Стоматиты к зубным протезам. Патогенез стоматитов к стоматологическим протезам
Добавил пользователь Евгений Кузнецов Обновлено: 15.12.2025
Рот помогает нам реализовать многие функции, среди которых общение, питание и дыхание. Однако так же, как и с другими частями тела и органами, внутри ротовой полости что-то может пойти не так. Когда у вас во рту имеются язвы и очаги воспаления, вы должны знать, что они могут сопутствовать (являться симптомами) нескольких типов заболеваний. И здесь вы найдете все, что вам нужно знать о стоматите, лечении и избавлении от боли.
Герпесный стоматит и лечение
Вирус простого герпеса 1 (HSV-1) вызывает герпесный стоматит, широко известный под названием «простой герпес». Этот вирус является крайне заразным, заражение происходит через слюну, как правило, в возрасте от 6 месяцев до 5 лет. Во многих случаях человек, зараженный HSV-1, не имеет никаких симптомов. Однако, при возникновении обострения, может появляться слюнотечение, жар, затруднения при глотании и общее недомогание, именно об этом говорит Национальный институт здравоохранения. Десны могут кровоточить и краснеть, набухать и быть слишком чувствительными, или болезненными.
Если у вас диагностировали герпесный стоматит, вы должны понимать, что это хроническое заболевание, которое будет сопровождать вас всю жизнь. Не существует способов, которыми бы организм смог избавиться от вируса, вызывающего язвы. Однако, обострения заболевания не следует оставлять без лечения, которое подразумевает под собой прием безрецептурных медицинских препаратов для снятия боли и облегчения жара. Во время обострения детям рекомендуется пить больше жидкости. Обострение, как правило, длится две недели, или даже меньше. При частых обострениях ваш врач может прописать прием антивирусных препаратов.
Язвенный стоматит и лечение
Афты, которые официально называются язвенным стоматитом, представляют собой округлые болезненные язвы в ротовой полости. Язва может быть одна, или может развиться вплоть до 10 язв одновременно. Афты встречаются весьма часто.
Афты могут передаваться внутри семьи, а сами язвы заразным не являются. Ученые не имеют полного понимания относительно того, почему образуются язвы, однако полагают, что они могут формироваться в результате проблем с иммунной системой. Стандартные триггерные факторы формирования язв включают в себя употребление продуктов питания, содержащих большое количество кислот, травмы в ротовой полости, эмоциональный стресс и изменения гормонального уровня, связанные с менструацией.
Симптомы включают в себя покалывание или жжение на языке, внутренней части губ и внутренней поверхности щек. Образование язв занимает около двух-трех дней, они могут быть маленькими или большими. Маленькие язвы проходят сами по себе через несколько недель, не оставляя шрамов. Большие язвы весьма болезненны и могут оставлять шрамы.
Нельзя предотвратить формирование афт, или вылечить их. Однако, вы можете избавиться от симптомов, таких, как жжение. Употребление легкой пищи, полоскание ротовой полости теплой водой и применение обезболивающих гелей может облегчить симптомы. Более крупные язвы могут потребовать применения специальных лекарственных препаратов.
Стоматит, связанный с использованием зубных протезов, и лечение
Всегда поддерживайте чистоту ротовой полости, именно это рекомендует Фонд здоровья полости рта. Краснота под протезами и язвы — это те признаки, на которые следует обратить внимание.
Такое состояние может быть обусловлено повышенным ростом грибков, имеющихся в ротовой полости. Для лечения стоматита необходимо обеспечить надлежащую гигиену полости рта. Это включает в себя регулярную чистку зубов и использование ополаскивателя для полости рта. Если вы носите протезы, убедитесь в их чистоте после приема пищи. На ночь, когда протезы не находятся у вас во рту, их следует замачивать. Курение также ведет к росту дрожжевых грибков в ротовой полости, таким образом, избавление от этой вредной привычки поможет вам улучшить состояние полости рта.
Прием медицинских препаратов может потребоваться в том случае, если соблюдения таких гигиенических привычек будет недостаточно для лечения стоматита. В этом случае, вам необходимо обратиться к врачу или стоматологу.
Если у вас имеется простой герпес, афты, или грибковое поражение полости рта, самое главное - найти тот способ, который поможет избавиться от дискомфорта. Варианты домашнего лечения, такие как жаропонижающие средства, обезболивающие препараты или гели и лосьоны для ротовой полости могут облегчить симптомы.
Стоматиты к зубным протезам. Патогенез стоматитов к стоматологическим протезам
Стоматиты к зубным протезам. Патогенез стоматитов к стоматологическим протезам
М. Spreng и М. Werner (1962) считают, что в основу диагностики стоматитов, обусловленных материалами зубных протезов, следует положить исключение материалов из полости рта и реэкспозицию, т. е. возвращение материалов в полость рта, металлографию, кожные тесты.
Для определения аллергии на акриловую пластмассу Л. И. Солодилов (1966) проводил кожные диагностические пробы, используя тестообразную пластмассу АКР-7, состоящую из 0,5 г полимера и 0,2 мл мономера из одной серии пластмассы. Чашечку из хромоникелевой стали с тестообразной массой накладывают на кожу внутренней поверхности плеча на 24 ч. Проводят три пробы с интервалами в 15 дней. Для первой пробы тестообразования массу готовят на неразведенном мономере, для второй—мономер разводят этиловым спиртом 1:1, для третьей — концентрация мономера в спирту составляет 1%.
Оценку проб проводят по четырехбалльной системе: ( + ) — слабо выраженный дерматит; ( + + ) —выраженный дерматит; ( + + + ) — резко выраженный дерматит; (—) — отрицательная реакция. Эта проба не получила распространения в клинической практике, так как трудно поддается дифференцировке прочтение результатов с точки зрения токсического и аллергенного действия мономера.

Механизм развития аллергической реакции на слизистой оболочке заключается в следующем. После резорбции через эпителий аллерген проникает в капиллярный (сосудистый) слой, и в базальном слое происходит реакция антигена с антителом, исходом которой является клеточная инфильтрация. Гистологически аллергическую реакцию на слизистой оболочке рассматривают как аналог экзематозной кожной реакции.
Следует подчеркнуть, что вопрос о тестах с аллергенами (металл, пластмассы) на слизистой оболочке полости рта остается нерешенным. Это связано с трудностями подбора концентраций аллергенов, растворителей, способов крепления (удержания) аллергенов на слизистой оболочке.
В клинической практике есть много общего между аллергией и интоксикацией. Обычно под влиянием малых доз такие изменения могут в равной мере возникать как в нормальном, так и в аллергическом организме. Вот почему часто описывают аллергию как интоксикацию и наоборот.
Из критериев аллергии важны обнаружение специфичности — наличия аллергических антител и отсутствие их при интоксикации, тем более что провоцирование может иметь место как при интоксикации, так и при аллергии. Но кожная реакция на аллерген отсутствует. ВНапример, аллергический стоматит на металлические и пластмассовые протезы характеризуется гиперемией, отеком, сухостью слизистых оболочек и т. д., тогда как клиническая картина токсического стоматита зависит от химического класса вещества (металлы — медь, свинец, кадмий, пластмассы — мономер).
Информация на сайте подлежит консультации лечащим врачом и не заменяет очной консультации с ним.
См. подробнее в пользовательском соглашении.
Протезный стоматит: причины, лечение и профилактика

01.06.2022
Актуальность
Число пожилых людей в возрасте 60 лет и старше во всем мире растет и составляет 810 миллионов человек. Ожидается, что к 2050 году эта цифра приблизится к двум миллиардам (22% всего населения мира). У стареющих людей обычно наблюдается ухудшение состояния полости рта, ведущее к потере зубов. Как следствие этого, около 20% всего населения Великобритании носят съемные протезы, а среди пациентов старше 75 лет 70% носят съёмные зубные протезы. Более, чем две трети этих людей страдают протезным стоматитом.
Сложная полимикробная биопленка полости рта способна пролиферировать на поверхности материалов зубных протезов и созревать, образуя видимый зубной налет.
Аспирация ротоглоточного содержимого – обычное явление у здоровых людей, из которых примерно 45% аспирируют материал в легкие во время сна. Поскольку пневмония является основной причиной смерти, связанной с инфекцией, у пациентов в возрасте 65 лет и старше присутствие таких видов патогенов на зубных протезах представляет собой фактор риска развития пневмонии.
Цель
Выявить основные причины и возбудителей протезного стоматита. Разработать методики по его лечению и профилактике.
Материалы и методы
Был проведен микробиологический анализ протезов 131 пациента.
Результаты
В зубном налете были выявлены предполагаемые респираторные патогены Staphylococcus aureus, Haemophilus influenzae B, Pseudomonas aeruginosa, Streptococcus pneumoniae, Streptococcus pyogenes и Moraxella catarrhalis. На некоторых зубных протезах были колонизированы до трех видов этих патогенов.
Поверхность протеза способна переносить до 10 11 микробов на миллиграмм налета. Таким образом, с точки зрения более широких системных последствий, зубные протезы представляют собой значительный резервуар для потенциально патогенных видов микробов.
Микробный состав зубного налета хорошо изучен и включает патогены пародонта, в том числе Fusobacterium nucleatum, Aggregatibacter actinomycetemcomitans и Porphyromonas gingivalis, из которых наиболее заметны виды, связанные с кариесом (виды Streptococcus и Lactobacillus). Совместная агрегация этих бактерий с грибами Candida albicans позволяет этим микроорганизмам процветать в виде биопленки в топографии поверхности зубного протеза с коллективным активным высвобождением протеолитических и липолитических ферментов, вызывающих воспаление поверхности неба. Действительно, полимикробные взаимодействия приводят к синергизму и потенциально могут увеличить тяжесть протезного стоматита.
Выводы
Будущее лечения протезного стоматита может быть связано с исследованиями новых материалов и покрытий протезов, которые обеспечивают топографию поверхности и химический состав, на которых микробам труднее образовывать биопленки. Было показано, что применение нанотехнологий в протезных материалах с композитной смолой является успешным, и ее применение в материалах базиса зубных протезов продолжает изучаться.
Включение противомикробных препаратов в базовые материалы для протезов и мягкие прокладки – не новая концепция. Тем не менее, стоит рассмотреть вопрос об антимикробном применении природных соединений на биопленках, связанных с протезами. Куркумин (диферулоилметан), активный ингредиент куркумы, представляет собой полифенол, который демонстрирует антимикробные свойства широкого спектра.
Что касается чистки зубных протезов, то в целом отсутствуют данные о сравнительной эффективности различных методов чистки, а также недостаточно данных в поддержку замачивания зубных протезов в шипучих таблетках с ферментативными растворами.
Противогрибковые препараты следует назначать только после посева и анализа чувствительности, указывающих на восприимчивость к кандидам, поскольку частота рецидивов и резистентность высоки у пациентов с протезным стоматитом.
Американский колледж протезистов опубликовал рекомендации по уходу за зубными протезами. Мы представляем модификацию этого протокола для лечения протезного стоматита в первичной медико-санитарной помощи, основанную на наиболее убедительных доказательствах.
Протокол лечения стоматита зубных протезов в первичной медико-санитарной помощи
Протезный стоматит - фото, причины, симптомы, лечение
Что такое стоматит, симптомы и причины возникновения.
Как лечить протезный стоматит.
Как лечить стоматит в домашних условиях.
Несмотря на достижения в области стоматологических технологий, которые предлагают нам все лучшие и лучшие материалы и конструкции протезов, они все еще остаются далеко позади естественного прикуса. Половина беды, если мы не можем спокойно подвернуть гайки. Настоящая проблема возникает тогда, когда протезной конструкции возникает боль или начинает развиваться воспаление.
Протезирование зубов может вызвать побочные эффекты разных видов: механические, токсические и аллергические. Причиной механических повреждений является некачественное исполнение протеза, неправильно сформированные пролеты моста, его свободное положение на челюсти или слишком длительное ношение. Такие протезы могут втиснуться слишком глубоко в десенный канал и постепенно приводят к атрофическим изменениям пародонта и даже могут стать причиной развития рака. Что касается искусственных зубов, их острые края могут раздражать язык и слизистую оболочку полости рта, что может привести к образованию язв, стоматита и лейкоплакии. Также акриловые материалы, из которых сделаны протезы, могут вызвать дискомфорт.
Самым частым заболеванием, связанным с протезированием зубов, является стоматит.
Стоматит - фото, лечение
Умные люди говорят, что врага нужно знать в лицо, поэтому мы подготовили несколько фотографий, на которых виден стоматит. Возможно, они помогут вам диагностировать проблему своевременно и вовремя начать ее лечение.


ФАКТ: Чаще всего протезный стоматит возникает из-за неправильной подгонки зубных протезов. Чтобы этого избежать, не стоит экономить на услугах стоматолога и обращаться к проверенным квалифицированным специалистам. От этого зависит ваше здоровье.
Что такое протезный стоматит?
Протезный стоматит - это изменения, которые происходят в слизистой оболочке полости рта и, как правило, вызывают боль. Поражения образуются в результате воздействия внешних факторов, которые травмируют слизистый слой ротовой полости. Ношение зубных протезов, ортодонтических аппаратов или незначительные травмы способствуют образованию язв и развитию данного заболевания. Лечение стоматита не сложное, главное вовремя его начать (об этом мы еще поговорим ниже).
Протезный стоматит является одним из наиболее часто диагностируемым поражением, дислоцирующихся в полости рта. Статистика показывает, что данному заболеванию больше всего подвержено население более зрелого возраста, что в первую очередь связано с более частым использованием в этой возрастной группе протезов.
Причины возникновения стоматита:
Недобросовестная либо нерегулярная гигиена ротовой полости.
Травмы полости рта (точнее, слизистой).
Ослабленный иммунитет, наличие иммунодефицита.
Контакт с носителем болезни.
Употребление антибиотиков, глюкокортикоидов, цитостатиков.
В последние годы проблема протезного стоматита стала актуальной также в младших возрастных группах, и это связано с использованием ортодонтических аппаратов. Способы борьбы с этим типом заболеваний довольно много - все больше и больше эффективных препаратов доступны без рецепта. Если наблюдается стоматит у детей, лечение необходимо начинать сразу же после первых симптомов. Полезными будут меры, которые не только ускорят процесс регенерации поврежденной поверхности слизистой оболочки, но и уменьшат неприятные ощущения, особенно боль, связанную с этими изменениями. Мы не можем забывать, однако, что наиболее эффективным способов для лечения стоматита у взрослых является устранение причин их возникновения, то есть, например, своевременное исправление неправильной подгонки зубных протезов.
Факт: Правильный уход за протезами и ежедневная гигиена полости рта может избавить от таких неприятных проблем, как стоматит и прочие поражения ротовой полости .
Стоматит - симптомы и лечение
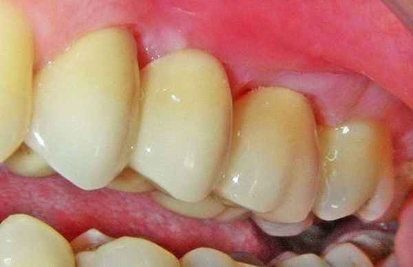
Симптомы, которые вызывает протезный стоматит, очень разные, но чаще болезнь имеет форму трофических и атрофических изменений в слизистой оболочке. Побочным эффектом могут быть патологические высыпания и язвенные воспаления. Иногда формируются злокачественные опухоли, таких как гранулемы или лейкоплакии. На твердом небе также может происходить диффузная гиперплазия.
Вот перечень наиболее частых симптомов:
Боль и неприятные ощущения в ротовой полости.
Жжение и зуд при употребление кислой либо острой еды.
Формирование на языке, небе, деснах, внутренних сторонах щеки эрозий (язв, белых или красных пятен и т.д.).
Рыхлость и опухлость десен.
Возможно увеличение лимфатических узлов.
Если вы наблюдаете у себя данные симптомы, вполне возможно, что у вас стоматит. Но не стоит сразу начинать лечение, лучше проконсультироваться у врача, чтобы он поставил точный диагноз (вплоть до вида стоматита, а их всего четыре), выявил возможные аллергии, выписал рецепт, соответствующий вашему анамнезу.
Профилактика и лечение протезного стоматита
Ключом к устранению некоторых инфекций является тщательная и регулярная гигиена рта и уход за протезом. Протезная пластина идеально подходит для развития бактерий, ведь там может скапливать пища, которую так любят микроорганизмы. В сочетании с раздражением слизистой оболочки и пониженной секрецией слюны может легко развиться бактериальная инфекция или грибковая. Принимая во внимание наиболее общие механизмы, которые могут привести к появлению стоматических язв во рту, то становится очевидным, что наиболее эффективный способ вылечить их - это устранение причин из создания. Следует отметить, однако, что для этой цели вы должны проконсультироваться со своим стоматологом, ведь самостоятельная коррекция зубных протезов (например, приклеивание их или изгибание) вызывают гораздо больше проблем, чем пользы. В последнее время все большее значение и пользу имеют препараты для местного применения, предназначенные для ускорения заживления дефекта ткани и уменьшение болей.
Лучшим лечением является сглаживание или извлечение расходных материалов. Кроме того, эффективны противогрибковые препараты (Пимафуцин, Фамцикловир, Валацикловир, Минакер, Мирамистин, Нистатин) и витамин В2, В12 и РР, С и железо для повышения функций слизистой оболочки полости рта. Если успела развиться гранулема, может потребоваться хирургическое вмешательство. Кроме того, применяют вяжущий лосьон и заживляющая мазь (Солкосерил, Вифирин). В некоторых случаях актуальным будет прием жароснижающих средств, частые полоскания травами и т.д.
Есть препараты с доказанной эффективностью, которые можно приобрести без рецепта. Чаще всего они находятся в форме геля, что облегчает применение в затрагиваемых районах (даже тех, к которым трудно получить доступ), а также дает приятное ощущение прохлады и быстро снимает боль. Кроме того, важно, что препарат образует мягкий гель слой на поверхности слизистой оболочки, что делает язвы несколько изолированными от внешней стороны. Это позволяет почти безболезненно употреблять продукты питания и пить напитки, которые в случае болезненных язв часто практически невозможно есть и пить. Композиции этого типа содержат различные соединения, которые имеют адъювант и ускоряют регенерацию поврежденной ткани (например, декспантенол, глицирретиновая кислота), уменьшают сопровождающие изменения воспаления и отека, а также ослабляют боль во рту.
Стоматит - лечение в домашних условиях
Способ лечения воспалительных заболеваний и инфекций полости рта определяется причиной, вызвавшей заболевание. Обычно - первый шаг - достаточно уделять больше внимания гигиене полости рта и применять противовоспалительные и защитные крема или гели (в случае изменений в ограниченной области). Также в домашних условиях вы можете помочь обеззараживанию ротовой полости c помощью полоскания следующими средствами:
Вода с содой, настои или готовые экстракты шалфея, ромашки, мирры.
Готовые смягчители на основе буры, эфирные масла, хлоргексидин.
Противовоспалительные и обезболивающие гели, например, на основе салициловой кислоты.
Можно иногда обойтись без антибиотиков и противовирусных препаратов, главное своевременно начать терапию.
Элементом профилактики также является правильная диета, которая - в данном случае - в основном состоят из: овощей, фруктов, яиц, цельного зерна, злаков и орехов, богатых витаминами группы В (особенно фолиевой кислотой и B12.), витамином C и железом.
Другие публикации:
Эксперт статьи, которую Вы читаете:
Стоматолог- ортопед, специалист по протезированию на имплантатах с применением конструкции на основе оксида циркония, эксперт международного исследовательского центра MINEC
Протезный стоматит: почему он появляется и как его предотвратить
Стоп! Вам же говорили, что боль терпеть нельзя. Лучше сразу обратиться к специалисту. Иначе и до стоматита недалеко.
Стоматит – это воспаление слизистой оболочки полости рта. Причины появления стоматита различны, но симптоматика весьма схожа: боль, зуд, жжение, в запущенных случаях общие недомогания, слабость.
Один из распространенных его видов – кандидозный стоматит (молочница). Его причиной может быть грибковая микрофлора полости рта. В принципе, она есть у каждого человека, но ее особенно много у пожилых людей. При определенных условиях она становится патогенной, то есть агрессивной по отношению к тканям организма. К таким условиям относятся: снижение иммунной защиты организма, уменьшение количества слюны, длительно не заживающие ранки во рту и др.
Кроме того, на увеличение количества грибов рода кандиды во рту влияет прием антибиотиков и наличие таких заболеваний, как сахарный диабет.
Почему появляется стоматит во время ношения съемных протезов:
1. Плохо подогнанный протез своими острыми краями травмирует слизистую оболочку полости рта. Появляются ранки, в которых и начинает размножаться кандида. Также причиной воспаления слизистой может стать балансирующий во рту протез – он натирает слизистую, как натирает ногу неправильно подобранная обувь.
Что можно сделать:
Обратиться для корректировки протеза к врачу-ортопеду, который без дополнительной платы быстро все исправит.
2. Плохая гигиена полости рта. Иногда протезы буквально прорастают патогенными микроорганизмами.
Что можно сделать:
- Не спать со съемными протезами. На ночь опускайте их в специальную жидкость для протезов.
- Тщательно очищать их зубной щеткой с пастой перед внесением в рот и после изъятия их оттуда.
- Педантично выполнять все рекомендации своего стоматолога, тогда протезы прослужат гораздо дольше.
3. Аллергические реакции. Организм может реагировать на отдельные компоненты протеза. Чаще всего на его мономер или красители. Как правило, в таких случаях ограниченный участок воспаления во рту проявляется там, где протез касается слизистой, причем не сразу, а спустя несколько дней с начала эксплуатации протеза. После прекращения его эксплуатации слизистая в течение нескольких дней восстанавливается.
Что можно сделать:
Выход только один – после подтверждения причины с помощью специальных проб следует заменить протез на аналог из другого материала.

Это лечится?
Стоматит может переродиться в более тяжелые, трудно поддающиеся лечению заболевания, иногда с поражением других органов и систем организма.
Лечение стоматитов должно проводиться строго по назначению врача и зависеть от формы и тяжести заболевания. Но еще раз отметим: никакого самолечения. Применять даже народные средства (отвары и настои) можно только с разрешения врача!
Важным и даже решающим шагом в подборе эффективного лечения заболеваний слизистой оболочки полости рта может стать высококвалифицированная консультация, иногда и консилиум докторов и кандидатов медицинских наук, работающих в стоматологической клинической поликлинике ИГМА. В специально выделенные дни ими проводятся консультации и консилиумы, на которые направляют своих сложных пациентов врачи со всей республики.
Читайте также:
