Дивертикулез толстой кишки
Добавил пользователь Евгений Кузнецов Обновлено: 27.01.2026
Дивертикулы толстой кишки – мешковидные, небольшие, до 10-20 мм в диаметре, выпячивания на стенке толстой кишки. Бывают единичными и множественными. Тактика лечения дивертикулеза зависит от тяжести болезни и может заключаться как в соблюдении определенной диеты, так и требовать немедленного хирургического вмешательства. В Центре абдоминальной хирургии GMS Hospital лечение дивертикулеза толстой кишки осуществляется как консервативным, так и оперативным способом.
Подробнее о заболевании
Дивертикулез толстой кишки – это патологическое состояние, выраженное дистрофическими изменениями мышечной стенки толстого кишечника, проявляющееся формированием небольших мешкообразных выпячиваний – дивертикул. Они могут быть врожденными и приобретенными, единичными и множественными и способны осложняться кровотечением, воспалением и перфорацией.
Особенно подвержены заболеванию пожилые люди, поскольку эластичность кишечных стенок с возрастом существенно снижается. Из-за регулярных запоров, усиленного газообразования, давление в кишечнике повышается, что способствует выпячиванию ослабленных участков – формируется дивертикул. Лечение дивертикулеза бывает консервативным и оперативным. Терапевтическая тактика определяется в зависимости от клинических проявлений болезни и тяжести ее течения.
Почему нужна операция
Операция проводится, если консервативная терапия оказалась неэффективной или возникли серьезные осложнения – кровотечения, образование свищей, кишечная непроходимость, разрыв дивертикула и т.д. Суть вмешательства заключается в иссечении пораженного участка кишки. В нашей клинике такие операции в большинстве случаев выполняются наименее травматичным способом – методом лапароскопии.
Преимущества лечения в GMS Hospital
Специалисты клиники GMS применяют новейшие методики консервативного и оперативного лечения дивертикулеза толстой кишки. Наше отделение абдоминальной хирургии располагает современным операционным блоком, оснащенным передовой аппаратурой, палатами интенсивной терапии и комфортабельным стационаром.
Основные преимущества лечение дивертикул в GMS Hospital:
- комплексный подход к лечению – пациента наблюдает не только хирург, но и врачи смежных специальностей;
- применение современных диагностических методик позволят обнаружить даже минимальные воспалительные изменения в стенках кишки;
- наши опытные доктора успешно лечат даже осложненные и запущенные формы дивертикулеза;
- для оперативного лечения используются новейшее миниинвазивные техники, направленные на скорейшую реабилитацию;
- ранняя п/операционная реабилитация проходит в комфортабельном стационаре с уютными палатами.
Большая часть хирургических вмешательств осуществляется лапароскопически, что в несколько раз сокращает время пребывания в стационаре и период восстановления. Запись к врачу в GMS Hospital осуществляется круглосуточно – по телефону или онлайн.
Признаки, симптомы болезни
Дивертикулы толстой кишки могут долгое время никак себя не обнаруживать и выявляются при исследовании кишечника. На наличие дивертикул, могут указывать следующие симптомы:
- регулярные запоры;
- повышенное образование кишечных газов;
- нарушение стула при которых запоры сменяются диареей;
- частые спастические боли в животе;
- вздутие живота;
- тошнота, рвота.
- стул с примесью крови.
При острой форме болезни к симптомам присоединяется лихорадка. Нарушение целостности дивертикула (разрыве, перфорации) сопровождается клиникой «острого живота» - напряженная и твердая брюшная стенка, учащенный пульс, пониженное давление, холодный пот. При кишечном кровотечении в кале обнаруживается алая кровь.
При возникновении первого же тревожного симптома, немедленно обратитесь к врачу. Записаться к хирургу клиники GMS можно круглосуточно.
Дивертикулез толстой кишки
Дивертикулярная болезнь – заболевание, характеризующееся клиническими проявлениями разной степени выраженности, обусловленными наличием дивертикула или дивертикулеза, включая воспаление (дивертикулит) и его осложнения (перидивертикулит, абсцесс, перфорация, свищ, перитонит), а также кровотечение.
Дивертикулярная болезнь поражает преимущественно сигмовидную кишку, затем нисходящую ободочную кишку, менее часто правую половину поперечной ободочной кишки и редко правые отделы ободочной кишки.

Этиология
До настоящего времени неизвестно, какой из факторов более важен для развития дивертикулов: анатомический дефект кишечной стенки или действие сил в полости кишки.
Обнаружено, что базальное внутриполостное давление у больных дивертикулярной болезнью и у здоровых лиц одинаковое. Однако пораженный дивертикулами сегмент кишки сокращается сильнее в ответ на прием пищи или действие фармакологических стимулов.
Другим важным этиологическим фактором может быть слабость кишечной стенки. Тонус мускулатуры толстой кишки с возрастом постепенно снижается, что, по-видимому, объясняет преимущественное поражение лиц пожилого возраста.
Таким образом, дивертикулярную болезнь можно объяснить периодическим значительным повышением внутриполостного давления, воздействующим на ослабленную возрастными изменениями стенку толстой кишки.
Классификация
Данное заболевание классифицируется следующим образом:
- Дивертикулярная болезнь без клинических проявлений.
- Дивертикулярная болезнь с клиническими проявлениями. Эта форма характеризуется симптомокомплексом, включающим боли в животе и различные нарушения функции кишечника.
- Дивертикулярная болезнь с осложненным течением:
- дивертикулит;
- перфорация;
- кровотечение;
- кишечная непроходимость;
- внутренние или наружные кишечные свищи.
Симптомы, клиническая картина дивертикулеза и диагностика заболевания
Дивертикулез толстой кишки может длительное время не проявляться, и его обнаруживают случайно при обследовании больных.
Основными симптомами клинически выраженного неосложненного дивертикулеза толстой кишки являются боли в животе и нарушения функции кишечника. Боли в животе носят разнообразный характер — от легкого покалывания до сильных коликообразных. Чаще всего они локализуются в нижней половине живота, особенно в левой подвздошной области или над лобком, т. е. в зоне расположения сигмовидной кишки. У части больных эти боли разнообразны не только но своему характеру, но и по локализации, в связи с чем врач не всегда связывает их с заболеванием толстой кишки. У ряда больных боли вызываются приемом пищи, что объясняется влиянием гастроколического рефлекса.
Нарушение функции кишечника проявляется чаще в виде запоров, причем длительное отсутствие стула значительно усиливает болевой синдром. Иногда отмечается диарея, не носящая, однако, постоянного характера. Нередко больные жалуются на неустойчивый стул; иногда описанные симптомы сочетаются с тошнотой или рвотой.
Осложнения дивертикулеза проявляются обычно довольно ярко. Наиболее часто наблюдается дивертикулит — примерно у 1/3 больных дивертикулярной болезнью толстой кишки. Основные признаки дивертикулита — боли в животе, повышение температуры и лейкоцитоз. Появление двух последних признаков на фоне существовавшего клинически выраженного или бессимптомного дивертикулеза позволяет отличить начавшееся воспаление от функциональных болей.
При распространении воспалительного процесса в виде параколита наряду с перечисленными симптомами отмечается образование инфильтрата, размеры которого колеблются от незначительных, с трудом определяемых при пальпации до обширных очагов, занимающих всю левую половину живота. Прогрессирование воспалительного процесса может привести к абсцедированию с угрозой прорыва гнойника в брюшную полость. Стихание воспаления не всегда приводит к полному рассасыванию инфильтрата, и тогда индурация брыжейки или окружающих тканей симулирует опухоль брюшной полости.
Сигмовидная кишка или другие отделы ободочной кишки в результате повторных атак дивертикулита, параколита или формирования абсцесса могут оказаться спаянными с соседними органами. При этом абсцесс может вскрыться в мочевой пузырь, уретру, влагалище или тонкую кишку с образованием свищей.
Перфорация дивертикула встречается как при клинически выраженном, так и бессимптомном дивертикулезе ободочной кишки. Перфорация в свободную брюшную полость ведет к развитию быстро прогрессирующего перитонита, клинические проявления которого не отличаются от таковых при других формах острого воспаления брюшины. Кишечная непроходимость при дивертикулезе толстой кишки носит характер обтурационной со всеми присущими этой форме проявлениями. Одной из частых причин развития непроходимости при дивертикулезе является образование так называемой псевдоопухоли.
Кишечное кровотечение, хотя и не имеет, как правило, профузного характера, но все же часто бывает настолько выраженным, что быстро привлекает внимание как самого больного, так и врачей.
При определении источника кровотечения возникают значительные трудности. Кровотечение из дивертикула наблюдается и при бессимптомном течении заболевания, что создает еще большие диагностические затруднения. Наряду с явным кровотечением могут наблюдаться и скрытые его формы, проявляющиеся только анемией. Симптомы перечисленных осложнений хотя и довольно яркие, однако не носят специфического характера. В связи с этим определить причины их возникновения иногда бывает весьма трудно и для этого применяют комплексное обследование.
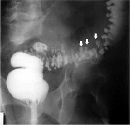
Клинические проявления дивертикулеза толстой кишки и его осложнений не могут служить основанием для установления точного диагноза заболевания. Диагностика и дифференциальная диагностика дивертикулеза толстой кишки основывается на анализе клинических проявлений заболевания и результатах обязательного рентгенологического и эндоскопического исследований толстой кишки.
![Дивертикулез лечение]()
![Дивертикулез лечение]()
Консервативное лечение дивертикулярной болезни
В настоящее время сформулированы следующие принципы лечения этого заболевания:
- бессимптомный дивертикулез толстой кишки, обнаруживаемый случайно, не требует специального лечения. Назначается диета, богатая растительной клетчаткой, отруби.
- при дивертикулезе с выраженными клиническими проявлениями применяют комплекс лечебных мероприятий:
- сбалансированная диета, содержащая большое количество растительной клетчатки, а при упорных запорах и жидкости;
- витамины;
- препараты, нормализующие функцию кишечника;
- при выраженном спастическом компоненте назначают спазмолитические средства, либо блокаторы кальциевых каналов (Децител), которые действуют селективно на стенку кишечника. При болевом синдроме назначают анальгетики, препараты морфина для этих целей противопоказаны, так как они повышают внутрикишечное давление;
- при наличии явлений дивертикулита требуют назначения антибиотиков;
- при диарее можно использовать противодиарейные средства;
- при наличии ферментативной недостаточности поджелудочной железы назначаются ферментативные препараты;
- при выявлении дисбактериоза целесообразно применение бактериальных препаратов (колибактерин, бифидумбактерин, бификол).
Хирургическое лечение
Существуют следующие показания к хирургическому лечению дивертикулярной болезни:
Экстренные:
- перфорация дивертикула;
- кишечная непроходимость;
- профузное кровотечение.
Плановые:
- образование хронического инфильтрата, симулирующего злокачественную опухоль;
- внутренние и наружные свищи;
- клинически выраженная дивертикулярная болезнь, неподдающаяся комплексному консервативному лечению.
Государственная клиническая больница №29 им. Н.Э.Баумана – это современная многопрофильная высокотехнологичная больница с уникальной полуторавековой историей и традицией, оказывающая высококачественную медицинскую помощь в круглосуточном режиме.
Дивертикулез толстой кишки
Дивертикул — это мешковидное выпячивание стенки трубчатого или полого органа. Образование в органе дивертикулов называется дивертикулезом, или дивертикулярной болезнью. Дивертикулез характеризуется единичными или множественными выпячиваниями стенок ободочной кишки.
Причинами возникновения дивертикулеза могут быть как врожденные особенности организма – слабость соединительных тканей, сосудистые заболевания, так и приобретенные нарушения функций этой части пищеварительного тракта. Возрастные дегенеративные патологии мышечного аппарата, недостаточное количество растительной пищи в рационе вызывают нарушения моторики ободочной кишки, являются причиной дистрофических изменений в ее мышечной стенке. Дивертикулам или дивертикулярной болезни редко подвержены люди молодого возраста, но уже у трети 50-летних пациентов они выявляются.
Компьютерная томография с применением колоноскопии виртуальной
Прием (осмотр, консультация) врача-колопроктолога, к.м.н. первичный
Прием (осмотр, консультация) врача-колопроктолога, к.м.н. повторный
Прием (осмотр, консультация) врача-колопроктолога первичный
Прием (осмотр, консультация) врача-колопроктолога повторный
Прием (осмотр, консультация) врача-колопроктолога по интерпретации данных исследований
Методы лечения
Выбор метода лечения зависит от стадии заболевания, его этиологии и патогенеза.
Бессимптомный дивертикулез толстой кишки лечение требует чаще всего, терапевтического назначения следующих препаратов:
- слабительных;
- противовоспалительных;
- спазмолитиков;
- ферментных;
- пробиотиков (эубиотиков);
- антисептиков.
Запоры при дивертикулезе– основная причина развития осложнений, от которых впоследствии придется избавляться хирургическими методами. Поэтому борьба с запорами – важнейшее средство предотвращения осложнений дивертикулярной болезни. Основной метод предотвращения запоров – нормализация питания или диета.
Питание при дивертикулезе предусматривает:
- значительное содержание в меню растительной клетчатки – сырых овощей, фруктов и ягод без косточек и кожуры;
- частый прием хорошо измельченной пищи небольшими порциями;
- питье до 2-х литров жидкости в сутки;
- ограничение продуктов, вызывающих метеоризм.
Периодические медикаментозные курсы и строго соблюдаемая постоянная диета при дивертикулезе дают стойкий лечебный эффект.
Гораздо сложнее лечение различных осложнений дивертикулярной болезни, наиболее часто встречающееся из которых – воспаление дивертикулов, или дивертикулит.
Осложнения дивертикулярной болезни
Дивертикулит
При развитии воспалительных процессов больной госпитализируется. В зависимости от результатов рентгенологического исследования назначается медикаментозное лечение или хирургическое вмешательство.
К больным, не поддающимся медикаментозному лечению, при ухудшении их состояния также применяются хирургические методы для профилактики распространения воспалительного процесса, предотвращения абсцесса, перитонита, кровотечений.
Околокишечный инфильтрат
Вовремя не выявленные дивертикулы могут подвергнуться воспалению, развитие которого опасно образованием инфильтрата. Выбор метода лечения на этой стадии зависит от результатов рентгенологического и ультразвукового исследования состояния инфильтрата. Если они показывают нарастание интоксикации, угрозу абсцесса, перитонита, несмотря на терапевтические мероприятия, прибегают к хирургии: вскрытию абсцесса, резекции пораженного сегмента.
Перфорация дивертикула и свищи
Перфорация (разрыв) дивертикула опасна развитием воспаления брюшной полости (перитонита) или образованием забрюшинной флегмоны. Этот вид осложнений требует срочного оперативного вмешательства.
Кровотечения
Для остановки кровотечений применяются консервативные методы, эффективные в 80% случаев. Если они не приводят к желаемым результатам, прибегают к оперативным методам: удалению кровоточащего сегмента толстой кишки – гемиколэктомии.
Симптомы дивертикулеза
При бессимптомном протекании болезни наличие дивертикулов обнаруживают при обследовании по какому-либо другому поводу, что лишний раз доказывает необходимость регулярного профилактического медицинского осмотра.
Даже при клинических проявлениях болезнь сложно диагностировать без лабораторных исследований, поскольку симптоматика сходна со многими заболеваниями кишечника. Помогают диагностировать дивертикулез симптомы следующего характера:
- возникновение боли спастического характера в левой подвздошной области,
- усиление боли в процессе увеличения объема каловых масс;
- ослабление боли после дефекации;
- запоры, чередование их с жидким стулом;
- вздутие живота;
- ощущение неполного опорожнения кишечника при дефекации.
Дивертикулярная болезнь имеет ярко выраженную симптоматику при следующих осложнениях: остром и хроническом дивертикулите; перфорации дивертикула, паракишечном абсцессе или перитоните при распространении воспаления на рядом лежащие ткани; свищах, кровотечениях, кишечной непроходимости.
Для острого дивертикулита характерно дополнение основных симптомов признаками острого воспаления:
- тахикардия;
- лихорадка;
- лейкоцитоз;
- боль в животе.
Локализация заболевания
Полное поражение толстой кишки дивертикулами встречается очень редко. Обычно болезнь локализуется в отдельной ее части. Чаще всего наблюдается дивертикулез левой половины толстой кишки – нисходящей и сигмовидной ободочной частей. Почти в сорока процентах случаев болезнью поражены оба участка одновременно. Дивертикулез сигмовидного отдела кишечника составляет почти треть выявленных случаев заболевания. Дивертикулез нисходящего отдела толстой кишки превышает 10-процентную планку.
Способы диагностики
НИАРМЕДИК располагает всем необходимым лабораторным, диагностическим оборудованием для своевременного выявления образования дивертикул и предотвращения осложнений дивертикулярной болезни:
- компьютерная томография;
- сонография;
- колоноскопия.
При наличии осложненных воспалительных процессов с инфильтратом проводится морфологическое исследование для выявления злокачественных образований.
Почему НИАРМЕДИК
При возникновении симптомов дивертикулярной болезни обращайтесь в клинику сети НИАРМЕДИК, где вам гарантируется:
- консультация квалифицированного врача-проктолога или врача-гастроэнтеролога, осмотр, назначение эффективного лечения;
- обследование в собственной многопрофильной лаборатории, оснащенной современным диагностическим оборудованием;
- постоянное сопровождение личного врача на всех стадиях диагностики и лечения;
- полная конфиденциальность;
- доступные цены при высокой эффективности медицинских услуг.
Лечение дивертикулеза толстой кишки
Обслуживание на двух языках: русский, английский.
Оставьте свой номер телефона, и мы обязательно перезвоним вам.Информацию из данного раздела нельзя использовать для самодиагностики и самолечения. В случае боли или иного обострения заболевания диагностические исследования должен назначить только лечащий врач. Для постановки диагноза и правильного назначения лечения следует обращаться к Вашему лечащему врачу.
Дивертикулярная болезнь толстой кишки — это образование небольших выпячиваний на ее стенках. В хроническом состоянии может протекать бессимптомно. Однако нередко осложняется воспалительными процессами, развивающимися из-за застоя каловых масс. Вследствие этого значительно увеличивается риск появления флегмоны, перитонита и перфорации стенки кишки. В Клиническом госпитале на Яузе проводят операции при дивертикулезе толстой кишки, и подбирают методы консервативного лечения.
Когда нужна хирургия при дивертикулярной болезни толстой кишки
Обычно при выявлении заболевания назначают консервативное лечение. Оно заключается в назначении особой диеты и специальных препаратов для профилактики развития воспалительных процессов. Однако медикаментозная терапия не приводит к полному выздоровлению. Дивертикулы не исчезают. Лечение направлено на предотвращение появления осложнений.
Операция при дивертикулезе кишечника дает более выраженный лечебный эффект. Хирургическим путем устраняются непосредственно дивертикулы.
Клинические рекомендации при хирургии дивертикулеза толстой кишки
По статистике, у молодых людей болезнь появляется довольно редко. Обычно дивертикулез у пациентов младше 40 лет развивается в 5%. По мере старения организма риски возрастают, и к 55 годам уже 30% людей имеют данную патологию.
Так как на первых этапах развития болезнь может протекать бессимптомно, выявляют ее чаще всего на плановых обследованиях. Оперативное вмешательство в пожилом возрасте следует проводить с осторожностью. Поэтому предпочтительнее решать проблему за счет малоинвазивных методов. К таким относится лапароскопическая хирургия при дивертикулезе.
Диагностика и лечение патологии в клинике на Яузе
Клиника оснащена современным оборудованием, позволяющим выявлять развитие патологии на ранней стадии. Основным методом диагностики дивертикулеза является колоноскопия.
В госпитале на Яузе предусмотрена возможность провести процедуру с минимальным дискомфортом для пациента. Для этого по желанию больного все манипуляции выполняются под седацией (в состоянии медикаментозного сна).
При необходимости выполняется лапароскопическая операция при дивертикулезе толстого кишечника. Опыт врачей и инновационное оборудование позволяют сделать иссечение минимально инвазивным. Отличное разрешение видеоаппаратуры дает возможность хирургу получить четкое и подробное изображение. В результате воздействие проводится точечно, не травмируя здоровые ткани.
Период после операции при дивертикулезе
Клиника на Яузе оборудована собственным комфортным стационаром. После операции пациенты восстанавливаются в удобных палатах под постоянным медицинским наблюдением.
Так как операция малоинвазивна, послеоперационный период не превышает 3-5 дней. По его истечении пациент отправляется домой, получив подробные консультации врача по диете после операции дивертикулеза и дальнейшему лечению.
Преимущества лапароскопической хирургии дивертикулеза ободочной кишки в клинике на Яузе
Клиника на Яузе — это комплексный подход к лечению. Здесь пациенты могут получить все необходимые медицинские услуги. Перед операцией и в период восстановления больные находятся под наблюдением хирурга и врачей других специальностей при необходимости.
Новейшие методы диагностики позволяют выявлять болезнь на начальных этапах, что способствует более легкой и эффективной терапии. Опыт наших специалистов и применение инновационных методик позволяет успешно лечить дивертикулез на любой стадии.
Манипуляции проводятся в операционных, оснащенных по последнему слову техники. Малоинвазивные методики дают возможность сократить период восстановления. Запись на диагностику и консультации специалистов проводится круглосуточно.
Цены на лечение дивертикулеза толстой кишки
- Оперативные вмешательства
- Дивертикулэктомия пищевода 72 000 руб.
- Резекция глоточно-пищеводного дивертикула Ценкера 72 000 руб.
- Оперативные вмешательства
- Иссечение дивертикула уретры 30 000 руб.
Внимание! Цены на сайте могут отличаться.
Пожалуйста, уточняйте актуальную стоимость у администраторов по телефону.Наши специалисты:
ОБРАТНЫЙ ЗВОНОК
Обслуживание на двух языках: русский, английский.
Оставьте свой номер телефона, и мы обязательно перезвоним вам.Дивертикулярная болезнь
Дивертикулярная болезнь - это хроническое заболевание, которое возникает из-за образования в стенке кишечника мешкообразного выпячивания (дивертикула), и, как следствие, застойного процесса и развития воспаления.
Иногда имеется одиночный дивертикул, но, как правило, чаще всего у людей возникают множественные выпячивания в одном из отделов кишечника.
Дивертикулы разделяются на «истинные» и «ложные», а также на «врожденные» и «приобретенные».
- Истинные дивертикулы бывают чаще всего врожденными - из-за непосредственного нарушения строения кишки. Одной из особенностей истинного дивертикула является то, что стенки дивертикула имеют все слои, характерные для кишечника. К истинным дивертикулам, например, относится дивертикул Меккеля: выпячивание стенки тонкой кишки в месте впадения в нее незаращенного эмбрионального желточного протока как аномалии развития.
- Ложные дивертикулы являются приобретенными и представляют собой выбухание слизистой оболочки кишки наружу через истонченные места в ее мышечном слое.
Как правило, приобретенные дивертикулы бывают множественными и редко встречаются в единичном количестве.
Дивертикулёз - это изменение стенки кишечника с наличием в ней множественных дивертикулов без протекающих в них воспалительных процессов и не проявляющих себя клинически.
Если в дивертикуле развивается воспалительный процесс, говорят о дивертикулите и, как следствие этого, развитии дивертикулярной болезни.Частота дивертикулярной болезни
Из всех заболеваний толстой кишки, поражение кишечника дивертикулами - одно из самых распространенных в современном мире. Частота дивертикулярной болезни в среднем достигает 20% в европейских странах; причем, в более старших возрастных группах населения (60–80 лет) частота увеличивается, достигая 40–50%, а среди пациентов в возрасте старше 80 лет заболеваемость достигает 60-65%. В нашей стране дивертикулы толстого отдела кишечника обнаруживают примерно у 17-28% гастроэнтерологических больных. Частота болезни у мужчин и у женщин приблизительно одинакова.
Классификация дивертикулярной болезни
- Неосложненная. Эта форма выявляется случайно при рентгенологическом или эндоскопическом обследовании кишечника. В анализах крови, как правило, не обнаруживают никаких изменений. Обследование необходимо проходить для оценки распространенности поражения кишки, прогноза течения заболевания и выбора способа профилактики осложнений или лечения.
- Осложненная, протекающая с острым воспалительным процессом (дивертикулит, дивертикулярный инфильтрат, перфорация дивертикула, абсцесс, перитонит), хроническим воспалительным процессом, а также с кровотечением. К хроническому процессу относят ситуации, когда воспаление не удается ликвидировать в течение 6 недель, или оно возникает повторно. В тяжелых случаях может сформироваться инфильтрат, сужение кишки или свищ из разрушенного дивертикула.
Причины возникновения дивертикулов
Возникновение данного заболевания не имеет какой-либо конкретной причины. Оно обусловлено сочетанием многих факторов. Существует мнение о предрасположенности некоторых людей к этому заболеванию из-за врожденного недоразвития мышечного слоя стенки кишки. Вследствие чего у них с возрастом или под воздействием каких-либо факторов образуются дивертикулы.
Врожденная предрасположенность играет роль у людей с наследственными синдромами дисплазии соединительной ткани (синдромы Марфана, Элерса-Данлоса, когда в организме человека имеется дефицит коллагена), также нередко встречается сочетание дивертикулярной болезни толстой кишки с заболеваниями, связанными со снижением эластичности и прочности соединительной ткани (грыжи, варикозная болезнь, висцероптоз, поликистоз).
Однако, врожденная неполноценность тканей - не единственная причина возникновения патологических изменений кишечной стенки.Большая встречаемость дивертикулярной болезни у пожилых людей связана с постепенным снижением тонуса стенки толстой кишки по мере старения организма. Дивертикулярная болезнь - это хроническое заболевание, которое возникает из-за образования в стенке кишечника мешкообразного выпячивания (дивертикула), и, как следствие застойного процесса, развития в них воспаления. Мышечный слой толстой кишки становится более толстым и менее эластичным. Поддерживающая соединительная ткань теряет эластичность, а стенка кишки становится менее растяжимой. Поэтому дивертикулы у людей старшей возрастной группы появляются чаще, чем у молодых.
Также известно, что дивертикулы достоверно чаще возникают при снижении в рационе питания растительных волокон и клетчатки. Поэтому у вегетарианцев дивертикулярная болезнь встречается в 3 раза реже, чем у людей, ограничивающих прием овощей и фруктов. Пища с низким содержанием клетчатки плохо стимулирует перистальтику кишечника, замедляется продвижение содержимого по толстой кишке, из-за чего усиливается всасывание воды и как следствие - развиваются запоры. Задержка каловых масс в кишечнике в совокупности с нарушением нормальной микрофлоры кишечника приводит к воспалению и прогрессированию дивертикулярной болезни. Этим же можно объяснить более частое появление дивертикулов в сигмовидной кишке (запоры при этом играют роль разрешающего фактора).
Клиническая картина примерно в двух случаях из трех не сопровождается никакими жалобами (бессимптомный дивертикулёз), патологию обнаруживают случайно при эндоскопическом или рентгенологическом исследованиях. Чаще всего первыми признаками дивертикулярной болезни являются болевые ощущения и функциональные нарушения в виде запора или поноса. Появляются жалобы на регулярно повторяющиеся боли в животе, чаще в левой подвздошной области или нижних отделах, исчезающие после акта дефекации. Боли различной интенсивности могут существовать длительное время - от нескольких недель до месяцев. Усиление болей иногда сопровождается повышением температуры, могут появиться признаки интоксикации (сухость во рту, тошнота, тахикардия). Также часто отмечают вздутие живота и обильное отделение газов, различные диспептические расстройства, что иногда скрывается под маской синдрома раздраженного кишечника.
Осложнения дивертикулярной болезни толстой кишки
- Дивертикулит. Это острое воспаление, которое возникает в дивертикулах у четверти пациентов с дивертикулезом. Признаками развития воспаления может служить появление боли и напряжения мышц передней брюшной стенки, повышение температуры тела, озноб, вздутие живота, нарушения стула в виде диареи или запора.
- Перфорация дивертикула. На фоне воспалительного процесса в дивертикуле часть его стенки может разрушиться, и содержимое кишечника попадает в брюшную полость. При этом развивается местный или разлитой перитонит. При перфорации (разрыве стенки) дивертикула в забрюшинную клетчатку или пространство между листками брыжейки появляются инфильтраты или абсцессы.
- Кровотечение. Возникает примерно у 25% больных с дивертикулярной болезнью. У многих людей оно может являться первым и единственным проявлением заболевания. Обычно кровотечение связано с изъязвлением стенки дивертикула в результате хронического воспаления. Также на месте калового камня может образоваться пролежень с повреждением кровеносного сосуда. Интенсивность кровотечения может быть различной: от незначительной примеси крови в каловых массах (иногда бывает скрытое кровотечение, которое проявляется постепенным нарастанием анемии), до массивного профузного кровотечения, сопровождающегося коллапсом и даже приводящего к смерти.
- Кишечная непроходимость. Причиной кишечной непроходимости может стать воспалительный процесс вокруг дивертикула или спаечный процесс, приводящий к деформации кишки и нарушению продвижения по ней каловых масс. В редких случаях может возникнуть инвагинация (вворачивание) части кишки с дивертикулом или спазм гладкой мускулатуры.
- Кишечные свищи. Могут возникнуть при прободении дивертикула и прорыве гнойника в рядом расположенный орган (т. н. «внутренние свищи»). У мужчин чаще развиваются свищи с мочевым пузырем, у женщин - с влагалищем. При образовании кишечно-мочепузырного свища в моче может появляться воздух или примесь каловых масс.
Диагностика дивертикулярной болезни
- Ирригоскопия - рентгеновское исследование, при котором производят наполнение просвета толстой кишки контрастной взвесью и оценивают ее состояние при наполнении и после опорожнения кишки.
- Колоноскопия позволяет выявить наличие множественных дивертикулов, признаков воспаления или кишечного кровотечения, а также может оказаться полезной для обнаружения таких сопутствующих поражений как полипы и рак.
- МСКТ (мультиспиральная компьютерная томография). Целесообразна для дифференциальной диагностики дивертикулита и опухолевого поражения толстой кишки.
Лечение
Основной целью лечения дивертикулярной болезни является нормализация функции кишечника, предотвращение прогрессирования заболевания и развития осложнений, а также купирование обострений.
Диета
Так как дивертикулярная болезнь гораздо чаще возникает у людей, ограничивающих употребление в пище овощей и фруктов, всем больным с дивертикулёзом необходимо использовать продукты с высоким содержанием растительной клетчатки и пектина. Очень полезны пшеничные отруби (особенно, отруби грубого помола), которые значительно снижают давление внутри кишки и ускоряют скорость продвижения содержимого по кишечнику.
Обязательно нужно исключить все продукты, вызывающие повышенное газообразование (бобовые, чечевица, виноград, кислая капуста, сдобное и дрожжевое тесто, лук) и запоры (черника, рис). Целесообразно исключить также семечки, плоды с большим количеством зёрен и чрезмерно грубую клетчатку (хурма, ананасы, репа, редис, редька).
Медикаментозное лечение
- При неосложненном течении болезнь не требует использования медикаментозных препаратов. Необходимость принимать лекарства возникает в зависимости от клинических проявлений.
- При болях в животе применяют спазмолитические средства.
- При выявлении дисбактериоза - препараты, помогающие восстановить нормальную кишечную микрофлору.
- При постоянных запорах принимают препараты для усиления моторики желудка и кишечника: препараты лактулозы, вазелиновое или оливковое масло внутрь или в микроклизмах.
- При дивертикулёзе с клиническими проявлениями воспаления необходимо использовать весь комплекс лечебных мероприятий: послабляющую диету, спазмолитики; препараты, регулирующие моторную функцию кишечника, и средства, нормализующие состав бактериальной флоры кишечника.
Хирургическое лечение
Необходимость в хирургическом лечении при дивертикулярной болезни может возникнуть как в срочном, так и в плановом порядке. Это бывает при возникновении осложнений, которые могут угрожать жизни человека (кровотечение, перфорация, перитонит).
Плановое хирургическое лечение всегда направлено на устранение угрозы подобных осложнений. Выбор метода операции в каждом конкретном случае зависит от распространённости процесса, воспалительных изменений в дивертикулах, состояния кишечной стенки и окружающих тканей, наличия воспаления вне просвета кишки или перитонита. Важно учитывать сопутствующие заболевания, часто наблюдаемые у людей пожилого возраста. Как правило, в плановом порядке выполняется резекция (удаление) пораженного отдела толстой кишки с одновременным наложением анастомоза.
Оперативное лечение в нашей Клинике выполняется лапароскопическим способом, что позволяет пациентам достаточно быстро возвращаться к активной жизни. Плановая операция всегда выполняется в период ремиссии, через 2-3 месяца после снятия острого приступа болезни. Свищи толстой кишки являются показанием к плановому хирургическому лечению, так как добиться их самостоятельного заживления не возможно, а хроническое воспаление приводит как к развитию грубых рубцов, нарушающих продвижение кишечного содержимого, так и к развитию хронической интоксикации и снижению иммунитета. При формировании кишечно-мочепузырных свищей возникает угроза развития восходящей инфекции мочевых путей и поражения почек.- Хирургическое устранение свищей является сложным хирургическим вмешательством требующим участия высококвалифицированных специалистов. В нашей клинике при планировании подобных вмешательств по необходимости привлекаются смежные специалисты (урологи, гинекологи, эндоскописты). При кишечном кровотечении чаще всего назначают консервативное лечение (гемостатическую терапию) или выполняют эндоскопическую остановку кровотечения. Операция выполняется только при неэффективности консервативных методов лечения.
- Хирургическое лечение при перфорации дивертикула. Если операция выполняется по срочным показаниям, для снижения риска послеоперационных осложнений может накладываться колостома. Реконструктивная операция с закрытием колостомы и восстановлением непрерывности кишки выполняется после стихания воспалительного процесса (примерно, через 3 месяца).
Диспансерное наблюдение
Больные с дивертикулярной болезнью должны регулярно наблюдаться у гастроэнтеролога или колопроктолога. Колоноскопию при отсутствии жалоб выполняют с периодичностью 1 раз в 3 года.
Если возникают боли и другие проявления болезни, обследование следует пройти в самые кратчайшие сроки. При частых периодичных рецидивах дивертикулита показаны регулярные противорецидивные курсы лечения.Прогноз
Прогноз, как правило, благоприятный, если заболевание выявлено своевременно, начато проведение необходимых профилактических и лечебных мероприятий, при условии соблюдения пациентом всех необходимых рекомендаций.
Однако, при игнорировании необходимости профилактики, дивертикулярная болезнь может привести к развитию тяжёлых, угрожающих жизни и здоровью пациента, осложнений. Тем более, что болезнь чаще распространена среди пожилых людей, имеющих разнообразные сопутствующие заболевания и меньшую сопротивляемость организма.Профилактика
Среди профилактических мероприятий основное значение имеет разнообразное и рациональное питание. В связи с тем, что диета с низким содержанием растительных волокон предрасполагает к формированию дивертикулов, с целью уменьшения риска развития заболевания необходимо в большом количестве включать продукты растительного происхождения.
Поскольку немаловажную роль играет своевременное выявление дивертикулов, крайне важно проходить профилактическое обследование и регулярно выполнять эндоскопическое исследование кишечника.Оформите заявку на сайте, мы свяжемся с вами в ближайшее время и ответим на все интересующие вопросы.
Читайте также:


