Светлоклеточные аденомы слюнной железы. Мукоэпидермоидные опухоли слюнных желез.
Добавил пользователь Валентин П. Обновлено: 06.01.2026
Вам поставили диагноз: рак слюнных желёз?
Наверняка Вы задаётесь вопросом: что же теперь делать?
Подобный диагноз всегда делит жизнь на «до» и «после». Все эмоциональные ресурсы пациента и его родных брошены на переживания и страх. Но именно в этот момент необходимо изменить вектор «за что» на вектор «что можно сделать».
Предлагаем Вашему вниманию краткий, но очень подробный обзор рака слюнных желёз.
Его подготовили высоко квалифицированные специалисты Отдела лучевого и хирургического лечения заболеваний головы и шеи МРНЦ имени А.Ф. Цыба – филиала ФГБУ «НМИЦ радиологии» Минздрава России.
Данная брошюра содержит информацию о диагностике и лечении рака слюнных желёз. Здесь собраны основные методики лечения данного заболевания, в том числе, последние разработки отечественных и зарубежных ученых-онкологов.
Мы поможем Вам победить рак!
Филиалы и отделения, где лечат рак слюнных желёз
МНИОИ им. П.А. Герцена – филиал ФГБУ «НМИЦ радиологии» Минздрава России.
Отделение микрохирургии.
Заведующий – д.м.н, ПОЛЯКОВ Андрей Павлович
Отделение интервенционной онкологии и эндоваскулярной хирургии.
Заведующий - к.м.н, РЕРБЕРГ Андрей Георгиевич
МРНЦ им. А.Ф. Цыба – филиал ФГБУ «НМИЦ радиологии» Минздрава России.
Отдел лучевого и хирургического лечения заболеваний головы и шеи.
Заведующий – к.м.н, СЕВРЮКОВ Феликс Евгеньевич
Отделение рентгено-хирургических методов диагностики и лечения
Заведующий - к.м.н, КУЧЕРОВ Валерий Владимирович
Введение
Большие слюнные железы расположены в околоушных, поднижнечелюстных и подъязычных областях, имеют дольчатое строение и продуцируют слюну. Их структурной единицей является эпителиоцит (сероцит, мукоцит). Опухоли, образующиеся из этих клеток могут быть доброкачественными (аденома, эпителиома) и злокачественными (аденокарцинома и др.)
Статистика рака слюнных желёз (эпидемиология)
Рак больших слюнных желез составляет до 1,5 % всей онкологической патологии и до 50 % в структуре всех злокачественных новообразований этой локализации. Данная патология встречается повсеместно. Заболеваемость имеет тенденцию к росту, особенно это касается крупных городов. Алгоритм лечения включает операцию, а в ряде случаев облучение и химиотерапию.

Морфологическая классификация рака слюнных желез
Согласно гистологической классификации ВОЗ (лимфомы и саркомы не включены) наиболее частыми морфологическими формами злокачественных опухолей больших слюнных желез являются: мукоэпидермоидный рак, ациноклеточный рак, аденокистозный рак и неспецифическая аденокарцинома.
Стадии и симптоматика рака слюнных желёз
Рак больших слюнных желез на начальных стадиях характеризуется появлением безболезненной округлой плотной опухоли кпереди от ушной раковины или в подчелюстной области. В достаточно короткий временной промежуток она увеличивается в размерах, изъязвляет кожу лица, поражает лицевой нерв. Улыбка человека, при этом становится перекошенной, носогубная складка - сглаженной, а нижнее веко опущено. Отмечается слезотечение. Метастазы в шейные лимфатические узлы проявляются опухолевидными образованиями на боковой поверхности шеи. Признаки отдаленных метастазов обусловлены их местоположением, чаще всего нарушением функции, болью.
Стадии рака определяются как степенью поражения самих слюнных желез, так и степенью поражения шейных лимфатических узлов, а так же наличием отдаленных метастазов. Первичная опухоль слюнной железы обозначается литерой Т: TX – недостаточно данных для оценки первичной опухоли, TO – первичная опухоль не определяется, Т1 – опухоль до 2 см в наибольшем измерении без распространения за пределы железы, Т2 – опухоль менее 2 см но не более 4 см в наибольшем измерении без распространения за пределы железы, Т3 – опухоль с распространением за пределы паренхимы без поражения VII нерва и/или от 4 до 6 см в наибольшем измерении, Т4a- опухоль более 6 см в наибольшем измерении с распространением на кость нижней челюсти, наружный слуховой проход и/или с поражением VII нерва, Т4b- опухоль распространяется на основание черепа, крылонебное пространство, внутреннюю сонную артерию. Литерой N обозначаются шейные лимфатические узлы: NХ – недостаточно данных для оценки состояния лимфатических узлов, N0 – нет признаков метастатического поражения, N1 – метастазы в одном лимфатическом узле на стороне поражения до 3 см и менее 6 в наибольшем измерении, N2 – метастазы в одном или нескольких лимфатических узлах на стороне поражения до 6 см в наибольшем измерении или метастазы в лимфатических узлах шеи с обеих сторон, или с противоположной стороны до 6 см в наибольшем измерении, N2а – метастазы в одном лимфатическом узле на стороне поражения до 6 см в наибольшем измерении, N2b – метастазы в нескольких лимфатических узлах на стороне поражения до 6 см в наибольшем измерении, N2с – метастазы в лимфатических узлах с обеих сторон или с противоположной стороны до 6 см в наибольшем измерении, N3 – метастаз в лимфатическом узле более 6 см в наибольшем измерении. Литерой М – отдаленные метастазы: МХ – недостаточно данных для определения отдаленных метастазов, М0 – нет признаков отдаленных метастазов, М1 – имеются отдаленные метастазы.
Группировка по стадиям рака слюнных желез.
| Стадия I | T1 | N0 | M0 |
| Стадия II | T2 | N0 | M0 |
| Стадия III | T3 | N0 | M0 |
| T1 | N1 | M0 | |
| T2 | N1 | M0 | |
| T3 | N1 | M0 | |
| Стадия IVA | T4a | N0 | M0 |
| T4a | N1 | M0 | |
| T1 | N2 | M0 | |
| T2 | N2 | M0 | |
| T3 | N2 | M0 | |
| T4a | N2 | M0 | |
| Стадия IVB | T4b | Любая стадия N | M0 |
| Любая стадия T | N3 | M0 | |
| Стадия IVC | Любая стадия T | Любая стадия N | M1 |
Причины возникновения рака слюнных желёз и факторы риска
Среди причин возникновения рака слюнных желез генетических факторов нет. Группу риска составляют лица, чрезмерно употребляющие алкоголь, использующие табак для куреня и жевания. Также имеют место указания на погрешности в использовании слишком горячей, или слишком холодной пищи.
Диагностика рака слюнных желёз
В перечень диагностических исследований рака больших слюнных желез входят анкетные данные, анамнез заболевания, пальпация, врачебный осмотр и эхографическое исследование. Уникальные диагностические процедуры подразумевают использование КТ, МРТ, ПЭТ, ОФЭКТ/КТ. Специфических онкомаркеров у этой патологии нет. Проведение скрининговых программ, как показала международная практика, не целесообразно.
Лечение рака слюнных желёз
Только при первой стадии рака больших слюнных желез выполняется операция - резекция пораженного органа, во всех остальных случаях – полное его удаление (сиаладенэктомия, парадитэктомия), а также удаление шейных лимфатических узлов (лимфаденэктомия). По результатам гистологического исследования консилиумом врачей в составе онколога, радиолога и химиотерапевта решается тактика применения лучевой и системной лекарственной терапии.
Осложнения противоопухолевого лечения
Зависят от метода лечения, например при операции, в случаях вовлечении в опухолевый процесс лицевого нерва и его резекции, развивается паралич и как следствие асимметрия лица, требующая дополнительной коррекции. После лучевой терапии возможны лучевые реакции со стороны кожных покровов (лучевой эпидермит и др), а после химиотерапии встречаются анемия, выпадение волос, стоматиты, тошнота/рвота, инфекционные осложнения, нейтропения, кровотечения, тромбоцитопения и др.
Использование уникальных методик
В настоящее время при раке больших слюнных желез с вовлечением жизненно важных структур головы и шеи применяют гипертермию, химиоэмболизацию.
Реабилитация
Осуществляется в онкологических учреждениях, к которым территориально прикреплены больные и определяется индивидуально после контрольных осмотров онкологом. В течение первых двух лет после завершения лечения – 1 раз каждые 3 месяца, в течение в течение последующих трех лет - 1 раз каждые 6 месяцев. После пяти лет с момента завершения лечения – 1 раз в год.
Прогноз заболевания
Относительно благоприятный - при первой стадии заболевания, отягощается, вплоть до фатального, с последующими стадиями.
Филиалы и отделения, в которых лечат рак слюнных желёз
ФГБУ «НМИЦ радиологии» Минздрава России обладает всеми необходимыми технологиями лучевого, химиотерапевтического и хирургического лечения, включая расширенные и комбинированные операции. Все это позволяет выполнить необходимые этапы лечения в рамках одного Центра, что исключительно удобно для пациентов.
1.Отделение микрохирургии МНИОИ имени П.А. Герцена – филиала ФГБУ «НМИЦ радиологии» Минздрава России
Заведующий – д.м.н, ПОЛЯКОВ Андрей Павлович
2. Отделение интервенционной онкологии и эндоваскулярной хирургии МНИОИ имени П.А. Герцена – филиала ФГБУ «НМИЦ радиологии» Минздрава России
Заведующий - к.м.н, РЕРБЕРГ Андрей Георгиевич
3. Отдел лучевого и хирургического лечения заболеваний головы и шеи МРНЦ имени А.Ф. Цыба – филиала ФГБУ «НМИЦ радиологии» Минздрава России г. Обнинск, Калужской области
Заведующий – к.м.н, СЕВРЮКОВ Феликс Евгеньевич
4. Отделение рентгено-хирургических методов диагностики и лечения МРНЦ имени А.Ф. Цыба – филиала ФГБУ «НМИЦ радиологии» Минздрава России г. Обнинск, Калужской области
Заведующий - к.м.н, КУЧЕРОВ Валерий Владимирович
Светлоклеточные аденомы слюнной железы. Мукоэпидермоидные опухоли слюнных желез.
Светлоклеточные аденомы слюнной железы. Мукоэпидермоидные опухоли слюнных желез.
Редкие случаи преобладания светлых клеток в структуре мономорфных аденом дали основание некоторым авторам для выделения особой группы так называемых светлоклеточных аденом (светлоклеточная миоэпителиома, аденомиоэпителиома, гликогенсодержащая светлоклеточная аденома). При явном сходстве с одним из вариантов структуры эпителиального компонента плеоморфной аденомы светлоклеточная аденома отличается преобладанием клеток со светлой, оптически «пустой» цитоплазмой, которые располагаются солидными или солидно-альвеолярными пластами. В некоторых комплексах имеются хорошо сформированные железистые полости из более мелких клеток, напоминающие протоковые, с темной, слегка эозинофильной цитоплазмой и темным гомогенным ядром Большинство исследователей предполагают миоэпителиальную природу светлых клеток.
Дифференциальный диагноз следует проводить с редким вариантом аденокарцином из светлых клеток (светлоклеточный рак, гликогенсодержащий светлоклеточный рак). В пользу аденомы свидетельствуют выраженное сходство с вариантом структур эпителиальной) компонента нлеоморфной аде номы, наличие капсулы и отсутствие признаков инфильтративного роста. Следует иметь в виду также возможность обнаружения светлых клеток и в других опухолях слюнных желез нлеоморфной аденоме, ацинозно-клеточной и мукоэпидермоидной опухолях, аденокарциномах.
Однако вопрос о необходимости и правомерности выделения светлоклеточных аденом остается открытым. Высказывается суждение о том, что добро качественных опухолей указанной структуры не существует.
К редким вариантам аденом относятся так называемые сальноклеточные аденомы и миоэпителиемы.
Сальноклеточные аденомы представлены островками эпителиальных клеток с эпидермоидной и сальной дифференцировкой, расположенными среди густого лимфоидно-клеточного инфильтрата. Предполагают, что местом их возникновения служат мелкие внутридольковые и междольковые протоки. По аналогии с аденолимфомой обсуждают роль и характер возникновения лимфоидной стромы.

Миоэпителиомы описывают как в больших, так и в малых слюнных железах. Преобладающим типом клеток при солидном и солидно-альвеолярном их расположении могут быть вытянутые веретенообразные, округлые или полигональные клеточные элементы, как правило, без четких контуров цитоплазмы. В связи с этим предпринимаются попытки выделения вариантов строения миоэпителиом веретеноклеточная плазмооклеточная, смешанная.
Дискутируется вопрос о необходимой доле миоэпителиальных клеток в структуре новообразований данной группы («чистые» миоэпителиомы, миоэпителиомы с преобладанием мноэпителиальных клеток). Как правило, принадлежность опухоли к миоэпителиомам устанавливают на уровне изучения тонкой структуры опухолевых клеток.
Представляя несомненный теоретический интерес, миоэпителиомы трудны для диагностики на световом уровне и без применения электронно-микроскопического, иммуноморфологического методов исследования традиционно относятся к мономорфиым аденомам. Описаны редкие случаи злокачественных миоэпителиом также без четких морфологических критериев для установления диагноза на светоонтнческом уровне.
Таким образом, исключая аденолимфомы, оксифильные и сальноклеточные аденомы, все другие варианты мономорфных аденом лишены какой-либо специфичности и в настоящее время нет определенных четких критериев для их выделения в обособленные группы. Такие опухоли можно характеризовать в диагнозе как мономорфные аденомы.
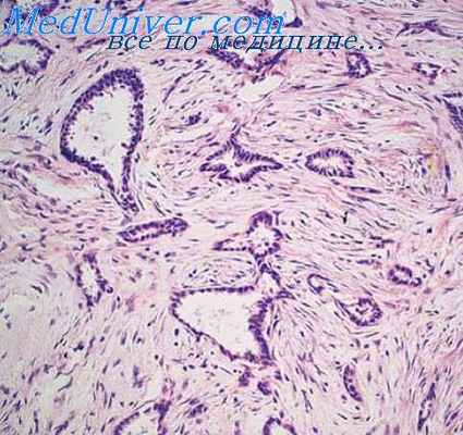
Мукоэпидермоидные опухоли составляют 2-12% эпителиальных новообразований слюнных желез. Они встречаются в любом возрасте, в том числе нередко у детей. Преобладают больные женского пола. Опухоли возникают как в больших, так и в малых слюнных железах, наиболее часто — в околоушной железе. Из малых слюнных желез чаще поражаются железы неба
Макроскопически мукоэпидермоидиые опухоли имеют форму плотного белесоватого узла, иногда со слизистой поверхностью разреза, часто с наличием мелких и крупных кистозных полостей. Более чем в половине случаев между опухолью и окружающими тканями отсутствует четкая граница. Кроме того, при микроскопическом исследовании обнаруживают признаки инфильтративного рента и при хорошо макроскопически очерченных новообразованиях.
Микроскопически мукоэпидермоидные опухоли отличаются характерными структурными особенностями и своеобразием набора клеточных элементов. Основными типами опухолевых клеток являются эпидермоидные и слизеобразующие. Эпидермоидные клетки, напоминающие плоский эпителий, могут быть мелкими или крупными с амфофильной или слегка эозинофильной светлой цитоплазмой. Часто крупные клетки располагаются в центре солидных комплексов, имеют более четкие контуры и более светлую цитоплазму, а мелкие на периферии. Иногда крупные эпидермоидные клетки составляют основную массу опухолевых клеток. Группируясь в несколько слоев, эпидермоидные клетки. Moгут выстилать кистозные полости. Слизеобразующие клетки располагаются среди эпидермоидных и отличаются от последних диффузно окрашенной базофильной цитоплазмой, сохраняя ту же форму и размеры. Кроме того, не выявляемые обычными методами слизеобразующие клетки моугт обнаруживаться при окраске муцикармином и ШИК-реакции. Другим вариантом слизеобразующих клеток являются клетки с крупной слизистой вакуолью. Однако наиболее типичными слизеобразующими элементами считают бокаловидные клетки со светлой или слегка базофильной цитоплазмой, которые выстилают кистозные полости. Они часто являются единственным элементом выстилки. Наряду с указанными основными тинами клеток встречаются клеточные элементы, напоминающие протоковые Они обладают плотной, слегка эозинофильиой цитоплазмой и образуют железистые структуры. Иногда выявляются эозинофильные клетки, подобные выстилке слюнных трубок, или крупные светлые клетки с оптически «пустой» цитоплазмой. Клеточные элементы небольших размеров, лишенные признаков какой-либо специфичности, иногда называют промежуточными.
При электронно-микроскопическом исследовании обнаруживают клетки с отчетливыми признаками секреции, содержащие различное количество слизистых гранул, эпидермоидные клетки с тонофибриллами и кератогиалином. Клеточные элементы с признаками эпидермоидной дифференцировки обнаруживают и в пласте так называемых промежуточных клеток. Встречаются клетки типа протоковых без признаков секреции, типа эпителия слюнных трубок с большим количеством митохондрий, и небольшое количество низкодифференцироваииых эпителиальных клеток.
Информация на сайте подлежит консультации лечащим врачом и не заменяет очной консультации с ним.
См. подробнее в пользовательском соглашении.
Опухоли слюнных желез
Большинство опухолей слюнных желез являются доброкачественными и возникают в околоушной железе. Основным симптомом является болезненное образование в области слюнной железы, для подтверждения диагноза требуется пункционная биопсия. Дополнительно можно использовать КТ и МРТ. При злокачественном процессе требуется хирургическое лечение и лучевая терапия. Отдаленные результаты зависят от степени рака.
В целом, с уменьшением размеров слюнных желез увеличивается риск злокачественности. Около 85% опухолей слюнных желез поражает околоушные железы, реже подчелюстные и мелкие слюнные железы, и около 1% опухолей возникает в подъязычных железах. Около 75–80% опухолей являются доброкачественными, с медленным ростом, подвижные, безболезненные, обычно под кожей или слизистой определяются плотные узлы. При кистозном строении узлы могут быть мягкими, но чаще всего имеют твердую консистенцию.
Доброкачественные опухоли
Существует много типов доброкачественных опухолей слюнных желез. Плеоморфные аденомы (также известные как опухоли смешанного типа) являются наиболее распространенными доброкачественными опухолями слюнных желез. К другим доброкачественным опухолям относятся папиллярная лимфоматозная цистаденома (также известная как опухоль Вартина), онкоцитомы и аденомы.
Доброкачественные опухоли со злокачественным потенциалом
Плеоморфные аденомы (опухоли смешанного типа) могут озлокачествляться, но обычно это происходит только после того, как доброкачественная опухоль присутствует в течение 15–20 лет. Сразу после малигнизации плеоморфной аденомы, она называется карцинома из плеоморфной аденомы. Карциноматозные элементы в опухоли метастазируют, что делает карциному вне плеоморфной аденомы высокоагрессивной опухолью с очень низкой, независимо от лечения, скоростью излечения.
Доброкачественные цилиндромы могут медленно подвергаться злокачественному превращению в аденоидные кистозные карциномы, наиболее распространенную злокачественную опухоль малых слюнных желез (и трахеи). Пик встречаемости таких злокачественных опухолей приходится на возраст 40–60 лет и проявляется в виде выраженной боли, часто парезом лицевого нерва. Эта опухоль имеет предрасположенность к периневральной инвазии с распространением патологического процесса на много сантиметров от первичного очага. Распространение по лимфатическим путям встречается нечасто. Часто образуются метастазы в легких, но пациенты могут жить с ними довольно продолжительное время.
Злокачественные опухоли слюнных желез
Другие злокачественные опухоли встречаются реже и могут характеризоваться быстрым ростом или «вспышкой» роста. Они имеют твердую консистенцию, узловое строение и могут прикрепляться к подлежащим тканям. Со временем покрывающая кожа или слизистая могут изъязвляться, а опухоль может прорастать в подлежащие мягкие ткани.
Самым распространенным раком слюнных желез является мукоэпидермоидная карцинома, которая чаще поражает лиц в возрасте от 20 до 50 лет. Она может проявляться в любой слюнной железе, чаще всего в околоушной железе, но также встречается и в подчелюстной железе или малых небных слюнных железах. Средне- и высокодифференцированные мукоэпидермоидные карциномы могут давать метастазы в регионарные лимфатические узлы.
Ацинозная карцинома является одним из распространенных видов опухолей околоушной железы, часто встречается в возрасте 40–50 лет. Данная карцинома имеет более медленный рост, а также наличие множественных очагов.
Симптомы и признаки опухолей слюнных желез
Большинство доброкачественных и злокачественных опухолей слюнных желез манифестирует в виде безболезненного образования. Однако злокачественные опухоли могут прорастать в нервы, вызывая локальную боль, онемение, парестезию, каузалгию или потерю двигательной функции.
Диагностика опухолей слюнных желез
Аспирационная биопсия тонкой иглой
КТ и МРТ при распространенном процессе
КТ и МРТ позволяют установить локализацию и распространенность опухолевого процесса. Тип клеток может быть подтвержден с помощью тонкоигольной аспирационной биопсии объемного образования. Часто перед выбором метода лечения показано проведение скрининга организма на наличие отдаленных метастазов в легких, печени, костях и головном мозге.
Лечение опухолей слюнных желез
Хирургическое, иногда в дополнение лучевая терапия
Основной метод лечения доброкачественных опухолей – это хирургическое удаление. При неполном удалении возможны рецидивы.
При злокачественных опухолях слюнных желез методом выбора лечения операбельных опухолей является хирургическое удаление, после которого иногда назначают лучевую терапию. На сегодняшний день не существует эффективной химиотерапии для лечения рака слюнных желез.
Лечение мукоэпидермоидной карциномы заключается в широком ее иссечении и послеоперационной лучевой терапии низкодифференцированной опухоли. Уровень 5-летней выживаемости составляет 95% при первых стадиях рака, в основном поражаются клетки слизистой, а при последних стадиях уровень выживаемости составляет 50%, причем поражаются в первую очередь эпидермоидные клетки. Метастазы в регионарные лимфатические узлы необходимо удалять хирургическим путем с назначением послеоперационной лучевой терапии.
Лечение железисто-кистозной карциномы заключается в широком иссечении опухоли вместе с окружающими тканями, но часто наблюдаются местные рецидивы из-за склонности к периневральному распространению. Менее вероятно, что потребуется плановое удаление лимфатических узлов, поскольку распространения по лимфатической системе отмечается реже. Несмотря на довольно хорошие показатели 5- и 10-летней выживаемости, следует отметить менее благоприятные показатели 15- и 20-летней выживаемости, поскольку у многих пациентов развиваются отдаленные метастазы. Метастазы в легких и летальный исход наблюдаются часто, хотя и происходят через много лет (как правило, через 10 лет и более) после постановки диагноза и начала лечения.
Прогноз ацинозной карциномы благоприятный после качественного хирургического лечения.
Первичным лечением карциномы, возникшей из плеоморфной аденомы, является паротидэктомия с целью полного удаления источника заболевания. При наличии поражения лимфоузлов выполняется шейная диссекция, которая также рассматривается и для некоторых пациентов, не имеющих признаков метастазов в лимфатические узлы.
Все операции выполняются таким образом, чтобы не повредить лицевой нерв, который приносится в жертву только в случае непосредственного поражения нерва опухолью.
Основные положения
Только 20–25% опухолей слюнной железы являются злокачественными; околоушная слюнная железа поражается наиболее часто.
Раковые опухоли являются плотными, узелковыми и могут быть связаны с прилегающей тканью; распространенным является болевой синдром и вовлечение нерва (обуславливающие онемение и/или слабость).
Следует выполнить биопсию, КТ и МРТ, если рак подтвержден.
Лечение с использованием хирургического вмешательства, в некоторых случаях плюс лучевая терапия для лечения определенных видов рака.
Дополнительная информация
Следующий англоязычный ресурс может оказаться информативным. Обратите внимание, что The manual не несет ответственности за содержание этого ресурса.
National Cancer Institute’s Summary: Salivary Gland Cancer Treatment
Авторское право © 2022 Merck & Co., Inc., Rahway, NJ, США и ее аффилированные лица. Все права сохранены.
Опухоли слюнных желез у детей. Клинические рекомендации.
Инструментальная диагностика - диагностика с использованием для обследования больного различных приборов, аппаратов и инструментов.
Лабораторная диагностика — совокупность методов, направленных на анализ исследуемого материала с помощью различного специализированного оборудования.
Медицинское вмешательство - выполняемые медицинским работником и иным работником, имеющим право на осуществление медицинской деятельности, по отношению к пациенту, затрагивающие физическое или психическое состояние человека и имеющие профилактическую, диагностическую, лечебную, реабилитационную или исследовательскую направленность виды медицинских обследований и (или) медицинских манипуляций, а также искусственное прерывание беременности.
Медицинский работник - физическое лицо, которое имеет медицинское или иное образование, работает в медицинской организации и в трудовые (должностные) обязанности которого входит осуществление медицинской деятельности, либо физическое лицо, которое является индивидуальным предпринимателем, непосредственно осуществляющим медицинскую деятельность.
Рабочая группа - двое или более людей одинаковых или различных профессий, работающих совместно и согласованно в целях создания клинических рекомендаций, и несущих общую ответственность за результаты данной работы.
Синдром – совокупность симптомов с общими этиологией и патогенезом.
Хирургическое вмешательство – инвазивная процедура, может использоваться в целях диагностики и/или как метод лечения заболеваний.
Хирургическое лечение — метод лечения заболеваний путём разъединения и соединения тканей в ходе хирургической операции.
Анализ выживаемости (от анг. Survival analysis) — это класс статистических моделей, позволяющих оценить вероятность наступления события.
Безрецидивная выживаемость (БРВ) – от момента наступления ремиссии до момента возникновения рецидива.
Бессобытийная выживаемость (БСВ) – от начала лечения до момента прекращения ремиссии независимо от причины приведшей к ней, а так же отказ родителей от лечения.
Общая выживаемость (ОВ) – от начала лечения до его окончания или смерти больного.
1. Краткая информация
1.1 Определение
Опухоли слюнных желез у пациентов детского возраста - разнородная по морфологическим вариантам группа опухолей из клеток больших и малых слюнных желез.
1.2 Этиология и патогенез
Возникновение злокачественных опухолей слюнных желез (СЖ) у детей объясняется общими теориями этиологии опухолей. Доказано канцерогенное влияние древесной пыли и предшествующей лучевой терапии на область головы и шеи в развитии опухолей слюнных желез. Так же сообщается об увеличении заболеваемости среди больных, получавших терапию радиоактивным йодом по поводу рака щитовидным железы, что может быть обусловлено захватом изотопа йода частично и клетками слюнных желез. Активно изучается влияние вируса Эпштейна-Барра на развитие опухолей СЖ, особенно в развитии лимфоэпителиальной карциномы.
Структура опухолей СЖ значительно отличается в различные возрастные периоды у пациентов детского возраста. Доброкачественные опухоли доминируют в первом десятилетии жизни, старше 10 лет - растет частота раков, удельный вес которых относительно высок среди других эпителиальных злокачественных опухолей детского возраста. Злокачественные опухоли мезенхимального строения являются уделом пациентов 4-7 летнего возраста. А злокачественные эпителиальные новообразования развиваются чаще, как и смешанные опухоли, у пациентов 10-15 лет.
1.3 Эпидемиология
Опухоли СЖ у пациентов детского возраста встречаются относительно редко и представлены преимущественно доброкачественными поражениями. По данным одних исследований опухоли СЖ у детей составляют не более 2% среди всех злокачественных образований головы и шеи, по другим – 3-5% всех новообразований челюстно-лицевой области. Эта, разнородная по морфологическим вариантам группа опухолей, отличается довольно медленным клиническим течением и отсутствием субъективных жалоб. Этим объясняются ошибки в правильной интерпретации диагноза со стороны педиатров, стоматологов и других специалистов. Наиболее часто (в 60-85%) опухоль развивается в околоушной СЖ, реже (в 10-18%) в поднижнечелюстной или малых СЖ - 3-5% . По данным отечественной и зарубежной литературы не выявлено корреляции между полом ребенка и поражением СЖ. Однако ряд авторов отмечает несколько большую заболеваемость среди девочек (соотношение между девочками и мальчиками 1,9:1). Наиболее часто (в 70-80% случаев) заболевают дети в возрасте от 10-16 лет. [1,2,4]. Целый ряд опухолей СЖ у пациентов детского возраста был детально изучен Мемориальным центром рака Sloan-Ketering в Нью-Йорке и Онкологическим центром M.D. Anderson в Хьюстоне. Наиболее распространённой из доброкачественных опухолей является полиморфная аденома, из злокачественных опухолей чаще всего встречается мукоэпидермоидный рак. У детей описаны также рак из ацинозных клеток, аденокарцинома и аденокистозная карцинома, обычно такие опухоли пальпируются и основным методом лечения является хирургическое удаление [1,2,3,4,15,18,20].
1.4 Кодирование по МКБ 10
Злокачественное новообразование других и неуточненных отделов рта (C06)
C06.9 – Рта неуточненное
Злокачественное новообразование околоушной слюнной железы (C07)
Злокачественное новообразование других и неуточненных больших слюнных желез (C08):
C08.0 – Поднижнечелюстной железы
C08.1 – Подъязычной железы
C08.8 – Поражение больших слюнных желез, выходящее за пределы
C08.9 – Большой слюнной железы неуточненной
Доброкачественное новообразование рта и глотки (D10):
D10.3 – Других и неуточненных частей рта
Доброкачественное новообразование больших слюнных желез (D11):
D11.0 – Околоушной слюнной железы
D11.7 –Других больших слюнных желез
D11.9 –Большой слюнной железы неуточненное
1.5 Классификация
1.5.1 Международная гистологическая классификация опухолей СЖ (рекомендована к практической работе ВОЗ)
1. Полиморфная аденома
2. Мономорфная аденома
3. Ацинарно-клеточный рак
4. Мукоэпидермоидный рак
5. Аденоидно-кистозный рак
6. Полиморфная высокодифференцированная аденокарцинома
7. Эпителиально-миоэпителиальный рак
8. Базальноклеточная аденокарцинома
9. Рак сальных желез
10. Папиллярная цистаденокарцинома
11. Муцинпродуцирующая аденокарцинома
12. Рак из клеток Гюртле
13. Рак протоков слюнных желез
15. Миоэпителиальный рак
16. Рак смешанной доброкачественной опухоли
17. Плоскоклеточный рак
18. Мелкоклеточный рак
19. Иные разновидности рак
Неэпителиальные опухоли
А. Доброкачественные:
Б. Злокачественные
1. Ангиогенная саркома
3. Веретеноклеточная саркома (без уточнения гистогенеза).
Сходные опухолеподобные поражения.
1) Доброкачественное лимфоэпителиальное поражение.
1.6 Клиническая картина
Клиническое течение опухолей СЖ во многом определяется локализацией, распространенностью и морфологическим строением. Среди доброкачественных новообразований у детей наиболее часто встречается плеоморфная аденома, развивающаяся в большинстве случаев в околоушной слюнной железе. Клинически опухоль, как правило, представляет собой безболезненное узловое образование плотно-эластической консистенции, не спаянное с кожей, подвижное при пальпации. Кожа над образованием обычно не изменена, нет признаков поражения ствола лицевого нерва или его ветвей. Опухоль характеризуется медленным клиническим течением и по данным различных авторов от первых признаков заболевания до установления правильного диагноза проходит от 1 до 18 мес.
Клиническое течение доброкачественных опухолей, локализующихся в глоточном отростке околоушной СЖ имеет свои особенности. Так снаружи опухоль не пальпируется, определяется лишь незначительная припухлость в околоушной области, а со стороны глоточной стенки выявляется деформация, которая может быть выражена различно, в зависимости от размеров образования. Рост опухоли практически всегда происходит в направлении ротовой полости, кнаружи опухоль не распространяется, так как этому мешает нижняя челюсть.
При мукоэпидермоидном раке иногда отмечается инфильтрация кожи, ограничение смещаемости образования, редко - болезненность при пальпации. Явления пареза мимической мускулатуры у детей и подростков редки, в отличие от взрослых пациентов. Чаще дети жалуются на явления дискомфорта в околоушно-жевательной области.
Ацинозно-клеточный рак, цилиндрома имеют клиническую картину схожую с плеоморфной аденомой.
Злокачественные опухоли глоточного отростка околоушной слюнной железы, несмотря на медленное течение, довольно рано инфильтрируют слизистую глотки.
Следует отметить, что злокачественные опухоли СЖ в детском возрасте, в отличие о взрослых, характеризуются медленным ростом, крайне редко дают метастазы и при правильном лечении имеют хороший прогноз.
К наиболее частым клиническим проявлениям как доброкачественных, так и злокачественных опухолей СЖ у детей относится наличие пальпируемого безболезненное узлового образования в проекции пораженной железы плотно-эластической консистенции, не спаянного с кожей, подвижного при пальпации. Практически не наблюдаются такие симптомы, как парез мимической мускулатуры, инфильтрация кожи, описываемые у взрослых. Заболевание у детей характеризуется длительным, торпидным течением с крайне низкой потенцией к метастазированию и от обнаружения образования пациентом до его попадания в специализированное учреждение проходит в среднем 19 месяцев при доброкачественных процессах и 13 месяцев при злокачественных опухолях [1,2,3,4].
Клиническое течение опухолей СЖ зависит от локализации, распространенности и морфологического вида. Как правило, развитие доброкачественных и даже злокачественных опухолей СЖ отличается довольно медленным клиническим течением. Новообразования могут быть расположены поверхностно или в глубоких отделах СЖ. Чаще других развиваются смешанные опухоли, преимущественно в околоушной СЖ, поражение всегда только с одной стороны. Опухоль безболезненна, относительно подвижна, кожа над ней не изменена, консистенция плотно-эластическая. В детском возрасте встречается мукоэпидермоидный рак, обладающий своеобразным клиническим течением. Опухоль в большей степени встречается у девочек и чаще поражает поднижнечелюстную, околоушную СЖ. В отличие от смешанных опухолей отмечается инфильтрация кожи, ограничение смещаемости, выраженная плотность новообразований, иногда болевой синдром. В ряде наблюдений опухоль достигает значительных размеров и обладает инфильтративным ростом. Особенность мукоэпидермоидных раков – выраженная тенденция к рецидивированию, несмотря на проведение радикальных операций. Ацинозноклеточные опухоли СЖ являются крайне редкими наблюдениями в детском возрасте. По клинике трудно дифференцировать этот вариант со смешанной опухолью, аденокарциномой или аденокистозной карциномой (цилиндрома), которые также редко встречаются у пациентов детского возраста. Аденокарцинома и цилиндрома чаще поражает малые СЖ. Выявляемость этих новообразований часто на ранних стадиях развития, так как пациенты обращают внимание, прежде всего на чувство дискомфорта в полости рта при приеме пищи и разговоре. Опухоли поднижнечелюстной СЖ обладают аналогичным клиническим течением, но в отличие от околоушной железы значительно чаще принимаются за воспалительные изменения, сиалоадениты и банальные лимфадениты. Знания о доброкачественных новообразованиях и неопухолевых процессах имеют большое значение, прежде всего с точки зрения дифференциальной диагностики со злокачественными поражениями СЖ.
1.7 Стадирование опухолей СЖ
Общепринятой классификации опухолей СЖ не существует до сих пор. В настоящее время для оценки распространенности опухолевого процесса используется система стадирования, рекомендованная ВОЗ в 2003 году. Классификация учитывает размеры первичной опухоли, наличие/отсутствие пареза мимической мускулатуры, фиксацию опухоли. Классификация первоначально была разработана для опухолей околоушной СЖ, однако в настоящее время применяется для опухолей всех больших СЖ.
ТХ – оценка первичной опухоли невозможна
Т0 – первичная опухоль не обнаружена
Т1 – опухоль размерами менее 2 см в наибольшем измерении и не выходит за пределы железы *
Т2 – опухоль размерами 2,1-4 см в наибольшем измерении и не выходит за пределы железы *
Т3 – опухоль размерами более 4 см в наибольшем измерении и/или выходит за пределы железы *
Т4а – опухоль распространяется на кожу, нижнюю челюсть, наружный слуховой канал и/или лицевой нерв (возможно радикальное удаление опухоли)
Т4b – опухоль поражает основание черепа и/или крыловидный отросток клиновидной кости и/или сдавливает сонную артерию (радикальное удаление опухоли невозможно).
* - распространение опухоли за пределы железы сопровождается макроскопическими признаками поражения мягких тканей. Изолированные микроскопические признаки поражения мягких тканей в данной классификации не свидетельствуют о распространении опухоли за пределы тканей железы.
Поражение регионарных лимфатических узлов при опухолях больших СЖ встречается достаточно редко и во многом определяется гистологическим строением и размерами новообразования. Увеличение степени злокачественности сопровождается повышением вероятности поражения регионарных лимфатических узлов. Распространение имеет определенные закономерности – сначала отмечают поражение узлов внутри железы, затем узлов в прилегающих тканях (например, околоушных или поднижнечелюстных), а впоследствии – верхних и нижних яремных лимфатических узлов. Инфильтрация заглоточных узлов, равно как и двустороннее поражение узлов встречается редко.
NX – состояние регионарных лимфатических узлов оценить невозможно
N0 – метастазов в регионарных лимфатических узлах нет
N1 – метастазы в один ипсилатеральный узел диаметром не более 3 см в наибольшем измерении
N2 – метастазы в один ипсилатеральный узел диаметром 3,1-6 см в наибольшем измерении, либо метастазы в несколько ипсилатеральных узлов, ипсилатеральные и контралатеральные лимфатические узлы или только контралатеральные лимфатические узлы диаметром не более 6 см в наибольшем измерении
N2a - метастазы в один ипсилатеральный узел диаметром 3,1-6 см в наибольшем измерении
N2b - метастазы в несколько ипсилатеральных узлов диаметром не более 6 см в наибольшем измерении
N2c – метастазы в билатеральные или контралатеральные лимфатические узлы диаметром не более 6 см в наибольшем измерении
N3 – метастазы в регионарные лимфатические узлы более 6 см в наибольшем измерении
Наиболее частым местом отдаленного метастазирования опухолей СЖ являются легкие.
Рак слюнных желез
Рак слюнных желез составляет 1-5% среди всех злокачественных опухолей и 3% среди опухолей головы и шеи. Основными факторами патогенеза являются воспалительные заболевания, гормональные и генетические нарушения, курение.
Акции
Полное обследование на онкологические заболевания для мужчин и женщин.
Онкоконсилиум может потребоваться как при лечении в «СМ-Клиника», так и пациентам других медицинских учреждений с целью получения альтернативного мнения.
«СМ-Клиника» предоставляет своим пациентам предоперационное обследование со скидкой до 72%!
Консультация врача-хирурга по поводу операции бесплатно!
Содержание статьи:
Основной функцией слюнных желез является синтез слюны — жидкости, которая находится в полости рта и выполняет ряд важных функций (смачивание пищи и слизистой, облегчение глотания, речи, защита от патогенной микрофлоры и ряд других).
Выделяют большие (околоушные, подъязычные, подчелюстные) и малые (разбросаны по всей полости рта) слюнные железы.
Новообразования слюнных желез представляют собой различные по морфологическому строению опухоли. Доброкачественные новообразования часто никак не проявляют себя клинически, развиваются медленно.
Признаками рака слюнной железы являются быстрый рост новообразования, метастазирование, болевые ощущения, паралич мышц лица, язвы на участках кожи, находящихся над опухолью. Диагностика онкологии слюнных желез — комплексная. Лечение рака слюнной железы хирургическое или комбинированное.
Причины и факторы риска развития онкологии слюнной желез
Точные причины развития заболевания не установлены. Однако точно известно, что данный вид рака не передается по наследству. Основными факторами риска являются ионизирующее излучение, а также перенесенная лучевая терапия по поводу других новообразований в области шеи и головы. В ряде случаев рост новообразования начинается на фоне длительного хронического воспаления, вызванного хроническими травмами или онкогенными вирусами.
Другие факторы, которые могут спровоцировать развитие заболевания:
- Возраст. Чаще всего новообразование появляется у людей в возрасте 45 лет и старше. У детей данный вид онкологии встречается крайне редко.
- Пол. Данная патология с одинаковой степенью вероятности может поражать как мужчин, так и женщин. . Один из главных факторов риска. Чем выше стаж курения, тем более высока вероятность развития хронических заболеваний полости рта и слюнных желез, в том числе онкологии.
- Плохая экология. Проживание в районах с напряженной экологической обстановкой, особенно, если повышен уровень радиации, может привести к развитию онкологических заболеваний.
- Неправильное питание. Злоупотребление фастфудом, жирной, копченой, маринованной пищей, другой вредной едой может привести к развитию целого ряда патологических состояний, в том числе рака. Нормализовав питание и режим дня можно существенно снизить риск развития онкологии и повысить иммунитет.
- Пониженный иммунитет. Снижение иммунной защиты нарушает работу организма и может привести к появлению клеточных мутаций, из которых затем развивается злокачественное новообразование.
- Плохие условия труда. Работа на вредном производстве (автотехническое, химическое, радиационное, деревообработка и так далее) отрицательно сказывается на здоровье и может привести к развитию целого ряда тяжелых осложнений.
Симптомы рака слюнной железы
Клиническая картина зависит от размера и локализации новообразования, а также степени вовлеченности в патологический процесс окружающих тканей. На начальных стадиях заболевание обычно протекает бессимптомно и диагностируется случайно, во время проведения профилактического обследования.
По мере роста опухоли появляются следующие признаки:
- плотное образование под слизистой полости рта или в слюнной железе;
- дискомфорт при жевании и глотании;
- периодически возникающая умеренная болезненность в очаге поражения;
- образование на слизистой язвы, которая долго не заживает;
- асимметрия лица (возникает при онкологии околоушной железы вследствие поражения лицевого нерва);
- затрудненное глотание;
- увеличение шейных лимфоузлов;
- ощущение инородного тела в горле;
- отек и покраснение кожи над лимфоузлами или новообразованием.
На поздних стадиях, когда уже имеются отдаленные метастазы, появляются общие симптомы:
- беспричинная потеря веса;
- тошнота, рвота;
- потеря аппетита;
- быстрая утомляемость, беспричинная слабость.
В зависимости от локализации метастазов могут появляться такие симптомы, как кашель, одышка, боли в костях, кровохарканье, желтуха и ряд других.
Классификация рака слюнных желез
В зависимости от локализации новообразования выделяют следующие виды заболевания:
- рак околоушной слюнной железы;
- рак подчелюстной слюнной железы;
- рак подъязычной слюнной железы;
- рак малых слюнных желез.
Слюнные железы образованы разными типами клеток. В зависимости от того, какие клетки дали рост опухоли, выделяют следующие типы онкологии:
- мукоэпидермоидный рак слюнной железы — встречается чаще всего, обычно поражает околоушные, реже мелкие и подчелюстные железы, отличается неагрессивным течением;
- аденокистозный рак слюнной железы — новообразование растет медленно, метастазы дает редко, однако данный тип онкологии часто дает рецидивы, даже после успешно проведенного лечения;
- аденокарцинома — развивается из клеток железистого эпителия, в слюнных железах могут возникать различные виды аденокарцином (полиморфная, базальноклеточная, светлоклеточная и другие).
Такие виды рака, как плоскоклеточный рак слюнной железы, эпителиально-миоэпителиальная карцинома, недифференцированные карциномы при поражении слюнных желез встречаются редко.
Стадии рака слюнных желез
Согласно классификации TNM выделяют следующие стадии данного типа онкологии:
| Т0 | новообразование не выявляется |
| Т1 | имеется опухоль диаметром менее двух сантиметров, которая не выходит за пределы слюнной железы |
| Т2 | размеры новообразования менее 4 см, опухоль не выходит за пределы железы |
| ТЗ | размеры опухоли 4-6 сантиметров, она не выходит за пределы железы либо выходит, но без поражения лицевого нерва |
| Т4 | размеры новообразования превышают 6 сантиметров либо опухоль имеет меньший размер, но распространяется на лицевой нерв и основание черепа |
| N0 | метастазов нет |
| N1 | в одном лимфоузле имеются метастазы до трех сантиметров в диаметре |
| N2 | метастазами диаметром 3-6 сантиметров поражен один или несколько лимфоузлов |
| N3 | метастазы имеют диаметр более 6 сантиметров и поражают один или несколько лимфоузлов |
| М0 | отдаленных метастазов нет |
| M1 | отдаленные метастазы имеются |
Группировка по стадиям:
| Стадия | TNM |
| I | T1 N0 M0 |
| II | T2 N0 M0 |
| III | T3 N0 M0 |
| T1 N1 M0 | |
| T2 N1 M0 | |
| T3 N1 M0 | |
| IVA | T1 N2 M0 |
| T2 N2 M0 | |
| T3 N2 M0 | |
| T4a N0 M0 | |
| T4a N1 M0 | |
| T4a N2 M0 | |
| IVB | любое T N3 M0 |
| T4b любое N M0 | |
| IVC | любое T любое N M1 |
Диагностика злокачественных опухолей слюнных желез
На первом приеме специалист проводит опрос и осмотр, выявляет основные симптомы, ставит предварительный диагноз. В зависимости от результатов пациенту могут быть назначены следующие обследования:
- , УЗИ слюнных желез; челюсти;
- ортопантомография;
- рентгенография слюнных желез с использованием контраста;
- радиоизотопное исследование; с последующим микроскопическим исследованием взятого биоматериала.
Если есть подозрение, что появились метастазы рака слюнной железы, специалист может назначить дополнительные обследования (МРТ, УЗИ лимфоузлов, ПЭТ).
Методы лечения рака слюнных желез
Основные методы терапии данной патологии:
Оперативное лечение
Если опухоль небольшая и еще не проросла в близлежащие ткани, то ее можно удалить хирургическим путем. Операцию должен проводить специалист с большим практическим опытом, так как рядом со слюнными железами расположены нервные окончания, которые отвечают за контроль мышц лица, движения языка, вкус. Если их повредить, то возможно развитие тяжелых осложнений. Новообразование удаляют вместе с окружающими его здоровыми тканями. В ряде случаев одновременно удаляют близлежащие лимфоузлы.
Лучевая терапия
Используется в качестве самостоятельной методики или в комплексе с химиотерапией в случаях, когда проведение операции невозможно либо для профилактики рецидивов после хирургического вмешательства. Кроме этого, лучевую терапию используют на последних стадиях болезни для уменьшения размеров новообразования и уменьшения страданий пациента.
Химиотерапия
В ходе лечения клетки новообразования уничтожают при помощи специальных препаратов, которые принимаются внутрь или вводятся внутривенно. Лекарства попадают в кровь и с ее током разносятся по организму. Химиотерапию обычно назначают пациентам с метастазами. При помощи данной методики можно уменьшить размеры новообразования, но полностью убить данный тип рака невозможно. Поэтому часто вместе с химиотерапией назначают лучевое лечение. Терапия проводится курсами по 3-4 недели, после чего организму больного дают отдохнуть.
Прогноз при раке слюнной железы
Прогноз при данном заболевании зависит от типа, формы и стадии болезни, а также метода терапии. Пятилетняя выживаемость составляет:
- локализованное новообразование (1,2 стадии) — 93%;
- образование, которое распространилось на близлежащие лимфоузлы и соседние ткани (3 стадия) — 67%;
- рак с отдаленными метастазами (4 стадия) — 34%.
Это усредненные показатели, которые могут меняться в зависимости от типа заболевания и степени его агрессивности. К тому же онкология как наука стремительно развивается, поэтому пациенты, которые проходят курс терапии сейчас возможно будут иметь лучший прогноз.
Михайлов Алексей Геннадьевич оперирующий онколог, врач высшей квалификационной категории, к.м.н. стаж: 21 год
Информация в статье предоставлена в справочных целях и не заменяет консультации квалифицированного специалиста. Не занимайтесь самолечением! При первых признаках заболевания необходимо обратиться к врачу.
Читайте также:
