Стеноз привратника при язве двенадцатиперстной кишки - диагностика
Добавил пользователь Евгений Кузнецов Обновлено: 14.12.2025
Возникновение язвы желудка является редкой ситуацией у детей. Поскольку при язвенной болезни у детей более чем в 80 % случаев поражается 12-перстная кишка.
Развитие язв в желудке у детей может быть связано с такими серьёзными состояниями как: проглатывание инородных тел, едких веществ, с перенесённой психоэмоциональной или физической травмой (стрессовые язвы). Также они могут быть связаны с приёмом некоторых лекарств (например, гормональных препаратов или при нарушении дозировки нестероидных противовоспалительных средств), с эндокринными заболеваниями, заболеваниями печени и вследствие такого заболевания, как болезнь Крона. Язва желудка выявляется при проведении эзофагогастродуоденоскопии (ЭГДС). В таком случае ребёнок должен получать лечение у гастроэнтеролога, может потребоваться госпитализация и дообследование. При неясной причине возникновения язвы желудка обязательно обследование ребёнка для исключения болезни Крона (в том числе взятие биопсии слизистой оболочки желудка при ЭГДС и проведение колоноскопии).
Язвы в антральном (выходном) отделе желудка могут осложняться развитием рубцового стеноза (сужения) привратника (сфинктера в области перехода желудка в луковицу двенадцатиперстной кишки). При этом возникает затруднение прохождения содержимого из желудка в двенадцатиперстную кишку, и у ребёнка появляется рвота, нарушается питание и водно-электролитный баланс. Поэтому крайне важна ранняя диагностика такого состояния и проведение лечения. В публикациях описаны немногочисленные случаи диагностики и лечения рубцовых стенозов привратника у детей.
Восстановление проходимости привратника при развитии его стеноза может проводиться хирургическим или эндоскопическим методом. В нашем отделении есть опыт проведения поэтапной эндоскопической баллонной дилатации (расширения) привратника. Методика выполняется при проведении ЭГДС под наркозом, при этом используются баллонные дилататоры (катетеры). Дилататор проводится в суженый канал привратника и постепенно заполняется дистиллированной водой до нужного давления, равномерно расширяя привратник; затем дилататор сдувается и извлекается. Обычно выполняется несколько сеансов дилатации с интервалом в 2-3 дня с постепенным расширением привратника.
В наших наблюдениях детей с рубцовым стенозом привратника мы отметили хороший результат проведения эндоскопической баллонной дилатации. У нас получилось максимально физиологично восстановить желудочно-кишечный пассаж и улучшить качество жизни ребёнка без тяжёлой операции и длительной анестезии.

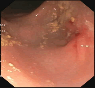
Ребёнок 5 лет с рубцовым стенозом привратника после язвы антрального отдела желудка. Жалобы на рвоту, невозможность приёма твёрдой пищи. Фото при проведении ЭГДС до сеансов баллонной дилатации. Привратник сужен до 3 мм, видны следы пищи в желудке.

Эндоскопическая баллонная дилатация. Баллонный катетер в просвете привратника.

Контрольная ЭГДС у этого ребёнка через год. Привратник не сужен, свободно проходим для эндоскопа, функционирует нормально (смыкается). Ребёнку необходимо наблюдение у гастроэнтеролога для предотвращения рецидива заболевания.
Язва желудка и 12-перстной кишки – угроза жизни! / Врач- хирург И.Ф.Лозовский
Ежегодно жертвами язвенной болезни становятся сотни тысяч человек. В последнее время в нашем городе и районе участились случаи осложненного течения этого заболевания Эта болезнь распространена повсеместно и встречается тем чаще, чем выше уровень экономического развития региона. Каковы риски связанные с этой болезнью? Чем рискуют люди, страдающие язвой желудка и двенадцатиперстной кишки? В этой статье, обсуждая проблему смертельных осложнений язвы, хочется дать своеобразные советы от противного для того, чтобы стала очевидность серьезности проблемы. Итак, чем опасна для жизни это страдание, каковы смертельные осложнения.
Кровотечение
Язвенная болезнь (или просто язва) желудка и двенадцатиперстной кишки это одна из самых распространенных причин внутреннего кровотечения в органах пищеварительной системы. Сама по себе язва – это постоянно углубляющаяся рана в стенке желудка или кишечника, поэтому при разрастании язвы вполне возможно, что она дойдет до сосуда, питающего ткани желудка и «разъест» его стенки. Нужно сказать, что кровоснабжение желудка отличается интенсивностью, а сосудистая сеть этого органа очень богата, поэтому при отсутствии лечения, язвенная болезнь очень часто осложняется внутренним кровотечением.
Симптомы внутреннего кровотечения следующие: внезапное появление ощущения слабости, головокружение, холодный пот, сонливость, чувство страха, учащение пульса. Когда в желудке накопится достаточное количество крови, больного может вырвать. Из-за взаимодействия с соляной кислотой кровь меняет цвет с ярко-красного на темно-коричневый («рвота кофейной гущей»).
В некоторых случаях кровотечение развивается медленно и больной, сам того не ведая, успевает проглотить и переварить изрядное количество собственной крови. В таком случае он должен будет заметить, что его стул стал черным как деготь– это еще один признак кровотечения в желудке или в кишечнике.
Наиболее опасны так называемые профузные кровотечения (из крупных сосудов), при которых за 15-20 минут больной может потерять несколько литров крови. Такое кровотечение - это серьезнейшая угроза жизни!
Лечением кровотечений из язвы желудка занимаются врачи больниц скорой помощи, каковой является и Гатчинская ЦРКБ. Современные методы лечения с использованием эндоскопической техники позволяют резко снизить количество операций по поводу кровотечения на фоне язвенной болезни, однако, возникшее один раз кровотечение может в любой момент повториться, поэтому у нелеченых больных всегда есть возможность рецидива «смертельного» кровотечения.
Прободная язва
Прободение язвы это частое осложнение быстро развивающейся язвенной болезни. Если больных с кровотечением из язвы сковывает «странная сонливость» и оцепенение, то больные с прободением язвы (даже самые стойкие) в один момент «сгибаются от боли».
Это осложнение язвенной болезни также развивается внезапно. Но может наступить и прободение с кровотечением.
Симптомы прободения язвы желудка следующие: больной внезапно сгибается от приступа сильнейшей боли в верхней части живота или в области пупка. Мышцы живота сильно напрягаются, образуя так называемый деревянный живот. При прободении язвы боль постепенно перемещается в подвздошную область («под ложечку»).
Вам нужно знать, что на этом страдания больного с прободением язвы не заканчиваются. Без оказания медицинской помощи он умрет только через несколько дней от перитонита (гнойного воспаления брюшной полости).
Пенетрация
Пенетрация – это одно из частых осложнения язвенной болезни, при которой язвенный процесс приводит к спаиванию стенок желудка с одним из соседних органов (например, кишечник или поджелудочная железа) и постепенному проникновению язвы в этот орган.
Пенетрация гораздо мене опасна прободения, так как при ней язва все-таки остается закрытой, а массивного заражения брюшной полости микробами (перитонит) не происходит. Однако и от пенетрации можно умереть. Наиболее опасна пенетрация в поджелудочную железу.
Этот орган чрезвычайно чувствителен по отношению к разного рода травмам и потому, когда в него врезается язва в считанные часы может развиться острый панкреатит, который сам по себе гораздо опаснее любого из осложнений язвенной болезни. Шансов на пенетрацию больше у хронических больных с язвенной болезнью, которые хоть и предпринимают лечение, но не доводят его до конца, а вот прободение чаще наблюдается у молодых людей с коротким стажем болезни.
Стеноз привратника
Привратник это конечный отдел желудка, соединяющий его с двенадцатиперстной кишкой. В зоне привратника язвы образуются особенно часто, так как именно эта часть желудка наиболее подходит для жизни хеликобактера (бактерия, провоцирующая образование язвы) и именно здесь кислотность желудочного сока максимальна. По анатомическому строению привратник желудка это узкий канал, снабженный мышечными кольцами, способными сокращаться и расслабляться. При сокращении мышц канал привратника закрывается и полость желудка отделяется от полости кишечника. При расслаблении мышц привратника канал расширяется и часть пищи из желудка переходит в двенадцатиперстную кишку для дальнейшего переваривания. Стеноз привратника характеризуется его необратимым сужением и деформацией на фоне хронической язвы, поразившей этот отдел желудка. Фактически, язва превращается в большой жесткий рубец, который деформирует и стягивает канал привратника, из-за чего он теряет способность расширяться, а, следовательно, и пропускать пищу в двенадцатиперстную кишку.
Первые симптомы стеноза привратника могут появиться спустя много лет после начала язвенной болезни. Болезнь начинается с ощущения полноты желудка после приема пищи, тяжести и болей в желудке, кислой отрыжки с неприятным запахом. Также больные жалуются на то, что спустя долгое время после еды слышат, как в желудке «плещется жидкость» и ощущают желудок переполненным.
Характерный симптом стеноза привратника это рвота, которая на поздних стадиях болезни, когда язва практически полностью перекрывает проход из желудка в кишечник, возникает каждый раз после еды, и значительно облегчает страдания больных, однако обрекает их на смерть от истощения.
Рак желудка
Злокачественное перерождение язвы желудка это самое грозное осложнение язвенной болезни. Внешне поверхностные формы рака желудка очень похожи на язву, и потому порой их очень трудно отличить. Язва может дать начало раку, а может развиться на базе опухоли.
Перерождение язвы в рак происходит из-за нарушения процессов размножения и взросления клеток в очаге хронического воспаления, который есть при язве. Гораздо реже уже существующая опухоль дает начало язве.
Рак желудка – это очень агрессивная опухоль, которая трудно поддается лечению и часто приводит к смерти пациента. Малигнизация (озлокачествление) язвы чаще всего наблюдается у больных, страдающих язвой на протяжении многих лет. В таких случаях, рак желудка является завершающим актом развития болезни.
Развитие рака желудка может долгое время оставаться незаметным для больного. Первые симптомы рака это изменение характера болей: если для язвенной болезни характерны голодные боли, успокаивающиеся после приема пищи, то при раке боли перестают зависеть от приема пищи и становятся практически постоянными. Также больные могут заметить непереносимость пищи, потерю веса.
Рак желудка, выявленный на начальных стадиях, полностью излечим хирургическими методами (удаление пораженной зоны желудка). На поздних стадиях рака, при наличии метастаз в других органах лечения рака очень затруднительно и часто не приносит никаких результатов.
В этой статье мы хотели показать читателю насколько опасной может быть язвенная болезнь, если «забросить» ее лечение. При возникновении симптомов язвенной болезни нужно немедленно обратиться к врачу за советом и помощью.
Стеноз желудка и 12-перстной кишки
Рубцовый стеноз желудка и 12-перстной кишки – это уменьшение просвета органа из-за наличия рубцов. Заболевание может проходить в три стадии:
- стадия компенсации;
- субкомпенсации;
- декомпенсации.
Пациенты при таком заболевании жалуются на тяжесть и боль в животе, слабость, частую рвоту, для них характерна бледность и сухость кожных и слизистых покровов, обезвоживание. Заболевание может быть врожденным или приобретенным, чаще встречается у мальчиков. Приобретенная форма диагностируется чаще у мужчин 30-50-ти лет.
При рубцовом стенозе нарушается процесс пищеварения. Это состояние, если оно приобретенное, является осложнением других болезней ЖКТ, обычно язвы.
Причины появления стеноза
- Врожденная патология появляется по причине аномалий развития у плода пищеварительного тракта. Приобретенная, как правило, является следствием язвенной болезни.
- При стенозе пищевой комок не может нормально двигаться по пищеварительному тракту. Он задерживается в желудке, вызывая переполнение. Постепенно желудок растягивается, его стенки становятся тоньше, появляются застойные явления, нарушается обмен веществ.
- Постепенно ситуация приходит к тому, что желудок не может полностью опорожняться. У больного проявляется частая рвота, объем рвотных масс увеличивается. С рвотой выходит жидкость и минеральные вещества. Далее заболевание приводит к тому, что из тканей выводится кальций, нарушается работа нервной системы.
Симптоматика стеноза
На стадии компенсации ярко выраженных признаков нет. Присутствует изжога, тяжесть в животе, отрыжка. Рвота происходит редко, и она приносит облегчение.
На стадии субкомпенсации симптоматика усиливается. Появляется отрыжка тухлым, тяжесть в животе становится сильнее, больные жалуются на частую рвоту, коликообразную боль в животе. Так как рвота улучшает состояние, часто больные вызывают ее сами. В связи с этим происходит потеря массы тела.
Декомпенсация – это прогрессирование заболевания. Формируется дисфункция желудка, общее состояние человека сильно ухудшается, его мучает постоянная рвота, которая не улучшает самочувствие, как было раньше. Рвотные
- массы имеют неприятный запах, потому что пищевые массы долго бродят в желудке. Тяжесть в животе становится очень сильной, больные мало двигаются, страдают от истощения. На этой стадии также:
- слизистые оболочки и кожа становятся сухими;
- появляется обезвоживание;
- нарушается минеральный обмен;
- появляются головокружения, слабость, случаются обмороки;
- учащается пульс;
- снижается АД;
- может развиваться паралич диафрагмы, в результате чего происходит остановка дыхания и летальный исход.
Методы диагностики
Гастроэнтеролог назначается следующие обследования:
- анализы крови и мочи;
- рентгенография системы пищеварения с контрастом;
- ФГДС.
Лечение стеноза желудка и 12-перстной кишки
Лечение всегда хирургическое. Перед операцией корректируют обмен веществ. Для этого больному вводят растворы декстрана, альбумина, глюкозы, физраствор, раствор электролитов. Кроме того, нужно постоянно через зонд удалять содержимое желудка, чтобы снизить давление на его стенки. Чтобы восполнять энергетические потери, пациентам назначается парентеральное питание. Примерно через неделю после такой подготовки проводится операция. Это может быть резекция желудка, расширение просвета 12-перстной кишки, ваготомия и др.
Прогноз зависит от стадии заболевания. При поздней диагностике развиваются осложнения, не совместимые с жизнью.
Профилактика патологии
Нужно своевременно лечить болезни пищеварительной системы, отказаться от вредных привычек, потреблять здоровую пищу. Необходимо регулярно проходить осмотры у гастроэнтеролога и выполнять все его назначения.
Способы оплаты медицинских услуг «СМ‑Клиника»
Оплачивать услуги клиники можно любым удобным способом, в том числе наличными средствами, с помощью банковских карт основных платежных систем, а также с помощью карт рассрочки «Халва»
Язвенная болезнь желудка и двенадцатиперстной кишки
Язвенная болезнь — это хроническое заболевание, протекающее с чередованием периодов обострения и ремиссии, основным признаком которого является образование дефекта (язвы) в стенке желудка и/или двенадцатиперстной кишки.
Язва — это имеющий четкую границу дефект слизистой оболочки. Поверхностная язва называется эрозией. Язвенную болезнь выявляют у 5–10% взрослого населения.
В зависимости от локализации язвы разделяют на желудочные и дуоденальные (duodenum — двенадцатиперстная кишка).
Соотношение язв желудка и двенадцатиперстной кишки примерно равняется 1: 4. У лиц молодого возраста отмечается меньшая частота желудочных язв по сравнению с дуоденальными (1: 13). И наоборот, у больных среднего и пожилого возраста увеличивается частота язв желудочной локализации.
Наряду с язвенной болезнью как самостоятельным заболеванием в настоящее время принято выделять вторичные симптоматические язвы желудка и двенадцатиперстной кишки, возникающие под воздействием стресса, нарушений кровообращения, приема жаропонижающих, обезболивающих средств (ацетилсалициловая кислота, индометацин, диклофенак, ибупрофен) и других.
В зависимости от причины выделяют:
- стрессовые язвы (например, при инфаркте миокарда, распространенных ожогах, после нейрохирургических операций );
- медикаментозные язвы (прием нестероидных противовоспалительных средств, гормонов и других медикаментозных средств);
- эндокринные язвы (при синдроме Золлингера — Эллисона, гиперпаратиреозе);
- язвы при некоторых заболеваниях внутренних органов (болезни Крона, атеросклерозе ветвей брюшной аорты и др.).
Причины возникновения язвенной болезни
Одной из основных причин развития язвенной болезни на данный момент считают инфекцию, вызываемую микроорганизмом Helicobacter pylori (H.pylori) . Однако следует отметить, что H.pylori инфекцией инфицировано приблизительно более половины населения земного шара и у многих людей данная инфекция протекает бессимптомно, у части инфицированных развивается хронический гастрит, атрофический гастрит, рак желудка. Воздействие Helicobacter pylori на слизистую оболочку желудка может зависеть от состояния иммунной системы макроорганизма, развитие язвенной болезни зависит от наличия сопутствующих факторов.
Факторы, способствующие развитию язвенной болезни (факторы риска)
- фактор (стрессы).
- Курение (также курение ухудшает заживление язв и повышает вероятность их повторного развития — рецидивов, степень риска при курении табака зависит от количества выкуриваемых в день сигарет).
- Наследственность.
- Нарушение режима и характера питания.
- Злоупотребление алкоголем.
Для возникновения язвенной болезни, как правило, необходимо не изолированное действие одного из перечисленных факторов, а их комбинация. С современной точки зрения развитие язвенной болезни представляется как результат нарушения равновесия между факторами «агрессии» и факторами «защиты» слизистой оболочки желудка и двенадцатиперстной кишки. Факторы агрессии (кислота, дискинезия, Helicobacter pylori и др.) преобладают над защитными (мукопротеины и бикарбонаты слизи, механизмы регуляции выработки желудочного сока и др.).
Эндоскопические стадии язвенной болезни
- открытая язва,
- рубцующаяся язва,
- стадии красного рубца, белого рубца.
Размеры язвы
- небольшая (менее 0,5 см);
- средняя (0,5–1 см);
- крупная (1,1–3 см);
- гигантская (более 3 см).
Клиническая картина язвенной болезни
Наиболее постоянным и важным симптомом язвенной болезни является боль. Боли при язвенной болезни имеют четко выраженную ритмичность (время возникновения и связь с приемом пищи), и сезонность обострений.
По времени возникновения и связи их с приемом пищи различают боли ранние и поздние, ночные и «голодные». Ранние боли возникают спустя 0,5–1 ч после приема пищи, длятся 1,5–2 ч и уменьшаются по мере эвакуации желудочного содержимого. Такие боли более характерны для язвенной болезни желудка в верхнем его отделе.
Поздние боли появляются через 1,5–2 ч после приема пищи, ночные — ночью, а «голодные» — через несколько часов после еды и прекращаются после приема пищи. Поздние, ночные и «голодные» боли более характерны для локализации язвы в антральном отделе желудка или язвенной болезни двенадцатиперстной кишки.
Характер и интенсивность болей могут различаться (тупые, ноющие, жгучие, режущие, схваткообразные). Локализация болей при язвенной болезни различна и зависит от расположения язвы: при язве на малой кривизне желудка боли чаще возникают в подложечной области, при дуоденальных язвах — в подложечной области справа от срединной линии. При язвах кардиального отдела желудка боль может быть за грудиной или в области сердца, в этом случае важно дифференцировать язвенную болезнь со стенокардией или инфарктом миокарда. Боль часто происходит после приема антацидов, молока, пищи и даже после рвоты.
Кроме болевого синдрома в типичную клиническую картину язвенной болезни входят различные диспептические симптомы.
Изжога — один из ранних и частых симптомов, характерных для язвенной болезни. Изжога может возникать в те же сроки после приема пищи, что и боли. Она нередко предшествует появлению боли, а в последующем часто сочетается с болевым синдромом. Эти два симптома имеют тесную взаимосвязь, и некоторые больные с трудом их различают. В более поздние сроки заболевания изжога может исчезнуть. Но иногда она может быть единственным субъективным проявлением язвенной болезни.
Отрыжка — довольно частый, но не специфический симптом язвенной болезни. Наиболее характерна отрыжка кислым. Появление отрыжки связано с нарушением эвакуации содержимого желудка вследствие длительного спазма и выраженного воспалительного отека привратника или луковицы двенадцатиперстной кишки. Следует также помнить, что отрыжка характерна при диафрагмальной грыже.
Тошнота и рвота — это диспептические симптомы, характерные для обострения язвенной болезни. Тошнота часто сочетается с рвотой, хотя рвота может возникать и без предшествующей тошноты.
Рвота у больных язвенной болезнью часто отличается некоторыми специфическими особенностями: , она возникает на высоте болей, являясь как бы кульминацией боли; , она приносит значительное облегчение. Рвотные массы, как правило, имеют кислую реакцию с примесью недавно съеденной пищи. Рвота может наблюдаться и натощак.
Аппетит при язвенной болезни обычно сохранен или даже повышен (так называемое болезненное чувство голода). Снижение аппетита возможно при выраженном болезненном синдроме, может возникать страх перед приемом пищи возможности возникновения или усиления боли. Снижение аппетита и страх перед едой могут привести к значительному похудению больного.
Запоры наблюдаются у половины больных язвенной болезнью, особенно в период обострения. Запоры при язвенной болезни обусловлены рядом причин: спастическим сокращением толстой кишки, щадящей диетой, бедной грубоволокнистой клетчаткой и отсутствием вследствие этого стимуляции кишечника, ограничением физической активности, применением антацидов (альмагель и др.).
Симптомы зависят от расположения язвы и возраста пациента. В некоторых случаях боли могут отсутствовать (безболевые язвы). В этих случаях язвы обнаруживают, когда развиваются осложнения (язвенное кровотечение, перфорация язвы — прорыв стенки язвы в брюшную полость, пенетрация язвы).
Только около половины людей с дуоденальными язвами (язвы двенадцатиперстной кишки) имеют типичные симптомы. У детей, пожилых людей, пациентов, принимающих некоторые лекарства, симптомы могут быть нетипичными или вообще отсутствовать.
Осложнения язвенной болезни
Иногда при язвенной болезни развиваются угрожающие жизни осложнения: пенетрация, перфорация (прободение), кровотечение и сужение (стеноз) пилородуоденального отдела желудка.
Язвы часто осложняются кровотечением, даже если они не вызывали болей. Симптомами язвенного кровотечения могут быть рвота кровью или массой частично переваренной крови, которая напоминает кофейную гущу, и появление черного дегтеобразного кала. При очень интенсивном кровотечении в стуле может появляться алая кровь. Кровотечение может сопровождаться слабостью, головокружением, потерей сознания. Пациента необходимо срочно госпитализировать.
Язвы двенадцатиперстной кишки и желудка могут повреждать стенку этих органов насквозь, образуя отверстие, ведущее в брюшную полость. Возникает боль — внезапная, интенсивная и постоянная. Она быстро распространяется по всему животу. Иногда человек чувствует боль, которая усиливается при глубоком дыхании. Симптомы менее интенсивны в пожилом возрасте, а также у людей, принимающих кортикостероиды или у очень тяжело больных. Повышение температуры тела указывает на развитие инфекции в брюшной полости. При не оказании медицинской помощи развивается шок (резкое падение артериального давления). При перфорации (прободении) язвы требуется операция.
Язва может разрушить всю мышечную стенку желудка или двенадцатиперстной кишки и проникнуть в смежный орган, например печень или поджелудочную железу. Это осложнение называется — пенетрация язвы.
Отек воспаленных тканей вокруг язвы или рубец после предыдущих обострений болезни могут сузить выход из желудка (пилородуоденальный отдел) или просвет двенадцатиперстной кишки. При таком виде непроходимости часто возникает неоднократная рвота, выделяются большие объемы пищи, съеденной за многие часы до этого. Отмечается чувство переполнения желудка после еды, вздутие живота и отсутствие аппетита — наиболее частые симптомы нарушения проходимости. Со временем частая рвота ведет к потере веса, обезвоживанию и нарушению равновесия минеральных веществ в организме. Лечение язвы в большинстве случаев уменьшает непроходимость, но тяжелые нарушения проходимости могут потребовать эндоскопического или хирургического вмешательства.
Лечение язвенной болезни желудка и двенадцатиперстной кишки должно проходить только под контролем лечащего врача. Дело в том, что самостоятельный приём различных антацидов и других средств, снижающих кислотность желудочного сока, может облегчить симптомы заболевания, но данное улучшение состояния будет лишь кратковременным. Только адекватное лечение, назначенное врачом-гастроэнтерологом, может привести к полному заживлению язв.
Диагностика язвенной болезни
Врач может заподозрить наличие язв в желудке или двенадцатиперстной кишке при наличии характерных жалоб пациента. После осмотра и расспроса больного врач назначит ряд исследований для подтверждения или исключения диагноза язвенной болезни.
Эндоскопическое исследование желудка и двенадцатиперстной кишки — ФЭГДС (фиброэзофагогастродуоденоскопия). При данном исследовании врач вводит тонкий, гибкий инструмент (оптоволоконную трубку — эндоскоп) с источником света и микрокамерой на конце в пищевод и далее в желудок и двенадцатиперстную кишку (12пк) пациента.
Исследование проводят с целью осмотра внутренней поверхности органов тракта (для обнаружения язв и определения их локализации, а также для исключения осложнений: кровотечение, перфорация, пенетрация, стеноз), в ходе исследования врач может взять образцы ткани (биоптаты) из желудка.
Полученные биоптаты исследуют в лабораторных условиях для исключения злокачественного заболевания (при язвенной болезни желудка), обнаружения Helciobacter pylori, уточнения вида гастрита. С помощью эндоскопа часто можно также остановить кровотечение из язвы (прижигание язвенного дефекта).
Рентгенологическое исследование. Обзорный снимок органов брюшной полости производят при подозрении на наличие перфорации язвы (прободение стенки желудка или двенадцатиперстной кишки), при этом в брюшной полости определяется скопление свободного газа (воздуха), поступающего из тракта.
При подозрении на опухоль, стеноз привратника или 12 пк проводят рентгенографическое исследование желудка и двенадцатиперстной кишки после приёма бариевой взвеси.
Исследования для выявления H.pylori инфекции. На настоящий момент существует множество методов диагностики H.pylori инфекции, в том числе уреазный дыхательный тест, определение антител в крови, ПЦР диагностика на наличие H.pylori в кале, биопсия слизистой желудка на наличие H.pylori.
Исследование крови. Общий анализ крови не позволяет обнаружить язву, но может выявить анемию, являющуюся следствием язвенного кровотечения, или повышенное количество лейкоцитов, как признак осложнений.
Лечение язвенной болезни
Лечение язвенной болезни преследует 2 основные задачи:
- Уничтожение (эрадикация) Helicobacter pylori;
- Снижение уровня кислотности желудочного сока, что ведёт к уменьшению боли и заживлению язв.
Для осуществления поставленных задач в лечении используют ряд препаратов различного механизма действия:
- Ингибиторы протонной помпы (омепразол, эзомепразол, пантопразол, лансопразол и их аналоги).
- Блокаторы H2 гистаминовых рецепторов (ранитидин, фамотидин и др.) — последнее время используются реже в связи с большей эффективностью ингибиторов протонной помпы.
- Антациды (альмагель, гастал, маалокс, фосфалюгель и др.) — действуют быстро, но кратковременно.
- Препараты, защищающие слизистую оболочку желудка и двенадцатиперстной кишки (цитопротективные препараты)- , вентер.
- Антибактериальные средства (лечение H.pylori).
- Диета.
Пищу следует принимать часто (5–6 раз в день) мелкими порциями. При обострении язвенной болезни необходимо исключить вещества, являющиеся сильными возбудителями желудочной секреции:
- алкоголь,
- блюда с экстрактивными веществами (мясные, рыбные, грибные, овощные бульоны),
- черный хлеб,
- жирные и жареные блюда,
- соленья,
- копчености,
- кофе,
- крепкий чай,
- продукты, богатые эфирными маслами (редька, лук, чеснок, хрен, корица),
- консервы,
- газированные напитки.
Можно употреблять продукты, являющиеся слабыми раздражителями желудочной секреции:
- молоко,
- сливки,
- творог,
- яичный белок,
- мясо, птица, рыба, освобожденные от кожи, фасций, сухожилий,
- из овощей — вареные, тушеные картофель, морковь, кабачки, цветная капуста,
- супы слизистые, молочные, крупяные (из риса, гречневой, овсяной и манной круп), на втором бульоне,
- суфле мясное, рыбное, куриное, творожное.
Стараться избегать стрессовых ситуаций.
Следует отказаться от курения. Курение воздействует на защитный барьер слизистой оболочки желудка, делая его более восприимчивым к развитию язв. Табакокурение также увеличивает кислотность желудочного сока и замедляет заживление слизистой.
Также необходимо исключить употребление алкоголя. Злоупотребление алкоголем может вести к раздражению и разъеданию слизистой оболочки желудка, вызывая появление воспаления и кровотечения.
По возможности следует исключить приём нестероидных противовоспалительных средств (НПВП), таких как: Ацетилсалициловая кислота (Аспирин), Ибупрофен (Нурофен), Диклофенак (Вольтарен, Ортофен). Данные лекарственные средства вызывают появление и/или усиление воспаления в желудке.
Вместо этих лекарственных средств при необходимости возможен приём Ацетаминофена (Парацетамол).
Если вы отмечаете у себя наличие симптомов, похожих на проявления язвенной болезни, то вам следует обратиться к врачу гастроэнтерологу или терапевту по месту жительства.
Стеноз выходного отдела желудка и двенадцатиперстной кишки
Стеноз – это сужение выходного отдела желудка, в результате чего нарушается нормальное продвижение пищи из желудка в двенадцатиперстную кишку. Обычно сопровождается расширением желудка.
Стеноз может быть врожденным, а может - приобретенной патологией.
Вторичный стеноз развивается вследствие рубцевания язв, локализующихся в области привратника или двенадцатиперстной кишки, доброкачественных или злокачественных опухолей желудка или безоаров (инородных тел - комков из волос или другого случайно проглоченного материала, который не поддаётся перевариванию). Состояния, вызывающие отёк, спазм или воспаление, могут ещё больше сузить выходное отверстие и усилить уже существующий стеноз.

Записаться на консультацию Первая консультация бесплатно!
Симптомы в зависимости от стадии заболевания
Различают следующие стадии заболевания: формирующийся; компенсированный; субкомпенсированный; декомпенсированный.
Для формирующегося стеноза привратника четкой клинической картины нет.
Компенсированный стеноз характеризуется появлением чувства тяжести и переполнения в верхней половине живота. Нередко появляется тошнота после приема пищи. Часто больные вызывают рвоту для облегчения своего состояния.
Субкомпенсированной стеноз проявляется ощущением тяжести и переполнения в подложечной области, иногда сочетается с болью. Отмечается частая отрыжка большим количеством воздуха и желудочным содержимым неприятного вкуса. Рвота становится почти ежедневной. Развивается прогрессирующее похудание, обезвоживание, понижение тургора кожи.
В декомпенсированной стадии стеноза желудок не освобождается от пищи. Рвота становится регулярной и, как правило, содержит остатки пищи, съеденное накануне. Боль приобретает постоянный характер. Общее состояние резко ухудшается, нарастают истощение и обезвоживание, появляются судороги, нарушения электролитного обмена и симптомы азотемии (слабость, головная боль, жажда, зловонный запах изо рта, олигурия и др.). Отмечается западение нижней половины живота и выпячивание подложечной области за счет растянутого желудка.
Диагностика
Для диагностики используются рентгенография и фиброгастроскопия.
Лечение
Больным с суб- и декомпенсированным стенозом необходима комплексная предоперационная подготовка, включающая: коррекцию водно-электролитного обмена, белкового состава, волемических нарушений, деятельности сердечно-сосудистой системы; борьбу с атонией желудка: промывание, стимулирующая терапия.
Больных без выраженных нарушений моторики желудка (стадии формирующегося и компенсированного стенозов) могут быть оперированы после сравнительно небольшого (5-7 дней) периода предоперационной подготовки (противоязвенная терапия, декомпрессия желудка).
Операции
Виды оперативных вмешательств зависят от стадии пилородуоденального стеноза. Возможны следующие варианты: гастроэнтеростомия; резекция желудка (при декомпенсированном стенозе из-за значительного угнетения моторной функции – это операция выбора); ваготомия с дренирующими желудок операциями.
Резекция желудка Удаление части желудка (от 1/3 до 3/4)
Доступ - лапаротомический или лапароскопический
Время пребывания в стационаре - от 2-х суток
Стоимость операции: от 60450 руб. *
(без учета стоимости наркоза и пребывания в стационаре)
Читайте также:
