Дермоидные кисты и тератомы. Распространенность дермоидных кист и тератом
Добавил пользователь Евгений Кузнецов Обновлено: 27.01.2026
Новообразование яичника(киста)- это образование с тонкими стенками, заполненное жидкостью или полужидким содержимым, располагается в толще яичника или на его поверхности.
Среди прочих гинекологических заболеваний кисты яичников занимают по распространенности от 8 до 20%К факторам, увеличивающим риск возникновения и развития кисты яичника, относят раннее начало менструаций, бесплодие, снижение функции щитовидной железы, прием некоторых фармацевтических препаратов.
Кисты яичников могут иметь разное строение и происхождение, соответственно для каждой из них есть свои методы лечения, от гормональной и противовоспалительной терапии до оперативного вмешательства.
Виды кист яичников:
- Фолликулярная;
- Киста желтого тела
- Серозная
- Эндометриоидная («шоколадная»)
- Дермоидная (тератома)
- Синдром поликистозных яичников.
Клиническая картина при данной патологии зависит от этиологии кисты.К основным симптомам при данном диагнозе можно отнести следующее: тянущие, режущие боли в низу живота, боль в животе при половом акте, боль, отдающая в задний проход, нарушение менструального цикла.При осложнениях: разрыв кисты, перекрут кисты, появляются такие симптомы, как слабость, головокружение, обморочное состояние, рвота. При появлении данных симптомов требуется госпитализация в гинекологическое отделение в неотложном порядке.
Для диагностики кист яичников применяют УЗИ, МРТ малого таза, лапароскопию, исследование гормонального баланса крови, пункция полости малого таза. Также проводится анализ крови на присутствие онкомаркеров.
В НМЦ Парацельс за один день можно провести полную диагностику для выявления кист яичников, определения причины их появления и получить консультацию гинеколога-эндокринолога, гинеколога-хирурга для выбора метода лечения.
В НМЦ Парацельс проводится оперативное лечение кист яичников любых размеров и этиологии( кроме злокачественных новообразований).Оперативное вмешательство при данной патологии проводится путем лапароскопии, лапаротомии.Выбор доступа и объема оперативного вмешательства определяется на консультации гинеколога-хирурга.
Лапароскопия - современный метод хирургии, при котором операции на внутренних половых органах проводят через небольшие (обычно 0,5—1,5 см) отверстия на передней брюшной стенке
Лапароскопический доступ- это наиболее щадящий метод оперативного вмешательства, приводящий к быстрой реабилитации пациенток, минимизирующий вероятность возникновения послеоперационных спаек. Операция на органах малого таза осуществляется из нескольких небольших разрезов, куда вводятся специальные инструменты. Предварительно брюшная полость наполняется стерильным газом, который позволяет отодвинуть внутренние органы друг от друга. Обзор осуществляется с помощью видеокамеры, которая также вводится в брюшную полость.
С помощью введенных инструментов хирург проводит удаление кисты яичника, параовариальной кисты. Удаляется только стенка кисты, с максимальным сохранением здоровых тканей.
В Нашем МЦ Парацельс во время лапароскопических операций используется оборудование фирмы Karl Storz (производитель №1 в мире лапароскопии), электрокоагуляция проводится биполярным электродом, что исключает электротравму пациентки во время операции, минимизирую термическую травму внутренних половых органов, что очень важно для сохранения репродуктивного резерва яичников.После осмотра и очищения(санации) брюшной полости, контроля отсутствия кровотечения, инструменты удаляются. Выводится газ и брюшной полости. На сегодняшний день существует ряд специальных гелей, который хирург вводит в брюшную полость для профилактики спайкообразования
Показания:
- Наличие доброкачественного новообразования яичников или широкой связки(параовариальная киста), диаметром более 30мм, неподдающиеся консервативному лечению.
- Наличие доброкачественного новообразования яичников в постменопаузе.
- Наличие доброкачественного новообразования яичников у пациенток, требующих назначение гормональных препаратов для лечения рака молочной железы.
Обследование на оперативное вмешательство и срокидействия результатов обследования:Весь объем предоперационного обследования Вы можете пройти в Нашем МЦ Парацель за один день!
- кольпоскопия-12мес
- УЗИ органов малого таза
- УЗИ вен нижних конечностей - 3мес
- Мазок на флору -10дн
- онкоцитология с шейки матки – 6месСА крови(онкомаркер)-3мес
- Общий анализ мочи-10 дн, Общий анализ крови и ретикулоциты -10 дн,
- Электрокардиограмма с расшифровкой -14дн,
- Кровь на ВИЧ, Гепатит В, Гепатит С, Сифилис 3мес.
- Биохимический анализ крови: общий, прямой, непрямой Билир., Общий Белок, альбумин,
- мочевина, глюкоза, креатинин, мочевая кислота, АСТ,АЛТ, ЩФ, натрий и калий крови,холестерин -10дн
- Коагулограмма - 10дн
- Группа Крови и резус фактор
- Флюрография - 6мес.
- Маммография -24мес (после 36 лет до 50лет),12мес (после 50 лет) УЗИ молочных желез (до 36 лет) -12мес
- Консультация Терапевта, анестезиолога и других специалистов по показаниям.По показаниям могут быть добавлены другие обследования.Обезболивание: Данные операции проводятся под эндотрахеальным наркозом. При этом методе обезболивания пациентка полностью расслаблена, во время проведения операции спит.Болевые ощущения после пробуждения минимизируются путем введения специальных препаратов.Противопоказания:
Плановое вмешательство не проводят при клинически значимых нарушениях свертываемости крови, острых инфекциях, декомпенсированных соматических заболеваниях (гипертонии, нестабильной стенокардии, тяжело протекающем сахарном диабете, выраженной анемии). После проведения оперативного лечения в Нашем МЦ Парацельс с 1х послеоперационных суток пациентки начинают физиолечение, что благоприятно сказывается на послеоперационном течении и профилактирует образование спаек.Нахождение в стационаре после кистэктомии 2-3 дня.
Дермоидные кисты и тератомы. Распространенность дермоидных кист и тератом
Дермоидные кисты и тератомы. Распространенность дермоидных кист и тератом
Термин «дермоид» предложил английский ветеринарный врач Леблен (Leblane) (по С. И. Волкову), который впервые в 1831 г. обнаружил в мозгу у лошади кисту с кожицеподобной капсулой. Киста содержала кашицеобразную массу и волосы. В отечественной литературе дермоидная киста у человека впервые описана в 1889 г. Буинвидом (по С. И. Волкову). С тех пор, а особенно за последние 15—20 лет количество опубликованных наблюдений над больными с наличием дермоидных образований беспрерывно увеличивалось. К настоящему времени эти наблюдения исчисляются сотнями. Так, Б. Г. Стучинский (1950) собрал из литературы 320 случаев дермоидных кист и тератом, в том числе 140 оперированных. По данным Дезева и Дюмона, к 1944 г. опубликовано 374 случая дермоидных образований.
Дермоидные кисты и тератомы составляют 14,9% всех опухолевых и кистозных процессов в средостении, занимая по частоте второе место после нейрогенных опухолей. Этиологии, патогенезу, клинике, диагностике и лечению этого вида заболеваний посвящены многочисленные работы.
Можно считать, что по сравнению со всеми прочими опухолями и кистами средостения дермоидные кисты и тератомы получили наиболее полное и всестороннее освещение в литературе.
Общепринятой в настоящее время является теория, сторонники которой предполагают, что возникновение дермоидных образований связано с пороком эмбрионального развития. При этом А. И. Абрикосов различает три возможности:
а) отщепление группы клеточных элементов зародышевых листков и расположение их в местах, где происходят сложные процессы дифференцировки и разделения тканей (в частности, в средостении);
б) отщепление одной из бластомер при делении яйца с последующим образованием из нее элементов всех трех зародышевых листков;
в) остановка и неправильное развитие одного из двух зародышей-близнецов (бигерминальная теория).

Различают дермоидные кисты, образованные из одного зародышевого листка, а именно эктодермы и тератомы, образованные из двух или трех зародышевых листков эктодермы, мезодермы и энтодермы.
В дермоидной кисте находят элементы эктодермы. Стенка кисты по своему строению напоминает кожу со всеми соответствующими придатками (волосы, потовые и сальные железы). Киста наполнена салоподобной или слизеобразной массой желтоватого или коричневого цвета, содержащей спущенный ороговевший эпителий, волосы, кристаллы холестерина.
В тератомах находят как элементы эктодермы, характерные для дермоидных кист, так и ткани мезо- и энтодермального происхождения (мышечная, нервная, костная ткань и даже целые органы — зубы, челюсти, глаз, сердце и др.).
По данным С. И. Волкова, С. М. Демкова, Хойера и Андрюса, дермоидные кисты встречаются в несколько раз чаще тератом. Дермоиды отличаются очень медленным ростом, причины которого остаются неясными. Иногда может наблюдаться ускорение роста кисты в период полового созревания больного, беременности, травмы или инфекции и при озлокачествлении дермоида.
Дермоидные кисты и тератомы обычно плотно спаяны с окружающими их тканями и органами, что, по мнению Ю. Ю. Джанелидзе, обусловлено периодически развивающимися в них самих воспалительными процессами.
Данные С. М. Демкова, Б. Г. Стучинского и наши наблюдения свидетельствуют о некотором преобладании среди больных лиц женского пола. Дермоидные кисты и тератомы Естречаются у лиц любого возраста, но чаще в возрасте 15—30 лет.
В. А. Фанарджян, Хойер и Андрюс, Твайнинг, указывая на преимущественное обнаружение дермоидов в юношеском возрасте, объясняют данный факт ускоренным ростом этих образований в период полового созревания больных, что влечет за собой клиническое проявление заболевания. Однако далеко нередко дермоидные кисты и тератомы по разным причинам впервые обнаруживаются у пожилых людей.
Информация на сайте подлежит консультации лечащим врачом и не заменяет очной консультации с ним.
См. подробнее в пользовательском соглашении.
Дермоидная киста
Дермоидная киста, или дермоид, – полое опухолеподобное образование, один из вариантов тератомы (др.греч. досл. «уродливая опухоль», «опухоль-чудовище»). Отличительной особенностью дермоида является наличие в нем более или менее зрелых тканей, включая волосяные фолликулы, зачаточные костно-хрящевые структуры, кожу (эпидермальные клетки, потовые и сальные железы), зубы, ногти и т.д., – что и послужило поводом для названия. Точных эпидемиологических данных в отношении дермоидных кист найти не удалось ни в отечественных, ни в зарубежных источниках. Известно, однако, что зачастую такие тератомы являются врожденными и бессимптомными, становясь случайной находкой при каком-либо визуализирующем обследовании. Известно также, что дермоидные кисты могут появиться в любом возрасте, независимо от пола, и практически в любой локализации, но особенно частой и все более актуальной проблемой в последние годы становятся овариальные дермоиды (как вариант кисты яичника у женщин.
Дермоидная киста практически всегда является доброкачественным образованием (о критериях доброкачественности-злокачественности см., напр., «Доброкачественные новообразования вульвы». Малигнизация, т.е. озлокачествление процесса, встречается в редких случаях, – тем не менее, определенная вероятность, хотя и минимальная, все же присутствует.
Этиопатогенез (причины и закономерности развития) дермоидных кист на сегодняшний день остается неясным. Во многих источниках врожденный дермоид связывают с нарушениями эмбриогенеза и, предположительно, недоразвитием близнеца, – в этом случае факторами риска должны выступать все известные тератогенные вредности на этапе вынашивания беременности. Приобретенная дермоидная киста, согласно существующим представлениям, может появиться в результате травмы либо ятрогенным путем, – как следствие медицинских манипуляций и хирургических вмешательств. Роль провоцирующих факторов в отношении яичникового дермоида у женщин (и, вообще, тератом в женской репродуктивной сфере) могут играть ожирение, хронические инфекционно-воспалительные процессы, неупорядоченная половая жизнь, переохлаждения, аборты и т.д.
Как указано выше, локализация дермоидной кисты может быть самой разной: периорбитальная область, спинной мозг (очень редко), внутричерепное пространство, брюшная полость (где чуть выше статистический риск малигнизации) и т.д. Как правило, киста окружена плотной оболочкой из соединительной ткани и заполнена сально-жировой массой с различными включениями. Растет дермоидная киста медленно, однако процесс увеличения в размерах не останавливается. Клиническая картина обусловливается месторасположением: какие органы находятся в непосредственной близости от кисты, на какие структуры она оказывает механическое давление, какие полости или протоки перекрывает, и т.п. При достижении определенных размеров дермоид может создавать видимую невооруженным взглядом деформацию и/или асимметрию в области роста, вызывая разного рода болевые, тягостные, ноющие ощущения – или же оставаясь безболезненным при пальпации.
При применении современных высокотехнологичных методов визуализирующего исследования дермоидная киста обычно не создает диагностических проблем: достаточно хорошо изучено и известно, как она выглядит, например, на УЗИ или томограммах. В некоторых случаях требуется, однако, более детальное дифференциально-диагностическое обследование для уточнения характера и расположения кисты. Назначают лабораторные анализы, в некоторых случаях может быть показана тонкоигольная аспирационная пункционная биопсия, трансвагинальное или трансректальное ультразвуковое исследование (ТРУЗИ) .
Методом выбора и стандартом лечения дермоидной кисты является ее полное хирургическое удаление, – предпочтительной техникой является удаление зацело, без нарушения оболочки и выхода содержимого в висцеральные (внутренние) пространства организма. Выбирают наименее травматичный из всех видов доступа, в принципе возможных для конкретного случая – напр., лапаротомический или эндоскопический.
Отдельной проблемой являются дермоиды яичников, выявленные на этапе гестации (вынашивания беременности). В этих случаях самым тщательным образом взвешивают риски анестезии и хирургического вмешательства против рисков спонтанного разрыва кисты. Одним из наиболее существенных критериев при принятии решения является размер дермоида: как правило, если он не превышает 6 см, операцию целесообразней отложить на послеродовой период.
Дермоидная киста переднего средостения
Цель статьи: актуализировать сведения о дермоидных кистах у детей, описать клинический случай этого редкого заболевания.
Основные положения. Киста дермоидная — дермоид-киста, содержащая волосы, волосяные фолликулы и сальные железы; обычно развивается в местах соединения развивающихся участков тела эмбриона. Кисты средостения составляют от 14% до 18,5% всей медиастинальной патологии. Особенности клинических проявлений кисты средостения обусловлены типом и расположением образования, его величиной и скоростью роста. При медиастинальных новообразованиях в диагностической практике широко используются ультразвуковое исследование средостения, компьютерная и магнитно-резонансная томография грудной клетки. При своевременной терапии прогноз благоприятный. В работе представлено собственное наблюдение, отражающее особенности течения дермоидной кисты у ребенка 9 лет.
Заключение. Дермоидные кисты у детей могут длительное время протекать бессимптомно и по мере взросления проявляться различными симптомами.
Вклад авторов: Медведева С.В. — обследование пациентки, обзор публикаций по теме статьи; Заболотских Т.В. — проверка критически важного содержания, утверждение рукописи для публикации; Данилова Н.Б. — сбор клинического материала, обработка, анализ и интерпретация данных.
Конфликт интересов: авторы заявляют об отсутствии возможных конфликтов интересов.
Медведева Светлана Викторовна — к. м. н., доцент кафедры детских болезней факультета последипломного образования ФГБОУ ВО «Амурская ГМА» Минздрава России. 675006, Россия, г. Благовещенск, ул. Горького, д. 95. E-mail: dekan.fpdo@amursma.su
Киста дермоидная — дермоид-киста, содержащая волосы, волосяные фолликулы и сальные железы; обычно развивается в местах соединения развивающихся участков тела эмбриона. Иногда появление дермоидной кисты связано с травмой. Кисты средостения составляют от 14% до 18,5% всей медиастинальной патологии. Дермоидные кисты (кистозные тератомы) содержат в своей структуре элементы эктодермы и возникают в процессе нарушения эмбриогенеза [1] .
Дермоидные кисты обычно расположены в передне-верхнем отделе средостения. Величина этих кист может достигать 15–25 см. Форма кистозных тератом обычно неправильная овальная; консистенция эластическая или мягкая. Стенки кисты могут содержать хрящевые и известковые включения. Внутри кисты заключена густая кашицеобразная жирная масса со множеством различных включений (волос, чешуек эпидермиса, кристаллов холестерина, аморфных жиров, зубов) [1] .
Особенности клинических проявлений кисты средостения обусловлены типом и расположением образования, его величиной и скоростью роста. В большинстве случаев симптоматика развивается на том этапе, когда увеличение кисты средостения вызывает компрессию других органов и неизбежное нарушение их функций. Более чем в половине случаев дермоидная киста средостения сопровождается различными сердечно-сосудистыми нарушениями: приступами стенокардии, болью в области сердца, тахикардией [2] .
У 30% больных признаком дермоидной кисты средостения служит появление продуктивного кашля с выделением кашицеобразной массы, содержащей примесь волос и жира, что наблюдается при прорыве кисты в бронх. У некоторых пациентов отмечается выпячивание грудной стенки в проекции расположения опухоли.
Ведущую роль в диагностике кист средостения играют рентгенологические исследования. Полипозиционная рентгеноскопия и рентгенография грудной клетки, рентгенография пищевода и сердца, пневмомедиастинография позволяют определить локализацию, форму и размеры кисты, ее связь с соседними органами, изменение положения при дыхательных движениях [3] .
Для более детальной оценки структуры, толщины стенок кисты, характера содержимого и взаимоотношения с соседними анатомическими образованиями делают КТ и МРТ средостения.
При кистах средостения, тесно связанных с трахеей или бронхами, выполняют бронхоскопию и бронхографию. При медиастинальных новообразованиях в диагностической практике широко используется УЗИ средостения.
Если названные методы диагностики не позволяют определиться с нозологией образования, целесообразен переход к инвазивным диагностическим исследованиям. Аспирационная тонкоигольная биопсия кисты средостения дает возможность осуществить цитологическое исследование полученного пунктата и верифицировать морфологию образования в 80–90% случаев. Тонкоигольная биопсия может выполняться чрескожным, чрезтрахеальным, чрезбронхиальным, чреспищеводным доступом. С целью визуализации и открытой эксцизионной биопсии опухоли средостения возможно производить медиастиноскопию, диагностическую торакоскопию, парастернальную медиастинотомию [3] .
Лечебная тактика в отношении кист средостения сводится к их хирургическому удалению в возможно ранние сроки. Такой подход является профилактикой развития компрессионного синдрома, разрыва и малигнизации кист средостения. Открытое удаление кисты средостения может проводиться путем продольной стернотомии (при расположении кисты в переднем средостении), с помощью передне-боковой торакотомии на стороне поражения (при боковом расположении образования), боковой торакотомии (при локализации опухоли в среднем средостении), задне-боковой торакотомии (при расположении кисты в заднем средостении).
Открытые операции обеспечивают возможность наибольшей свободы действий и полноценной интраоперационной ревизии раны. Хирургическое лечение успешно применяется не только для диагностики, но и для удаления медиастинальных образований.
КЛИНИЧЕСКИЙ СЛУЧАЙ
Девочка Т., 9 лет, поступила в кардиологическое отделение Амурской областной детской клинической больницы с жалобами на деформацию грудной клетки, редкий кашель.
Анамнез заболевания: ребенок только что перенес острый бронхит, получал амбулаторное лечение (антибактериальные препараты, муколитики). При повторном осмотре педиатром выслушан шум в области сердца. Проведены ЭхоКГ и рентген грудной клетки. Девочка осмотрена кардиологом и с диагнозом инфекционного миокардита направлена на стационарное лечение в Амурскую областную детскую клиническую больницу.
Анамнез жизни: ребенок от второй беременности, протекавшей без особенностей. Роды вторые, в срок. На грудном вскармливании находилась до 6 месяцев. Масса при рождении — 3200 г. Оценка по шкале Апгар — 7/8 баллов. Привита по календарю. Перенесенные заболевания: ветряная оспа, ОРВИ, однократно острый бронхит.
Семейный и аллергологический анамнез не отягощен. Травм и операций не было. Переливание плазмы и кровезаменителей не проводилось. Наследственность по основному заболеванию не отягощена.
При осмотре общее состояние удовлетворительное. Сознание ясное. Ребенок активный. Аппетит сохранен. Рост — 125 см, масса тела — 23 кг, температура — 36,6 °C. Кожные покровы бледно-розовые, влажные, чистые. Периферические лимфатические узлы не увеличены, безболезненные.
Осанка неправильная. Асимметрия надплечий. Ось позвоночника не отклонена. Своды стоп уплощены. Суставы визуально не изменены. Движения в суставах в полном объеме.
Носовое дыхание свободное. Зев розовый. Грудная клетка деформирована — леволежащий сердечный горб. Грудная клетка равномерно участвует в акте дыхания. Перкуторно звук легочный. Аускультативно в легких дыхание везикулярное, хрипы не выслушиваются. Частота дыхательных движений — 19 в мин.
Верхушечный толчок пальпируется в 5 м/р на 1 см кнаружи от средне-ключичной линии, средней силы и высоты, локализованный, не изменен. Тоны сердца громкие, ритмичные. Соотношение тонов сохранено. Шум систолический, грубый, выслушивается максимально во 2–3 м/р слева от грудины. ЧСС — 84 в мин.
Живот не вздут, при пальпации мягкий, безболезненный. Печень и селезенка не увеличены. Стул оформленный до 1 раза в сутки. Симптом поколачивания отрицательный с обеих сторон. Отеков нет. Мочеиспускание безболезненное, нормальное.
Лабораторные исследования: клинический и биохимический анализы крови без патологии, система гемостаза крови без патологии. В анализах мочи изменения не обнаружены.
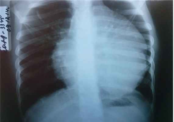
ЭКГ — синусовая аритмия с ЧСС 94 уд/мин (нормокардия). Диффузные изменения миокарда. УЗИ внутренних органов и почек без патологии. Рентгенография грудной клетки показала увеличение размеров сердца ( рис. 1 ).
Рис. 1. Рентгенограмма грудной клетки девочки Т., 9 лет. Иллюстрация В.Г. Молчанова, врача-рентгенолога ГАУЗ АО «Амурская областная детская клиническая больница»

ЭхоКГ — сердце смещено вправо образованием грудной клетки. Перегородки прослеживаются. Ускорение кровотока в легочной артерии, возможно, за счет сдавления извне. Выпот в полости перикарда, возможно, реактивный. Камеры сердца не увеличены. Сократительная способность левого желудочка в норме.
Заключение УЗИ: образование грудной клетки, исходящее из средостения? Левого легкого?
Проводилась дифференциальная диагностика с различными заболеваниями: новообразованиями средостения, легких и сердца, кистами легкого и перикарда, аневризмой аорты. Необходимо было также определить происхождение данной кисты, т. к. принято выделять истинные, или первичные, кисты средостения; кисты, образованные из органов и лимфатических сосудов; паразитарные (чаще всего эхинококковые) и, наконец, кисты, образованные из пограничных областей (например, менингеальные, т. е. из оболочек спинного мозга, и др.). После КТ диагноз был установлен, разрабатывалась тактика лечения.
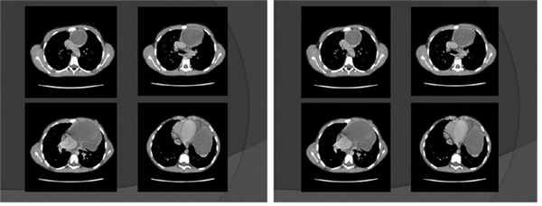
КТ органов грудной клетки — картина кистозного образования средостения слева. Небольшой объем жидкости в плевральной полости слева и в перикарде ( рис. 2 ).
Рис. 2. Компьютерная томограмма грудной клетки девочки Т., 9 лет. Иллюстрация М.Ю. Петрова, заведующего отделением, врача-рентгенолога ГАУЗ АО «Амурская областная детская клиническая больница»

Проведен консилиум, и поставлен диагноз: Доброкачественное новообразование средостения . Ребенок госпитализирован в хирургическое отделение Амурской областной детской клинической больницы, где проведена операция по удалению кисты.
Диагноз после операции: Дермоидная киста переднего средостения.
Описание препарата: новообразование с кистозно-солидным компонентом, жидкость темно-коричневого цвета и солидный компонент, представленный капсулой опухоли и жировой тканью ( рис. 3 ).
Рис. 3. Удаленная дермоидная киста у девочки Т., 9 лет. Иллюстрация Е.А. Степаненко, врача-хирурга ГАУЗ АО «Амурская областная детская клиническая больница»

Состояние девочки после операции — удовлетворительное. На 15-е сутки ее выписали домой с рекомендациями по наблюдению у педиатра.
Представленный клинический случай демонстрирует, что дермоидные кисты у детей могут длительное время протекать бессимптомно и по мере взросления ребенка проявляются различными симптомами.
Оперативное лечение по поводу тератодермоидной опухоли, провоцировавшей хронический нагноительный процесс в грудной клетке у женщины 20 лет
Для цитирования: Ясногородский О.О., Шулутко А.М., Талдыкин М.В. и др. Оперативное лечение по поводу тератодермоидной опухоли, провоцировавшей хронический нагноительный процесс в грудной клетке у женщины 20 лет. РМЖ. 2014;25:1881.
Тератомы (дермоиды) представляют собой группу новообразований, состоящих из различных тканевых элементов и органообразных образований, содержащих ткани, не встречающиеся в данной локализации [1]. Lebert в 1858 г. впервые предложил разделять тератоидные образования на тератомы и дермоидные кисты. Это определение получило широкое распространение. Lappily предложил делить опухоли такого рода на 3 типа:
1. Эпидермоидные кисты – производные эктодермы, состоящие из чешуйчатого эпителия с подлежащей фиброзной тканью, наполненные жидким содержимым с примесью дегенеративных и десквамативных клеток.
2. Дермоидные кисты, выстланные слоистым чешуйчатым эпителием с дополнительными элементами кожи, волосами, потовыми и сальными железами.
3. Тератомы – производные всех 3-х слоев (эктодермы, мезодермы и энтодермы), содержащие мышечную, нервную и костную ткани, зубы, ткани желез, целые органы и даже частично развитый плод.
А.И. Абрикосов и А.И. Струков в 1961 г. предложили делить тератоидные образования с морфологических позиций на 3 группы:
1. Гистоидные тератомы, состоящие из эпидермиса, представленные в виде небольших кист.
2. Органоидные тератомы, представленные дермоидными кистами, выстланными многослойным плоским эпителием, содержащие салоподобные массы, волосы и т. д.
3. Организмоидные тератомы (эмбриомы) – опухолевидные образования, содержащие различные ткани или зачатки разных органов.
Тератомы подразделяются на зрелые (доброкачественные) и незрелые (злокачественные) [2].
Гистологически в доброкачественных тератомах могут содержаться производные как минимум 2-х из 3-х зародышевых листков: эктодермального (кожа и волосы), мезодермального (кости, жир, мышцы) и эндодермального (дыхательный эпителий, ЖКТ) [3].
Впервые тератома средостения была описана Rubino в 1810 г., в отечественной литературе – А.П. Буйвидом в 1889 г.
По данным некоторых авторов, тератомы переднего средостения уступают по частоте только неврогенным опухолям и встречаются в 10–15% случаев всех опухолей средостения [2, 4]. Наиболее часто они располагаются загрудинно, в среднем отделе переднего средостения, нередко выступая в ту или иную половину грудной клетки [1].
И.В. Юрасов (1934) и З.В. Гольберт описали по одному случаю парагрудинного расположения тератомы, когда опухоли находились, по сути, в плевральной полости вне средостения. По мнению З.В. Гольберта и соавт., эти тератомы первоначально развились в средостении (наличие ножки и субплевральная локализация образования) и постепенно переместились в ту или иную половину грудной полости.
Легочные тератомы обычно проявляются в возрасте 20–40 лет, чаще у женщин. Пациенты предъявляют жалобы на боли в грудной клетке, кровохарканье, кашель, отхаркивание волос, что является наиболее специфическим симптомом [5].
Рентгенологическая семиотика тератом средостения весьма разнообразна. Она зависит от локализации опухоли, ее формы, объема, структуры, наличия вторичных изменений при осложнениях. На обзорных рентгенограммах наиболее частым признаком объемного образования средостения является изменение его формы. При наличии объемного образования происходит сглаживание дуг контура средостения или на нем появляются дополнительные выпячивания. На рентгенограммах в боковой проекции объемные образования средостения выявляются в виде дополнительной тени. Важный диагностический симптом объемных образований переднего средостения – понижение прозрачности ретростернального пространства. Этот симптом выявляется на рентгенограммах и томограммах грудной клетки в боковой проекции.
Большое диагностическое значение имеет обычная линейная томография, причем наиболее информативной является томография в боковой проекции, выполненная в сагиттальной и парасагиттальных плоскостях [6]. При компьютерной томографии (КТ) грудной клетки в средостении определяется наличие дополнительного образования, состоящего из мягкотканного компонента (практически во всех случаях), жидкостного компонента (88%), жира (76%), кальцинатов (53%) [7]. Рентгенологически при тератоидных кистах может наблюдаться симптом, описанный Phemistek et al. (1936), который заключается в большей интенсивности нижних отделов тени, вызванной перемещением жировых капелек или кусочков в верхние отделы кисты. Граница между участками содержимого кисты с различным удельным весом выявляется в виде горизонтального уровня, перемещающегося при изменении положения тела. При наличии свища или связи с бронхом у одного больного наблюдали просветление в виде шаровидной полости [8].
Дифференциальная диагностика при тератомах такой локализации проводится с тимомами, внутригрудным зобом, аневризмами аорты, туберкулемами и парамедиастинальными осумкованными плевритами [1].
Методом выбора является хирургическое лечение – удаление тератодермоидной опухоли. По данным Н.Ю. Левашова [5], в 4% случаев возникает необходимость дополнительного удаления доли легкого, в 8% – краевой резекции легкого, в 6% – частичной перикардэктомии.
Тератомы средостения могут осложняться, причем самым частым осложнением, по мнению Б.В. Петровского, является инфицирование их самих и окружающих тканей. Инфицирование тератом может приводить к частым пневмониям, плевритам, развитию мощных сращений между самим новообразованием и окружающими его тканями.
Цель данной статьи – продемонстрировать случай сложной диагностики тератодермоидной опухоли переднего средостения, особенности клиники и проведенного хирургического лечения.
Больная И., 20 лет, поступила в стационар 25.01.2012 после приема торакальным хирургом на общегородской консультации. Из анамнеза известно, что ухудшение состояния, проявившееся слабостью, одышкой, лихорадкой до 38,5°С, продуктивным кашлем со зловонной мокротой, появилось в декабре 2011 г., самостоятельное лечение эффекта не имело.
Также известно, что в 2007 г. у пациентки при плановом флюорографическом исследовании было заподозрено образование переднего средостения, по поводу чего проводилось обследование в онкологическом стационаре, где была выполнена трансторакальная пункция, диагноз был снят. В течение 1 нед. после пункции у пациентки появились жалобы на слабость, лихорадку до 39°С, одышку, боли в правой половине грудной клетки, малопродуктивный кашель. Была госпитализирована, получила курс лечения в стационаре по поводу тотальной эмпиемы плевры справа, который включал в себя стандартную консервативную терапию и дренирование правой плевральной полости в течение 50 дней. Выписана без дренажа в удовлетворительном состоянии, при рентгенологическом исследовании перед выпиской патологии органов средостения и правой половины грудной клетки не определялось. В 2008 г. пациентка поступила повторно с клинико-рентгенологической картиной распространенной эмпиемы плевры справа, вновь были проведены дренирование правой плевральной полости и курс консервативной терапии с хорошим клиническим и рентгенологическим эффектом. В течение 2-х лет жалоб со стороны бронхолегочной системы у пациентки не было. Больной представлены данные рентгенологического исследования грудной клетки от 2007 г. (рис. 1). Заключение: тотальная простая эмпиема плевры справа.
Данные рентгенологического исследования от 2008 г. представлены на рисунках 2, 3. Заключение: ограниченная простая эмпиема плевры справа.
По результатам КТ грудной клетки от 2008 г. (рис. 4) сделано заключение: справа пристеночная тень, обусловленная скоплением жидкости.
При поступлении в стационар состояние больной удовлетворительное. После курса проведенной антибактериальной терапии отмечает снижение температуры тела до 37,3°С в вечернее время, кашель редкий, непродуктивный, одышки нет. Дыхание аускультативно умеренно, ослаблено в нижних отделах слева, хрипов нет. Перкуторно звук легочный. Прочие органы и системы органов – без патологии. АД – 115/70 мм рт. ст., частота сердечных сокращений – 82/мин, частота дыхания – 18/мин. В клиническом анализе крови от 25.01.2012 отмечено повышение уровня лейкоцитов – 16,7х109/л.
В клиническом анализе мочи от 26.01.2012: умеренное повышение уровня белка.
В биохимическом анализе крови от 26.01.2012: патологии не выявлено.
Пациентке выполнена рентгенография грудной клетки (рис. 5). Заключение: средне-долевая пневмония с абсцедированием.
ФБС от 08.02.2012: эндообразований не выявлено, диффузный правосторонний бронхит 1 ст.
ФББ: пролиферирующий бронхиальный эпителий с плоскоклеточной метаплазией, воспалительной инфильтрацией.
ЭХО-КГ от 07.02.2012: фракция выброса – 75%, глобальная и локальная сократимость не нарушены.
ФВД от 07.02.2012: данных за снижение вентиляционной способности легких не выявлено.
УЗИ брюшной полости от 06.02.2012: спленомегалия.
В посеве мокроты: S. aureus, C. krusei.
ЭКГ (динамика): ритм синусовый. Отклонение электрической оси сердца влево.
Выполнена повторная КТ грудной клетки (рис. 6). Заключение: в правом легком в верхней и средней долях визуализируется полость неправильной формы, вокруг участки грубого пневмофиброза.
Предоперационный диагноз – хронический абсцесс средней доли правого легкого. Больной было предложено оперативное лечение, которое было выполнено в плановом порядке 15.02.2012.
Интраоперационно: плевральная полость облитерирована, плотные шварты. Легкое выделено из спаек, преимущественно экстраплеврально. Проведены плеврэктомия, декортикация легкого. В верхнем этаже переднего средостения обнаружено кистозное опухолевидное образование размерами 8х12,5х5 см. Верхняя и средняя доли фиксированы к образованию, которое между ними распространяется к корню легкого. Опухоль отделена от переднего средостения, элементов корня легкого при помощи диатермокоагуляции, от верхней и средней долей – при помощи аппаратов УДО-30 и УДО-60 по типу краевой резекции. Отмечено наличие бронхиального свища из верхней доли к кисте (пересечен УДО-60).
Осложнение образования, проявившееся хроническим гнойным процессом в правой плевральной полости (хроническая эмпиема), значительно затруднили пневмолиз, доступ к опухоли и определили объем операции: плеврэктомия с декортикацией легкого, краевая резекция верхней и средней долей, удаление опухоли средостения.
Послеоперационный период протекал гладко. В 1-е сут после операции правое легкое полностью расправилось. Проведен курс антибактериальной профилактики гнойных осложнений. По дренажам из плевральной полости в 1-е сут после операции выделилось 500 мл серозно-геморрагической жидкости, в течение 6 дней количество отделяемого за 1 сут уменьшилось до 50 мл, дренажи удалены на 7-е сут после операции. Операционная рана зажила первичным натяжением.
При рентгенологическом исследовании 16.02.2012 (рис. 7): определяются линии скобочного шва, в правой плевральной полости шварты, очаговых и инфильтративных теней нет.
Патогистологическое исследование № 450/22: зрелая терато-дермоидная киста (в полости кисты кожа и волосы). Прилегающая ткань фиброзирована с признаками ангиоматоза и выраженного полнокровия, остатками ткани тимуса.
При контрольном осмотре через 1 мес. – жалобы на умеренные боли в области торакотомного разреза (рубец без признаков воспаления), температура тела в норме, рентгенологически определяются линии скобочного шва, очаговых и инфильтративных теней нет.
Через 1 год после выполнения оперативного вмешательства состояние удовлетворительное, никаких жалоб пациентка не предъявляет. При рентгеноскопии грудной клетки очаговых и инфильтративных теней нет.




Литература
1. Вишневский А.А., Адамян А.А. Хирургия средостения. М., 1977.
2. Степанов Э.А. Опухоли и кисты грудной полости у детей. М.: Медицина, 1975.
3. Saini M.L., Krishnamurthy S., Kumar R.V. Intrapulmonary mature Teratoma Department of Pathology, Kidwai Memorial Institute of Oncology, Bangalore, India. Department of Surgery, Kidwai Memorial Institute of Oncology, Bangalore, India.
4. Диагностика злокачественных новообразований: Сб. статей. М., 1998.
5. Левашов Н.Ю. Тератома переднего средостения с полностью сформированным участком челюсти // Проблемы туберкулеза и болезней легких. 2005. № 11. С. 47–48.
6. Комплексная лучевая диагностика опухолей и кист средостения // Медицинская газета. 2003. № 9.
7. Zisis C., Rontogianni D., Stratakos G., Voutetakis K., Skevis K., Argiriou M., Bellenis I. Teratoma occupying the left hemithorax Department of Cardiothoracic Surgery, Evangelismos General Hospital, Athens. Department of Pathology, Evangelismos General Hospital, Athens Department of Critical Care and Respiratory disease, Evangelismos General Hospital, Ipsilantou 45-47, Athens.
8. Трахтенберг А.Х., Колбанов К.И., Козлов В.В., Седых С.А. Гигантская тератома средостения // Рос. онкол. журнал. 1998. № 1. С. 59–62.
Контент доступен под лицензией Creative Commons «Attribution» («Атрибуция») 4.0 Всемирная.
Читайте также:
