Лимфома кишечника в колопроктологии
Добавил пользователь Евгений Кузнецов Обновлено: 29.01.2026
Лимфома кишечника в колопроктологии
• Заболеваемость: наиболее распространенной локализацией для экстранодальной неходжкинской лимфомы является ЖКТ; 1-4% от всех опухолей ЖКТ (в основном желудок и вся тонкая кишка), только 0,2-0,5% локализуется в ободочной (слепой) и прямой кишке; соотношение мужчины/женщины - 2:1.
• Причины: часто неизвестны; наиболее распространенной причиной является вирусная инфекция, например, инфицирование вирусом Эпштейна-Барра (EBV) в сочетании с иммунодефицитом (например, ВИЧ/СПИД, хронический прием стероидов и т.д.).
• Сопутствующие заболевания: ВИЧ, иммуносупрессия (например, ВЗК, трансплантация).
• Вид: диффузная инфильтративная опухоль с различной степенью изъязвления, различных размеров, суживающая просвет и утолщающая стенку кишки => симптомы со стороны ЖКТ (боль, кровотечение, обструкция, инфильтрат и т.д.), В-симптомы (лихорадка, потеря веса, потливость). Редкая форма: лимфоматозный полипоз.
• Подтип В-клеточные лимфомы (85%): лимфома из лимфоидной ткани, ассоциированной со слизистыми оболочками (MALT), лимфома из клеток мантийной зоны, В-клеточная лимфома Беркитта, Т-клеточная лимфома (15%).
• Лечение лимфомы кишечника: при ограниченной лимфоме и возможности выполнить резекцию без инвалидизации => операция; во всех других случаях => химио- и иммунотерапия. MALT-лимфома => пробная противоинфекционная терапия.
• Прогноз лимфомы кишки: хороший, риск перфорации, индуцированной химиотерапией, составляет 5%.
А - типичный вид лимфомы двенадцатиперстной кишки при исследовании методом двойного контрастирования с барием: видны увеличенные складки двенадцатиперстной кишки
Б - крошечные округлые узелки в луковице двенадцатиперстной кишки образовались вследствие гиперплазии бруннеровых желез. Такую же картину может давать лимфоидная гиперплазия двенадцатиперстной кишки.
В - многочисленные крошечные округлы узелки в луковице двенадцатиперстной кишки образова лись вследствие лимфоидной гиперплазии. Такая же картина возможн при гиперплазии бруннеровых желез А - высокая бариевая клизма. Полостная форма лимфомы. На брыжеечном крае петли тощей кишки заметна большая полость, заполненная барием (толстая стрелка). На брыжеечном крае представлены гладкие большие узлы (открытые стрелки). Утолщенные складки расходятся к полости (тонкие стрелки)
Б - компьютерная томограмма. Первичная лимфома тонкой кишки проявляется в виде утолщенных складок. Очаговое утолщение складок наблюдается в середине тощей кишки (показано стрелкой)
В - компьютерная томограмма. Аневризматическая форма лимфомы. Просвет кишечной петли окружен однородной толстостенной опухолью (показано стрелкой)
Г - высокая бариевая клизма больного с рисунка Б несколькими днями позже. Значительное утолщение складок (большая стрелка) в отдельной кишечной петле. Сочетание увеличенных складок со складками нормальной ширины (маленькая стрелка)
Редактор: Искандер Милевски. Дата обновления публикации: 18.3.2021
Информация на сайте подлежит консультации лечащим врачом и не заменяет очной консультации с ним.
См. подробнее в пользовательском соглашении.
Возможности УЗИ при опухолях прямой кишки и контроль за их лечением на примере случая лимфосаркомы нижнеампулярного отдела прямой кишки
Городская клиническая больница N24, Московский городской центр колопроктологии, кафедра хирургии и колопроктологии ФПДО МГМСУ,
Москва, Россия.

УЗИ аппарат RS85
Революционные изменения в экспертной диагностике. Безупречное качество изображения, молниеносная скорость работы, новое поколение технологий визуализации и количественного анализа данных УЗ-сканирования.
Введение
Остается актуальным вопрос диагностики опухолей из клеток лимфатического ряда, которые составляют самую многочисленную группу среди гематосарком.
Различают два типа злокачественных лимфом - болезнь Ходжкина (лимфогранулематоз) и неходжкинская лимфома.
Первые возникают из незрелых лимфоцитов и подвергаются злокачественной трансформации до того, как происходит их дифференциация на типы В и Т, а разные подтипы болезни Ходжкина образуются из различных клеток-предшественников [1, 2].
В большинстве случаев у взрослых неходжкинские лимфомы развиваются из В-лимфоцитов и лишь в 15 % - из Т-лимфоцитов [3]. Болезнь Ходжкина чаще встречается у пожилых. Этому заболеванию больше подвержены мужчины, чем женщины [4]. Та же зависимость часто ты заболевания от возраста и половой принадлежности отмечается и у пациентов с неходжкинскими лимфомами [5].
Этиология злокачественных лимфом до сих пор неизвестна. Некоторые авторы полагают, что возникновение болезни Ходжкина тесно связано с инфицированием вирусом Эпштейна-Барр. Это основано на том, что, во-первых, у пациентов, инфицированных мононуклеозом, отмечался повышенный риск заболевания лимфомой 7, во-вторых, при болезни Ходжкина обнаруживается повышенный уровень титра антител к вирусу Эпштейна-Барр 11. Однако до сих пор не ясно, играет ли вирус Эпштейна-Барр ключевую роль в развитии заболевания или его одновременное обнаружение при лимфогранулематозе является следствием сниженного иммунитета [11]. Также была выявлена взаимосвязь между болезнью Ходжкина и некоторыми лейкоцитарными анти генами [12].
У пациентов с первичными иммунодефицитными состояниями, а также у получающих иммуносупрессивные препараты отмечали повышенный риск возникновения неходжкинских лимфом [3,13,14]. Установлено, что при воздействии на организм человека различных токсинов, пестицидов, растворителей, некоторых красителей для волос, ряда химиотерапевтических препаратов, а также при обработке дерева возрастает риск возникновения неходжкинских лимфом [15].
Отмечено, что прогноз при Т-клеточной лимфоме хуже, чем при В-клеточной [16].
При болезни Ходжкина наиболее часто наблюдается надключичная и медиастинальная лимфаденопатия. При неходжкинских лимфомах патологический процесс развивается вне лимфатических узлов (20-35%). Среди них в большинстве случаев заболевание приобретает диффузную форму. При экстранодальной форме неходжкинских лимфом в патологический процесс чаще вовлекаются область головы и шеи, а также желудочно-кишечный тракт [17].
Первичные лимфомы кишечника наиболее характерны для неходжкинских лимфом, однако иногда они могут быть и проявлениями болезни Ходжкина. В большинстве случаев при расположении лимфомы в тонкой кишке и крупных размерах опухоли происходят нарушения всасывания.
Поражения желудочно-кишечного тракта могут быть первичными и вторичными. Наиболее частая локализация новообразований - желудок и тонкая кишка. Толстая кишка вовлекается в патологический процесс редко, еще реже поражается пищевод. Опухоли в кишечнике преобладают у жите лей Среднего Востока и у детей (около 1/3 всех случаев). Опухоли тонкого кишечника, хотя и могут приводить к нарушениям его проходимости, в основном обнаруживаются при уточнении причины нарушения всасывания.
Экстранодальные лимфомы - это новообразования, расположенные за пределами лимфоретикулярной системы, т. е. в тканях, иных, чем лимфатические узлы, селезенка, печень или костный мозг. Заболевание относится к категории экстранодальных лимфом, если только один орган или орган и дренирующий его лимфатический узел вовлечены в патологический процесс. Периферическая кровь при этом должна быть нормальной, и приблизительно за период от 3 месяцев до года после постановки диагноза не должны отмечаться признаки диссеминации.
Экстранодальные лимфомы и лимфоретикулярные инфильтраты могут появиться в любом органе. Наиболее часто они обнаруживаются в пищеварительном и дыхательном трактах, реже в коже и репродуктивных органах. Около 1/4 злокачественных лимфом возникает эктсранодально.
Местное облучение (с локальной хирургией где необходимо) может дать положи тельный эффект с возможностью выживания пациента в течение 5 лет, особенно, если поражение ограничено и отсутствуют признаки регионарного распространения.
Лимфомы в толстой кишке наблюдаются значительно реже, чем в других отделах кишечника и несравнимо реже, чем карцинома этого отдела. При объективном обследовании определяется опухоль или дефект наполнения в слепой кишке или (реже) в ректосигмоидальной области. В большинстве случаев новообразование имеет вид ограниченной опухоли, выдающейся в просвет кишки. Иногда опухоли бывают множественными. Выживаемость пациентов в течение 5 лет при локальной форме составляет 55% [19, 20].
Описание случая
Больной 70 лет поступил в клинику с жалобами на частые ложные позывы на дефекацию. Считает себя больным в течение полугода, т. е. с момента, когда впервые обратил внимание на дискомфортное состояние. В поликлинике по месту жительства постав лен диагноз: рак прямой кишки, в связи с чем он был направлен в Московский городской центр колопроктологии (ГКБ N24).
Общее состояние больного удовлетвори тельное. Со стороны дыхательной и сердечно-сосудистой систем отклонений от нормы не выявлено.
При наружном осмотре изменений в области тканей промежности не обнаружено.
Тонус сфинктера не нарушен. Геморроидальные узлы увеличены. При пальцевом исследовании на 4 см от ануса выявлена плотная циркулярная опухоль прямой кишки, фиксированная к крестцу и боковым стенкам таза.
При проведении ректороманоскопии на высоте 4 см от ануса обнаружено сужение просвета прямой кишки до 2 см. Слизистая оболочка прямой кишки в зоне сужения без изменений. Осмотреть вышележащие отделы прямой кишки из-за сужения ее просвета не удалось. При ирригоскопии на том же уровне определялся дефект наполнения протяженностью 7 см. В других отделах толстой кишки патологии не выявлено.
В результате клинического обследования вынесено заключение: объемное образование в полости малого таза. В процесс вовлечена прямая кишка. Выражено ее сужение. Так как слизистая оболочка прямой кишки не была поражена, был исключен диагноз рака кишки, и считалось необходимым провести дифференциальный диагноз между саркомой, лимфомой и воспалительной опухолью, т.е. индуративным хроническим парапроктитом. В объеме дополнительных исследований выполнено эндо ректальное ультразвуковое исследование с последующим контролем над эффективностью проводимого лечения. Исследование выполнялось на УЗ-сканере SА-5500 компании MEDISON c использованием полостного высокочастотного механического датчика с номинальной рабочей частотой 7,5 МГц. Пациент в положении на левом боку с согнутыми в тазобедренных и коленных суставах ногами.

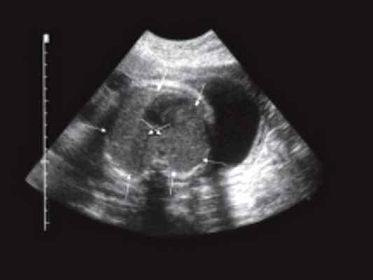
а) Опухоль в стенке прямой кишки и клетчатке на уровне предстательной железы. Слева от опухоли в клетчатке увеличенный гипоэхогенный лимфатический узел.

б) Опухоль на уровне семенных пузырьков. Изображение перевернуто, цифры 6 и 12 обозначают положение датчика по отношению к передней (12 часов) и задней (6 часов) стенкам прямой кишки.

в) Опухоль на уровне семенных пузырьков.
1 - стенка кишки; 2 - опухоль; 3 - параректальная клетчатка; 4 - надкостница крестца; 5 - слизистый слой кишки.
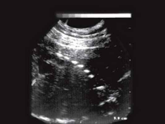
Рис. 2. Эндоректальные ультрасонограммы при контрольном осмотре спустя 1,5 года после начала лечения.

а) На уровне предстательной железы.

На уровне семенных пузырьков.
При трансректальном ультразвуковом исследовании (ТРУЗИ) датчик был проведен на 15 см от анального канала, были осмотрены стенки прямой кишки и параректальная клетчатка. Установлено, что анальные сфинктеры обычной структуры. На высоте 4 см от ануса преимущественно по задней стенке определялась опухоль (рис. 1а) 5,2х4,0х7,0 см низкой эхогенности с мелкоточечными множественными гиперэхогенными включения ми. Контуры опухоли неровные, границы нечеткие. Слизистая оболочка прямой кишки в зоне опухоли не изменена, представлена гиперэхогенным слоем. Отмечалась выраженная инфильтрация опухолью параректальной клетчатки, доходящая практически до надкостницы крестца (рис. 1 б, в). Наряду с этим в непосредственной близости от основной опухоли в параректальной клетчатке определялись гипоэхогенные образования с неровными контурами, которые были расценены как депозиты опухоли (см. рис. 1а). Кроме того, в параректальной клетчатке вы явлены два гипоэхогенных образования округлой формы с ровными четкими контура ми 1,4х1,3х1,4 и 1,0х1,0х1,1 см, которые представляли собой увеличенные лимфатические узлы. Дано заключение о наличии опухоли прямой кишки, исходящей из ее внутренних слоев, прорастающей до надкостницы крестца.
Выполнена пункционная биопсия. При микроскопическом исследовании биопсийного материала выявлено, что кусочки опухолевой ткани имеют строение периферической мелкоклеточной В-клеточной лимфомы.
Заключительный диагноз: периферическая мелкоклеточная В-клеточная лимфома прямой кишки.
При данной патологии хирургические методы лечения нецелесообразны. Предпочтение отдается химиотерапевтическому лечению.
В течение последующих 3 месяцев в Российском онкологическом научном центре РАМН проведено два курса химиотерапевтического лечения с ярко выраженным положительным эффектом. В результате достиг нута полная резорбция опухоли. В настоящее время состояние больного остается удовлетворительным.
Спустя 1,5 года после начала терапии при контрольном ТРУЗИ стенки прямой кишки имели обычное строение, элементов опухоли не определялось (рис. 2).
Заключение
Одной из основных задач эхографии является возможность определения характера объемного образования, его взаимоотношения с окружающими органами и тканями.
В выполненном исследовании основной отличительной особенностью данной опухоли от аденокарциномы прямой кишки явилась визуализация неизмененного гиперэхогенного слизистого слоя между поверхностью датчика и самой опухолью.
При неизмененной слизистой оболочке прямой кишки и наличии опухолевидного образования в толще ее стенки, кроме лимфосаркомы следует думать о такой патологии, как лейомиосаркома, липома, ангиома, гемангиоэпителиома прямой кишки, воспалительные заболевания. Для липом и сосудистых опухолей характерна более высокая эхогенность, чем при лимфосаркоме. Для лейомиосаркомы характерна низкая эхогенность, но более четкие и ровные контуры [20]. Острые парапроктиты (рис. 3) в стадии инфильтрации имеют более высокую эхогенность и звукопроводимость, неоднородную внутреннюю структуру, а после формирования капсулы они становятся практически анэхогенными, четко отграниченными от окружающих тканей.

Рис. 3. Задний подковообразный острый парапроктит. В отличие от лимфосаркомы имеются четкие контуры образования, расположенного кзади от стенок прямой кишки, хорошо видны плотные стенки, дистальное усиление эхосигнала.
Результаты гистологического исследования дают основания предположить, что эта опухоль возникла из лимфатического узла параректальной клетчатки и распространилась за его пределы. В связи с тем, что рост опухоли происходил в сторону просвета прямой кишки, создавалось ложное впечатление о возникновении патологического процесса из ее стенки. Однако выявление при ТРУЗИ и ректороманоскопии нормальной слизистой позволило исключить первичное поражение этого органа.
В заключение следует отметить, что правильный диагноз лимфомы прямой кишки представляет довольно сложную задачу. Однако при интенсивном опухолевом росте в параректальной клетчатке с поражением стенок прямой кишки, низкой эхогенности опухоли при одновременном отсутствии поражения со стороны слизистой можно вы сказать предположение о наличии лимфо саркомы прямой кишки.
Литература
- The cell origin in Hodgkin's disease / V. Diehl, C. vonKalle et al. // Semin Oncol.17 :660672, 1990.
- Slivnik D.J., Nawrocki J.F. Immunology and cellular biology of Hodgkin's disease // Hematol Oncol Clin N AM 3:205220. 1989.
- DeVita V.T., Jaffe E.S. Lymphocytic lymphomas: In DeVita VT, Hellman S, Rosenberg SA (eds.) Cancer. Principles and practice of oncology, ed 3.
- Cantor K.P., Fraumeni J.F. Distribution of non Hodgkin's lymphomas in the US between 1950 and 1975 // Cancer Res. 40:26452652, 1980.
- MacMahon B. Epidermiological evidence of the nature of Hodgkin's disease, Cancer 10:10451054, 1957.
- Miller R.W., Beebe G.W. Infectious mononucleosis and the empirical risk of cancer // J. NCI. 50: 315321, 1973.
- Connoly R.R., Christene B.W. A cohort study of cancer following infectious mononucleosis //Cancer Res 34:11721178, 1974.
- Rosdahl R.R., Larsen S.O., Clemmensen J. Hodgkin's disease in patients with previous mononucleosis, 30 years experience //Br. Med. J. 2:253256, 1974.
- Antibodies to EpsteinBarr virus in patients withHodgkin's disease and leukemia / T.Gottlied Stemansky, A. Vonsover, B. Ramot et al. //Cancer 36: 16401645, 1975.
- Evans A.S., Gutensohn N.M. A populationbased casecontrol study of EBVand other viral antibodies among persons with Hodgkin's disease and their siblings // Int. J. Cancer 34 149157, 1984.
- Hodgkin's disease and EpsteinBarr virus. Altered antibodies pattern before diagnosis / N. Mueller, A. Evans, N.L. Harris, et al. // N. Engl.I. Med. 320:689695, 1989.
- Prazak J. Hermanska Z. Study of HLA antigens in patients with Hodgkin's disease // Eur. J. Haematol 43: 5053, 1989.
- Penn I. The incidence of malignancies in transplant recipients // Transplant Proc 7: 323, 1975.
- Posttransplant malignant lymphoma. Distinctive morphologic features related to its pathogenesis / A.J.Matas, B.F.Hertel, J.Rosai et al. // Am. J. Med. 61:716, 1976.
- Increasing incidence of nonHodgkin's lymphomas / C.S.Rabkin, S.S.Devesa, S.H.Zahm, M.H. Gail // Semin. Hematol. 30: 286296, 1993.
- Armitage J.O. Treatment of nonHodgkin's lymphoma // NEJM 328: 10231030, 1993.
- Foucar K. Incidence and patterns of bone marrow and blood involvement by lymphoma in relationship to the LukesKollins classification // Blood 54:1417 1422, 1979.
- Руководство по гематологии под ред. А.И. Воробьева, Ю.И. Лорие, M., 1979.
- Карр Я., Хэнкок Б., Хенри Л., Уорд А. Лимфоретикулярные болезни, 1980.
- A. Shirkhoda, B.L. Madrazo. Pelvic ultrasound, 1993.

УЗИ аппарат RS85
Революционные изменения в экспертной диагностике. Безупречное качество изображения, молниеносная скорость работы, новое поколение технологий визуализации и количественного анализа данных УЗ-сканирования.
Лимфома

Лимфома – онкологическое заболевание, при котором источником злокачественного опухолевого роста становится лимфоидная ткань. Диагностикой и лечением занимаются онкологи и онкогематологи.
Лимфома характеризуется неуклонно прогрессирующим течением, протекая в начале практически бессимптомно, с неспецифической неярко выраженной симптоматикой. Важно диагностировать любую из лимфом на ранней стадии патологического процесса – это облегчит лечение и улучшит прогноз. Именно поэтому при появлении нетипичных состояний следует обращаться за помощью к профессионалам – врачам сети медицинских центров «СМ-Клиника». Наши специалисты проверят диагноз и порекомендуют вам эффективную схему лечения лимфомы.
О заболевании
Пациентов, столкнувшихся впервые с данной патологией, несомненно, волнует вопрос, что же это за болезнь – лимфома. Этим термином обозначают целую группу опухолевых заболеваний, характеризующихся бесконтрольным ростом клеток лимфатической системы, увеличением числа патологически измененных лимфоцитов. Такие новообразования поражают лимфатические узлы, печень, селезенку и другие органы, особенно те, в которых имеется хотя бы небольшое количество лимфоидной ткани. На поздних стадиях страдают и органы, не имеющие прямого отношения к лимфосистеме, сдавливающиеся увеличенными лимфатическими узлами извне. Неспецифические признаки лимфомы нередко становятся причиной поздней диагностики, которая значительно ухудшает прогноз пациента к выздоровлению. Внимательное отношение к собственному здоровью и здоровью своих близких поможет вам вовремя обнаружить лимфому и начать столь необходимое лечение.
Виды лимфом
Согласно современной классификации, все лимфомы делятся на две группы:
- Лимфогранулематоз, или лимфома Ходжкина – злокачественное новообразование, при котором в лимфатических узлах обнаруживаются гигантские опухолевые клетки – клетки Березовского-Штернберга-Рида. Чаще источником становятся шейные или надключичные лимфоузлы.
- Неходжкинские лимфомы – объединяют в себе более 30 заболеваний, встречаются чаще (в 60% случаев данной патологии).
По тяжести течения различают 4 стадии лимфомы:
- I – злокачественными клетками поражены лимфоузлы одной области тела;
- II – патологический процесс затрагивает две и более групп лимфатических узлов выше или ниже диафрагмы;
- III – в онкопроцесс вовлечены лимфоузлы с обеих сторон диафрагмы (и выше, и ниже ее, например, шейные и паховые); также может быть поражена селезенка, участки тела вне лимфоузлов или иметь место сразу оба варианта;
- IV – определяется поражение лимфатических узлов разных частей организма, органов вне лимфатической системы.
Симптомы лимфомы
Проявления болезни зависят от места образования, типа лимфомы и других факторов. Наиболее характерный симптом – увеличение одного или нескольких лимфатических узлов, которое легко обнаружить путем пальпации или при визуальном осмотре. Увеличение внутригрудных лимфоузлов удается заподозрить по ряду косвенных признаков или с помощью дополнительных методов исследования. Ранние стадии болезни часто не имеют симптомов и обнаруживаются случайно во время плановых обследований.
Пациент, страдающий лимфомой, может обратить внимание на такие изменения в своем состоянии:
- увеличение поверхностных лимфатических узлов – они заметны визуально или прощупываются пальцами, эластичны, безболезненны;
- повышение температуры тела без видимых причин;
- постоянная усталость, слабость, быстрая утомляемость;
- головная боль, головокружение;
- повышенная потливость (особенно ночью);
- одышка, затруднение вдоха, ощущение неполного вдоха;
- необъяснимое похудение;
- чувство беспокойства, эмоциональная неустойчивость, нарушение сна;
- перепады настроения.
При активном распространении опухолевых лимфоцитов в организме пациенты чаще всего жалуются на лихорадку, ночную потливость, слабость и уменьшение массы тела. Если новообразование формируется в отдельном органе, возникают более специфические симптомы, характеризующиеся нарушением его функции, например, затруднения дыхания, проблемы с пищеварением, боли в животе.
Причины лимфомы
Точные причины возникновения лимфом неизвестны. Отдельные лимфоциты могут начать делиться бесконтрольно под влиянием внешних или внутренних неблагоприятных факторов – генетических мутаций или воздействия химических веществ. Ученые отмечают важную роль наследственности в развитии болезни.
Обнаружена связь между развитием лимфом и воздействием на организм следующих факторов риска:
- Инфекционные заболевания, влияющие на состояние иммунитета и лимфатическую систему – ВИЧ-инфекция, вирус Эпштейна-Барра и гепатит C. Предполагается, что бактерия Helicobacter pylori, вызывающая язвенную болезнь желудка, также может спровоцировать рост лимфомы.
- Особенности образа жизни человека: употребление избыточного количества красного мяса, курение, алкоголизм и чрезмерное воздействие солнечного света на кожу.
- Врожденные или приобретенные иммунодефициты. Пациенты, перенесшие пересадку костного мозга, имеют повышенный риск возникновения лимфомы.
- Химические вещества. Доказано, что ряд химикатов провоцирует опухолевое деление лимфоцитов. В первую очередь речь об инсектицидах, гербицидах и цитостатических препаратах.
- Аутоиммунные заболевания, при которых защитная система организма атакует здоровые ткани.
Только в редких случаях врачам удается уточнить причину возникновения болезни у конкретного пациента.
Получить консультацию
Если у Вас наблюдаются подобные симптомы, советуем записаться на прием к врачу. Своевременная консультация предупредит негативные последствия для вашего здоровья.
Узнать подробности о заболевании, цены на лечение и записаться на консультацию к специалисту Вы можете по телефону:

Почему «СМ-Клиника»?
Диагностика лимфомы в «СМ-Клиника»
В начале диагностического процесса врач расспрашивает пациента о жалобах и изучает данные анамнеза для выявления факторов риска болезни. Затем он проводит общий осмотр, во время которого ощупывает (пальпирует) лимфатические узлы и ищет другие внешние признаки заболевания. Точный диагноз может быть поставлен только после уточняющих лабораторных и инструментальных обследований.
Взрослым пациентам с признаками и симптомами лимфомы могут быть назначены:
- Анализ крови – общий (клеточный состав) и биохимический (печеночные и почечные ферменты, онкомаркеры, ПЦР-диагностика инфекций).
- Пункционная биопсия пораженных лимфатических узлов или иных тканей с последующим цито- и гистологическим исследованием полученного материала. Наиболее надежный и точный метод диагностики.
- Ультразвуковое обследование подкожных лимфатических узлов, печени, селезенки или других органов – в зависимости от локализации новообразований.
- Компьютерная или магнитно-резонансная томография. Высокоинформативные, надежные методы визуальной диагностики, результаты которых представляют качественные послойные изображения органов и тканей.
Результаты дополнительных методов исследования позволяют гематоонкологу верно оценить стадию заболевания, обнаружить вторичные новообразования в других органах, а на основании этих данных – назначить пациенту наиболее эффективную в его ситуации схему терапии.
Мнение эксперта
Как врач, часто сталкивающийся с лимфомами, могу сказать, что многие пациенты, обнаружив увеличенные лимфоузлы, не спешат к врачу. Сначала они занимаются самолечением – прикладывают к подкожным образованиям теплые компрессы или, напротив, лед, обрабатывают растворами антисептиков и используют иные методы народной медицины. Этого делать нельзя! Даже если причина увеличения лимфоузлов не лимфома, а инфекция, неправильные действия со стороны больного могут усугубить процесс, утяжелить течение болезни. А при лимфоме тепло, воздействующее на новообразование, приведет к ускоренному размножению злокачественных клеток и распространению их по организму с образованием удаленных очагов опухоли. Нельзя заниматься самолечением! Первым делом надо выяснить природу симптоматики, обратившись к грамотному врачу, и только потом начинать терапию.

Лечение
Схему лечения лимфомы врач подбирает в каждом случае индивидуально, в зависимости от конкретной клинической ситуации, тяжести состояния пациента. Задача лечебных мероприятий – уничтожить максимальное количество злокачественных клеток, достичь ремиссии. Гематоонкологи сети медицинских центров «СМ-Клиника» применяют в своей практике наиболее эффективные, современные лекарственные средства и постоянно следят за состоянием пациента путем регулярных осмотров его и проведения обследований.
Консервативное лечение
Пациенту с лимфомой в «СМ-Клиника» могут быть назначены такие варианты терапии:
- Химиотерапия – лечение с применением цитостатиков (лекарственных препаратов, уничтожающих злокачественные клетки и предотвращающих дальнейший рост опухоли). Пациент получает медикаменты внутривенно или внутрь. Химиотерапию проводят в несколько циклов и перерывами между ними, позволяющими организму человека восстановиться. Даже после достижения ремиссии курсы химиотерапии продолжаются, что позволяет достичь максимального результата. Во время лечения врач внимательно следит за состоянием пациента и при наличии побочных эффектов препаратов назначает корректирующую их терапию.
- Медикаментозное лечение. Иммунотерапия и препараты гормонов воздействуют на некоторые виды злокачественных лимфоцитов, угнетая их размножение и рост, уменьшая размер опухоли.
- Лучевая терапия – воздействие на пораженные ткани радиацией. Уменьшает размер новообразования и облегчает симптомы болезни. Как правило, применяется вместе с химиотерапией.
При неэффективности вышеуказанных методов консервативного лечения пациенту могут быть рекомендованы трансплантация костного мозга или введение стволовых клеток.
Хирургическое лечение
При локализации злокачественной опухоли в определенном органе пациенту проводят оперативное вмешательство. В большинстве случаев оно оправдано при новообразованиях желудочно-кишечного тракта. Хирург нашей клиники объяснит пациенту ход операции и назначит обследования для определения точной тактики вмешательства.
В зависимости от области расположения опухоли пациенту может быть проведено открытое вмешательство, эндоскопическая или лапароскопическая операция. Врач стремится полностью удалить пораженные ткани и соседние лимфатические узлы для предотвращения рецидива. Перед началом операции пациенту вводят наркоз, после нее – назначают консервативную терапию.
Профилактика
Специфической профилактики лимфом не разработано. Уменьшить риск развития этой патологии поможет соблюдение следующих рекомендаций:
- ограничение в рационе красного мяса и мясных полуфабрикатов;
- отказ от вредных привычек;
- своевременное лечение инфекций;
- скрининговые обследования при обнаружении факторов риска.
Реабилитация
Больные, которые получают химиотерапию, между ее циклами нуждаются в приеме поддерживающего общеукрепляющего лечения, сбалансированном питании и положительных эмоциях, возможно, в проведении сеансов психотерапии.
Пациенты, получавшие лечение лимфомы, независимо от его результата нуждаются в диспансерном наблюдении у онкогематолога. Лица, достигшие ремиссии болезни, посещают врача сначала каждые три месяца, затем дважды в год – проходят осмотр и дополнительные методы обследования, позволяющие оценить качество ремиссии. Отсутствие рецидивов болезни в течение 5 лет – показатель того, что человек выздоровел и может быть снят с наблюдения.
Опухоли толстой и прямой кишки

Опухоли толстого кишечника
Опухоли толстого кишечника — это доброкачественные либо злокачественные новообразования разной этиологии, которые развиваются из эпителиальной или другой ткани стенок толстой кишки и могут поражать любые ее отделы. Доброкачественные опухоли довольно распространены, по разным данным они выявляются у 16−40% населения. Во многих случаях доброкачественный процесс со временем переходит в злокачественный. Раковые опухоли толстого кишечника занимают третье место среди другой злокачественной патологии пищеварительной системы (после рака желудка и опухолей пищевода).
Среди всей онкопатологии злокачественные опухоли толстого кишечника по частоте уступают только раку легких, раковым новообразованиям в желудке и раку молочной железы. У мужчин заболевания данной группы, особенно злокачественные, выявляют несколько чаще, нежели у женщин. Актуальность опухолей толстого кишечника возрастает с каждым годом, преимущественно в развитых странах северного полушария. Доброкачественные процессы так же опасны, как и злокачественные, поскольку имеют склонность к малигнизации.
Причины опухолей толстого кишечника
Причины, которые приводят к возникновению опухолей толстого кишечника, изучаются давно, но к единому мнению ученые и клиницисты (проктологи, хирурги) так и не пришли. Все сходятся во мнении, что данная группа заболеваний является полиэтиологичной. Риск формирования патологии повышается с возрастом. Большое значение имеет диета, богатая животными белками, жирами и бедная клетчаткой. Такой рацион ведет к частым запорам, дисбалансу кишечной флоры. Содержимое кишечника с высоким содержанием желчных кислот и фенолов, обладающих канцерогенными свойствами, дольше контактирует со стенками, что повышает возможность развития опухолей толстого кишечника. Именно с этим связывают большее распространение опухолей толстого кишечника в развитых странах. Также имеют значение канцерогены, которые содержатся в промышленных консервантах, копченых продуктах.
Немаловажное значение в возникновении опухолей толстого кишечника, как злокачественного, так и доброкачественного характера, имеют воспалительные заболевания. При длительном течении (пять лет и больше) они могут осложняться раком
Классификация опухолей толстого кишечника
Опухоли толстого кишечника делят на доброкачественные и злокачественные, а также на опухоли эпителиального и неэпителиального происхождения. По международной морфологической классификации выделяют следующие эпителиальные доброкачественные опухоли толстого кишечника:
Эпителиальные опухоли самые распространенные, они составляют около 92% всех новообразований, имеют большую склонность к злокачественному перерождению.
Злокачественные опухоли толстого кишечника по характеру роста разделяют на четыре типа:
экзофитно-полиповидные опухоли, которые растут в просвет кишки;
эндофитно-язвенные опухоли, распространяющиеся в стенке кишки, часто дают изъязвления;
диффузно-инфильтративные опухоли (злокачественные клетки имеют диффузное распространение внутри стенок органа);
аннулярные опухоли — растут по окружности кишки.
В двух последних случаях трудно определяются гистологические границы опухолевого процесса, клетки могут проникать в участки, которые на первый взгляд выглядят здоровыми.
При классификации злокачественных опухолей толстого кишечника большое значение имеет стадия процесса. Стадийность определяют с помощью международной общепринятой классификации TNM, где T — это степень прорастания опухоли в ткани, N — наличие или отсутствие метастазирования в регионарные лимфатические узлы, M — отдаленное метастазирование.
Симптомы опухолей толстого кишечника
Доброкачественные опухоли толстого кишечника часто протекают бессимптомно и выявляются случайно. Иногда у больных появляется дискомфорт в животе, неустойчивый стул или кровь в кале.
Раковые опухоли толстого кишечника развиваются достаточно медленно и в самом начале могут клинически не проявляться. Одними из первых симптомов заболевания являются кровотечения и анемия. При опухолях прямой кишки и нижнего отдела сигмовидной кишки кровь алая, не смешивается со слизью. Если патологический процесс затрагивает начальную ободочную кишку — кровь темная, равномерно перемешанная со слизью и калом. Кровотечения при злокачественном процессе в проксимальных отделах очень часто бывают скрытыми и проявляются только анемией.
Кроме кровотечений, при раковых опухолях толстого кишечника у пациентов могут появиться боли в животе, тенезмы, проблемы со стулом. Запоры возникают на поздних стадиях процесса, в запущенных случаях часто развивается кишечная непроходимость. Раковые поражения прямой кишки вызывают у больных ощущение неполного опорожнения, тенезмы. Пациенты жалуются на общую слабость, потерю аппетита, отмечают резкую потерю веса. С прогрессированием болезни увеличивается печень, появляются признаки асцита.
Диагностика опухолей толстого кишечника
Для диагностики опухолей толстого кишечника используют целый ряд методик. При аноскопии и ректороманоскопии обнаруживают опухоли и полипы в прямой кишке, дистальном участке сигмовидной кишки.
После проведения эндоскопии выполняют ирригоскопию с двойным контрастированием путем введения в кишечник воздуха и бариевой взвеси. Методика позволяет выявить опухоли толстого кишечника разного размера; трудности в диагностике могут возникнуть, если процесс локализирован в слепой кишке.
Следующий этап исследования — проведение колоноскопии, которая позволяет выявить небольшие по размеру опухоли толстого кишечника, осмотреть его на всем протяжении. Также с помощью этого метода можно взять биоптат и удалить небольшого размера полипы. Колоноскопия имеет большую чувствительность по сравнению с ирригоскопией, но наиболее достоверные результаты можно получить при использовании эндоскопии и контрастной рентгенографии.
Для выявления метастазов при злокачественных опухолях толстого кишечника используют УЗИ органов брюшной полости, компьютерную томографию, сканирование костной системы, при наличии неврологических симптомов — КТ головного мозга. Опухолевые маркеры имеют скорее прогностическое, чем диагностическое значение. При низкодифференцированных новообразованиях повышается раково-эмбриональный антиген, хотя он не специфичен для этого типа опухолей. Самыми информативными маркерами при выявлении первичных опухолей толстого кишечника считаются маркеры СА-19−9 и СА-50, но при рецидивах они могут и не определяться.
Лечение опухолей толстого кишечника
Единственный действенный метод лечения опухолей толстого кишечника в современной проктологии — хирургический. При небольших доброкачественных процессах без признаков малигнизации проводят удаление новообразования, при множественном поражении — части толстого кишечника.
При злокачественных опухолях толстого кишечника объем операции более радикальный. Удаляют не только новообразование, но и региональные лимфатические узлы, даже если в них не выявлены метастазы. По возможности во время хирургических вмешательств стараются сохранить естественный путь пассажа кишечного содержимого. Если такой возможности нет, выводят колостому на переднюю брюшную стенку. Кроме оперативного лечения, назначают химиотерапию, лучевую терапию.
Прогноз и профилактика опухолей толстого кишечника
Прогноз при опухолях толстого кишечника не всегда благоприятный. Даже доброкачественные эпителиальные опухоли или полипы имеют высокую склонность к злокачественному перерождению. Во многом выживаемость больных зависит от своевременной диагностики и адекватно проведенной хирургической операции.
Профилактика опухолей толстого кишечника состоит, прежде всего, в правильном питании. Необходимо меньше употреблять копченых и консервированных продуктов, мяса и животных жиров. При выборе продуктов нужно отдавать предпочтение тем, которые содержат большое количество клетчатки. Следует пересмотреть образ жизни: низкая двигательная активность благоприятствует возникновению опухолей толстого кишечника. Необходимо вовремя выявлять и лечить различные воспалительные заболевания желудочно-кишечного тракта.
Колопроктологическое отделение №47

47-е отделение колопроктологии открыто в 2007 году. Основные направления работы отделения: лечение доброкачественных заболеваний органов брюшной полости, малого таза и промежности. Приоритетом в работе отделения являются минимальные сроки госпитализации при максимальной эффективности лечения. Отделение обеспечено самым современным лечебным и диагностическим оборудованием. Являясь подразделением крупнейшей многопрофильной клиники, отделение обладает возможностью проводить лечение категорий больных с сопутствующей кардиальной патологией, заболеваниями дыхательной, опорно-двигательной и эндокринной системы, проводить полноценную реабилитацию и активизацию пациентов в раннем послеоперационном периоде. В своей работе колопроктологическое отделение использует современные диагностические методики (рентгенологические, эндоскопические, томографические, сонографические и др.) Операционный блок оснащен современной анестезиологической и хирургической аппаратурой, что позволяет выполнять все виды колопроктологических операций, в том числе и малоинвазивные. Средние сроки пребывания в стационаре после общепроктологических операций – 5 суток. Перспективным направлением в работе отделения является использование лапароскопических методик. Анализы, необходимые для консультации: общий анализ крови, общий анализ мочи, анализы крови на ВИЧ, RW, Hbs, Hcv, ЭКГ, рентгенография органов грудной клетки.
В 47-м колопроктологическом отделении выполняются:
- малоинвазивные операции при начальных стадиях хронического геморроя: латексное лигирование геморроидальных узлов, лигирование ветвей геморроидальных артерий под контролем допплерометрии, другие методики малоинвазивных вмешательств операции по поводу анальных трещин, аноректальных свищей, хронического геморроя. Применение высокотехнологичных методик (аппарат Ligasure, гармонический скальпель Ultra Сision), атравматических шовных материалов и одноразовых инфузионных помп с анальгетиками позволяет минимировать болевой синдром и сократить сроки пребывания в стационаре
- малоинвазивные вмешательства при доброкачественных заболеваниях ободочной и прямой кишки. Используются методики трансанального удаления ворсинчатых опухолей прямой кишки, лапароскопические резекции ободочной кишки с коротким периодом лечения в стационаре и быстрой реабилитацией пациентов
- реконструктивно-восстановительные операции на толстой кишке у пациентов с постоянной стомой позволяют восстановить естественный пассаж по кишке и улучшить качество жизни пациентов
- хирургическое лечение воспалительных аутоимунных заболеваний толстой кишки, в том числе при осложненном течении, с формированием реконструктивно-пластических резервуаров.
В отделении осуществляется лечение основных заболеваний толстой кишки, анального канала и промежности:
Читайте также:
