Диффузная аксональная травма
Добавил пользователь Евгений Кузнецов Обновлено: 27.01.2026
Диффузное аксональное повреждение головного мозга характеризуется длительным коматозным состоянием с момента травмы.
КЛИНИЧЕСКАЯ КАРТИНА
Характерная особенность клинического течения диффузного аксонального повреждения мозга — переход из длительной комы в стойкое или транзиторное вегетативное состояние, о наступлении которого свидетельствует открывание глаз спонтанно либо в ответ на различные раздражения (при этом нет признаков слежения, фиксации взора или выполнения хотя бы элементарных инструкций).
Предложено разделять диффузное аксональное повреждение мозга на 3 степени:
• лёгкую — кома от 6 до 24 ч;
• умеренную — кома более 24 ч, но без грубых стволовых симптомов;
• тяжёлую — длительная кома с грубыми персистирующими стволовыми симптомами, декортикацией, децеребрацией и т.п.
КТ-картина диффузного аксонального повреждения мозга характеризуется тем или иным увеличением объёма мозга (вследствие его отёка, набухания, гиперемии) со сдавлением боковых и III желудочков, субарахноидальных конвекситальных пространств, а также цистерн основания мозга. На этом фоне нередко можно выявить мелкоочаговые геморрагии в белом веществе полушарий мозга. При ушибах мозга тяжёлой степени при КТ часто выявляют очаговые изменения мозга в виде зоны неоднородного повышения плотности. При локальной томоденситометрии в них определяют чередование участков, имеющих повышенную (от 64 до 76 Н плотность свежих сгустков крови) и пониженную (от 18 до 28 Н — плотность отёчной и/или размозжённой ткани мозга) плотности. Для очагов размозжения характерна выраженность перифокального отёка с формированием гиподенсивной дорожки к ближайшему отделу бокового желудочка, через которую осуществляется сброс жидкости с продуктами распада мозговой ткани и крови.
СИМПТОМЫ
Обычно выражены стволовые симптомы (парез рефлекторного взора вверх, разностояние глаз по вертикальной или горизонтальной оси, двустороннее угнетение или выпадение фотореакций зрачков, нарушение формулы или отсутствие окулоцефалического рефлекса и др.). Типичны познотонические реакции: кома сопровождается симметричной либо асимметричной децеребрацией или декортикацией как спонтанными, так и легко провоцируемыми болевыми (ноцицептивными) и другими раздражениями. При этом чрезвычайно вариабельны изменения мышечного тонуса преимуществен но в виде горметонии или диффузной гипотонии. Обнаруживают пирамидно экстрапирамидные парезы конечностей, включая асимметричные тетрапарезы. Часто выявляют грубые нарушения частоты и ритма дыхания. Ярко выступают вегетативные расстройства: артериальная гипертензия, гипертермия, гипергидроз, гиперсаливация и др.
ЛЕЧЕНИЕ
Лечение должно производиться исключительно врачом-неврологом. Самолечение недопустимо. Ввиду многообразия повреждений мозга, костных структур и мягких тканей головы при ЧМТ лечение пострадавших требует строго дифференцированного подхода с учётом всех характеристик травмы, важнейшие из которых — клиническая форма повреждения мозга и тяжесть этого повреждения. Существует определённое соответствие между клинической формой травмы и степенью её тяжести. В то же время необходимо указать, что полного совпадения между этими характеристиками нет. Лечебная практика и многочисленные исследования, в том числе основанные на принципах доказательной медицины, показали, что наиболее важным критерием при проведении лечения служит степень тяжести ЧМТ. В связи с этим современные принципы ведения пострадавшего, выбор методов консервативного и хирургического лечения зависят главным образом от тяжести перенесённой травмы при учёте всех остальных её характеристик.
Диффузная аксональная травма
Кафедра судебной медицины и медицинского права Московского государственного медико-стоматологического университета
Некоторые аспекты диффузного аксонального повреждения мозга при травме головы
Журнал: Судебно-медицинская экспертиза. 2013;56(3): 18‑20
Ромодановский П.О. Некоторые аспекты диффузного аксонального повреждения мозга при травме головы. Судебно-медицинская экспертиза. 2013;56(3):18‑20.
Romodanovskiĭ PO. Certain aspects of diffuse axonal injury to the brain in the case of head trauma. Sudebno-Meditsinskaya Ekspertisa. 2013;56(3):18‑20. (In Russ.).
Кафедра судебной медицины и медицинского права Московского государственного медико-стоматологического университета
На основании анализа специальной литературы и собственных клинико-морфологических исследований приведены сведения о локализации и патологии диффузных аксональных повреждений (ДАП) головного мозга в разные периоды черепно-мозговой травмы. Рассмотрены значения ДАП в генезе смерти и корреляция их происхождения с ротационной теорией возникновения травмы головы.
Кафедра судебной медицины и медицинского права Московского государственного медико-стоматологического университета
Приоритет в описании патоморфологической характеристики диффузного аксонального повреждения (ДАП) головного мозга принадлежит S. Strich [1], хотя сама автор определяла этот вид церебральной травмы как «диффузную дегенерацию белого вещества головного мозга». Позднее на основании своих исследований автор пришла к выводу, что повреждения аксонов головного мозга возникают в момент травмы головы, вызванной угловым ускорением, в соответствии с ротационной теорией, предложенной в 1943 г. А. Holbourn [2].
Согласно этой теории, мозг при ударах головы вращается в сагиттальной, фронтальной и горизонтальной плоскостях. Ротационные движения при этом совершаются полушариями большого мозга и мозжечка, тогда как стволовые отделы остаются неподвижными и повреждаются вследствие натяжения и перекручивания. На экспериментальной модели А. Holbourn показал возможность смещения отдельных слоев мозга по отношению друг к другу, что приводит к разрыву нервных волокон и кровеносных сосудов.
Роль ротации головного мозга в момент травмы на первичное механическое повреждение нервных волокон была окончательно доказана экспериментальными исследованиями группы ученых Пенсильванского университета [3, 4]. С помощью специального устройства голове обезьяны придавали различные виды ускорения в разных плоскостях, при этом голову животного особым шлемом защищали от прямого удара. Было установлено, что ДАП может встречаться при «неэкстремальной» травме головы. Непосредственный контакт головы с твердым тупым предметом в данных случаях необязателен, достаточно лишь углового ускорения ее (порядка 0,75—1 рад/с 2 ), что объясняет частое отсутствие перелома черепа и даже повреждений мягких тканей головы у пострадавших. Угловое ускорение головы, приданное в сагиттальной плоскости, вызывает преимущественно повреждение кровеносных сосудов с образованием внутримозговых кровоизлияний в результате формирования срезывающих деформаций, а при ускорении головы во фронтальной или косой плоскости избирательно повреждаются аксоны вследствие сдвиговых и разрывных деформаций, приводя к возникновению изначальной травматической комы.
Морфологические изменения мозга экспериментальных животных оказались идентичными аналогичным изменениям мозга у людей. Была выявлена зависимость тяжести состояния пострадавшего от количества поврежденных аксонов и характера их распределения [4], что хорошо коррелировало с полученными данными о связи механизма травмы головы с локализацией зон поражения белого вещества головного мозга. При коме фокальные повреждения аксонов обнаруживали в дорсолатеральных квадрантах рострального отдела мозгового ствола, в мозолистом теле и диффузно в субкортикальной зоне белого вещества в парасагиттальных отделах мозга.
Наиболее интересные данные авторы получили при электронно-микроскопических исследованиях аксонов в случаях экспериментального повреждения мозга. Наряду с полным разрывом аксонов («аксонотомия») постоянно обнаруживали неполные перерывы аксонов («внутреннее аксональное повреждение»). В зависимости от степени поражения головного мозга, состояния смежных областей мозговой ткани при правильном выборе лечения неполный перерыв аксона может восстановиться и в конечном счете привести к благоприятному исходу или может произойти вторичная «аксонотомия» и, как следствие, — дегенерация нервного волокна.
В 1956 г. S. Strich [1] описала морфологическую картину 5 случаев черепно-мозговой травмы (ЧМТ), когда пострадавшие после дорожно-транспортного происшествия находились в коме с грубыми очаговыми неврологическими нарушениями. При исследовании трупов этих людей морфологические проявления ЧМТ были минимальными. Только у одного пострадавшего был обнаружен перелом черепа; макроскопически оболочки и головной мозг выглядели практически неизмененными и на вскрытии нельзя было определить ни причину смерти, ни тяжелую клиническую симптоматику.
Примерно аналогичные данные отметили С.Ю. Касумова и соавт. [5] на материале прозектуры НИИ нейрохирургии им. Н.Н. Бурденко. Только у 7 из 29 пострадавших с ДАП обнаружили перелом черепа в виде линейной трещины без повреждения твердой мозговой оболочки. У 2 больных из 5 аксональная травма сочеталась с субдуральной и у 3 — с эпидуральной гематомой. Гематомы были пластинчатыми, небольшого объема, не приводили к сдавлению и дислокации мозга. Двое пострадавших были оперированы на 1-е и 3-и сутки после травмы, гематомы были удалены. При макроскопическом исследовании головного мозга не выявили некротических фокусов в парагиппокамповых и поясных извилинах, в ножках мозга, миндалинах мозжечка и в медиальной коре затылочных долей, т.е. морфологические признаки внутричерепной гипертензии отсутствовали.
Как свидетельствуют данные ряда авторов, при ДАП иногда могут обнаруживаться очаги ушиба мозга в виде поверхностных корковых геморрагий без повреждения мягких мозговых оболочек. Наличие их объясняется сочетанием поступательного и ротационного ускорений головного мозга в полости черепа в момент травмы головы. Суммарный контузионный индекс [4] в этих наблюдениях минимальный и не коррелирует с тяжестью состояния, согласно шкале комы Глазго. В большинстве наблюдений головной мозг у пациентов с ДАП при внешнем осмотре представляется интактным. В случае смерти пострадавших в течение первых 3 сут после травмы может определяться набухание ткани мозга с гиперемией мягких мозговых оболочек. У переживших травму в течение длительного периода (более 3 мес) наблюдается атрофия белого вещества с расширением желудочковой системы и субарахноидальных пространств. Морфологическими маркерами ДАП являются мелкоочаговые или очаговые некрозы геморрагического характера (в некоторых случаях кровоизлияния) в мозолистом теле, которые при переживании пострадавшими более 1—2 нед приобретали признаки некоторой давности, а спустя 1 мес имели вид бурых кист.
Для гистологической верификации ДАП предложен комплекс методов окраски, которыми следует пользоваться с учетом сроков посттравматического периода. Основными из них являются методики, позволяющие обнаружить изменения осевых цилиндров (импрегнация серебром по Бильшовскому или Глису), миелиновых оболочек (импрегнация осмием по Марки для выявления ранней демиелинизации, окраска по Шпильмейеру для обнаружения поздней демиелинизации). При необходимости исследуют тела нейроцитов (окраска гематоксилином и эозином, по Нисслю), микроглию и астроглию (окраска по Мийагава—Александровской и Кахалу соответственно).
Тщательное микроскопическое исследование с использованием нейрогистологических методик в полном объеме позволило S. Strich, а затем и другим исследователям, определить морфологический субстрат ДАП в виде множества аксональных шаров. Они располагались повсюду в белом веществе головного мозга и являлись, по мнению авторов, прямым свидетельством механического повреждения аксонов, так как при перерыве нервного волокна аксоплазма вытекает из концов поврежденного отростка и происходит их булавовидное утолщение.
Сроки появления аксональных шаров после травмы изучали J. Adams и соавт. [4]. Они проводили эксперименты на приматах: голове животных придавали ротационное ускорение и выявляли аксональные шары через 2 ч после травмы. Ранее эти же авторы определяли аксональные шары через 5—6 ч после травмы на секционном материале. Более раннее появление аксональных шаров на секционном материале наблюдали T. Imajo и соавт. [6]. Эти авторы обнаруживали аксональные шары уже в первые 2 ч после травмы, а к 4 ч они становились хорошо выраженными.
После разрыва нервного волокна его дистальная часть подвергается полной дегенерации. Этот процесс обозначают как валлеровское перерождение. В участке аксона, расположенном проксимальнее места повреждения, наблюдаются ретроградные изменения или так называемая ретроградная дегенерация, которая распространяется в центральном направлении к телу клетки.
J. Povlishock [7] при световой микроскопии через 12 ч после дозированной «умеренной» закрытой травмы головы отмечал очаговое реактивное набухание аксонов, гетерогенность которого становилась отчетливой спустя 7—21 сут. D. Erb и J. Povlishock [8] рассматривали динамику аксонов в остром посттравматическом периоде. Установлено, что степень изменения структур зависит от тяжести травмы. Используя замораживающее скалывание и технику тонких срезов, W. Maxwell и соавт. [9] отмечали интактность глиально-аксональных стыков в пределах 1 ч после травмы. Спустя 3—4 ч структуры глиально-аксональных стыков исчезали, а через 6 ч после травмы миелиновые пластины отделялись от аксональных остатков. Миелиновые дислокации (частично свободные участки) отсутствовали до 1 ч переживания травмы и были выраженными спустя 5 ч.
Гистологические исследования головного мозга свидетельствуют, что повреждения аксонов во всех наблюдениях локализовались в стволе головного мозга, мозолистом теле, в области внутренних капсул, причем даже тогда, когда в этих структурах макроскопические изменения не встречались.
В первые 3 сут в зонах поражения белого вещества обнаруживали множественные аксональные шары. Вблизи от них аксоны имели признаки начальной дегенерации, были неровными, набухшими, неравномерно воспринимали окраску. В дальнейшем, к концу 1-й недели, дегенеративные изменения распространялись по всей длине поврежденного аксона, но были более выраженными дистальнее места разрыва. Нервные волокна имели извитой вид, варикозные утолщения, фрагментировались на участки различной длины. По их контурам определялось большое количество мелких жировых гранул дегенерирующего миелина. Исследования нейроцитов не выявили структурных изменений.
На протяжении 2-й недели после травмы, помимо описанных изменений, выявляли признаки вторичной дегенерации белого вещества (неповрежденные в момент травмы аксоны) по ходу проводящих трактов центральной нервной системы вблизи от места разрыва. В местах первичных разрывов аксонов определялась умеренная макрофагальная реакция с формированием зернистых шаров.
При переживании травмы более 2 нед наблюдали уменьшение, а к концу 1-го месяца — полное исчезновение аксональных шаров. Остатки поврежденных аксонов фрагментировались на более мелкие и постепенно исчезали. Отмечалась диффузная пролиферация макрофагов, которые нагружались гранулами распадающегося миелина. Одновременно вторичная дегенерация нервных волокон по ходу проводящих трактов становилась более выраженной. В зависимости от длительности посттравматического периода определяли изменения тел нейроцитов от «аксональной реакции» («первичное раздражение») до сморщивания, ишемического изменения или тяжелого заболевания.
Через 2 мес после травмы и более глубокие отделы белого вещества в зоне первичных повреждений аксонов полностью демиелинизировались. Во всех отделах белого вещества по ходу ассоциативных, комиссуральных и особенно проекционных волокон появлялись участки вторичной генерализованной восходящей и нисходящей дегенерации. Через 3 мес подобные изменения обнаруживали в спинном мозге и периферических нервах.
Таким образом, доказано, что факт существования ДАП как особой формы церебральной травмы не вызывает сомнения. Приведенные данные свидетельствуют о травматическом характере повреждений нервных волокон и отсроченном (вторичное) поражении нейронов.
С появлением в клинической практике позитронно-эмиссионной томографии стала возможной прижизненная диагностика первичной аксонотомии, причем не только при ДАП, но и при других формах ЧМТ, генез которых связан с инерциальным смещением головного мозга в полости черепа. Следует отметить, что полученные сведения полностью согласуются с основными положениями теории механизма возникновения ЧМТ, сформулированной В.Л. Поповым [10] в 1988 г.
Диффузное аксональное повреждение (ДАП)
Диффузное аксональное повреждение (ДАП) - это тяжелая форма травматического повреждения головного мозга возникающая за счет воздействия сдвигающих сил. Диффузное аксональное повреждение потенциально трудно диагностировать, поскольку проявления при компьютерной томографии могут быть едва различимы, однако оно может приводить к тяжелым неврологическим нарушениям.
В качестве диагностики лучшей модальностью является магнитно-резонансная томография при которой диффузное аксональное повреждение проявляется в виде нескольких небольших зон артефактов магнитной восприимчивости окруженных зоной гиперинтенсивного МР сигнала на FLAIR изображениях, локализующихся на границе серого и белого вещества, в мозолистом теле, а в тяжелых случаях в стволе мозга.
Патология
Диффузное аксональное повреждение является результатом воздействия сдвигающих сил возникающих при ротационном ускорении (реже торможении). Из-за разной плотности (относительная масса в единице объема) белого и серого вещества сдвиг происходит преимущественно в аксонах на границе серого и белого вещества, это и отражает название патологии. В большинстве случаев эти силы приводят и к повреждению клеток, что проявляется отеком. Но полный разрыв аксонов происходит только в тяжелых случаях.
Клиническая картина
Пациенты с диффузным аксональным повреждением в момент проишествия, как правило, теряют сознание. Посттравматическая кома может длится значительное время и часто является проявлением сопутствующих визуализируемых повреждений (напр. контузия головного мозга). Часто диагноз ДАП начинается рассматривается с момента когда, вопреки ожиданиям, у пациента не исчезают признаки неврологического дефицита.
Диагностика
Диффузное аксональное повреждение характеризуется множественными фокусами повреждения с типичным распределением, как правило на границе серого и белого вещества, в мозолистом теле, а в тяжелых случаях в стволе головного мозга.
Компьютерная томография
Бесконтрастная компьютерная томография головного мозга является рутинной процедурой у пациентов с черепно-мозговой травмой. К сожалению, КТ не чувствительна в диагностике скрытого диффузного аксонального повреждения, а пациенты с относительно нормальной КТ картиной могут иметь выраженный необъяснимый КТ картиной неврологический дефицит [4, 5].
КТ-картина зависит от того, является кровоизлияние видимым или нет. Геморрагическое повреждение будет гиперденсивным, варьируя в диаметре от нескольких миллиметров до нескольких сантиметров. Негеморрагичское повреждение становится более явно видимым за счет развивающегося вокруг отека через несколько дней. Оно может сочетаться со значительным и диспропорциональным отеком головного мозга.
Компьютерная томография практически нечувствительна к негеморрагическим повреждениям и позволяет выявить до 19% таких повреждений, в сравнении с 92% выявляемых повреждений на Т2 взвешенных изображениях [4].
Магнитно-резонансная томография
МРТ при подозрении на диффузное аксональное повреждение является модальностью выбора, даже при наличии абсолютно нормальной КТ картины 6. МРТ, особенно при SWI или GRE последовательностях, чрезвычайно чувствительна к продуктам распада гемоглобина и позволяет выявить небольшие области артефактов магнитной восприимчивости на границе серого и белого вещества, в мозолистом теле или стволе головного мозга.
Некоторые поражения могут быть негеморрагическими (даже при использовании SWI последовательностеф с высокой силой поля).
Степень окружающего отека обычно увеличивается через несколько дней, хотя посттравматические изменения ан FLAIR черерз 3 месяца в основном разрешаются [7]. В отличии от этого, изменения на SWI разрешаются значительно дольше, хотя через 12 месяцев после травмы так же наблюдается значительное разрешение [7]. Как правило, отек при ДАП разрешается быстрее чем отек при кровоизлиянии.
Важно отметить что даже при использовании современных высокопольных сканеров отсутствие изменений не может с высокой точностью использоваться для исключения диффузного аксонального повреждения.
МР спектроскопия
МР-спектроскопия может обладать преимуществами в выявлении пациентов с I степень повреждения, которая может протекать бессимптомно на других последовательностях. Признаками является повышение пика холина и снижение пика N-ацетиласпартата [3].
Диффузное аксональное повреждение головного мозга (вопросы визуализации)

К диффузному аксональному повреждению (ДАП) головного мозга относят распространенные разрывы аксонов в сочетании с мелкоочаговыми геморрагиями, обусловленные травмой преимущественно инерционного типа. При этом наиболее характерными территориями аксональных и сосудистых нарушений являются ствол мозга, мозолистое тело, паравентрикулярные зоны и белое вещество больших полушарий. Одновременно возможны скользящие парасагиттальные ушибы мозга.
При определенном опыте клинический диагноз ДАП вполне возможен. Однако его всегда следует подкрепить КТ или МРТ. На КТ диффузное аксональное повреждение характеризуется увеличением объема мозга различной степени (вследствие его отека, набухания, гиперемии) со сдавлением боковых и III желудочка, субарахноидальных конвекситальных пространств, а также цистерн основания мозга. При этом часто выявляются мелкоочаговые геморрагии в белом веществе полушарий мозга, мозолистом теле, а также в подкорковых и стволовых структурах (рис. 1).

Вместе с тем еще в остром периоде обнаруживается довольно типичный для ДАП феномен скопления жидкости (с плотностными характеристиками ликвора) над лобными долями, преимущественно в передних отделах с одной или обеих сторон. При легких и среднетяжелых формах ДАП на КТ выявляются лишь признаки незначительного увеличения объема мозга либо компьютерная картина неотличима от нормальной. Повторные КТ-исследования, проведенные у больных с ДАП, обнаруживают довольно характерную динамику. Спустя 2–4 недели после травмы явления отека и набухания мозга регрессируют, мелкоочаговые геморрагии либо не визуализируются, либо становятся гиподенсивными. Вместе с тем начинают отчетливо вырисовываться базальные цистерны и конвекситальные субарахноидальные щели на фоне более или менее выраженной тенденции к расширению желудочковой системы. Вентрикуломегалия и другие признаки диффузного атрофического процесса часто в дальнейшем нарастают (см рис. 1).
МРТ при ДАП обычно более информативна, чем КТ, четко визуализируя повреждения мозолистого тела, ствола, других образований. Наиболее частая находка – различные по размерам гиперинтенсивные участки на границе серого и белого вещества, в паравентрикулярных зонах, мозолистом теле, в стволе мозга (рис. 2). В дальнейшем интенсивность их изображения снижается. При мелких кровоизлияниях в местах поражения аксонов на томограммах по Т1 могут обнаруживаться признаки наличия дериватов окисления гемоглобина, особенно четко они выявляются при использовании режима SWAN. Множественные участки понижения сигнала на томограммах по Т2 и с использованием градиентного эхо могут наблюдаться в течение многих лет после травмы.
Черепно-мозговая травма
Черепно-мозговая травма — механическое повреждение черепа и (или) внутричерепных образований (головного мозга, мозговых оболочек, сосудов, черепных нервов). Составляет 25—30% всех травм, а среди летальных исходов при травмах ее удельный вес достигает 50—60%. Как причина смертности лиц молодого и среднего возраста Ч.-м. т. опережает сердечно-сосудистые и онкологические заболевания.
Черепно-мозговую травму по тяжести делят на 3 стадии: легкую, среднюю и тяжелую. К легкой Ч.-м. т. относят сотрясение мозга и ушибы мозга легкой степени; к средней тяжести — ушибы мозга средней степени; к тяжелой — ушибы мозга тяжелой степени, диффузное аксональное повреждение и сдавление мозга.
Основными клиническими формами черепно-мозговой травмы являются сотрясение мозга, ушибы мозга (легкой, средней и тяжелой степени), диффузное аксональное повреждение мозга и сдавление мозга.
Сотрясение головного мозга отмечается у 60—70% пострадавших. Легкая диффузная черепно-мозговая травма, характеризующаяся нарушением сознания. Хотя часто указывается на кратковременный характер этого нарушения, но четкой договоренности о его продолжительности нет. Обычно не наблюдается макро- и микроскопических повреждений мозгового вещества. На КТ и МРТ изменений нет. Также считается, что потеря сознания не является обязательной. Возможные изменения сознания: спутанность, амнезия (главный признак СГМ) или полная утрата сознания. После восстановления сознания возможны жалобы на головную боль, головокружение, тошноту, слабость, шум в ушах, приливы крови к лицу, потливость. Другие вегетативные симптомы и нарушение сна. Общее состояние больных быстро улучшается в течение 1-й, реже 2-й нед. после травмы.
Ушиб (контузия) мозга. Различают ушибы головного мозга легкой, средней и тяжелой степени.
Ушиб головного мозга легкой степени отмечается у 10—15% больных с Ч.-м. т. Характеризуется нарушением сознания после травмы, длительность возможна до нескольких минут. После восстановления сознания типичны жалобы на головную боль, головокружение, тошноту и др. Неврологическая симптоматика обычно легкая (нистагм, признаки легкой пирамидной недостаточности в виде рефлекторных парезов в конечностях, менингеальные симптомы), чаще регрессирующая на 2—3 нед. после травмы. Лечение консервативное, проводится первоначально обязательно в стационарных условиях нейрохирургического отделения.
Ушиб мозга средней степени отмечается у 8—10% пострадавших. Характеризуется выключением сознания после травмы продолжительностью от нескольких десятков минут до нескольких часов. Выражена амнезия (ретро-, кон-, антероградная). Головная боль нередко сильная. Может наблюдаться повторная рвота. Иногда отмечаются психические нарушения. Отчетливо проявляется очаговая симптоматика, характер которой обусловлен локализацией ушиба мозга; зрачковые и глазодвигательные нарушения, парезы конечностей, расстройства чувствительности, речи и др. Эти симптомы постепенно (в течение 3—5 нед.) сглаживаются, но могут держаться и длительно. Лечение, в большинстве случаев, консервативное в нейрохирургическом отделении. В некоторых случаях, течение данного вида травмы осложняется появлением вторичных кровоизлияний и даже формированием внутримозговой гематомы, когда может потребоваться хирургическая помощь.
Ушиб головного мозга тяжелой степени отмечается у 5—7% пострадавших. Характеризуется выключением сознания после травмы продолжительностью от суток до нескольких недель. Данный вид травмы особенно опасен тем, что проявляется нарушением стволовых функций головного мозга, наблюдаются тяжелые нарушения жизненно важных функций – дыхания и системной гемодинамики. Пациент госпитализируется в отделение реанимации. Лечением коллегиально занимается врач-нейрореаниматолог и врач-нейрохирург. Общемозговая и очаговая симптоматика регрессируют медленно. Характерны стойки остаточные явления в виде нарушений психики, двигательного дефицита.
В случае формирования внутримозговой гематомы, являющейся причиной сдавления головного мозга показано оперативное лечение – трепанация черепа, удаление гематомы.
Внутримозговая гематома правой височной доли.
Диффузное аксональное повреждение головного мозга характеризуется длительным (до 2—3 нед.) коматозным состоянием, выраженными стволовыми симптомами (парез взора вверх, разностояние глаз по вертикальной оси, двустороннее угнетение или выпадение световой реакции зрачков, нарушение или отсутствие окулоцефалического рефлекса и др.). Часто наблюдаются нарушения частоты и ритма дыхания, нестабильность гемодинамики. Характерной особенностью клинического течения диффузного аксонального повреждения является переход из длительной комы в стойкое или транзиторное вегетативное состояние, о наступлении которого свидетельствует появление ранее отсутствовавшего открывания глаз спонтанно либо в ответ на различные раздражения. При этом нет признаков слежения, фиксации взора или выполнения хотя бы элементарных инструкций (данное состояние называют апаллическим синдромом). Вегетативное состояние у таких больных длится от нескольких суток до нескольких месяцев и характеризуется функциональным и/или анатомическим разобщением больших полушарий и ствола мозга. По мере выхода из вегетативного состояния неврологические симптомы разобщения сменяются преимущественно симптомами выпадения. Среди них доминирует экстрапирамидный синдром с выраженной мышечной скованностью, дискоординацией, брадикинезией, олигофазией, гипомимией, мелкими гиперкинезами, атаксией. Одновременно четко проявляются нарушения психики: резко выраженная аспонтанность (безразличие к окружающему, неопрятность в постели, отсутствие любых побуждений к какой-либо деятельности), амнестическая спутанность, слабоумие и др. Вместе с тем наблюдаются грубые аффективные расстройства в виде гневливости, агрессивности.
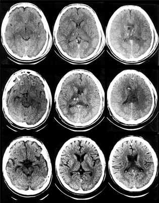
КТ картина при диффузно-аксональном повреждении головного мозга (диффузный отек, множество мелких кровоизлияний).
Лечение данного вида травмы проводится консервативно с участием нейрореаниматолога, нейрохирурга, врача и инструктора ЛФК (проводится ранняя двигательная реабилитация с целью предупреждения формирования контрактур в суставах).
Сдавление (компрессия) головного мозга отмечается у 3—5% пострадавших. Характеризуется нарастанием через тот или иной промежуток времени после травмы либо непосредственно после нее общемозговых симптомов (появление или углубление нарушений сознания, усиление головной боли, повторная рвота, психомоторное возбуждение и т.д.), очаговых (появление или углубление гемипареза, фокальных эпилептических припадков и др.) и стволовых симптомов (появление или углубление брадикардии, повышение АД, ограничение взора вверх, тоничный спонтанный нистагм, двусторонние патологические знаки и др.).
. Среди причин сдавления на первом месте стоят внутричерепные гематомы (эпидуральные, субдуральные, внутримозговые, внутрижелудочковые). Причиной сдавления мозга могут быть и вдавленные переломы костей черепа, очаги размозжения мозга, субдуральные гигромы, пневмоцефалия.
Эпидуральная гематома на компьютерной томограмме имеет вид двояковыпуклой, реже плосковыпуклой зоны повышенной плотности, примыкающей к своду черепа. Гематома имеет ограниченный характер и, как правило, локализуется в пределах одной-двух долей.
Эпидуральная гематома задней черепной ямки.
Лечение острых эпидуральных гематом.
- эпидуральная гематома объемом менее 30 см3, толщиной менее 15 мм, при смещении срединных структур менее 5 мм у пострадавших с уровнем сознания по ШКГ более 8 баллов и отсутствием очаговой неврологической симптоматики. Клинический контроль осуществляется в течение 72 часов с периодичностью каждые 3 часа.
1. Экстренное оперативное вмешательство
острая эпидуральная гематома у пострадавшего в коме (менее 9 баллов по ШКГ) при наличии анизокории.
2. Срочное оперативное вмешательство
эпидуральная гематома более 30 см3 независимо от степени угнетения сознания по ШКГ. В отдельных случаях при незначительном превышении указанного объёма эпидуральной гематомы и полностью компенсированном состоянии пострадавшего с отсутствием симптоматики допустима консервативная тактика с динамическим КТ контролем ситуации.
Абсолютными показаниями к хирургическому лечению при повреждениях задней черепной ямки являются эпидуральные гематомы > 25 см3, повреждения мозжечка латеральной локализации > 20 см3, окклюзионная гидроцефалия, латеральная дислокация IV желудочка
Для субдуральной гематомы на компьютерной томограмме чаще характерно наличие серповидной зоны измененной плотности плосковыпуклой, двояковыпуклой или неправильной формы.
Лечение острых субдуральных гематом.
1. При острой субдуральной гематоме толщиной >10 мм или смещении срединных структур > 5 мм независимо от неврологического статуса пострадавшего по ШКГ.
Лечение вдавленных переломов костей черепа.
Оперативное лечение показано при наличии признаков повреждения твердой мозговой оболочки (ТМО), значительной внутричерепной гематомы, вдавления больше 1 см, вовлечения воздухоносных пазух, косметического дефекта.
Принципы оперативного лечения..
для снижения риска инфицирования рекомендуется раннее хирургическое вмешательство; устранение вдавления и хирургическая обработка раны являются основными элементами операции. При отсутствии инфицирования раны возможна первичная костная пластика.
Оскольчатый перелом костей черепа с наличием вдавления в полость черепа.
Прогноз при легкой Ч.-м. т. (сотрясение, ушиб мозга легкой степени) обычно благоприятный (при условии соблюдения рекомендованного пострадавшему режима и лечения).
При среднетяжелой травме (ушиб мозга средней степени) часто удается добиться полного восстановления трудовой и социальной активности пострадавших. У ряда больных развиваются лептоменингит и гидроцефалия, обусловливающие астенизацию, головные боли, вегетососудистую дисфункцию, нарушения статики, координации и другую неврологическую симптоматику.
При тяжелой травме (ушиб мозга тяжелой степени, диффузное аксональное повреждение, сдавление мозга) смертность достигает 30—50%. Среди выживших значительна инвалидизация, ведущими причинами которой являются психические расстройства, эпилептические припадки, грубые двигательные и речевые нарушения. При открытой Ч.-м. т. могут возникать воспалительные осложнения (менингит, энцефалит, вентрикулит, абсцессы мозга), а также ликворея.
Читайте также:
