Эпителиальные опухоли тонкой кишки. Карциноиды тонкой кишки.
Добавил пользователь Евгений Кузнецов Обновлено: 08.01.2026
Опухоли тонкого кишечника и двенадцатиперстной кишки представлены довольно разнородной группой доброкачественных и злокачественных новообразований. Лимфома тонкой кишки относится к злокачественным новообразованиям. Рак тонкой кишки развивается медленно. Начало его проявляется неспецифическими и маловыраженными симптомами, которые присущи многим заболеваниям пищеварительного тракта.
В Юсуповской больнице в процессе лечения больных раком тонкого кишечника и двенадцатиперстной кишки принимают лечение хирурги-онкологи, химиотерапевты, радиологи, психологи. Мультидисциплинарный подход, использование современных химиотерапевтических препаратов и новейших методик лучевой терапии, виртуозное выполнение хирургами операций позволяет улучшить прогноз пятилетней выживаемости. Пациенты клиники онкологии обеспечены индивидуальными средствами личной гигиены, диетическим питанием. Медицинский персонал осуществляет профессиональный уход за пациентами до и после операции. Пациенты в терминальной стадии заболевания получают паллиативную медицинскую помощь.
Причины рака тонкого кишечника
Рак тонкого кишечника – злокачественное новообразование отделов тонкого кишечника: двенадцатиперстной, тощей или подвздошной кишки. В большинстве случаев рак тонкого кишечника развивается на фоне хронических ферментативных или воспалительных заболеваний органов пищеварения:
- Язвенной болезни;
- Целиакии;
- Дуоденита;
- Энтерита;
- Дивертикулита;
- Неспецифического язвенного колита;
- Болезни Крона.
В раковую опухоль могут трансформироваться эпителиальные доброкачественные новообразования кишечника. Преобладающее поражение двенадцатиперстной кишки врачи объясняют раздражающим действием желчи и сока поджелудочной железы на начальный отдел тонкого кишечника, его активным контактом с канцерогенами, которые поступают в пищеварительный тракт с пищей.
Факторами повышенного риска развития рака тонкого кишечника является спорадический или семейный аденоматозный полипоз. Вероятность возникновения рака тонкого кишечника выше лиц, подвергшихся радиационному облучению или страдающих алкогольной зависимостью, курильщиков, людей, в чьём рационе преобладают консервированные продукты, животные жиры, жареная пища. Существует взаимосвязь ь между раком толстой кишки и злокачественными новообразованиями тонкого кишечника.
Факторы риска
Случаи спорадического или семейного аденоматозного полипоза являются факторами повышенного риска развития рака тонкого кишечника. Вероятность возникновения рака тонкого кишечника выше у:
- Курильщиков;
- Лиц, подвергшихся радиационному облучению;
- Страдающих алкогольной зависимостью;
- Людей, в чьем рационе преобладают животные жиры, консервированные продукты, жареная пища.
По характеру роста опухолевой ткани различают экзофитный и эндофитный рак тонкого кишечника.
- Экзофитные опухоли растут в просвет кишки, вызывая ее сужение и развитие кишечной непроходимости; макроскопически могут напоминать полип или цветную капусту;
- Эндофитные формы рака инфильтрируют стенку тонкого кишечника в глубину, сопровождаясь кишечным кровотечением, перфорацией и перитонитом.
По гистологической структуре злокачественные опухоли тонкого кишечника чаще представлены аденокарциномой, реже в онкологической практике встречаются саркомы, карциноид, лимфома кишечника.
Виды рака тонкого кишечника
В зависимости от характера роста опухолевой ткани онкологи выделяют экзофитный и эндофитный рак тонкого кишечника. Экзофитные новообразования растут в просвет кишки, вызывают её сужение и развитие кишечной непроходимости.
Внешне они напоминают цветную капусту или полип. Эндофитные формы опухолей инфильтрируют стенку тонкого кишечника в глубину. Они сопровождаются кишечным кровотечением, прободением и перитонитом.
Симптомы и признаки рака тонкого кишечника
Рак тонкого кишечника характеризуется полиморфизмом проявлений. Это связано с вариабельностью локализации, гистологической структуры и размеров новообразования. В начальных стадиях болезни пациенты предъявляют следующие жалобы:
- Периодически повторяющиеся спастические боли в животе;
- Неустойчивость стула (поносы сменяются запорами);
- Тошнота и рвота;
- Метеоризм.
Если опухолевый процесс прогрессирует отмечается интоксикация, снижение массы тела. При деструкции злокачественной опухоли тонкого кишечника возникают симптомы кишечного кровотечения, перфорации кишечной стенки. Содержимое кишки попадает в брюшную полость и приводит к перитониту.
Экзофитный рост опухолей может сопровождаться симптомами обструктивной кишечной непроходимости. Если новообразование сдавливает соседние органы, развивается ишемия кишечника, панкреатит, желтуха, асцит.
Иногда происходит сращение опухоли с мочевым пузырём, соседними кишечными петлями, толстым кишечником, сальником с образованием единого малоподвижного конгломерата. При изъязвлении и распаде рака тонкого кишечника возникают кишечные свищи.
Кинические проявления рака подвздошной кишки развиваются постепенно. Первыми симптомами являются диспептические явления:
- Тошнота;
- Рвота;
- Нарушение;
- Моторики;
- Сильные спастические колики.
У пациентов быстро снижается аппетит, появляется отвращение к еде и уменьшается масса тела. При множественных опухолях возникает кишечная непроходимость. Она характеризуется болями в животе, рвотой сначала желудочным содержимым, а затем и кишечным, вздутием живота, сухой кожей и обезвоживанием. При саркомах тонкого кишечника часто наблюдаются кишечные кровотечения.
Симптомы рака двенадцатиперстной кишки
Наиболее характерным и первым симптомом рака 12 перстной кишки является боль. На ранних стадиях заболевания болевой синдром с вовлечением в патологический процесс нервных элементов кишечной стенки. В этот период боль постоянная, ноющая, не связана с приёмом пищи. При местно распространённом процессе и прорастании раковой опухоли в брыжейку толстой и тонкой кишки, поджелудочную железу, боли становятся жгучими. Возрастает их интенсивность и продолжительность, появляется постоянное чувство тяжести в подложечной области.
Развитие непроходимости проявляется нарастающими признаками сужения двенадцатиперстной кишки. Боль при раке 12-перстной кишки отдаёт в спину. Это обусловлено общностью иннервации двенадцатиперстной кишки с поджелудочной железой, привратником, печенью и желчным пузырём, желчными протоками. Тонкокишечная высокая непроходимость возможно развивается при распространении карциноида тонкой кишки на брыжейку. При экзофитном росте раковые опухоли часто подвергаются распаду. В этом случае первым признаком заболевания может быть внутрикишечное кровотечение.
Рак большого дуоденального сосочка (код по МКБ-10 С24) вызывает повышение давления в билиарной зоне и развитие механической желтухи. Для карциноида тонкой кишки характерно развитие паранеопластических синдромов, которые связаны с выработкой гормонов. Их симптомами являются приливы, аритмии и бронхоспазм.
Первым симптомом злокачественной опухоли большого дуоденального сосочка часто становится механическая желтуха, которая возникает на фоне соматического благополучия. Вначале желтуха перемежающаяся. Нормализация биохимических показателей крови обусловлена уменьшением отёка в области стенозированного желчного протока. При прогрессировании рака фатерова сосочка желтуха становится более стойкой. После интенсивных болей, сопровождающихся ознобами и проливными потами, у пациентов изменяется цвет кожи. Больные жалуются на выраженный зуд. Преходящий характер желтухи на поздних стадиях заболевания обусловлен распадом рака большого дуоденального сосочка, который сопровождается временным восстановлением проходимости желчного протока.

При пальпации живота врачи определяют увеличенную печень. У 60% пациентов под нижним краем печени прощупывают увеличенный желчный пузырь. При продолжительном нарушении проходимости желчевыводящих путей возникают цирроз печени и хронический панкреатит. Если рак большого дуоденального сосочка прорастает в стенку кишечника, при последующем распаде опухоли возможны кровотечения. При региональном метастазировании отмечается болевой синдром изменяется.
Характерной особенностью рака большого дуоденального сосочка является ранняя потеря веса. Причиной похудания становятся сужение или перекрытие просвета протоков поджелудочной железы, из-за которых в пищеварительный тракт перестают поступать ферменты, так необходимые для расщепления жиров и белков. Снижение веса и авитаминоз становятся причиной мышечной слабости.
У больных раком большого дуоденального сосочка часто наблюдаются поносы. Они сопровождаются вздутием и болями в животе. Каловые массы глинисто-серые, зловонные. В запущенных случаях может выявляться жировой кал. При появлении регионарных метастазов отмечается характера болевого синдрома изменяется. На поздних стадиях определяются истощение и расстройства функций органов, которые поражены отдалёнными метастазами.
Диагностика рака тонкого кишечника
При злокачественной опухоли двенадцатиперстной кишки врачи Юсуповской больницы выполняют фиброгастродуоденоскопию и контрастную рентгеноскопию. Для диагностики рака терминального отдела подвздошной кишки информативными являются колоноскопия и ирригоскопия.
Рентгенография пассажа бария позволяет выявить препятствия на пути продвижения контрастного препарата, участки сужений и супрастенотического расширения кишки. Во время эндоскопического исследования врач производит биопсию для последующей морфологической верификации диагноза. В сложных для диагностики случаях проводят селективную ангиографию брюшной полости.
Для того чтобы выявить метастазы и прорастание рака тонкого кишечника в органы брюшной полости, в Юсуповской больнице проводят комплексное обследование пациентов:
- Ультразвуковое исследование печени, поджелудочной железы, почек, надпочечников;
- Мультиспиральную компьютерную томографию органов брюшной полости;
- Рентгенографию грудной клетки;
- Сцинтиграфию костей.
Рак тонкого кишечника дифференцируют от доброкачественных опухолей, туберкулёза кишечника, окклюзии мезентериальных сосудов, болезни Крона. У женщин проводят дифференциальную диагностику с новообразованиями матки и придатков.
Пациентам с подозрением на рак тонкой кишки назначаются следующие исследования:
Эпителиальные опухоли тонкой кишки. Карциноиды тонкой кишки.
Эпителиальные опухоли тонкой кишки. Карциноид тонкой кишки.
Кисту обозначают как мукоцеле. Киста может достигать больших размеров, стенка ее истончается, в ней нередко откладываются соли кальция. В редких случаях слизь приобретает форму шариков; этот вариант мукоцеле носит название миксоглобулеза. Иногда мукоцеле осложняется псевдомиксомой брюшины. Слизистая оболочка отростка при муцинозных кистаденомах может быть атрофичной (выстлана однорядным слизеобразующим эпителием) либо гинерплазированной—с образованием сосочковых выростов.
Аденомы аналогичны по строению аденомам толстой кишки со всеми их вариантами. Встречаются они очень редко,обычно как единичные мелкие полипы.
Злокачественные эпителиальные опухоли. Первичный рак червеобразного отростка встречается в сотых долях процента ко всем удаленным отросткам или в 0,5% ко всем формам рака толстой кишки. Чаше всего обнаруживают аденокарциному, строение и свойства которой совпадают с таковыми при аналогичном раке толстой кишки. Первичный рак отростка чаще располагается в проксимальной его части и нередко переходит на стенку слепой кишки.
Прогноз в этих случаях обычно благоприятный. Лишь в стадии начального рака, локализованного в дистальных отделах отростка, можно ограничиться аппендэктомией, но с обязательным иссечением брыжеечки отростка и регионарных узлов.
Слизистая аденокарцинома червеобразного отростка в типичных случаях мало отличается от аналогичной опухоли толстой кишки. Иногда рак развивается на фоне слизистой кистаденомы.

Карциноид червеобразного отростка—наиболее частая из -обнаруживаемых в удаленных отростках первичных опухолей. Из всех карциноидов желудочно-кишечного тракта 90% локализуются в червеобразном отростке. Как правило, это одиночный узелок от микроскопических размеров до 0,5—1 см, случайно обнаруживаемый при исследовании удаленного отростка, чаще в его дистальной части. Описаны единичные случаи очень крупных карциноидов.
Поверхность разреза опухоли матовая, сероватого цвета с желтоватым оттенком различной интенсивности. Границы карциноида нечеткие, с инфильтрацией стенки вплоть до серозной оболочки и прорастанием в брыжеечку отростка.
Наиболее распространенным и типичным вариантом является аргентаффинный карциноид альвеолярного строения с палисадообразным расположением клеток по периферии опухолевых тяжей. Могут встречаться железисто-подобные структуры с небольшим содержанием слизи. Злокачественный вариант карциноида с метастазами встречается крайне редко. Гистологически отличить злокачественный вариант карциноида от доброкачественного очень трудно.
В качестве дифференциальных признаков злокачественной опухоли можно отметить большую дисплазию клеточных элементов и появление редких фигур митоза. Рост самой опухоли и возможных метастазов медленный, вследствие чего наличие метастазов не является протиповоказанием к удалению карциноида и рутинная аппендэктомия с удалением брыжеечки отростка и регионарных лимфатических узлов считается достаточной.
Неаргентаффинные карциноиды встречаются значительно реже. Обычно они имеют небольшие размеры. Опухоль состоит из мелких цилиндрических клеток, складывающихся в тонкие длинные тяжи или дольчатые структуры с гладкомышечными прослойками в строме.
Карциноид из бокаловидных клеток, выделенный в 1974 г., является спорным вариантом с недостаточно ясным гистогенезом. Опухолевые клетки образуют ячейки из клеток, содержащих слизь и похожих на бокаловидные или перстневидные. В результате слияния отдельных клеток образуются озера слизи, в которых определяют отдельные опухолевые клетки. Вся картина может быть похожа или неотличима от слизистой аденокарциномы, тем более, что иногда наблюдают глубокую инвазию опухолевых комплексов в стенку отростка и отдаленные метастазы.
Описывают единичные случаи обнаружения липом, лейомиом, доброкачественных лимфом, невром, опухолей Абрикосова и других мягкотканных опухолей.
Следует отметить, что значительная часть так называемых невром Массона не относится к истинным опухолям, а является узелковой гиперплазией нервного аппарата в отростках, подвергшихся склерозу и облитерации с образованием в центральных отделах «ампутационной невромы». Микроскопическое строение мягкотканных опухолей отростка соответствует структуре опухолей других органов.
Информация на сайте подлежит консультации лечащим врачом и не заменяет очной консультации с ним.
См. подробнее в пользовательском соглашении.
Публикации в СМИ
Злокачественные новообразования тонкой кишки (аденокарцинома, карциноидные опухоли, лимфома, лейомиосаркомы) — редкая патология. Частота. Злокачественные новообразования составляют 75% проявляющихся клинической симптоматикой опухолей тонкой кишки, из них аденокарцинома — 40%, карциноиды — 30%, лимфомы — 20%, саркомы и метастазы из других органов — 10%.
Этиология и патогенез. Некоторые злокачественные заболевания тонкой кишки возникают спонтанно, большинство осложняет предшествующую патологию, например болезнь Крона и целиакию. У больных с целиакией частота злокачественных заболеваний тонкой кишки (обычно лимфом) может составлять 10–15%. В редких случаях злокачественные новообразования возникают из полипов при синдроме Пейтца–Егерса, при семейном полипозе и синдроме Гарднера. Особый тип лимфомы — средиземноморская лимфома, эндемична для Среднего Востока.
Патоморфология и локализация • Аденокарцинома чаще локализуется в двенадцатиперстной и проксимальном отделе тощей кишки • Карциноидные опухоли развиваются из энтерохромаффинных клеток. Эти клетки относят к так называемой APUD-системе (отсюда общее наименование опухолей этого типа — апудомы). Карциноид чаще формируется в червеобразном отростке, в тонкой (обычно в подвздошной) и реже — в прямой кишке. Симптомный карциноид (наиболее частая первичная опухоль тонкой кишки) — обычно локализуется в червеобразном отростке • Первичная лимфома обычно расположена в подвздошной кишке • Возможно развитие метастатического рака тонкой кишки при первичном поражении яичников, молочных желёз, почек, яичек, а также меланомы (у 50% больных).
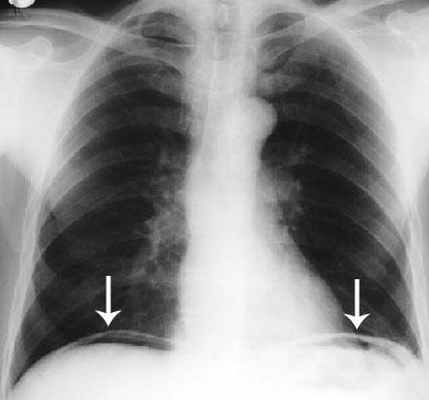
Клиническая картина • Кровотечения, диарея, перфорация стенки кишки, непроходимость кишечника (например, при инвагинации) • Карциноидные опухоли червеобразного отростка могут имитировать приступ острого аппендицита, но обычно протекают бессимптомно. В редких случаях опухоль червеобразного отростка даёт метастазирует в печень и вызывает карциноидный синдром, характеризующийся приливами крови и диареей. В начале заболевания симптомы отсутствуют или слабо выражены • Наиболее частое проявление лимфомы тонкой кишки — перфорация стенки сосудов. Другие симптомы: лихорадка, синдром мальабсорбции. Лечение. Метод выбора — резекция тонкой кишки, вплоть до субтотального её удаления. При системных лимфомах применяют лучевую и химиотерапию.
При злокачественных карциноидах может быть эффективен стрептозоцин (у 50%). Соматостатин часто уменьшает приливы крови и диарею у больных с метастазами и карциноидным синдромом.
TNM-классификация (только для рака тонкой кишки) •• Tis — карцинома in situ •• T1 — опухоль прорастает базальную мембрану или подслизистый слой •• T2 — опухоль прорастает в мышечный слой •• T3 — опухоль прорастает до субсерозного слоя или неперитонизированных участков тонкой кишки на протяжении не более 2 см •• Т4 — опухоль прорастает висцеральную брюшину или прорастает в соседние структуры или органы, включая другие отделы тонкой кишки, брыжейку или ретроперитонеальное пространство, более 2 см, в брюшную стенку по серозной оболочке. Для двенадцатиперстной кишки — инвазия в поджелудочную железу ••N1 — имеются метастазы в регионарных лимфатических узлах.
Группировка по стадиям • Стадия 0: TisN0M0 • Стадия I: T1–2N0M0 • Стадия II: T3–4N0M0 • Стадия III: T1–4N1M0 • Стадия IV: T1–4N0–1M1.
Лечение. Единственный метод лечения — хирургическое вмешательство (резекция кишечника). При опухолях двенадцатиперстной кишки объём операции чаще необходимо расширять до панкреатодуоденальной резекции.
Прогноз неблагоприятный • У большей части больных аденокарциномой во время операции выявляют отдалённые метастазы. После радикального лечения 5-летняя выживаемость — 25% • Карциноидные опухоли растут медленно. Прогноз при карциноиде зависит от размера опухоли и наличия метастазов. 5-летняя выживаемость составляет 70%, при метастазах в печени — 20%. При опухолях размером 2 см метастазируют в 80–90% случаев • При локализации лимфомы и лейомиосаркомы на небольшом участке кишки прогноз более благоприятный, чем при аденокарциноме.
Доброкачественные опухоли — липомы, лейомиомы и аденомы. При необходимости выполняют их местное иссечение.
МКБ-10 • C17 Злокачественное новообразование тонкого кишечника •• C78.4 Вторичное злокачественное новообразование тонкого кишечника • D01.4 Рак in situ других отделов кишечника • D13.2 Доброкачественное новообразование двенадцатиперстной кишки • D13.3 Доброкачественное новообразование других и неуточнённых отделов тонкого кишечника
Код вставки на сайт
Опухоли тонкой кишки
Злокачественные новообразования тонкой кишки (аденокарцинома, карциноидные опухоли, лимфома, лейомиосаркомы) — редкая патология. Частота. Злокачественные новообразования составляют 75% проявляющихся клинической симптоматикой опухолей тонкой кишки, из них аденокарцинома — 40%, карциноиды — 30%, лимфомы — 20%, саркомы и метастазы из других органов — 10%.
Этиология и патогенез. Некоторые злокачественные заболевания тонкой кишки возникают спонтанно, большинство осложняет предшествующую патологию, например болезнь Крона и целиакию. У больных с целиакией частота злокачественных заболеваний тонкой кишки (обычно лимфом) может составлять 10–15%. В редких случаях злокачественные новообразования возникают из полипов при синдроме Пейтца–Егерса, при семейном полипозе и синдроме Гарднера. Особый тип лимфомы — средиземноморская лимфома, эндемична для Среднего Востока.
Патоморфология и локализация • Аденокарцинома чаще локализуется в двенадцатиперстной и проксимальном отделе тощей кишки • Карциноидные опухоли развиваются из энтерохромаффинных клеток. Эти клетки относят к так называемой APUD-системе (отсюда общее наименование опухолей этого типа — апудомы). Карциноид чаще формируется в червеобразном отростке, в тонкой (обычно в подвздошной) и реже — в прямой кишке. Симптомный карциноид (наиболее частая первичная опухоль тонкой кишки) — обычно локализуется в червеобразном отростке • Первичная лимфома обычно расположена в подвздошной кишке • Возможно развитие метастатического рака тонкой кишки при первичном поражении яичников, молочных желёз, почек, яичек, а также меланомы (у 50% больных).
Клиническая картина • Кровотечения, диарея, перфорация стенки кишки, непроходимость кишечника (например, при инвагинации) • Карциноидные опухоли червеобразного отростка могут имитировать приступ острого аппендицита, но обычно протекают бессимптомно. В редких случаях опухоль червеобразного отростка даёт метастазирует в печень и вызывает карциноидный синдром, характеризующийся приливами крови и диареей. В начале заболевания симптомы отсутствуют или слабо выражены • Наиболее частое проявление лимфомы тонкой кишки — перфорация стенки сосудов. Другие симптомы: лихорадка, синдром мальабсорбции. Лечение. Метод выбора — резекция тонкой кишки, вплоть до субтотального её удаления. При системных лимфомах применяют лучевую и химиотерапию.
При злокачественных карциноидах может быть эффективен стрептозоцин (у 50%). Соматостатин часто уменьшает приливы крови и диарею у больных с метастазами и карциноидным синдромом.
TNM-классификация (только для рака тонкой кишки) •• Tis — карцинома in situ •• T1 — опухоль прорастает базальную мембрану или подслизистый слой •• T2 — опухоль прорастает в мышечный слой •• T3 — опухоль прорастает до субсерозного слоя или неперитонизированных участков тонкой кишки на протяжении не более 2 см •• Т4 — опухоль прорастает висцеральную брюшину или прорастает в соседние структуры или органы, включая другие отделы тонкой кишки, брыжейку или ретроперитонеальное пространство, более 2 см, в брюшную стенку по серозной оболочке. Для двенадцатиперстной кишки — инвазия в поджелудочную железу ••N1 — имеются метастазы в регионарных лимфатических узлах.
Группировка по стадиям • Стадия 0: TisN0M0 • Стадия I: T1–2N0M0 • Стадия II: T3–4N0M0 • Стадия III: T1–4N1M0 • Стадия IV: T1–4N0–1M1.
Лечение. Единственный метод лечения — хирургическое вмешательство (резекция кишечника). При опухолях двенадцатиперстной кишки объём операции чаще необходимо расширять до панкреатодуоденальной резекции.
Прогноз неблагоприятный • У большей части больных аденокарциномой во время операции выявляют отдалённые метастазы. После радикального лечения 5-летняя выживаемость — 25% • Карциноидные опухоли растут медленно. Прогноз при карциноиде зависит от размера опухоли и наличия метастазов. 5-летняя выживаемость составляет 70%, при метастазах в печени — 20%. При опухолях размером 2 см метастазируют в 80–90% случаев • При локализации лимфомы и лейомиосаркомы на небольшом участке кишки прогноз более благоприятный, чем при аденокарциноме.
Доброкачественные опухоли — липомы, лейомиомы и аденомы. При необходимости выполняют их местное иссечение.
МКБ-10 • C17 Злокачественное новообразование тонкого кишечника •• C78.4 Вторичное злокачественное новообразование тонкого кишечника • D01.4 Рак in situ других отделов кишечника • D13.2 Доброкачественное новообразование двенадцатиперстной кишки • D13.3 Доброкачественное новообразование других и неуточнённых отделов тонкого кишечника
Опухоли тонкой кишки
Опухоли тонкой кишки составляют 1–5% от всех опухолей желудочно-кишечного тракта. В США ежегодно регистрируется примерно 11 110 новых случаев рака тонкого кишечника и 1 700 смертельных исходов ( 1 Общие справочные материалы Опухоли тонкой кишки составляют 1–5% от всех опухолей желудочно-кишечного тракта. В США ежегодно регистрируется примерно 11 110 новых случаев рака тонкого кишечника и 1 700 смертельных исходов. Прочитайте дополнительные сведения ). Диагностика при помощи энтероклизиса. Лечение подразумевает проведение резекции.
Доброкачественные опухоли включают лейомиомы, липомы, нейрофибромы, фибромы. Все эти опухоли могут протекать с такими симптомами, как вздутие живота, боль, кровотечение, диарея, а при развитии непроходимости – рвота. Полипы наблюдаются реже, чем в толстой кишке.
Аденокарцинома, злокачественная опухоль, наблюдается редко. Как правило, она развивается в двенадцатиперстной или начальном отделе тонкой кишки и протекает с минимальной симптоматикой. У пациентов с болезнью Крона, которая затрагивает тонкий кишечник, опухоли имеют тенденцию располагаться дистально и в обходных или воспаленных петлях кишечника.
Первичная злокачественная лимфома Обзор лимфомы (Overview of Lymphoma) Лимфомы представляют собой гетерогенную группу заболеваний, происходящих из клеток ретикулоэндотелиальной и лимфатической системы. Основные варианты лимфом – лимфома Ходжкина и неходжкинские. Прочитайте дополнительные сведения развивается в подвздошной кишке; пораженный длинный сегмент становится ригидным. Лимфомы тонкой кишки могут развиваться на фоне продолжительной нелеченной целиакии Целиакия Целиакия - иммунологически опосредованное заболевание, развивающееся у генетически предрасположенных лиц и обусловленное непереносимостью глютена, что приводит к воспалению слизистой оболочки. Прочитайте дополнительные сведенияКарциноидные опухоли Обзор карциноидных опухолей (Overview of Carcinoid Tumors) Карциноидные опухоли развиваются из нейроэндокринных клеток из желудочно-кишечного тракта (90%), поджелудочной железы, бронхов и реже из мочеполовых путей. Более 95% всех карциноидных опухолей. Прочитайте дополнительные сведения (которые также называют нейроэндокринные опухоли желудочно-кишечного тракта) чаще всего выявляются в тонкой кишке, особенно в подвздошной кишке и аппендиксе; при таких локализациях более крупные поражения могут стать злокачественными. Множественные опухоли отмечаются в 50% случаев. При опухоли диаметром > 2 см к моменту операции в 80% случаев имеются местные метастазы или метастазы в печень. Примерно в 30% случаях карциноид тонкой кишки протекает с непроходимостью, болью, кровотечениями, или карциноидным синдромом. Лечение в связи с карциноидными опухолями заключается в проведении хирургической резекции; могут потребоваться повторные хирургические вмешательства. Для эффективного контроля заболевания при метастатических карциноидных опухолях можно использовать терапию аналогом соматостатина длительного действия с повышением дозы, пептидную рецепторную радиолигандную терапию (PRRT) с использованием радиомеченного аналога соматостатина или эверолимуса.
Саркома Капоши Саркома Капоши Саркома Капоши – это многоочаговая сосудистая опухоль, вызванная вирусом герпеса 8 типа. Она может возникнуть в классической, ассоциированной со СПИДом, эндемической (в Африке) и ятрогенной. Прочитайте дополнительные сведения впервые описанная у пожилых еврейских и итальянских мужчин, развивается в агрессивной форме у африканцев, пациентов с трансплантированными органами, а также страдающих СПИДом, у 40–60% которых наблюдается поражение желудочно-кишечного тракта. Новообразования могут возникать по ходу всего ЖКТ, но обычно – в желудке, тонкой кишке, дистальных отделах толстой кишки. Новообразования ЖКТ, как правило, протекают бессимптомно, однако воможно развитие кровотечения, диареи, белок-теряющей энтеропатии, инвагинации. Тактика лечения саркомы Капоши Лечение Саркома Капоши – это многоочаговая сосудистая опухоль, вызванная вирусом герпеса 8 типа. Она может возникнуть в классической, ассоциированной со СПИДом, эндемической (в Африке) и ятрогенной. Прочитайте дополнительные сведения зависит от клеточного типа, локализации и протяженности поражения.
Общие справочные материалы
1. Siegel RL, Miller KD, Jemal A: Cancer statistics, 2020. CA Cancer J Clin 70(1):7–30, 2020. doi: 10.3322/caac.21590
Опухоли тонкой кишки
Доброкачественные опухоли тонкой кишки встречаются в 30% больных с новообразованиями тонкой кишки.

По происхождению их делят на эпителиальные и неэпителиальные. По гистологическому строению различают аденомы, липомы, фибромы, миомы, гемангиомы, лимфангиомы, невриномы. По характеру роста — опухоли, которые растут в просвет кишки (внутренние), и такие, которые растут наружу (внешние). Среди доброкачественных опухолей чаще встречаются лейомиомы, липомы, а также полипы, фибромы, реже — гемангиомы и невриномы. Среди неэпителиальных опухолей чаще встречается гастроинтестинальная стромальная опухоль, лейомиома. Локализуется лейомиома в подвздошной кишке, нередко перерождаясь в злокачественную опухоль.
Эпителиальные опухоли тонкой кишки представлены аденомами, имеют вид полипа и обычно бывают одиночными. Полипы тонкой кишки часто малигнизируются.


Клиническая картина доброкачественных опухолей тонкой кишки зависит от их происхождения, локализации, размеров и количества. В большинстве случаев доброкачественные опухоли долго ничем себя не проявляют и их случайно обнаруживают во время операции, нередко по поводу развития осложнений. Особенно это характерно для опухолей, расположенных субсерозно, которые достигают больших размеров и в результате давления на соседние органы могут вызывать болевые ощущения. Опухоли, которые растут в просвет кишки, вызывают нарушение проходимости, и проявляются схваткообразной болью, вздутием живота. При наличии опухоли тощей кишки боль локализуется в участке пупка или слева от него, в случае опухолей подвздошной кишки — в правом боковом участке. Кроме боли может наблюдаться рвота, особенно в случае высоко расположенных опухолей. Иногда, чаще на фоне гемангиом, наблюдается мелена. Опухоли, которые растут в просвет кишки, могут повлечь инвагинацию или обтурацию с развитием клинической картины высокой кишечной непроходимости. Экзофитные опухоли тонкой кишки, особенно на ножке, могут вызвать ее заворот.
Осложнениями опухолей тонкой кишки являются:
- перфорация, которая манифестирует резкой болью в брюшной полости, внезапно возникающей, напряжением мышц брюшной стенки, симптомами раздражения брюшины;
- кишечная непроходимость, которая проявляется схваткообразной болью в брюшной полости, выраженной тошнотой, рвотой желчью (на поздних стадиях — кишечным содержимым), асимметричным вздутием живота, мощной перистальтикой, наблюдаемой визуально и определямой пальпаторно (симптом Валя), шумом плеска;
- профузные кровотечения из опухолей тонкой кишки встречаются редко. Главные признаки — нарастающая анемия, мелена.
Объективные данные в случае доброкачественных опухолей тонкой кишки незначительны, за исключением тех случаев, когда удается пропальпировать опухоль.
Диагностика
Поскольку опухоли тонкой кишки диагностируются случайно в результате развития осложнений, обследования для их выявления выполняется согласно стандартного обследования при возникновении «острого живота».
При подозрении на перфорацию тонкой кишки обзорная рентгенография органов брюшной полости обнаруживает свободный газ в подциафрагмальном пространстве, во время пункции брюшной полости или лапароскопического исследования обнаруживают кишечное содержимое в брюшной полости. Однако отсутствие названных патологических явлений не свидетельствует об отсутствии перфорации. Поэтому при наличии соответствующей клиники больному показана срочная лапаротомия, во время которой устанавливается окончательный диагноз.

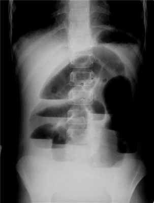
Главным рентгенологическим симптомом острой кишечной непроходимости является появление чаш Клойберга — горизонтальных уровней и куполообразных участков просветления (газов) над ними. Окончательный диагноз устанавливают во время лапаротомии.

При отсутствии клиники «острого живота» наиболее информативным методом диагностики опухолей проксимальных и дистальных отделов тонкой кишки является эндоскопическое исследование (интестиноскопия). Если опухоль удается обнаружить эндоскопически, то это не только позволяет уточнить локализацию, анатомическую форму и размеры опухоли, но и с помощью биопсии определить ее гистологическое строение.
Дополнительно к рентгенологическим и эндоскопическим методам исследования можно применять ультразвуковую диагностику и компьютерную томографию, особенно тогда, когда есть сомнения относительно диагноза или необходима дифференциальная диагностика с другими заболеваниями, в частности с опухолями толстой кишки, желудка, брыжейки, забрюшинного пространства, матки и яичников, а также специфическими воспалительными процессами — сифилисом и туберкулезом и неспецифическими — болезнью Крона, аппендицитом и гранулемами, инородными телами брюшной полости.
Лечение доброкачественных опухолей тонкой кишки – хирургическое.
При осложненных опухолях тонкой кишки характер операции зависит от обнаруженных изменений и общего состояния больного.
САРКОМА ТОНКОЙ КИШКИ
Болеют преимущественно мужчины возрастом 20-40 лет. Самыми частыми видами сарком является круглоклеточная и лимфосаркома, реже — веретеноклеточная, фибро- и миосаркома.
Локализуется саркома преимущественно в начальном отделе тощей и дистальном отделе подвздошной кишки. По характеру роста различают экзоинтестинальные и эндоинтестинальные формы сарком, которые инфильтрируют тонкую кишку. Метастазируют они поздно, сначала — в брыжеечные и забрюшинные лимфатические узлы, а затем — в отдаленные органы (печень, легкие и тому подобное).
Клиника. Часто саркома тонкой кишки имеет бессимптомное течение и обнаруживает себя внезапно, признаками осложнений: кишечной непроходимостью, кровотечением или перфорацией. Сначала появляются неопределенные жалобы на нарушение функции пищеварительного тракта — плохой аппетит, отрыжка, тошнота, общая слабость, потеря массы тела. При наличии сужения просвета кишки на первый план выступают симптомы, вызванные нарушениями проходимости кишок. В случае высокорасположенных опухолей рано появляются тошнота, рвота, вздутие живота.
При наличии опухолей подвздошной кишки первым симптомом является боль, которая имеет схваткообразный характер. В то же время может наблюдаться сильное урчание в животе, усиленная перистальтика, часто видимая через брюшную стенку.
При отсутствии нарушений проходимости кишки главными являются общие симптомы — потеря массы тела, повышения температуры, бледность кожных покровов, анемия. Иногда удается пропальпировать большую опухоль с бугристой поверхностью и участками размягчения. В ряде случаев возникает асцит. Характерными являются отеки нижних конечностей. В редких случаях единственный признак заболевания — диарея.
Саркома тонкой кишки может осложняться инвагинацией или перфорацией кишки.
Диагностика сарком тонкой кишки основывается на клинической картине, пальпации опухоли в брюшной полости и данных, обнаруженных во время рентгенологического исследования тонкой кишки (пассаж бария сульфата). Для опухолей, которые растут вне просвета кишки, характерен краевой дефект наполнения или большое депо контрастной массы, вызванное распадом опухоли.
При наличии сарком, которые растут в просвет кишки, наблюдается дефект наполнения, обрыв складок слизистой оболочки, супрастенотическое расширение кишки.
Лечение. Основным методом лечения сарком тонкой кишки является хирургическое вмешательство, которое заключается в резекции пораженного участка кишки вместе с ее брыжейкой и лимфатическими узлами. Во время операции необходимо в большем объеме удалять проксимальный участок кишки. Вопрос об адъювантной химиотерапии решается в зависимости от гистологической формы саркомы. В случае злокачественных лимфом тонкой кишки возможно хирургическое лечение в минимальном объеме — наложение обходного анастомоза в связи с высокой чувствительностью этой опухоли к химиотерапии.
РАК ТОНКОЙ КИШКИ
Рак тонкой кишки встречается в 20 раз реже, чем рак толстой кишки, чаще у мужчин возрастом 40-60 лет. Описаны две основных формы рака тонкой кишки: скирр, для которого характерен циркулярный рост опухоли с сужением просвета кишки и супрастенотическим расширением, и диффузный, инфильтративный рак, при котором рост идет по ходу лимфатических путей вдоль брыжеечного корня кишки.
Гистологически чаще обнаруживают аденокарциному, которая развивается из цилиндрического эпителия желез слизистой оболочки кишки.

Метастазирование рака тонкой кишки происходит в основном лимфогенным путем в брыжеечные и забрюшинные лимфоузлы. Отдаленные метастазы поражают печень, редко — легкие.
Клинические проявления рака тонкой кишки на начальных стадиях заболевания нехарактерны. Обычно наблюдаются неопределенные жалобы на желудочно-кишечный дискомфорт — тошноту, изжогу, отрыжку, схваткообразную боль в области пупка, урчание, понос, иногда — мелену. Потом к этим симптомам присоединяется общая слабость, потеря массы тела, анемия. При раке тощей кишки достаточно рано появляются тошнота и рвота с примесью желчи. Во время объективного исследования определяется вздутие верхней половины живота, иногда пальпируется опухоль.
Диагностика рака тонкой кишки сложна и базируется на результатах рентгенологического исследования. Рентгенологически определяют признаки сужения просвета тонкой кишки, которые характеризуются длительной задержкой контрастного вещества в двенадцатиперстной кишке, расширением петли над местом сужения. Сонографически обнаруживают распространение опухоли на смежные структуры, наличие метастатического поражения. Значительную помощь в диагностике рака тонкой кишки, его распространения на соседние анатомические образования оказывает компьютерная томография. Очевидно, с внедрением в практику фиброволоконной оптики, что позволяет проводить тотальную еюноилеоскопию, диагностика этих заболеваний в ближайшие годы значительно улучшится.
Лечение рака тонкой кишки хирургическое — резекция пораженного участка кишки (вместе с клинообразным иссечением брыжейки) в пределах здоровых тканей и удаление регионарных лимфатических узлов.
Химиотерапевтическое лечение рака тонкой кишки II-IV стадий осуществляется по разным схемам.
Государственная клиническая больница №29 им. Н.Э.Баумана – это современная многопрофильная высокотехнологичная больница с уникальной полуторавековой историей и традицией, оказывающая высококачественную медицинскую помощь в круглосуточном режиме.
Читайте также:
