Эпифизеолиз головки бедра
Добавил пользователь Евгений Кузнецов Обновлено: 22.11.2025
Юношеский эпифизеолиз головки бедренной кости – это патология, при которой эпифиз полностью или частично отделяется от остальной части кости в проекции ростковой зоны. Возникает в пубертатном периоде на фоне эндокринных нарушений. Реже наблюдается при ХПН, после проведения радиотерапии или развивается идиопатически. Проявляется усиливающимися болями, к которым в последующем присоединяются ограничение движений, хромота и повышенная утомляемость конечности. В исходе формируется контрактура. Диагноз выставляется с учетом жалоб, данных осмотра и результатов рентгенографии. Лечение хирургическое – открытый остеосинтез, остеотомия, алло- или аутопластика.
По разным оценкам, заболеваемость составляет 10 на 100 000 человек, но она варьируется в зависимости от расы и географического района. Известно, что заболеваемость затрагивает детей в возрасте 9-16 лет с двусторонним вовлечением до 50% пациентов. В большинстве случаев причина ЭГБК неясна, но факторами риска являются мужской пол, эндокринные нарушения и механические воздействия вследствие ожирения, ретроверсии бедренной кости и склонности к косой проекции зоны роста.
Симптомы
Из-за неспецифичности, неяркой выраженности симптомов и незначительной распространенности патологии ранние стадии юношеского эпифизеолиза нередко остаются недиагностированными.
Пациенты жалуются на периодически возникающие боли в тазобедренном или коленном суставе, которые беспокоят их несколько недель или месяцев. Походка нарушена, отмечается хромота. В тяжелых случаях пациент не способен перенести тяжесть всего тела на пораженную конечность. Пораженная конечность несколько развернута кнаружи по сравнению со здоровой ногой. Длина пораженной конечности уменьшается на 2-3 см.
Лечение следует начинать как можно раньше. Часто операцию назначают через 24-48 часов после постановки диагноза. Ранняя диагностика эпифизеолиза головки бедренной кости обеспечивает наилучшие шансы достижения цели лечения (стабилизации тазобедренного сустава).
Осложнения
Основным осложнением заболевания является ранний тяжелый артроз тазобедренного сустава. Ограничение подвижности, обусловленное юношеским эпифизеолизом и прогрессирующими дегенеративными изменениями в суставе, а также нарушение опоры на ногу становятся причиной инвалидизации пациентов.
Диагностика
Поражение головки бедра диагностируется травматологами-ортопедами на основании жалоб, результатов объективного обследования и визуализационных методик. Основным методом обследования является рентгенография тазобедренного сустава. Процедура выполняется в 2 проекциях, наиболее информативна боковая проекция. Изменения зависят от стадии заболевания.
Сначала ростковый хрящ на рентгеновских снимках расширяется, шейка становится слоисто-пятнистой из-за чередования участков остеосклероза и остеопороза. Затем обнаруживается прогрессирующее смещение головки, после этого просматривается линия перелома. На заключительной стадии выявляются признаки консолидации перелома, ремоделирование шейки бедра, сужение суставной щели.
Рентгенографию дополняют компьютерной томографией тазобедренного сустава, проводимой для детализации патологических изменений и оценки жизнеспособности головки бедра. Пациентам назначают консультацию эндокринолога и дополнительные исследования для диагностики гормональных нарушений. Дифференциальную диагностику юношеского эпифизеолиза осуществляют с болезнью Пертеса.
Лечение
Стандартное лечение сводится к резьбовому креплению головки бедренной кости in-situ; таким образом, стабилизируя головку бедренной кости и вызывая остановку физиологического роста. Это предотвращает любое дальнейшее смещение в результате неанатомического положения, ограничивая дальнейший рост шейки бедра и ремоделирование. Это приводит к укорочению шейки бедра, уменьшению смещения бедра и укороченной рычажной руки для отводящих мышц, а также к увеличению риска бедренно-вертлужного воздействия.
Винтовая система Free Gliding для лечения ЭГБК с ее телескопическим дизайном была создана с целью предотвращения или прекращения дальнейшего смещения головки бедренного эпифиза у детей с открытыми ростовыми пластинками, не влияющего на нормальный рост проксимального отдела бедренной кости. В литературе имеются ограниченные данные в отношении фиксации при ЭГБК, которая позволяет продолжать расти шейке бедра; кроме того, до настоящего времени не было клинических исследований, оценивающих результаты винта FG. Поэтому мы разработали исследование для анализа роста и ремоделирования шейки бедренной кости после фиксации растущего винта in-situ при лечении ЭГБК.
Предпочтительны хирургические методы, которые стабилизируют ЭГБК и предотвращают дальнейшее смещение, но в то же время позволяют продолжать рост. Фактически, этот подход был успешно опробован в Скандинавии с использованием стержня Hansson, в Германии с использованием спиц Киршнера и в Северной Америке с использованием канюлированных винтов (Depuy-Synthes), оставляя их на поверхности.
Результаты недавнего исследования 3-летнего наблюдения 54 детей, которых лечили штифтами Hansson, показывают стабилизацию ЭГБК без дальнейшего смещения, позволяя удлинить шейку бедра до 20 мм, и реконструкцию с улучшением угла альфа до среднего значения 14,5 °. Результаты также показывают положительную корреляцию между углом альфа и ростом шейки бедра.
Недостатки современных технологий без сращивания, которые позволяют дальнейший рост, включают необходимость размещения имплантатов на коре и необходимость ревизионных операций для замены имплантатов после их перерастания.
Инновационный винт Pega Medical Free-Gliding (FG) для лечения ЭГБК устраняет эти ограничения благодаря модульной телескопической конструкции. Устройство, состоящее из двух частей, включает компонент с проксимальными нитями, полностью находящийся в эпифизе, и охватывающий элемент, который взаимодействует с боковой корой.
Рентгенографический анализ показывает, что винт FG предотвращает дальнейшее смещение и преждевременное закрытие пластинки физического слоя, что позволяет продолжать рост. Что еще более важно, благодаря модульной телескопической конструкции, имплантат не нужно оставлять на поверхности или заменять по мере роста ребёнка. Результаты недавнего исследования, двухлетнего наблюдения за состоянием 58 пациентов, страдающих ЭГБК, прошедших операцию по имплантации винта FG, показывают увеличение средней длины на 7,7 мм и улучшение угла альфа в среднем на 6,9 °. Результаты показывают, что оставшийся рост учитывает ремоделирование шейки бедренной кости, анатомическое смещение тазобедренного сустава и снижение риска, связанного с СБВС.
Винт Pega Medical FG — это новый подход к лечению ЭГБК без слияния, позволяющий избежать необходимости выступающего размещения имплантатов. Было доказано, что винт FG предотвращает дальнейшее смещение и в то же время не замедляет рост и способствует ремоделированию, что важно для снижения риска расхождения длины конечностей и бедренно-ацетабулярного ущемления, а также для предотвращения развития раннего остеоартрита.
Рост и ремоделирование шейки бедра после фиксации на месте винтовой конструкции, позволяющей рост сустава.
Ashlee Dobbe FRCSC; David G. Little MBBS; Oliver Birke MD; Paul Gibbons
Детская клиника Вестмид, Вестмид, Новый Южный Уэльс, Австралия
Целью данного исследования является анализ роста и ремоделирования шейки бедренной кости после фиксации винтом in-situ при лечении ЭГБК с возможностью роста сустава.
Методы: Мы провели ретроспективное исследование 42 пациентов, прошедших фиксацию in-situ с использованием винта PEGA Medical Free Gliding SCFE в период между 2015 и 2017 годами. Были рассмотрены рентгенограммы через 6 недель, 3 месяца, 12 месяцев, 24 месяца и после закрытия зоны роста. Рентгенограммы оценивались по заднему углу наклона (PSA), изменению длины винта, альфа-углу (α-угол), инклинации шейки бедра (NSA), смещению головки шейки бедра (HNO) и суставно-вертельному расстоянию (ATD).
Результаты: Всего было рассмотрено 58 тазобедренных суставов пациентов со средним возрастом 11,2 года. 39 пациентов проходили лечение от ЭГБК, а остальные 19 — профилактическое лечение. Наблюдалось среднее увеличение длины винта на 7,69 мм (P <0,001). HNO увеличилось в среднем на 9,64 мм (р = 0,002). Угол альфа улучшился в среднем на 6,89 градуса (P0,001). ATD оставалось положительным с общей тенденцией к среднему увеличению на 1,28 мм (P = 0,4).
Выводы: Изменение длины винта, положительное ATD, сохраненное HNO и тенденция к улучшению угла альфа показывают, что медицинский винт PEGA Free Gliding SCFE обеспечивает непрерывный рост шейки бедра. Необходимы дальнейшие исследования для оценки корреляции роста шейки бедра и улучшения ремоделирования шейки бедра, а также для определения группы пациентов и тяжести смещения, показатели по которым, скорее всего, значительно улучшатся.
Значение: Положительная корреляция, наблюдаемая между изменением длины винта, HNO и ATD, продемонстрировала, что оставшийся рост учитывает ремоделирование шейки бедренной кости и дает суставу возможность достичь оптимального / почти анатомического смещения тазобедренного сустава и снижает риск бедренно-вертлужного ущемления.
Эпифизеолиз головки бедра (ЭГБ)
Эпифизеолиз головки бедра представляет собой соскальзывание или расщепление конца бедренной кости по зоне роста в тазобедренном суставе.
Причиной этого заболевания может быть замедление роста тазобедренного сустава.
Типичные симптомы включают скованность или легкую боль в тазобедренном суставе.
Диагноз основывается на результатах рентгенологического исследования и, иногда, других визуализирующих обследований.
Обычно для исправления дефекта требуется хирургическое вмешательство.
Бедро — это бедренная кость. Эпифиз головки бедра — это головка бедренной кости (шар в лунке тазобедренного сустава). Эпифиз может соскальзывать с конца бедренной кости. Соскальзывание происходит в области зоны роста Общие сведения о заболеваниях костной системы у детей Заболевания костей могут быть вызваны травмой, инфекцией или раком, передаваться по наследству, возникать в период интенсивного роста ребенка или безо всякой видимой причины. Некоторые заболевания. Прочитайте дополнительные сведения . Зоны роста представляют собой мягкие области хряща вблизи концов костей, из которых у детей растут кости.
Эпифизеолиз головки бедра обычно развивается в раннем подростковом возрасте и чаще всего встречается у мальчиков. Важным фактором риска является ожирение Ожирение у подростков Ожирение определяется как индекс массы тела (ИМТ), превышающий 95-й процентиль для данного возраста и пола. Несмотря на то, что генетика и некоторые заболевания вызывают ожирение, у большинства. Прочитайте дополнительные сведения . У большинства детей, у которых это заболевание развивается в области одного тазобедренного сустава, в конечном счете оно развивается в обоих тазобедренных суставах.
Эпифизеолиз головки бедра
Причины эпифизеолиза головки бедра
Причина эпифизеолиза головки бедра неизвестна. Тем не менее, это заболевание с наибольшей вероятностью возникает вследствие ослабления зоны роста. Ослабление зоны роста может возникать в результате травмы, деформаций тазобедренных суставов, осложнений на почве ожирения, воспаления или изменения уровня гормонов в крови (например, низкий уровень гормонов щитовидной железы), которые обычно вырабатываются в период полового созревания (см Половое созревание у девочек Половое созревание у девочек Половое созревание является последовательностью событий, в ходе которых происходят физические изменения, приводящие к появлению взрослых физических характеристик и способности размножаться. Прочитайте дополнительные сведения и Половое созревание у мальчиков Половое созревание у мальчиков Половое созревание — это период, в течение которого человек достигает полной способности к репродукции с появлением у него черт, присущих взрослым людям его пола. У мальчиков половое созревание. Прочитайте дополнительные сведения ). Расщепление, в конечном счете, приводит к потере кровоснабжения, разложению и разрушению верхней части бедренной кости.
Симптомы эпифизеолиза головки бедра
Первым симптомом эпифизеолиза головки бедра может быть скованность или незначительная боль в тазобедренном суставе. Может казаться, что боль возникает в колене или бедре. Боль уменьшается при отдыхе и ухудшается при ходьбе или движении бедра. Позже развивается хромота, а затем боль в тазобедренном суставе, распространяющаяся вниз по внутренней стороне бедра до колена. Пораженная заболеванием нога, как правило, выкручивается наружу.
Эпифизеолиз головки бедренной кости (SCFE)

Эпифизеолиз головки бедренной кости – это смещение шейки бедра вверх и вперед относительно эпифиза бедра. Диагноз ставится на основании рентгенографии обоих бедер; иногда требуется дополнительная визуализация. Лечение подразумевает проведение восстановительной операции.
Эпифизеолиз головки бедренной кости (ЭГБК) обычно возникает в раннем подростковом возрасте и поражает преимущественно мальчиков. Ожирение является существенным фактором риска. Генетические факторы также оказывают влияние. ЭГБК (SCFE) является двусторонним у одной пятой части пациентов, и односторонний SCFE становится двусторонним у двух третей пациентов. Точная причина ЭГБК (SCFE) неизвестна, но, вероятно, связана с ослаблением физиса (пластинки роста), которое может возникнуть в результате травмы, гормональных изменений, воспаления или увеличения сдвигающих сил из-за ожирения.
Симптомы и признаки ЭГБК
Обычно заболевание начинается бессимптомно, симптомы эпифизеолиза головки бедренной кости связаны со стадией смещения. Первым симптомом ЭГБК может быть ригидность бедренной кости, которая проходит в состоянии покоя; затем развивается хромота, боль в бедре, которая распространяется вниз по переднемедиальной части бедра до колена. До 15% пациентов страдают от болей в колене или бедре, и истинная проблема (бедро) может быть незаметна, пока проскальзывание не ухудшится. Раннее обследование бедра может не выявить ни боли, ни ограничения подвижности.
Здравый смысл и предостережения
До 15% пациентов с эпифизеолизом головки бедренной кости страдают от болей в колене или бедре, и истинная проблема (бедро) может быть незаметна, пока проскальзывание не ухудшится.
На более поздних стадиях, симптомы могут включать боль при движении пораженного бедра, с ограниченным сгибанием, приведением, и медиальной ротацией; боль в колене без конкретных поражений, хромоту или походку Тренделенбурга. Больная нога ротирована наружу. Если приток крови к области находится под угрозой, может развиться асептический некроз и распад эпифиза.
Диагностика ЭГБК
Иногда МРТ или УЗИ
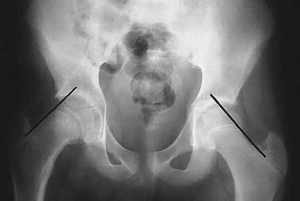
Поскольку вылечить запущенную стадию смещения трудно, ранняя диагностика эпифизеолиза головки бедренной кости является жизненно важной. Проводят передне-задний и латеральный – в положении лягушачьих ножек – рентген обоих бедер. Рентген выявляет расширение эпифизарных линий или очевидное заднее и нижнее смещение головки бедренной кости. Чтобы определить смещение, на рентгеновском снимке на верхней границе шейки бедра наносятся линии Клейна. Головка бедренной кости будет находиться ниже линии Клейна на пораженной стороне, в то время как на здоровой стороне значительная часть головки бедренной кости будет расположена выше линии Клейна.
УЗИ и МРТ также полезны, особенно если рентген в норме.
Лечение ЭГБК
Эпифизеолиз головки бедренной кости обычно прогрессирует, он требует хирургического вмешательства при постановке диагноза. Пациенты не должны переносить вес на больную ногу до тех пор, пока ЭГБК (SCFE) не будет исключен или вылечен. Хирургическое лечение состоит в винтовой фиксации через зоны роста.
Авторское право © 2022 Merck & Co., Inc., Rahway, NJ, США и ее аффилированные лица. Все права сохранены.
Юношеский эпифизеолиз головки бедренной кости
Юношеский эпифизеолиз головки бедренной кости – это патология, при которой эпифиз полностью или частично отделяется от остальной части кости в проекции ростковой зоны. Возникает в пубертатном периоде на фоне эндокринных нарушений. Реже наблюдается при ХПН, после проведения радиотерапии или развивается идиопатически. Проявляется усиливающимися болями, к которым в последующем присоединяются ограничение движений, хромота и повышенная утомляемость конечности. В исходе формируется контрактура. Диагноз выставляется с учетом жалоб, данных осмотра и результатов рентгенографии. Лечение хирургическое – открытый остеосинтез, остеотомия, алло- или аутопластика.
МКБ-10
Общие сведения
Юношеский эпифизеолиз головки бедренной кости (ЮЭГБК) – достаточно редкое ортопедическое заболевание. Распространенность патологии составляет 4-5 случаев на 100 тыс. человек. Мальчики страдают в полтора раза чаще девочек. Первые проявления болезни обнаруживаются у девочек 11-12 лет и мальчиков – 13-14 лет, возникают одновременно с признаками полового созревания, но в литературе есть указания на возможность манифестации болезни в 5-7-летнем возрасте. Поражение обоих тазобедренных суставов выявляется у 20% пациентов, вторая нога вовлекается в процесс в течение 1 года.
Причины
Причины возникновения юношеского эпифизеолиза изучены недостаточно. Выявлена достоверная связь патологии с гормональными расстройствами и наследственной предрасположенностью. Считается, что в основе этиологии болезни лежит дисбаланс между гормонами роста, выделяемыми передней долей гипофиза, и половыми гормонами в фазе пубертата. В число факторов риска формирования юношеского эпифизеолиза входят:
- ожирение;
- заболевания эндокринной системы;
- половое недоразвитие;
- сахарный диабет;
- крипторхизм;
- гипогонадизм;
- недоразвитие наружных половых органов.
Изредка юношеский эпифизеолиз встречается у худых подростков. Подобные случаи рассматриваются как идиопатические, при применении визуализационных методик обнаруживаются локальные нарушения минерального обмена и ухудшение кровообращения головки бедра. По данным исследователей, иногда заболевание провоцируется рентгенотерапией или ХПН.
Патогенез
Нарушение соотношения между группами гормонов, влияющими на состояние эпифизарной пластинки, повышенная масса тела и определенные анатомические особенности бедренной кости приводят к соскальзыванию эпифиза. Эпифиз медленно смещается кзади и книзу. Шейка бедра вместе с нижним отделом бедренной кости лишается упора и разворачивается кнаружи. Степень нарушения функции тазобедренного сустава напрямую зависит от выраженности смещения эпифизарной зоны.
Классификация
Выделяют 5 последовательных рентгенологических этапов развития эпифизеолиза головки бедра:
- 1 стадия – предсоскальзывания или предлистеза. Характеризуется патологическими изменениями ростковых зон эпифиза головки, апофизов большого и малого вертелов, гиперостозом верхней части шейки бедра.
- 2 стадия – смещения до предела толерантности сустава. Отмечается хроническое течение, сопровождающееся смещением эпифиза кзади до 30°, уменьшением эпицервикального угла до 60°.
- 3 стадия – смещения за пределы толерантности сустава. Хроническое смещение прогрессирует, головка смещается кзади на 30° и более, эпицервикальный угол составляет менее 60°, шеечно-диафизарный – менее 120°.
- 4 стадия – острого смещения эпифиза. Головка полностью отделяется от шейки, угол между диафизом и шейкой составляет 90-75°, на снимках определяется линия перелома, ранние признаки сращения между шейкой и головкой с сохранением смещения.
- 5 стадия – остаточных деформаций. Верхние отделы бедренной кости полностью срастаются в порочном положении.
Симптомы
Из-за неспецифичности, неяркой выраженности симптомов и незначительной распространенности патологии ранние стадии юношеского эпифизеолиза нередко остаются недиагностированными. Заболевание начинается постепенно с периодических болей в паху либо коленном суставе после физических нагрузок. В последующем развивается хромота, пациенты отмечают быструю утомляемость конечности. Выявляется нарастающее ограничение движений.
При общем объективном обследовании часто обнаруживается тучность, стрии на коже, повышение АД, уменьшение размеров половых органов. При локальном осмотре определяется незначительная или умеренная атрофия мышц в области голени, бедра и ягодицы. Основным клиническим признаком эпифизеолиза является стойкая наружная ротация бедра. Объем вращения кнутри ограничен, кнаружи – увеличен.
Попытки вывести конечность в правильное положение безуспешны, сопровождаются усилением боли. Отведение прямой ноги и наклон туловища кпереди ограничены. Наблюдается положительный симптом Тренделенбурга. Длина пораженной конечности уменьшается на 2-3 см. При попытке встать ровно с симметрично расположенными стопами больная сторона таза смещается кпереди, большие вертелы располагаются не на одной линии.
На 4 стадии симптомы напоминают перелом шейки бедренной кости. Пациенты предъявляют жалобы на сильную боль в проекции тазобедренного сустава. Конечность находится в вынужденном положении, опора невозможна. В анамнезе часто выявляется травма, тяжесть которой не соответствует обнаруженным патологическим изменениям: попытка сесть на шпагат, удар по большому вертелу, падение с велосипеда. На поздних стадиях определяется тугоподвижность.
Осложнения
Основным осложнением заболевания является ранний тяжелый артроз тазобедренного сустава. Ограничение подвижности, обусловленное юношеским эпифизеолизом и прогрессирующими дегенеративными изменениями в суставе, а также нарушение опоры на ногу становятся причиной инвалидизации пациентов.
Диагностика
Поражение головки бедра диагностируется травматологами-ортопедами на основании жалоб, результатов объективного обследования и визуализационных методик. Основным методом обследования является рентгенография тазобедренного сустава. Процедура выполняется в 2 проекциях, наиболее информативна боковая проекция. Изменения зависят от стадии заболевания.
Сначала ростковый хрящ на рентгеновских снимках расширяется, шейка становится слоисто-пятнистой из-за чередования участков остеосклероза и остеопороза. Затем обнаруживается прогрессирующее смещение головки, после этого просматривается линия перелома. На заключительной стадии выявляются признаки консолидации перелома, ремоделирование шейки бедра, сужение суставной щели.
Рентгенографию дополняют компьютерной томографией тазобедренного сустава, проводимой для детализации патологических изменений и оценки жизнеспособности головки бедра. Пациентам назначают консультацию эндокринолога и дополнительные исследования для диагностики гормональных нарушений. Дифференциальную диагностику юношеского эпифизеолиза осуществляют с болезнью Пертеса.
Лечение юношеского эпифизеолиза
По данным многочисленных исследований, не существует консервативных способов лечения, способных предотвратить соскальзывание головки относительно шейки и нижележащих отделов бедренной кости. Смещение нарастает даже при продолжительной разгрузке и иммобилизации конечности. Поэтому основным методом лечения является хирургическое вмешательство, в ходе которого производится фиксация головки и шейки. Металлоостеосинтез дополняется следующими оперативными методами:
- 1 степень – внесуставной эпифизеодез;
- 2 степень – установка алло- либо аутотрансплантатов в ростковую зону;
- 3 степень – межвертельная вальгизирующая деторсионно-ротационная остеотомия;
- 4 степень – закрытая репозиция, установка трансплантатов;
- 5 степень – эпифизеодез в сочетании с корригирующей остеотомией.
Продолжительность строгого постельного режима после операций на бедренной кости составляет 3 недели. Затем назначают расширенный постельный режим еще на 6 недель. Через 1,5 месяца разрешают ходьбу с костылями без опоры на пораженную конечность. Ходьба без костылей возможна через 3 месяца с момента вмешательства.
При поступлении больных с острым смещением эпифиза начале накладывают скелетное вытяжение сроком на 2 недели. В последующем изменяют положение конечности и продолжают вытяжение в течение еще 8 недель, накладывают гипсовую повязку сроком на 12 недель либо выполняют упомянутое выше оперативное вмешательство.
Прогноз
Прогноз определяется временем начала лечения и положением головки бедра в исходе заболевания. При ранней оперативной коррекции возможно выздоровление с достаточным сохранением функции сустава. При попытках консервативной терапии или позднем проведении оперативных мероприятий функциональность конечности снижается. Наиболее неблагоприятный исход наблюдается у больных ХПН, у которых процесс в 90% случаев носит двухсторонний характер, смещение эпифиза превышает 50°.
Профилактика
Первичные профилактические мероприятия не разработаны. Для раннего выявления патологии требуется настороженность специалистов при обнаружении неясных болей в тазобедренном суставе у подростков из группы риска. Профилактика неблагоприятных последствий ЮЭГБК заключается в адекватном выборе метода хирургического лечения с учетом стадии болезни.
Юношеский эпифизеолиз головки бедренной кости

Юношеский эпифизеолиз головки бедренной кости (ЮЭГБК) — заболевание подросткового возраста, характеризующееся тяжелым прогрессирующим поражением проксимального отдела бедра (происходит смещение шейки бедренной кости вверх и кпереди относительно эпифиза головки бедренной кости).
Частота этого заболевания является невысокой, однако оно нередко становится одной из причин развития раннего инвалидности среди молодых людей. Болезнь возникает чаще в подростковом возрасте и страдают преимущественно мальчики. Факторами риска возникновения болезни является избыточный вес ребенка и генетическая предрасположенность (у родителей в детстве были аналогичные проблемы). В около 21% детей процесс поражает оба бедра.
Точная причина неизвестна, вероятно она связана с ослаблением ростковой зоны головки бедра, которое может возникать в результате травмы, гормональных изменений, воспаление сустава или вследствие чрезмерной нагрузки из-за ожирения.
Симптомы
Болезнь может иметь острое (до 3 недель) или хроническое (более 3 недель) течение.
Хроническое течение характерно в 80-90% случаев. На ранних стадиях любые проявления болезни отсутствуют, что приводит к запоздалой диагностики и лечения. Первые признаки болезни включают боли в области тазобедренного или коленного сустава, прихрамывание; в дальнейшем в результате прогрессирования патологии формируется характерная ходьба с поворотом ноги наружу.
Острое течение часто возникает из-за травмы (падение с высоты, удар в область тазобедренного сустава); характерный резкий боль в области тазобедренного сустава и ограничение движений в тазобедренном суставе.
Для постановки диагноза необходимо проведение рентгенографии тазобедренных суставов (в задней проекции и в положении Лаунштейна); определяется стадия болезни и степень смещения эпифиза бедренной кости.
Лечение
Направлено на предупреждение дальнейшего смещения эпифиза головки бедра, его стабилизация в правильном положении и стимуляцию раннего закрытия зоны роста головки бедренной кости.
Консервативное лечение проводится как подготовительный этап к операции (строгий постельный режим, разгрузка сустава).

Хирургическое вмешательство является основным методом лечения; оно зависит от степени смещения эпифиза головки и стадии болезни. В нашей клинике выполняются весь спектр хирургических вмешательств по поводу юношеского эпифизеолиза головки бедренной кости.
- В случаях раннего выявления болезни и незначительного смещения возможно стабилизация эпифиза головки бедренной кости в правильном положении винтами;
- При позднем выявлении патологии и значительном смещении эпифиза бедренной кости проводятся сложные реконструктивные хирургические вмешательства на бедренной кости.
Помните, ранняя диагностика болезни является залогом успешного лечения. При возникновении болей в тазобедренном суставе обязательно обратятся к ортопеду.
Читайте также:
