Консервативное лечение травм почек. Принципы
Добавил пользователь Skiper Обновлено: 03.11.2025
Консервативное лечение травм почек. Принципы
Консервативная тактика хорошо зарекомендовала себя при многих урологических повреждениях, однако продолжается полемика относительно выбора оперативной или консервативной тактики при отдельных типах повреждений мочеполовых органов. Последние обзоры результатов оказания помощи урологическим пациентам с тщательным учетом уровня доказательности выявили явную недостаточность перспективных исследований высокого уровня доказательности.
Сравнительно недавние работы по точной классификации урогенитальных повреждений, а также недостаточное количество катамнестических данных оставляют множество вопросов по выбору оптимальной лечебной тактики в отношении рассматриваемых травм.
Давно общепризнано, что малые повреждения почек весьма эффективно лечатся консервативными методами. При ушибах и подкапсульных гематомах обычно принята выжидательная тактика, и только в отдельных случаях подобных травм могут потребоваться хирургические или другие вмешательства. Малые повреждения разрешаются самопроизвольно, за исключением отдельных случаев, которые в основном связаны с неглубокими разрывами паренхимы. В зависимости от установок учреждения и собственного практического опыта, некоторые хирурги, занимающиеся вопросами урологической травмы, могут ограничить оперативное лечение ренальных повреждений случаями нестабильной гемодинамики, обычно без учета данных визуализации. Сторонники иного дохода считают показанием к операции повреждения, которые оцениваются как тяжелые и могут привести к увеличению частоты посттравматических осложнений при их консервативном лечении.
McAninch и Carroll предложили в качестве абсолютных показаний к хирургическому обследованию почек принять нестабильность гемодинамики, продолжающееся кровотечение с необходимостью массивной трансфузии, обнаруженную при лапаротомии пульсирующую или нарастающую гематому, а также отрыв сосудистой ножки. Среди относительных показаний рассматривались травмы, относимые к тяжелым, большая паранефральная гематома, наличие мочевого затека, деваскуляризация больших по площади участков паренхимы и выявленное в операционной при лапаротомии недооцененное по степени тяжести повреждение.
Сторонники консервативной тактики полагают, что при многих тяжелых повреждениях возможно излечение без оперативного вмешательства, а осложнения часто могут быть устранены нехирургическими способами (чрескожное дренирование, установка стента, ангиографическая эмболизация) и что частота сохранения почки выше в тех случаях, в которых удается избежать открытого исследования почек. С точки зрения представителей этой школы, единственным критерием (за небольшим исключением), на основании которого должно приниматься решение о срочном хирургическом вмешательстве, является нестабильная гемодинамика, а не степень повреждения или выявленные методами диагностической визуализации нарушения.
Представители другого, более активного хирургического направления, считают, что тяжелые повреждения почек чреваты недопустимо высокой частотой осложнений, а при появлении эти осложнения повышают вероятность нефрэктомии и развития необратимых патологических изменений почек, которые можно предотвратить при другом, отличном от их оппонентов подходе к значительной травме. Свою позицию они обосновывают тем, что рано предпринятое открытое обследование почек дает преимущества в виде своевременной хирургической обработки раны с удалением нежизнеспособных тканей, окончательного гемостаза, восстановления целостности собирательной системы и раннего адекватного дренирования. При таком подходе риск развития посттравматических инфекционных осложнений, урином и кровотечений будет сведен к минимуму. Чтобы упростить процесс принятия решения, были предложены абсолютные и относительные показания к хирургическому обследованию почек.
 
Едва ли не всеми признана необходимость оперативного лечения отдельных видов повреждений, а именно закрытых отрывных и проникающих повреждений сосудистой ножки, травм V типа по классификации AAST и отрыва мочеточниково-лоханочного сегмента или полного форникального отрыва. Что касается повреждений V типа, то в отдельных клинических наблюдениях сообщалось о возможности их консервативного лечения. Тем не менее, как показывает большинство исследований такие травмы в 90-100% случаев заканчиваются ургентной нефрэктомией.
Обобщая, можно сделать вывод о том, что не рекомендуется предпринимать попыток консервативного лечения тех повреждений, соответствие которых V типу ренальной травмы не вызывает сомнений, и что такие попытки могут представлять реальную опасность для пострадавшего.
К хирургическим также относят те случаи продолжающегося выраженного кровотечения, когда ангиография не рассматривается в качестве лечебной процедуры, недоступна или не решила проблему. Кроме того, при неизбежной по другим показаниям лапаротомии сопутствующие проникающие повреждения почек рекомендуют лечить оперативным способом, особенно в тех случаях, когда до операции оценка степени их тяжести не проводилась или была неполной.
Если принято решение в пользу консервативного лечения больших повреждений почек, то следует руководствоваться несколькими основными правилами. У подобных пациентов может наблюдаться длительное кровотечение, или активное кровотечение может начаться в более позднем периоде, поэтому наблюдение за пострадавшими необходимо проводить в интенсивном блоке хирургического отделения. За время наблюдения в обязательном порядке повторяют абдоминальные и лабораторные исследования, включая определение содержания гемоглобина и электролитов.
Первые 24-48 часов постоянно должна быть наготове прошедшая типирование и проверенная на индивидуальную совместимость донорская кровь. Гемоглобин пациента следует поддерживать на таком уровне, чтобы его резкое падение от возобновившегося кровотечения не привело к катастрофическим последствиям. Необходимо обратить особое внимание на размеры гематомы, выявленные на начальном этапе во время диагностической визуализации. Большие гематомы предполагают кровотечение из крупных внутрипочечных сосудов, и поэтому они, скорее всего, указывают на те клинические случаи, в которых риск продолжающегося кровотечения выше.
 
Общепринято при консервативном ведении больших повреждений почек назначать на определенный промежуток времени строгий постельный режим, хотя данные, обосновывающие подобную практику, не так многочисленны. И все же такой подход представляется целесообразным. Постельный режим назначают на срок от 24 до 72 часов или до устранения выраженной гематурии. В дальнейшем осторожно и под врачебным наблюдением налаживается амбулаторный режим. Если результат консервативного лечения оказался положительным, то рекомендуют избегать физической нагрузки до тех пор, пока контрольное визуализирующее исследование не подтвердит полного излечения.
Выбор между хирургическим обследованием и выжидательной тактикой в тех случаях, когда во время операции выявляется недооцененное по степени тяжести повреждение почки, проблематичен. Одни авторы рекомендуют повреждения неустановленного типа исследовать во время операции, другие предлагают более гибкий подход. Если нет рентгенологических данных, то принятию правильного решения может способствовать интраоперационная внутривенная пиелография. Методика проведения данного исследования предполагает болюсное введение йодсодержащего контрастного вещества (2 мл/кг веса) и рентгенологический контроль его экскреции в течение первых 10 минут.
Выявленные существенные изменения в анатомии рассматривают в качестве подтверждающих признаков значительного разрушения паренхимы или повреждения собирательной системы, и в таких случаях может оказаться полезным открытое обследование. При внешней сохранности почки возможен выбор в пользу наблюдения с проведением в послеоперационном периоде КТ-сканирования для более точного отображения имеющихся повреждений. Кроме того, некоторые авторы относят к немаловажным критериям размер паранефральной гематомы.
Повреждения ветвей почечной артерии вследствие закрытой травмы, сопровождающиеся сегментарной деваскуляризацией без разрыва вещества почки, можно лечить консервативно, с низкой частотой осложнений.
Среди проникающих повреждений почек в основном преобладают те, что связаны с травмой других, не относящихся к мочеполовой системе, органов. В большинстве таких случаев требуется лапаротомия, при этом предоперационное обследование с использованием визуализирующих технологий можно в равной степени как проводить, так и не проводить. Вопрос о целесообразности назначения визуализирующих методов исследования при подобной (подозреваемой) почечной травме, рассмотрен ниже в разделе «Оперативное лечение типичных урогенитальных повреждений». В тех случаях, когда хирург-травматолог не видит явных показаний к операции, а проникающая травма почки вероятна, выбор между оперативным и консервативным лечением предстоит делать урологу, исходя из объективного состояния пострадавшего и, что предпочтительнее, из данных спиральной КТ с контрастным усилением.
В целом, пациентов с проникающими ранениями почки можно с успехом лечить консервативно при условии, что повреждение ограничивается латеральными периферическими участками паренхимы, околопочечная гематома имеет небольшие размеры, экстравазация контраста минимальная или отсутствует, и отсутствует риск травмы почечной ножки и почечной пазухи. И наоборот, проникающие повреждения почки, которые сопровождаются образованием больших паранефральных гематом или переходят на глубокие медиальные слои паренхимы, почечную пазуху или область почечных ворот, а также вызывают выраженную экстравазацию из коллекторной или сосудистой системы почки, представляют большую опасность при их консервативном лечении. С такими травмами связан высокий риск поздних кровотечений, поэтому отдельными авторами в качестве предваряющей консервативное лечение процедуры предлагается профилактическая ангиография с эмболизацией поврежденных артериальных ветвей. Консервативное лечение проникающих ранений почки к тому же сопряжено с вероятностью того, что сопутствующее повреждение висцерального органа останется нераспознанным. В рамках одного из ретроспективных анализов консервативного лечения проникающей ренальной травмы было выявлено, что колото-резаные и огнестрельные ранения почки были пролечены консервативно в 55% и 24% случаев соответственно, с низким показателем осложнений.
Несмотря на то, что тупая или проникающая травма надпочечника встречается редко, она, тем не менее, заслуживает упоминания. При гематоме надпочечника, не приводящей к увеличению органа, проводится консервативное лечение, так же как и при повреждениях других паренхиматозных органов. Стандартным подходом при колото-резаных или огнестрельных ранениях в тех случаях, когда направление раневого канала указывает на повреждение надпочечной железы, является открытая ревизия и наложение гемостатических швов, или выполнение адреналэктомии при обширном разрушении тканей. Кровоснабжение надпочечника осуществляется из нескольких источников, поэтому его травматическая деваскуляризация случается редко.
Редактор: Искандер Милевски. Дата обновления публикации: 18.3.2021
Консервативное лечение травм мочеточников. Принципы
Консервативная тактика при травме мочеточника имеет ограниченное применение. Если повреждение обнаружено во время операции, то оно устраняется преимущественно оперативным способом. Анализ исходов травмы данной локализации показывает, что при большинстве повреждений мочеточников результаты раннего хирургического лечения лучше, чем при отсроченной операции или попытках консервативной терапии, за исключением немногих случаев ятрогенных повреждений при эндоскопических вмешательствах.
Это касается ножевых и огнестрельных ранений и отрывных повреждений при тупой травме. Консервативное лечение проводят отдельным пациентам с нераспознанными травмами мочеточника или в прочих случаях запоздалой диагностики, при лечении в соответствии с концепцией «damage control». Согласно принципам классической урологии, выявленные в первые дни после травмы повреждения мочеточника подлежат оперативному лечению. При позднем обнаружении повреждений в лечении используются эндоскопические или интервенционные радиологические методики (имплантация стента или перкутанная нефростомия с целью отведения мочи) с отсроченной реконструкцией при наличии показаний.
Этот подход развился при частом столкновении с проблемами в виде воспаления, отека, ломкости, наличия уриномы, а также повышенных рисков и осложнений, возникающих при хирургической реконструкции позднее 3-5 дней с момента травмы. Обнаруженный во время операции ушиб мочеточника, связанный с закрытой или проникающей травмой, можно лечить с использованием консервативно-выжидательной тактики, но некоторые авторы предлагают устанавливать в ходе операции мочеточниковый стент для снижения риска поздних перфораций и мочевой экстравазации.
Если принято решение в пользу консервативного лечения, обычно выполняется восходящая пиелоуретерография с попыткой ретроградного стентирования. Как вариант, можно выполнить чрескожное дренирование почки. Выбор между этими двумя методами зависит от стабильности гемодинамики и степени выраженности метаболических расстройств, а также от таких факторов, как анатомические особенности и материально-техническое оснащение клиники.
 
Кроме того, имеют значение правомерность проведения процедуры под общей анестезией, способность пациента перенести вмешательство в положении лежа на животе (обычно необходимого для чрескожного подхода к почке), квалификация и доступность врача-специалиста по интервенционной радиологии, и возможность быстрого чрескожного доступа. Последнее во многом определяют анатомия и степень дилатации полостной системы, а также наличие паранефральной гематомы.
Выявленная коагулопатия часто рассматривается как относительное противопоказание к чрескожному дренированию, так как данная манипуляция всегда сопряжена с риском почечного кровотечения. Полученный чрескожный доступ можно завершить антеградным стентированием мочеточника без нарушения целостности с возможностью проведения направителя в мочевой пузырь через поврежденную область. Можно попытаться заменить нефростомическую трубку на универсальный чрескожный антеградный стент, к преимуществам которого относится простота установки и удаления и возможность использования в качестве внутреннего и наружного дренажа.
По истечении определенного срока можно выполнить антеградную пиелографию с введением контрастного вещества через нефростому для оценки возможности эксплантации стента и пережатия нефростомической трубки. 
При таком способе лечения почти в половине случаев можно ожидать образования стриктур, устранение которых хотя и возможно с использованием эндоурологических методов, но часто требует реконструктивно-пластических вмешательств в отдаленном периоде.
Некоторые виды тупой травмы мочеточника, приводящие к минимальной экстравазации, можно лечить консервативно, с ретроградной установкой стента. Соответствие подобной тактики с характерными для этих повреждений анатомическими изменениями часто необходимо документировать ретроградной пиелографией. Когда речь идет о проникающих повреждениях, то, в частности, ранения дробью могут сопровождаться мельчайшими перфорациями, которые можно лечить консервативно.
Такие повреждения могут быть обнаружены во время лапаротомии или КТ с контрастированием, при внутривенной или ретроградной пиелографии. Подобные случаи представляют собой редкое исключение, поэтому предпочтительной тактикой при травме мочеточника является ранняя оперативная диагностика и хирургическое лечение, если последнее выполнимо с технической и медицинской точек зрения.
Любая гематурия (макро- или микроскопическая), которой предшествовала травма, указывает па возможность тяжелого повреждения почки. Парадоксально, но гематурия при повреждении почечной ножки (4 степень тяжести) может быть незначительной, что связано с разрывом почечной артерии. Поэтому быстрая постановка диагноза крайне важна для сохранения органа.
2. Какие методы используют для диагностики повреждений почки?
Целесообразность традиционного подхода, заключающегося в одновременной оценке состояния верхних (экскреторная урография и компьютерная томография [КТ]) и нижних (цистоурегрография) отделов мочевой системы после травмы, ставится под сомнение исследованиями, в которых было выявлено, что сочетание серьезных повреждений почки и мочевого пузыря/мочеиспускательного канала встречается редко (< 0,5% случаев).
Таким образом, основное внимание необходимо уделять области наибольшего повреждения. Несмотря па то что ЭУ позволяет получить данные, достаточные для раннего начала лечения, КТ органов брюшной полости и забрюшинного пространства с внутривенным контрастированием обеспечивает более четкую картину и в меньшей степени зависит от объема циркулирующей крови и кровоснабжения почек.
Более того, экстренная КТ считается стандартным методом скрининговой диагностики повреждения почек, что делает выполнение экскреторной урографии (ЭУ) необязательным.
3. Что такое инфузионная урография?
Контрастное вещество вводят внутривенно струйно в дозе 2 мл/кг, когда это позволяют обстоятельства (например, при транспортировке больного в операционную). Первый снимок выполняют примерно через 10 минут. При необходимости снимки повторяют с 10-минутиыми интервалами. Выполнение урографии противопоказано при выраженном снижении артериального давления или шоке.
Интраоперационная экскреторная урография (ЭУ) выполняется, если травма почки была впервые заподозрена (например, при обнаружении забрюшинной гематомы) во время экстренной операции по поводу повреждения других органов. Интраоперационная артериография заключается во введении 10 мл контрастного вещества непосредственно в почечную артерию с немедленным выполнением снимка.
P.S. Описанный метод наиболее близок к инфузионной урографии, принятой в России, хотя имеются некоторые отличия. Иногда встречается термин "высокодозная", но он не отражает тот факт, что препарат вводят болюсно или струйно.
4. Какова классификация повреждений почки?
Повреждения почки подразделяют на 5 групп: 
1 степень тяжести — ушиб почки (60% случаев); 
2 степень тяжести — поверхностные разрывы фиброзной капсулы и коры почки (20% случаев); 
3 степень тяжести — глубокие разрывы почечной паренхимы или повреждение чашечно-лоханочной системы (10% случаев); 
4 степень тяжести — повреждение почечной ножки или отрыв почки от сосудов и мочеточника (5% случаев); 
5 степень тяжести — размозжение почки (5% случаев).
При повреждениях 1, 2 и 3 степеней тяжести возможно успешное консервативное лечение, в то время как повреждения 4 и 5 степеней тяжести требуют выполнения органосохраняющей операции или удаления органа. Для повреждений 4 степени тяжести (повреждение почечной ножки или отрыв почки от сосудов и мочеточника) характерны отсутствие выделения контрастного вещества пораженной почкой (при экскреторной урографии (ЭУ)) и незначительная гематурия.
Повреждения 5 степени тяжести (размозжение почки) характеризуются отсутствием выделения контрастного вещества и стойкой макрогематурией. Эффективность консервативного лечения напрямую зависит от уменьшения интенсивности гематурии в первые несколько часов после травмы.

 Виды огнестрельных ранений почки (по Л. К. Ревскому и соавт.): 
а — ушиб почки; 
б — касательное ранение; 
в — сквозное ранение; 
г — слепое ранение; 
д — размозжение паренхимы почки; 
е — ранение почечной ножки 
5. Можно ли оценить тяжесть повреждения почки или прогнозировать клинический исход только на основании выраженности гематурии?
Характер гематурии считается наиболее достоверным прогностическим фактором тяжести повреждения почки. За исключением повреждений почечной ножки, для которых характерна незначительная гематурия, выраженность гематурии в первые несколько часов после травмы позволяет четко разделить случаи, требующие консервативного или оперативного лечения. Кратковременная макрогематурия, прекратившаяся до принятия решения о выполнении оперативного пособия по поводу повреждений других органов, позволяет воздержаться от экстренной ревизии почки.
При стойкой или рецидивирующей макрогематурии показана оперативная ревизия почки или ангиография с селективной эмболизацией почечной артерии.
6. Существуют ли разновидности повреждений почечной ножки?
Да. Кровоток в почечной артерии может быть нарушен вследствие тромбоза или полного отрыва почки от сосудов. Оба случая характеризуются незначительной гематурией и отсутствием выделения контрастного вещества с пораженной стороны. Наиболее часто разрыв почечной артерии происходит на границе проксимальной и средней трети.
Руководства обычно констатируют отсутствие гематурии у таких больных. Однако возможность транзиторной макрогематурии или микрогематурии делает целесообразным выполнение анализа мочи во всех случаях. При разрыве левой почечной ножки забрюшинная гематома не достигает больших размеров из-за быстрого спазма и тромбоза почечной артерии. Правосторонние повреждения почечной ножки часто сопровождаются значительным кровотечением вследствие отрыва почечной вены от нижней полой.
В настоящее время достоверная дифференциальная диагностика тромбоза магистральных почечных сосудов и разрыва почечной ножки возможна только во время операции.
7. В течение какого времени почка может подвергаться "тепловой" ишемии с сохранением жизнеспособности?
Стандартное время составляет четыре часа. Однако выполнение полноценной реваскуляризации за этот промежуток времени, как правило, невозможно. Таким образом, восстановление целостности сосудов почечной ножки показано только в некоторых случаях (при наличии у больного единственной почки и нарушении функции противоположной почки).
8. Следует ли проводить дифференциальную диагностику между повреждением почечной ножки и размозжением почки, несмотря на то, что в обоих случаях выделение контрастного вещества с пораженной стороны отсутствует?
Дифференциальная диагностика этих состояний обычно не представляет сложности. Повреждение почечной ножки сопровождается незначительной гематурией. Размозжение почки, напротив, характеризуется профузной макрогематурией, а также появлением обширных забрюшинных гематом и гематом поясничной области. Разрывы почечной ножки и размозжение почки требуют выполнения нефрэктомии.
9. Какие изменения в функциональном состоянии оставшейся после нефрэктомии ночки следует учитывать?
Снижение функции ночек при травме обусловлено нарушением их кровоснабжения вследствие артериальной гипотонии и гиповолемии, которые могли протекать на фоне предшествующего поражения клубочков и канальцев (например, при артериосклерозе, сахарном диабете, атеросклеротическом поражении или стенозе почечных артерий, хроническом пиелонефрите). Характерное в разной степени для травм и нефрэктомий повышение уровня креатинина сыворотки происходит даже несмотря па адекватные ОЦК, давление крови и диурез; нормализация уровня креатинина обычно наступает через несколько дней, что свидетельствует о физиологической адаптации и увеличении функции оставшейся почки более чем па 50%.

 
10. Каково значение отсроченной макрогематурии?
Отсроченная макрогематурия свидетельствует о продолжающемся кровотечении из поврежденных сосудов почки. Пятидесяти процентам больных для излечения достаточно соблюдения постельного режима. В остальных случаях эффект достигается с помощью селективной эмболизации поврежденной артериальной ветви. В исключительных случаях необходимо оперативное вмешательство — как правило, резекция почки.
11. Какой должна быть врачебная тактика при неожиданном обнаружении забрюшинной гематомы во время операции?
В опубликованных обзорах по данной проблеме часто упоминаются увеличивающиеся в размерах и пульсирующие забрюшинные гематомы; однако па самом деле оба признака встречаются редко. Пульсирующая гематома указывает па повреждение крупных сосудов. Поэтому, приступая к ревизии этой области, нужно быть готовым к быстрому восполнению кровопотери. При обнаружении стабильных гематом любого размера, локализованных выше границы таза, проведение ревизии можно отложить до тех пор, пока предоперационные или интраоперационные исследования не покажут наличия дополнительных тяжелых повреждений.
В сомнительных случаях проведение ревизии забрюшинного пространства оправдано, однако следует учитывать, что, по данным литературы, она часто заканчивается нефрэктомией.
12. Какой должна быть тактика при наличии мочевых затеков?
13. Какие факторы повышают риск повреждения почки при травме?
Риск травматического повреждения ночек повышают пороки их развития — гидронефроз (50% случаев повреждения почек при травме), тазовая дистопия и подковообразная почка. В эту группу можно также включить опухоли почек, особенно у детей.
14. В чем заключается консервативное лечение при травме почки?
Если результаты клинического и рентгенологического обследования указывают па возможность проведения консервативного лечения, больному назначают постельный режим до исчезновения макрогематурии. Физических нагрузок следует избегать вплоть до исчезновения микрогематурии — обычно в течение 3 педель. Дальнейшее наблюдение за больным обычно не требуется. В случае разрыва паренхимы почки контрольное УЗИ и экскреторную урографию (ЭУ) выполняют через 6 недель; к этому времени восстановление анатомической целостности органа обычно завершается.
Такие больные не требуют повторной госпитализации. Длительный постельный режим при повреждениях, приводящих к появлению отсроченной макрогематурии, обычно неэффективен.
Поэтому ранняя выписка и активизация больного позволяет диагностировать случаи, требующие селективной эмболизации артериальных ветвей или оперативного лечения.
15. Какова вероятность развития артериальной гипертонии после травмы почки?
Артериальная гипертония является следствием скорее длительной ишемии, чем инфаркта почки и тем более традиционных оперативных пособий при инфаркте почки любого объема. Подлинная посттравматическая артериальная гипертония развивается менее чем в 2% всех случаев через несколько месяцев после травмы. Снижение, артериального давления часто достигается с помощью ограничения потребления соли или применения диуретиков.
16. Различаются ли клинические проявления и методы лечения при закрытых и открытых повреждениях почек?
 
Учебное видео анатомии и топографии почки

Информация на сайте подлежит консультации лечащим врачом и не заменяет очной консультации с ним. 
См. подробнее в пользовательском соглашении.
Острая почечная недостаточность
Острая почечная недостаточность – это потенциально обратимое, внезапно наступившее выраженное нарушение или прекращение функции почек. Характерно нарушение всех почечных функций (секреторной, выделительной и фильтрационной), выраженные изменения водно-электролитного баланса, быстро нарастающая азотемия. Диагностика осуществляется по данным клинических и биохимических анализов крови и мочи, а также инструментальных исследований мочевыделительной системы. Лечение зависит от стадии ОПН, включает симптоматическую терапию, методы экстракорпоральной гемокоррекции, поддержание оптимального артериального давления и диуреза.
МКБ-10
Общие сведения
Острая почечная недостаточность – внезапно развивающееся полиэтиологическое состояние, которое характеризуется серьезными нарушениями функции почек и представляет угрозу для жизни пациента. Патология может провоцироваться заболеваниями мочевыделительной системы, нарушениями со стороны сердечно-сосудистой системы, эндогенными и экзогенными токсическими воздействиями, другими факторами. Распространенность патологии составляет 150-200 случаев на 1 млн. населения. Пожилые люди страдают в 5 раз чаще лиц молодого и среднего возраста. В половине случаев ОПН требуется гемодиализ.
Причины
Преренальная (гемодинамическая) острая почечная недостаточность возникает вследствие острого нарушения гемодинамики, может развиваться при состояниях, которые сопровождаются снижением сердечного выброса (при тромбоэмболии легочной артерии, сердечной недостаточности, аритмии, тампонаде сердца, кардиогенном шоке). Нередко причиной становится уменьшение количества внеклеточной жидкости (при диарее, дегидратации, острой кровопотере, ожогах, асците, вызванном циррозом печени). Может формироваться вследствие выраженной вазодилатации при бактериотоксическом или анафилактическом шоке.
Ренальная (паренхиматозная) ОПН провоцируется токсическим или ишемическим поражением почечной паренхимы, реже - воспалительным процессом в почках. Возникает при воздействии на почечную паренхиму удобрений, ядовитых грибов, солей меди, кадмия, урана и ртути. Развивается при бесконтрольном приеме нефротоксичных медикаментов (противоопухолевые препараты, ряд антибиотиков и сульфаниламидов). Рентгенконстрастные вещества и перечисленные препараты, назначенные в обычной дозировке, могут стать причиной ренальной ОПН у больных с нарушением функции почек.
Кроме того, данная форма ОПН наблюдается при циркуляции в крови большого количества миоглобина и гемоглобина (при выраженной макрогемаглобинурии, переливании несовместимой крови, длительном сдавлении тканей при травме, наркотической и алкогольной коме). Реже развитие ренальной ОПН обусловлено воспалительным заболеванием почек.
Постренальная (обструктивная) ОПН формируется при остро возникшей обструкции мочевыводящих путей. Наблюдается при механическом нарушении пассажа мочи при двухсторонней обтурации мочеточников камнями. Реже возникает при опухолях предстательной железы, мочевого пузыря и мочеточников, туберкулезном поражении, уретритах и периуретритах, дистрофических поражениях забрюшинной клетчатки.
При тяжелых сочетанных травмах и обширных хирургических вмешательствах патология вызывается несколькими факторами (шок, сепсис, переливание крови, лечение нефротоксичными препаратами).
Симптомы ОПН
Выделяют четыре фазы острой почечной недостаточности:начальная, олигоанурическая, диуретическая, выздоровления. На начальной стадии состояние пациента определяется основным заболеванием. Клинически эта фаза обычно не выявляется из-за отсутствия характерных симптомов. Циркуляторный коллапс имеет очень малую продолжительность, поэтому проходит незамеченным. Неспецифичные симптомы ОПН (сонливость, тошнота, отсутствие аппетита, слабость) замаскированы проявлениями основного заболевания, травмы или отравления.
На олигоанурической стадии анурия возникает редко. Количество отделяемой мочи - менее 500 мл в сутки. Характерна выраженная протеинурия, азотемия, гиперфосфатемия, гиперкалиемия, гипернатиемия, метаболический ацидоз. Отмечается понос, тошнота, рвота. При отеке легкого вследствие гипергидратации появляется одышка и влажные хрипы. Больной заторможен, сонлив, может впасть в кому. Нередко развивается перикардит, уремический гастроэнтероколит, осложняющийся кровотечениями. Пациент подвержен инфекции вследствие снижения иммунитета. Возможен панкреатит, стоматит паротит, пневмония, сепсис.
Олигоанурическая фаза ОПН развивается в течение первых трех суток после воздействия, обычно длится 10-14 дней. Позднее развитие олигоанурической фазы считается прогностически неблагоприятным признаком. Период олигурии может укорачиваться до нескольких часов или удлиняться до 6-8 недель. Продолжительная олигурия чаще возникает у пожилых пациентов с сопутствующей сосудистой патологией. При продолжительности фазы более месяца необходимо провести дифференциальную диагностику для исключения прогрессирующего гломерулонефрита, почечного васкулита, окклюзии почечной артерии, диффузного некроза коры почек.
Длительность диуретической фазы составляет около двух недель. Суточный диурез постепенно увеличивается и достигает 2-5 литров. Отмечается постепенное восстановление водно-электролитного баланса. Возможна гипокалиемия вследствие значительных потерь калия с мочой. В фазе восстановления происходит дальнейшая нормализация почечных функций, занимающая от 6 месяцев до 1 года.
Осложнения
Выраженность нарушений, характерных для почечной недостаточности (задержка жидкости, азотемия, нарушение водно-электролитного баланса) зависит от состояния катаболизма и наличия олигурии. При тяжелой олигурии отмечается снижение уровня клубочковой фильтрации, существенно уменьшается выделение электролитов, воды и продуктов азотного обмена, что приводит к более выраженным изменениям состава крови.
При олигурии увеличивается риск развития водной и солевой сверхнагрузки. Гиперкалиемия вызвана недостаточным выведением калия при сохраняющемся уровне его высвобождения из тканей. У больных, не страдающих олигурией, уровень калия составляет 0,3-0,5 ммоль/сут. Более выраженная гиперкалиемия у таких пациентов может говорить об экзогенной (переливание крови, лекарственные препараты, наличие в рационе продуктов, богатых калием) или энодгенной (гемолиз, деструкция тканей) калиевой нагрузке.
Первые симптомы гиперкалиемии появляются, когда уровень калия превышает 6,0-6,5 ммоль/л. Больные жалуются на мышечную слабость. В некоторых случаях развивается вялый тетрапарез. Отмечаются изменения ЭКГ. Снижается амплитуда зубцов P, увеличивается интервал P-R, развивается брадикардия. Значительное повышение концентрации калия может вызвать остановку сердца. На первых двух стадиях ОПН наблюдаются гипокальциемия, гиперфосфатемия, слабо выраженная гипермагниемия.
Следствием выраженной азотемии является угнетение эритропоэза. Развивается нормоцитарная нормохромная анемия. Угнетение иммунитета способствует возникновению инфекционных заболеваний у 30-70% пациентов с острой почечной недостаточностью. Присоединение инфекции утяжеляет течение заболевания и нередко становится причиной смерти больного. Выявляется воспаление в области послеоперационных ран, страдает полость рта, дыхательная система, мочевыводящие пути. Частым осложнением ОПН является сепсис.
Отмечается сонливость, спутанность сознания, дезориентация, заторможенность, чередующаяся с периодами возбуждения. Периферическая нейропатия чаще возникает у пожилых пациентов. При ОПН может развиться застойная сердечная недостаточность, аритмия, перикардит, артериальная гипертензия. Больных беспокоит ощущение дискомфорта в брюшной полости, тошнота, рвота, потеря аппетита. В тяжелых случаях наблюдается уремический гастроэнтероколит, часто осложняющийся кровотечениями.
Диагностика
Основным маркером острой почечной недостаточности является повышение калия и азотистых соединений в крови на фоне значительного уменьшения количества выделяемой организмом мочи вплоть до состояния анурии. Количество суточной мочи и концентрационную способность почек оценивают по результатам пробы Зимницкого. Важное значение имеет мониторинг таких показателей биохимии крови, как мочевина, креатинин и электролиты, что позволяет судить о тяжести ОПН и эффективности проводимых лечебных мероприятий.
Главной задачей в диагностике ОПН является определение ее формы. Для этого проводится УЗИ почек и сонография мочевого пузыря, которые дают возможность выявить или же исключить обструкцию мочевыводящих путей. В некоторых случаях выполняется двусторонняя катетеризация лоханок. Если при этом оба катетера свободно прошли в лоханки, но выделение мочи по ним не наблюдается, можно с уверенностью исключить постренальную форму ОПН. При необходимости оценить почечный кровоток проводят УЗДГ сосудов почек. Подозрение на канальцевый некроз, острый гломерулонефрит или системное заболевание является показанием для биопсии почки.
Лечение ОПН
В начальной фазе терапия направлена, прежде всего, на устранение причины, которая вызвала нарушение функции почек. При шоке необходимо восполнить объем циркулирующей крови и нормализовать артериальное давление. При отравлении нефротоксинами больным промывают желудок и кишечник. Применение в практической урологии таких современных методов лечения как экстракорпоральная гемокоррекция позволяет быстро очистить организм от токсинов, которые стали причиной развития ОПН. С этой целью проводят гемосорбцию и плазмаферез. При наличии обструкции восстанавливают нормальный пассаж мочи. Для этого осуществляют удаление камней из почек и мочеточников, оперативное устранение стриктур мочеточников и удаление опухолей.
В фазе олигурии для стимуляции диуреза больному назначают фуросемид и осмотические диуретики. Для уменьшения вазоконстрикции почечных сосудов вводят допамин. Определяя объем вводимой жидкости, кроме потерь при мочеиспускании, рвоте и опорожнении кишечника, необходимо учитывать потери при потоотделении и дыхании. Пациента переводят на безбелковую диету, ограничивают поступление калия с пищей. Проводится дренирование ран, удаление участков некроза. При выборе дозы антибиотиков следует учитывать тяжесть поражения почек.
Гемодиализ назначается при повышении уровня мочевины до 24 ммоль/л, калия – до 7 ммоль/л. Показанием к гемодиализу являются симптомы уремии, ацидоз и гипергидратация. В настоящее время для предупреждения осложнений, возникающих вследствие нарушений метаболизма, врачи-нефрологи все чаще проводят ранний и профилактический гемодиализ.
Прогноз и профилактика
Летальность в первую очередь зависит от тяжести патологического состояния, ставшего причиной развития ОПН. На исход заболевания влияет возраст больного, степень нарушения функции почек, наличие осложнений. У выживших пациентов почечные функции восстанавливаются полностью в 35-40% случаев, частично – в 10-15% случаев. 1-3% больных необходим постоянный гемодиализ. Профилактика заключается в своевременном лечении заболеваний и предупреждении состояний, которые могут спровоцировать ОПН.
Повреждение почки ( Травма почки )
Повреждение почки – это нарушение целостности почки, обусловленное травмирующим воздействием. Закрытое повреждение почки возникает при прямых (ушиб, сдавление, падение на спину) и непрямых (падение с высоты) травмах, открытое – при колотых, резаных и огнестрельных ранениях. Проявляется гематурией и болями в пояснице. При открытых повреждениях наблюдается истечение мочи из раны. Для подтверждения диагноза используются данные лабораторных исследований, УЗИ, КТ, рентгенографии и ангиографии. Лечение закрытых травм почки в большинстве случаев консервативное, открытых – оперативное.

Повреждение почки – достаточно распространенная травма, составляющая 1-5% от общего числа травматических повреждений. Может значительно варьироваться по степени тяжести – от относительно легких случаев до тяжелых поражений, представляющих опасность для жизни пациента. Мужчины страдают втрое чаще женщин. Любое повреждение почки рассматривается, как потенциально опасное, поэтому пациенты с такой патологией госпитализируются в урологическое, хирургическое или травматологическое отделение.
В 70-80% случаев повреждение почки сочетается другими травмами: переломами таза, позвоночника и ребер, переломами костей конечностей, ЧМТ, тупой травмой живота, повреждениями грудной клетки и т. д. Это утяжеляет состояние пациента, способствует развитию травматического шока и ухудшает прогноз.
В мирное время превалируют закрытые повреждения почки в результате криминального инцидента (драки) или падения с высоты. Причиной закрытой травмы почки становится ушиб, падение, сдавление и другие воздействия, в результате которых возникает повышение давления жидкости (мочи и крови) в почке либо почка сдавливается между поперечными отростками позвонков и ребрами. Реже встречаются открытые травмы, которые являются следствием колотых и колото-резаных ран. В период военных действий резко увеличивается доля огнестрельных ранений почек.
Патанатомия
Тяжесть закрытой травмы зависит от таких факторов, как место приложения, направление и сила удара, индивидуальные особенности расположения почки по отношению к позвоночнику и нижним ребрам, степень развития мускулатуры, степень наполнения кишечника, количество паранефральной и подкожной жировой клетчатки, величина забрюшинного и внутрибрюшного давления. При предшествующих патологических изменениях (хроническом пиелонефрите, аномалиях развития, пионефрозе и гидронефрозе) целостность почки может нарушаться даже при незначительном закрытом травматическом воздействии. Степень повреждения может варьироваться от мелких кровоизлияний в ткань почки до тотального разрушения органа.
Особенно тяжелые травмы почек наблюдаются при огнестрельных ранениях, что обусловлено обширностью поражения, сложной конфигурацией раневого канала и высокой частотой одновременного повреждения различных органов и анатомических областей. Тяжесть ножевых ран почки зависит от направления раневого канала и расположения раны по отношению к почечным сосудам.
Классификация
В травматологии и клинической урологии выделяют закрытые (подкожные, тупые) и открытые (проникающие) травмы почки. Различают следующие виды закрытых повреждений:
- Ушиб. В почечной паренхиме возникают множественные кровоизлияния, макроскопический разрыв субкапсулярной гематомы отсутствует.
 - Субкапсульный разрыв без контакта с чашечно-лоханочной системой. Характеризуется наличием крупной субкапсулярной гематомы.
 - Разрыв ткани и фиброзной капсулы почки с повреждением чашечно-лоханочной системы.
 - Размозжение.
 - Отрыв мочеточника, полное либо частичное повреждение сосудистой ножки.
 - Контузия.
 
Открытые травмы почки подразделяются на:
- Резаные раны.
 - Колотые раны.
 - Осколочные ранения.
 - Пулевые ранения и т. д.
 
При постановке диагноза уточняют зону повреждения почки:
- Повреждение сосудистой ножки.
 - Повреждение тела.
 - Повреждение нижнего сегмента.
 - Повреждение верхнего сегмента.
 
Кроме того, указывают характер травмы (сочетанная, изолированная), наличие или отсутствие осложнений (осложненная, неосложненная).
Симптомы повреждения почки
Ведущими симптомами закрытой травмы почки являются боль и отек в поясничной области в сочетании с микро- или макрогематурией. Боли могут быть острыми, тупыми или коликообразными, нередко иррадиируют в паховую область. При тяжелых повреждениях наблюдается вздутие живота, повышение температуры, тошнота, рвота и симптомы раздражения брюшины, что может симулировать тупую травму живота. Кроме того, при травме почки может выявляться дизурия, боли внизу живота и признаки внутреннего кровотечения.
Различают 3 степени тяжести закрытого повреждения почки. При повреждениях легкой степени (ушибе) наблюдается незначительная кратковременная гематурия. Болевой синдром выражен умеренно. Общее состояние пациента ближе к удовлетворительному, признаки раздражения брюшины отсутствуют, околопочечная гематома не выявляется. При повреждениях средней степени тяжести боли умеренные, отмечается иррадиация в половые органы, паховую область и нижнюю часть живота. АД снижено, пульс учащен. Под кожей в поясничной области видна гематома. Нередко выявляется дизурия, в отдельных случаях – анурия. Урогематома может вызывать симптомы раздражения брюшины. При тяжелых повреждениях развивается шок. Боли сильные, макрогематурия профузная, длительная. Отмечаются нарастающие признаки внутреннего кровотечения.
Симптомы открытого повреждения почки во многом совпадают с признаками закрытой травмы. Есть боль и гематурия, нередко присутствует припухлость вокруг места повреждения. Кроме того, в области поясницы имеется огнестрельная, колотая или резаная рана. Самым достоверным признаком открытой травмы почки является истечение мочи из раневого канала, однако, этот симптом редко бывает явным в первые часы. Для выявления незначительных примесей мочи в кровянистом раневом отделяемом применяют специальный реактив Несслера.
Боль в области поясницы вызывает защитное напряжение мышц передней брюшной стенки. Раннее появление и значительная выраженность данного симптома могут свидетельствовать об одновременном повреждении органов брюшной полости. Гематурия при открытых травмах почки возникает практически сразу, однако, ее выраженность не всегда коррелирует с тяжестью поражения. Встречаются как небольшие надрывы, сопровождающиеся профузной гематурией, так и тяжелые повреждения с незначительным количеством крови в моче.
При открытых повреждениях чем рана ближе к почечной ножке, тем выше риск нарушения целостности крупных сосудов и тем больше область инфаркта почки с последующим нагноением почечной ткани. Повреждение мочеточника и чашечно-лоханочной системы в отсутствие операции влечет за собой мочевую инфильтрацию и флегмону забрюшинного пространства, при сопутствующем повреждении брюшной полости развивается перитонит.
Диагноз устанавливается врачом-урологом, подтверждается на основании клинических признаков, анализа мочи, МРТ, КТ, УЗИ, внутривенной урографии, нефросцинтиграфии и почечной ангиографии. Для оценки тяжести кровопотери осуществляется контроль уровня гемоглобина и гематокрита. При подозрении на сочетанную травму назначаются консультации различных специалистов: травматолога, абдоминального хирурга и пр.

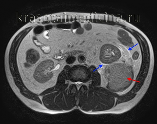
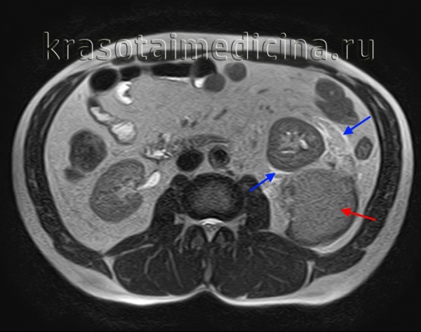
МРТ ОБП. Повреждение левой почки. Забрюшинная гематома (красная стрелка), отек перинефральной клетчатки (синяя стрелка).
Лечение повреждения почки
При закрытых травмах, не сопровождающихся гемодинамическими нарушениями, обычно проводятся консервативные мероприятия. При открытых повреждениях консервативная терапия возможна лишь при изолированных ранах, нанесенных холодным оружием, в случае, если состояние пациента остается удовлетворительным, а гематурия незначительна и носит кратковременный характер. Пациентам назначают антибиотики, противовоспалительные и кровоостанавливающие препараты.
Абсолютными показаниями к хирургическому лечению при открытых и закрытых травмах почки являются нестабильная гемодинамика, пульсирующая и нарастающая гематома. К числу относительных показаний к операции относятся тяжелые повреждения, экстравазация больших количеств мочи, выявление крупного нежизнеспособного участка почки, сочетанные травмы, предшествующие заболевания травмированной почки и отсутствие эффекта от консервативной терапии. В зависимости от тяжести и характера повреждения выполняют нефрэктомию, удаление части почки или ушивание разрыва почки. В отдельных случаях возможна малоинвазивная операция – эмболизация поврежденного сосуда с использованием катетера, введенного через бедренную артерию.
2. Рекомендации. Основные принципы диагностики, профилактики и терапии/ Ассоциация нефрологов России - 2015
Читайте также:
- Проблемы с амниотической жидкостью
 - Показания, подготовка к артроскопическому релизу и удлинению латерального удерживателя надколенника
 - Диагностические лапаротомии при травме живота. Частота ненужных лапаротомий
 - Рентгенограмма, КТ, МРТ эндопротеза коленного сустава
 - Санация очагов инфекции при сепсисе и септическом шоке - рекомендации
 
