Эпидемиология острого промиелоцитарного лейкоза - частота встречаемости
Добавил пользователь Евгений Кузнецов Обновлено: 27.01.2026
Лаборатория рекомбинантных опухолевых антигенов была создана в 2013 году по инициативе бывшего в то время директором НИИ ЭДиТО профессора, д.м.н. А.Ю. Барышникова. Лаборатория была создана с целью разработки новых подходов противоопухолевой иммунотерапии с использованием технологий рекомбинантных ДНК.
Направления научной деятельности
- Изучение молекулярных основ онкогенеза.
- Разработка методов иммунотерапии злокачественных опухолевых заболеваний.
- Разработка методов молекулярной диагностики злокачественных опухолевых и наследственных заболеваний.
- Создание продуцентов рекомбинантных белков для терапевтических и диагностических целей.
Избранные публикации лаборатории:
Пономарев А.В., Солодовник А.А., Мкртчян А.С., Финашутина Ю.П., Турба А.А., Мисюрин Б.А., Мисюрин А.Б., Барышникова М.А. СВЯЗЬ ДЕЛЕЦИЙ И ТОЧЕЧНЫХ МУТАЦИЙ ГЕНА Р53 С РЕЗИСТЕНТНОСТЬЮ КЛЕТОЧНЫХ ЛИНИЙ МЕТАСТАТИЧЕСКОЙ МЕЛАНОМЫ КОЖИ ЧЕЛОВЕКА К АРАНОЗЕ. Российский биотерапевтический журнал. 2018. Т. 17. № 1. С. 64-69.
Лыжко Н.А. МОЛЕКУЛЯРНО-ГЕНЕТИЧЕСКИЕ МЕХАНИЗМЫ ИНИЦИАЦИИ, ПРОМОЦИИ И ПРОГРЕССИИ ОПУХОЛЕЙ. Российский биотерапевтический журнал. 2017. Т. 16. № 4. С. 7-17.
Пономарев А.В., Мисюрин В.А., Рудакова А.А., Мисюрин А.В., Барышникова М.А. ИЗМЕНЕНИЕ ЭКСПРЕССИИ PD-L1 И PD-L2 В КЛЕТОЧНЫХ ЛИНИЯХ МЕЛАНОМЫ ЧЕЛОВЕКА ПРИ ВОЗДЕЙСТВИИ РАЗЛИЧНЫХ ЛЕКАРСТВЕННЫХ ФОРМ АРАНОЗЫ И "ПУСТЫХ" ЛИПОСОМ. Российский биотерапевтический журнал. 2017. Т. 16. № 2. С. 74-81.
Пономарев А.В., Мисюрин В.А., Рудакова А.А., Бурова О.С., Мисюрин А.В., Барышникова М.А. ИЗМЕНЕНИЕ ЭКСПРЕССИИ МРНК MDM2 И NFKBL В КЛЕТОЧНЫХ ЛИНИЯХ МЕЛАНОМЫ ЧЕЛОВЕКА ПРИ ВОЗДЕЙСТВИИ 2 ЛЕКАРСТВЕННЫХ ФОРМ АРАНОЗЫ. Российский биотерапевтический журнал. 2017. Т. 16. № 3. С. 52-58.
Мисюрин А.В. ЦИТОГЕНЕТИЧЕСКИЕ И МОЛЕКУЛЯРНО-ГЕНЕТИЧЕСКИЕ ФАКТОРЫ ПРОГНОЗА ОСТРЫХ МИЕЛОИДНЫХ ЛЕЙКОЗОВ. Клиническая онкогематология. Фундаментальные исследования и клиническая практика. 2017. Т. 10. № 2. С. 227-234.
Мисюрин А.В., Мисюрина Е.Н., Тихонова В.В., Крутов А.А., Кесаева Л.А., Финашутина Ю.П., Мисюрин В.А., Касаткина Н.Н., Османов Е.А., Туркина А.Г., Челышева Е.Ю., Барышников А.Ю. ЧАСТОТА ВСТРЕЧАЕМОСТИ МУТАЦИЙ КИНАЗНОГО ДОМЕНА ГЕНА BCR-ABL У БОЛЬНЫХ ХРОНИЧЕСКИМ МИЕЛОЛЕЙКОЗОМ, РЕЗИСТЕНТНЫХ К ТЕРАПИИ ИМАТИНИБОМ. Российский биотерапевтический журнал. 2016. Т. 15. № 4. С. 102-109.
Соколова М.А., Туркина А.Г., Меликян А.Л., Судариков А.Б., Треглазова С.А., Шухов О.А., Гемджян Э.Г., Абдуллаев А.О., Ковригина А.М., Мисюрин А.В. ЭФФЕКТИВНОСТЬ ИНТЕРФЕРОНОТЕРАПИИ У БОЛЬНЫХ ЭССЕНЦИАЛЬНОЙ ТРОМБОЦИТЕМИЕЙ И ИСТИННОЙ ПОЛИЦИТЕМИЕЙ. Терапевтический архив. 2016. Т. 88. № 12. С. 69-77.
Лыжко Н.А., Мисюрин В.А., Финашутина Ю.П., Ахлынина Т.В., Кесаева Л.А., Тихонова В.В., Касаткина Н.Н., Солопова О.Н., Барышникова М.А., Мисюрин А.В. ПРОЯВЛЕНИЕ ЦИТОСТАТИЧЕСКОГО ЭФФЕКТА МОНОКЛОНАЛЬНЫХ АНТИТЕЛ К БЕЛКУ PRAME. Российский биотерапевтический журнал. 2016. Т. 15. № 4. С. 53-58.
Лыжко Н.А., Ахлынина Т.В., Мисюрин А.В., Финашутина Ю.П., Аксенова Е.В., Солдатова И.Н., Мисюрин В.А., Барышников А.Ю. ПОВЫШЕНИЕ УРОВНЯ ЭКСПРЕССИИ ГЕНА PRAME В ОПУХОЛЕВЫХ КЛЕТКАХ СОПРОВОЖДАЕТСЯ ЛОКАЛИЗАЦИЕЙ БЕЛКА В КЛЕТОЧНОМ ЯДРЕ. Российский биотерапевтический журнал. 2015. Т. 14. № 4. С. 19-30.
Финашутина Ю.П., Мисюрин А.В., Ахлынина Т.В., Лыжко Н.А., Крутов А.А., Аксенова Е.В., Мисюрин В.А., Барышников А.Ю. ПОЛУЧЕНИЕ РЕКОМБИНАНТНОГО РАКОВО-ТЕСТИКУЛЯРНОГО БЕЛКА PRAME И МОНОКЛОНАЛЬНЫХ АНТИТЕЛ К НЕМУ. Российский биотерапевтический журнал. 2015. № 3. С. 29-36.
Мисюрин В.А., Мисюрин А.В., Мисюрина А.Е., Финашутина Ю.П., Барышникова М.А., Бурова О.С., Кравченко С.К. АЦЕЛЛБИЯ® И МАБТЕРА® РАСПОЗНАЮТ CD20-ПОЛОЖИТЕЛЬНЫЕ КЛЕТКИ С ОДИНАКОВОЙ ЭФФЕКТИВНОСТЬЮ. Онкогематология. 2015. Т. 10. № 4. С. 56-59.
Мисюрина А.Е., Ковригина А.М., Варях Е.А., Мисюрин В.А., Кравченко С.К., Мисюрин А.В., Обухова Т.Н., Куликов С.М., Копылов А.Н., Магомедова А.У., Гемджян Э.Г., Воробьев А.И. ЭКСПРЕССИЯ БЕЛКОВ MYC И BCL2 У БОЛЬНЫХ ДИФФУЗНОЙ В-КРУПНОКЛЕТОЧНОЙ ЛИМФОМОЙ. Клиническая онкогематология. Фундаментальные исследования и клиническая практика. 2015. Т. 8. № 1. С. 44-53.
Ахлынина Т.В., Мисюрин А.В., Лыжко Н.А., Финашутина Ю.П., Мисюрин В.А., Аксенова Е.В., Солдатова И.Н., Шпакова А.П., Хасигова Б.Б., Булычева Т.И., Бурова О.С. НАЛИЧИЕ ИММУНОГЕННОГО АНТИГЕНА В ОПУХОЛЕВОЙ КЛЕТКЕ СПОСОБСТВУЕТ АНТИПРОЛИФЕРАТИВНОМУ ДЕЙСТВИЮ ДЕНДРИТНЫХ КЛЕТОК. Российский биотерапевтический журнал. 2014. Т. 13. № 4. С. 23-30.
Мисюрин В.А., Мисюрин А.В., Мисюрина А.Е., Крутов А.А., Кесаева Л.А., Солдатова И.Н., Ахлынина Т.В., Лыжко Н.А., Бурова О.С., Морозова Л.Ф., Михайлова И.Н., Барышникова М.А., Барышников А.Ю. ПРОФИЛИ ЭКСПРЕССИИ РАКОВО-ТЕСТИКУЛЯРНЫХ ГЕНОВ В КЛЕТОЧНЫХ ЛИНИЯХ МЕЛАНОМЫ. Биологические мембраны: Журнал мембранной и клеточной биологии. 2014. Т. 31. № 2. С. 104-109.
Мисюрин В.А., Мисюрин А.В., Кесаева Л.А., Финашутина Ю.П., Мисюрина Е.Н., Солдатова И.Н., Крутов А.А., Лыжко Н.А., Ахлынина Т.В., Лукина А.Е., Колошейнова Т.И., Новицкая Н.В., Аршанская Е.Г., Овсянникова Е.Г., Голубенко Р.А., Лапин В.А., Поспелова Т.И., Тумаков В.А., Барышников А.Ю. НОВЫЕ МАРКЕРЫ ПРОГРЕССИРОВАНИЯ ХРОНИЧЕСКОГО МИЕЛОЛЕЙКОЗА. Клиническая онкогематология. Фундаментальные исследования и клиническая практика. 2014. Т. 7. № 2. С. 206-212.
Мисюрин В.А., Лукина А.Е., Мисюрин А.В., Кесаева Л.А., Мисюрина Е.Н., Финашутина Ю.П., Солдатова И.Н., Крутов А.А., Санникова И.В., Ротанова М.Н., Лапин В.А., Рукавицын О.А., Шаманский С.В., Хуажева Н.К., Иванова В.Л., Архипова Н.В., Лесная Ю.А., Шитова О.В., Борисенкова Е.А., Толстокорая Т.М. и др. ОСОБЕННОСТИ СООТНОШЕНИЯ УРОВНЕЙ ЭКСПРЕССИИ ГЕНОВ PRAME И PML/RARA В ДЕБЮТЕ ОСТРОГО ПРОМИЕЛОЦИТАРНОГО ЛЕЙКОЗА. Российский биотерапевтический журнал. 2014. Т. 13. № 1. С. 9-16.
Петинати Н.А., Шипунова И.Н., Бигильдеев А.Е., Кузьмина Л.А., Сарибекян Р.А., Гальцева И.В., Мисюрин А.В., Паровичникова Е.Н., Савченко В.Г., Дризе Н.И. ХАРАКТЕРИСТИКИ СТРОМАЛЬНЫХ КЛЕТОК-ПРЕДШЕСТВЕННИКОВ У БОЛЬНЫХ ПОСЛЕ АЛЛОГЕННОЙ ТРАНСПЛАНТАЦИИ КОСТНОГО МОЗГА. Терапевтический архив. 2013. Т. 85. № 12. С. 95-99.
Мангасарова Я.К., Магомедова А.У., Кравченко С.К., Шмаков Р.Г., Барях Е.А., Воробьев В.И., Марьин Д.С., Скидан Н.И., Гемджян Э.Г., Мисюрин А.В., Кременецкая А.М., Воробьев А.И. ВОСЬМИЛЕТНИЙ ОПЫТ ЛЕЧЕНИЯ АГРЕССИВНЫХ В-КРУПНОКЛЕТОЧНЫХ ЛИМФОМ СРЕДОСТЕНИЯ. Терапевтический архив. 2013. Т. 85. № 7. С. 50-56.
Патент № 2620076 от 22.05.2017. «Способ количественного определения мутации G250E киназного домена BCR-ABL у больных хроническим миелоидным лейкозом, резистентных к терапии ингибиторами тирозинкиназ».
Острый промиелоцитарный лейкоз
Острый промиелоцитарный лейкоз (ОПЛ, ОМЛ М3, ОПМЛ) — вариант острого миелоидного лейкоза, который характеризуется аномальным накоплением одного из видов миелоидных клеток — промиелоцитов. В свою очередь, промиелоциты (см. статью «Кроветворение») — это клетки-предшественники гранулоцитов, возникающие на одной из стадий их созревания (миелобласты — промиелоциты — миелоциты — гранулоциты).
Частота встречаемости
ОПЛ составляет около 10% всех случаев острого миелоидного лейкоза. В отличие от многих других вариантов острого миелолейкоза, ОПЛ часто встречается не у пожилых, а у молодых взрослых: средний возраст больных в момент постановки диагноза около 40 лет. Однако ОПЛ может встречаться в любом возрасте, включая детский.
Признаки и симптомы
Как и остальные виды острого лейкоза, ОПЛ обычно характеризуется проявлениями анемии (утомляемость, слабость, одышка) и тромбоцитопении (повышенная кровоточивость, появление синяков и кровоподтеков). Недостаток зрелых лейкоцитов может привести к инфекциям. Кроме того, при ОПЛ может дополнительно наблюдаться кровоточивость, связанная с синдромом диссеминированного внутрисосудистого свертывания (ДВС). Это наиболее грозный симптом ОПЛ.
Как правило, ОПЛ характеризуется очень быстрым появлением и нарастанием симптомов.
Диагностика
ОПЛ диагностируется на основании морфологического и цитохимического анализа образца костного мозга. Диагностика обязательно включает в себя обнаружение характерной хромосомной транслокации t(15;17) (иногда других, существенно более редких транслокаций) в ходе стандартного цитогенетического или молекулярно-генетического (полимеразная цепная реакция) анализа.
Лечение
Лечение ОПЛ отличается от терапии других форм острого миелоидного лейкоза использованием специфического лекарства — ATRA (полностью транс-ретиноевая кислота, «Весаноид»), которое как бы «перепрограммирует» лейкемические промиелоциты на превращение в зрелые гранулоциты. Обычно ATRA используется в сочетании с химиопрепаратами группы антрациклинов (даунорубицин, идарубицин), может также применяться цитарабин. Проводится несколько курсов лечения: индукция, консолидация и затем поддерживающая терапия в течение 1-2 лет.
К сожалению, примерно у 15% больных использование ATRA вызывает серьезные осложнения (синдром ретиноевой кислоты): одышку, повышение температуры, боли в костях, отеки, прибавку в весе, печеночную и/или почечную недостаточность и другие симптомы. Для лечения этих осложнений используется дексаметазон.
При рецидиве болезни, неэффективности или плохой переносимости ATRA для лечения ОПЛ может применяться также триоксид мышьяка («Тризенокс», «Асадин»), который во многих случаях характеризуется высокой эффективностью в сочетании с умеренной токсичностью. Среди возможных побочных действий триоксида мышьяка — дифференцировочный синдром, аналогичный упомянутому выше синдрому ретиноевой кислоты; иногда — нарушение сердечного ритма.
В случае рецидива или недостаточной эффективности обычной терапии может применяться аутологичная или аллогенная трансплантация костного мозга.
Прогноз
Без лечения больные ОПЛ погибают в течение нескольких недель, иногда даже считанных дней. Ранее ОПЛ считался разновидностью лейкоза с очень плохим прогнозом. Однако при использовании современных протоколов терапии ОПЛ поддается излечению лучше, чем остальные варианты острого миелоидного лейкоза: стойкая ремиссия достигается у подавляющего большинства больных (более 70%, у молодых пациентов — около 90%). Поскольку столь заметное улучшение связано с открытием лекарств, эффективных против именно этой конкретной разновидности лейкоза, специалисты возлагают надежду на то, что и для других вариантов острого миелоидного лейкоза будут в свое время найдены подобные специфические препараты.
Эпидемиология острого промиелоцитарного лейкоза - частота встречаемости
В статье представлены результаты исследований иммунотипирования(ИФТ) с помощью метода проточной цитофлуориметрии и определена частота выявляемости среди больных детей острого миелоидного лейкоза. Диагноз острый миелобластный лейкоз может быть установлен при наличии иммунофенотипа миелопероксидазы (МРО) и в случае отсутствии, а бластные клетки экспрессируют другие, менее специфичные миелоидные маркеры и исключен вариант острого лимфобластного лейкоза. При ИФТ методом проточной цитофлуориметрии, острый миелоидный лейкоз выявляется во всех детских возрастах, но при нашем наблюдении в возрастах от 12 лет до 12 лет 11 месяцев и от 16 лет – 16 лет 11 месяцев не выявлено ни среди женского, ни среди мужского пола – 0 % случаев. Выявлено, в Кыргызской Республике среди больных детей наиболее распространенные варианты лейкозов: острый миелобластный лейкоз (М2) в 53 % случаев и острый миеломонобластный лейкоз (М4) в 20 % случаев и реже выявляется острый миелобластный лейкоз (М1) в10 % случаев, острый промиелоцитарный лейкоз (М3) в 10 % и острый монобластный лейкоз(M5а, M5b) в 7 % случаев. Выявляется острый миелоидный лейкоз среди больных детей женского пола киргизской национальности в 78 % случаев, среди мужского пола в 83 % случаев, и у больных детей женского пола среди жителей русскоязычного населения Кыргызской Республики в 22 % случаев, мужского пола в 17 % случаев. Чаще обнаруживается у больных детей киргизской национальности острый миелобластный лейкоз(M2) в 69 % случаев, острый промиелобластный лейкоз(М3) в 67 % случаев , а среди больных детей жителей русскоязычного населения Кыргызской Республики острый миелобластный лейкоз(М1) в 68 % случаев, острый миелобластный лейкоз (М4) в 68 % случаев и острый монобластный лейкоз(М5a, M5b) в 100 % случаев. ИФТ по результатам дает свою целенаправленную характеристику бластных клеток и индивидуально с учетом предельной чувствительности методики.
1. Gorczyca W. Flow cytometry neoplastic hematology. Morphologic-immunophenotypic correlation. Informa healthcare. 2014. Р. 20–45.
2. Dohner H., Estey E., Grimwade D. Diagnosis and management of AML in adults: 2017 ELN recommendations from an international expert panel. Blood 2017. vol. 129. P. 421–447.
3. Van Dongen J.M., Lhermitte I., Bottcher S. EuroFlow antibody panels for standardized n-dimensional flow cytometric immunophenotyping of normal, reactive and malignant leukocytes. 14th EHA Congress. Berlin. 2009. Р. 10–155.
4. Bene M.C., Gastoldi G., Knapp W. Proposals for the immunological classification of acute leukemia European Group for the Immunological Characterization of Leukemia (EGIL) Leukemia. 1995. vol. 9. P. 1783–1786.
5. Swerdlow S.H., Compo E., Harris N. World Health Organization(WHO)Classification of Tumors of Hematopoietic and Lymphoid Tissues.International Agency for Research on cancer. 2017. P. 1–100.
6. Rohrs S., Scherr M., Romani J. Cd7 in acute myeloid leukemia: correlation with loss of wild – type CEBPA, consequence of epigenetic regulation. Journal Hematology Oncology. 2010. P. 3–15.
7. Baratova D.А., Toichubaev M.A. Immunogenetic indicators of placental blood on the system HLA-main complex histocompatibility (192nd Scientific Federation Conference, 4th Global Conference and Expo on Vaccines Research& Development, February 10–11, 2020. Lisbon, Portugal). P. 50–51.
Острый лейкоз – это острое злокачественное заболевание системы крови, с поражением на уровне детерминированных родоначальных стволовых клеток или ранних клеточных предшественников, характеризующийся наличием бластных клеток в костномозговом пунктате или в периферической крови от 20 % и более.
При постановке диагноза острого миелоидного лейкоза (ОМЛ) цитогенетические, морфологические исследования по настоящее время остаются мощным инструментом в клинической практике, но для подробного изучения клеток костного мозга, метод проточная цитофлуометрия имеет свои, несомненно, большие преимущества.
На сегодняшний день, при постановке диагноза острого миелоидного лейкоза с помощью метода проточной цитофлуометрии, необходимо оценить иммунофенотипические особенности бластных клеток и определить вариант направленности миелоидной клеточной линейности и исключить Т и В-линейной или редкие варианты неясной линейности.
Клетки миелоидной линии развиваются в костном мозге из общего кроветворного предшественника. Ранними клетками моноцитарного ряда – это монобласты и промоноциты. В норме их содержание в костном мозге, крайне низкое.
По данным автора [1] монобласты экспрессируют маркеры предшественников СD34, CD117 и HLA-DR, в последовательности появляются СD4, CD64, СD36, CD33, СD11с, CD11b, СD15, CD14 и в стадии промоноцита интенсивность экспрессии данных маркеров увеличивается, а антигены ранней стадии дифференцировки (СD34, CD117) медленно исчезают. При диагностике острого миелоидного лейкоза (ОМЛ), наиболее специфичным является обнаружение миелопероксидазы в цитоплазме опухолевых клеток.
Миелопероксидаза – линейно-специфический маркер миелоидной линии, лизосомальный фермент гранулоцитов. При иммунофенотипировании в случае не выявления миелопероксидазы, то для установления миелоидного варианта острого лейкоза, необходимо исследовать другие миелоидные антигены, включая маркеры редких форм ОМЛ (эритроидный, мегакариобластный), а также исключить лимфоидный вариант дифференцировки опухолевых клеток. С диагностической целью применяются определение линейной принадлежности опухолевых клеток наборы антител рекомендованные Международной группой экспертов Европейской сети лейкемии (ELN) [2], консорциума Еврофлоу[3], и для дифференциальной диагностики классификации European Group for the Immunological Characterization of Leukemia (EGIL) [4] и Всемирной организации здравоохранения (ВОЗ) [5].
Для подтверждения миелоидной направленности опухолевых(бластных) клеток необходимо оценить экспрессию миелоидных антигенов.
Как отмечают авторы [5], бластные клетки при остром миелоидном лейкозе (ОМЛ) чаще всего экспрессируют маркеры предшественников (CD34, CD117, HLA-DR) и в редких случаях терминальную дезоксинуклеотидил трансферазу-TdT (Тerminal deoxynucleotidyl Тransferase), специализированная ДНК-полимераза, которая в норме добавляет N-нуклеотиды при реоранжировке генов Т и В клеточных рецепторов, увеличивая их вариабельность.
Встречается в 30 % случаев при остром миелоидном лейкозе СD7, экспрессия данного антигена может коррелировать с неблагоприятным прогнозом [6].
Как отмечают авторы [7], в будущем найдет свое мощное направление иммунотерапия, вакцинотерапия, гаплоидентичная трансплантация гемопоэтических стволовых клеток при лечении острых лейкозов и других злокачественных онкогематологических заболеваниях.
На сегодняшний день, при правильном постановке диагноза «острый лейкоз», с определением направленности миелоидного варианта линейности и своевременном подборе ПХТ, необходимо провести аллогенную трансплантацию гемопоэтических стволовых клеток. Своевременное проведение высокотехнологичного метода терапии гаплоидентичной (родитель, брат, сестра или плацентарная кровь) [7], или близкородственной, неродственной трансплантации гемопоэтических стволовых клеток, позволяет при наличии совместимого HLA–идентичного здорового донора [8].
Целью нашего исследования является выявление частоты распространенности и своевременный диагностический анализ иммунофенотипа опухолевой (бластной) клеточной линейности при остром миелоидном лейкозе у больных детей в Кыргызской Республике (Киргизии).
Материалы и методы исследования
В группу исследования с ноября 2016 г. по декабрь 2019 г. вошли 30 пациентов детей (женского пола – 16, мужского пола – 14) с острым миелоидном лейкозом, из них больные дети киргизской национальности – 24 (женского пола – 14 и мужского пола – 10) и жителей русскоязычного населения (смешанная нация и разной национальности) Кыргызской Республики (Киргизии) – 6 пациентов детей, из них детей (женского пола – 2, мужского пола – 4), все граждане Кыргызской Республики (Киргизии), в возрасте от 1,5 года до16 лет, проходившие обследование в отделении детской онкологии Национального центра онкологии и гематологии Министерства здравоохранения Кыргызской Республики и в отделении детской гематологии Ошской межобластной клинической детской больницы г. Ош, в г. Санкт-Петербурге больные консультированы врачами гематологами на базе Евразийского центра онкогематологии, иммунологии и терапии.
Метод с помощью проточной цитофлуориметрии использовался впервые, и проводилось иммунофенотипирование в г. Бишкек (Кыргызская Республика (Киргизия).
Метод с помощью проточной цитофлуориметрии
Материалом для исследования был костный мозг. Больным произведена пункция грудины. При получении материала, необходимо соблюдать технику сбора и для получения качественного результата, пункционный анализ не должен быть с примесью крови и механически в пробирке с ЭДТА не разрушать клетки во время пробоподготовки к иммунофенотипированию. Иммунофенотипирование лейкозных (бластных) клеток проводят на проточном цитофлуометре Cytomics FC500 (Beckman Coulter, США) с использованием моноклональных антител Beckman Coulter.
Статистическая обработка полученных результатов включала в себя анализ стандартных критериев. X2-квадрат, использовали для оценки достоверности различий по встречаемости определенных признаков между исследуемой группой. Определение величины «р», соответствующей найденному значению. X2-квадрат, велось на компьютерной программе с учетом одной степени свободы. Все математические расчеты и общий статистический анализ полученных исследований проводили с помощью персонального компьютера с использованием пакета прикладных программ для Электронных Таблиц Microsoft – ExcelM Версия 7,0 для Windows 95, для Windows-2010, Statistica-5.
Результаты исследования и их обсуждение
При проведении нами исследований, диагноз острый миелоидный лейкоз (ОМЛ) устанавли вался на основании клинических данных и комплексных ряда общих и специальных лабораторно-диагностических показателей.
По результатам наших исследований в Кыргызской Республике (Киргизии) с острым миелоидным лейкозом(ОМЛ) у больных детей по возрастным показателям среди мужского пола выявляется в возрастах от 1,5 года до 1 года 11 месяцев, от 3лет – 3лет 11 месяцев, 8 лет – 8 лет 11 месяцев, 10 лет – 10 лет 11 месяцев и от 14 лет до 14 лет 11 месяцев и среди женского пола от 7 лет до 7 лет 11 месяцев, 9 лет – 9 лет 11 месяцев, 11 лет – 11 лет 11 месяцев и от 13 лет до 13 лет 11 месяцев, практически в 100 % случаев. Выявляются среди женского пола в возрастах от 2-х лет до 2 лет 11 месяцев в 77 % случаев, в 4 года до 4 года 11 месяцев в 50 % случаев, от 5 лет – 5 лет 11 месяцев в 32 % случаев, в 6 лет – 6 лет 11 месяцев в 50 % случаев и в 15 лет – 15 лет 11 месяцев в 50 % случаев, а среди мужского пола в возрастах от 2-х лет – 2 лет 11 месяцев в 23 % случаев, в 4 года – 4 года 11 месяцев в 50 % случаев, в 5 лет – 5 лет 11 месяцев в 68 % случаев, в 6 лет – 6 лет 11 месяцев в 50 % случаев, в 15 лет – 15 лет 11 месяцев в 50 % случаев.
При нашем наблюдении в возрастах от 12 лет до 12 лет 11 месяцев и от 16 лет до 16 лет 11 месяцев не выявлено ни среди женского пола, ни среди мужского пола – 0 % случаев, данные представлены на рис. 1.
Рис. 1. Сравнительная возрастная характеристика частоты выявляемости в Кыргызской Республике у больных детей женского и мужского пола острого миелоидного лейкоза
По значимости отличий, в Кыргызской Республике (Киргизии) острый миелоидный лейкоз у больных детей чаще выявляется среди мужского пола по сравнению с контрольной группой (женского пола) и имеет статистически достоверные различия, где р < 0,005.
По частоте распространенности среди больных детей киргизской национальности выявляется острый миелобластный лейкоз (вариант М1) в 32 % случаев, острый миелобластный лейкоз (вариант M2) в 69 % случаев, острый промиелобластный лейкоз (вариант М3) в 67 % случаев, острый миелобластный лейкоз (вариант М4) в 32 % случаев, острый монобластный лейкоз (вариант М5a, M5b) в 0 % случаев, данные представлены на рис. 2. В сравнении среди больных детей жителей русскоязычного населения Кыргызской Республики (Киргизии) выявляется острый миелобластный лейкоз (вариант М1) в 68 %случаев острый миелобластный лейкоз (вариант M2) в 31 % случаев, острый промиелобластный лейкоз (вариант М3) в 33 % случаев, острый миелобластный лейкоз (вариант М4) в 68 % случаев, острый монобластный лейкоз (вариант М5a, M5b) в 100 % случаев.
Рис. 2. Варианты острого миелоидного лейкоза(ОМЛ) среди больных детей киргизской национальности и жителей русскоязычного населения Кыргызской Республики(Киргизии)
По значимости отличий, в Кыргызской Республике(Киргизии) по вариантам течения заболевания острый миелобластный лейкоз (вариант М1) и острый миелобластный лейкоз (вариант М4) реже выявляется и практически не выявляется острый монобластный лейкоз (вариант М5a, M5b) среди больных детей киргизской национальности по сравнению с больными детьми жителей русскоязычного населения Киргизии, и имеют статистически высоко достоверные различия, где р < 0,0001.
Как видно, из представленного рис. 3, острый миелоидный лейкоз (ОМЛ) у больных детей среди женского пола киргизской национальности выявляется в 78 % случаев, а среди мужского пола в 83 % случаев.
Рис. 3. Распространенность среди женского и мужского пола у больных детей острого миелоидного лейкоза в Кыргызской Республике (Киргизии)
Рис. 4. Частота распространенности в Кыргызской Республике среди больных детей иммунологических вариантов острого миелоидного лейкоза (ОМЛ)
А среди больных детей женского пола жителей русскоязычного населения Кыргызской Республики (Киргизии) выявляется в 22 % случаев, среди мужского пола в 17 % случаев.
По значимости различий, по распространенности в Кыргызской Республике (Киргизии) острый миелоидный лейкоз чаще диагностируется среди больных детей (женского и мужского пола) киргизской национальности по сравнению с контрольной группой (женского и мужского пола больными детьми жителей русскоязычного населения Кыргызской Республики (Киргизии) и имеют статистически достоверные различия р < 0,005.
По данным наших исследований, как видно из представленного рис. 4, выявляются среди больных детей в Кыргызской Республики (Киргизии) наиболее распространенные – острый миелобластный лейкоз (М2) в 53 % случаев, острый миеломонобластный лейкоз (М4) в 20 % случаев и несколько реже выявляется острый промиелоцитарный лейкоз (М3) в 10 % случаев, острый миелобластный лейкоз (М1) в10 % случаев и острый монобластный лейкоз (5а, 5b) в 7 % случаев.
По значимости различий между вариантами ОМЛ и частоты выявляемости, наиболее распространенный и чаще диагностируется острый миелобластный лейкоз (вариант М2) и имеет статистически высоко достоверное различие, где р < 0,005.
Заключение
Таким образом, при остром миелоидном лейкозе важно выявление миелоидных маркеров, которые отражают ранние степени дифференцировки клеток для установления диагноза острого лейкоза. Иммунофенотипирование в диагностике вариантов миелоидной направленности опухолевых (бластных) клеток, для подтверждения миелоидной направленности необходимо оценить экспрессию миелоидных антигенов. Иммунофенотипирование с помощью проточной цитофлуориметрии при остром миелоидном лейкозе является одним из чувствительным методом в дифференциальной диагностике с учетом правильной, подробной характеристики десятки и сотни бластных клеток, и для постановки диагноза, позволяет выявить характерный иммунофенотип наличие миелопероксидазы (МРО), что диктует о необходимости своевременного подбора эффективной программы химиотерапии и после проведенной терапии при достижении полной ремиссии, выявления минимальной остаточной болезни.
Для определения варианта линейности и выявление частоты распространенности, и особенности течения острого миелоидного лейкоза у детей в Кыргызской Республике (Киргизии), необходимо проводить исследование методом с помощью проточной цитофлуориметрии. При остром миелоидном лейкозе, несмотря на изучение подробной характеристики бластных клеток, позволяющий выявить характерный иммунофенотип с помощью метода проточной цитофлуометрии, для подтверждения диагноза необходимо параллельно проводить цитогенетические, молекулярно-генетические и морфологические исследования.
По частоте распространенности острый миелоидный лейкоз встречается у больных детей и среди женского, и среди мужского пола, и течение заболевания более агрессивное, в связи, с чем необходимо при своевременной установке диагноза, определить направленность миелоидной линейности. Подбор и проведение полихимиотерапии, и пересадка гемопоэтических стволовых клеток, в частности у детей дает наилучшие результаты при наличии HLA-идентичного здорового донора.
Выводы
1. Исследовать костный мозг у больных детей с острым миелоидным лейкозом с помощью метода проточной цитофлуориметрии и параллельно проводить цитогенетические, цитохимические, морфологические исследования.
2. Скрининговое исследование опухолевых (бластных) клеток для определения линейной направленности.
3. Определить направленность – вариант миелоидной линейности и исключить лимфоидный вариант линейности.
4. Иммунофенотипирование методом проточной цитофлуориметрии позволяет выявить характерный миелоидной линейности иммунофенотип опухолевых (бластных) клеток и своевременно выбрать эффективную программу химиотерапии.
ПРИВОЛЖСКИЙ РЕГИОНАЛЬНЫЙ ФОРУМ 2022
Пандемия COVID-19 внесла коррективы в проведение традиционных региональных форумов Ассоциации "Федерация лабораторной службы".
Спустя 2 года после начала пандемии мы рады анонсировать запуск регистрации на очный Приволжский региональный форум, который пройдет 20 апреля 2022 года в Нижнем Новгороде в конференц-зале отеля «Ока Бизнес».
Весь день 20 апреля 2022 года с 9:00-17:00 вас ждут выступления экспертов лабораторного сообщества России.
Научная программа форума аккредитована Коммисией по НМО.
Целевая аудитория: бактериология; вирусология; клиническая лабораторная диагностика; медицинская биофизика; медицинская биохимия; медицинская кибернетика; медицинская микробиология
Кураторы форума:
- Абалихина Е.П., к.б.н., главный внештатный специалист Министерства здравоохранения Нижегородской области по клинической лабораторной диагностике
- Щербо С.Н., д.б.н., профессор, заведующий кафедрой клинической лабораторной диагностики ФГБОУ ВО РНИМУ имени Н.И. Пирогова, главный ученый секретарь Ассоциации «ФЛМ»
Генеральный партнер:

РЕГИСТРАЦИЯ ОТКРЫТА !
Организаторы:
20 апреля 2022 года Нижний Новгород, Гранд Отель «Ока», Конгресс-центр
ФОРУМ СПЕЦИАЛИСТОВ ЛАБОРАТОРНОЙ МЕДИЦИНЫ НИЖЕГОРОДСКОЙ ОБЛАСТИ
«Современные подходы к организации лабораторной службы, профессиональные стандарты и образование, перспективные технологии в медицинской практике»
ОТКРЫТИЕ ФОРУМА Конференц-зал «Люкс»
09:30-09:35 Открытие конференции
Иванов Андрей Михайлович, д.м.н., профессор, член-корреспондент РАН, вице-президент Ассоциации «ФЛМ», главный внештатный специалист МО РФ по клинической лабораторной диагностике, г. Санкт-Петербург
09:35-09:40 Приветственное слово
Абалихина Елена Павловна, к.б.н., заведующая клинико-диагностической лабораторией ГБУЗ НО «Городская больница № 33» Ленинского района г. Нижнего Новгорода», главный внештатный специалист Министерства здравоохранения Нижегородской области по клинической лабораторной диагностике, г. Нижний Новгород
Часть I Конференц-зал «Люкс»
Модераторы: Иванов А.М., Абалихина Е.П., Цибин А.Н.
09:40-10:10 Трансляция результатов фундаментальных исследований в лабораторную медицину
Иванов Андрей Михайлович, д.м.н., профессор, член-корреспондент РАН, вице-президент Ассоциации «ФЛМ», главный внештатный специалист МО РФ по клинической лабораторной диагностике, г. Санкт-Петербург
В лекции на примере влияния результатов фундаментальных исследований в области молекулярной биологии, физики, химии, электротехники, информационных технологий приводятся примеры разработки новых методов лабораторной диагностики. Формулируется прогноз перспективного развития клинической лабораторной диагностики в медицине.
10:10-10:50 Лабораторная медицина как основа развития медицины 5П
Щербо Сергей Николаевич, д.б.н., профессор, заведующий кафедрой клинической лабораторной диагностики ФГБОУ ВО РНИМУ имени Н.И. Пирогова, главный ученый секретарь Ассоциации «ФЛМ», г. Москва
Лекция посвящена основным тенденциям развития современной медицины, новых технологий, месте и роли лабораторной медицины в этом процессе. Будут рассмотрены базисные ОМИКсные технологии персонализированной медицины, новые высокотехнологичные молекулярно-генетические методы, а также их применение в медицинской практике.
10:50-11:35 Работа лабораторной службы Москвы в условиях пандемии COVID-19
Цибин Александр Николаевич, главный внештатный специалист по клинической лабораторной диагностике Департамента здравоохранения г. Москвы, заведующий организационно-методическим отделом по клинической лабораторной диагностике ГБУ «НИИОЗММ ДЗМ», г. Москвы
В докладе представлен опыт по организации деятельности лабораторной службы города Москвы в условиях пандемии COVID-19, внедрения современных технологий, оценке качества лабораторных исследований. Будет рассмотрен передовой опыт по обеспечению доступности населения современной лабораторной диагностикой в условиях мегаполиса.
11:35-11:55 Сателлитный доклад компании Mindray
/не входит в программу для НМО/
Возможности определения онкомаркеров на аналитических платформах серии CL компании Mindray
Мусатова Елена Сергеевна, специалист по продукции CLIA ООО «Миндрей Медикал Рус»,
г. Москва
11:55-12:40 Новые нормативные документы: профессиональные стандарты, аккредитация и вопросы НМО
Гильманов Александр Жанович, д.м.н., профессор, заведующий кафедрой лабораторной диагностики ИДПО Башкирского государственного медицинского университета, член Президиума Ассоциации «ФЛМ», г. Уфа
Лекция охватывает вопросы, связанные с новыми профессиональными стандартами, аккредитации, переходом на систему додипломной лабораторной подготовки и последипломного непрерывного медицинского образования.
12:40-12:50 Ответы на вопросы
12:50-13:45 Перерыв, кофе-брейк
Часть II Конференц-зал «Люкс»
Модераторы: Гильманов А.Ж., Островский О.В., Щербо С.Н.
13:45-14:30 Управление качеством в клинико-диагностических лабораториях. Философия и реальная практика
Островский Олег Владимирович, д.м.н., профессор, заведующий кафедрой теоретической биохимии с курсом клинической биохимии Волгоградского государственного медицинского университета, г. Волгоград
Лекция посвящена вопросам качества в деятельности клинико-диагностических лабораторий различного профиля. Рассмотрены практические аспекты управления качеством.
14:30-14:50 Сателлитный доклад компании «НПО «Диагностические системы»
/не входит в программу для НМО/
Система менеджмента качества как гарантия безопасности
Обрядина Анна Петровна, д.б.н., заместитель генерального директора ООО «НПО «Диагностические системы», г. Нижний Новгород
14:50-15.35 Ключевые моменты морфологической диагностики острых лейкозов у детей
Cоколова Наталья Александровна, к.м.н., доцент кафедры клинической лабораторной диагностики ФГБОУ ВО РНИМУ имени Н.И. Пирогова Минздрава России, г. Москва
В лекции представлена краткая характеристика острых лейкозов (определение, представление о классификации, эпидемиологические данные). Приведен алгоритм лабораторной диагностики острых лейкозов. Подробно рассмотрены наиболее частые изменения в общем анализе крови при острых лейкозах с клиническими примерами. Представлен клинический разбор (дифференциальная диагностика реактивного изменения крови и гемобластоза у ребенка). Рассмотрены морфологические особенности бластных клеток при различных вариантах острых лейкозов (острый лимфобластный лейкоз, острый промиелоцитарный лейкоз и др.).
15:35-15:50 Сателлитный доклад компании «Алкор Био»
/не входит в программу для НМО/
Высокоспецифичные маркеры в комплексной диагностике вирусных гепатитов В и С
Старцева Галина Юрьевна, к.м.н., доцент кафедры инфекционных болезней СЗГМУ
им. И.И. Мечникова г. Санкт-Петербург
15:50-16:20 Система управления качеством лабораторных услуг на базе требований ГОСТ Р 15189-2015
Цибина Светлана Михайловна, научный сотрудник ФГБНУ «Национальный научно-исследовательский институт общественного здоровья имени Н.А. Семашко», г. Москва
В лекции рассмотрен практический опыт клинико-диагностических лабораторий РФ для обеспечения качества лабораторных услуг пациентов. Показано, что соответствие КЛД требованиям ГОСТ Р ИСО 15189-2015 является доказательством технической компетентности медицинской лаборатории и наличия у нее действующей системы управления качеством лабораторных услуг.
16:20-16:35 Сателлитный доклад компании ООО «ГЕМ»
/не входит в программу для НМО/
Отечественные решения для преаналитического этапа диагностики инфекционных заболеваний
Дмитриева Дарья Сергеевна, менеджер по продукту, ООО ГЕМ, г. Москва
16:35-16:50 35 Сателлитный доклад компании ООО «Сарториус РУС»
/не входит в программу для НМО/
Решения Sartorius для клинико-диагностических лабораторий и медицинских НИИ
Арина Хартукова , Специалист по водоподготовке и дозирующей технике
ООО «Сарториус РУС», г. Санкт-Петербург
16:50-17:00 Дискуссия, ответы на вопросы
МИКРОБИОЛОГИЧЕСКИЕ ИССЛЕДОВАНИЯ Конференц-зал «Бизнес»
СЕМИНАР ДЛЯ ПРАКТИЧЕСКИХ МИКРОБИОЛОГОВ, ЭПИДЕМИОЛОГОВ, КЛИНИЧЕСКИХ ФАРМАКОЛОГОВ
«Актуальные аспекты микробиологической диагностики
в клинической микробиологии»
Модераторы: Макарова С.Ю., Чеботарь И.В.
10:00-10:45 Методы определения чувствительности к антимикробным препаратам in vitro. Возможности и ограничения различных методов. Выбор методов для практической лаборатории. Новое в Российских рекомендациях по определению чувствительности к антимикробным препаратам
Сухорукова Марина Витальевна, к.м.н., руководитель отдела многоцентровых исследований НИИ антимикробной химиотерапии ГБОУ ВПО «Смоленский государственный медицинский университет» Минздрава России, г. Смоленск
В лекции обсуждаются актуальные методы определения чувствительности к антимикробным препаратам, а также их возможности и ограничения в практической деятельности микробиологических лабораторий. Обсуждаются новые аспекты работы микробиологов в связи с принятием Российских рекомендаций по определению чувствительности к антимикробным препаратам. В лекции рассматриваются вопросы о причинах устойчивости бактерий к наиболее часто используемым антибактериальным препаратам, представлены частота встречаемости и факторы, способствующие распространению устойчивых бактерий.
10:45 -11:30 Парадоксы антибиотикорезистентности
Чеботарь Игорь Викторович, д.м.н., заведующий лабораторией молекулярной микробиологии, ФГАОУ ВО РНИМУ им. Н.И. Пирогова Минздрава России, г. Москва
В лекции будут обсуждаться вопросы, которые часто возникают у клинических микробиологов при интерпретации антибиотикорезистентности. В частности, будут затронуты вопросы об эволюции антибиотикорезистентности, о проблеме несоответствия между генотипом и фенотипом, о наиболее типичных ошибках при оценке антибиотикорезистентности.
11:30-12:15 Методы выявления наиболее значимых фенотипов и маркеров антибиотикорезистентности в повседневной практике микробиологической лаборатории
Поликарпова Светлана Вениаминовна, к.м.н., заведующий бактериологической лабораторией, врач-бактериолог ГБУЗ Городская клиническая больница № 15 имени
О.М. Филатова Департамента здравоохранения г. Москвы, член Президиума Ассоциации «ФЛМ» г. Москва
В лекции будут рассмотрены различные подходы к микробиологической диагностике инфекций, связанных
с проблемными резистентными возбудителями. В лекции содержится обзор фенотипических и молекулярно-генетических методов выявления различных механизмов резистентности микроорганизмов и будут даны рекомендации по выявлению наиболее значимых фенотипов и маркеров антибиотикорезистентности
в повседневной практике клинических микробиологических лабораторий для определения инфекций, связанных с проблемными резистентными возбудителями.
Острый промиелоцитарный лейкоз

Основными симптомами, связанными с геморрагическими проявлениями, наблюдаются у 90 % больных. Гепатомегалия и лимфаденопатия отмечается не более чем у 20% пациентов.
Причины
Истинная частота возникновения ОПЛ неизвестна, поскольку до недавнего времени в регистры заболеваемости острыми лейкозами ОПЛ вносили вместе с другими вариантами ОМЛ. Считается, что ОПЛ встречается в 5-15% всех случаев ОМЛ.
Существует несколько отличий в эпидемиологических характеристиках между острым миелоцитарным лейкозом (ОМЛ) и острым промиелоцитарным лейкозом, особенно это касается вероятности возникновения ОПЛ в зависимости от возраста. Так, для ОМЛ вероятность возникновения постепенно увеличивается пропорционально возрасту до 55 лет, а затем отмечается резкий экспоненциальный рост заболеваемости. При ОПЛ эта закономерность не выявляется. Хотя заболевание диагностируется во всех возрастных группах, но его частота крайне низка у больных в возрасте до 10 лет. В возрастной группе от 0 до 17 лет частота ОПЛ среди всех случаев ОМЛ составляет 3-4%. В возрасте от 10 лет до 20 лет вероятность возникновения ОПЛ постепенно возрастает, затем наблюдается плато до возраста 60 лет, после чего вероятность возникновения заболевания снижается. Большинство случаев ОПЛ диагностируют в возрасте от 20 до 60 лет. Медиана возраста при диагностике ОПЛ составляет 38 лет.
Другой существенной эпидемиологической характеристикой ОПЛ является высокая частота встречаемости у больных из Латинской Америки - 24,3%, что значительно выше, чем у представителей других этнических групп. Однако особенностей клинического течения заболевания или каких-либо принципиальных биологических отличий у них не обнаруживается. Также следует отметить, что частота встречаемости различных вариантов точек разрыва в гене PML (bcrl, bcr2, ЬсгЗ) отличается в зависимости от этнического происхождения. Например, отмечают большую частоту выявления (63- 75%) у больных латиноамериканского происхождения bcrl транскрипта, чем у больных в Италии - 59,4%, Испании - 56%, Великобритании - 61%, США - 54%. Столь же высокие цифры по частоте определения первого варианта транскрипта отмечены и у больных из Азии - в Китае, например, встречаемость составляет 69%. Полагают, что у больных из Латинской Америки, большинство из которых являются метисами, то есть потомками кавказоидов и американских аборигенов, иммигрировавших в Америку из восточной Азии почти 12 тысяч лет назад, сохранилась генетическая предрасположенность, свойственная азиатам, к более высокой частоте bcrl.
В последние годы все больше описывается случаев возникновения ОПЛ как вторичного лейкоза, связанного с предшествующей химиотерапией и облучением. Большие многоцентровые исследования свидетельствуют о том, что вторичный ОПЛ в большинстве случаев возникает не позднее трех лет после завершения химиотерапии по поводу первичного онкологического заболевания ингибиторами топоизомеразы II (антрациклины, или митоксантрон, реже - этопозид). У 57% больных первичной опухолью был рак молочной железы, далее следуют лимфомы, значительно реже лимфогранулематоз. Среднее время от завершения терапии по поводу первичной опухоли до момента диагностики вторичного ОПЛ составляет 24 месяца (от 15 месяцев до 8 лет). По мере увеличения агрессивности химиотерапевтического воздействия увеличивается вероятность развития вторичного ОПЛ, как, впрочем, может уменьшаться и временной интервал от момента завершения химиотерапии и возникновения острого лейкоза. Все вторичные ОПЛ были отнесены к классическому гипергранулярному варианту, во всех этих случаях выявлялась транслокация t (15; 17), результаты терапии при них не отличались от таковых при первичных ОПЛ. Все исследователи отмечают, что прогноз при вторичном ОПЛ столь же оптимистичный, как и при de novo в случаях, если использовать адекватную химиотерапевтическую тактику.
Интересно отметить, что описаны промиелоцитарные властные кризы хронического миелолейкоза (ХМЛ). В описываемых случаях промиелоцитарный бластный криз был диагностирован у больных с ранее доказанным хроническим миелолейкозом. В одном случае диагноз промиелоцитарного криза подтверждается морфологически, иммунофенотипически и цитогенетически (FISH-исследование на t). В другом случае при властном кризе выявляют типичный маркер ОПЛ - транскрипт PML-RARa.
Симптомы
ОПЛ представляет собой четко очерченную нозологическую форму с настолько характерными клинико-лабораторными признаками (типичная морфология опухолевых клеток, тяжелый геморрагический синдром, гематомный тип кровоточивости, избыточно активированный фибринолиз, ДВС-синдром, обычно лейкопения), что диагноз порой можно установить, основываясь лишь на клинических проявлениях. При этом в клинической практике можно столкнуться и со случаями ОПЛ, которые протекают не столь драматично - отсутствуют проявления геморрагического синдрома, больные в течение нескольких месяцев могут наблюдаться по поводу лейкопении, умеренной тромбоцитопении.
Проявления геморрагического синдрома (кровоточивость десен, повышенная травмируемость кожных покровов, синяки, петехии, нередко кровотечения из носа, желудочно-кишечного тракта) имеются у 90% пациентов на момент диагностики. Гепатоспленомегалия или лимфоаденопатия определяются менее чем у 20% пациентов.
У 80% больных манифестация заболевания характеризуется лейкопенией (медиана числа лейкоцитов составляет 1,8х10 9 /л.), причем, чаще всего лейкопения обнаруживается у больных с гипергранулярным вариантом ОПЛ. Хотелось бы отметить, что если у больного в момент диагностики острого лейкоза определяется лейкопения менее 1х10 9 /л., особенно в сочетании с гипофибриногенемией, то с большой долей вероятности можно предполагать промиелоцитарный вариант ОМЛ. У 15-20% пациентов, преимущественно с гипогранулярным вариантом заболевания, в дебюте болезни выявляется гиперлейкоцитоз (медиана 83х10 9 /л.) с увеличением числа лейкоцитов до 150 и более тысяч. У подавляющего числа больных (80-90%) определяется анемия, причем у половины из них концентрация гемоглобина составляет менее 100 г/л. У 75% больных содержание тромбоцитов снижается до 50х10 9 /л. и ниже. Лабораторные признаки диссеминированного внутрисосудистого свертывания крови и истощенного фибринолиза определяются у 80-90% пациентов.
Диагностика

Морфологические особенности опухолевых клеток при ОПЛ настолько характерны, что в большинстве случаев не требуется никаких дополнительных методов исследования для установления правильного диагноза. С момента выделения ОПЛ в отдельную форму ОМЛ, все исследователи отмечали, что бластные клетки при ОПЛ прежде всего характеризуются значительным ядерным полиморфизмом и наличием крупной фиолетово-бурой зернистости, густо заполняющей цитоплазму. Вне всякого сомнения, эти морфологические признаки свойственны классическому - гипергранулярному - варианту ОПЛ. Гипогранулярный вариант определяется в 15-20% всех случаев ОПЛ. При обычной окраске в цитоплазме опухолевых клеток обнаруживается лишь несколько мелких гранул или они не выявляются вовсе, при этом все остальные признаки (клинические, цитогенетические) ОПЛ присутствуют.
Для ОПЛ исключительно важным является получение адекватного костномозгового пунктата, так как большинство форм характеризуется глубокой лейкопенией. Также высока вероятность того, что аспират костного мозга свернется, и диагностический материал не будет получен.
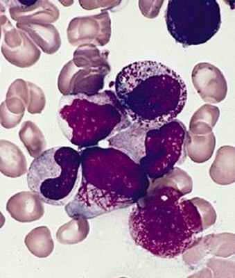
В 90-95% случаев гипергранулярного варианта ОПЛ в промиелоцитах обнаруживаются множественные тонкие палочки Ауэра, часто переплетенные между собой, напоминающие «вязанки хвороста». В некоторых случаях эти пучки палочек Ауэра легче выявляются на недокрашенных мазках, нежели на хорошо прокрашенных препаратах. В редких случаях в промиелоцитах определяются крупные, круглые или овальные азурофильные включения, напоминающие таковые при синдроме Чегиака-Хигаси. В созревающих нейтрофилах при ОПЛ могут определяться диспластические признаки - малосегментированное ядро и уменьшение числа гранул в цитоплазме. Мазок периферической крови в ряде случаев обнаруживает морфологические признаки разрушения эритроцитов вследствие диссеминированного внутрисосудистого свертывания (ДВС) - анизоцитоз, сфероцитоз. При микрогранулярном варианте ОПЛ зернистость в промиелоцитах очень нежная, менее плотная, иногда совсем отсутствует. Ядро в клетках отличается значительной уродливостью - складчатое, дольчатое, напоминающее моноциты. Почти всегда можно найти клетки с характерными палочками Ауэра или подобными им включениями.
Интересен тот факт, что при тщательном микроскопическом исследовании опухолевых клеток ОПЛ могут быть выделены определенные морфологические признаки, позволяющие предположить наличие тех или иных цитогенетических аномалий, свойственных различным вариантам ОПЛ. Выделено 15 морфологических подтипов ОПЛ. Оценивалась форма ядра (правильная - округлая или овальная; неправильная - бобовидная, двухлопастная, дольчатая), степень гранулированности цитоплазмы (гипергранулярная и гипогранулярная, азурофильные гранулы), наличие или отсутствие палочек Ауэра. Также отдельно оценивалось присутствие базофильных гранул, гранул Чегиака-Хигаси, наличие пельгероподобных клеток. Анализ сделан на небольшом материале, (90 пациентов) и, конечно, не может служить однозначным руководством к определению цитогенетического варианта ОПЛ без проведения самого цитогенетического анализа. Любая морфологическая оценка является в достаточной степени субъективной и, по-видимому, требует экспертного подхода. Тем не менее, если при ОПЛ бластные клетки характеризуются правильной 4 формой ядра (не дольчатое, не двухлопастное) с четкими контурами, отсутствием пучков палочек Ауэра, мелкой зернистостью, если встречается большое количество пельгероподобных клеток, то можно предположить, что при данном ОПЛ будет выявлена транслокация t (15; 17) с химерным геном PLZF/RARoc.
Помимо столь подробного дифференцирования разных морфологических вариантов ОПЛ, существуют более простые способы выделения различных подтипов ОПЛ. Итальянские исследователи предлагают обращать внимание на следующие формы: 1) классический гипергранулярный ОПЛ; 2) микрогранулярный ОПЛ; 3) ОПЛ с избытком базофилов; 4) эозинофильный лейкоз с маркером ОПЛ PML-RARa; 5) ОПЛ с базофильными гранулами; 6) морфологически подобный ОПЛ лейкоз без классических маркеров.
Обычная гистологическая характеристика ОПЛ (по данным трепанобиопсии костного мозга) включает в себя резко гиперклеточный костный мозг, представленный, в основном, атипичными промиелоцитами с единичными островками остаточного нормального гемопоэза. Редко встречаются скопления эритробластов, единичные мегакариоциты. Аномальные промиелоциты характеризуются интенсивно окрашенной эозинофильной цитоплазмой при окраске гематоксилин-эозином. В цитоплазме четко видна зернистость, которая может напоминать таковую у тучных клеток или эозинофилов. Причем, даже в гистологическом препарате могут быть видны палочки Ауэра. Границы цитоплазмы у опухолевых клеток чаще всего неправильные или плохо определяются. При малом увеличении аномальные промиелоциты могут напоминать также плазматические клетки. При ОПЛ в костном мозге отмечается резкое увеличение васкуляризации и такой показатель, как «плотность микрососудов» (число сосудов на одно поле зрения при увеличении 600х), существенно превышает контрольные показатели: 7 в сравнении с 2,4 сосудов на одно поле зрения (р<0,0001).
Описаны случаи ОПЛ, протекающие с фиброзом костного мозга. Чаще определяется незначительное увеличение ретикулиновых волокон, но встречаются случаи с фиброзом, выраженным в такой степени, что нет возможности произвести аспирационное исследование костного мозга. Все эти случаи представляют собой вариантный тип ОПЛ (микрогранулярный).
При электронной микроскопии в цитоплазме клеток ОПЛ обнаруживается множество электронноплотных гранул. Различия между гипер- и гипогранулярными вариантами ОПЛ выражаются в числе и размерах гранул. При гипергранулярном варианте ОПЛ размеры гранул варьируют от 120 до 1000 микрон в диаметре, причем большинство из гранул с большим диаметром. При микрогранулярном варианте определяются мелкие гранулы (100-400 микрон), лежащие неплотно и рыхло. Палочки Ауэра при ОПЛ отличаются от таковых при других ОМЛ. Ультраструктура их представлена тубу-лярными элементами, сложенными гексагонально и повторяющимися с периодичностью в 250 микрон. При других ОМЛ палочки Ауэра не имеют тубулярной структуры, а представлены пластинами, лежащими с периодичностью в 6-10 микрон. Грубый эндоплазматический ретикулум обычно существенно расширен и заполнен плотным аморфным материалом. Различают два вида организации ретикулума: мультиламинарную, состоящую из, как минимум, двух параллельно лежащих цистерн, и звездчатую. Последняя является характерным признаком опухолевых клеток ОПЛ.
При цитохимическом исследовании в лейкемических промиелоцитах как при гипергранулярном, так и при гипогранулярном вариантах определяется высокая активность МПО, ХАЭ. Наблюдается интенсивное окрашивание СЧВ. При PAS-реакции в цитоплазме клеток обнаруживается выраженная диффузная окраска. При использовании толуидинового синего отмечается специфическое для данной формы ОМЛ метахроматическое окрашивание цитоплазмы клеток. Активность КФ в лейкемических клетках колеблется от слабой до умеренной. Реакция при определении активности α-НЭ слабая, ингибируется фторидом натрия. Напротив, при определении активности КНЭ отмечается интенсивное диффузное окрашивание цитоплазмы клеток. Палочки Ауэра, содержащиеся в цитоплазме клеток, обнаруживают положительную реакцию при выявлении активности МПО, ХАЭ, КНЭ и окраске СЧВ.
При цитогенетическом исследовании у большинства больных определяется транслокация t (15; 17), при которой ген α рецептора ретиноевой кислоты (RARA) на хромосоме 17р21 сливается с геном одного из факторов транскрипции (ген промиелоцитарного лейкоза PML) на хромосоме 15q22. Получены специфические к химерному белку мкАТ PG-M3 и PML (5Е19).
Дифференциальную диагностику обычно проводят при ОМЛ M3v с М5 (активность МПО и ХАЭ во всех субстратных клетках, отсутствие антигена CD 14 при M3v), с ОМЛ М2 с гипергранулярными промиелоцитами (отсутствие «faggot-клеток», активности НЭ и КНЭ, экспрессии антигена CD9 и транслокации t (15; 17) при ОМЛ М2).
Дифференциальный диагноз с ОМЛ М4 основывается на анализе цитоморфологических и цитохимических признаков лейкемических клеток. При ОМЛ М4 часть бластов обнаруживает отрицательную реакцию при выявлении α-НЭ и КНЭ, слабую или отрицательную реакцию при определении активности МПО и ХАЭ. Малые гипербазофильные промиелоциты при ОМЛ M3v в некоторых случаях могут напоминать микромегакариоциты при ОМЛ М7, однако последние всегда отрицательно реагируют при цитохимическом выявлении активности МПО и ХАЭ.
Профилактика
До настоящего времени ATRA (третиноина или весаноида - коммерческие названия препарата) - единственный лекарственный препарат, не обладающий цитостатическим эффектом и позволяющий достигать полной ремиссии при остром лейкозе. К сожалению, монотерапия ATRA не приводит к длительной безрецидивной выживаемости, так как у всех больных ОПЛ развивается рецидив болезни. Поэтому современная терапия ОПЛ предполагает сочетанное использование препаратов ретиноевой кислоты и цитостатических средств.
Маркерная транслокация при ОПЛ предоставляет возможность проследить судьбу лейкемического клона в период ремиссии. PML-RARa транскрипт определяется у всех больных с полной ремиссией, достигнутой только при использовании ATRA, а также у большинства больных, у которых полная ремиссия получена после первого индукционного лечения с помощью одних цитостатических препаратов. Следует отметить, что определяется четкая взаимосвязь негативными результатами по выявлению химерного транскрипта с помощью ПЦР и вероятностью сохранения полной ремиссии.
По мере накопления опыта по лечению ОПЛ с помощью ATRA у части больных выявляли резистентность заболевания к ретиноидам; в ряде этих случаев отмечали отсутствие маркерной транслокации t (15; 17). Эти наблюдения способствовали дальнейшим исследованиям дифференцированию вариантов ОПЛ. Вначале предполагали, что случаи классического ОПЛ ассоциированы с t (15;17). Однако к настоящему времени описаны три наиболее часто встречающиеся альтернативные транслокации: t(ll;17)(q23;p21); t(ll;17)(ql3;p21) 5;17)(q35;p21). При этих транслокациях ген RARa взаимодействует с генами на 11 паре хромосом PLFZ (ген промиелоцитарного лейкоза с «цинковыми пальцами») и NuMA (ядерный митотический аппарат) и на 5-й паре хромосом - с геном NPM (нуклеофосмин).
Метаболизм ATRA при ежедневном использовании изменяется таким образом: через 1-2 нед. лечения концентрация препарата в плазме снижается в пять и более раз по сравнению с приемом ATRA первую неделю, что является недостаточным для оказания эффекта на лейкемические клетки. Механизм развития этого феномена резистентности объясняется следующим образом: 1) абсорбция препарата со временем снижается; 2) повышается активность цитохрома Р 450 и липидных гидроксипероксидаз; 3) увеличивается содержание CRAB-белков. После отмены ATRA механизм метаболизма препарата восстанавливается. Резистентность, возникающая на фоне терапии ATRA, не развивается при лечении 13-цисретиноевой кислотой. В настоящее время для преодоления приобретенной резистентности, особенно в период проведения поддерживающей терапии ОПЛ, ряд исследователей предлагают использовать ATRA в сочетании с интерфероном-альфа или назначать препарат короткими (7-15 дней) курсами с интервалами в 1-2 нед.
Таким образом, при внедрении препаратов ATRA в программы химиотерапии ОПЛ были разработаны следующие принципы терапии этой формы лейкоза: 1) ATRA следует назначать одномоментно с курсом химиотерапии либо за 3 дня до него; 2) прием ATRA должен быть длительным, минимум 30 дней; 3) ATRA должна использоваться и в период поддерживающего лечения. Следует подчеркнуть, что принципы лечения ОПЛ, определенные в то время, когда ATRA не использовалась, сохраняют свою значимость. Во-первых, необходимо использовать антрациклиновые антибиотики в высоких дозах (даунорубицин в дозе 60 мг/м 2 и более или идарубицин в дозе 12 мг/м 2 ) как в период индукции, так и консолидации; во-вторых, поддерживающее лечение осуществлять после завершения программы индукции/консолидации. Несмотря на эти, казалось бы, абсолютно четкие принципы современной терапии ОПЛ, многие вопросы остаются открытыми. Так неясно, нужен ли цитарабин в терапии ОПЛ; какие антрациклиновые антибиотики и их дозы наиболее эффективны; вариант поддерживающей терапии и ее продолжительность.
Читайте также:
