Диагностика мастоидита. Атипичное течение мастоидита
Добавил пользователь Владимир З. Обновлено: 23.12.2025
Мастоидит - остеомиелит сосцевидного отростка. В большинстве случаев он является вторичным (следствием воспалительного процесса в барабанной полости), хотя описаны случаи и первичного мастоидита, например, в результате травмы сосцевидного отростка.
Распространенность. Примерно начиная с 1,5-2 лет, когда у ребенка сформирован сосцевидный отросток, острое воспаление среднего уха может осложниться острым мастоидитом. Это происходит примерно в 2-5% наблюдений.
Что провоцирует / Причины Мастоидита:
Существуют общие и местные предпосылки к возникновению такого осложнения.
К общим относятся рахит, туберкулез, экссудативный диатез, значительную роль играет вирулентность флоры, хотя по составу она практически не отличается от определяемой при остром среднем отите.
К местным причинам относятся в основном те, которые затрудняют отток отделяемого из барабанной полости: сужение слуховой трубы, гипертрофия трубных и глоточной миндалин, узкий вход в пещеру, небольшая перфорация или несвоевременный парацентез, выпячивание воспаленной слизистой оболочки через перфорацию барабанной перепонки и т.д.
Симптомы Мастоидита:
Острый мастоидит может возникать в различные сроки заболевания острым средним отитом, но чаще это происходит на 3-4-й неделе, иногда уже на фоне кажущегося выздоровления.
У ребенка чаще внезапно вновь резко поднимается температура тела до 39-40 С, снова усиливаются боли в ухе, иногда (в результате интоксикации) даже появляются некоторые неврологические симптомы.
В заушной области сглаживается переходная складка, кожа припухшая, покрасневшая, резко болезненная при пальпации. Через какое-то время ушная раковина оттопыривается. Наружный слуховой проход суживается, введение воронки становится резко болезненным, задневерхняя стенка нависает, поскольку она одновременно служит передней стенкой пещеры сосцевидного отростка. Сужение может быть связано с отдавливанием гноем этой стенки кпереди или ее периоститом.
Резко усиливается гноетечение через перфорационное отверстие, после удаления светлый сливкообразный гной снова очень быстро появляется в наружном слуховом проходе. Часто отмечается пульсирующий рефлекс.
Осложнения.
Нетипичные формы мастоидита. В зависимости от степени пневматизации височной кости и ряда других факторов иногда гнойный процесс может развиваться и распространяться на соседние структуры.
Одним из направлений распространения гнойного процесса является верхушка сосцевидного отростка. Гной может прорваться через его внутреннюю тонкую пластинку под мышцы шеи и по ним распространиться в средостение. Это очень опасная форма - так называемый мастоидит Бецольда. Появление при мастоидите припухлости в области шеи и ограничения ее подвижности должно насторожить врача в отношении мастоидита Бецольда. Менее опасен прорыв гноя через верхушку кнаружи (мастоидит Муре), поскольку он не приводит к медиастиниту.
Субпериостальный абсцесс. Наиболее часто происходит расплавление костной пластинки в области латеральной стенки сосцевидного отростка, после чего гной попадает под периост и возникает субпериостальный абсцесс.
Другой путь образования субпериостального абсцесса связан с прорывом гноя через барабанно-сосцевидную щель. Установить диагноз весьма просто, поскольку при пальпации определяется флюктуация.
Субпериостальный абсцесс может вскрываться наружу самостоятельно через кожный покров или через заднюю стенку в наружный слуховой проход, но в большинстве случаев требуется хирургическое вмешательство.
Диагностика Мастоидита:
Окончательный диагноз устанавливается после рентгенологического исследования височных костей. На снимках определяются разрушение клеток сосцевидного отростка и образование общей бесструктурной полости.
Дифференциальная диагностика проводится с заушным шейным лимфаденитом и фурункулом наружного слухового прохода.
Нарушение слуха по звукопроводящему типу такое же, как и при остром среднем отите, в результате проникновения токсинов через окна лабиринта во внутреннее ухо имеется и некоторая нейросенсорная тугоухость.
Лечение Мастоидита:
Тактика лечения острого мастоидита различна и зависит от многих конкретных обстоятельств.
В случае обычного течения начинают с консервативной терапии антибиотиками, сульфаниламидами, обкалыванием периоста.
оказанием к хирургическому лечению служат формирование субпериостального абсцесса, нетипичных форм мастоидита Бецольда и Муре, а также выраженная интоксикация.
В этих случаях производят операцию - мастоидэктомию - вскрытие пещеры и клеток сосцевидного отростка и удаление кариозных тканей заушным путем (простая трепанация сосцевидного отростка). Несмотря на значительный радикализм, эта операция не приводит к снижению слуха, так как при создании хорошего оттока через вход в пещеру воспалительный процесс в барабанной полости обычно быстро ликвидируется без всяких последствий. Естественно, подобная ситуация возникает и при антротомии у грудных детей.
Показаниями к срочной операции являются симптомы внутричерепных осложнений, как, впрочем, и острый средний гнойный отит.
К каким докторам следует обращаться если у Вас Мастоидит:
Вас что-то беспокоит? Вы хотите узнать более детальную информацию о Мастоидита, ее причинах, симптомах, методах лечения и профилактики, ходе течения болезни и соблюдении диеты после нее? Или же Вам необходим осмотр? Вы можете записаться на прием к доктору .
Мезотимпанит
Мезотимпанит – это вариант хронического гнойного воспаления полости среднего уха, который сопровождается перфорацией барабанной перепонки в центральном отделе. Основные симптомы заболевания – снижение остроты слуха, оторея, интоксикационный синдром, чувство «заложенности» уха, шум различного характера. Клиническая картина изредка дополняется вестибулярными нарушениями и болевыми ощущениями. Диагностика заключается в сборе анамнеза и жалоб, проведении отоскопии, отоэндоскопии, камертональных проб, аудиометрии, лабораторных тестов, компьютерной или магнитно-резонансной томографии. Лечение основывается на антибиотикотерапии, тимпанопластике и симптоматических мероприятиях.

Общие сведения
Мезотимпанит составляет более 50% от всех форм хронического гнойного среднего отита (ХГСО). Общая распространенность заболевания – от 2 до 35% населения Земли. На территории России эта патология встречается с частотой от 8,2 до 40,1 на 1 000 человек. От 6 до 8% больных, которым требуется госпитализация и лечение в условиях стационара, страдают от ХГСО. Мезотимпанит считается относительно благоприятной формой заболевания, так как не сопровождается выраженной деструкцией костных структур. Однако при длительном течении болезни более чем у 55% пациентов развивается кариес слуховых косточек, а у 20-23% – лизис стенок барабанной полости. Летальность при возникновении осложнений колеблется в пределах 15-25%.

Причины мезотимпанита
Основная причина развития мезотимпанита – переход острого экссудативного среднего отита в хроническую форму. При этом состав бактериальной микрофлоры по сравнению с острым процессом несколько изменяется, часто определяется наличие несколько возбудителей одновременно. В основном это аэробы Pseudomonas aeruginosa и Staphylococcus aureus, которые обнаруживаются у 50-85% больных. Реже выявляется анаэробная флора, представленная грамположительными кокками (Peptococcus и Peptostreptococcus), Bacteroides или грамотрицательными Klebsiella и Proteus. Грибы рода Aspergillus и Candida определяются у 2-15% больных.
Выделяют факторы, которые способствуют хронизации воспаления барабанной полости и развитию мезотимпанита. К ним относятся:
- Заболевания носовой полости и носоглотки. В эту группу патологий включают опухоли, разрастания аденоидных вегетаций, деформации носовой перегородки и другие состояния, которые ухудшают дренажную функцию слуховой трубы, препятствуя оттоку гнойных масс из барабанной полости.
- Аномалии строения челюстно-лицевой области. В список входит атрезия хоан, синдром Дауна, заячья губа, и другие пороки, которые деформируют или перекрывают просвет евстахиевой трубы.
- Сопутствующие патологии. В первую очередь это касается сахарного диабета, который снижает местную резистентность тканей, способствует высокой активности патогенной микрофлоры.
- Иммунодефицитные состояния. Отсутствие системного иммунного ответа обеспечивает бесконтрольное размножение флоры, быстрое формирование осложнений, генерализацию инфекции. К таким состояниям относятся последние стадии развития раковых заболеваний, онкогематологические патологии, СПИД.
- Неадекватное лечение острого отита. Неправильно подобранные антибактериальные препараты, несоблюдение дозы или неполный курс антибиотикотерапии способствует не только переходу острого заболевания в ХГСО, но и резистентности микрофлоры к препаратам.
Патогенез
Развитие мезотимпанита основывается на первичном остром воспалении слизистых оболочек структур среднего уха. В дальнейшем из-за нарушения функции слухового канала, неоправданного использования антибиотиков, местного и системного иммунодефицита или присоединения анаэробной микрофлоры возникает мукозит. Последний представляет собой вариант поражения среднего уха, сопровождающийся сочетанием гиперплазии собственной пластинки слизистой оболочки и гиперсекреции покровного эпителия барабанной перепонки. Такие патологические изменения в сочетании с высокой активностью патогенной микрофлоры и токсичным воздействием продуктов ее жизнедеятельности приводят к гнойному расплавлению натянутой части барабанной перепонки. Параллельно происходит выделение литических ферментов, лимфокинов, цитокинов и факторов роста. Это становится причиной пролиферации, дифференцировки и миграции кератиноцитов в холестеатомном матриксе, провоцирует формирование холестеатомы, деструкции других костных структур.
Симптомы мезотимпанита
Обострение заболевания обычно происходит на фоне перенесенной острой вирусной инфекции, переохлаждения или попадания воды в ушной канал. Первичным симптомом у большинства пациентов является постепенное одностороннее ухудшение слуха со стороны поражения. У некоторых больных с каждым повторным эпизодом мезотимпанита острота слуха прогрессивно снижается. На обострение хронического отита также указывает возникновение синдрома интоксикации – повышение температуры тела до 39,0° C, озноб, сонливость, слабость, недомогание, общая ноющая головная боль.
При дальнейшем развитии заболевания появляются выделения из уха, которые могут иметь разный характер – от небольшого количества слизистых до обильных гнойных с ихорозным запахом. Оторея часто дополняется чувством «заложенности» в ухе, слабовыраженной болью или дискомфортом на фоне усиленного восприятия собственного голоса. Большинство больных слышит шум, характер которого зависит от имеющихся патологических изменений. При наличии большого дефекта барабанной перепонки шум низкочастотный, напоминает гул. В случае поражения внутреннего уха возникает высокочастотный звон, писк или свист.
Примерно у 10% пациентов, страдающих мезотимпанитом, формируется фистула лабиринта, вызывающая кохлеовестибулярные нарушения. К таковым относится головокружение вращательного характера и нарушение устойчивости различной степени выраженности. Симптомы обычно возникают при умеренной физической активности, поворотах или наклонах головы, реже – в состоянии покоя. Редко встречается тупая головная боль отогенного генеза, которая может локализироваться в височной, теменной или параорбитальной области.
Осложнения
Все осложнения, возникающие на фоне мезотимпанита, принято делить на две основные группы: внутричерепные и внечерепные. К первым относятся менингиты, энцефалиты, абсцессы головного мозга и пр. Их развитие обусловлено деструкцией верхней стенки барабанной полости с последующим распространением бактериальной флоры и гнойных масс непосредственно к мозговым оболочкам. В группу экстракраниальных осложнений входит субпериостальный абсцесс, мастоидит, лабиринтит, парез лицевого нерва. Механизм их развития также основывается на гнойном расплавлении стенок среднего уха, но с вовлечением в патологический процесс орбиты, сосцевидного отростка, структур, формирующих канал лицевого нерва или лабиринта. В последнем случае зачастую параллельно возникает глубокая нейросенсорная тугоухость. На фоне иммунодефицитных состояний существует высокий риск генерализации инфекции и развития отогенного сепсиса.
Диагностика
Постановка диагноза мезотимпанит, как правило, не представляет трудностей. Этому способствует характерная клиническая картина заболевания и наличие специфических изменений, которые определяются рутинными методами диагностики в отоларингологии. Полное обследование больного включает в себя:
- Анализ жалоб и анамнеза. Помимо признаков кондуктивной тугоухости и отореи в анамнезе у больного почти всегда присутствует ранее перенесенный острый гнойный средний отит или обострения мезотимпанита. Также отоларинголог уточняет наличие предрасполагающих факторов или заболеваний.
- Отоскопия. Отоскопическая картина при этом варианте ХГСО характеризуется наличием сквозного отверстия в натянутой области барабанной перепонки, из которого происходит выделение патологических масс. Определяется общая гиперемия, отечность краев перфоративного отверстия, реже – грануляционные разрастания.
- Отомикроскопия или отоэндоскопия. Исследование позволяет визуализировать наличие тимпаносклеротических очагов или петрификатов, тимпанофиброза, ретракционных карманов, мукозита, полипозных изменений слизистых оболочек, определить кариес или гнойное расплавление слуховых косточек, деструкцию аттика и адитуса, развитие холестеатомы.
- Камертональное исследование. Во время теста Ринне пациент с мезотимпанитом громче воспринимает звучание камертона при размещении его ножки на сосцевидном отростке. По результатам пробы Вебера звук, издаваемый камертоном, лучше слышно со стороны пораженного уха. Изменение результатов тестов указывает на сопутствующее поражение звуковоспринимающего аппарата.
- Тональная пороговая аудиометрия. При изолированном поражении барабанной перепонки и/или цепи слуховых косточек на аудиограмме наблюдается прогрессивная депрессия кривой воздушной проводимости. При распространении патологического процесса в лабиринт возникает поражение звуковоспринимающей системы, что отображается параллельным ухудшением костного восприятия звука.
- Лабораторные анализы. В общем анализе крови при мезотимпаните определяется повышение уровня лейкоцитов свыше 10×10 9 /л со сдвигом лейкоцитарной формулы влево, увеличение СОЭ. Проводится бактериальный посев выделяемых из уха патологических масс, определение чувствительности высеянной флоры к антибиотикам.
- Лучевые методы исследования. Обычно используется КТ височных костей, позволяющее визуализировать поражение слизистых оболочек среднего уха, формирование рубцов возле слуховых косточек, расплавление длинной ножки или тела наковальни, суперструктур стремени. При развитии осложнений происходит деформация и деструкция стенок крыши барабанной полости или пещеры, канала лицевого нерва и формирование фистул лабиринта. Реже применяется МРТ височных костей для детальной диагностики холестеатомного процесса и его дифференциации с другими патологическими изменениями.
Лечение мезотимпанита
Целью терапии является достижение стойкой ремиссии путем санации среднего уха, предотвращение внутричерепных и внечерепных осложнений. Основной метод лечения при мезотимпаните – хирургический. Операции обязательно дополняются назначением медикаментозных средств. Терапевтическая программа включает следующие мероприятия:
- Оперативное вмешательство. Хирургическая тактика зависит от конкретной клинической ситуации. В большинстве случаев выполняется тимпанопластика по Вульштейну, при необходимости – с протезированием слуховых косточек. При высоком риске развития осложнений проводится санирующая операция открытого типа или аттикоантромастоидотомия с дренированием пещеры.
- Антибиотикотерапия. Применяются как системные, так и топические антибактериальные препараты. Фармакологические средства подбираются с учетом чувствительности патогенной микрофлоры. Основные медикаменты – цефалоспорины II-III поколения, фторхинолоны II поколения, полусинтетические пенициллины. С учетом одновременного наличия нескольких возбудителей используются комбинации из 2-3 антибактериальных средств.
- Симптоматическое лечение. Включает использование топических кортикостероидов, промывание уха антисептическими препаратами, назначение иммуномодуляторов и витаминных средств. При дисфункции слуховой трубы осуществляется ее продувание по Политцеру. При необходимости выполняется септопластика, аденоидэктомия и другие операции, направленные на восстановление дренажа среднего уха.
Прогноз и профилактика
Прогноз при мезотимпаните относительно благоприятный. При своевременно начатой терапии удается восстановить слух до изначального уровня, избежать развития септических осложнений и нейросенсорной тугоухости. При внутричерепном распространении гнойных масс исход зависит от результатов лечения осложнений. Профилактика мезотимпанита подразумевает полноценное рациональное лечение острой формы гнойного среднего отита, укрепление общих защитных сил организма, своевременную нормализацию работы евстахиевой трубы, удаление аденоидных вегетаций, коррекцию других предрасполагающих факторов.
Мастоидит
Мастоидит — воспалительное поражение сосцевидного отростка височной кости инфекционного генеза. Чаще всего мастоидит осложняет течение острого среднего отита. Клинические проявления мастоидита включают подъем температуры тела, интоксикацию, боли и пульсацию в области сосцевидного отростка, отечность и гиперемию заушной области, боль в ухе и снижение слуха. Объективное обследование при мастоидите заключается в осмотре и пальпации заушной области, отоскопии, аудиометрии, рентгенографии и КТ черепа, бактериологическом посеве отделяемого из уха. Лечение мастоидита может быть медикаментозным и хирургическим. В его основе лежит антибиотикотерапия и санация гнойных очагов в барабанной полости и сосцевидном отростке.
МКБ-10


Сосцевидный отросток представляет собой выступ височной кости черепа, расположенный позади ушной раковины. Внутренняя структура отростка сформирована сообщающимися ячейками, которые разделены между собой тонкими костными перегородками. У разных людей сосцевидный отросток может иметь различное строение. В одних случаях он представлен крупными заполненными воздухом ячейками (пневматическое строение), в других случаях ячейки мелкие и заполнены костным мозгом (диплоэтическое строение), в третьих — ячеек практически нет (склеротическое строение). От типа строения сосцевидного отростка зависит течение мастоидита. Наиболее склонны к появлению мастоидита лица с пневматическим строением сосцевидного отростка.
Внутренние стенки сосцевидного отростка отделяют его от задней и средней черепных ямок, а специальное отверстие сообщает его с барабанной полостью. Большинство случаев мастоидита возникает как следствие перехода инфекции из барабанной полости в сосцевидный отросток, что наблюдается при остром среднем отите, в отдельных случаях при хроническом гнойном среднем отите.
Причины мастоидита
В зависимости от причины возникновения в отоларингологии различают отогенный, гематогенный и травматический мастоидит.
- Отогенный. Наиболее часто возникает вторичный мастоидит, обусловленный распространением инфекции в сосцевидный отросток из барабанной полости среднего уха. Его возбудителями могут быть палочка инфлюэнцы, пневмококки, стрептококки, стафилококки и др. Переходу инфекции из полости среднего уха способствует нарушение ее дренирования при позднем прободении барабанной перепонки, несвоевременном проведении парацентеза, слишком малом отверстии в барабанной перепонке или его закрытии грануляционной тканью.
- Гематогенный. В редких случаях наблюдается мастоидит, развившийся в следствие гематогенного проникновения инфекции при сепсисе, вторичном сифилисе, туберкулезе.
- Травматический. Первичный мастоидит возникает при травматических повреждениях ячеек сосцевидного отростка вследствие удара, огнестрельного ранения, черепно-мозговой травмы. Благоприятной средой для развития патогенных микроорганизмов в таких случаях является кровь, излившаяся в ячейки отростка в результате травмы.
Появлению мастоидита способствует:
- повышенная вирулентность патогенных микроорганизмов
- ослабленное состояние общего при хронических заболеваниях (сахарный диабет, туберкулез, бронхит, гепатит, пиелонефрит, ревматоидный артрит и пр.)
- патология носоглотки (хронический ринит, фарингит, ларинготрахеит, синусит)
- наличие изменений в структурах уха в связи с перенесенными ранее заболеваниями (травмы уха, аэроотит, наружный отит, адгезивный средний отит).
Начало мастоидита характеризуется воспалительными изменениями слизистого слоя ячеек сосцевидного отростка с развитием периостита и скоплением жидкости в полостях ячеек. Из-за выраженной экссудации эта стадия мастоидита получила название экссудативной. Воспалительная отечность слизистой приводит к закрытию отверстий, сообщающих ячейки между собой, а также отверстия, соединяющего сосцевидный отросток с барабанной полостью. В результате нарушения вентиляции в ячейках сосцевидного отростка, в них падает давление воздуха. По градиенту давлений в ячейки начинает поступать транссудат из расширенных кровеносных сосудов. Ячейки заполняются серозным, а затем серозно-гнойным экссудатом. Длительность первой стадии мастоидита у взрослых составляет 7-10 дней, у детей чаще 4-6 дней. В конечном итоге экссудативной стадии мастоидита каждая ячейка имеет вид эмпиемы — заполненной гноем полости.
Далее мастоидит переходит во вторую стадию — пролиферативно-альтеративную, в которой гнойное воспаление распространяется на костные стенки и перегородки сосцевидного отростка с развитием остеомиелита — гнойного расплавления кости. Одновременно с этим происходит образование грануляционной ткани. Постепенно перегородки между ячейками разрушаются и формируется одна большая полость, заполненная гноем и грануляциями. Так, в результате мастоидита возникает эмпиема сосцевидного отростка. Прорыв гноя через разрушенные стенки сосцевидного отростка приводит к распространению гнойного воспаления на соседние структуры и развитию осложнений мастоидита.
Классификация
Выделяют две клинические формы мастоидита: типичную и атипичную. Атипичная (латентная) форма отличается медленным и вялым течением без ярко выраженных характерных для мастоидита симптомов. Отдельно выделяют группу верхушечных мастоидитов, к которым относится мастоидит Бецольда, мастоидит Орлеанского и мастоидит Муре. По стадии воспалительного процесса мастоидит классифицируется как экссудативный и истинный (пролиферативно-альтеративный).

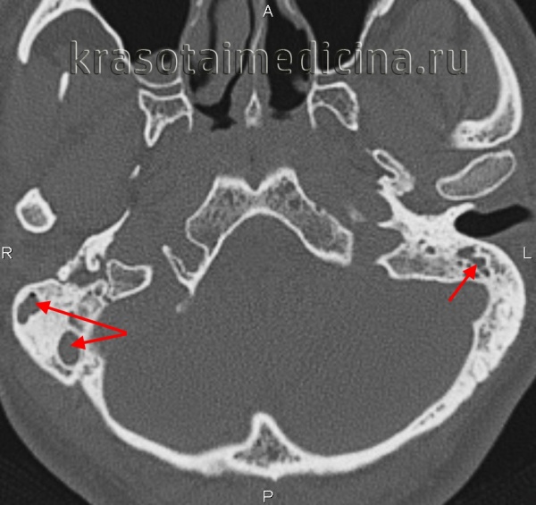
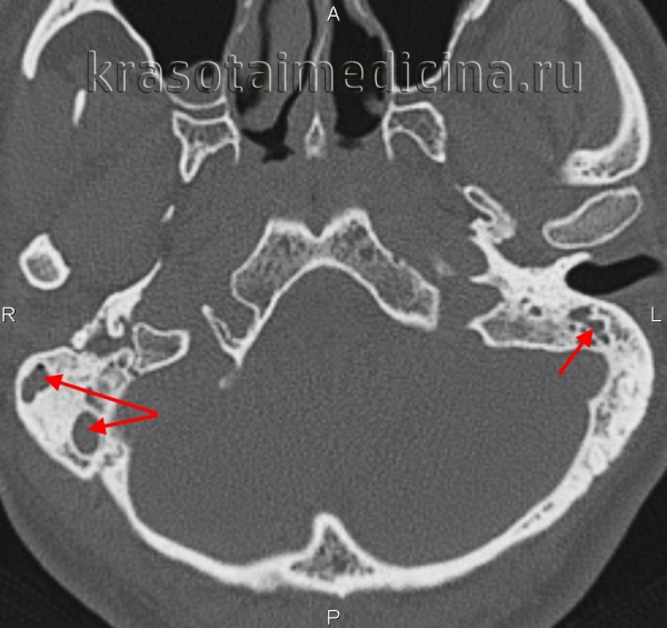
КТ височных костей. Тотальное снижение пневматизации ячеек сосцевидного отростка с обеих сторон. (фото Вишняков В.Н.)
Симптомы мастоидита
Мастоидит может появляться одновременно с возникновением гнойного среднего отита. Но чаще всего он развивается на 7-14 день от начала отита. У детей первого года жизни из-за особенности строения сосцевидного отростка мастоидит проявляется в форме отоантрита. У взрослых мастоидит манифестирует выраженным ухудшением общего состояния с подъемом температуры до фебрильных цифр, интоксикацией, головной болью, нарушением сна. Больные мастоидитом жалуются на шум и боль в ухе, ухудшение слуха, интенсивную боль за ухом, чувство пульсации в области сосцевидного отростка. Боль иррадиирует по ветвям тройничного нерва в височную и теменную область, орбиту, верхнюю челюсть. Реже при мастоидите наблюдается боль во всей половине головы.
Указанные симптомы при мастоидите обычно сопровождаются обильным гноетечением из наружного слухового прохода. Причем количество гноя заметно больше, чем объем барабанной полости, что свидетельствует о распространении гнойного процесса за пределы среднего уха. С другой стороны, гноетечение при мастоидите может не наблюдаться или быть незначительным. Это происходит при сохранении целостности барабанной перепонки, закрытии перфоративного отверстия в ней, нарушении оттока гноя из сосцевидного отростка в среднее ухо.
Объективно при мастоидите отмечается покраснение и отечность заушной области, сглаженность расположенной за ухом кожной складки, оттопыренность ушной раковины. При прорыве гноя в подкожную жировую клетчатку происходит формирование субпериостального абсцесса, сопровождающегося резкой болезненностью при прощупывании заушной области и симптомом флюктуации. Из области сосцевидного отростка гной, расслаивая мягкие ткани головы, может распространиться на затылочную, теменную, височную область. Происходящее в результате воспаления тромбирование сосудов, кровоснабжающих кортикальный слой кости сосцевидного отростка, приводит к некрозу надкостницы с прорывом гноя на поверхность кожи головы и формированием наружного свища.
Распространение гнойного воспаления в самом сосцевидном отростке происходит по наиболее пневматизированным ячейкам, что обуславливает разнообразие возникающих при мастоидите осложнений и их зависимость от строения сосцевидного отростка. Воспаление перисинуозной группы ячеек приводит к поражению сигмовидного синуса с развитием флебита и тромбофлебита. Гнойное разрушение перифациальных ячеек сопровождается невритом лицевого нерва, перилабиринтных — гнойным лабиринтитом. Верхушечные мастоидиты осложняются затеканием гноя в межфасциальные пространства шеи, в результате чего гноеродные микроорганизмы могут проникнуть в средостение и вызвать появление гнойного медиастинита.
Распространение процесса в полость черепа приводит к возникновению внутричерепных осложнений мастоидита (менингита, абсцесса головного мозга, энцефалита). Поражение пирамиды височной кости обуславливает развитие петрозита. Переход гнойного воспаления на скуловой отросток опасен дальнейшим заносом инфекции в глазное яблоко с возникновением эндофтальмита, панофтальмита и флегмоны глазницы. У детей, особенно младшего возраста, мастоидит может осложниться формированием заглоточного абсцесса. Кроме того, при мастоидите возможно гематогенное распространение инфекции с развитием сепсиса.
Как правило, диагностика мастоидита не представляет для отоларинголога никаких сложностей. Затруднения возникают в случае малосимптомной атипичной формы мастоидита. Диагностика мастоидита основывается на характерных жалобах пациента, анамнестических сведениях о перенесенной травме или воспалении среднего уха, данных осмотра и пальпации заушной области, результатах отоскопии, микроотоскопии, аудиометрии, бакпосева выделений из уха, компьютерной томографии и рентгенологического исследования.
- Отоскопия. При мастоидите выявляются типичные для среднего отита воспалительные изменения со стороны барабанной перепонки, при наличие в ней отверстия отмечается обильное гноетечение. Патогномоничным отоскопическим признаком мастоидита является нависание задне-верхней стенки слухового прохода.
- Исследование слуховой функции. Аудиометрия и исследование слуха камертоном позволяют установить степень тугоухости у пациента с мастоидитом.
- Рентгенография височной кости. В экссудативной стадии мастоидита обнаруживает завуалированные в результате воспаления ячейки и нечетко различимые перегородки между ними. Рентгенологическая картина пролиферативно-альтеративной стадии мастоидита характеризуется отсутствием ячеистой структуры сосцевидного отростка, вместо которой определяется одна или несколько больших полостей. Лучшая визуализация достигается при проведении КТ черепа в области височной кости.

Наличие осложнений мастоидита может потребовать дополнительной консультации невролога, нейрохирурга, стоматолога, офтальмолога, торакального хирурга, проведения МРТ и КТ головного мозга, офтальмоскопии и биомикроскопии глаза, рентгенографии органов грудной клетки.
Лечение мастоидита
Лечебная тактика при мастоидите зависит от его этиологии, стадии воспалительного процесса и наличия осложнений. Медикаментозная терапия мастоидита проводится антибиотиками широкого спектра действия (цефаклор, цефтибутен, цефиксим, цефуроксим, цефотаксим, цефтриаксон, амоксициллин, ципрофлоксацин и др.). Дополнительно применяют антигистаминные, противовоспалительные, детоксикационные, иммунокоррегирующие препараты. Проводят лечение осложнений.
При отогенной природе мастоидита показана санирующая операция на среднем ухе, по показаниям — общеполостная операция. Отсутствие в барабанной перепонке обеспечивающего адекватное дренирование отверстия является показанием к проведению парацентеза. Через отверстие барабанной перепонки производят промывания среднего уха лекарственными препаратами. Мастоидит в экссудативной стадии может быть излечен консервативным путем. Мастоидит пролиферативно-альтеративной стадии требует хирургического вскрытия сосцевидного отростка (мастоидотомии) для ликвидации гноя и послеоперационного дренирования.
Профилактика мастоидита
Предупреждение отогенного мастоидита сводится к своевременной диагностике воспалительного поражения среднего уха, адекватному лечению отитов, своевременному проведению парацентеза барабанной перепонки и санирующих операций. Корректная терапия заболеваний носоглотки и быстрая ликвидация инфекционных очагов также способствуют профилактике мастоидита. Кроме того, имеет значение повышение работоспособности иммунных механизмов организма, что достигается ведением здорового образа жизни, правильным питанием, при необходимости — иммунокоррегирующей терапией.
Средний отит - симптомы и лечение
Что такое средний отит? Причины возникновения, диагностику и методы лечения разберем в статье доктора Ходыревой Натальи Игоревны, сурдолога со стажем в 6 лет.
Над статьей доктора Ходыревой Натальи Игоревны работали литературный редактор Вера Васина , научный редактор Сергей Федосов и шеф-редактор Лада Родчанина
Определение болезни. Причины заболевания
Средний отит — это острое воспалительное заболевание слизистой оболочки среднего уха: слуховой трубы, барабанной полости, пещеры и клеток сосцевидного отростка. В норме среднее ухо заполнено воздухом, при отите в слуховой трубе накапливается жидкость [1] .

Средний отит можно заподозрить по трём ярким симптомам:
- боль в ухе;
- заложенность уха;
- снижение слуха;
У детей до одного года ярко выражены симптомы интоксикации: повышается температура, нарушается сон, ребёнок отказывается от еды [8] .
Основная причина возникновения среднего отита — воздействие вирусов и бактерий на слизистую оболочку полости носа и носоглотки. Чаще всего это пневмококк и гемофильная палочка, также встречается золотистый стафилококк, моракселла катаралис, гемолитический стрептококк группы А [1] .
Острый средний отит является наиболее частым осложнением острых респираторных заболеваний. В структуре болезней органа слуха острый средний отит встречается в 30 % случаев. В России его переносят ежегодно около 10 млн человек [1] .
Чаще всего средний отит встречается у детей до трёх лет, причины этого:
- наличие в полости уха эмбриональной соединительной ткани, рыхлой и студенистой, которая имеет малое количество кровеносных сосудов и является хорошей питательной средой для микроорганизмов (чаще встречается у детей до года, иногда — до трёх лет);
- недостаточное заполнение воздухом полости височной кости из-за эмбриональной соединительной ткани и даже околоплодной жидкости;
- характерная для детей анатомия среднего уха: широкая и короткая слуховая труба расположена почти горизонтально, поэтому при острых респираторных заболеваниях, частом положении ребёнка лёжа на спинке, неправильном кормлении, постоянном срыгивании — слизистое содержимое из полости носа, кусочки пищи и жидкости попадают в слуховую трубу, что запускает механизм воспаления.
Также причинами среднего отита могут стать:
- травма — механическое повреждение барабанной перепонки острым или тупым предметом, выраженное изменение атмосферного давления при резком снижении самолёта или погружении на большую глубину;
- сепсис;
- туберкулёз;
- аллергия;
- неправильное промывание носа (например, при наклоне головы вправо, влево, назад);
- резкие перепады атмосферного давления (у лётчиков, стюардесс, пассажиров самолёта чаще встречается аэроотит, у водолазов, у взрослых и детей после купания в водоёмах — мареотит) [2] .
При обнаружении схожих симптомов проконсультируйтесь у врача. Не занимайтесь самолечением - это опасно для вашего здоровья!
Симптомы среднего отита
- Встречаются чаще:
- боль, заложенность, шум в ухе;
- снижение слуха;
- аутофония — усиленное восприятие своего голоса поражённым ухом;
- повышение температуры тела выше 38 °С.
- Встречаются реже:
- выделения из уха (слизистого бесцветного, слизисто-белого, жёлтого, зелёного цвета);
- головная боль, чаще локализованная в височной области;
- головокружение системного характера (при осложнениях);
- нистагм — непроизвольные колебательные движения глаз (при осложнениях среднего отита, например при лабиринтите) [4] .
В начале заболевания наиболее выражены такие симптомы, как боль и заложенность в ухе, снижение слуха.

Симптомы среднего отита у детей до одного года:
- беспокойство и плач;
- нарушение сна;
- срыгивание;
- отказ от еды;
- повышение температуры тела;
- положение головы на больном ухе;
- попытки прикрыть руками больное ухо;
- отсутствие реакции на игрушки;
- нистагм [1][8][9] .
Вышеперечисленные симптомы, кроме нистагма, развиваются в течение нескольких первых дней заболевания.
Симптомы при атипичном течении среднего отита:
- различный характер боли — от её отсутствия до резких болевых ощущений;
- фебрильная температура тела (более 38 °С);
- симптомы интоксикации (слабость, тошнота, головная боль, одышка, учащение пульса);
- неврологические симптомы (рвота, симптомы поражения оболочек головного и спинного мозга) [1][7][11] .
Патогенез среднего отита
Пусковой механизм развития заболевания — это воздействие вирусов и бактерий на среднее ухо. Выделяют три основных пути попадания инфекции: тубарный, транстимпанальный, гематогенный.
Тубарный путь попадания инфекции
Слуховая труба играет важную роль в защите от инфекции среднего и внутреннего уха, в эвакуации отделяемого и выравнивании давления в среднем ухе с атмосферным.
Тубарный путь характерен для острых респираторных заболеваний, попадания кусочков пищи и жидкости, несоответствия давления в среднем ухе и атмосферного. Эти причины приводят к повреждению мерцательного эпителия слуховой трубы, который обеспечивает перемещение слизи по поверхности эпителия из барабанной полости в носоглотку. В результате запускается ряд иммунологических реакций, которые приводят к воспалению, повышается проницаемость сосудистой стенки, следовательно, увеличивается секреция слизи.
При нарушении основных функций слуховой трубы физиологический транспорт слизи затруднён, в результате она скапливается в области глоточного устья. Это приводит к дисфункции слуховой трубы и нарушению дренирования среднего уха. Оставшийся в нём воздух всасывается слизистой оболочкой, из-за чего в среднем ухе снижается давление. В результате происходит выпот жидкости из сосудов микроциркуляторного русла, что является отличным субстратом для размножения бактерий. Скопившийся экссудат, протеолитические ферменты, распавшиеся лейкоциты повышают давление на барабанную перепонку, что приводит к её прободению (образованию отверстия) и выделению гноя из уха [1] [9] [11] .
Транстимпанальный путь попадания инфекции
Инфекция проникает в барабанную полость через наружное ухо при механическом повреждении барабанной перепонки [9] [11] .
Гематогенный путь попадания инфекции
Встречается реже, при инфекционных заболеваниях (скарлатина, корь, грипп). Тромбоз микроциркуляторного русла среднего уха приводит к некротическим изменениям в слизистой оболочке барабанной полости. В результате возникает обширная перфорация барабанной перепонки, часто перетекающая в хроническую форму [9] .
Классификация и стадии развития среднего отита
Выделяют три стадии развития заболевания:
- Катаральное воспаление.
- Гнойное воспаление:
- 2а — гнойное воспаление, нет перфорации;
- 2b — гнойное воспаление, с перфорацией.
- Разрешение:
- выздоровление;
- хронизация процесса;
- появление осложнений.
На первой стадии барабанная перепонка краснеет, утолщается, появляется боль в ухе, снижается слух, температура тела повышается до 37-38 °С. Без адекватной и своевременной терапии процесс переходит в гнойный.
На стадии 2b барабанная перепонка перфорируется, в наружном слуховом проходе появляется гнойное отделяемое, боль в ухе уменьшается, симптомы интоксикации (слабость, недомогание, высокая температура) отступают.
Третья стадия — это разрешение процесса. Выделяют три его формы:
- выздоровление — в результате своевременной и адекватной терапии барабанная перепонка восстанавливает свою целостность, слух, как правило, тоже приходит в норму, в месте перфорации появляется рубчик;
- процесс переходит в хронический;
- формирование отогенных осложнений (связанных с ухом) [6] .
Осложнения среднего отита
Осложнением отита может стать его переход в хроническую форму. Процесс становится хроническим по следующим причинам:
- снижение иммунитета;
- сопутствующие хронические заболевания дыхательной и пищеварительной системы;
- нарушение функции слуховой трубы.
Осложнения наступают в результате затянувшейся стадии 2а. Сохранение целостности барабанной перепонки приводит к тому, что вязкий и густой секрет не может эвакуироваться. Барабанная перепонка меняет форму, в барабанной полости появляются спайки, которые мешают нормальной работе системы слуховых косточек. Слух не возвращается в норму и без терапии ухудшается.
Также заболевание может стать хроническим при затянувшейся стадии 2b и при вновь повторяющихся острых средних отитах. В результате перфорации барабанной перепонки среднее ухо остаётся открытым и в него проникает инфекция из внешней среды. Возникает тугоухость, которая по мере обострения приводит к ухудшению слуха и развитию как отогенных осложнений, так и внутричерепных.

Хронический средний гнойный отит имеет две формы:
- мезотимпанит — воспаление только слизистой оболочки;
- эпитимпанит — поражение и костных структур.
Без адекватного лечения могут развиться следующие осложнения:
- Мастоидит — деструкция ячеек сосцевидного отростка. Проявляется болью в заушной области, её отёком и покраснением, общей интоксикацией, оттопыренностью ушной раковины. Для мастоидита характерны и атипичные формы. Они могут проявляться уплотнённым образованием на боковой поверхности шеи или заушной области, затруднённым поворотом головы, воспалением луковицы ярёмной вены (расширение, расположенное в яремной ямке височной кости), смертельным кровотечением из внутренней сонной артерии, опущением века, неподвижностью глазных яблок, отёком мягких тканей лица.
- Парез лицевого нерва — проявляется неподвижностью и асимметричностью поражённой стороны лица при попытке улыбнуться, нахмурить брови, разговаривать.
- Лабиринтит — воспаление внутреннего уха. Его признаки: головокружение, тошнота, рвота, нарушение равновесия, шум в ухе, снижение слуха.
- Гнойные процессы внутри черепа: менингит, тромбоз сигмовидного синуса, субдуральный абсцесс (скопление гноя под твёрдой мозговой оболочкой головного мозга), экстрадуральный абсцесс (гной между твёрдой мозговой оболочкой и внутренней поверхностью костей черепа), абсцесс мозга, сепсис [8] .

Диагностика среднего отита
Диагностика среднего отита включает опрос и осмотр пациента, физикальное обследование, лабораторные и инструментальные методы.
Физикальное обследование проводится с помощью передней и задней риноскопии, фарингоскопии, отоскопии.
Для отоскопии применяют ручной отоскоп или специальный микроскоп. Метод позволяет разглядеть структуры в увеличенном виде и при необходимости прибегнуть к хирургическим способам лечения.

Общий анализ крови — позволит выявить воспалительный процесс в организме и узнать его тяжесть.
Обязательно проводят посев отделяемого из уха на микрофлору и грибы рода кандида.
Аудиометрия — для уточнения степени тугоухости и исключения сенсоневрального компонента снижения слуха. Пациента усаживают в шумоизоляционную кабину (или в шумоизолированное помещение) и надевают специальные наушники. Затем через аудиометр подают короткие звуковые сигналы сначала в правое, затем в левое ухо и просят пациента нажимать на кнопку или поднимать руку, когда слышен звук.

Импедансометрия — в ухо вставляется зонд со вкладышем, похожий на вакуумный наушник, который создаёт давление в наружном слуховом проходе. Затем в ухо транслируются короткие звуковые сигналы определённой частоты и интенсивности, пациент при этом молчит и не совершает никаких движений головой. Данное исследование позволяет определить подвижность барабанной перепонки, наличие экссудата в среднем ухе, объём наружного слухового прохода и барабанной полости, функцию слуховой трубы, подвижность слуховых косточек и рефлекс стременной мышцы.

Рентгенография височных костей по Шюллеру и Майеру позволит определить воздушность полости среднего уха, утолщение слизистой оболочки среднего уха и целостность структур.
Мультиспиральная компьютерная томография (МСКТ) височных костей является одним из наиболее информативных методов. МСКТ позволит установить характер и распространённость патологического процесса, выявить причины и индивидуальные особенности, визуализировать структуры, которые не просматриваются при рентгенографии.
При подозрении на наличие внутричерепных осложнений рекомендована магнитно-резонансная томография головного мозга (МРТ) [3] .
Лечение среднего отита
План лечения зависит от стадии процесса и наличия осложнений. Эффективность терапии выше, если начать её своевременно.
Цель лечения — снять воспаление в среднем ухе, убрать боль, восстановить функцию слуховой трубы и слух, нормализовать общее состояние пациента, предупредить развитие осложнений и уничтожить возбудителя заболевания.
Консервативное лечение
На первой стадии катарального воспаления назначают ушные капли, которые обладают местным противовоспалительным и обезболивающим действием, а также сосудосуживающие капли в нос и антигистаминные препараты.
На второй стадии гнойного воспаления при отсутствии перфорации добавляется приём внутрь антибактериальной терапии в течении 7-10 дней.
При второй стадии гнойного воспаления с перфорацией больное ухо ежедневно промывают до чистых вод тёплым стерильным физиологическим раствором. Антибактериальная терапия назначается системно и местно. Для этого через прокол барабанной перепонки в больное ухо закапывают тёплые антибактериальные ушные капли и добиваются прохождение капель в носоглотку — пациент чувствует вкус лекарственного препарата. При густом гнойном трудноотделяемом секрете назначают муколитики, например "Синупрет".
При повышении температуры назначаются жаропонижающие препараты. Если же исходом острого среднего отита стал хронический процесс или отогенные осложнения, лечение проводят в стационаре ЛОР-отделения.
Хирургическое лечение
При неэффективности консервативной терапии пациентам показано хирургическое лечение. Его цель — восстановить функции среднего уха и предотвратить проникновение инфекции.
Парацентез — разрез или прокол барабанной перепонки показан при отсутствии спонтанной перфорации на 2а стадии острого среднего отита, при сохранении гипертермии и признаков интоксикации.
Мастоидотомия — вскрытие сосцевидного отростка и его промывание, выполняется при внутричерепных осложнениях. Устанавливается дренаж до устранения признаков воспаления и полного очищения ячеек сосцевидного отростка [11] .

Иногда пациенты при боли в ухе применяют средства народной медицины, например помещают в ухо зубчик чеснока или листья герани. Последствиями этого могут быть аллергические реакции, ожог, наружный отит. Ни в коем случае нельзя вставлять в уши инородные предметы, тем более в "лечебных целях".
Прогноз. Профилактика
При адекватном лечении прогноз благоприятный, возможно полное восстановление слуха. Без своевременной диагностики, правильного лечения и при нерациональной антибиотикотерапии процесс часто принимает затяжной характер. Это чревато переходом острого воспаления в хроническое и развитием осложнений, которые приводят к необходимости хирургического лечения, в том числе у нейрохирурга.
Для профилактики среднего отита следует:
- предупреждать острые респираторные и хронические заболевания верхних дыхательных путей;
- не допускать переохлаждения;
- соблюдать правила личной гигиены;
- при кормлении детей грудью или бутылочкой держать голову ребёнка в правильном положении (голова и тело ребёнка должны находиться в одной плоскости, его нос расположен напротив соска);
- избегать механических травм барабанной перепонки;
- не удалять ушную серу сторонними предметами и ватными палочками;
- соблюдать гигиену наружного уха;
- исключить самолечение;
- при первых симптомах заболевания обращаться к ЛОР-врачу.
Из-за нерационального и безрецептурного приёма антибактериальной терапии часто встречаются:
Мастоидит - гнойное воспаление слизистой оболочки и костной ткани сосцевидного отростка височной кости.
Возбудителями мастоидита являются те же микроорганизмы, которые вызывают развитие острого гнойного среднего отита.
Патогенез (что происходит?) во время Мастоидита:
Это наиболее частое осложнение острого среднего отита. Изменения в сосцевидном отростке при мастоидите различны в зависимости от стадии заболевания. При 1-й экссудативной стадии в процесс вовлекаются слизистая оболочка и надкостница ячеек сосцевидного отростка, ячейки выполнены экссудатом, слизистая оболочка воспалена и резко утолщена. 2-я стадия характеризуется преобладанием пролиферативно-альтеративных изменений, распространяющихся и на костные структуры сосцевидного отростка - это альтеративная, или деструктивная, стадия. При этом происходит разрушение кости остеокластами, образование грануляций. Костные перемычки между ячейками некротизируются. Ячейки сливаются, образуя одну общую полость, наполненную гноем, - формируется эмпиема сосцевидного отростка. Процесс разрушения кости может дойти до твердой мозговой оболочки средней или задней черепной ямки и вызвать различные внутричерепные осложнения. При разрушении одной из стенок сосцевидного отростка гной может прорваться на его поверхность с формированием субпериостального абсцесса, в скуловой отросток или в чешую височной кости, в каменистую часть пирамиды височной кости, через верхушку отростка в межфасциальные пространства шеи. Иногда формируются сразу несколько путей оттока гноя.
Мастоидит чаще наблюдается у больных с пневматическим типом строения сосцевидного отростка, его развитию способствует ряд факторов: высокая вирулентность возбудителя инфекции, снижение резистентности организма (в частности, при диабете, нефрите, других хронических заболеваниях), затруднение оттока из антрума и барабанной полости. Одна из причин развития мастоидита - нерациональное лечение острого среднего отита.
Мастоидит характеризуется общими и местными симптомами. Общие симптомы - ухудшение общего состояния, повышение температуры тела, изменение состава крови - существенно не отличаются от проявлений острого гнойного среднего отита. Анализ динамики этих признаков имеет диагностическое значение при подозрении на возможное вовлечение в воспалительный процесс сосцевидного отростка. Часто проходит 1-2 нед от начала острого среднего отита и на фоне улучшения клинической картины вновь ухудшается общее самочувствие, повышается температура, возобновляются боль и гноетечение из уха. Иногда гноетечение отсутствует из-за нарушения оттока гноя из среднего уха. В некоторых случаях мастоидит может возникнуть не после, а вместе с острым средним отитом.
Подъем температуры может быть незначительным, однако даже субфебрильная температура обращает на себя внимание после ее нормализации, наступившей после прободения барабанной перепонки при остром среднем отите. В периферической крови отмечается умеренный лейкоцитоз, появляется сдвиг в лейкоцитарной формуле влево, постепенное повышение СОЭ. Одновременно ухудшается общее состояние больного, понижается аппетит.
Боль нередко локализуется в ухе и в области сосцевидного отростка, у некоторых пациентов она охватывает половину головы на стороне поражения и усиливается ночью. Важным признаком мастоидита является болезненность при пальпации и перкуссии сосцевидного отростка, чаще в области верхушки или площадки сосцевидного отростка. Появляются также жалобы на шум в ухе или в голове на стороне больного уха и выраженная тугоухость.
При обследовании больного иногда определяется гиперемия и инфильтрация кожи сосцевидного отростка вследствие периостита. Может также наблюдаться сглаженность заушной складки и оттопыренность ушной раковины кпереди . При отоскопии обращают внимание на гноетечение из уха. Нередко оно бывает профузное, пульсирующего характера, сливкообразный гной заполняет наружный слуховой проход сразу после очистки уха. Иногда к обычному гноетечению через перфорацию в барабанной перепонке присоединяется обильное выделение гноя через заднюю стенку наружного слухового прохода. Установить причину такого усиления гноетечения можно только при тщательной очистке уха и обнаружении свища, откуда выделяется гной. Возможен и такой вариант течения мастоидита, когда отореи нет - это является признаком нарушения оттока гноя при закрытии дефекта барабанной перепонки или при блоке входа в пещеру.
Важным отоскопическим признаком мастоидита является нависание задневерхней стенки наружного слухового прохода в костном его отделе.
Нависание это связано с развитием периостита и давлением патологического содержимого в области передней стенки и входа в пещеру. В этом же месте иногда образуется фистула, через которую гной поступает в наружный слуховой проход. Барабанная перепонка при мастоидите часто гиперемирована, инфильтрирована.
В диагностике мастоидита большое значение имеет рентгенография височных костей в проекции по Шюллеру, при этом сравнивают больное и здоровое ухо. При мастоидите на рентгенограмме определяется различной интенсивности снижение пневматизации, завуалированность антрума и ячеек сосцевидного отростка. В поздних стадиях процесса, при деструктивной форме мастоидита, можно видеть разрушение костных перегородок и образование участков просветления за счет формирования полостей, выполненных гноем и грануляциями.
Распространение процесса в сосцевидном отростке и переход его на соседние анатомические образования зависят от развития воздухоносных клеток в различных отделах височной кости - чешуе, скуловом отростке, пирамиде и т.д. Воспаление в этих местах иногда сопровождается прорывом гноя в окружающие мягкие ткани.
Прорыв гноя через кортикальный слой на наружную поверхность сосцевидного отростка приводит к формированию субпериостального абсцесса. Предшествующие ему припухлость и пастозность кожи в заушной области, сглаженность заушной складки и оттопыренность ушной раковины при этом усиливаются.
Распространение гноя из верхушечных клеток сосцевидного отростка в межфасциальные пространства шеи обозначается как верхушечно-шейный мастоидит. Различные формы его, названные по именам авторов, отличаются местом прорыва гноя в области верхушки. Мастоидит Бецольда характеризуется распространением гноя через внутреннюю поверхность верхушки сосцевидного отростка под мышцы шеи. При этом наблюдается плотная припухлость мягких тканей шеи, иногда на протяжении от верхушки сосцевидного отростка до ключицы. Повороты головы болезненны, поэтому пациент держит голову в вынужденном положении, наклоненной в больную сторону. По клетчаточным пространствам шеи гной может достигнуть средостения и вызвать медиастинит.
Прорыв гноя через наружную стенку верхушки обозначается как мастоидит Орлеанского, распространение гноя через incisura digastrica медиальнее двубрюшной мышцы с образованием глубокого абсцесса шеи - мастоидит Муре. Распространение воспалительного процесса на основание скулового отростка называется зигоматицитом, на чешую височной кости - сквамитом. При этом наблюдается воспалительная реакция кожи соответствующей области (гиперемия, инфильтрация, локальная болезненность).
Возможно распространение гноя из сосцевидного отростка по клеточной системе в пирамиду височной кости, тогда развивается петрозит, клиническая картина которого обозначается как триада Градениго: острый средний отит, тригеминит, парез или паралич отводящего нерва.
Наибольшую опасность по частоте развития осложнений представляют атипичные формы мастоидита. Их возникновение и течение связано с рядом биологических факторов (возраст больного, общая и местная реактивность организма), вирулентностью возбудителя, строением височной кости, в частности ее ячеистой структуры. Особая роль в развитии атипичных форм мастоидита принадлежит нерациональной терапевтической тактике. При атипичном течении процесса отсутствует выраженная последовательность стадий развития воспаления, отдельные симптомы не имеют характерной четкости. Так, боль либо не беспокоит совсем, либо бывает слабой. Гноетечение может быть выражено минимально или отсутствовать совсем. В то же время следует учитывать, что атипичные формы почти всегда сопровождаются обширным разрушением кости, при этом возможно развитие внутричерепных осложнений.
Диагностика мастоидита в типичных случаях не представляет трудностей, однако при атипичном течении заболевания диагноз усложняется. Следует учитывать совокупность объективных признаков мастоидита. Важное значение имеет рентгенография, при необходимости выполняется КТ или МРТ височных костей, которые являются наиболее информативным методом диагностики, при этом определяется различной интенсивности" снижение пневматизации, завуалированность ячеек сосцевидного отростка. Дифференциальная диагностика мастоидита проводится с фурункулом наружного слухового прохода при локализации его в области задней стенки. В этом случае, как и при мастоидите, возникает припухлость позади ушной раковины. Давление на planum mastoideum и верхушку сосцевидного отростка болезненно при мастоидите, а при фурункуле вызывает боль надавливание на козелок, жевание, потягивание за ушную раковину. При мастоидите эти симптомы отсутствуют, но имеется выраженное снижение слуха, что не характерно для фурункула. Кроме того, при фурункуле наблюдается сужение в перепончато-хрящевом отделе, при мастоидите - в костном.
Различают консервативное и хирургическое лечение мастоидита. В любом случае, с учетом возможности развития тяжелых осложнений, лечение должно проводиться в условиях ЛОР-стационара. Консервативное лечение обычно имеет успех в экссудативной стадии мастоидита, когда еще нет деструкции (альтерации) кости и не нарушен отток экссудата. Основу консервативной терапии, соответствующей активному лечению острого среднего отита, составляет антибиотикотерапия, назначаются препараты широкого спектра действия, предпочтение отдается beta-лактамным антибиотикам. Важным компонентом лечения мастоидита является обеспечение свободного оттока гноя из среднего уха и местное использование антибактериальных препаратов с учетом чувствительности флоры из уха. Также обращают внимание на состояние носа, носоглотки и околоносовых пазух.
Если в течение суток после начала консервативного лечения основные симптомы значительно не уменьшились (температура тела, боль при пальпации заушной области, реактивные явления в области уха и др.), нужно переходить к хирургическому лечению. Частичное улучшение состояния больного позволяет продлить консервативное лечение, с определенной оптимизацией ее. Однако если основные симптомы остаются и после вторых суток лечения, с операцией медлить нельзя.
Обнаружение у больного при первичном осмотре признаков второй стадии (альтеративной) мастоидита является показанием к безотлагательному хирургическому лечению. Абсолютным показанием к неотложному хирургическому лечению являются появление признаков внутричерепных осложнений, возникновение осложнений в пограничных со средним ухом областях (субпериостальный абсцесс, прорыв гноя в области верхушки сосцевидного отростка, развитие зигоматицита, сквамита, петрозита). Операция, безусловно, показана, если у больного с мастоидитом появились признаки отогенного пареза или паралича лицевого нерва, развился лабиринтит.
При мастоидите выполняется операция антромастоидотомия - вскрытие антрума и трепанация сосцевидного отростка. Удаление патологических тканей должно быть полным, поэтому иногда операция заканчивается удалением всего отростка вместе с его верхушкой - мастоидэктомией. У детей до трех лет сосцевидный отросток не развит, поэтому операция носит название антротомии.
Операция преследует цель ликвидации гнойно-деструктивного процесса в сосцевидном отростке с одновременным дренированием барабанной полости. Вмешательство выполняется под эндотрахеальным наркозом, взрослых в ряде случаев оперируют под местной инфильтрационной анестезией.
Скальпелем делают разрез кожи, подкожной клетчатки и надкостницы, отступая на 0,5 см от переходной складки позади ушной раковины, длина разреза 5-6 см. При субпериостальном абсцессе делают сначала небольшой разрез кончиком скальпеля, чтобы дать отток гною, который находится обычно под давлением. Широким распатором отсепаровывают мягкие ткани с надкостницей, обнажая кортикальный слой в области площадки сосцевидного отростка, накладывают ранорасширитель типа «лира». Костная рана должна быть ограничена сверху linea temporalis, спереди задним краем слухового прохода, снизу - верхушкой сосцевидного отростка. Трепанация кости выполняется с помощью долот различных размеров, для этого можно использовать также фрезы или стамески Воячека. После вскрытия кортикального слоя кзади от spina suprameatum на 6-8 мм. и ниже linea temporalis на 4-5 мм. обычно вскрываются ячейки, выполненные гноем и грануляциями. Удаляя пораженную кость, постепенно углубляются по направлению к пещере, которая должна быть обязательно вскрыта для обеспечения дренажа барабанной полости. Пещера располагается на глубине 1,5-2 см. от поверхности сосцевидного отростка и проекционно определяется кзади от места перехода задней стенки наружного слухового прохода в верхнюю. Убедиться, что вскрытая полость в глубине костной раны является именно пещерой сосцевидного отростка, можно с помощью зондирования пуговчатым зондом, который через aditus ad antrum легко попадает в барабанную полость. Кроме того, на дне пещеры видно выпячивание гладкой ампулы горизонтального полукружного канала, кпереди от которого находится костный канал лицевого нерва. Дальнейший ход операции предполагает тщательное удаление кариозно измененной кости, гноя и грануляций. Выскабливание пещеры требует большой осторожности, чтобы при манипуляциях в передних ее отделах не вывихнуть наковальню, короткий отросток которой расположен на дне aditus. Также осторожно следует удалять кариозно измененную кость вблизи канала лицевого нерва, полукружного канала и сигмовидного синуса. При обширном кариозном процессе последовательно вскрываются все клеточные группы, включая верхушечные, перисинуозные, скуловые. По окончании этого этапа операции поверхность костной раны сглаживается костной ложкой или фрезами.
Элиминация гнойного очага в сосцевидном отростке завершается снесением задней стенки наружного слухового прохода до уровня ампулы горизонтального полукружного канала, но с сохранением annulus tympanicus. Выполняется также пластика задней кожной стенки слухового прохода, лоскут подшивается в нижнем углу раны. После промывания раны теплым раствором антисептика, просушивания и тампонады турундами, пропитанными стерильным вазелиновым маслом или левомеколем, операция завершается наложением на рану в заушной области первичных швов. Тампон удаляется через слуховой проход на 2-3 день после операции. При небольших процессах задняя стенка слухового прохода не снимается. После операции заушная рана ведется открытым способом.
Открыто ведется послеоперационная рана после расширенной мастоидотомии у больных с отогенными внутричерепными осложнениями В послеоперационном периоде обычно продолжают антибиотикотерапию, назначают витамины, общеукрепляющее лечение, местно проводят ультрафиолетовое облучение. Рану перевязывают ежедневно. Во время перевязки удаляют из раны турунды, осушают ее, промывают антисептическим раствором, затем вновь вводят турунды и накладывают повязку. По мере появления эпидермизации турунды не вводят, излишние грануляции удаляют кюреткой. При благоприятном течении послеоперационного периода заживление раны и излечение наступает обычно к 20-му дню.
Читайте также:
