Диагностика пилоцитарной астроцитомы по КТ, МРТ
Добавил пользователь Владимир З. Обновлено: 17.01.2026
Диагностика пилоцитарной астроцитомы по КТ, МРТ
а) Терминология:
1. Сокращения:
• Пилоцитарная астроцитома (ПА), ювенильная пилоцитарная астроцитома (ЮПА)
2. Определение:
• Пилоцитарная астроцитома (ПА): хорошо отграниченная от окружающих тканей опухоль, характеризующаяся медленным типом роста, часто имеющая кистозный и солидный интрамуральный компонент
• Характеризуется волосоподобными цитоплазматическими волокнами (Розенталя) и/или эозинофильными гранулярными телами в скоплениях биполярных клеток
б) Визуализация:
1. Общие характеристики пилоцитарной астроцитомы:
• Лучший диагностический критерий:
о Объемное образование мозжечка с кистозным и солидным интрамуральным компонентом, накапливающим контраст
о Увеличенный зрительный нерв/хиазма/трактс вариабельным контрастированием
• Локализация:
о Мозжечок (60%) > зрительный нерв/хиазма (25-30%) > ткани, прилегающие к III-му желудочку > ствол мозга
• Размеры:
о Крупные области поражения мозжечка, часто > 3 см
о Поражения оптического нерва обычно меньшего размера
• Морфология:
о Морфология опухоли часто определяется кистозным компонентом
о Хорошо отграниченное от окружающих тканей образование с удлинением времени Т2 от прилегающих структур от минимальной степени до его отсутствия
о Опухоли зрительного нерва обусловливаютего удлинение и расширение, что приводиткего перегибу в глазнице: симптом буквы "i"
2. КТ при пилоцитарной астроцитоме:
• Бесконтрастная КТ:
о Обособленное объемное образование с кистозным и солидным компонентами
о Перифокальный отек слабо выражен или отсутствует
о Солидный компонент гипо- или изоденсен по отношению к серому веществу (СВ)
о Са++ в 20% случаев, редко геморрагический компонент
о Часто вызывает обструктивную гидроцефалии в зависимости от локализации
• КТ с контрастированием:
о > 95% опухолей накапливают контраст (характер вариабелен):
- Неконтрастируемый кистозный компонент, выраженное контрастирование пристеночного солидного компонента в 50% случаев
- Солидный компонент с некротизированным центральным отделом, гетерогенный характер контрастирования в 40% случаев
- Солидный гомогенный компонент в 10% случаев
- Кистозный компонент может накапливать контраст на отсроченных изображениях
- Может наблюдаться некоторое контрастирование стенки кистозного компонента
3. МРТ при пилоцитарной астроцитоме:
• Т1-ВИ:
о Солидный компонент изо-/гипоинтенсивен по отношению к СВ о Содержимое кисты имеет сигнал от изо- до слегка гиперинтенсивного по отношению к спинномозговой жидкости (СМЖ)
• Т2-ВИ:
о Солидный компонент изо-/гипоинтенсивен по отношению к СВ о Содержимое кисты имеет сигнал от изо- до слегка гиперинтенсивного по отношению к СМЖ
о Зрительные пути имеют гиперинтенсивный по отношению к СВ сигнал
• FLAIR:
о Солидный компонент гиперинтенсивен по отношению к СВ
о Сигнал от содержимого кистозного компонента не подавляется: гиперинтенсивный по отношению к СМЖ сигнал
о Границы опухоли в области хиазмы/гипоталамуса у пациентов с нейрофиброматозом 1 типа (НФ1) определяются с трудом
• ДВИ:
о Степень диффузии в солидном компоненте опухоли сходна с СВ
• Постконтрастное Т1-ВИ:
о Интенсивное, но гетерогенное контрастирование солидного компонента
о Возможно контрастирование стенки кисты
о Редко: лептоменингеальные метастазы
о Зрительные пути: вариабельное контрастирование
• МР-спектроскопия: внешне высоко злокачественный характер спектра метаболитов:
о ↑ холина, ↓ NAA, ↑ лактата
о Парадоксальность признаков: МР-спектроскопия недостоверно отражает клиническое поведение опухоли

(а) МРТ, Т2-ВИ, аксиальный срез: у девушки 19 лет в лобной доле определяется гетерогенно гиперинтенсивное образование с умеренным перифокальным отеком.
(б) МРТ, постконтрастное Т1-ВИ, аксиальный срез: у той же пациентки определяется контрастирование центральной части и кистозного компонента опухоли.
Пилоцитарные астроцитомы наиболее часто локализуются в задней черепной ямке (60%) и зрительном нерве/хиазме (25-30%).
В супратенториальных отделах головного мозга пилоцитарная астроцитома (ПА) наиболее часто прилежит к III желудочку. Пилоцитарная астроцитома (ПА), локализующиеся в больших полушариях, встречаются редко.
Наличие кистозного и солидного компонентов являются типичным признаком подобных опухолей I степени злокачественности по классификации ВОЗ (grade I).
4. УЗИ при пилоцитарной астроцитоме:
• В-режим:
о Солидные компоненты гиперэхогенны по отношению к паренхиме мозга
о Кистозные компоненты могут содержать детрит
5. Ангиография при пилоцитарной астроцитоме:
• Рутинная ангиография: отсутствие сосудов в структуре образования:
о В солидном компоненте возможна неоваскуляризация
6. Радионуклидная диагностика. ПЭТ:
о При исследованиях с 18Г-флюородеоксиглюкозой (ФДГ) определяется увеличение опухолевого метаболизма в ПА
о Парадоксальность признаков: ПЭТ недостоверно отражает гистологическую характеристику опухоли
7. Рекомендации по визуализации пилоцитарной астроцитомы:
• Лучший инструмент визуализации:
о Постконтрастное МРТ
• Советы по протоколу исследования:
о Мультипланарное или 3D объемное постконтрастное изображение имеет ключевое значение для определения структуры образования и степени распространения

(а) МРТ, постконтрастное TIBIA, режим подавления сигнала от жира, аксиальный срез: у пациента с НФ1 и двусторонними глиомами зрительных нервов визуализируется характерная конфигурация внутриглазничной части зрительных нервов в виде букв "i", обусловленная их перегибом и удлинением в участке проксимальнее к глазному яблоку.
(б) МРТ, постконтрастное Т1-ВИ, режим подавления сигнала от жира, корональный срез: определяется выраженное контрастирование глиомы зрительного нерва.
Пилоцитарные астроцитомы зрительных нервов характеризуются вариабельной степенью контрастного усиления: от его отсутствия до высокоинтенсивного контрастирования. ПА зрительных путей часто сочетается с НФ1.
в) Дифференциальная диагностика пилоцитарной астроцитомы:
1. Медуллобластома (PNET-МБ):
• Гиперденсное контрастируемое объемное образование, располагающееся по срединной линии и заполняющее IV желудочек
• Солидные компоненты изоинтенсивы СВ на Т2-ВИ; 1 ИКД
• Более молодой возраст пациентов (2-6 лет)
2. Эпендимома:
• «Пластичная» опухоль, распространяется через отверстие IV желудочка
• Часто Са++, кистозные, геморрагические компоненты
• Гетерогенный характер контрастирования
3. Ганглиоглиома:
• Накапливающее контраст объемное образование с кистозным и солидным компонентами, расположенное в коре
• Часто Са++
• Обычно локализуется в височной или лобной долях
4. Гемангиобластома:
• Крупный кистозный компонент с небольшим контрастируемым пристеночным солидным узлом в периферических отделах мозжечка, связанный с питающим сосудом
• Опухоль взрослых
• Связана с болезнью Гиппеля-Линдау
5. Пиломиксоидная астроцитома:
• Опухоль области хиазмы/гипоталамуса младенческого возраста
• Солидный характер, накапливает контрастное вещество
• Более вероятна диссеминация, более агрессивный характер
6. Демиелинизация/воспаление:
• Воспаление зрительного нерва при обострении рассеянного склероза, остром диссеминированном энцефалите, псевдотуморозная форма могут имитировать глиому зрительного нерва
• «Псевдотуморозный» PC может имитировать полушарную ПА

(а) МРТ, Т2-ВИ, аксиальный срез: у юноши с мозжечковой симптоматикой в задней черепной ямке определяется отграниченное гиперинтенсивное на Т2-ВИ объемное образование.
Отсутствие перифокального отека характерно для пилоцитарной астроцитомы. На постконтрастных изображениях определялось контрастирование пристеночного солидного компонента.
(б) МРТ, постконтрастное T1-BИ, аксиальный срез: у ребенка определяется крупное объемное образование, состоящее из кистозного и солидного компонентов.
Обратите внимание на масс-эффект, оказываемый образованием на окружающие структуры. Крупные размеры и гетерогенный характер контрастирования образования могут наводить на мысль о его более высокой степени злокачественности.
При резекции была выявлена пилоцитарная астроцитома (ПА) grade I.
г) Патология:
1. Общие характеристики пилоцитарной астроцитомы:
• Этиология:
о Клетка-предшественник астроцитарного ряда
• Генетика:
о Синдромальная форма: связь с НФ1:
- У 15% пациентов с НФ1 развивается ПА, наиболее часто с локализацией в зрительном пути
- До 1/3 пациентов с ПА зрительного пути имеют НФ1
о Спорадический характер: потери гена-супрессора опухоли не выявлено
• Ассоциированные аномалии:
о Основная причина смертности при НФ1
о Часто является причиной обструктивной гидроцефалии
о Макроскопическая картина и выраженность клинической картины зависят от локализации опухоли
2. Стадирование и классификация пилоцитарной астроцитомы:
• Степень злокачественности I по классификации ВОЗ (grade I)
3. Макроскопические и хирургические особенности:
• Объемное образование мягкой консистенции серого цвета, хорошо отграниченное от окружающих тканей ± наличие кистозного компонента
4. Микроскопия:
• Классический двухфазный паттерн двух астроцитарных популяций:
о Компактно расположенные биполярные клетки с волокнами Розенталя
о Рыхло расположенные мультиполярные клетки с микрокистами, эозинофильными гранулярными телами
• Богатая васкуляризация с гломерулоидными признаками
• Опухолевая ткань может иметь признаки высокой степени злокачественности, однако относится к grade I
• Индекс пролиферативной активности по MIB-1 - 1%
• GFAP(+), IDHK-)
д) Клиническая картина:
1. Проявления пилоцитарной астроцитомы:
• Наиболее частые признаки/симптомы:
о Головная боль, тошнота и рвота (обусловлены гидроцефалией и повышением внутричерепного давления)
о Потеря зрения (при поражении зрительных путей)
о Атаксия, мозжечковая симптоматика (при поражении мозжечка)
о Судорожные приступы, очаговые неврологические симптомы, масс-эффект (при очагах поражения полушарий)
• Клинический профиль:
о Дети в возрасте 5-15 лет
о При тщательном сборе анамнеза обнаруживается длительное наличие симптомов: от месяцев до лет
2. Демография:
• Возраст:
о > 80% пациентов младше 20 лет
о Пик встречаемости: возраст 5-15 лет
- Старший возраст, характерного для медуллобластомы
• Пол:
о М = Ж
• Эпидемиология:
о 5-10% всех глиом
о Наиболее частая первичная опухоль мозга детского возраста (до 25% всех опухолей)
о Составляет 85% астроцитом задней черепной ямки у детей
4. Лечение пилоцитарной астроцитомы:
• Резекция при мозжечковой или полушарной локализации:
о Адъювантная химиотерапия или лучевая терапия применяются только при резидуальной прогрессирующей нерезектабельной опухоли
• При локализации в зрительном нерве/хиазме/гипоталамусе лечение часто не проводится:
о Наблюдательная тактика при стабильных или медленно прогрессирующих опухолях
о При нарушениях зрения могут рассматриваться циторедукция или паллиативная хирургия
о Лучевая или химиотерапия при прогрессировании заболевания
е) Диагностическая памятка:
1. Обратите внимание:
• Кистозное образование мозжечковой или супратенториальной локализации с накапливающим контрастное вещество солидным компонентом у детей, наиболее вероятно, является пилоцитарная астроцитома (ПА)
• В большинстве случаев у взрослых нет причин предполагать данный диагноз
• Редко манифестирует проявлением метастатического распространения через СМЖ или внутриопухолевым кровоизлиянием
2. Советы по интерпретации изображений:
• При поражении мозжечка дифференцируйте с медуллобластомой:
о ПА произрастает из полушария, компримирует IV желудочек, отграничена от окружающих тканей, на ДВИ схожа с СВ
• Признаки высокой степени злокачественности обманчивы:
о Контрастируемая внутримозговая опухоль с кистозным компонентом у детей, наиболее вероятно, является пилоцитарная астроцитома (ПА)
• Паттерн ПА при МР-спектроскопии противоречит клиническому поведению опухоли
Диагностика пилоцитарной астроцитомы на снимках МРТ и КТ головного мозга
Пилоцитарная астроцитома головного мозга — первая степень злокачественности астрацитомы (доброкачественная опухоль из астроцитов)., имеет чёткие границы, медленный рост.
- Пиковый возраст: 0-20 лет.
- Частота: 0,3% всех интракраниальных опухолей
- Распределение по полу: чаще у лиц мужского пола
- Гипоклеточная интрааксиальная опухоль, возникающая из астроцитов
- Низкая скорость митоза
- Частая локализация: субтенториальные отделы (мозжечок, мост)
- Супратенториальные опухоли обычно встречаются в области третьего желудочка или выше зрительного перекреста.
Клинические проявления
Признаки повышения внутричерепного давления:
- Рвота (особенно натощак)
- Головная боль
- Замедленное развитие
- Увеличение диаметра черепа
- Ригидность мышц шеи.
Функциональные нарушения со стороны каудального отдела ствола мозга:
- Парез отводящего нерва
- Нарушение сознания.
- Парезы
- Судорожные припадки
- Снижение остроты зрения
- Изменения личности
- Нарушения речи
- Снижение остроты зрения и дефекты поля зрения
- Эндокринная дисфункция
- Диэнцефальный синдром
- Парезы
- Инверсия ритма сна-бодрствования
Локализация в задней черепной ямке и в стволе мозга:
- Атаксия
- Нистагм
- Интенционный тремор
- Симптомы выпадения со стороны ассоциативных путей
- Нарушение регуляции жизненных центров
- Симптомы выпадения, наблюдающиеся при поражении черепных нервов
Какой метод диагностики пилоцитарной астроцитомы выбрать: МРТ или КТ
Метод выбора

Информативна ли КТ головного мозга при астроцитоме
- Кистозный (гиподенсный) и солидный (изоденсный) компоненты опухоли
- Могут наблюдаться кальцинаты
- Субтенториальные опухоли могут сдавливать четвертый желудочек и сильвиев водопровод, нарушая ликвороотток (расширение височных рогов боковых желудочков)
- Кровоизлияния встречаются редко.
Что покажут снимки МРТ головного мозга при астроцитоме
- Очаг с объемным воздействием незначительно выраженный перифокальный отек
- Т1-ВИ: киста, гипоинтенсивная по отношению к белому веществу, и изоинтенсивный солидный компонент опухоли
- Т2-ВИ: гиперинтенсивный кистозный и изоинтенсивный солидный компоненты опухоли
- FLAIR-изображение: гипоинтенсивный кистозный и гиперинтенсивный солидный компоненты опухоли
- Т1-ВИ после введения КС: выраженное асимметричное контрастное усиление.
Что хотел бы знать лечащий врач
- Объем
- Локализация
- Дифференциальная диагностика для исключения гемангиобластомы и глиобластомы
Какие заболевания имеют симптомы, схожие с пилоцитарной астроцитомой головного мозга
Гемангиобластома:
- Сходная картина при КТ и МРТ
- Астроцитома головного мозга обычно встречается у детей, тогда как гемангиобластома обычно поражает взрослых
Медуллобластома:
- Сходный пиковый возраст и локализация
- Обычно отсутствие кистозных компонентов при МРТ
- Контрастное усиление, как правило, не очень выражено
Эпендимома:
-Разный пиковый возраст
-Разная картина при МРТ
Глиобластома:
Метастазы:
- Контрастное усиление обычно асимметричное
- Редко встречаются у детей
Лимфома:
- Кистозный компонент обычно отсутствует.
Опухоли сосудистого сплетения:
- Обычно четко связаны с желудочковой системой.
Лечение
- Хирургическое удаление
- Лучевая терапия по показаниям.
Врачи каких специальностей диагностируют и лечат астроцитому
- Невропатолог –врач к которому изначально обратиться больной со своими жалобами (определение неврологического дефецита, подозрение на наличие новообразования в головном мозге)
- Врач функциональной диагностики (подтверждение диагноза с помощью дополнительных методов исследования)
Диагностика пиломиксоидной астроцитомы по КТ, МРТ
а) Терминология:
1. Сокращения:
• Пиломиксоидная астроцитома (ПмА)
• Миксоидный вариант пилоцитарной астроцитомы (ПА)
2. Определения:
• Опухоль с мономорфными пилоидными клетками, рассредоточенными по матриксу, богатому мукополисахаридами:
о Более агрессивная опухоль по сравнению с ПА, имеет высокий риск локального рецидива, диссеминации
2. КТ при пиломиксоидной астроцитоме:
• Бесконтрастная КТ:
о Наиболее часто равномерно гиподенсно
о В 20% определяется внуриопухолевое кровоизлияние:
- Гиперденсная зона
- Смешенная гипо-/гиперденсная зона
о Са++ встречается, но не характерна
• КТ с контрастированием:
о Интенсивное, но негомогенное контрастирование
о В 1/3 случаев наблюдается неравномерная центральная неконтрастируемая зона

(а) МРТ, FLAIR, аксиальный срез: у трехлетнего ребенка определяется крупное супраселлярное объемное образование в форме буквы «Н», прорастающее базальные ганглии и медиальные части височных долей. Опухоль достаточно хорошо визуализируется, несмотря на размеры. Признаки перифокального отека отсутствуют.
(б) МРТ, постконтрастное Т1-ВИ, аксиальный срез: у того же пациента отмечается интенсивное однородное контрастное усиление опухоли.
4. Другие методики исследования:
• МР-спектоскопия:
о ↑ пика Cho, ↓ пиков Cr и NAA ± лактат
о Некоторые авторы отмечают низкометаболитный МР-спектроскопический паттерн со ↓ пиков Cho, Cr, NAA
5. Рекомендации по визуализации:
• Лучший инструмент визуализации:
о МРТ с получением постконтрастных Т1-ВИ, ДВИ, Т2* (GRE или SWI), МР-спектроскопия

(а) Микропрепарат, полученный при биопсии: определяются опухолевые биполярные «пилоцитарные» клетки. Волокна Розенталя не визуализируются.
(б) Микропрепарат под высоким увеличением, окрашенный муцином: определяется муцинозный матрикс (синего цвета) с погруженными в него ядрами глиальных клеток. MIB1 повышен.
Окончательный диагноз - пиломиксоидная астроцитома (grade II).
в) Дифференциальная диагностика пиломиксоидной астроцитомы:
1. Пилоцитарная астроцитома:
• Дети более старшего возраста (средний возраст при постановке диагноза: 6 лет)
• ПмА обычно более гиперинтенсивна на T2-BИ/FLAIR (мукоидный матрикс)
• Геморрагический компонент, диссеминация через СМЖ нехарактерны
2. Диффузная астроцитома низкой степени злокачественности:
• Возрастной пик: 20-45 лет
• Полушария мозжечка, ствол мозга промежуточный мозг
• Не накапливает контраст
3. Мультиформная глиобластома:
• Часто кровоизлияние, некротический компонент
• Гипоталамус является редкой локализацией
• Пациенты обычно более старшего возраста
• Может развиваться из астроцитомы более низкой степени злокачественности
1. Общие характеристики пиломиксоидной астроцитомы:
• Генетика:
о При пиломиксоидной астроцитоме (ПмА) имеет место значительное отличие в эксперессии генов по сравнению с пилоцитарными астроцитомами (ПА):
- Чрезмерная экспрессия генов Н19, DACT2, коллагенов межклеточного вещества, IGF2BP3 (IMP3) при ПмА
- Вариабельная тенденция к «созреванию» до ПА
• Ассоциированные аномалии:
о Имеются данные о небольшом количестве случаев сочетания с нейрофиброматозом 1 типа
2. Стадирование и классификация пиломиксоидной астроцитомы:
• Степень злокачественности II по классификации ВОЗ (grade II) (ПА относятся к grade I):
о Grade III при наличии признаков анаплазии
о Злокачественная трансформация в мультиформную глиобластому (МГБ) (grade IV) встречается, но редко
• MIB1 обычно низкий (1-2%), но выше при анапластических плеоморфных ксантоастроцитомах
3. Макроскопические и хирургические особенности:
• Крупное объемное образование, макроскопически хорошо отграниченное от окружающих тканей
• Могут присутствовать некротический, геморрагический компоненты
4. Микроскопия:
• Классический двухфазный паттерн, наблюдаемый при ПА, отсутствует
• Состоит из мономорфных пилоидных опухолевых клеток:
о Расположены в миксоидном (богатом мукополисахаридами) межклеточном матриксе
о GFAP(+), vimentin (+)
• Примечательный ангиоцентрический характер роста (периваскулярные розетки):
о Пролиферация сосудов может быть выражена значительно о Часто инфильтрация прилегающих структур мозга опухолевыми клетками
о Некротический компонент наблюдается редко

(а) MPT, Т2-ВИ, аксиальный срез: у 20-месячного ребенка в супраселлярной области и медиальной части височной доли определяется крупное, массивное объемное образование. Очаги с укорочением Т2 в структуре образования могут отражать кровоизлияния (Т2* изображения получены не были).
(б) МРТ, постконтрастное Т1-ВИ, аксиальный срез: у того же пациента определяется смешанный (солидный и краевой) характер контрастного усиления. При биопсии были обнаружены удлиненные «пилоидные» клетки в матриксе, богатом муцином, что характерно для пиломиксоидной астроцитомы (ПмA).
1. Проявления пиломиксоидной астроцитомы:
• Наиболее частые признаки/симптомы:
о Признаки ↑ внутричерепного давления:
- Головная боль
- Тошнота, рвота
о Задержка в развитии
о Отставание в развитии (так называемый диэнцефальный синдром)
о Нарушения зрения
о Дисфункция гипоталамуса
• Другие признаки/симптомы:
о Судорожный синдром
о Очаговая неврологическая симптоматика
2. Демография:
• Возраст:
о Обычно: дети младенческого, младшего возраста (< 4 лет)
о Менее часто: дети более старшего возраста, молодые взрослые
о Редко: взрослые среднего возраста (до 46 лет)
• Пол:
о Незначительная предрасположеннось у мужчин (М:Ж = 4:3)
• Эпидемиология:
о Встречается редко; составляет < 1 % астоцитом
о 5-10% изначально диагностированных пилоцитарных астроцитом (ПА) могут на самом деле быть ПмА, особенно при наличии геморрагического компонента опухоли, ее обнаружении у детей очень молодого возраста
3. Течение и прогноз:
• Риск рецидива значительно выше по сравнению с ПА
• Диссеминация через СМЖ наблюдается часто
• Два варианта развития:
о Может «созреть» до ПА
о Может дедифференцироваться в МГБ
4. Лечение:
• Частичная резекция в сочетании с адъювантной терапией может увеличить срок выживаемости
е) Диагностическая памятка:
1. Обратите внимание:
• Предполагайте пиломиксоидную астроцитому если:
о У младенца или ребенка обнаруживается крупное/массивное или содержащее геморрагический компонент супраселлярное объемное образование
о Картина при визуализации не характерна для ПА (например, при наличии геморрагического компонента
• При диагностированной «пилоцитарной астроцитоме» с повторными рецидивами, диссеминацией через СМЖ необходимо проведести повторное гистологическое исследование и предполагать ПмА
2. Советы по интерпретации изображений:
• Супраселлярное объемное образование в форме буквы «Н» может являться ПмА
Диагностика астроцитомы низкой степени анаплазии на снимках МРТ и КТ головного мозга
Какой метод диагностики астроцитомы выбрать: МРТ, КТ, ангиография
Проводят ли КТ головного мозга при астроцитоме
- Гиподенсные по отношению к веществу головного мозга
- Кровоизлияния встречаются редко и являются симптомом опухоли высокой степени анаплазии
- Опухоль с объемным воздействием (менее отчетлива дифференцировка серого и белого вещества)
- Может наблюдаться компрессия желудочковой системы и прозрачной перегородки
- Контрастное усиление отсутствует.
Что покажут снимки МРТ головного мозга при астроцитоме низкой степени анаплазии
- Опухоль состоит из нескольких частей
- Обычно имеется опухолевое ядро
- Чем выше клеточность опухоли, тем больше ее сигнал напоминает серое вещество
- Опухоли малой клеточности выглядят гиперинтенсивными на Т2-ВИ и FLAIR-изображении, гипоинтенсивными на Т1-ВИ
- Выраженность перифокального внеклеточного вазогенного отека может варьировать
- Примерно 40% астроцитов II класса слабо накапливают КС
- Отсутствие контрастного усиления не исключает опухоли высокой степени анаплазии
- орЦОК аналогичен таковому нормальной ткани головного мозга
- ИКД может быть снижен.
- Классификация
- Размер опухоли
- Выраженность объемного воздействия
- Контрастное усиление
Какие заболевания имеют симптомы, схожие с астроцитомой
Глиомы высокой степени анаплазии:
- Обычно наблюдается повышение диффузии
Олигодендроглиомы:
- Характерны кальцинаты в опухоли, но их может и не быть
Менингоэнцефалит:
- Клинические признаки инфекции
-Характерные результаты исследования ЦСЖ
Абсцесс:
- ИКД обычно снижен в центральной зоне некроза
- Кольцевидное контрастное усиление
ОДЭМ:
- Типичные результаты исследования ЦСЖ
- Контрастное усиление в острой стадии
Рассеянный склероз:
- Данные клинического исследования
Ишемия:
- Обычно острое начало заболевания
- Судорожные припадки крайне редки
- Характерные диффузионно-взвешенные МР-изображения
Операция, лучевая терапия, и, в зависимости от стадии, химиотерапия
- Невропатолог (определение неврологического дефицита)
- Нейрохирург (определение тактики лечения)
- Онкология (подбор химиотерапии)
- Врач функциональной диагностики (дифференцировка заболевания)
Прогноз
В 50% случаев наблюдается малигнизация опухоли с неблагоприятным прогнозом.
Возможные осложнения и последствия
- Рецидив
- Парез/паралич конечностей
- Нарушение слуха

Первичная опухоль (глиома)низкой степени анаплазии. КТ, аксиальный срез (а) и МРТ, Т2-ВИ в аксиальной плоскости (b). Интрааксиальная опухоль лобной доли, гиподенсная при КТ (а), гиперинтенсивная на Т2-ВИ (b).
Статья написана по книге Власова Е.А. "Опухоли мозга. КТ- и МРТ-диагностика" посмотреть / заказать
Определение
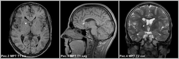
Субэпендимарная солидная опухоль у монроева отверстия (головки стрелок на рис.1), может содержать обызвествления, встречается у 15% больных туберозным склерозом.

Эпидемиология
Морфология
Субэпендимарная гигантоклеточная астроцитома (СГА) представляет собой округлое образование, расположенное в боковом желудочке у монроева отверстия, имеет четкие и ровные контуры, структура которого относительно однородная, однако очень часто содержит петрификаты. Кисты не характерны. Опухоль может вызвать гидроцефалию вследствие обструкции отверстий Монро. Перифокального отека нет, но при окклюзии может быть перивентрикулярный отек белого вещества от трансэпендимарного ликворного пропитывания (следствие гидроцефалии).
На Т1 и Т2 → серому веществу головного мозга, ↑Flair, а при наличии петрификатов могут быть участки↓МР-сигнала. На КТ опухоль → веществу головного мозга. Размер не менее 12 мм в диаметре и демонстрация роста на серии исследований наводит на мысль о СГА [137].

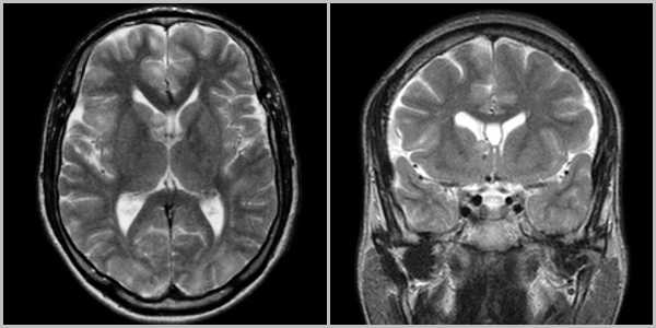
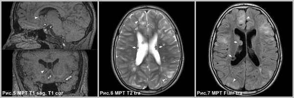
Рис.2,3,4. Субэпендимарная гигантоклеточная астроцитома в области отверстия Монро (головки стрелок на рис.2-4).
Стоит отметить, что СГА встречается только у больных с наследственным факоматозом - туберозный склероз (болезнь Бурневилля-Прингла), но возникает лишь в 15%.

Рис.5,6,7. Субэпендимарная гигантоклеточная астроцитома у межжелудочкового отверстия Монро в правом боковом желудочке (головка стрелки рис.5). Субкортикальные очаги гипомиелинизации (головки стрелок рис.5-7) и субэпендимарные узлы (стрелки на рис.6-7).
Субэпендимарная астроцитома возникает из субэпендимарного узла, рядом с отверстием Монро, отличается от других узлов тем, что накапливает контраст, имеет больший размер и растет. Таким образом, пациентам с подтвержденным диагнозом болезни Бурневилля-Прингла необходимо проводить МРТ с контрастом по меньшей мере 1 раз в год, по крайней мере, до 20 лет. Субкортикальные очаги повышенной интенсивности МР-сигнала по Т2 и Flair являются участками гипомиелинизации и глиоза [79]. Субэпендимарные узлы состоят из глиальных клеток и гигантских или многоядерные клеток, покрытых слоем эпендимы [137].
Сопутствующие изменения при туберозном склерозе

Рис.8,9,10. Почечные гамартомы в корковом веществе почки (головки стрелок рис.8). Поликистоз почек, ассоциированный с болезнью Бурневилля (рис.9). Ангиомиолипома правой почки - участок жировой плотности в корковом и мозговом слое (головка стрелки рис.10).
Внешние проявления - гипопигментные пятна на коже и ангиофибромы лица. Сопутствующие заболевания внутренних органов включают: ангиомиолипому (рис.9), гамартомы (рис.8) и поликистоз почек (рис.10), а так же рабдомиому сердечной мышцы. Таким образом, при обнаружении признаков болезни Бурневилля-Прингла на обследовании головного мозга требуется обследование забрюшинного пространства (УЗИ, МРТ или КТ) и сердца (ЭхоКГ или МРТ). Обратное утверждение так же верно [137].
Контрастное усиление
Контрастирование умеренно выраженное неоднородное [2].
Дифференциальный диагноз
Субэпендимарные узлы при туберозном склерозе подробнее
Субэпендимарная гигантоклеточная астроцитома встречается исключительно у больных туберозным склерозом и не может возникать сама по себе, в связи с чем является редкостью, что стоит учитывать при проведении дифференциального диагноза. Приведенное разнообразие случаев призвано, в большей степени, увеличить компетентность врача при обнаружении образований в указанной области, чем составить конкуренцию субэпендимарной гигантоклеточной астроцитоме при проведении дифференциального диагноза.

При решении в пользу СГА стоит ориентироваться на типичное расположение образования, наличие подтвержденного или очевидного фонового заболевания (туберозного склероза) по субкортикальным участкам уплотнения (рис.80) и субэпендимарным узлам (рис.79, 81).
Коллоидная киста III желудочка
Коллоидная киста имеет ↑плотность на КТ и повышенный МР-сигнал по Т1 за счет содержания большого количества протеина и располагается в III желудочке.
Солитарный метастаз
Метастаз в эту область хоть и редкое, но возможное явление, имеет перифокальный отек и быструю динамику роста, а так же отсутствуют обызвествления и другие признаки болезни Бурневилля-Прингла. Метастазы в мозг встречаются чаще во взрослом возрасте, а СГА у детей и подростков. Метастазы в 70% множественные и только в 30% солитарные. Кроме того, при подозрении на метастаз рекомендуется проведение скринингового обследования органов-источников (легких, молочной железы, кожи, ЖКТ, почек), анализы на маркеры, сцинтиграфию или ПЭТ-КТ.
Субэпендимарная гетеротопия серого вещества
Гетеротопию серого вещества стоит дифференцировать с туберозным склерозом, паравентрикулярные узлы не достигают размеров СГА, однако могут ее симулировать. Динамическое наблюдение демонстрирует отсутствие увеличения дистопированных участков серого вещества, которые, кроме того, не содержат кальцинатов.
Эпендимарная киста
Эпендимарная киста обладает всем набором характеристик кист головного мозга: однородное ликворное содержимое, четкие контуры с тонкой стенкой, не контрастируется и зачастую не имеет динамики роста, при отсутствии клапанного механизма поступления ликвора в ее полость.
Субэпендимома
Субэпендимома встречается как случайная находка с пиком диагностики у пожилых людей, располагается так же в боковых желудочках и может иметь петрификаты, однако нет никаких проявлений туберозного склероза.
Пилоцитарная астроцитома прозрачной перегородки
Астроцитома прозрачной перегородки может обладать всеми признаками СГА, отличительными признаками являются остальные проявления фонового заболевания и гистологическая экспертиза.
Хориоидпапиллома
Представляет собой объемное образование, расположенное в полости желудочковой системы, связано с сосудистой основой и сочетается с гидроцефалией, так как обладает повышенной продукцией ликвора. Это опухоль раннего детского возраста.
Центральная нейроцитома
Центральная нейроцитома характера для подросткового возраста и встречается у молодых взрослых, а так же содержит кисты, не имеет признаков, характерных для Туберозного склероза.
Клиническая картина, лечение и прогноз
Наличие СГА может быть клинически немым, однако расположение в области отверстия Монро делает его потенциально опасным, в ходе роста может вызывать окклюзию ликворотока с возникновением симптомов внутричерепной гипертензии. Образование имеет крайне низкую скорость роста и не перерождается в злокачественную опухоль. Основным лечением является хирургическое удаление, которое показано, если опухоль является симптоматической, или демонстрирует рост в ряде МРТ исследований [64,82,22,83,92,126,166]. Несмотря на обычно доброкачественное биологическое поведение, СГА редко может пройти анапластическую дегенерацию, показывая быстрый рост, инфильтрацию рядом расположенных структур мозга, и перифокальный отек. Предполагается, что визуализация должна выполняться каждые 12 месяцев в течение пикового периода заболеваемости (между 8 и 18 годами). То же самое касается пациентов с известным наличием СГА [137].
Литература
- Parker D. R. Neuroradiology case of the day. Central neurocytoma // AJR Am. J. Roentgenol. —
- — Vol. 156 (6). — P. 1311—1313.
- Imhof H. [et al.]. Spinal imaging / with contributions by Benjamin Halpernю — Stuttgart; New York : Thieme, 2008. — 302 p.
- Bonneville F., Sarrazin J. L., Marsot-Dupuch K. [et al.]. Unusual lesions of the cerebellopontine angle: a segmental approach. // Radiographics. — Vol. 21 (2). — P. 419—438.
- Gl sker S., Van Velthoven V. Risk of hemorrhage in hemangioblastomas of the central nervous system // Neurosurgery. — 2005. — Vol. 57 (1). — P. 71—76.
- Jung C. S., Foerch C., Sch nzer A. [et al.]. Serum GFAP is a diagnostic marker for glioblastoma multiforme // Brain. — 2007. — Vol. 130 (Pt). — P. 3336—3341.
- Kahan H., Sklar E. M., Post M. J. [et al.]. MR characteristics of histopathologic subtypes of spinal ependymoma // AJNR Am. J. Neuroradiol. — 1996. — Vol. 17 (1). — P. 143—150.
- Koeller K. K., Rosenblum R. S., Morrison A. L. Neoplasms of the spinal cord and filum terminale: radiologic-pathologic correlation // Radiographics. — 2000. — Vol. 20. — P. 1721—1749.
- Moon W. K., Chang K. H., Han M. H. [et al.]. Intracranial germinomas: correlation of imaging findings with tumor response to radiation therapy // AJR Am. J. Roentgenol. — 1999. — Vol. 172 (3). — P. 713—716.
- Smirniotopoulos J. G., Rushing E. J., Mena H. Pineal region masses: differential diagnosis // Radiographics. — 1992. — Vol. 12 (3). — P. 577—596.
Источник
Полная или частичная перепечатка данной статьи, разрешается при установке активной гиперссылки на первоисточник
- вы потеряли описание вашего МРТ или КТ,
- врача не устроило описание вашего МРТ или КТ
- вы сомненеваетесь в выводах по результатам вашего МРТ,
Похожие статьи
Субэпендимома - внутрижелудочковая ячеистого строения опухоль, расположенная чаще на прозрачной перегородке или в IV желудочке, содержит петрификаты и имеет доброкачественное течение.
Папиллома сосудистого сплетения (хориоидпапиллома) - внутрижелудочковая опухоль, возникающая из сосудистого сплетения, сопровождающаяся внутренней гидроцефалией на фоне гиперпродукции ликвора, поражающая, преимущественно детей.
Центральная нейроцитома - кистозно-солидное объёмное образование, расположенное в боковом желудочке, связанное с прозрачной перегородкой, сопровождающееся расширением желудочковой системы.
Контрастное усиление менингиом
В большинстве менингиомы гомогенно интенсивно накапливают контраст с ранней артериальной фазы и длительно сохраняют его. На фоне адсорбции контраста контуры опухоли четко дифференцируются от мозгового вещества, что позволяет точно высказаться о размерах опухоли, ее структуре, распространении и количестве опухолевых узлов.
Аденома гипофиза
Аденома гипофиза чаще диагностируется у подростков и взрослых, преимущественно, в виде крупного солидного образования, с распространением за пределы турецкого седла - макроаденомы или в виде очага в гипофизе – микроаденома
Краниофарингиома
Краниофарингиома (КФ) - опухоль, растущая из селлярной области или в полости III желудочка, встречается у детей и стариков, имеет вид кистозного или кистозно-солидного образования, часто содержащие петрификаты в строме образования .
Контрастное усилением метастазов в головном мозге
На сегодняшний день Т1 с контрастным усилением представляет собой лучший метод для обнаружения метастазов в головном мозге [4, 27, 151]. Повышение может быть однородным, точечным или кольцевидным, но оно, как правило, интенсивное [50].
Коллоидная киста III желудочка - дисэмбриогенетическое доброкачественное образование с эпителиальной выстилкой и коллоидным содержимым, иногда с тенденцией к увеличению и, как следствие - окклюзия отверстий Монро с развитием гидроцефалии.
Читайте также:
