Эпителиальные опухоли паренхимы почек. Аденома почки.
Добавил пользователь Евгений Кузнецов Обновлено: 29.01.2026
Злокачественная опухоль, которая развивается либо из эпителия проксимальных канальцев и собирательных трубочек, либо из эпителия чашечно-лоханочной системы.
Все опухоли почек разделяют на:
- доброкачественные (онкоцитома, ангиомиолипома, аденома, лейомиома и др.),
- злокачественные (почечно-клеточный рак, гипернефроидный рак, почечно-клеточная карцинома и др.).
Несмотря на то, что доброкачественные опухоли не дают метастазов, подход к их лечению должен быть такой же, как и при раке почки (хирургический). Это связано с тем, что доброкачественные опухоли часто сочетаются с раком почки, и высока вероятность малигнизации. Исключения составляют такие опухоли как ангиомиолипома и липома. В диагностике последних решающее значение имеет компьютерная томография (КТ), при котором определяются характерные для данных опухолей признаки: жировые включения. В таких случаях возможно динамическое наблюдение с ежегодным выполнением КТ. При появлении клинических признаков или увеличении опухоли в размерах показано хирургическое лечение.
Около 90 % всех злокачественных опухолей почек представляет рак почки (почечно-клеточный рак, гипернефроидный рак, почечно-клеточная карцинома). Все эти злокачественные новообразования развиваются из паренхимы почки. Несмотря на развитие лучевых методов диагностики и возможностей раннего выявления опухолей почек, у 25-30 % больных раком почки при первичном обращении имеются отдаленные метастазы. Таким образом, актуальность онкоскрининга для раннего выявления заболевания очень высока. А при выявлении опухоли очень важно правильно и быстро провести дообследование и выбрать вариант лечения, отвечающий всем онкологическим стандартам.
В России, в структуре злокачественных образований, рак почки составляет 3% у женщин и 4,5 % у мужчин. Средний возраст - 60 лет. Проведено огромное количество исследований, направленных на выявление причины возникновения рака почки, однако, однозначного ответа так и не получено. Выделяются факторы риска, способствующие развитию данных опухолей. Например, сочетание ожирения, артериальной гипертензии и курения повышают риск возникновения рака почки на 50%.
Выделяют следующие факторы риска развития злокачественной опухоли:
- наследственные ( семейный анамнез, синдром фон Хиппеля-Линдау, половая принадлежность (мужчины болеют в 1,5-2 раза чаще, чем женщины));
- приобретенные, на фоне которых наиболее часто развиваются опухоли почек- такие как: курение, ожирение, лекарственное воздействие, профессиональная вредность.
Ранние стадии заболевания чаще всего являются случайной находкой при обследовании по совершенно другому поводу (на профилактических осмотрах). Клинические проявления, как правило, появляются, когда опухоль достигает больших размеров, может нарушать функцию соседних органов, или клиническая картина обусловлена вторичными изменениями (метастазами). Существует классическая триада (ренальные симптомы), характерная для опухоли почки: гематурия, боль, пальпируемое образование. Однако, такая картина наблюдается крайне редко (всего в 15%) и чаще - уже на запущенных стадиях болезни.
У мужчин, нередко одним из симптомов, а иногда и единственным, может быть появление варикоцеле. Это обусловлено тем, что опухоль почки сдавливает яичковую вену у места ее впадения в почечную вену.
Также, когда опухоль сдавливает почечные сосуды, у пациента появляется артериальная гипертензия, слабо реагирующая на стандартное терапевтическое лечение.
В тех случаях, когда опухоль не выявляется на ранних стадиях, клиническая картина может быть обусловлена опухолевым тромбозом нижней полой вены (НПВ), забрюшинной лимфоаденопатией и метастатическими очагами. Сдавление или опухолевый тромбоз проявляется синдромом сдавления нижней полой вены. Появляются отеки ног, варикоцеле, расширение подкожных вен живота, тромбоз глубоких вен нижних конечностей. Наиболее часто метастазирование происходит в легкие (появляется кашель и кровохарканье), кости (боли в костях, патологические переломы), головной мозг (неврологическая симптоматика), печень (желтуха).
Диагностика опухолей почек в настоящий момент стандартизирована
Для онкоскрининга выполняется ультразвуковое исследование (УЗИ) почек. При выявлении опухоли или в сомнительных случаях стандартным методом лучевой диагностики является КТ почек с контрастированием.
КТ дает информацию о распространении опухоли, степени накопления контраста, состоянии региональных лимфоузлов, контрлатеральной почки и надпочечника. Для определения степени распространенности опухолевого процесса больному показано выполнения Rg легких и УЗИ малого таза. При подозрении на метастатическое распространение дополнительно выполняют остеосцинтиографию, КТ легких и КТ (или МРТ) головного мозга.
Дополнительные методы обследования опухолей:
- Почечная артериография и кавография. Эти методы используются при планировании резекции почки при опухолях больших размеров для исключения дополнительных сосудов почки и перед определением возможности эмболизации почечной артерии (у специально отобранной категории пациентов).
- Нефросцинтиграфия. Обязательно выполняется пациентам с нарушенной функцией почки, при повышении цифр креатинина для выбора оптимального варианта лечения, с целью сохранения почечной функции.
- ПЭТ-КТ не является стандартным методом исследования.
- Биопсия опухоли почки имеет очень ограниченные показания и в большинстве случаев выполняется для групп больных, которым по той или иной причине выбрана тактика активного наблюдения, или для гистологической верификации диагноза перед назначением таргетной терапии или аблятивных методов лечения.
Классификация опухолей почек производится по общепринятой классификации TNM и распределения по стадиям.
- Т - первичная опухоль почки;
- ТХ - первичная почки опухоль не может быть оценена;
- Т0 - нет данных о первичной опухоли;
- Т1 - опухоль не более 7 см в наибольшем измерении, ограниченная почкой;
- T1a - опухоль почки до 4 см;
- T1b - опухоль почки 4-7 см;
- Т2 - опухоль более 7 см в наибольшем измерении, ограниченная почкой;
- Т3 - опухоль распространяется в крупные вены, или инвазирует надпочечник, или окружающие ткани, но не выходит за пределы фасции Герота;
- Т3а - опухолевая инвазия надпочечника или паранефральной клетчатки в пределах фасции Герота;
- Т3b - опухоль распространяется в почечную вену или нижнюю полую вену ниже диафрагмы;
- Т3с - опухоль распространяется в нижнюю полую вену выше диафрагмы или инвазирует ее стенку;
- Т4 - опухоль распространяется за пределы фасции Герота.
- NX - регионарные лимфатические узлы не могут быть оценены,
- N0 - нет метастазов в регионарных лимфатических узлах,
- N1 - метастазы в одном регионарном лимфатическом узле,
- N2 - метастазы более чем в одном регионарном лимфатическом узле.
- МХ - отдаленные метастазы не могут быть оценены,
- М0 - нет отдаленных метастазов,
- М1 - отдаленные метастазы.
- pT, pN и pM категории соответствуют T, N и М категориям.
- GX - степень дифференцировки не может быть оценена,
- G1 - высоко дифференцированная опухоль,
- G2 - умеренно дифференцированная опухоль,
- G3-4 - низко дифференцированная/недифференцированная опухоль.

(Схематическое изображение стадий)
Для оценки степени распространенности первичной опухоли (категория Т) и состояния регионарных лимфоузлов (категория N) используют:
- УЗИ (как первичный метод диагностики),
- КТ или МРТ.
Для исключения или выявления отдаленных очагов - метастазов (категория М) в дополнение выполняется:
- Rg легких (КТ грудной клетки),
- остеосцинтиография .
После проведенного обследования можно оценить степень распространенности опухолевого процесса: локализованная, местно-распространенная и метастатическая (генерализованная) формы. Далее формулируют окончательный клинический диагноз с использованием TNM классификации, устанавливается стадия. Все это определяет наиболее оптимальный вариант лечения больного с впервые выявленной опухолью почки.
Основным методом лечения локализованного и местно-распространенного рака почки является хирургический - это нефрэктомия и резекция почки. Выполнение резекции почки или нефрэктомии зависит от оснащения медицинского учреждения, стадии заболевания и опыта хирурга, выполняющего операцию.
Показанием к радикальной нефрэктомии является локализованная (T1-2N0M0) опухоль более 4 см, при невозможности резекции и местно распространенная (T3-4N0-1M0) опухоль почки, а также инвазия в почечную и НПВ (Т3в-cN0 M0). Паллиативная нефрэктомия, при метастатической форме рака почки, выполняется отобранным пациентам (с благоприятным и промежуточным прогнозом по шкале MSKCC) как первый этап лечения с целью циторедукции, а в дальнейшем назначается таргетная терапия. В ряде случаев, нефрэктомия выполняется как единственная возможность уменьшения болевого синдрома или купирования гематурии.
Показания к удалению почки существуют:
К абсолютным показаниям относится единственная почка. К относительным показаниям:патология или снижение функции здоровой почки, хроническая болезнь почек. Однако в ряде случаев, даже при небольших опухолях (до 4 см) из-за неблагоприятного расположения опухоли резекцию почки выполнить невозможно, что связано как с техническими сложностями, так и высоким операционным риском и возможными послеоперационными осложнениями.
Существуют онкологические принципы выполнения нефрэктомии по поводу опухоли почки. Это первоочередная перевязка почечной артерии, а затем вены. Также, почку с опухолью и паранефральной клетчаткой, лимфоузлами и надпочечником (по показаниям) необходимо удалять единым блоком в пределах фасции Герота. При клинически неизмененных лимфоузлах, микрометастазы в них встречаются крайне редко (до 3,3%). Поэтому стандартно лимфодиссекция выполняется в том случае, если дооперационно, по данным лучевых методов исследования, лимфоузлы патологически изменены.
Операция может быть выполнена открытым (срединная лапаротомия, люмботомия и др.) или малоинвазивным способом (лапароскопически и робот- ассистированным доступом). Онкологический стандарт операции должен быть выполнен вне зависимости от выбранного доступа (открытый или малоинвазивный).
В нашем отделении приоритетным лечением всех ранних форм рака почки является выполнение операций лапароскопическим доступом (радикальная нефрэктомия). Это позволяет уменьшить болевые ощущения, которые связаны с открытыми оперативными вмешательствами и большими разрезами, и сократить период восстановления до 3-5 суток при сохранении всех онкологических принципов.
В нашей клинике пациенты имеют возможность получить бесплатное лечение по федеральной квоте.
Мы также занимаемся оперативным лечением «больших» опухолей почки, местно-распространенных и генерализованных форм. По показаниям выполняются паллиативные нефрэктомии и комбинированные операции с удалением соседних органов, вовлеченных в опухолевый процесс.
При невозможности выполнения хирургического лечения у больных раком почки (отказ пациента, выраженная сопутствующая патология, выраженный генерализованный процесс и др.) существуют альтернативные варианты лечения: активное наблюдение, аблятивные методики, эмболизация.
У 20 - 30 % пациентов, прооперированных с локализованной формой болезни, в будущем,как правило, выявляются отдаленные метастазы. Прогноз заболевания во многом зависит от стадии процесса и оказанной медицинской помощи на первом этапе болезни. А в дальнейшем имеет значение наблюдение и выполнение контрольных обследований для исключения рецидива и прогрессирования заболевания. Пациентам с генерализованной формой болезни очень важно после верификации диагноза (биопсии или паллиативной нефрэктомии)получить системное противоопухолевое лечение (таргетная терапия).
В нашем онкологическом центре комбинированных методов лечения Вы можете получить все виды высококвалифицированной хирургической помощи при лечении опухолей почек: пройти полное дооперационное обследование, бесплатное лечение по федеральной квоте и наблюдение в динамике с контрольными обследованиями.
Оформите заявку на сайте, мы свяжемся с вами в ближайшее время и ответим на все интересующие вопросы.
Доброкачественные новообразования почек и мочевого пузыря
Почки – один из наиболее важных органов в общей системе очищение организма. Основная их функция фильтрация крови и выведение вредных веществ и продуктов жизнедеятельности. Однако они также могут быть подвержены различного рода патологиям и не исключением являются новообразования в почке.
Появление объемного образования – это следствие совокупности многих факторов и причин, способных вызвать такое заболевание:
- Неблагоприятная наследственность;
- Врожденные аномалии развития;
- Последствия инфекционных процессов;
- Частые воспалительные заболевания;
- Посттравматические осложнения.

Объемные образования имеют доброкачественный и злокачественный характер течения болезни. И, если возникает такая патология, то, прежде всего, нужно выяснить каким является это новообразование.
Очень важно знать в какой почке, правой или левой находиться патология. Растущее объемное образование правой почки постепенно начнет сдавливать нижнюю полую вену, тем самым нарушая кровоток и увеличивая риск тромбоэмболии легочной артерии.
Объемное образование левой почки может вызвать ухудшение венозного оттока и расширение паховых вен. Что приведет к отеку нижних конечностей.
Разновидности образований в почке
Киста почки– это объемное образование представляет собой полость, заполненную жидкостным содержимым с четкими ровными краями. Капсулу кисты образуют ткани паренхимы органа, которые уплотнились и образовали полость. Происходит это в результате воздействия неблагоприятных факторов на паренхиму почки. Клубочковые выводные протоки закупориваются, и первичная моча скапливается в одном месте, образуя капсулу. С течением времени, по мере накопления жидкостного содержимого, киста увеличивается в размере.
При исследовании на УЗИ содержимое кисты имеет анэхогенную структуру, потому что жидкость, находящаяся в капсуле кисты не способна отражать звуковую волну. Простая киста имеет одну камеру с четкими контурами.
Единичные кисты с размером менее 5 см редко беспокоят пациента и не подлежат лечению. За такими кистозными образованиями должно быть установлено наблюдение.
Множественные кисты разного размера носят название поликистоз почки.
Сложная киста – это киста с перегородкой или многокамерная киста подлежит тщательному, дополнительному обследованию, так как часто перерастает в злокачественное образование. Лечение такой кисты хирургическое.
Причины возникновения доброкачественных опухолей, малоизвестны, кроме тех общепринятых неблагоприятных факторов, воздействующих на организм в целом.
Рассмотрим некоторые основные виды доброкачественных новообразований
Аденома– самая распространенная доброкачественная опухоль, для которой характерен очень медленный рост, поэтому она не достигает больших размеров. Пока образование маленькое, оно не беспокоит больного, как только размеры опухоли начинают сдавливать сосуды, появляется симптоматика в виде болей и нарушения мочеотделения. Многие источники относят это образование к предраковым опухолям.
Аденома, разрастаясь, способна полностью прекратить мочеотделение из органа.
Фиброма– доброкачественное новообразование, которое состоит из фиброзной ткани. Располагается на полюсах почки или внутри органа. Рост не быстрый, но достигает больших размеров. Разрастается в виде очагового образования. Основная симптоматика складывается из-за сдавления, внушительными размерами опухоли, кровеносных сосудов. До этого момента никак не беспокоит пациента.
Онкоцитома– еще одно доброкачественное новообразование, малоизученное. Про его рост известно, что он очень интенсивный, может достигать больших размеров за сравнительно короткое время. Протекает бессимптомно, обнаруживается случайно во время исследования других органов. Возможен, как одиночный, так и множественный рост.
По своему гистологическому свойству относится к предраковым образованиям. При обнаружении необходимо хирургическое удаление не только образования, но и всей доли органа.
Липома– доброкачественное новообразование, состоящие из клеток жировой ткани, окружающей почку или находящихся внутри синуса. Склонна перерастать в злокачественное новообразование, поэтому при ее обнаружении требуется оперативное лечение.
Ангиомиолипома– редко встречающаяся опухоль, причина происхождения неизвестна, принято думать, что это результат генетических мутаций. Встречается с туберкулезным склерозом почечной паренхимы. Если опухоль достигает очень больших размеров, требуется хирургическое вмешательство.
Доброкачественные новообразования мочевого пузыря
Группа доброкачественных опухолей мочевого пузыря включают в себя эпителиальные (полипы, папилломы) и неэпителиальные (фибромы, лейомиомы, рабдомиомы, гемангиомы, невриномы, фибромиксомы) новообразования. Новообразования мочевого пузыря составляют около 4—6% всех опухолевых поражений и 10% среди прочих заболеваний, диагностикой и лечением которых занимается урология. Опухолевые процессы в мочевом пузыре диагностируются преимущественно у лиц старше 50 лет. У мужчин опухоли мочевого пузыря развиваются в 4 раза чаще, чем у женщин.
Причины развития доброкачественных опухолей мочевого пузыря
Причины развития опухолей мочевого пузыря достоверно не выяснены. Большая значимость в вопросах этиологии отводится воздействию производственных вредностей, в частности, ароматических аминов (бензидина, нафтиламина и др.), поскольку высокий процент новообразований диагностируется у рабочих, занятых в лакокрасочной, бумажной, резиновой, химической промышленности.
Провоцировать образование опухолей может длительный застой (стаз) мочи. Содержащиеся в моче ортоаминофенолы (продукты конечного обмена аминокислоты триптофана) вызывают пролиферацию эпителия (уротелия), выстилающего мочевыводящий тракт. Чем дольше моча задерживается в мочевом пузыре, и чем выше ее концентрация, тем более выражено опухолегенное действие содержащихся в ней химических соединений на уротелий. Поэтому в мочевом пузыре, где моча находится сравнительно долго, чаще, чем в почках или мочеточниках, развиваются различного рода опухоли.
У мужчин в связи с анатомическими особенностями строения мочеполового тракта довольно часто возникают заболевания, нарушающие отток мочи (простатит, стриктуры и дивертикулы мочеиспускательного канала, аденома простаты, рак предстательной железы, мочекаменная болезнь) и существует большая вероятность развития опухолей мочевого пузыря. В некоторых случаях возникновению опухолей в мочевом пузыре способствуют циститы вирусной этиологии, трофические, язвенные поражения, паразитарные инфекции (шистосомоз).
Классификация опухолей мочевого пузыря
По морфологическому критерию все опухоли мочевого пузыря делятся на злокачественные и доброкачественные, которые, в свою очередь, могут иметь эпителиальное и неэпителиальное происхождение.
Подавляющая часть опухолей мочевого пузыря (95%) - это эпителиальные новообразования, из них более 90% составляет рак мочевого пузыря. К доброкачественным опухолям мочевого пузыря относятся папилломы и полипы. Впрочем, отнесение эпителиальных новообразований к доброкачественным является весьма условным, поскольку данные типы опухолей мочевого пузыря имеют много переходных форм и довольно часто малигнизируются. Среди злокачественных новообразований чаще встречается инфильтрирующий и папиллярный рак мочевого пузыря.
Полипы мочевого пузыря - папиллярные образования на тонком или широком фиброваскулярном основании, покрытые неизмененным уротелием и обращенные в просвет мочевого пузыря. Папилломы мочевого пузыря – зрелые опухоли с экзофитным ростом, развивающиеся из покровного эпителия. Макроскопически папиллома имеет сосочковую, бархатистую поверхностью, мягкую консистенцию, розовато-беловатый цвет. Иногда в мочевом пузыре выявляются множественные папилломы, реже - диффузный папилломатоз.
Группа доброкачественных неэпителиальных опухолей мочевого пузыря представлена фибромами, миомами, фибромиксомами, гемангиомами, невриномами, которые в урологической практике встречаются относительно редко. К злокачественным неэпителиальным опухолям мочевого пузыря относятся саркомы, склонные к быстрому росту и раннему отдаленному метастазированию.
Симптомы доброкачественных опухолей мочевого пузыря
Опухоли мочевого пузыря часто развиваются незаметно. Наиболее характерными клиническими проявлениями служат гематурия и дизурические расстройства. Наличие крови в моче может выявляться лабораторно (микрогематурия) или быть видимым глазом (макрогематурия). Гематурия может быть однократной, периодической или длительной, но всегда должна являться поводом для незамедлительного обращения к урологу.
Дизурические явления обычно возникают при присоединении цистита и выражаются в учащении позывов на мочеиспускание, тенезмах, развитии странгурии (затрудненного мочеиспускания), ишурии (острой задержке мочеиспускания). Боли при опухолях мочевого пузыря, как правило, ощущаются над лобком и в промежности и усиливаются в конце мочеиспускания.
Большие опухоли мочевого пузыря или полипы на длинной подвижной ножке, расположенные поблизости от мочеточника или уретры, могут перекрывать их просвет и вызывать нарушение опорожнения мочевых путей. Со временем это может привести к развитию пиелонефрита, гидронефроза, хронической почечной недостаточности, уросепсису, уремии.
Полипы и папилломы мочевого пузыря могут перекручиваться, сопровождаясь острым нарушением кровообращения и инфарктом опухоли. При отрыве опухоли отмечается усиление гематурии. Опухоли мочевого пузыря являются фактором, поддерживающим рецидивирующие воспаления мочевых путей – циститы, восходящие уретеро-пиелонефриты.
Вероятность озлокачествления папиллом мочевого пузыря особенно велика у курильщиков. Папилломы мочевого пузыря склонны к рецидивированию через различные периоды времени, при этом рецидивы отличаются большей злокачественностью, чем ранее удаленные эпителиальные опухоли.
Диагностика доброкачественных опухолей мочевого пузыря
Для выявления и верификации опухолей мочевого пузыря производится УЗИ, цистоскопия, эндоскопическая биопсия с морфологическим исследованием биоптата, цистография, КТ.
УЗИ мочевого пузыря является неинвазивным скрининговым методом для диагностики новообразований, выяснения их расположения и размеров. Для уточнения характера процесса эхографические данные целесообразно дополнять компьютерной или магнитно-резонансной томографией.
Основная роль среди визуализирующих исследований мочевого пузыря отводится цистоскопии - эндоскопическому осмотру полости пузыря. Цистоскопия позволяет осмотреть стенки мочевого пузыря изнутри, выявить локализацию опухоли, размеры и распространенность, выполнить трансуретральную биопсию выявленного новообразования. При невозможности забора биоптата прибегают к выполнению цитологического исследования мочи на атипические клетки.
Среди лучевых исследований при опухолях мочевого пузыря наибольшее диагностическое значение придается экскреторной урографии с нисходящей цистографией, позволяющим дополнительно оценить состояние верхних мочевыводящих путей. В процессе диагностики опухолевые процессы следует дифференцировать с язвами мочевого пузыря при туберкулезе и сифилисе, эндометриозом, метастазами рака матки и прямой кишки.
Лечение доброкачественных опухолей мочевого пузыря
Лечения бессимптомных неэпителиальных опухолей мочевого пузыря обычно не требуется. Пациентам рекомендуется наблюдение уролога с выполнением динамического УЗИ и цистоскопии. При полипах и папилломах мочевого пузыря выполняется операционная цистоскопия с трансуретральной электрорезекцией или электрокоагуляцией опухоли. После вмешательства производится катетеризация мочевого пузыря на 1-5 суток в зависимости от обширности операционной травмы, назначение антибиотиков, анальгетиков, спазмолитиков.
Реже (при язвах, пограничных новообразованиях) возникает необходимость в трансвезикальной (на открытом мочевом пузыре) электроэксцизии опухоли, частичной цистэктомии (открытой резекции стенки мочевого пузыря) или трансуретральной резекции (ТУР) мочевого пузыря.
Прогноз и профилактика доброкачественных опухолей мочевого пузыря
После резекции опухолей мочевого пузыря цистоскопический контроль выполняется каждые 3-4 месяца в течение года, в течение последующих 3-х лет – 1 раз в год. Выявление папилломы мочевого пузыря служит противопоказанием к работе во вредных отраслях промышленности.
К стандартным мерам профилактики опухолей мочевого пузыря относится соблюдение питьевого режима с употребление не менее 1,5 – 2 л жидкости в сутки; своевременное опорожнение мочевого пузыря при позывах к мочеиспусканию, отказ от курения.
Эпителиальные опухоли паренхимы почек. Аденома почки.
Институт хирургии им. А.В. Вишневского Минздрава РФ, Москва
ФГБУ «Национальный медицинский исследовательский центр хирургии им. А.В. Вишневского» Минздрава России, Москва, Россия
Институт хирургии им. А.В. Вишневского Минздрава РФ, Москва
ФГБУ «Институт хирургии им. А.В. Вишневского» Минздрава РФ, Москва, Россия
Институт хирургии им. А.В. Вишневского Минздрава РФ, Москва
Онкоцитома почки: дифференциальная диагностика и лечение
Институт хирургии им. А.В. Вишневского Минздрава РФ, Москва
Онкоцитома почки — эпителиальная опухоль, состоящая из онкоцитов и возникающая в дистальных трубочках или собирающих протоках паренхимы почки. По данным разных авторов, онкоцитома составляет от 3 до 7% всех первичных опухолей почки. До недавнего времени считалось, что высокодифференцированная онкоцитома всегда является доброкачественной опухолью. Однако это мнение оказалось ошибочным, так как описано несколько случаев агрессивного течения этой опухоли, образование может метастазировать или инфильтрировать окружающие ткани при экстраренальном росте. Крайне редко возможна сосудистая инвазия. При лучевых методах исследования относительно патогномоничным для онкоцитомы признаком считается присутствие рубца звездчатой формы в центре опухоли, однако следует помнить, что рубец может встречаться и при аденоме, светлоклеточном, а также хромофобном почечно-клеточном раке. При этом в онкоцитомах малых размеров (до 4 см) рубец может не обнаруживаться. Таким образом, постановка дооперационного диагноза онкоцитомы почки затруднена. Учитывая и традиционное отношение к онкоцитоме, как к доброкачественному образованию и новые данные о возможности ее злокачественного течения, при подозрении на наличие онкоцитомы почки целесообразно выполнять хирургическое лечение. Объем вмешательства следует определять в зависимости от размеров и локализации опухоли. Представлено клиническое наблюдение пациента 64 лет с онкоцитомой почки (информированное согласие пациента на возможность публикации данных получено). Данные лучевой диагностики образования были схожи с таковыми при раке почки, что не позволило дифференцировать опухоль дооперационно. Незначительные размеры опухоли и экстраорганное расположение ее большей части позволили выполнить резекцию почки. Динамическое наблюдение в течение года не выявило рецидива заболевания.
Институт хирургии им. А.В. Вишневского Минздрава РФ, Москва
ФГБУ «Национальный медицинский исследовательский центр хирургии им. А.В. Вишневского» Минздрава России, Москва, Россия
Институт хирургии им. А.В. Вишневского Минздрава РФ, Москва
ФГБУ «Институт хирургии им. А.В. Вишневского» Минздрава РФ, Москва, Россия
Институт хирургии им. А.В. Вишневского Минздрава РФ, Москва
Онкоцитома почки — эпителиальная опухоль, состоящая из онкоцитов (круглых или полигональных неопластических клеток с гранулированной, богатой эозинофилами цитоплазмой) и возникающая в дистальных трубочках или собирающих протоках паренхимы почки [1]. Впервые онкоцитома почки была описана L. Zippel [2] в 1942 г., но не принята во внимание исследователями до публикации 13 случаев M. Klein и Q. Valensi [3] в 1976 г. По данным разных авторов, онкоцитома составляет от 3 до 7% всех первичных опухолей почки [4—6]. Образование чаще возникает в пожилом возрасте (40—60 лет) в основном у мужчин [5, 6], однако некоторые авторы [7] отдают незначительное преимущество женщинам.
Клинические и лабораторные данные обычно неспецифичны при диагностике онкоцитомы. Развитие опухоли чаще протекает бессимптомно, состояние больного практически не нарушается, даже когда онкоцитома достигает крупных размеров. Чаще всего опухоль обнаруживается случайно, при обследовании больного по поводу другой патологии [17]. В ряде случаев, когда образование достигает довольно больших размеров, оно приводит к возникновению болезненных симптомов: ноющие боли в поясничном отделе спины, гематурия, артериальная гипертензия, вторичное варикоцеле со стороны пораженного органа [8].
При лучевых методах исследования относительно патогномоничным для онкоцитомы признаком считается присутствие рубца звездчатой формы в центре опухоли, однако следует помнить, что рубец может встречаться и при аденоме почки, светлоклеточном, а также хромофобном почечно-клеточном раке [18].
При УЗИ онкоцитома почки выглядит как гипо- или изоэхогенное образование, деформирующее структуру почки. Дифференциальная диагностика сложна. При использовании методик ультразвуковой ангиографии опухоль гиперваскулярная и может быть принята за рак почки [19]. По данным компьютерной томографии при нативных изображениях онкоцитома визуализируется как округлой формы образование с четкими, ровными контурами, изоденсное или несколько гиподенсное относительно окружающей паренхимы. В большинстве случаев после контрастного усиления в артериальной фазе имеет типичный вид колеса со спицами (отражает ход артериол в опухоли) с центральным звездчатым рубцом низкой плотности, однако необходимо отметить, что в онкоцитомах малых размеров (до 4 см) рубец может не обнаруживаться. По периферии образования определяется зона пониженной плотности — прозрачный ободок, соответствующий капсуле [7, 17, 20]. При магнитно-резонансной томографии онкоцитома имеет неоднородную, преимущественно изо- и гипоинтенсивную МР-структуру на T1 и T2 В.И. При введении контрастного вещества опухоль может быть гиповаскулярна или же определяется симптом «спицевого колеса» — снижение накопления контрастного препарата центральным звездчатым рубцом [21—23]. При ангиографии образование бывает как аваскулярное, так и гиповаскулярное, характер сосудистого рисунка образования соответствует типу «колеса» [7, 18, 20], при этом отсутствуют характерные для почечно-клеточного рака штопорообразно извитые сосуды, артериовенозные фистулы, «озера» и «лужицы» контраста [24].
Макроскопически онкоцитома имеет вид узла размером от 0,3 до 26 см (средний размер 4,8—8,1 см) красно-коричневого, реже желто-коричневого или светло-желтого цвета, четко очерченные границы. В центре опухоли, особенно крупной, часто виден звездчатый рубец, но нет типичного для рака почки некроза. В редких случаях в онкоцитомах отмечаются кистозные очаги. Характерны кровоизлияния, могут быть кисты, распространение в паранефральную клетчатку и сосуды, имитирующие инвазивный рост [17, 25].
При морфологическом исследовании онкоцитома представлена преимущественно округлыми или полигональными крупными клетками с плотной зернистой эозинофильной цитоплазмой, мономорфными ядрами с пылевидным распределением хроматина, центрально расположенным ядрышком. Клетки расположены в гиалинизированной или миксоидной строме. Также можно обнаружить двуядерные клетки, клетки с высоким ядерно-цитоплазматическим индексом, полиморфными гиперхромными ядрами, участки с выраженной ядерной атипией. Классический вариант онкоцитомы характеризуется сочетанием гнезд опухолевых клеток, солидных полей, трабекулярных тяжей [25].
Онкоцитарные или эозинофильные участки можно обнаружить практически в любой опухоли почки, поэтому дифференциальная диагностика, особенно по биоптатам, вызывает значительные трудности [26]. Для решения этих проблем применяется иммуногистохимическое исследование. Иммуногистохимический профиль онкоцитомы вариабелен, однако сам метод может быть использован с целью дифференциальной диагностики как дополнительный. Клетки опухоли обычно экспрессируют CD117, E-кадгерин, S100A, общий цитокератин и низкомолекулярные цитокератины. Онкоцитомы всегда негативны к цитокератину 7. Экспрессия виментина не выявляется, за исключением отдельных рассеянных мелких клеток (онкобласты и лимфоциты) по периферии центрального рубца [27, 28]. В литературе также описаны единичные случаи онкоцитом, экспрессирующих RCC, CD10 и рацемазу [28, 29].
Приводим сводную сравнительную таблицу морфологических характеристик опухолей, способных имитировать онкоцитому.

Сравнительные данные морфологических критериев онкоцитомы, светлоклеточной карциномы и эозинофильно-клеточного варианта хромофобной карциномы [25—32]
В настоящее время, учитывая доброкачественное течение онкоцитомы, при лечении методом выбора может являться резекция почки и только при значительных размерах образования — нефрэктомия [6, 16]. Также, учитывая хороший долгосрочный прогноз у этой категории больных, все более активно применяются методы миниинвазивной локальной деструкции (криохирургия и радиочастотная абляция) после предварительного подтверждения диагноза по данным биопсии [8].
Представляем собственное клиническое наблюдение онкоцитомы.
Пациент С., 64 лет, при поступлении жалоб не предъявлял.
Анамнез. При госпитализации по поводу хронического калькулезного холецистита в ГКБ у пациента выявлено образование левой почки.
При пересмотре представленных для анализа МР-томограмм, выполненных 08.10.15 по месту жительства, в средней трети левой почки определяется округлая субкапсулярно расположенная опухоль размером до 20 мм с относительно четкими контурами, без признаков инвазии в перинефральную клетчатку и ЧЛС. Мочеточник в 2/3 проксимальных отделов не изменен.
Регионарные лимфатические узлы не увеличены, надпочечники не изменены.
Кровоснабжение почки оценить в рамках выполненного исследования не представлялось возможным.
В обеих почках определялись мелкие простые кисты размером от 4 до 12 мм (Bosniak I).
Дополнительно выявлялись множественные простые кисты обеих долей печени. В структуре кисты, расположенной в IV сегменте (размером 19 мм), определялись тонкие перегородки. Жидкостное скопление в пузырной ямке, пузырный проток с неровными контурами.
Изменений вторичного характера в костях нет.
Заключение. Опухоль левой почки (нельзя исключить рак почки). Мелкие простые кисты обеих почек, печени.
Пациент направлен в НМИЦ хирургии им. А.В. Вишневского.
При поступлении: состояние удовлетворительное. Кожные покровы обычной окраски, чистые, тургор кожи сохранен. Видимые слизистые: обычной окраски, чистые, катаральных явлений нет. Подкожно-жировая клетчатка развита умеренно. В легких дыхание везикулярное, хрипов нет. ЧДД 16 в минуту. Тоны сердца приглушенные, ритмичные. ЧСС 76 в минуту. Артериальное давление 130/80 мм рт.ст. Язык влажный, чистый. Живот не вздут, при пальпации мягкий, безболезненный во всех отделах. Перитонеальных симптомов нет. Физиологические отправления в норме. Лимфатические узлы (шейные, надключичные, подключичные, подмышечные, паховые, бедренные) не увеличены, безболезненные, не спаяны между собой и кожей.
Ультразвуковое исследование. Левая почка визуализируется, размером 112,5×57,3 мм, с четкими ровными контурами, отчетливо прослеживается кортико-медуллярная дифференциация, паренхиматозный слой достаточно выражен — 13,9 мм, ЧЛС не расширена, структуры уплотнены. В средней трети левой почки субкапсулярно, несколько деформируя контур почки, определяется солидное образование диаметром до 17,9 мм с относительно четкими контурами, несколько пониженной эхогенности, местами прослеживается тонкая эхогенная капсула (рис. 1). Рис. 1. УЗ-изображение опухоли левой почки в В-режиме. При дуплексном сканировании со стороны паренхимы почки прослеживаются артерия и вена, участвующие в кровоснабжении образования (рис. 2, а). Рис. 2. УЗ-изображения опухоли левой почки в режиме дуплексного сканирования. а — сегментарные артерия и вена, участвующие в кровоснабжении опухоли; б — в структуре образования лоцируется сосудистый сигнал. a — the segmental artery and vein involved in the blood supply to the tumor; b — vascular signal is located in the structure of the lesion. В структуре образования определяются единичные артерии с низкорезистентным кровотоком (см. рис. 2, б). При введении контрастного вещества соновью оно значительно накапливается в образовании в артериальную фазу исследования и достаточно быстро вымывается в отсроченную (рис. 3). Рис. 3. УЗ-изображения с контрастным усилением в артериальную фазу исследования гиперваскулярной опухоли левой почки. Левая почечная артерия и вена проходимы, просвет их полностью окрашивается.
В обеих почках определяются кисты размером от 8,2 до 26,4 мм (Bosniak I).
Заключение. Опухоль левой почки, УЗ-картина не позволяет исключить светлоклеточный рак. Кисты обеих почек.
Рентгенография органов грудной полости в двух стандартных проекциях: свежих очаговых и инфильтративных изменений не выявлено.
С учетом данных предоперационного комплексного обследования установлен диагноз рака левой почки T1аNxMo.
Выполнена лапароскопически-ассистированная резекция левой почки. Интраоперационно произведена мобилизация всей поверхности почки. Паранефральная клетчатка удалена от верхнего полюса с отсепаровкой клетчатки левого надпочечника. Прецизионно выделены элементы почечной ножки, левый мочеточник на протяжении, а также почечная вена, почечная артерия. Визуализирована расположенная преимущественно экстраренально киста до 30 мм в диаметре. На сосуды почки наложены сосудистые зажимы типа «бульдог». Остро, отступя на 2 мм от границ кисты, выполнена резекция почки. Зияющие сосуды дна резекции ушиты Z-образными швами викрил 3/0. Наложены вертикальные швы викрил 2/0. Лигатуры завязаны. Сняты сосудистые зажимы с сосудов почечной ножки. Время тепловой ишемии 15 мин. Визуально почка жизнеспособна. Дренирование забрюшинного пространства произведено силиконовым дренажем. Восстановлена целостность забрюшинного пространства.
Контрольное ультразвуковое исследование органов брюшной полости и забрюшинного пространства. Состояние после холецистэктомии; резекции левой почки. Левая почка несколько визуализируется, размером 95,6×44,8 мм, четкие контуры, в зоне резекции деформирована, прослеживается кортико-медуллярная дифференциация, паренхиматозный слой достаточно выражен — 14,2 мм, ЧЛС не расширена, структуры уплотнены. При исследовании внутрипочечного кровотока сосудистый рисунок несколько обеднен, но выражен равномерно, показатели RI по сегментарным артериям в пределах нормальных значений. Увеличение и диффузные изменения паренхимы печени, инфильтрат в ложе удаленного желчного пузыря; простые кисты печени; умеренная внутрипеченочная билиарная гипертензия вследствие перипротокового фиброза; хронический панкреатит; спленомегалия.
Гистологическое исследование (рис. 4, 5). Рис. 4. Удаленный макропрепарат на разрезе. Рис. 5. Микроскопическое исследование опухоли почки. Окраска гематоксилином и эозином, ×200. Опухоль почки построена из относительно крупных полигональных клеток со светлоэозинофильной цитоплазмой и округлыми гиперхромными ядрами. Клетки опухоли формируют трабекулы и солидные поля среди рыхлой фиброваскулярной стромы. При микроскопическом исследовании опухоль почки построена из относительно крупных полигональных клеток со светлоэозинофильной цитоплазмой и округлыми гиперхромными ядрами. Клетки опухоли формируют трабекулы и солидные поля среди рыхлой фиброваскулярной стромы.
Заключение. Опухоль почки имеет строение онкоцитомы (M 8290/0).

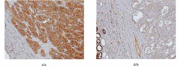
Иммуногистохимическое исследование. В клетках опухоли обнаруживается мембранно-цитоплазматическая выраженная экспрессия CD117 (клон YR145, Cell Marque) (рис. 6, а); Рис. 6. Иммунопероксидазный метод, ×200. а — клетки опухоли обнаруживают мембранно-цитоплазматическую выраженную экспрессию CD117 (клон YR145, Cell Marque); б — клетки опухоли негативны к CD10 (клон 56C6, DAKO), в то же время атрофичные почечные канальцы по периферии псевдокапсулы опухоли обнаруживают выраженную мембранно-цитоплазматическую экспрессию CD10 (клон 56C6, DAKO). клетки негативны к CD10 (клон 56C6, DAKO), в то же время в атрофичных почечных канальцах по периферии псевдокапсулы опухоли выявляется выраженная мембранно-цитоплазматическая экспрессия CD10 (клон 56C6, DAKO) (см. рис. 6, б).
Больной в удовлетворительном состоянии выписан из клиники под наблюдение хирурга по месту жительства.
Динамический ультразвуковой мониторинг за состоянием пациента в течение года рецидива заболевания не выявил.
Таким образом, данные лучевой диагностики образования были схожи с таковыми при раке почки и не позволили дифференцировать опухоль дооперационно, что совпадает с мнением большинства авторов [7, 17—20], которые, описывая критерии дифференциальной диагностики онкоцитомы, отмечают, что в большинстве их собственных наблюдений диагноз тем не менее не был поставлен дооперационно. Незначительные размеры опухоли и экстраорганное расположение ее большей части позволили выполнить резекцию почки.
Онкоцитома почки — эпителиальная опухоль почки, состоящая из онкоцитов и возникающая в дистальных трубочках или собирающих протоках паренхимы почки. По данным разных авторов, онкоцитома составляет от 3 до 7% всех первичных опухолей почки. Считается, что онкоцитома всегда является доброкачественной опухолью. Однако нельзя не учитывать тот факт, что описано несколько случаев агрессивного течения этой опухоли, образование может метастазировать или инфильтрировать окружающие ткани при экстраренальном распространении. Крайне редко возможна сосудистая инвазия. При лучевых методах исследования относительно патогномоничным для онкоцитомы признаком считается присутствие рубца звездчатой формы в центре опухоли, однако следует помнить, что рубец может встречаться и при аденоме, светлоклеточном, а также хромофобном почечно-клеточном раке. При этом в онкоцитомах малых размеров (до 4 см) рубец может не обнаруживаться. Таким образом, постановка дооперационного диагноза онкоцитомы почки затруднена. В то же время пункционная или аспирационная биопсия может служить уточняющим методом, однако обнаружение любых участков из светлых клеток, папиллярных структур, очагов некроза, наличие атипичных митозов исключают диагноз онкоцитомы. Использование дополнительных гистохимических (коллоидное железо по методу Гале), иммуногистохимических и иммуноцитохимических методов исследования на пункционном материале имеет свои ограничения, связанные в первую очередь с объемом исследуемого материала. Чаще всего дифференцировать онкоцитому почки необходимо со светлоклеточной карциномой и эозинофильно-клеточным вариантом хромофобной карциномы. Учитывая и традиционное отношение к онкоцитоме как к доброкачественно текущему образованию, при подозрении онкоцитомы почки целесообразно выполнять хирургическое лечение. Объем вмешательства следует определять в зависимости от размеров и локализации опухоли, но наибольшее предпочтение должно быть отдано органосохраняющему хирургическому лечению. Во время операции должны быть определены все онкологические принципы, однако однозначного мнения авторов по поводу необходимости проведения лимфаденэктомии нет.
Эпителиальные опухоли паренхимы почек. Аденома почки.
Эпителиальные опухоли паренхимы почек. Аденома почки.
Аденома. Аденомы почек встречаются обычно в виде одиночных, реже множественных округлых образований, расположенных в корковом веществе почки. Чаще всего они мелкие, диаметром от 0,1—0,2 до 1 см, иногда довольно крупные, диаметром до 10 см и более. По общей гистологической структуре аденомы могут быть ацинарными и тубулярными, папиллярными, солидными, трабекулярными, кистозными, смешанными, фиброаденомами. По виду цитоплазмы различают аденомы светлоклеточные, зернистоклеточные, базофильные (темноклеточные), эозинофилькые и смешанные. Светлоклеточная аденома по своей структуре может быть очень сходной со светлоклеточным раком. В эозинофильной аденоме онкоцитарного типа (онкоцитоме) цитоплазма содержит мелкие гранулы, что обусловлено большим количеством митохондрий.
Кистозная аденома (цистаденома) состоит из полостей, выстланных однослойным эпителием. Этот эпителий различных кист даже в пределах одной и той же опухоли может варьировать от высокого призматического до уплощенного эндотелиоподобного, иногда обнаруживаются признаки апокриновой секреции.
Фиброаденома, встречающаяся чрезвычайно редко, состоит из разрастания волокнистой соединительной ткани с включением тубулярных и/или альвеолярных железистых структур. Фиброаденому следует отличать от реномедуллярной фибромы, в которой тоже содержатся канальцевые структуры, но преобладает разрастание фибробластоподобных клеток. Кроме того, реномедуллярная фиброма всегда локализуется в мозговом веществе почки.
Почечно-клеточный рак. В злокачественных эпителиальных опухолях почечной паренхимы в зависимости от окраски цитоплазмы различают светлые, зернистые, эозинофильные, базофильные раковые клетки, Раковая опухоль ночки с преобладанием светлых клеток, так называемый светлоклеточный рак (гипернефроидный), является наиболее типичным струкгурным видом карцином почки. Узел опухоли обычно окружен капсулой, но по мере роста опухоли она может оказаться инфильтрированной и разрушенной. На разрезе опухоль желтоватого цвета, часто имеет пестрый вид в связи с наличием очагов некроза и кровоизлияний различной давносги. Иногда видны кисты с прозрачной, буроватой или кровянистой жидкостью. При наличии множественных довольно крупных кист говорят о кистозной форме карциномы.

Гистологически различают светлоклеточный рак солидного, альвеолярного, тубулярного и папиллярного строения. В срезах, приготовленных из разных участков опухоли, нередко можно найти все перечисленные структуры. Нередко они обнаруживаются даже в разных нолях зрения одного и того же среза. Цитоплазма опухолевых клеток содержит гликоген и линиды. Общими цитоплазматическими признаками для всех структурных вариантов светлоклеточной карциномы, выявляемыми в парафиновых или целлоидиновых срезах, являются относительно небольшая величина и гиперхромность ядер и светлая нежноячеистая (иногда оптически пустая) цитоплазма. В опухолях или их участках, построенных но солидному типу, преобладают клетки полигональной формы с центрально расположенными довольно мономорфными ядрами.
Солидные клеточные комплексы разделены узкими прослойками нежноволокнистой стромы со значительным количеством тонкостенных кровеносных сосудов. Могут встречаться отдельные гигантские клетки. Тубулярные и особенно папиллярные структуры часто выстланы светлыми клетками кубической и/или высокой призматической формы. Ядра в них могут быть расположены как центрально, так и ближе к основапию клеток, нередко создавая отчетливую картину их полярности. Фигуры митозов в большинстве случаев встречаются относительно редко. Часто в опухоли можно видеть небольшие полости с гомогенным эозинофильным содержимым (жидкостью, содержащей белок), иногда признаки организации кровоизлияний и очагов некроза, изредка кристаллы холестерина, мелкие сферические кальцификаты. Возможно формирование очагов метапластического костеобразования.
В случаях, когда опухоль имеет относительно небольшие размеры, часто гистологически трудно, а иногда и невозможно отличить светлоклеточный рак от светлоклеточной аденомы. Было предложено светлоклеточную опухоль диаметром до 3 см условно относить к аденоме, а крупнее к раку. Однако этот критерий не являегся достаточно надежным, так как известны случаи метастазов светлоклеточной опухоли почки диаметром 2 см и даже менее. Поэтому ряд других исследователей считают, что все светлоклеточные (гипернефроидные) опухоли почки независимо от их размеров и наличия или отсутствия клеточного полиморфизма следует относить к злокачественным.
В случаях обнаружения светлоклеточного рака в другом органе у больного, перенесшего давно нефрэктомию но поводу опухоли ночки, необходимо иметь в виду, что метастазы светлоклеточного рака могут иногда наблюдаться через 5-10 и много более лет после операции.
Прочие формы почечно-клеточного рака встречаются редко. Зернисто-клеточная карцинома построена из полигональных клеток с довольно широкой зернистой цитоплазмой. Чаще такие зернистые клетки примешиваются к светлоклеточному раку, иногда образуя в нем значительные участки (смешанная светлоклеточно-зернисто-клеточная карцинома). Эозинофильноклеточная карцинома может иметь папиллярное строение. Очень редко она содержит клетки, напоминающие онкоцитарные. Известны темно-клеточные аденокарциномы, преимущественно низкодифференцированные, тубулярного строения. Анаплазированные крупные веретеноклеточные карциномы могут напоминать во многих участках фибросаркому или лейомиосаркому. Однако в отличие от последних при исследовании многих срезов выявляются участки явно эпителиальной злокачественной опухоли, большей частью светлоклеточной. Изредка обнаруживаются полиморфно-клеточная или мелко-круглоклеточная недифференцированная карцинома. Первую из них нередко приходится дифференцировать с рабдомиосаркомой, вторую—с диффузной злокачественной лимфомой.
Перечисленные злокачественные опухоли почки возникают в основном в корковом веществе, по-видимому, из стволовых клеток канальцевого эпителия. Редко развивается карцинома из мозгового вещества почки; она может состоять из солидных, трабекулярных, папиллярных и тубулярных структур. Тубулярные структуры выстланы однослойным призматическим или многослойным эпителием, напоминающим клетки собирательных трубочек (протоки Беллини).
Информация на сайте подлежит консультации лечащим врачом и не заменяет очной консультации с ним.
См. подробнее в пользовательском соглашении.
Доброкачественные опухоли почки
К доброкачественным опухолям почки относят аденому , онкоцитому, ангиомиолипому, лейомиому, липому, гемангиомы и юкстагломерулярно-клеточную опухоль.
Аденома — самая распространенная доброкачественная опухоль почки. Это высоко дифференцированная железистая опухоль, имеющая, как правило, небольшие размеры. Поскольку аденома почки обычно никак не проявляется, ее обнаруживают случайно при гистологическом исследовании почки, удаленной по поводу другого заболевания. Истинная распространенность аденомы почки не известна, на аутопсии ее выявляют в 7—22% случаев. Хотя аденому почки считают доброкачественной опухолью, отличить ее от рака почки на основании клинической картины, гистологического и иммуногистохимического исследований невозможно. В связи с этим аденому любого размера следует считать раком почки ранних стадий, проводить соответствующее обследование и лечение.
Онкоцитома
Онкоцитомы состоят из крупных эпителиальных клеток с эозинофильной зернистостью в цитоплазме и встречаются не только в почке, но и в надпочечнике, щитовидной, слюнных и паращитовидных железах. Онкоцитомы составляют 3—5% опухолей почки. Мужчины болеют в 2 раза чаще, чем женщины. Клиническое течение различно.
Макроскопически онкоцитома сильно отличается от рака почки. Онкоцитома, как правило, имеет четко очерченную капсулу, редко прорастает почечную капсулу, чашечно-лоханочную систему и околопочечную клетчатку, на разрезе имеет бронзовый или светло-коричневый цвет. В центре опухоли, особенно крупной, часто виден звездчатый рубец, но нет типичного для рака почки некроза. Онкоцитома в большинстве случаев бывает одиночной и односторонней.
Онкоцитому выявляют, как правило, при гистологическом исследовании, так как характерных клинических проявлений при этой опухоли нет. Макрогематурия и боль в пояснице наблюдаются менее чем у 20% больных. КТ, УЗИ, экскреторная урография и МРТ тоже не позволяют поставить диагноз онкоцитомы. Такие ангиографические признаки, как симптом колеса со спицами (отражает ход артериол в опухоли), наличие прозрачного ободка, соответствующего капсуле, и однородное контрастирование в нефрографической фазе, наблюдаются при онкоцитоме не всегда и бывают при раке почки.
В высокодифференцированной онкоцитоме могут обнаруживаться фокусы рака. Кроме того, онкоцитома может сопутствовать раку ипси- или контралатеральной почки. Риск онкоцитомы почки повышен при ангио-миолипоме, туберозном склерозе, миеломной болезни, раке легкого и карциноидах. До недавнего времени считалось, что высокодифференцированная онкоцитома всегда является доброкачественной опухолью. Однако это мнение оказалось ошибочным, так как описано несколько случаев агрессивного течения этой опухоли.
Поскольку поставить диагноз онкоцитомы до операции нельзя, отобрать больных с высокодифференцированной опухолью для органосохраняющей операции практически невозможно. Роль цитологического исследования в диагностике онкоцитомы неоднозначна. Тем не менее характерные цитологические признаки онкоцитомы уже описаны, и некоторые авторы рекомендуют определять показания к органосохраняющим операциям по результатам цитологического исследования.
Ангиомиолипома
Ангиомиолипома — редкая доброкачественная опухоль почки. Выделяют два клинических варианта заболевания — на фоне туберозного склероза (ангиомиолипома развивается у 45—80% больных) и в его отсутствие. В первом случае опухоль обычно двусторонняя, небольшая и бессимптомная, во втором — односторонняя и более крупная. Гистологически ангиомиолипомы на фоне туберозного склероза и в его отсутствие не различимы. В 25% случаев ангиомиолипома проявляется самопроизвольным разрывом и забрюшинным кровотечением.
Предоперационная диагностика ангиомиолипомы стала возможной благодаря широкому внедрению в клиническую практику УЗИ и КТ. Ангиографическая картина при ангиомиолипоме такая же, как при раке почки, поэтому в дифференциальной диагностике это исследование не применяется. УЗИ и КТ особенно информативны, когда опухоль содержит много жировой ткани. При УЗИ она выглядит гиперэхогенной, при КТ характеризуется очень низкой плотностью (—20—80 ед Хаунсфилда). Последнее патогномонично для ангиомиолипомы. При высоком содержании жировой ткан и информативна также МРТ. Однако МРТ не позволяет различить ангиомиолипому и любую другую опухоль почки с кровоизлиянием, поэтому в диагностике ангиомиолипомы этот метод пока считают вспомогательным.
Раньше тактика лечения больных с ангиомиолипомой почки определялась только клинической картиной. Однако после проведенного недавно исследования, в котором приняли участие 35 больных ангиомиолипомой почки, было рекомендовано планировать лечение с учетом не только клинической картины, но и размера опухоли. При одиночной опухоли диаметром менее 4 см показаны УЗИ или КТ 1 раз в год, при более крупных опухолях с бессимптомным течением или легкими клиническими проявлениями — УЗИ 1 раз в 6 мес. При опухолях диаметром более 4 см и умеренных или выраженных клинических проявлениях (кровотечение или боль) рекомендуется органосохраняющая операция или эмболизация. Учитывая особое клиническое течение ангиомиолипомы почки при туберозном склерозе, ряд авторов рекомендуют проводить хирургическое лечение всем больным с опухолями диаметром более 4 см независимо от клинической картины заболевания.
Редкие доброкачественные опухоли
К редким доброкачественным опухолям почки относятся лейомиома, гемангиомы, липома и юкстагломерулярно-клеточная опухоль. Поскольку большинство доброкачественных опухолей почки, за исключением юкстагломерулярно-клеточных, никак не проявляются, их, как правило, выявляют случайно при гистологическом исследовании удаленной почки.
Лейомиома почки — редкая опухоль, которая исходит из гладкомышечных клеток почечной паренхимы, капсулы или лоханки, обычно имеет небольшие размеры. Описаны два варианта лейомиомы почки. К первому, более частому, относятся одиночные или множественные опухоли диаметром менее 2 см в корковом веществе почки. Эти опухоли клинически не проявляются, обычно их обнаруживают на аутопсии. Ко второму варианту относятся крупные, как правило, одиночные лейомиомы, которые могут сопровождаться клиническими проявлениями. Диагноз подтверждают при гистологическом исследовании удаленной почки.
Гемангиомы почки — небольшие сосудистые опухоли, которые встречаются в разных внутренних органах, чаще всего в печени. Второй по частоте локализацией гемангиом являются почки. Примерно в 12% случаев эти опухоли множественные, изредка двусторонние.
Гемангиома почки может быть причиной гематурии, однако выявить ее очень трудно даже при тщательном обследовании. Диагноз ставят при уретеропиелоскопии, нефроскопии или ангиографии.
Липома почки — очень редкая опухоль из зрелых жировых клеток, исходящая из почечной капсулы или околопочечной клетчатки. Митозов нет. Липомы чаще всего обнаруживают у женщин средних лет. Наиболее информативна КТ, так как она хорошо визуализирует жировую ткань.
Юкстагломерулярно-клеточная опухоль — наиболее клинически значимая редкая доброкачественная опухоль почки, поскольку проявляется тяжелой артериальной гипертонией, которая излечивается только после удаления опухоли. Описано не более 20 случаев юкстагломерулярно-клеточной опухоли. Опухоль состоит из перицитов, окружающих приносящие артериолы, содержащих гранулы и секретирующих ренин. Юкстагломерулярно-клеточная опухоль, как правило, имеет капсулу и расположена в корковом веществе почки. О данном диагнозе следует думать при вторичном гиперальдостеронизме и повышении активности ренина в крови, взятой из почечной вены. Если при КТ четко видны границы опухоли, возможна резекция почки, хотя в большинстве случаев прибегают к нефрэктомии.
Читайте также:
