Диагностика болезни Педжета и фиброзной дисплазии верхушки пирамиды височной кости
Добавил пользователь Владимир З. Обновлено: 08.01.2026
Болезнь Педжета или деформирующий остеит - хроническое патологическое состояние отдельных костей скелета человека, в ходе которого нарушается процесс нормального синтеза или восстановления костной ткани, формируются очаги повышенного распада костных клеток с последующим замещением их большим количеством неполноценной костной ткани, развивающееся в результате внешних и внутренних воздействий.
Данное заболевание было впервые выделено и описано в конце XIX века Джеймсом Педжетом, который считал его воспалительным, в связи с чем дал процессу название "деформирующий остеит". В последующем, после более детального изучения механизмов развития, патологический процесс стали называть остеодистрофией или болезнью Педжета.
Костная ткань человека на протяжении жизни претерпевает ряд трансформаций от разрушения до восстановления, именуемых ремоделированием кости. Именно этот процесс нарушается при болезни Педжета, что влечет за собой нарушение структуры костей, в результате чего они становятся хрупкими, подвержены деформациям, перерастяжениям, не могут полноценно выполнять опорную функцию и склонны к переломам.
Заболевание может поражать любую кость скелета. У трети всех пациентов в процесс вовлекается лишь одна кость, в большинстве случаев процесс наблюдается в двух (парных) или более костях. Наиболее часто заболевание Педжета поражает кости позвоночника, черепа, таза, длинные трубчатые кости верхних и нижних конечностей.
Заболевание диагностируется у 3% жителей стран Европы (до 5% - у жителей Великобритании и Новой Зеландии) старше 40 лет, причем отмечено увеличение распространенности заболевания с возрастом. Мужчины страдают болезнью Педжета в два раза чаще, чем женщины. На Востоке (Япония, Индия, Китай) заболевание не распространено.
Причины и механизм развития болезни Педжета
Достоверной причины, вызывающей развитие болезни Педжета, до настоящего времени не выявлено, однако ученые выдвигают ряд гипотез относительно этиологии данного заболевания. Одной из причин развития остеодистрофии считают влияние определенных вирусов (в частности, вируса кори), в особенности их длительное нахождение в организме. По другой версии в качестве причины развития патологического процесса принято считать генетический фактор, в связи с этим всем членам семьи больного рекомендовано динамическое наблюдение уровня специального фермента - щелочной фосфатазы - в крови и рентгенологическое исследование костей.
Ряд авторов склонен считать, что начало патологического процесса провоцируют обе вышеуказанные причины в сочетании, что приводит к развитию дистрофического процесса в костях, при котором они теряют способность к выдерживанию привычных нагрузок.
Изучение механизма развития заболевания позволило выявить несколько стадий, каждая из которых характеризуется определенными изменениями в костной ткани. Так, например, в начале заболевания преобладают процессы распада костных клеток из-за появления дефектных остеокластов. В качестве компенсаторной реакции остеобласты начинают интенсивно образовывать новую кость, однако она имеет неполноценную структуру с хаотично расположенными коллагеновыми фибриллами. Увеличивается также количество кровеносных сосудов, что приводит к чрезмерному кровоснабжению костей. Постепенно большое количество зон костного матрикса становится слабоминерализованным, а затем замещается участками склероза.
Симптомы болезни Педжета
Начало болезни Педжета протекает обычно бессимптомно, лишь при биохимическом исследовании крови, выполненном по другим поводам, можно выявить повышение активности фермента, отвечающего за метаболизм костной ткани - щелочной фосфатазы.
Клиническая картина заболевания зависит от степени поражения и вида пораженной кости. Различают монооссальную и полиоссальную формы болезни Педжета, при которых соответственно в процесс вовлечены одна или несколько костей. Наиболее часто поражаются парные бедренные, большеберцовые, тазовые кости, а также позвонки и кости черепа.
Больные предъявляют жалобы на непрерывные ноющие, тупые боли в костях, спине, которые могут усиливаться после отдыха и в покое. Также они могут отмечать изменение формы головы и лица, искривление нижних конечностей в виде Х-образных или О- образных деформаций. Кроме того, при поражении костей в зонах расположения суставов, больные могут жаловаться на скованность и ограничение подвижности в суставах.
При осмотре вблизи очагов поражения может наблюдаться припухлость, покраснение и местное повышение температуры кожных покровов. При ощупывании пораженной зоны могут выявляться утолщения и неровные края кости, незначительное давление на пораженную кость может привести к перелому.
Если в процесс вовлекаются кости позвоночника, существует вероятность сдавливания нервных окончаний между позвонками, что обусловливает картину неврита и корешковых болей. Признаками, свидетельствующими о распространении болезни Педжета, являются потеря зрения и слуха, возникающие из-за сдавливания нервных волокон, расположенных в черепе, разросшимися участками кости.
Изредка процесс разрушения костной ткани трансформируется в неопластическое образование, которое может озлокачествляться.
Методы диагностика болезни Педжета
Так как симптоматика болезни Педжета сходна со многими заболеваниями костей и суставов, необходимо пристальное наблюдение за людьми среднего и пожилого возраста, предъявляющими жалобы на необъяснимые боли в суставах и костях. Из анамнестических данных важно выявить, не было ли подобного заболевания у родственников. Специалиста должны насторожить жалобы на изменение размеров и формы головы и лица, беспричинные головные боли и снижение слуха.
При осмотре больного необходимо обратить внимание на припухлость и деформации костей конечностей, позвоночника и черепа, а также на появление болезненности, покраснения и повышения местной температуры кожных покровов в этих зонах.
Лабораторная диагностика болезни Педжета опирается на повышение уровня общей щелочной фосфатазы и её костной фракции в сыворотке крови, увеличение содержания С- и N -телопептидов в крови, а также в увеличении выведения с мочой оксипролина, пиридинолонина, дезоксипиридинолина.
Одним из информативных методов исследования для диагностирования болезни Педжета является рентгенологическое исследование. На рентгеновском снимке черепа больного можно наблюдать увеличенные размеры костей черепа, рыхлую структуру костей свода черепа, а также признаки повышения внутричерепного давления. Рентгенография конечностей и таза позволяет обнаружить в трубчатых и тазовых костях увеличение размеров, утолщение надкостничного слоя, участки распада кости и склероза, дефекты структуры кости, деформации и патологические переломы. При озлокачествлении пораженной кости могут быть выявлены саркоматозные изменения.
Одним из наиболее чувствительных методов выявления очагов активного костного метаболизма при болезни Педжета является сканирование костей скелета с технецием. Особенно популярен данный метод для динамического наблюдения больных и оценки эффективности проводимого лечения.
Компьютерную и магнитно-резонансную томографию проводят лишь в случаях, когда не удается обнаружить патологические переломы на рентгеновских снимках и в случаях подозрения на трансформацию измененных участков костной ткани в злокачественное новообразование.
Методы лечения болезни Педжета
Основной целью при лечении остеодистрофии является подавление активности клеток, разрушающих костную ткань, устранение болевого синдрома и профилактика развития осложнений - новых деформаций, патологических переломов, неврологических нарушений и других. При возникновении осложнений и необходимости хиругического вмешательства больным показана госпитализация.
Из немедикаментозных методов лечения прибегают обычно к использованию ортезов - специальных ортопедических приспособлений, позволяющих разгрузить пораженную конечность или позвоночник в острые периоды заболевания.
Медикаментозное лечение складывается из патогенетической и симптоматической терапии, при необходимости используют и оперативное вмешательство.
Для воздействия на механизмы развития патологического процесса назначают лекарственные препараты, препятствующие распаду костной ткани. С этой целью используют препараты первой линии - азотсодержащие бисфософонаты (алендроновая, ризендроновая, памидроновая, золедроновая кислоты), часть из которых больные принимают внутрь, а другие получают в виде внутривенных капельных вливаний. Препаратом второй линии, способствующим формированию полноценной кости, является кальцитонин, который назначают по 100МЕ ежедневно. Диагностическим критерием, подтверждающим эффективность проводимого лечения, считают нормализацию активности фермента - щелочной фосфатазы - в сыворотке крови больного.
Симптоматическая терапия болезни Педжета подразумевает использование препаратов, купирующих болевые ощущения в костях и суставах. С этой целью больным назначают препараты из группы обезболивающих или нестероидных противовоспалительных средств (анальгин, баралгин, ибупрофен, диклофенак).
В случаях развития осложнений в виде патологических переломов, костных деформаций и повреждениях суставов прибегают к оперативному вмешательству. При выраженных артрозах рекомендовано эндопротезирование суставов, для исправления деформаций костей - остеотомия, при переломах - хирургическая коррекция с фиксацией частей кости.
В случаях поражения позвонков и сдавливания ими спинного мозга может потребоваться нейрохирургическое вмешательство.
После достижения ремиссии и стабилизации процесса, характеризующихся снижением болевых ощущений, отсутствием новых очагов поражения, нормальным уровнем щелочной фосфатазы, необходимо динамическое наблюдение за больными, включающее в себя контроль активности щелочной фосфатазы раз в квартал и проведение рентгенологического исследования ежегодно. В случаях возобновления клинической картины проводят повторный курс лечения
Консультация эндокринолога онлайн
Если вам необходимо получить консультацию эндокринолога, но возможности очно посетить специалиста нет, то оптимальным решением станет оформление дистанционной консультации.
Консультация эндокринолога
Специалисты Северо-Западного центра эндокринологии проводят диагностику и лечение заболеваний органов эндокринной системы. Эндокринологи центра в своей работе базируются на рекомендациях Европейской ассоциации эндокринологов и Американской ассоциации клинических эндокринологов. Современные диагностические и лечебные технологии обеспечивают оптимальный результат лечения.
Диагностика и лечение гинекологических заболеваний, консультирование семейных пар по вопросам лечения бесплодия ЭндокринологДиагностика и лечение сахарного диабета, ожирения, остеопороза Хирург-эндокринологДиагностика и лечение заболеваний щитовидной железы, околощитовидных желез, надпочечников Диетолог-эндокринологЛечение ожирения, диагностика эндокринных причин ожирения, комплексные программы снижения веса Андролог Помощь в решении мужских проблем: бесплодия, нарушения потенции, воспалительных заболеваний Детский эндокринологДиагностика и лечение эндокринных заболеваний у детей до 18 лет МаммологДиагностика и лечение заболеваний молочных желез
Отзывы
Истории пациентов
Видеоотзывы: опыт обращения в Северо-Западный центр эндокринологии
Услуги
Экспертное УЗИ щитовидной железы
УЗИ щитовидной железы выполняется хирургами-эндокринологами с использованием аппаратов экспертного класса
Денситометрия: ультразвуковая
Денситометрия (определение плотности костной ткани) - без облучения, выполняется эндокринологом
Гормоны щитовидной железы
Всё о сдаче анализа на гормоны щитовидной железы: какие гормоны существуют, как сдавать гормоны, где сдавать анализ на гормоны
Удаление щитовидной железы
Информация об удалении щитовидной железы в Северо-Западном центре эндокринологии
Сотрудничество с центром
Возможности сотрудничества
Варианты и обсуждение вопросов сотрудничества с Северо-Западным центром эндокринологии
Специалисты Центра эндокринологии регулярно участвуют в международных конгрессах, стажировках, обучающих семинарах. За 3 года специалистами центра получено 15 патентов РФ на изобретения
Диагностика болезни Педжета и фиброзной дисплазии верхушки пирамиды височной кости
а) Терминология:
1. Аббревиатура:
• Фиброзная дисплазия (ФД)
2. Определение:
• Врожденное заболевание с нарушением дифференцировки и созревания остеобластов, проявляющееся прогрессирующим замещением нормальной губчатой кости фиброзной тканью и незрелой ретикулофиброзной костью
б) Визуализация:
1. Общая характеристика:
• Лучший диагностический критерий:
о КТ в костном окне: экспансивный («матовое стекло») костный матрикс
• Локализация:
о Возможно поражение любой кости в организме
• Размер:
о Локальное или диффузное поражение
о Поражения могут достигать нескольких сантиметров в размерах
• Морфология:
о ФД в целом повторяет форму пораженной кости

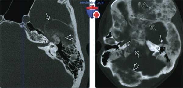
(Слева) При аксиальной КТ в костном окне определяется фиброзная дисплазия (ФД) склеротического типа, с поражением сосцевидного отростка и внутреннего уха и обрастанием задних отделов среднего уха. Экспансивный характер ФД приводит к стенозу наружного слухового канала (НСК). Обратите внимание на область ранее выполненной биопсии спереди и снаружи.
(Справа) При корональной КТ в костном окне определяется склеротическая ФД, приводящая к окклюзии НСК. Можно предположить наличие клинически значимой кондуктивной тугоухости. При отоскопии определяются изменения, схожие с врожденной мальформацией ИСК.
2. КТ при фиброзной дисплазии височной кости:
• КТ в костном окне:
о Экспансивное поражение губчатого вещества различной плотности:
- Педжетоидная (смешанная) картина (50%): чередующиеся участки уплотнения и разрежения
- Склеротическая ФД (25%): плотность «матового стекла»
- Кистозная ФД (25%): поражения с разрежением в центре, истонченными и склерозированными краями
3. МРТ при фиброзной дисплазии височной кости:
• Т1 ВИ:
о Экспансивное поражение с ↓ сигналом
• Т2 ВИ:
о ↓ сигнал в зонах оссификации ± фиброза
• Т1 ВИ С+:
о Без контрастирования; диффузное или периферическое
о Активная фаза: типичное неоднородное контрастирование:
- Может выглядеть агрессивным
4. Сцинтиграфия:
• Остеосцинтиграфия:
о ↑ накопление радионуклида, перфузия в отсроченной фазе
о Неспецифический метод; чувствительный к расположению поражений при полиостотической ФД
• ПЭТ с ФДГ:
о «Горячие» очаги различной выраженности:
- Не должны приниматься за метастазы
5. Рекомендации по визуализации:
• Лучший метод визуализации:
о КТ в костном окне - основа правильного диагноза

(Слева) При аксиальной КТ в передних отделах левой височной кости определяются очаги кистозной ФД, выглядящие агрессивными. Определяется также нежное «матовое стекло». Обратите внимание на визуализирующийся лабиринтный сегмент канала лицевого нерва и поражение ямки коленчатого ганглия.
(Справа) При аксиальной КТ в костном окне определяется полиостотическая фиброзная дисплазия с поражением обеих височных костей. Хорошо видны другие множеавенные очаги, в т.ч. в затылочной кости справа, в скате, клиновидной и лобной кости.
в) Дифференциальная диагностика фиброзной дисплазии височной кости:
1. Болезнь Педжета височной кости:
• Пожилые пациенты
• Картина «хлопковой ваты» на КТ
• Педжетоидная ФД («матовое стекло») имитирует болезнь Педжета
• Поражает височные кости и свод черепа, не краниофациальную область
2. Гигантоклеточная опухоль основания черепа:
• Может имитировать склеротическую ФД на КТ в костном окне
• Гипоинтенсивный сигнал на МРТ Т2 (скопление гемосидерина)
3. Менингиома височной кости:
• Внутрикостная менингиома имитирует ФД на КТ в костном окне
• МРТ: бляшковидное мягкотканное образование
4. Метастазы в височной кости:
• Смешанные склеротические - деструктивные метастазы имитируют ФД
• Наиболее типичная первичная опухоль: рак предстательной и молочной железы
г) Патология:
1. Общая характеристика:
• Этиология:
о Доброкачественное опухолеподобное поражение костей с локальной задержкой развития нормальной структуры/архитектуры
• Генетика:
о Спорадическая мутация гена GNAS1
2. Микроскопия:
• Пораженные участки при ФД состоят из фиброзной ткани (строма из веретеновидных клеток) и интрамуральных трабекул ретикулофиброзной кости
д) Клинические особенности:
1. Проявления:
• Типичные признаки/симптомы:
о Выбухание височной области
о Стеноз ИСК с рецидивирующим отитом
о Тугоухость: кондуктивная, нейросенсорная, смешанная
2. Демография:
• Возраст:
о Активный процесс в молодом возрасте, стихает после полового созревания
о Болеют молодые люди (< 30 лет)
• Пол:
о М:Ж= 1:3
• Эпидемиология:
о Моностотическая ФД: в шесть раз чаще, чем полиостотическая
3. Течение и прогноз:
• Прекрасный прогноз при моностотической краниоцефальной ФД
• В большинстве случаев спонтанное прекращение роста к 25-30 годам
• Полиостотическая ФД редко угрожает жизни, но характеризуется худшим прогнозом
4. Лечение:
• Агрессивное хирургическое лечение не рекомендуется в большинстве случаев
Петрозит
Петрозит – это воспалительный процесс, локализованный в области пирамиды (каменистой части) височной кости, реже поражающий исключительно её верхушку и протекающий по типу остеита или остеомиелита. Характерными проявлениями заболевания являются синдром Градениго (боли, гноетечение, нейропатия) в сочетании со снижением слуха, лихорадкой. Диагностика основывается на данных клинической картины, результатах лабораторных анализов, рентгенологического исследования, КТ, МРТ височных костей. Осуществляется комплексное лечение, выполняются дренирующие хирургические операции на фоне массивной антибактериальной терапии.
МКБ-10
Общие сведения
Петрозит является осложнением гнойно-воспалительных заболеваний наружного и среднего уха. Иногда развивается после хирургических вмешательств на сосцевидном отростке. Встречается преимущественно у лиц с выраженной пневматизацией пирамиды височной кости, которые составляют около 30% всего населения. Благодаря широкому применению антибиотиков в оториноларингологической практике в последние годы петрозит наблюдается очень редко, осложняет течение 1-5% случаев отитов. По частоте встречаемости занимает 25 место среди всех осложнений патологии среднего уха. Мужчины болеют в 1,5 раза чаще женщин.
Причины петрозита
Возбудителями болезни чаще всего становятся пневмококки, гемолитические стрептококки и синегнойная палочка. Реже этиологическим фактором являются другие представители кокковой микрофлоры. Описаны единичные случаи височного остеомиелита, вызванного микобактериями туберкулёза. Петрозит у таких пациентов развивался на фоне генерализованного специфического процесса. Очень редко заболевание индуцируется грибками. Распространению инфекции способствуют высокая вирулентность микроорганизмов. К факторам риска развития тяжёлой патологии относятся:
- Гиперпневматизация височной кости. Чаще страдают пациенты с высокой степенью пневматизации пирамиды. Наиболее тяжело болезнь протекает при диплоэтическом (спонгиозном) строении костной ткани, когда в каменистой части присутствует большое количество мелких ячеек, заполненных воздухом.
- Иммунодефицитные состояния, гиповитаминозы. Петрозит осложняет течение отитов, мастоидитов при нарушении функций факторов общей и локальной иммунной защиты. У детей данную патологию часто провоцирует снижение местного иммунитета на фоне ветряной оспы, краснухи или кори. Основным предрасполагающим фактором у взрослых служит сахарный диабет. Развитию болезни способствует общее истощение больного, недостаток витаминов в рационе.
Патогенез
Ячейки височной кости, окружающие лабиринт, сообщаются со средним ухом посредством узких извилистых клеточных ходов. При значительном снижении сопротивляемости организма инфекция распространяется по этим ходам или гематогенным путём. Развивается остеомиелит. Отток гноя затруднён, еще больше ухудшается при формировании грануляций. Происходит гнойное расплавление костной ткани. В зависимости от варианта пневматизации воспаление охватывает всю пирамиду или ее отдельные участки. При изолированном поражении верхушки формируется петроапицит.
В гнойно-воспалительный процесс вовлекается головной мозг и его оболочки. Апицит приводит к возникновению ограниченного верхушечного лептоменингита либо, распространяясь дальше по верхней части пирамиды, вызывает воспаление оболочек мозга в области средней и задней черепных ямок. В результате могут развиваться тромбозы кавернозного синуса, нейропатии III – VI, IX – XII черепно-мозговых нервов. Петрозит с поражением нижней поверхности костной структуры провоцирует прорыв гноя в носоглотку.
Классификация
Остеомиелит может охватывать пирамиду полностью или только её верхушку. Петрозит бывает передним, локализованным в передних надлабиринтном и подлабиринтном, а также прекохлеарном пространствах и задним, провоцирующим воспаление в задних над- и подлабиринтных ячейках и транслабиринтном участке. По клиническому течению выделяют следующие формы заболевания:
- Молниеносная. Возникает у грудных детей. Характеризуется бурным распространением инфекции с гангренозным поражением окружающих мягких тканей, 90% летальностью. Протекает по типу септикопиемии.
- Острая. Развивается в детском возрасте. При этой форме наблюдаются прорывы гноя в полость черепа и носоглотку, венозные тромбозы и поражения вестибулярного аппарата.
- Подострая. Наиболее распространенный вариант. Выявляется у молодых взрослых и в пожилом возрасте. Характерно чередование периодов ремиссии с обострениями, постепенное вовлечение в патологический процесс черепных нервов.
Симптомы петрозита
Первые симптомы осложнения появляются на 3-4 неделе острого среднего отита или в послеоперационном периоде после хирургического вмешательства на среднем ухе, сосцевидном отростке. Классический петрозит проявляется триадой Градениго, включающей в себя резкие боли со стороны поражения, гноетечение из уха и нейропатию отводящего нерва, однако из-за антибиотикотерапии часто определяются не все характерные для данной триады симптомы. Иногда клиническая картина дополняется другими проявлениями болезни.
Петрозит манифестирует болевым синдромом. Боль локализуется на стороне поражения, обычно ощущается глубоко в ухе или ретроорбитально. Гемикраниалгия усиливается в ночное время, может носить приступообразный характер, иррадиировать в зубы, затылок и область лба. Другим патогномоничным признаком патологии является оторея. Присутствует обильное гноетечение из больного уха, выделения могут быть зловонными. На возможность развития височного остеомиелита указывает внезапное появление массивной отореи после радикальной операции или антромастоидотомии.
Парез VI черепно-мозгового нерва становится причиной нарушения подвижности глазного яблока. Наблюдается косоглазие, диплопия. Возможно поражение других черепных нервов. У пациентов выявляется опущение века, офтальмоплегия и прочие неврологические симптомы. Значительно снижается слух. Иногда петрозит сопровождается прорывом гноя в лабиринт. В процесс вовлекается преддверно-улитковый нерв, возникают головокружения, нарушения равновесия.
Симптомы общей интоксикации обычно резко выражены. Температура тела у детей и молодых взрослых повышается до фебрильных и гипертермических значений. У пожилых людей чаще наблюдается субфебрилитет. Присутствует общая слабость, утомляемость. Даже при отсутствии болей настроение пациента снижено, отмечается подавленность. По мере прогрессирования болезни сознание нарушается вплоть до коматозного состояния.
Осложнения
Исходом неврита слухового нерва становится нейросенсорная тугоухость. Иногда наступает полная глухота. Другим осложнением петрозита, сопровождающимся выраженным снижением слуха, является лабиринтит. Изредка встречается поражение зрительного нерва со слепотой на один или оба глаза. Распространение инфекции по нижней поверхности пирамиды приводит к образованию натёчных абсцессов носоглотки, шейных клетчаточных пространств и средостения.
Диагностика
Диагностический поиск при подозрении на петрозит осуществляет врач-оториноларинголог. При сборе анамнеза уточняются предшествующие операции на ЛОР-органах, длительность течения отита, учитывается наличие сопутствующей патологии. Осмотр выявляет отёчность мягких тканей заушной области, признаки отореи. При пальпации ушной раковины и соответствующей половины головы наблюдается резкая болезненность. Визуально определяются симптомы парезов черепных нервов, нистагм. Окончательный диагноз устанавливается на основании результатов следующих процедур:
- Эндоскопия.Отоскопия позволяет выявить достоверные признаки воспаления в области наружного слухового прохода, среднего уха. Определяется отёк и помутнение барабанных перепонок, в большинстве случаев присутствуют перфорации, слуховые проходы заполнены гноем. Осуществляется забор гнойного отделяемого.
- Лабораторные исследования. Лейкоцитоз, нейтрофильный сдвиг формулы периферической крови отражают наличие воспаления в организме. Исследование спинномозговой жидкости позволяет подтвердить или исключить гнойный менингит. С помощью культурального метода выявляется возбудитель заболевания, определяется его чувствительность к антибиотикам.
- Визуализационные методики.Рентгенография височных костей по Стенверсу визуализирует зоны воспаления и расплавления костной ткани. КТ, МРТ дают возможность более точно локализовать патологический процесс, выявить внутримозговые осложнения. С помощью этих методик осуществляется дифференциальная диагностика петрозита с новообразованиями височной кости. С этой же целью иногда выполняется радиоизотопное сканирование костей черепа.
Вспомогательными методами диагностики являются аудиометрия, камертональное исследование, которые используются для определения степени снижения слуха. Петрозит следует дифференцировать с доброкачественными и злокачественными опухолями черепа и головного мозга, аневризмой сонной артерии, гистиоцитозом Х. Пациентов консультируют онкологи, нейрохирурги. В неясных случаях выполняется биопсия каменистой части виска.
Лечение петрозита
Пациенты с диагностированным петрозитом подлежат госпитализации в отделение оториноларингологии. Выбор тактики лечения зависит от распространённости процесса, наличия осложнений. Несмотря на несколько описанных в зарубежной литературе случаев успешного консервативного лечения заболевания, предпочтение отдаётся комплексному подходу к ведению пациента. Оперативные вмешательства сочетаются с массивной антибактериальной терапией.
Консервативная терапия
Основу фармакологического лечения остеомиелита височной кости составляет антибактериальная терапия. Оптимально назначение медикаментов с учетом результатов определения чувствительности микрофлоры к антибиотикам. При отсутствии такого исследования лечение назначается эмпирически. Обычно применяются защищённые аминопенициллины, цефалоспорины 3-4 поколения, линкозамиды. Препараты вводятся в высоких дозах, парентерально. Одновременно осуществляется коррекция уровня глюкозы крови, проводится общеукрепляющая терапия.
Согласно публикациям некоторых зарубежных авторов, неосложнённый петрозит можно полностью излечить консервативными методами. Описано несколько случаев выздоровления пациентов с полным восстановлением функции отводящего нерва. Такие больные нуждаются в постоянном медицинском наблюдении, регулярном динамическом рентгеновском контроле. Однако чаще консервативное лечение применяется перед оперативным вмешательством и после него.
Хирургическое лечение.
Оперативное вмешательство показано при отсутствии положительного эффекта от проводимой антибактериальной терапии. В целях профилактики жизнеугрожающих состояний многие специалисты рекомендуют сразу после постановки диагноза активно наладить отток гноя из поражённого участка кости. Для этого выполняется антромастоидотомия или общеполостная операция. При вторичном послеоперационном нагноении для улучшения оттока гноя рекомендуется тщательно прочистить и расширить свищевые каналы. При неэффективности такого лечения височная кость подвергается частичной резекции.
Прогноз и профилактика
Своевременное выявление и ранее начало лечения заболевания ведёт к полному выздоровлению больного с обратным развитием нейропатий. Прогноз значительно ухудшается при присоединении внутримозговых осложнений, параличах нескольких черепных нервов. Молниеносная форма болезни обычно заканчивается гибелью пациента. Профилактические мероприятия сводятся к адекватному лечению заболеваний уха, мастоидитов.
1. Петрозит, осложнённый тромбозом кавернозного синуса, менингитом/ Красножен В.Н. Андреева И.Г.// Вестник оториноларингологии – 2015 - №4.
4. Petrositis With Bilateral Abducens Nerve Palsies complicated by Acute Otitis Media/ Kyu Young Choi, Su-Kyoung Park// Clinical and Experimental Otorhinolaryngology – 2014.
Фиброзная дисплазия ( Болезнь Лихтенштейна , Болезнь Лихтенштейна-Брайцова , Болезнь Лихтенштейна-Яффе )
Фиброзная дисплазия – это поражение кости, при котором участок нормальной костной ткани замещается соединительной тканью с включением костных трабекул. Относится к категории опухолеподобных заболеваний, может быть локальной или распространенной, поражать одну или несколько костей. Проявляется болями, деформацией, укорочением или удлинением сегмента и патологическими переломами. Диагноз выставляется на основании рентгенографии, МРТ, КТ и других исследований. Лечение обычно хирургическое – резекция пораженного участка кости с замещением дефекта.
Фиброзная дисплазия (болезнь Лихтенштейна, болезнь Лихтенштейна-Яффе или болезнь Лихтенштейна-Брайцова) – системное поражение скелета. Симптомы обычно выявляются еще в детстве, но возможно и позднее начало. В литературе описаны случаи, когда монооссальная фиброзная дисплазия впервые диагностировалась у людей пенсионного возраста. Женщины болеют чаще мужчин. Возможно перерождение в доброкачественную опухоль; озлокачествление наблюдается редко.
Заболевание впервые было описано в первой половине 20 века. В 1927 году российский хирург Брайцов сделал доклад о клинических, микроскопических и рентгенологических признаках очагового фиброзного перерождения кости. В 1937 году Олбрайт описал многоочаговую фиброзную дисплазию, сочетающуюся с эндокринными нарушениями и характерными изменениями кожи. В том же году Альбрехтом была описана многоочаговая дисплазия в сочетании с преждевременным половым созреванием и нечеткой кожной пигментацией. Чуть позже Яффе и Лихтенштейн исследовали одноочаговые поражения и опубликовали выводы о причинах их возникновения.
Причины
Фиброзная дисплазия относится к категории опухолеподобных заболеваний, но не является истинной опухолью костей. Возникает вследствие неправильного развития остеогенной мезенхимы (ткани, из которой в последующем образуется кость). Причины развития не ясны, не исключена генетическая предрасположенность.
В травматологии и ортопедии выделяют две основные формы фиброзной дисплазии: монооссальную (с поражением одной кости) и полиоссальную (с поражением нескольких костей, обычно расположенных на одной стороне тела). Полиоссальная форма развивается в детском возрасте и может сочетаться с эндокринными нарушениями и меланозом кожи (синдром Олбрайта). Монооссальная форма может манифестировать в любом возрасте, эндокринопатий и пигментации кожи у пациентов не наблюдается. Российские специалисты используют клиническую классификацию Зацепина, включающую следующие формы заболевания:
- Внутрикостная форма. Может быть монооссальной или полиоссальной. В кости образуются единичные или множественные очаги фиброзной ткани, в ряде случаев наблюдается перерождение кости на всем протяжении, однако структура коркового слоя сохранена, поэтому деформации отсутствуют.
- Тотальное поражение кости. Страдают все элементы, включая кортикальный слой и область костномозгового канала. Из-за тотального поражения постепенно формируются деформации, часто возникают усталостные переломы. Обычно наблюдается полиоссальное поражение длинных трубчатых костей.
- Опухолевая форма. Сопровождается разрастанием очагов фиброзной ткани, которые иногда достигают значительных размеров. Выявляется редко.
- Синдром Олбрайта. Проявляется полиоссальным или практически генерализованным поражением костей в сочетании с эндокринными расстройствами, преждевременным половым созреванием у девочек, нарушением пропорций тела, очаговой пигментацией кожи, тяжелыми деформациями конечностей и костей туловища. Сопровождается прогрессирующими нарушениями со стороны различных органов и систем.
- Фиброзно-хрящевая дисплазия. Появляется преимущественным перерождением хряща, нередко наблюдается трансформация в хондросаркому.
- Обызвествляющая фиброма. Особая форма фиброзной дисплазии, встречается очень редко, обычно поражает большеберцовую кость.
Симптомы фиброзной дисплазии
Выраженные врожденные деформации обычно отсутствуют. При полиоссальной форме первые симптомы появляются в детстве. Поражение костей сопровождается эндокринопатиями, пигментацией кожи и нарушением деятельности сердечно-сосудистой системы. Проявления болезни достаточно разнообразны, наиболее постоянными признаками являются незначительные боли (обычно в бедрах) и прогрессирующие деформации. Иногда болезнь диагностируется только при возникновении патологического перелома.
Обычно при полиоссальной форме наблюдается поражение трубчатых костей: большеберцовой, бедренной, малоберцовой, плечевой, лучевой и локтевой. Из плоских костей чаще страдают кости таза, кости черепа, позвоночник, ребра и лопатка. Нередко выявляется поражение костей кистей и стоп, при этом кости запястья остаются интактными. Степень деформации зависит от локализации очагов фиброзной дисплазии. При возникновении процесса в трубчатых костях верхних конечностей обычно наблюдается только их булавовидное расширение. При поражении фаланг пальцы укорачиваются, выглядят «обрубленными».
Кости нижних конечностей искривляются под тяжестью тела, возникают характерные деформации. Особенно резко деформируется бедренная кость, в половине случаев выявляется ее укорочение. Из-за прогрессирующего искривления проксимальных отделов кость приобретает форму бумеранга (пастушьего посоха, хоккейной клюшки), большой вертел «сдвигается» вверх, иногда достигая уровня тазовых костей. Шейка бедра деформируется, возникает хромота. Укорочение бедра может составлять от 1 до 10 см.
При формировании очага в малоберцовой кости деформация конечности отсутствует, при поражении большеберцовой кости может наблюдаться саблевидное искривление голени или замедление роста кости в длину. Укорочение обычно менее выражено, чем при очаге в бедренной кости. Фиброзная дисплазия подвздошной и седалищной костей вызывает деформацию тазового кольца. Это, в свою очередь, негативно влияет на позвоночник, провоцируя нарушения осанки, сколиоз или кифоз. Ситуация усугубляется, если процесс одновременно поражает бедро и кости таза, поскольку в подобных случаях ось тела еще больше нарушается, а нагрузка на позвоночник – увеличивается.
Монооссальная форма протекает более благоприятно, внекостные патологические проявления отсутствуют. Выраженность и характер деформаций сильно варьируют в зависимости от локализации, размера очага и особенностей поражения (тотальное или внутрикостное). Могут наблюдаться боли, хромота и повышенная утомляемость после нагрузки пораженного сегмента. Как и при полиоссальной форме, возможны патологические переломы.
Диагноз выставляется ортопедом-травматологом на основании клинической картины и данных рентгенологического исследования. На начальном этапе на рентгеновских снимках в области диафиза или метафиза пораженной кости выявляются зоны, по виду напоминающие матовое стекло. Затем пораженный участок приобретает характерный крапчатый вид: очаги уплотнения чередуются с участками просветления. Хорошо видна деформация.
При обнаружении одиночного очага необходимо исключить множественное поражение костей, которое на начальных стадиях может протекать бессимптомно, поэтому больных направляют на денситометрию. При наличии подозрительных участков выполняют рентгенографию, при необходимости используют КТ кости.
Следует учитывать, что фиброзная дисплазия, особенно монооссальная, может представлять значительные трудности в процессе диагностики. При нерезко выраженной клинической симптоматике нередко требуется длительное динамическое наблюдение. Для исключения других заболеваний и оценки состояния различных органов и систем могут потребоваться консультации фтизиатра, онколога и терапевта. В отдельных случаях показан осмотр кардиолога, эндокринолога или иных специалистов.
Лечение фиброзной дисплазии
Лечение преимущественно хирургическое – полная сегментарная резекция пораженного участка кости в пределах здоровых тканей и замещение дефекта костным трансплантатом. При патологическом переломе накладывают аппарат Илизарова. При множественных поражениях проводят профилактические мероприятия, направленные на предотвращение деформаций и патологических переломов.
Прогноз для жизни благоприятный. В отсутствие лечения, особенно при полиоссальной форме, могут возникать грубые калечащие деформации. Иногда очаги дисплазии перерождаются в доброкачественные опухоли (гигантоклеточную опухоль или неоссифицирующую фиброму). У взрослых описано несколько случаев злокачественного перерождения в остеогенную саркому. Специфическая профилактика отсутствует из-за неясной этиологии заболевания.
2. Фиброзная дисплазия. Клинические рекомендации / Общероссийская общественная организация Ассоциация травматологов-ортопедов России (АТОР) - 2016
Болезнь Педжета
Костная болезнь Педжета (также известная под медицинскими названиями: деформирующий остеит, остоз деформирующий, остеодистрофия деформирующая) возникает, когда повреждается механизм восстановления костей тела.
Кость - живая ткань, которая постоянно разрушается и восстанавливается, этот процесс называется "ремоделирование кости". В костях, пораженных при болезни Педжета, нарушается процесс ремоделирования, что приводит к нарушению структуры, или архитектуры костей, кость не восстанавливается должным образом, образуя «слабые» кости, которые деформируются, перерастягиваются, искривляются и склонны к переломам.
Болезнь Педжета может возникнуть в любой кости тела. У одной трети пациентов поражается только одна кость, но среднее число поврежденных костей - приблизительно три. Кости, чаще всего вовлеченные в процесс – таз, позвоночник, череп и длинные трубчатые кости рук и ног.
До 3 % людей европейского происхождения старше 40 лет поражены болезнью Педжета, и распространенность заболевания увеличивается с возрастом. Заболевание встречается в два раза чаще у мужчин, чем у женщин.
Причины возникновения болезни Педжета
Причины болезни Педжета все еще неизвестны.
Наиболее распространено мнение о вирусной природе заболевания (медленной вирусной инфекции). Больной человек может в течение многих лет являться носителем вируса без каких-либо проявлений заболевания, после чего в результате воздействия провоцирующих факторов появляются симптомы. Одной из наиболее значимой вирусной инфекцией является корь.
Также не исключается роль наследственной предрасположенности. Считается, что болезнь Педжета в некоторой степени носит семейный характер. Поэтому рекомендуется, чтобы братья, сестры и дети больных болезнью Педжета сдавали биохимический анализ крови каждые два-три года для контроля уровня щелочной фосфатазы в крови, а при необходимости делали рентгенографию костей.
Эти причины не взаимоисключающие.
Симптомы заболевания
Симптомы болезни Педжета зависят от поврежденных костей и тяжести заболевания.
Симптомы при болезни Педжета включают боль вокруг поврежденной кости и остеоартрит, если болезнь возникает около сустава кости. Боль, связанная с поврежденной костью при болезни Педжета, обычно описывается как непрерывная, тупая, ноющая и в отличие от остеоартрита, часто усиливается в покое и после отдыха. Скованность, ограничение подвижности в пораженных суставах также усиливаются после отдыха.
Кости в различных частях тела становятся сильно утолщенными и хрупкими, что приводит к разрушению костей, поддерживающих вес тела. Переломы могут возникнуть даже при легких травмах, спина становится сутулой и деформированной, искривляются ноги.
Неправильный рост костей черепа, в результате которого появляется характерный вид головы, и позвоночника может оказать давление на окружающие нервы, повреждение которых может вызвать серьёзные последствия, такие как постоянная потеря слуха или зрения, головные боли или повреждение нервов спинного мозга, вызывая покалывание и онемение в руках и ногах, ощущение «ползания мурашек» по телу. В очень редких случаях тяжелая форма болезни Педжета может вызвать остановку сердца или малигнизацию (озлокачествление) процесса с развитием опухоли кости.
Диагностика заболевания
Рентгенография и анализ крови на сывороточную щелочную фосфатазу, которая образуется в результате процесса ремоделирования кости, используются для диагностики заболевания. Уровень сывороточной щелочной фосфатазы часто намного выше, чем в норме. Регулярные анализы крови необходимы, чтобы контролировать любые изменения. Сцинтиграфия костей скелета важна в установлении точного места поражения костей, она обеспечивает визуализацию всего скелета.
Лечение болезни Педжета
Лечение болезни Педжета направлено на контроль над активностью заболевания и предотвращение осложнений.
Болезнь Педжета лечат с помощью лекарств, называемых бисфосфонатами. Они замедляют дефектный процесс ремоделирования кости и могут снизить активность болезни на многие месяцы или годы, даже после того, как прекращен прием лекарств. Лечение не излечивает болезнь, но может обеспечить длительный период ремиссии (снижение активности болезни). Курсы приема таблеток обычно длятся шесть месяцев, и лечение может быть повторено, если происходит рецидив заболевания. Эти лекарства могут вызвать побочные действия со стороны живота и внутренних органов, такие как раздражение желудка и изжога, так же мышечные или суставные боли и головные боли.
Важно принимать каждое лекарство строго по назначениям.
Для контроля над болью используют нестероидные противовоспалительные препараты (известные как НПВС), такие как парацетамол. Люди с болезнью Педжета также нуждаются в адекватном потреблении кальция и витамина D и индивидуализированных программ упражнений, которые помогут избежать дальнейшего повреждения вовлеченной кости.
Хирургическая помощь может потребоваться для устранения переломов костей или лечения артрита заменой сустава (эндопротезированием).
При снижении слуха используют слуховые аппараты.
Что можете сделать Вы?
Если вы заметите у себя или ваших родственников изменения, описанные выше, нужно незамедлительно обратиться к доктору. Поскольку течение заболевания непредсказуемо, оно может течь долго и без каких-либо серьезных последствий, а может за несколько месяцев привести к инвалидизации, необходимо как можно раньше начать лечение. Самостоятельное лечение так же опасно, как и не лечение болезни. Поэтому без консультации с врачом не пытайтесь сами себя излечить.
Что можете сделать врач?
Доктор проведет обследования, необходимые для точной диагностики. После определения стадии болезни он назначит необходимое лечение, включающее прием лекарственных препаратов, специальные упражнения для укрепления костной системы.
Прогноз при отсутствии осложнений благоприятный. Больные должны находиться на диспансерном наблюдении у ортопеда.
Перед началом применения любого препарата посоветуйтесь со специалистом и ознакомьтесь с инструкцией по применению.
Читайте также:
- Лучевая диагностика опухоли оболочки периферического нерва
- Лечение повреждений мочевого пузыря. Интраабдоминальные сосудистые повреждения.
- Наследственный овалоцитоз (врожденный эллиптоцитоз): клиника, диагностика, лечение
- Предпозвоночная пластинка фасции шеи. Пятая фасция по Шевкуненко. Клетчаточные пространства шеи. Клетчатка шеи. Поднижнечелюстное клетчаточное пространство.
- Симптомы и клиника вестибулярной мигрени
