ЭхоКГ при констриктивном перикардите
Добавил пользователь Валентин П. Обновлено: 23.11.2025
В этом месяце жителям районов Савеловский, Беговой, Аэропорт, Хорошевский» предоставляется скидка 5% на ВСЕ мед.
Скидки для друзей из социальных сетей!
Эта акция - для наших друзей в "Одноклассниках", "ВКонтакте", "Яндекс.Дзене", YouTube и Telegram! Если вы являетесь другом или подписчиком стр.
Захаров Станислав Юрьевич
Врач-кардиолог, врач функциональной диагностики
Высшая квалификационная категория, доктор медицины, Член Европейского общества кардиологов и Российского кардиологического общества
Рудько Гали Николаевна
Врач-кардиолог, врач функциональной диагностики
Высшая квалификационная категория, Член Российского кардиологического общества
Мы в Telegram и "Одноклассниках"
"Passion.ru", интернет-портал (март 2021г.)
Перикардит - это воспалительное заболевание наружной оболочки сердца (перикарда), имеющее инфекционный или неинфекционный характер.
Эта патология возникает как осложнение при различных органических поражениях или на фоне полученных травм, а также может быть проявлением некоторых аутоиммунных заболеваний.
Перикардит может быть причиной развития смертельно опасных осложнений, таких, как тампонада сердца (сдавление сердца нарастающим накоплением жидкости в полости перикарда), сердечная недостаточность!
С точки зрения анатомии, перикард представляет собой двуслойный мешок, защищающий сердце от внешних воздействий. Внутренний и наружный слои (листки) перикарда состоят из ткани, пронизанной нервными окончаниями, а также кровеносными и лимфатическими сосудами.
«Смазкой», способствующей нормальной работе сердца, выступает незначительное количество серозной жидкости в полости перикарда.

УЗИ сердца при перикардитах

ЭКГ при перикардите

УЗИ при перикардите
Причины воспаления перикарда
Перикардиты сердца делятся на инфекционные и неинфекционные:
Инфекционные:
- туберкулез; , корь и др.);
- микробные поражения (ангина, скарлатина, сепсис);
- грибковые инфекции.
Неинфекционные:
- системные (аутоиммунные) заболевания соединительной ткани (ревматические болезни);
- болезни сердца (инфаркт миокарда и др.)
- обменные и токсические нарушения (почечная недостаточность);
- травмы сердца; (тиреотоксикоз, гипотиреоз и др.);
- онкология и др.
В случае неясной этиологии заболевания принято говорить об идиопатическом перикардите.

Диагностика перикардитов в «МедикСити»

анализы при перикардите

Анализы крови при перикардите
Виды и симптомы перикардитов
Экссудативный перикардит (выпотной перикардит)
Воспаление перикарда сопровождается накоплением жидкости (экссудата) внутри сердечной сумки. В норме этой жидкости должно быть 15-50 мл, а при выпотном перикардите может скопиться 500 мл и более.
Чем больше выпот в полости перикарда, тем сильнее сдавливается и теряет работоспособность сердце, вплоть до полной остановки кровообращения. При худшем варианте развития болезни велика вероятность смерти пациента.
Симптомы экссудативного перикардита: одышка, акроцианоз, боли в груди, тахикардия, набухание шейных вен, пониженное АД.
Острый перикардит
Острый перикардит развивается на фоне инфекционного поражения, а еще может быть осложнением таких недугов, как сепсис, туберкулез, ревматизм и др. Воспалительный процесс охватывает наружный и внутренний листки перикарда. Начальные стадии заболевания обычно проходят без дополнительного выделения экссудата (сухой перикардит), но в дальнейшем приводят к экссудативной форме.
Симптомы острого перикардита: повышение температуры, боли в области сердца.
Если острый перикардит не начать своевременно лечить, процесс может перейти в хроническую форму, для которой характерны утолщение листков перикарда и в дальнейшем их слипание («склеивание»).
Констриктивный перикардит
Данная форма заболевания обычно возникает как осложнение острого перикардита, экссудативного перикардита. Нередко развивается на фоне болезней крови или почек, туберкулеза, ревматизма или травм.
При констриктивном перикардите (его еще называют сдавливающим, слипчивым) два листка сердечной сумки склеиваются между собой. Это приводит к нарушению нормальной работы сердца. Иногда в утолщенном перикарде начинают скапливаться кристаллы кальция, происходит известкование (явление, известное как «панцирное сердце»).
Симптомы констриктивного перикардита: недуг длительное время может протекать без болей. У больного отмечаются набухшие вены на шее, снижено АД, имеются признаки сердечной недостаточности (отеки ног, асцит).
Травматический перикардит
Данная форма перикардита возникает при различных повреждениях грудной клетки в области сердца (огнестрельное или ножевое ранение, тупая травма и др.).
Симптомы травматического перикардита: различные боли в области сердца, возможно одышка.
Гнойный перикардит
Острый гнойный перикардит может быть осложнением кардиохирургических операций, а также травматического перикардита. Но наиболее частыми причинами являются инфекции, вызванные, прежде всего, золотистым стафилококком.
При гнойной форме болезни в полости сердечной сумки быстро скапливается гнойный экссудат.
Симптомы гнойного перикардита: явные признаки интоксикации, озноб, лихорадка, одышка, боли в области сердца.
Неспецифический перикардит
Этот вид перикардита обычно развивается на фоне аллергического или инфекционного процесса в организме и протекает в сухой форме. Его рецидивы зачастую происходят одновременно с инфекционными заболеваниями (ОРВИ, ОРЗ). Во время ремиссии никак себя не проявляет.
Симптомы перикардита неспецифической формы: повышение температуры, боли в области сердца, через стетоскоп слышны шумы трения перикарда.
Фибринозный перикардит
Данный вид заболевания чаще возникает у детей и подростков (обычно на фоне ревматизма). Фибринозный перикардит (или сухой перикардит) характеризуется тем, что жидкость из сердечной сумки пропадает полностью. Без необходимой смазки миокард при сокращениях постоянно касается стенки сердечной сумки, что затрудняет сердечную работу.
Симптомы фибринозного перикардита: сильные боли колющего, ноющего или давящего характера в области сердца.
Как мы видим, несмотря на разнообразие клинических форм, имеются общие симптомы перикардита: локализация боли в области сердца, одышка.
ПЕРИКАРДИТЫ
Картина плавающего сердца за счет жидкости, окружающей его со всех сторон (рис.6 - 13).
Небольшой
перикардиальный
выпот.
Дифференциальный диагноз:
- Выпот в левой плевре.
- А. Перикардиальный выпот обычно не накапливается позади левого предсердия, в то время как плевральный очень часто.
- Б. Большой выпот, определяемый позади левого желудочка при отсутствии спереди может быть связан с плевральным выпотом.
- В. Объем плеврального выпота обычно меняется при дыхании, что не наблюдается при перикардиальном выпоте.
- С. При перикардиальном выпоте появляется эхосвободное пространство между нисходящей аортой и задней стенкой левого желудочка: при плевральном выпоте этой сепарации не наблюдается.
- Некачественная идентификация эндокарда, перикарда, хорд и папиллярных мышц.
- Кальциноз и уплотнение митрального кольца.
- Дилатация левого предсердия.
- Акустически гомогенная опухоль кзади от задней стенки левого желудочка.
Большой выпот в
перикардиальной
сорочке у ребенка с
нейробластомой.
Большой
перикардиальный
выпот позади левого
желудочка, не
накапливающийся
позади левого
предсердия.
Тампонада перикарда
Резкое нарушение гемодинамики вследствие затруднения наполнения кровью сердечных камер, а также падения притока к сердцу при большом выпоте в сердечную сорочку.
ЭхоКГ критерии:
- Большой перикардиальный выпот.
- Сдавление правого желудочка.
- Уменьшение размера левого желудочка во время вдоха и увеличение правого.
- Уменьшение EF наклона передней створки митрального клапана.
Допплер-ЭхоКГ:
Оценка систолической и диастолической функции левого желудочка.
Констриктивный перикардит
ЭхоКГ критерии
Одномерная ЭхоКГ:
- Утолщение перикарда.
- Резкое увеличение скорости движения задней стенки левого желудочка в диастолу.
- Парадоксальное движение межжелудочковой перегородки (быстрое переднее перемещение перегородки во время фазы наполнения предсердий до начала комплекса QRS).
- Преждевременное открытие клапана легочной артерии.
- Признаки повышения конечно-диастолического давления в правом и левом желудочке (В-волна на атриовентрикулярных клапанах).
- Уменьшение полости левого желудочка.
- Дилатация левого и правого предсердия.
- Конкордантное движение листков перикарда, без существенного изменения расстояния между ними в систолу и диастолу.
Двухмерная ЭхоКГ:
- Перикард виден в виде единой или двойной утолщенной линии, окружающей сердце.
- Дилатация нижней полой вены и печеночной вены.
- Во время вдоха наблюдается перемещение межпредсердной и межжелудочковой перегородки влево.
Допплер-ЭхоКГ:
Оценка систолической и диастолической функции левого желудочка.
Примечание: В раннем детском возрасте причиной констриктивного перикардита обычно является наследственная патология соединительной ткани (т.н. Даурфизм с перикардиальными сращениями-Mylibrey нанизм), в более старшем возрасте-туберкулезная и вирусная инфекция.
Метастазы в перикард
Наблюдаются при карциноме легких и желудочно-кишечного тракта, лимфомах, меланомах, лейкемии.
Публикации в СМИ
Констриктивный перикардит (лат. contsrictio — сдавление) характеризуется утолщением и сращением листков перикарда (в 50% случаев их кальцификацией), приводящим к сдавлению камер сердца и ограничению их диастолического наполнения.
Этиология. Может возникнуть после любого поражения перикарда. В большинстве случаев развивается после идиопатического или посттравматического перикардита. К более редким причинам возникновения относят опухоли, радиационное облучение, туберкулёз, операции на сердце.
Патогенез • После воспалительного или иного процесса в перикарде возникает облитерация полости перикарда. В результате этого сердце оказывается сжатым со всех сторон ригидным утолщённым перикардом, что нарушает диастолическое наполнение желудочков — повышаются конечное диастолическое давление в обоих желудочках и среднее давление в предсердиях, лёгочных венах и венах большого круга кровообращения, уменьшается ударный объём сердца. При этом функция миокарда желудочков может быть сохранена • Дальнейшее сдавление сердца перикардом постепенно приводит к повышению давления в венах большого круга кровообращения и развитию застоя с увеличением печени, появлением асцита и отёков на ногах. Асцит может появляться раньше отёков нижних конечностей или одновременно с ними. Это связывают с сужением устьев печёночных вен перикардиальными сращениями или значительным перикардиальным выпотом.
Клинические проявления
• Изредка могут предшествовать жалобы, характерные для сухого перикардита. Чаще всего больных начинают беспокоить одышка при физической нагрузке, повышенная утомляемость, похудание, снижение аппетита. В последующем возникают признаки правожелудочковой сердечной недостаточности: тяжесть и боли в правом подреберье, периферические отёки, асцит.
• При выраженной клинической картине заболевания отмечают своеобразный внешний вид пациента: больной худой, живот увеличен. Вынужденное положение (ортопноэ) наблюдают редко. Шейные вены расширены и не спадаются на вдохе. Характерен симптом Куссмауля — набухание шейных вен на вдохе из-за увеличения при этом венозного давления. Имеется асцит, появление которого нередко предшествует появлению отёков на ногах, расширение поверхностных вен живота. Отмечают артериальную гипотензию.
• У 1/3 больных определяют парадоксальный пульс, характеризующийся снижением наполнения на вдохе в результате снижения систолического АД более чем на 10 мм рт.ст. Область верхушки сердца втягивается во время систолы и выпячивается во время диастолы. Пальпируют увеличенные печень и селезёнку.
• Тоны сердца могут быть не изменены, при значительной облитерации полости перикарда приглушены. У одной трети больных в диастолу выслушивается перикардиальный щелчок в результате резкого прекращения наполнения желудочков в диастолу.
Лабораторные данные. При значительном нарушении функций печени возникает гипоальбуминемия, гипербилирубинемия и другие признаки печёночной недостаточности. Изменения в ОАК зависят от основного заболевания.
Инструментальные данные
• ЭКГ: при синусовом ритме отмечают двугорбые зубцы Р. Характерны низкоамплитудные комплексы QRS. В 30–50% случаев при констриктивном перикардите возникает фибрилляция предсердий. Характерно изменение зубцов Т в виде их уплощения или инверсии в нескольких отведениях. При прорастании соединительной ткани в миокард на ЭКГ могут фиксироваться нарушения внутрижелудочковой (в виде блокады правой ножки пучка Хиса) и предсердно-желудочковой (в виде АВ-блокады) проводимости.
• ЭхоКГ: обнаруживают утолщение перикарда (два самостоятельных сигнала, соответствующих висцеральному и париетальному листкам перикарда), их сращение, ограничение движения задней стенки левого желудочка, а также участки кальциноза. Функция миокарда левого и правого желудочков в пределах нормы.
• Рентгенологическое исследование: размеры сердца могут быть нормальными или даже уменьшенными. Увеличение сердца возникает в результате утолщения перикарда в сочетании с выпотом в его полость. Левое предсердие выглядит увеличенным у 1/3 больных, особенно при возникновении мерцательной аритмии. На рентгенограмме в боковой проекции можно обнаружить кальцификацию перикарда («панцирное сердце»), которая развивается у 50% больных при длительном течении заболевания.
• КТ/МРТ грудной полости. При констриктивном перикардите обнаруживают кальцинированный или утолщённый перикард.
Диагностика констриктивного перикардита основана на следующих признаках: гепатомегалия, асцит, повышение ЦВД (обычно более 250 мм вод.ст.) при отсутствии явных признаков заболевания сердца и лёгких; рассасывание перикардиального выпота при сохраняющемся повышении ЦВД; кальцификация перикарда; сочетание асцита и высокого ЦВД с нормальными размерами сердца.
Дифференциальная диагностика • Цирроз печени • Рестриктивная кардиомиопатия • Инфильтративные поражения миокарда • Стеноз трёхстворчатого клапана.
ЛЕЧЕНИЕ
Хирургическое лечение. Обычно проводят перикардэктомию. Показание — увеличение давления в яремных венах более 70–80 мм вод.ст. При подозрении на активный туберкулёзный процесс предварительно проводят терапию противотуберкулёзными средствами. Операция заключается в полном удалении перикарда между диафрагмальными нервами с освобождением вен сердца от окружающей их фиброзной ткани. Большинство неблагоприятных последствий связано с низким сердечным выбросом в результате сопутствующего тяжёлого поражения миокарда. Отдалённые результаты такой операции хорошие: значительное улучшение наблюдается у 90% больных.
Консервативное лечение проводят при длительно существующем констриктивном перикардите с вовлечением в процесс миокарда, выраженной застойной сердечной недостаточностью, кахексией и нарушением функций печени • Назначают диуретики и сердечные гликозиды, при отсутствии артериальной гипотензии показан каптоприл • Следует помнить, что лечение сердечной недостаточности сердечными гликозидами у больных констриктивным перикардитом может привести к ухудшению состояния, т.к. урежение ритма сопровождается уменьшением сердечного выброса.
Прогноз зависит от этиологии заболевания. В большинстве случаев после перикардэктомии наступает выраженное улучшение.
МКБ-10 • I31.1 Хронический констриктивный перикардит
Код вставки на сайт
Перикардит констриктивный
Констриктивный перикардит (лат. contsrictio — сдавление) характеризуется утолщением и сращением листков перикарда (в 50% случаев их кальцификацией), приводящим к сдавлению камер сердца и ограничению их диастолического наполнения.
Этиология. Может возникнуть после любого поражения перикарда. В большинстве случаев развивается после идиопатического или посттравматического перикардита. К более редким причинам возникновения относят опухоли, радиационное облучение, туберкулёз, операции на сердце.
Патогенез • После воспалительного или иного процесса в перикарде возникает облитерация полости перикарда. В результате этого сердце оказывается сжатым со всех сторон ригидным утолщённым перикардом, что нарушает диастолическое наполнение желудочков — повышаются конечное диастолическое давление в обоих желудочках и среднее давление в предсердиях, лёгочных венах и венах большого круга кровообращения, уменьшается ударный объём сердца. При этом функция миокарда желудочков может быть сохранена • Дальнейшее сдавление сердца перикардом постепенно приводит к повышению давления в венах большого круга кровообращения и развитию застоя с увеличением печени, появлением асцита и отёков на ногах. Асцит может появляться раньше отёков нижних конечностей или одновременно с ними. Это связывают с сужением устьев печёночных вен перикардиальными сращениями или значительным перикардиальным выпотом.
Клинические проявления
• Изредка могут предшествовать жалобы, характерные для сухого перикардита. Чаще всего больных начинают беспокоить одышка при физической нагрузке, повышенная утомляемость, похудание, снижение аппетита. В последующем возникают признаки правожелудочковой сердечной недостаточности: тяжесть и боли в правом подреберье, периферические отёки, асцит.
• При выраженной клинической картине заболевания отмечают своеобразный внешний вид пациента: больной худой, живот увеличен. Вынужденное положение (ортопноэ) наблюдают редко. Шейные вены расширены и не спадаются на вдохе. Характерен симптом Куссмауля — набухание шейных вен на вдохе из-за увеличения при этом венозного давления. Имеется асцит, появление которого нередко предшествует появлению отёков на ногах, расширение поверхностных вен живота. Отмечают артериальную гипотензию.
• У 1/3 больных определяют парадоксальный пульс, характеризующийся снижением наполнения на вдохе в результате снижения систолического АД более чем на 10 мм рт.ст. Область верхушки сердца втягивается во время систолы и выпячивается во время диастолы. Пальпируют увеличенные печень и селезёнку.
• Тоны сердца могут быть не изменены, при значительной облитерации полости перикарда приглушены. У одной трети больных в диастолу выслушивается перикардиальный щелчок в результате резкого прекращения наполнения желудочков в диастолу.
Лабораторные данные. При значительном нарушении функций печени возникает гипоальбуминемия, гипербилирубинемия и другие признаки печёночной недостаточности. Изменения в ОАК зависят от основного заболевания.
Инструментальные данные
• ЭКГ: при синусовом ритме отмечают двугорбые зубцы Р. Характерны низкоамплитудные комплексы QRS. В 30–50% случаев при констриктивном перикардите возникает фибрилляция предсердий. Характерно изменение зубцов Т в виде их уплощения или инверсии в нескольких отведениях. При прорастании соединительной ткани в миокард на ЭКГ могут фиксироваться нарушения внутрижелудочковой (в виде блокады правой ножки пучка Хиса) и предсердно-желудочковой (в виде АВ-блокады) проводимости.
• ЭхоКГ: обнаруживают утолщение перикарда (два самостоятельных сигнала, соответствующих висцеральному и париетальному листкам перикарда), их сращение, ограничение движения задней стенки левого желудочка, а также участки кальциноза. Функция миокарда левого и правого желудочков в пределах нормы.
• Рентгенологическое исследование: размеры сердца могут быть нормальными или даже уменьшенными. Увеличение сердца возникает в результате утолщения перикарда в сочетании с выпотом в его полость. Левое предсердие выглядит увеличенным у 1/3 больных, особенно при возникновении мерцательной аритмии. На рентгенограмме в боковой проекции можно обнаружить кальцификацию перикарда («панцирное сердце»), которая развивается у 50% больных при длительном течении заболевания.
• КТ/МРТ грудной полости. При констриктивном перикардите обнаруживают кальцинированный или утолщённый перикард.
Диагностика констриктивного перикардита основана на следующих признаках: гепатомегалия, асцит, повышение ЦВД (обычно более 250 мм вод.ст.) при отсутствии явных признаков заболевания сердца и лёгких; рассасывание перикардиального выпота при сохраняющемся повышении ЦВД; кальцификация перикарда; сочетание асцита и высокого ЦВД с нормальными размерами сердца.
Дифференциальная диагностика • Цирроз печени • Рестриктивная кардиомиопатия • Инфильтративные поражения миокарда • Стеноз трёхстворчатого клапана.
ЛЕЧЕНИЕ
Хирургическое лечение. Обычно проводят перикардэктомию. Показание — увеличение давления в яремных венах более 70–80 мм вод.ст. При подозрении на активный туберкулёзный процесс предварительно проводят терапию противотуберкулёзными средствами. Операция заключается в полном удалении перикарда между диафрагмальными нервами с освобождением вен сердца от окружающей их фиброзной ткани. Большинство неблагоприятных последствий связано с низким сердечным выбросом в результате сопутствующего тяжёлого поражения миокарда. Отдалённые результаты такой операции хорошие: значительное улучшение наблюдается у 90% больных.
Консервативное лечение проводят при длительно существующем констриктивном перикардите с вовлечением в процесс миокарда, выраженной застойной сердечной недостаточностью, кахексией и нарушением функций печени • Назначают диуретики и сердечные гликозиды, при отсутствии артериальной гипотензии показан каптоприл • Следует помнить, что лечение сердечной недостаточности сердечными гликозидами у больных констриктивным перикардитом может привести к ухудшению состояния, т.к. урежение ритма сопровождается уменьшением сердечного выброса.
Прогноз зависит от этиологии заболевания. В большинстве случаев после перикардэктомии наступает выраженное улучшение.
ЭхоКГ при констриктивном перикардите
Эхокардиография при перикардиоцентезе. ЭхоКГ при констриктивном перикардите
Самый эффективный способ лечения тампонады сердца — быстрая эвакуация перикардиалыюго выпота. Двухмерная ЭхоКГ может оказать неоценимую помощь при перикардиоцентезе, определяя оптимальное место пункции и позволяя мониторировать результаты. В большинстве случаев катетер (обычно 5F или 6F типа pigtail) вводят и оставляют в полости перикарда на несколько дней для периодического дренирования, что уменьшает вероятность повторного накопления выпота.
Из 1127 выполненных под контролем ЭхоКГ перикардиоцентезов 34% были обусловлены злокачественными новообразованиями, 25% связаны с перенесенными оперативными имешательствами и 10% — с осложнениями катетеризации. Вмешательство было эффективным у 97% больных, осложнения возникли у 4,4%: летальный исход (n = 1), разрывы сердца (n = 5) и сосудов (n = 1), пневмоторакс (n = 5), присоединение инфекции (n = 1) и стабильная ЖТ(n = 1).
Констриктивный перикардит вызван утолщением, сращением, воспалением или кальцификацией перикарда, ограничивающими наполнение сердца во время диастолы. КП — устранимая причина тяжелой СП, о нем следует помнить при наличии факторов, предрасполагающих к его развитию. В США в настоящее время самой частой причиной КП являются операции на сердце, затем — вирусные перикардиты, последствия облучения грудной клетки и коллагепозы.
У 25% больных определить причину болезни не удается. В районах с повышенной заболеваемостью туберкулезом он является самой частой причиной КП.

Перикард у больных констриктивным перикардитом обычно утолщен, но в 20% случаев это утолщение может быть вариантом нормы. Инвазивно полученные гемодипамические параметры при КП схожи с параметрами при РКМП и других болезнях миокарда. Современное понимание патогенеза КП позволяет определить специфические диагностические ЭхоКГ-критерии констрикции.
ЭхоКГ-признаки КП в М- и В-режимах: (а) утолщение перикарда; (б) аномальное движение МЖП, отражающее взаимно зависимость желудочков; (в) уплощение задней стенки ЛЖ во время диастолы; (г) вариации размеров желудочков во время дыхательного цикла; (д) дилатация нижней полой вены (НПВ). Однако эти признаки не являются чувствительными и специфичными для констрикции. Гемодинамическая констрикция ПЖ и ЛЖ при дыхании подобна результатам тампонады сердца, хотя лежащие в основе патологические механизмы различны.
Чтобы поставить диагноз КП, два гемодинамических признака должны сочетаться с результатами двухмерной ЭхоКГ или катетеризации сердца: (а) диссоциации между внутригрудным и внутрисердечным давлениями; (б) чрезмерная желудочковая взаимозависимость.
Утолщенный перикард препятствует полной передаче влияния изменений колебаний внутригрудного давления на полости сердца, приводя к респираторным вариациям разницы давления между легочными венами и ЛП. На вдохе снижается внутригрудное давление (в норме на 3-5 мм рт. ст.), а также давление в легочных венах и капиллярах.
При констриктивном перикардите (КП) это изменение давления на вдохе не полностью передается на внутриперикардиальную и внутрисердечные полости. В результате передача Р на ЛЖ снижается сразу после вдоха и увеличивается на выдохе. Этот характерный гемодинамический признак лучше всего отражается при регистрапии давления в ЛЖ и ДЗЛК одновременно со скоростью трансмитрального кровотока.
ЭхоКГ при констриктивном перикардите
ФГАОУ ВО «Первый Московский государственный медицинский университет имени И.М. Сеченова» Минздрава России (Сеченовский Университет), Москва, Россия
ГБУЗ города Москвы «Городская клиническая больница №1 имени Н.И. Пирогова Департамента здравоохранения города Москвы», Москва, Россия
ФГАОУ ВО «Первый Московский государственный медицинский университет им. И.М. Сеченова» Минздрава России, 119991, Москва, Россия;
ГБУЗ Москвы «Городская клиническая больница №1 им. Н.И. Пирогова» Департамента здравоохранения Москвы 119049, Москва, Россия
ФГБУ «Национальный медико-хирургический центр имени Н.И. Пирогова» Минздрава России, Москва, Россия
ГОУ ВПО Первый МГМУ им. И.М. Сеченова Минздрава России
Констриктивный перикардит, протекавший под маской полисерозита
Журнал: Кардиология и сердечно-сосудистая хирургия. 2020;13(2): 146‑150
ФГАОУ ВО «Первый Московский государственный медицинский университет имени И.М. Сеченова» Минздрава России (Сеченовский Университет), Москва, Россия
В статье представлен клинический случай констриктивного перикардита, длительно протекавшего под маской полисерозита. Манифестация заболевания с рецидивирующего множественного выпота и нечеткие инструментальные признаки констриктивного перикардита изначально направили диагностический процесс на поиск причин полисерозита. Онкологическая патология, туберкулез и системные заболевания соединительной ткани в качестве вероятных причин полисерозита были исключены. Нарастание признаков правожелудочковой недостаточности с появлением отеков ног, а также данные мультиспиральной компьютерной томографии (МСКТ) грудной клетки и магнитно-резонансной томографии (МРТ) сердца позволили установить наличие констриктивного перикардита, тогда как многократная эхокардиография (ЭхоКГ) не вносила ясность в диагностический процесс. Для устранения явлений застойной правожелудочковой недостаточности пациенту была выполнена перикардэктомия. Клинический случай демонстрирует сложность диагностики причины множественного выпота, зачастую расцениваемого в качестве полисерозита с дальнейшим поиском причин последнего. Длительное отсутствие данных за перикардиальную констрикцию по результатам стандартной ЭхоКГ обосновывает целесообразность проведения МРТ сердца и МСКТ органов грудной клетки в неясных случаях рецидивирующего множественного выпота. При обнаружении констриктивного перикардита таким пациентам показана перикардэктомия.
ФГАОУ ВО «Первый Московский государственный медицинский университет имени И.М. Сеченова» Минздрава России (Сеченовский Университет), Москва, Россия
ГБУЗ города Москвы «Городская клиническая больница №1 имени Н.И. Пирогова Департамента здравоохранения города Москвы», Москва, Россия
ФГАОУ ВО «Первый Московский государственный медицинский университет им. И.М. Сеченова» Минздрава России, 119991, Москва, Россия;
ГБУЗ Москвы «Городская клиническая больница №1 им. Н.И. Пирогова» Департамента здравоохранения Москвы 119049, Москва, Россия
ФГБУ «Национальный медико-хирургический центр имени Н.И. Пирогова» Минздрава России, Москва, Россия
ГОУ ВПО Первый МГМУ им. И.М. Сеченова Минздрава России
Полисерозит представляет собой одновременное или близкое по времени последовательное воспаление нескольких серозных оболочек (плевра, перикард, брюшина), возникающее, как правило, в рамках генерализованного воспалительного процесса. Чаще встречается в виде двустороннего плеврита, перикардита и перитонита [1].
Среди основных причин полисерозита можно выделить туберкулез, коллагенозы (как правило, системная красная волчанка), онкологическую патологию (метастатический полисерозит). Последний этиопатогенетический вариант нередко оказывается частью клинической картины при опухолях половой сферы у женщин, так называемый синдром Мейгса, проявляющийся комбинацией плеврального выпота с асцитом, реже с перикардитом при развитии фибромы, кисты или рака яичника, рака или фибромиомы матки, других злокачественных новообразований органов малого таза [1]. В рамках онкопроцесса полисерозит встречается у гематологических пациентов как маска парапротеинемического гемобластоза с возможным амилоидным поражением органов [2].
Эндокринные или метаболические заболевания, в частности гипотиреоз, также могут быть ассоциированы с множественным выпотом в различные полости, хотя он, как правило, расценивается и классифицируется как транссудат [3].
Среди генетически обусловленных патологий рецидивирующий полисерозит возникает при средиземноморской лихорадке у этнических групп средиземноморского происхождения [4]. В данных современной литературы упоминается информация о неожиданном случае целиакии, выявленной у пациента с полисерозитом (плеврит, перикардит, асцит, гидроцефалия) и синдромом мальабсорбции [5].
Однако у большого числа пациентов этиология полисерозита остается неизвестной. Так, по данным ряда авторов, этиология полисерозита не верифицируется более чем в трети случаев, что, предположительно, объясняется отсутствием единых систематизированных подходов к обследованию пациентов и частым ретроспективным характером анализа случаев полисерозита [6].
В статье представлен клинический случай констриктивного перикардита, предположительно, вирусного генеза, длительное время протекавшего под маской полисерозита с неидентифицированной этиологией.
Мужчина, 66 лет, поступил в стационар 08.05.2019 с жалобами на выраженную общую слабость, одышку и чувство нехватки воздуха, возникающие во время привычной физической нагрузки (подъем на 2 этаж).
Со слов пациента известно, что в детстве он перенес острую ревматическую лихорадку. Бициллинопрофилактику не получал. Имеет порок сердца, вероятно, ревматического или дегенеративного происхождения (стеноз аортального клапана средней степени тяжести).
Считает себя больным с января 2017 г. В течение двух месяцев отметил снижение массы тела на 8—9 кг, с связи с чем обратился к врачу. При обследовании по месту жительства был диагностирован диффузно-узловой зоб, гипертиреоз, назначен прием тиамазола 10 мг/сут. В дальнейшем к эндокринологу не обращался, продолжал принимать тиамазол в течение 2017—2018 гг.
01.09.2018 перенес пароксизм фибрилляции предсердий. Ритм был восстановлен внутривенной инфузией амиодарона. Однако в дальнейшем прием амиодарона был отменен по причине наличия у пациента тиреотоксикоза. Назначена терапия соталолом.
С конца декабря 2018 г. прием тиамазола был отменен. В январе 2019 г. пациент отметил ежедневное повышение температуры до субфебрильных цифр в вечерние часы. Появилось чувство общей слабости. Такие симптомы сохранялись в течение нескольких недель и не купировались приемом амоксициллина (был назначен терапевтом по месту жительства). В этот период пациент самостоятельно сдал анализ на уровень С-реактивного белка (СРБ), который оказался повышен (33,46 мг/л при норме
В стационаре был диагностирован рецидив тиреотоксикоза, вновь назначен прием тиамазола с повышением дозы до 20 мг/сут. В ходе обследования по данным эхокардиографии (ЭхоКГ) выявлен умеренный стеноз аортального клапана (средний градиент — 23 мм рт.ст., максимальный градиент — 42 мм рт.ст.), фракция выброса — 70%. Также обнаружено незначительное количество жидкости в полости перикарда и выпот в обеих плевральных полостях. При ультразвуковом исследовании брюшной полости жидкости выявлено не было.
Вскоре пациент был вновь госпитализирован по поводу полисерозита неясной этиологии — в другой стационар. При обследовании был выявлен двусторонний гидроторакс, гидроперикард (сепарация листков перикарда до 24 мм), асцит. При ЭхоКГ данных за тампонаду сердца не получено, определялось нарушение диастолической функции миокарда левого желудочка по типу замедленной релаксации. По данным КТ грудной и брюшной полостей новообразования не выявлены. Проведена пункция правой плевральной полости, эвакуировано 1700 мл серозной жидкости. В анализах крови отмечалось повышение уровня СРБ до 31,00 мг/л и ускорение скорости оседания эритроцитов (СОЭ) по Вестергрену до 48 мм/ч (норма
Было предположено, что причиной полисерозита может быть дебют гемобластоза или моноклональная секреция. Однако по результатам исследования белков сыворотки и мочи белок Бенс-Джонса не выявлен. Имелось лишь повышение уровня поликлонального иммуноглобулина А на фоне выраженной воспалительной диспротеинемии. Патологической секреции не выявлено.
В дальнейшем рецидивировал выпот в правой плевральной полости, что требовало проведения повторных пункций. Пациент был повторно госпитализирован.
При определении уровня сывороточных иммуноглобулинов сохранялась гиперглобулинемия IgA до 7,63 г/л (норма 0,7—4 г/л). Уровень СРБ также оставался повышенным — до 39,00 мг/л, СОЭ нормализовалась.
При бактериологическом исследовании плевральной жидкости рост микрофлоры не выявлен. По результатам ПЦР-диагностики микобактерии в плевральной жидкости не обнаружены.
Для исключения системного заболевания соединительной ткани пациенту было проведено серологическое исследование с оценкой уровня аутоантител к расширенной панели антинуклеарных антигенов, к циклическому цитруллиновому пептиду, антинейтрофильные антитела, а также ревмопробы (антистрептолизин-О, ревматоидный фактор) и определение уровня циркулирующих иммунных комплексов. Все иммунологические показатели находились в пределах референсных значений.
При сцинтиграфии костей признаков специфического очагового поражения костной ткани не выявлено.
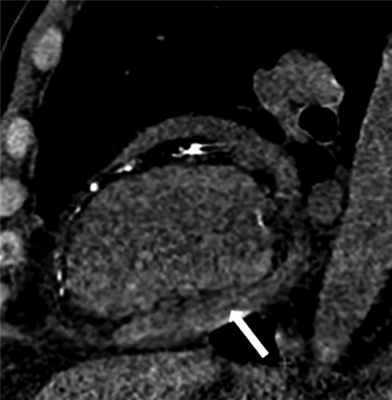
08.05.2019 пациент был вновь госпитализирован в стационар для обследования и определения дальнейшей тактики ведения. При физикальном обследовании отмечено наличие отеков нижних конечностей. По данным КТ органов грудной клетки выявлен компрессионный ателектаз заднебазальных отделов правого легкого, субсегментарные ателектазы язычковых и среднедолевых сегментов. Двусторонний гидроторакс, больше выраженный справа. Неоднородное утолщение висцерального и париетального листков перикарда до 4—5 мм (рис. 1) с выпотом в полость перикарда и сепарацией до 28 мм. Асцит.

Рис. 1. МСКТ органов грудной клетки. Неоднородное утолщение висцерального и париетального листков перикарда до 4—5 мм (указано стрелкой).
По данным ЭхоКГ выявлена жидкость в полости перикарда до 9 мм над правым предсердием, признаков тампонады не было. Нарушений локальной сократимости не выявлено. Глобальная систолическая функция левого желудочка сохранена.
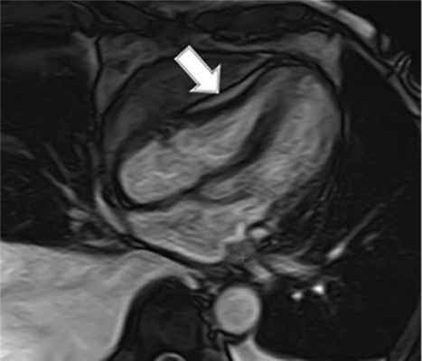
С учетом имеющихся у пациента признаков застоя по большому кругу кровообращения (отеки, двусторонний плевральный выпот, больше выраженный справа, асцит), неоднородного утолщения листков перикарда по данным КТ при отсутствии легочной гипертензии и систолической дисфункции левого желудочка было высказано предположение о наличии констриктивного перикардита. Дополнительно выполнена МРТ сердца (рис. 2), подтверждено утолщение перикарда.

Рис. 2. МРТ сердца, четырехкамерная плоскость. Отмечается утолщение перикарда (указано стрелкой).
Таким образом, выпот в различные полости, трактуемый как рецидивирующий полисерозит, являлся частью клинической картины констриктивного перикардита и имел невоспалительную природу.
С установленным клиническим диагнозом «констриктивный перикардит» пациент был направлен на хирургическое лечение в НМХЦ им. Н.И. Пирогова. 30.05.2019, после предварительной предоперационной подготовки в торакальном отделении (пункция правой плевральной полости с эвакуацией 1300 мл серозной жидкости), поступил в отделение сердечно-сосудистой хирургии.
31.05.2019 проведена перикардэктомия (рис. 3). Послеоперационный период осложнился фибрилляцией предсердий (тахисистолическая форма). Назначена терапия верапамилом 240 мг 1 раз в сутки утром и 120 мг 1 раз в сутки вечером с положительным эффектом (синусовый ритм восстановлен). Отмечались явления правожелудочковой недостаточности, сопровождавшиеся множественным выпотом: двусторонний гидроторакс, гидроперикард, асцит. В период с 10.06.2019 по 25.06.2019 было выполнено 3 пункции правой плевральной полости и 1 пункция левой плевральной полости, без осложнений. Суммарно эвакуировано 4800 мл серозного отделяемого.

Рис. 3. Перикардэктомия: а) вскрыт париетальный листок перикарда (1), обнажен висцеральный листок перикарда (2); б) декортикация висцерального листка перикарда; в) завершающий этап, выполнена декортикация перикарда.
26.06.2019 пациент был переведен в отделение медицинской реабилитации НМХЦ им. Н.И. Пирогова, где по 08.07.2019 проходил подготовку к запланированному второму этапу перикардэктомии: повторные плевральные пункции справа, диуретическая терапия, коррекция белково-энергетической недостаточности (энтеральная смесь), продолжена терапия верапамилом в вышеуказанных дозах.
08.07.2019 пациент вновь переведен в отделение сердечно-сосудистой хирургии. 09.07.2019 осуществлен второй этап оперативного вмешательства — перикардэктомия справа. Удаленный перикард был отправлен на срочное гистологической исследование. Получена следующая гистологическая картина: определяются многочисленные фрагменты гипоцеллюлярной фиброзной ткани (участки склерозированного перикарда) с очаговыми периваскулярными скудными лимфогистиоцитарными инфильтратами с признаками дезорганизации соединительнотканных волокон в виде крупных полей фибриноидного некроза, массивными наложениями фибрина на поверхности. Фрагменты жировой клетчатки с очаговыми лимфоплазмоцитарными инфильтратами с примесью незначительного количества полинуклеарных лейкоцитов, очаговыми участками геморрагического пропитывания.
Течение послеоперационного периода осложнилось тяжелой сердечной недостаточностью, преимущественно правожелудочкового типа. Проводилась интенсивная терапия: инотропная и вазопрессорная поддержка, коррекция водно-электролитных расстройств, гипоальбуминемии. В результате проведенного лечения состояние пациента стабилизировалось, инотропная поддержка была прекращена с 21.08.2019. Явления сердечной недостаточности регрессировали, пациент был активизирован в пределах отделения.
Однако 28.07.2019 у пациента была отмечена гипертермия. С диагностической целью проведено УЗИ плевральных полостей, по результатам которого обнаружена жидкость в обеих плевральных полостях. Выполнена пункция плевральных полостей, эвакуировано 1000 мл серозного отделяемого слева и 400 мл серозно-геморрагического отделяемого справа.
В ночь с 29 на 30 июля 2019 г. у пациента вновь была отмечена гипертермия с подъемом температуры до 38°С. Выполнена КТ органов грудной полости, по данным которой в обеих плевральных полостях определялось наличие отграниченных скоплений жидкостного содержимого неоднородной плотности с распространением по междолевым бороздам и компрессией легочной паренхимы общим объемом до 937 мл в правой плевральной полости и до 320 мл в левой. В обоих легких визуализированы участки ателектазирования легочной паренхимы на уровне субсегментов, уплотнение междолькового интерстиция.
С учетом риска развития эмпиемы плевры было принято решение о переводе пациента в торакальное отделение для экстренного оперативного вмешательства. 30.07.2019 выполнена видеоторакоскопия справа, при которой обнаружена отграниченная паракостальная эмпиема плевры справа, свернувшийся гемоторакс. Произведена санация плевральной полости, декортикация легкого. Послеоперационный период протекал без осложнений. 09.08.2019 пациент выписан под наблюдение кардиолога и торакального хирурга по месту жительства.
Выводы
Констриктивный перикардит у пациента манифестировал множественным выпотом. Учитывая отсутствие кардиальных жалоб и инструментальных признаков констриктивного перикардита в начале заболевания, множественный выпот (двусторонний гидроторакс, гидроперикард, асцит) был изначально расценен как полисерозит и протекал под его маской до постановки клинического диагноза «констриктивный перикардит». Многогранные этиологические истоки самого полисерозита и наличие в анамнезе пациента острой ревматической лихорадки, метаболических нарушений в рамках патологии щитовидной железы с нестабильным гормональным статусом обозначили обширный круг дифференциально-диагностического поиска первопричины полисерозита.
Важно отметить, что полисерозит и констриктивный перикардит имеют много перекрестных этиологических вариантов. Этот факт обосновывает более сложные причинно-следственные взаимоотношения между констриктивным перикардитом и полисерозитом, которые могут как существовать изолированно друг от друга, когда множественный выпот расценивается как проявление правожелудочковой недостаточности при констриктивном перикардите, так и являться звеньями общего патогенеза при каком-либо третьем патологическом процессе, первичном по отношению к ним, в частности при системном заболевании, туберкулезе, онкопроцессе.
Во время нескольких госпитализаций пациент прошел многопрофильное обследование, в ходе которого онкологическая патология, туберкулез, системные заболевания соединительной ткани в качестве вероятных причин полисерозита были исключены. Однако сохранялся рецидивирующий множественный выпот, присоединились отеки нижних конечностей. Было предположено наличие у пациента констриктивного перикардита, что позволило расценить имеющиеся клинические симптомы как застойную правожелудочковую недостаточность, ассоциированную с констриктивным перикардитом.
Основываясь на предшествующих появлению выпота слабости, субфебрилитете и на неэффективности антибиотикотерапии при манифестации заболевания, можно предположить инфекционную, с большей вероятностью вирусную, природу констриктивного перикардита у пациента [7].
Ключевую роль в постановке диагноза сыграли КТ грудной клетки и МРТ сердца, тогда как неоднократное проведение эхокардиографического исследования не позволило внести ясность в диагностический процесс. Для достижения необходимого гемодинамического эффекта (устранения явлений застойной правожелудочковой недостаточности) пациенту была показана и выполнена перикардэктомия [8].
Читайте также:
