ЭхоКГ при врожденном стенозе перешейка аорты
Добавил пользователь Владимир З. Обновлено: 02.11.2025
Как и открытый артериальный проток, , строго говоря, не является пороком самого сердца, так как находится вне его, затрагивает сосуды, вернее, аорту. Само сердце при этом нормально. Однако коарктацию всегда относят к порокам сердца, поскольку при ней страдает вся система кровообращения, а само формирование коарктации имеет прямое отношение к сердечным структурам и нередко сочетается с другими врожденными пороками сердца.
Слово коарктация означает сужение. В типичных, наиболее частых случаях, оно находится на месте перехода дуги аорты в ее нисходящий отдел, т.е. довольно далеко от сердца, рядом с артериальным протоком, на внутренней стороне задней поверхности грудной клетки, слева от позвоночника. Вариантов врожденного сужения аорты в этом месте может быть много, но во всех имеется препятствие кровотоку, выраженное в большей или меньшей степени, что и определяет степень тяжести клинических проявлений порока.
При очень резком сужении аорты левый желудочек, нагнетающий кровь в аорту, постоянно работает с повышенной нагрузкой. В результате артериальное давление в верхней половине (в сосудах шеи, головы, верхних конечностей) существенно выше, чем в нижней (в сосудах органов брюшной полости, нижних конечностей). Верхняя половина тела живет постоянно с «гипертонической болезнью», а нижняя — с постоянной гипотонией. Это не значит, что в нижние отделы поступает меньше крови, нет. Сердечный выброс остается достаточным. Сердце справляется, но за счет учащения ритма сокращений, увеличения объема левого желудочка, утолщения его стенок. Эти явления, особенно при резком сужении аорты, могут привести к тяжелым последствиям.
У новорожденных и младенцев первых месяцев жизни коарктация аорты может быть столь тяжелой, что кровоснабжение нижних отделов осуществляется только через открытый артериальный проток. Ситуация очень опасная, критическая. Признаки сердечной недостаточности и гипертонии в верхней половине тела, угрожающей необратимой травмой сосудов мозга, нарастают. Тут требуется неотложное вмешательство кардиохирурга.
Сама операция заключается в устранении участка сужения аорты. Это можно сделать двумя способами: либо полностью убрать место коарктации и затем сшить оба здоровых участка аорты между собой («конец в конец»), или рассечь вдоль суженный участок и вшить в него заплату из собственной подключичной артерии ребенка или из синтетического материала. Оба метода примеряются достаточно широко и, судя по отдаленным результатам — 10-15 и более лет — ни один из них не имеет особых преимуществ. Дело в том, что у 20-25% всех больных, оперированных в раннем возрасте, в месте операции может вновь возникнуть сужение, независимо от метода. Проявиться это может через несколько лет.
Сегодня благодаря методам рентгенохирургии можно расширить повторное сужение путем введения в аорту катетера с баллончиком. В баллоне создается давление и суженное место расширяется. При рецидивах так часто и делают. Также суженный участок аорты у более взрослых детей можно стентировать, то есть в просвет аорты ставится трубчатая конструкция, так называемый «стент», которая своими стенками как каркасом, удерживает стенки аорты от стремления к сужению и возникновению рецидива коарктации. Но к каждой из данных методик есть свои показания и противопоказания, о которых вам расскажет ваш врач.
В любом случае, ребенок, перенесший операцию по поводу коарктации в младенчестве должен быть под наблюдением кардиологов в течение всей жизни. Но при этом надо всегда помнить, что когда-то, когда он был совсем маленьким, операция спасла ему жизнь.
У более старших детей, даже маленьких, но не новорожденных, коарктрация аорты может протекать достаточно спокойно и быть случайной находкой при очередном врачебном осмотре (конечно, в том случае, если будет прощупан пульс не только она руках, но и на бедренных артериях).
Показаниями к операции будет не столько сам диагноз коарктации, сколько нарушения кровообращения и степень артериальной гипертонии верхней части тела.
Операция будет носить плановый характер, а выбор метода зависит от конкретной ситуации. Об этом вам расскажет оперирующий хирург. Но не надо ждать долгие годы. Коарктация не пройдет и не уменьшится, а последствия сужения аорты будут только нарастать. У взрослых, в далеко зашедших случаях операция устранения коарктации сопряжена со значительно большим риском осложнений, чем у ребенка дошкольного возраста или даже подростка.
К сожалению, коарктацию аорты рентгенохирургическим путем пока устранить нельзя (только ее рецидив поддается этому методу). Но технология движется вперед с удивительной скоростью и, очень может быть, в ближайшем будущем такое лечение станет вполне возможным.
Симптомы
Симптомы зависят от тяжести заболевания. Симптомы у пациентов со значительным сужением появляются уже в детстве, в то время как небольшое сужение может не вызвать каких-либо изменений в организме достаточно долгое время. Как правило, тяжелые случаи проявляют себя сразу после рождения. Ребенок может внезапно стать бледным, раздражительным, усиливается потливость, возникает затруднение дыхания. Если оставить порок без коррекции, то это может привести к возникновению сердечной недостаточности и последующей смерти.
У детей старшего возраста и у взрослых симптомы стертые, так как сужение незначительное. Часто единственным признаком может быть повышенное давление, измеренное на руках. Другие симптомы:
- Одышка, преимущественно при физической нагрузке;
- Головная боль;
- Мышечная слабость;
- Похолодание конечностей;
- Носовые кровотечения;
Причины
Коарктация аорты связана с нарушением формирования аорты во время внутриутробного развития плода. В основном сужение располагается юкстадуктально, это значит рядом с артериальным протоком. Артериальный проток соединяет аорту и левую легочную артерию, и функционирует только внутриутробно, закрываясь после начала альвеолярного дыхания. Вероятно, в фетальный период часть тканей протока переходит на аорту, вовлекая в процесс закрытия и ее стенку, что, несомненно , приводит к сужению.
Редко, коарктация аорты возникает в течение жизни. Причинами может стать атеросклеротическое поражение аорты, травма или синдром Такаясу.
Факторы риска
У пациентов с синдромом Шерешевского-Тернера имеется генетическая предрасположенность к возникновению коарктации. У этих людей вместо 46 хромосом всего лишь 45. и у 1 из 10 пациентов сданным синдромом выявляют коарктацию аорты.
Также коарктация аорты может сочетаться и с другими врожденными пороками сердца.
→Открытый артериальный проток. В норме артериальный проток закрывается сразу после рождения, если он остается открытым, то данный порок называется .
→Стеноз отверстия аортального или митрального клапанов . Порок, при котором уменьшаются отверстия митрального клапана (клапан между левым предсердием и левым желудочком) и аортального клапана (клапан между левым желудочком и аортой).
Когда необходимо обратиться за помощью
Если у вас сильная загрудинная боль, внезапно возникшая одышка, вам срочно необходимо обратиться к вашему лечащему врачу или в службу 03; если вы или ваш врач зарегистрировали необъяснимое повышение артериального давления, которое сложно контролировать, — необходимо пройти обследование на предмет наличия у вас коарктации аорты, так как своевременное лечение позволит избежать драматического развития событий.
Диагностика
Возраст выявления патологии зависит от тяжести заболевания. Если степень сужения велика — диагностика возможна уже в раннем возрасте. Пациенты с незначительным сужением часто даже не знают о наличии у себя порока аорты. Заболевание часто является случайной находкой.
Врач может предположить наличие патологического сужения аорты при наличии:
- Высокого артериального давления,
- Разницы давлений на руках и ногах,
- Слабого пульс на ногах,
- Сердечного шума.
Инструментальные методы исследования
Рентгенография грудной клетки. Существуют определенные рентгенологические признаки, позволяющие установить правильный диагно).
Эхокардиография. Метод, позволяющие визуализировать дефект, а также распознать сопутствующую сердечную патологию, например двустворчатый аортальный клапан
Электрокардиография . Так как сердечная мышца испытывает высокую нагрузку при данной патологии, то на электрокардиограмме врач определить признаки гипертрофии левого желудочка.
Магнитно-резонансная томография. Метод высокого разрешения, позволяющие определить точную локализацию коарктации.
Зондирование сердца также необходимо для определении тяжести поражения и анатомических особенностей порока.
Осложнения
Если не лечить коарктацию аорты , то со временем у вас могут возникнуть осложнения:
- Инсульт,
- Заболевания коронарных артерий,
- Разрыв аорты,
- Аневризма сосудов головного мозга,
Также в дополнении следует сказать, что внутренние органы плохо кровоснабжаются, так как есть препятствие току крови, что постепенно может привести к дегенеративным изменениям в них с последующим нарушением функции.
Лечение коарктации аорты
Хирургическое лечение
Существует несколько методов резекции и реконструкции аорты:
- Резекция коарктации аорты с анастомозом конец в конец. Данный метод возможен при наличии сужения на небольшой длине, когда возможно сопоставить концы нормальной неизмененной аорты.
- Пластика аорты при помощи сосудистого протеза. Данный метод используется в случае, если сужение захватывало длинный сегмент и сопоставление концов не возможно. Вместо резецированного патологического участка аорты вшивается сосудистый протез и специального синтетического материала.
- Ангиопалстика с использованием ткани левой подключичной артерии.
- Осуществление шунтирования суженного участка. Шунт вшивается проксимальнее и дистальнее суженного участка, таким образом, кровь свободно может обойти патологический участок аорты.
- Баллонная ангиопластика и стентирование. Часто данная методика используется в если после хирургической коррекции произошло сужение участка. Врач при помощи проводника вводит через сосуды в аорту специальный баллон, который раздувается и устраняется вновь возникшее сужение. Иногда приходится устанавливать стенты (своеобразный каркас), позволяющие фиксировать необходимы диаметр сосуда.
Медикаментозное лечение
Лечебные препараты не способны устранить сужение аорты, но принимаются до хирургической коррекции, а часто и длительное время после нее для контроля повышенного артериального давления.
Послеоперационный период
в послеоперационном периоде возможно то, что ваше артериальное давление еще какое-то время останется повышенным и вам необходимо будет принимать гипотензивные препараты. Также даже через несколько лет после операции может возникнуть расширение реконструированного участка (аневризма) или опять произойдет его сужение, что может потребовать проведения повторной операции.
Профилактика
Если в вашей семье высок риск возникновения данной патологии (в семье были случаи данной патологии) — вам необходимо пройти медико-генетическое консультирование и определить с врачом на сколько высок риск возникновения коарктации у ваших детей.
Это важно знать!
Во время беременности женщина с коарктацией аорты должна проходит тщательное наблюдение у врача кардиолога и акушера-гинеколога в связи с возможным развитием осложнений со стороны сердечно-сосудистой системы. А если имеет аневризма реконструированного участка аорты — то во время беременности и родов возможен разрыв данного участка. В связи с этим необходим строгий контроль показателей гемодинамики, а особенно вашего артериального давления.
Пациенты с коарктацией аорты находятся в зоне риска по возникновению инфекционного эндокардита, так как измененные ткани аорты в области коарктации являются благоприятной средой для развития патогенных организмов. Непременно посоветуйтесь с вашим врачом о возможной антибиотикопрофилактике перед стоматологическим процедурами для снижения риска возникновения эндокардита.
ЭхоКГ при врожденном стенозе перешейка аорты
ЭхоКГ при врожденном стенозе перешейка аорты
Типичным примером периферического стеноза магистральных артерий может служить стеноз перешейка аорты. Эта патология является одной из причин системной артериальной гипертензии и заключается в ограниченном стенозе аорты в месте впадения артериального протока.
а) Патологическая анатомия. Стеноз возникает в эмбриональном периоде на уровне впадения в аорту боталлова протока и после рождения соответствует перешейку аорты. В зависимости от локализации стеноза по отношению к устью артериального протока различают две основные формы, которые существенно отличаются друг от друга по клинической картине:
- Предуктальная форма, которая с самого рождения проявляется угрожающей жизни симптоматикой и резким снижением кровотока в артериях нижней части тела.
- Постдуктальная форма, которая, в отличие от предыдущей, проявляется в детском возрасте или даже во взрослом периоде и характеризуется существованием еще до рождения коллатерального кровообращения через внутренние грудные и межреберные артерии.
б) Гемодинамика. Стеноз в области перешейка аорты вызывает артериальную гипертензию в верхней половине тела, расширение восходящей аорты и гипертрофию миокарда. В нижней половине тела систолическое давление существенно ниже, а разница между диастолическим и средним давлением -меньше. Кривая артериального давления, регистрируемого на нижних конечностях, сильно сглажена.
Стеноз перешейка аорты, проявляющийся в систолу при цветовом допплеровском исследовании в сочетании с двумерной ЭхоКГ (сканирование из супрастернальной позиции вдоль оси дуги аорты).
Отчетливо виден непосредственный переход ламинарного кровотока в дистальном отделе дуги аорты (dAJA) в турбулентный ток крови (зеленый цвет) в области стеноза (стрелка), локализующегося ниже места отхождения левой подключичной артерии (звездочка).
AOA - восходящая аорта, Tbc - плечеголовной ствол, IAcc -левая общая сонная артерия, dAOA - дистальный отдел дуги аорты, DAO - нисходящая аорта. Спектральная кривая кровотока при стенозе перешейка аорты, полученная при ло-цировании аорты из супрастернальной позиции.
Максимальная скорость кровотока достигает 4 м/с, а соответствующий ей градиент давления равен 64 мм рт.ст.
Типичным для стеноза перешейка аорты является реверсивный кровоток, который сохраняется до начала следующей систолы.
Мгновенный градиент давления, рассчитанный таким образом, отчетливо выше, чем измеренный с помощью инвазивных методов исследования.
Видео. Стеноз перешейка аорты при исследовании из парастернальной позиции датчика. Отчетливо виден внезапный переход ламинарного кровотока в дистальном отделе дуги аорты в турбулентный на уровне стеноза после отхождения левой подключичной артерии (LSA).
в) Двумерная эхокардиография. Из парастернальной позиции перешеек аорты часто хорошо виден. Кроме того, отчетливо выявляется расширенная луковица аорты и гипертрофия миокарда левого желудочка. Аортальный клапан часто двустворчатый.
г) Эхокардиограмма в М-режиме. Гипертрофию миокарда левого желудочка можно распознать по повышенной толщине перегородки и задней стенки желудочка в диастолу; она соответствует степени артериальной гипертензии и ее длительности. При двустворчатом аортальном клапане линия смыкания створок эксцентрична; отношение максимального диаметра левого предсердия к диаметру корня аорты может быть меньше 1, что связано с расширением аорты проксимальнее стеноза.
д) Цветовая допплерография. В области стенозированного перешейка выявляется турбулентный кровоток, особенно выраженный в систолу; аорта на этом уровне сужена (стрелка на рисунке). Анатомические и реологические особенности стеноза перешейка аорты у подростка при исследовании из супрастернальной позиции показаны на видеозаписи выше: виден протяженный стеноз на отрезке от места отхождения левой общей сонной артерии до начала левой подключичной артерии. На этом уровне видна также турбулентность кровотока (RPA - правая легочная артерия).
е) Спектральная допплерография. Располагая допплеровский датчик над грудиной, часто удается измерить максимальный систолический кровоток через стенозированный участок аорты. Рассчитанный по кривой скорости градиент давления оказывается более высоким, чем градиент, определенный при катетеризации камер сердца, так как в последнем случае градиент определяют как разницу между максимальным систолическим давлением, измеренным проксимальнее и дистальнее места стеноза.
Измерение максимальных значений давления не совпадает по времени, и поэтому точного соответствия между измеренным и рассчитанным по допплеровской кривой градиентом нет. Однако между значениями усредненной разницы, определенной этими двумя методами, отмечается тесная корреляция.
Другая особенность кривой скорости кровотока при высоком градиенте давления состоит в том, что в диастолу она не достигает нулевой линии. Кривая кровотока в нисходящей аорте сильно уплощена и характеризуется значительно сниженной систолической скоростью кровотока и выраженным диастолическим кровотоком.
Диагностика и лечение при коарктации аорты
Среди всех форм врожденных пороков сердца (ВПС), отдельную группу составляют критические ВПС периода новорожденности, приводящие в раннем неонатальном периоде к декомпенсации кровообращения.
К таким порокам, наряду с клапанным стенозом аорты и легочной артерии относится и коарктация аорты (КА), которая при отсутствии оказания хирургической помощи приводит к развитию сердечной недостаточности. Среди всех форм ВПС, коарктация аорты составляет по данным разных источников 5-10%.
Коарктация аорты представляет собой врожденное сужение аорты в области перешейка дуги, а иногда в грудном или брюшном ее отделе. Обычно локализуется в «типичном» месте при переходе дуги аорты в нисходящую часть в области физиологического сужения. Порок редко носит изолированный характер, чаще он сочетается с другими ВПС. Естественное течение изолированной коарктации аорты неблагоприятно. Летальность к 20 годам составляет 25%, к 32 годам – 50%, к 46 – 75% и к 60 годам – 92%. В случае сочетания коарктации аорты с другим ВПС летальность на первом году жизни может достигать 56%. Чаще всего летальные исходы наблюдаются в период новорожденности в первые дни и недели жизни, причем основной причиной летальных исходов в этот период играет как характер и степень сужения аорты, так и сочетанные сложные ВПС.
Акции
Наиболее информативным методом выявления коарктации аорты является двухмерная эхокардиография (ЭХОКГ). Метод является наиболее чувствительным и специфичным для детей с небольшой или умеренной обструкцией перешейка аорты, подтверждая и характеризуя КА, давая ее изображение и оценку гемодинамического градиента с помощью сигналов потока Doppler. Чувствительность метода составляет 95%, а специфичность доходит до 99%.
В настоящее время в диагностике сужения перешейка аорты существенную роль играет метод магнитно-резонансной компьютерной томографии (МРТ). Посредством МРТ возможно определить локализацию, протяженность и диаметр как суженного участка, так и неизмененной части аорты. С конца 80-х годов ХХ-столетия в клиническую практику вошел новый метод лечения — транслюминальная баллонная ангиопластика и стентирование коарктации аорты. Эндоваскулярное вмешательство показано при градиенте систолического артериального давления в области коарктации аорты более 20 мм рт ст и в случае развития рекоарктации аорты (повторное сужение перешейка аорты после ранее выполненной хирургической коррекции порока). Как и многие эндоваскулярные операции, баллонная ангиопластика и стентирование выполняются под внутривенной анестезией, исключение составляют новорожденные, находящиеся в критическом состоянии, операция которым выполняется в условиях общей анестезии.
Эндоваскулярные методы лечения в настоящее время являются методом выбора в лечении пациентов с коарктацией аорты, находящихся в критическом состоянии, которым по тяжести состояния невозможно выполнить хирургическую коррекцию порока. Суть операции заключается в том, что используя артериальный доступ в область сужения перешейка аорты проводится и устанавливается проводник, по которому в дальнейшем проводится баллонный катетер и выполняется баллонная ангиопластика, а при необходимости (гипоплазия перешейка аорты) имплантируется стент. Эндоваскулярное лечение сопровождается низким процентом осложнений и практически отсутствием летальных исходов.
ЭхоКГ при врожденном стенозе перешейка аорты
7 вопросов, которые задают будущие мамы про ЭХО КГ плода
![]()
Что такое ЭХО КГ плода? Зачем беременным проходить это исследование?
ЭХО КГ плода – эхокардиография плода – исследование сердца плода с помощью ультразвука. Цель – исключить патологии, пороки сердца плода. Большинство пациентов, проходящих это исследование, слышат от доктора – «Все в порядке! Сердце малыша без патологии». Однако в некоторых случаях врачи могут выявить отклонения в развитие сердца. В таких случаях пациентка получает рекомендации кардиологов о том, как лучше помочь малышу, как должны проходить роды, в каком учреждении и что необходимо сделать после родов.
В какие сроки беременности пройти ЭХО КГ плода?
Оптимальный срок проведения – 21-24 недели. Причем, чем больше срок беременности, тем лучше видны структуры сердца – клапаны, сосуды и т.д. Иногда гинеколог может рекомендовать осмотр сердца в более ранние сроки – с 16 по 18 неделю. Такие рекомендации получают пациентки, у которых на предыдущих исследованиях (во время 1 скрининга в 11-13 недель) были выявлены какие-либо патологии или подозрения на патологию, пациентки которых отнесли в группу высокого риска по хромосомным аномалиям. Врач ультразвуковой диагностики, который проводит скрининговые УЗИ в 1,2 и 3 триместре также всегда осматривает сердце малыша. Если во время проведения 1 и 2 скрининга никаких патологий не обнаружено, оптимальное время для ЭХО КГ плода – 23-24 недели беременности.
Какие патологии можно сердца плода можно обнаружить во время беременности? Есть ли какие то патологии, которые «не видно» на УЗИ?
Существуют различные классификации врожденных пороков сердца. Приведем пример одной из них, отражающей тактику врача после родов. Во время проведения ЭХО КГ плода могут быть выявлены врожденные пороки сердца (ВПС):
- ВПС требующие экстренного медицинского вмешательства в первые семь дней жизни,
- ВПС требующие планового хирургического вмешательства в течение первых 28 дней — трех месяцев жизни ребенка?
- ВПС, требующие оперативного вмешательства до трех месяцев жизни ребенка.
Не все патологии сердца могут быть выявлены во время ЭХО КГ. Например, такой диагноз как «открытое овальное окно или ДМПП» может быть обнаружен только после родов, т.к. во время внутриутробной жизни овальное окно в норме должно оставаться открытым и закрывается только после родов, у некоторых малышей сроки закрытия от 1 месяца до 1-3 лет.
Какие рекомендации получает пациентка, у которой обнаружили ВПС (врожденная патология сердца) у плода?
Если при проведении исследования ЭХО КГ плода обнаружены отклонения в работе сердца, патологии, то пациентка направляется на консилиум в кардиологический центр. У нас в Самаре это СОККД. При подтверждении диагноза и наличии показаний к хирургическому вмешательству консилиум врачей в составе врача-акушера-гинеколога, врача — сердечно-сосудистого хирурга (врача — детского кардиолога), врача-неонатолога (врача-педиатра) составляет план лечения с указанием сроков оказания медицинского вмешательства новорожденному в кардиохирургическом отделении.
К ВПС, требующим экстренного медицинского вмешательства в первые семь дней жизни, относятся: простая транспозиция магистральных артерий; синдром гипоплазии левых отделов сердца; синдром гипоплазии правых отделов сердца; предуктальная коарктация аорты; перерыв дуги аорты; критический стеноз легочной артерии; критический стеноз клапана аорты; сложные ВПС, сопровождающиеся стенозом легочной артерии; атрезия легочной артерии; тотальный аномальный дренаж легочных вен.
К ВПС, требующим планового хирургического вмешательства в течение первых 28 дней жизни ребенка, относятся: общий артериальный ствол; коарктация аорты (внутриутробно) с признаками нарастания градиента на перешейке после рождения (оценка посредством динамического пренатального эхокардиографического контроля); умеренный стеноз клапана аорты, легочной артерии с признаками нарастания градиента давления (оценка посредством динамического пренатального эхокардиографического контроля); гемодинамически значимый открытый артериальный проток; большой дефект аорто-легочной перегородки; аномальное отхождение левой коронарной артерии от легочной артерии; гемодинамически значимый открытый артериальный проток у недоношенных.
К ВПС, требующим оперативного вмешательства до трех месяцев жизни, относятся: единственный желудочек сердца без стеноза легочной артерии; атриовентрикулярная коммуникация, полная форма без стеноза легочной артерии; атрезия трикуспидального клапана; большие дефекты межпредсердной и межжелудочковой перегородок; тетрада Фалло; двойное отхождение сосудов от правого (левого) желудочка.
Врач, специалист УЗДГ оценивает следующие параметры – размеры сердца плода (в норме — 1/3 площади поперечного сечения грудной клетки), его положение в грудной клетке (в норме — слева), расположение соседних внутренних органов (желудка, легких, диафрагмы, аорты). Врач оценивает 2 основных «среза» 4-х камерный срез сердца и «срез через 3 сосуда и трахею», также дополнительные срезы – «через дугу аорты», срезы через правые и левые выходные тракты, бикавальный срез, 5-камерный срез. Врач измеряет частоту сердечных сокращений плода (в норме 120-180 ударов минуту, в среднем 130 – 160 ударов), оценивает ритм.
Во время ЭХО КГ плода могут быть выявлены индивидуальные особенности или этапы развития сердца плода, не являющиеся патологией, но требующие контрольного обследования в динамике (через 2-3 недели, в некоторых случаях – в 35-36 недель). Например, ГЭФ (гиперэхогенный фокус в сердце плода) – в изолированном виде не является патологией. К таким особенностям также относятся мелкие, гемодинамически незначимые ДМЖП (дефекты межжелудочковой перегородки), в большинстве случаев они могут «закрываться» в поздних сроках беременности или после родов. Также не являются патологией, но требуют контроля такие особенности, как овальное окно небольших размеров, незначительная асимметрия желудочков или предсердий, незначительное отклонение оси сердца и т.д.
Как подготовиться к ЭХО КГ плода?
Никакой особенной подготовки не требуется. Исследование проводится с помощью «наружнего» датчика, «через живот». На малых сроках в редких случаях (в сроках 1 скринига и 16-18 недель) для лучшей визуализации используют «вагинальный» датчик. Пациентке наносят гель на живот и осматривают сердце плода, измеряют частоту сердечных сокращений. На эту процедуру лучше запланировать 30-40 минут. В удачных случаях, когда плод лежит «хорошо, удобно», опытный специалист может оценить все параметры и рассмотреть все «срезы» сердца за совсем небольшой промежуток времени – за несколько минут.
Могут ли во время ЭХО КГ плода присутствовать родственники?
В нашем центре мы очень рады, когда пациентки приходят на исследования вместе с «группой поддержки», с мужем, мамой и др. Будущая мама, чувствуя поддержку близких, меньше волнуется, и будущему папе приятно послушать сердцебиение малыша. Во время исследования сердца плода врач также может оценить и другие параметры – положение плода (головное, ягодичное или поперечное), расположение плаценты, количество вод и др.
В нашем центре процедуру ЭХО КГ плода проводят опытные врачи УЗДГ, со стажем работы более 10 лет. Наши специалисты имеют опыт выявления различных патологии сердца плода, проводят не менее 300 исследований сердец плода в месяц. Врачи регулярно повышают свою квалификацию, проходят обучения у ведущих специалистов — в Москве, Санкт-Петербурге, зарубежом. Врачи нашего центра систематизируют свой опыт и знания и совмещают свою работу с преподаванием в самарских ВУЗах.
Коарктация аорты у плода. Точность и ошибки диагностики
ФГБУ "Научный центр акушерства, гинекологии и перинатологии им. В.И. Кулакова" Минсоцразвития РФ, Москва.

УЗИ сканер HS60
Профессиональные диагностические инструменты. Оценка эластичности тканей, расширенные возможности 3D/4D/5D сканирования, классификатор BI-RADS, опции для экспертных кардиологических исследований.
Распределение диагностики ВПС в зависимости от нозологической формы значительно варьирует. Определенные ВПС пренатальная диагностика позволяет выявить в 90% случаев. Цифры статистики неумолимо показывают низкий процент выявления ВПС (30%) по результатам скринингового исследования. В специализированных учреждениях частота выявления ВПС выше и достигает 54% [1, 2].
Точность ультразвуковой диагностики патологии плода за последние годы многократно подвергается критике со стороны акушеров-гинекологов и в большей степени педиатров. Порой клинические признаки интересуют специалистов значительно меньше, чем данные ультразвукового антенатального исследования плода.
В этой работе представлен анализ возможностей ультразвукового пренатального исследования при коарктации аорты. В работе учтены данные, имеющиеся в публикациях отечественных и зарубежных авторов, а также материал отделения функциональной диагностики Центра.
Латинский термин "сoarctatius" означает "суженный, стиснутый". Впервые его описал J.F. Meckel в 1750 году. Коарктация аорты - это патологическое сужение ее просвета, которое может возникнуть в любом месте по всей ее длине. Частота порока составляет 6,3%, по данным клинических наблюдений из выборки в 2000 случаев [3], и 8,4% по результатам патологоанатомического материала [4].
У детей первого года жизни коарктация аорты занимает четвертое место cреди ВПС. Как правило, она развивается дистальнее места ответвления левой подключичной артерии вблизи артериального протока (ductus arteriosus). В зависимости от локализации сужения аорты относительно артериального протока различают два классических типа коарктации: предуктальную и постдуктальную [5].
При наличии сужения аорты клиническая картина может нарастать как шквал после закрытия артериального протока. В течение первого года погибают 56% пациентов. В основном смертельный исход бывает вызван сочетанием коарктации с другими аномалиями сердца. Изолированная форма в первые недели и дни жизни также характеризуется высоким процентом смертности (34%). Если этот период дети переживают, то продолжительность жизни в среднем составляет 30-50 лет. Причиной смерти у новорожденных является сердечно-легочная недостаточность. При артериальной высокой гипертензии, как исключение, может быть кровоизлияние в мозг.
В ФГБУ "Научный центр акушерства, гинекологии и перинатологии им. В.И. Кулакова " Минсоцразвития РФ за двухлетний период (2010-2011) родились 27 детей с аномалиями аорты, от незначительного сужения до полного перерыва. В 15 наблюдениях в отделении функциональной диагностики диагноз был поставлен антенатально. Это были беременные, обратившиеся в поздние сроки от 35 до 39 нед гестации. Во всех наблюдениях патология аорты сочеталась с гипоплазией левого желудочка. Диагноз был подтвержден во всех случаях. В изолированном виде коарктация аорты за этот период была диагностирована в 6 наблюдениях. В 3 из них диагноз был поставлен антенатально, в 2 - сужение было выявлено у новорожденных на 3-5-е сутки после закрытия артериального протока. В одном случае после рождения был поставлен диагноз кинкинг аорты. Таким образом, наши данные свидетельствуют о сложности и невысоком проценте выявления изолированной коарктации аорты. Лишь в тех наблюдениях, когда имеются выраженные гемодинамические нарушения, приводящие к значительным анатомическим изменениям в виде гипоплазии левого желудочка, диспропорции желудочков сердца, увеличения диаметра легочной артерии диагноз с большой достоверностью может быть поставлен антенатально.
Первые работы по диагностике коарктации аорты у плода относятся к 1984 г. [6, 7]. По данным литературы, трансвагинальный доступ в 12-15 нед гестации позволяет диагностировать коарктацию аорты в 21,4% случаев [1]. При трансабдоминальном доступе частота выявления коарктации аорты увеличивается: в 16-30 нед она составляет 43%, после 30 нед, по мере прогрессирования гемодинамических нарушений, не превышает 54% [8].
Согласно результатам скринингового ультразвукового обследования 20 248 плодов при сроках 19-22 нед беременности в крупном регионе Германии (1990-1994) пренатальный диагноз коарктации аорты не был установлен ни в одном из 7 случаев. Аналогичные данные были получены в Норвегии, даже в специализированном центре пренатальной диагностики. Согласно данным мультицентрового анализа, проведенного в 12 европейских странах, точный пренатальный диагноз изолированной коарктации аорты в конце 90-х гг. был установлен только в 9 (15,8%) из 57 случаев [9]. Средний срок обнаружения изолированной коарктации составил 22 нед, при этом 7 из 9 случаев было выявлено до 24 нед. При сочетании коарктации аорты с экстракардиальными пороками и хромосомными аномалиями точность ее пренатальной диагностики была существенно выше за счет выраженности гемодинамических нарушений и расширенного эхокардиографического исследования плода и составила 52%.
По данным института сердечно-сосудистой хирургии им. А.Н. Бакулева, точность диагностики не превышает 27%. Как правило, патология наиболее часто отмечается при сочетании коарктации аорты с другими кардиальными аномалиями [10].
Таким образом, обобщая статистические данные материала Центра, публикации ведущих специалистов России и зарубежных коллег, можно отметить очень низкий процент диагностики коарктации аорты у плода.
В чем же причина столь низкого процента выявления коарктации аорты антенатально?
Существует несколько факторов, затрудняющих диагностику коарктации аорты антенатально.
Первая причина не диагностированной коарктации аорты это морфогенез патологии и теория первичного нарушения развития дуги аорты. Теория была предложена в 1828 г. [11]. Автор считает, что данная патология связана с недостаточным соединением 4 и 6 дуги аорты с нисходящим ее отделом. Поэтому перешеек - это место, где наиболее часто локализуется участок сужения [12], так как оба отдела образуются из разных эмбриональных зачатков. В норме область перешейка аорты равна 2/3 диаметра восходящего отдела аорты (рис. 1).

Рис. 1. Восходящий отдел, дуга и нисходящий отдел аорты плода в режиме энергетического допплера в норме.
Согласно "теории дуктальной ткани" коарктация аорты возникает в результате миграции гладких мышечных клеток протока в предуктальную аорту, с последующей констрикцией и сужением просвета аорты [4]. При формировании коарктации аорты в области перешейка сохраняется сужение различной протяженности и формы (рис. 2, 3). Наиболее часто это проявляется в виде локальной перетяжки, выше или ниже которой диаметр аорты сохраняется в норме.

Рис. 2. Ультразвуковое исследование восходящего отдела, дуги и нисходящего отдела аорты. Стрелкой указано место сужения.

Рис. 3. Трехмерное изображение сердца и аорты плода в 16 нед беременности. Стрелкой указано место сужения аорты. AO DESC - нисходящий отдел аорты, COR - сердце.
Следовательно, оценка сужения аорты в типичном месте как признак развивающейся патологии не всегда представляется возможной в ранние сроки беременности. Поскольку речь идет о предуктальной коарктации аорты (сужение аорты локализовано проксимальнее протока), то, очевидно, что в период внутриутробной жизни в более поздние сроки отмечается снижение кровотока через левые отделы сердца и перешеек аорты и развивается гипоплазия левого желудочка и аорты. Это и способствует более позднему проявлению патологии и возможности ее ультразвуковой диагностики.
Вторая причина, затрудняющая диагностику коарктации аорты - это теория постнатального развития. У плода перешеек аорты узкий и после рождения и закрытия артериального протока он должен в норме расшириться для обеспечения адекватного кровотока в нисходящий отдел аорты. Таким образом, имеющееся физиологическое сужение перешейка аорты не позволяет предположить формирование коарктации аорты после рождения.
Постдуктальная коарктация развивается уже после рождения и практически всегда представляет собой изолированный дефект. Эта аномалия, вероятнее всего, является результатом разрастания мышечной ткани артериального протока в аорту плода. Когда же проток после рождения сужается, эктопическая ткань внутри аорты также сжимается, перекрывая, как тампоном, просвет сосуда по всей его окружности. В отличие от предуктальной коарктации в данном случае гипоплазия аорты не развивается. Закрытие артериального протока у некоторых детей приводит к наличию сужения аорты и развитию коарктации через 2-3 нед после рождения [13].
Третья причина не диагностированной коарктации аорты состоит в особенностях внутрисердечной гемодинамики у плода. Кровообращение плода, так же, как и взрослого, подчиняется ряду основных закономерностей физического и биологического воздействия. Поток крови движется из зоны высокого давления в область низкого давления. При выраженном потоке размеры увеличиваются, при уменьшении объема потока уменьшаются. Так, гипоплазия левого желудочка и коарктация аорты часто сопутствуют порокам со сниженным выбросом крови в аорту (стеноз аорты, дефект межжелудочковой перегородки) и практически не встречаются при пороках с большим объемом потока через аорту (при тетраде Фалло).
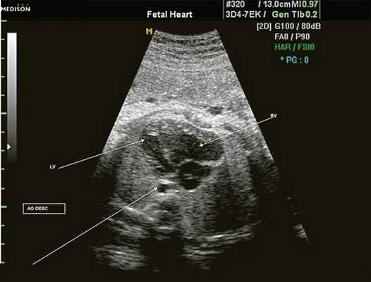
Исходя из особенностей внутрисердечной гемодинамики плода, для диагностики коарктации аорты были предложены косвенные признаки патологии в антенатальном периоде: дилатация правого желудочка и его гипертрофия (см. рис. 3), дилатация легочной артерии [6, 7, 14]. Авторы считают, что это достоверные признаки и встречаются они достаточно часто (в 18 из 24 случаев верифицированных диагнозов коарктации аорты). Поэтому была предложена оценка индексов отношения полости правого желудочка к левому (в норме - 1,1) и легочной артерии к аорте (у здоровых - 1,2). Исходя из увеличения этих параметров, можно предположить наличие затрудненного выброса в аорту или гипоплазию дуги аорты. Тем не менее, по данным предложивших эти косвенные признаки авторов, такие изменения выявляются только в 30% наблюдений (рис. 4).

Рис. 4. Диспропорция размеров желудочков сердца при коарктации аорты. RV - правый желудочек; LV - левый желудочек; AO DESC - поперечное сечение нисходящего отдела аорты.
Во второй половине 90-х гг. было опубликовано несколько работ, посвященных изучению диагностической ценности увеличения правого желудочка и уменьшения левого желудочка при коарктации аорты. Авторы, опубликовавшие эти результаты [2], считают, что чем раньше проводится исследование (от 14-16 до 25 нед гестации), тем оно информативнее для диагностики коарктации аорты. Доказательством могут служить данные, полученные D. Brown и соавт. [15]. В представленных исследованиях коарктация аорты отмечена у 8 (62%) из 13 плодов с диспропорцией размеров желудочков до 34 нед и только у 6 (21%) из 29 плодов после 34 нед беременности. Несмотря на то, что более половины случаев коарктации аорты сопровождается диспропорцией размеров желудочков, что достаточно легко выявляется при изучении четырехкамерного среза сердца плода, во многих исследованиях в Норвегии она не была диагностирована, даже при обязательном скрининговом изучении размеров сердца до 18 нед беременности [9].
Такие прoтиворечивые результаты можно объяснить гемодинамической теорией [16, 17]. Внутриутробно в восходящий отдел аорты поступает 50% суммарного выброса крови, в нисходящую - 65%, а через перешеек аорты всего лишь 25%. Исходя из уменьшенного объема кровотока возникает его физиологическое сужение, которое усугубляется лишь после рождения.
Допплеркардиография, позволяющая оценить кровоток, информативна лишь при выраженном сужении аорты [18]. При этом возникает обратная зависимость максимальной скорости кровотока в восходящем и нисходящем отделах аорты. В норме скорость в восходящем отделе немного преобладает над скоростью нисходящего отдела.
При перерыве дуги аорты отмечается ретроградный кровоток заполнения участка дуги аорты после перерыва через открытый артериальный проток и отсутствие прямого кровотока на уровне перерыва.
И, наконец, последняя причина не диагностированной коарктации аорты заключается в частоте сочетания с другими аномалиями сердца. Изолированная коарктация аорты составляет всего лишь 15-18%. По данным M. Campell и P. Polani [19], процент сочетания коарктации аорты с кардиальными аномалиями колеблется от 13 до 18%. Наиболее часто (85%) коарктация аорты сочетается с двустворчатым аортальным клапаном [20], нередко сочетается с фиброэластозом эндомиокарда, распространяющимся на выходной тракт левого желудочка и на межжелудочковую перегородку. Возможно, при коарктации аорты аномальное отхождение правой подключичной артерии или обеих подключичных артерий от нисходящей аорты, дистальней коарктации (5%).
Наличие сопутствующей кардиальной патологии может нивелировать типичные для коарктации гемодинамические изменения со стороны сердца плода, на которые обязательно обращает внимание специалист при ультразвуковом исследовании.
Существует еще и понятие как псевдокоарктация, или "кинкинг" аорты - деформация аорты, аналогичная классической коарктации, но препятствие кровотоку незначительное, так как имеется простое удлинение и извилистость аорты (рис. 5).

Рис. 5. Кинкинг аорты у плода в 34 нед беременности. Исследование в энергетическом режиме.
Итак, становится очевидным, что практически ни один из ультразвуковых признаков в антенатальном периоде не имеет высокой степени диагностической точности.
Известно, что диагноз данного порока сердца опирается на прямой признак - визуализацию места сужения аорты, и, возможно, расширение проксимального отдела аорты. Однако четко визуализировать участок сужения аорты у плода достаточно трудно и удается только в единичных наблюдениях. Порок можно увидеть лишь тогда, когда имеется уменьшение диаметра перешейка аорты более чем на 1/3 по сравнению с нормой для каждого срока беременности (см. рис. 2, 3).
Ключом к пренатальной диагностике коарктации аорты является комплексный учет данных, получаемых как при изучении четырехкамерного среза сердца (дилатация правого желудочка, гипоплазия левого желудочка), так и при оценке самих главных артерий. При наличии коарктации диаметр аорты в среднем в 2 раза меньше диаметра дилатированной легочной артерии. Поэтому для диагностики коарктации аорты следует использовать визуализацию самой аорты, что наиболее целесообразно при скрининговой оценке среза через три сосуда. Помощь в диагностике может оказать измерение диаметра артериального протока, который при коарктации аорты широкий.
Окончательный диагноз коарктации аорты устанавливается при использовании среза через дугу аорты, так как чаще всего сужение аорты отмечается в области ее перешейка - на уровне впадения артериального протока. Следует отметить, что сужение может охватывать большой участок аорты вплоть до тубулярной гипоплазии. Нормальный переход дуги аорты в артериальный проток в норме гладкий и плавный. Кроме того, при исследовании аорты по длинной оси наиболее надежным признаком следует считать гипоплазию поперечной части дуги аорты. Как один из косвенных признаков коарктации аорты можно использовать извилистость дуги аорты при изучении ее по длинной оси [2].
Важное дополнительное значение имеет допплерэхокардиографическое исследование, которое при коарктации орты позволяет выявить ускорение и турбулентный характер кровотока в аорте. Однако в антенатальном периоде этот признак может не проявиться [2]. Более надежно выявление левоправого шунта через овальное окно. Предполагается, что этот шунт является компенсаторным механизмом, обеспечивающим уменьшение потока крови в левый желудочек и аорту. G. Sharland и соавт. [18] отметили левоправый шунт через овальное окно у 7 из 12 плодов с коарктацией аорты. У оставшихся 5 плодов обнаруживалось как левоправое, так и праволевое направления потоков крови через овальное окно.
В случаях резко выраженных анатомических изменений аорты и функции левого желудочка с увеличением постнагрузки может наблюдаться сердечная недостаточность [21]. Нарушения гемодинамики и сердечная недостаточность характеризуются антенатально наличием выпота в перикарде, уменьшением сердечного выброса с уменьшением размеров левого желудочка [22].
После рождения и закрытия артериального протока весь поток крови поступает в восходящий отдел аорты и перешеек расширяется до нормального уровня. После рождения, когда проток перекрывается, коарктация аорты приводит к серьезными клиническим проявлениям.
Итак, анализ возможностей и ошибок ультразвуковой диагностики коарктации аорты в пренатальном периоде показывает насколько проблематично поставить диагноз во всех случаях данного порока сердца у плода. К сожалению, все эхокардиографические антенатальные признаки патологии не обеспечивают высокий процент диагностики.
Хочется надеяться, что развитие новых технологий и накопление позитивного и анализ негативного опыта позволят в будущем повысить процент диагностики такого сложного порока сердца с высокой неонатальной смертностью.
Литература

УЗИ сканер HS60
Профессиональные диагностические инструменты. Оценка эластичности тканей, расширенные возможности 3D/4D/5D сканирования, классификатор BI-RADS, опции для экспертных кардиологических исследований.
Читайте также:

