Болезнь Лермитта-Дюкло на МРТ
Добавил пользователь Евгений Кузнецов Обновлено: 23.11.2025
Цель работы – описать клинический случай редкого опухолевидного поражения мозжечка – болезни Лермитта–Дюкло.
Клиническое наблюдение. В Федеральный центр нейрохирургии (г. Новосибирск) поступил больной 40 лет. Из анамнеза известно, что в 2017 г. у него выполнено вентрикулоперитонеальное шунтирование справа по поводу гипертензионно-гидроцефального синдрома, вызванного объемным образованием правой гемисферы мозжечка. В июне 2017 г. пациент был консультирован нейрохирургом. Позже выявлены увеличение размеров образования, частичная атрофия дисков зрительных нервов. Ввиду наличия жалоб пациента на головную боль, атаксию, головокружение, а также недостаточного эффекта от шунтирования, проведено микрохирургическое удаление объемного образования мозжечка путем парамедианной субокципитальной правосторонней краниотомии. Операция выполнена под постоянным нейрофизиологическим контролем, благодаря чему стала возможна тотальная резекция образования в пределах интактной мозговой ткани. По результатам гистологического и иммуногистохимического исследований диагностирована диспластическая ганглиоцитома мозжечка (болезнь Лермитта–Дюкло) I степени злокачественности. В послеоперационном периоде общемозговая симптоматика полностью регрессировала, сохранился вестибулоатаксический синдром. Пациент выписан в удовлетворительном состоянии. За 7 мес наблюдения отрицательной динамики не наблюдалось.
Заключение. Из-за редкости болезни Лермитта–Дюкло единые подходы к ее лечению на данный момент не разработаны, однако при симптомном течении имеются показания к хирургическому удалению ганглиоцитомы. При этом радикальность резекции должна быть соотнесена с риском появления неврологических нарушений. В нашем случае хирургическая тактика лечения позволила улучшить состояние больного, предотвратить дальнейшее прогрессирование болезни и поставить точный гистологический диагноз.
Ключевые слова
Об авторах
630087 Новосибирск, ул. Немировича-Данченко, 132 / 1
630087 Новосибирск, ул. Немировича-Данченко, 132 / 1
Список литературы
1. Rainov N., Holzhausen H., Burkert W. Dysplastic gangliocytoma of the cerebellum (Lhermitte–Duclos disease). Clin Neurol Neurosurg 1995;97(2):175–80. DOI: 10.1016/0303-8467(95)00017-E.
2. Nowak D.A., Trost H.A. Lhermitte– Duclоs disеase (dysplastic cerebellar gangliocytoma): a malformation, hamartoma or neoplasm. Acta Neurologica Scandinavica 2002;105(3):137–45. DOI: 10.1034/j.1600-0404.2002.1r127.
4. Nieuwenhuis M., Kets C., Murphy-Ryan M. et al. Cancer risk and genotype-phenotype correlations in PTEN hamartoma tumor syndrome. Fam Cancer 2014;13(1):57–63. DOI: 10.1007/s10689-013-9674-3.
5. Lhermitte J., Duclos P. Sur un ganglio-neurome diffus du cortex du cervelet. Bull Assoc Franç Etude Cancer 1920;9:99–107.
7. Padberg G.W., Schot D.L., Vielvoye G.J. et al. Lhermitte–Duclos disease and Cowden disease: a single phakomatosis. Ann Neurol 1991;29(5):517–23. DOI: 10.1002/ana.410290511.
8. Murray C., Shipman P., Khangure M. et al. Lhermitte–Duclоs disease associated with Cowden’s syndrome: case report and literature review. Australas Radiol 2001;45(3):343–6. DOI: 10.1046/j.1440-1673.2001.00933.x.
10. Takei H., Dauser R., Su J. et al. Anaplastic ganglioglioma arising from a Lhermitte– Duclos like lesion. J Neurosurg 2007;107(2):137–42. DOI: 10.3171/ped-07/08/137.
11. Murata J., Tada M., Sawamura Y. et al. Dysplastic gangliocytoma (Lhermitte– Duclos disease) associated with Cowden disease: report of a case and review of the literature for the genetic relationship between the two diseases. J Neurooncol 1999;41(2):129–36. DOI: 10.1023/a:1006167421100.
12. Robinson S., Cohen A. Cowden disease and Lhermitte–Duclos disease: an update. Case report and review of the literature. Neurosurg Focus 2006;20(1):E6. DOI: 10.3171/foc.2006.20.1.7.
13. Di Cristofano A., Pesce B., Cordon-Cardo C., Pandolfi P.P. PTEN is essential for embryonic development and tumor suppression. Nat Genet 1998;19(4):348–55. DOI: 10.1038/1235.
14. Saito H., Ogasawara K., Beppu T. et al. Biological characteristics of a cerebellar mass regrowing after removal in a patient with Lhermitte–Duclos disease: emission tomography studies. Case Rep Neurol 2014;6(1):96–100. DOI: 10.1159/000362118.
15. Roessmann U., Wongmongkolrit T. Dysplastic gangliocytoma of cerebellum in a newborn. Case report. J Neurosurg 1984;60(4):845–7. DOI: 10.3171/jns.1984.60.4.0845.
16. Pritchett P.S., King T.I. Dysplastic gangliocytoma of the cerebellum – an ultrastructural study. Acta Neuropathol 1978;42(1):1–5. DOI: 10.1007/bf01273258.
17. Cessaga E.C. Lhermitte–Duclos disease (diffuse hypertrophy of the cere bellum). Report of two cases. Neurosurg Rev 1980;3(2):151–8. DOI: 10.1007/bf01644067.
18. Maran O.R., Johnson P.C., Spetzler R.F. Recurrent Lhermitte–Duclos disease in a child. Case report. J Neurosurg 1988;69(4):599–603. DOI: 10.3171/jns.1988.69.4.0599.
20. Wolansky L.J., Malantic G.P., Hear Y.R. et al. Preoperative MRI diagnosis of Lhermitte–Duclos disease: case report with associated enlarged vessels and syrinx. Surg Neurol 1996;45(5):470–5. DOI: 10.1016/0090-3019(95)00244-8.
22. Reznik M., Schoenen J. Lhermitte– Duclos disease. Acta Neuropathol 1983;59(2):88–94. DOI: 10.1007/bf00691592.
23. Prestor В. Dysplastic gangliocytoma of the cerebellum (Lhermitte–Duclos disease). J Clin Neurosci 2006;13(8):877–81. DOI: 10.1016/j.jocn.2005.07.018.
24. Golden N., Tjokorda M.G., Sri M. et al. Management of unusual dysplastic gangliocytoma of the cerebellum (Lhermitte–Duclos disease) in a developing country: case report and review of the literature. Asian J Neurosurg 2016;11(2):170. DOI: 10.4103/1793-5482.145091.
25. Yağci-Küpeli B., Oguz K.K., Bilen A. et al. An unusual cause of posterior fossa mass: Lhermitte–Duclos disease. J Neurol Sci 2010;290(1–2):138–41. DOI: 10.1016/j.jns.2009.12.010.
Лермитта—Дюкло болезнь
Болезнь Лермитта—Дюкло, также известная как диспластическая ганглиоцитома мозжечка, это редкая "опухоль" мозжечка, которая возможно относится к гамартомам, хотя точный патогенез заболевания остается неизвестным [2, 6]. По классификации ВОЗ относится к I категории [1, 2-6].
Эпидемиология
Болезнь Лермитта—Дюкло обычно встречается у молодых людей, хотя описаны случаи заболевания во всех возрастных группах [3, 6]. Интересным моментом является отличие генетического типа у детей и у взрослых.
У взрослых заболевание сочетается с PTEN мутациями, ведущими к манифестации в виде болезни Коудена, и в таком случае заболевание именуется COLD синдром (Cowden-Lhermitte-Duclos синдром) [7].
У детей PTEN мутации отсутствуют [6].
Клиническая картина
Небольшие поражения могут протекать бессимптомно или с относительно стертой клиникой. Крупные размеры образования как правило сочетаются с повышением внутричерепного давления, обструктивной гидроцефалией и, в меньшей степени, дисфункцией мозжечка [3].
Патология
Макроскопически
Диспластическая ганглиоцитома мозжечка как правило проявляется единичной односторонней дискретрой областью гипертрофии мозжечка [6].
Микроскопически
Нарущение нормальной цитоархетиктоники мозжечка в виде утолщения наружного молекулярного слоя, утраты среднего слоя клеток Пуркинье и инфильтрация внутреннего гранулярного слоя, в сочетании с диспластическими изменениями ганглионарных клеток имеющих различные размеры [6].
Иммунофенотип
синаптофизин: положительная экспрессия
утрата экспрессии PTEN белка (Cowden синдром/COLD синдром)
Диагностика
Заболевание характеризуется формированием атипичной ткани в коре мозжечка, как правило поражается одна гемисфера, иногда распространяется на червь, редко распространяющется на контрлатеральную гемисферу [1].
Компьютерная томография
- может проявлятся в виде неспецифического образования пониженной плотности
- иногда втречаются кальцинаты [2, 5]
Магнитно-резонансная томография
Утолщение "листовидной структуры" мозжечка с исчерченым/тигровым паттерном.
- T1: гипоинтенсивный МР сигнал [2]
- T2: гиперинтенсивный сигнал за счет кортикальной исчерченности [1]
- DWI:
- сигнал соответствует сигналу от неизмененной коры
- может встречаться гиперинтенсивность за счет T2 просвечивания
- повышение интенсивности сигнала после введения парамагнетиков встречается редко
- если присутствует повышение сигнала - то поверхностно, возможно за счет сосудистой пролиферации [4]
- повышение пика лактата [1,2]
- незначительное снижение пика N-ацетил-аспартата (до 10%) [1,2]
- снижение пика мио-инозитола(до 30-80%)
- снижение пика холина (до 20-50%)
- снижение соотношения холин/креатинин [2]
PET/SPECT
FDG-PET: повышенное поглощение
Tl-201 SPECT: повышенное поглощение
История и этимология
Впервые патолгия была диагностирована в 1920 г. врачами Lhermitte и Duclos. В последующие годы данное заболевание описывали Bielschowsky и Simons, Christensen, Duncan и Snodgrass, Ambler, Padber. Каждый из авторов называл эту болезнь по-разному: диффузная ганглиоцитома мозжечка, пуркинома, гамартома, диспластическая ганглиоцитома, диффузная ганглионеврома и гипертрофия зернистого слоя мозжечка. Всего в литературе описано приблизительно 220 случаев болезни Лермитта—Дюкло [9].
Дифференциальный диагноз
Картина при визуализации является довольно характерной что значительно сужает дифференциально-диагностический ряд.
При остром сепсисе или резком ухудшении клинической картины на фоне предыдущего благополучия, может рассматриваться церебеллит или подострый инфаркт мозжечка.
Картина может напоминать распространенную узловую медуллобластому (молекулярная подгруппа SHH molecular).
Литература
Barkovich AJ. Pediatric neuroimaging. Lippincott Williams & Wilkins. (2005) ISBN:0781757665.
Klisch J, Juengling F, Spreer J, Koch D, Thiel T, Büchert M, Arnold S, Feuerhake F, Schumacher M. Lhermitte-Duclos disease: assessment with MR imaging, positron emission tomography, single-photon emission CT, and MR spectroscopy. (2001) AJNR. American journal of neuroradiology. 22 (5): 824-30. Pubmed
Kulkantrakorn K, Awwad EE, Levy B, Selhorst JB, Cole HO, Leake D, Gussler JR, Epstein AD, Malik MM. MRI in Lhermitte-Duclos disease. (1997) Neurology. 48 (3): 725-31. Pubmed
Awwad EE, Levy E, Martin DS, Merenda GO. Atypical MR appearance of Lhermitte-Duclos disease with contrast enhancement. (1995) AJNR. American journal of neuroradiology. 16 (8): 1719-20. Pubmed
MRH Bayat, J Sarawan "CT and MRI findings in L'hermitte Duclos disease" SA Journal of Radiology - February 2005
Louis DN, Ohgaki H, Wiestler OD, Cavenee WK, Burger PC, Jouvet A, Scheithauer BW, Kleihues P. The 2007 WHO classification of tumours of the central nervous system. (2007) Acta neuropathologica. 114 (2): 97-109. doi:10.1007/s00401-007-0243-4 - Pubmed
Paolo Tortori-Donati, Andrea Rossi. Pediatric Neuroradiology. ISBN: 9783540263982
Болезнь Лермитта-Дюкло на МРТ
НИИ нейрохирургии им. акад. Н.Н. Бурденко РАМН, Москва
ФГБУ "НИИ нейрохирургии им. акад. Н.Н. Бурденко" РАМН, Москва
ФГБНУ «НИИ нейрохирургии им. акад. Н.Н. Бурденко», Москва, Россия
ФГАУ «Научный медицинский исследовательский центр им. академика Н.Н. Бурденко» Минздрава России, Москва, Россия
Успешное лечение болезни Лермитта-Дюкло
Журнал: Журнал «Вопросы нейрохирургии» имени Н.Н. Бурденко. 2015;79(4): 78‑83
НИИ нейрохирургии им. акад. Н.Н. Бурденко РАМН, Москва
Болезнь Лермитта-Дюкло является редким генетическим заболеванием с аутосомно-доминантным типом наследования, характеризующимся возникновением гамартомы мозжечка. Заболевание чаще всего проявляется в период полового созревания или на 3-4-м десятилетии жизни. В медицинской литературе описаны примерно 220 случаев этой болезни. Результат. Проведено успешное двухэтапное хирургическое лечение болезни Лермитта-Дюкло у молодой женщины. Заключение. Представленное редкое наблюдение знакомит практикующих врачей с клиническими проявлениями и рентгенологической картиной заболевания, что поможет своевременно диагностировать данную патологию и выбирать правильную тактику лечения.
НИИ нейрохирургии им. акад. Н.Н. Бурденко РАМН, Москва
ФГБУ "НИИ нейрохирургии им. акад. Н.Н. Бурденко" РАМН, Москва
ФГБНУ «НИИ нейрохирургии им. акад. Н.Н. Бурденко», Москва, Россия
ФГАУ «Научный медицинский исследовательский центр им. академика Н.Н. Бурденко» Минздрава России, Москва, Россия
Болезнь Lhermitte—Duclos (Лермитта—Дюкло), иначе известная как диспластическая ганглиоцитома мозжечка, впервые была диагностирована в 1920 г. врачами Lhermitte и Duclos. В последующие годы данное заболевание описывали многие ученые: в 1930 г. – Bielschowsky и Simons, в 1937 г. – Christensen, в 1943 г. — Duncan и Snodgrass, в 1969 г. — Ambler, в 1991 г. — Padber. Каждый из авторов называл эту болезнь по-разному: диффузная ганглиоцитома мозжечка, пуркинома, гамартома, диспластическая ганглиоцитома, диффузная ганглионеврома и гипертрофия зернистого слоя мозжечка. Всего в литературе описано приблизительно 220 случаев болезни Лермитта—Дюкло [1].
В 1920 г. Lhermitte и Duclos описали случай заболевания у 36-летнего мужчины, у которого начальные симптомы появились в 10-месячном возрасте в виде снижения слуха слева и болей в затылке. Перед госпитализацией пациент испытывал пароксизмальное головокружение с повторяющимися падениями, а при обследовании определялись мозжечковая атаксия, дизартрия, нистагм, нервно-психические расстройства с дезориентацией и нарушением памяти. Через 1 нед после госпитализации состояние пациента ухудшилось. Операция ему не проводилась, уровень сознания пациента постепенно снизился до комы, и он скончался.
Lhermitte и Duclos, рассматривая природу заболевания, высказали предположение, что обнаруженное при аутопсии патологическое образование в задней черепной ямке — комбинация врожденного порока развития и опухоли, развившейся из ганглиозных клеток [1, 2].
В 1937 г. Christensen представил данные о первом успешном хирургическом вмешательстве при диспластической ганглиоцитоме правого полушария мозжечка. Операция была проведена 34-летнему мужчине, страдающему этим заболеванием с шестилетнего возраста. У него наблюдались подъемы артериального давления, головная боль в области затылка и височных областях, тошнота, рвота на пике головной боли. Иногда эти приступы приводили к потере сознания. При госпитализации были обнаружены: двусторонний отек диска зрительного нерва, недостаточность тройничного нерва слева и паралич лицевого нерва справа. При вентрикулографии было выявлено смещение четвертого желудочка и водопровода влево. При операции в правом полушарии мозжечка найдено образование вязкой консистенции без четких контуров, напоминающее глиому. Образование было удалено, а пациент выписан без жалоб. Через 18 мес после операции он вернулся к работе. Последующее течение заболевания прослежено не было [3].
В настоящее время доказано, что болезнь Лермитта—Дюкло — это гамартома, а не опухоль [4]. Дифференциальная диагностика гамартом и неоплазм базируется на сохранении расположения пластинчатых структур мозжечка при врожденных пороках развития. Для болезни Лермитта—Дюкло не характерны кистозные образования, которые обычно ассоциированы с опухолями. Заболевание наследуется по аутосомно-доминантному типу и возникает вследствие мутации гена PTEN (phosphate and tensin homolog) в хромосоме 10q23.31. Приблизительно 90% больных с диспластической ганглиоцитомой мозжечка имеют мутацию в данном гене или его промоторах. Ген PTEN впервые был обнаружен как опухолевый супрессор в глиоме. Его соматические мутации исследователи ассоциировали с глиобластомой, меланомой, эндометриальным и простатическим раком. Ген кодирует липидную фосфатазу для фосфатидилинозитол-3-киназы, подавляет формирование серин/треонинкиназы, изменяет путь фосфатидилинозитол-3-киназы и таким образом усиливает апоптоз [5—7]. Однако, несмотря на большое количество проведенных исследований, точная этиология и патогенез болезни Лермитта—Дюкло сих пор остаются неизвестными [8, 9].
Заболевание может распознаваться уже в раннем возрасте, когда появляются первые клинические признаки прогрессирующего процесса в задней черепной ямке. Длительность проявления симптомов болезни колеблется от нескольких месяцев до многих лет. При диспластической ганглиоцитоме мозжечка наибольшее скопление патологических клеток образуется, как правило, к 3–4-му десятилетию жизни, что и выражается в особенностях динамики клинической симптоматики [10]. Недостаточность черепных нервов, мозжечковая атаксия, клинические проявления внутричерепной гипертензии чаще всего являются результатом острой либо хронической гидроцефалии.
В практике имеются случаи бессимптомного течения болезни. В 1969 г. Ambler описал первый семейный случай диспластической ганглиоцитомы мозжечка, наблюдаемый у 32-летнего мужчины, который умер от данного заболевания. Смерть его матери не была связана с болезнью Лермитта—Дюкло. Однако в результате проведенных исследований было установлено, что она являлась носителем бессимптомного течения болезни, которая заявляла о себе только макроцефалией. У некоторых членов ее семьи также имела место большая окружность головы — все они, как подчеркивал автор, были бессимптомными носителями опухоли. Как одна из дополнительных аномалий при болезни Лермитта—Дюкло, макроцефалия встречается примерно в 50% случаев [2].
Некоторые авторы описывают это заболевание в сочетании с Cowden-болезнью, называемой «множественным гамартомным синдромом». Cowden-болезнь — редкий аутосомно-доминантный семейный синдром с высокой степенью пенетрантности и значительным риском развития рака молочной железы. Клинически болезнь характеризуется множественными гамартомами. Рак молочной железы развивается приблизительно в 30—50%, а рак щитовидной железы — в 10% случаев. В 1996 г. Nelen обнаружил ген Cowden-болезни в хромосоме 10q22−23, что частично совпадает с PTEN-локусом. Представленный мощный опухолевый ген-супрессор был назван PTEN/MMAC1. В настоящее время доказано, что опухолевые поражения при Cowden-болезни возникают в основном как результат вертикально передаваемых мутаций данного гена [11, 12].
С болезнью Лермитта—Дюкло в различной степени ассоциированы пороки развития и ряд других поражений. Так, например, часто встречаются макроцефалия, гидроцефалия, сирингомиелия и скелетные аномалии (полидактилия, синдактилия, асимметрия костей лицевого скелета). Реже встречаются такие образования, как липомы, нейрофибромы, гемангиомы, папулезные высыпания на языке. Иногда болезни Лермитта—Дюкло сопутствуют поражения щитовидной железы, молочной железы, органов мочеполовой системы, гастроинтестинальные расстройства.
Основными методами инструментальной диагностики болезни Лермитта—Дюкло являются магнитно-резонансная томография (МРТ) и компьютерная томография (КТ) головного мозга [13—17].
Представляем клинический пример заболевания и его лечения.
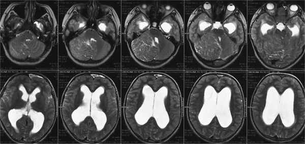
В НИИ нейрохирургии поступила больная С., 17 лет. За несколько месяцев до госпитализации стала отмечать шаткость при ходьбе, периодическую головную боль. В неврологическом статусе выявлялась окклюзионная, общемозговая, а также выраженная мозжечковая симптоматика. Из анамнеза известно, что в 2002 г. была произведена струмэктомия по поводу опухоли щитовидной железы, в связи с чем принимала L-тироксин. С 2006 г. наблюдалась по поводу макроцефалии. При проведении МРТ головного мозга выявлены объемное образование правой гемисферы мозжечка и окклюзионная гидроцефалия с признаками перивентрикулярного отека (рис. 1). По результатам КТ в сосудистом режиме сделано предположение о наличии артериовенозной мальформации правой гемисферы мозжечка (рис. 2). Для уточнения диагноза проведена церебральная ангиография, в ходе которой диагноз артериовенозной мальформации не подтвердился (рис. 3).
Рис. 1. МРТ в режиме Т2. Гиперплазия правого полушария мозжечка. Окклюзионная гидроцефалия. Рис. 2. СКТ-ангиография. Определяется расширенная окципитальная вена, которая ошибочно была принята за артериовенозную мальформацию. Рис. 3. Правосторонняя вертебральная ангиография. Боковая (а) и прямая (б) проекция. Отмечается некоторое смещение вверх и медиально от начального отрезка правой задней мозговой артерии, смещение за среднюю линию правой задней нижней мозжечковой артерии. Каудальная петля ее опущена в позвоночный канал. Широкое расположение полушарных ветвей правой верхней мозжечковой артерии.
В НИИ нейрохирургии пациентке была выполнена повторная МРТ, подтвердившая ранее выявленную патологию (рис. 4).
![]()
Рис. 4. На МРТ головного мозга в режиме Т2 в аксиальной проекции — «пестрый» рисунок правого полушария мозжечка с увеличением его размеров. IV желудочек смещен влево, сужен. III и боковые желудочки расширены.
При ретроспективном анализе снимков, выполненных в 2006 г. по поводу макроцефалии, в правой гемисфере мозжечка установлено объемное образование небольшого размера, практически не отличающееся от вещества мозжечка (рис. 5).
![]()
Рис. 5. МРТ головного мозга в аксиальной проекции, режим Т2 (2006 г.).
Таким образом, можно было сделать вывод, что значительное увеличение ганглиоцитомы произошло в пубертатный период. По поводу клинических и рентгенологических признаков окклюзионной гидроцефалии с перивентрикулярным отеком больной произведено вентрикулоперитонеальное шунтирование. После разрешения гидроцефалии у пациентки сохранялось опущение миндаликов мозжечка в большое затылочное отверстие (рис. 6, 7), в связи с чем была выполнена декомпрессия краниовертебрального перехода и биопсия образования мозжечка (рис. 8).
Рис. 6. КТ головного мозга после ликворошунтирующей операции. Рис. 7. МРТ после ликворошунтирующей операции. Определяется ганглиоцитома правого полушария мозжечка с вклинением правой миндалины в большое затылочное отверстие, компрессией и смещением прилежащих анатомических структур. Рис. 8. УЗ-изображение ганглиоцитомы при проведении биопсии. Определяется гиперэхогенное образование с нечеткими контурами.
В дальнейшем проведено генетическое и морфологическое исследование, которое подтвердило наличие мутации гена PTEN в хромосоме 10q23.31, что верифицировало болезнь Лермитта—Дюкло и исключило другие синдромы.
При микроскопии ганглиоцитомы выявляется резкое расширение внутреннего зернистого слоя мозжечка, в котором в изобилии содержатся крупные нейроны с пузырьковидными ядрами. Эти нейроны значительно превышают по размерам нормальные клетки, однако они несколько меньше, чем клетки Пуркинье. Нейроны ганглиоцитомы не делятся, однако размеры новообразования могут увеличиваться медленными темпами за счет роста и миелинизации отростков нейронов (рис. 9) [5, 18, 19].
![]()
Рис. 9. Ганглиоцитома — гистологическое исследование. а — скопления атипических гипертрофированных ганглиозных клеток (указаны стрелками). Окраска гематоксилином и эозином, ув. 400; б — иммуногистохимическая экспрессия синаптофизина в цитоплазме и отростках опухолевых клеток, ув. 400; в — низкий ИМ Ki-67: единичные метки в ядрах опухолевых клеток (указана стрелкой), ув. 400.
За время наблюдения у больной отмечался полный регресс мозжечковой атаксии и общемозговой симптоматики. В настоящее время в связи с риском поражения молочных желез и мочеполовой системы, пациентка наблюдается у эндокринолога, генетика, гинеколога и терапевта. Общий период наблюдения составил 5 лет. На протяжении этого времени увеличения объема ганглиоцитомы не отмечено. Больная социально адаптирована.
Выводы
Болезнь Лермитта—Дюкло достаточно редкое заболевание с медленным нарастанием симптомов. Проявляется в основном в период полового созревания или на 3—4-м десятилетии жизни. Возрастной диапазон может варьировать от раннего детства до глубокой старости. Выявление клинической симптоматики и генетический анализ на ранних стадиях заболевания позволяют своевременно провести хирургическое вмешательство для улучшения качества и срока жизни пациента.
При выборе хирургического вмешательства необходимо детально анализировать клинические и нейрорадиологические данные. Отсутствие четкой границы между патологическим образованием и здоровой тканью мозжечка составляет большую техническую проблему для выполнения резекции гамартомы. Данный аспект подтверждается гистопатологическими исследованиями, при которых выявляется отсутствие переходного поля между нормальной и патологической кортикальной тканью [7]. Внешне в отличие от нормальной ткани мозжечка патологическое образование имеет бледный цвет и, как правило, находится не на поверхности мозжечка, а в его глубинных участках [20, 21]. В связи с этим не всегда следует прибегать к радикальным операциям, так как существует высокая вероятность инвалидизации больного.
Комментарий
В комментируемой статье представлен случай успешного лечения редкого, генетически детерминированного заболевания мозжечка — болезни Лермитта—Дюкло. Несмотря на то что впервые эта болезнь была диагностирована в 1920 г., до настоящего времени в литературе описано примерно 220 случаев этого заболевания (которое является, по всей вероятности, дисгенетической мальформацией нейронов мозжечка). Описанный авторами случай привлекает полнотой обследования пациента с использованием комплекса современных нейрорадиологичеких методов, а также генетического анализа, который выявил типичную для этой патологии конституциональную мутацию гена PTEN.
Авторы, применяя такие современные технологии, как нейронавигация, произвели поэтапное хирургическое лечение данной патологии. Первым этапом было проведено вентрикулоперитонеальное шунтирование для разрешения гидроцефалии, а вторым этапом — декомпрессия краниовертебрального перехода с пластикой твердой мозговой оболочки аутоимплантом и биопсия новообразования. Период наблюдения пациентки после операции составил 5 лет. У пациентки наблюдался регресс окклюзионной, мозжечковой, общемозговой симптоматики. Продолженного роста ганглиоцитомы за период наблюдения диагностировано не было. Пациентка социально адаптирована, работоспособна, что является важным фактором, так как развитие заболевания в основном приходится на период полового созревания или на 3—4-м десятилетии жизни. Представленная публикация будет полезна широкому кругу специалистов: нейрохирургам, неврологам, эндокринологам, терапевтам, урологам.
Болезнь Лермитта-Дюкло на МРТ
Диагностика болезни Лермитта-Дюкло на МРТ, КТ
а) Терминология:
1. Синонимы:
• Болезнь Лермитта-Дюкло (БЛД):
о Диспластическая ганглиоцитома мозжечка, диспластическая ганглиоцитома, гамартома мозжечка О Гамартобластома, мозжечково-паренхимтозное расстройство, зернистая гипертрофия клеток, грануломолекулярная гипертрофия
о Диффузная ганглионейрома коры мозжечка, диффузная гипертрофия мозжечка, нейроцитная бластома, миелинизированная нейроцитома, пуркингиома
• Синдром множественной гамартомы (МГАМ):
о Синдром множественной гамартомы-неоплазии, болезнь Коудена, синдром Коудена (СК), синдром Коудена-Лермитта-Дюкло (СКЛД)2. Определение:
• Болезнь Лермитта-Дюкло → неврологическое проявление МГАМ:
о Доброкачественное поражение мозжечка неясного характера - неоплазия, порок развития или гамартома
о Ассоциация БЛД и МГАМ возможно является проявлением нового нервно-кожного синдрома
• Синдром множественных гамартом:
о Аутосомно-доминантное, вариабельная экспрессия, как правило мутация в гене PTEN
о Гамартоматозные новообразования кожи (90-100%), слизистых оболочек, ЖКТ, костей, ЦНС, глаз и мочеполового тракта
о Патология связана с увеличением частоты злокачественных новообразованийб) Визуализация:
1. Общие характеристики:
• Лучший диагностический критерий:
о Значительное утолщение листков мозжечка, имеющих полосатую («тигровую») гириформную конфигурацию
• Локализация:
о Только в мозжечке, обычно односторонний характер
о Часто вовлекается червь мозжечка, редко ствол мозга
• Размеры:
о Размеры варьируют, может быть крупным → масс-эффект, дислокация миндалин, гидроцефалия
• Морфология:
о Инфильтративный характер, но имеет четкую границу2. КТ при болезни Лермитта-Дюкло (БЛД):
• Бесконтрастная КТ:
о КТ-плотность от нормальной до высокой, полосатая структура - Случайно обнаруживаемые кистозные участки и/или участки кальцификации
о Возможно сдавливание IV желудочка, являющееся причиной обструктивной гидроцефалии
• КТ с контрастированием:
о ±контрастирование очага![Болезнь Лермитта-Дюкло на МРТ]()
(а) МРТ, Т1 -ВИ, аксиальный срез: у женщины 5 7 лет с головными болями в правом полушарии и черве мозжечка определяется умеренно гипоинтенсивное объемное образование.
(б) МРТ, Т2-ВИ:утойже пациентки определяются гиперинтенсивность образования и его полосатая гириформная конфигурация.5. Рекомендации по визуализации:
• Лучший инструмент визуализации:
о МРТ с получением ДВИ, МР-спектроскопия и МРТ с контрастированием
• Советы по протоколу исследования:
о Могут быть полезны корональные Т2-ВИ
о При БЛД начните диагностику МГАМ и проведите скрининговое обследование на злокачественные опухоли
о При контрастировании образования необходимо внимательное проведение дифференциальной диагностики(а) MPT, FLAIR, аксиальный срез: у той же пациентки образование имеет гиперинтенсивный сигнал (по сравнению с нормальным левым полушарием мозжечка). Сигнал от нескольких кист внутри образования, содержащих жидкость, полностью подавлен.
(б) МРТ, Т2-ВИ, корональный срез: у образования определяется полосатая «тигровая» структура. Листки пораженного полушария мозжечка расширены по сравнению с нормальным левым полушарием. (а) МРТ, постконтрастное Т1-ВИ: у той же пациентки отмечается отсутствие контрастирования образования, но видны точечные и линейные зоны контрастирования, представляющие собой крупные сосуды.
(б) МРТ, постконтрастное Т1-ВИ в режиме подавления сигнала от жира: определяется контрастирование сосудов без контрастирования самого образования. До операции был поставлен диагноз «новообразование мозжечка». Это случай диспластической ганглиоцитомы мозжечка (БЛД), подтвержденной при биопсии. При дальнейшем исследовании пациентки была обнаружена болезнь Коудена, что обусловливает необходимость активного онкологического поиска.в) Дифференциальная диагностика:
1. Инфаркт мозжечка в подострой стадии:
• Масс-эффект, ↓ сигнала на ДВИ, соответствующее бассейну кровоснабжения
2. Церебиллит/васкулит:
• Острая симптоматика
3. Неклассифицированная дисплазия мозжечка:
• Не прогрессирует, редко гидроцефалия
4. Ганглиоглиома:
• Может иметь необычный внешний вид, имитирующий БЛД
5. Туберозно-склерозный комплекс:
• Диспластические поражения мозжечка, редко похожи на новообразования; наличие других признаков туберозно-склерозного комплекса
6. Медуллобластома:
• Латеральный десмопластический тип может внешне иметь схожую полосатость структуры
• ↑ сигнал на ДВИ, но в большинстве случаев отмечается ↑ Cho/NAA
7. Менингеальные метастазы:
• Узловой характер контрастирования мягкой и паутинной мозговых оболочек
8. Менингеальный гранулематоз:
• Узловой характер контрастирования мягкой и паутинной мозговых оболочекг) Патология:
1. Общие характеристики болезни Лермитта-Дюкло (БЛД):
• Этиология:
о Этиология неясна-предполагается гамартоматозный, неопластический или врожденный мальформативный генез:
- Отсутствие пролиферации/малигнизации предполагает гамартомную природу
• Генетика:
о Многие имеют мутации гена PTEN в локусе 10q23.31 (ген-супрессор опухолевого роста)
о Активация сигнального пути PTEN/AKT/mTOR предполагает роль mTOR в патогенезе заболевания
• Ассоциированные аномалии:
о Большинство пациентов с БЛД вероятно имеют МГАМ2. Стадирование и классификация:
• Степень злокачественности I по классификации ВОЗ (grade I)3. Макроскопические и хирургические особенности:
• Значительное увеличение размеров полушария/червя мозжечка:
о Расширение, утолщение листков мозжечка, их выраженная гириформная конфигурация4. Микроскопия:
• Расширение молекулярного клеточного слоя → его заполнение аномальными ганглионарными клетками
• Отсутствие слоя клеток Пуркинье
• Гипертрофия слоя гранулярных клеток
• ↓ объема белого вещества
• Гистологически схожа с опухолью ганглионарными клетокд) Клиническая картина болезни Лермитта-Дюкло (БЛД):
1. Проявления:
• Наиболее частые признаки/симптомы:
о Головная боль, тошнота и рвота, отек сосочкового слоя дермы, неустойчивая походка, атаксия верхних конечностей, дисметрия, снижение остроты зрения, паралич нижней группы черепных нервов
• Другие признаки/симптомы:
о Сенсомоторная недостаточность, головокружение, нейропсихологические расстройства
• Клинический профиль
о При БЛД-скрининговое обследование на МГАМ; при МГАМ-скрининговое обследование на БЛД2. Демография:
• Возраст:
о Любой; чаще всего в промежутке 20-40 лет
• Пол:
о М = Ж
• Этническая принадлежность:
о Неизвестна
• Эпидемиология:
о ↑ степени пенетрантности у родственников3. Течение и прогноз:
• В большинстве случаев наблюдается отсутствие роста либо медленный рост
• Сохранение масс-эффекта: неблагоприятный прогноз
• Послеоперационные рецидивы возникают, но редко4. Лечение:
• Варианты лечения, риски, осложнения
о Границы поражения сливаются с нормальной окружающей тканью мозжечка → сложность тотальной резекции
о У пациентов с симптомами гидроцефалии применяется шунтирование или хирургическая циторедукцияе) Диагностическая памятка:
1. Обратите внимание:
• При диагностировании болезни Лермитта-Дюкло (БЛД) стоит искать другие признаки МГАМ и наоборот
• Необходим длительный диагностический контроль злокачественных образований, особенно ЗНО груди у женщин, ЗНО щитовидной железы у мужчин и женщин)
2. Советы по интерпретации изображений:
• Объемное образование мозжечка со сравнительно четкими контурами с полосатой/«вельветовой»/«тигровой»/гириформной конфигурациейБолезнь Лермитт-Дуклос
Болезнь Лермитт-Дуклос – генетическая патология, приводящая к развитию медленно растущей опухоли мозжечка, которая может появиться в любом возрасте больного. Основными проявлениями заболевания, помимо симптомов поражения мозжечка, являются также гидро- и мегалоцефалия, пороки развития скелета и гиперплазия десен. Диагностика производится на основании изучения головного мозга (КТ, МРТ), неврологических симптомов, а также генетических исследований. Специфического лечения болезни Лермитт-Дуклос не существует, однако своевременно проведенное хирургическое удаление опухоли может значительно продлить жизнь больного.
![Болезнь Лермитт-Дуклос]()
Общие сведения
![Болезнь Лермитт-Дуклос]()
Причины болезни Лермитт-Дуклос
Непосредственной причиной болезни Лермитт-Дуклос является мутация гена PTEN, расположенного на 10-й хромосоме – он кодирует фермент фосфатазу, субстратом которого могут выступать как белки, так и липиды. Последние содержат фосфаты в инозитольном кольце, которые и отщепляются фосфатазой. При этом блокируется так называемый PI3K/AKT/mTOR-путь передачи информации в клетке, позволяющий, в некоторых случаях, обходить процесс апоптоза. По этой причине PTEN выступает одним из ключевых антионкогенов, а его мутации вызывают заболевания, характеризующиеся развитием опухолей и гамартом в организме. Одной из патологий такого плана является и болезнь Лермитт-Дуклос. Современная генетика знает еще несколько синдромов, связанных с нарушением структуры этого гена, и все они сопровождаются теми или иными новообразованиями, что подтверждает антионкогенную роль PTEN. Мутация, являющаяся причиной заболевания, наследуется по аутосомно-доминантному механизму, возможно также герминальное повреждение гена PTEN, возникающее в половых клетках в процессе их образования. Однако патогенез развития опухоли мозжечка при болезни Лермитт-Дуклос на сегодняшний день остается неизвестным.
Симптомы болезни Лермитт-Дуклос
Проявления заболевания могут возникнуть в любом возрасте, в истории описаны случаи обнаружения симптомов болезни Лермитт-Дуклос как в раннем детстве, так и у пожилых пациентов. Однако наиболее часто характерные признаки ганглиоцитомы мозжечка врачи-неврологи выявляют в подростковом возрасте или же на третьем десятилетии жизни пациента. Косвенными признаками патологии являются врожденные аномалии развития – гидроцефалия, мегалоцефалия, скелетные аномалии кистей (поли- и синдактилия). Возможна скелетная асимметрия лица, появление высыпаний на языке и гиперплазии десен. По мере развития опухоли присоединяются симптомы повышения внутричерепного давления и нарушения циркуляции ликвора – головные боли, усиливающиеся по утрам, тошнота и рвота, обмороки.
При отсутствии лечения к вышеуказанным проявлениям болезни Лермитт-Дуклос присоединяются симптомы поражения мозжечка и черепно-мозговых нервов – мозжечковая атаксия и параличи. Часто наблюдаются нарушения речи (дизартрия), слуха, возникает нистагм, снижение памяти и дезориентация. Больные впоследствии впадают в коматозное состояние и, не приходя в сознание, умирают. При этом возможно и бессимптомное течение болезни Лермитт-Дуклос, которое может проявляться лишь незначительными врожденными пороками развития. Диспластическая ганглиоцитома мозжечка у таких больных выявляется случайно на проведенных по другому поводу МРТ и КТ или же при вскрытии. Некоторые исследователи полагают, что в данном случае идет речь не о бессимптомной, а о медленно прогрессирующей форме болезни Лермитт-Дуклос, и она все равно приведет к характерной клинической картине в будущем.
Диагностика и лечение болезни Лермитт-Дуклос
Диагностика болезни Лермитт-Дуклос производится посредством выявления характерных образований в мозжечке при помощи компьютерной и магнито-резонансной томографии. На КТ головного мозга при этом выявляется объемное гиперденсивное образование с размытыми и нечеткими краями, которое может быть расположено как на поверхности, так и в глубине мозжечка. МРТ головного мозга лучше всего производить с внутривенным контрастированием, поскольку именно такой метод позволит наилучшим образом изучить структуру и сосудистую сеть новообразования. При отсутствии технической возможности проведения данных исследований можно сделать рентгеновскую вентрикулографию – как правило, она показывает уменьшение или смещение четвертого желудочка и водопровода. Однако при незначительном размере ганглиоцитомы таких изменений может и не быть, поэтому вентрикулография не считается основным методом диагностики болезни Лермитт-Дуклос.
Кроме того, по возможности (например, при поверхностном относительно мозжечка расположении опухоли) выполняют биопсию образования с последующим гистологическим изучением. Подобные исследования последних лет выявили, что ганглиоцитома мозжечка при болезни Лермитт-Дуклос представляет собой гамартому. В ее структуре наблюдается расширение молекулярного слоя и заполнение его ганглиозными клетками. Врачи-генетики также производят секвенирование последовательности гена PTEN, которое выявляет наличие или отсутствие в нем мутаций. Исследование наследственного анамнеза тоже может помочь в диагностике болезни Лермитт-Дуклос – при этом стоит обращать внимание на косвенные признаки заболевания, учитывая возможность бессимптомного течения. К ним относятся наличие у ближайших родственников поли- и синдактилии, мегалоцефалии, гиперплазии десен.
Специфического лечения болезни Лермитт-Дуклос на сегодняшний день не существует, но больным нередко производится паллиативное хирургическое вмешательство с целью удаления ганглиоцитомы мозжечка. Это является сложной в техническом плане операцией, так как между нормальными тканями и гамартомой отсутствует четкая граница и переходный слой. Кроме того, в некоторых случаях опухоль может располагаться в глубине мозжечка, что делает ее недоступной для полного удаления. Однако даже частичная резекция ганглиоцитомы может значительно облегчить состояние больного и продлить время его жизни на несколько лет. Другие методы борьбы с опухолями (например, радиационная терапия) при болезни Лермитт-Дуклос чаще всего оказываются неэффективными.
Прогноз и профилактика болезни Лермитт-Дуклос
Прогноз при болезни Лермитт-Дуклос чаще всего неопределенный, так как зависит от ряда обстоятельств – выраженности сопутствующих пороков развития, скорости прогрессирования ганглиоцитомы, ее расположения в мозжечке. Все эти факторы очень вариабельны, что и приводит к таким различиям в клинической картине и длительности заболевания – от бессимптомного течения до летального исхода в детском возрасте. Полное удаление опухоли мозжечка при болезни Лермитт-Дуклос, особенно если операция была проведена в 30-40 лет, часто имеет благоприятные перспективы – новое образование попросту не успевает развиваться снова до конца жизни. В тех случаях, когда полноценная операция технически невозможна, частичная резекция может продлить жизнь больного.
Читайте также:




