Эпидермальный невус у новорожденного
Добавил пользователь Евгений Кузнецов Обновлено: 23.11.2025
Уфимцева М.А. 3 Спирин А.В. 3 Гагиев В.В. 2 Чернядьев С.А. 3 Бочкарёв Ю.М. 3 Шубина А.С. 1, 3 Ворожейкина И.Н. 2 Никулин И.П. 2 Савченко Н.В. 3 Хороводников И.В. 3
Эпидермальные невусы (ЭН) – кожные гамартомы, характеризующиеся множеством клинических форм, сходным гистологическим строением. Эпидермальные невусы в 80,0% случаев отмечаются в первый год жизни, носят спорадический характер, но могут проявляться в течение жизни. В таком случае необходимо проводить дифференциальную диагностику с унилатеральными дерматозами, такими как красный плоский лишай, псориаз, склеродермия, нейродермит, гемиатрофия Ромберга, витилиго, экзема, болезнь Шамберга, склероатрофический лихен, первичный амилоидоз кожи. Целью данного исследования стала демонстрация клинических случаев эпидермальных невусов, описание клинической, патоморфологической картины и трудностей диагностики в качестве иллюстрации междисциплинарной преемственности дерматовенерологов и патологоанатомов при установлении диагноза эпидермального невуса. Представлен клинический случай пациента восемнадцати лет с подтвержденным диагнозом линейного бородавчатого позднего эпидермального воспалительного невуса. Описаны клиническая, патоморфологическая картина и трудности диагностики в связи с путаницей термина «невус», используемого в литературе для обозначения как доброкачественных меланоцитарных опухолей, так и пороков развития кожи. При диагностике эпидермального невуса морфологи должны учитывать клинические данные, и прежде всего макроскопическую картину, не ограничиваясь только данными гистологии, которые не имеют признаков специфичности. Необходимо повышать междисциплинарную преемственность дерматовенерологов и патологоанатомов при установлении диагноза эпидермального невуса.
1. Елькин В.Д., Митрюковский Л.С., Лысов А.Ю. Практическая дерматоонкология: ил. справ. руководство по опухолям кожи, опухолеподобным заболеваниям и связанным с ними синдромами: справочное издание. М.: Практическая медицина. 2014. 480 с.
2. Молочков В.А., Молочков А.В., Хлебникова А.Н., Кунцевич Ж.С. Эпителиальные опухоли кожи. М.: Издательство БИНОМ. 2012. 224 с.
3. Wollina U., Tchernev G. ILVEN - complete remission after administration of topical corticosteroid (case review). Georgian Med News. 2017. no 263. P. 10-13.
4. Guerouaz N., Hassam B. Linear inflammatory verrucous epidermal nevus. Pan. Afr. Med. J. 2015. no 22. Р. 177. DOI: 10.11604/pamj.2015.22.177.7451.
6. Gianfaldoni S., Tchernev G., Gianfaldoni R., Wollina U., Lotti T. A Case of “Inflammatory Linear Verrucous Epidermal Nevus” (ILVEN) Treated with CO2 Laser Ablation. Open Access Maced. J. Med. Sci. 2017. no 5. P. 454-457.
7. Gon Airton dos Santos, Minelli Lorivaldo, Franzon Paula Guiomar Ubirajara. Case for diagnosis. An Bras Dermatol. 2010. no 85. Р. 729-731.
8. Ravi Prakash S.M., Gupta S., Kamarthi N., Goel S. Inflammatory linear verrucous epidermal nevus and regional odontodysplasia: A rare sorority. Indian J Dent. 2015. no 6. P. 203-206. DOI: 10.4103/0975-962X.160348.
9. Кемпф В., Ханчке М., Кутцнер Х., Бургдорф В. Дерматопатология: пер. с нем. М.: Мед. лит. 2015. 304 с.
10. Тлиш М.М., Сычева Н. ., Осмоловская П.С., Псавок Ф.А. Линейный эпидермальный веррукозный воспалительный невус (ILVEN) // Вестник дерматологии и венерологии. 2017. № 3. С. 53-57. DOI: 10.25208/0042-4609-2017-0-3-53-57.
Термин «эпидермальный невус» (ЭН) объединяет ряд кожных гамартом с общими клиническими и гистологическими признаками, это пороки развития, сформированные зрелыми или почти зрелыми компонентами эпидермиса, сальных желез, волосяных фолликулов, апокринных и эккринных потовых желез и их комбинациями [1; 2].
ЭН в 80,0% случаев отмечаются в первый год жизни, носят спорадический характер, крайне редко возникают у взрослых. В таких случаях необходимо проводить дифференциальную диагностику ЭН с унилатеральными дерматозами. Унилатеральные дерматозы – это приобретенные кожные заболевания, высыпания при которых имеют одностороннюю локализацию, при этом сохраняются классические клинические и гистологические признаки, характерные для данной патологии. Унилатеральное расположение высыпаний описано при красном плоском лишае, псориазе, склеродермии, нейродермите, гемиатрофии Ромберга, витилиго, экземе, болезни Шамберга, склероатрофическом лихене, первичном амилоидозе кожи [3; 4].
Описание клинического случая
Пациент М., 18 лет, студент военного института внутренних войск, направлен на консультацию для уточнения характера дерматоза.
Жалоб не предъявлял, впервые высыпания на коже груди появились 6 месяцев назад, постепенно количество элементов увеличивалось и распространилось на внутреннюю поверхность предплечья. Наследственность не отягощена. Дерматовенерологом был установлен диагноз линеарного бородавчатого эпидермального невуса грудной клетки слева, левой верхней конечности. Проведено гистологическое исследование элемента с внутренней поверхности предплечья. Получено следующее патоморфологическое заключение: «Фибропапиллома. В строме картина хронического продуктивного воспаления, эпидермис с явлениями акантоза. Структуры невуса при исследовании серийных срезов не определяются». Пациент направлен на консультацию на кафедру кожных и венерических болезней УГМУ с целью уточнения характера дерматоза и для дальнейшего определения категории годности к военной службе.
Status specialis: на коже передней грудной клетки слева по линиям Блашко с переходом на подмышечную область, внутреннюю поверхность предплечья имеются мягкие тесно прилегающие друг к другу папулы светло-коричневого цвета (рисунок 1а).
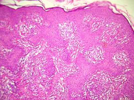
В связи с несоответствием патоморфологического заключения клиническим данным гистологические препараты были проконсультированы на кафедре патологической анатомии УГМУ (доцент А.В. Спирин). Результат пересмотра гистологических препаратов: «В биоптате фрагмент кожи, состоящий из множественных линейно сгруппированных папилломатозных образований неправильной формы, тесно прилежащих друг к другу (рисунок 1б), с акантозом (рисунок 3г), мелкими внутриэпидермальными роговыми кистами (рисунок 1в) и выраженным диффузным воспалительным инфильтратом в дерме (рисунок 1г). Клеточный состав инфильтрата представлен лимфоцитами, плазматическими клетками и макрофагами. Элементы меланоцитарного невуса («невусные клетки») отсутствуют.
Заключение: морфологическая картина не имеет черт специфичности, что не позволяет высказаться об ее нозологической принадлежности. Однако, с учетом макроскопической картины (рисунок 1а), можно говорить о линеарном (линейном) бородавчатом позднем эпидермальном воспалительном невусе (ILVEN)».


Рис. 1. Патоморфология ЭН у пациента М.: а) макроскопическая картина; б) папилломатоз. х 32; в) роговые кисты. х100; г) выраженный акантоз и продуктивное воспаление в дерме. х70 (б, в, г – окраска Г+Э)
Таким образом, одной из особенностей представленного наблюдения является неверная верификация характера патологического процесса при патоморфологическом исследовании биоптата кожи. Дело в том, что практические морфологи, как правило, имеют дело с диагностикой меланоцитарных невусов (МН), в связи с чем диагноз «невус» ассоциируется у них именно с МН. Поэтому в первом заключении имеется указание на отсутствие «структуры невуса» и устанавливается диагноз фибропапилломы. Говоря о терминологии, следует отметить, что существует путаница в смысловом понимании термина «невус» (Червонная Л.В., 2014), которым принято обозначать как МН, так и ЭН, хотя предшественником невусной клетки является меланоцит, а ЭН возникают из плюрипотентных герминативных клеток базального слоя эмбрионального эпидермиса. Несмотря на различие в гистогенезе этих образований, в литературе тем не менее существует устоявшаяся традиция называть пороки развития невусами. По мнению автора, в таких случаях термин «невус» целесообразно заключать в кавычки [5]. Следовательно, при формулировании заключения морфологи должны учитывать клинические данные, и прежде всего макроскопическую картину, не ограничиваясь только данными гистологии, которые, как указано во втором заключении, не имеют черт специфичности.
Линейный бородавчатый эпидермальный воспалительный невус (ILVEN) впервые описан Унной в 1896 году [6]. ILVEN диагностируется при клиническом и гистологическом исследовании. Классические клинические критерии диагностики, предложенные Альтманом и Мехреганом в 1971 году и позднее измененные Морагом и Метцкером в 1985 году, включают: ранний возраст начала заболевания, преобладание у женщин, частое поражение левой ноги, зуд, характерный псориазоподобный вид и выраженную рефрактерность к терапии [7].
По клинической картине ЭН бывают солитарными и множественными, носят линейный характер, располагаются чаще на сгибательной поверхности конечностей, образованы пигментированными бородавчатыми узелками, редко поражают слизистые оболочки. Выделяют одностороннюю (nevus unius lateralis) и диссеминированную (системный эпидермальный невус) разновидности, а также ряд клинических вариантов ЭН: папилломатозный мягкий эпидермальный невус, бородавчатый эпидермальный невус (рисунки 2, 3), акантолитический эпидермальный невус, гиперкератоз невиформный околососкового кружка и соска молочной железы, синдром эпидермального невуса 4. Существуют другие варианты ЭН, отличающиеся морфологический структурой, включают в себя невус сальных желёз (рисунок 4), комедональный невус, сирингоцистому, невус Беккера (рисунок 5) [8].


Рис. 2 а, б. Бородавчатый эпидермальный невус: унилатеральные, бляшковидные светло-коричневые пятнистые высыпания на коже туловища слева, веррукозные в подмышечной области, не пересекающие среднюю линию туловища (фото из архива А.С. Шубиной)


Рис. 3 а, б. Бородавчатый эпидермальный невус: пятнистые,
веррукозные высыпания на коже шеи слева, сгибательной поверхности левой конечности (фото из архива М.А. Уфимцевой)

Рис. 4. Невус сальных желёз: на передней поверхности грудной клетки веррукозные папулы жёлто-розового цвета (фото из архива А.С. Шубиной)

Рис. 5. Невус Беккера: в правой лопаточной области с переходом на плечо очаг гиперпигментации в виде пятна неправильной формы, с нечеткими границами
(фото из архива А.С. Шубиной)
При патоморфологической диагностике ЭН необходимо учитывать наличие следующих неспецифических гистологических признаков: гиперкератоз, акантоз и папилломатоз, а при диагностике воспалительного линейного бородавчатого ЭН – очаговый паракератоз и неспецифический мононуклеарный инфильтрат в сосочковом слое дермы.
При мономорфных папулезных высыпаниях в перечень дифференциальной диагностики, кроме того, необходимо включать унилатеральные формы псориаза, красного плоского лишая. Для псориаза характерны гиперпаракератоз, скопления нейтрофильных гранулоцитов в шиповатом слое (пустулы Когоя) и в области гиперкератотического ороговения (микроабсцессы Мунро), очаговая потеря зернистого слоя, побледнение эпидермиса и уплощение надсосочкового слоя с истончением эпидермиса над удлиненными сосочками дермы, однообразный акантоз с удлинением межсосочковых клиньев эпидермиса, эктатические капилляры в удлиненных сосочках дермы (папилломатоз). Поверхностный периваскулярный лимфоцитарный инфильтрат с примесью отдельных нейтрофильных гранулоцитов. Красный плоский лишай характеризуется следующими признаками: ограниченный гиперкератоз, V-образное утолщение зернистого слоя, акантоз с межсосочковыми клиньями эпидермиса в форме зубьев пилы, дерматит пограничной зоны с вакуольной дегенерацией дермо-эпидермального соединения и апоптотическими кератиноцитами в базальном слое (тела Givatte), субэпидермальный полосовидный преимущественно лимфоцитарный инфильтрат [5; 9].
Воспалительный линейный веррукозный эпидермальный невус вызван соматическими мутациями, которые приводят к генетическому мозаицизму, и, хотя его физиопатология до сих пор неясна, считается, что это может быть связано с увеличением продукции интерлейкинов-1 и 6, фактора некроза опухоли-альфа, и молекула межклеточной адгезии [7; 10].
В литературе описаны случаи сочетания ILVEN с другими дефектами развития, в особенности центральной нервной системы, зрительной и скелетной систем. S.M. Ravi Prakash et al. (2015) представляют клинический случай пациента с синдромом воспалительного линейного веррукозного эпидермального невуса, сопровождающегося региональной одонтодисплазией, которая представляет собой наследственные нарушения структуры зубов по типу phantom teeth [8]. Это подчеркивает важность тщательного обследования детей с ЭН с участием невролога, офтальмолога, ортопеда и стоматолога для планирования тактики ведения таких пациентов.
Таким образом, представленный клинический случай заслуживает внимания как редкий дерматоз и, кроме того, указывает на необходимость повышения междисциплинарной преемственности между дерматовенерологами и патологоанатомами при постановке диагноза ЭН.
Эпидермальный невус у новорожденного
Он может возникнуть ещё при беременности либо проявиться вскоре после рождения.
В той или иной степени привести к развитию патологии могут следующие факторы:
- поломки генов;
- наличие мочеполовой инфекции у матери во время беременности;
- наследственность;
- воздействие негативных внешних факторов на организм матери во время беременности;
- некорректный рацион матери во время беременности, преобладание в нём искусственных красителей, консервантов, ароматизаторов;
- длительное применение гормональных контрацептивов перед беременностью.
Первоначально пигментный невус у детей определяется как доброкачественное образование. Однако он может обладать меланоцитарной активностью, что означает возможность роста. С возрастом ребенка возможно не только разрастание пятна, но и появление новых, а также перерождение их в злокачественные опухоли. Опухоль кожи — меланома — агрессивна, так как быстро прогрессирует и метастазирует в ближайшие органы и ткани.
Пигментный невус определяется примерно у 1% детей.
Появлению пятен на коже одинаково подвержены мальчики и девочки. Невус может выглядеть по-разному: среднего или крупного размера узел, окрашенное в отличный от основного тона кожи пятно, бородавка. Локализация так же разнообразна: конечности, туловище, голова. В большинстве случаев невус встречается на голове у ребенка, шее, груди или в верхней части спины.
Размеры образований варьируются от нескольких мм до нескольких см. Примерно в 5% количество невусов так велико, что они занимают значительную долю поверхности кожи. В норме при ощупывании они могут быть как мягкими, так и узловатыми, но без болезненных ощущений.
Разновидности невусов
Пятна имеют чёткие границы и цвет от бледно-коричневого до чёрного.
Маленькие и средние образования из-за своего светлого тона могут быть практически неразличимы в первые 2-3 месяца после рождения ребёнка. Однако по мере роста темнеют и пропорционально растут в размерах. Невусы бывают в том числе беспигментными, тогда определить их можно наощупь по отличающейся структуре кожи.
Пятна делятся по размеру на:
- мелкие — до 1,6 мм;
- средние — от 1,6 до 10 мм;
- крупные — от 10 до 20 см;
- гигантские — от 20 см.
Ещё один критерий для классификации — клинический тип. По нему невусы бывают:
- Аденоматозные. Располагаются на лице и голове, имеют выпуклую форму, четкие границы, цвет варьируется от желтоватого до темно-коричневого.
- Бородавчатые. Располагаются на торсе или конечностях. Для них характерны неровные очертания и поверхность, тёмный цвет.
- Гигантские пигментные. Зачастую развиваются ещё внутриутробно, могут располагаться с одной или с двух сторон тела. Поверхность покрыта волосками, нередко вокруг их сопровождает россыпь мелких новообразований.
- Голубые. Располагаются в верхней части тела, на лице и руках. Цвет голубоватый или серо-голубой, поверхность плотная и глянцевая. Невус чуть выступает над поверхностью кожи и не превышает в диаметре 2 см.
- Папилломатозные. Располагаются на голове, не имеют четких границ и очертаний. Поверхность неоднородная, цвет – от светлого до почти чёрного. При травмировании воспаляется.
- Эпидермальные. Располагаются на конечностях обычно по одному. Имеют неровную поверхность и цвет от светлого до тёмного.
Характерный признак незлокачественного новообразования — наличие волосков на поверхности.
Способы лечения невусов
Лечение допускается только у пациентов в возрасте старше 2 лет. Терапия имеет 4 основных направления:
- хирургическое удаление;
- лазерное иссечение;
- криодеструкция;
- электрокоагуляция.
Хирургически удаляют, как правило, невусы, глубоко проросшие в ткани. Гигантские новообразования удаляют в несколько приёмов, но недостатком этого способа является формирование рубцов на месте невусов.
Лазерная коагуляция используется для удаления дисплатических пигментных невусов и пятен другого клинического типа. Метод позволяет провести удаление образования без боли,без последующего рубца.
Криодеструкция предполагает воздействие на пораженный участок кожи очень низкими температурами. В результате измененные клетки отмирают и замещаются здоровыми. После криодеструкции появляется небольшая корочка, которая быстро сходит.
Электрокоагуляция воздействует на невус высокими температурами. Обычно этот метод применяется для удаления мелких и средних по размеру пятен.
Эпидермальный невус у новорожденного
ГКБ №14 им. В.Г. Короленко Департамента здравоохранения Москвы
Городская клиническая больница №14 им. В.Г. Короленко Департамента здравоохранения Москвы
Городская клиническая больница №14 им. В.Г. Короленко Департамента здравоохранения Москвы
Городская клиническая больница №14 им. В.Г. Короленко Департамента здравоохранения Москвы
Систематизированный эпидермальный невус
ГКБ №14 им. В.Г. Короленко Департамента здравоохранения Москвы
Представлено клиническое наблюдение систематизированного эпидермального невуса (СЭН) у ребенка 13 лет. Уделено внимание дифференциальной диагностике, методам лечения и прогнозу СЭН.
ГКБ №14 им. В.Г. Короленко Департамента здравоохранения Москвы
Городская клиническая больница №14 им. В.Г. Короленко Департамента здравоохранения Москвы
Городская клиническая больница №14 им. В.Г. Короленко Департамента здравоохранения Москвы
Городская клиническая больница №14 им. В.Г. Короленко Департамента здравоохранения Москвы
Среди множества различных невоидных образований, как врожденных, так и приобретенных, пигментные и пигментированные невусы встречаются почти у всех людей [1]. В классификации невусов, основанной на наличии или отсутствии у них потенциальной возможности трансформации в меланому, все невусы разделены на 2 группы [1]: «меланоопасные» и «меланонеопасные». Папилломатозный и веррукозный эпидермальный невус отнесен во вторую группу.
Эпидермальные невусы — редкие доброкачественные врожденные образования, характеризующиеся ограниченным гиперкератозом и гипертрофией эпидермиса. Эти поражения обычно обнаруживаются при рождении или в раннем детстве, возникают у лиц мужского и женского пола одинаково часто и известны под разными названиями «веррукозный бородавчатый гиперкератотический невус», «невус односторонний и латеральный» [3, 4]. Эпидермальные невусы не являются доброкачественными опухолями, но представляют собой эмбриональные пороки развития кожи [3—5]. Эффлоресценции могут быть сильно или слабо пигментированными, иметь уни- или билатеральное расположение и часто локализоваться на конечностях, но могут располагаться на любых других участках кожи, а иногда на слизистых оболочках ротовой полости и конъюнктиве. Очертания и распространенность эпидермальных невусов чрезвычайно вариабельны. Они чаще являются множественными линейными высыпаниями, хотя могут встречаться и в виде единичных поражений.
Невус unius lateralis может быть представлен единичными линейными, в том числе в виде гирлянд или спиралевидных бородавчатых высыпаний с вовлечением множественных участков кожного покрова, в некоторых случаях захватывающих более половины площади тела, так называемый гигантский невус. При обширных поражениях туловища используют термин «систематизированный эпидермальный невус» (СЭН).
Несистематизированные эпидермальные невусы характеризуются единичными полосовидными бляшечными или сгруппированными папилломатозными разрастаниями, напоминающими цветную капусту, с нечеткими очертаниями и коричневым оттенком [2, 3, 6].
Малигнизация для СЭН нехарактерна. Терапия зависит от места, характера и распространенности поражений, а также возраста пациента. При наличии показаний к удалению невоидных веррукозных разрастаний хирургическое вмешательство целесообразно отложить до прекращения распространения процесса, так как ранняя эксцизия может привести к появлению новых высыпаний. Хотя методы лечения СЭН жидким азотом, дермабразией, электроиссечением или кюретажем могут вначале приносить результат, но в дальнейшем нередки рецидивы [2, 3, 7].
До последнего времени СЭН уделялось мало внимания. Однако существование синдрома эпидермального невуса указывает на важность дифференциальной диагностики СЭН с этим синдромом. Он еще известен под названием «синдром Соломона—Файерштайна—Мимса», который рассматривается как генетически детерминированный и включает, помимо поражения кожи (СЭН, зоны гипопигментации, пигментные пятна «кофе с молоком», ангиомы), другие ассоциированные нарушения, в частности, патологии костной системы (кифосколиоз, дефекты позвоночника, гемигипертрофии, короткие конечности), ЦНС (слабоумие, эпилепсию, неврогенную глухоту), сердечно-сосудистой системы (коарктацию и гипоплазию аорты, открытый артериальный проток, врожденный порок сердца) нарушения зрения (симблефарон, колобому) [1, 8].
В стационаре ДКВО ГКБ №14 им. В.Г. Короленко мы наблюдали 13-летнего пациента, который, со слов матери, заболел в возрасте 6 мес. Появившееся вначале на боковой поверхности шеи розовое пятно постепенно стало коричневым, а к возрасту
10 лет сыпь распространилась на туловище и конечности, субъективные ощущения отсутствовали.

При поступлении в отделение патологический процесс на коже носил распространенный невоспалительный характер (см. рисунок). Рисунок 1. Клинические проявления эпидермального систематизированного невуса (а—в). Множественные пятнистые и узелково-бляшечные и полосовидные очаги различных очертаний локализовались преимущественно на коже боковых поверхностей шеи, плеч, в меньшей степени — на туловище, верхних и нижних конечностях. На конечностях поражения были представлены полосовидными пятнистыми высыпаниями светло-коричневого цвета с гладкой поверхностью. Мягкие бородавчатые образования светло- и темно-коричневого цвета, на несколько миллиметров возвышались над поверхностью кожи, на ощупь отмечалась выраженная сухость кожи.
Лицо, голова, ладони, подошвы, наружные половые органы, слизистые оболочки были свободны от высыпаний.
Гематологические клинические и биохимические показатели без отклонений от нормы. Результаты общего анализа мочи в норме. Глистная инвазия при исследовании кала не выявлена. Данные инструментального обследования: ЭКГ — локальное нарушение внутрижелудочковой проводимости; УЗИ — признаков патологии брюшной полости не выявлено. Консультирован специалистами: неврологом (синдром соединительнотканной дисплазии), эндокринологом (диффузное увеличение щитовидной железы, эндемический зоб), отоларингологом (ЛОР-органы без видимой патологии).
При патоморфологическом исследовании, выполненном по месту жительства перед поступлением в больницу, выявлены гистологические особенности дерматоза: гиперкератоз, папилломатоз и акантоз. Невусные клетки отсутствовали. Отмечалось некоторое повышение содержания меланина в базальном слое.
Направительные диагнозы больного: кератоз фолликулярный серпигинозный Лютца и ксеродерма пигментная, пойкилодермическая стадия. На основании данных анамнеза и клинико-морфологического обследования нами установлен диагноз систематизированного эпидермального невуса.
Прогноз дерматоза. С момента возникновения высыпания и до последнего времени у пациента отмечается рост невуса и папилломатозно-веррукозных образований, чаще после пребывания на солнце, при этом беспокоят зуд и жжение. Поверхность невуса на конечностях гладкая, пигментация его крапчатая. На шее и прилежащих участках плеч за счет папилломатозных и бородавчатых разрастаний поверхность поражений неровная. На отдельных участках невуса отмечается рост волос.
Обычно эпидермальные невусы в различные периоды времени остаются спокойными [9]. В немалой степени это обусловлено отсутствием провоцирующих воздействий. У наблюдавшегося нами пациента спокойное течение сменялось прогрессированием невуса под влиянием инсоляции и механического раздражения одеждой.
Существует мнение, что с ростом ребенка в определенном возрасте невоидный процесс не проявляет тенденции к распространению, и с этого возраста активное лечение, в том числе хирургическое, лазерное сопровождается меньшим риском для развития рецидива. Существует вероятность образования келоидных рубцов при лечении, которое включает криотерапию, электроиссечение, неодимовый лазер, кюретаж, дермабразию, хирургическое вмешательство.
Преобладание в окраске СЭН коричневого цвета различных оттенков позволяет отнести эту нозологию к пигментным невусам, которые склонны к различным изменениям. Они могут частично или полностью регрессировать [4, 10], хотя это происходит реже, чем исчезновение сосудистых невусов.
Существует точка зрения, согласно которой наибольшую опасность злокачественного перерождения представляют сравнительно гладкие, плоские неверукозные невусы, без роста волос. Обязательным условием развития меланомы является наличие в структуре невуса первичных клеточных элементов кожи: меланоцитов и его предшественников меланобластов [1]. Однако риск озлокачествления обусловлен только клеточным компонентом, но и анатомической локализацией процесса. Применительно к коже перечисленное справедливо для пограничной зоны между эпидермисом и дермой, характеризующийся высокой меланоцитарной активностью.
При выписке больного даны рекомендации: диспансерное наблюдение у дерматолога по месту жительства, избегание чрезмерной инсоляции, обследование для исключения возможных ассоциированных пороков развития (нервной и костной систем).
Представленный клинический случай СЭН заслуживает внимания, прежде всего, с учетом риска злокачественного перерождения, возможного существования ассоциированной патологии различных систем, а также редкой частотой выявления данного дерматоза.
Невусы
Невус – это доброкачественное новообразование кожи. Как правило, в его состав входят пигментные клетки, реже другие типы тканей. Он может носить врожденный или приобретенный характер, быть совершенно безопасным или грозить развитием меланомы. Последняя является одной из самых агрессивных злокачественных опухолей, способных быстро метастазировать. Своевременная диагностика образований, контроль за их состоянием и лечение (иссечение) при необходимости позволяет уменьшить риск развития осложнений.
Классический (меланоформный, меланоцитарный) невус может встречаться как у ребенка, так и у взрослого. Он представляет собой скопление клеток, содержащих меланин, в том или ином слое кожи. Как правило, на коже новорожденного нет или практически нет образований, первые родинки появляются в течение первого года жизни, а период активного появления новых невусов начинается после пятилетнего возраста. В среднем, 2 ребенка из 100 рождаются с гигантскими образованиями, представляющими серьезный косметический дефект и имеющими высокий риск злокачественного перерождения.
Классификация невусов
В зависимости от причины появления невус у ребенка может быть врожденным и приобретенным. Врожденные видны сразу после рождения или становятся заметными в первый год жизни. Приобретенные формы возникают в любом возрасте на фоне воздействия негативных факторов.
Размер образования позволяет выделить следующие виды родинок:
- мелкие: не превышают 1,5 мм в диаметре;
- средние: имеют размер от 1,5 мм до 10 мм;
- крупные: превышают 10 мм;
- гигантские: захватывают большие участки кожи.
В зависимости от места скопления пигментных клеток выделяют эпидермальные (располагаются в верхнем слое кожи), внутридермальные (формируются в глубоких слоях), пограничные (находятся между эпидермисом и дермой).
Симптомы невусов у детей
Гистологическое строение, размер, особенности цвета, формы и расположения позволяют выделить несколько разновидностей родинок, каждая из которых имеет свои симптомы.
Пограничный пигментный невус
Относится к меланомоопасным образованиям. Представляет собой плоский узелок, имеющий серую, черную или коричневую окраску. Размер редко превышает 1 см. Поверхность образования отличается гладкостью и не имеет никаких волосков. Родинка может находиться на любом участке тела, в том числе на коже ладоней и стоп. Как правило, она является одиночным, хотя изредка врачи наблюдают и множественные элементы.
Невус Ота
Располагается исключительно на лице, чаще всего в районе глаза, щеки или верхней челюсти с одной стороны. Представляет собой обширное по площади образование, одиночное или состоящее из множества сливающихся элементов, имеющих темно-синюю окраску. Патология чаще встречается у представителей монголоидной расы.
Гигантский пигментный невус
Образование имеет большие размеры вплоть до 40 см в диаметре и нередко увеличивается по мере роста ребенка. Поверхность родинки имеет черную или серую окраску и неровную поверхность с волосками на ней.
Невус Дюбрея
Образование не возвышается над поверхностью кожи, имеет неправильную форму, которая визуально похожа на географическую карту. Диаметр родинки обычно колеблется в пределах 2-6 см, а окраска варьирует от серого и коричневого до синеватого. Иногда на поверхности невуса располагаются единичные узелки и бляшки.
Линейный невус
Образование представляет собой скопление пигментированных образований, расположенных в виде цепочки. Длина ее может быть различной, как и количество узелков. Как правило, линейный невус обнаруживаются у ребенка сразу после рождения.
Синий невус
Возвышается над поверхностью кожи в виде полусферы диаметром не более 1 см. Характерный признак – голубоватая, синяя или сине-коричневая окраска. На ощупь образование мягкое, волос на поверхности не имеет.
Диспластический невус
Родинка с неровными, размытыми краями, неравномерной окраской (от светло-коричневого до темно-коричневого), пятнами и узелками на поверхности. Как правило достигает 6 и более мм в диаметре.
Сальный (себорейный) невус
Этот невус представляет собой опухоль из измененных клеток сальных желез и волосяных фолликулов, которая формируется у ребенка вскоре после рождения. Диаметр составляет 1-9 см. Как правило, образование располагается на лице, на волосистой части головы, на шее и возле ушей. В детстве имеет гладкую поверхность бледно-розового цвета, но к подростковому периоду становится выпуклым и бугристым.
Внутридермальный меланоцитарный невус
Представляет собой скопление пигментных клеток в толще дермы. Это наиболее распространенный вид родинки. Внешне выглядит как плоское образование округлой формы и коричневого цвета.
Фиброэпителиальный невус
Представляет собой выпуклое, мягкое на ощупь образование, имеющее ножку. Размер редко превышает 1-1,5 см, а цвет может быть как естественным (оттенок кожи), так и розоватым, красноватым, сиреневым, синюшным или даже коричневым. Поверхность обычно гладкая, на ней могут появляться волоски (по одиночке или пучками), иногда видна характерная сосудистая сетка. Чаще всего подобные родинки возникают на лице или туловище.
Сложный пигментный невус
Образование носит доброкачественный характер, имеет округлую форму и возвышается над поверхностью кожи. Диаметр родинки редко превышает 1 см. Окраска обычно темно-коричневая или черная. В большинстве случаев образование формируется на лице или волосистой части головы.
Невус Сеттона
Характерным признаком этого вида родинок является участок обесцвеченной кожи вокруг него. При этом само образование представляет собой узелок округлой формы коричневого или светло коричневого цвета с четкими границами.
Монгольское пятно
Специфическая разновидность невуса, характерная для представителей монголоидной расы. Представляет собой участок серо-синюшного или коричневого цвета, расположенный в области крестца, поясницы, ягодицы, реже на задней поверхности бедра или голени, на спине. Размеры пятна могут различаться от небольших (2-3 см в диаметре) до огромных. В большинстве случаев образование проходит самостоятельно к 4-5 годам или к началу полового созревания. Крайне редко сохраняется у взрослых.
Причины
В большинстве случаев невусы у детей носят врожденный характер. Они формируются в период внутриутробного развития на фоне неправильной миграции пигментных клеток. Возможно, эти процессы возникают на фоне острых и хронических интоксикаций матери (в том числе, курения и злоупотребления алкоголем), различных патологий беременности, аллергических реакций. Также доказана роль наследственного фактора.
Приобретенные образования возникают на фоне воздействия неблагоприятных факторов: избыточной инсоляции, постоянной травматизации этого участка кожи, гормональных сбоев, некоторых инфекций, а также при облучении.
Диагностика
Диагностика любых видов родинок производится в кабинете детского дерматолога. Основная задача врача заключается в определении типа образования и риска его перерождения в злокачественную опухоль. Для этого используются следующие методики:
- сбор жалоб и анамнеза (время появления образования, динамика его развития и т.п.);
- визуальный осмотр новообразования;
- дерматоскопия: изучение с помощью специального увеличивающего устройства.
Биопсия образований, как правило, производится только после их удаления, поскольку травматизация родинки может стать причиной ее малингизации.
Невус
Мало кто знает, но самый крупный орган у человека это кожа. На ее поверхности в течение жизни появляются и исчезают различные образования. Самыми распространенными считаются невусы. Среди обычных людей такие доброкачественные образования называются обычными родинками.
Что такое невусы
Собой они представляют образование, состоящее из меланоцитов. Поверхность родинки гладкая и окрашенная в темный цвет. На теле среднестатистического человека можно насчитать до 40 таких образований. Некоторые родинки есть на теле малыша сразу после рождения. Другие образовываются в течение взросления. Невусы могут менять свой внешний вид и окраску. Большинство изменений происходит в подростковом возрасте во время полового созревания. Также перерождения в невусе могут начаться при длительном нахождении человека под прямыми солнечными лучами. Ультрафиолетовое излучение в большом количестве негативно воздействует на кожу. По статистике, чем больше человек времени проводит на солнце, тем больше родинок на его теле.
Изменения касаются не только цвета, но и внешнего вида. Обычная родинка может стать дряблой и мягкой, или напротив перерасти в плотное и бесцветное образование. Выделяют большое количество различных видов невусов. Главная опасность таких образований при воздействии определенных факторов они могут переродиться в злокачественные. Особую опасность представляют сложные родинки, а также образования большого размера. Они должны постоянно контролироваться лечащим врачом, так получится предотвратить опасную трансформацию.
Разновидности невусов
Родинки имеются на теле каждого человека. Чаще всего они не несут никакой опасности. Если количество превышает 50 штук, желательно посетить врача. Такие пациенты находятся в зоне риска по развитию меланомы. Особо настораживать должны асимметричные образования с неровной поверхностью, которые имеют нестандартную окраску, больше 6 мм в диаметре, начали образовываться на теле уже во взрослом возрасте.
Врождённые
К категории относят образования, с которыми человек сразу появляется на свет. Врожденные невусы различаются по форме, цвету и размеру. В некоторых случаях родинка может занимать большую часть тела ребенка. Такие новообразования вызывают опасения, так как часто перерождаются в раковые опухоли.
Обычные
Категория обычных родинок состоит из образований, которые имеют симметричную форму, однородный цвет и гладкую поверхность. Чаще всего окраска коричневая или розоватая. На поверхности отсутствуют посторонние вкрапления. Также такие родинки могут иметь форму купола.
Атипичные
Родинки с нестандартным размером и внешним видом. Их на теле немного, в разы меньше, чем обычных родинок. Главная опасность таких новообразований при определенных факторах они могут переродиться в меланому. Еще одна особенность таких образований у них неравномерный цвет, края неровные, а сам невус асимметричный. Людям с атипичными родинками важно контролировать их количество на теле чем образований больше, тем выше риск меланомы. Требуется постоянное наблюдение со стороны лечащего врача и прохождение необходимых исследований.
Голубые
Новообразования подразделяются на две категории могут появляться на теле уже в утробе матери или развиваться при жизни человека. Свое название получили за счет голубоватой окраски. Но к данной категории также относят невусы, цвет которых варьируется от светло-серого до черного. Чаще всего образования характерных для кожи монголоидов, у других рас они развиваются в крайних случаях.
Невусы Мишера
Образования коричневого цвета или телесного оттенка. Самое частое место появления родинок в области шеи и на лице. Поверхность твердая, куполообразная, но ровная, без посторонних включений. Часто на невусе растут волосы.
Невусы Унны
По внешнему виду похожи на родинки из предыдущего описания. К особенностям можно отнести внешний вид они напоминают малину. Цвет новообразования коричневый.
Невус Мейерсона
Определить проблему несложно вокруг такой родинки начинает развиваться и распространяться сыпь с красными папулами. У некоторых пациентов экзема в области не регистрируется. Еще одна особенность невусы Мейерсона преимущественно развиваются в мужчин в возрасте старше 30 лет. Женщины этой проблеме подвержены гораздо реже.
Невусы хало
Получили свое название за счет одноименного атмосферного явления. Вокруг родинки начинает появляться и развиваться бледное белесое кольцо. До конца жизни такое образование не задерживается, даже если с ним ничего не делать. Сначала кольцо меняет свой цвет на розовый, а потом пропадает. В некоторых случаях вокруг новообразования на протяжении жизни пациента могут появляться новые хало.
Шпиц невусы
Родинки чуть приподняты над кожей и имеют куполообразную форму. Само образование розоватого оттенка, оно относится к приобретенным и появляется на коже у пациентов в молодом возрасте. Окраска может быть другой. Поверхность невуса часто повреждается и начинает кровоточить. В итоге такие родинки врачи часто путают со злокачественными, направляя пациента на гистологическое обследование.
Невусы Рида
Цвет у образований варьируется, они могут быть черные или темно-коричневые (ближе к черному оттенку). В основном развиваются у женщин. Особенность новообразования оно очень быстро увеличивается в размере, из-за чего вызывает опасение у врачей. На деле такие родинки преимущественно неопасны и редко перерастают в раковые.
Агминированные
Представляют собой сразу несколько родинок, которые сконцентрированы на небольшом участке кожи. Особенность образования все невусы не одинаковые между собой. Некоторые могут быть больше, некоторые меньше. Также среди плоских образований могут появляться куполообразные и пр.
Выше перечислены только основные виды родинок. На самом деле таких новообразований на коже огромное количество. Чтобы определить, к какому именно виду принадлежит та или иная родинка на теле у пациента, обратившегося за медицинской помощью, врачи проводят дерматоскопию.
Папилломатозный невус
На теле человека встречается большое количество новообразований. Не все они относятся к родинкам. Так, появляться могут бородавки, кондиломы, папилломы и прочие образования. При постановке окончательного диагноза вся сложность заключается в том, что перечисленные виды новообразований часто по внешнему виду ничем не отличаются от обычных невусов. Самым проблематичным принято считать папилломатозный невус. По внешнему виду он ничем не отличается от обычной папилломы, вызванной ВПЧ. Но при проведении исследований выявляется, что это бугристая родинка выпуклого типа. Родинка доброкачественная, риска перерождения в рак нет. Поверхность имеет телесный, буроватый или светло-коричневый оттенок. Темные родинки этого типа встречаются крайне редко.
Характерное чертой для таких родинок является наличие волос на поверхности. В основном они появляются на голове или шее, на других участках тела развиваться могут, но в очень крайних случаях.
Появление не привязано к определенному возрастному периоду. Они развиваться и у подростков, и у стариков. Родинка растет со временем, иногда она увеличивается в размере настолько, что начинает доставлять дискомфорт носителю. Если невус расположен на голове, его легко повредить во время расчесывания волос. Это приводит к началу воспалительных процессов, которые затрагивают и близлежащие ткани.
Невус неопасен, его удаление в основном осуществляется только с косметической целью. Наибольшего дискомфорта людям доставляют родинки на лице, которые заметны всем окружающим. Перед тем, как решиться на процедуру иссечения новообразования, важно обратиться к дерматологу. Только после всех проведенных исследований будет установлен конкретный тип невуса, а также оценена вероятность перерождения проблемы. Самостоятельно определить, что именно у вас появилось на теле практически невозможно.
Показаниями к удалению также могут стать постоянные повреждения поверхности невуса. Чаще всего для борьбы с образованием применяется сразу несколько методик:
Если образование проявилось на лице, чаще всего выбирают именно лазерную терапию.
Внутридермальный невус
Разновидность обычных невусов, которые имеют куполообразную форму. Такие родинки редко появляются в детском возрасте, зато они крайне распространены у взрослого населения. На теле может одновременно появляться до десяти таких образований на теле. Свое название подобные новообразования получили за счет того, что находятся под верхним слоем эпидермиса. Часто такие родинки сложно заметить, они почти не выделяются над поверхностью тела, а их оттенок близок к окружающим тканям.
Невус может появиться практически на любом участке. Излюбленные места новообразования верхняя часть рук, веки, шея, лицо и пр. Максимальный размер родинок до 1 сантиметра. При появлении в детском возрасте невусы практически незаметны, но с возрастом они начинают темнеть, часто приобретают выпуклую форму. Если родинка сохраняется и дальше, то после 70 лет она начнет постепенно обесцвечиваться.
Существует несколько причин, по которым могут образовываться внутридермальные невусы на теле человека:
- Наследственные факторы. Если на теле у родителей малыша насчитывается более 50 обычных родинок, то и у ребенка невусы будут носить множественных характер.
- Воздействие солнечных лучей. Ультрафиолетовое излучение негативно воздействует на кожу, вызывая ее повреждение. На месте часто появляются родинки. В зоне риска находятся люди со слишком светлой кожей.
- Снижение иммунитета. Чаще всего невусы начинают формироваться на фоне сниженного иммунитета, в том числе и после приема препаратов, подавляющих иммунитет.
Даже обычные родинки, которые имеют симметричный вид и не увеличиваются в размерах, важно постоянно контролировать. Устраивать проверки у дерматолога лучше не реже одного раза в год, так удастся выявить проблему на ранней стадии ее появления. Запланировать поход к специалисту вне расписания стоит в случае, если родинка начала увеличиваться, поменяла свою форму, приобрела другой оттенок, начала кровоточить.
Дерматолог может назначить процедуру по иссечению родинки в случае, если она доставляет косметический дискомфорт носителю, если существует риск перерождения новообразования в меланому, если поверхность невуса постоянно повреждается в течение дня.
Эпидермальный невус
Как понятно из названия, к данной категории относят родинки, который образовываются из верхних клеток эпидермиса. В основном новообразования есть на теле ребенка уже после рождения, подавляющая часть таких невусов также появляется в первый год жизни малыша. Отличительная особенность новообразования оно остается неизменным по форме и размеру в течение всей жизни человека.
Эпидермальные невусы подразделяют на несколько видов в зависимости от клеток, которые входят в их состав. Самыми непредсказуемыми принято считать образования, в состав которых входят не только кератиноциты, но и клетки потовых желез. Образования имеют желто-оранжевый оттенок, в 25% случаях они перерождаются в злокачественные опухоли.
Беспигментные родинки
Для большинства видов характерна окраска от светло-розового до черного оттенка. Существует несколько исключений из правил. Так, иногда невус может не иметь пигмента. Выявить такие родинки просто они представляют собой белесое или светловатое пятно с нечеткими границами и неправильной формой. Родинки без пигмента могут появляться только на теле европейцев.
Для родинок без пигмента характерен небольшой размер до 2 сантиметров. В основном показанием к удалению становится только косметическая сторона вопроса. Если человек часто загорает, невус так и остается светлого цвета, в итоге очень выделяется на коже и привлекает к себе внимание.
Пограничный невус
Свое название образования получили за счет того, что часто перерастают в злокачественные образования. Важно постоянно контролировать такие родинки и обращаться к дерматологу при обнаружении любых изменений.
Такие родинки скрыты под роговым слоем кожи, они имеют однородную коричневую окраску, четкие границы. Вызвать опасения у пациента и спровоцировать обращение к дерматологу должны следующие факторы:
- родинка начинает увеличиваться в размере;
- меняет свой цвет темнеет или светлеет;
- вокруг прилегающей зоны начали появляться пигментные пятна разного вида;
- родинка стала плотной, выделяющейся над поверхностью кожи;
- появилась болезненность в родинке, поверхность сильно чешется.
Как поступить с огромными невусами
Подавляющее количество невусов небольшие образования на коже диаметров несколько миллиметров, которые практически незаметны невооруженным взглядом. Исключения составляют образования, которые в диаметре превышают 20 сантиметров. Их относят к категории огромных. Родинка может покрывать большую часть руки, ноги, спины и пр. Такие родинки могут появляться на теле представителей любой расы. Развиваются они практически у 2% населения нашей планеты. Главная опасность невусов большого размера: они часто перерождаются в злокачественные. Крайне нестабильными принято считать образования, которые появляются в районе позвоночного столба. Вызвать опасения должны родинки, которые продолжают быстро увеличиваться в размерах, а также менять свой цвет.
Самые неприятные огромные невусы на теле у новорожденных детей. Так как ребенок со временем растет, родителям кажется, что родинка уменьшается в размере, на деле она продолжает также расти, чуть не успевая за всем телом.
В 30% случаев такие невусы становятся меланомой. Они должны быть под контролем у врача. Перерождение может наступить абсолютно в любом возрасте. Показано удаление гигантских невусов. Чаще всего используется метод хирургического иссечения. Если родинка расположена в труднодоступном месте, пациенту могут быть предложены альтернативные методики лечения. Удаление возможно в том числе и с помощью лазерной терапии.
Невусы на голове
Такие образования чаще всего удаляют именно из-за косметических причин. Если родинка находится на поверхности тела, какой бы размер она не имела, ее практически всегда можно скрыть под одеждой. Невусы на голове невозможно скрыть. Некоторые пациенты считают, что родинка подчеркивает их индивидуальность, другие уверены в том, что такое образование только портит их красоту. В итоге пациенты часто обращаются за удалением даже тех невусов, которые никогда не станут злокачественными.
Часто удаляют не только родинки на голове, но и новообразования на шее. Главная опасность таких родинок они часто трутся о поверхность одежды, в итоге повреждаются, что увеличивает риск перерождения. На голове невусы также возникают в районе волос. Они практически незаметны невооруженным вглядом, часто прощупываются пациентом при мытье головы и других процедурах. Главная опасность новообразований их легко повредить во время банального расчесывания волос. На голове в области волосяного покрова также часто появляются невусы, включающие в себя клетки сальных желез. Для них характерна форма бородавки с отсутствие на поверхности волос, а также неправильная форма. Вызвать появление могут вирусы папилломы человека, а также наследственные факторы.
Большинство родинок на голове появляется при рождении ребенка. Образование осматривают, делают исследования, чтобы поставить окончательный диагноз. В детском возрасте новообразования удаляются редко, так как они не подвержены перерождению в этот период. Оно наступает чаще всего во время полового созревания. Метод удаления выбирается в зависимости от размеров образования. Если невус небольшой, от него можно избавиться с помощью лазерной терапии, для борьбы с крупными образованиями потребуется хирургическое вмешательство.
Важно помнить о том, что на данный момент не существует волшебной таблетки, которая смогла бы убрать с кожи человека все опасные родинки, которые могут стать злокачественными. Важно следить за состоянием невусов и обращать внимания на любые изменения.
Родинки успешно удаляются. Все зависит от размера, квалификации медицинского специалиста, а также места расположения невуса.
Удаление невусов в "Лазер Плюс"
Родинки давно перестали считаться серьезной проблемой. Такие образования на коже легко убираются в косметологических салонах. Стоимость процедуры невысокая. Важно помнить о том, что гарантировать хороший результат при удалении вам смогут только в оборудованной клинике с квалифицированным персоналом.
Перед началом вмешательства важно провести комплексную диагностику родинки. Просто посмотреть образование на коже и поставить диагноз невозможно. Существует большое количество невусов, которые схожи между собой по внешнему виду, но имеют абсолютно разное строение.
Читайте также:
