Диагностика волосатоклеточного лейкоза - анализы
Добавил пользователь Владимир З. Обновлено: 28.11.2025
Волосатоклеточный лейкоз - клиника, диагностика, лечение
Волосатоклеточный лейкоз — опухолевое заболевание для которого характерно появление волосатых лейкоцитов в крови с пораженим различных органов, в том числе, костного мозга.
Ранее это заболевание рассматривалось как вариант хронического лимфолейкоза, но позднее было выделено в самостоятельную нозологическую форму.
Частота волосатоклеточного лейкоза невелика (1-2% всех лейкозов). Средний возраст начала заболевания — 55 лет. Соотношение мужчин и женщин 5:1. В этиологии заболевания имеют значение химические мутагены и генетическая предрасположенность.
Клинические проявления обусловлены наличием и выраженностью панцитопении и соответствующих клинических синдромов (анемический, геморрагический, инфекционных осложнений) и спленомегалии (встречается у 90% больных). Увеличение печени выявляется у 50% пациентов, лимфаденопатия нехарактерна. У 20% больных развиваются аутоиммунные осложнения (артриты, васкулиты, узловатая эритема).

В периферической крови у 70% больных выявляется панцитопения, нередко отмечаются тяжелая нейтропения (нейтрофилов менее 1 • 10 9 /л) и тромбоцитопения (тромбоцитов менее 50 • 10 9 /л). Значительно реже обнаруживается умеренный лейкоцитоз (не более 20 • 10 9 /л).
При просмотре мазка периферической крови определяются полиморфизм лимфоцитов: наряду с типичными лимфоцитами встречаются лимфоидные клетки с «омоложенной» структурой ядра, а также с характерными выростами цитоплазмы («волоски» или «ворсинки»). «Волосатые» лимфоциты встречаются в 90% случаев и лучше выявляются при фазово-контрастной и электронной микроскопии.
При исследовании миелограммы на фоне малоклеточного костного мозга выявляются уменьшение количества гранулоцитов (до 15-20%) и лимфоцитоз с наличием «волосатых» клеток. Нередко получить аспират костного мозга не удается в связи с его фиброзом. Более информативной этих случаях является трепанобиопсия, при которой обнаруживается выраженный фиброз костного мозга и лимфоидная метаплазия.
Для диагностики имеет значение характерный иммунофенотип опухолевых клеток: SIg+, CD19+, CD20+, CD22+, CD25+, CD79a+, CD5-, CD10-, CD23-. Подтверждает диагноз цитохимическое исследование (яркая диффузная реакция на кислую фосфатазу, не подавляющаяся тартратом натрия). Специфические изменения кариотипа отсутствуют.

У 50-75% пациентов наблюдается гиперэкспрессия циклина D1, не ассоциирующаяся с цитогенетическими [(t (11;14)] или молекулярно-генетическими нарушениями (реаранжировка BCL-1), более характерными для лимфомы из зоны мантии.
Основные показания для начала лечения волосатоклеточного лейкоза:
1) данные гемограммы (гемоглобин меньше 80 г/л, абсолютное число нейтрофилов меньше 1 • 10 9 /л, лейкоцитоз с большим количеством «волосатых» лимфоцитов);
2) тяжелые рецидивирующие инфекции;
3) спленомегалия, сопровождающаяся болевым синдромом или чувством дискомфорта.

Длительное время основным методом лечения волосатоклеточного лейкоза была спленэктомия. Существенное улучшение или нормализация гематологических показателей после спленэктомии наблюдается у 70-80% пациентов, однако в большинстве случаев длительность действия не превышает 2-3 лет.
При аутоиммунных осложнениях хороший эффект оказывают глюкокортикостероиды, но их длительное применение не улучшает отдаленных результатов лечения и одновременно увеличивает число инфекционных осложнений.
Цитостатическая терапия (обычно применяется хлорбутин) также увеличивает продолжительность жизни, однако в связи с исходной цитопенией часто сопровождается тяжелыми инфекционными осложнениями и поэтому используется редко.

Более 20 лет для лечения волосатоклеточного лейкоза с успехом используется интерферон-а Стандартная дозировка препарата — 3 млн ЕД ежедневно в течение 4-6 недель.
После достижения полной или частичной ремиссии (исчезновение или уменьшение более чем на 50% количества «волосатых» лимфоцитов в крови и костном мозге, размеров печени и селезенки; гемоглобин больше 100 г/л, лейкоциты больше 1,5 • 10 9 /л, тромбоциты больше 75 • 10 9 /л) переходят на поддерживающее лечение (3 млн ЕД 3 раза в неделю), которое проводится в течение года.
Как и при других заболеваниях, в начале лечения интерфероном-а часто возникает гриппоподобный синдром, купирующийся нестероидными противовоспалительными препаратами и коррекцией дозы препарата. При волосатоклеточном лейкозе, кроме того, возможно развитие иммуносупрессии, однако необходимость отмены интерферона-а возникает очень редко.
Интерферон-а эффективен у 60-100% пациентов, причем препарат может использоваться и при рецидиве заболевания. Интерферон-а достоверно улучшает результаты лечения: 5-летняя выживаемость при отсутствии лечения составляет 30%, при химиотерапии или после спленэктомии — 60%, на фоне интерферона-а — 90%.
В последнее время доказана высокая эффективность лечения больных волосатоклеточным лейкозом пуриновыми аналогами. В отличие от ХЛЛ, наибольший эффект отмечается при использовании пентостатина и кладрибина. При использовании обоих препаратов полные ремиссии достигаются у 90-100% пациентов, а их продолжительность обычно превышает 5 лет.
Редактор: Искандер Милевски. Дата обновления публикации: 18.3.2021
Волосатоклеточный лейкоз
Волосатоклеточный лейкоз – это хронический B-клеточный лимфопролиферативный процесс, протекающий с преимущественным поражением костного мозга и селезенки. Клинически проявляется гепатоспленомегалией, лимфаденопатией, лимфоцитозом с «волосатыми» лимфоцитами, панцитопенией. Диагноз устанавливается с учетом данных картины крови, иммунофенотипирования лимфоцитов, УЗИ/КТ органов брюшной полости, костномозговой пункции. Специфическое лечение включает применение ИФН-α, антагонистов пуринов, BRAF-ингибитора, моноклональных антител и др. Иногда эффективна спленэктомия.
МКБ-10

Общие сведения
Волосатоклеточный лейкоз (ВЛК) – онкогематологическое заболевание, характерными признаками которого являются дефицит всех клеточных элементов крови, наличие «ворсинчатых» лимфоцитов, увеличение селезенки, висцеральных и париетальных лимфоузлов. Во взрослой популяции на долю ВЛК приходится до 2% всех лейкемий или 8% от других хронических лимфолейкозов. Прирост новых случаев гемобластоза составляет 1:150 000 в год. Средний возраст манифестации ‒ 50-55 лет, хотя не исключается более ранний дебют заболевания. У мужчин волосатоклеточный лейкоз развивается в 2-4 раза чаще, чему у женщин.

Причины
Этиология волосатоклеточного лейкоза продолжает изучаться. На сегодняшний день достоверно известно, что более 95% случаев ВКЛ связаны с активирующей мутацией V600E ‒ заменой аминокислоты валина на глутамин (Val600Glu) в 600-м кодоне гена BRAF. Данная мутация также является доминирующей при меланоме, может встречаться при других злокачественных опухолях: колоректальном раке, НМРЛ (немелкоклеточном раке легкого), папиллярном раке щитовидной железы.
Точные факторы, запускающие пролиферацию лимфоидных клеток, не выяснены. Вероятными детерминантами считаются:
- отягощенная семейная наследственность по лейкозам;
- контакт с канцерогенами: радиацией, химикатами (в т. ч. проведение лучевой терапии, химиотерапии);
- этническая принадлежность (волосатоклеточный лейкоз чаще диагностируется среди евреев-ашкенази).
Патогенез
Ген BRAF и продукт его экспрессии – белок серин-треониновая протеинкиназа – участвуют в функционировании сигнальных путей, отвечающих за клеточное деление и дифференцировку. Белок B-Raf присутствует в неактивном состоянии во многих типах клеток. Мутация V600E в гене BRAF способствует поддержанию киназы B-Raf в постоянно активном состоянии, что имеет критическое значение в формировании злокачественных опухолей различных тканей.
При волосатоклеточном лейкозе обнаруживается клон В-лимфоцитов на поздней стадии дифференцировки, имеющих тонкие ворсинчатые выросты («волосатые» лимфоциты), круглое или вытянутое ядро, окруженное бледно-голубой цитоплазмой. В наибольшей степени патологически измененные В-лимфоциты инфильтрируют костный мозг, красную пульпу селезенки, синусоиды печени, что обусловливает характерную клиническую триаду: панцитопению, спленомегалию, гепатомегалию.
Клон патологических лимфоцитов вырабатывает ряд факторов, способствующих их выживанию и дальнейшей пролиферации: фактор некроза опухоли, фактор роста фибробластов, интерлейкины 4 и 6. Панцитопения при ВЛК обусловлена несколькими механизмами: гиперспленизмом, инфильтрацией и фиброзом костного мозга, выработкой цитокинов лейкемическими клетками.
Классификация
На основании клинических проявлений в онкогематологии различают две формы волосатоклеточного лейкоза:
- классическую (индолентную) – встречается у 80-90% пациентов; характеризуется спленомегалией и панцитопенией.
- вариантную (лейкемическую, пролимфоцитарную) – на нее приходится 10-20% клинических наблюдений; характеризуется отсутствием лейкопении, агрессивным течением и неблагоприятным прогнозом.
Общепринятого деления ВЛК на стадии не разработано. На практике первично выявленные случаи стадируют по фазам течения: начальная и развернутая. По ответу на стандартную терапию выделяют частичную/полную ремиссию, резистентное течение, ранний/поздний рецидив.
Симптомы волосатоклеточного лейкоза
Классический ВЛК развивается исподволь, на протяжении многих лет. В 20% случаев заболевание обнаруживается случайно при обследовании, однако встречаются агрессивные, быстро прогрессирующие варианты волосатоклеточного лейкоза. Наиболее характерными клиническими маркерами выступают спленомегалия (72-86%), цитопения, присутствие в крови «волосатых» лимфоцитов (95%). Другие симптомы (гепатомегалия, лимфаденопатия) менее патогномоничны.
Увеличение селезенки может варьировать от незначительного до гигантского, вызывающего боли в левом подреберье. Реже встречаются варианты гемобластоза без спленомегалии. Примерно у 20% больных обнаруживается сопутствующая гепатомегалия. От 10% до 25% случаев волосатоклеточного лейкоза сопровождается увеличением абдоминальных, реже – внутригрудных, периферических лимфоузлов.
В крови отмечается уменьшение всех клеточных форм: лейкопения (моноцитопения, нейтропения, агранулоцитоз), анемия, тромбоцитопения. Следствием панцитопении становится утомляемость, одышка, головокружение, геморрагический синдром. Количество ворсинчатых лимфоцитов может быть различным (от 2% до 90%).
Иногда отмечается поражение костей скелета: позвоночника, крестца, костей таза, сопровождающееся болевым синдромом. Течение волосатоклеточного лейкоза нередко бывает ассоциировано с аутоиммунными заболеваниями (склеродермией, дерматомиозитом, узелковым периартериитом), а также болезнями крови (мастоцитозом, парапротеинемией). Крайне редко (1%) ВКЛ сочетается с хроническим лимфолейкозом.
Осложнения
Серьезную опасность при волосатоклеточном лейкозе представляют оппортунистические инфекции. У больных часто отмечаются микозы (аспергиллез, криптококкоз, пневмоцистоз), протозоозы (токсоплазмоз), бактериальные инфекции (микобактериозы, легионеллез, листериоз). Нередко встречаются межмышечные флегмоны и абсцессы, пневмонии. Инфекционные процессы склонны генерализации, могут осложняться сепсисом с летальным исходом.
Возможно возникновение спонтанных, трудно купируемых кровотечений. Волосатоклеточный лейкоз ассоциирован с повышенным риском развития злокачественных неоплазий различных локализаций. Нейролейкоз не характерен. Массивная спленомегалия может привести к разрыву селезенки.
Диагностика
Волосатоклеточный лейкоз диагностируется по совокупности клинических, инструментальных и лабораторных данных. Больным необходима консультация врача-гематолога. При осмотре за ВЛК свидетельствует увеличение границ печени и селезенки, иногда – пальпируемых лимфоузлов. На анемический синдром косвенно указывают жалобы на слабость, мелькание «мушек», одышку при нагрузке, головокружение. Возможны гипертермия, кровотечения, частые инфекции. Основные методы подтверждающей диагностики включают:
- Клинический анализ крови. Развернутый ОАК с лейкоцитарной формулой выявляет агранулоцитоз, моноцитопению, тромбоцитопению, снижение гемоглобина. На этом фоне отмечается абсолютный лимфоцитоз с наличием «волосатых» клеток – такой вид им придают неровные, обрывчатые контуры цитоплазмы.
- Биопсия костного мозга. Пунктат при волосатоклеточном лейкозе удается получить с трудом ввиду выраженного фиброза костного мозга (сухая пункция). В образце материала наблюдается угнетение ростков гемопоэза, феномен «пчелиных сот» (участки разрежения). Также обнаруживаются ворсинчатые лимфоциты, инфильтрация костного мозга лейкемическими клетками.
- Иммунофенотипирование лимфоцитов. Проводится методом проточной цитометрии в образце крови или костного мозга. Характерно выявление следующих иммунофенотипических маркеров: CD19, CD20, CD22, CD79a, CD11c, CD25, CD103, FMC7, CD123, CD85. Отсутствует экспрессия антигенов CD5, CD10, CD23, CD43.
- Генетическая диагностика. Направлена на поиск мутации BRAF V600E в лимфоидных клетках крови или костно-мозгового пунктата. Анализ выполняется методом ПЦР или ИГХ. Данный генный дефект обнаруживается более чем в 90% случаев волосатоклеточного лейкоза.
- Другие тесты. Специфичным диагностическим критерием ВКЛ является обнаружение в цитоплазме патологических клеток тартрат-резистентной кислой фосфатазы (TRAP). Иммунохимическое исследование выявляет секрецию поли- или моноклональных иммуноглобулинов (чаще IgG3) в сыворотке крови, белок Бенс-Джонса в моче.
- УЗИ и КТ. Эхоструктуру и размеры селезенки оценивают с помощью УЗИ ОБП. Для визуализации состояния висцеральных лимфоузлов показано КТ брюшной полости, КТ органов грудной клетки. С целью исключения поражения костной ткани выполняется КТ позвоночника и костей.
Дифференциальная диагностика
В ходе диагностики волосатоклеточного лейкоза исключаются другие гематологические, опухолевые и иные заболевания, протекающие со спленомегалией, панцитопенией, лимфоцитозом:
- апластическую анемию;
- миелофиброз;
- миелодиспластический синдром;
- лимфому селезенки;
- Т-клеточную лимфому;
- болезнь Гоше.
Лечение волосатоклеточного лейкоза
В начальной бессимптомной фазе осуществляется наблюдение, лечение назначается в развернутой стадии ВЛК. Показаниями к старту терапии служат нарастающая панцитопения, выраженная спленомегалия, инфекционные осложнения. Использование цитостатических препаратов и глюкокортикостероидов не дает эффекта. Для лечения волосатоклеточного лейкоза применяется:
- Интерферонотерапия. Рекомендуется в качестве стартовой терапии пациентам с впервые диагностированным ВЛК. Эффективность лечения интерфероном альфа составляет 70-80%, однако полная ремиссия, как правило, не достигается.
- Антагонисты пуринов. Являются основными препаратами для терапии ВЛК. Цитостатики данной группы показали эффективность как у впервые выявленных больных с волосатоклеточным лейкозом, так и у уже получавших другое лечение. Отсутствие рецидивов в течение 5 лет после прохождения курса лечения отмечается в 80% случаев.
- Другие лекарственные средства. При рефрактерных к лечению формах волосатоклеточного лейкоза прибегают к назначению ингибитора BRAF-киназ (при доказанной мутации BRAFV600E). Также возможно включение в схему терапии алкилирующих препаратов в качестве монотерапии или в сочетании с моноклональными антителами.
- Сопроводительная терапия. При развитии системных инфекционных осложнений назначаются противомикробные препараты. Пациентам с выраженной анемией рекомендован кратковременный курс эритропоэтина.
- Спленэктомия. Удаление селезенки быстро нормализует картину крови. Однако у ряда пациентов ремиссия оказывается недолгой, что требует дальнейшего подключения медикаментозной терапии. Как первый этап лечения, операция показана, главным образом, при рецидивирующих кровотечениях и инфекциях.
Прогноз и профилактика
Волосатоклеточный лейкоз имеет тенденцию к рецидивирующему течению. В течение 5-летнего срока наблюдения рецидивы возникают у 35% пациентов, в течение 10 лет – у 50%. Без лечения продолжительность жизни больных ВЛК составляет менее 5 лет. Методы первичной профилактики волосатоклеточного лейкоза не разработаны. После завершения курсовой терапии все пациенты должны наблюдаться у онкогематолога с контролем ОАК дважды в год и УЗИ селезенки ежегодно. Своевременное противорецидивное лечение позволяет достичь частичной или полной ремиссии, увеличить продолжительность жизни.
2. Лечение волосатоклеточного лейкоза/ Зуховицкая Е.В., Фиясь А.Т., Пищик Е.Ф.// Журнал Гродненского государственного медицинского университета. – 2013.
3. Особенности течения и современная тактика терапии волосатоклеточного лейкоза/ Аль-Ради Л.С., Пивник А.В.// Клиническая онкогематология. Фундаментальные исследования и клиническая практика. – 2009.
4. Случай волосатоклеточного лейкоза в детском возрасте/ Лебедев В.В., Хлевная Н.В., Асекретова Т.В.// Кубанский научный медицинский вестник. – 2014.
Хронический лейкоз
Хронический лейкоз – это первичное опухолевое заболевание системы кроветворения, субстратом которого выступают зрелые и созревающие клетки миелоидного или лимфоидного ряда. Различные формы хронического лейкоза протекают с преобладанием интоксикационного (слабость, артралгии, оссалгии, анорексия, похудание), тромбогеморрагического (кровоточивость, тромбозы различной локализации), лимфопролиферативного синдромов (увеличение лимфоузов, спленомегалия и др.). Решающее значение в диагностике хронического лейкоза принадлежит исследованию ОАК, биоптатов костного мозга и лимфоузлов. Лечение хронических лейкозов проводится методами химиотерапии, лучевой терапии, иммунотерапии, возможна трансплантация костного мозга.



Хронический лейкоз – хронические лимфопролиферативные и миелопролиферативные заболевания, характеризующиеся избыточным увеличением количества кроветворных клеток, сохраняющих способность к дифференцировке. В отличие от острых лейкозов, при которых происходит пролиферация низкодифференцированных гемопоэтических клеток, при хронических лейкозах опухолевый субстрат представлен созревающими или зрелыми клетками. Для всех типов хронических лейкозов характерна длительная стадия доброкачественной моноклоновой опухоли.
Хронические лейкозы поражают преимущественно взрослых в возрасте 40-50 лет; мужчины болеют чаще. На долю хронического лимфоидного лейкоза приходится около 30% случаев, хронического миелоидного лейкоза - 20% всех форм лейкемии. Хронический лимфолейкоз в гематологии диагностируется в 2 раза чаще, чем хронический миелолейкоз. Лейкозы у детей протекают в хроническом варианте крайне редко - в 1-2% случаев.

Истинные причины, приводящие к развитию хронического лейкоза, неизвестны. В настоящее время наибольшее признание получила вирусно-генетическая теория гемобластозов. Согласно данной гипотезе, некоторые виды вирусов (в числе которых – вирус Эбштейна-Барр, ретровирусы и др.) способны проникать в незрелые кроветворные клетки и вызывать их беспрепятственное деление.
Не подвергается сомнению и роль наследственности в происхождении лейкозов, поскольку доподлинно известно, что заболевание нередко носит семейный характер. Кроме этого, хронический миелолейкоз в 95% случаев ассоциирован с аномалией 22-й хромосомы (филадельфийской или Рh-хромосомы), фрагмент длинного плеча которой транслоцирован на 9-ю хромосому.
Факторы риска
Наиболее значимыми предрасполагающими факторами к различным видам и формам хронических лейкозов выступают воздействия на организм:
- высоких доз радиации;
- рентгеновского облучения;
- производственных химических вредностей (лаков, красок и др.);
- лекарственных препаратов (солей золота, антибиотиков, цитостатиков);
- длительный стаж курения.
Риск развития хронического лимфоцитарного лейкоза повышается при длительном контакте с гербицидами и пестицидами, а хронического миелоидного лейкоза – при радиационном облучении.
В патогенезе хронического лимфолейкоза значимая роль принадлежит иммунологическим механизмам – об этом свидетельствует его частое сочетание с аутоиммунной гемолитической анемией и тромбоцитопенией, коллагенозами. Вместе с тем, у большинства больных хроническими лейкозами причинно значимых факторов выявить не удается.
В зависимости от происхождения и клеточного субстрата опухоли хронические лейкозы делятся на:
- Лимфоцитарные: хронический лимфолейкоз, болезнь Сезари (лимфоматоз кожи), волосатоклеточный лейкоз, парапротеинемические гемобластозы (миеломная болезнь, макроглобулинемия Вальденстрема, болезни легких цепей, болезни тяжелых цепей).
- Миелоцитарные (гранулоцитарные): хронический миелолейкоз, эритремия, истинная полицитемия, хронический эритромиелоз и др.
- Моноцитарные: хронический моноцитарный лейкоз и гистиоцитозы.
В своем развитии опухолевый процесс при хроническом лейкозе проходит две стадии: моноклоновую (доброкачественную) и поликлоновую (злокачественную). Течение хронического лейкоза условно подразделяется на 3 стадии: начальную, развернутую и терминальную.

Симптомы хронического лейкоза
Хронический миелоидный лейкоз
В начальном периоде хронического миелолейкоза клинические проявления отсутствуют или неспецифичны, гематологические изменения выявляются случайно при исследовании крови. В доклиническом периоде возможно нарастание слабости, адинамии, потливости, субфебрилитета, болей в левом подреберье.
Переход хронического миелоидного лейкоза в развернутую стадию знаменуется прогрессирующей гиперплазией селезенки и печени, анорексией, похуданием, выраженными болями в костях и артралгиями. Характерно образование лейкемических инфильтратов на коже, слизистых полости рта (лейкемический периодонтит), ЖКТ. Геморрагический синдром проявляется гематурией, меноррагией, метроррагией, кровотечениями после экстракции зубов, кровавыми поносами. В случае присоединения вторичной инфекции (пневмонии, туберкулеза, сепсиса и др.) температурная кривая приобретает гектический характер.
Терминальная стадия хронического миелоидного лейкоза протекает с резким обострением всех симптомов и выраженной интоксикацией. В этот период может развиваться плохо поддающееся терапии и угрожающее жизни состояние – бластный криз, когда из-за резкого увеличения количества бластных клеток течение заболевания становится похожим на острый лейкоз. Для бластного криза характерна агрессивная симптоматика: лейкемиды кожи, тяжелые кровотечения, вторичные инфекции, высокая температура, возможен разрыв селезенки.
Хронический лимфолейкоз
Долгое время единственным признаком хронического лимфолейкоза может быть лимфоцитоз до 40-50%, незначительное увеличение одной-двух групп лимфоузлов. В развернутый период лимфаденит принимает генерализованную форму: увеличиваются не только периферические, но и медиастинальные, мезентериальные, забрюшинные узлы. Возникает сплено- и гепатомегалия; возможно сдавление холедоха увеличенными лимфатическими узлами с развитием желтухи, а также верхней полой вены с развитием отеков шеи, лица, рук (синдром ВПВ). Беспокоят упорные оссалгии, кожный зуд, рецидивирующие инфекции.
Тяжесть общего состояния больных хроническим лимфоидным лейкозом обусловлена прогрессированием интоксикации (слабость, потливость, лихорадка, анорексия) и анемического синдрома (головокружение, одышка, сердцебиение, обморочные состояния).
Терминальная стадия хронического лимфоидного лейкоза характеризуется присоединением геморрагического и иммунодефицитного синдромов. В этот период развивается тяжелая интоксикация, возникают кровоизлияния под кожу и слизистые, носовые, десневые, маточные кровотечения.
Иммунодефицит, обусловленный неспособностью функционально незрелых лейкоцитов выполнять свои защитные функции, проявляется синдромом инфекционных осложнений. У больных хроническим лимфолейкозом часты легочные инфекции (бронхиты, бактериальные пневмонии, туберкулезные плевриты), грибковые поражения кожи и слизистых, абсцессы и флегмоны мягких тканей, пиелонефриты, герпетическая инфекция, сепсис.
Нарастают дистрофические изменения внутренних органов, кахексия, почечная недостаточность. Летальный исход при хроническом лимфоидном лейкозе наступает от тяжелых инфекционно-септических осложнений, кровотечений, анемии, истощения. Возможна трансформация хронического лимфолейкоза в острый лейкоз или лимфосаркому (неходжкинскую лимфому).
Предполагаемый диагноз устанавливается на основании анализа гемограммы, с результатами которой пациент должен быть немедленно направлен к врачу-гематологу. Для подтверждения диагноза проводится:
- Общий анализ крови. Типичные для хронического миелоидного лейкоза изменения включают: анемию, присутствие единичных миелобластов и гранулоцитов на разной стадии дифференцировки; в период бластного криза количество бластных клеток увеличивается более чем на 20%. При хроническом лимфолейкозе определяющими гематологическими признаками выступают выраженный лейкоцитоз и лимфоцитоз, наличие лимфобластов и клеток Боткина-Гумпрехта.
- Пункции и биопсии. С целью определения морфологии опухолевого субстрата показано выполнение стернальной пункции, трепанобиопсии, биопсии лимфоузлов. В пунктате костного мозга при хроническом миелолейкозе увеличено количество миелокариоцитов за счет незрелых клеток гранулоцитарного ряда; в трепанобиоптате определяется замещение жировой ткани миелоидной. При хроническом лимфоидном лейкозе миелограмма характеризуется резким усилением лимфоцитарной метаплазии.
- Инструментальные исследования. Для оценки выраженности лимфопролиферативного синдрома применяются УЗИ лимфатических узлов, селезенки, рентгенография грудной клетки, лимфосцинтиграфия, МСКТ брюшной полости и ряд других.
Лечение хронического лейкоза
На ранней доклинической стадии лечение неэффективно, поэтому больные подлежат динамическому наблюдению. Общережимные мероприятия предполагают исключение физических перегрузок, стрессов, инсоляции, электропроцедур и теплолечения; полноценное витаминизированное питание, длительные прогулки на свежем воздухе.
В развернутом периоде миелолейкоза назначается химиотерапевтическое лечение (бусульфан, митобронитол, гидроксимочевина и др.), при выраженной спленомегалии проводится облучение селезенки. Подобная тактика, хоть и не приводит к полному излечению, но существенно тормозит прогрессирование болезни и позволяет отсрочить наступление бластного криза. Кроме медикаментозной терапии, при хроническом миелоцитарном лейкозе используются процедуры лейкафереза. В ряде случаев излечение достигается с помощью трансплантации костного мозга.
При переходе хронического миелолейкоза в терминальную стадию назначается высокодозная полихимиотерапия. В среднем после установления диагноза больные хроническим миелолейкозом живут 3-5 лет, в отдельных случаях – 10-15 лет. Также проводится цитостатическая терапия (хлорбутин, циклофосфамид), иногда в сочетании со стероидной терапией, облучением лимфоузлов, селезенки, кожи. При значительном увеличении селезенки выполняется спленэктомия. Применяется трансплантация стволовых клеток, однако ее эффективность еще требует подтверждения.

Прогноз
Продолжительность жизни больных хроническим лимфоидным лейкозом может составлять от 2-3 лет (при тяжелых, неуклонно прогрессирующих формах) до 20-25 лет (при относительно благоприятном течении).
Острый лейкоз
Острый лейкоз – опухолевое поражение кроветворной системы, морфологической основой которого выступают незрелые (бластные) клетки, вытесняющие нормальные гемопоэтические ростки. Клиническая симптоматика острого лейкоза представлена прогрессирующей слабостью, немотивированным подъемом температуры, артралгиями и оссалгиями, кровотечениями различных локализаций, лимфаденопатией, гепатоспленомегалией, гингивитами, стоматитами, ангинами. Для подтверждения диагноза необходимо исследование гемограммы, пунктата костного мозга, биоптата подвздошной кости и лимфоузлов. Основу лечения острых лейкозов составляют химиотерапевтические курсы и сопроводительная терапия.



Острый лейкоз - форма лейкемии, при которой нормальное костномозговое кроветворение вытесняется мало дифференцированными клетками-предшественниками лейкоцитов с их последующим накоплением в периферической крови, инфильтрацией тканей и органов. Термины «острый лейкоз» и «хронический лейкоз» отражают не только длительность течения заболевания, но также морфологическую и цитохимическую характеристику опухолевых клеток. Острый лейкоз является наиболее частой формой гемобластозов: он развивается у 3-5 из 100 тыс. человек; соотношение взрослых и детей – 3:1. При этом у лиц старше 40 лет статистически чаще диагностируется острый миелоидный лейкоз, а у детей – острый лимфобластный лейкоз.

Причины острого лейкоза
Первопричиной острого лейкоза является мутация гемопоэтической клетки, дающей начало опухолевому клону. Мутация кроветворной клетки приводит к нарушению ее дифференцировки на ранней стадии незрелых (бластных) форм с дальнейшей пролиферацией последних. Образующиеся опухолевые клетки замещают нормальные ростки гемопоэза в костном мозге, а в дальнейшем выходят в кровь и разносятся в различные ткани и органы, вызывая их лейкемическую инфильтрацию. Все бластные клетки несут в себе одинаковые морфологические и цитохимические признаки, что свидетельствует в пользу их клонального происхождения от одной клетки-родоначальницы.
Причины, запускающие мутационный процесс, не известны. В гематологии принято говорить о факторах риска, повышающих вероятность развития острого лейкоза. В первую очередь, это генетическая предрасположенность: наличие в семье больных с острым лейкозом практически утраивает риск заболевания у близких родственников. Риск возникновения острого лейкоза повышается при некоторых хромосомных аномалиях и генетических патологиях - болезни Дауна, синдроме Клайнфельтера, Вискотта-Олдрича и Луи-Барра, анемии Фанкони и др.
Вероятно, что активация генетической предрасположенности происходит под действием различных экзогенных факторов. В числе последних могут выступать ионизирующая радиация, химические канцерогены (бензол, мышьяк, толуол и др.), цитостатические препараты, используемые в онкологии. Нередко острый лейкоз становится следствием противоопухолевой терапии других гемобластозов – лимфогранулематоза, неходжкинских лимфом, миеломной болезни. Подмечена связь острых лейкозов с предшествующими вирусными инфекциями, угнетающими иммунную систему; сопутствующими гематологическими заболеваниями (некоторыми формами анемий, миелодисплазиями, пароксизмальной ночной гемоглобинурией и др.).
Классификация острого лейкоза
В онкогематологии общепринята международная FAB-классификация острых лейкозов, дифференцирующая различные формы заболевания в зависимости от морфологии опухолевых клеток на лимфобластные (вызываемые низкодифференцированными предшественниками лимфоцитов) и нелимфобластные (объединяющие остальные формы).
1. Острые лимфобластные лейкозы взрослых и детей:
- пре-В-форма
- В-форма
- пре-Т-форма
- Т-форма
- ни Т ни В-форма
2. Острые нелимфобластные (миелоидные) лейкозы:
- о. миелобластный (вызван неконтрорлируемой пролиферацией предшественников гранулоцитов)
- о. моно- и о. миеломонобластный (характеризуются усиленным размножением монобластов)
- о. мегакариобластный (связан с преобладанием недифференцированных мегакариоцитов – предшественников тромбоцитов)
- о. эритробластный (обусловлен пролиферацией эритробластов)
3. Острый недифференцированный лейкоз.
Течение острых лейкозов проходит ряд стадий:
- I (начальную) - преобладают общие неспецифические симптомы.
- II (развернутую) - характеризуется четко выраженными клиническими и гематологическими симптомами гемобластоза. Включает: дебют или первую «атаку», неполную или полную ремиссию, рецидив или выздоровление
- III (терминальную) – характеризуется глубоким угнетением нормального гемопоэза.

Симптомы острого лейкоза
Манифестация острого лейкоза может быть внезапной или стертой. Типично начало, характеризующееся высокой лихорадкой, интоксикацией, потливостью, резким упадком сил, анорексией. Во время первой «атаки» больные отмечают упорные боли в мышцах и костях, артралгии. Иногда начальная стадия острого лейкоза маскируется под ОРВИ или ангину; первыми признаками лейкемии могут быть язвенный стоматит или гиперпластический гингивит. Довольно часто заболевание обнаруживается случайно при профилактическом исследовании гемограммы или ретроспективно, когда острый лейкоз переходит в следующую стадию.
В развернутом периоде острого лейкоза развиваются анемический, геморрагический, интоксикационный и гиперпластический синдромы.
Анемические проявления обусловлены нарушением синтеза эритроцитов, с одной стороны, и повышенной кровоточивостью – с другой. Они включают бледность кожных покровов и слизистых, постоянную усталость, головокружение, сердцебиение, повышенное выпадение волос и ломкость ногтей и др. Усиливается выраженность опухолевой интоксикации. В условиях абсолютной лейкопении и упадка иммунитета легко присоединяются различные инфекции: пневмонии, кандидоз, пиелонефрит и т. д.
В основе геморрагического синдрома лежит выраженная тромбоцитопения. Диапазон геморрагических проявлений колеблется от мелких единичных петехий и синяков до гематурии, десневых, носовых, маточных, желудочно-кишечных кровотечений и пр. По мере прогрессирования острого лейкоза кровотечения могут становиться все массивнее вследствие развития ДВС-синдрома.
Гиперпластический синдром связан с лейкемической инфильтрацией как костного мозга, так и других органов. У больных острым лейкозом наблюдается увеличение лимфоузлов (периферических, медиастинальных, внутрибрюшных), гипертрофия миндалин, гепатоспленомегалия. Могут возникать лейкозные инфильтраты кожи (лейкемиды), оболочек мозга (нейролейкоз), поражение легких, миокарда, почек, яичников, яичек и др. органов.
Полная клинико-гематологическая ремиссия характеризуется отсутствием внекостномозговых лейкемических очагов и содержанием бластов в миелограмме менее 5% (неполная ремиссия – менее 20%). Отсутствие клинико-гематологических проявлений в течение 5 лет расценивается как выздоровление. В случае увеличения бластных клеток в костном мозге более 20%, их появления в периферической крови, а также выявления внекостномозговых метастатических очагов диагностируется рецидив острого лейкоза.
Терминальная стадия острого лейкоза констатируется при неэффективности химиотерапевтического лечения и невозможности достижения клинико-гематологической ремиссии. Признаками данной стадии служат прогрессирование опухолевого роста, развитие несовместимых с жизнью нарушений функции внутренних органов. К описанным клиническим проявлениям присоединяются гемолитическая анемия, повторные пневмонии, пиодермии, абсцессы и флегмоны мягких тканей, сепсис, прогрессирующая интоксикация. Причиной смерти больных становятся некупируемые кровотечения, кровоизлияния в мозг, инфекционно-септические осложнения.
Диагностика острого лейкоза
Во главе диагностики острых лейкозов стоит оценка морфологии клеток периферической крови и костного мозга. Для гемограммы при лейкемии характерна анемия, тромбоцитопения, высокая СОЭ, лейкоцитоз (реже лейкопения), присутствие бластных клеток. Показателен феномен «лейкемического зияния» - промежуточные стадии между бластами и зрелыми клетками отсутствуют.
С целью подтверждения и идентификации разновидности острого лейкоза выполняется стернальная пункция с морфологическим, цитохимическим и иммунофенотипическим исследованием костного мозга. При исследовании миелограммы обращает внимание увеличение процента бластных клеток (от 5% и выше), лимфоцитоз, угнетение красного ростка кроветворения (кроме случаев о. эритромиелоза) и абсолютное снижение или отсутствие мегакариоцитов (кроме случаев о. мегакариобластного лейкоза). Цитохимические маркерные реакции и иммунофенотипирование бластных клеток позволяют точно установить форму острого лейкоза. При неоднозначности трактовки анализа костного мозга прибегают к проведению трепанобиопсии.
С целью исключения лейкемической инфильтрации внутренних органов производится спинномозговая пункция с исследованием ликвора, рентгенография черепа и органов грудной клетки, УЗИ лимфатических узлов, печени и селезенки. Кроме гематолога, больные острым лейкозом должны быть осмотрены неврологом, офтальмологом, отоларингологом, стоматологом. Для оценки тяжести системных нарушений может потребоваться исследование коагулограммы, биохимического анализа крови, проведение электрокардиографии, ЭхоКГ и др.
Дифференциально-диагностические мероприятия направлены на исключение ВИЧ-инфекции, инфекционного мононуклеоза, цитомегаловирусной инфекции, коллагенозов, тромбоцитопенической пурпуры, агранулоцитоза; панцитопении при апластической анемии, В12 и фолиеводефицитной анемии; лейкемоидных реакций при коклюше, туберкулезе, сепсисе и др. заболеваниях.

Лечение острого лейкоза
Пациентов с острым лейкозом лечат в стационарах онкогематологического профиля. В палатах организуется усиленный санитарно-дезинфекционный режим. Больные с острым лейкозом нуждаются в проведении гигиенической обработки полости рта, профилактики пролежней, туалета половых органов после физиологических отправлений; организации высококалорийного и витаминизированного питания.
Непосредственно лечение острых лейкозов проводится последовательно; основные этапы терапии включают достижение (индукцию) ремиссии, ее закрепление (консолидацию) и поддержание, профилактику осложнений. Для этого разработаны и используются стандартизированные схемы полихимиотерапии, которые подбираются гематологом с учетом морфологической и цитохимической формы острого лейкоза.
При благоприятной ситуации ремиссия обычно достигается в течение 4-6 недель усиленной терапии. Затем, в рамках консолидации ремиссии проводится еще 2-3 курса полихимиотерапии. Поддерживающая противорецидивная терапия осуществляется еще в течение не менее 3-х лет. Наряду с химиотерапией при остром лейкозе необходимо проведение сопроводительного лечения, направленного на предупреждение агранулоцитоза, тромбоцитопении, ДВС-синдрома, инфекционных осложнений, нейролейкемии (антибиотикотерапия, переливание эритроцитарной, тромбоцитарной массы и свежезамороженной плазмы, эндолюмбальное введение цитостатиков). При лейкемической инфильтрации глотки, средостения, яичек и др. органов проводится рентгенотерапия очагов поражения.
В случае успешного лечения достигается уничтожение клона лейкозных клеток, нормализация кроветворения, что способствует индукции длительного безрецидивного периода и выздоровления. Для предупреждения рецидивов острого лейкоза может быть проведена трансплантация костного мозга после предварительного кондиционирования путем химиотерапии и тотального облучения.
По имеющимся статистическим сведениям, использование современных цитостатических средств приводит к переходу острого лейкоза в фазу ремиссии у 60-80% больных; из них у 20-30% удается добиться полного выздоровления. В целом прогноз при острых лимфобластных лейкозах более благоприятен, чем при миелобластных.
Диагностика волосатоклеточного лейкоза - анализы
Наиболее частым клиническим симптомом волосатоклеточного лейкоза является спленомегалия без лимфаденопатии, а наиболее характерной особенностью картины крови — одно-, двух- или трехростковая цитопения. По данным большинства авторов, панцитопения отмечается у половины больных, а у большинства остальных наблюдается сочетание лейкопении с анемией или тромбоцитопенией.
Лейкопения сопровождается нейтропенией и моноцитопенией, являющейся характерным признаком волосатоклеточного лейкоза. Лейкопения с числом лейкоцитов менее 4•10 9 /л встречается у 65—70 % больных, при этом у половины из них количество лейкоцитов не достигает 2•109/л, а содержание гранулоцитов равно 0,5 • 109/л.
Снижение уровня гемоглобина обнаруживают у 75—80 % больных, но у большинства из них оно выражено нерезко. Только у 15—20 % больных отмечается содержание гемоглобина менее 80 г/л, хотя встречаются пациенты, у которых при первом обращении к врачу содержание гемоглобина не превышает 40—50 г/л. Количество тромбоцитов менее 100•109/л встречается у 70—80 % больных, причем у половины из них оно не достигает 50•10 9 /л, а у 5— 10 % больных наблюдается еще более резко выраженная тромбоцитопения.
Диагноз волосатоклеточного лейкоза основывается на обнаружении в крови и костном мозге или только в костном мозге не менее 10 % характерных патологических клеток. Патологические клетки обнаруживают в крови не менее чем у 90 % больных. Их количество может колебаться в широких пределах — от 5—10 % до 70—95 %. У больных с лейкопенией процент лейкемических клеток, как правило, небольшой.
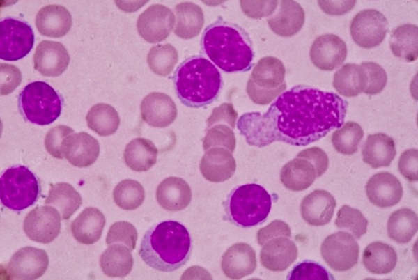
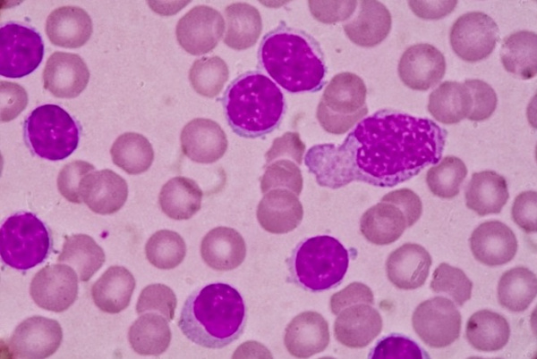
Лейкемические клетки при волосатоклеточном лейкозе представляют собой мононуклеары среднего или большого размера с бледно-голубой, серо-голубой или базофильной цитоплазмой, округлым или овальным ядром, иногда имеющим выемку, либо двухлопастным. Структура хроматина гомогенна, разрежена. В ядре иногда отчетливо просматриваются 1—2 нуклеолы, но чаще они отсутствуют. Ядерно-цитоплазматическое отношение умеренное или низкое.
Цитоплазма лейкемических клеток имеет неровные края, в типичных случаях обрывчата, отростчата или ворсинчата, однако имеются клетки с более четкими очертаниями и фестончатыми краями. Примерно у половины больных преобладают клетки одного вида, у остальных оба вида клеток представлены в почти равной пропорции. Часть лейкемических клеток может содержать азурофильную зернистость. Около 50 % лейкемических клеток имеют в цитоплазме палочковидные включения, ультраструктурный анализ которых показал, что это рибосомально-ламиллярный комплекс.
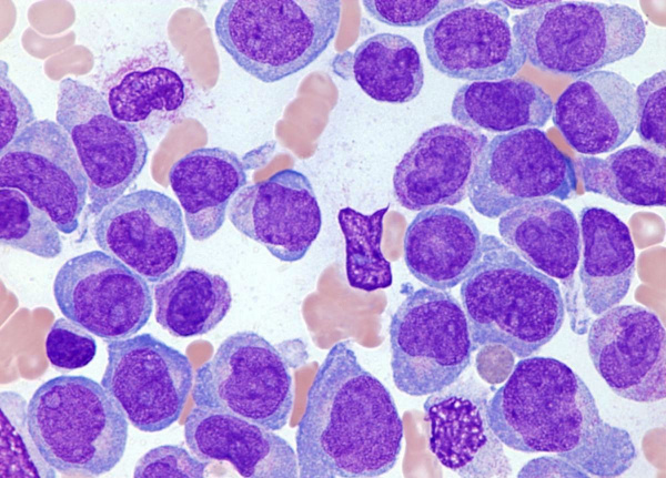
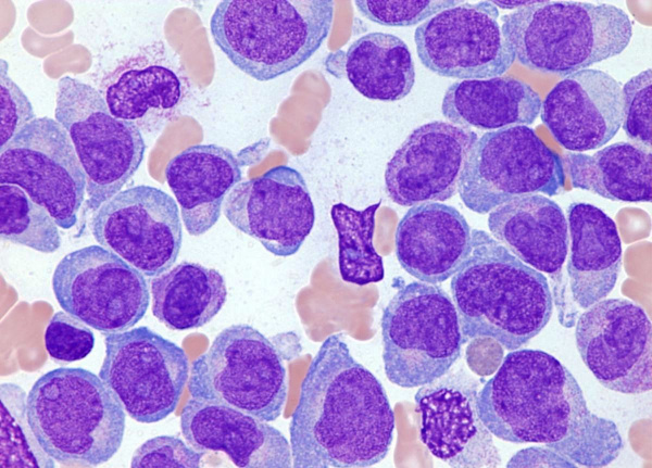
Костно-мозговой пунктат у больных волосатоклеточным лейкозом часто удается получить с трудом из-за фиброза костного мозга. У 10—20 % больных обнаруживают гипоклеточный костный мозг, у остальных — нормо- или даже гиперклеточный.
При исследовании пунктатов и трепанатов костного мозга видно, что инфильтрация патологическими клетками независимо от их количества, как правило, имеет диффузный характер, лишь изредка встречаются локальные компактные участки патологической инфильтрации. В большинстве случаев независимо от выраженности инфильтрации отмечается заметное угнетение нормального кроветворения. Характерно малое количество митозов.
Даже в тех случаях, когда патологические клетки диффузно инфильтрируют костный мозг, инфильтрат не выглядит таким «плотным», как при хроническом лимфолейкозе. Он значительно менее «плотный» и более светлый, поскольку ядра клеток отделены друг от друга довольно широким ободком цитоплазмы. Аналогичная морфологическая картина обнаруживается при гистологическом исследовании селезенки и других органов и тканей в случае их специфического поражения.
Для волосатоклеточного лейкоза характерно поражение красной пульпы селезенки. При других лимфопролиферативных заболеваниях почти всегда имеется инфильтрация патологическими клетками белой пульпы.
Важнейшим диагностическим признаком при волосатоклеточном лейкозе, помимо морфологии опухолевых клеток, является обнаружение в их цитоплазме кислой фосфатазы, которая представлена ее 5-м изоферментом, не ингибируемым натрия тартратом. Высокая активность тартратрезистентной кислой фосфатазы выявляется в лейкемических клетках у 95 % больных волосатоклетоным лейкозом. Этот вид кислой фосфатазы определяется в лейкемических клетках и при других заболеваниях, в частности при пролимфоцитарном лимфолейкозе, поэтому ее наличие не может быть единственным диагностическим критерием.
Однако высокая активность фермента характерна именно для волосатоклеточного лейкоза, при других лимфопролиферативных заболеваниях она встречается не более чем в 3 % случаев. Количество клеток с высокой активностью этого фермента у разных больных волосатоклеточным лейкозом может колебаться в широких пределах — от 20 до 100 %.
В типичных клетках с отростчатой цитоплазмой кислая фосфатаза практически никогда не ингибируется натрия тартратом, в то время как в половине клеток с фестончатой цитоплазмой кислая фосфатаза частично или полностью ингибируется им.
Иммунологические исследования показали, что при волосатоклеточном лейкозе более чем в 90 % случаев лейкемические клетки имеют иммунофенотип зрелых В-лимфоцитов. Они экспрессируют мембранные иммуноглобулины разных классов с одной и той же L-цепью: в большинстве случаев IgG, чаще всего IgG3, обычно в сочетании с IgM и/или IgD, иногда с IgA. Преобладание клеток с экспрессией IgG3 отличает волосатоклеточный лейкоз от других лимфопролиферативных заболеваний.
Читайте также:
