Бронхоэктаз
Добавил пользователь Владимир З. Обновлено: 23.11.2025
Бронхоэктазы — необратимое расширение ветвей бронхиального дерева, обусловленное деструкцией (разрушением) стенок бронхов и/или нарушением тонуса мышечного слоя стенки бронха вследствие воспаления, склероза, дистрофии, гипоплазии.
Бронхоэктатическая болезнь (бронхоэктазии) — гнойно-воспалительный процесс в резко расширенных деформированных бронхах с инфильтративными и склеротическими изменениями в околобронхиальном пространстве, ведущий к дальнейшему необратимому расширению бронхов с нарушением их дренажной функции, развитию ателектазов, эмфиземы, цирроза паренхимы (ткани) лёгкого.
Причины возникновения бронхоэктазии:
- Постинфекционные (инфекции нижних дыхательных путей у детей, абсцедирующие пневмонии у взрослых, туберкулёз; аденовирусная инфекция, коклюш, корь и др.).
- Обструктивные (инородное тело, опухоли, внешняя компрессия дыхательных путей).
- Ингаляционные повреждения (вдыхание токсинов, раздражающих газов, паров, дыма, включая термические повреждения).
- Аспирационные (гастроэзофагеальный рефлюкс, аспирационные пневмонии, санационные процедуры).
- Генетически детерминированные (муковисцидоз, синдром цилиарной дискинезии, синдром Юинга).
- Врождённые аномалии — дисплазии.
- Первичные иммунные расстройства (гуморальные дефекты, клеточные или смешанные расстройства, дисфункция нейтрофилов).
- Дефицит или аномалии о-антитрипсина.
- Хронические диффузные заболевания лёгких (идиопатический лёгочный фиброз, коллагенозы, саркоидоз).
- Идиопатические воспалительные расстройства (анкилозирующий спондилоартрит, воспалительные заболевания кишечника, рецидивирующий полихондрит).

Бронхоэктазы бывают первичными и вторичными. Повреждение бронхов возникает у лиц с генетическими дефектами или предрасположенностью к патологии. К первичным относят бронхоэктазы при врождённых аномалиях и генетических заболеваниях лёгких. Вторичные могут быть обусловлены любыми причинами, вызывающими повреждения лёгких. Подразделяются по клиническому течению (ремиссия или фаза обострения), по распространённости (поражение сегментов легкого, доли, целого лёгкого, двусторонний процесс), по форме - цилиндрические, веретенообразные, мешотчатые, кистоподобные, смешанные. Среди других заболеваний лёгких бронхоэктазы составляют от 10 до 30%. При флюорографии органов грудной клетки их выявляют у 1-2 из 1000 человек. Бронхоэктазии у 2/3 больных выявляются в возрасте до 20 лет.
Клиническая картина

Болезнь носит хронический характер с периодическими обострениями и возможным развитием осложнений. У 82,6% больных бронхоэктазы локализуются в одном лёгком (в правом в 23,7%, в левом — в 58,9% случаев). Наиболее часто поражается нижняя доля (в 45,9% справа и в 58% слева). При двусторонней локализации чаще всего поражаются нижние доли (41,8%). Проявления болезни зависят от фазы заболевания — ремиссии или обострения. Главный симптом — кашель с отделением мокроты. В период ремиссии кашель с мокротой имеет постоянный или периодический характер, обычно по утрам с выделением слизисто-гнойной мокроты. В период обострения количество мокроты увеличивается. Частота кровохарканья колеблется от 10 до 30%. Лёгочные кровотечения отмечают у 10% больных. В период обострения появляются жалобы на боль. Болевой синдром встречается в двух вариантах. При первом боль носит «плевральный» характер (в конкретном месте с усилением во время глубокого вдоха), при втором — не имеет чёткой локализации, а ощущается в виде чувства сдавления, распирания, затруднённого дыхания. Нередко повышается температура тела. В период ремиссии – субфебрильная эпизодического характера. В период обострения - длительная лихорадка в сочетании со слабостью, потливостью, иногда ознобами. Беспокоит одышка.
Осложнения:
- кровохарканье и лёгочное кровотечение (у 19,3% больных),
- спонтанный пневмоторакс (0,7%),
- абсцедирование (1,8%),
- эмпиема плевры и пиопневмоторакс (0,4%),
- сепсис,
- аспирация, эрозивный гастродуоденит, язва желудка и двенадцатиперстной кишки, желудочно-кишечные кровотечения и др.
Диагностика
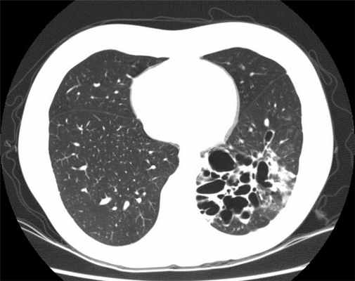
В окончательной постановке диагноза важнейшее значение имеют лучевые методы диагностики. При рентгенографии выявляются тяжистость, ячеистость, кистовидные изменения лёгочного рисунка, уменьшение объёмов отдельных зон лёгкого, эмфизематозность (воздушность) в смежных участках лёгкого. В настоящее время основным диагностическим исследованием является компьютерная томография (КТ, МСКТ). Это связано с большой информативностью метода при неинвазивном и безопасном характере его применения.
Лечение
Основными факторами, влияющими на выбор лечения, являются распространённость процесса, его активность и осложнения.
Бронхоэктазы
Что такое бронхоэктазы?
Бронхоэктазы – это хроническое состояние легких. При наличии бронхоэктазов, диаметр просвета дыхательных путей человека (трубок, соединяющих дыхательное горло с нижними отделами легких) превышает норму. Это приводит к накоплению слизи (мокроты) и повышает риск развития инфекционных заболеваний.
Что приводит к возникновению бронхоэктазов?
К бронхоэктазам могут приводить разные причины. В некоторых случаях они могут быть вызваны тяжелыми инфекционными заболеваниями, такими как пневмония или коклюш у детей. В этом случае их называют постинфекционными бронхоэктазами. К другим состояниям, которые часто вызывают бронхоэктазы или могут стать их причиной, относятся:
- тяжелая астма, осложненная аллергической реакцией на грибок под названием Aspergillus – так называемый аллергический бронхолегочный аспергиллез (АБЛА);
- состояния, при которых иммунная система атакует организм, например, ревматоидный артрит или язвенный колит;
- обструкция или закупорка дыхательных путей после вдыхания чего-либо;
- первичная цилиарная дискинезия (ПЦД) – генетическое, хроническое заболевание, с которым рождаются некоторые люди, при котором происходит нарушение нормального развития легких;
- хроническая обструктивная болезнь легких (ХОБЛ) – хроническое состояние, которое вызывает воспаление в легких, повреждение ткани легких и сужение дыхательных путей, затрудняя тем самым дыхание;
- дефицит альфа-1-антитрипсина – генетически обусловленное состояние, которое может вызвать проблемы, связанные с легкими и печенью;
- туберкулез (ТБ) или нетуберкулезные микобактериальные (НТМ) инфекции – это инфекции, которые часто поражают легкие и вызываются группой бактерий, называемых микобактерии.
Ваш врач задаст вам несколько вопросов и может выполнить некоторые исследования для определения причины наличия бронхоэктазов. Часто она не устанавливается (и такие случаи называются идиопатические бронхоэктазы). Это не значит, что причина отсутствует, она просто не известна. Основное лечение бронхоэктазов обычно одинаково и не зависит от того, чем они были вызваны. И все таки, некоторые причины требуют дополнительного лечения определенного типа.
Как проводится диагностика бронхоэктазов?
К наиболее распространенным симптомам бронхоэктазов относится кашель, от которого очень сложно избавиться, отхождение слизи, одышка и развитие большого количества инфекционных заболеваний легких.
Эти симптомы характерны для других, более распространенных заболеваний легких, таких как ХОБЛ или астма, поэтому большинство людей сначала проверяются на их наличие. Тем не менее, одновременно может присутствовать два или даже все три из таких условий.
Если ваш врач считает, что у вас бронхоэктазы, то будут проводиться дополнительные исследования.
Первые исследования, которые выполняются наиболее часто
- Рентгенография грудной клетки: обычно, бронхоэктазы не видны при рентгенографии, но она может помочь исключить другие состояния.
- Спирометрия: это тест для оценки функции дыхания, который включает в себя сильный и быстрый полный выдох воздуха из легких в аппарат. При нем не проводится диагностика бронхоэктазов, но это один из способов узнать не повреждены ли легкие.
- Образцы мокроты: ваш врач или медсестра могут попросить вас собрать немного мокроты в емкость для лабораторного анализа. При этом могут быть выявлены бактерии в легких, чтобы подобрать лучший антибиотик для лечения инфекционного заболевания легких, если таковое имеется.
- Анализ крови: поможет проверить общее состояние вашего здоровья.
- КТ (компьютерная томография): это исследование необходимо для диагностики бронхоэктазов. При этом ваше тело подвергается рентгеновскому облучению под разными углами с последующим компьютерным составлением изображения с высокой точностью.
- Анализы для оценки иммунной системы: ваш врач может организовать проведение анализов крови для проверки работы вашей иммунной системы и возможных причин бронхоэктазов, таких как недостаточное количество антител, которые борются с инфекцией, или тяжелые формы аллергии.
- Оценка функции дыхания: спирометрия (см. выше) может выполняться наряду с другими, более детализированными исследованиями для оценки функции легких.
Какие симптомы проявляются при наличии бронхоэктазов?
Каждый переносит это состояние по-разному, поэтому не возможно описать типичные симптомы, характерные для бронхоэктазов. Тем не менее, появятся некоторые или все из ниже перечисленных симптомов:
- Кашель, который часто сопровождается отхождением слизи (мокроты). Количество мокроты может очень отличаться, также как и ее цвет (который может быть белым, желтым, зеленым, темно-зеленым или коричневым).
- Одышка, вызванная снижением функции поврежденных дыхательных путей. Во многих случаях одышка не является проблемой, но иногда люди могут отмечать, что они задыхаются при ходьбе в гору или подъеме вверх по лестнице. В тяжелых случаях у людей с бронхоэктазами может появляться одышка во время менее интенсивных физических упражнений.
- Ощущение нехватки сил – организм затрачивает большое количество энергии на борьбу с инфекциями, а также на кашель и дыхание. Это состояние может усугубляться, если люди испытывают трудности со сном из-за других симптомов.
- Дискомфорт в грудной клетке – может проявляться в виде боли, стеснения или ощущения «распирания».
- Инфекционные заболевания легких, также называемые обострениями, – это состояния, когда легко можно заразиться инфекцией, которая скорее поражает легкие. Другие симптомы во время инфекции могут ухудшиться.
При правильном лечении и контроле у большинства людей с бронхоэктазами сохраняется нормальная продолжительность жизни. Смертность среди людей с бронхоэктазами чаще обусловлена другими заболеваниями, которые могут развиться у любого человека (например, заболеваниями сердца или онкологическими заболеваниями), чем непосредственно бронхоэктазами.
Как оценить тяжесть состояния?
Бронхоэктазы относятся к числу сложных состояний, и нет отдельного исследования или признака того, что помогло бы оценить, является ли ваш случай легким, умеренным или тяжелым. Но если ваше состояние находится под контролем, у вас будет мало симптомов, и вы сможете вести нормальный образ жизни. Бронхоэктазы будут считаться более тяжелыми, если симптомы начинают влиять на повседневную активность.
К факторам, связанным с более тяжелыми формами бронхоэктатической болезни, относятся:

- одышка: отсутствие способности проходить пешком 100 метров без остановки;
- инфекционные заболевания легких: три раза или чаще за год;
- регулярное выявление бактериального роста в образцах слизи (мокроты): это говорит о том, что в ваших легких присутствует постоянная инфекция, особенно, если регулярно обнаруживается бактерия под названием Pseudomonas;
- если результаты КТ показали, что поражены оба легких или несколько частей, а не маленький участок легкого;
- случаи госпитализации: если вам приходилось ложиться в больницу с тяжелыми инфекционными заболеваниями легких или из-за необходимости инъекций антибиотиков;
- потеря веса: если у вас присутствует бронхоэктаитческая болезнь, то вы теряете вес;
- исследования функции легких: наличие более низких значений такого показателя как
«жизненная емкость легких»; - возрастные изменения: размер легких уменьшается естественным образом, и работа иммунной системы с возрастом становиться менее эффективной, это может оказать влияние на симптомы и тяжесть состояния при наличии бронхоэктазов.
Эти данные являются ориентировочными – у некоторых людей может присутствовать несколько этих факторов, и они будут продолжать вести обычный образ жизни; в то время как у других может и не быть ни одного из перечисленных факторов, но у них будут проявляться другие важные симптомы, которые будут влиять на их самочувствие. Многие из этих факторов могут измениться в лучшую сторону при эффективном лечении.
Люди с тяжелой формой бронхоэктатической болезни подвержены риску сокращения продолжительности жизни, поэтому они должны делать все возможное, чтобы сохранить здоровье своих легких.
Как проводится лечение бронхоэктазов?
Лечение людей с бронхоэктазами преследует несколько целей:
- предотвращение развития инфекций дыхательных путей (их обострений), во время которых симптомы усугубляются;
- лечение симптомов;
- улучшение качества жизни;
- прекращение ухудшения состояния.
При хорошем лечении люди с бронхоэктазами могут находиться в стабильном состоянии в течение многих лет и держать под контролем свои симптомы.
Ниже приведены некоторые из наиболее часто используемых методов лечения бронхоэктатической болезни, в том числе рекомендованные врачам в рамках Европейского руководства по бронхоэктатической болезни (European bronchiectasis guidelines). Не все из этих методов доступны или используются во всех странах Европы. Если у вас возникли вопросы по поводу этих методов лечения, пожалуйста, обсудите их со своим врачом.
- Ингаляторы: некоторые ингаляторы содержат лекарство, которое открывает дыхательные пути, помогая тем самым дышать и сокращая воспалительный процесс в легких.
- Таблетки: некоторые лекарства в виде таблеток также могут сокращать воспалительный процесс. К ним относятся антибиотики группы макролидов, которые сокращают воспаление, а также лечат инфекцию.
- Прививки: ежегодные прививки против гриппа и пневмококковой инфекции (которая защищает против наиболее распространенных бактерий, вызывающих пневмонию) важны для снижения риска заражения.
- Антибиотики: любые инфекции дыхательных путей следует быстро лечить антибиотиками, принимая их в виде таблеток, через маску (ингалятора) или в виде инъекций.
- Профилактический прием антибиотиков (в некоторых случаях): если вы часто болеете инфекционными заболеваниями дыхательных путей или у вас проявляются очень тяжелые симптомы, вам может быть назначен длительный прием антибиотиков для подавления бактерий в легких.
- Дозы при этом ниже, чем те, которые назначаются для лечения инфекции, часто они принимаются в течение 1 года, а иногда и дольше. Они не будут оказывать действие сразу и для полного эффекта их необходимо принимать регулярно. Эти лекарства могут взаимодействовать с другими таблетками, поэтому важно предупреждать других врачей о том, что вы регулярно принимаете антибиотики перед тем, как они назначат вам другие лекарства.
- Избавление от бактерий, таких как Pseudomonas: Pseudomonas aeruginosa или Pseudomonas представляет собой бактерии, которые могут стать причиной инфекционного заболевания у людей с бронхоэктазами. Если вы заразились инфекцией, вызванной бактерией Pseudomonas, ваш врач может порекомендовать вам курс антибиотикотерапии для лечения или контроля, или прием другого антибиотика, если вы в будущем заболеете инфекционным заболеванием дыхательных путей.
Люди, в организме которых присутствует бактерия Pseudomonas, иногда могут иметь большее количество инфекций дыхательных путей и осложнений из-за ее устойчивости к антибиотикам, что иногда может приводить к повреждению легких. Согласно рекомендациям Руководств для врачей, люди, являющиеся носителями бактерии Pseudomonas, должны обследоваться более регулярно.
Лечение повреждения легких
- Физиотерапия и упражнения для очищения дыхательных путей могут облегчить отхождение мокроты (для ознакомления с рекомендациями и просмотра видеоматериалов посетите веб-сайт «Приоритеты пациентов с бронхоэктазами»)
- Облегчить отхождение мокроты может прием лекарств (муколитические препараты). Для максимальной эффективности они должны сочетаться с регулярными физиотерапевтическими упражнениями.
- Ингаляционные бронхолитики расслабляют мышцы дыхательных путей.
- Регулярное выполнение упражнений способствует выведению мокроты и улучшает работу легких.
Другим важным обстоятельством является отказ от курения и лечение основной причины бронхоэктазов, если она была обнаружена.
Другие виды лечения
Кислородная терапия
Если у вас наблюдается низкий уровень кислорода, то может потребоваться процедура вдыхания кислорода через трубку или маску. Это может быть кратковременно (напри- мер, когда вы находитесь в больнице с инфекционным заболеванием дыхательных путей, до тех пор, пока уровень не нормализуется) или длительно, если легкое повреж- дено и больше не может усваивать достаточное количество кислорода.
Дополнительный кислород также может потребоваться во время полета. Перед путеше- ствием обсудите этот вопрос со своим врачом.
Хирургические вмешательства
В большинстве случаев бронхоэктазы являются хорошо контролируемыми и ведутся без хирургических вмешательств. Иногда хирургическое вмешательство может быть целе- сообразным, если бронхоэктазы поражают только маленькую часть легкого и путем его удаления может наступить выздоровление, или если участок легкого поврежден очень сильно и приводит к возникновению большого числа инфекционных заболеваний.
Легочная реабилитация
Вам может быть предложена легочная реабилитация как способ улучшения вашей фи- зической силы и сокращения влияния симптомов на вашу жизнь.
Легочная реабилитация представляет собой тип лечения, целью которого является сниже- ние физического и эмоционального влияния, которое заболевание легких может оказы- вать на жизнь человека. Это персонализированная программа, которая объединяет в себе упражнения с обучением наиболее эффективным способам поддержки своего здоровья.
Помощь в отказе от курения
Курение не приводит к развитию бронхоэктазов, но может значительно ухудшить состо- яние и симптомы.
Существуют варианты оказания помощи тем, кто решил бросить курить, и альтернати- вы по облегчению отказа от привычки. Обсудите со своим врачом варианты помощи и поддержки.
Оказание самопомощи
Больше советов по самопомощи вы можете найти на веб-сай- те
Приоритеты пациентов с бронхоэктазами.
Лечение бронхоэктатической болезни
Бронхоэктазии — необратимые морфологические изменения (расширение, деформация) и функциональная неполноценность бронхов, приводящие к хроническому нагноительному заболеванию легких. Весь комплекс легочных и внелегочных изменений при наличии бронхоэктазов называют бронхоэктатической болезнью.
Бронхоэктазы врожденные и приобретенные

Врожденные бронхоэктазы встречаются сравнительно редко и развиваются в связи с нарушениями формирования бронхиального дерева. Гистологический признак врожденных бронхоэктазов — беспорядочное расположение в их стенке структурных элементов бронха.
Основной этиологический фактор приобретенных бронхоэктазов — генетически определенная неполноценность бронхиального дерева (недоразвитие элементов бронхиальной стенки), которая в сочетании с нарушением бронхиальной проходимости и появлением воспаления приводит к стойкой деформации бронхов.
Формированию бронхоэктазов в значительной степени способствует коклюш, ОРЗ, корь, бронхиты, пневмонии, абсцессы легких, туберкулез, инородные тела в трахеобронхиальном дереве.
Основные жалобы: кашель с большим количеством гнойной мокроты, кровохарканье, боли в груди, одышка, лихорадка, потливость, снижение массы тела и работоспособности. Количество и характер мокроты зависят от степени поражения бронхов. В ней могут быть примеси крови и гноя, неприятный запах.
Заболевание характеризуется обострениями и ремиссиями. Во время обострений повышается температура, появляется одышка, хрипы в груди, посинение губ. На фоне долгого течения пальцы больного приобретают характерную форму барабанных палочек, а ногти — часового стекла. Постепенно общее состояние пациента ухудшается.
Бронхоэктатическая болезнь часто осложняется легочным кровотечением, абсцедированием, развитием пневмофиброза и эмфиземы легких, «легочным сердцем», амилоидозом.
Современная тактика лечения
При бронхоэктазе назначают современные антибиотики класса макролидов, чтобы подавить патогенную микрофлору, и β2-агонисты для устранения рефлекторных спазмов мелких бронхов. Также эффективны муколитики, разжижающие слизь и облегчающие ее откашливание. Чтобы купировать воспаление, при лечении бронхоэктаза показаны гормональные средства. Для активизации собственных защитных сил организма в терапевтическую схему включают иммуностимуляторы.
Ключевая процедура консервативного лечения бронхоэктаза — санация бронхиального древа (очистка просвета бронхов от гнойной мокроты с последующим введением антибиотиков). При признаках кислородной недостаточности назначают кислородотерапию. Больному также назначают комплекс упражнений, способствующих эвакуации бронхиальной мокроты, и вибрационный массаж грудной клетки. Для общего укрепления организма показаны:
- высококалорийный рацион — 3000 ккал в сутки;
- диетотерапия — функциональное питание, богатое нутриентами;
- витаминотерапия.
Учитывая необратимость процесса, а, следовательно, бесперспективность консервативной терапии, единственным радикальным методом лечения бронхоэктатической болезни следует считать хирургический, объем которого зависит от распространения бронхоэктазов.
Реабилитация, профилактика, возможные риски
Важная составляющая комплексной реабилитации при бронхоэктатической болезни — коррекция образа жизни. Пациенту необходимо гулять на свежем воздухе, бросить курить и избегать пассивного курения, придерживаться сбалансированного рациона, заниматься физкультурой, регулярно делать дыхательные упражнения.
Важно находиться на диспансерном учете у пульмонолога, с назначенной врачом частотой посещать профилактические приемы, при необходимости проходить курсы физиотерапии. Комплексная профилактика предусматривает своевременную терапию респираторных заболеваний и закаливание.
Без адекватного лечения бронхоэктатической болезни развиваются хронические бронхиты, легочная и сердечная недостаточность, легочное сердце, бронхиальная астма. У пациентов снижается работоспособность и ухудшается качество жизни. Крайне важно своевременно обратиться к врачу, чтобы добиться длительной устойчивой ремиссии.
Что такое бронхоэктазы?
Одной из составляющей респираторной системы человека являются бронхи. Это воздухоносные трубочки с относительно ровной внутренней поверхностью, по которым проходит воздух. Они являются составной частью легких.
В результате различных заболеваний могут возникать деформации бронхов различной формы. Называются эти деформации - бронхоэктазы.

Бронхоэктазы – это стойкие необратимые расширения бронхов, причиной которых является изменение стенок бронхов
Причины развития бронхоэктазов
Выделяют две основные группы причин развития бронхоэктазов:
- врожденные — наличие у новорожденного изменений в легких в результате нарушения формирования бронхов плода, дефиците альфа 1-антитрипсина и муковисцедозе.
- приобретенные — возникающие у детей или взрослых, вследствие перенесенных бронхолегочных заболеваний.
Что такое бронхоэктатическая болезнь
Бронхоэктазы могут быть выявлены случайно и не проявляться никакими жалобами. Если в ходе дальнейшено обследования пульмонолог не выявляет признаков воспалительного процесса, то в этом случае бронхонхоэктазы не требуют лечения. Рекомендуется только специальный комплекс дыхательной гимнастики и профилактические прививки.
Если же в бронхоэктазах скапливается воспалительный секрет, вокруг бронхов в легочной ткани постоянно существует воспаление, формируются рубцы, то такое состояние называется бронхоэктатическая болезнь. Это заболевание склонно к постоянному прогрессированию, то есть распространению изменений в бронхах и легочной ткани, с образованием новых бронхоэктазов. Бронхоэктатическая болезнь всегда требует профилактического лечения или лечения в период обострения у пульмонолога.
Приобретенные бронхоэктазы
Попробую объяснить механизм формирования деформации бронхов (бронхоэктазов) если они появляются в легочной ткани уже после рождения. Мы с Вами уже говорили, что изменения формы и просвета бронхов при этой болезни носят стойкий, необратимый характер. Чаще всего механизм развития бронхоэктазов следующий:. сначала развивается повреждение стенки бронха (в основном, вследствие тяжелой или вяло текущей инфекции или токсического повреждения). Затем его просвет может расшириться из-за «давления» на стенку бронха изнутри скопившейся в его просвете мокроты или сформировавшиеся на фоне воспаления грубые рубцовые изменения легочной ткани могут «растянуть» бронхи и привести к изменению их формы.
Проявления бронхоэктатической болезни
Симптомы, которые могут помочь заподозрить бронхоэктазы:
- Кашель с обильной гнойной мокротой. Если бронхоэктазы расположены преимущественно с одной стороны, мокрота может лучше отходить при определенном положении тела (например, на правом или левом боку).
- Кровь в мокроте встречается в 20-25% случаев.
- Одышка развивается чаще всего при обострении заболевания или большой распространенности процесса в легких.
- Повторные пневмонии , чаще всего с одной и той же локализацией. Это очень характерный и частый признак бронхоэктатической болезни, ведь в деформированных расширенных бронхах постоянно скапливается слизь и при присоединении любой инфекции развивается воспаление в легочной ткани.
- Кашель с отделением большого количества гнойной или слизисто-гнойной мокроты
- Повторные пневмонии , чаще всего с одной и той же локализацией
Диагностика бронхоэктатической болезни
Достоверный диагноз бронхоэктатической болезни или бронхоэктазов ставится только после проведения компьютерной томографии органов грудной клетки в режиме высокого разрешения
Бронхоскопия (осмотр бронхов с помощью специальной аппаратуры) не относится к методам диагностики бронхоэктазов, но она может помочь выявить локализацию бронха - источника повышенного отделения слизисто-гнойного секрета и\или крови. При бронхоскопии также можно санировать поврежденные бронхи, вводя в них антимикробные растворы.
Бронхография (введение контрастного вещества в бронхи) в настоящий момент, как метод диагностики бронхоэктазов не проводится из-за большого количества побочных эффектом и недостаточной информативности.
Дополнительные исследования, которые необходимо провести после выявления бронхоэктазов
- Посев мокроты с определением чувствительности к антибиотикам
- Посев мокроты на Mycobactérium tuberculósis (туберкулезная палочка) и возбудители нетуберкулезного микобактериоза
- Функция внешнего дыхания с бронхорасширяющим тестом для выявления бронхоспазма и решения вопроса о необходимости назначения ингаляторов.
- При частых простудах и синуситах (воспаление придаточных пазух носа) , необходимо пройти иммунологическое обследование (определить уровни иммуноглобулинов A, M, G ) с целью выявить значительное снижение иммунитета.
- При обнаружении множественных бронхоэктазов или бронхоэктатической болезни в молодом возрасте необходимо пройти обследование для исключения муковисцедоза. При легком течении этого врожденного заболевания диагноз мог быть не поставлен в детском возрасте.
- Определение уровня альфа 1 антитрипсина в крови
- Определение антител к Aspergillus fumigatus классов иммуноглобулины E,G для исключения бронхолегочного аспергиллиза (грибковое поражение легких) и исследование крови на галлактаманан.
Вопрос о хирургическом лечении бронхоэктатической болезни принимает торокальный хирург совместно с пульмонологом
Немедикаментозное лечение бронхоэктатической болезни
Чем меньше будет скапливаться слизи в деформированных бронхах, тем меньше будет вероятность обострений и прогрессирования заболевания. Для этой цели разработана методика постурального дренажа Это - лечебная процедура, облегчающая отхождение бронхиального секрета и повышающая продуктивность кашля путем придания телу специальных дренажных положений. В этих положениях мокрота продвигается под действием силы тяжести по направлению к главным бронхам и трахее и при кашле удаляется из бронхов.
Методики постурального дренажа, дыхательной гимнастики и дыхательные тренажеры Вам может порекомендовать врач пульмонолог
Что такое бронхоэктазы
Бронхи - важная часть дыхательной системы человеческого организма, поскольку именно через них осуществляется поступление воздуха к легким. Две главных бронхиальных ветви образуют вместе с трахеей своеобразное дерево, и каждая его "веточка" занимается транспортировкой кислорода к отдельному сегменту правой или левой доли органа дыхания. В идеале стенки бронхов, состоящие из волокнистой ткани, устойчивы к растяжению. Однако в силу ряда причин дыхательные пути могут патологически расширяться. Каждое такое расширение и есть бронхоэктаз.
Часто эктаз отдельных дыхательных путей имеет место без последствий для здоровья. Он возникает по врожденным или приобретенным причинам и не снижает качества жизни. Такой пациент стоит на учете у пульмонолога, регулярно делает дыхательную гимнастику, следит за питанием. Но то, что стенки некоторых бронхов имеют необратимые расширения, на его самочувствии не сказывается.
Однако развитие бронхоэктазов часто сопровождается явлениями, усложняющими функционирование дыхательной системы. В этом случае речь идет уже об инфицированной бронхоэктазии, требующей незамедлительного лечения.
Бронхоэктатическая болезнь (БЭБ): симптомы и осложнения
Заболевание характеризуется наличием в бронхоэктазах воспалительного процесса. Оно опасно тем, что при медленном течении распознается не сразу. На момент ее диагностики количество эктазов бронхов может оказаться значительно увеличенным, а воспаление - охватывать достаточно большую область.
Прогрессирование БЭБ сопровождается проявлением следующих симптомов:
- постоянный кашель с гнойным отделяемым;
- утреннее отхаркивание мокроты в больших количествах (полным ртом), особенно при смене положения тела с лежачего на сидячее или стоячее;
- свист и хрипы при дыхании;
- одышка при физическом напряжении;
- субфебрильная (постоянно держащаяся в пределах до 37-38 о С) температура - яркий признак воспаления;
- постоянная усталость.
На поздних стадиях к этим признакам добавляется синюшный оттенок кожи, истощение, изменение формы концевой фаланги пальцев (симптом барабанных палочек) и ногтевой пластины (она начинает напоминать часовое стекло), деформация грудной клетки.
Если не лечить БЭБ, это приведет к серьезным осложнениям, затрагивающим не только легкие и бронхи, но и другие органы. Наиболее часто вследствие эктазов с воспалением возникают:
- кровохарканье;
- плеврит;
- повторные пневмонии, локализированные в одном и том же месте;
- патологическое увеличение правого сердечного желудочка (легочное сердце);
- амилоидоз почек.
Поэтому при появлении настораживающих сигналов нездоровья, связанных с органами дыхания, нужно обращаться к врачу.
Диагностика и лечение бронхоэктатической болезни
Поставить точный диагноз помогает компьютерная томография с высоким разрешением. Обычная флюорография нужной информации о характере, локализации и развитии БЭБ не даст. Кроме этого специалисты используют другие аппаратные и лабораторные методы, дающие подробные сведения о течении заболевания. Это:
- бронхоскопия;
- спирометрия;
- посевы мокроты на чувствительность к антибиотикам, на бактерии (в том числе туберкулезную палочку).
Больному с подозрением на бронхоэктатическую болезнь назначают и анализы и тесты, исключающие другие заболевания со сходными симптомами (муковисцидоз, нарушения работы иммунной системы, воспаление придаточных пазух носа и др.).
Лечение БЭБ может быть консервативным и хирургическим. В первом случае она лечится антибиотиками с привлечением муколитических и бронхолитических средств. Во втором - выполняется резекция пораженного сегмента легкого или эмболизация бронхиальной артерии, (которая, в отличие от удаления части органа дыхания, является малоинвазивной процедурой).
В лечении заболевания существенная роль принадлежит физиотерапии и ЛФК:
- ингаляциям;
- магнитотерапии;
- электрофорезу;
- массажу;
- дыхательной гимнастике.
Больному БЭБ следует также обращать внимание на свое питание. Оно должно быть полноценным, насыщенным витаминами и микроэлементами и включать щелочное питье и отвары трав с отхаркивающим эффектом.
Специалисты медицинского центра "Гармония" выполнят точную диагностику заболеваний дыхательной системы, в том числе бронхоэктатической болезни, и составят эффективную схему лечения с привлечением физиотерапевтических процедур. В клинике можно пройти и профилактический осмотр врачей-специалистов - терапевта и пульмонолога.
Читайте также:
