Диагностика бронхолегочного аспергиллеза. Лечение бронхолегочного аспергиллеза
Добавил пользователь Евгений Кузнецов Обновлено: 18.12.2025
Диагностика бронхолегочного аспергиллеза. Лечение бронхолегочного аспергиллеза
Сложилось впечатление, что закупорка слизью более распространена в сухих странах мира, включая некоторые штаты Америки и Австралии. Только детальные эпидемиологические исследования с использованием стандартизованных антигенов покажут, действительно ли существуют истинные географические различия или же кажущееся различие в частоте заболеваемости объясняется разными диагностическими методами и понятиями.
В клинических и иммунологических исследованиях часто подчеркивается наличие быстропроходящих теней на рентгенограмме - или преходящего сегментарного или долевого ателектаза, однако необходимо отметить, что часто имеются и постоянные патологические тени на рентгенограммах. У больпых астмой с положительными кожными пробами и преципитинами против A. fumigatns наблюдаются различные картины, включая сокращение верхних долей (36%), широко распространенные тени, имитирующие криптогенпый фиброзирующий альвеолит (10%), и постоянные узелковые тени (13%) [McCarthy et al., 1970].
Часто постановка диагноза бывает затруднена при наличии таких постоянных рентгенологических изменений, если врач не вспомнит о возможной роли повышенной чувствительности к A. fumigatus. Последнее время у больных астмой описаны другие постоянные изменения на рентгенограммах, включая широко распространенные периферические бронхоэктазы и обширные узелковые тени, причем иммунологические доказательства аспергиллеза атипичны или неполны.

Не всегда легко выделить грибки из мокроты при бронхолегочном аспергиллезе, в некоторых случаях повторные исследования отрицательные, в других случаях больные откашливают характерные пробки, похожие на резину и при серебрении можно обнаружить филаменты мицелия. Кроме того, типична эозипофилия мокроты.
Системное лечение кортикостероидами ведет к быстрому исчезновению периферических теней и задерживает их рецидивировапие [Safirstein et al., 1973]. Аэрозоли, содержащие стероиды и гликат натрия-хрома, не предупреждают рецидивировапие теней, хотя могут быть эффективными против сопутствующей астмы.
Естественное течение бронхолегочного аспергеллеза весьма вариабельно. У некоторых больных бывают только один или два приступа, а у других больных, если они не пользуются кортикостероидами, отмечаются частые рецидивы [Safirstein et al., 1973]. Мы уже упоминали о необратимых последствиях повторяющегося появления теней. Выраженные изменения легочной функции отмечены в недавно опубликованном исследовании, касающемся больных с длительной астмой [Inouye, Turner-Warwick, 1977]. У 30 больных, страдавших астмой в течение минимум 30 лет, необратимая обструкция дыхательных путей, снижение диффузии ФГ10У и потеря эластичности чаще всего наблюдались при наличии бронхолегочного аспергиллеза.
Информация на сайте подлежит консультации лечащим врачом и не заменяет очной консультации с ним.
См. подробнее в пользовательском соглашении.
Аллергический бронхолёгочный аспергиллёз
Аллергический бронхолёгочный аспергиллёз – это хроническое заболевание бронхолегочной системы, обусловленное поражением дыхательных путей грибами аспергиллами и характеризующееся развитием в бронхах аллергического воспалительного процесса. Аспергиллез, как правило, возникает у больных бронхиальной астмой, проявляется лихорадкой, кашлем со слизисто-гнойной мокротой, болями в грудной клетке, периодическими приступами удушья. Диагноз устанавливается с учетом данных клинического осмотра, анализов крови и мокроты, рентгенологического исследования легких, аллергологических проб. Лечение проводится с использованием глюкокортикоидов и противогрибковых препаратов.
МКБ-10

Общие сведения
Аллергический бронхолёгочный аспергиллез – это инфекционно-аллергический плесневый микоз, вызванный грибками аспергиллами (как правило, это Aspergillus fumigatus) и проявляющийся развитием дисбактериоза дыхательных путей, аллергического воспаления слизистой оболочки бронхов и последующего фиброза легких. Заболевание возникает преимущественно у больных атопической бронхиальной астмой (90% всех случаев аспергиллеза), а также при муковисцидозе и у лиц с ослабленным иммунитетом.
Впервые заболевание было выявлено и описано в Великобритании в 1952 году среди больных бронхиальной астмой, у которых отмечалось длительное повышение температуры тела. В настоящее время аллергический бронхолегочный аспергиллез встречается чаще у людей в возрасте от 20 до 40 лет и диагностируется у 1-2% больных бронхиальной астмой. Поражение дыхательных путей грибами аспергиллами представляет особую опасность для лиц с врожденным и приобретенным иммунодефицитом.
Причины
Возбудитель аллергического бронхолегочного аспергиллеза – дрожжеподобные грибы из рода аспергилл. Всего известно около 300 представителей этих микроорганизмов, 15 из которых могут вызывать развитие инфекционно-аллергического воспаления при попадании в дыхательные пути. В подавляющем большинстве случаев плесневый микоз в бронхах возникает при проникновении Aspergillus fumigatus.
Распространены аспергиллы повсеместно, споры грибов находятся в воздухе и летом, и зимой. Любимые места обитания этих микроорганизмов – влажная, заболоченная местность, почвы с богатым содержанием органических удобрений, скверы и парки с опавшими листьями, жилые и нежилые помещения с повышенной влажностью воздуха (санузлы, ванные комнаты, подвалы в старых домах), земля комнатных растений, клетки птиц, кондиционеры.
Основными факторами риска, облегчающими развитие аллергического бронхолегочного аспергиллеза, являются наследственная предрасположенность (наличие бронхиальной астмы и других аллергических заболеваний у родственников), длительный контакт с аспергиллами (работа на приусадебном участке, животноводческих фермах, мукомольных предприятиях), снижение защитных сил организма (первичный и вторичный иммунодефицит, хронические заболевания бронхолегочной системы, болезни крови, злокачественные новообразования и др.).
Патогенез
Споры грибов Aspergillus во время вдоха попадают в дыхательные пути, оседают на слизистой оболочке бронхов, прорастают и начинают свою жизнедеятельность. При этом происходит выброс протеолитических ферментов, повреждающих клетки эпителия бронхов. Реакция иммунной системы на антигены аспергилл вызывает образование медиаторов аллергии, синтез иммуноглобулинов E, A и G, развитие воспалительного процесса аллергической природы в бронхах.
Симптомы
При хроническом течении аллергического бронхолегочного аспергиллеза проявления болезни могут быть стертыми – без признаков интоксикации, с периодическим кашлем со слизистой мокротой, в которой могут быть коричневатые включения, небольшой одышкой при физических нагрузках, чувством нехватки воздуха. Если аспергиллез протекает на фоне иммунодефицита, в клинической картине будут присутствовать симптомы основного заболевания (острого лейкоза, туберкулеза легких, саркоидоза, обструктивной болезни легких, злокачественного новообразования конкретной локализации).
Диагностика
Диагноз аллергического бронхолегочного аспергиллеза устанавливает аллерголог-иммунолог и врач-пульмонолог на основании изучения анамнеза, клинической картины заболевания, данных лабораторных и инструментальных исследований, аллергологических проб:
- Беседа и осмотр. Анамнез заболевания может указывать на наследственную отягощенность по аллергическим заболеваниям, наличие атопической бронхиальной астмы у пациента, периодический или длительный контакт с аспергиллами в быту или в процессе профессиональной деятельности. При физикальном обследовании примерно у половины больных аллергическим бронхолегочным аспергиллезом определяется притупление перкуторного звука в верхних отделах легких и прослушивание при аускультации влажных мелкопузырчатых хрипов, а также признаки нарушения общего состояния – одышка, бледность кожных покровов, потливость, субфебрилитет или гипертермия.
- Тесты лабораторной диагностики. При лабораторном исследовании в периферической крови определяется эозинофилия (более 20%), иногда отмечается лейкоцитоз и повышение СОЭ. При цитологическом анализе мокроты выявляется преобладание эозинофилов, при микроскопии мокроты могут определяться элементы мицелия аспергилл. Бактериологическое исследование мокроты позволяет выявить культуру Aspergillus fumigatus при росте грибов на питательных средах.
- Аллергологическое обследование. Проводятся кожные аллергологические тесты с экстрактом из аспергилл (выявляется типичная реакция немедленного типа). Диагноз аллергического бронхолегочного аспергиллеза подтверждается при определении повышенного уровня общего иммуноглобулина E и специфических IgE и IgG к Aspergillus fumigatus в сыворотке крови.
- Рентгендиагностика. При проведении бронхографии и компьютерной томографии выявляются проксимальные бронхоэктазы, «летучие» инфильтраты в легких.
Дифференциальная диагностика аллергического бронхолегочного аспергиллеза проводится с туберкулезом легких, саркоидозом, хронической обструктивной болезнью легких, эозинофильными легочными поражениями другой этиологии.
Лечение бронхолегочного аспергиллеза
Основные направления лечения аспергиллеза с поражением бронхолегочной системы – противовоспалительная терапия, уменьшение сенсибилизации организма и снижение активности аспергилл.
В острый период заболевания назначаются системные глюкокортикостероидные гормоны на протяжении не менее шести месяцев (препарат выбора – преднизолон). Применение глюкокортикостероидов начинают в лечебных дозировках и продолжают до полного рассасывания инфильтратов и нормализации титров антител, после чего переходят на поддерживающий прием еще на протяжении 4-6 месяцев. После полного купирования воспалительного процесса, то есть в стадии ремиссии, начинают проводить противогрибковую терапию амфотерицином B или траконазолом в течение 4-8 недель.
Прогноз и профилактика
Прогноз зависит от частоты и тяжести обострений аспергиллеза, сопутствующего фона. При частых обострениях и наличии других заболеваний в анамнезе существенно страдает качество жизни. Предупредить первичную инвазию позволяет соблюдение правил предосторожности при проведении сельхозработ. В первую очередь это касается лиц с бронхиальной астмой и иммудефицитами. Для профилактики рецидивов аллергического бронхолегочного аспергиллеза необходимо обеспечить максимальное снижение контакта с аспергиллами, а при наличии такой возможности – переезд в высокогорную местность с сухим климатом.
1. Аллергический бронхолегочный аспергиллез/ Кулешов А.В., Чучалин А.Г.// Русский медицинский журнал. - 1997 - №17.
3. Клинические особенности аллергического бронхолегочного аспергиллеза у детей/ Миненкова Т.А. Котов В.С. Мизерницкий Ю.Л. Ружицкая Е.А. Окунева Т.С.// Земский врач.- 2011.
Аспергиллез легких
Аспергиллёз лёгких – это заболевание грибковой этиологии, которое поражает все отделы дыхательной системы, протекает в острой или хронической форме, характеризуется разнообразием клинических симптомов, наличием признаков аллергии. Клиническая картина болезни включает кашель, кровохарканье, лихорадку и одышку. Диагноз устанавливается на основании рентгенографии и КТ органов грудной клетки, бронхоскопии, серологической диагностики, лабораторного исследования патологического материала. Назначается консервативное лечение фунгицидами, при необходимости в сочетании с антибиотиками и глюкокортикостероидами. Аспергилломы удаляются хирургическим путём.

Аспергиллёз лёгких по распространенности занимает первое место среди лёгочных микозов. 75% всех случаев грибковых поражений респираторного тракта вызваны аспергиллами. Плесневые грибы, провоцирующие развитие болезни, распространены повсеместно. Самое высокое содержание спор аспергилл в окружающей среде отмечается в арабских странах. Их концентрация выше в закрытых помещениях.
Болеют лица, вынужденные контактировать с обсеменённым спорами грибов материалом в силу своей профессиональной деятельности, а также пациенты с иммуносупрессией любого генеза. 20% реципиентов органов и тканей заболевают аспергиллёзом в послеоперационном периоде. У половины из них болезнь приводит к летальному исходу.
Возбудителями болезни являются плесневые грибы рода Aspergillus. Их споры содержатся в воздухе, почве и воде, мицелий активно растет в условиях повышенной влажности. Споры аспергилл устойчивы к высушиванию и длительно сохраняются в частицах пыли. Распространению способствуют мухи, тараканы и другие насекомые. Люди регулярно сталкиваются с патогенами, многие ежедневно вдыхают споры грибов, однако аспергиллёз лёгких развивается у сравнительно небольшой части населения. Факторами риска возникновения патологии являются:
- Иммунодефицитное состояние. Заболеванию подвержены пациенты с нарушением функций иммунитета. Грибковое поражение часто выявляется у лиц с первичным иммунодефицитом, больных СПИДом, онкологическими болезнями, сахарным диабетом. Трансплантация лёгких осложняется микозом у каждого пятого пациента, несколько реже аспергиллёз развивается у реципиентов костного мозга, поджелудочной железы и почек. Возникновению патологического состояния способствует длительный приём антибактериальных препаратов, кортикостероидов и цитостатиков.
- Хроническая патология лёгких. Излюбленными местами локализации аспергиллом являются полостные образования лёгочной ткани, бронхоэктазы. Заболевание часто диагностируют у больных хроническими формами туберкулёза, онкопатологией дыхательной системы, пациентов с муковисцидозом, ХОБЛ.
- Массивная инвазия аспергилл. Заболевают лица с нормально функционирующей иммунной системой, но работающие в условиях массивного обсеменения внешней среды спорами плесневых грибов. В группу риска входят работники мельниц, птицефабрик, пивоварен, фермеры и представители некоторых других профессий. Споры аспергилл в большом количестве могут содержаться в прядильном сырье, системах вентиляции и кондиционирования воздуха, сантехническом оборудовании.
Экзогенный лёгочный аспергиллёз обычно развивается при вдыхании спор грибов. При выраженной имуносупрессии возможна активация сапрофитных аспергилл, обитающих на коже и слизистых оболочках. Происходит аутоинфицирование. Аспергиллы попадают в дыхательную систему. При полноценном клеточном иммунном ответе наблюдается уничтожение и фагоцитоз гифов грибов.
При массивном попадании грибных спор в организм и/или нарушении функций клеточного иммунитета преобладает гуморальный ответ. Образуются гранулёмы, содержащие гифы патогенных грибов – аспергилломы. Они выявляются в бронхоэктазах, туберкулёзных кавернах и других полостях лёгких, на слизистых оболочках трахеи и бронхов. Такая форма болезни является неинвазивной.
Инвазивный аспергиллёз возникает на фоне выраженного иммунодефицита, при значительном снижении уровня гранулоцитов крови. Грибковая инфекция распространяется гематогенным путём, поражает лёгочную паренхиму, плевру, лимфатические узлы. Образуются множественные гранулёмы в различных органах и тканях. Течение болезни приобретает септический характер. Кроме того, некоторые виды аспергилл продуцируют большое количество микотоксинов, другие – являются мощными аллергенами. Развиваются микотоксикозы и аллергические реакции.
Классификация
Существует несколько классификаций лёгочной формы заболевания. По механизму инфицирования различают экзогенный и эндогенный аспергиллёз бронхолёгочной системы. Процесс может протекать остро и хронически. Некоторые специалисты в сфере пульмонологии отдельно выделяют поражение лёгких и дыхательных путей. Рабочая классификация отражает степень инвазии патогенов, их токсические свойства, локализацию процесса, наличие сенсибилизации организма и особенности течения болезни. Она включает:
- Неинвазивный лёгочный аспергиллёз. Возникают единичные и множественные аспергилломы лёгких с относительно доброкачественным течением.
- Инвазивный аспергиллёз респираторного тракта.Инвазивными легочными формами являются изолированный некротический аспергиллёз бронхов, пневмония, плеврит и хроническая лёгочная диссеминация грибковой этиологии.
- Аллергический аспергиллёз бронхов и лёгких. Гиперчувствительность к грибковым аллергенам приводит к развитию аллергического бронхолегочного аспергиллеза - микогенной бронхиальной астмы и экзогенных аллергических альвеолитов.
Симптомы аспергиллёза лёгких
Неинвазивный аспергиллез
Клиническая картина при микотическом поражении респираторных органов зависит от формы патологического процесса. Для неинвазивных аспергиллом характерно бессимптомное течение. Определить длительность инкубационного периода не представляется возможным. Заболевание обнаруживается случайно при прохождении профилактического рентгенологического обследования лёгких. Появление крови в мокроте свидетельствует о прорастании сосудов мицелием грибов и начале инвазивного процесса.
Инвазивный аспергиллез
При вдыхании большого количества патогенов развивается аспергиллёзный трахеобронхит или интерстициальная пневмония. Клиническим проявлениям предшествует короткий – от 1-3 часов до 3 дней – инкубационный период. Появляется стойкое непрекращающееся ощущение горечи во рту, першение в горле. Отмечается повышение температуры до высоких цифр, сопровождающееся ломотой в костях, ознобом. Для аспергиллёзной пневмонии характерна лихорадка неправильного типа. Температура повышается в утренние часы, снижается до нормальных или субфебрильных значений к вечеру.
Заболевание протекает бурно. Кашель в начале болезни мучительный, носит приступообразный характер, позднее становится продуктивным. Отделяется серо-зелёное или кровянистое содержимое бронхов. Больного мучает одышка даже при небольшой нагрузке. Беспокоят интенсивные боли в грудной клетке, усиливающиеся при дыхании и перемене положения тела.
Выражены симптомы общей интоксикации: слабость, потливость, отсутствие аппетита, повышенная утомляемость, похудание. Определяется учащённое сердцебиение и перебои сердечного ритма. Острому инвазивному лёгочному аспергиллёзу часто сопутствует поражение придаточных пазух носа и макулопапулёзные кожные высыпания.
Хронический аспергиллез
При эндогенном инфицировании лёгочный аспергиллёз принимает первично-хроническое течение. Его клинические проявления отличаются от картины интерстициальной пневмонии вялой симптоматикой с длительным субфебрилитетом, незначительным болевым синдромом. Микоз развивается на фоне персистирующего туберкулёза, саркоидоза, ХОБЛ, другой лёгочной патологии и несколько меняет картину основного заболевания. Пациенты обычно отмечают усиление одышки и кашля, обнаруживают серо-зелёные комочки в мокроте.
Аллергический аспергиллез
Аллергический аспергилёз чаще всего протекает в форме тяжёлой гормональнозависимой бронхиальной астмы. Проявляется частыми дневными и ночными приступами удушья, свистящими хрипами и тяжестью в груди, приступами сухого кашля. Больные аллергическим альвеолитом предъявляют жалобы на нарастающую одышку и отхождение небольшого количества слизистой мокроты. Острая форма альвеолита сопровождается признаками общего недомогания, артралгиями.
Осложнения
Своевременная диагностика и правильно выбранная тактика лечения позволяют добиться выздоровления у 25-50% больных респираторным аспергиллёзом. Осложнения возникают при любой форме заболевания. Их частота и тяжесть напрямую зависят от состояния иммунной системы и наличия фоновых патологий. Аспергиллёз утяжеляет течение основного патологического процесса.
У больных с аспергилломами нередко развивается кровохарканье. 25% таких пациентов погибают от лёгочного кровотечения. Острый инвазивный бронхолёгочный аспергилёз при выраженном снижении иммунитета приводит к возникновению микогенного сепсиса с высокой (50%) летальностью. Хроническое течение осложняется сердечно-легочной недостаточностью и последующей инвалидизацией больного.
Пациенты с лёгочными проявлениями аспергилёза обследуются у пульмонолога. При сборе анамнеза уточняется профессия, наличие хронической бронхолёгочной патологии, первичного или вторичного иммунодефицита. При осмотре и физикальном исследовании выявляются разнообразные неспецифичные симптомы. При аспергиллёзной пневмонии выслушиваются распространённые сухие и влажные мелкопузырчатые хрипы. В остальных случаях аускультативные данные обычно бывают скудными или отражают течение фонового процесса. Основными методами диагностики являются:
- Лучевая диагностика.Рентгенологическая картина в легких отличается разнообразием. Определяются нестойкие эозинофильные инфильтраты, плотные округлые или шаровидные тени с полостями распада, расположенные преимущественно в верхних долях лёгких, мелкоочаговая диссеминация. Характерным признаком аспергилломы является наличие серповидного просветления в полости округлого или овального образования, которое смещается при изменении положения тела (симптом погремушки). При заполнении полости аспергилломы контрастом грибные массы всплывают (симптом поплавка).
- Лабораторные исследования. В общеклиническом анализе крови отмечается лейкоцитоз, эозинофилия, повышение СОЭ. При микроскопии мокроты, промывных вод бронхов обнаруживаются грибные гифы. Культуральный метод позволяет вырастить колонии аспергилл на питательных средах. С помощью серологических реакций (ИФА, РСК) выявляются антитела к плесневым грибкам. Для пациентов с аллергической формой болезни характерен подъём уровня общего IgЕ. При хроническом аспергилёзе повышается IgG.
- Бронхоскопия. При эндоскопии бронхов определяется деформация трахеобронхиального дерева, признаки катарального воспаления слизистой оболочки бронхов. При попадании бронхоскопа в аспергиллому обнаруживается пушистый налёт серо-жёлтого или зеленоватого цвета, с трудом отделяющийся от стенок полости. Выполняется микроскопия и культуральное исследование полученного патологического материала.
Лёгочный аспергилёз необходимо дифференцировать с заболеваниями опухолевой природы, туберкулёзом, саркоидозом, деструктивной пневмонией другой этиологии. В последнее время микоз часто утяжеляет течение вышеуказанной патологии, поэтому в диагностическом поиске нередко принимают участие фтизиатры и онкологи. Из-за частого поражения патогенами ЛОР-органов все пациенты с подозрением на аспергиллёз направляются на консультацию к оториноларингологу.

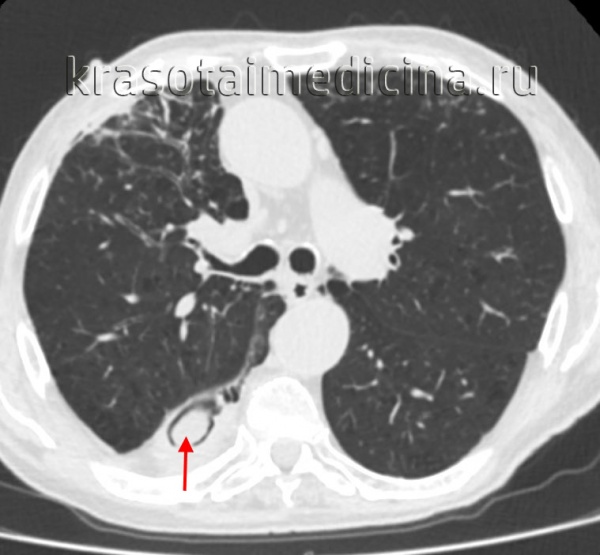
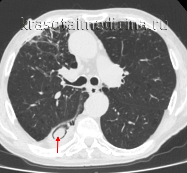
КТ ОГК. Полостное объемное образование в нижней доле правого легкого, частично заполненное грибковыми массами.
Лечение аспергиллёза лёгких
Длительность терапии и объём лечебных мероприятий зависят от формы заболевания и состояния иммунитета больного. Аспергиллёз бронхов, нетяжёлая микотическая пневмония у иммунокомпетентных лиц излечиваются за 7-10 дней в амбулаторных условиях. Показаниями к госпитализации являются кровохарканье, длительный эпизод фебрильной лихорадки, затяжной приступный период бронхиальной астмы. Основной группой препаратов, применяющихся для лечения данной патологии, являются с активные в отношении аспергилл антифунгальные средства.
Параллельно осуществляется медикаментозная терапия фонового процесса. Используются антибактериальные препараты и кортикостероидные гормоны. Питание больных аспергиллёзом должно быть полноценным, сбалансированным, высококалорийным. Аспергилломы, сопровождающиеся кровохарканьем, подлежат хирургическому удалению. Выполняется резекция лёгкого или лобэктомия. При выраженной дыхательной недостаточности для профилактики кровотечения в качестве временной меры применяется перевязка соответствующей бронхиальной артерии.
При лёгких формах аспергиллёза прогноз благоприятный, наступает полное выздоровление. Хронизация процесса приводит к формированию лёгочного сердца и инвалидности. Выраженный иммунодефицит может способствовать генерализации микоза и закончиться смертью больного. В качестве профилактики лица из групп профессионального риска должны использовать индивидуальные средства защиты и проходить регулярные профилактические осмотры. Пациенты с выраженными нарушениями функций иммунной системы подлежат рациональному трудоустройству и регулярному серологическому обследованию на аспергиллёз. Им запрещается употреблять в пищу продукты с плесенью, долго находиться в сырых и пыльных помещениях.
1. Аспергиллез легких: клинические формы, диагностика, лечение/ Гаврисюк В.К., Кривец В.А.//Украинский пульмонологический журнал – 2015 - №4.
2. Обзор рекомендаций американского общества по инфекционным болезням по лечению аспергиллеза/ Масчан А.А., Клясова Г.А., Веселов А.В.// Клиническая Микробиология и Антимикробная Химиотерапия. – 2008 – Т10, № 2.
3. Клинико-иммунологические особенности неинвазивного аспергиллеза легких: Автореферат диссертации/ Павленко Т.Г. – 2008.
Аспергиллез
Аспергиллез – микоз, вызываемый различными видами плесневых грибков рода Aspergillus и протекающий с хроническими токсико-аллергическими проявлениями. При аспергиллезе преимущественно поражается бронхолегочная система и придаточные пазухи; реже - кожа, зрительная система, ЦНС и др. У больных с низкой иммунной реактивностью может развиваться диссеминированный аспергиллез. Ведущую роль в диагностике аспергиллеза играют лабораторные методы: микроскопия, бакпосев, серологические реакции, ПЦР. Возможна постановка ингаляционных и кожно-аллергических проб. Лечение аспергиллеза проводится антифунгальными препаратами.
Аспергиллез – грибковое заболевание, возбудителем которого выступают плесневые грибы аспергиллы. Аспергиллы могут вызывать разнообразные поверхностные и глубокие микозы внутренних органов, кожи и слизистых оболочек, поэтому аспергиллез изучается в рамках целого ряда клинических дисциплин: микологии, пульмонологии, отоларингологии, дерматологии, офтальмологии и др. За последние два десятилетия частота заражения аспергиллезом в популяции выросла на 20%, что связано с увеличением числа пациентов с врожденным и приобретенным иммунодефицитом, распространением наркомании и ВИЧ-инфекции, нерациональным использованием антибиотиков, применением иммуносупрессивных препаратов в онкологии и трансплантологии. Все это еще раз подтверждает растущую актуальность аспергиллеза.
Причины аспергиллеза
Возбудителями аспергиллеза у человека могут выступать следующие виды плесневых грибков рода Aspergillus: A. flavus, A. Niger, A. Fumigatus, A. nidulans. A. terreus, A. clavatus. Аспергиллы являются аэробами и гетеротрофами; способны расти при температуре до 50°С, длительно сохраняться при высушивании и замораживании. В окружающей среде аспергиллы распространены повсеместно – в почве, воздухе, воде. Благоприятные условия для роста и размножения аспергилл имеются в вентиляционных и душевых системах, кондиционерах и увлажнителях воздуха, старых вещах и книгах, сырых стенах и потолках, длительно хранящихся пищевых продуктах, сельскохозяйственных и комнатных растениях и др.
Заражение аспергиллезом чаще всего происходит ингаляционным путем при вдыхании частиц пыли, содержащих мицелий гриба. Наибольшему риску возникновения заболевания подвержены сельскохозяйственные рабочие, работники бумагопрядильных и ткацких предприятий, мукомолы, а также заводчики голубей, поскольку голуби, чаще других птиц, болеют аспергиллезом. Возникновению грибковой инфекции способствует инфицирование при проведении инвазивных процедур: бронхоскопии, пункции околоносовых пазух, эндоскопической биопсии и др. Не исключен контактный путь передачи аспергиллеза через поврежденные кожные покровы и слизистые оболочки. Также возможно алиментарное инфицирование при употреблении контаминированных аспергиллами продуктов питания (например, куриного мяса).
Кроме экзогенного инфицирования аспергиллами, известны случаи аутозаражения (при активации грибков, обитающих на коже, слизистой зева и дыхательных путей) и трансплацентарного инфицирования. К факторам риска заболеваемости аспергиллезом относятся иммунодефициты любого генеза, хронические заболевания дыхательной системы (ХОБЛ, туберкулез, бронхоэктатическая болезнь, бронхиальная астма и др.), сахарный диабет, дисбактериоз, ожоговые травмы; прием антибиотиков, кортикостероидов и цитостатиков, проведение лучевой терапии. Нередки случаи развития микозов смешанной этиологии, вызываемых различными видами грибков – аспергиллами, кандида, актиномицетами.
Классификация аспергиллеза
Таким образом, в зависимости от путей распространения грибковой инфекции различают эндогенный (аутоинфекцию), экзогенный (с воздушно-капельным и алиментарным путем передачи) и трансплацентарный аспергиллез (с вертикальным путем заражения).
По локализации патологического процесса выделяют следующие формы аспергиллеза: бронхолегочную (в т. ч. аспергиллез легких), ЛОР-органов, кожную, глазную, костную, септическую (генерализованную) и пр. На первичное поражение респираторного тракта и легких приходится около 90% всех случаев аспергиллеза; придаточных пазух носа – 5%. Вовлечение остальных органов диагностируются менее чем у 5% больных; диссеминация аспергиллеза развивается примерно в 30% случаев, преимущественно, у ослабленных лиц с отягощенным преморбидным фоном.
Симптомы аспергиллеза
Наиболее изученной на сегодняшний день формой патологии является аспергиллез легких. Начальные стадии бронхолегочного аспергиллеза маскируются под клинику трахеобронхита или бронхита. Больных беспокоит кашель с мокротой сероватого цвета, кровохарканье, общая слабость, похудение. При распространении процесса на легкие развивается легочная форма микоза - аспергиллезная пневмония. В острой фазе отмечается лихорадка неправильного типа, ознобы, кашель с обильной слизисто-гнойной мокротой, одышка, боли в грудной клетке. При дыхании изо рта может ощущаться запах плесени. С помощью микроскопического исследования мокроты обнаруживаются колонии мицелия и споры аспергилл.
У больных с сопутствующими заболеваниями дыхательной системы (легочным фиброзом, эмфиземой, кистами, абсцессом легкого, саркоидозом, туберкулезом, гипоплазией, гистоплазмозом) нередко формируется аспергиллома легких – инкапсулированный очаг, содержащий гифы гриба, фибрин, слизь и клеточные элементы. Гибель пациентов с аспергилломой может наступить в результате легочного кровотечения или асфиксии.
Аспергиллез ЛОР-органов может протекать в виде наружного или среднего отита, ринита, синусита, тонзиллита, фарингита. При аспергиллезном отите вначале возникает гиперемия, шелушение и зуд кожи наружного слухового прохода. С течением времени слуховой проход заполняется рыхлой сероватой массой, содержащей нити и споры гриба. Возможно распространение аспергиллеза на барабанную перепонку, сопровождающееся резкими колющими болями в ухе. Описаны поражения верхнечелюстных и клиновидных пазух, решетчатой кости, переход грибковой инвазии на орбиты. Глазной аспергиллез может принимать форму конъюнктивита, язвенного блефарита, узелкового кератита, дакриоцистита, блефаромейбомита, панофтальмита. Нередки осложнения в виде глубоких язв роговицы, увеита, глаукомы, потери зрения.
Аспергиллез кожи характеризуется появлением эритемы, инфильтрации, коричневатых чешуек, умеренного зуда. В случае развития онихомикоза возникает деформация ногтевых пластин, изменение цвета на темно-желтый или коричневато-зеленоватый, крошение ногтей. Аспергиллез ЖКТ протекает под видом эрозивного гастрита или энтероколита: для него типичны запах плесени изо рта, тошнота, рвота, диарея.
Генерализованная форма аспергиллеза развивается при гематогенной диссеминации аспергилл из первичного очага в различные органы и ткани. При данной форме заболевания возникают аспергиллезный эндокардит, менингит, энцефалит; абсцессы головного мозга, почек, печени, миокарда; поражение костей, ЖКТ, ЛОР-органов; аспергиллезный сепсис. Летальность от септической формы аспергиллеза очень высока.
Диагностика аспергиллеза
В зависимости от формы микоза пациенты направляются на консультацию к специалисту соответствующего профиля: пульмонологу, отоларингологу, офтальмологу, микологу. В процессе диагностики аспергиллеза большое внимание уделяется анамнезу, в т. ч. профессиональному, наличию хронической легочной патологии и иммунодефицита. При подозрении на бронхолегочную форму аспергиллеза проводится рентгенография и КТ легких, бронхоскопия с забором мокроты, бронхоальвеолярный лаваж.
Основу диагностики аспергиллеза составляет комплекс лабораторных исследований, материалом для которых могут служить мокрота, промывные воды из бронхов, соскобы с гладкой кожи и ногтей, отделяемое из пазух носа и наружного слухового прохода, отпечатки с поверхности роговицы, кал и пр. Аспергиллы могут быть обнаружены с помощью микроскопии, культурального исследования, ПЦР, серологических реакций (ИФА, РСК, РИА). Возможно проведение кожно-аллергических проб с антигенами аспергилл.
Дифференциальная диагностика аспергиллеза легких проводится с воспалительными заболеваниями респираторного тракта вирусной или бактериальной этиологии, саркоидозом, кандидозом, туберкулезом легких, муковисцидозом, опухолями легких и др. Аспергиллез кожи и ногтей имеет сходство с эпидермофитией, рубромикозом, сифилисом, туберкулезом, актиномикозом.
Лечение аспергиллеза
В зависимости от тяжести состояния пациента и формы аспергиллеза лечение может осуществляться в амбулаторных условиях или в стационаре соответствующего профиля. Антифунгальная терапия проводится препаратами: амфотерицин В, вориконазол, итраконазол, флуцитозин, каспофунгин. Противогрибковые препараты могут назначаться внутрь, внутривенно, в виде ингаляций. При аспергиллезе кожи, ногтей и слизистых оболочек проводится местная обработка очагов противогрибковыми средствами, антисептиками, ферментами. Противогрибковая терапия продолжается от 4 до 8 недель, иногда - до 3-х месяцев и дольше.
При аспергилломе легких показана хирургическая тактика – экономная резекция легкого или лобэктомия. В процессе лечения любой формы аспергиллеза необходимо проведение стимулирующей и иммунокорригирующей терапии.
Прогноз и профилактика аспергиллеза
Наиболее благоприятное течение отмечается при аспергиллезе кожи и слизистых оболочек. Летальность от легочных форм микоза составляет 20-35%, а у лиц с иммунодефицитом – до 50%. Септическая форма аспергиллеза имеет неблагоприятный прогноз. К мерам, позволяющим предупредить заражение аспергиллезом, относятся мероприятия по улучшению санитарно-гигиенических условий: борьба с пылью на производстве, ношение работниками мельниц, зернохранилищ, овощехранилищ, ткацких предприятий индивидуальных средств защиты (респираторов), улучшение вентиляции цехов и складов, регулярное микологическое обследование лиц из групп риска.
Особенности бронхообструктивного синдрома при муковисцидозе – этиопатогенез и терапия
Для цитирования: Каширская Н.Ю., Капранов Н.И., Толстова В.Д. и др. Особенности бронхообструктивного синдрома при муковисцидозе – этиопатогенез и терапия. РМЖ. 2007;4:247.
Муковисцидоз (МВ) – самое частое наследственное заболевание среди лиц белой расы, без соответствующей терапии приводящее к раннему летальному исходу. МВ – заболевание с аутосомно–рецессивным типом наследования, обусловленное моногенной мутацией и характеризующееся поражением экзокринных желез жизненноважных органов и систем.
Литература
1. Капранов Н.И. Муковисцидоз – современное состояние проблемы // Пульмонология – 2006. – Приложение по муковисцидозу. – С.3–11.
2. Капранов Н.И., Каширская Н.Ю., Петрова Н.В. Муковисцидоз: достижения и проблемы на современном этапе. Медицинская генетика 2004; 9: 398–412.
3. Амелина Е.Л, Черняк А.В, Черняев А.Л.. Муковисцидоз: определение продолжительности жизни // Пульмонология – 2001 – №3 – С.61–64
4. Dodge JA, Lewis PA, Stanton M, Wilsher J. Cystic Fibrosis mortality and survival in the United Kingdom, 1947 to 2003 // Eur Respir J. 2006 Dec 20; [Epub ahead of print]
5. Иващенко Т.Э., Баранов В.С. Биохимические и молекулярно–генетические основы патогенеза муковисцидоза. Спб.: Интермедика; 2002;
6. Witt M. Chronic pancreatitis and cystic fibrosis. Gut 2003; Suppl 2:1131–41;
7. Nissim–Rafinia M., Linde L., Kerem B. The CFTR gene: structure, Mutations and specific therapeutic approaches // in Cystic fibrosis in the 21st century. Edited by Bush A., Alton EWFW, Davies J.C., et al. – Prog Respir Res, Basel, Karger. 2006. – V.34. – P.2–10.
8. Cystic Fibrosis. Second edition. Ed. Hodson M.E., Geddes D.M. – Arnold, a member of the Hodder Headline Group, London, UK. – 2000. – Pp.477.
9. Pedreira C.C., Robert R.G., Dalton V. et al. Association of body composition and lung function in children with cystic Fibrosis // Pediatr Pulmonol.– 2005.– Vol.39, №3.– P.276–280.
10. Муковисцидоз. Современные достижения и актуальные проблемы. Метод. рекомендации. Издание второе (первое 2001) переработанное и дополненное / Капранов Н.И., Каширская Н.Ю., Воронкова А.Ю., Шабалова Л.А., Васильева Ю.И., Капустина Т.Ю., Радионович А.М. Толстова В.Д. М.: 2005. – 109с.
11. Черменский А.Г., Гембицкая Т.Е. и др. Функциональные особенности цилиарного эпителия у больных муковисцидозом // 6–Национальный конгресс по муковисцидозу: Тез. докл. – СПб., 2003. – С.40–42.
12. Bates R.D., Nahata M.C. Aerosolized dornase alfa (rhDNase) in cystic fibrosis // J. Clin. Pharm. Therap. – 1995. – Vol.20, №6. – Р.13–15.
13. Armstrong DS, Grimwood K, Cardin JB, et al. Lower airway inflammation in infants and young children with cystic fibrosis // Am J Respir Crit Care Med. – 1997. – Vol.156. P.1197–1204.
14. Nguyen T., Louie S.G., Beringer PM, Gill M.A.. Potential role of macrolide antibiotics in the management of CF lung disease // Curr Opin Pulm Med. – 2002. – Vol.8, №6. – P.521–528.
15. Пухальский А.Л., Шмарина Г.В., Пухальская Д.А., Каширская Н.Ю., Капранов Н.И. Особенности воспалительного процесса у больных муковисцидозом // Пульмонология – 2006. – Приложение по муковисцидозу. – С.81–84.
16. Verhaeghe C, Delbecque K, de Leval L, et al. Early inflammation in the airways of a cystic fibrosis foetus // J Cyst Fibros. 2007 Jan 11; [Epub ahead of print]
17. Van Asperen PP, Manglick P.,Allen H. Mechanisms of bronchial hyperreactivity in cystic fibrosis// Pediatr Pulmonol. 1988;5(3):139–44
18. Tiddens H.A. Detecting early structural lung damage in cystic fibrosis // Pediatric Pulmonology. – 2002.– Vol.34. – P.228–231.
19. Воронкова А.Ю., Шмарина Г.В., Дубовик Л.Г. и др. Дорназа альфа: клинические и лабораторные эффекты // Пульмонология – 2006. – Приложение по муковисцидозу. – С.25–29.
20. Sun F., Tai S., Lim T., et al. Additive effect of dornase alfa and Nacystelyn on transportability and viscoelasticity of cystic fibrosis sputum // Can Respir J. – 2002 Nov–Dec. – V.9(6). – P.401–406.
21. Daviskas E, Anderson SD. Hyperosmolar agents and clearance of mucus in the diseased airway // J Aerosol Med. 2006 Spring;19(1):100–9.
22. Желенина Л.А., Ефимова Н.С., Орлов А.В. и др. Атопия и гиперреактивность бронхов при бронхообструктивном синдроме у больных муковисцидозом // Аллергология. – 2006. – №1. – С.10–14.
23. Dowling R.B., Johnson M., Cole P.J., Wilson R. Effect of fluticasone propionate and salmeterol on Pseudomonas aeruginosa infection of respiratory mucosa in vitro // Eur. Respir. J.– 1999.– Vol. 14, №2. –P. 363–369.
24. Радионович А.М., Каширская Н.Ю., Капранов Н.И. Клиническое значение длительного применения субтерапевтических доз макролидов при хронической синегнойной инфекции у больных муковисцидозом // Пульмонология – 2006. – Приложение по муковисцидозу. – С.40–46.
Контент доступен под лицензией Creative Commons «Attribution» («Атрибуция») 4.0 Всемирная.
Читайте также:
