Диастолическая сердечная недостаточность. Гипоксия и ишемия.
Добавил пользователь Владимир З. Обновлено: 27.01.2026
Гипертрофия левого желудочка (ГЛЖ) рассматривается как основной предиктор сердечно-сосудистой смертности. Под термином «ремоделирование», пришедшим на смену понятию ГЛЖ, подразумевают весь комплекс изменений, возникающих на различных уровнях: от макроскопического до биохимического и генетического, неизбежно сопровождающихся нарушением диастолической и систолической функций миокарда, нарушением его кровоснабжения и сердечного ритма. На современном этапе основное в подборе препарата для лечения и профилактики ГЛЖ – его органопротективный эффект, в частности обеспечение регресса ремоделирования. Одной из наиболее перспективных в этом плане фармакологических групп являются блокаторы ангиотензина (АТ) II (БРА), в частности ирбесартан. Это обусловлено ведущей ролью ренин-ангиотензин-альдостероновой системы в патогенезе ГЛЖ и наличием альтернативного пути образования АТII, неподконтрольного ингибиторам ангиотензин-превращающего фермента. Эффективность ирбесартана при артериальной гипертензии доказана в многочисленных исследованиях. Новые данные, касающиеся патогенеза гипертрофической кардиомиопатии, позволяют надеяться на успешное использовании БРА и при этом заболевании.
Ключевые слова
Об авторах
Институт кардиологии им. А.Л. Мясникова ФГУ «РК НПК Росмедтехнологии», Москва
Россия
Тел.: (495) 414-63-41
Институт кардиологии им. А.Л. Мясникова ФГУ «РК НПК Росмедтехнологии», Москва
Россия
Тел.: (495) 414-63-41
Список литературы
1. Kannel WB. In: Left ventricular hypertrophy and its regression. Eds. Craickshank JM, Messerli FH. London 1992; 1-11.
2. Kannel WB. Left ventricular hypertrophy as a risk factor in arterial hypertension. Eur Heart J 1996; 13(Suppl D): 82-8.
3. Cooper RS, SimmonsB, CastanerA, et al. Left ventricular hypertrophy is associated with worse survival independence of left ventricular function and coronary arteries severe narrowed. Am J Cardiol 1990; 65: 441-5.
4. Шляхто Е.В., Кондри А.О. Структурно-функциональные изменения миокарда у больных гипертонической болезнью. Кардиология 1999; 2: 49-55.
5. Кушаковский М.С. Гипертоническая болезнь (эссенциальная гипертензия): причины, механизмы, клиника, лечение. Санкт-Петербург 1995; 311с.
6. Сидоренко Б.А., Преображенский Д.В. Гипертрофия миокарда левого желудочка: патогенез, диагностика и возможность обратного развития под влиянием гипертензивной терапии. Кардиология 1998; 5: 80-5.
7. Беленков Ю.Н., Агеев Ф.Т., Мареев В.Ю. Знакомьтесь: Диастолическая сердечная недостаточность. Серд недостат 2000; 1(2): 40-4.
8. Арутюнов Г.П., Чернявская Т.К., Розанова А.В. и др. Мониторинг диастолической дисфункции левого желудочка и микроальбуминурии, как критерий эффективности коррекции «мягкой» гипертонии. Серд недостат 2000; 2: 56-60.
9. Вебер В.Р., Рубанова М.П., Жмайлова С.В. и др. Диастолическая дисфункция левого и правого желудочков у больных артериальной гипертонией и возможности ее коррекцию. Серд недостат 2005; 6(3): 107-9.
10. Мазур Н.А., Глотов В.В. Диастолическая функция левого желудочка при гипертонической болезни. Кардиология 1994; 1: 90-2.
11. Post WS, Larson MG, Myers RH, et al. Cardiac structural prescurvers of hypertension the Faminham Heart Study. Circulation 1994; 90: 79-185.
12. Юренев А.П., Quatro VDe, Парфенова И.Е и др. Немая ишемия у больных гипертонической болезнью. Кардиология 1992; 2: 6-8.
14. Юренев А.П., Дубов П.Б., Чарыев Х.Э. Гипертоническое сердце. Ашгабат 1994; 282 с.
16. Lee RMKW. Vascular changes at the prehypertensive phase in the mesenteric arteries from spontaneously hypertensive rats. Blood vessels 1985; 22: 105-26.
17. Pinto YM. Buikema H, van Gilst WH, et al. Cardiac hypertrophy and dysfunction, independed from blood pressure increase, in transgenic rats expressing the mouse renin-2 gene. Eur Heart J 1994; 15: 567-9.
18. Tanase H, Yamori Y, Hansen CT, Lovenberg W. Heart size in inbred strains of rats. Part 1. Genetic determinants of the development of cardiovascular enlargement in rats 1982. Hypertension 1982; 4: 864-72.
19. Jalil JE, Piddo AM, Cordova S, et al. Prevalence of the angiotensin I converting enzyme insertion/deletion polymorphism, plasma angiotensin converting enzyme activity, and left ventricular mass in a normotensive Chilean population. Am J Hypertens 1999; 12: 697-704.
20. De Simone G, Devereux RB, Poman MJ, et al. Echocardiographic left ventricular mass and electrolite intake predict arterial hypertension. Ann Intern Med 1991; 114: 202-9.
21. Allermann Y, Aeschbacher B, Zwysing P, et al. Left ventricular structure and determinants in normotensive offspring of essential hypertensive patients. J Hypertens 1992; 10: 1257-64.
22. Schunkert H, Bryckel U, Hengstenberg C. at al. Familial predisposition of left ventricular hypertrophy. JACC 1999; 33: 1685-91.
23. Post WS, Larson MG, Myers RH. Heritability of left ventricular mass: the Framingham Heart Study. Hypertension 1997; 30: 1025-8.
24. Rizzoni D, Porteri E, Castellano M, et al. Vascular hypertrophy and remodelling in secondary hypertension. Hypertension 1996; 28: 785-90.
25. Levy D, Savage DD, Garrison RJ, et al. Echocardiographic criteria for the left ventricular hypertrophy: the Framingham Heart Study. Am J Cardiol 1987; 59: 956-60.
26. Шляхто Е.В., Конради А.О. Роль генетических факторов в ремоделировании сердечно-сосудистой системы при гипертонической болезни. Артер гиперт /media/gyper/02_03/107.shtml:: Sunday, 25-Aug-2002 18:47:01 MSD.
27. Nunez DJR, Clifford CP, Al-Mahdawi S, Dutka D. Hypertensive cardiac hypertrophy – is genetic variance the missing link? Br J clin pharmac 1996; 42: 99-106.
28. Целуйко В.И. Гипертрофия миокарда левого желудочка при артериальной гипертензии. HTML. Solvay.farm/ru.
29. Моисеев В.С. Достижения и спорные вопросы в изучении кардиомиопатии и миокардитов. Практ врач: Прил к журн «Медикал маркет» 1996; 4: 4-10.
30. Busiahn A, Li GH, Faulhaber HD, et al. Beta-2-adrenegic receptor gene variations, blood pressure and heart size in normal twins. Hypertension 2000; 35: 555-603.
31. Simpson PC. Molecular mechanisms in myocardial hypertrophy. Heart Failure 1989; 5(3): 113-29.
32. Lee YA, Lindpaintner K. Role of the cardiac renin-angiotensin system in hypertensive cardiac hypertrophy. Eur Heart J 1993; 14(Suppl. J): 42-8.
34. Сидоренко Б.А, Преображенский В.В., Сополева Ю.В. Лазартан – первый представитель нового класса гипотензивных препаратов. Кардиология 1996; 1: 84-9.
35. Horiuchi M. Tyrosine phosphatase activation mediates the angiotensin II type receptor induction of apoptosis. J Hypertens 1996; l4: 733-40.
36. Кисляк О.А. Оптимальная блокада ренин-ангиотензин- альдостероновой системы: современные принципы лечения артериальной гипертензии блокаторами ангиотензиновых рецепторов. Фарматека 2005; 20: 34-9.
37. De Rosa ML, Cardace P, Rossi M, et al. Comparative effects of chronic ACE inhibition and AT1 receptor blocked losartan on cardiac hypertrophy and renal function in hypertensive patients. J Hum Hypertens 2002; 16: 133-40.
38. Чихладзе Н.М., Чазова И.Е. Эффективность воздействия блокатора АТ1-ангиотензиновых рецепторов ирбесартана на органы-мишени у больных артериальной гипертонией. Сист гиперт 2004; 06(2).
39. Parving H-H, Osterby R, Ritz E, et al. The effect of irbesartan on the development of diabetic nephropathy in patients with type 2 diabetes. N Engl J Med 2001; 20(345) 12: 870-8.
40. Lindholm LH, Ibsen H, Dahlof B, et al. Cardiovascular morbidity and mortality in patients with diabetes in the Losartan Intervention for Endpoint Reduction in Hypertension study (LIFE): a randomized trial against atenolol. Lancet 2002; 359: 1004-10.
41. Lewis EJ, Hunsicker LG, Clarke WR, et al. Renoprotective effects of the angiotensin-receptor antagonist irbesartan in patients with nephropathy due to type 2 diabetes. N Engl J Med 2001; 20(345) 12: 851-60.
42. Malmqist K, Kohaner T, Edner M, et al. Regression of ventricular hypertrophy in human hypertention with irbesartan. J Hypertens 2001; 19(6): 1167-76.
43. Kurland L, Melhus H, Karlsson J, et al. Aldosterone synthase (CYP11B2) -344 C/T polymorphism is related to antihypertensive response: result from the Swedish Irbesartan Left Ventricular Hypertrophy Investigation versus Atenolol (SILVHIA) trial. Am J Hypertens 2002; 15(5): 389-93.
44. Kurland L, Melhus H, Karlsson J, et al. Swedish Irbesartan Left Ventricular Hypertrophy Investigation versus Atenolol (SILVHIA) Trial. Angiotensin converting enzyme gene polymorphism predicts blood pressure response to angiotensin II receptor type 1 antagonist treatment in hypertensive patients. J Hypertens 2001; 19(10): 1783-7.
45. Mellen P.B., Herrington D.M. Pharmacogenomics of blood pressure response to antihypertensive treatment. J Hypertens 2005; 23: 1311-25.
46. Мареев В.Ю., Овчинников А.Г., Агеев Ф.Т., Беленков Ю.Н. Влияние ингибиторов АПФ и антагонистов рецепторов к ангиотензину-II на диастолическую функцию левого желудочка у пациентов с сердечной недостаточностью и относительно сохранной систолической функцией левого желудочка: результаты исследования «Периндоприл, ИРбесартан и АмлодипиН у болЬных с ХСН и сохраненной систолической функцией левого желудочка (ПИРАНЬЯ)». ЖСН 2005; 6(1).
48. McKenna WJ, Behr ER. Hypertrophic cardiomyopathy: management, risk stratification, and prevention of sudden death. Heart 2002; 87: 169-76.
49. Expert consensus document on angiotensin converting enzyme inhibitors in cardiovascular disease The Task Force on ACE- inhibitors of the European Society of Cardiology. Eur Heart J 2000; 25(16): 1454-70.
50. McKenna WJ, Sharma S, Elliot PM. Management strategies in hypertrophic cardiomyopathy: influence of age and morphology. Eur Heart J 2004; 3(Suppl L): L10-4.
51. Nugent AW, Daubeney PEF, Chondros P, MSc Clinical Features and Outcomes of Childhood Hypertrophic Cardiomyopathy. Results From a National Population-Based Study. Circulation 2005; 112: 1332-8.
52. Marian A, Roberts R. The molecular genetic basis for hypertrophic cardiomyopathy. J Mol Cell Cardiol 2001: 33: 655-70.
53. Wigle ED, Adelman AG, Silver MD. Pathophysiological consideration in muscular subaortic stenosis.In Wolstenholme GEW, O’Connor M/eds/: Hypertrophic Obstructive Cardiomyopathy. London, UK: Churchill 1971: 63-70.
54. Гуревич М.А Является ли консервативная терапия гипертрофической кардиомиопатии альтернативой хирургическому лечению? РКЖ 2001; 3.
55. Lim DS. Lutucuta S, Bachireddy P, et al. Angiotensin II blockade reverses myocardial fibrosis in a transgenic mouse model of human hypertrophic cardiomyopathy. Circulation 2001; 103(6):789-91.
Диастолическая сердечная недостаточность. Гипоксия и ишемия.
Диастолическая сердечная недостаточность. Гипоксия и ишемия.
Диастолическая сердечная недостаточность. Данный вариант сердечной недостаточности отражает ситуацию, при которой сердце не в состоянии принять необходимый венозный возврат крови. Это может быть связано с препятствиями наполнению (стенозы коллекторов легочных вен или атриовентрикулярных клапанов, трехпредсердное сердце) или плохой релаксацией желудочков (легочный стеноз, аортальный стеноз, кардиомиопатия). При последнем варианте, как правило, требуется повышенное венозное давление для поддержания адекватного сердечного выброса. У новорожденных часто наблюдается временная физиологическая «жесткость» правого желудочка. Сочетание последнего фактора с повышенной постнагрузкой (вследствие стеноза полулунных клапанов или высокого ОЛС) приводит к быстрому развитию синдрома низкого сердечного выброса вскоре после рождения («критический» порок сердца).
Диастолическую функцию сердца оценивают по трансмитральному и транстрикуспидальному диастолическому кровотоку, в котором выделяют поток раннего наполнения (пик Е на ЭхоКГ) и поток предсердной систолы (пик А).
У плода отношение Е/А меньше единицы, наполнение желудочков зависит в основном от систолы предсердий. После рождения по мере созревания миокарда и снижения его резистентности роль пассивного наполнения возрастает; в период от одного до 3—6 месяцев отношение Е/А становится больше единицы.
В большинстве случаев нарушения систолической и диастолической функций сердца сочетаются.

Гипоксия и ишемия.
Конечным результатом недостаточной доставки кислорода к клеткам является их гипоксия и гибель. Однако в основе этого процесса могут лежать различные механизмы — собственно гипоксия или ишемия. Оба этих термина отражают нарушение питания органов и тканей, однако имеют различный физиологический смысл. При гипоксии снижено содержание кислорода в притекающей к тканям крови, при ишемии - снижен объем притекающей крови. Врожденные пороки могут сопровождаться обоими этими механизмами нарушения кровообращения, причем они касаются как самого сердца, так и других органов. Характерными примерами являются аортальный стеноз и транспозиция магистральных артерий.
При аортальном стенозе со значительной гипертрофией миокарда левого желудочка рост мелких коронарных сосудов отстает от потребностей, нарушается кровоток преимущественно в субэндокардиальных слоях миокарда и возникает ишемия этой зоны. При транспозиции магистральных артерий объемный кровоток в коронарные сосуды не уменьшен, однако из аорты поступает кровь с резко сниженным содержанием кислорода, что приводит к гипоксии миокарда.
Вид нарушения кровообращения определяет терапевтические и хирургические мероприятия: при ишемии необходимо стремиться к восстановлению объема кровотока, при гипоксии — к повышению содержания кислорода в крови.
Индекс оксигенации.
Этот индекс используют для оценки эффективности искусственной вентиляции легких. Он отражает интенсивность усилий, необходимых для достижения данной оксигенации артериальной крови и рассчитывается по формуле: ИО = (СрД • Fp2 • 100)/рО2, где ИО - индекс оксигенации, СрД — среднее давление в дыхательных путях (см вод. ст.), F02 - фракционное содержание кислорода во вдыхаемой смеси (десятичная дробь), ра02 — парциальное давление кислорода в артериальной крови (мм рт. ст.). Чем выше индекс, тем тяжелее состояние пациента.
Информация на сайте подлежит консультации лечащим врачом и не заменяет очной консультации с ним.
См. подробнее в пользовательском соглашении.
Выборгский район
Инфаркт миокарда - это очаговый некроз (омертвение) сердечной мышцы (миокарда), обусловленный более или менее длительным прекращением доступа крови к миокарду.
В основе этого процесса лежит нарушение проходимости одной из коронарных (венечных) артерий сердца, пораженных атеросклерозом, которая приводит к коронарной недостаточности сердца.
Атеросклероз - это длительный процесс, который постепенно ведет к сужению сосудов, замедлению тока крови.
Инфаркт – самое тяжелое проявление ишемической болезни сердца.
Нарушение проходимости коронарных артерий может произойти в результате закупорки артерии тромбом или из-за резкого его сужения - спазма.
Причины инфаркта
· Атеросклероз + нервно-психическое напряжение, физическая нагрузка.
· Стресс. В результате стресса происходит выброс катехоламинов, которые усиливают и учащают сердечные сокращения, вызывающих сужение сосудов, в результате возникает хроническая гипоксия тканей и органов.
Инфаркт чаще возникает у мужчин в возрасте 40-60 лет, а иногда и у более молодых. Заболевают чаще лица ведущие малоподвижный образ жизни, склонные к атеросклерозу, гипертонической болезни, ожирению, диабету и другим нарушениям обмена веществ.
Клиника включает 2 синдрома:
1. Болевой синдром (условно)
2. Резапционно-некротический синдром (условно).
Болевой синдром - это клиническое проявление развивающегося очага некроза. (1-ая стадия некроза).
Типичный болевой синдром - это боль в области сердца, жгучая, давящая, иррадиирующая шире, чем при стенокардии в левую руку, правую, челюсть. Нет положения, успокаивающего боль. Боль нарастающая, больной бледный, появление липкого холодного пота, цвет кожных покровов серо-бледный, потом восковидный, может быть одутловатое лицо, аритмия. Систолическое давление падает, диастолическое остается на одном уровне или поднимается. Уменьшение расстояния АД между систолическим и диастолическим - признак инфаркта. Пульс слабый, нитевидный. Тоны глухие.
Атипичный болевой синдром.
· 1-ая группа - Гастралгическая боль, изжога, слабость, рвота через 5-10 мин после еды, как правило сопровождается нарушением стула, вздутием живота.
· 2-ая группа - Безболевой синдром, по типу приступа сердечной астмы (status astmaticus), удушье, клокочущее дыхание.
Инфаркт может протекать в следующих формах:
· Аритмическая форма - пока аритмия не купирована, больного надо лечить как при инфаркте.
· Форма преходящего мозгового кровообращения.
· Бессимптомная форма - жалоб нет.
Осложнения инфаркта миокарда
При отсутствии своевременного лечения инфаркт миокарда может привести к острой сердечной недостаточности, кардиогенному шоку, разрыву сердца, нарушениям сердечного ритма и другим опасным состояниям.
Осложнения, связанные с инфарктом миокарда, требуют неотложной медицинской помощи.
При появлении описанных выше симптомов, необходимо в срочном порядке вызвать скорую помощь. Оказать первую помощь - придать человеку удобное сидячее или лежачее положение, дать нитроглицерин (его рассасывают под языком) и корвалол (30-40 капель внутрь).
Профилактика инфаркта
Профилактикой инфаркта миокарда является ежегодная диспансеризация и своевременная адекватная терапия хронических заболеваний, таких как ишемическая болезнь сердца, гипертоническая болезнь, атеросклероз и др.
Лекция для пенсионеров железнодорожного транспорта на тему: «Хроническая сердечная недостаточность»
09.04.2019г в НУЗ «Отделенческая поликлиника на ст. Тайшет ОАО «РЖД» врачом кардиологом Авхачевой Татьяной Владимировной была проведена лекция для пенсионеров железнодорожного транспорта на тему: «Хроническая сердечная недостаточность».

Лекция № 6 Хроническая сердечная недостаточность (ХСН).
Хроническая сердечная недостаточность - это патологическое состояние, возникающее в исходе практически всех кардиологических и некоторых внесердечных заболеваний (тиреотоксикоз, алкоголизм), характеризующееся сократительной дисфункцией миокарда и вследствие этого застоем крови в малом и большом кругах кровообращения с поражением остальных органов и систем организма.
Различают право- и левожелудочковую недостаточность, но в рамках данной патологии это не анатомическое разделение, а стадии одного процесса. Кроме этого, по характеру патологических изменений и согласно критериям ультразвуковой диагностики принято выделять диастолический и систолический типы дисфункции левого желудочка. При диастолическом типе левый желудочек не способен полноценно расслабиться и принять должный объем крови, что вызывает перегрузку объемом левого предсердия и застойные явления в легких. Фракция выброса крови в аорту сохранена. Систолический тип характеризуется наличием дилатации (расширения полости) левого желудочка, что приводит к нарушению его сократимости, и к снижению сердечного выброса, то есть внутренние органы получают меньшее количество крови.

На рисунке изображена дилатационная кардиомиопатия, для которой характерно нарушение сократимости миокарда левого желудочка.
Подобное подразделение имеет смысл с точки зрения лечебной тактики, так как при диастолической дисфункции миокард не может расслабиться, а при систолической, наоборот, не может сокращаться нормально, что влечет за собой определенный подбор кардиологических препаратов.
Причины хронической сердечной недостаточности
К изнашиванию сердечной мышцы могут привести следующие заболевания:
- ишемическая болезнь сердца и перенесенные инфаркты миокарда,
- миокардиты (вирусные, бактериальные, ревматические воспалительные процессы),
-артериальная гипертония (гипертоническое сердце),
- кардиомиопатии (гипертрофическая, рестриктивная и дилатационная),
- миокардиодистрофии (нарушение обменных процессов в мышечных клетках),
- нарушения ритма и проводимости (чаще всего постоянная форма мерцательной аритмии),
- кардиосклероз,
- врожденные и приобретенные пороки сердца,
- бактериальный эндокардит,
- выпотной и слипчивый перикардит (скопление жидкости в полости сердечной сорочки, склеивание листков перикарда, что приводит к ограничению расслабления миокарда),
- болезни бронхолегочной системы (хроническая обструктивная болезнь легких, бронхиальная астма) приводят к формированию легочного сердца с развитием преимущественно правожелудочковой недостаточности,
- хроническая алкогольная интоксикация,
- общее старение организма.
Симптомы хронической сердечной недостаточности
Основными проявлениями дисфункции миокарда являются быстрая утомляемость, одышка, похоладание и синюшняя окараска ногтей, стоп (акроцианоз), отеки голеней и стоп, скопление жидкости в брюшной полости (асцит), в грудной клетке (гидроторакс), в полости перикарда (гидроперикард), «сердечная» астма с эпизодами отека легких, анасарка (отек всего тела).
Степень выраженности симптомов зависит от стадии течения недостаточности. В связи с этим кардиологами Василенко и Стражеско была разработана классификация, названная их именами. Она включает следующие стадии:
- Стадия I – стадия начальных проявлений хронической сердечной недостаточности. Пациента беспокоят зябкость и похолодание конечностей, незначительные отеки голеней и стоп, возникающие ближе к вечеру и проходящие утром, повышенная утомляемость и общая слабость, обусловленные снижением кровотока в коже и скелетной мускулатуре. При физических нагрузках (ходьба пешком на большие расстояния, подъем по лестнице) возникают одышка, приступы сухого кашля, учащенное сердцебиение, вызывающее дискомфорт. Одышка и быстрая утомляемость – наиболее частые симптомы, встречающиеся на данной стадии. От момента возникновения основного заболевания до выраженной клинической картины недостаточности может пройти от нескольких месяцев до многих лет.
- Стадия II А – застой крови в одном из кругов кровообращения. Характеризуется нарушением кровотока в малом (легкие) или в органах большого круга кровообращения (печень, почки, скелетные мышцы, головной мозг и др). Венозный застой в легких клинически проявляется возникновением приступов «сердечной» астмы или эпизодов отека легких. «Сердечная» астма развивается чаще в ночное время суток, так как обусловлена горизонтальным положением человека, при котором кровь еще более застаивается в легких. Пациента при приступе беспокоят чувство удушья, навязчивый сухой кашель, невозможность сделать глубокий вдох, беспокойство, учащенное сердцебиение; облегчение может наступить в положении полусидя или с приподнятым головным концом кровати. Для отека легких характерно шумное, клокочущее дыхание, влажный кашель с пенистой мокротой розового цвета (вследствие небольших разрывов капилляров). Венозный застой в органах большого круга кровообращения проявляется тяжестью и болями в правом подреберье, увеличением окружности живота, желтушностью кожи и склер (из-за застоя в печени и ее увеличения с нарушением функций), нарастанием отеков (в том числе и из – за задержки соли в организме, так как нарушается работа почек), головными болями, бессонницей, слабо выраженными нарушениями психики и интеллекта (из-за нарушения кровоснабжения головного мозга).
- Стадия II В – венозный застой и нарушение гемодинамики в обоих кругах кровообращения, проявляется симптомами, характерными для нарушения функции вышеперечисленных органов.
- Стадия III – выраженной сердечной недостаточности, необратимых дистрофических изменений во всех органах и тканях. Пациента беспокоит постоянная одышка в покое, большую часть времени он проводит в постели в положении полулежа. Развивается кардиальный цирроз печени. Отеки принимают характер анасарки, сердце и легкие сдавливаются жидкостью в грудной и брюшной полостях, артериальное давление снижено. Происходит полное истощение сердечной мышцы, печени, почек, головного мозга, и наступает летальный исход.
Кроме клинической, существует еще функциональная классификация ХСН, разработанная Нью –Йоркской Ассоциацией Сердца, и призванная оценить физические резервы пациента.
- При I функциональном классе (ФК) пациент испытывает определенные затруднения только при очень значительных физических нагрузках, а начальные стадии изменения сердца могут быть заподозрены по результатам УЗИ сердца, а не на основании симптомов.
- II ФК проявляется умеренным ограничением физической активности, то есть жалобы беспокоят пациента при выполнении обычных нагрузок.
- III ФК характеризуется выраженным ограничением физической активности - небольшие нагрузки способны спровоцировать появление симптомов; пациент чувствует себя комфортно только в состоянии покоя.
- Для IV ФК характерно наличие жалоб при минимальной бытовой активности и в покое, пациент не способен к самообслуживанию.
Диагностика хронической сердечной недостаточности
Диагноз устанавливается на основании соответствующих жалоб, опроса и осмотра больного. При аускультации грудной клетки выслушивается ослабление сердечных тонов, нерегулярный сердечный ритм при нарушениях ритма и проводимости, патологические тоны и шумы при пороках сердца, сухие или влажные хрипы в легких при застое крови в них.
Основным методом диагностики заболевания является эхокардиография (УЗИ сердца). Метод позволяет выявить патологию, послужившую причиной развития недостаточности, оценить общую сократимость миокарда и разграничить диастолическую и систолическую дисфункцию миокарда, так как при первом типе фракция выброса нормальная или повышена (более 50%), при втором – снижена (менее 40%).
Кроме УЗИ сердца, назначаются лабораторные (общие анализы крови и мочи, биохимические, иммунологические и гормональные исследования крови) и инструментальные методы диагностики. Из последних применяются следующие:
- ЭКГ – выявляет ишемию миокарда, признаки постинфарктного кардиосклероза, нарушения ритма, гипертрофию предсердий или желудочков, блокады и другие признаки. При необходимости могут быть назначены суточное мониторирование ЭКГ и артериального давления, ЭКГ с нагрузкой (тредмил тест, велоэргометрия – для определения функционального класса стенокардии и хронической сердечной недостаточности)
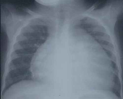
- рентгенография органов грудной полости – может показать расширение тени сердца в связи с гипертрофией миокарда или дилатацией желудочков, изменения в нижних отделах легких или по всем легочным полям (признаки венозного застоя или отека легких соответственно).

На рентгенограмме органов грудной клетки видно увеличение всех камер сердца, называемое кардиомегалией.
- коронарография может быть показана пациентам с ИБС с целью оценки проходимости венечных артерий и определения необходимости в кардиохирургическом лечении
- УЗИ печени, почек выявляет структурные изменения в органах вследствие застоя крови и хронической гипоксии (гепатомегалия – увеличение печени, кардиальный цирроз печени, вторичное сморщивание почек)
- УЗИ щитовидной железы назначается с целью выявления заболеваний, способных являться причиной поражения сердца (узловой зоб, диффузный токсический зоб)
Перечень необходимых методов диагностики определяется лечащим врачом индивидуально в процессе клинического осмотра.
Лечение хронической сердечной недостаточности
Целями лечения данного заболевания являются уменьшение выраженности симптомов основной патологии, замедление прогрессирования недостаточности и улучшение качества жизни пациентов. Медикаментозное лечение назначается длительно и непрерывно, с коррекцией по мере необходимости препаратов, их дозировок и комбинаций. Из лекарственных препаратов при недостаточности показаны следующие основные группы:
- ингибиторы АПФ. Оказывают антигипертензивное и органопротекторное действие, то есть не только понижают артериальное давление, но и защищают органы – мишени – сердце, сосуды, почки, головной мозг. К ним относятся престариум, зокардис, хартил и др.
- антагонисты рецепторов к ангиотензиногену II – обладают аналогичными свойствами. Включают такие препараты, как лориста, микардис, вазотенз.
- диуретики (мочегонные препараты). Назначаются для уменьшения объема циркулирующей крови и, соответственно, «разгрузки» органов, в которых происходит застой крови. Включают быстродействующие препараты - лазикс (фуросемид), диувер (торасемид), назначающиеся в основном при выраженном отечном синдроме и в случае острой сердечной недостаточности, например, при отеке легких. Также к этой группе относятся тиазидные (гипотиазид, индапамид) и калийсберегающие диуретики (верошпирон).
- бетта – адреноблокаторы. Понижают частоту сердечных сокращений, тем самым уменьшают потребность миокарда в кислороде, что важно для терапии ИБС, снижают общее сопротивление сосудов, благодаря чему кровь более свободно проталкивается из сердца в сосуды. Включают в себя такие препараты, как бисогамма, рекардиум, беталок.
- антикоагулянты и антиагреганты. Воздействуют на свертывающую систему крови, препятствуя образованию тромбов. К первым относятся клопидогрел (плавикс), варфарин, ко вторым – препараты аспирина – ацекардол, аспирин Кардио, кардиомагнил . Назначение антикоагулянтов требуют более регулярного (желательно, ежемесячного) контроля за состоянием системы крови (МНО, АЧТВ, протромбиновое время), так как увеличивается риск кровотечений.
- нитраты - препараты нитроглицерина, оказывают расслабляющее влияние на вены, уменьшая приток крови к сердцу, что способствует более эффективному сердечному выбросу, а также расширяют коронарные сосуды, увеличивая кровоснабжение миокарда. Препараты короткого действия (нитроглицерин, нитроминт, нитроспрей) применяются для купирования приступов стенокардии, препараты среднего и длительного действия (моночинкве, пектрол, изокет) назначаются при стенокардии III и IV ФК, также нитраты внутривенно эффективны при лечении отека легких, но в сочетании с препаратами, повышающими тонус сосудов (для предупреждения резкого падения АД и коллапса). Побочным эффектом является стойкая головная боль в первые дни приема препаратов, обусловленная расширением сосудов головного мозга.
- гиполипидемические препараты оказывают влияние на обмен холестерина и липидов, его образующих, способствуя понижению уровня «плохого» холестерина в крови. К ним относятся статины – аторис, ловакор, симло и многие другие).
- сердечные гликозиды применяются с целью повышения сократимости миокарда и урежения ЧСС. Назначаются в основном при наличии у пациента постоянной формы мерцательной аритмии, и/или наличии систолической дисфункции левого желудочка, когда сократимость снижена (фракция выброса менее 40%). При наличии нормальной ФВ или диастолической дисфункции назначение не оправдано. К препаратам данной группы относятся дигоксин (новодигал).
- антагонисты кальциевых каналов воздействуют на мышечные клетки сосудов и сердца, расслабляя их, в результате чего снижается АД, расширяются коронарные артерии, и сила сердечных сокращений. В связи с последним эффектом назначение препаратов данной группы не оправдано при наличии систолической дисфункции ЛЖ, так как сократимость миокарда и так страдает. В эту группу входят нифедипин, верапамил и дилтиазем (торговые названия – дильцем, амлодипин, коринфар).
Кроме монопрепаратов, могут назначаться комбинации различных действующих веществ в одной таблетке, что существенно упрощает схему приема препаратов и улучшает комплаентность – приверженность пациента к лечению. В эту группу входят престанс (амлодипин + периндоприл), нолипрел А и Аби форте (индапамид + периндоприл).
Хирургическое лечение заключается в оперативной коррекции первоначального заболевания, если это возможно. Все показания и противопоказания определяются строго индивидуально, так как очень важно правильно оценить возможные риски и уловить тонкую грань, когда операция уже нужна, но еще не противопоказана из-за общего тяжелого состояния организма, как это, например, происходит при приобретенных пороках сердца. Операции показаны при сложных нарушениях ритма (радиочастотная аблация легочных вен, установка электрокардиостимулятора), при ИБС (стентирование коронарных сосудов и аорто-коронарное шунтирование), при аневризме ЛЖ (иссечение и ушивание рубцового выпячивания), при врожденных и приобретенных пороках сердца.
Образ жизни при хронической сердечной недостаточности
Образ жизни при данной патологии состоит из некоторых составляющих:
- режим – пациенту необходимо организовать правильный режим труда и отдыха, обеспечить достаточное количество времени сна в сутки, больше находиться или гулять на свежем воздухе.
- правильное питание – залог здоровья не только сердечной мышцы, но и всего организма в целом. Необходимо организовать режим приема пищи – питание должно быть частым, малыми порциями (5 – 6 раз в день). При отечном синдроме рекомендуется ограничить количество поваренной соли в пище(до 3г в сутки). Следует исключить алкоголь, курение, острые, жирные блюда, ограничить употребление животных жиров в пищу, жирных сортов мяса и рыбы, и больше потреблять фруктов, овощей и кисломолочных продуктов.
- физическая активность - при начальных стадиях ХСН можно заниматься лечебной физкультурой по назначению врача, при выраженных стадиях исключить физические и психоэмоциональные нагрузки, способствующие появлению симптомов.
- соблюдение врачебных предписаний – очень важно для предупреждения развития осложнений и для замедления прогрессирования недостаточности своевременно посещать врача и проводить назначенные обследования, а также регулярно принимать препараты.
Осложнения хронической сердечной недостаточности
У пациентов с хронической сердечной недостаточностью могут развиться такие опасные состояния, как внезапная сердечная смерть, острая сердечная недостаточность, отек легких, тромбоэмболические осложнения (инфаркт, инсульт, тромбоэмболия легочных артерий), частые и затяжные пневмонии.
Профилактикой их развития служат прием назначенных лекарств, своевременное определение показаний к оперативному лечению, назначение антикоагулянтов по показаниям, антибиотикотерапия при поражении бронхолегочной системы.
Прогноз
Прогноз при отсутствии лечения неблагоприятный, так как большинство болезней сердца приводят к его изнашиванию и развитию тяжелых осложнений. При проведении медикаментозного и/или кардиохирургического лечения прогноз благоприятный, потому что наступает замедление прогрессирования недостаточности или радикальное излечение от основного заболевания.
результаты ПЦР тестов

В период майских праздников в поликлиниках Кабанского района ежедневно работали прививочные кабинеты по вакцинации от COVID-19.
С начала вакцинации в район поступило 6290 доз вакцин, 700 из них доставили в ЦРБ 10 мая. По данным регистра вакцинированных, всего у нас привито 5304 человек, из них 2025человек - это жители района старше трудоспособного возраста и лица с хроническими заболеваниями.
На вакцинацию принимают по живой очереди, по предварительной записи по телефону, либо через личный кабинет госуслуг. Для прохождения вакцинации при себе необходимо иметь паспорт, медицинский полис, снилс. Перед проведением вакцинации обязательным является осмотр врачом терапевтом (фельдшером) заполнение анкеты и информированного согласия. После проведения вакцинации необходимо соблюдать меры предосторожности в части соблюдения санитарно -гигиенических правил (ношение маски, обработка рук), постараться максимально исключить риск заражения коронавирусной инфекцией, так как иммунитет формируется в течение 42 дней после проведения двухкратной вакцинации. Противопоказаниями к вакцинации являются: гиперчувствительность к какому-либо компоненту вакцины, тяжелые аллергические реакции, острые инфекционные и хронические заболевания, онкологические заболевания, также вакцинация запрещена для беременных и кормящих женщин и лиц младше 18 лет.
Не откладывайте вакцинацию, это единственный метод защиты от COVID-19 защитите себя и своих близких, общими усилиями мы создадим коллективный иммунитет!
Информацию о пунктах прохождения вакцинации в Кабанском районе вы можете получить по ниже указанным номерам телефонов регистратур:
Кабанск - 41236 Бабушкин - 70686
Селенгинск-74272 Выдрино- 93457
Каменск - 77385 Кудара - 79627
Администрация ГБУЗ «Кабанская ЦРБ» информирует:
В соответствии с утвержденной Программой модернизации первичного звена здравоохранения в Кабанскойм районе будут проведены следующие мероприятия по укреплению материально-технической базы:
1) Капитальный ремонт зданий поликлиники и стационара Каменской УБ на сумму более 40 млн. руб.
· Работы по ремонту поликлиники запланированы с 1 июня 2021 года сроком на 90 дней. Амбулаторно-поликлиническая медицинская помощь населению Каменского участка будет осуществляться на базе лечебного корпуса по адресу п. Каменск, ул. Подгорная, 33 («Сан. городок») и на базе детской консультации по адресу п. Каменск, ул. Школьная.
· Работы по капитальному ремонту здания стационара Каменской УБ начнутся ориентировочно с 1 июля, плановая длительность ремонта 90 дней. Стационарная помощь жителям Каменского участка на период ремонта будет осуществляться на базе Селенгинской РБ.
2) Строительство лифта в здании стационара Кабанской ЦРБ на сумму 6 млн. 557,0 тыс. руб.
3) Капитальный ремонт здания Выдринской участковой больницы на сумму 38 млн. 500,0 тыс. руб.
ВНИМАНИЕ! Ориентировочный срок начала работ 21 мая 2021 года. На время ремонта амбулаторно-поликлиническая помощь населению Выдринского участка будет осуществляться в приспособленном помещении здания по адресу ст. Выдринро, ул. Красногвардейская, 1 (здание бывшего Мостопоезда). Стационарная помощь-на базе Кабанской ЦРБ.
1) Капитальный ремонт здания стационара Кабанской ЦРБ с целью создания Первичного сосудистого отделения (ПСО) на сумму 24 млн. 146,0 тыс. руб.
2) Капитальный ремонт здания Бабушкинской ВА на сумму 80 млн. 538, 0 тыс. руб.
1) Строительство детской консультации и лаборатотрно-диагностического блока в Селенгинской районной больнице на сумму 161 млн 800 тыс. руб.
2) Капитальный ремонт главного корпуса Селенгинской РБ с целью размещения детского отделения на сумму 10 млн руб.
Читайте также:
