Диафрагментальные грыжи: диагностика, симптомы, лечение
Добавил пользователь Евгений Кузнецов Обновлено: 03.12.2025
Диафрагма является своеобразной перегородкой между грудной и брюшной полостями. Она представлена мышечными волокнами, а в центральной части соединительной тканью.
Диафрагмальной грыжей называют дефекты в виде отверстий или выпячиваний в диафрагме, через которые происходит проникновение органов из брюшной полости в грудную полость.
Принято выделять следующие виды диафрагмальных грыж:
- травматические грыжи, возникающие в результате травматического воздействия;
- врожденные грыжи — они возникают при наличии генетических аномалий развития, встречаются только у новорожденных;
- грыжи пищеводного отверстия диафрагмы (естественного отверстия диафрагмы);
- невропатические грыжи, возникающие в результате нарушения иннервации - возникает избыточное расслабление мышц диафрагмы;
- скользящие грыжи – для них характерно то, что органы брюшной полости самостоятельно возвращаются обратно в брюшную полость.
Среди причин можно выделить предрасполагающие и провоцирующие.
К предрасполагающим можно отнести следующие:
- слабость соединительной ткани;
- возраст старше 50 лет;
- дистрофические изменения мышечного и связочного аппарата;
- травматические повреждения.
К провоцирующим можно отнести следующие:
- беременность;
- хронический запор;
- регулярное переедание;
- поднятие тяжестей;
- частый, интенсивный кашель;
- ожирение;
- хронические заболевания желудочно-кишечного тракта.
При воздействии провоцирующих факторов возникает повышение внутрибрюшного давления, в результате чего и возникает диафрагмальная грыжа.
Клинические проявления диафрагмальной грыжи зависят от ее вида.
Так, травматические грыжи возникают остро.
При наличии грыжи пищеводного отверстия диафрагмы клинические проявления возникают постепенно, нарастая со временем (зависит от размеров грыжи). Длительное время при минимальных размерах грыжевого дефекта может быть полное отсутствие симптоматики.
Выраженные клинические проявления возникают и в том случае, если происходит ущемление органов в грыжевых воротах.
Симптомы диафрагмальной грыжи:
- отрыжка воздухом или желудочным содержимым;
- изжога, которая усиливается при наклонах вперед, горизонтальном положении;
- вздутие живота;
- ощущение урчания в грудной клетке;
- одышка, тахикардия после обильного приема пищи;
- рвота съеденной пищей;
- затруднение прохождения пищи при глотании (дисфагия).
Для ущемления диафрагмальной грыжи характерны такие симптомы:
- интенсивные болевые ощущения в грудной клетке;
- тошнота, рвота;
- вздутие живота.
При возникновении симптомов заболевания необходимо обратиться к врачу-терапевту.
Для подтверждения диагноза проводятся следующие диагностические мероприятия:
- фиброэзофагогастродуоденоскопия (ФГДС) – с помощью датчика с видеокамерой на конце исследуется изнутри пищевод, желудок, 12-перстная кишка. С помощью ФГДС можно обнаружить локализацию данных органов, оценить место перехода пищевода в желудок.
- рентгенологическое исследование с применением рентгеноконтрастного вещества, позволяет увидеть проникновение органов брюшной полости в грудную полость.
- рН-метрия позволяет оценить уровень кислотности в пищеводе и желудке, если в пищеводе кислотность повышена, то это является косвенным признаком грыжи пищеводного отверстия диафрагмы.
Одни и те же симптомы могут быть признаками разных заболеваний, а болезнь может протекать не по учебнику. Не пытайтесь лечиться сами — посоветуйтесь с врачом.
В большинстве случаев больным проводится консервативное лечение, оперативное лечение применяется при наличии ущемленных диафрагмальных грыж, травматических грыж, при значительных размерах диафрагмальных грыж.
Оперативное лечение диафрагмальных грыж заключается в ушивании (пластике) грыжевого отверстия, могут накладываться синтетические сеточки на место грыжевого дефекта. Иногда также применяется фиксация желудка к передней брюшной стенке, либо подшивание дна желудка к стенке пищевода.
Диафрагмальная грыжа
Диафрагмальная грыжа — это транспозиция брюшных органов в полость грудной клетки через отверстие в диафрагме. У некоторых пациентов протекает бессимптомно. Проявляется болью, урчанием в грудной клетке, диспепсией, дисфагией, при больших дефектах — нарушением сердечной деятельности и дыхания. Диагностируется с помощью рентгенографии грудной клетки, эзофагогастроскопии, внутрипищеводной pH-метрии. Для устранения диафрагмальных дефектов используют лапароскопическую фундопликацию, лапаротомную или торакотомную гастропексию, операции Ниссена, Белси, ушивание, пластику, аллопротезирование грыжевого отверстия.
МКБ-10


Общие сведения
Диафрагмальные грыжи были впервые описаны французским хирургом Амбруазом Паре в 1579 году, принадлежат к категории часто встречающихся болезней пищеварительного тракта, составляют до 2% всех видов грыжевых образований. Распространенность патологии возрастает от 10% в молодом возрасте до 50% у 50-60-летних пациентов. Заболевание диагностируют у 7-10% больных, предъявляющих жалобы на боли в груди и нарушения сердечной деятельности.
Врожденные грыжевые дефекты диафрагмы являются одной из распространенных причин мертворождения, выявляются у 1 из 2 000-4 000 живорожденных младенцев, часто сочетаются с другими пороками развития, составляют до 8% всех наследственных и дизэмбриогенетических аномалий.

Причины
Заболевание является полиэтиологическим. Во взрослом возрасте патология зачастую развивается при сочетании нескольких эндогенных или экзогенных провоцирующих факторов, врожденное грыжевое выпячивание формируется в результате генетических мутаций. Специалисты в сфере хирургии и гастроэнтерологии называют следующие группы причин и предпосылок возникновения грыж диафрагмы:
- Аномалии диафрагмальных мышц и пищевода. Недоразвитие отдельных участков и аплазия части диафрагмы может иметь как наследственное, так и дизэмбриогенетическое происхождение. Семейные формы пороков развития, в том числе укорочение пищевода, вероятнее всего наследуются по мультифакторному или аутосомно-рецессивному типу. Грыжи диафрагмальной локализации в сочетании с гипоплазией пальцев, расщеплением неба и верхней губы выявляются у пациентов с синдромом Фринса. Возможной причиной дефекта является воздействие вирусных и токсических мутагенов на 8 неделе гестации.
- Дисплазия соединительной ткани. Наследуемое нарушение синтеза и пространственной организации коллагена, эластина, белково-углеводных комплексов проявляется снижением прочности и повышением эластичности соединительнотканных волокон. При повышении нагрузок на диафрагмальные участки с ослабленными волоконными структурами возможно их растяжение, формирование дефектов. Подтверждением диспластического происхождения части грыж диафрагмы считается сочетание патологии с варикозной болезнью, геморроем, миопией, сколиозом, другими врожденными коллагенопатиями.
- Травматические повреждения диафрагмы. Нарушение целостности диафрагмальных волокон наблюдается при резких ударах в область ребер и живота со значительным смещением пищевода, верхней части желудка, проникающих колотых, режущих, огнестрельных ранах грудной и брюшной полости. У части пациентов грыжа развивается после выполнения операций на диафрагме — чресплевральной, сагиттальной, срединной чрезбрюшинной диафрагмотомии, проводимой для ревизии органов верхнего этажа брюшной полости, при раке желудка, пищевода, резекции печени, дренировании заднего средостения и др.
- Повышение давления в брюшной полости. Играет ключевую роль при наследственной дисплазии соединительной ткани. Вероятность образования грыжи возрастает при тяжелых физических нагрузках, запорах, ожирении, крупных неоплазиях брюшных органов, асцита. Наличие диафрагмальных грыжевых образований подтверждается почти у половины пациентов, страдающих рецидивирующей бронхолегочной патологией с сухим надсадным кашлем (хроническим бронхитом, бронхиальной астмой). В группу риска входят женщины, выносившие многоплодную беременность или родившие нескольких детей.
- Хронические заболевания ЖКТ. Язва желудка, двенадцатиперстной кишки, хронический холецистит, панкреатит могут осложняться гипермоторной дискинезией. В результате продольных сокращений мускулатуры пищевода происходит вертикальная тракция органов ЖКТ, увеличивается нагрузка на фасциальные связки, диафрагмальные сухожилия, растягивается пищеводное отверстие диафрагмы. Аналогичная ситуация возникает при хронических эзофагитах со стойким воспалительным спазмом мышечных волокон или рубцовом укорочении органа после химических, термических, лучевых ожогов.
По мнению ряда авторов, образованию грыж способствует возрастное снижение тонуса диафрагмальных мускульных волокон, мышечная дистрофия после осложненных родов, тяжелых интоксикаций, сепсиса, других неотложных состояний. При нарушениях иннервации происходит локальная релаксация мышцы с образованием так называемых диафрагмальных невропатических грыж.
Патогенез
В основе механизма диафрагмального грыжеобразования лежит расширение естественных отверстий, наличие или возникновение патологических дефектов в диафрагме с перемещением через них в торакальную полость пищеварительных органов. Из трех анатомических отверстий в формировании грыжевых выпячиваний участвует только пищеводное, через которое внутрь грудной полости втягивается гастроэзофагеальный переход с кардиальной частью желудка (скользящая диафрагмальная грыжа) либо желудочное дно, тело, реже — другие отделы органа, петли тонкого кишечника (параэзофагеальная грыжа).
При аплазии мышечных волокон, врожденном расщеплении соединительной ткани в так называемых слабых зонах (люмбокостальная грыжа Бохдалека, ретрокостостернальная грыжа Ларрея-Морганьи, ретростернальные грыжи) дефект диафрагмы существует изначально. Травматические воздействия, высокое абдоминальное давление, локальное мускульное расслабление провоцируют образование патологических диафрагмальных отверстий.
Нетравматические приобретенные грыжевые выпячивания чаще возникают при врожденных коллагенопатиях, способствующих растяжению сухожильных волокон и фасциальных связок. Смещение брюшных органов, их сдавление краями диафрагмальных отверстий, компрессия легких и сердца приводят к формированию характерной клинической картины заболевания.
Классификация
Систематизация форм диафрагмальных грыж учитывает время их возникновения, структуру грыжевого выпячивания, этиологию, локализацию. Такой подход обоснован различием клинической симптоматики, прогноза, врачебной тактики при разных видах заболевания. С учетом основных критериев классификации гастроэнтерологи и общие хирурги различают следующие варианты патологии:
- По времени возникновения: врожденные и приобретенные грыжи. Наследственные и дизонтогенетические грыжевые образования встречаются реже, однако отличаются более тяжелой клиникой и серьезным прогнозом. Грыжи, сформировавшиеся постнатально, зачастую протекают с менее выраженными клиническими симптомами или латентно.
- По структуре грыжевого выпячивания: истинные и ложные грыжи. У истинных грыж есть грыжевой мешок, образованный пристеночными брюшиной и плеврой. У ложных грыжевой мешок отсутствует, а смещенные брюшные органы свободно двигаются внутри грудной клетки. Прогностически более благоприятными считаются истинные грыжевые образования.
- По происхождению и локализации: травматические и нетравматические грыжи. Нетравматические выпячивания бывают ложными врожденными, истинными слабых зон, истинными атипичной локализации, скользящими и параэзофагеальными пищеводного отверстия диафрагмы. В 90% случаев патология представлена грыжами в области отверстия пищевода.
Симптомы диафрагмальных грыж
Клинические проявления заболевания связаны с нарушением работы ЖКТ, дыхательной и сердечно-сосудистой систем. Возможные диспепсические расстройства при грыже представлены отрыжкой воздухом или кислым, постоянной изжогой, которая может усиливаться после еды или при наклонах туловища, метеоризмом, рвотой, не приносящей облегчения.
Характерный симптом — «бульканье» или урчание в груди. Вследствие раздражения диафрагмальных нервов пациентов беспокоят интенсивные загрудинные боли, иррадиирующие в плечо. Также наблюдается тахикардия после приема пищи, одышка, трудности при проглатывании жидкой пищи, ощущение «комка». При небольшом размере грыжи симптоматика болезни может отсутствовать или быть очень скудной.
Для врожденной патологии характерно развитие клинической картины уже в период новорожденности. Клиника зависит от размеров дефекта диафрагмальных тканей. При тяжелом течении симптоматика возникает в первые часы после родов и включает такие проявления, как цианоз кожных покровов, асимметрия грудной клетки, срыгивания, отказ от кормления, дефицит массы тела, нарушения сна, постоянный плач.
У части младенцев из-за смещения брюшных органов формируется ладьевидный живот. При небольших грыжевых отверстиях симптомы грыжи развиваются позже, иногда в позднем детстве после перенесенного инфекционного энтерита, напоминают клинику заболевания у взрослых.
Осложнения
Вследствие расширения пищеводных вен могут возникать острые кровотечения, проявляющиеся кровавой рвотой или меленой. У 50% больных из-за постоянного попадания агрессивного содержимого желудка на слизистую нижней трети пищевода диафрагмальная грыжа эзофагеального отверстия осложняется рефлюкс-эзофагитом (ГЭРБ). Длительное течение ГЭРБ сопровождается метаплазией эпителия с последующей возможной малигнизацией клеток.
Сдавление грыжевого мешка в диафрагмальном отверстии провоцирует ущемление грыжи, при котором наблюдаются процессы ишемии и некроза тканей смещенных органов, возрастает риск вовлечения в деструктивно-воспалительный процесс брюшины с развитием перитонита. В редких случаях грыжа осложняется аспирационной пневмонией. При длительном сдавлении легких, сердца нарастает дыхательная и сердечная недостаточность.
Диагностика
Постановка диагноза диафрагмальной грыжи зачастую затруднена, что обусловлено многообразием и неспецифичностью клинических проявлений, которые могут наблюдаться при других патологических состояниях. Диагностический поиск направлен на подтверждение наличия выпячивания, оценку содержимого грыжевого образования. План обследования пациента включает такие методы, как:
- Рентгенография грудной клетки. Проведение рентгенологического исследования ОГК с контрастным веществом в положении больного по Тренделенбургу считается «золотым стандартом» для диагностики грыжи. Рентгенограмма позволяет оценить локализацию и размеры диафрагмального дефекта, визуализировать интраторакальное проникновение органа или его части.
- Эзофагогастроскопия. Гастроскопия обеспечивает осмотр слизистой оболочки верхних отделов пищеварительного тракта, оценку степени ее повреждения. О наличии грыжи косвенно свидетельствует укорочение расстояния до нижнего пищеводного сфинктера, неполное смыкание кардии желудка, сглаженность складок слизистой клапана Губарева.
- Определение кислотности. Внутрипищеводная рН-метрия помогает верифицировать диагноз рефлюкс-эзофагита, который является самым распространенным осложнением грыжи диафрагмы. Дополнительно проводится кислотно-перфузионный тест Бернштейна с введением в пищевод слабого раствора соляной кислоты, что вызывает усиление симптомов у больных с ГЭРБ.
Лабораторные исследования при грыже диафрагмы недостаточно информативны, поскольку отклонения показателей от нормы обусловлены присоединившимися осложнениями. Для комплексной оценки состояния пищеварительной системы рекомендованы УЗИ, КТ, МСКТ брюшной полости. С целью исключения сердечной патологии выполняется ЭКГ с велоэргометрической пробой, эхокардиография.
Грыжи диафрагмы необходимо дифференцировать с язвой желудка, пилоростенозом, кишечной непроходимостью, рубцовыми эзофагеальными стриктурами, злокачественными новообразованиями пищевода, кардии, ишемической болезнью сердца, абсцессами и кистами легких, экссудативным плевритом, легочной формой туберкулеза, опухолями средостения, повреждениями диафрагмального нерва.

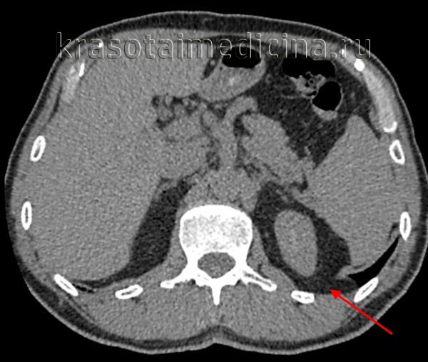
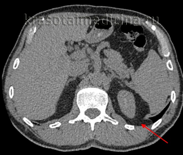
КТ ОБП. Диафрагмальная грыжа Бохдалека слева, связанная с истончением мышцы диафрагмы в задне-медиальных отделах с пролабированием забрюшинной клетчатки в краниальном направлении.
Лечение диафрагмальных грыж
Радикальным методом, позволяющим излечить заболевание, является герниопластика. От операции можно воздержаться при выявлении бессимптомной скользящей грыжи эзофагеального отверстия диафрагмы, обеспечив пациенту диспансерное наблюдение. В остальных случаях смещенные органы в ходе хирургического вмешательства низводятся в брюшную полость, после чего устраняется диафрагмальный дефект при ложных грыжевых образованиях или выполняется пластика при истинных. Новорожденным с выраженной компрессией органов грудной полости операция осуществляется в экстренном порядке. У взрослых герниопластику обычно проводят планово.
При длительно существующих грыжах, осложненных хроническими заболеваниями органов ЖКТ, рекомендовано комбинированное лечение с коррекцией диеты, назначением противоязвенной, противовоспалительной, заместительной энзимной, антибактериальной, прокинетической, спазмолитической, другой этиопатогенетической и симптоматической медикаментозной терапии. Рекомендованными видами вмешательств являются:
- Эндоскопические методики. Лапароскопическая фундопликация применим при грыжевом выпячивании через эзофагеальное отверстие диафрагмы. Формирование околопищеводной муфты из дна желудка с фиксацией к диафрагме и сужением диафрагмального отверстия позволяет устранить грыжевой дефект и восстановить запирательную функцию кардиального сфинктера. Преимуществами лапароскопического вмешательства являются низкая травматичность, сокращение длительности операции, более быстрое послеоперационное восстановление пациента.
- Лапаротомная и торакотомная герниопластика. При параэзофагеальных и скользящих грыжах выполняют гастрокардиопексию, операцию Белси, фундопликацию по Ниссену, Тупе. У остальных пациентов при небольших диафрагмальных отверстиях целостность ткани восстанавливают методом создания дупликатуры. Для устранения больших дефектов проводят аллопластику с установкой нейлонового, тефлонового, капронового протеза. Грыжесечение ущемленной грыжи предполагает ревизию содержимого грыжевого мешка с резекцией нежизнеспособных тканей.
Прогноз и профилактика
При ранней диагностике и адекватной терапии выздоровление наступает у большинства больных. Прогноз относительно благоприятный. В дальнейшем повышается риск развития рецидивов грыжи, особенно после оперативного вмешательства по укреплению диафрагмальных отверстий аллотрансплантатом.
Меры профилактики врожденной формы заболевания не разработаны, однако благодаря УЗИ-скринингу и дородовому выявлению патологии удается снизить риск перинатальной смертности. Для предупреждения развития приобретенной диафрагмальной грыжи необходимо проводить своевременное лечение хронических болезней органов пищеварения и состояний, сопровождающихся повышением внутрибрюшного давления, избегать травм живота и грудной клетки.
3. Эпидемиология, диагностика, лечение травматических диафрагмальных грыж (обзор литературы)/ Плеханов А.Н.// Acta Biomedica Scientifica. - 2011.
4. Грыжа пищеводного отверстия диафрагмы в практике терапевта/ А.В. Тумаренко, В.В. Скворцов.// Крымский терапевтический журнал. - 2015 - №4.
Грыжа пищевода ( Грыжа пищеводного отверстия диафрагмы , Диафрагмальная грыжа , Параэзофагеальная грыжа )
Грыжа пищевода – это рецидивирующее смещение брюшного конца пищевода, кардиального отдела желудка, иногда петель кишечника в заднее средостение через пищеводное отверстие диафрагмы. Проявляется болями в эпигастральной области и грудной клетке, кашлем, рвотой с прожилками крови, икотой. Диагностика основывается на рентгенографии органов брюшной и грудной области, ЭГДС. На начальных этапах грыжа пищевода требует соблюдения некоторых консервативных мероприятий (снижение веса, отказ от тугих ремней и поясов, сон с приподнятым головным концом), при их неэффективности и развитии тяжелой гастроэзофагеальной рефлюксной болезни необходимо оперативное лечение.


Грыжа пищевода (диафрагмальная грыжа, грыжа пищеводного отверстия диафрагмы) – хроническое рецидивирующее заболевание, характеризующееся перемещением начального абдоминального отдела пищеварительной трубки в наддиафрагмальную область через естественное (пищеводное) отверстие в диафрагме. Чаще всего в грудную полость смещаются абдоминальный конец пищевода и кардия желудка. В основе патогенеза грыжи пищевода лежит повышение внутрибрюшного давления и ослабление связочного аппарата в области пищеводного отверстия диафрагмы.
Именно поэтому патологией в основном страдают женщины (это связано с беременностью) и пожилые люди. Так, до 40 лет распространенность заболевания составляет всего 10%, а после 70 лет – уже 70% случаев. Также замечено, что жители развитых стран чаще сталкиваются с данным состоянием. Связывают этот факт с привычками питания – употребление бедной клетчаткой пищи приводит к запорам и значительному напряжению при дефекации, что в свою очередь ведет к повышению внутрибрюшного давления и образованию грыжи. У пациентов отделений гастроэнтерологии грыжи пищевода выявляют в 6 раз чаще, чем в общей популяции.

В основе появления грыжи пищевода лежат два патогенетических фактора: ослабление связочного аппарата, фиксирующего кардиальный отдел желудка, и повышение внутрибрюшного давления. Если первый фактор чаще всего связан с врожденными особенностями, то к повышению давления в брюшной полости могут приводить запоры, повышенный метеоризм, асцит, лишний вес, беременность, избыточные физические нагрузки.
Также существует ряд факторов, ведущих к укорочению пищевода и последующему подтягиванию его абдоминального конца и кардиального отдела желудка в средостение. К таким факторам относят некоторые заболевания пищевода, пороки сердца. К состояниям, увеличивающим риск развития грыжи пищевода, относят ожирение, хронические обструктивные заболевания легких, запоры, метеоризм, частую рвоту, беременность, старческий возраст, различные дисплазии соединительной ткани, асцит.
Смещение нижних отделов пищевода и кардиального отдела желудка в грудную клетку происходит без участия брюшины, поэтому грыжа пищевода не имеет грыжевого мешка. После образования грыжи блуждающий нерв значительно расслабляется, исчезает угол Гиса (острый угол, под которым пищевод впадает в желудок, препятствует обратному забросу пищи в пищевод), прекращает функционировать клапанный механизм кардии (также препятствует гастроэзофагеальному рефлюксу). Из-за перечисленных механизмов кровообращение в кардиальном отделе желудка нарушается; это ведет к усугублению гастроэзофагеальной рефлюксной болезни, а следовательно – и к прогрессированию грыжи.
В зависимости от того, какие именно части пищеварительной трубки проникают в пищеводное отверстие диафрагмы, выделяют три вида грыж пищевода: скользящая, или аксиальная (в заднее средостение смещаются пищевод, кардия желудка); параэзофагеальная (нижняя часть пищевода и кардия желудка остаются под диафрагмой, а в грудную полость смещается только дно желудка) и смешанная (сочетает в себе свойства и аксиальной, и параэзофагеальной грыж).
Симптомы грыжи пищевода
Зачастую даже большие грыжевые выпячивания никак не проявляются. Наиболее тяжелое течение имеют огромные грыжи с проникновением в заднее средостение большей части желудка и кишечника. Выявление патологии тесно связано с диагностикой гастроэзофагеального рефлюкса, однако отмечается, что прогрессирование грыжи чаще всего не ухудшает течение ГЭРБ. Наиболее частым проявлением заболевания является болевой синдром.
Боль может возникать в эпигастральной области, левом подреберье, в области сердца. Интенсивность боли обычно тесно связана со временем приема пищи и ее объемом – сильная боль возникает сразу после еды, и чем обильнее была трапеза, тем боль интенсивнее. Боль усиливается при наклонах, сгибаниях туловища, физической нагрузке. Уменьшить проявления болевого синдрома можно приемом антацидных средств. Иногда боли при грыже пищевода могут напоминать приступ стенокардии.
К другим, более редким, симптомам относят рвоту (часто с прожилками крови), эпизоды цианоза, задержки дыхания во сне, выбухание левой половины грудной клетки, изжогу, кислую отрыжку, кашель, нарушение глотания, икоту.
Грыжа пищевода часто осложняется развитием эзофагита рефлюксного генеза, язв пищевода, рубцовых стриктур с укорочением пищевода. В желудке может образоваться пептическая язва, упорно не поддающаяся лечению, часто осложняющаяся кровотечениями, перфорацией. При наличии параэзофагеальной грыжи в средостение может смещаться кишечник с развитием его ущемления и кишечной непроходимости.
Из-за сильных болей, возникающих сразу после приема пищи, пациенты могут испытывать отвращение к еде, что приводит к значительной потере веса и истощению. Со стороны респираторной системы возможны эпизоды остановки дыхания во сне, развитие аспирационной пневмонии из-за регургитации содержимого желудка.
Обследование пациентов осуществляется врачом-гастроэнтерологом и абдоминальным хирургом. Два основных метода диагностики грыжи пищевода – рентгенологический и эндоскопический в совокупности обеспечивают лишь 85% достоверности результата. Консультация врача-эндоскописта требуется для проведения эзофагогастродуоденоскопии.
Во время ЭГДС визуализируется неизмененный пищевод, вокруг нижней части которого ритмично смыкается диафрагма (в такт дыхательным движениям), либо виден циркулярно выбухающий в просвет пищевода кардиальный отдел желудка – это наиболее достоверные критерии грыжи пищевода. Однако, следует помнить, что данные признаки могут наблюдаться и из-за рвотных движений, часто возникающих при проведении эндоскопа через глотку, что обуславливает высокую частоту гипердиагностики грыжи пищевода. В большинстве случаев ЭГДС позволяет лишь диагностировать рефлюкс содержимого желудка в пищевод.
Рентгенологическая диагностика диафрагмальной грыжи осуществляется в несколько этапов. Сначала осуществляют обзорную рентгенографию органов брюшной полости, на которой регистрируют тень пищевода, расположение куполов диафрагмы и газового пузыря желудка. На следующем этапе проводится рентгенография пищевода и рентгенография желудка с введением контраста в вертикальном положении. Оценивается прохождение контраста по пищеварительной трубке, скорость опорожнения желудка.
На третьем этапе производятся снимки в горизонтальном положении и с опущенным головным концом. В норме запирательный механизм кардии и угол Гиса препятствуют обратному перемещению бариевой взвеси в пищевод. При грыже пищеводного отверстия эти механизмы не работают, поэтому отмечается гастроэзофагеальный рефлюкс. После этого пациент снова возвращается в вертикальное положение, и исследуется положение газового пузыря желудка, наличие или отсутствие контраста в пищеводе.
При небольших размерах, отсутствии клинической симптоматики грыжа пищевода после подобного исследования диагностируется лишь у трети пациентов. Некоторые гастроэнтерологи рекомендуют дополнить рентгенологическое исследование специальными методиками, благодаря которым повышается давление в брюшной полости. Однако большинство авторов сходятся на том, что подобные методы лишь ухудшают состояние больного и приводят к гипердиагностике патологии.
Помочь в постановке диагноза может и эзофагеальная манометрия. При проведении этого исследования оценивается функциональное состояние нижнего сфинктера пищевода, его протяженность и способность к расслаблению при глотании, а также выявляются эпизоды его релаксации вне периодов глотания. Широкого распространения этот метод не получил. УЗИ органов брюшной полости, КТ и МСКТ, не предоставляют достоверных данных для диагностики грыжи пищевода, однако позволяют провести дифференциальную диагностику с другими заболеваниями пищеварительного тракта.

КТ ОБП (3D-реконструкция) пищевода и желудка. Аксиальная грыжа пищеводного отверстия диафрагмы, пищеводно-желудочный переход и кардия (красная стрелка) в грудной полости. Желудок (синяя стрелка), пищевод (зеленая стрелка).
Дифференциальная диагностика
Дифференцировать заболевание следует с патологией, сопровождающейся эзофагитом; стенокардией; поражением нервов грудного отдела спинного мозга; релаксацией купола диафрагмы; синдромом Кастена (грыжа пищеводного отверстия диафрагмы, холецистит, язвенная болезнь ДПК); триадой Сейнта (грыжа пищевода, дивертикулы толстой кишки, ЖКБ).
Лечение грыжи пищевода
Лечение всегда начинают с консервативных мероприятий. Пациенту рекомендуют нормализовать вес, отказаться от использования тесных поясов и ремней. Спать следует с приподнятым головным концом. Питаться нужно часто, небольшими порциями, включать в рацион достаточное количество клетчатки. Медикаментозная терапия направлена на предупреждение и лечение главного осложнения – ГЭРБ. Для этого используются ингибиторы протонной помпы в постепенно снижающихся дозировках курсом до двух месяцев, с последующим переходом на кратковременный курс антацидов. В лечение обязательно включают прокинетики (домперидон).
Оперативное лечение грыжи пищевода показано при развитии тяжелых форм гастроэзофагеальной рефлюксной болезни; торпидного рефлюкс-эзофагита, не поддающегося консервативному лечению; пищевода Баррета (предраковое состояние, появляющееся на фоне ГЭРБ). Может быть проведена как открытая, так и лапароскопическая операция. Для устранения эзофагеальной грыжи используют эндоскопическую фундопликацию и гастрокардиопексию, выполняют операцию Белси.
Прогноз благоприятный при условии своевременной профилактики тяжелых осложнений. Самоизлечение невозможно, но при соблюдении рекомендаций гастроэнтеролога отмечается течение заболевания с минимальными клиническими проявлениями и даже без них. Профилактика включает в себя регулярное эндоскопическое обследование пациентов из группы риска, особенно гастроэнтерологического профиля. Обязательно проведение противорецидивной терапии заболеваний пищеварительного тракта.
Грыжа пищеводного отверстия диафрагмы ( Грыжа пищевода , Диафрагмальная грыжа , Параэзофагеальная грыжа )
Грыжа пищеводного отверстия диафрагмы - грыжевое выпячивание, образующееся при смещении в грудную полость анатомических структур, которые в нормальном положении размещаются под диафрагмой – абдоминального отрезка пищевода, кардиального отдела желудка, петель кишечника. Отмечается загрудинная боль, изжога, регургитация, дисфагия, икота, аритмия. Диагностика предусматривает проведение рентгенографии пищевода и желудка, эзофагоманометрии, эзофагогастроскопии. Лечение может включать фармакотерапию гастроэзофагеального рефлюкса или хирургическую тактику – пластику диафрагмальной грыжи.


Грыжи пищеводного отверстия диафрагмы в современной герниологии встречаются достаточно часто. Вероятность образования диафрагмальной грыжи увеличивается пропорционально возрасту – с 9% у лиц моложе 40 лет до 69 % у лиц старше 70 лет. Наиболее часто грыжа пищевода образуется у женщин. В половине случаев заболевание протекает бессимптомно и остается нераспознанным. Иногда пациенты длительно лечатся у гастроэнтеролога по поводу сопутствующих заболеваний, определяющих ведущие клинические проявления, – хронического гастрита, холецистита, язвы желудка.
Параэзофагеальная грыжа может носить врожденный или приобретенный характер. У детей патология, как правило, связана с эмбриональным пороком - укорочением пищевода и требует хирургического вмешательства уже в раннем возрасте. Приобретенные грыжи обусловлены инволютивными изменениями – развивающейся слабостью связочного аппарата пищеводного отверстия диафрагмы. С возрастом соединительнотканные структуры, удерживающие пищевод в диафрагмальном отверстии, подвергаются дистрофическим процессам, потере эластичности и атрофии.
Аналогичная ситуация часто наблюдается у астенизированных, детренированных лиц, а также людей, страдающих заболеваниями, связанными со слабостью соединительной ткани (синдромом Марфана, плоскостопием, варикозным расширением вен, геморроем, дивертикулезом кишечника и т. д.). В связи с этим параэзофагеальная грыжа нередко сопутствует бедренной грыже, паховой грыже, грыже белой линии живота, пупочной грыже.
Факторами, увеличивающими риск развития грыжи, служат обстоятельства, сопровождающиеся систематическим или внезапное критическим повышением внутрибрюшного давления:
По имеющимся данным, около 18% женщин с повторной беременностью страдают диафрагмальной грыжей. Также к развитию грыжи предрасполагает нарушение моторики пищеварительного тракта при гипермоторных дискинезиях пищевода, сопутствующих язвенной болезни ДПК и желудка, хроническому гастродуодениту, панкреатиту, калькулезному холециститу.
Возникновению грыж способствует продольное укорочение пищевода вследствие его рубцово-воспалительной деформации, развившейся в результате рефлюкс-эзофагита, эзофагеальной пептической язвы, химического или термического ожога. Прямым следствием ослабления связочного аппарата диафрагмы служит расширение пищеводного отверстия и образование грыжевых ворот, через которые абдоминальный участок пищевода и кардиальная часть желудка пролабируют в грудную полость.
На основе рентгенологических признаков и объема смещения желудка в грудную полость современные абдоминальные хирурги и гастроэнтерологи различают три степени грыжевого выпячивания:
- I степень. Абдоминальная часть пищевода находится над диафрагмой, кардия расположена на уровне диафрагмы, а желудок непосредственно прилежит к ней.
- II степень. Отмечается смещение абдоминального отдела пищевода в грудную полость и расположение желудка в области пищеводного отверстия диафрагмы.
- III степень. В грудной полости находятся все поддиафрагмальные структуры - абдоминальная часть пищевода, кардия, дно и тело желудка (иногда антральный отдел желудка).
В соответствии с анатомическими особенностями выделяют скользящую, параэзофагеальную и смешанную диафрагмальную грыжи. При скользящей (осевой, аксиальной) грыже отмечается свободное проникновение абдоминальной части пищевода, кардии и дна желудка через пищеводное отверстие диафрагмы в грудную полость и самостоятельный возврат (при смене положения тела) обратно в брюшную полость. Аксиальные грыжи встречаются в большинстве случаев и в зависимости от смещаемого участка могут быть кардиальными, кардиофундальными, субтотальными или тотальножелудочными.
Параэзофагеальная грыжа характеризуется нахождением дистальной части пищевода и кардии под диафрагмой, но смещением части желудка в грудную полость и его расположением над диафрагмой, рядом с грудным отделом пищевода, т. е. параэзофагеально. Различают фундальные и антральные параэзофагеальные грыжи. При смешанной грыже сочетаются аксиальный и параэзофагеальный механизмы. Также в отдельную форму выделяют врожденный короткий пищевод с «внутригрудным» расположением желудка.

Симптомы грыжи
Около половины случаев протекают бессимптомно или сопровождаются слабо выраженными клиническими проявлениями. Типичным признаком патологии считается болевой синдром, который обычно локализуется в эпигастрии, распространяется по ходу пищевода или иррадиирует в межлопаточную область и спину. Иногда боль может носить опоясывающий характер, напоминая панкреатит. Нередко отмечаются загрудинные боли (некоронарная кардиалгия), которые могут приниматься за стенокардию или инфаркт миокарда.
Дифферециальными признаками болевого синдрома при грыже пищеводного отверстия диафрагмы служат: появление болей преимущественно после еды, физической нагрузки, при метеоризме, кашле, в положении лежа; уменьшение или исчезновение болей после отрыжки, глубокого вдоха, рвоты, смены положения тела, приема воды; усиление болей при наклоне вперед. В случае ущемления грыжевого мешка возникают интенсивные схваткообразные боли за грудиной с иррадиацией между лопатками, тошнота, рвота с кровью, цианоз, одышка, тахикардия, гипотония.
У трети больных ведущим симптомом является нарушение сердечного ритма по типу экстрасистолии или пароксизмальной тахикардии. Зачастую данные проявления приводят к диагностическим ошибкам и длительному безуспешному лечению у кардиолога. Поскольку грыжа закономерно ведет к развитию гастроэзофагеальной рефлюксной болезни, возникает группа симптомов, связанных с нарушением пищеварения. Пациенты, как правило, жалуются на отрыжку желудочным содержимым или желчью, чувство горечи во рту, отрыжку воздухом. Нередко отмечается срыгивание недавно принятой пищей без предшествующей тошноты; регургитация чаще развивается в горизонтальном положении, ночью.
Патогномоничным проявлением заболевания служит дисфагия – нарушение прохождения пищевого комка по пищеводу. Данное проявление чаще сопровождает прием полужидкой или жидкой пищи, слишком холодной или горячей воды; развивается при поспешной еде или психотравмирующих факторах. Для грыжи пищевода также характерны изжога, икота, боли и жжение в языке, охриплость голоса.
При попадании желудочного содержимого в дыхательные пути может развиваться трахеобронхит, бронхиальная астма, аспирационная пневмония. В клинической картине часто отмечается анемический синдром, связанный со скрытым кровотечением из нижних отделов пищевода и желудка вследствие рефлюкс-эзофагита, эрозивного гастрита, пептических язв пищевода.
Обычно грыжи впервые выявляются при проведении рентгенографии ОГК, рентгенографии пищевода и желудка либо в ходе эндоскопического обследования (эзофагоскопии, гастроскопии). Рентгенологическими признаками патологии служат высокое расположение пищеводного сфинктера, нахождение кардии над диафрагмой, отсутствие поддиафрагмального отдела пищевода, расширение диаметра пищеводного отверстия диафрагмы, задержка бариевой взвеси в грыже и др.

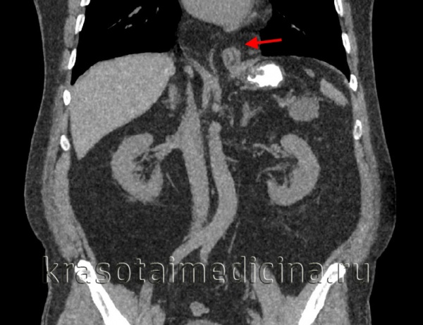
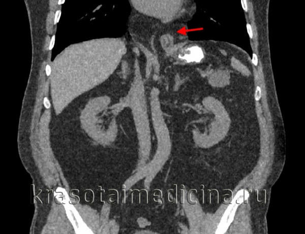
КТ органов брюшной полости. Грыжа пищеводного отверстия диафрагмы. Пролабирование перигастральной клетчатки в грудную полость через расширенное пищеводное отверстие
В ходе эндоскопии, как правило, определяется смещение пищеводно-желудочной линии выше диафрагмы, признаки эзофагита и гастрита, эрозии и язвы слизистой. Для исключения опухолей пищевода производится эндоскопическая биопсия слизистой и морфологическое исследование биоптата. С целью распознавания латентного кровотечения из ЖКТ исследуется кал на скрытую кровь.
Особое место в диагностике грыжи пищеводного отверстия диафрагмы отводится эзофагеальной манометрии, позволяющей оценить состояние сфинктеров (глоточно-пищеводного и кардиального), двигательную функцию пищевода на различных уровнях (продолжительность, амплитуду и характер сокращений - спастический или перистальтический), а также отследить эффективность консервативной терапии. Для исследования среды ЖКТ проводится импедансометрия, гастрокардиомониторинг, внутрипищеводная и внутрижелудочная рН-метрия.
Лечение начинают с консервативных мероприятий. Поскольку в клинике на первый план выходят симптомы гастроэзофагеального рефлюкса, консервативное лечение направлено главным образом на их устранение. В комплексное медикаментозное лечение включаются антацидные препараты (гидроксид алюминия и магния, алюминия гидроксид, магния карбонат, магния оксид и др.), Н2-блокаторы гистаминовых рецепторов (ранитидин), ингибиторы протонного насоса (омепразол, пантопразол, эзомепразол). Рекомендуется нормализация веса, соблюдение щадящей диеты, дробное питание с последним приемом пищи не позднее 3-х часов до сна, сон в кровати с приподнятым изголовьем, исключение физических нагрузок.
К хирургическим методам прибегают при осложненных формах грыж (сужении пищевода, ущемлении диафрагмальной грыжи), безуспешности медикаментозной терапии или диспластических изменениях слизистой пищевода. Среди всего многообразия способов выделяют следующие группы вмешательств: операции с ушиванием грыжевых ворот и укреплением пищеводно-диафрагмальной связки (пластика диафрагмальной грыжи, крурорафия), операции с фиксацией желудка (гастропексия), операции по восстановлению острого угол между дном желудка и абдоминальным отделом пищевода (фундопликация). При формировании рубцового стеноза может потребоваться резекция пищевода.
Осложненное течение грыжи сопряжено с вероятностью развития катарального, эрозивного или язвенного рефлюкс-эзофагита; пептической язвы пищевода; пищеводного или желудочного кровотечения; рубцового стенозирования пищевода; перфорации пищевода; ущемления грыжи, рефлекторной стенокардии. При длительном течении эзофагита повышается вероятность развития рака пищевода. После хирургического вмешательства рецидивы наблюдаются редко.
Профилактика образования грыжи, прежде всего, заключается в укреплении мышц живота, занятиях ЛФК, лечении запоров, исключении тяжелых физических нагрузок. Пациенты с диагностированной диафрагмальной грыжей подлежат диспансерному наблюдению у гастроэнтеролога.
Грыжа пищеводного отверстия диафрагмы (ГПОД) - симптомы и лечение
Что такое грыжа пищеводного отверстия диафрагмы (ГПОД)? Причины возникновения, диагностику и методы лечения разберем в статье доктора Хитарьяна Александра Георгиевича, хирурга со стажем в 31 год.
Над статьей доктора Хитарьяна Александра Георгиевича работали литературный редактор Маргарита Тихонова , научный редактор Сергей Федосов
Определение болезни. Причины заболевания
Наверняка, услышав слово «грыжа», многие представляют подкожное выпячивание на животе: пупочная, паховая, послеоперационная грыжи, а также грыжа белой линии живота. Но практически никто никогда не слышал о таком довольно распространённом заболевании, как грыжа пищеводного отверстия диафрагмы.
Краткое содержание статьи — в видео:
Впервые ГПОД была описана французским хирургом P. Ambroise в 1579 году и итальянским анатомом G. Morgagni в 1769 году, но, к сожалению, это заболевание до сих пор не так часто выявляется на ранних этапах, оставаясь не распознанным и не диагностированным, и поэтому не подвергается целенаправленному лечению.
В настоящее время в странах Европы и США число пациентов с тяжёлыми формами ГПОД увеличилось в 2-3 раза. В связи с этим у гастроэнтерологов появилось такое выражение: XX век — это век язвенной болезни, а XXI век — это век рефлюкс-эзофагита и ГПОД.

В России частота выявления ГПОД колеблется от 3% до 33%, а в пожилом возрасте — до 50% среди патологий желудочно-кишечного тракта (ЖКТ).
ГПОД составляют 98% всех грыж диафрагмы. В структуре заболеваний ЖКТ эти грыжи занимают третье место после желчнокаменной болезни, язвенной болезни желудка и 12-перстной кишки. [1] [15]
Грыжа пищеводного отверстия диафрагмы (ГПОД) — заболевание, при котором происходит смещение нижней части пищевода или желудка относительно диафрагмы из брюшной полости в грудную.

Очень редко через пищеводное отверстие могут выходить петли кишечника.
Среди причин возникновения ГПОД можно выделить несколько факторов:
- Механический фактор — расширение пищеводного отверстия некомпрессионного характера по причине раздвижения внутренних ножек диафрагмы. В результате этого отверстие увеличивается, и кардиальный отдел желудка постепенно подтягивается в средостение. Раздвижение ножек диафрагмы провоцирует интенсивная нагрузка на мышцы и повышение внутрибрюшного давления.⠀⠀⠀⠀⠀


Кроме того, на образование ГПОД влияет нарушение пищеводно-фундального угла (угла Гиса) и клапана Губарева (складки слизистой в месте перехода пищевода в желудок). Однако эти факторы не являются ведущими причинами образования грыжи, так как они возникают вследствие деструктивных процессов, указанных выше.

При обнаружении схожих симптомов проконсультируйтесь у врача. Не занимайтесь самолечением - это опасно для вашего здоровья!
Симптомы грыжи пищеводного отверстия диафрагмы
У абсолютного большинства пациентов «увидеть ГПОД глазом» не возможно. Однако её можно заподозрить по предъявляемым жалобам при развитии некоторых осложнений ГПОД:
- хронических или острых желудочно-кишечных кровотечений;
- развития стеноза (сужения) дистального отдела пищевода;
- выраженная недостаточность кардии желудка, которая сопровождается регулярным срыгиванием пищи.

Также могут развиться клинические признаки таких заболеваний, как анемия, кахексия (крайнее истощение организма), водно-электролитные расстройства. [7] [13] [18]
Одним из ведущих методов диагностики является сбор жалоб пациента, позволяющий выявить клинические признаки болевого синдрома, гастроэзофагеального рефлюкса. При опросе больных стоит обращать внимание на следующие ведущие клинические симптомы:
- болевые ощущения в подложечной области;
- болевые ощущения за грудиной;
- изжога;
- жжение языка;
- рвота и тошнота;
- отрыжка;
- чувство горечи во рту;
- частые приступы икоты;
- срыгивание пищи во время наклонов туловища.

При наличии у пациента хотя бы одного из перечисленных симптомов нужно проводить фиброгастродуоденоскопию (ФГДС), а при наличии более двух — углублённое комплексное обследования с целью подтверждения или опровержения предварительного диагноза «ГПОД». [5] [6] [16]
Патогенез грыжи пищеводного отверстия диафрагмы
Рассматривая этиопатогенез ГПОД, трудно предположить его существенное отличие от патогенеза грыж иной локализации, к тому же диафрагмальная грыжа нередко обнаруживается у пожилых людей и пациентов с такими заболеваниями, как грыжа передней брюшной стенки, варикозное расширение вен нижних конечностей, дивертикул пищеварительного тракта, органоптоз, геморрой, плоскостопие и другие нарушения. Данный факт также свидетельствует о том, что у пациентов старше 60 лет диафрагмальные грыжи весьма часто сочетаются с паховыми, бедренными, пупочными грыжами или грыжей белой линии живота.
Таким образом предрасполагающими факторами грыжеобразования являются:
- процессы возрастного старения тканей;
- повышение внутрибрюшного давления по причине ненадлежащего рациона питания, ожирения, запоров, беременности и т. д.
Нарушение связочного аппарата пищевода у пациентов с ГПОД также связано с нарушением липидного обмена и дефицитом аскорбиновой кислоты в организме.
Механизм образования ГПОД следующий:
- расширение пищеводного отверстия образует своеобразные грыжевые ворота;
- повышение внутрибрюшного давления становится причиной «прохождения» внутренних органов — абдоминального отдела пищевода, прилегающей части желудка, кишечника или сальника — через «увеличившееся» пищеводное отверстие.

Классификация и стадии развития грыжи пищеводного отверстия диафрагмы
Классификация ГПОД строиться на анатомических особенностях:
- Скользящая грыжа (аксиальная или осевая) — беспрепятственное смещение абдоминальной части пищевода, кардии и фундальной части желудка в грудную полость через расширенное пищеводное диафрагмальное отверстие и возвращение в брюшную полость (происходит в случае перемены положения тела);
- Невправимая грыжа — грыжа, «застрявшая» в грыжевых воротах и не способная продвинуться ни вперёд, ни назад.
- Параэзофагеальная грыжа — пищевод и кардия остаются на своих местах под диафрагмой, но часть желудка попадает в грудную полость и располагается близко к грудному отделу пищевода.
- Смешанный вариант ГПОД — сочетание скользящей и параэзофагеальной грыж.
По объёму проникновения желудка в грудную полость различают четыре степени тяжести ГПОД:
- ГПОД I степени (пищеводная) — проникновение в грудную полость абдоминального отдела пищевода, кардии и их расположение на уровне диафрагмы, при этом желудок прилегает к диафрагме;
- ГПОД II степени (кардиальная) — проникновение в грудную полость абдоминального отдела пищевода, при этом часть желудка находится непосредственно в области пищеводного отдела диафрагмы;
- ГПОД III степени (кардиофундальная) — расположение абдоминального отдела пищевода, кардии и части желудка непосредственно над диафрагмой; [7][12][13][17]
- ГПОД IV степени (гигантская) — расположение всех отделов желудка над диафрагмой.
Осложнения грыжи пищеводного отверстия диафрагмы
Основным осложнением ГПОД является рефлюкс-эзофагит. На фоне регулярного заброса желудочного содержимого (соляной кислоты и ферментов пищеварения) в просвет пищевода происходят воспалительные изменения пищеводной стенки, которые могут быть выражены в различной степени.

Длительное существование рефлюкс-эзофагита приводит к раковому перерождению стенки пищевода.

Также могут развиться такие заболевания, как хронический гастрит и пептическая язва грыжевой части желудка. Эти осложнения зачастую проявляются болями в эпигастрии, нарушением аппетита и т.д. Их симптомы обычно скрываются за клиническими проявлениями самой грыжи.
Длительное существование ГПОД способно стать причиной формирования рубцового стеноза (сужения) пищевода. Это грозит невозможностью прохождения из пищевода в желудок вначале твёрдой пищи, а при запущенных случаях не проходит и жидкая пища.
При ГПОД может развиться желудочно-кишечное кровотечение вследствие развития пептических язв, эрозий пищевода и желудка из-за постоянного заброса в пищевод желудочного сока и повреждения (эрозии) кровеносных сосудов. Также нередким осложнением ГПОД является уменьшение эритроцитов в крови (анемия). В случае острого массивного желудочного кровотечения и неустранённой кровопотери возникает гиповолемический шок и железодефицитная анемия, а в связи с атрофией фундального отдела желудка и нарушением выработки гастромукопротеина — белка, защищающего слизистую оболочку желудка — может возникнуть В12-дефицитная (пернициозная) анемия.
Очень редким осложнением ГПОД является её ущемление, некроз и перфорация стенки желудка с развитием перитонита. К ущемлению может привести абсолютно любой фактор, связанный с повышением внутрибрюшного давления — кашель (в особенности надсадный), физическая нагрузка и даже переедание.
Диагностика грыжи пищеводного отверстия диафрагмы
Для диагностики ГПОД, помимо детального расспроса пациента, используется почти все способы исследования, применяемые в гастроэнтерологии. К обязательным методам диагностики относятся:
- клиническое и рентгенологическое обследование;
- фиброэзофагогастродуоденоскопия (ФЭГДС);
- эзофаготонометрия;
- pH-метрия пищевода и желудка;
- УЗИ брюшной полости. [12][158]
Ведущими инструментальными методами считаются рентген-диагностика и ФЭГДС. [8] [16]
Рентген-диагностика
Благодаря рентгенологическому методу диагностики произведены фундаментальные исследования ГПОД, разработаны классификации, изучены различные формы данной патологии, разработан ряд показаний и противопоказаний к различным видам лечения хиатальных грыж.
Современное полное название — «Полипозиционное рентгендиагностическое исследование пищевода, желудка и двенадцатиперстной кишки с использованием жидкой взвеси сульфата бария на трахоскопе».
Данное рентгенологическое обследование позволяет достоверно диагностировать различные формы ГПОД, включая “малые” эзофагеальные грыжи, выявлять недостаточность кардии, гастроэзофагеальный рефлюкс, рефлюкс-эзофагит, исключать недостаточность кардии, связанную с нарушением пассажа пищи в нижележащих отделах ЖКТ.

Эндоскопическая эзофагогастродуоденоскопия
В середине XX века были разработаны и широко внедрены в клиническую практику новейшие технологии в эндоскопии. Они позволили значительно расширить возможности диагностики гастроэнтерологических заболеваний.
Особенность эндоскопической эзофагогастродуоденоскопии заключается в:
- использовании гибкой волоконной оптики и создании эндоскопических приборов — фиброгастроскопов;
- высокой разрешающей способности этих приборов с возможностью проводить исследования при визуализации изображения на мониторе;

Всё это позволяет рекомендовать данный метод диагностики не только пациентам, но и населению в целом для проведения диспансеризации и выявления заболевания на ранних этапах.
Конечно же, эндоскопическая диагностика ГПОД — непростая процедура, однако врачами ФЭГДС она рассматривается в качестве скринингового метода, показанного всем пациентам, включая людей с минимальными симптомами гастроэзофагеального рефлюкса, диспепсии или дисфагии (нарушения пищеварения или глотания), а также всем, кто страдает заболеваниями пищеварительного тракта.
К основным прямым и косвенным симптомам ГПОД, обычно проявляющимся при осуществлении ФЭГДС, относятся:
- уменьшенное расстояние от передних резцов до кардии;
- уменьшенная длина абдоминального отдела пищевода;
- грыжевая полость;
- “второй вход” в желудок;
- зияние (раскрытие) кардии или её неполное смыкание;
- пролапс (выпячивание) слизистой желудка в пищевод;
- рефлюкс (обратный ток) содержимого желудка в полость пищевода;
- сегментарная дилятация (расширение) пищевода в области девятого сегмента;
- отсутствующая, слабо визуализирующаяся или размытая Z-линия;

Большую часть перечисленных эндоскопических симптомов ГПОД можно выявить благодаря видеомониторированию во время ФЭГДС, что помогает установить безошибочный диагноз.
Лечение грыжи пищеводного отверстия диафрагмы
При первых проявлениях ГПОД лечение начинают с консервативных мероприятий. Чаще всего в клинике ГПОД на первый план выходят симптомы рефлюкс-эзофагита. По этой причине показано консервативное лечение, направленное в первую очередь на устранение этих клинических проявлений. Прежде всего, это рациональный режим питания и диета, дополненная медикаментозной терапией.
Лекарственные препараты при ГПОД:
- антациды — блокируют соляную кислоту в желудочном соке;
- H2-антигистаминовые средства — уменьшают количество вырабатываемой соляной кислоты;
- ингибиторы протонного насоса — также снижают выработку соляной кислоты («Омез», «Омепразол», «Гастрозол», «Ранитидин», «Пантопразол»);
- прокинетики — улучшают состояние слизистой желудка и пищевода, оптимизируют их моторику, избавляют от болевых ощущений и тошноты («Мотилак», «Мотилиум», «Метоклопрамид», «Ганатон», «Итомед», «Тримебутин»).
- витамины группы В — ускоряют регенерацию тканей желудка.
Однако единственным радикальным и самым эффективным лечением, устраняющим причины и проявления ГПОД, является хирургическое лечение.
Операция показана и при отсутствии результата или при малой эффективности от проведённой консервативной лекарственной терапии более года.
Хирургическое лечение ГПОД — это низведение желудка в брюшную полость, ликвидация ворот грыжи и выполнение антирефлюксной операции.
На сегодняшний день разработано более 50 методик оперативного лечения данного заболевания, и в каждом случае врач-хирург индивидуально выбирает оптимальную для пациента методику.
В настоящее время распространённым методом оперативного лечения ГРОД является лапароскопическая фундопликация по Ниссену с задней крурорафией (ушивание ножек диафрагмы). Данный метод считается наиболее адекватным способом восстановления барьерной функции желудочно-пищеводного перехода.

Малая травматичность с выраженным косметическим эффектом, снижение послеоперационных осложнений, ранняя реабилитация и другие факторы делают оперативные вмешательства через лапароскопические доступы операциями выбора в лечении ГПОД и их осложнений. [12] [14] [15] [19] [20]
Прогноз. Профилактика
Прогноз заболевания простой: чем раньше оно обнаружено, установлен диагноз и проведено лечение, тем его проще лечить, и, соответственно, улучшаются результаты терапии. Чем выше стадия заболевания и больше осложнений, тем хуже отдалённые результаты: меньше выживаемость.
Пациенты с диагностированной ГПОД подлежат диспансерному (динамическому) наблюдению у врача-гастроэнтеролога. Людям с таким диагнозом врачи рекомендуют:
Читайте также:
