Десмопластическая фиброма - лучевая диагностика
Добавил пользователь Владимир З. Обновлено: 03.11.2025
Десмопластическая фиброма - лучевая диагностика
а) Терминология: 
• Редкая доброкачественная костная опухоль, состоящая из веретеновидных клеток с минимальной клеточной атипией
 (Слева) Рентгенография в ПЗ проекции: умеренно агрессивный, вспученный литический диафизарный очаг с псевдотрабекуляцией и патологическим переломом в дистальном отделе. Данные признаки не специфичны. Двумя наиболее вероятными диагнозами являются неоссифицирующая фиброма и десмопластическая фиброма. 
(Справа) МРТ, аксиальная проекция, режим Т1: внутрикостный очаг у этого же пациента В, характеризующийся сигналом, интенсивность которого немногим ниже сопряженной мышцы. Визуализируется выраженная вспученность малоберцовой кости. Такие признаки неспецифичны, однако сигнал очень низкой интенсивности предполагает наличие фиброзного очага. (Слева) МРТ, аксиальная проекция, режим Т2, с подавлением сигнала от жира: у этого же пациента определяется область преимущественно низкоинтенсивного сигнала, окруженная зоной умеренно выраженного отека. Низкоинтенсивный сигнал занимает большую часть патологического очага. Десмопластическая фиброма является внутрикостной формой фиброматоза или мягкотканного десмоида. Такое новообразование встречается редко, его наличие можно предполагать при умеренно агрессивном костном очаге, большая часть которого имеет сигнал низкой интенсивности в режиме Т2. 
(Справа) МРТ, сагиттальная проекция, режим Т1, с подавлением сигнала от жира и контрастированием, этот же пациент: очаге контрастным усилением. 
б) Визуализация: 
• Локализация: возможно поражение любой кости; чаще всего поражается нижняя челюсть: 
о Круглые кости: метадиафизарное или диафизарное расположение 
• Наилучшее средство визуализации: МРТ; используется для оценки области поражения 
• Преимущественно неагрессивный очаг с легкими агрессивными признаками 
• Рентгенография: литический очаг (в 13% случаев может иметь минимальную зону склероза): 
о Псевдотрабекуляция в 63% 
о Географический или частично географический характер очага в 95% 
о В 53% наблюдается слабовыраженный прорыв кортикального слоя с ассоциированным мягкотканным компонентом 
• КТ: литический очаг в 65%: 
о Смешанный литический и умеренно склеротический очаг в 35% 
о В 88% определяется прорыв кортикального слоя; в 41 % — мягкотканный компонент 
• МРТ, режим Т1: низкая интенсивность сигнала (изо- или гипоинтенсивный по отношению к мышце): 
о Последовательности, чувствительные к жидкости (с подавлением или без подавления сигнала от жира): изо- или гипоинтенсивный сигнал по отношению к мышце 
о Сигнал низкой интенсивности в режиме Т2 охватывает не менее 50% очага 
о Сигнал низкой интенсивности в режиме Т2 является наиболее значимым дифференциально-диагностическим признаком 
о Может искажаться на фоне отека и кровоизлияния в зоне патологического перелома 
о Контрастное усиление: неоднородное накопление контрастного вещества 
• Диагноз следует предполагать при наличии неагрессивного, несклеротического костного очага с низкоинтенсивным сигналом в режиме Т2
в) Клинические особенности: 
• Чаще всего встречается у подростков и лиц молодого возраста (диапазон значительно шире) 
• Редкое новообразование: 0,1% от первичных опухолей кости
Десмоидные фибромы
Десмоидные фибромы - это опухоли мезинхимальной природы, которые относятся к классу пограничных опухолей, так как не метастазируют, однако склонны к агрессивному местному росту и частому рецидивированию. Десмоидные фибромы (ДФ) могут развиваться из мышечно-апоневротических структур практически любой анатомической области тела, включая брюшную стенку, грудную стенку, конечности, шею, в ряде случаев наблюдается мультифокальный рост опухолей.
В зависимости от локализации выделяют:
- абдоминальные десмоидные фибромы (опухоли передней брюшной стенки)
 - интраабдоминальные (опухоли забрюшинного пространства)
 - экстраабдоминальные (опухоли туловища, конечностей)
 - мультифокальные (множественные опухоли различных локализаций)
 
Причины возникновения десмоидных фибром
Как правило, пациенты обращаются к врачу по поводу безболезненного опухолевого образования, болевые ощущения и другие симптомы обычно связаны с вовлечением в опухолевый процесс близлежащих структур. Большинство пациентов с десмоидными фибромами экстраабдоминальной локализации связывают появление опухоли с предшествующей травмой. Десмоидные фибромы абдоминальной локализации зачастую развиваются у женщин после беременности или кесарева сечения. Интраабдоминальные десмоидные фибромы чаще всего сочетаются с полипозом толстой кишки (синдрома Гарднера).
Десмоидные фибромы-диагностика
- Морфологическая верификация опухоли при помощи выполнения трепан-биопсии или открытой биопсии.
 - Магнитно-резонансная томография или компьютерная томография опухоли. Эти исследования позволяют адекватно оценить распространенность опухолевого процесса, прилежание опухоли к магистральным сосудисто-нервным структурам, степень вовлечения прилежащих анатомических структур и как следствие сделать вывод о возможности проведения хирургического лечения.
 - Также всем пациентам с диагнозом десмоидная фиброма рекомендовано проведение колоноскопии для исключения полипоза толстой кишки.
 
Десмоидная фиброма-лечение
Группа специалистов (хирурги, радиологи, онкологи, морфологи) задействованы в лечении опухоли. После постановки диагноза десмоидная фиброма вариант лечения подбирается индивидуально для каждого пациента. К числу доступных вариантов лечения пациентов относятся динамическое наблюдение, хирургическое лечение, лучевая терапия и системная терапия (гормональные препараты, химиотерапия).
В зависимости от локализации опухоли возможны различные варианты хирургического лечения. Для достижения лучших онкологических и косметических результатов применяются различные виды пластики послеоперационного дефекта после удаления опухли.
При абдоминальных десмоидных фибромах пластика производится композитной сеткой. При экстраабдоминальной локализации опухоли в качестве пластического компонента могут быть использованы местные ткани, перемещенные или пересажанные лоскуты, а также различные виды модульных эндопротезов в случае вовлечения кости в опухолевый процесс. Помимо хирургического лечения в нашем Институте изучены и внедрены в практику эффективные схемы системного лекарственного лечения, а также лучевая терапия. Все описанные выше методы лечения могут применятся как отдельно, так и в комбинации для достижения наилучшего результата.
Десмоидная фиброма-прогноз заболевания
Так как десмоидные фибромы не относятся к злокачественным опухолям, прогноз заболевания благоприятный. Проведение радикальной операции позволяет снизить риск рецидива.
Филиалы и отделения, где лечат десмоидные фибромы
МНИОИ им. П.А. Герцена – филиал ФГБУ «НМИЦ радиологии» Минздрава России.
Отделение хирургического лечения центральной нервной и костно-мышечной систем
Врач-онколог ЯДРИНА Анна Викторовна
Десмопластическая фиброма - лучевая диагностика
Сокращения:
КТ — компьютерная томография
МРТ — магнитно-резонансная томография
Введение
Десмопластическая фиброма — редкое доброкачественное новообразование костей, характеризующееся локальной агрессивной инфильтрацией фибробластами, миофибробластами и зрелым коллагеном костной ткани, что может привести к компрессии жизненно важных структур, таких как сосуды и нервы [1]. По данным литературы, десмопластическая фиброма составляет около 0,06% всех костных опухолей и 0,3% всех доброкачественных новообразований костной ткани [2]. Самой распространенной локализацией опухоли является поражение нижней челюсти (20—25% случаев), вторыми по частоте являются бедренные кости (15%), далее — кости таза (13%), лучевые кости (12%) и большеберцовая кость (9%) [3]. Этиология и патогенез этой патологии не изучены, однако существуют теории, что на возникновение опухоли влияют генетические, эндокринные и травматические факторы [4].
В клинической картине десмопластическая фиброма не имеет патогномоничных признаков и на ранней стадии заболевания протекает бессимптомно [5]. В дальнейшем она проявляется как безболезненные или малоболезненные узловые образования на конечностях, шее и костях черепа, при этом жалобы пациентов связаны с компрессией образованием соседних структур, сосудов и нервов. Также при поражении костей лица возможны косметические дефекты [6].
Диагноз «десмопластическая фиброма» может быть поставлен только при выполнении гистологического исследования ткани опухоли. Данные лучевых методов исследования (компьютерной томографии — КТ, магнитно-резонансной томографии — МРТ) не специфичны, тем не менее они дают представление о размерах образования, его распространении в соседние анатомические области. Эта информация является базовой для определения тактики лечебно-диагностических мероприятий [7].
Лечение десмопластической фибромы — только хирургическое. Лучевые методы и химиотерапия, по данным литературы, не обладают достаточной эффективностью, а риск побочных эффектов превышает пользу терапии [8].
Приводим собственное наблюдение десмопластической фибромы клиновидной пазухи.
Клинический случай
Пациентка Б., 41 год, поступила в НМИЦН им. акад. Н.Н. Бурденко 10.02.20 с жалобами на интенсивные головные боли, сопровождающиеся подъемом артериального давления, снижением зрения на правый глаз.
Из анамнеза известно, что вышеперечисленные жалобы беспокоили в течение длительного времени (около 2 лет) с постепенным нарастанием. Выраженные головные боли появились после родов, около 2 мес назад, тогда же начала отмечать снижение зрения. Обратилась к неврологу по месту жительства и была направлена в НМИЦН им. акад. Н.Н. Бурденко для дальнейшего обследования и лечения.
При поступлении: общее состояние удовлетворительное.
Инструментальное исследование лор-органов: спинка носа по средней линии, при передней риноскопии — слизистая оболочка полости носа розовая, влажная, в носовых ходах патологического отделяемого нет, носовое дыхание не затруднено; при эндоскопии эндоскопом 0° — носовые раковины не увеличены, потологических выделений в области соустий верхнечелюстной и клиновидной пазух нет, отверстие слуховой трубы визуализируется с двух сторон, мягкое нёбо подвижно. Другие лор-органы — без патологических изменений.
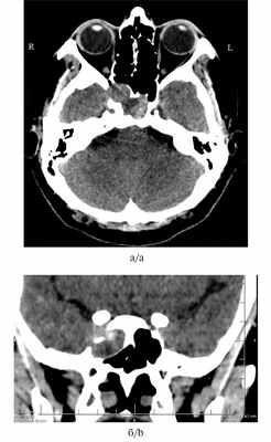
Консультация нейроофтальмолога: смыкание век полное, острота зрения OD=0,9—1,0, OS=0,9—1,0. Поля зрения не изменены, корнеальные рефлексы справа и слева в норме, реакция на свет удовлетворительная, конвергенция в норме, движение глазных яблок в полном объеме, справа и слева диск зрительного нерва розовый, границы четкие, артерии не изменены, вены умеренно полнокровны. Признаки застойных зрительных дисков отсутствуют, нейроофтальмологической симптоматики нет. На компьютерной томограмме околоносовых пазух определяется новообразование клиновидной пазухи справа с деструкцией костей средней черепной ямки (рис. 1а, 1б).
 
Рис. 1. Пациентка Б. Компьютерная томография носа и околоносовых пазух.
а — аксиальная проекция; б — фронтальная проекция. Десмопластическая фиброма клиновидной пазухи справа с деструкцией костей средней черепной ямки.
На основании результатов обследования сформулирован клинический диагноз: новообразование клиновидной кости неопределенного характера с деструкцией основания черепа в проекции латеральной стенки основной пазухи (D48.0). Определены показания к хирургическому вмешательству — эндоскопическому удалению новообразования с одномоментной пластикой дефекта основания черепа.
Пациентке 11.02.20 под внутривенной анестезией под контролем 4-миллиметрового эндоскопа 0° проведена латерализация средней носовой раковины справа. Естественное соустье правой клиновидной пазухи было расширено пистолетными кусачками до размера 10×15 мм. В полости пазухи выявлено образование большого размера, покрытое тонкой костной капсулой. После вскрытия капсулы стала видна опухоль плотноэластичной консистенции. При проведении срочного гистологического исследования не исключалась оссифицирующая фиброма. С помощью бора были удалены задние отделы перегородки носа, передняя стенка и межпазушая перегородка клиновидной пазухи. Новообразование с большим трудом отсепаровано от стенок пазухи и удалено несколькими фрагментами. В процессе удаления опухоли в левой половине пазухи была обнаружена и вскрыта киста (мукоцеле). После удаления новобразования выявлен костный дефект верхнелатеральной стенки клиновидной пазухи справа размером 4 мм, в который пролабировала твердая мозговая оболочка с признаками патологической пульсации без ликвореи. При помощи микрокусачек Блексли и микрораспатора в область дефекта уложен свободный лоскут слизистой оболочки, взятый из задних отделов перегородки носа, а полость клиновидной пазухи справа заполнена гемостатической губкой, с помощью которой выполнена фиксация лоскута слизистой оболочки в области дефекта. Интраоперационный гемостаз выполнялся с помощью монополярной коагуляции, тампонады гемостатической губкой. Кровопотеря во время операции составила 150 мл. В левую половину носа установлен эластичный тампон. Правая половина носа не тампонировалась.
Заключение гистологического исследования операционного материала: биоптат представлен фрагментами опухоли фиброзной ткани, характеризующейся упорядоченной структурой пучков коллагена и расположенными между ними фибробластами с умеренным полиморфизмом. Отмечаются оссификаты.
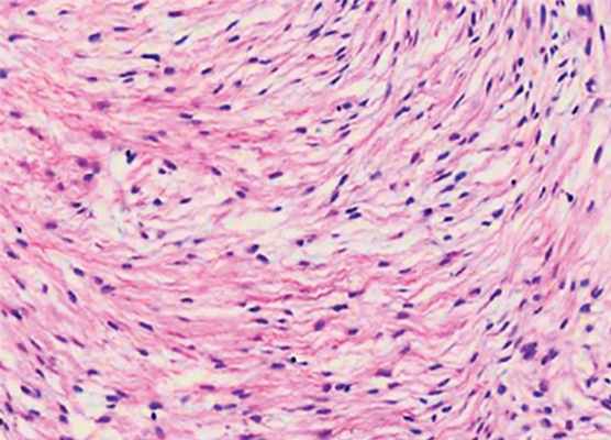
Иммуногистохимическое исследование: положительная экспрессия виментина, актина, ядерная экспрессия β-катенина. Морфологическая картина соответствует десмопластической фиброме (рис. 2).
 
Рис. 2. Микрофотография, демонстрирующая особенности десмопластической фибромы.
Фрагменты опухоли, характеризующейся упорядоченной структурой пучков коллагена (1) и расположенными между ними фибробластами (2) с умеренным полиморфизмом. Окраска гематоксилином и эозином, ув. ×200.
Послеоперационный период протекал без осложнений, ликворея и носовое кровотечение отсутствовали. На 3-и сутки после вмешательства пациентка в удовлетворительном состоянии была выписана на амбулаторное наблюдение.
Представлено описание диагностики и хирургического лечения редко встречающегося в клинической практике новообразования — десмопластической фибромы клиновидной пазухи. Впервые эта патология как самостоятельное заболевание была описана в 1958 г. доктором Джеффри Яффе, хотя термин «десмоид» (от греч. desmos — группа/связки) был предложен ранее, в 1838 г., Иоганном Мюллером [9].
Этиология десмопластической фибромы является малоизученной. V. Fornasico и соавт. [10] считают, что возникновение этой опухоли является одним из признаков фиброматоза десмоидного типа. У пациентов с этим заболеванием выявляются соматические мутации в 3-м экзоне гена CTNNB1 (ген, кодирующий β-катенин). Мутации в гене CTNNB1 приводят к накоплению β-катенина в ядре фибробластов, что, в свою очередь, нарушает путь дифференцировки клетки и межклеточные взаимосвязи и ведет к образованию опухолей [11]. Однако, по данным E. Hauben и соавт. [12], мутации в гене CTNNB1 могут отсутствовать, а опухоль может возникнуть под воздействием травмы или эндокринных нарушений. В представленном наблюдении у пациентки опухоли другой локализации отсутствовали. Кроме того, анализ анамнестических сведений не выявил признаков или симптомов, указывающих на фиброматоз среди родственников пациентки. Обращает на себя внимание тот факт, что симптомы, послужившие поводом обращения к врачу, усилились спустя 2 мес после родов.
Клинически десмопластическая фиброма имеет сходство с другими доброкачественными новообразованиями полости носа и околоносовых пазух. При этом симптомы зависят от локализации опухоли, а также от скорости развития заболевания и степени воздействия опухоли на окружающие структуры. В связи с этим дифференциальный диагноз включает в себя целый спектр заболеваний: фиброзно-костную дисплазию, аневризмальную костную кисту, фиброму, полипы, злокачественные опухоли [13]. Рентгенологические методы исследования, такие как КТ или МРТ, обычно используются для диагностики и выявления характерных признаков опухоли, планирования хирургического доступа. КТ позволяет определить плотность новообразования, границы и степень его распространения. На КТ-изображениях десмопластическая фиброма обычно выглядит как очаг деструкции костной ткани, который может иметь неправильный трабекулярный или ячеистый вид [14].
На МРТ-изображениях десмопластические фибромы имеют гетерогенный вид; неусиленные изображения, в T1-режиме, характеризуются неспецифической низкой интенсивностью сигнала, в то время как изображения в T2-режиме отличаются промежуточной или высокой интенсивностью сигнала в областях с низкой интенсивностью [15]. Однако все эти признаки неспецифичны, поэтому опухоль может маскироваться под фиброзную дисплазию, гигантоклеточную опухоль, хондромиксоидную фиброму, аневризмальную костную кисту. Разрушение костной ткани является типичным для десмопластической фибромы, вследствие этого в спектр дифференциального диагноза также входят злокачественные образования, такие как остеосаркома, фибросаркома [16].
Методом выбора для лечения десмопластической фибромы является радикальное хирургическое удаление опухоли. Химиотерапия или лучевая терапия могут быть рассмотрены для пациентов, у которых имеются абсолютные противопоказания к операции, либо при отказе пациента от хирургического вмешательства [17].
Выбор хирургического доступа зависит от локализации, объема опухоли и ее распространения в соседние структуры [18]. При расположении десмопластической фибромы в области околоносовых пазух применяются различные хирургические подходы, такие как доступ по Caldwell—Luc, эндоскопическое эндоназальное удаление опухоли. Поскольку по структуре опухоль плотная, во время операции применяют высокоскоростные боры и инструменты, необходимые для удаления костных опухолей. Также хирургу необходимо быть готовым к выполнению пластики дефекта основания черепа в связи с разрушением костей опухолью [19].
В литературе описаны единичные случаи десмопластической фибромы околоносовых пазух и основания черепа. С 1990 по 2020 г. в медицинской базе данных PubMed было найдено описание 8 клинических случаев десмопластической фибромы околоносовых пазух, которые сравниваются с опытом НМИЦН им. акад. Н.Н. Бурденко [20]. Сводные данные по опубликованным случаям десмопластической фибромы околоносовых пазух приведены в таблице.
Из данных таблицы видно, что в основном опухоль поражает верхнечелюстную пазуху. Поражение клиновидной пазухи является крайне редким и описано, в частности, в статье D. Gnepp и соавт. в 1996 г. [20]. Опухоль в основном возникает у молодых людей, хотя в настоящем случае клинические проявления образования манифестировали после 30 лет. Все авторы сообщают о хирургическом лечении опухоли. В связи с тем, что в основном образование локализуется в верхнечелюстной пазухе, в литературе описано применение экстраназальных доступов. В представленном в настоящей статье случае был применен эндоскопический эндоназальный доступ с хорошим результатом. Проведенное гистологическое исследование выявило морфологическую картину и иммунофенотип десмопластической фибромы без признаков малигнизации.
Таблица. Клинические наблюдения десмопластической фибромы околоносовых пазух и основания черепа
Фиброма

Фибромы — группа доброкачественных новообразований, поражающих различные ткани человеческого организма. Опухоли формируются из коллагеновых волокон, обладающих различной плотностью и эластичностью. Очаги патологии могут располагаться на коже, костях и стенках внутренних органов детей и взрослых. Онкологи рассматривают фиброматоз как предраковое состояние.
Общие сведения
Одиночные или множественные фибромы могут поражать легкие, молочные железы, печень, кожные покровы, слизистую оболочку ротовой полости и т. д. Разрастание соединительной ткани происходит под действием различных факторов: неблагоприятной экологической обстановки, тяжелых травм, бактериальных или вирусных инфекций. При постановке диагноза и разработке стратегии лечения пациента дерматологи, онкологи и хирурги учитывают данные лабораторных исследований. Сведения о морфологии новообразования позволяют врачам оценить риск его злокачественного перерождения.
Причины развития патологии
Причины появления фибром многообразны. Врачи выделяют несколько факторов, способствующих формированию новообразований из соединительной ткани в организмах пациентов:
- систематическое употребление алкоголя и табака;
 - повторяющиеся травмы кожи, мышц, костей;
 - неблагоприятная экологическая обстановка в регионе проживания;
 - преобладание в рационе детей и взрослых жирных, острых и сладких блюд;
 - вирусные и бактериальные инфекции;
 - угнетение иммунитета на фоне приема иммунодепрессантов.
 
Часто врачи диагностируют фиброматоз у лиц, работающих на химических производствах. Доброкачественные опухоли кожи могут развиваться под действием избыточной инсоляции. Поражения внутренних органов нередко становятся следствием эндокринных нарушений.
Врачи используют несколько типологий фибром. Наиболее распространенная классификация учитывает локализацию опухолевого очага: патологический процесс может затрагивать кожные покровы (пример — десмоидный фиброматоз), внутренние органы (фиброзы матки, молочной железы, легких), слизистые оболочки полостей тела (фиброма десны), костные ткани (неостеогенный фиброматоз).

Десмоидные новообразования формируются на коже спины, конечностей и грудной клетки. Внешне опухоль выглядит как нарост с бугристой поверхностью диаметром до 50 миллиметров. Около 5% пациентов сталкиваются со злокачественным перерождением опухолей — небольшая фиброма на коже плеча или бедра может привести к развитию рака кожи.
Фиброзные поражения матки и других внутренних органов человеческого тела могут затрагивать различные ткани: мышечные, эпителиальные, железистые. Часто заболевания протекают бессимптомно, очаг патологии обнаруживается случайно — во время ультразвукового исследования, магнитно-резонансной томографии или рентгенографии.
Одонтогенные новообразования формируются в полости рта. Патологический процесс развивается медленно, пациент не испытывает болезненных ощущений. При отсутствии лечения опухоль может достичь значительных размеров и привести к деформации челюсти.
Неостеогенные опухоли образуются в бедренной кости и провоцируют разрушение трубчатых костей скелета. В запущенной стадии заболевание становится причиной патологического перелома кости. Редко (3–5% клинически диагностируемых случаев) новообразование уменьшается в размерах без хирургического вмешательства. Другие виды костных опухолей отличаются агрессивным ростом. Так, десмопластическая фиброма способна увеличиться в объеме вдвое за 2–3 недели.
Симптомы
Развитие опухолевого процесса сопровождается умеренными болями и ощущением распирания. В 55–60% случаев патология протекает бессимптомно. Вероятность проявления специфических признаков фиброматоза зависит от типа и локализации новообразования. Фиброматоз хрящевых тканей характеризуется нарастающей симптоматикой — от легких болей при совершении движений до полной утраты подвижности верхней или нижней конечностью.
Специфическая симптоматика формируется при поражении фибромой внутренних органов пациента. Так, фиброз матки может стать причиной кровотечений, не связанных с менструальным циклом девушки. Фиброзные поражения легких провоцируют затруднение дыхания и появление у ребенка или взрослого одышки после непродолжительной физической нагрузки.
Диагностические мероприятия

Диагностика фибром выполняется врачами различных специализаций — дерматологами, онкологами, хирургами, гинекологами и т. д. Методы подтверждения первичного диагноза определяются локализацией доброкачественного новообразования. На первом этапе обследования пациенты получают направление на рентгенографию. Компьютерная томография позволяет установить точные размеры опухоли и выявить признаки ее инвазии в прилежащие органы.
Фиброзные образования в костной и хрящевой ткани выявляются в процессе сцинтиграфии. В случае необходимости врач может выполнить забор биоптата для проведения лабораторных исследований. Микроскопия полученных биоматериалов позволит врачам оценить морфологическое строение клеток опухоли и вероятность их злокачественного перерождения.
Доброкачественные новообразования органов репродуктивной системы женщин часто выявляются при проведении ультразвуковых исследований. Очаг патологического процесса обладает меньшей эхогенностью в сравнении с прилежащими тканями.
Лечение

Тактика лечения фибромы определяется врачом после прохождения пациентом диагностических процедур. При незначительных размерах опухоли и локализации патологического очага на кожных покровах применяется консервативный подход. Дерматофибромы могут раствориться под действием инъекций стероидных препаратов. Хирургическое вмешательство выполняется в случае высокого риска малигнизации опухоли.
Удаление фибром осуществляется несколькими способами. Мелкие опухоли на коже иссекаются с помощью лазера. Преимущества подобного метода — минимальные сроки реабилитации и высокая эффективность.
Удаление фиброзных образований посредством электрического ножа позволяет минимизировать риск возникновения кровотечения (мелкие сосуды запаиваются под действием тока). В качестве альтернативного метода удаления разросшихся коллагеновых волокон хирург может избрать радиоволновой нож. Использование этого оборудование снижает травматизм здоровых тканей пациента.
Прогноз и профилактика
Своевременное обращение пациентов за медицинской помощью позволяет врачам формировать благоприятный прогноз в 75–80% случаев. Вероятность полного выздоровления ребенка или взрослого снижается при запущенном течении фиброматоза или присоединении к заболеванию вторичных патологий.
Профилактические меры просты — пациентам рекомендуется избегать повторяющихся травм кожных покровов, мягких тканей и костей. Лицам, работающим на вредных производствах, необходимо регулярно проходить профилактические осмотры. Детям и взрослым следует придерживаться здоровой диеты и включать в рацион необходимое количество витаминов и минералов.
Диагностика и лечение фибром в Москве
АО «Медицина» (клиника академика Ройтберга) обладает всем необходимым оборудованием для диагностики и лечения фиброматозов различной локализации. Прием пациентов осуществляется в современном диагностическом комплексе, построенном с учетом последних достижений медицины.
Вопросы и ответы
Какой врач занимается лечением фибром?
Лечение доброкачественных новообразований осуществляется дерматологом, хирургом или онкологом. При осложненном течении заболевания пациентам могут потребоваться консультации врачей других специализаций.
Какова продолжительность реабилитации после удаления доброкачественного новообразования?
После удаления мелких опухолей пациентам требуется 10–14 дней на восстановление. Хирургические вмешательства, сопряженные с поражениями внутренних органов, могут потребовать более длительной реабилитации (2–4 недели).
Как оценить риск злокачественного перерождения новообразований из соединительной ткани?
Вероятность малигнизации патологического очага определяется врачом после проведения лабораторных исследований. Анализы выполняются сотрудниками лабораторий в течение 1–2 дней после получения биоматериалов от пациентов.
КЛИНИЧЕСКАЯ И РЕНТГЕНОЛОГИЧЕСКАЯ КАРТИНА ДЕСМОПЛАСТИЧЕСКОЙФИБРОМЫ НИЖНЕЙ ЧЕЛЮСТИ

В работе представлены результаты клинического наблюдения пациентки в возрасте 41 года, которая по системе обязательного медицинского страхования была госпитализирована в отделение челюстно-лицевой хирургии и стоматологии многопрофильного стационара с редким заболеванием костной ткани нижней челюсти - десмопластической фибромой. Наблюдение осуществляется в течение 3-х лет. Представлена клиническая, рентгенологическая картина заболевания и результаты инструментального и гистологического исследования редко встречающейся онкостоматологической патологии.
Ключевые слова
Полный текст
Десмопластическая фиброма костной ткани - редкая, локально агрессивная, доброкачественная опухоль, локализующаяся в костной ткани. На сегодняшний день в отечественной литературе имеются лишь единичные сведения клинических наблюдений пациентов с данной патологией. В 1838 году немецкий физиолог и анатом Ио- ганн Мюллер ввел термин "десмоид" (от греч. "desmos" - "группа / связки"). Впервые эта но- зологическая форма была описана в 1958 году доктором джеффри Яффе, который выделил эту патологию в качестве самостоятельного за- болевания, отделив от других внутрикостных волокнистых опухолей. д. Яффе описал дес- моидную фиброму бедренной кости, больше- берцовой кости, а также лопатки. Интересно отметить, что в обзоре, проведенном Crim J.R. с соавторами в 1989 году указано, что из всех 114 описанных на тот момент в литературе слу- чаев десмопластической фибромы костей, по- ражения нижней челюсти составили только 30 случав [2]. На сегодняшний день поражение нижней челюсти по данным различных авторов происходит в 20-25% случаев. В 1965 году Griffith J.G. и Irby W.B. впервые представили общественности доклад о десмо- пластической фиброме нижней челюсти [4]. С этого времени в литературе стали появляться описания клинических случаев этой патоло- гии. В базе данных международной литературы PupMed были описаны 57 случаев (с 1969 по 2015 год) десмопластической фибромы в обла- сти нижней челюсти. данный факт подтверждает редкую встречаемость этого заболевания. Проведенный анализ отечественной и зарубеж- ной литературы показал, что десмопластическая фиброма составляет около 0,06% всех костных опухолей и 0,3% всех доброкачественных ново- образований костной ткани [2, 4, 7]. Причины развития данного заболевания неизвестны, хотя имеются предположения, что на возникнове- ние могут оказывать влияние генетические, эн- докринные и травматические факторы [7, 10]. десмопластическая фиброма обычно встреча- ется у взрослых людей во второй или третьей декаде жизни, хотя имеются данные о развитии заболевания и в детском возрасте. Локализация образования в нижней челюсти является наибо- лее частой среди всех костей лицевого скелета. Патогомоничные симптомы десмопластической фибромы не отмечены [8]. По данным литературы десмопластическая фиброма имеет частоту рецидивов от 37% до 72% [1, 3], резекция пораженной кости являет- ся предпочтительной терапией, и в идеале он должен быть в виде единого блока резекции [9]. Случаи, в которых по анатомическим соображе- ниям ограничивается резекция, альтернативной терапией является кюретаж. Средняя частота рецидивов после выскабливания составляет 55% [1]. Также применяется лучевая и химиоте- рапия, которая не обладает такой эффективно- стью, как предыдущие методы лечения, и счита- ется опасной для доброкачественных опухолей. Применяется при невозможности проведения последних, или при отказе пациента хирургиче- ского вмешательства [5, 6]. 110 Вестник Северо-Западного государственного медицинского университета им. И.И. Мечникова КЛИНИЧЕСКИЙ СЛУЧАЙ В специализированную клинику многопро- фильного стационара обратилась пациентка 41 года по поводу новообразования нижней челю- сти (предположительно фибромой). Из анам- неза установлено, что в 2012 году пациентке по поводу обострения хронического периодонтита удалили 3.6 зуб. Вместе с зубом также удали- ли гранулему в области верхушек корней зуба. В мае 2013 года пациентка стала предъявлять жалобы на бессимптомную асимметрию лица за счет припухлости в области моляров ниж- ней челюсти слева и обратилась в ЦРБ Сверд- ловской области. После клинико-рентгеноло- гического исследования, а также выполненной компьютерной томографии у пациентки был об- наружен объемный процесс, локализующийся в теле и ветви нижней челюсти слева. Выполнена интраоперационная биопсия, по результатам которой установлен диагноз: одонтогенная фи- брома. После биопсии у пациентки появилось онемение в области моляров нижней челюсти, кожи угла рта и слизистой губ слева. Пациентка поступила в челюстно-лицевой стационар с це- лью уточнения диагноза и оказания специали- зированной медицинской помощи. При осмотре обращала на себя внимание асимметрия в области угла и тела нижней челю- сти слева (рис. 1). Кожа лица обычной окраски, без признаков воспалительных изменений. В полости рта слизистая бледно-розовая, влаж- ная, без видимых патологических изменений. Патологической подвижности зубов, в том чис- ле являющихся опорой мостовидного протеза а) б) в) г) Рис. 1. Пациентка О. 41 года. Внешний вид пациентки: а) лицо во фронтальной проекции; б) лицо в боковой проекции. Вид в полости рта: в) нижняя челюсть лингвально, г) нижняя челюсть вестибулярно (3.5-3.7) не определяется. При пальпации в об- ласти переходной складки определяется выбу- хание костной ткани. данные компьютерной томограммы от 2013 года, с которыми пациентка поступила в специа- лизированное отделение представлены на рис. 2. а) б) в) Рис. 2. Отпечаток компьютерной томограммы пациентки О., от 2013 года: а) Панорамный снимок челюстей; б) поперечный разрез челюстей в месте деструкции; в) 3-х мерная реконструкция пораженного участка. данные компьютерной томографии 2013 года По данным компьютерной томографии опре- деляются очаги деструкции костной ткани не- правильной формы на всем протяжении от ментального отверстия и верхушки 34 зуба до нижнечелюстной вырезки без инкапсуляции. В верхних отделах деструкция принимает вид многоячеистой формы и (или) ткани «изъеден- ной молью». Смещение зубов и резорбции их корней не наблюдается. На всем протяжении пораженного участка челюсти наблюдается раз- рушение кортикальной пластинки как с вести- булярной и язычной стороны. Компьютерная томограмма челюстей выпол- нена повторно, рентгенологическая картина без отрицательной динамики (рис. 3). Пациентке был проведен полный спектр клини- ческого и инструментального обследования: дан- ных за патологию внутренних органов не получено. В условиях операционной выполнена повторная биопсия из ретромолярной области нижней челю- сти слева обширного участка образования. При гистологическом исследовании (рис. 4) выявляются упорядоченная структура пучков Том 9 № 3 2017 111 КЛИНИЧЕСКИЙ СЛУЧАЙ Рис. 3. Отпечаток с 3d-компьютерной томограммы пациентки О., от 2015 года. деструкция костной ткани нижней челюсти слева гической тактике и дальнейшем динамическом наблюдении с выполнением ортопантомограм- мы 2 раза в год с контролем динамики по месту жительства (рис. 5). При наличии отрицатель- ной динамики, угрозе патологического пере- лома планируется повторная госпитализация в специализированный стационар и радикальное хирургическое лечение. На данный момент времени состояние паци- ентки не ухудшилось, отрицательная динамика клинических проявлений и рентгенологической картины отсутствует. Тактика ведения прежняя. коллагеновых волокон местами переплетаю- щихся. Между ними располагаются вытянутые клетки типа фибробластов с полиморфными ядрами без признаков атипизма. Митозы не на- блюдались. Экспрессия Ki 67 маркера проли- феративной активности отмечена в единичных клетках. Между клетками хорошо выражена со- судистая сеть капиллярного типа. Среди волок- нистых структур встречаются единичные очаги костной ткани с признаками гладкой резорбции. Рис. 5. Отпечаток ортопантомограммы пациентки О., от 2016 года б) в) Рис. 4. Гистологические препараты: а) Пучки переплетающихся коллагеновых волокон с клетками типа фибробластов. Окраска гематоксилин и эозин х200; б) Клетки с полиморфными овальными ядрами. Митозы отсутствуют. Окраска гематоксилин и эозин х300 Заключение гистологического исследова- ния: десмопластическая фиброма костей. JCd code 8823/1. Пациентке была рекомендована тотальная резекция левой половины челюсти от 3.3-3.4 зу- бов с экзартикуляцией мыщелкового отростка ВНчС слева и замещением удаленного участка аутотрансплантатом или титановым имплан- татом с протезированием головки мыщелково- го отростка. Учитывая отсутствие отчетливой отрицательной динамики по данным КТ (за 3 года), постоянное место жительства пациента вне города Санкт-Петербурга и желание паци- ента по возможности отсрочить оперативное лечение принято решение о сдержанной хирур-
Читайте также:
