесения (капли), обладает репеллентными свойствами против клещей: клещ попадает на собаку, но благодаря репеллентному действию не может прикрепиться к собаке, а значит не может заразить собаку пироплазмозом.
Доказано снижение риска передачи бабезиоза и пироплазмоза при регулярном применении Фронтлайн Три-Акт собакам. Помимо клещей и блох Фронтлайн Три-Акт отпугивает от собак комаров, москитов и кровососущих мух. Комары и москиты не просто неприятные паразиты, они заражают собак дирофиляриозом (комары) и лейшманиозом (москиты).
Если вы не хотите видеть на собаке блох, клещей и летающих насекомых обратите внимание на данный продукт.
Таблетки от клещей для собак
Новая форма защиты собак от клещей и блох. Фронтлайн Нексгард — вкусная таблетка для собак, которая в течение месяца защищает от клещей и блох собаку. Препарат очень легко применить — можно дать с кормом или просто как лакомство — в большинстве случаев собаки сами его съедят.
Фронтлайн Нексгард быстро начинает действовать — максимум через 4 часа после приема собака полностью защищена (у капель полная защита обычно начинается через 24 часа после применения, у ошейников может занять 1-2 недели).
Непривычно видеть препарат против клещей и блох, который нужно применять внутрь, но он ействительно работает. Конечно, клещ или блоа должны сначала укусить собаку, но благодаря системному действию гибель паразита наступает очень быстро: первые блохи погибаю уже через 30 минут после попадания на собаку.
Клещи начинают погибать уже спустя 4 часа, хотя нормой для всех препаратов считается, если более 90% блох погибнут в первые 24 часа и более 90% клещей за 48 часов. Эти нормы с легкостью перекрывает Фронтлайн НексгарД.
Безопасность препарата на высоте: при правильном применении нежелтельных реакций как правило не возникает. Препарат, как и другие средства, проверен при передозировке в несколько раз, не обладает тератогенным и эмбриотоксическим эффектом. Можно применять беременным собакам под контролем врача.
Спреи от клещей для щенков
Если ваша собака по возрасту менее 2х месяцев и/или весит менее 2х килограмм — рекомендуется обработка Фронтлайн Спреем. Фронтлайн спрей показан щенкам со второго дня жизни. Действует сразу после обработки. Важно правильно нанести спрей на собаку для максимального эффекта.
* Перед применением любого ветеринарного препарата обязательно прочтите инструкцию. возможны побочные эффекты.
Лечение бабезиоза

Бабезиоз – инфекционное заболевание, поражающее людей и животных. Оно является достаточно редким.
Случаи заражения людей этой болезнью стали наблюдать только во второй половине прошлого века. Всего лишь около 100 клинических случаев рассматриваемого заболевания описаны в мировой медицинской практике.
Характерные признаки заболевания
Первые симптомы болезни проявляются после 10-15 суток после заражения. Начинается заболевание остро и сопровождается следующими клиническими признаками:
- повышение температуры тела до 39℃;
- сильные головные боли;
- тошнота и, возможно, рвота;
- побледнение или пожелтение кожных покровов;
- чувство слабости в области живота;
- гематурия – появление крови в моче.
Есть определенные категории людей, которые больше всего беззащитны перед бабезиозом . К ним относятся пациенты со сниженным иммунным статусом, а именно: с хроническими заболеваниями, ВИЧ-инфицированные, пожилые люди. Если человек здоров, то серьезной симптоматики при заражении не возникает.
Причины бабезиоза
Бабезиоз провоцируется возбудителем, который относят к простейшим – микроорганизмом рода Babesia. Всего изучено три вида бабезий , каждый из которых распространен в определенной части и странах мира. Babesia micron встречается в Америке. Babesia divergens и rodhaini зафиксированы в Европе, в частности, в Германии, Франции, скандинавских странах, Польше, на территории бывшей Югославии.
Процесс заражения происходит при укусах клещами, которые переносят возбудитель болезни. Переносчиками инфекции и промежуточными хозяевами инфекции могут быть грызуны. Также человек может заразиться от больного животного, мать может передать бабезиоз своему ребенку во время родов. Еще возможно инфицирование при переливании крови от больного человека здоровому.
После того, как человек переболеет бабезиозом , у него формируется иммунитет к бактерии на период 2-3 года. Поэтому могут быть случаи развития реинфекции .
Методы диагностики
При подозрении на бабезиоз следует обратиться к врачу-инфекционисту. Так как клиническая картина может затруднять диагностирование болезни, специалист изучает эпидемиологическое окружение пациента, выявляет проблемы в работе иммунной системы.
Большое значение в диагностике бабезиоза играет паразитологическое исследование взятого у больного мазка крови. Оно проводится с помощью метода непрямой иммунофлюоресценции .
Лечение бабезиоза в Липецке
Лечением указанного заболевания должен заниматься инфекционист. Для этого используется антибиотикотерапия совместно с хинином. Иногда требуется переливание эритроцитарной массы. Если не заняться лечением бабезиоза , он может спровоцировать пневмонию, печеночную недостаточность, в том числе, в острой форме, и даже летальный исход.
Наш врач-инфекционист Лилиана Викторовна Кузнецова помогает пациентам как с распространенными инфекционными заболеваниями, так и достаточно редкими. Большой клинический опыт, современное диагностическое оборудование, комфортные условия клиники позволяют оказывать эффективную и качественную медицинскую помощь тем, кто нуждается в ней.
Читайте также:
