Болезнь Гиршспрунга - диагностика
Добавил пользователь Евгений Кузнецов Обновлено: 29.01.2026
Болезнь Гиршпрунга (HSCR, аганглиоз толстой кишки, врожденный мегаколон) — это врожденный порок развития нижнего отдела пищеварительного тракта, при котором отсутствуют интрамуральные нервные сплетения, что приводит к стойкому нарушению функции кишечника. Впервые патология была выявлена в 1887 году ученым Г. Гиршпрунгом. После изучения строения стенки кишечника у мальчиков, которые умерли от хронического запора, ученым были идентифицированы аганглионарные участки кишечника и увеличение полости толстой кишки. Врожденный мегаколон диагностируется у детей с раннего возраста. Если в патологический процесс вовлечен небольшой участок кишечника, болезнь Гиршпрунга выявляют в более поздние периоды. Частота данного заболевания составляет приблизительно 1 случай на 5000 новорожденных. Идиопатический мегаколон у мальчиков встречается в 4 раза чаще, чем у девочек.
Содержание:
Причины возникновения болезни Гиршпрунга
Болезнь Гиршпрунга — это врожденная патология, возникновение которой обусловлено нарушением нормального эмбриогенеза. Причины появления аганглиоза толстой кишки достаточно не изучены. Доказана наследственная предрасположенность к врожденному мегаколону: при наличии эпизода заболевания у одного из родственников, риск возникновения патологии у ребенка существенно увеличивается.
Иннервация кишечника — одна из самых сложных регулирующих систем в организме человека. Правая и левая стороны нижнего отдела пищеварительного тракта иннервируются из разных «источников». Кроме того, отдельные зоны кишечника имеют неодинаковое распределение нервных волокон. Внутриорганная составляющая нервной сетки представлена подслизистыми ганглиями, которые связанные с «внешними регуляторами». В мышечном и подсерозном слоях тоже расположены некоторые нервные волокна, но они имеют меньшее значение.
Какова функция внутристеночных интрамуральных ганглиев? Они обеспечивают нормальные перистальтические движения пищеварительного тракта, что способствует прохождению химуса по кишечнику.
Закладка интрамуральных нервных сплетений осуществляется на 5-12 неделе внутриутробного развития плода. Нарушение данного процесса приводит к уменьшению количества ганглиев в стенке кишечника (гипоганглиоз) или полному их отсутствию (аганглиоз) на определенном участке пищеварительного тракта. Пораженный сегмент частично или полностью теряет способность к перистальтическим движениям, просвет органа сужается. В приводном (проксимальном) сегменте накапливается все содержимое кишечника (каловые массы, газы), что приводит к растяжению стенки органа и формированию мегаколона. Данный патологический процесс способствует развитию хронической кишечной непроходимости и синдрому каловой интоксикации.
Виды болезни Гиршпрунга
Размеры аганглионарного участка при болезни Гиршпрунга могут колебаться от нескольких сантиметров до метра и более. От этого зависит тяжесть состояния ребенка и особенность клинической картины заболевания.
Анатомическая классификация врожденного аганглиоза кишечника:
- Прямокишечная форма. Участок аганглиоза охватывает всю прямую кишку или ее часть (промежностную, ампулярную или надампулярную).
- Ректосигмоидальная форма. Не иннервируемая зона распространяется на дистальную часть сигмовидной кишки или охватывает ее полностью.
- Субтотальная форма. В патологический процесс втягивается восходящая кишка и часть поперечной ободочной кишки (левая половина кишечника).
- Тотальная форма. Отсутствие интрамуральных нервных волокон наблюдается на протяжении всего кишечника.
Клиническая классификация болезни Гиршпрунга:
- Стадия компенсации (прямокишечная форма). У ребенка наблюдаются умеренные симптомы интоксикации и неполной кишечной непроходимости, проблема решается с помощью клизмы.
- Стадия субкомпенсации (ректосигмоидальная и субтотальная формы). Проведение очистительной клизмы безрезультатное, иногда состояние ребенка улучшает высокая очистительная или сифонная клизма. Нарастают симптомы интоксикации, присоединяются признаки нарушения обмена веществ.
- Стадия декомпенсации(все виды аганглиоза, кроме прямокишечного). Происходит прогрессирование патологического процесса, что может перерасти в острую кишечную непроходимость.
Симптомы болезни Гиршпрунга
Ранним признаком болезни Гиршпрунга является задержка отхождения мекония, что в норме происходит в первые 24 часа. По мере кормления ребенка и заполнения кишечника, симптоматика врожденного аганглиоза нарастает. В первый месяц жизни у новорожденного с болезнью Гиршпрунга выявляют:
- наличие припухлости при пальпации живота;
- рвота;
- вздутие живота;
- запор;
- ухудшение аппетита.
Для детей от 1 месяца до 1 года характерные такие признаки аганглиоза кишечника:
- постоянный запор;
- метеоризм;
- ребенок плохо набирает вес;
- рвота;
- асимметрическая форма живота.
После года присоединяются следующие симптомы:
- прогрессирующий запор, который может чередоваться с поносом (неблагоприятный прогностический признак);
- каловые массы выходят тонкими сегментами;
- резкий неприятный запах каловых масс;
- неполное опорожнение кишечника.
К поздним симптомам болезни Гиршпрунга относятся частичная гетерохромия (неодинаковое окрашивание радужки глаз), анемия, гипотрофия, деформация скелета по рахитоподобному типу, каловая интоксикация организма (снижение аппетита, общая слабость, вялая реакция ребенка на внешние раздражители, повышение температуры, диспепсические расстройства).
Диагностика болезни Гиршпрунга
Диагностика болезни Гиршпрунга включает в себя:
- сбор анамнеза и жалоб (у детей старшего возраста);
- физикальный осмотр ребенка, при котором врач выявляет асимметрию и вздутие живота, а на поздних стадиях аганглиоза – гипотрофию ребенка, деформацию скелета, гетерохромию;
- пальцевое исследование прямой кишки, с помощью которого можно выявить прямокишечную форму аганглиоза;
- проведение дополнительных методов исследования.
Для верификации диагноза аганглиоза используются такие инструментальные методы исследования:
- Ирригография – рентгенологический метод диагностики, при котором в прямую кишку вводится рентгеноконтрастное вещество (сульфат бария). После заполнения кишечника данным раствором делаются снимки. Ирригография позволяет выявить уровень нарушения проходимости кишечника, расширенную проксимальную и суженную дистальную петли кишечника, нарушение пневматизации кишки.
- УЗИ органов брюшной полости (в частности, кишечника) позволяет визуализировать каловые камни, повышенную пневматизацию в проксимальной петле кишечника.
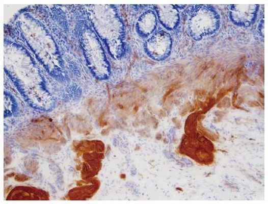
- Колоноскопия – эндоскопическое исследование толстой кишки, которое позволяет визуализировать пораженные участки кишечника, выполнить биопсию для дальнейшего гистологического исследования биологического материала.
- Биопсия – это «золотой стандарт» диагностики болезни Гиршпрунга. С помощью гистологического исследования идентифицируют отсутствие интрамуральных нервных ганглиев, что является подтверждением диагноза врожденного аганглиоза кишечника.
Методы лечения болезни Гиршпрунга
Консервативное лечение детей с болезнью Гиршпрунга направлено на ликвидацию симптомов заболевания и восстановление проходимости кишечника. Для этого используются:
- Очистительные и сифонные клизмы с физиологическим раствором. Данная манипуляция только временно эвакуирует содержимое кишечника и улучшает состояние больного.
- Массаж живота частично улучшает прохождение химуса по кишечнику.
- Медикаментозное лечение, которое включает в себя пероральный прием вазелинового масла, обезболивающих препаратов, пробиотиков.
Применение консервативного подхода к пациенту с болезнью Гиршпрунга устраняет симптомы патологии, но не излечивает ребенка. Единственным радикальным методом лечения является оперативное удаление аганглионарного участка. Для этого используются одномоментные и двухмоментные операции.
В клинической практике чаще используются двухмоментные операции. После удаления (резекции) пораженной зоны на переднюю брюшную стенку выводится колостома, через которую некоторое время осуществляется дефекация. Второй этап операции предусматривает создание анастомоза между двумя отрезками кишечника и закрытие колостомы. В новых условиях пищеварения в укороченном кишечнике у пациентов часто возникают послеоперационные расстройства: запоры, диарея, метеоризм. Нормализации работы кишечника способствуют:
- соблюдение диеты с большим содержанием клетчатки;
- лечебная физкультура;
- физиотерапия (иглорефлексотерапия);
- массаж живота.
Сегодня широко используется лапароскопический оперативный доступ. Он позволяет сократить пребывание ребенка в стационаре и ускорить восстановление организма после операции.
Последствия болезни Гиршпрунга
Осложнения болезни Гиршпрунга возникают при отсутствии адекватного лечения. Нарушение эвакуации кишечного содержимого приводит к таким последствиям:
Болезнь Гиршпрунга
Наши проктологи специализируются на болезни Гиршпрунга у детей. Огромный опыт и владение всеми современными методами диагностики помогает им поставить точный диагноз - без лишних назначений. Если нужно, мы направим маленького пациента в стационар для лечения, также будем наблюдать ребенка в послеоперационный период.
Что такое болезнь Гиршпрунга?
Болезнь Гиршпрунга (или аганглиоз) – это врожденное отсутствие кишечных ганглиев (нервных узлов) в прямой, сигмовидной и толстой кишке. Ганглии отвечают за перистальтику, то есть за движение кишечника, благодаря которому его содержимое продвигается вниз, к анальному каналу. Аганглиоз приводит к хроническому запору.
Формы заболевания
Болезнь проявляется в разных формах:
ректальная – поражение прямой кишки
ректосигмоидальная – с поражением сигмовидной кишки
сегментарная – с одним пораженном сегментом или двумя сегментами, разделенными здоровым участком
субтотальная – с поражением толстой кишки
тотальная – с поражением всей толстой кишки и части тонкой
Почему возникает болезнь Гиршпрунга?
Причины возникновения заболевания до конца не ясны. Существуют две теории ее появления, обе касаются внутриутробного развития плода:
- Нарушение миграции (то есть передвижения) клеток, которые потом становятся ганглиями
- Ганглии гибнут из-за недостатка кровообращения
Как понять, что у ребенка болезнь Гиршпрунга?
Позднее отхождение первородного кала (мекония), который в норме должен отойти в первые 24-48 часов жизни младенца;
Вздутие живота и рвота зеленого цвета у новорожденного;
Запор с рождения: дефекация только с клизмой, слабительные неэффективны;
Увеличенный живот, плохое отхождение газов, отсутствие каломазания при запоре.
Как болезнь Гиршпрунга диагностируют у детей?
Ирригография – рентгеновское исследование с контрастным веществом
Биопсия – забор фрагмента кишки и исследование его под микроскопом
Аноректальная манометрия – измерение давления в прямой кишке и анальном канале
При диагностике заболеваний кишечника у детей мы опираемся на передовые мировые рекомендации и никогда не назначаем лишних обследований.
Что будет, если не лечить болезнь Гиршпрунга?
Самое опасное осложнение болезни – Гиршпрунг-ассоциированный энтероколит – воспаление кишечника. Его симптомы:
жидкий, зеленый, зловонный стул
Энтероколит: группы риска
мальчики (болеют в 4 раза чаще девочек)
дети с синдромом Дауна
дети, которые уже болели энтероколитом
Существует ли консервативное лечение?
Вылечить заболевание можно только оперативным путем. Но перед операцией доктор может дать рекомендации, как облегчить состояние ребенка при болезни Гиршпрунга: назначить слабящую диету, клизмы, симптоматическую терапия.
Какая операция нужна при болезни Гиршпрунга?
Общий принцип всех операций – удаление участка кишки без ганглиев. Иногда для облегчения работы кишечника нужно временное наложение колостомы – вывод отверстия прямой кишки через брюшную стенку.
Как проходит реабилитация и послеоперационный период?
Заживление внутренних швов занимает 6-7 дней. На 10-й день уже можно провести пальцевое ректальное исследование.
Возможные послеоперационные осложнения:
- энтероколит
- запор
- недержание кала
Для всех осложнений есть эффективные методы лечения. Колопроктологи клиники Фэнтези помогут вашему ребенку в послеоперационном периоде, чтобы восстановление прошло быстрее.
Стоимость
Пименова Евгения Сергеевна – опыт более 15 лет. Эксперт по редким колопроктологическим заболеваниям у детей: болезнь Гиршпрунга, аноректальные пороки. Также лечит: анальные трещины, парапроктиты, геморрой, полипы прямой кишки, недержание кала. Хирургия: паховая, пупочная грыжа, водянка оболочек яичка, крипторхизм, патология крайней плоти у мальчиков, синехии половых губ у девочек.
Чундокова Мадина Арсеновна – детский хирург, гинеколог, проктолог. Доктор медицинских наук. Стаж работы: 28 лет. Специалист в области: детской хирургии (удаление бородавок, лечение вросшего ногтя, вскрытие панарициев и гнойников). Специалист в эндоскопической хирургии. Соавтор национального руководства "Детская хирургия", атласа "Гнойно-воспалительные заболевания мягких тканей и костей у детей".
- Диагностика и лечение детей
- Услуги на дому
- Прививки детям
- Анализы и обследования
- Депозит, чек-апы, карты, справки
- Онлайн сервисы клиники Фэнтези









Никаких лишних обследований и лекарств! Назначим только то, что доказало эффективность и поможет вашему ребенку.
Педиатры и узкие специалисты Фэнтези - доктора с большим опытом, члены профессиональных обществ. Врачи постоянно повышают квалификацию, проходят стажировки за рубежом.
Мы сделали детскую медицину безопасной! Весь наш персонал работает по самым строгим международным стандартам JCI
Игровая комната, веселый аниматор, подарки после приема. Мы стараемся подружиться с ребенком и делаем все, чтобы маленькому пациенту было у нас комфортно.
«САЙТ НАХОДИТСЯ НА РЕКОНСТРУКЦИИ ПРИНОСИМ СВОИ ИЗВИНЕНИЯ ЗА ВРЕМЕННЫЕ НЕУДОБСТВА»
Болезнь Гиршпрунга (врожденный аганглиоз) - это аномалия развития толстой кишки, характеризующаяся отсутствием ганглиев подслизистого и межмышечного нервных сплетений на определенном участке кишечной стенки. Ганглий - форма организации собственного нервного аппарата всех внутренних органов. Он представляет собой скопление тел нервных клеток - нейронов, окруженных вспомогательными клетками - глией. Ганглии относятся к периферической нервной системе и участвуют в регуляции деятельности внутренних органов. Патогенез аганглиоза связан с нарушением миграции нейробластов из вагусного нервного гребешка в процессе эмбриогенеза. Поскольку прямая кишка заселяется нейробластами в последнюю очередь, зона аганглиоза практически всегда начинается в самом дистальном отделе прямой кишки. Чем раньше прекращается миграция, тем длиннее аганглионарный сегмент.
Вероятно, аганглионарный участок кишки не участвует в перистальтической активности и является таким образом зоной функционального препятствия для пассажа кишечного содержимого. В результате происходит хроническая задержка каловых масс в вышележащем отделе кишки, последний с течением времени расширяется и формируется мегаколон - основной клинический признак болезни Гиршпрунга.
Болезнь Гиршпрунга относительно редкое заболевание, частота его составляет от 1:30000 до 1:2000 к общему числу новорожденных. Мальчики болеют в 5 раз чаще девочек. В большинстве случаев яркая клиническая картина в виде отсутствия стула, резкого вздутия живота проявляется буквально с рождения. В силу этого большая часть больных подвергается хирургическому лечению уже в раннем детстве. Однако, у некоторых пациентов симптомы болезни могут быть значительно менее выраженными, и только декомпенсация функции кишки или развитие осложнений заставляет их обращаться к врачу уже во взрослом состоянии.
Основными клиническими проявлениями болезни Гиршпрунга являются стойкие запоры, как правило, с раннего детства и постоянное вздутие живота, не зависящее от опорожнения кишечника. Постепенно запоры прогрессируют, в расширенных отделах ободочной кишки формируются каловые камни, которые могут привести к развитию кишечной непроходимости или даже перфорации кишки вследствие пролежня камнем, и, соответственно, необходимости экстренной операции.
В классических случаях диагностика болезни Гиршпрунга не вызывает больших сложностей и основана на сочетании клинической симптоматики с характерной рентгенологической картиной в виде наличия зоны относительного сужения в дистальной части толстой кишки, сменяющейся резким воронкообразным расширением просвета кишки проксимальнее.
Однако, не всегда диагноз бывает очевиден. Подчас дифференциальная диагностика болезни Гиршпрунга, прежде всего с идиопатическим мегаколон, представляет значительные трудности. А установить точный диагноз необходимо, поскольку и лечебная тактика, и способ хирургического пособия при этих состояниях разные. В таких ситуациях требуется комплексное обследование, включающее специфические патофизиологические и гистохимические тесты, осуществить которые можно только в условиях специализированных клиник. С конца 70-х годов прошлого века в патофизиологической лаборатории ГНЦК для диагностики болезни Гиршпрунга используется аноректальная манометрия. Огромный опыт специалистов лаборатории в сочетании с новейшим оборудованием делают аноректальную манометрию исключительно ценным и чувствительным диагностическим методом, к тому же безопасным и малоинвазивным.
Не менее важным тестом является исследование ацетилхолинэстеразной активности в биоптатах слизистой прямой кишки, которая при болезни Гиршпрунга повышена. Как и в случае аноректальной манометрии для правильного проведения исследования и интерпретации результатов, помимо специфического оборудования необходим соответствующий опыт врача патоморфолога.
В ряде случаев, когда сомнения в диагнозе все же остаются, возникает необходимость в диагностической операции с целью прямой морфологической оценки собственного нервного аппарата прямой кишки. Таковой является трансанальная полнослойная биопсия стенки прямой кишки по Свенсону. В ГНЦ колопроктологии, с учетом существования в самом дистальном отделе прямой кишки зоны физиологического гипоганглиоза, биопсия по Свенсону выполняется по модифицированной методике. Это позволяет свести вероятность ложноположительного результата к минимуму.
Лечение болезни Гиршпрунга только хирургическое. Причем, чем раньше выполнена операция, тем лучше. Отсрочка хирургического вмешательства приводит к прогрессированию мегаколон и увеличению риска осложнений. Операции все равно не избежать, но распространение мегаколон в проксимальном направлении приведет к необходимости более обширной резекции толстой кишки с худшими функциональными результатами. А развитие осложнений будет причиной многоэтапного лечения с куда более высоким риском для здоровья и вероятностью формирования стомы.
Поскольку болезнь Гиршпрунга у взрослых встречается крайне редко, очень небольшое число клиник имеет адекватные возможности диагностики и лечения этого состояния. В Центре накоплен едва ли не самый большой в мире опыт лечения взрослых пациентов с болезнью Гиршпрунга. Разработанная в ГНЦ колопроктологии модификация операции Дюамеля позволяет достичь хороших функциональных результатов у большинства больных при минимальном числе осложнений. В последние годы имеется возможность выполнения операции лапароскопически. Своевременно выполненная операция позволяет пациентам вести полноценную жизнь без каких-либо ограничений. Риск развития урогенитальных расстройств у мужчин минимальный. Женщины после операции имеют большие шансы зачатия естественным путем и полноценного вынашивания беременности.
Лечение болезни Гиршпрунга
Развитие болезни Гиршпрунга у детей (аганглиоза кишечника) связано с врожденным отсутствием нервных ганглиев в дистальных отделах пищеварительного тракта – прямой, сигмовидной и толстой кишке. Причем отмечено, что мальчики в пять раз чаще болеют, чем девочки. Заболевание носит наследственный характер и связано с мутацией в 10 хромосоме.
Как проявляется болезнь Гиршпрунга?
При поражении кишечника болезнью Гиршпрунга наблюдается невозможность расслабления зоны поражения. Она характеризуется постоянным выраженным мышечным спазмом. Кроме этого, в ней отсутствует перистальтика, что делает невозможным продвижение кишечного содержимого по кишечнику. Кишка выше зоны поражения расширяется из-за скопления каловых масс и атрофии мышечных волокон.
Формы заболевания
Острая форма болезни Гиршпрунга возникает при тотальном и субтотальном поражении толстого кишечника. Проявляется на первых днях жизни ребенка. Для нее характерна клиника низкой кишечной непроходимости – отсутствие отхождения мекония, вздутие живота, рвота.
Подострая форма болезни возникает при более короткой зоне аганглиоза. Для нее характерны упорные запоры, стул только после клизмы, увеличение живота, беспокойство, отставание в нервно-психическом и физическом развитии.
Хроническая форма развивается при поражении только прямой кишки. Запоры возникают чаще у детей в более старшем возрасте. В начале запоры непродолжительные и после очистительных клизм возможны самостоятельные акты дефекаций. При прогрессировании заболевания могут образовываться каловые камни и возникать обтурационная кишечная непроходимость. У таких детей снижен иммунитет, они значительно чаще болеют своих сверстников. Характерным признаком данного заболевания является увеличение живота вследствие увеличения в размерах толстого кишечника.
Диагностика болезни Гиршпрунга основана на:
- клинических данных;
- рентгенологическом исследовании (проведении иригоскопии);
- сфинктероманометрии (исследовании тонуса сфинктера прямой кишки);
- морфогистохимическом методе (определении наличия или отсутствия нервных ганглий в подслизистом слое всех участков толстой кишки).
Методика лечения
Лечение болезни Гиршпрунга только оперативное.
При острой форме болезни оперативное лечение выполняют сразу же после установления диагноза. Операцию разделяют на 2 этапа – на первом этапе производится выведение участка кишки (стомы) на переднюю брюшную стенку выше зоны поражения, а пораженный участок зашивают наглухо. Второй этап операции выполняется через 1-1,5 года.
В Беларуси используется несколько методик выполнения оперативных вмешательств при болезни Гиршпрунга:
- По Дюамелю, Соаве, Свенсону. Данные операции сводятся к удалению зоны аганглиоза и наложению анастомоза между здоровой кишкой и анальным сфинктером. Недостатком данных операций является их высокая травматичность и большая длительность операций. Кроме этого, они оставляют после себя рубцы на передней брюшной стенке.
Наименее травматичной и косметически оправданной является операция по коррекции врожденного порока развития — одноэтапная трансанальная эндоректальная резекция ректосигмоидного отдела кишечника.
Ход операции заключается в следующем: растягивается анальный сфинктер, затем немного выше зубчатой линии (выше проекции наружного анального сфинктера) выделяется прямая и сигмовидная кишка до здорового участка кишечника выше супрастенотического расширения. Затем производят отсечение выделенного участка кишечника с последующим наложением анастомоза между слизистой прямой кишки и стенкой сигмовидной кишки. Данный вид хирургического лечения болезни Гиршпрунга у детей имеет больше преимуществ: время операции значительно короче, не остается рубцов на передней брюшной стенке, послеоперационный период проходит более гладко, дети быстрее идут на поправку.
Почему стоит выбрать Беларусь?
В РНПЦ детской хирургии — ведущем медицинском центре Беларуси, оказывающем хирургическую помощь детям — на высоком профессиональном уровне производится выполнение операций по поводу болезни Гиршпрунга. Вы найдете не только качественное медицинское обслуживание, но и внимание и заботу со стороны сотрудников.
Специалисты РНПЦ детской хирургии имеют большой опыт в проведении успешных операций при болезни Гиршпрунга. Оставьте вашу заявку в форме, расположенной ниже или позвоните по телефону +375(44)596-6-596: мы ответим на ваши вопросы, поможем оформить заявку на лечение в клинике, а при необходимости поможем с трансфером, поиском временного жилья и другими вопросами, связанными с приездом в Беларусь.
Q43.1 Болезнь Гиршпрунга
- Как часто можно использовать очистительные клизмы для стимуляции стула?
Влияет ли нарушение флоры кишечника на тяжесть заболевания?
Возможны ли генетические тесты для прогнозирования заболевания у будущего ребенка?
скопление газов в кишечнике из-за нарушения пищеварения, сопровождается вспучиванием, увеличением живота в объеме и неприятным распиранием изнутри.
усиленное сокращение (продвижение по кишечному тракту) различных отделов, сопровождаемое звуковым эффектом
частичный или полный отказ от приема пищи в результате снижения потребности организма и стремления человека к определенной пище
признак метеоризма: сильная боль и вздутие живота, преимущественно в левом подреберье; после отхождения газов больной чувствует облегчение
признак непроходимости кишечника: локальный метеоризм или выпячивание проксимального отдела кишечника
рентгенологический признак кишечной непроходимости: при обзорной рентгеноскопии брюшной полости обнаруживаются горизонтальные уровни жидкости и газовые пузыри над ними
признак паралича кишечника: при выслушивании живота отмечается полная тишина; обычно наблюдается при илеусе
рентгенологический признак кишечной непроходимости: растянутой и напряженной кишечной петле соответствует зона скопления газов в виде арки
Болезнь Гиршпрунга
Болезнь Гиршпрунга - врождённый аганглиоз толстой кишки - отсутствие собственно нервных клеток в мышечном сплетении Ауэрбаха и подслизистом сплетении Майсснера.

По причине отсутствия мышечных сокращений в пораженной зоне кишки, застоя каловых масс в вышележащих отделах, возникают значительное расширение и удлинение кишки. Частота встречаемости болезни Гиршпрунга: 1:5 000 новорождённых. Преобладающий пол - мужской (4-5:1).
Исследования в области молекулярной генетики указывают на ведущую роль в патогенезе болезни Гиршпрунга мутации 4 генов: RET (рецептор тирозинкиназы), GDNF (нейротрофический фактор глиальных клеток), ENDRB (ген рецептора эндотелина-В), EDN3 (эндотелин-3) и их определяющее влияние на процесс миграции нейробластов. Пассивные изменения структуры RET-гена происходят наиболее часто. В период вынашивания, с пятой по двенадцатую неделю, происходит формирование нервных скоплений в стенках кишечника.
Формирование начинается от нервных сплетений в ротовой полости и спускается по пищеводу к желудку, кишечнику и анальному отверстию. В некоторых случаях по невыясненным причинам данный процесс прерывается, что ведет к отсутствию нервных сплетений на участке толстой кишки. Протяженность такого пораженного участка может быть различной и составлять как несколько сантиметров, так и весь толстый кишечник. Чем больше протяженность лишенной нервных сплетений толстой кишки, тем тяжелее протекает заболевание. Предполагается, что нарушения процесса развития нервной системы толстого кишечника вызвано мутациями ДНК.
Врожденный характер заболевания обусловливает его принадлежность, в основном, к сфере деятельности педиатров и детских гастроэнтерологов. Однако у части пациентов заболевание может долго протекать без выраженных клинических проявлений, что позволяет больным доживать до зрелого возраста. Порой первое обращение к врачу у таких больных может возникать при декомпенсации толстой кишки, требующей срочных хирургических мероприятий.
Самыми ранними и основными клиническими признаками болезни Гиршпрунга являются хронический запор или отсутствие самостоятельного стула. Эти симптомы в большинстве случаев наблюдаются с периода новорожденности или появляются несколько позже. Хроническая задержка кала и газов приводит к расширению выше расположенных отделов ободочной кишки, что уже в первые месяцы жизни вызывает увеличение размеров и изменение конфигурации живота. Дети с компенсированной стадией заболевания в течение долгого времени могут самостоятельно опорожнять кишку.
В зависимости от зоны повреждения кишки, выделяют следующие формы заболевания у взрослых:
- Наданальная форма – зона поражения локализуется в нижнеампулярном отделе прямой кишки.
- Ректальная форма – недоразвитие интрамурального нервного аппарата распространяется на всю прямую кишку.
- Ректосигмоидная форма – аганглиоз занимает всю прямую и часть или всю сигмовидную кишку.
- Субтотальная форма – в аганглионарный сегмент включена поперечная ободочная кишка.
- Тотальная форма – поражение всей толстой кишки.
Наряду с отсутствием самостоятельного стула, у взрослых пациентов отмечаются постоянное вздутие живота, не зависящее от опорожнения кишки и боли в животе на высоте запоров. У более пожилых пациентов, заболевание приводит в формированию каловых камней и развитию кишечной непроходимости.
Заболевание может быть компенсированным, субкомпенсированным и декомпенсированным.
- Компенсированное состояние кишки – на протяжении многих лет у больного отмечается редкий, но самостоятельный стул или имеются запоры от 3 до 7 дней, которые легко разрешаются при помощи слабительных препаратов и клизм.
- Субкомпенсированное состояние, в отличие от предыдущего, требует интенсивных мероприятий по опорожнению кишки. В таких случаях без применения слабительных препаратов и клизм самостоятельный стул может отсутствовать свыше 7 дней.
- Декомпенсированное состояние характеризуется отсутствием позыва на дефекацию и самостоятельного стула. У многих пациентов толстая кишка бывает заполнена плотным кишечным содержимым или каловыми камнями. Зачастую даже интенсивные мероприятия не позволяют адекватно опорожнить толстую кишку. В подобных случаях показано срочное хирургическое лечение.
По клиническому течению у взрослых различают три варианта развития заболевания:
- Типичный («детский») вариант – интенсивные запоры развиваются достаточно быстро, практически отсутствует самостоятельный стул, быстро нарастают явления кишечной непроходимости.
- Пролонгированный вариант – медленное течение заболевания, когда с запорами удается длительное время справляться с помощью консервативных мероприятий.
- Латентный вариант – впервые запоры появляются после 14 лет, и как правило, быстро развивается хроническая толстокишечная непроходимость. Появившиеся запоры нарастают, слабительные средства совершенно неэффективны, и для опорожнения кишки приходится прибегать к ежедневным клизмам.
Диагностика заболевания основывается на сочетание положительной реакции на ацетилхолинэстеразу с отрицательным ректоанальным рефлексом, что является бесспорным подтверждением болезни Гиршпрунга.
В последние десятилетия наиболее активно используется иммуногистохимическая диагностика, направленная на выявление нервных волокон, содержащих оксид азота (NO). Проведение этого теста требует выполнения колоноскопии и биопсии, а также рентгеновского исследования пассажа бария по толстой кишке.
Решающее значение в постановке диагноза болезни Гиршпрунга имеет биопсия прямой кишки при проведении ректоскопии.
Единственным способом лечения болезни Гиршпрунга является хирургический.
Мероприятия по нормализации стула: употребление в достаточном количестве воды, пищи, богатой клетчаткой. Позитивный эффект оказывает общий массаж и массаж передней брюшной стенки.
Занятия физической культурой (бег, плавание) способствуют активизации моторики кишечника и нормализации стула.
Возможны, при отсутствии противопоказаний, мероприятия по периодической очистке кишечника с использованием оливкового масла и комплекса специальных упражнений.
Читайте также:
