ЭКГ при фасцикулярной тахикардии
Добавил пользователь Евгений Кузнецов Обновлено: 23.11.2025
В статье описан случай идиопатической фасцикулярной левожелудочковой тахикардии, встречающийся в клинической практике довольно редко. Фасцикулярная левожелудочковая тахикардия является гемодинамически значимой, и в 10-14% случаев может переходить в фибрилляцию желудочков. Диагностика ее трудна, так как эта тахикардия характеризуется узкими комплексами QRS. Ошибочная диагностика и неправильное лечение приводят к прогрессированию заболевания. Наиболее эффективным в лечении пациентов с фасцикулярной левожелудочковой тахикардией является оперативное лечение.
Ключевые слова
радиочастотная аблация, стимуляционное картирование, активационное картирование, идиопатическая фасцикулярная левожелудочковая тахикардия, re-entry
Статья
Введение
Социальная значимость аритмий заключается в значительном снижении качества жизни и инвалидизации населения, развитии и прогрессировании сердечной недостаточности и, в конечном счете, увеличении смертности [1]. По данным литературы идиопатическая фасцикулярная левожелудочковая тахикардия является наиболее частой формой идиопатической тахикардии из левого желудочка и составляет 10-15% от всех идиопатических желудочковых тахикардий. В основе этой тахикардии лежит циркуляция волны возбуждения в области дистальных разветвлений левой ножки пучка Гиса, в местах перехода ее в волокна Пуркинье. Данная тахикардия чаще наблюдается у лиц молодого возраста, не имеющих структурной патологии сердца, и, как правило, не является жизнеугрожающей, но в 6% случаев приводит к развитию аритмогенной кардиомиопатии 2. Так же ухудшается качество жизни больных, так как в большинстве случаев наблюдаются приступы устойчивой желудочковой тахикардии которые сопровождаются головокружением, ощущением нехватки воздуха, гипотензией, обмороками, синкопальными состояниями. Диагностика ее затруднена, т. к. эта тахикардия характеризуется относительно узкими комплексами QRS (100-120 мсек). Зачастую, при использовании только поверхностной электрокардиографии, ее невозможно отличить от суправентрикулярной тахикардии. Так как антиаритмическая терапия не дает стойкого положительного результата, методом выбора для лечения этой аритмии является эндокардиальная радиочастотная аблация, при которой положительный результат достигается в подавляющем большинстве случаев.
Обзор клинического случая
Пациентка К., 25 лет, поступила с жалобами на приступы учащенного ритмичного сердцебиения, сопровождающиеся слабостью, обморочными состояниями, падением артериального давления, возникающие при физической нагрузке, психоэмоциональном перенапряжении, курении, реже в покое. Приступы возникали 1 раз в 10 дней и купировались введением изоптина. Со слов пациентки, вышеперечисленные жалобы отмечает в течение 5 лет. В течение последних 1,5 лет ухудшение состояния в виде учащения приступов до трех раз в месяц, в связи с чем рекомендовано оперативное лечение. При поступлении в стационар поставлен диагноз: пароксизмальная наджелудочковая тахикардия, по поводу которой пациентка медикаментозные препараты не принимала, так как была стабильна.
При поступлении в стационар:
Общее состояние удовлетворительное, сознание ясное, активность полная. По данным физикального осмотра органов и систем – без особенностей.
По данным лабораторных исследований – без особенностей.
Данные инструментальных исследований:
ЭКГ: ритм синусовый, правильный, частота сердечных сокращений 90 в минуту. Нормальное положение электрической оси сердца. Длина интервалла PQ - 0,16 с., QRS - 0,04 с., QT - 0,40 с.
Эхокардиография: Левое предсердие 34 мм. Толщина межжелудочковой перегородки в диастолу(см)=0,9. Аорта восходящая, диаметр(см)=2,5, дуга 2,9 см, перешеек б/о. Левый желудочек: конечный систолический размер (см)=3,1, конечный диастолический размер (см)=4,9, конечный систолический объем (мл)=39, конечный диастолический объем (мл)= 115, фракция выброса (%)=66%. Аортальный клапан: трехстворчатый, створки тонкие, подвижные. Фиброзное кольцо - размер(мм)=19. Градиент давления пиковый (мм.рт.ст.)= 5,5 мм рт ст. Регургитации нет. Митральный клапан: створки, подвижные, движение разнонаправленное, фиброзное кольцо -размер(мм)=30. Регургитация минимальная. Пиковый градиент 4,5 . Правое предсердие, правый желудочек не расширены. Трикуспидальный клапан: створки тонкие, подвижные. Фиброзное кольцо-размер(мм)= 29-30. Регургитация минимальная. Межпредсердная перегородка интактна. Зон гипокинезии не выявлено. Заключение: Сократительная способность миокарда левого желудочка сохранена, нарушений регионарной сократимости не выявлено.


Рисунок 1. ЭКГ пациентки 25 лет, страдающей часто рецидивирующей фасцикулярной левожелудочковой тахикардией. Панель А. На рисунке представлены 12 отведений поверхностной ЭКГ при скорости записи 25 мм/сек. Приступ узкокомплексной фасцикулярной левожелудочковой тахикардии индуцированный программированной стимуляцией правого желудочка. Панель Б. На рисунке 12 отведений поверхностной ЭКГ при скорости записи 100 мм/сек. Ширина комплекса QRS составила 90 мсек.

Рисунок 2. Электрограммы пациентки 25 лет, страдающей часто рецидивирующей фасцикулярной левожелудочковой тахикардией. На рисунке сверху вниз представлены I, II, III и V1 – отведения ЭКГ, электрограммы проксимальной (ABLp) и дистальной (ABLd) пар картирующего электрода, электрограммы коронарного синуса СS1,2, СS3,4, СS 5,6, Электрограммы проксимальной (RVap) и дистальной (RVad) пар желудочкового электрода. На электрограмме дистальной пары картирующего электрода, продолжительность потенциала пре-QRS (ранней точки) составила 28 и 31 мсек.
Ход операции
Исходно регистрировался синусовый ритм. Под местной анестезией раствором новокаина 0,5%, по методике Сельдингера пунктирована левая бедренная вена с использованием интродьюсера SJM 8Fr Fast-Cath, через который в полость сердца проведен неуправляемый желудочковый четырехполюсный электрод BW Avail и установлен в верхушку правого желудочка. Под местной анестезией раствором новокаина 0,5%, по методике Сельдингера пунктирована левая подключичная вена с использованием интродьюсера SJM 8Fr Fast-Cath, через который в полость сердца проведен неуправляемый десятиполюсный электрод BW Webster и установлен в коронарный синус.
Выполнено электрофизиологическое исследование: Антеградное проведение через АВ-узел. Антеградная точка Венкебаха = 410 мс. Антеградный эффективный рефрактерный период АВ-узла=340 мс. Антеградный эффективный рефрактерный период левого предсердия = 240 мс. Ретроградное проведение с желудочков на предсердия отсутствует.
При программированной стимуляции правого желудочка с базовой длиной цикла стимуляции 450 мс. и экстрастимулом с интервалом сцепления 300 мс., индуцирован пароксизм желудочковой тахикардии с длительностью цикла 420 мс и с морфологией блокады правой ножки пучка Гиса. Проведено тщательное активационное картирование правого желудочка, относительно начала QRS комплекса. Ранняя точка не обнаружена. Тахикардия была купирована программированной стимуляцией правого желудочка одним экстрастимулом с интервалом сцепления 260 мс.
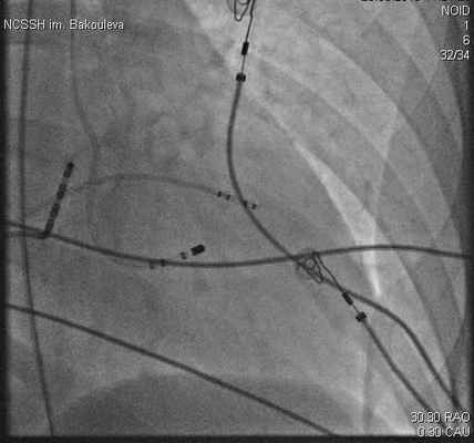
Под местной анестезией раствором новокаина 0,5% - 40,0 мл, пунктирована правая бедренная артерия с использованием интродьюсера SJM 7Fr Fast-Cath, через который проведен управляемый картирующий электрод Medtronic Marinr 7 Fr MC в полость левого желудочка. Проведено тщательное активационное картирование межжелудочковой перегородки на пароксизме тахикардии относительно начала QRS комплекса. Ранняя точка опережающая QRS комплекс на 28 мсек, обнаружена в задненижних отделах межжелудочковой перегородки.

Рисунок 3. Правая косая проекция. Рентгенограмма, иллюстрирующая расположение аблационного электрода в левом желудочке. Аблационный электрод (ABL) позиционирован в задненижнем отделе МЖП. Диагностический четырехполюсный электрод (RVA) в верхушке правого желудочка. Диагностический десятиполюсный электрод в коронарном синусе (CS).
В данной зоне, локализующейся в задненижнем отделе левой поверхности межжелудочковой перегородки, в области задней ветви левой ножки пучка Гиса, выполнено 4 радиочастотных воздействия с удовлетворительными параметрами (мощность - 30-45 Вт, температура - 55-65 С, сопротивление - 105-115 Ом), длительностью по 60 с. – с положительным эффектом.
Выполнена программированная и учащающая стимуляция левого желудочка, при которой желудочковую тахикардию индуцировать не удалось. На этом процедура завершена.
Пациентка была переведена в отделение на синусовом ритме.
Послеоперационный период
Ранний послеоперационный период прошел без осложнений. При выписке пациентке было рекомендовано:
- Ограничение физических нагрузок;
- Контроль АД, ЧСС, ЭКГ, мониторирование ЭКГ по Холтеру через 3 и 6 месяцев;
- Контрольная эхокардиография через 1 неделю.
По данным литературы, фасцикулярную левожелудочковую тахикардию с учетом локализации субстрата аритмии в разветвлениях левой ножки пучка Гиса, можно разделить на 3 группы: задняя фасцикулярная левожелудочковая тахикардия, которая составляет 90-95% случаев, передняя фасцикулярная желудочковая тахикардия и верхнеперегородочная фасцикулярная левожелудочковая тахикардия.
Заключение
Наиболее эффективным при лечении пациентов с фасцикулярной левожелудочковой тахикардией является оперативное лечение - радиочастотная аблация, при которой успешный результат достигается в 80% случаев, значительно улучшается качество жизни больных. После успешно проведенной радиочастотной аблации больные не нуждаются в антиаритмической терапии, а рецидивы в отдаленные периоды наблюдения выявляются не более чем у 15% больных.
Важнейшим преимуществом радиочастотной катетерной аблации является ее безопасность, так как она применяется в основном у молодых, работоспособных людей без структурной патологии сердца. При наличии аритмогенной дилатации полостей сердца, после устранения тахикардии наблюдается восстановление функции миокарда, что значительно улучшает прогноз у этих пациентов. Новые возможности исследования механизма и и точек приложения воздействия открываются с использованием систем электроанатомического картирования и трехмерной визуализацией [12, 13].
Литература
Extramiana F, Takatsuki S, Hayashi M, Leenhardt A. Functional bundle branch block and orthodromic reciprocating tachycardia cycle length: do not bet on accessory pathway location. Europace 2007; 9(10): 920-922.
«ФАСЦИКУЛЯРНАЯ» ЖЕЛУДОЧКОВАЯ ТАХИКАРДИЯ
Annotation
The current conceptions on the fascicular ventricular tachycardia are considered, the experience of its successful catheter treatment is presented.
Желудочковые тахикардии (ЖТ) у больных без структурной патологии сердца недостаточно хорошо известны в клинической практике и нередко представляют сложности в диагностике и при выборе метода лечения. Одной из них является «фасцикулярная» ЖТ, возникающая в области левой ножки пучка Гиса. Она имеет ЭКГ морфологию блокады правой ножки с отклонением электрической оси сердца влево [2, 4, 8, 17, 20].
Как правило, ЖТ локализуется в области заднего разветвления, но может быть связана и с передней фасцику-лой левой ножки пучка Гиса с ЭКГ признаками блокады правой ножки пучка Гиса и отклонением оси вправо [5, 19]. Данные большинства авторов свидетельствуют о том, что механизмом фасцикулярных ЖТ является re-entry в системе Пуркинье, с наличием зоны «медленного» проведения, чувствительной к верапамилу [13,18,24, 26,31].
Истинная природа re-entry остается неясной. D.E.Ward et al. (1984) и RKottkamp et al. (1995) предполагают micro re-entry в области левой задней фасцикулы. Nakagawa et al. (1993) считает, что re-entry ограничено в системе Пуркинье, изолированной от окружающего миокарда желудочков. M.S.Wen et al. (1997) продемонстрировали достаточные размеры (около 2 см) зоны «медленного» проведения, расположенной от средне-септальной части (зона «входа») до нижне-апикально-септальной (область «выхода») части левого желудочка.
Описаны варианты полиморфной ЖТ, связанной с одной критической зоной цепи re-entry и несколькими «выходами» [7,14]. Имеются данные об участии в механизме тахикардии «ложного сухожилия» левого желудочка [10, 15, 23, 25]. В тоже время существует мнение о триггерном, связанном с задержанной постдеполяризацией, механизме левожелудочковой тахикардии [3, 15].
В отличие от коронарогенных, фасцикулярные ЖТ не связаны с гетерогенностью возбуждения миокарда. Сигнал-усредненная ЭКГ, как правило, не выявляет у больных поздних потенциалов желудочков [9]. Нередко фасцикулярные ЖТ трактуются при обследовании как наджелудочковые. Это связано с тем, что ширина комплексов QRS во время тахикардии нередко составляет менее 100 мсек. Подтверждением желудочкового происхождения тахикардии являются наличие АВ диссоциации и отсутствие нарушений внут-рижелудочкового проведения на синусовом ритме (СР) в большинстве случаев [2].
Оптимальной с точки зрения электрофизиологии является верификация всех деталей цепи re-entry, с использованием принципов «вхождения» (entrainment) и «скрытого слияния» (concealed fusion). Эта методика аналогична используемой при катетерной абляции ЖТ у больных с коронарной патологией [1,6]. Фактором, ограничивающим применение этой методики, является купирование тахикардии в начале стимуляции. Поэтому наиболее распространенным методом является сочетание стимуляционного картирования и регистрации электрограммы волокон Пуркинье, хотя значимость последней остается неясной [17].
МАТЕРИАЛ И МЕТОДЫ
Всего было обследовано 4 пациента (3 мужчины и одна женщина) в возрасте от 23 до 54 лет. Наряду с общепринятыми методами клинического обследования всем проводилась сигнал-усредненная ЭКГ для оценки поздних потенциалов желудочков. Для исключения патологии венечных артерий проводилась коронарогра-фия. Эндокардиальное электрофизиологическое исследование проводилось одновременно с катетерной деструкцией.
Через бедренные вены вводились катетеры для стимуляции и регистрации электрограмм правого предсердия, пучка Гиса, правого желудочка. Через бедренную артерию вводился управляемый катетер для проведения картирования и деструкции. Верификация зоны тахикардии проводилась с использованием феномена «вхождения», регистрации потенциала волокон Пуркинье и стимуляционного картирования.
Фасцикулярная ЖТ с локализацией цепи re-entry в области разветвлений задней ветви левой ножки пучка Гиса выявлена во всех четырех случаях. До направления в клинику тахикардия трактовалась как желудочковая только в одном случае. У трех пациентов докторами амбулаторно-поликлинического этапа предполагалось наличие атриовентрикулярной тахикардии, обусловленной различными вариантами синдрома WPW. В одном случае был установлен диагноз атипичной тахикардии атрио-вентрикулярного соединения.
При анализе ЭКГ выявлена типичная морфология ЖТ с признаками блокады правой ножки пучка Гиса и отклонением электрической оси сурдца влево (рис. 1).

У всех больных при регистрации сигнал-усреднен-ной ЭКГ поздние потенциалы желудочков не выявлялись. Механизм re-entry был верифицирован во всех четырех случаях, что было подтверждено индукцией тахикардии при программируемой электростимуляции (ЭС) желудочков (рис. 2).

Критерии эффективности и направленность высокочастотного (ВЧ) воздействия изменялись с накоплением опыта операций. У первого из пациентов верификация зоны цепи re-entry на основании регистрации электрограммы волокон Пуркинье (рис. 3) привела к купированию тахикардии при ВЧ воздействии, однако на третьи сутки наблюдался рецидив.

При повторной операции электрод был смещен в область разветвления левой ножки пучка Гиса, что привело к стойкому устранению ЖТ. При выполнении последующих операций мы отказались от попыток регистрации потенциала волокна Пуркинье или средне-диастолических потенциалов. Область «выхода» определялась с использованием стимуляционного картирования (рис. 4, 5а).

При неэффективности ВЧ воздействий в этой зоне и сохранении индукции тахикардии, воздействие направлялось на проксимальную часть цепи re-entry, в область «входа», с использованием рентген-анатомических и ЭКГ (рис. 56) признаков.
Устранить ЖТ удалось во всех четырех случаях. У двух больных окончательное купирование тахикардии было достигнуто в зоне «выхода», в двух случаях потребовалось воздействие в области «входа». Купирование тахикардии не было связано с развитием блокады задне-нижнего разветвления левой ножки пучка Гиса, что свидетельствует об определенной отдалённости проксимальной части цепи re-entry от разветвления левой ножки пучка Гиса и локализации субстрата тахикардии в начальной части системы Пуркинье.
Однако это расстояние, видимо, не превышает 5-7 мм, поскольку воздействие в эту зону сопровождается развитием ускоренного ритма атрио-вентрикулярно-го соединения, что может быть результатом «разогрева» пучка Гиса током высокой частоты.
Фасцикулярные ЖТ, возникающие из области разветвлений левой ножки пучка Гиса, принято считать идиопатическими. Индукция и купирование ЖТ одним программируемым электрическим импульсом подтверждает наличие механизма повторного входа возбуждения. Оптимальной является верификация всех деталей цепи re-entry с использованием принципов «вхождения» (entrainment) и «скрытого слияния (concealed fusion) [1].
Нам не удалось во время выполнения операций у наших больных выявить зону «медленного» проведения, по причине купирования ЖТ при начале электростимуляции и невозможности проведения стимуляции в необходимом режиме. Идентификация зоны «выхода» при стимуляционном картировании относительна проста. Однако, учитывая механизм тахикардии и локализацию зоны «выхода» в области разветвлений системы Гиса-Пуркинье можно предположить, что не всегда эта часть цепи re-entry может быть оптимальной для воздействия.
Воздействие, направленное на дистальные отделы, не исключает рецидива тахикардии при смещении зоны «выхода» в другие части разветвлений системы Пуркинье [7, 14]. Воздействие на проксимальную часть цепи re-entry более локально. Недостатками этого подхода является сложность точной верификации этой зоны, невозможность использования стимуляционного картирования и риск развития блокады проведения в области заднего разветвления левой ножки пучка Гиса.
В случаях аритмогенной дилатации полостей сердца после устранения тахикардии наблюдалось восстановление функции миокарда, что позволяет судить о благоприятном прогнозе у этих пациентов. Новые возможности верификации механизма и точек приложения воздействия открываются с использованием систем электроанатомического картирования [16].
Российский Научно-Практический
рецензируемый журнал
ISSN 1561-8641
Фасцикулярная левожелудочковая тахикардия
Фасцикулярная левожелудочковая тахикардия является особой, не часто встречающейся формой пароксизмальная мономорфная желудочковая тахикардия.
Патофизиология
В основе этой формы желудочковой тахикардии лежит механизм re-entry с участием в цепи циркуляции волны возбуждения задне-нижнего разветвления левой ножки пучка Гиса.
Распространенность. Причины возникновения
Фасцикулярная левожелудочковая тахикардия обычно выявляется у молодых лиц, не имеющих признаков органического заболевания сердца, существенно реже — у пожилых пациентов.
Диагностика. Клинические проявления
- продолжительность комплексов QRS редко превышает 120 мс; могут инициироваться не только желудочковыми, но и предсерными экстрасистолами [предсердными экстрастимулами во время ЭФИ];
- верапамил высоко эффективен в купировании этой тахикардии [по этим причинам ее обозначают также как «верапамил-чувствительную желудочковую тахикардию», а внутривенное применение верапамила служит не только способом устранения пароксизмов, но и своеобразным диагностическим лекарственным тестом, надежно подтверждающим именно такой механизм тахикардии];
- наличие отчетливого анатомического субстрата в виде заднее-нижней ветви левой ножки пучка Гиса, как участника цепи re-entry, обеспечивает высокую эффективность применения радиочастотной катетерной аблации при этой форме тахикардии. Поскольку фасцикулярная левожелудочковая тахикардия чаще выявляется у лиц, не имеющих признаков органического заболевания сердца, она принципиально отличается других пароксизмальных желудочковых тахикардий существенно менее выраженной тяжестью клинических проявлений во время приступа, отсутствием риска трансформации в фибрилляцию желудочков и, соответственно, мало значима для прогноза жизни. Лишь в тех редких случаях, когда эта форма ЖТ развивается у пожилых пациентов со значимой кардиальной патологией, ее клинические проявления и значимость для прогноза жизни становятся сопоставимы с классической мономорфной ЖТ.
Объем обследования
Как и у больных с классической мономорфной ЖТ, для оценки количественных и качественных проявлений желудочковой эктопической активности, всем больным с фасцикулярной левожелудочковой тахикардией показано проведение 24-часового ХМ ЭКГ. В тех случаях, когда спонтанные пароксизмы не удается зарегистрировать с помощью стандартной ЭКГ или ХМ ЭКГ, показано проведение внутрисердечного ЭФИ с целью диагностической индукции этой формы нарушений ритма сердца. Всем больным показано проведение ЭХО КГ с целью оценки размеров полостей сердца и их функции, оценки состояния клапанного аппарата сердца, оценки толщины миокарда, исключения или подтверждения его гипертрофии. В подавляющем большинстве случаев обследование в этом объеме является достаточным. Лишь при наличии клинических признаков артериальной гипертонии, хронической ИБС, первичных заболеваний миокарда или других форм сердечно-сосудистой патологии проводится дополнительное обследование, в соответствии с существующими рекомендациями.
Желудочковая тахикардия (ЖТ)
Желудочковая тахикардия это ≥ 3 последовательных желудочковых комплексов с частотой ≥ 120 ударов в минуту. Симптомы зависят от длительности и могут варьировать от их полного отсутствия до ощущения сердцебиения, коллапса гемодинамики и смерти. Диагностируется по электрокардиографии. Лечение продолжительных эпизодов проводится посредством кардиоверсии или антиаритмиков, в зависимости от симптомов. При необходимости проводится долгосрочное лечение посредством имплантируемого кардиовертера-дефибриллятора.
Некоторые эксперты используют для верификации желудочковой тахикардии (ЖТ) частоту ритма ≥ 100 ударов в минуту. Повторяющиеся желудочковые ритмы с меньшей частотой называются ускоренными идиовентрикулярными ритмами, или медленной ЖТ; как правило, они являются благоприятными и не требуют лечения при отсутствии клинической симптоматики.
Большинство пациентов с ЖТ имеют значимое заболевание сердца, в частности перенесенный инфаркт миокарда Острый инфаркт миокарда (ИМ) Острое поражение миокарда - это миокардиальный некроз в результате резкой обструкции коронарной артерии. Симптоматика данных состояний включает дискомфорт в грудной клетке, сопровождающийся. Прочитайте дополнительные сведенияЖелудочковая тахикардия может быть мономорфной и полиморфной, а также неустойчивой и устойчивой.
Мономорфная ЖТ: одиночный патологический фокус или механизм риентри и регулярные, идентичные по морфологии QRS комплексы
Полиморфная ЖТ: нескольких различных фокусов или дополнительных путей и неправильной формы QRS комплексы
Неустойчивая ЖТ: длится < 30 секунд
Устойчивая ЖТ: продолжительность ≥ 30 секунд или меньше вследствие гемодинамического коллапса
ЖТ часто переходит в фибрилляцию желудочков Фибрилляция желудочков (ФЖ) Фибрилляция желудочков вызывает нескоординированное дрожание желудочков с отсутствием эффективного сокращения. Она вызывает незамедлительное синкопе и смерть в течение нескольких минут. Лечение. Прочитайте дополнительные сведенияСимптомы и признаки желудочковой тахикардии
Короткая по длительности или с медленной частотой желудочковая тахикардия может быть асимптомной. Устойчивая ЖТ почти всегда симптомная, вызывающая сердцебиения, симптомы недостаточности гемодинамики или внезапную сердечную смерть.
Диагностика желудочковой тахикардии
Диагноз желудочковой тахикардии устанавливается по ЭКГ (см. рисунок Желудочковая тахикардия с широкими QRS Желудочковая тахикардия с широкими QRS. ). Любая тахикардия с широкими QRS комплексами (QRS ≥ 0,12 секунды) должна рассматриваться как ЖТ пока не доказана другая тахикардия.
Диагноз подтверждается при наличии на ЭКГ диссоциации зубцов Р, сливных комплексов или наджелудочковых «захватов», униформности векторов QRS в грудных отведениях (конкордантности) с дискордантным вектором Т-волны (противоположные векторы QRS), и расположении оси QRS во фронтальной плоскости в северо-западном квадранте. Дифференциальный диагноз проводится с суправентрикулярной тахикардией Пароксизмальная суправентрикулярная тахикардия (СВТ), включая синдром Вольфа-Паркинсона- Уайта В возникновении наджелудочковых тахикардий по механизму риентри (НЖТ) участвуют электрические проводящие пути, расположенные выше бифуркации пучка Гиса. У пациентов возникают эпизоды внезапного. Прочитайте дополнительные сведения из-за блокады ножек пучка Гиса или через дополнительный путь проведения (см. рисунок Модифицированные критерии Бругада для желудочковой тахикардии Модифицированные критерии Бругада для желудочковой тахикардии ). Однако по причине того, что некоторые пациенты переносят ЖТ удивительно хорошо, заключение о том, что хорошо переносимая тахикардия с широкими комплексами, вероятно, является суправентрикулярной, является ошибкой. Использование лекарств, подходящих для лечения суправентрикулярной тахикардии (например, верапамил, дилтиазем) у пациентов с ЖТ, может вызвать гемодинамический коллапс и смерть.
Здравый смысл и предостережения
По причине того, что некоторые пациенты переносят желудочковую тахикардию удивительно хорошо, ошибочным является заключение о том, что хорошо переносимая тахикардия с широкими комплексами, вероятно, является суправентрикулярной.
Блог по ЭКГ
Блог по ЭКГ

четверг, 8 августа 2013 г.
Идиопатическая фасцикулярная левожелудочковая тахикардия.
(так же известна, как Фасцикулярная тахикардия, Belhassen-тип ЖТ, Верапамил-чувствительная ЖТ, Интрафасцикулярная тахикардия, Септальная желудочковая тахикардия, Желудочковая тахикардия с узкими комплексами).
Фасцикулярная тахикардия является самой частой формой идиопатической ЖТ из левого желудочка. Это ре-ентри тахикардия, типичная для пациентов молодого возраста без структурных изменений сердца. Верепамил является первой линией терапии.
Только 10% всех случаев ЖТ происходят в отсутствии структурных изменений сердца, они назваются идиопатическими ЖТ. Большинство идиопатических ЖТ (75-90%) берет свое начало в правом желудочке, к примеру, тахикардия из выносного тракта ПЖ. Фасцикулярная ЖТ является наиболее распространенным типом идиопатической ЖТ, берущей начало в левом желудочке (10-15% всех идиопатических ЖТ).
Обычно выявляются у молодых здоровых пациентов (15-40 лет; 60-80% мужчины). Большинство эпизодов случаются во время отдыха, но могут возникать и при физической нагрузка, стрессе, приеме бета-агонистов.
NB. Подобный паттерн ЭКГ фасцикулярной тахикардии может также наблюдаться при интоксикации дигоксином, но в этом случае механизмом является повышенный автоматизм в области пучков Гиса.
Электрокардиографические особенности.
1) Мономорфная желудочковая тахикардия, в том числе наличие сливных комплексов, АВ-диссоциации, желудочковых захватов.
2) Длительность QRS 100 – 140 ms — уже, чем при других формах ЖТ.
3) Короткий интервал RS (от начала зубца R до самой нижней части зубца S) 60-80 мс — интервал RS обычно > 100 мс при других типах ЖТ.
4) Паттерн блокады ПНПГ.
5) Отклонение оси сердца зависит от анатомического расположения пути ре-ентри.
Классификация.
Фасцикулярная тахикардия может классифицироваться на основе морфологии ЭКГ, соответствующей анатомическому расположению пути ре-ентри:
1. Задняя фасцикулярная ЖТ (90-95% случаев): форма блокады ПНПГ + отклонение оси сердца влево; очаг в заднем левом пучке.
2. Передняя фасцикулярная ЖТ (5-10% случаев): форма блокады ПНПГ + отклонение оси сердца вправо; очаг в переднем левом пучке.
3. Верхне-септальная фасцикулярная ЖТ (редкая форма): атипичная морфология – обычно форма блокады ПНПГ, но иногда может напоминать форму блокады ЛНПГ; случаи с узкими QRS и нормальной осью также были отмечены. Очаг в верхне-септальном отделе ЛНПГ.

Диагностика и ведение.
Диагностика является сложной из-за сходства ритма с наджелудочковой тахикардией с блокадой ПНПГ; диагноз строится на наблюдении специфических особенностей ЖТ, таких как захваты/сливные комплексы, АВ-диссоциация.Идиопатическая фасцикулярная ЖТ может быть заподозрена также по сложности ответа на лечение - часто не отвечает на аденозин, вагусные приемы, лидокаин. Однако, характеризуется хорошим ответом на введение верапамила.
Дигоксин-индуцированная фасцикулярная ЖТ отличается ответом на введение антител к дигоксину.
| Задняя фасцикулярная левожелудочковая тахикардия. Желудочковый захват. |
Использованная литература:
2. Indian Pacing Electrophysiol J. 2004 Jul-Sep; 4(3): 98–103. Idiopathic Fascicular Ventricular Tachycardia.
3.Emerg Med J 2002;19:477-478 doi:10.1136/emj.19.5.477 Fascicular tachycardia: uncommon or just unrecognised?
4. Pacing Clin Electrophysiol. 2002 Nov;25(11):1555-60. Primary radiofrequency ablation for incessant idiopathic ventricular tachycardia.
Читайте также:
