Церебральная ангиография при субарахноидальном кровоизлиянии. Эффективность
Добавил пользователь Валентин П. Обновлено: 29.01.2026
Человеческий мозг – сложная система взаимосвязанных и взаимозависимых элементов, обеспечивающих нормальное функционирование всего организма. Любой сбой в этой системе может привести к необратимым последствиям, особенно если это нарушение кровоснабжения какого-либо участка. Одно из самых опасных состояний, представляющих реальную угрозу жизни – субарахноидальное кровоизлияние. Об особенностях, причинах и методах лечения этой патологии вы узнаете из нашего материала.
Что это такое
Наш головной мозг надежно защищен от внешних воздействий несколькими оболочками помимо костей черепа: твердой мозговой, паутинной и мягкой мозговой. Кроме оболочек, структуры центральной нервной системы защищает цереброспинальная жидкость – ликвор.
Твердая мозговая оболочка – это толстый слой фиброзной ткани, на всем своем протяжении сращенный с внутренней поверхностью черепа. Паутинная оболочка – тонкий фиброзный слой, плотно прилегающий к твердой оболочке. Мягкая (сосудистая) оболочка также состоит из рыхлой соединительной ткани, пронизанной сосудами.
Между паутинной и мягкой оболочками находится заполненное ликвором пространство – подпаутинное (субарахноидальное). Именно в этом пространстве расположены магистральные артерии, кровоснабжающие головной мозг. При попадании крови в субарахноидальное пространство в результате травмы или разрыва аневризмы, развивается субарахноидальное кровоизлияние (САК).
САК – одна из разновидностей геморрагического инсульта с тяжелыми, а во многих случаях фатальными последствиями. Попадание крови в пространство, заполненное спинномозговой жидкостью, резко повышает внутричерепное давление и приводит к развитию отека и ишемии головного мозга. Следствием кровоизлияния может стать угнетение сознания, паралич и даже летальный исход.
По данным ВОЗ, частота САК среди всех видов мозговых кровоизлияний составляет от 14 до 20 случаев на 100 тыс. населения, причем данные об эпидемиологии сильно варьируются по странам. Больше всего случаев отмечается в Финляндии и Японии (22,5 на 100 тыс. населения), а меньше всего – в Китае (2 случая в год на 100 тыс.). В России по данным московского региона – 14 случаев на 100 тыс. В первые полгода смертность от САК достигает 60%, женщины подвержены данному виду острого нарушения мозгового кровообращения в 1,24 раза чаще, чем мужчины. Среди других видов инсульта доля САК не превышает 5%.
Причины
Причины САК разделяют на первичные и вторичные.
Первичные причины
На долю САК по первичным (нетравматическим) причинам приходится около 80% субарахноидальных кровоизлияний. К ним относятся:
- Аневризма сосудов головного мозга – самая частая причина САК. Мешотчатая аневризма крупных сосудов, снабжающих значительные по размеру зоны мозга, например, аневризма сонной или передней мозговой артерии, при разрыве мгновенно заполняет субарахноидальное пространство кровью. Такое кровоизлияние в 25% наблюдений заканчивается летальным исходом в первые 24 часа от начала заболевания.
- Сосудистые мальформации – плотный клубок расширенных кровеносных сосудов, образующийся на стадии эмбрионального развития. Патология связана с отсутствием капиллярной сети между венами и артериями на определенных участках кровеносной системы, из-за чего артериальная кровь попадает в вены, не отдавая питательные вещества и не выводя углекислый газ.
- Заболевания сосудов воспалительного характера или дистрофия их стенок, например, васкулит.
- Новообразования различной этиологии в головном мозге, инфекционное поражение головного или спинного мозга.
- Бесконтрольный прием препаратов для разжижения крови, гормональных контрацептивов и некоторых других лекарственных препаратов.
Вторичные причины
Основная вторичная причина субарахноидального кровоизлияния – черепно-мозговая травма. При ушибе головного мозга тяжелой степени или сдавлении головного мозга кровь разливается в субарахноидальное пространство из поврежденных сосудов. Такая патология иногда возникает у новорожденных при прохождении родовых путей при клинически узком тазе у матери.
Кровоизлияние также может стать следствием резкого повышения артериального давления, например, на фоне злоупотребления алкогольными напитками.
Факторы риска
Факторы риска САК также подразделяются на две группы: модифицируемые (изменяющиеся) и немодифицируемые (постоянные).
Модифицируемые факторы риска САК:
- курение – степень риска зависит от количества выкуриваемых сигарет, через некоторое время после того, как человек бросил курить, риск развития САК возвращается к обычному уровню;
- артериальная гипертензия – постоянно повышенное давление крови на стенки сосудов создает угрозу их целостности;
- хронический алкоголизм;
- наркотическая зависимость;
- длительное применение нестероидных противовоспалительных препаратов.
Немодифицируемые факторы риска:
- наличие подобной патологии у прямых близких родственников,
- астеничное (худощавое) телосложение, анемия, сниженная масса тела,
- некоторые генетические патологии, например, аутосомный доминантный поликистоз почек и ряд наследственных синдромов, например, Элерса-Данло – заболевание, связанное с дисфункцией соединительной ткани из-за нарушения процесса выработки коллагена.
Помимо этого, заболевание чаще встречается у женщин. А в целом, риск развития САК увеличивается с возрастом: чаще всего кровоизлияние происходит у людей 50-60 лет.
Классификация
Классификация САК необходима для определения степени тяжести состояния и выработки тактики проведения первоочередных терапевтических мероприятий. В настоящее время в клинической практике используется несколько классификаций.

Рисунок 2. Как выглядит субарахноидальное кровоизлияние на диагностическом снимке. Источник:Brazilian Journal of Psychiatry (Creative Commons Attribution Non-Commercial License)
По классификации Б.А. Самотокина и В. А. Хилько выделяется три степени тяжести состояния больного после кровоизлияния:
- I – у пациента полностью сохранено сознание, он жалуется на головную боль. При осмотре обнаруживаются оболочечные симптомы – светобоязнь, повышение температуры, желание лечь на бок и подтянуть колени к животу. Из очаговых симптомов кровоизлияния определяются лишь глазодвигательные – больной фиксирует взгляд в одну сторону.
- II – на этой стадии больной может находиться в сопоре (ступоре), появляются выраженные вегетативные нарушения вместе с очаговыми и оболочечными признаками инсульта.
- III – кома, из которой пациента крайне редко удается вывести.
В классификации Ханта и Хесса выделяется пять степеней тяжести самочувствия больного. От рассмотренной классификации она отличается тем, что первая стадия по их мнению протекает без симптомов или с небольшой головной болью, а вторая подразделяется на две дополнительных по степени проявления оболочечных симптомов.
В классификации Фишера вид кровоизлияния оценивается по данным компьютерной томографии, в ней выделяется четыре группы:
- I группа – КТ не показывает наличие кровив субарахноидальном пространстве,
- II – диффузное кровоизлияние или сгустки крови в субарахноидальном пространстве толщиной до 1 мм,
- III – сгустки крови в субарахноидальном пространстве толщиной более 1 мм,
- IV – сгустки крови в субарахноидальном пространстве в сочетании с внутрижелудочковым или внутримозговым кровоизлиянием.
Всемирная федерация нейрохирургов по субарахноидальному кровоизлиянию (WFNS) предлагает оценивать тяжесть состояния по пятибалльной шкале в зависимости от степени неврологического дефицита. Такая классификация помогает выработать правильную тактику лечения и адекватно определить прогноз.
Симптомы субарахноидального кровоизлияния
Основной симптом САК – внезапная резкая головная боль. До разрыва сосуда и кровоизлияния в субарахноидальное пространство человек может не подозревать о наличии у себя патологии, но после выхода крови состояние ухудшается с каждой минутой.

Источник: AndreyPopov / Depositphotos
Характер и выраженность симптомов зависит от характера кровоизлияния и его стадии.
Догеморрагический период
Около 10-15% больных чувствуют симптомы приближающегося САК в период от двух недель до одних суток до сосудистой катастрофы.
Для догеморрагического периода характерны следующие симптомы:
- периодические сильные головные боли,
- тошнота и головокружение,
- онемение конечностей,
- проблемы со зрением,
- расстройство речи и другие очаговые признаки.
При аневризме больших размеров симптоматика периода до САК может соответствовать клиническим признакам новообразования в головном мозге.
Острый период
В момент кровоизлияния обычно отмечают следующие клинические признаки:
- острая нестерпимая головная боль, достигающая пика примерно через 2 часа после разрыва сосуда,
- утрата сознания, нарушение сознания,
- генерализованные судороги,
- психические расстройтсва.
При внезапном возникновении хотя бы одного из указанных симптомов необходимо срочно вызвать скорую помощь. При любом кровоизлиянии в мозг прогноз восстановления зависит от сроков оказания экстренной специализированной помощи, поэтому первые часы от начала заболевания являются критическими.
При отсутствии медицинской помощи патологические явления нарастают: кровь постепенно смешивается со спинномозговой жидкостью, иногда вызывая усиление неврологических симптомов:
- приступы тошноты и рвоты,
- тахикардию,
- расширение зрачка на той стороне, где произошло кровоизлияние,
- явную асимметрию лица,
- частое мочеиспускание с потерей контроля над позывами,
- светобоязнь, потерю остроты зрения,
- внезапное отвердение мышц спины и шеи,
- значительное повышение температуры.
Длительная утрата сознания свидетельствует о выраженном внутричерепном кровоизлиянии.
Атипичные формы САК
Течение САК у трети больных идет по нестандартному сценарию, и кровоизлияние по симптомам часто напоминает другие патологии:
- Форма ложной мигрени. У больных появляется резкая сильная головная боль, как при приступе мигрени. Сознание при этом сохраняется ясным. Через 3-7 дней появляются симптомы кровоизлияния, при этом состояние пациента неуклонно ухудшается.
- Форма ложной гипертонии. По клиническим проявлениям САК напоминает гипертонический криз: сильная головная боль появляется на фоне значительного повышения артериального давления. Точный диагноз ставится после всестороннего обследования или после повторного инсульта.
- Ложновоспалительная форма по симптоматике схожа с менингитом. Для нее характерна сильная головная боль, менингеальные симптомы, повышение температуры до 37,5-380, редкий пульс, тошнота, нарушение дыхательного ритма.
- Форма ложного психоза. Больной дезориентирован в обстановке, перевозбужден, у него появляются бред и галлюцинации. Такая симптоматика характерна для разрыва аневризмы передней мозговой артерии.
Важно! Для правильной постановки диагноза и скорейшей помощи пациенту с САК необходимо срочно провести всестороннее обследование.
Осложнения САК
САК часто сопровождается осложнениями, значительно ухудшающими прогноз выживания и воссьтановления. Все осложнения делятся на три группы:
- внутричерепные, проявляющиеся устойчивой функциональной несостоятельностью, расстройствами психики и органическими нарушениями;
- не имеющие отношения к мозговой деятельности – дыхательная и сердечная недостаточность, нарушения в работе системы пищеварения, патология почек и мочевыделительной системы, тромбоэмболия легочной артерии;
- связанные с оказанием медицинской помощи.
Одним из наиболее грозных осложнений, сопутствующих САК и значительно ухудшающих исходы, является развитие вазоспазма церебральных сосудов с отсроченной ишемией головного мозга.
Диагностика
От своевременной и точной диагностики причины САК зависит жизнь пациента. Для постановки правильного диагноза необходимо в кратчайшие сроки провести комплекс диагностических мероприятий, включающий:
- МРТ головного мозга. Исследование позволяет визуализировать место кровоизлияния и точно определить его распространенность. В режиме реального времени врач получает изображение всех отделов головного мозга и оценивает масштаб поражения и вероятную локализацию источника кровоизлияния.
- Компьютерная томография помогает определить стадию САК, его выраженность и выявить наличие крови в желудочках мозга или веществе мозга.
- Люмбальная пункция. Цереброспинальную жидкость, полученную при люмбальной пункции, исследуют на наличие крови. Анализ целесообразно проводить через 12 часов после появления первых клинических признаков, поскольку раньше кровь не сможет попасть в спинальное субарахноидальное пространство.
- Церебральная ангиография сосудов головного мозга. Введение в сосуды контрастного вещества позволяет исключить или подтвердить наличие аневризмы, стеноз сосудов и другую патологии церебральных сосудов.
Кроме аппаратных методов исследования проводится первичный осмотр и сбор анамнеза, назначается анализ крови для определения критериев свертываемости и выявления возможного воспаления.
Лечение субарахноидального кровоизлияния
Терапевтическая тактика при САК определяется причиной и степенью тяжести кровоизлияния. Если причиной стал разрыв аневризмы, то показана экстренная операция в ранние сроки с учетом наличия возоспазма мозговых сосудов и ишемии головного мозга.
Первая помощь больному с подозрением на САК включает следующие мероприятия:
- введение анальгетиков и противорвотных препаратов,
- назначение слабительных средств и блокаторов H2-рецепторов,
- снижение риска тромбоза глубоких вен нижних конечностей,
- нормализацию артериального давления.
Дальнейшее лечение зависит от результатов комплексного обследования.

Рисунок 3. Пежимание вздувшегося участка сосуда. Источник: Barrow Neurological Institute / YouTube
Базисная и специфическая терапия
Основная цель первого этапа терапии – нормализовать функции сердечно-сосудистой и дыхательной систем и восстановить биохимические процессы.
Для нормализации состояния проводится симптоматическая терапия: назначаются противосудорожные, седативные средства и препараты для профилактики соматических осложнений.
Остановить кровотечение консервативными методами невозможно, но своевременное лечение способно минимизировать риск церебральной ишемии.
Хирургическое лечение
Оперативное вмешательство – основной метод лечения САК, но его эффективность зависит от времени и условий проведения операции. В ранние сроки после кровоизлияния возможно выключить из кровотока разорвавшуюся аневризму для профилактики повторных, опасных для жизни кровоизлияний. Во время операции из базальных цистерн удаляют сгустки крови для профилактики вазоспазма и ишемии головного мозга.
Прогноз и профилактика
Прогноз по субарахноидальному кровоизлиянию при отсутствии специфического обследования и лечения неблагоприятный. При аневризматических САК в первые сутки после кровоизлияния погибают 25% пациентов, в первый месяц после кровоизлияния - до 45%, в первые полгода после кровоизлияния - до 60% пациентов.
Для предотвращения САК необходимо соблюдать профилактические меры:
- следить за артериальным давлением и своевременно лечить гипертоническую болезнь,
- вести здоровый образ жизни: полностью отказаться от курения и свести к минимуму употребление любых алкогольных напитков,
- если у кого-то из близких родственников было кровоизлияние в мозг, необходимо регулярно проходить скрининг,
- следить за весом и правильно питаться: в рационе должны преобладать овощи, фрукты, нежирное мясо и продукты, богатые витаминами и клетчаткой,
- при обнаружении аневризмы необходимо строго соблюдать все врачебные рекомендации.
Заключение
Субарахноидальное кровоизлияние – смертельно опасная патология. Если вы знаете, что ваши близкие входят в группу риска по этому заболеванию, внимательно следите за состоянием их здоровья. Вызов скорой помощи при первых тревожных признаках патологии спасет вашему родному человеку жизнь и поможет сохранить привычное качество жизни.
Источники
2. Veldeman M., Höllig A., Clusmann H., Stevanovic A., Rossaint R., Coburn M. Delayed cerebral ischaemia prevention and treatment after aneurysmal subarachnoid haemorrhage: a systematic review. Br J Anaesth. 2016 ;117(1):17–40.
3. Long B., Koyfman A., Runyon MS. Subarachnoid Hemorrhage: Updates in Diagnosis and Management. //Emerg Med Clin North Am - 2017 - Vol.35 - №4 - p.803-824.
Ангиографическая диагностика церебрального вазоспазма при субарахноидальном кровоизлиянии
Сосудистый спазм, возникающий при субарахноидальном кровоизлиянии, является неблагоприятным фактором течения заболевания, а также обусловливает развитие вторичных ишемических осложнений головного мозга. Ранняя и адекватная диагностика вазоспазма позволяет прогнозировать тяжесть заболевания и выбрать наиболее рациональную тактику лечения. Цель: оценка диагностической эффективности селективной церебральной ангиографии у больных с сосудистым спазмом на фоне субарахноидального кровоизлияния Материал и методы. Обследовано 147 больных с субарахноидальным кровоизлиянием различной этиологии. Диагностический спектр исследования состоял из КТ головного мозга, электроэнцефалографии, транскраниальной допплерографии и тотальной селективной церебральной ангиографии. Результаты. Спазм сосудов головного мозга выявлен у 122 (82,9%) больных. Сосудистый спазм I типа диагностирован у 26 (21,3%) больных, II типа – у 34 (27,9%), III типа – у 40 (32,8%), IV типа – у 22 (18%). При сравнительном анализе данных ангиографии и транскраниальной допплерографии умеренному сосудистому спазму соответствовала линейная скорость кровотока (ЛСК) в средней мозговой артерии 120–150 см/с при полушарном индексе (ПИК) больше 4, что мы наблюдали у 52 (42,6%) больных. Выраженный сосудистый спазм – ЛСК 150–200 см/с при ПИК больше 5 наблюдался у 65 (53,3%) пациентов, критический сосудистый спазм с ЛСК более 200 см/с при ПИК больше 6 – у 5 (4,1%) пациентов. Выводы. Селективная ангиография сосудов головного мозга является высокоэффективным и относительно безопасным диагностическим методом исследования у больных с сосудистым спазмом. Ранняя диагностика сосудистого спазма путем проведения транскраниальной допплерографии и церебральной ангиографии позволяет прогнозировать тяжесть течения субарахноидального кровоизлияния и вторичных ишемических осложнений.
Ключевые слова:
церебральная ангиография, сосудистый спазм, субарахноидальное кровоизлияние
Литература:
1. Гайдар Б.В., Свистов Д.В., Парфенов В.Е. и др. Практическая нейрохирургия. СПб.: Гиппократ, 2002. 317–320.
2. Лебедев В.В., Крылов В.В. Неотложная нейрохирургия. М.: Медицина, 2000.
3. Амчеславский В.Г. Травматические субарахноидальные кровоизлияния. Вопр. нейрохир. 1998; 3: 54–55.
4. Берснев В.П., Зубков А.Ю. Общая характеристика
посттравматического вазоспазма: Материалы 5-го
международного симпозиума “Повреждения мозга
(минимальноинвазивные способы диагностики и лечения)”. СПб., 1999. 23–25.
5. Болюх А.С. Посттравматический церебральный вазоспазм. Укр. нейрохирур. журн. 2000; 2: 15–21.
6. Парфенов В.Е., Свистов Д.В. Сборник лекций по актуальным вопросам нейрохирургии. СПб: ЭЛБИСПб.,
2008. 279–295.
7. Пирская Т.Н. Констриктивностенотическая артериопатия и отсроченная церебральная ишемия при разрыве аневризм сосудов головного мозга: Дис. … канд.
мед. наук. СПб., 1997.
8. Корниенко В.Н., Пронин И.Н. КТ и МРангиография:
Их роль в диагностике артериальных аневризм головного мозга в остром и подостром периодах субарахноидального кровоизлияния: Материалы 3-го съезда
нейрохирургов РФ. СПб., 2002.
9. Vardiman A.B. Treatment of Traumatic Arterial Vasospasm
with Intraarterial Papaverine Infusion. Am. J. Neuroradiol.
1995; 16: 319–321.
10. Vatter H. Persistence of the nitric oxidedependent vasodilator pathway of cerebral vessels after experimental subarachnoid hemorrhage. Neurosurgery 2007; 60: 179–188.
11. Armonda R.A. Wartime traumatic cerebral vasospasm:
Recent review of combat casualties. Neurosurgery 2006;
6: 1215–1225.
12. Murayama Yi. Combined endovascular treatment for both
intracranial aneurysm and symptomatic vasospasm.
Am. J. Neuroradiol. 2003; 24: 133–139.
13. Крылов В.В. Раннее хирургическое лечение внутричерепных артериальных аневризм при сосудистом спазме и ишемии мозга: Автореф. дис. … дра. мед. наук.
М., 1994.
Angiographic Diagnosis of Cerebral Vasospasm in Subarachnoid Hemorrhage
Background and purpose: vasospasm due to subarachnoid hemorrhage is an unfavorable factor for the disease and causes the development of secondary ischemic events in the brain. Early and adequate diagnosis of vasospasm to predict the severity of the disease and to choose the most rational treatment strategy. The purpose of the study is an assessment of diagnostic efficacy of selective cerebral angiography in patients with vasospasm due to subarachnoid hemorrhage. Material and methods. Were examined 147 patients with subarachnoid hemorrhage of various etiologies. The diagnostic spectrum of the study consisted of computed tomography of the brain, electroencephalography, transcranial dopplerography and total selective cerebral angiography. Results. Vasospasm was detected in 122 (82.9%) cases. Vasospasm of the type I was diagnosed in 26 (21.3%) patients, II type – in 34 (27,9%), III type – in 40 (32.8%), IV type – in 22 (18%) patients. A comparative analysis of the data angiography and transcranial dopplerography showed the moderate vasospasm was equal to the linear velocity of blood flow in the middle cerebral artery (MCA), 120–150 cm/s at hemispheric index (HIV) is greater than 4, which we observed in 52 (42.6%) patients expressed by vascular spasm – BFV 150–200 cm/s at HIV more than 5 – in 65 (53.3%) patients, a critical vasospasm with BFV more than 200 cm/s at HIV more than 6 was observed in 5 (4.1%) cases of our study. Conclusions. Selective angiography of cerebral vessels is a highly effective and relatively safe diagnostic method of investigation of patients with vasospasm. Early diagnosis of vasospasm by transcranial dopplerography and cerebral angiography to predict the severity of subarachnoid hemorrhage and secondary ischemic events.
Keywords:
сerebral angiography, vasospasm, sub arachnoid hemorrhage.
Церебральная ангиография при субарахноидальном кровоизлиянии. Эффективность
Церебральная ангиография при субарахноидальном кровоизлиянии. Эффективность
Средняя частота всех осложнений церебральной ангиографии (ЦАГ) может составлять 4,7% (0,9-8,5). Доминируют преходящие неврологические осложнения — в 7% (0,45-13,6) случаев. Пожилые пациенты с субарахноидальным кровоизлиянием чаще, чем молодые, подвержены возникновению осложнений при проведении ангиографического исследования.
Так, F. Earnest и соавт. считают факторами риска проведения церебральной ангиографии: возраст больных старше 60 лет, повышение креатинина сыворотки, использование более одного катетера во время исследования. D. Dion и соавт. указывают на артериальную гипертензию, использование более 3 катетеров, использование больших количеств контрастного вещества, пожилой возраст, сахарный диабет. Частота ишемического инсульта вследствие проведения ангиографии у пожилых больных колеблется от 0,1 до 0,8%.
Проведение ангиографии у больных с транзиторными ишемическими атаками и инсультами в анамнезе увеличивает риск неврологических осложнений в 3,8 раза. Однако в случае использования у пожилых больных постоянного мониторинга гемодинамики, поддержания адекватной перфузии головного мозга, профилактической дилатации интракраниальных сосудов во время проведения исследования риск возникновения осложнений при церебральной ангиографии значительно снижается, несмотря на наличие атеросклероза или гипертонической болезни.

В наших исследованиях не выявлено зависимых от возраста существенных осложнений при проведении ангиографии. У 2 больных был отмечен преходящий неврологический дефицит, у 1 пациента обширная гематома мягких тканей бедра. Сопутствующая экстракраниальная патология (извитости, стенозы, окклюзии магистральных сосудов) при выполнении церебральной ангиографии у пожилых выявлена в 10,5% случаев, а у пациентов моложе 60 лет — в 3% случаев.
В связи с повышенным риском осложнений церебральной ангиографии и более частым наличием экстракраниальной сосудистой патологии, пожилым пациентам с субарахноидальным кровоизлиянием, с целью выявления или исключения артериальных аневризм, в первую очередь необходимо выполнять малоинвазивые нейрорадиологические методики, такие как МРА и КТ-АГ, а не рутинную дигитальную ангиографию.
При выполнении ангиографии у больных пожилого возраста после развившегося субарахноидального кровоизлияния аневризмы при первом исследовании могут не визуализироваться. Поэтому больным с выраженным базальным субарахноидальным кровоизлиянием по данным КТ и не выявленной при первой церебральной ангиографии аневризмой следует повторить исследование спустя 2 недели. В этом случае в 1-3% случаев источник кровоизлияния все-таки удается найти.
Однако это явление наблюдается не только у пожилых больных, у 2-3% больных молодого и среднего возраста при первой церебральной ангиографии тоже не удается обнаружить артериальные аневризмы.
Редактор: Искандер Милевски. Дата обновления публикации: 18.3.2021
Вклад компьютерной томографии в диагностику множественных аневризм в остром периоде аневризматического внутричерепного кровоизлияния
Введение. Множественные аневризмы — диагноз, который встречается у пациентов с нетравматическим субарахноидальным кровоизлиянием (нСАК) в 14–45% случаев. Для сокращения диагностического алгоритма при этой патологии предлагается выполнение нативной КТ головы, КТ-ангиографии, и при соответствии локализации кровоизлияния по данным нативной КТ доказательств достаточно для выполнения прямого оперативного вмешательства без получения предоперационной ЦАГ.
Цель: определение диагностической эффективности КТ и КТ-АГ брахиоцефальных артерий (КТ-АГ БЦА) для планирования хирургического лечения в случае множественных аневризм интракраниальных артерий в остром периоде нетравматического ВЧК в условиях приемного покоя.
Материалы и методы. Ретроспективный анализ данных лучевых методов исследования в предоперационном периоде у пациентов с нетравматическим субарахноидальным кровоизлиянием в острый период в условиях приемного покоя ГБУЗ «Научно-исследовательский институт — Краевая клиническая больница № 1 имени профессора С.В.Очаповского» за период с сентября 2017 года по июль 2018 года (церебральная ангиография, КТ головного мозга, КТАГ БЦА).
Результаты. По данным КТАГ БЦА всего было обнаружено 60 аневризм: у 21 пациента — по 2 аневризмы, у 2 пациентов — по 3, у одного — 8 аневризм и у 4 пациентов — по одной. В сравнении с ЦАГ, которую выполнили 10 пациентам, дополнительно найдено 3 милиарные аневризмы, одна аневризма была исключена. У пациентов, которым не выполнялась ЦАГ, данные КТАГ сравнили с интраоперационными данными на стороне хирургического вмешательства (n=18). По данным КТАГ БЦА было обнаружено 18 аневризм, по интраоперационным данным — 17, при этом в одном случае большая двухкупольная аневризма врачом-рентгенологом была расценена как две разнонаправленных. В остальном данные соответствовали.
Заключение. Наличия на нативной КТ головы нВЧК и соответствия локализации кровоизлияния по результатам КТ-ангиографии достаточно для проведения прямого оперативного вмешательства без получения предоперационной ЦАГ, что особенно важно у тяжелых больных. Применение ЦАГ у пациентов с множественными аневризмами рекомендовано лишь в спорных и сложных случаях.
Ключевые слова
Об авторах
Научно-исследовательский институт — Краевая клиническая больница № 1 имени профессора С. В. Очаповского; Кубанский государственный медицинский университет
Россия
кандидат медицинских наук, заведующая рентгеновским отделением; доцент кафедры лучевой диагностики
350086, г. Краснодар, ул. 1 Мая, д. 167
Научно-исследовательский институт — Краевая клиническая больница № 1 имени профессора С. В. Очаповского
Россия
350086, г. Краснодар, ул. 1 Мая, д. 167
Научно-исследовательский институт — Краевая клиническая больница № 1 имени профессора С. В. Очаповского; Кубанский государственный медицинский университет
Россия
доктор медицинских наук, профессор, академик Российской академии наук, главный врач; заведующий кафедрой онкологии с курсом торакальной хирургии
350086, г. Краснодар, ул. 1 Мая, д. 167
Научно-исследовательский институт — Краевая клиническая больница № 1 имени профессора С. В. Очаповского
Россия
доктор медицинских наук, заведующий нейрохирургическим отделением № 2
350086, г. Краснодар, ул. 1 Мая, д. 167
Список литературы
2. Kaminogo M., Yonekura M., Shibata S. Incidence and outcome of multiple intracranial aneurysms in a defined population // Stroke. 2003. Vol. 34. Р. 16–21 doi: 10.1161/01.STR.0000046763.48330.AD pmid:12511744.
4. Mayberg M.R. Warning leaks and subarachnoid hemorrhage // West. J. Med. 1990. Vol. 153. Р. 549–550.
5. Marcolini Е., Hine J. Approach to the Diagnosis and Management of Subarachnoid Hemorrhage // Western Journal of Emergency Medicine: Integrating Emergency. Care with Population Health. 2019. Vol. 20, No. 2. Р. 203–211.
8. Зяблова Е.И. Случай выявления множественных аневризм интракраниальных артерий головного мозга у пациента с нетравматическим субарахноидальным кровоизлиянием // REJR. 2021. Vol. 11, No 1. Р. 213–219. doi: 10.21569/2222-7415-2021-11-1-213-219.
9. Корниенко В.Н., Пронин И.Н. Диагностическая нейрорадиология. 2008. Т. 1. 454 с.
10. Зяблова Е.И. Стандарты лучевой диагностики в оценке острого нетравматического субарахноидального кровоизлияния // Современные стандарты лучевых исследований и принципы построения заключений. Руководство для врачей / под ред. Т.Н.Трофимовой. 2021. С. 13–47.
Церебральная ангиография при субарахноидальном кровоизлиянии. Эффективность
ФГАУ «Научный медицинский исследовательский центр им. академика Н.Н. Бурденко» Минздрава России, Москва, Россия
НИИ нейрохирургии им. акад. Н.Н. Бурденко РАМН, Москва
ФГБУ "НИИ нейрохирургии им. акад. Н.Н. Бурденко" РАМН, Москва
ГБУЗ МО «Московский областной научно-исследовательский институт акушерства и гинекологии», Москва, Россия, ФГБНУ НИИ нейрохирургии им. Н.Н. Бурденко (дир. — акад. РАН А.А. Потапов), Москва, Россия, Кафедра акушерства и гинекологии ФУВ ГБУЗ МО «Московский областной научно-исследовательский клинический институт им. М.Ф. Владимирского», Москва, Россия
- РИНЦ AuthorID: 370609
- Scopus AuthorID: 57192157123
- ORCID: 0000-0003-2595-5877
ФГБУ "НИИ нейрохирургии им. Н.Н. Бурденко" РАМН, Москва
ФГАУ «Научный медицинский исследовательский центр им. академика Н.Н. Бурденко» Минздрава России, Москва, Россия
Интраартериальное введение верапамила для лечения церебрального вазоспазма у больной в остром периоде субарахноидального кровоизлияния из аневризмы: клиническое наблюдение
Журнал: Журнал «Вопросы нейрохирургии» имени Н.Н. Бурденко. 2013;77(4): 57‑60
Микеладзе К.Г., Элиава Ш.Ш., Шехтман О.Д., Лубнин А.Ю., Табасаранский Т.Ф., Яковлев С.Б. Интраартериальное введение верапамила для лечения церебрального вазоспазма у больной в остром периоде субарахноидального кровоизлияния из аневризмы: клиническое наблюдение. Журнал «Вопросы нейрохирургии» имени Н.Н. Бурденко. 2013;77(4):57‑60.
Mikeladze KG, Éliava ShSh, Shekhtman OD, Lubnin AYu, Tabasaranskiĭ TF, Yakovlev SB. Intra-arterial injection of verapamil in treatment of cerebral vasospasm in a patient with acute subarachnoid hemorrhage from an aneurysm: case report. Zhurnal Voprosy Neirokhirurgii Imeni N.N. Burdenko. 2013;77(4):57‑60. (In Russ., In Engl.).
ФГАУ «Научный медицинский исследовательский центр им. академика Н.Н. Бурденко» Минздрава России, Москва, Россия
Церебральный вазоспазм является одной из главных причин ишемии головного мозга и неврологического дефицита у больных, перенесших субарахноидальное кровоизлияние (САК) из аневризмы. По данным ангиографии, вазоспазм в остром периоде разрыва церебральной аневризмы выявляется в 50-70% случаев, а риск развития отсроченной ишемии на его фоне составляет 19-46%. Одним из новых направлений лечения церебрального вазоспазма является интраартериальное введение блокаторов кальциевых каналов. В статье представлен клинический случай интраартериального селективного введения верапамила для лечения церебрального вазоспазма у больной, перенесшей тяжелое субарахноидально-паренхиматозное кровоизлияние из аневризмы бифуркации внутренней сонной артерии с хорошим клиническим исходом. Обсуждаются перспективы эндоваскулярного лечения церебрального вазоспазма.
ФГАУ «Научный медицинский исследовательский центр им. академика Н.Н. Бурденко» Минздрава России, Москва, Россия
НИИ нейрохирургии им. акад. Н.Н. Бурденко РАМН, Москва
ФГБУ "НИИ нейрохирургии им. акад. Н.Н. Бурденко" РАМН, Москва
ГБУЗ МО «Московский областной научно-исследовательский институт акушерства и гинекологии», Москва, Россия, ФГБНУ НИИ нейрохирургии им. Н.Н. Бурденко (дир. — акад. РАН А.А. Потапов), Москва, Россия, Кафедра акушерства и гинекологии ФУВ ГБУЗ МО «Московский областной научно-исследовательский клинический институт им. М.Ф. Владимирского», Москва, Россия
- РИНЦ AuthorID: 370609
- Scopus AuthorID: 57192157123
- ORCID: 0000-0003-2595-5877
ФГБУ "НИИ нейрохирургии им. Н.Н. Бурденко" РАМН, Москва
ФГАУ «Научный медицинский исследовательский центр им. академика Н.Н. Бурденко» Минздрава России, Москва, Россия
Церебральный вазоспазм является одной из главных причин ишемии головного мозга и неврологического дефицита у больных, перенесших субарахноидальное кровоизлияние (САК) из аневризмы. По данным ангиографии, вазоспазм в остром периоде разрыва церебральной аневризмы выявляется в 50—70% случаев, а риск развития отсроченной ишемии на его фоне составляет 19—46% [3]. Профилактика осложнений, вызываемых вазоспазмом, является основным направлением в лечении больных в остром периоде кровоизлияния. Признаки церебральной ишемии могут возникнуть уже в первые 72 ч после САК [3, 6, 12].
До последнего времени основной схемой лечения больных с вазоспазмом являлась 3H-терапия или ее модификации, включающие гипертензию, гемодилюцию и гиперволемию. Однако, как показал последующий клинический опыт, указанная терапия имеет ряд недостатков и была неэффективна более чем у 20% больных [3]. Эндоваскулярные процедуры — ангиопластика и интраартериальное введение блокаторов кальциевых каналов — являются многообещающими современными методами лечения церебрального вазоспазма, которые позволяют снизить риск развития ишемии мозга и частоту формирования стойкого неврологического дефицита. Опубликованные в литературе данные свидетельствуют об эффективности и относительной безопасности эндоваскулярных методов. Разработка протокола лечения вазоспазма у больных в остром периоде аневризматического кровоизлияния с применением эндоваскулярных методик является крайне важной и актуальной задачей. В настоящей работе описан случай интраартериального селективного введения верапамила для лечения церебрального вазоспазма у больной, перенесшей тяжелое субарахноидально-паренхиматозное кровоизлияние (САПК) в результате разрыва аневризмы бифуркации внутренней сонной артерии (ВСА).
Клиническое наблюдение
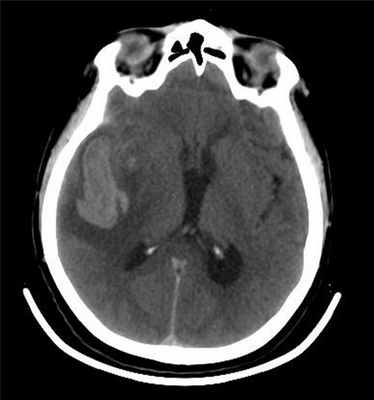
Больная Х., 66 лет, поступила в Институт нейрохирургии на 3-и сутки после интракраниального кровоизлияния из аневризмы. Оценка по шкале Ханта—Хесса — V степень. На момент поступления: уровень сознания — кома II, температура тела 38,0 °С. Дыхание аппаратное, искусственная вентиляция легких в режиме IPPV. Гемодинамика нестабильная с тенденцией к артериальной гипотензии. Артериальное давление поддерживалось внутривенным введением вазопрессоров на уровне 120—140/79—85 мм рт.ст. Компьютерная томография головного мозга обнаружила внутримозговую гематому в височной доле справа с субарахноидальным распространением крови и отеком мозга (рис. 1).

Рисунок 1. Компьютерная томограмма при поступлении: определяется внутримозговая гематома правой височной доли. По данным церебральной ангиографии в области бифуркации ВСА была обнаружена артериальная мешотчатая аневризма размером 4,2×3,7 мм. Учитывая тяжесть состояния, больной был установлен вентрикулярный дренаж с датчиком внутричерепного давления (ВЧД), которое на тот момент составляло 30—32 мм рт.ст.
На следующий день (5-е сутки после САК) после стабилизации состояния пациентке была проведена операция — эндоваскулярная окклюзия аневризмы в области развилки правой ВСА микроспиралями (рис. 2).

Рисунок 2. Каротидная ангиограмма до операции (а). Аневризма развилки ВСА заднего расположения (указана стрелкой). Ангиографмма после окклюзии аневризмы микроспиралями (б). Больная перенесла операцию удовлетворительно, при ангиографии отмечено умеренное сужение артерий.
Больная находилась в условиях отделения реанимации, проводилась интенсивная терапия. На фоне поверхностной седации в неврологическом статусе отмечалось преимущественное поражение левых конечностей. ВЧД составляло 12—18 мм рт.ст. с кратковременными эпизодами повышения до 30 мм рт.ст., которые купировались осмодиуретиками. На 2-е сутки после операции (6-е сутки после САПК) по данным транскраниальной ультразвуковой допплерографии (ТК УЗДГ) отмечено нарастание линейной скорости кровотока (ЛСК) (табл. 1).

Учитывая нарастание церебрального вазоспазма и высокий риск развития ишемии в бассейне правой ВСА, было решено выполнить больной селективное интраартериальное введение верапамила. В ходе процедуры по стандартной методике по Селдингеру была катетеризирована ВСА дистально бифуркации ВСА на стороне спазма (справа) и медленно в течение 30 мин введен верапамил в суммарной дозе 25 мг. При введении препарата отмечено кратковременное повышение ВЧД до 30 мм рт.ст., которое к концу процедуры на фоне открытого вентрикулярного дренажа снизилось до 12 мм рт.ст. Процедура прошла без осложнений. По данным контрольной ТК УЗДГ через 60 мин после окончания процедуры было отмечено снижение ЛСК по средней мозговой артерии (табл. 2).

На 3-и сутки после операции (4-е сутки после САК) на фоне стабильных показателей ВЧД и гемодинамики седация была постепенно прекращена, пациентка стала доступна контакту. Проводилась симптоматическая и восстановительная терапия, постепенно больная была переведена на спонтанное дыхание. В неврологическом статусе отмечен регресс левостороннего гемипареза. При ТК УЗДГ после операции увеличения ЛСК более не отмечалось (табл. 3).

На момент выписки общее состояние больной было относительно удовлетворительным. Неврологически: больная в ясном сознании, отвечает на вопросы, выполняет команды, ориентирована во времени, пространстве и собственной личности. Зрачки D=S, фотореакция живая, лицо симметричное, глотание и фонация не нарушены. Очаговых двигательных и чувствительных выпадений нет. Выписана в относительно удовлетворительном состоянии. Общий срок пребывания в клинике составил 30 сут.
Верапамил уже достаточно долго применяется при спазме коронарных сосудов и, по данным многих авторов, является относительно безопасным и эффективным методом лечения рефрактерного вазоспазма коронарных сосудов. Доступность и низкая цена также относятся к преимуществам препарата [1—3, 12].
Ранее в литературе [3, 8, 12] были опубликованы данные о том, что интраартериальное введение верапамила улучшает ангиографическую картину вазоспазма. Верапамил имеет наиболее благоприятный профиль из всех применяемых препаратов, хотя есть данные и о применении с этой целью других препаратов из группы блокаторов кальциевых каналов (никардипин, дилтиазем) [3, 6, 11], а также папаверина [8], который, по данным литературы, имеет довольно высокий процент осложнений.
В нашем наблюдении впервые в отечественной литературе приведено описание клинического наблюдения успешного эндоваскулярного лечения с помощью интраартериального введения верапамила церебрального вазоспазма, развившегося после тяжелого САПК у больной с аневризмой бифуркации правой ВСА.
Заключение
Эндоваскулярные методики лечения играют важную, иногда уникальную, роль в современной сосудистой нейрохирургии, в особенности в хирургии гигантских аневризм и аневризм задних отделов виллизиева круга. Как свидетельствует накопленный в литературе опыт, эндоваскулярное лечение вазоспазма является относительно безопасным методом с низким уровнем осложнений как при ангиопластике, так и при интраартериальной инфузии верапамила. Публикации ведущих зарубежных эндоваскулярных хирургов в этом отношении заслуживают дальнейших исследований и адаптации к отечественной клинической практике. Предварительные результаты дают основания заключить, что эндоваскулярные методики, в отличие от других методов лечения вазоспазма, могут стать эффективным средством снижения смертности и инвалидизации пациентов, перенесших кровоизлияние из аневризмы.
Комментарий
Сосудистый спазм вследствие субарахноидального кровоизлияния (САК) у больных с разрывом церебральных аневризм развивается у 70—100% пациентов. Симптомный спазм возникает у 20—30% больных и сопровождается увеличением летальности в 2—3 раза. В связи с этим тема статьи представляется крайне актуальной.
Авторы представили крайне интересное наблюдение лечения сосудистого спазма при помощи селективного внутриартериального введения верапамила. Проведенное лечение позволило вернуть к нормальной жизни пациентку, поступившую в стационар в глубокой коме. Клинический случай описан в традиционной манере и хорошо иллюстрирован таблицами и рисунками. Работа является очень интересной, актуальной и крайне важной для улучшения качества интенсивной терапии больных с ангиоспазмом вследствие разрыва церебральных аневризм и может быть опубликована.
Читайте также:
