Диагностика экстравентрикулярной нейроцитомы по КТ, МРТ
Добавил пользователь Владимир З. Обновлено: 31.10.2025
Центральная нейроцитома – нейроэпителиальная внутрижелудочковая опухоль 2 степени злокачественности по ВОЗ c довольно характерными радиологическими признаками, проявляющаяся в виде гетерогенного объемного образования различных размеров и с контрастным усилением в пределах бокового желудочка и с прикреплением к прозрачной перегородке. Обычно они выявляются у молодых пациентов; при полной резекции прогноз благоприятный.
Эпидемиология
Центральные нейроцитомы чаще всего встречаются у молодых людей (70% в возрасте от 20 до 40 лет) и составляют менее 1% от всех интракраниальных опухолей. Информации о половой предрасположенности нет. 10
Клиническая картина
Характерными для центральной нейроцитомы симптомами являются симптомы повышенного внутричерепного давления, чаще всего пациенты жалуются на головные боли; также возможны эпилептические приступы (особенно при наличии экстравентрикулярного роста).
Характерно сравнительно непродолжительное клиническое течение, обычно несколько месяцев. В редких случаях центральная астроцитома может стать причиной внезапной смерти в результате желудочковой обструкции. [4] Внутрижелудочковые кровоизлияния встречаются также редко. [7]
Патология
Дифференциация нейронов и гистологические особенности центральных нейроцитом схожи с таковыми у олигодендроглиом, что исторически приводило к ошибкам в постановке диагноза.
Изначально данному типу опухолей была присвоена первая степень злокачественности по ВОЗ. Однако, с 1993 года (и по данным последней версии классификации 2016 г.) степень злокачественности изменилась на вторую, поскольку у некоторых опухолей наблюдалось более агрессивное поведение. [10]
Локализация
Подавляющее большинство центральных нейроцитом расположено полностью внутри желудочков. Среди типичных локализаций можно выделить следующие:
- боковые желудочки в области отверстия Монро (50%);
- и в латеральном, и в третьем желудочках (15%);
- билатеральное расположение (15%);
- изолированно в третьем желудочке (5%);
Макроскопическая картина
Макроскопически центральные нейроцитомы – опухоли серого цвета рыхлой структуры, иногда с областями кальцификации и кровоизлияний. [11]
Микроскопическая картина
Клетки обычно округлой формы, однородные, с мелкозернистыми включениями хроматина по типу «соли-и-перца». В центральных нейроцитомах могут визуализироваться области переменной архитектуры, которые напоминают другие опухоли - олигодендроглиомы, пинеоцитомы и нейроэндокринные опухоли.
Иммунофенотип
Иммуногистохимия подтверждает чисто нейронное происхождение опухоли положительностью к нейронным маркерам, таким как [11]:
- синаптофизин: положительны;
- NeuN: положительны;
- нейронспецифическая энолаза: положительны;
- МАР2: положительны;
- β-тубулин III класса: обычно положительны;
- GFAP и IDH-1 R132H – отрицательны.
Генетика
Важно, что мутации в IDH и 1p19q ко-делеция отсутствуют (их наличие характерно для олигодендроглиом).
Варианты
Экстравентрикулярная нейроцитома гистологически сходны, однако отсутствует внутрижелудочковый компонент.
Ганглионейроцитома – вариант экстравентрикулярных нейроцитом, имеющий в своем составе ганглионарно-клеточный компонент.
Диагностика
Компьютерная томография
Центральные нейроцитомы обычно гиподенсны по отношению к белому веществу. Кальцификация наблюдается примерно в половине случаев, обычно точечная. Редко наблюдается кистозный компонент, особенно в опухолях большого размера. Накопление контрастного вещества варьирует от небольшого до значительного. Также часто наблюдается расширение желудочков.
- Т1
- обычно изоинтенсивны к серому веществу
- интенсивность гетерогенная
- небольшое-значительное накопление контрастного вещества
- обычно изо- или гиперинтенсивны относительно паренхимы мозга
- возможно наличие множества кист, сигнал от которых полностью подавляется на FLAIR
- возможно наличие феномена пустоты потока [11]
- кальцификация обычно точечная
- кровоизлияния (особенно в больших опухолях)
- редко бывают кровоизлияния в желудочки
- выраженный пик холиновых соединений
- также возможно появления пика глицина (3,55 ppm) [10]
Ангиография
Часто выявляется «опухолевый румянец», с обилием хороидальных сосудов. Крупных снабжающих артерий обычно не наблюдается.
Лечение и прогноз
Обычно выполняется тотальная хирургическая резекция опухоли (5-летняя выживаемость – в 81%). Когда возможна лишь частичная резекция или опухоль распространяется экстравентрикулярно, дополнительно добавляются адъювантная лучевая терапия (и иногда – химиотерапия), хотя их эффективность доказана недостаточно.
Возможна диссеминация опухоли через ЦСЖ, однако такое встречается редко [10].
Диагностика экстравентрикулярной нейроцитомы по КТ, МРТ
а) Терминология:
1. Сокращения:
• Экстравентрикулярная нейроцитома (ЭВН)
2. Определение:
• Нейроэпителиальная опухоль, расположенная за пределами желудочковой системы, обычно в паренхиме головного мозгаб) Визуализация:
2. Рекомендации по визуализации:
• Советы по протоколу исследования:
о Контраст-расширенная МРТ с получением GRE изображений ± МРТ-спектроскопия3. КТ при экстравентрикулярной нейроцитоме:
• Бесконтрастная КТ:
о Отграниченное от окружающих структур кистозно-солидное объемное образование
о Са++ наблюдается в 10-15% случаев
о Вазогенный отек вариабельной выраженности![Экстравентрикулярная нейроцитома на МРТ]()
(а) МРТ, Т2-ВИ, корональный срез: в поверхностных отделах височной доли определяется неоднородное гиперинтенсивное объемное образование. «Пенистая» структура образования имитирует ДНЭО, однако описанная опухоль оказалась экстравентрикулярной нейроцитомой.
(б) МРТ, постконтрастное Т1-ВИ, корональный срез: у женщины 61 года с мышечной слабостью в теменной области определяется объемное образование с периферийным узловым характером контрастирования. При гистологическое исследовании был поставлен диагноз «экстравентрикулярная ней роцитома».в) Дифференциальная диагностика экстравентрикулярной нейроцитомы:
1. Олигодендроглиома:
• Кальцифицированное объемное образование гетерогенной структуры
• Вариабельный характер контрастирования2. Пилоцитарная астроцитома:
• Кистозно-солидное или солидное объемное образование, накапливающее контраст
• Обычно локализуется в задней черепной ямке или хиазмальной/ гипоталамической области3. Ганглиоглиома:
• Накапливающее контраст кистозно-солидное объемное образование, основание которого расположено в структуре коры, у ребенка или молодого взрослого
• Частота: височная > теменная, лобная доли4. ДНЭО:
• Объемное образование «пенистой» структуры, расположенное в структуре коры, у молодого взрослого5. Глиобластома:
• Гетерогенное объемное образование с участком центрального некроза
• Обычно возникает у пациентов пожилого возраста![Экстравентрикулярная нейроцитома на МРТ]()
(а) МРТ, FLAIR, аксиальный срез: в структуре лобной доли определяется кистозно-солидное объемное образование с умеренным перифокальным вазогенным отеком.
(б) МРТ, постконтрастное Т1-ВИ, аксиальный срез: у этого же пациента отмечается гетерогенное контрастирование солидного компонента образования в сочетании с ободковым контрастированием кистозного его компонента. Отсутствие выраженного вазогенного отека характерно для экстравентрикулярной нейроцитомы. Дифдиагноз при диагностической визуализации проводится между олигодендроглиомой, астроцитомой и ганглиоглиомой.г) Патология:
2. Стадирование и классификация экстравентрикулярной нейроцитомы:
• II степень злокачественности по классификации ВОЗ (grade II)3. Макроскопические и хирургические особенности:
• Могут обнаруживаться кистозный, некротический компоненты, Са++
• Редко наблюдается геморрагический компонент4. Микроскопия:
• Патоморфологически может быть идентична центральной нейроцитоме:
о Плотное расположение клеток, мономорфность цитологической картины
• Опухоль часто содержит ганглионарные клетки или ганглиоидные клетки
• Часто обнаруживаются гиалинизированные сосуды и плотные кальцификаты
• Синаптофизин положительные, часто GFAP-положительные клеткид) Клиническая картина:
1. Проявления экстравентрикулярной нейроцитомы:
• Наиболее частые симптомы: судороги, головные боли, гемипарез2. Демография:
• Возраст:
о Обычно встречается у детей и молодых взрослых (медиана: 34 года)
• Гендерные:
о Половая принадлежность отсутствует
• Эпидемиология:
о Редко: < 0,5% от всех первичных опухолей ЦНС3. Течение и прогноз:
• Хирургическая резекция обычно приводит к излечению
• Субтотальная резекция, гистологические признаки атипии и высокие значения индексов клеточной пролиферации коррелируют с рецидивом4. Лечение:
• Хирургическая резекция ± адъювантная терапия
• Лучевая терапия при рецидиве опухолиЦентральная нейроцитома на КТ, МРТ
а) Терминология:
• Внутрижелудочковая нейроэпителиальная опухоль с нейрональной дифференцировкой, обычно развивающаяся у молодых взрослыхб) Визуализация центральной нейроцитомы:
• Лучший диагностический критерий: объемное образование «пенистой» структуры, расположенное в переднем роге или теле бокового желудочка:
о Может локализоваться в III желудочке
• КТ: обычно объемное образование смешанной кистозно-солидной структуры с кальцификацией:
о Часто гидроцефалия
о Редко осложняется кровотечением
• МРТ: гиперинтенсивный на Т2-ВИ сигнал, гетерогенная структура, «пенистый» внешний вид:
о Может иметь преимущественно солидный характер
о Гетерогенное контрастирование от умеренной до высокой интенсивности
• MPT-спектроскопия: ↑ пика холина, ↓ пика NAA:
о Пик глицина на 3,55 ppm
• Предполагайте центральную нейроцитому при выявлении у молодого взрослого пациента объемного образования «пенистой», «перистой» или солидной структуры, расположенного интравентрикулярно вблизи отверстия Монро(а) На рисунке аксиального среза показано отграниченное от окружающих структур «пенистое» объемное образование дольчатой структуры, прилежащее к прозрачной перегородке. Расширение желудочка обусловлено обструкцией отверстия Монро. Это классическая картина центральной нейроцитомы. Тотальная хирургическая резекция часто позволяет добиться излечения данной опухоли II степени злокачественности по классификации ВОЗ (grade II).
(б) Бесконтрастная КТ, аксиальный срез: в боковом желудочке, прилегая к прозрачной перегородке, определяется объемное образование гетерогенной структуры (с кистозным и солидным компонентами). Наблюдается вторичная гидроцефалия, что характерно для центральной нейроцитомы. (а) МРТ, Т2-ВИ, аксиальный срез: у пациента 20 лет с жалобами на головные боли определяется объемное образование преимущественно солидной структуры, расположенное в теле бокового желудочка и имеющее связь с прозрачной перегородкой. В структуре образования определяются заметные участки потери сигнала за счет эффекта потока.
(б) МРТ, постконтрастное Т1-ВИ, аксиальный срез: у того же пациента определяется диффузное контрастирование объемного образования. При хирургической резекции была диагностирована центральная нейроцитома. Дифференциальный диагноз при визуализации проводится с субэпендимальной гигантоклеточной астроцитомой, субэпендимомой и менингиомой.в) Дифференциальная диагностика:
• Субэпендимома
• Субэпендимальная гигантоклеточная астроцитома
• Внутрижелудочковое метастатическое поражение
• Эпендимома
• Хориоидпапилломаг) Клиническая картина центральной нейроцитомы:
• Молодые взрослые, обычно 20-40 лет
• Обычно доброкачественный характер, локальные рецидивы развиваются редко:
о Хирургическая резекция обычно позволяет добиться излечения
о При неполной резекции могут быть полезны лучевая терапия, химиотерапия и/или радиохирургия
• Пятилетняя выживаемость: 90%
• MIB-1 > 2-3% связано с неблагоприятным прогнозом
• Головная боль, повышенное внутричерепное давление, изменения психического состояния, судороги являются наиболее частыми проявлениями:
о Гидроцефалия вследствие обструкции отверстия МонроДиагностика центральной нейроцитомы по КТ, МРТ
а) Терминология:
1. Сокращения:
• Центральная нейроцитома (ЦН)
2. Синонимы:
• Нейроцитома
3. Определение:
• Внутрижелудочковая нейроэпителиальная опухоль с нейрональной дифференцировкой
• Хорошо отграниченное от окружающих структур внутрижелудочковое нейроцитарное новообразование, локализованное в области отверстия Монро1. Общие характеристики центральной нейроцитомы:
• Лучший диагностический критерий:
о Объемное образование «пенистой» структуры, расположенное в переднем роге или теле бокового желудочка
• Локализация:
о Обычно супратенториальная, интравентрикулярная локализация
о Внутрижелудочковое объемное образование, прилежащее к прозрачной перегородке:
- > 50% локализуются в переднем роге/теле бокового желудочка, вблизи отверстия Монро
- 15% распространяются в III желудочек
о Оба боковых желудочка: 13%
о Только III желудочек: 5%
о IV желудочек: чрезвычайно редко
о Редкие экстравентрикулярные опухоли с признаками нейроцитомы (экстравентрикулярная нейроцитома):
- Мозговая паренхима, мозжечок, ствол мозга, спинной мозг
• Морфология:
о Объемное образование с дольчатой структурой с четкими контурами с внутриопухолевыми «кистами»
о Характерный «пенистый» внешний вид при диагностической визуализации
о Может иметь преимущественно солидный характер![Центральная нейроцитома на КТ]()
(а) На рисунке аксиального среза показано отграниченное от окружающих структур «пенистое» объемное образование дольчатой структуры, прилежащее к прозрачной перегородке. Расширение желудочка обусловлено обструкцией отверстия Монро. Это классическая картина центральной нейроцитомы. Тотальная хирургическая резекция часто позволяет добиться излечения данной опухоли II степени злокачественности по классификации ВОЗ (grade II).
(б) Бесконтрастная КТ, аксиальный срез: в боковом желудочке, прилегая к прозрачной перегородке, определяется объемное образование гетерогенной структуры (с кистозным и солидным компонентами). Наблюдается вторичная гидроцефалия, что характерно для центральной нейроцитомы.2. КТ при центральной нейроцитоме:
• Бесконтрастная КТ:
о Обычно смешанный кистозно-солидный характер (изо-/гипер-денсное образование)
о Часто Са++(50-70%)
о Часто гидроцефалия
о Редко осложняется кровоизлиянием
• КТ с контрастированием:
о Умеренное гетерогенное контрастирование4. Ангиография:
• ЦСА: вариабельный внешний вид
о Объемное образование от аваскулярного до заметной васкуляризации5. Радионуклидная диагностика:
• ПЭТ:
о Обычно характеризуется гипометаболизмом при ПЭТ с ФДГ
о При атипичных центральных нейроцитомах была описана гиперметаболическая активность6. Рекомендации по визуализации:
• Советы по протоколу исследования:
о Мультипланарная МРТ с контрастированием + корональные Т2-ВИ![Центральная нейроцитома на МРТ]()
(а) МРТ, постконтрастное Т1-ВИ, сагиттальный срез: у женщины 36 лет определяется гетерогенно контрастируемое кистозно-солидное внутрижелудочковое объемное образование. При хирургической резекции была диагностирована центральная нейроцитома II степени злокачественности по классификации ВОЗ (grade II). Хирургическая резекция, как правило, позволяет добиться излечения при данном типе опухолей.
(б) МРТ, FLAIR, аксиальный срез: в области бокового желудочка определяется неоднородно гиперинтенсивное объемное образование. Кроме того, отмечается вторичная гидроцефалия, что характерно для центральной нейроцитомы.в) Дифференциальная диагностика центральной нейроцитомы:
1. Субэпендимома:
• Может быть неотличима
• Пожилые пациенты
• Обычно контрастирование низкой интенсивности или его отсутствие
• IV > боковой желудочек2. Субэпендимальная гигантоклеточная астроцитома:
• Объемное образование в области отверстия Монро, часто Са++
• Выполните поиск признаков туберозного склероза:
о Субэпендимальные узелы, кортикальные туберсы, очаги поражения белого вещества3. Внутрижелудочковое метастатическое поражение:
• Встречается нечасто, обычно у пациентов пожилого возраста
• Часто известна первичная опухоль4. Эпендимома:
• Супратенториальные эпендимомы редко имеют внутрижелудочковую локализацию
• Гетерогенно контрастируемое объемное образование с перифокальным отеком
• Признаки агрессивного характера5. Хориоидпапиллома:
• Обычно у более молодых пациентов, локализуется в боковом желудочке
• У взрослых, локализуется в IV желудочке
• Интенсивно накапливающее контраст папиллярное объемное образование, часто гидроцефалия6. Менингиома:
• Интенсивно накапливающее контраст объемное образование с четкими контурами
• Обычно в области треугольника бокового желудочка
• Взрослые пациенты более старшего возраста7. Кавернозная мальформация:
• Редко внутрижелудочковая локализация (до 11%)
• Характерны Са++, гипоинтенсивный на Т2-ВИ ободок гемосидерина8. Олигодендроглиома:
• Типичные признаки: объемное образование в области коры с вариабельным контрастированием
• Гистологические различия![Центральная нейроцитома на МРТ]()
(а) На рисунке коронального среза определяется внутрижелудочковое «пенистое» образование дольчатой структуры - центральная нейроцитома. Образование вызывает деформацию прозрачной перегородки и расширение желудочка.
(б) МРТ, Т2-ВИ, корональный срез: визуализируется характерный «пенистый» внешний вид центральной нейроцитомы, локализованной в области бокового желудочка, вызывающей деформацию прозрачной перегородкой и расширение височного рога бокового желудочка. Типично высокоинтенсивное гетерогенное контрастирование образования. Такие опухоли обычно встречаются у молодых взрослых в возрасте от 20 до 40 лет.2. Стадирование и классификация центральной нейроцитомы:
• II степень злокачественности по классификации ВОЗ (grade II)
• «Атипичная центральная нейроцитома» (агрессивный вариант):
о Индекс MIB-1 > 2%
о Сосудистая пролиферация3. Макроскопические и хирургические особенности:
• Отграниченное от окружающих структур внутрижелудочковое объемное образование сероватого цвета, имеющее рыхлую структуру
• Умеренная степень васкуляризации, возможна кальцификация, редко кровоизлияния
• Обычно имеет связь с прозрачной перегородкой или стенкой бокового желудочка4. Микроскопия:
• Напоминают таковые при олигодендроглиоме:
о В прошлом многие центральные нейроцитомы диагностировались неверно
• Единообразные округлые клетки с нейрональной дифференцировкой:
о Зернистые ядра, перинуклеарные гало
• Различные паттерны архитектоники (могут быть характерны для других новообразований):
о Пласты однообразных клеток
о Периваскулярные псевдорозетки (эпендимома)
о «Сотовый» внешний вид (олигодендроглиома)
о Протяженные фибриллярные зоны (пинеоцитома)
• Доброкачественный характер (низкая скорость пролиферации, редкие митозы):
о Обычно низкий MIB-1 (< 2%)
• Редко анаплазия, некроз:
о Возможна оживленная митотическая активность, MIB-1 > 2-3%
о Микроваскулярная пролиферация
• Клетки, положительные на синаптофизин и нейрон-специфическая енолаза; редко GFAP-положительные клетки
• Электронная микроскопия: мелкопятнистый хроматин, мелкое отчетливое ядрышко, клеточные отростки с признаками аксонов (микротрубочки)![Центральная нейроцитома на МРТ]()
(а) МРТ, Т2-ВИ, аксиальный срез: в области бокового желудочка определяется «пенистое» объемное образование гетерогенной структуры, имеющее связь с прозрачной перегородкой, в сочетании с гидроцефалией, что характерно для центральной нейроцитомы.
(б) МРТ, постконтрастное Т1 -ВИ, аксиальный срез: у того же пациента определяется высокоинтенсивное контрастирование дольчатого объемного образования, имеющего крупный кистозный компонент, который заполняет передний рог бокового желудочка. Визуализационные признаки субэпендимомы и субэпендимальной гигантоклеточной астроцитомы могут имитировать центральную нейроцитому В дифференциальной диагностике могут помочь данные клинической картины.2. Демография:
• Возраст:
о Молодые взрослые, обычно 20-40 лет (70%)
о Диапазон: 1-67 лет; средний возраст: 29 лет
• Пол:
о Половая принадлежность отсутствует
• Эпидемиология:
о < 1 % от всех первичных внутричерепных новообразований
о 10% от всех внутрижелудочковых новообразований
о Составляет 50% от всех внутрижелудочковых опухолей у пациентов 20-40 лет3. Течение и прогноз:
• Обычно доброкачественное течение, редко местные рецидивы:
о Хирургическая резекция обычно позволяет добиться излечения
• Редко осложняются кровоизлиянием
• Пятилетняя выживаемость: 90%
• MIB-1 > 2-3% связан с неблагоприятным прогнозом
• Краниоспинальная диссеминация происходит крайне редко
• Опухоли с экстравентрикулярным распространением имеют более неблагоприятный клинический исход4. Лечение центральной нейроцитомы:
• Полная хирургическая резекция является методом выбора
• При неполной резекции могут быть полезны лучевая терапия, химиотерапия и/или радиохирургия
• Радиохирургия может улучшить показатели локального контроля и повысить выживаемостье) Диагностическая памятка:
1. Обратите внимание:
• Субэпендимома и гигантоклеточная астроцитома имитируют центральную нейроцитому, могут быть полезны клинические данные
• Центральная нейроцитома (ЦН) может имитировать другие опухоли патоморфологически, поэтому важна корреляция с визуализационными признаками
2. Советы по интерпретации изображений:
• Предполагайте центральную нейроцитому при выявлении у молодого взрослого внутрижелудочкового объемного образования «пенистой», «перистой» структуры, расположенного вблизи отверстия Монро
• Центральная нейроцитома обычно прилежит к прозрачной перегородкеСтатья написана по книге Власова Е.А. "Опухоли мозга. КТ- и МРТ-диагностика" посмотреть / заказать
Номенклатура
Опухоли нейроэпителиальной ткани / Нейрональные и смешанные нейронально-глиальные опухоли / Центральная нейроцитома, МКБ/О 9506/1 (G II)
Определение
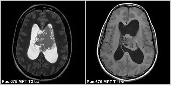
Центральная нейроцитома - кистозно-солидное объёмное образование, расположенное в боковом желудочке, связанное с прозрачной перегородкой, сопровождающееся расширением желудочковой системы (рис.677, 678).
![central_neurocytoma_1]()
Эпидемиология
0,25-0,5% от опухолей ЦНС, пик встречаемости 20-40 лет.
Морфология и биологическое поведение
На КТ и МРТ нейроцитомы - отграниченные образования, смешанной плотности, часто содержат кальцинаты (в 50-70% случаев) и кисты. В большинстве случаев опухоль сопровождается гидроцефалией обструктивного генеза.
Опухоль может инфильтрировать стенку бокового желудочка. В 20% случаев имеются внутриопухолевые кровоизлияния. Располагаются в просвете боковых желудочков головного мозга с тенденцией к локализации в области прозрачной перегородки и отверстия Монро.
Считается доброкачественной опухолью, хотя бывают случаи злокачественной трансформации [137].
![central_neurocytoma_2]()
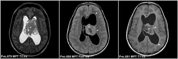
Центральная нейроцитома в виде неоднородной структуры объёмного образования, расположенного в боковом желудочке, связанное с прозрачной перегородкой (звёздочки на рис.679-681), сопровождающееся расширением бокового желудочка (головки стрелок на рис.680, 681). МРТ демонстрирует врастание опухоли в стенку бокового желудочка левого полушария большого мозга (стрелки на рис.680, 681).
Контрастное усиление
Накопление контраста средней выраженности, может быть минимальным и, даже, отсутствовать.
![central_neurocytoma_3]()
На МРТ в режиме Т1 после контрастного усиления определяется неоднородное накопление контраста в солидных участках опухоли (головки стрелок на рис.682-684). В области внутриопухолевых кист усиление отсутствует.
Дифференциальная диагностика
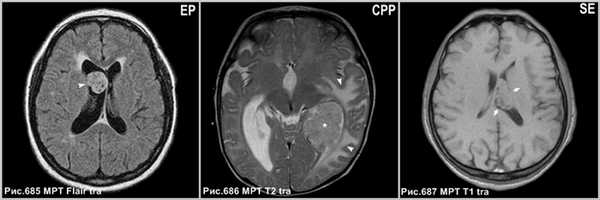
Эпендимома чаще встречается в детском возрасте, в основном, поражает IV желудочек и распространяется через желудочковые отверстия (рис.685).
Хориоидпапиллома (рис.686) встречается, главным образом, у детей; типично интенсивное контрастирование опухоли и внутриопухолевого питающего сосуда.
Субэпендимома обычно встречаются в IV желудочке, поражает людей старшего возраста (рис.687).
![central_neurocytoma_4]()
Эпендимома в виде солидного образования в правом боковом желудочке (головка стрелки на рис.685). Папиллома сосудистого сплетения в центральном отделе левого бокового желудочка (звёздочка на рис.686), окруженная перифокальным отёком (головки стрелок на рис.686). Субэпендимома левого бокового желудочка (стрелки на рис.687).
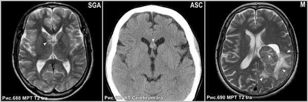
Субэпендимарная гигантоклеточная астроцитома (рис.688) встречается исключительно у пациентов с туберозным склерозом и интенсивно накапливают контраст.
Астроцитомы редко располагаются в желудочковой системе (рис.689).
Интравентрикулярные менингиомы (рис.690) имеют гомогенное контрастирование с определением чётких ровных контуров.
![central_neurocytoma_5]()
Субэпендимарная гигантоклеточная астроцитома с типичным расположением в области отверстия Монро (головка стрелки на рис.688). Астроцитома, растущая из прозрачной перегородки экзофитно в просвет правого и левого бокового желудочка (головка стрелки на рис.689). Внутрижелудочковая менингиома в центральном отделе левого бокового желудочка (звёздочка на рис.690), сопровождающаяся перифокальным вазогенным отёком прилежащего белого вещества перивентрикулярной зоны (головки стрелок на рис.690).
Клиническая картина, лечение и прогноз
Повышенное внутричерепное давление, зрительные и психические нарушения, иногда эндокринная и пирамидная симптоматика [2].
При полном хирургическом удалении - 5-летняя выживаемость составляет 81%, а при не полной резекции или экстравентрикулярном распространении добавляют адъювантную лучевую терапию (а иногда, и химиотерапию), хотя их преимущество не установлено.
Источник
Полная или частичная перепечатка данной статьи, разрешается при установке активной гиперссылки на первоисточник
- вы потеряли описание вашего МРТ или КТ,
- врача не устроило описание вашего МРТ или КТ
- вы сомненеваетесь в выводах по результатам вашего МРТ,
Похожие статьи
Классификация опухолей ЦНС
Классификация опухолей центральной нервной системы, Всемирной организации здравоохранения, 2016 года
Плеоморфная ксантоастроцитома
Опухоли нейроэпителиальной ткани / Плеоморфная ксантоастроцитома МКБ/О / 9424/3 (G II). Плеоморфная ксантоастроцитома чаще кистозная, реже солидная опухоль с излюбленной локализацией в височной доле, встречается в молодом возрасте.
Диффузная астроцитома
Диффузная астроцитома - инфильтративная опухоль без четких границ в действительности, при относительной четкости границы макроскопической картины, распространенность ее клеток шире, медленно, однако неуклонно прогрессирующая до анапластической формы, поражающая любые отделы ЦНС, реже ствол мозга и затылочные доли.
Субэпендимарная гигантоклеточная астроцитома
Субэпендимарная солидная опухоль у монроева отверстия, может содержать обызвествления, встречается у 15% больных туберозным склерозом.
Олигодендроглиома
Олигодендроглиома - диффузно растущая глиома с нечёткими контурами, характерной чертой которой является наличие обызвествлений в строме.
Эпендимома
Эпендимома чаще встречается у детей и располагается, преимущественно, в IV желудочке, а у взрослых чаще супратенториально, представляя собой кистозно-солидный или целиком солидный узел, может содержать петрификаты и быть окруженной перифокальным отеком.
Анапластическая эпендимома
Опухоль чаще супратенториальной локализации, возникает в основном у взрослых, характеризуется наличием кист, перифокального отёка и плохим прогнозом.
Миксопапиллярная эпендимома
Миксопапиллярная эпендимома встречается исключительно в области конского хвоста или терминальной нити, распространяясь экспансивно, приводит к расширению позвоночного канала, часто имеет кисты, кровоизлияния и петрификаты.
Субэпендимома
Субэпендимома - внутрижелудочковая ячеистого строения опухоль, расположенная чаще на прозрачной перегородке или в IV желудочке, содержит петрификаты и имеет доброкачественное течение.
Глиобластома
Глиобластома - опухоль высокой степени злокачественности, гетерогенного строения с центральным некрозом, быстрым инфильтративным ростом, перифокальным отеком и наихудшим прогнозом среди всех глиом.
Церебральный глиоматоз
Церебральный глиоматоз это диффузная опухоль, не имеющая конкретного центра, но обладающая обширной периферией, представляет собой инфильтрацию нескольких долей астроцитами разной степени дифференцировки, поражаются как супратенториальные так и инфратенториальные структуры.
Хориоидпапиллома
Папиллома сосудистого сплетения (хориоидпапиллома) - внутрижелудочковая опухоль, возникающая из сосудистого сплетения, сопровождающаяся внутренней гидроцефалией на фоне гиперпродукции ликвора, поражающая, преимущественно детей.
Опухоли ствола мозга
Глиома ствола мозга не является отдельной гистологической формой, а лишь отражает анатомическую локализацию неопластического поражения, в состав которого могут быть включены: диффузные и отграниченные астроцитомы, эмбриональные опухоли, эпендимома и глиобластома.
Медуллобластома
Медуллобластома чаще встречается у детей и располагается инфратенториально, представляя собой кистозно-солидную опухоль, возникает из червя мозжечка, с тенденцией роста в просвет IV желудочка.
Центральная нейроцитома
Центральная нейроцитома - кистозно-солидное объёмное образование, расположенное в боковом желудочке, связанное с прозрачной перегородкой, сопровождающееся расширением желудочковой системы.
Шваннома (невринома)
Акустическая шваннома (невринома, нейролеммома) - объемное образование мостомозжечкового угла, растущее в слуховой канал, расширяя его и в полость черепа, поражающее, в основном, взрослых; двусторонние шванномы ассоциированы с нейрофиброматозом II типа.
Менингиома
Менингиома - округлое объемное образование с четкими и ровными контурами, исходящее из клеток твердой мозговой оболочки, чаще расположенное на широком основании и наличием петрификатов в строме, редко сопровождающееся перифокальным отеком.
Локализация менингиом
• 85-90% менингиом расположены супратенториально,
• 45% парасагиттально и конвекситально,
Биологическое поведение менингиом
Менингиомы встречаются в среднем возрасте, чаще у женщин, в соотношении 2:1 или 4:1. У детей менингиомы - редкость, чаще встречаются в задней черепной ямке, имеют агрессивное течение или являются одним из проявлений НФ II типа.
Контрастное усиление менингиом
В большинстве менингиомы гомогенно интенсивно накапливают контраст с ранней артериальной фазы и длительно сохраняют его. На фоне адсорбции контраста контуры опухоли четко дифференцируются от мозгового вещества, что позволяет точно высказаться о размерах опухоли, ее структуре, распространении и количестве опухолевых узлов.
Клиническая картина, лечение и прогноз при менингиоме
Набор клинических симптомов зависит от размеров и расположения опухоли, наиболее частые: головная боль, очаговые неврологические проявления, ментальные расстройства и аносмия при расположении остеомы в передней черепной ямке.
Остеохондрома черепа
Остеохондрома (костно-хрящевой экзостоз) растёт экзофитно из кости наружу, непрерывывно связана с губчатым и кортикальным слоем имеет широкое основание и вид цветной капусты, в своей структуре может иметь отдельные костные прослойки.
Остеома черепа
Остеома - доброкачественная опухоль, возникающая из кости, представляющая собой ограниченное увеличение объема кортикального или губчатого (диплоэ) вещества.
Гемангиома черепа и позвоночника
Очаговое изменение в диплоическом веществе свода черепа и очаг в толще губчатого вещества тела позвоночника, состоящее из кавернозных полостей.
Остеосаркома черепа
Остеосаркома - злокачественная опухоль кости, быстро прогрессирующая и рано метастазирующая, чаще всего, в легкие, представляет собой образование, исходящее из кости и разрушающая исходный субстрат
Липома
Интракраниальная липома - представляет собой, не вполне бластому в морфологическом и биологическом представлении, а скорее дисэмбриогенетический доброкачественный жировой депозит, без признаков изменения в динамике.
Дизэмбриопластическая нейроэпителиальная опухоль (ДНЭО)
ДНЭО - это опухоль, преимущественно поражающая кору головного мозга, которая имеет многоузловую архитектуру с содержанием глионевральных элементов, узлового компонента глиальных клеток, а также корковой дисплазией
Первичная лимфома ЦНС
Первичная лимфома ЦНС (ПЛЦНС) - инфильтрация лимфоцитами белого вещества головного мозга с формированием облаковидных зон и типичным поражением валика и колена мозолистого тела
Аденома гипофиза
Аденома гипофиза чаще диагностируется у подростков и взрослых, преимущественно, в виде крупного солидного образования, с распространением за пределы турецкого седла - макроаденомы или в виде очага в гипофизе – микроаденома
Краниофарингиома
Краниофарингиома (КФ) - опухоль, растущая из селлярной области или в полости III желудочка, встречается у детей и стариков, имеет вид кистозного или кистозно-солидного образования, часто содержащие петрификаты в строме образования.
Дифференциальная диагностика краниофарингиом
В дифференциальной диагностике краниофарингиом от других селлярных поражений успешно используется правило «90», которое характеризует краниофарингиомы
Герминома
Герминома - самое частое образование шишковидной области, злокачественная, не инкапсулированная опухоль с высокой частотой метастазирования по оболочкам мозга, хорошо реагирующая на лучевую терапию.
Пинеоцитома
Пинеоцитома - доброкачественная опухоль, возникающая из ткани шишковидной железы, имеющая четкие контуры
Пинеобластома
Пинеобластома - первично злокачественная опухоль, без четких контуров с инвазивным типом роста, содержит кисты и некрозы, а так же сопровождается обструктивной гидроцефалией с расширением размеров желудочковой системы.
Параганглиома
Параганглиома (гломусная опухоль, хемодектома) - образование, встречающееся по ходу симпатических ганглиев, вдоль сонной артерии, наиболее часто возникает на шее, в яремном отверстии, среднем ухе и полости черепа.
Хордома
Хордома — редкая экстрацеребральная опухоль, возникающая из эмбриональной ткани (хордомезодермальной закладки).
Метастазы опухолей в мозг
Метастазы - очаги периферического распространения злокачественной опухоли с характерными чертами округлого образования, множественности поражения, перифокального отёка и масс-эффекта.
Локализация метастазов в мозге
Локализуются в любом отделе ЦНС: супра- (80%) и инфратенториально (20%),субкортикально, в глубинных отделах, в САП и субэпендимарно [88]. Наиболее часто поражается лобная и теменная доля [48]. В педиатрической популяции паренхиматозные метастазы чрезвычайно редко встречается [137].
Контрастное усилением метастазов в головном мозге
На сегодняшний день Т1 с контрастным усилением представляет собой лучший метод для обнаружения метастазов в головном мозге [4, 27, 151]. Повышение может быть однородным, точечным или кольцевидным, но оно, как правило, интенсивное [50].
Источники метастазов в головной мозг
Каких-либо отличительных морфологических признаков, при анализе церебральных метастазов, позволяющих успешно утверждать об источнике их возникновения, нет.
Дифференциальная диагностика метастазов в головной мозг
Дифференциальная диагностика должна проводиться со всеми очаговыми и объемными поражения головного мозга.
Клиническая картина, лечение и прогноз при метастазах в мозг
На ранних стадиях заболевания, пациенты с метастатическими опухолями мозга, как правило, бессимптомны. Когда опухоли увеличиваются в размерах и развивается отёк - появляются симптомы.
Метастазы в мозг
Внутричерепные метастазы являются осложнением рака с грозными последствиями. Томография мозга широко может быть использована для отбора больных с впервые выявленной злокачественной опухолью и для оценки пациентов с известными злокачественными новообразованиями, которые провоцируют развиваются неврологического дефицита.
Коллоидная киста III желудочка
Коллоидная киста III желудочка - дисэмбриогенетическое доброкачественное образование с эпителиальной выстилкой и коллоидным содержимым, иногда с тенденцией к увеличению и, как следствие - окклюзия отверстий Монро с развитием гидроцефалии.
Эпидермоидная киста
Эпидермоидная киста - доброкачественная опухоль, чаще врожденная (эпидермоид) и реже приобретенная (холестеатома), с четкими контурами, экспансивным ростом, приводящая к костной реструктуризации - деструкция в области роста и петрификаты в краях капсулы.
Спинальная невринома
Шваннома корешка спинального нерва - является экстрамедуллярной интрадуральной опухолью, возникающей из заднего (сенсорного) корешка, имеющая округлую форму и доброкачественным течением. Чаще наблюдаются единичные шванномы, множественные ассоциированы с нейрофиброматозом II типа.
Читайте также:
- Желчная колика. Причины и диагностика желчной колики.
- Гликоген в протезном ложе. Динамика содержания гликогена в протезном ложе
- Сифилис глазницы. Диагностика и рентгенография при сифилисе глаза
- Отеки при сердечной недостаточности. Причины отеков при сердечной недостаточности
- Симптомы сочетанного поражения гортанных нервов (паралича) и их лечение











