Диагностика персистирующих каротидно-базилярных анастомозов по КТ, МРТ, ангиограмме
Добавил пользователь Валентин П. Обновлено: 28.01.2026
Какой метод диагностики персистирующей артерии выбрать: МРТ, КТ, ангиографию
Метод выбора
Информативна ли МСКТ сосудов мозга при персистирующей артерии
- Четко визуализирующаяся артерия между внутренней сонной и базилярной артериями.
В каких случаях проводят КТ-ангиографию мозга
- По аналогии с данными КТ
- Могут визуализироваться дополнительные сосудистые аномалии.
Что покажут снимки МРТ и МР-ангиографии головного мозга при артериальном анастомозе
- При визуализации в Т1- и Т2-взвешенных режимах персистирующая тригеминальная артерия (артериальный анастомоз) идентифицируется в виде пучковидного предмостового потокового сигнала между внутренней сонной и базилярной артериями
- МРА позволяет верифицировать диагноз.
Проводят ли ангиографию сосудов мозга
- Примитивная тригеминальная артерия (артериальный анастомоз) кровоснабжает дистальные отделы вертебробазилярной системы и проксимальные отделы гипоплазированной базилярной артерии.
Клинические проявления
- Артериальный анастомоз обычно является случайной находкой.
Принципы лечения
- При случайном обнаружении артериального анастомоза нет необходимости в каком-либо лечении (за исключением случаев, когда имеются дополнительные сосудистые аномалии, требующие лечения).
Течение и прогноз
- Отсутствие какой-либо клинической значимости при визуализации артерии как случайной и изолированной находки.
Что хотел бы знать лечащий врач?
- Наличие дополнительных сосудистых аномалий (аневризмы в 10-15% случаев).



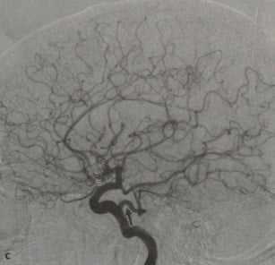
Примитивная тригеминальная артерия (стрелка) при Т2-взвешенной МРТ в аксиальной проекции (а), МРА в MIP-режиме (b) и ЦСА (с). Случайная находка: кольцевидная аневризма передней соединительной артерии (с).
Какие заболевания имеют симптомы, схожие с примитивной тригеминальной артерии
Персистирующая (примитивная) подъязычная артерия
- Второй по частоте встречаемости анастомоз между внутренней сонной и базилярной артериями
- Анастомоз на уровне С1-С2 по ходу костного канала подъязычного нерва
Персистирующая (примитивная) ушная артерия
- Очень редкий анастомоз между внутренней сонной и базилярной артериями
- Проходит через внутренний слуховой канал
Проатлантовая артерия
Анастомоз между сегментами С2 и СЗ ВСА и позвоночной артерией (не базилярной артерией) на уровне С1-С2
Диагностика персистирующих каротидно-базилярных анастомозов по КТ, МРТ, ангиограмме
б) Визуализация:

(а) КТ-ангиография, аксиальный срез: типичная картина ПТА, соединяющей левую внутреннюю сонную артерию с основной артерией. ПТА, являясь наиболее частым типом персистирующих каротидно-базилярных анастомозов, встречается в 0,1-0,2% случаев. Это типичная случайная находка, за исключением случаев сочетания с другими сосудистыми аномалиями.
(б) КТ-ангиография, аксиальный срез: ППА, проходящая через левый канал подъязычного нерва вместе с ЧН XII. ППА соединяет шейный отдел ВСА с ОА.
2. КТ при персистирующем каротидно-базилярном анастомозе (ПКБА):
• КТ с контрастированием:
о Сосуд большого калибра между ОА и ВСА
• КТ-ангиография:
о Выявление сосудистой аномалии и визуализация ее хода, а также ассоциированных аномалий (например, мешотчатой аневризмы)
3. МРТ при персистирующем каротидно-базилярном анастомозе (ПКБА):
• Т2-ВИ:
о Заметный аномальный сосуд между внутренней сонной артерией (ВСА) и основной артерией (ОА):
- Уровни локализации располагаются между отверстием намета мозжечка и большим затылочным отверстием, вероятно, соответствуют уровням отхождения черепных нервов (ЧН V, ЧН VIII, ЧН XII; CI-CIII)
• МР-ангиография:
о Визуализация аномального сосуда, его хода, а также уровня вертебробазилярного соединения
о Визуализация ассоциированной артериальной патологии (например, аневризмы)
4. Ангиография:
• Ангиография выполняется по поводу других причин (например, субарахноидального кровоизлияния); обеспечивает визуализацию рудиментарной артерии и ее кровотока
5. Рекомендации по визуализации:
• Лучший инструмент визуализации МРТ с МР-ангиографией или КТ-ангиография

(а) На рисунке сагиттального среза показаны анастомозы между ВСА и ОА. В норме ЗСоА соединяет ЗМА с супраклиноидным отделом ВСА. ПТА соединяет кавернозный отдел ВСА с ОА. ПУА соединяет каменистый отдел ВСА с ОА через ВСП. ППА В соединяет шейный отдел ВСА с ОА через канал подъязычного нерва. Проатлантная артерия соединяет шейный отдел ВСА с ОА на уровне CI через С III.
(б) МР-ангиография, сагиттальный срез: определяется ПТА, соединяющая проксимальный отдел сифона ВСА со средними отделами ОА.
в) Дифференциальная диагностика:
1. Начало задней мозговой артерии (ЗМА) от ВСА:
• Данное состояние также известно, как «фетальное» начало ЗМА (10-30% случаев)
• Часто: над турецким седлом; выраженность ЗСоА, гипоплазия/ отсутствие Р1 сегмента ЗМА
2. Вторичные анастомозы:
• Питание АВ фистулы
• Компенсация артериальной окклюзии/агенезии
д) Клиническая картина:
1. Проявления:
• Наиболее частые признаки/симптомы:
о Случайная находка при визуализационном исследовании, в том числе по поводу субарахноидального кровоизлияния (САК)
- Редко наблюдается невралгия тройничного нерва или дисфункция гипофиза
2. Течение и прогноз:
• Симптомы отсутствуют; лечение не осуществляется (за исключением случаев сочетания с аневризмами)
Рубрика: Центральная нервная система
Отравление цианидами - аноксическая энцефалопатия, вызванная воздействием цианидами.
Этиология
- Вдыхание дыма, проглатывание или абсорбция через кожу. На таких производствах, как металлургических, горнодобывающих, и производстве ювелирных изделий возможно случайное отравление. Также нередки отравления при попытке самоубийства.
- Цианиды ингибируют митоходриальную цитохром С-оксидазу, которые нарушает аэробное дыхание (окислительное фосфорилирование) в результате возникает гипоксия клеток, лактоацидоз.
Патология
- Геморрагический некроз базальных ганглиев.
- Ламинарный некроз коры.
Локализация:
- Базальные ганглии с типичным двусторонним характером поражения, с возможным вовлечением в патологический процесс скорлупы, хвостатых ядер, бледного шара.
- Мультифокальное поражение коры (преимущественно сенсомоторной коры).
- Мозжечок.
Клинические проявления:
- При легком отравлении: запах горького миндаля изо рта, першение в горле, головокружение, слюнотечение, рвота, страх, шок.
- При тяжелом отравлении: потеря сознания, судороги, гиперемия кожных покровов, паралич дыхательного центра.
Радиологические находки:
Компьютерная томография (КТ)
- Гиподенсные очаги, локализующиеся в области назальных ганглиев.
Магнитно-резонансная томография (МРТ)
Т1 - взвешенное изображение.
- Ранние изменения - гипоинтенсивные очаги в базальных ганглиях
- Поздние изменения
Т2 - взвешенное изображение и FLAIR
- Гиперинтенсивные очаги в базальных ганглиях
- Повышение интенсивности сигнала от коры
DWI
- Ограничение диффузии в области назальных ганглиев, коре.
- Постконтрастные Т1-ВИ
- Контрастное усиление в базальных ганглиях, коре.
Радионуклидная диагностика
- Снижение захвата РФП в полосатом теле.
- Снижение метаболизма в скорлупе, коре височно-теменно-затылочных областей больших полушарий и мозжечка.
Дифференциальный диагноз:
- Гипоксически-ишемическая энцефалопатия
- Интоксикация метанолом, оксидом углерода, героином
- Наследственное заболевание
- Инфекционное поражение
Лечение
- Дезактивация, поддерживающая терапия
- Кислородная терапия : нормобарическая и гипербарическая оксигенация
- Антидоты.
Течение
Сроки появления симптомов зависят от характера отравляющего вещества:
- газообразная синильная кислота появления проявлений за считанные секунды
- твердые или жидкие соли синильной кислоты признаки отравления в течение минут
- появления симптомов в течении часа при таких цианогенных соединениях, как нитрил и нитропруссид.
Прогноз:
- Варианты от полного выздоровления до летального исхода.
- Стойкая утрата нетрудоспособности за счет неврологических нарушений (экстрапирамидные синдромы и вегетативное состояние).
Источники
Синдром Сусака
Синдром Сусака - это микроангиопатия головного мозга, сетчатки и улитки.
Синдром повторного сотрясения (СПС)
Повторные травмы головы в период до восстановления головного мозга после предыдущего травмирующего воздействия (окно уязвимости) может привести к выраженному отеку головного мозга, стойкой нетрудоспособности или смерти.
Шванноматоз
Шванноматоз - это множественные шванномы периферической нервной системы без вовлечения вестибулярных нервов.
Смерть мозга
Смерть мозга - полное необратимое прекращение функционирования мозга.
Выраженный внутриклеточный отек, повышение внутричерепного давления(ВЧД). Повышение ВЧД способствует снижению мозгового кровотока. Если ВЧД больше конечного диастолического давления в артериях головного мозга, происходит диастолическая инверсия, но если ВЧД > систолического давления, кровоток прекращается.
Макроскопические особенности
- Выраженный отек головного мозга в сочетании с выраженной компрессией борозд.
- Двустороннее нисходящее транстенториальное вклинение
- Нисходящее смещение диэнцефалона
- Желобление височных долей о вырезку намета мозжечка
Глубокая кома (баллы по ШКГ = 3) с установленным этиологическим фактором. Обратимые причины комы должны быть исключены. Смерть мозга является клиническим диагнозом, который должен быть установлен опытным неврологом согласно критериям СМ. Вспомогательные исследования лишь помогают подтвердить клиническии диагноз
Когда нужна КТ-ангиография?
Чтобы кровеносная система нормально функционировала, важно иметь здоровые сосуды. О том, как помогает проверить их состояние КТ-ангиография, о показаниях к такому исследованию нам рассказала врач-рентгенолог «Клиники Эксперт» Курск Екатерина Александровна Нехаева.
— Среди методов исследования сосудов особое место занимает КТ-ангиография. Екатерина Александровна, что это такое? В чём суть этого исследования?
— Это современный и один из наиболее информативных методов диагностики патологии сосудов, основанный на применении рентгеновского излучения. От обычного рентгена его отличает гораздо большая информативность. Врач с помощью специальной программы может сформировать трёхмерную модель сосудов исследуемой области.
КТ-ангиография всегда выполняется с контрастом, то есть с внутривенным введением контрастного препарата. Так кровеносные сосуды становятся более заметными на снимках по сравнению с окружающими тканями. Это даёт возможность с высокой точностью оценить их просвет, расположение, синтопию (взаимоотношение с окружающими анатомическими структурами) и прочие параметры. Эти параметры определяют доступность сосудов для хирурга, например, при планировании вмешательств. Всю эту информацию мы стараемся отразить в протоколе максимально подробно (особенно если направляющий врач в направлении ставит перед нами конкретные вопросы).
— Сосуды каких частей тела, органов человека можно обследовать с помощью КТ-ангиографии?
— КТ-ангиография широко используется с целью оценки сосудов головы, шеи, крупных сосудов брюшной полости и забрюшинного пространства, сосудов подвздошных областей, нижних конечностей, коронарных артерий, а также лёгочных артерий и вен.
Читайте материал по теме:
— Когда пациенту может понадобиться КТ-ангиография?
— В основном показания к исследованию определяет направляющий доктор. Обычно это сосудистые хирурги, потому как КТ-ангиография зачастую производится непосредственно перед предполагаемым хирургическим вмешательством, чтобы врач при выполнении операции мог учитывать расположение и размер сосудов.
Наиболее распространённые патологии и иные поводы, с которыми приходят (или поступают) к нам пациенты, – это:
- облитерирующий атеросклероз сосудов нижних конечностей (поражение крупных артерий ног, приводящее к сужению артерий и нарушению кровообращения);
- атеросклеротическое поражение артерий головы и шеи, коронарных артерий и др.;
- аномалии развития сосудов;
- аневризма;
- разрыв аорты;
- тромбоз артерий;
- ишемическая болезнь сердца;
- синдром экстравазальной компрессии кровеносного сосуда (т. е. когда сосуд сдавливается чем-то извне);
- повреждение сосудов;
- осмотр после проведённой операции и др.
Читайте материалы по теме:
— Что выявляет КТ-ангиография?
— Она помогает обнаружить стенотические изменения (зоны сужения) или аневризматические участки (места расширения) сосудов, наличие и распространённость атеросклеротических изменений (с определением точного размера и структуры бляшек), сдавление сосудов опухолью и т. д.
КТ-ангиография позволяет также выявить аномалии развития сосудов, наличие различных вариантов отхождения и взаиморасположения сосудов, которые тоже зачастую бывают клинически значимыми.
— Екатерина Александровна, в чём преимущества КТ-ангиографии, если сравнивать её, например, с МРТ и УЗИ? И может ли она полностью заменить эти методы?
— КТ-ангиография однозначно более информативна, чем перечисленные методы, так как позволяет визуализировать саму сосудистую стенку, в то время как на МРТ и УЗИ мы видим только сигнал тока крови по сосудам. Также только благодаря такой КТ-диагностике мы можем видеть атеросклеротические бляшки, оценить их размеры, структуру, форму.
С помощью КТ-ангиографии сосудов головного мозга можно рассмотреть внутричерепные (интракраниальные) сосуды намного лучше, чем при проведении ультразвуковых исследований, поскольку возможности УЗИ ограничены из-за экранирования ультразвука костями черепа.
КТ-ангиография может полностью заменить МР-ангиографию, поскольку последняя уступает ей в чувствительности и специфичности. С другой стороны, при выполнении МРТ нет лучевой нагрузки, присущей компьютерной томографии. На УЗИ преимуществом является лишь возможность оценить скорость кровотока в динамике, а также отсутствие противопоказаний, характерных для рентгеновских исследований и внутривенного контрастирования.
В любом случае оптимальный выбор того или иного метода исследования, в зависимости от вопросов, которые стоят перед рентгенологом, всегда остаётся за направляющим врачом-клиницистом.
Подробнее об УЗИ сосудов - наша статья: Доплер, дуплекс, триплекс. Каким бывает УЗИ сосудов?
— Нужна ли подготовка перед КТ-ангиографией?
— В целом, никакой особенной подготовки не нужно. Но если пациенту за несколько дней до компьютерной томографии проводили рентгенологическое обследование желудка и (или) кишечника с сернокислым барием, то следует подождать 3–4 дня, пока барий выведется из организма. Также если пациент употребляет метформин (препарат для лечения диабета второго типа), то после согласования с лечащим врачом необходимо прервать приём лекарства за два дня до обследования.
— Расскажите поподробнее, как проводится КТ-ангиография
— Человек помещается на выдвижной стол компьютерного томографа. Предварительно ему в локтевую вену устанавливается катетер, через который с помощью специального прибора (инъектора) вводится рентгеноконтрастный препарат. Вначале выполняется «нативное» (предварительное бесконтрастное) сканирование, а затем сканирование с введением контраста. При исследовании некоторых областей может потребоваться задержка дыхания в среднем на 10 секунд. Специалист во время всего сеанса находится в соседней комнате и общается с пациентом по громкой связи. Продолжительность процедуры примерно 20 – 30 минут.
— Всем ли можно проводить это исследование? Или к КТ-ангиографии есть противопоказания?
— Да, они есть. Это:
- нарушение функционирования почек;
- тиреотоксикоз (повышение уровня гормонов щитовидной железы) и тиреотоксический криз;
- аллергия на йодсодержащие контрастные препараты;
- беременность.
— Требуется ли направление для того, чтобы пройти КТ-ангиографию?
— Да, направление от лечащего врача необходимо в абсолютном большинстве случаев.
— Екатерина Александровна, а проводят ли это исследование детям?
— Да. Для выполнения компьютерной томографии детям используются специальные протоколы сканирования, применение которых подразумевает максимально возможное снижение лучевой нагрузки на организм ребёнка. Тем не менее, КТ-ангиографию детям проводят по строгим показаниям и с обязательным направлением от лечащего врача.
Если вам нужно сделать КТ-ангиографию, записаться на это исследование можно здесь
ВНИМАНИЕ: услуга доступна не во всех городах
Беседовала Марина Воловик
Редакция рекомендует:
Для справки:
Нехаева Екатерина Александровна
В 2013 г. окончила Курский государственный медицинский университет.
В 2015 г. – ординатура по общей хирургии.
Прошла профпереподготовку по рентгенологии.
В настоящее время – врач-рентгенолог в «Клинике Эксперт» Курск. Принимает по адресу: ул. Карла Либкнехта, д. 7.
Другие статьи по теме
Компьютерная томография костей черепа – исследование довольно распространённое. Однако при некоторых болезнях. КТ височных костей: когда бывает нужно это исследование?
Когда необходима КТ головного мозга? Как её проводят? Насколько безопасно такое исследование? Не только МРТ. Что покажет КТ головного мозга?
Доктор направил вас на МСКТ для определения количества кальция в артериях сердца. МСКТ для определения коронарного кальция: что это за исследование?
Чаплыгина Е.В. 1 Каплунова О.А. 1 Домбровский В.И. 1 Суханова О.П. 1 Блинов И.М. 1 Чистолинова Л.И. 1
На основании данных литературы уточнены основные этапы развития артерий головного мозга в антенатальном периоде развития, консолидации недифференцированной сосудистой сети в постоянные артерии. Уточнены этапы образования и регрессии кортикобазилярных анастомозов, а также возможные механизмы образования наиболее часто встречающегося персистирующего кортикобазилярного анастомоза – тригеминальной артерии. Приведены данные литературы о клиническом значении этой аномалии и сочетании её с другими аномалиями развития артерий головного мозга. Очевидно, что персистирующая тригеминальная артерия подобно большинству других аномалий развития мозговых артерий биологически менее надежна и подвержена заболеваниям. Неслучайно они часто ассоциируют друг с другом. Сведения о персистирующей тригеминальной артерии совмещены с собственными данными СКТ ангиографии артерий мозга.
2. Куртусунов Б.Т. Варианты изгибов позвоночных артерий по данным мультиспиральной компьютерной томографии // Саратовский научно-медицинский журнал. – 2010. – Т. 6, № 3. – С. 498–500.
3. Николенко В.Н., Фомкина О.А., Неклюдов Ю.А., Алексеев Ю.Д. Морфобиомеханические закономерности строения средней мозговой артерии взрослых людей // Саратовский научно-медицинский журнал. – 2012. – Т 8, № 1. – С. 9–14.
5. Фомкина О.А., Николенко В.Н., Гладилин Ю.А. Морфобиомеханические особенности задней соединительной артерии взрослых людей // Морфология. – 2010. – Т. 136, № 4. – С. 202.
6. Bai M., Guo Q., Li S. Persistent trigeminal artery/persistent trigeminal artery variant and coexisting variants of the head and neck vessels diagnosed using 3 T MRA – Clin. Radiol. – 2013. – № 68. –P. 578–585.
7. Bai M., Guo Q., Sun Y. Rare saccular aneurysm in a medial type persistent trigeminal artery trunk and literature review // Surg. Radiol. Anat. – 2014. – Vol. 36, № 3. – P. 299–302.
8. Choudri O., Heit J.J., Feroze A.H., Chang S.D., Dodd R.L., Steinberg G.K. Persistent trigeminal artery supply to an intrinsic trigeminal nerve arteriovenous malformation: A rare cause of trigeminal neuralgia // J. of Clin. Neuroscience. – 2015. – Vol. 22. – P. 409–412.
9. Cloft H.J., Razack N., Kallmes D.F. Prevalence of cerebral aneurysms in patients with persistent primitive trigeminal artery // J. Neurosurg. – 1999. – № 90. – P. 856–857.
10. Fields W.S. The significance of the persistent trigeminal artery: carotid-basilar anastomosis // Radiology. – 1968. – № 91. – P. 1096.
11. Gaughen J.R., Starke R.M., Durst C.R., Evans A.J., Jensen M.E. Persistent trigeminal artery: In situ thrombosis and associated perforating vessel infarction // J. of Clin. Neuroscience. – 2014. – № 21. – P. 1075–1077.
12. Ito Y., Watanabe H., Niwa H., Hakusui S., Ando T., Yasuda T. The protective effect of a persistent trigeminal artery on brainstem infarctions: a follow-up case-report // Int. Med. – 1998. – № 37. – P. 334–337.
13. Kathuria S., Chen J., Gregg L., Parmar Y.A., Gandhi D. Congenital arterial and venous anomalies of the brain and skull Base // Neuroimag. Clin. N. Am. – 2011. – Vol. 21. – P. 545–562.
14. Kim M.J., Kim M.S. Persistent primitive trigeminal artery: analysis of anatomical characteristics and clinical significances // Surg. Radiol. Anat. – 2015. – Vol. 37, № 1. – P. 69–74.
15. Ladner T.R., Ehtesham M., Davis B.J., Khan I.S., Ghiassi M., Singer R.J. Resolution of trigeminal neuralgia by coil embolization of a persistent primitive trigeminal artery aneurysm // J. Neurointerv. Surg. – 2014. – Vol. 6, № 3. – P. 22.
16. Lotfi M., Nabavizadeh S.A., Foroughi A.A. Aortic arch vessel anomalies associated with persistent trigeminal artery // Clin. Imaging. – 2012. – Vol. 36. – P. 218–220.
17. Luh G.Y., Bruce L., Tomsick T.A., Wallace R. The persistence of fetal carotid-vertebrobasilar anastomosis // Am. J. Radiol. – 1999. – Vol. 172. – P. 1427–1432.
18. Meckel S., Spittau B., McAuliffe W. The persistent trigeminal artery: development, imaging anatomy, variants and associated vascular pathologies // Neuroradiology. – 2013. – Vol. 55, № 1. – P. 5–16.
19. O’uchi E., O’uchi T. Persistent primitive trigeminal arteries (PTA) and its variant (PTAV): analysis of 103 cases detected in 16,415 cases of MRA over 3 years // Neuroradiology. – 2010. – Vol. 52, № 12. – P. 1111–1119.
20. Padget D.N. Designation of the embryonic intersegmental arteries in reference to the vertebral artery and subclavian stem // Anat. Rec. – 1954. – Vol. 119. – P. 349–356.
21. Padget D.N. The development of the cranial arteries in the human embryo. Contrib. Embryol // 1948. – Vol. 32. – P. 205–261.
22. Raybaud C. Normal and abnormal embryology and development of the intracranial vascular system // Neusurg. Clin. N. Am. – 2010. – Vol. 21, № 3. – P. 399–426.
23. Salas E., Ziyal I.M., Sekhar L.N., Wright D.C. Persistent trigeminal artery: an anatomic study // Neurosurgery. – 1998. – Vol. 43. – P. 557–562.
24. Saltzman G.F. Patent primitive trigeminal artery by cerebral angiography // Acta Radiol. – 1959. – Vol. 51. – P. 329–336.
25. Son B., Yang S., Sung J. et al. Bilateral persistent primitive trigeminal arteries associated with trigeminal neuralgia // Clin. Neuroradiol. – 2013. – Vol. 23. – P. 45–49.
26. Suttner N., Mura J., Tedeschi H., Ferreira M.A.T, Wen H.T., Oliviera E.D., Rhoton A.L. Persistent trigeminal artery: a unique anatomic specimen analysis and therapeutic implications // Neurosurgery. – 2000. – Vol. 47, № 2. – P. 428–434.
27. Teal J.S., Rumbaugh C.L., Bergeron R.T., Scanlan R.L., Segall H.D. Persistent carotid-superior cerebellar artery anastomosis: a variant of persistent trigeminal artery // Radiology. – 1972. – P. 335–341.
28. Uchino A., Saito N., Okada Y., Kozawa E., Mizukoshi W., Inoue K., Takahashi M. persistent trigeminal artery and its variants on MR angiography // Surg. Radiol. Anant. – 2012. – Vol. 34, № 3. – P. 271–276.
29. Uhlig S., Kurzepa J., Czekajska-Chehab E., Staskiewicz G., Polar M.K., Nastaj M., Stochmal E., Drop A. Persistent trigeminal artery as a rare cause of ischaemic lesion and migraine-like headache // Folia Morphol. (Warsz) – 2015. – Vol. 74, № 1. – P. 133–136.
Врожденные сосудистые аномалии мозга, в том числе персистирующая тригеминальная артерия – результат раннего нарушения развития сосудов мозга. Некоторые из аномалий сосудов головного мозга компенсированы и клинически бессимптомны. Другие являются причиной заболеваний и смерти в результате кровоизлияний или ишемии [13]. Необходимость в детальных знаниях аномалий развития сосудов мозга диктуется внедрением новых хирургических технологий – малоинвазивных и эндоскопических методов, что ставит перед исследователями все новые и новые задачи. С другой стороны, у анатомов появились беспрецедентные возможности для расширения представлений о вариантах и аномалиях сосудов мозга.
И, наконец, несмотря на большое количество работ, посвященных возрастной, половой, билатеральной изменчивости мозговых артерий [2, 3, 5], работы, касающиеся развития артерий головного мозга, – единичные и в основном датируются серединой прошлого века.
Цель работы – на основании данных литературы уточнить основные этапы развития артерий головного мозга, возможные механизмы образования персистирующей тригеминальной артерии и проиллюстрировать данными, полученными самостоятельно при выполнении ангиографии на мультисрезовом спиральном рентгеновском компьютерном томографе «Brilliance 64 Slice» («Philips Medical Systems», Нидерланды) у 650 пациентов в возрасте от 14 до 70 лет.
Известны основные принципы развития магистральных артерий головы [4]. Внутренние сонные артерии развиваются из 3-жаберной артерии и дорзальной аорты.
Из дорсальных аорт образуются межсегментарные артерии, которые в области шеи соединяются анастомозами. Эти продольные сосуды (билатеральные продольные мозговые артерии) располагаются параллельно дорзальной аорте и становятся позвоночными артериями. Позвоночные артерии растут в краниальном направлении до уровня продолговатого мозга, затем отклоняются медиально, соединяясь друг с другом и образуя базилярную артерию. Базилярная артерия, продолжая расти краниально, встречается с веточками внутренних сонных артерий [4].
На 2–4 неделе эмбрионального периода развития медуллярная пластинка, медуллярная бороздка и открытая нервная трубка получают питание диффузно из амниотической жидкости [1, 22]. На 5–8 неделе нервная трубка сформирована, покрыта первичной оболочкой, содержащей сосудистые петли, соединенные с дорзальной аортой и кардинальными венами. Из первичной сосудистой сети мозга кислород и питательные вещества поступают в мозг.
Padget D.N. [20, 21] изучала развитие мозговых артерий, используя метод графической реконструкции 22 срезов эмбрионов от 24 до 52 дней (4–43 мм длиной). Согласно её данным, эмбриогенез переднего отдела артериального круга большого мозга является результатом двух важных процессов: развития от краниальной порции внутренней сонной артерии ветвей, снабжающих переднюю часть мозга, и регрессии отдельных артериальных сегментов. Ею были выявлены 7 стадий в развитии артерий мозга.
На 28–29 день у эмбриона 4–5 мм длиной сонные артерии снабжают передний и средний мозг. Ромбовидный мозг снабжается через транзитные каротидно-базилярные анастомозы: тригеминальную артерию на уровне тройничного узла, ушную артерию на уровне ушного пузырька, подъязычную артерию вдоль подъязычного нерва и проатлантовую артерию (первую межсегментарную шейную – C1 артерию) по ходу первого шейного нерва. Эти артерии существуют короткое время, пока не исчезнут к 3 стадии [20, 26]. Редко они могут персистировать и функционировать как анатомические варианты или мальформации в клинических случаях (рис. 1).
На 29-й день эмбриогенеза у эмбриона 5–6 мм длиной каудальная часть внутренней сонной артерии соединяется с билатеральной продольной мозговой артерией, образуя заднюю соединительную артерию. Тригеминальная артерия истончается у своего начала от сонной артерии, как и подъязычная артерия. Продольная мозговая артерия направляется к началу вдоль среднего мозга, формируя базилярную артерию. На этой стадии проатлантовая артерия участвует в кровоснабжении заднего отдела мозга.
На 32 день у эмбриона 7–12 мм длиной от передней мозговой артерии ответвляется средняя мозговая артерия. Тригеминальная артерия может еще быть на этой стадии, но чаще уже исчезает [20]. Позвоночная артерия формируется как продольный паравертебральный анастомоз между межсегментарными шейными артериями от С7 до С1 [20, 21, 26].
Рис. 1. Схема персистирующих каротидно-базилярных анастомозов (по S. Kathuria e.a., 2011, с изменениями) [5]: 1 – внутренняя сонная артерия; 2 – базилярная артерия; 3 – задняя соединительная артерия; 4 – тригеминальная артерия; 5 – ушная артерия; 6 – подъязычная артерия; 7 – проатлантовая артерия
Тригеминальная артерия проходит вентромедиально от тройничного узла, кровоснабжает развивающийся ствол мозга до момента образования задней соединительной артерии и позвоночной артерии (рис. 2), после чего регрессирует [20, 23].
Обычно персистирующую тригеминальную артерию обнаруживают во взрослом возрасте в 0,1–0,68 % случаев у пациентов при ангиографическом исследовании [6, 18, 19, 28]. Персистирующая тригеминальная артерия соединяет кавернозный сегмент внутренней сонной артерии и базилярную артерию проксимальнее места ответвления задней соединительной артерии и кровоснабжает дистальный отдел вертебробазилярной системы и проксимальные отделы гипоплазированной базилярной артерии.

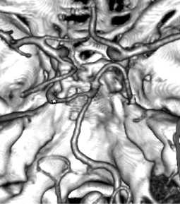
Рис. 2. СКТ ангиограмма сосудов основания мозга, вид сверху (ISSD – изображение оттененных поверхностей). Пациентка с невралгией тройничного нерва. Примитивная тригеминальная артерия слева (показана звёздочкой). Задняя трифуркация левой внутренней сонной артерии. Гипоплазия левой позвоночной артерии
При этом наблюдается односторонняя (ипсилатеральная) или двухсторонняя гипоплазия позвоночной артерии [17, 24]. Возможно сочетание персистирующей тригеминальной артерии и других сосудистых аномалий (рис. 2).
О персистирующей тригеминальной артерии часто сообщают в случаях с острым нарушением мозгового кровотока, ишемией заднего мозга или затылочной доли большого мозга [11, 16, 29], или в сочетании с аневризмами [7, 9], невралгией тройничного нерва [8, 15, 18].
Однако наиболее часто эти артерии не проявляются неврологическими симптомами [10, 27] и случайно обнаруживаются при ангиографии.
Несмотря на это, некоторые авторы [12] заявляют о возможном защитном эффекте от ишемии ствола мозга благодаря кровоснабжению его от внутренней сонной артерии именно тригеминальной артерией.
Персистирующие тригеминальные артерии в 52,6 % случаев сосуществуют с другими аномалиями развития артерий головы и шеи [6, 14, 19].
Очевидно, что персистирующая тригеминальная артерия, подобно большинству других аномалий развития мозговых артерий, биологически менее надежна. Неслучайно они часто ассоциируют друг с другом.
Предоперационное распознавание персистирующих тригеминальных артерий имеет важное значение в клинической практике при выполнении операций на гипофизе, так как их повреждение может вызвать массивное кровотечение [6].
Рецензенты:
Ефремов В.В., д.м.н., профессор кафедры нервных болезней и нейрохирургии, Ростовский государственный медицинский университет Минздрава России, г. Ростов-на-Дону;
Хлопонин П.А., д.м.н., профессор, зав. кафедрой гистологии, эмбриологии и цитологии, Ростовский государственный медицинский университет Минздрава России, г. Ростов-на-Дону.
Читайте также:
