Диагностика саркомы легочной артерии на рентгене, КТ, МРТ
Добавил пользователь Евгений Кузнецов Обновлено: 18.12.2025
Тромбоэмболией легочной артерии (ТЭЛА) называется состояние закупорки легочной артерии или её ветвей тромбами, которые образуются чаще в крупных венах нижних конечностей или правых камерах сердца, и приносятся в легочную артерию с током крови. Более широкий термин «легочная эмболия» означает закупорку сосуда любыми другими возможными субстанциями наряду с тромбом (воздушная эмболия, жировая эмболия, опухолевая эмболия и т.д.). Отсутствие кровотока по закупоренному сосуду приводит через определенное время к инфаркту легкого — некрозу пораженного участка.
Клинические проявления тромбоэмболии легочной артерии (ТЭЛА) впервые были описаны в начале 19 века; впервые связь между венозным тромбозом и ТЭЛА была обозначена фон Вирховым. В 1922 г. Уортон и Пирсон сообщили, что впервые описали рентгеновские признаки ТЭЛА.
Сделать КТ легочных артерий в Санкт-Петербурге
Существуют три основных фактора, предрасполагающих к формированию тромбов, которые также называются триадой Вирхова:
Повреждение эндотелия сосудов.
Стаз или турбулентный ток крови.
Повышенная свертываемость крови.
В более чем 90% случаев тромбы возникают в крупных глубоких венах нижних конечностей, обычно в подколенной вене и крупных венах, расположенных выше. Патофизиологические последствия во многом зависят от состояния сердечно-сосудистой системы, размера эмбола, которым, соответственно, определяется калибр легочной артерии, где происходит закупорка.
Насколько опасна тромбоэмболия?
Опасное состояние, угрожающим жизни пациента и требующим незамедлительных шагов по диагностике и лечению. Летальность, составляет приблизительно 2–6% у пациентов со стабильной гемодинамикой, и достигает 30% и больше у пациентов с нарушениями гемодинамики. С внедрением КТ-ангиографии уровень летальности пациентов, у которых была выявлена ТЭЛА, снизился с 5,7% до 3,3%.
Методы диагностики тэла
Лучевые методы исследования играют важную роль в диагностике ТЭЛА. В течение многих лет основным методом визуализации при исследовании пациентов с этим диагнозом была вентиляционно-перфузионная сцинтиграфия. Однако, в связи с появлением и общедоступностью более быстрых компьютерных томографов, компьютерная томография стала важным методом диагностики не только ТЭЛА, но и тромбоза глубоких вен нижних конечностей.
У пациентов с подозрением на этот диагноз выполняется рентгенография органов грудной клетки; при обнаружении патологических изменений требуется выполнение спиральной КТ, если патологических изменений не выявлено, выполняется вентиляционно-перфузионная сцинтиграфия. Количественный анализ на D -димер, согласно результатам исследований, характеризуется высокой прогностической ценностью отрицательного результата, и в некоторых случаях позволяет исключить необходимость выполнения КТ-ангиографии.

КТ-признаки ТЭЛА. На КТ-ангиограмме, выполненной 53-летнему пациенту, визуализируется внутрипросветный дефект наполнения; имеет место окклюзия артерии переднего базального сегмента нижней доли правого легкого. Определяются также признаки инфаркта правого легкого в виде участка консолидации треугольной формы, широким основанием обращенного к плевре (бугорок Хэмптона).
Традиционная ангиография легочных артерий, выполняемая в условиях рентген-операционной, является инвазивным, долгим, и более дорогим методом исследования. Эта процедура имеет ограниченное применение и должна используется только у пациентов, у которых другие методики не позволяют установить диагноз. У пациентов с подозрением на тромбоз глубоких вен обследование должно начинаться с УЗИ нижних конечностей.
В условиях повышенного риска ухудшения состояния пациента важное значение имеет правильная интерпретация лучевых исследований. В сложных и противоречивых случаях может помочь повторный анализ результатов КТ профильным специалистом: такая консультация повышает точность диагностики и снижает риск диагностической ошибки. В России существует служба удаленных консультаций радиологов — Национальная телерадиологическая сеть.
ОГРАНИЧЕНИЯ МЕТОДОВ ДИАГНОСТИКИ
Метод вентиляционно-перфузионной сцинтиграфии может не показывать достоверных признаков ТЭЛА.
Для проведения спиральной КТ-ангиопульмонографии необходимо использование йодсодержащего контрастного вещества, что может быть невозможно у пациентов с нарушенной функцией почек или аллергическими реакциями на контрастный препарат.
При КТ-ангиографии могут быть пропущены мелкие тромбы в субсегментарных ветвях легочных артерий. Поэтому оценить тромбоэмболию мелких ветвей по КТ бывает сложно.
По сравнению с КТ, выполнение традиционной субтракционной ангиографии (DSA) требует большей компетентности и специальных знаний со стороны персонала. Также этот метод является инвазивным, более дорогим, менее доступным и требующим значительных затрат времени. К тому же, центральные муральные тромбы, легко различимые на КТ, могут быть пропущены при традиционной ангиопульмонографии.
Рентгенография легких при тэла
Патологические изменения на рентгенограммах органов грудной клетки обнаруживаются в большинстве случаев ТЭЛА, однако не являются специфическими. Наиболее часто определяющиеся на рентгенограммах патологические изменения включают в себя ателектаз (спадение) части легкого, плевральный выпот, снижение прозрачности легочной ткани, а также высокое стояние правого или левого купола диафрагмы. Классическими рентгеновскими признаками инфаркта легкого является наличие затемнения клиновидной (треугольной) формы, широким основанием обращенного к плевре, верхушка которого направлена к корню легкого (бугорок Хэмптона), либо уменьшение выраженности сосудистого легочного рисунка в зоне тромбоэмболии (симптом Вестермарка).
Другими изменениями на рентгенограммах, обнаруживаемыми при ТЭЛА, являются расширение центральной легочной артерии с резким ее обрывом – «обрубленные корни», увеличение размеров сердца (особенно его правых отделов), а также признаки отека легких. Эти изменения могут сочетаться с острой клинической симптоматикой легочного сердца. Отсутствие изменений на рентгенограмме органов грудной клетки у пациента с выраженным нарушением дыхания и гипоксемией, но без признаков бронхоспазма, либо атипичного кровотока в сердце, крайне подозрительно на ТЭЛА. В целом, рентгенография органов грудной клетки не может использоваться для того, чтобы подтвердить или опровергнуть диагноз ТЭЛА; тем не менее, рентгенография и ЭКГ могут быть полезны для подтверждения альтернативного диагноза.
Компьютерная томография (КТ) в диагностике тэла
Техническое развитие метода КТ, особенно, появление и внедрение мультидетекторных аппаратов (МСКТ), привело к тому, что компьютерная томография стала важным методом диагностики при подозрении на ТЭЛА. КТ с контрастным усилением все чаще используется в качестве первичного метода исследования при ТЭЛА, особенно у тех пациентов, у которых при рентгенографии органов грудной клетки были выявлены патологические изменения, а результаты сцинтиграфического исследования не представляют диагностической ценности.
При КТ-ангиопульмонографии можно визуализировать эмболы непосредственно, к тому же, этот метод является неинвазивным и несложным в применении. В последние годы компьютерные томографы установлены почти во всех крупных стационарах, поэтому метод является относительно доступным. Также, КТ позволяет получить дополнительную информацию касательно альтернативного диагноза, что является большим преимуществом этого метода диагностики перед классической ангиопульмонографией и сцинтиграфией.

Спиральная КТ с контрастным усилением позволяет законтрастировать просвет легочных сосудов и увидеть тромб в их просвете. У молодого мужчины после межконтинентального перелета возникла острая боль в груди и нарушение дыхания. КТ визуализирует тромб в артерии переднего сегмента верхней доли левого легкого ( LA 2) и артерии переднего сегмента верхней доли правого легкого ( RA 2).

КТ при хронической тромбоэмболии у 69-летнего пациента с легочной артериальной гипертензией. На томограмме визуализируется пристеночный тромб с наличием точечных кальцинатов, располагающийся параллельно передней стенке правой нижней междолевой артерии.
В большинстве случаев, когда на КТ обнаруживаются положительные признаки ТЭЛА, эмболы являются множественными, а внутрипросветные дефекты наполнения сосудов (дефекты контрастирования) визуализируются в более крупных центральных артериях, а также в сегментарных и субсегментарных сосудах. Чаще всего эмболы обнаруживаются с обеих сторон и локализуются в нижнедолевых артериях. Явный дефект наполнения в единственном сегментарном или (особенно) субсегментарном сосуде бывает сложно распознать. Необходимо учитывать, что за дефект наполнения субсегментарной артерии могут приниматься артефакты, связанные с эффектом частичного объема.
Поскольку тромбоз глубоких вен и ТЭЛА являются частными моментами единого заболевания, после КТ-ангиопульмонографии может выполняться КТ-венография без дополнительного введения контрастного вещества. При этом время исследования увеличится всего лишь на несколько минут.
Сделать КТ-ангиопульмонографию в Санкт-Петербурге
Возможные ошибки КТ в диагностике тэла
Что касается ТЭЛА крупных (центральных) ветвей легочных артерий, то чувствительность спиральной КТ в обнаружении тромбоэболии приближается к 100%. Что же касается субсегментарных и мелких ветвей, здесь чувствительность колеблется от 5% (согласно результатам исследования PIOPED ) до 36% в других исследованиях. Истинное значение мелких эмболов точно не подтверждено, тем не менее, тромбоэмболия мелких ветвей легочных артерий может иметь клиническое значение у пациентов с ограниченным кардиопульмональным резервом.
Традиционная ангиопульмонография позволяет более детально оценить субсегментарные сосуды по сравнению с КТ, однако, наложения, возникающие при визуализации мелких сосудов, остаются ограничивающим фактором. В результате, согласованность данных различных исследований для изолированной субсегментарной ТЭЛА составляет только 45%.
Согласно результатам исследований, благоприятный клинический исход достигался у пациентов (с прогностической ценностью отрицательного результата, равной 99%), у которых результаты КТ были интерпретированы как отрицательные в отношении ТЭЛА, и которым не проводилась антикоагуляционная терапия либо катетерный тромболизис. Исход был аналогичен таковому у пациентов, у которых имелось клиническое подозрение, но эмболы не были обнаружены при легочной ангиографии. Следовательно, несмотря на то, что некоторые мелкие эмболы могут быть пропущены на КТ, уровень заболеваемости, обусловленной ТЭЛА, не является высоким.
Современные мультидетекторные компьютерные томографы характеризуются значительно более высокой скоростью сканирования, позволяя выполнять тонкосрезовую (1,25 мм) спиральную КТ-ангиопульмонографию во время непродолжительной задержки дыхания (10-15 секунд). При этом сегментарные и субсегментарные сосуды становятся лучше различимыми, изменения легче интерпретировать; улучшается также согласованность результатов различных исследований.
И, хотя применение МСКТ увеличивает диагностические возможности, большое количество данных (так, при КТ-ангиопульмонографии с использованием тонких срезов, выполненной на томографе с 16 рядами детекторов, получается 500–600 срезов) приводит к повышению нагрузки на любую систему, предназначенную для анализа и архивирования информации. В будущем, появление автоматических алгоритмов обнаружения и более широкое использование реконструкций с использованием проекций максимальной интенсивности ( MIP ) будет полезно для идентификации эмболов в легочных артериях на основании большого объема данных, полученных при МСКТ.
Возможные ошибки при интерпретации результатов КТ обусловлены эффектом частичного объема: наложением периваскулярных мягких тканей, зон ветвления бронхов, и кровеносных сосудов, идущих не в вертикальном направлении. Так, лимфоидная и соединительная ткань, расположенная преимущественно вблизи крупных сосудов, между артерией и стенкой бронха, может быть ошибочно принята за тромб.
Артефакты, обусловленные током крови и движением, могут приводить к возникновению ложных дефектов наполнения: вероятность их наличия необходимо учитывать при оценке качества исследования и анализе полученных данных. Ложные дефекты наполнения, обусловленные током крови, могут также возникать при КТ-венографии, обуславливая ложноположительный результат.
МРТ в диагностике ТЭЛА
Согласно результатам небольшого количества исследований, МРТ можно использовать в диагностике ТЭЛА. В то же время, применение МРТ ограничено; этот метод используется в основном для пациентов с нарушением функции почек или при наличии противопоказаний к введению йодсодержащих контрастных веществ. Применение новейших интраваскулярных контрастных средств и методов, нивелирующих помехи от дыхательных движений, позволяет сделать роль МРТ в диагностике ТЭЛА более значимой.
С целью оценки чувствительности и специфичности МР-ангиографии изолированно и в сочетании с МР-венографией при диагностике ТЭЛА и тромбоза глубоких вен было проведено мультицентровое исследование PIOPED III . Это исследование – первая масштабная попытка оценки использования МРТ для диагностики ТЭЛА. Согласно выводам, полученным в результате исследования, технически правильно выполненная МР-ангиопульмонография изолированно характеризуется чувствительностью 78% и специфичностью 99%, в то время как комбинация МР-ангиопульмонографии и МР-венографии показывает чувствительность, равную 92%, и специфичность 96%, но в то же время у 52% пациентов (у 194 из 370) полученные результаты были некорректны из-за технических причин. По итогам исследования PIOPED III был сделан вывод, что, несмотря на преимущества МРТ, неправильная техника выполнения исследования у 25% всех пациентов ограничивает широкомасштабное применение МР-ангиопульмонографии и МР-венографии в диагностике ТЭЛА.
Сцинтиграфия и ангиография при ТЭЛА
В многоцентровом исследовании PIOPED (1990 г.) изучалось применение вентиляционно-перфузионной сцинтиграфии и ангиопульмонографии; было обнаружено, что нормальные результаты вентиляционно-перфузионной сцинтиграфии практически исключают ТЭЛА, а изменения высокой степени достоверности практически подтверждают диагноз. Тем не менее, диагноз ТЭЛА был подтвержден либо исключен только лишь у 174 пациентов из 713 (24%) – у тех, клинические симптомы которых четко соотносились с изменениями на сканах. У большинства пациентов, в т. ч., у тех, у кого имелись сердечно-легочные заболевания, лежащие в основе возникновения ТЭЛА, результаты вентиляционно-перфузионной сцинтиграфии были сомнительными либо не имели диагностической ценности, что требовало выполнения дополнительных исследований. Исходя из этого, у пациентов с наличием патологических изменений на рентгенограммах органов грудной клетки, предпочтительным первичным скрининговым методом диагностики оказывается КТ, а не сцинтиграфия.
Лечение тэла
Основным лечением тромбоэмболии является применение антикоагулянтов, препятствующих свертыванию крови. Антикоагулянты предотвращают образование тромбов и снижают риск развития новых сгустков.
В более тяжелых случаях могут потребоваться другие методы лечения, направленные на устранение или удаление имеющихся тромбов. Это достигается с помощью тромболитиков, или, реже, хирургическим вмешательством.
Около половины всех случаев легочной эмболии встречаются у пациентов, уже находящихся на стационарном лечении. Если на время обнаружения эмболии пациент еще не находится в больнице, требуется экстренная госпитализация.
При своевременно начатом лечении прогноз при ТЭЛА намного более благоприятный, хотя в целом летальность сохраняется довольно высокой.
Необходимым условием успешного лечения является точная диагностика. При неоднозначных или противоречивых результатах КТ полезным может быть второе мнение.
Диагностика тромбоэмболии легочной артерии на снимках МРТ и КТ грудной клетки
Какой метод диагностики тромбоэмболии выбрать: МРТ, КТ, ЭХО-КГ, рентген
Метод выбора
- КТА предпочтительнее для диагностики и оказания неотложной помощи при признаках тромбоэмболии легочной артерии
- В меньшей степени определение вентиляционно-перфузионного соотношения (сцинтиграфия легких).
Что покажет рентген грудной клетки при ТЭЛА
Неспецифические неубедительные данные:
- пластинчатые ателектазы
- Высокое стояние диафрагмы
- Скопление жидкости в плевральной полости
- Регионарная олигемия (симптом Вестермарка)
- Иногда развивается инфаркт легкого, который проявляется на рентгенограмме в виде клиновидного затемнения, обращенного основанием к плевре.
Что покажет КТ-ангиография при тромбоэмболии легких
- При КТ можно непосредственно визуализировать тромбоэмболы в легочных артериях (дефекты наполнения).
Что покажут снимки перфузионной радионуклидной визуализации
Отличительные симптомы тромбоэмболии легочной артерии
- Дефект наполнения артерии при введении контрастного вещества
- Признаки перегрузки правых отделов сердца.
Клинические проявления
- У 80% больных тромбоэмболия легочной артерии протекает бессимптомно, что затрудняет диагностику и оказание неотложная помощь при признаках тромбоэмболии легочной артерии
- Типичная триада симптомов тромбоэмболии легочной артерии - боль в груди, дыхательная недостаточность и кровохарканье - отмечается лишь у 5% больных
- Тромбоз глубоких вен нижних конечностей и вен таза выявляют менее чем у 50% больных.
Тактика лечения тромбоэмболии легочной артерии
- Антикоагулянтная и тромболитическая терапия
- Если лечение тромбоэмболии легочной артерии не предотвращает эпизоды тромбоэмболии или противопоказано, имплантируют кава-фильтр.

Массивная двусторонняя ТЭЛА у мужчины 79 лет с острым коронарным синдромом. При КТА удалось выявить тромбы, не полностью перекрывающие кровоток в главных ветвях легочной артерии, а также в верхне- и нижнедолевой и сегментарных ветвях легочной артерии. На обзорной рентгенограмме грудной клетки патологические изменения отсутствовали.

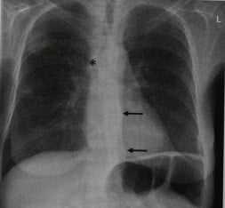
Инфаркт легкого у женщины 47 лет с недостаточностью протеина S. На обзорной рентгенограмме грудной клетки виден клиновидный участок слабо выраженного затемнения в базальном отделе и второй участок затемнения меньших размеров в среднем отделе правого легочного поля, соответствующие инфарктной пневмонии. У больной в анамнезе тромбоэмболический синдром, который вызвал окклюзию нижней полой вены. В результате развития коллатерального кровообращения расширилась непарная вена (звездочка, стрелки).
Течение и прогноз тромбоэмболии легочной артерии
- Если лечить больных, прогноз тромбоэмболии легочной артерии обычно благоприятный
- Без лечения примерно 20% больных с тромбоэмболии легочной артерии умирают.
Что хотел бы знать лечащий врач
- Подтвердить или исключить ТЭЛА
- Степень тяжести (одно- или двусторонняя тромбоэмболия?, центральная или периферическая?).
Какие заболевания имеют симптомы, схожие с тромбоэмболией легких
Пневмония
- При выявлении неспецифического затемнения в легких следует исключить ТЭЛА
Диагностика саркоидоза на КТ и МРТ снимках легких
Саркоидоз - системное гранулематозное заболевание неясной этиологии.
- Прогноз зависит от тяжести поражения легких.
- Симптомы саркоидоза легких часто не выявляются
- В процесс вовлекаются многие органы
- Системное заболевание неясной этиологии
- В 90% случаев при саркоидозе поражаются легкие
- Образование гранулем без творожистого распада
- Болеют лица в возрасте 20-40 лет
- Женщины болеют чаще мужчин.
Какой метод диагностики саркоидоза выбрать: МРТ, КТ, рентген
Методы выбора
- Рентгенография.
- КТ (более предпочтительна).
Что покажет рентген грудной клетки при саркоидозе
- Двусторонние прикорневые и медиастинальные (паратрахеальные) лимфомы (в 80% случаев саркоидоза)
- Изменения в легких (у 20% больных): сетчатоузелковые затемнения, инфильтраты в сочетании с «воздушной бронхограммой», фиброз
- У 10% больныхс саркоидозом изменения на рентгенограммах отсутствуют.
Что покажут снимки КТ грудной клетки при саркоидозе легких
- Очаговые узелковые поражения (1-5 мм) с центролобулярным, периваску- лярным и перилимфатическим распределением
- В некоторой степени характерно расположение узелков группами или вдоль бронхов и сосудов
- Чаще поражаются задний сегмент верхней доли и верхний сегмент нижней доли
- Менее характерны консолидации с симптомом «воздушной бронхограммы», фиброз с образованием кист и тракционные бронхоэктазы.
Специфичные симптомы
- Симметричное двустороннее увеличение прикорневых и медиастинальных (паратрахеальных) лимфатических узлов
- Гранулематозные изменения легочной паренхимы
- На поздней стадии саркоидоза превалирует фиброз верхней доли.
- Изменения выявляют случайно у больных с бессимптомным течением саркоидоза или незначительных симптомах саркоидоза легких - жалобах на повышенную утомляемость, похудание, повышение температуры тела, кашель
- Узловая эритема
- Увеит
- Артрит.
Тактика лечения саркоидоза
- Глюкокортикоидная терапия
- При легком течении лечение не назначают.
Течение и прогноз
- У большинства больных саркоидозом прогноз благоприятный, и в течение 2 лет наступает полная ремиссия
- Примерно у 20% больных развивается необратимый фиброз легких.

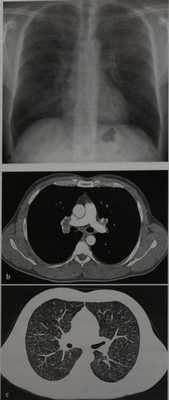
Саркоидоз с поражением легких (11-111 стадия) у мужчины 36 лет, обратившегося с жалобами на боль в груди, не сопровождавшуюся одышкой и повышением температуры тела, а На обзорной рентгенограмме грудной клетки видны двусторонняя прикорневая лимфаденопатия и мелкие узелковые затемнения в основном в верхнем и среднем легочных полях.
b, с На КТ изменения, выявленные при рентгенографии, подтвердились.
Диагностика саркомы легочной артерии на рентгене, КТ, МРТ
Диагностика инвазии сосудов средостения опухолью на рентгене, КТ, МРТ
а) Определение:
• Наличие опухоли или опух:олевых клеток в стенке кровеносных сосудов или в их просвете:
о Сосуды легких:
- Легочные артерии и вены
о Сосуды большого круга кровообращения:
- Полые вены
- Непарная/полунепарнаявены
- Аорта
- Крупные артерии: плечеголовной ствол, левая общая сонная, левая подключичная и позвоночные
• Типы инвазии сосудов:
о Микроскопическая:
- Выявляется при гистологическом исследовании
о Макроскопическая:
- Обнаруживается при КТ, МРТ или ангиографии:
Дефект наполнения в просвете сосуда, являющийся продолжением опухоли
Циркулярный рост опухоли и стенозирование просвета сосуда
Облитерация просвета сосуда опухолью
б) Лучевые признаки:
1. Основные особенности инвазии сосудов средостения:
• Оптимальный диагностический ориентир:
о Контрастирующийся дефект наполнения в просвете сосуда:
- Является продолжением объемного образования, расположенного в легких, средостении или пищеводе
• Локализация:
о Поражение легочных и полых вен наблюдается чаще, чем легочных артерий и артерий большого круга кровообращения
• Размер:
о Микроскопический:
- Выявляется при гистологическом исследовании
- Дифференцирование с инвазией лимфатических сосудов затруднено
о Макроскопический:
- Различная протяженность поражения
- Инвазия сосудов выявляется при хирургическом вмешательстве или патологоанатомическом исследовании
• Морфологические особенности:
о Дефект наполнения в просвете сосуда, являющийся продолжением опухоли
о Циркулярный рост опухоли и стенозирование просвета сосуда о Облитерация просвета сосуда опухолью

(а) Женщина 52 лет с жалобами на одышку, хрипы и отечность лица в течение трех недель. При рентгенографии органов грудной клетки в ПП проекции в верхней доле правого легкого определяется участок консолидации гетерогенной структуры. Также в правой паратрахеальной области выявляется объемное образование, распространяющееся на область шеи
(б) У этой же пациентки при КТ с контрастным усилением на реконструкции в коронарной плоскости в средостении визуализируется крупное инфильтративное объемное образование, которое циркулярно прорастает задние отделы дуги аорты правую легочную артерию и ее ветви. КТ с контрастным усилением является методом выбора для оценки инвазии сосудов опухолью.
2. Рентгенография инвазии сосудов средостения:
о Объемное образование в легких или средостении центральной локализации:
- Расположено в корне легкого или в прикорневой зоне
- Прилежит к центральным отделам легочных сосудов
- Примыкает к сердцу, средостению или крупным сосудам
о При рентгенографии оценить инвазию сосудов не представляется возможным
3. КТ инвазии сосудов средостения:
• Нативная КТ:
о Без контрастного усиления оценка поражения затруднена
о Объемное образование, примыкающее к сосудам
о Прилежащие к опухоли сосуды расширены
о Коллатеральные сосуды при обструкции верхней полой вены
• КТ с контрастным усилением:
о Оптимальный метод для оценки сосудов:
- Для исследования определенных сосудов следует выбирать соответствующий интервал введения контрастного вещества
- Выявление границы между сосудами и прилежащей опухолью
о Инвазия сосудов:
- Дефект наполнения в просвете сосуда, являющийся продолжением опухоли:
Может накапливать контрастное вещество
- Циркулярный рост опухоли и стенозирование просвета сосуда
- Облитерация просвета сосуда опухолью
о Распространение в грудную полость злокачественной опухоли органов брюшной полости:
- Следует заподозрить при наличии в правом предсердии дефекта наполнения
- Печеночноклеточный, почечноклеточный рак и адренокор-тикальная карцинома
о Косвенные признаки:
- Визуализация коллатеральных сосудов грудной клетки и средостения при обструкции верхней полой вены
- Контакт опухоли с аортой на протяжении >90° ее окружности (угол Пикуса) и отсутствие периаортальной жировой клетчатки свидетельствуют в пользу инвазии
о Осложнения:
- Опухолевые эмболы:
Чередование расширенных и суженных участков в легочной артерии в виде бус
- Псевдоаневризма легочной артерии
4. МРТ инвазии сосудов средостения:
• Т1ВИ с контрастным усилением:
о Дефект наполнения в просвете сосуда лучше визуализируется при контрастном усилении:
- Отличить опухолевый тромб от неопухолевого можно в отсроченную фазу исследования
• Кино-режим SSFP:
о Позволяет обнаруживать дефект наполнения в просвете сосуда без контрастного усиления:
- Не позволяет оценить особенности контрастирования образования
• Отсроченная фаза контрастирования:
о Опухоль может контрастироваться спустя некоторое время после введения контрастного вещества
- Позволяет отличить опухолевый тромб от неопухолевого
5. Ангиография инвазии сосудов средостения:
• Дефект наполнения в просвете сосуда
• Сдавление сосуда извне опухолью, стенозирование его просвета
• Симптоматическое лечение: стентирование верхней полой вены при ее обструкции
6. Рекомендации к проведению лучевых исследований:
• Оптимальный метод лучевой диагностики:
о КТ с контрастным усилением: метод выбора для выявления инвазии сосудов
о МРТ: может выполняться при наличии противопоказаний к внутривенному введению контрастного вещества
• Рекомендации по выбору протокола:
о КТ: исследование в отсроченную фазу позволяет исключить артефакт смешивания в качестве этиологии дефекта наполнения в просвете сосуда
о МРТ: субтракция позволяет лучше выявлять особенности контрастирования опухоли
(а) При КТ с контрастным усилением на реконструкциях в коронарной (слева) и сагиттальной (справа) плоскостях в верхней доле правого легкого определяется образование гетерогенной структуры с дольчатым контуром. Отмечается инвазия верхней полой вены, приводящая к сужению ее просвета. Данная картина соответствует стадии Т4.
(б) Пациент, страдающий раком легких. При КТ с контрастным усилением на реконструкции в коронарной плоскости в верхней доле правого легкого визуализируется крупное новообразование гетерогенной структуры, накапливающее контрастное вещество. Выявляется инвазия средостения и циркулярный охват сосудов. Следует отметить наличие в правой верхней легочной вене контрастирующегося дефекта наполнения, являющегося продолжением опухоли, что служит признаком инвазии сосуда. (а) Пациент с распространенным раком легких. При КТ с контрастным усилением в прикорневой зоне левого легкого определяется мягкотканное объемное образование, продолжением которого является дефект наполнения с дольчатым контуром в левой легочной артерии. Следует отметить наличие небольшого левостороннего плеврального выпота.
(б) Пациент, страдающий раком нижней доли левого легкого. При КТ с контрастным усилением в левом легком визуализируется крупное новообразование гетерогенной структуры, прорастающее левое предсердие через левую нижнюю легочную вену: дефект наполнения в левом предсердии является продолжением крупной опухоли легкого. Следует отметить наличие небольшого левостороннего плеврального выпота. (а) Женщина 44 лет с первичной В-крупноклеточной лимфомой средостения. При КТ с контрастным усилением в преваскулярном отделе средостения определяется крупное объемное образование, гетерогенно накапливающее контрастное вещество. Продолжением образования является дефект наполнения в просвете верхней полой вены, что соответствует прямой инвазии.
(б) На совмещенных изображениях при КТ с контрастным усилением в аксиальной (слева) и коронарной (справа) плоскостях в полости правого предсердия и нижней полой вене визуализируется контрастирующееся образование, которое является продолжением гепа-тоцеллюлярной карциномы, растущей по печеночным венам.
в) Дифференциальная диагностика:
1. Дефект наполнения в просвете сосуда:
• Артефакт смешивания контрастного вещества:
о Дефект наполнения в просвете вен или артерий
о В отсроченную фазу не визуализируется
• Тромб:
о Неконтрастирующийся дефект наполнения в просвете сосуда
о При наличии злокачественной опухоли существует высокий риск развития тромбоэмболии легочной артерии
• Саркома легочной артерии:
о Дефект наполнения в просвете легочной артерии
о Антикоагуляционная терапия неэффективна
о Может контрастироваться
• Саркома аорты
2. Циркулярный рост опухоли вокруг сосуда:
• Ангиоинвазивная грибковая инфекция:
о Может выявляться консолидация легочной ткани, напоминающая объемное образование
• Медиастинальный фиброз:
о В структуре могут выявляться кальцификаты
о Циркулярный рост, обструкция сосудов
- Легочные артерии и вены
- Верхняя полая вена
г) Патоморфология:
1. Основные особенности:
• Этиология:
о Объемное образование в легкихя:
- Рак легких
- Метастаз
о Объемное образование в средостении:
- Лимфома
- Метастаз
- Эпителиальная опухоль тимуса
- Рак щитовидной железы
- Рак пищевода
• Генетические особенности:
о Рак легких:
- Существует корреляция между микроскопической инвазией лимфатических и кровеносных сосудов и следующими особенностями:
Амплификация гена KRAS и его мутация
Размер опухоль и стадия
• Сопутствующие патологические изменения:
о Инвазия лимфатических сосудов:
- Дифференцирование кровеносных и лимфатических сосудов затруднено
2. Стадирование, определение степени дифференцировки и классификация опухолей:
• Рак легких:
о Т4:
- Макроскопическая инвазия:
Интраперикардиальные отделы легочных артерий, вен
Интраперикардиальные/экстраперикардиальные отделы полых вен, аорты
• Эпителиальная опухоль тимуса:
о Циркулярный рост опухоли вокруг сосуда позволяет заподозрить его инвазию
- Согласно классификации Масаока-Кога инвазия сосуда соответствует распространенной стадии опухоли
3. Макроскопические патоморфологические и хирургические особенности:
• Опухолевые клетки в просвете сосуда
д) Клинические аспекты инфазии сосудов средостения:
1. Проявления:
• Наиболее частые признаки:
о Постепенное нарастание тяжести симптомов
о Одышка и кашель
о Симптомы могут отсутствовать
• Другие симптомы:
о Синдром верхней полой вены:
- Отечность лица, шеи и верхней половины тела + цианоз
- В редких случаях охриплость, боли в груди, дисфагия и гемофтиз
о Дисфагия обусловлена распространенным раком пищевода
2. Естественное течение заболевания и прогноз:
• Рак легких:
о Прогностическая значимость микроскопической инвазии сосудов опухолью I стадии не установлена
• Эпителиальная опухоль тимуса:
о При наличии в переднем средостении объемного образования, инвазирующего сосуды, следует заподозрить рак тимуса
3. Лечение инвазии сосудов средостения:
• Варианты, риски, осложнения:
о В некоторых случаях при раке легких выполняется резекция инвазированных сосудов:
- Инвазия крупных сосудов обычно является противопоказанием к выполнению резекции
- Резекция верхней полой вены; является одним из наиболее распространенных расширенных хирургических вмешательств на сосудах при опухоли на стадии Т4
е) Диагностические пункты инвазии сосудов средостения:
1. Следует учитывать:
• При наличии в просвете сосуда дефекта наполнения, являющегося продолжением объемного образования легких/средостения, либо при выявлении циркулярного охвата, окклюзии или облитерации сосуда следует заподозрить его инвазию
• При наличии в сосуде контрастирующегося дефекта наполнения и отсутствии за пределами сосуда объемного образования следует заподозрить первичную злокачественную опухоль сосуда
2. Ключевые моменты при интерпретации изображений:
• При макроскопической инвазии легочной артерии следует исключить наличие опухолевых эмболов и псевдоаневризм
• Дефект наполнения в правом предсердии может являться результатом распространения злокачественной опухоли органов брюшной полости через нижнюю полую вену:
о Печеночноклеточный, почечноклеточный рак и адренокортикальная карцинома
3. Ключевые моменты диагностического заключения:
• В заключении следует отразить наличие циркулярного охвата верхней полой вены, поскольку оно потенциально может привести к ее обструкции
ж) Список литературы:
1. Mollberg NM et al: Lymphovascular invasion as a prognostic indicator in stage I non-small cell lung cancer: a systematic review and meta-analysis. Ann Thorac Surg. 97(3) 965-71, 2014
2. Detterbeck FC et al: The stage classification of lung cancer: Diagnosis and management of lung cancer, 3rd ed: American College of Chest Physicians evidence-based clinical practice guidelines. Chest. 143(5 Suppl): e191S-210S, 2013
3. Benveniste MF et al: Role of imaging in the diagnosis, staging, and treatment of thymoma. Radiographics. 31 (7): 1847-61; discussion 1861-3, 2011
4. DiPerna CA et al.: Surgical management of T3 and T4 lung cancer. Clin Cancer Res. 11(13 Pt 2):5038s-5044s, 2005
Саркома легочной артерии на КТ, МРТ
а) Терминология:
• Легочная артерия (ЛА)
• Наиболее частая первичная злокачественная опухоль ЛА
б) Лучевые признаки саркомы легочной артерии:
• Оптимальный диагностический ориентир: крупный дефект наполнения в просвете легочной артерии, резистентный кантикоагуляционной терапии
• Рентгенография:
о Изменения не визуализируются, если опухоль расположена в просвете легочной артерии и не вызывает ее расширения
о Дилатация легочной артерии: объемное образование в корне легкого
о Могут выявляться олигемия дистальнее уровня локализации опухоли, инфаркт легкого и распространение опухоли за пределы сосуда
• КТ с контрастным усилением: дефект наполнения в просвете ЛА; может накапливать контрастное вещество
• МРТ: дифференцирование между опухолью и тромбом:
о Наличие контрастирования более характерно для опухоли
о Тромб при раннем тромбозе и опухолевый тромб также могут контрастироваться
о МРТ в кино-режиме позволяет оценить функцию пульмонального клапана
• ПЭТ/КТ: наблюдается поглощение ФДГ опухолью
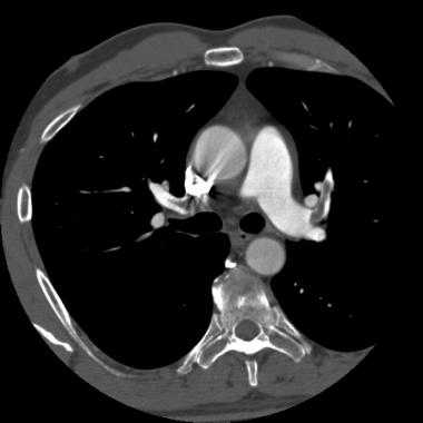
(а) На рисунке изображены морфологические особенности саркомы легочной артерии. Мягкотканное объемное образование заполняет легочный ствол и распространяется в проксимальные отделы правой легочной артерии.
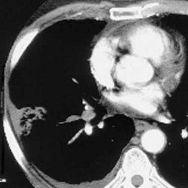
(б) При КТ с контрастным усилением в левой легочной артерии визуализируется экспансивный рост гиподенсного мягкотканного объемного образования. При биопсии была выявлена саркома легочной артерии. Следует отметить наличие послеоперационных изменений в левой половине грудной клетки. Саркомы легочной артерии могут полностью заполнять ее просвет и вызывать расширение сосуда, как в данном случае. (а) Пациент с персистирующим тромбом в правой легочной артерии после попытки лечения антикоагулянтами по поводу предполагаемой тромбоэмболии. При ФДГ-ПЭТ/КТ в области расположения предполагаемого тромба определяется интенсивный уровень поглощения ФДГ. При биопсии была выявлена саркома легочной артерии.
(б) Пациент с саркомой легочной артерии. При МРТ на Т1ВИ в правой легочной артерии визуализируется первичная опухоль , инвазирующая прилежащие отделы правой половины средостения. Гиперинтенсивные очаги в структуре объемного образования средостения соответствуют участкам кровоизлияния.
в) Дифференциальный ряд наиболее частых заболеваний:
• Эмболия легочной артерии
• Метастазы
г) Патоморфология:
• Наиболее частым гистологическим типом является лейомиосаркома
д) Клинические аспекты:
• Симптомы: одышка, боли в груди, гемофтиз
• Средний возраст: 50 лет
• Прогноз неблагоприятный; средняя выживаемость: 12 месяцев
• Лечение:
о Резекция опухоли
о Химиолучевая терапия
о Стентирование в качестве паллиативного метода
е) Диагностические пункты саркомы легочной артерии:
• При наличии в просвете легочной артерии крупного дефекта наполнения, резистентного к антикоагулянтной терапии, следует заподозрить саркому легочной артерии
Читайте также:
- Дифференциация причин кровоизлияния в сетчатку (ретинального кровоизлияния)
- Стабилизация позвоночника. Методы стабилизации позвоночно-двигательного сегмента.
- Клиника ( симптомы ) синдрома эндогенной интоксикации.
- КТ, МРТ, ангиограмма при травматической артериовенозной фистуле позвоночника
- Серологические методы исследований. Аллергологические методы исследования.
