Эмбриология носа и околоносовых пазух
Добавил пользователь Евгений Кузнецов Обновлено: 27.01.2026
• В начале 16го века впервые в работах Леонардо да Винчи появилось описание параназальных синусов.
Эмбриология.
• Формирование решетчатых раковин начинается на 9-й неделе эмбрионального развития с образования 6 углублений (борозд). Борозды отделяются друг от друга выступами, каждый из которых имеет восходящую и нисходящую часть. Эти выступы по внешнему виду напоминают окончательно сформированные раковины. Они могут сливаться и исчезать, что приводит, в конечном итоге, к образованию носовых раковин взрослого человека.
• Нижняя носовая раковина развивается из отдельной кости
• Валик носа – производное восходящей части 1-й этмотурбины.
• Крючковидный отросток развивается из нисходящей части 1-й этмотурбины.
• Средняя носовая раковина развивается из 2-й этмотурбины, верхняя носовая раковина развивается из 3-й этмотурбины, а самая верхняя носовая раковина – из 4-й и 5-й этмотурбины.
• Углубление между 1-й и 2-й этмотурбинами становится решетчатой воронкой, а его верхняя восходящая часть – лобной пазухой. Верхний носовой ход развивается из 2-й борозды.
Решетчатые пазухи впервые появляются на 4-м месяце эмбрионального
развития. Вторичная пневматизация начинается сразу после рождения и
продолжается до второго года жизни.
При рождении клетки присутствуют в таком же количестве, что и у взрослых
– только они меньше по размеру. Передние решетчатые клетки развиваются
в проекции среднего носового хода, а задние – верхнего носового хода.
Приблизительный объём решетчатых клеток у взрослого 15 мл.
Решетчатая булла, крючковидный отросток и полулунная щель появляются в
виде слепо заканчивающихся мешочков на вершине расселины на 4-м месяце
эмбрионального развития и в этом же порядке выявляются при осмотре
среднего носового хода новорождённого.
Клиновидная пазуха начинает развиваться на 3-м месяце эмбрионального
развития, когда клиновидно-решетчатый карман начинает сжимать верхнюю
носовую раковину и тянуть её вверх. Вторичная пневматизация не
. Приблизитель Развитие клиновидной ый объём пазухи: клиновидной
N – у новорожденного 3 – в 3 года 5 – в 5 лет 7 – в 7 лет
12 – в 12 лет D – у взрослого
Развитие.
• При рождении верхнечелюстная пазуха имеет сферическую или пирамидальную форму и выглядит как маленький карман в латеральной стенке полости носа.
• Между 1-м и 2-м годом жизни верхнечелюстная пазуха расширяется до подглазничного нерва в латеральном направлении и до нижней носовой раковины в нижнем направлении. Лобная пазуха
• К 7 годам верхнечелюстная пазуха выходит за эти границы.
• В возрасте 12 лет верхнечелюстная пазуха достигает дна полости носа, а у взрослых опускается ещё ниже. Пазуха может иметь добавочные перегородки.
• Толщина крыши верхнечелюстной пазухи варьирует от 0,1 до 7,0 мм медиально от подглазничного канала и от 0,1 до 1,1 мм латерально Верхнечелюстная от подглазничного канала. У пазуха взрослых объём верхнечелюстной пазухи приблизительно 15 мл.
Развитие
• Лобная пазуха развивается преимущественно из передней части среднего носового хода и вторичная пневматизация её не наступает до 2-й половины 5-го года жизни.
• К году, лобная пазуха представляет собой лобную клетку, дренаж из которой осуществляется в решетчатую воронку.
• Между 1-м и 4-м годом жизни пазуха начинает врастать в лобную кость, происходит её расширение.
• К 12-летнему возрасту, лобная пазуха приобретает форму тетраэдра, её развитие продолжается до 40 лет. Хотя средний объём лобной пазухи у взрослого 7 мл, размеры могут колебаться от аплазии пазухи до тотальной пневматизации лобной кости.
• Асимметрия лобных пазух – явление обычное.
• По данным Ланга толщина передней стенки колебалась от 0,5 до 12,5 мм, а задней стенки от 0,3 до 4,0 мм.
Эмбриология носа и околоносовых пазух
Эмбриология носа и околоносовых пазух
Жалобы со стороны полости носа и околоносовых пазух являются одним и самых частых поводов для обращения к педиатру и оториноларингологу. Поскольку одна и та же симптоматика может быть вызвана как безобидным вирусным заболеванием, так и угрожающим жизни состоянием, крайне важна способность врача поставить верный диагноз, опираясь на данные анамнеза, осмотра и дополнительных методов обследования.
Развитие полости носа и околоносовых пазух представляет собой многоэтапный процесс, начинающийся в раннем эмбриональном периоде и продолжающийся до подросткового возраста. У плода нос и околоносовые пазухи появляются на 3-4 неделе внутриутробной жизни. Из эктодермы развивается выбухание боковой стенки головы эмбриона, обонятельная плакода.
Над ротовым отверстием, располагаясь по средней линии, образуется носолобный отросток. На протяжении первого года жизни в процессе одновременного развития обонятельных плакод и носолобных отростков образуются кости средней зоны лица, нос, околоносовые пазухи.
На пятой неделе обонятельная плакода распространяется в мезодерму, преобразуясь в медиальный и латеральный носовые отростки, которые ограничивают обонятельную ямку. На этом этапе происходит увеличение в размерах верхнечелюстного отростка первой жаберной дуги, в результате чего обонятельная ямка и будущая глазница смещаются кпереди, а носовой отросток располагается между глазницами. Носовые отростки смещаются в медиальном направлении и кпереди и затем сливаются, образуя будущий нос.
В этот ранний период эмбрионального развития полости носа обонятельные ямки незначительно вдаются в будущую полость носа. Задняя часть обонятельных ямок, носощечная мембрана, разделяет полость носа и полость рта. На 5-6 неделе эмбрионального развития носощечная мембрана обычно канализируется, образуя отверстие в заднем отделе обонятельной ямки. При персистировании носощечной мембраны без образования в ней должного просвета развивается атрезия хоан.

Сливаясь, медиальные носовые отростки образуют перегородку носа, губный желобок и премаксиллу (гребень верхней челюсти, содержащий четыре центральных резца). Латеральные медиальные носовые отростки образуют крылья носа, ноздри и дно полости носа.
На седьмой неделе внутриутробного развития из медиальных и латеральных носовых отростков, и верхнечелюстного отростка образуются верхние губы и верхний альвеолярный гребень. Из латеральных верхнечелюстных отростков образуются латеральные небные выступы, предшественники твердого и мягкого неба. На седьмой неделе они сливаются с перегородкой носа и премаксиллой на уровне альвеолярного гребня. Нарушение этой стадии эмбриогенеза приводит к развитию расщепленной губы и расщепленного неба.
Затем, на 7-10 неделе, латеральные небные выступы сливаются по средней линии и смещаются кзади, образуя будущий язычок. В этот момент полость рта отделяется от полости носа.
Также в этот период формируются структуры латеральной стенки полости носа и околоносовые пазухи. Примерно на 40-й день эмбрионального развития на латеральной стенке носа формируются два выбухания, максиллотурбиналь и этмотурбиналь, которые далее разовьются в нижнюю и среднюю носовые раковины, соответственно. Между ними располагается средний носовой ход. Верхняя и наивысшая раковины формируются от верхних отделов этмотурбинали на четвертом месяце внутриутробной жизни.
Развитие околоносовых пазух. Формирование околоносовых пазух начинается на 60-й день эмбрионального развития, когда участки мезенхимы утолщаются и внедряются в латеральную стенку полости носа. Верхнечелюстная пазуха идентифицируется уже на 70-м дне развития как расширение в области воронкообразного углубления среднего носового хода. Увеличиваясь и углубляясь, это расширение образует верхнечелюстную пазуху.
На 3-4 месяце кзади от переднего места крепления средней носовой раковины начинает формироваться лобный карман, из которого затем разовьется лобная пазуха. Решётчатый пузырь идентифицируется около 120 дня, формируя воздухоносные ячейки решетчатого лабиринта.
В отличие от остальных околоносовых пазух, клиновидная пазуха формируется в клиновидной кости. Она образуется за счет прямого распространения воздухоносных пространств полости носа в клиновидную кость. В большинстве случаев это отмечается около четвертого месяца внутриутробной жизни. Формирование клиновидной пазухи крайне вариабельно, иногда она не развивается вообще.
При рождении у ребенка присутствуют верхнечелюстная, решетчатая, клиновидная пазухи, а также зачаток лобного кармана, которые продолжают свой рост вплоть до подросткового возраста. Важно знать относительный размер и расположение пазух у детей разного возраста.
Врожденные аномалии полости носа. Нарушения эмбрионального развития полости носа и околоносовых пазух могут привести к развитию самых разных аномалий. К ним относятся атрезия хоан, носовые дермоидные кисты и глиомы, хоботообразная деформация лица (proboscis laterali), различные формы расщепления губ и неба. Большинство данных пороков диагностируются сразу после рождения, либо во время простого осмотра, либо из-за наличия характерных симптомов.

Редактор: Искандер Милевски. Дата обновления публикации: 18.3.2021
Эмбриология носа и околоносовых пазух
Кафедра оториноларингологии Курского государственного медицинского университета, Курск, Россия, 305005
кафедра лучевой диагностики и терапии Курского государственного медицинского университета Минздрава России, Курск, Россия, 305000
ГБОУ ВПО «Курский государственный медицинский университет» Минздрава России, ул. Сумская, 45А, Курск, Российская Федерация, 305007
ГБОУ ВПО «Курский государственный медицинский университет» Минздрава России, ул. Сумская, 45А, Курск, Российская Федерация, 305007
ГБОУ ВПО «Курский государственный медицинский университет» Минздрава России, ул. Сумская, 45А, Курск, Российская Федерация, 305007
Анатомические и морфологические особенности носа и околоносовых пазух кролика
Журнал: Российская ринология. 2015;23(3): 36‑41
Кафедра оториноларингологии Курского государственного медицинского университета, Курск, Россия, 305005
Цель исследования — изучить анатомические и морфологические особенности носа и околоносовых пазух кролика. Материал и методы. Авторами дается подробное описание анатомии полости носа и верхнечелюстной пазухи кролика, гистологическое строение различных участков слизистой оболочки. Результаты. Обоснована целесообразность использования полости носа кролика для проведения экспериментальных исследований.
Кафедра оториноларингологии Курского государственного медицинского университета, Курск, Россия, 305005
кафедра лучевой диагностики и терапии Курского государственного медицинского университета Минздрава России, Курск, Россия, 305000
ГБОУ ВПО «Курский государственный медицинский университет» Минздрава России, ул. Сумская, 45А, Курск, Российская Федерация, 305007
ГБОУ ВПО «Курский государственный медицинский университет» Минздрава России, ул. Сумская, 45А, Курск, Российская Федерация, 305007
ГБОУ ВПО «Курский государственный медицинский университет» Минздрава России, ул. Сумская, 45А, Курск, Российская Федерация, 305007
Для экспериментальной ринологии очень важным является выбор лабораторного животного. Разбросанность сведений по морфологии носа и околоносовых пазух вынуждает исследователя долго изучать литературу различных отраслей биологии (зоологии, эмбриологии, ветеринарии и т. д.). Проанализировав работы, в которых описываются анатомия и морфология носа и околоносовых пазух у различных лабораторных животных [1—5], мы пришли к выводу, что наиболее подходящим животным для выполнения экспериментальных исследований является кролик. Публикации в отечественной и зарубежной литературе также свидетельствуют о том, что авторы выполняют экспериментальные ринологические исследования на кроликах [6—16].
Цель исследования — на основе анализа имеющихся публикаций, а также полученных нами результатов исследований обстоятельно изложить анатомию и морфологию носа и околоносовых пазух кролика, чтобы облегчить работу оториноларингологам, которые будут планировать выполнение каких-либо экспериментальных ринологических исследований.
Материал и методы
Лабораторные грызуны относятся к млекопитающим-макросоматикам, нос которых характеризуется тем, что, во-первых, носовая полость отделена от ротовой; во-вторых, от первичной хоаны остается только рудимент в виде узкого стенсонова канала в небе; в-третьих, носовая полость получает выход в носоглотку через вторичные хоаны, минуя рот; в-четвертых, система раковин и параназальных полостей хорошо развита [2].
В нашем эксперименте были использованы кролики породы фландр (n=5). Все эксперименты проводились с использованием обезболивания — общего наркоза (фторотан). Эвтаназия проводилась путем воздушной эмболизации.
Результаты и обсуждение
Анатомия носа кролика. Наружный нос у кролика покрыт шерстью и нависает над раздвоенной верхней губой, с которой он связан уздечкой. От губы нос отделяют 2 косо поставленные ноздри, которые ведут в носовую полость. В области ноздрей кожа постепенно переходит в слизистую оболочку. Обнаженного от шерсти зеркальца не имеется. Ноздри поддерживаются в расширенном состоянии специальным хрящевым остовом, заложенным в крыльях носа. Остов представлен носовым хрящом, присоединенным к передней части носовой перегородки. Ход через ноздри в носовую полость у кролика сильно сужен. Носовая полость сравнительно невелика и вытянута в длину. Она разделена на 2 симметричные половины тонкой хрящевой перегородкой, задняя часть которой окостеневает также в виде 2 симметричных половин [3].
Перегородка носа в переднем отделе низкая и толстая, по направлению назад становится тоньше, выше и делит носовую полость на правую и левую половины [2]. Основу перегородки носа образует гиалиновый хрящ, являющийся продолжением перпендикулярной пластинки решетчатой кости.
Каждая половина носовой полости заполнена 3 сильно развитыми носовыми раковинами, состоящими из тончайших костных или хрящевых пластинок, покрытых слизистой оболочкой. Носовые раковины, образующие полные завитки, создают для проходящего через носовую полость воздуха систему лабиринтообразных ходов, проходя через них, холодный воздух перед попаданием в глотку и гортань согревается, а загрязненный — оставляет свою пыль. Кроме того, воздух в носовой полости увлажняется. Это дыхательная часть носовой полости. Самая большая и короткая из носовых раковин — нижняя, возникает снизу от верхнечелюстной кости и занимает почти всю переднюю половину носовой полости. Самая длинная и узкая — верхняя, возникает выше носовой кости и тянется вверх вдоль всей носовой полости. Средняя раковина короткая и широкая, возникает в задней части носовой полости от решетчатой кости и вдается в нее до нижней раковины. Между раковинами и смежными стенками носовой полости образуются ходы, из которых выделяются по своей ширине нижний — дыхательный, ведущий в хоаны, и верхний — обонятельный, ведущий в обонятельную часть. У кролика бóльшая часть носовой полости занята раковинами, нижний носоглоточный ход и ведущие в глотку хоаны развиты слабо. Таким образом, дыхательная часть носовой полости у кролика развита слабо, что объясняется его образом жизни.
Носовые раковины подразделяют каждую половину носовой полости на 4 носовых хода: дорсальный, средний, вентральный и общий.
Дорсальный носовой ход (meatus nasi dorsalis) — обонятельный, расположен между сводом носовой полости и длинной узкой дорсальной носовой раковиной, кзади ведет в лабиринт решетчатой кости.
Средний носовой ход (meatus nasi medius) — смешанный, обонятельно-дыхательный, находится между дорсальной и вентральной раковинами. Он ведет в хоаны, щели обонятельного лабиринта и сообщается с околоносовыми пазухами. Вентральная носовая раковина широкая, разделена продольной перегородкой на дорсальную и вентральную части. Дорсальная часть сообщается со средним носовым ходом, а вентральная — с вентральным ходом.
Вентральный носовой ход (meatus nasi ventrilis) — дыхательный, располагается между вентральной раковиной и дном носовой полости и ведет в хоаны.
Общий носовой ход (meatus nasi communis) — смешанный, занимает пространство между носовой перегородкой и медиальной поверхностью носовых раковин и обонятельного лабиринта. Он сообщается с 3 описанными ходами, переходит кзади в носоглоточный ход, который через хоану открывается в носоглотку.
Анатомия околоносовых пазух. Из черепных костей у кролика сохраняются только верхнечелюстные; лобные и клинонебные — редуцированы.
Верхнечелюстная пазуха (sinus maxillaries) самая обширная. Она объединяет воздушную полость верхнечелюстной пазухи и часть воздушных полостей, имеющихся в решетчатой кости. Спереди верхнечелюстная пазуха достигает уровня 3-го коренного зуба, а сзади — костного слезного пузыря. Медиально на уровне 5—6-го коренного зуба пазуха сообщается широким носочелюстным ходом со средним носовым ходом, вентрально — с небной пазухой, а дорсокаудально — с полостью слезной кости.
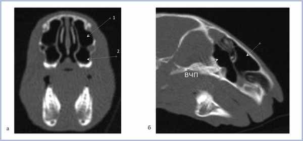
Верхнечелюстная пазуха у кролика делится на 3 широко сообщающиеся между собой полости, располагающиеся одна над другой [2]. С полостью носа верхнечелюстная пазуха сообщается через соустье, расположенное впереди решетчатой кости (рис. 1) [17].

Рис. 1. Полость носа и верхнечелюстные пазухи взрослого кролика.
На рис. 2 представлены верхнечелюстные пазухи кролика в возрасте 3 нед в различных проекциях; на рис. 3 в возрасте 6 мес. Таким образом, у кроликов уже в возрасте 3 нед определяются сформированные верхнечелюстные пазухи.

Рис. 2. Компьютерная томография околоносовых пазух кролика в возрасте 3 нед.

Рис. 3. Компьютерная томография околоносовых пазух кролика в возрасте 6 мес.
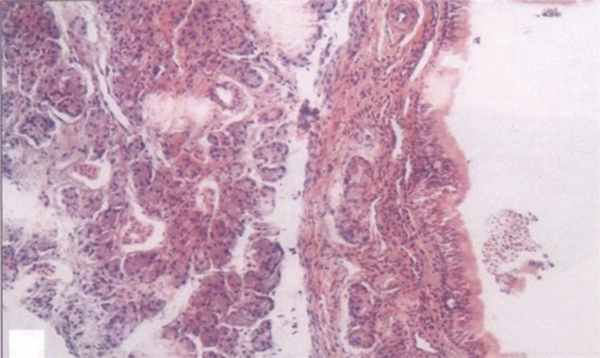
Гистология слизистой оболочки полости носа. Слизистая оболочка полости носа и околоносовых пазух кролика покрыта многорядным призматическим мерцательным эпителием, высота которого колеблется от 10 до 50 мкр. В составе мерцательного эпителия можно выделить 2 основных вида клеток: базальные и мерцательные.
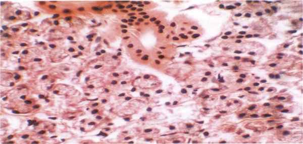
Мерцательный эпителий располагается на базальной мембране в виде пласта, незаметно переходящего в рыхлую неоформленную соединительную ткань собственного слоя слизистой оболочки (рис. 4), в толще этой ткани располагаются многочисленные железы, представленные слизистыми альвеолярными и альвеолярно-трубчатыми концевыми отделами с типичной микроскопической структурой. Альвеолярно-трубчатые концевые отделы и составляющие их клетки несколько крупнее альвеолярных и образованы эпителиоцитами с более светлой цитоплазмой. В альвеолярных железах секреторные клетки умеренно оксифильные с мелкозернистой цитоплазмой. Микроскопическая картина секреторных элементов умеренно вариабельная в зависимости от фазы секреторного цикла. Большинство железистых клеток в норме находится в фазе синтеза и накопления секреторного материала. В фазе синтеза цитоплазма клеток умеренно просветленная, преимущественно перинуклеарно заполнена оксифильными гранулами (рис. 5).

Рис. 4. Структура слизистой оболочки верхнечелюстной пазухи.

Рис. 5. Гистологическая структура желез слизистой оболочки полости носа кроликов.
Именно слизистая оболочка является объектом изучения при проведении экспериментальных исследований. Одной из последних работ, где изучались все морфологические элементы слизистой оболочки носа и околоносовых пазух, является кандидатская диссертация А.А. Калинкина [18], который изучил в экспериментальных исследованиях на кроликах влияние препарата «Cинуфорте» на секрецию желез слизистой оболочки носа и верхнечелюстной пазухи.
Таким образом, морфологическое строение слизистой оболочки в разных участках полости носа однотипно, отличается только толщиной эпителиального пласта и собственной пластинки, в которой содержится различное количество желез. Наиболее тонка слизистая оболочка верхнечелюстной пазухи и дыхательного отдела полости носа.
Обонятельный анализатор. Наименее освещенной является анатомия обонятельного анализатора кролика, хотя обоняние у кроликов развито лучше, чем зрение. Это подтверждается тем, что при подсадке к крольчихе чужих крольчат совершенно не имеет значения их цвет, так как только по запаху мать может отличить и уничтожить их. Кролик, когда движется вперед, обнюхивает все, что попадается ему на пути и постоянно держит нос кверху, улавливая постоянное изменение состояния окружающей его атмосферы. Он способен ощущать самые слабые следы окружающего его запаха.
Молекулы пахучих веществ, являющихся сигналами определенных предметов или событий во внешней среде, вместе с воздухом достигают обонятельных клеток при вдыхании их через нос (во время еды — через хоаны).
Орган обоняния расположен в верхнезаднем отделе полости, состоит из 10—12 волосков, которые реагируют на ароматические молекулы [1].
Анатомия обонятельной доли коры головного мозга. Нервная система кроликов отличается рядом существенных особенностей, многие из которых объединяются примитивными чертами. По строению и развитию нервная система кролика, в частности центральная нервная система, по сравнению с другими плацентарными находится на низкой ступени развития. Особенно бросается в глаза слабое развитие коры полушарий большого мозга и отсутствие на ней борозд и извилин.
Центральная нервная система состоит из головного мозга, расположенного в черепной полости, и спинного мозга в виде толстого шнура, проходящего по позвоночному каналу.
Таким образом, наиболее существенными особенностями головного мозга кролика являются следующие:
1) полушария большого мозга малы и продольная щель между ними мелка;
2) плащ большого мозга слабо развит, извилины и борозды почти не выражены;
3) большой мозг сильно сужен и заострен треугольником кпереди;
4) спереди большой мозг резко вытянут вперед в виде очень больших и обособленных обонятельных луковиц;
5) гипофиз сравнительно слабо развит;
6) мозжечок не имеет компактной формы и уплощен спереди назад, в нем резко выделяются отставленные в стороны небольшие полушария, содержащие по бокам так называемые клочки;
7) варолиев мост слабо обозначен [3].
От нижней поверхности передней части полушарий отходит, направляясь вперед, пара удлиненно округлых выростов — это обонятельные доли. Они связаны, как это можно заметить на свежем мозге, тяжем из белых нервных волокон с височными долями своей стороны. В свою очередь от передней и нижней поверхностей обонятельных долей отходят обонятельные нервы. Рассмотреть их очень трудно, так как они отходят в большом количестве в виде тончайших нитей. По выходе из мозга обонятельные нервы проходят через многочисленные отверстия перегородки, отделяющей черепную коробку от носовой полости. Обонятельные нервы считаются I парой головных нервов. Раздвинув сверху большие полушария, можно увидеть, что они соединяются друг с другом на средней трети своей длины поперечным тяжем белого цвета, так называемым мозолистым телом.
Заключение
Проведенный нами анализ отечественных и зарубежных публикаций подтвердил, что наиболее удобным животным для проведения экспериментальных ринологических исследований является кролик. Представленные нами данные по анатомии полости носа и околоносовых пазух, гистологическому строению слизистой оболочки, безусловно, будут полезны для оториноларингологов, планирующих выполнять экспериментальные исследования по проблемам ринологии.
Опухоли полости носа и околоносовых пазух
Вам поставили диагноз: опухоль полости носа и околоносовых пазух?
Наверняка Вы задаётесь вопросом: что же теперь делать?
Предлагаем Вашему вниманию краткий, но очень подробный обзор данного онкологического заболевания.
Его подготовили высоко квалифицированные специалисты Отделения лучевого и хирургического лечения заболеваний верхних дыхательных путей МРНЦ имени А.Ф. Цыба - филиала ФГБУ «НМИЦ радиологии» Минздрава России под редакцией заведующего отделением к.м.н. Феликса Севрюкова.
Данная брошюра содержит информацию о диагностике и лечении опухоли полости носа и околоносовых пазух. Здесь собраны основные методики лечения данного заболевания, в том числе, последние разработки отечественных и зарубежных ученых-онкологов.
Филиалы и отделения, где лечат опухоль полости носа и околоносовых пазух
МНИОИ им. П.А. Герцена – филиал ФГБУ «НМИЦ радиологии» Минздрава России.
МРНЦ им. А.Ф. Цыба – филиал ФГБУ «НМИЦ радиологии» Минздрава России.
1. Введение
Особенностями опухолей полости носа и околоносовых пазух является их локализация, тесная, а иногда интимная, связь с жизненно важными органами и системами (головной мозг, глаз, среднее ухо, магистральные сосуды и т.д.).
Полость носа состоит из носовых ходов (нижний, средний, верхний и общий); перегородки носа, делящей полость носа на две половины; и носовых раковин (нижняя, средняя и верхняя). Кзади полость носа посредством хоан сообщается с полостью носоглотки. На боковой стенке полости носа имеется выводные отверстия околоносовых пазух: верхнечелюстной, лобной, пазухи основной кости и клеток решетчатого лабиринта или решетчатой кости. Все элементы полости носа и околоносовых пазух покрыты слизистой оболочкой, элементы которой в большинстве случаев служат основой для возникновения опухолей данной локализации.
2. Статистика опухоли полости носа и околоносовых пазух (эпидемиология)
Злокачественные опухоли полости носа и околоносовых пазух встречаются приблизительно в 3% от всех злокачественных опухолей и до 20% от опухолей верхних дыхательных путей, после опухолей гортани, гортанноглотки и ротоглотки. Наиболее часто поражаются опухолью верхнечелюстные пазухи и собственно полость носа. Реже встречаются опухоли решетчатого лабиринта, лобной и основной пазух. Наиболее часто распространенные опухоли данной локализации поражают глазницу, включая все ее стенки и собственно глазное яблоко, кости основания черепа, иногда распространяясь и в полость черепа, особенно при поражении лобной, основной пазух и клеток решетчатого лабиринта. Опухоли данной локализации приблизительно в 2 раза чаще встречаются среди мужчин, чем у женщин, при этом заболевают чаще в наиболее трудоспособном возрасте – 40-60 лет, однако имеет место заболеваемость как в более раннем, так и старшем возрастах.

Мы хотим Вам помочь победить рак!
3. Морфологическая классификация опухоли полости носа и околоносовых пазух
Среди злокачественных опухолей полости носа и околоносовых пазух наиболее часто встречаются раковые опухоли разной степени дифференцировки.
• Плоскоклеточный ороговевающий рак – 50% и более,
• Плоскоклеточный неороговевающий – 10-13%,
• Низкодифференцированный рак 7-8%.
• Опухоли другого морфологического строения (саркомы, меланомы, цилиндромы, эстезионейробластомы, малигнизированные переходно-клеточные папилломы и др.) – 28%&
4. Стадии и симптоматика опухолей полости носа и околоносовых пазух
Подавляющее большинство пациентов имеют распространенные формы рака полости носа и околоносовых пазух. Так, пациенты с распространенностью опухоли T3N0M0 составили 22% случаев, T3N1-3M0 – 3,4%, T4N0 – 32,0% и с T4N1-3 – 9,6%. Только у 4,6% больных распространенность опухолевого процесса классифицировалась как T1-2N0.
Перечень симптомов, позволяющих заподозрить опухолевое поражение полости носа и околоносовых пазух:
1. быстро нарастающее одно редко двухстороннее нарушение носового дыхания;
2. упорные серозно-гнойные или кровянистые выделения из полости носа, чаще односторонние;
3. снижение обоняния;
4. нарушение конфигурации лица;
5. нарушение чувствительности кожи щеки или зубов верхней челюсти (как правило – одностороннее);
6. усиливающаяся подвижность зубов верхней челюсти;
7. смещение глазного яблока;
8. безболезненная припухлость щеки;
9. нарастающее нарушение зрения;
10. изменение конфигурации твердого неба или альвеолярного отростка верхней челюсти;
11. появление неприятного запаха.
5. Причины возникновения опухоли полости носа и околоносовых пазух и факторы риска
Как и для всех опухолей, причина возникновения злокачественных опухолей полости носа и околоносовых пазух, достоверно не установлена. Можно предполагать, что возникновению опухолей данной локализации способствуют ряд факторов, таких как хронические болезни полости носа и околоносовых пазух, полости рта, в частности зубов, производственные вредности, особенно пыль, в частности – асбестовая, древесная, вдыхание паров горюче-смазочных материалов, дыма – в частности, при сварочных работах, у работников никелевой промышленности и кожевенного производства.
Развитию опухолей может способствовать различные травмы (бытовые, производственные, спортивные и т.д.). К факторам риска может быть отнесена – генетическая предрасположенность, а также хроническая травма, например при пользовании зубными протезами.
6. Диагностика опухоли полости носа и околоносовых пазух
Перечень диагностических процедур подразделяется на обязательные и дополнительные. При этом особое значение имеет тщательный сбор анамнеза заболевания и анализ данных эндоскопического обследования ЛОР органов и данных СКТ и МРТ-исследований. Морфологическое подтверждение заболевания является обязательной процедурой для диагностики как первичной опухоли, так и ее метастазов. При этом особое значение имеют иммуноморфологические данные.
Перечень обязательных диагностических процедур:
•анкетные данные больного и анамнез заболевания
•врачебный осмотр (включающий ЛОР-осмотр)
•назофаринголарингоскопия
•ультразвуковое исследование шеи, печени, с пункцией лимфоузлов увеличенных более 1 см.
ультразвуковое исследование опухоли при разрушении опухолью костных структур и выходом в мягкие ткани лица
•СКТ головы с контрастированием (включая оценку инвазии в головной мозг) и шеи (до биопсии, шаг 3 мм)
•биопсия опухоли с последующим гистологическим, цитологическим исследованием, через полость носа, путем гайморотомии с использованием видеоассистированной техники, трепонобиопсии.
•рентгенологическое исследование органов грудной клетки при Т1-2 КТ грудной клетки при Т3 – Т4, или при подозрении на метастазы в легкие при рентгеновском снимке Т1-2
•ЭКГ стандартная
•консультация стоматолога
•совместный консилиум с участием ОНКОЛОГА, радиотерапевта, химиотерапевта
•консультация терапевта
•консультация анестезиолога для пациентов, планируемых для хирургического лечения
Дополнительные процедуры
•пункция лимфатических узлов шеи с последующим цитологическим исследованием (при подозрении на метастатическое поражение)
•гастроскопия
•КТ/МРТ шеи (до биопсии, шаг 3 мм) (по показаниям)
•компьютерная томография органов грудной клетки (при подозрении на метастатическое поражение легких)
•компьютерная томография органов брюшной полости (при подозрении на метастатическое поражение печени)
•магнитно-резонансная томография головного мозга (при наличии очаговой неврологической симптоматики)
•сцинтиграфия костей (при подозрении на метастатическое поражение)
•позитронно-эмиссионная томография /ПЭТ-КТ (при III-IV стадиях процесса, по показаниям)
•консультация специалистов (по показаниям)
•флуоресцентная диагностика (по показаниям)
•ЭХО-КГ, Холтеровское мониторирование – по показаниям
Специфических онкомаркеров для диагностики злокачественных опухолей данной локализации не существует. Скрининговых программ для диагностики этой патологии нет.
7. Лечение опухоли полости носа и околоносовых пазух
Основным методом лечения злокачественных опухолей полости носа и околоносовых пазух является хирургический. При этом объем хирургического вмешательства зависит от распространенности и локализации опухолевого поражения, которые определяются в результате клинического и инструментального обследований.
При начальных стадиях (Т1, Т2) опухолевого роста возможно выполнение щадящих органосберегающих хирургических вмешательств. При операбельных распространенных процессах (Т3, Т4), как правило, проводятся различные по объему расширенные, комбинированные операции, с включением в блок удаляемого препарата близ расположенных органов и тканей (глаз, стенки и ткани глазницы, клетчатка подвисочной и крылонебной ямок, скуловая кость, кожа и др.). Одновременно или отсрочено выполняются различные реконструктивно-пластические вмешательства, позволяющие минимизировать функциональные и косметические потери (пластики перемещенными кожно-жировыми и кожно-мышечными лоскутами, фрагментами мало-берцовой кости или гребня подвздошной кости на сосудистой ножке и др.). Наиболее часто изготавливаются либо разделительные пластины обеспечивающие разобщение возникшего послеоперационного дефекта и полости рта, или замещающие протезы с восстановленным зубным рядом.
Практически во всех случаях используется послеоперационная лучевая терапия в дозе ≈ 50-60 Гр. Предоперационное облучение применяется реже. Самостоятельная лучевая терапия проводится только в случаях неоперабельности опухоли или отказе пациента от хирургического лечения.
Лекарственная противоопухолевая терапия самостоятельного значения не имеет и применяется либо с предоперационной целью (неоадъювантная терапия), либо в послеоперационном периоде (адъювантное лечение), либо в сочетании с лучевой терапией (химиолучевое лечение). Применяются в основном препараты платины в сочетании с 5-фторурацилом, лучший эффект получается при использовании в данной схеме таксанов (таксотер и др.).
В предоперационном периоде проводится 2-3 цикла химиотерапии каждые 3 недели. В послеоперационном периоде возможно проведение до 6 циклов ПХТ (полихимиотерапии). При химиолучевом лечении применяется, в основном, цисплатин в дозе 100 мг/м2 1 раз в 3 недели или в дозе 75 мг/м2 каждую неделю. Для получения лучшего результата химио- или химиолучевой терапии иногда применяются таргетные препараты, в частности – Эрбитукс (Цетуксимаб).
8. Осложнения противоопухолевого лечения и их коррекция
Как уже было отмечено, хирургическое лечение злокачественных опухолей полости носа и околоносовых пазух ведет прежде всего к косметическим и функциональным нарушениям и касается в основном, возникновением обширных послеоперационных дефектов, разговорной речи и акта приема пищи. С целью минимизации таких осложнений осуществляются различные реконструктивно-пластические вмешательства, как неотсроченные (во время основного хирургического вмешательства), так и отсроченные (в разные периоды после операции), а также сложное зубное и разобщающее протезирование.
При проведении лучевой терапии при данной патологии наиболее часто возникают острые лучевые реакции (дерматиты) и поздние постлучевые осложнения (постлучевые отеки мягких тканей, фиброзы, постлучевые язвы и некрозы). При возникновении острых лучевых реакций проводятся в основном, противовоспалительные и противоотечные мероприятия. Возможно, при необходимости, назначение обезболивающих препаратов. Как правило, данные реакции купируются в течение 10-12 дней. Поздние лучевые осложнения требуют более сложных и длительных лечебных мероприятий, а иногда и сложных хирургических вмешательств.
При химиотерапии данной патологии наиболее частым нежелательным явлением оказывается возникновение гематологической токсичности разной степени выраженности, заключающейся в нарушении нормального кроветворения (анемии, нейтропении, тромбоцитопении и т.д.), приводящие к развитию инфекционных осложнений, кровотечениям (преимущественно носовым). Проводимое лечение может сопровождаться выпадением волос, развитием воспаления слизистой оболочки полости рта, глотки, желудка и кишечника. Вовремя и в необходимом объеме проведенные лечебные мероприятия позволяют купировать эти нежелательные явления и полностью завершить запланированный объем лечения.
9. Использование уникальных методик
В последнее время достаточно широкое применение получили такие методики как гипертермия (локальное нагревание опухоли СВЧ- или УВЧ – излучением); фотодинамическая терапии (либо при начальных формах опухолей, либо на ложе удаленного новообразования); химиоэмболизация питающих опухоль сосудов, видеоэндоскопическое удаление новообразований и др.
10. Особенности реабилитации
Как уже отмечалось, практически все больные с злокачественными опухолями полости носа и околоносовых пазух в той или иной степени требуют различных по сложности реабилитационных мероприятий. Эти мероприятия проводятся как в клиниках, занимающихся лечением данной категории больных, так и в специализированных учреждениях, занимающихся реконструктивно-пластическими операциями.
11. Прогноз заболевания
Прогноз эффективности лечения зависит как от локализации опухолевого поражения, так и от распространенности, морфологического строения опухоли, так и от проведенного лечения.
При правильном лечении у больных с начальными формами злокачественных опухолей полости носа и околоносовых пазух возможно излечение в течении 5 лет практически у 100% пациентов.
При распространенности опухоли Т3 излечение в этот период времени возможен более чем в 70% случаев, в зависимости от примененного вида лечения. Безусловно, лучший результат имеет место при использовании комбинированного лечения (операция + лучевое и химиолучевое лечение).
При опухолях, распространенностью Т4, 5-летний результат лечения не превышает 30-40% наличия метастазов в зонах регионарного метастазирования ухудшает результаты проводимой терапии.
Филиалы и отделения, в которых лечат опухоль полости носа и околоносовых пазух
ФГБУ «НМИЦ радиологии» Минздрава России обладает всеми необходимыми технологиями лучевого, химиотерапевтического и хирургического лечения, включая расширенные и комбинированные операции. Все это позволяет выполнить необходимые этапы лечения в рамках одного Центра, что исключительно удобно для пациентов.
Автореферат и диссертация по медицине (14.00.04) на тему: Аномалии полости носа и околоносовых пазух как фактор риска развития и хронизации синуситов у детей
Оглавление диссертации Литвиненко, Ольга Михайловна :: 2003 :: Москва
ГЛАВА I. ОБЗОР ЛИТЕРАТУРЫ.
1. Аномалии развития полости носа и околоносовых пазух в процессе онтогенеза, роста и развития. Анатомо-физиологические данные
2. Роль аномалий развития полости носа и околоносовых пазух в возникновении воспалительных заболеваний околоносовых пазух.
3. Диагностика и лечение синуситов.
ГЛАВА II. МАТЕРИАЛЫ И МЕТОДЫ ИССЛЕДОВАНИЯ ДЕТЕЙ С АНОМАЛИЯМИ РАЗВИТИЯ ПОЛОСТИ НОСА И ОКОЛОНОСОВЫХ ПАЗУХ.
1. Функциональные методы исследования полости носа.
2. Методика эндоскопического исследования полости носа.
3. Методика рентгенологического и КТ исследований носа и околоносовых пазух.
4. Методика краниометрического исследования.
ГЛАВА III. РЕЗУЛЬТАТЫ СОБСТВЕННЫХ ИССЛЕДОВАНИЙ.
1. Клинические формы аномалий развития полости носа и околоносовых пазух.
2. Анализ результатов исследования полости носа и околоносовых пазух у детей.
3. Синуситы при аномалиях развития полости носа и околоносовых пазух.
4. Аномалии развития внутриносовых структур при остром синусите, катаральной форме.
5. Аномалии развития внутриносовых структур при остром синусите, гнойной форме.
6. Аномалии развития полости носа и околоносовых пазух при хроническом синусите, катаральной форме.
7. Аномалии развития полости носа и околоносовых пазух при хроническом синусите, гнойной форме.
8. Аномалии развития полости носа и околоносовых пазух при хроническом синусите кистозной (Ьооме.
9. Особенности воспалительных процессов в околоносовых пазухах у детей с различной формой головного указателя.
10. Новые синдромы при аномалиях развития полости носа и околоносовых пазух.
ГЛАВА IV. КЛАССИФИКАЦИЯ АНОМАЛИЙ РАЗВИТИЯ ПОЛОСТИ НОСА И ОКОЛОНОСОВЫХ ПАЗУХ.
ГЛАВА V. ГИПОТЕЗА ИНДУКЦИИ И РЕДУКЦИИ АНОМАЛИЙ ПОЛОСТИ НОСА (НА ПРИМЕРЕ ПЕРЕГОРОДКИ НОСА).
ГЛАВА VI. ВОЗРАСТНОЙ АСПЕКТ В РАЗВИТИИ АНОМАЛИЙ ПОЛОСТИ НОСА И ОКОЛОНОСОВЫХ ПАЗУХ.
1. Взаимосвязь аномалий развития полости носа и околоносовых пазух с диспропорциями созревания внутриносовых структур, как фактор риска и хронизации синусита.
2. Группы риска детей с аномалиями развития полости носа и околоносовых пазух, этапы в лечении и профилактике.
Введение диссертации по теме "Болезни уха, горла и носа", Литвиненко, Ольга Михайловна, автореферат
По данным ВОЗ, популяционная частота врожденных пороков и аномалий развития составляет 1,5-5%. В расчете на 1000 рождений врожденные дефекты развития выявляются у 25-35 детей, что составляет 2,5-3,5%. В по-стнатальном периоде число детей с пороками может достигнуть 6% к двухлетнему и 8% - к пятилетнему возрасту. Врожденная патология оказывает определенное влияние на состояние здоровья человека (Г.Р.Мутовин, 2001).
За последние годы также наметилась тенденция к росту острых и хронических заболеваний полости носа и околоносовых пазух (В.П.Быкова, 1999; М.Ю.Овчинников, В.М.Свистушкин, 1999). При этом происходят изменения в структуре самой патологии в сторону увеличения числа сочетан-ного поражения околоносовых пазух. Синуситы являются одной из самых распространенных патологий в детском возрасте (М.Р.Богомильский, В.М.Фейгина, 2001). Синуситы становятся первопричиной в развитии брон-холегочной патологии, оказывают влияние на функции сердечно-сосудистой, пищеварительной, почечной систем, приводят к изменениям местного и гуморального иммунитета (М.Ю.Овчинников, Ф.А.Маргани, 1984; А.С.Юнусов, 2000). Однако сведения о взаимосвязи воспалительных процессов в околоносовых пазухах с аномалиями развития полости носа и околоносовых пазух у детей в литературе немногочисленны.
В нашей стране проблеме врожденных пороков JIOP-органов уделялось большое внимание. Известны основные работы Ф.Ф.Заседателева (1903), С.Н.Лапченко (1972), Г.В.Кручинского (1975), Д.Н.Андреевой (1989), Б.В.Шеврыгина (1986), М.К.Манюка, (1989). К сожалению, приходится констатировать, что число детей, рождающихся с пороками развития носа и околоносовых пазух в начале нашего столетия увеличивается. Этот факт настораживает и подтверждает актуальность проблемы по медицинской реабилитации указанных групп больных. Данные вопросы требуют всестороннего изучения и исследования, так как нарушения объемных отношений носа и околоносовых пазух всегда приводят к изменению различных физиологических параметров носа, и как следствие, к развитию патологических процессов в околоносовых пазухах и организме в целом. В этом направлении, как в отечественной, так и в доступной нам зарубежной литературе отсутствуют работы обобщающего характера.
Поэтому совершенствование методов диагностики аномалий полости носа и околоносовых пазух, разработка рациональной тактики в проведении лечебных и профилактических мероприятий по предотвращению развития и хронизации синуситов у детей с учетом возрастных особенностей, является актуальной задачей. В связи с вышеизложенным, мы определили цель работы и выработали следующие задачи.
Изучить аномалии развития полости носа и околоносовых пазух, их взаимосвязь с синуситом методом системного подхода к диагностике, клинике, лечению и вторичной профилактике синусита у детей разных возрастных групп, применительно к амбулаторным условиям. ЗАДАЧИ:
1. Изучить клинические формы аномалий полости носа и околоносовых пазух и оценить нарушение физиологических функций носа в детском возрасте.
2. Определить формы и распространенность процесса поражения околоносовых пазух у детей с аномалиями развития полости носа и околоносовых пазух с учетом краниометрических измерений.
3. На основании ретроспективного анализа данных скрининга и клинических наблюдений разработать классификацию аномалий развития полости носа и околоносовых пазух.
4. По данным клинических наблюдений и функциональных исследований научно обосновать гипотезу об индукции и редукции аномалий, являющихся фактором риска развития и хронизации синусита.
5. Определить группы риска детей в развитии и хронизации синусита в возрастном аспекте. Разработать этапы проведения диагностических, лечебных и профилактических мероприятий. НАУЧНАЯ НОВИЗНА.
Впервые разработана клиническая классификация аномалий развития полости носа и околоносовых пазух у детей, основанная на онто-филогенезе носа и околоносовых пазух и эндоскопическом подходе. Впервые изучено влияние аномалий полости носа и околоносовых пазух на характер воспалительного процесса в околоносовых пазухах с учетом возраста и краниометрических измерений. Впервые разработана гипотеза индукции и редукции аномалий полости носа и околоносовых пазух. Впервые описаны новые клинические синдромы при аномалиях развития полости носа и околоносовых пазух.
ПРАКТИЧЕСКАЯ ЗНАЧИМОСТЬ. Предложенная нами классификация аномалий полости носа и околоносовых пазух носит выраженный клинический характер, позволяет практическому врачу ориентироваться в характере врожденной патологии, определить тактику в лечении больных и профилактику синуситов у детей. Полученные результаты исследования полости носа и околоносовых пазух позволяют установить связь между формой аномалий и формой воспаления в околоносовых пазухах и дифференцированно подходить к выбору лечебной тактики в возрастном аспекте. Разработаны этапы профилактических мероприятий у детей разных возрастных групп с аномалиями развития носа и околоносовых пазух, направленные на предупреждение развития и хронизации синусита, что позволит широкому кругу врачей улучшить диагностику и повысить эффективность лечения указанной патологии.
ВНЕДРЕНИЕ РЕЗУЛЬТАТОВ ИССЛЕДОВАНИЯ. Полученные результаты и рекомендации внедрены в клиническую практику
ЛОР-отделения Тушинской детской городской больницы, учебный процесс кафедры детской оториноларингологии РМАПО, детскую городскую поликлинику № 37 города Москвы.
АПРОБАЦИЯ РАБОТЫ. Материалы диссертации доложены и обсуждены на совместном заседании кафедр детской оториноларингологии и анестезиологии, реаниматологии и токсикологии детского возраста РМАПО, сотрудников научно-клинического центра оториноларингологии МЗРФ, сотрудников отделения Тушинской детской городской больницы (19 мая 2003г.), а также на педиатрической научно-практической конференции ТДГБ города Москвы (11мая 2002г.).
ОСНОВНЫЕ ПОЛОЖЕНИЯ, ВЫНОСИМЫЕ НА ЗАЩИТУ.
1. Развитие и хронизация синуситов обусловлены определенными формами аномалий полости носа и околоносовых пазух, вызывающих нарушение основных физиологических функций носа.
2. Синдромальный принцип подхода к диагностике аномалий.
3. Классификация аномалий развития полости носа и околоносовых пазух создает возможность для усовершенствования диагностики, лечения и профилактики данной патологии.
4. Возрастной аспект в выборе тактики лечения и профилактики детей с аномалиями полости носа и околоносовых пазух.
ПУБЛИКАЦИИ. По теме диссертации опубликовано 8 научных работ. ОБЪЕМ И СТРУКТУРА ДИССЕРТАЦИИ. Диссертация изложена на 153 страницах машинописного текста. Состоит из введения, обзора литературы, собственных результатов (5 глав), заключения, выводов, списка литературы. Работа иллюстрирована 13 таблицами, 10 рисунками; цитируемых работ: отечественных авторов -111, иностранных ав-торов-82.
Читайте также:
