Эпулис. Эмбригенез слюнных желез.
Добавил пользователь Владимир З. Обновлено: 27.01.2026
Задача 1.Кавернозная гемангиома. Дополнительно необходимо провести пункцию, УЗИ, ангиографию.
Задача 2.Фиброма. Необходимо провести дифференциальную диагностику с папилломой, фибросаркомой.
Задача 3.Фиброматоз десен. В план обследования, кроме общеклинических методов исследования, которые проводятся перед операцией, необходимо включить ортопантомографию и гистологическое исследование. План лечения зависит от состояния костной ткани в области пораженных опухолевой тканью зубов и заключается в первую очередь в иссечении опухоли в пределах здоровой ткани.
Задача 4.УЗИ, ангиографию (доплерографию) околоушно-жевательной области, пункцию образования.
Тема: «Опухолеподобные образования мягких тканей челюстно-лицевой области»
1. Актуальность.Опухолеподобные образования мягких тканей челюстно-лицевой области включают достаточно большое количество заболеваний. К ним относятся опухолеподобные поражения слюнных желез: кисты слюнных желез (ретенционная киста малых слюнных желез, ретенционная киста подъязычной слюнной железы (ранула), киста поднижнечелюстной слюнной железы, киста околоушной слюнной железы); кисты и свищи из эмбриональных остатков (боковые кисты и свищи шеи, срединные кисты и свищи шеи, дермоидная киста); эпидермоидная киста; фиброматозное поражение десен (фиброматоз десен, ангиоматозный эпулис, фиброматозный эпулис, гигантоклеточный эпулис, периферическая гигантоклеточная гранулема, эпулис беременных).
2. Учебные цели: овладеть теоретическими знаниями по этиологии, патогенезу, клинике и принципам лечения опухолеподобных образований мягких тканей челюстно-лицевой области, а также навыками их диагностики.
Для формирования профессиональных компетенций студент должен знать:
1. Эмбриогенез плода человека: сроки закладки и редуцирования жаберных дуг, щитовидно-язычного и вилочково-глоточного протоков.
2. Топографию околоушно-жевательной и поднижнечелюстной областей, переднего отдела подъязычной области, корня языка, сонного треугольника.
3. Анатомию и топографическую анатомию больших слюнных желез.
4. Топографическую анатомию малых слюнных желез.
5. Гистологическое строение слюнных желез.
6. Методику исследования челюстно-лицевой области и зубочелюстной системы.
7. Методику зондирования свищей, пункции кист, термовизиографии, УЗИ.
8. Методики проведения фистулографии и сиалографии.
9. Методику проведения биопсии.
10. Интерпретацию лабораторно-рентгенологических исследований.
11. Клинику, диагностику воспалительных заболеваний и реактивно-дистрофических изменений слюнных желез.
12. Клинику, диагностику опухолей мягких тканей челюстно-лицевой области.
13. Принципы диспансеризации больных с доброкачественными новообразованиями челюстно-лицевой области.
Для формирования профессиональных компетенций студент долженуметь:
1. Обследовать пациента с опухолеподобными образованиями мягких тканей челюстно-лицевой области.
2. Оценивать результаты клинических и лабораторно-инструменталъных данных.
3. Проводить зондирование свищей и введение контрастного вещества по ходу свища (для проведения фистулографии).
4. Проводить пункцию кист для цитологического исследования содержимого.
5. Проводить биопсию при фиброматозных поражениях десен.
6. Составлять план лечения, включая новые технологии.
7. Проводить экспертизу трудоспособности больных с кистами слюнных желез, врожденными кистами и свищами лица и шеи, фиброматозными поражениями десен.
8. Назначать первичные и вторичные профилактические мероприятия и др.
3. Вид занятия: практическое.
4. Продолжительность занятия:270 минут.
5. Оснащение:диапроектор, негатоскоп, компьютер, схемы, таблицы,слайды, мультимедийные атласы, фантомы, муляжи, рентгенограммы.
6. Содержание занятия:
6.1. Контроль исходного уровня знаний: тестовые задания (см. Приложение 1 и 4).
6.2. Разбор с преподавателем узловых вопросов, необходимых для освоения темы занятия: определение понятий «кист» и «врожденных кист и свищей лица и шеи»; классификация врожденных кист лица и шеи; статистика врожденных кист лица и шеи; методы обследования больных с врожденными кистами и свищами лица и шеи; основные клинические признаки врожденных кист и свищей лица и шеи; рентгенологическая картина врожденных кист и свищей лица и шеи; дифференциальная диагностика врожденных кист и свищей лица и шеи; принципы лечения врожденных кист и свищей лица и шеи.
6.3. Демонстрация преподавателем методики практических приемов по данной теме.
6.4. Самостоятельная работа студентов под контролем преподавателя (курация больных, оформление медицинской документации)
6.5. Контроль освоения темы занятия.
6.5.1. Вопросы для контроля освоения темы занятия:
1. Классификация и статистика кист челюстно-лицевой области.
2. Боковые (бранхиальные или бранхиогенные) кисты и свищи шеи. Клиника, диагностика, дифференциальная диагностика, лечение.
3. Срединные (тиреоглоссальные) кисты и свищи шеи. Клиника, диагностика, дифференциальная диагностика, лечение.
4. Ретенционная киста малых слюнных желез. Клиника, диагностика, дифференциальная диагностика, лечение.
5. Ретенционная киста подъязычной слюнной железы (ранула). Клиника, диагностика, дифференциальная диагностика, лечение.
6. Киста поднижнечелюстной слюнной железы. Клиника, диагностика, дифференциальная диагностика, лечение.
7. Киста околоушной слюнной железы. Клиника, диагностика, дифференциальная диагностика, лечение.
8. Фиброматоз десен. Клиника, диагностика, дифференциальная диагностика, лечение.
9. Эпулисы. Клиника, диагностика, дифференциальная диагностика, лечение.
10. Периферическая гигантоклеточная гранулема. Клиника, диагностика, дифференциальная диагностика, лечение.
6.5.2. Тесты и ситуационные задачи для контроля уровня освоения темы занятия (см. Приложение 2, 3 и 4).
6.6. Подведение итогов занятия.
6.7. Задание на дом.
Место проведения самоподготовки: учебная комната для самостоятельной работы студентов, палаты больных.
Учебно-исследовательская работа студентов по данной теме:
1. Врожденные кисты и свищи лица и шеи в Республике Башкортостан.
2. Врожденные кисты и свищи лица и шеи. Новые технологии в диагностике, дифференциальной диагностике и лечение.
Литература (список основной и дополнительной литературы приведен в конце учебного пособия).
Приложение 1
Тестовые задания для КОНТРОЛЯ
ИСХОДНОГО УРОВНЯ ЗНАНИЙ
1. ИЗ РУДИМЕНТАРНЫХ ОСТАТКОВ ЖАБЕРНЫХ ЩЕЛЕЙ МОГУТ РАЗВИВАТЬСЯ …
1) врожденные кисты
2) врожденные свищи
3) дистопированные доли легкого
2. В РЕЗУЛЬТАТЕ НЕПОЛНОГО ЗАМЫКАНИЯ ЖАБЕРНОЙ ЩЕЛИ (БОРОЗДЫ ИЛИ КАРМАНА) РАЗВИВАЮТСЯ …
1) врожденные кисты
2) врожденные свищи
3) дистопированные доли легкого
3. КИСТЫ И СВИЩИ ОКОЛОУШНОЙ ОБЛАСТИ РАЗВИВАЮТСЯ ИЗ РУДИМЕНТАРНЫХ ОСТАТКОВ …
1) второй жаберной щели
2) третьей жаберной дуги
3) околоушной борозды
4) первой жаберной щели
4. БОКОВЫЕ КИСТЫ И СВИЩИ ШЕИ РАЗВИВАЮТСЯ ИЗ РУДИМЕНТАРНЫХ ОСТАТКОВ …
1) первой жаберной щели
2) второй жаберной щели
3) срединного шва
5. ОБРАТНОЕ РАЗВИТИЕ ЩИТОВИДНО-ЯЗЫЧНОГО ПРОТОКА ПРОИСХОДИТ …
1) с началом дыхания новорожденного
2) 4-ой недели внутриутробной жизни
3) с началом шевеления плода
4) с началом половой жизни
6. СРЕДИННАЯ КИСТА ШЕИ РАЗВИВАЕТСЯ ОТ …
1) вилочково-глоточного протока
2) щитовидно-язычного протока
3) Евстахиевой трубы
4) Стеннонова протока
7. В РЕЗУЛЬТАТЕ ПОРОКА РАЗВИТИЯ В МЕСТАХ СРАЩЕНИЯ ЛОБНОГО, ВЕРХНЕЧЕЛЮСТНЫХ И НИЖНЕЧЕЛЮСТНЫХ БУГРОВ РАЗВИВАЕТСЯ …
1) срединная киста
2) дермоидная киста
3) боковая киста
Приложение 2
Тестовые задания ДЛЯ КОНТРОЛЯ
УРОВНЯ УСВОЕНИЯ ТЕМЫ
1. ВНУТРЕННЕЕ УСТЬЕ ВРОЖДЕННОГО СРЕДИННОГО СВИЩА ШЕИ ОТКРЫВАЕТСЯ В ОБЛАСТИ …
1) подбородочных лимфатических узлов
4) щитовидной железы
2. СРЕДИННЫЕ И БОКОВЫЕ КИСТЫ ШЕИ ЯВЛЯЮТСЯ …
1) опухолью лимфогенного происхождения
2) пороком развития
3) опухолеподобным образованием воспалительного происхождения
4) опухолеподобным образованием травматического происхождения
3. БОКОВОЙ СВИЩ ШЕИ ПЕРВОНАЧАЛЬНО РАСПОЛОЖЕН …
1) между первой и второй фасциями
2) между второй и третьей фасциями
3) в толще подкожно-жирового слоя
4) между третьей и четвертой фасциями
4. БОКОВОЙ СВИЩ ШЕИ НА УРОВНЕ РОГА ПОДЪЯЗЫЧНОЙ КОСТИ ПОВОРАЧИВАЕТ …
5. ПРИ ИССЕЧЕНИИ БОКОВОГО СВИЩА ШЕИ ОПАСНО ПОВРЕЖДЕНИЕ …
1) нижней щитовидной артерии
2) верхней щитовидной артерии
3) непарной щитовидной артерии
4) язычной артерии
6. ПРИ ИССЕЧЕНИИ БОКОВОГО СВИЩА ШЕИ ОПАСНО ПОВРЕЖДЕНИЕ …
1) нижней щитовидной артерии
2) наружной сонной артерии
3) верхней щитовидной артерии
4) непарной щитовидной артерии
7. ПРИ ИССЕЧЕНИИ БОКОВОГО СВИЩА ШЕИ НАИБОЛЕЕ ВЕРОЯТНО ПОВРЕЖДЕНИЕ …
1) добавочного нерва
2) возвратного нерва
3) подъязычного нерва
4) позадиушного нерва
8. ПРИ УДАЛЕНИИ БОКОВОЙ КИСТЫ ШЕИ РАЗРЕЗ КОЖИ ПРОВОДЯТ …
1) по верхней шейной складке
2) по нижней шейной складке
3) по переднему краю кивательной мышцы
4) по заднему краю кивательной мышцы
9. ПРИ ИССЕЧЕННИИ СРЕДИННОГО СВИЩА ШЕИ РЕЗЕКЦИЯ ТЕЛА ПОДЪЯЗЫЧНОЙ КОСТИ …
2) не обязательна
10. ПРИСТУПАЯ К ИССЕЧЕНИЮ СРЕДИННОГО СВИЩА, ИНЪЕЦИРУЮТ РАСТВОР …
2) метиленового синего
4) медицинского спирта
11. ПРИ ИССЕЧЕНИИ СРЕДИННОГО СВИЩА ШЕИ ВОЗМОЖНО ПОВРЕЖДЕНИЕ …
1) нижней щитовидной артерии
2) непарно щитовидной артерии
3) язычной артерии
4) лицевой артерии
12. ВЕРОЯТНОЕ РАННЕЕ ПОСЛЕОПЕРАЦИОННОЕ ОСЛОЖНЕНИЕ ИССЕЧЕНИЯ СРЕДИННОГО СВИЩА …
1) судорожное состояние
3) стенотическая асфиксия
4) рецидив свища
13. КОЖНЫЙ РАЗРЕЗ ПОСЛЕ ИССЕЧЕНИЯ СРЕДИННОГО СВИЩА ШЕИ УШИВАЮТ …
2) с дренированием
14. РЕЦИДИВЫ СРЕДИННОЙ КИСТЫ ШЕИ ОБЪЯСНЯЮТСЯ …
1) наличием эпителиальной выстилки
2) неполным иссечением
3) злокачественным перерождением
4) попаданием слюны в операционную рану
15. БОКОВАЯ КИСТА ШЕИ ВЫСТЛАНА …
1) многослойным плоским эпителием
2) мерцательным эпителием
3) гиалиновой тканью
4) коллагеновыми волокнами
16. ДЛЯ ДИАГНОСТИКИ ВРОЖДЕННЫХ КИСТ И СВИЩЕЙ ПРОВОДЯТ КОНТРАСТНУЮ ФИСТУЛОГРАФИЮ С ПРИМЕНЕНИЕМ …
1) эмульсии синтомицина
4) раствор Рингера
17. ГИСТОЛОГИЧЕСКИ ОБОЛОЧКА ДЕРМОИДНОЙ КИСТЫ СОДЕРЖИТ …
1) эпидермальную выстилку, волосяные фолликулы, сальные и потовые железы
2) многослойный плоский ороговевающий эпителий
3) акантотический эпидермис с папилломатозом, гинеркератозом и образованием инвагинационных роговых кист
4) гиперплазированные сальные железы с выраженной васкуляризацией
18. Хирургическое лечение фиброзного эпулиса заключается:
1) в удалении образования
2) в удалении образования и коагуляции его основания
3) в удалении образования и соседних зубов
4) в экономной резекции альвеолярного отростка
19. Хирургическое лечение ангиоматозного эпулиса заключается:
1) в удалении образования
2) в удалении образования и коагуляции его основания
3) в удалении образования и соседних зубов
4) в экономной резекции альвеолярного отростка
20. Хирургическое лечение гигантоклеточного эпулиса заключается:
1) в удалении образования
2) в удалении образования и коагуляции его основания
3) в экономной резекции альвеолярного отростка
4) в резекции челюсти
21. СРЕДИННЫЕ И БОКОВЫЕ СВИЩИ ШЕИ ПО СВОЕМУ ПРОИСХОЖДЕНИЮ ЯВЛЯЮТСЯ:
22. СРЕДИННАЯ КИСТА ШЕИ ЛОКАЛИЗУЕТСЯ:
1) по средней линии шеи
2) над щитовидным хрящом
3) в области яремной вырезки
4) по переднему краю m. trаpecius
23. НАРУЖНОЕ ОТВЕРСТИЕ БОКОВОГО СВИЩА ШЕИ ОТКРЫВАЕТСЯ:
1) в щечной области
2) в подъязычной области
3) в области корня языка
4) в поднижнечелюстной области
24. НАРУЖНОЕ ОТВЕРСТИЕ СРЕДИННОГО СВИЩА ШЕИ ОТКРЫВАЕТСЯ:
1) щечной области
2) в подъязычной области
3) в поднижнечелюстной области
4) в области подъязычной кости по средней линии шеи
25. КАКОЙ ДОПОЛНИТЕЛЬНЫЙ МЕТОД ИССЛЕДОВАНИЯ ПРОВОДИТСЯ ДЛЯ УТОЧНЕНИЯ ДИАГНОЗА “БОКОВОЙ СВИЩ ШЕИ”:
3) динамика тимоловой пробы
4) контрастная фистулография
26. ПУНКТАТ ВРОЖДЕННОЙ КИСТЫ ШЕИ ВНЕ ВОСПАЛЕНИЯ ИМЕЕТ ВИД:
3) мутной жидкости
4) прозрачной опалесцирующей жидкости
27. ПРИ ИССЕЧЕНИИ СРЕДИННОГО СВИЩА ШЕИ НЕОБХОДИМО РЕЗЕЦИРОВАТЬ:
1) щитовидный хрящ
2) участок подъязычной кости
3) подчелюстную слюнную железу
4) проток подчелюстной слюнной железы
28. БОКОВОЙ СВИЩ ШЕИ РАСПОЛАГАЕТСЯ В ОБЛАСТИ:
1) общей сонной артерии
2) лицевой артерии и вены
3) лицевой вены и верхней щитовидной артерии
4) внутренней яремной вены и наружной сонной артерии
29. ТИПИЧНЫМ ОПЕРАТИВНЫМ ДОСТУПОМ ДЛЯ УДАЛЕНИЯ БОКОВОЙ КИСТЫ ШЕИ ЯВЛЯЕТСЯ:
1) в надключичной области
2) по переднему краю m.Sternoclaidomastoideum
3) по переднему краю жевательной мышцы
4) горизонтальный по поверхности шейной складки
30. КИСТУ ПОДНИЖНЕЧЕЛЮСТНОЙ СЛЮННОЙ ЖЕЛЕЗЫ НЕОБХОДИМО ДИФФЕРЕНЦИРОВАТЬ:
2) с актиномикозом
4) с абсцессом челюстно-язычного желобка
31. КЛИНИЧЕСКАЯ КАРТИНА ФИБРОЗНОГО ЭПУЛИСА ХАРАКТЕРИЗУЕТСЯ ОПУХОЛЬЮ ОКРУГЛОЙ ФОРМЫ:
2) на широком основании
3) на инфильтрированном основании
32. ФИБРОМАТОЗ ОТНОСИТСЯ:
1) к истинным опухолям
2) к опухолеподобным образованиям
3) злокачественным опухолям
4) к воспалительным заболеваниям
33. ФИБРОМАТОЗ ЧАЩЕ ЛОКАЛИЗУЕТСЯ НА СЛИЗИСТОЙ ОБОЛОЧКЕ:
3) дна полости рта
4) переходной складке с вестибулярной стороны
34. ОСНОВНЫМ МЕТОДОМ ЛЕЧЕНИЯ ФИБРОМАТОЗА ЯВЛЯЕТСЯ:
2) лучевая терапия
3) комбинированное лечение
4) устранение хронической травмы слизистой оболочки
35. КЛИНИЧЕСКАЯ КАРТИНА АНГИОМАТОЗНОГО ЭПУЛИСА ХАРАКТЕРИЗУЕТСЯ:
1) ограниченным участком ороговения десны
2) рыхлым безболезненным кровоточащим образованием десны, красного цвета
3) плотным безболезненным образованием на широком основании
4) 2-3 эрозиями десны, без тенденции к кровоточивости и эпителизации
36. РЕНТГЕНОЛОГИЧЕСКАЯ КАРТИНА ФИБРОЗНОГО ЭПУЛИСА ХАРАКТЕРИЗУЕТСЯ:
1) наличием костных изменений в области эпулиса
2) резорбцией кортикальной пластинки
3) отсутствием костных изменений в области эпулиса
4) очагов деструкций губчатого вещества челюсти на всем протяжении
37. БОКОВАЯ КИСТА ШЕИ ЛОКАЛИЗУЕТСЯ:
1) в подподбородочной области
2) в поднижнечелюстной области
3) по переднему краю m.trapezius
4) в средней трети шеи, по переднему краю
38. ВНУТРЕННЕЕ ОТВЕРСТИЕ БОКОВОГО СВИЩА ШЕИ ОТКРЫВАЕТСЯ:
2) в подъязычную область
3) в поднижнечелюстной области
4) в области верхнего полюса миндалины
39. ВНУТРЕННЕЕ ОТВЕРСТИЕ СРЕДИННОГО СВИЩА ШЕИ РАСПОЛАГАЕТСЯ:
2) в подъязычной области
3) в поднижнечелюстной области
4) в области слепого отверстия корня языка
40. ДОПОЛНИТЕЛЬНЫЙ МЕТОД ИССЛЕДОВАНИЯ, ДЛЯ УТОЧНЕНИЯ ДИАГНОЗА “БОКОВАЯ КИСТА ШЕИ”:
4) реакция Вассермана
41. ОСНОВНЫМ КЛИНИЧЕСКИМ СИМПТОМОМ ВРОЖДЕННОЙ КИСТЫ ШЕИ ЯВЛЯЕТСЯ:
1) повышение температуры тела
2) боли спастического характера
3) синюшная окраска в области шеи
4) новообразование округлой формы
42. ОСНОВНЫМ МЕТОДОМ ЛЕЧЕНИЯ ВРОЖДЕННЫХ КИСТ ЧЕЛЮСТНО-ЛИЦЕВОЙ ОБЛАСТИ ШЕИ ЯВЛЯЕТСЯ:
3) лучевая терапия
4) хирургическое лечение
43. ОСНОВНЫМ МЕТОДОМ ЛЕЧЕНИЯ ВРОЖДЕННЫХ СВИЩЕЙ ШЕИ ЯВЛЯЕТСЯ:
44. БОКОВАЯ КИСТА ШЕИ РАСПОЛАГАЕТСЯ НАД:
1) щитовидной артерией
2) лицевой артерией и веной
3) подключичной артерией и веной
4) бифуркацией общей сонной артерии
45. СЕРЬЕЗНЫМ ОСЛОЖНЕНИЕМ ВО ВРЕМЯ УДАЛЕНИЯ БОКОВОЙ КИСТЫ ШЕИ ЯВЛЯЕТСЯ:
1) парез лицевого нерва
2) перелом подъязычной кости
3) повреждение крупных сосудов шеи
4) травма околоушной слюнной железы
46. НАИБОЛЕЕ ИНФОРМАТИВНЫЙ МЕТОД РЕНТГЕНОЛОГИЧЕСКОГО ИССЛЕДОВАНИЯ КИСТ БОЛЬШИХ СЛЮННЫХ ЖЕЛЕЗ:
3) компьютерная томография
47. ФИБРОМАТОЗ РАЗВИВАЕТСЯ В РЕЗУЛЬТАТЕ:
1) вредных привычек
2) нарушения эмбриогенеза
3) хронического механического раздражения
48. ОСНОВНОЙ МЕТОД ЛЕЧЕНИЯ ФИБРОМАТОЗА ДЕСЕН:
2) лучевая терапия
3) комбинированное лечение
4) иссечение новообразования вместе с надкостницей
49. КЛИНИЧЕСКАЯ КАРТИНА ФИБРОЗНОГО ЭПУЛИСА ХАРАКТЕРИЗУЕТСЯ:
1) ограниченным участком ороговения десны
2) рыхлым болезненным кровоточащим образованием десны
3) плотным безболезненным образованием на широком основании
4) плотным болезненным инфильтратом в области нескольких зубов
50. ОСНОВНОЙ МЕТОД ЛЕЧЕНИЯ ФИБРОЗНОГО ЭПУЛИСА:
2) лучевая терапия
3) комбинированное лечение
4) иссечение новообразования в пределах здоровых тканей
51. ФИБРОЗНЫЙ ЭПУЛИС НЕОБХОДИМО ДИФФЕРЕНЦИРОВАТЬ С:
1) с фолликулярной кистой
4) локализованным пародонтитом
52.Врожденные кисты и свищи лица и шеи относятся к образованиям:
1) соединительнотканной природы
2) неврогенной природы
3) эпителиальной природы
4) миогенной природы
53. При цитологическом исследовании пунктата врожденных кист шеи не находят:
Эпулис. Эмбригенез слюнных желез.
Эпулис. Эмбригенез слюнных желез.
Эпулис относится к группе опухолеподобных процессов. Различают фиброзный, ангиоматозный и гигантоклеточный эпулисы.
Гигантоклеточный эпулис (остеокластома, периферическая гигантоклетоная опухоль, периферическая гигантоклеточная репаративная гранулема встречается преимущественно у женщин в возрасте 30-40 лет, наиболее часто во время беременности. Иногда выявляется у детей. Образование темно красного цвета мягкой консистенции, локализуется в области клыков и премоляров нижней челюсти, обычно на щечной поверхности десны, иногда может иметь вид песочных часов, выступая и в точную, и в язычную стороны. Рентгенологически в зоне эпулиса отмечается разрежение костной ткани. По строению идентичен гигантоклеточной опухоли, иногда с формированием костных перекладин в центральных отделах.
Фиброзный эпулис очаговое разрастание мягких тканей величиной 1-2 см в диаметре, выступающее над уровнем десны. Микроскопически обна руживаются пучки зрелой соединительной ткани и небольшое количество кровеносных сосудов. Периваскулярно располагаются скудные или более густые инфильтраты, в которых преобладают плазматические и лимфоидные клетки. Поверхность эпулиса покрыта многослойным плоским эпителием, нередко подвергающимся изъязвлению в результате травмы зубами. Соответственно месту изъязвления наблюдается развитие грануляционной ткани. Иногда в центральных отделах фиброзного эпулиса отмечается формирование очагов остеогенеза видны отложения остеоидного вещества, окруженного остеобластами, в дальнейшем формируются костные перекладины с отложением солей кальция.
Ангиоматозный эпулис чаще наблюдается в детском и юношеском возрасте. Макроскопически представляет собой мягкотканное разрастание красного цвета, легко кровоточащее при дотрагивании. Микроскопически характеризуется скоплениями сосудов мелкого калибра типа капилляров или венул, разделенных тонкими прослойками соединительной ткани. Ангиоматозный эпулис чало отличается от капиллярной или венозной ангиомы. Соединительнотканные прослойки, как правило, инфильтрированы преимущественно плазматическими клетками. Ангиоматозные эпулисы часто под вергаются изъязвлению, в зоне которого отмечается развитие грануляционной ткани. После удаления они рецидивируют чаше, чем фиброзные эпулисы.

Происхождение эпителия различных слюнных желез неодинаково. Существуют железы несомненно эктодермальной природы (малые слюнные железы губ) и железы, развивающиеся из эпителия, происхождение которого является спорным, возможно, энтодермальным. В отношении больших слюнных желез наиболее распространенным считается мнение об их развитии из зачатка кожиой эктодермы. Так, зачаток околоушной железы образуется в результате врастания эпителия боковой стенки угла полости рта в подлежащую мезенхиму в виде сплошного тяжа. Дихотомическое деление последнего сопровождается появлением просвета и формированием первичных выводных протоков.
Цитоплазма апикальных частей эпителиальных клеток, образующих проток, и секрет в протоках содержат кислые гликозаминогликаны. У плода 16 недель эпителий протоков в некоторых участках заканчивается альвеолярно трубчатыми выпячиваниями — будущими концевыми отделами. В эпителии междольковых выводных протоков начинают дифференцироваться бокаловидные клетки, нарастает рядность выстилки крупных протоков, в которой также появляются слизеобразующие клеточные элементы. У плода 24 недель околоушная железа имеет дольчатое строение, развивающиеся концевые отделы выстланы двумя слоями клеток, базальный — представлен миоэпителием. В эпителии первичных ацинусов дифференцируются слизистые секреторные клетки. В дальнейшем с усилением секреторной деятельности коицевых отделов диффузная секреция в эпителии протоков снижается.
Таким образом, в эмбриональном периоде околоушная железа секретирует по слизистому типу. Исчерченные протоки (слюнные трубки) и вставочные отделы появляются лишь в постэмбриональном периоде. По указанной схеме развиваются и другие слюнные железы.
В тканевых культурах слюнной железы эпителий протоков образует многослойный регенерат с дифференцировкой в сторону многослойного плоского эпителия. То же самое наблюдается в процессе регенерации при том или ином повреждении слюнной железы, а также хроническом сиалоадените, т. е. протоковый эпителий сохраняет свою детерминацию как эпителий эктодермальной природы.
В организме взрослого человека большие и малые слюнные железы не имеют существенных структурных различий. В зависимости от характера вырабатываемого секрета ацинусы представлены серозными клетками с базофильной цитоплазмой (околоушная железа), слизистыми клетками с базальио расположенным ядром и светлой голубоватой цитоплазмой или имеют смешанное строение. Вставочные отделы выстланы низким кубическим эпителием, слюнные трубки — крупными эозихофнльиымн клетками, внутркдольковые и междольковые протоки — двухслойным, а главный выводкой проток — многослойным эпителием. В концевых секреторных отделах, слюнных трубках, вставочных и внутридольковых протоках эпителий окружен мпоэлителнальными клетками.
Особенности эмбриогенеза и регенерацинной способности слюнных желез указывают на плюрипотентность протокового эпителия. При завершении формирования слюнной железы основной камбиальной золой считаются вставочные протоки. Опухоли слюнных желез могут возникать из эпителия любого отдела протоковой системы, при этом наиболее уязвимой, вероятно, является камбиальная зона — эпителий вставочных отделов. Уровень возникновения (исходная клетка) и особенности дифференцнровки опухолевых клеток в процессе становления и роста опухоли определяют своеобразие того или иного новообразования. В качестве фоновых состояний нередко в окружающей опухоль ткани слюнной железы выявляются внутрниротоковые пролифераты, суживающие или полностью выполняющие просвет с той или иной степенью атипии эпителиальных клеток.
При доброкачественных опухолях в ткани слюнной железы иногда обнаруживают своеобразные изменения во внутридольковых и междольковых протоках, заключающиеся в пролиферации эпителиальных клеток и появлении признаков эпидермоидной и так называемой сальной дифференцировки.
Информация на сайте подлежит консультации лечащим врачом и не заменяет очной консультации с ним.
См. подробнее в пользовательском соглашении.
Классификация опухолей и опухолеподобных образований челюстей
Классификация опухолей и опухолеподобных образований слюнных желез
Опухолеподобные образования
Доброкачественные
Злокачественные
Полиморфная аденома (смешанная опухоль)
Ретенционная киста малой слюнной железы
Ретенционная киста подъязычной слюнной железы (ранула)
Доброкачественные образования мягких тканей челюстно-лицевой области и челюстных костей
Сосудистое поражение, проявление которого в области лица многообразно. По своему генезу оно может быть бластоматозного или дисэмбриопластического характера.
Классификация:
Капиллярная гемангиома.Наблюдается сразу после рождения, реже спустя некоторое время. Локализуется на коже одной или нескольких областей. Незначительное по величине поражение может быстро увеличиться в размерах. Цвет измененных участков кожи от слабо-розового или красного до багрово-красного. Обычно все пораженные участки имеют одинаковую окраску. Гемангиомы всех типов, особенно капиллярные, имеют тенденцию к самопроизвольной инволюции (в 2-3% случаев). Первым признаком инволюции является побледнение гемангиомы в отдельных участках. Но чаще рост опухоли активно продолжается с ростом ребенка. Особенно быстро гемангиомы растут до года. Капиллярные гемангиомы не выступают над окружающими тканями. При поверхностном расположении гемангиомы надавливание пальцем приводит к побледнению участка опухоли, что является важным дифференциально-диагностическим признаком.
Кавернозная гемангиома.Наблюдается у детей примерно с той же частотой, что и капиллярные. Она состоит из сосудистых полостей, сообщающихся между собой. При этом поражении в процесс вовлекаются глубокие ткани лица. Кожа может быть окрашена так же, как при капиллярной форме или оставаться обычной окраски. Для данного вида гемангиомы характерна опухолевая деформация, т.е. значительное увеличение объема пораженных тканей. При надавливании на область поражения опухоль исчезает и быстро появляется вновь. При опускании головы выбухающий участок тканей увеличивается еще больше. Эти симптомы связаны с приливом и отливом крови из сосудистой полости. Пункция зоны поражения позволяет получить характерные данные – быстрое наполнение шприца кровью. Кавернозные гемангиомы, увеличиваясь и сдавливая окружающие ткани у детей, вызывают атрофию прилежащих тканей (мышц, слюнных желез, глазного яблока, жировой клетчатки), деформации прикуса, смещение зубов и другие нарушения. Кровотечения, которые вызывают кавернозные гемангиомы, представляют угрозу для жизни больного. Самопроизвольная инволюция кавернозных гемангиом также происходит, но реже, чем капиллярных.
Ветвистые гемангиомы представляют собой конгломерат порочно развитых сосудов артериального, венозного или смешанного типа различного калибра. Участок поражения менее контурирован, чем при кавернозной форме. Вздутые, извилистые опухолевые узлы расположены в толще тканей. Часто заметна пульсация опухоли. В других случаях она выявляется при пальпации.
Лечениедетей с гемангиомами является трудной задачей. Начинать лечение можно в любом возрасте, желательно сразу после постановки диагноза.
1.Склерозирующая терапия (введение в толщу опухолевой ткани химических веществ с целью вызвать ожог, асептическое воспаление и последующее рубцевание опухоли);
4. Иссечение опухоли;
5. Лучевая терапия (в данное время не применяется, так как, несмотря на хороший результат лечения, часто вызывает отставание в росте облученных отделов)
Внутрикостная гемангиома
Изолированная внутрикостная гемангиома челюсти встречается довольно редко. Чаще гемангиома развивается в мягких тканях лица. Внутрикостная гемангиома протекает бессимптомно или сопровождается постоянными ноющими болями в зубах. Иногда возможны упорные, повторные кровотечения из десен. Опухоль может прорастать из кости в окружающие мягкие ткани. В этих случаях оболочка полости рта становится цианотичной. Возможно расшатывание зубов вплоть до их выталкивания из луночки давлением крови. Иногда бывает симптом пульсации опухоли, усиливающийся при наклоне головы, а также при горизонтальном положении больного.
На рентгенограмме челюстная кость несколько вздута, костный рисунок нарушен, видны ячеисто-кистозные полости. Кавернозные гемангиомы на рентгенограмме могут выглядеть также в виде одиночного очага деструкции костной ткани. Иногда видны округлые тени, представляющие собой обызвествленные тромбы (флеболиты).
Лечение чаще хирургическое.
Лимфангиома
Опухоль развивается из лимфатических сосудов.
Классификация:
Капиллярная лимфангиома. Обнаруживается вскоре после рождения вследствие асимметрии какого-либо отдела лица. Увеличивается медленно с ростом ребенка. При пальпации выявляется утолщение и легкое уплотнение тканей без четких границ. Опухоль имеет выраженную тенденцию к воспалениям. Во время воспаления отмечаются температура, слабость и другие симптомы интоксикации. Пораженная область характеризуется покраснением, отечностью, резкой болезненностью при пальпации. Воспаление длится 1-2 недели, стихает медленно. После воспалительного процесса опухолевая ткань становится более плотной.
Кавернозная лимфангиома. Представляет собой диффузное утолщение тканей, которое состоит из множества узлов, содержащих полости, разделенные перегородками. Эти полости наполнены прозрачной бесцветной или кровянистой жидкостью. Пальпация опухоли безболезненна, консистенция ее мягко-эластическая, границы относительно четкие. Кавернозные лимфангиомы так же, как и капиллярные, имеют тенденцию к воспалению.
Кистозная лимфангиома. Представляет собой одно- или многокамерную кисту с тонкими стенками. Киста наполнена жидкостью. В полостях встречаются разрастания лимфоидной ткани. Данная форма поражения локализуется обычно в области шеи. Опухолевая деформация ткани значительная. Хорошо виден контур опухоли, который выявляется и при пальпации. Опухоль может достигать больших размеров и представляет опасность при локализации на шее вследствие сдавления жизненно важных органов. Кистозные лимфангиомы воспаляются реже других форм.
Лечениехирургическое. Опухолевую ткань удаляют одномоментно или поэтапно.
Источник роста – многослойный плоский эпителий. В возникновении папиллом большая роль отводится дизонтогенетическим факторам. Не исключается также влияние вирусов и таких раздражителей, как хроническая травма слизистой полости рта разрушенными зубами, неправильно изготовленными зубными протезами. Папилломы встречаются в любом возрасте. Возникают опухоли на языке, слизистой оболочке щек, неба, губ, альвеолярного отростка, в области уздечки языка и крылочелюстных складок.
Опухоль растет в виде единичных или множественных разрастаний округлой или овальной формы. Эти разрастания располагаются на узкой ножке или на широком основании. Цвет их бледно-розовый, однородный, мало отличающийся от цвета окружающей слизистой оболочки. Растет опухоль медленно и редко достигает больших размеров. Иногда папилломы проявляют тенденцию к инволюции.
Папиллома на коже челюстно-лицевой области представляет собой плоское образование на ножке, по цвету несколько темнее окружающих тканей.
Лечение папиллом в основном хирургическое. Опухоль иссекают в пределах здоровых тканей. Используется также криодеструкция.
В основе возникновения одонтом лежат нарушения процесса образования зубов. Одонтомы чаще диагностируются после 3 лет. Опухоль обнаруживается в период формирования постоянных зубов. Различают два вида одонтом, отличающихся друг от друга степенью дифференцировки зубных тканей, - мягкие и твердые. Мягкая одонтома является истинной опухолью, состоит из низкодифференцированных зубных тканей, встречающихся в развивающихся зубных зачатках, а твердая – опухолеподобное образование - из петрифицированных высокодифференцированных зубных структур.
Мягкая одонтома (амелобластическая фиброма)
Эта опухоль встречается крайне редко. Для гистологического строения опухоли характерны эпителиальные разрастания (как в адамантиноме), между которыми располагаются соединительнотканные элементы стромы. Мягкая одонтома представляет собой образование плотноэластической консистенции, на разрезе имеет светло-серый цвет с отдельными более светлыми участками.
Клиника. При мягкой одонтоме имеются симптомы других доброкачественных опухолей, расположенных в челюстных костях. Опухоль растет медленно, постепенно вызывая «вздутие» челюстной кости, как при адамантиноме. В отличие от адамантиномы мягкая одонтома в основном наблюдается у молодых людей в период формирования постоянных зубов. Мягкая одонтома растет экспансивно, но иногда обладает выраженным инфильтративным ростом и дает рецидивы после нерадикальных операций. Отмечены случаи превращения мягкой одонтомы в саркому.
Рентгенологическая картина сходна с таковой при адамантиноме. В ряде случаев в опухоли могут быть постоянные зубы или их зачатки. Нередко наблюдается нарушение кортикального слоя челюсти.
Лечение мягкой одонтомы исключительно хирургическое. При доброкачественном течении (экспансивный рост, высокодифференцированное строение опухоли) можно ограничиться вылущиванием опухоли в пределах здоровых тканей. При инфильтративном росте и других признаках злокачественного течения показано расширенное хирургическое вмешательство – резекция значительного участка челюсти.
Твердая одонтома подробно освещена в разделе «Опухолеподобные образования»
Адамантинома (амелобластома)
Адамантинома относится к доброкачественным эпителиальным опухолям, напоминающим по гистологическому строению эмалевый орган зуба. Название опухоли происходит от греческого слова «adamantos» – эмаль, алмаз. Адамантинома чаще наблюдается в возрасте 20-40 лет, однако отмечены случаи развития опухоли у новорожденных и у лиц пожилого возраста.
В происхождении адамантином много спорного и неясного. Одни авторы считают, что возникновение адамантином связано с нарушением развития зубного зачатка, другие предполагают ее развитие из эпителиальных элементов слизистой оболочки полости рта, третьи – из одонтогенных эпителиальных остатков (островки Малассе). Есть мнение, что адамантинома возникает из эпителиальной выстилки фолликулярных кист.
Опухоль состоит из пролиферирующего одонтогенного эпителия и фиброзной стромы. Преимущественно локализуется в нижней челюсти, в дистальных отделах тела, в области угла и ветви.
Клиническое течение амелобластомы в начальных стадиях обычно бессимптомное. Начальные проявления опухоли, как правило, проходят незамеченными и могут быть обнаружены случайно при рентгенологическом исследовании. Первые признаки появляются в тот период, когда опухоль достигает значительных размеров и обусловливает деформацию челюсти. Возникает асимметрия лица, по поводу которой больные обращаются к врачу. При клиническом обследовании выявляется вздутие челюсти в зоне поражения, подвижность зубов над опухолью, иногда их смещение. Поверхность утолщенной челюсти в большинстве случает гладкая, но может быть и неровной, при значительном истончении кортикальной пластинки челюсти определяется податливость костной стенки. Кожные покровы над опухолью долго остаются неизмененными и подвижными. Со стороны полости рта определяются утолщение и деформация альвеолярного отростка. Адамантинома может нагноиться после удаления зубов, расположенных в зоне опухоли.
Симптомы, связанные со смещением и сдавлением соседних органов и тканей, относятся к поздним проявлениям болезни и выражаются в нарушении жевания, глотания и речи. При значительной величине опухоли стенки челюсти истончаются, возможны спонтанные переломы нижней челюсти, а также профузные кровотечения.
В развитии адамантиномы различают 2 формы – плотную (солидную) и кистозную. Солидная форма в виде массивного образования встречается реже, чем кистозная, и является более ранней стадией процесса. При кистозной форме наблюдается резкое истончение челюстной кости. Полости кист выполнены желтой жидкостью без кристаллов холестерина.
Диагностика адамантином в ряде случаев вызывает определенные трудности, особенно на ранних стадиях развития опухоли. Правильный диагноз устанавливают после анализа анамнестических и клинических данных, а также рентгенологического и гистологического исследования.
Рентгенологическая картина челюстей при адамантиномах достаточно характерна. При солидной форме находят одну крупную полость, а при кистозной обнаруживают картину мелких кистозных полостей. На границе опухоли и неизмененной кости можно увидеть зону склероза в виде узкой белесоватой полоски. Выделяют 4 основные рентгенологические формы адамантиномы: однокамерную, многокамерную, ячеистую и зубосодержащую.
Несмотря на доброкачественный характер адамантиномы, известны случаи ее озлокачествления (около 4%).
Лечение хирургическое и сводится к удалению опухоли с участками клинически здоровой костной ткани. Объем хирургического вмешательства зависит от распространенности опухоли. В запущенных стадиях требуется резекция значительной части, половины или всей нижней челюсти с экзартикуляцией. Эти радикальные вмешательства сочетаются с первичной костной пластикой. В качестве костного трансплантата используют собственное ребро, гребень подвздошной кости больного.
Остеокластома
Остеокластома – доброкачественная опухоль остеогенного происхождения. Относится к наиболее распространенным опухолям челюстных костей. Эти опухоли развиваются в виде одиночных локализованных очагов и поражают одну челюсть, чаще нижнюю. Микроскопическая картина остеокластом характеризуется одноядерными клетками типа остеобластов, между которыми расположены многоядерные клетки-гиганты типа остеокластов. Костный мозг и часть костных балок подвергаются разрушению и замещаются фиброзной тканью. Одновременно наблюдаются участки образования остеоидной ткани. Кровь в остеокластоме движется не по сосудам, а между опухолевыми элементами, что создает условия для отстоя плазмы и оседания эритроцитов. В результате распада эритроцитов образуются серозные и кровяные кисты, и опухоль принимает бурую окраску.
Остеокластомы в зависимости от локализации делятся на центральные (внутрикостные) и периферические, развивающиеся на альвеолярном отростке (гигантоклеточные эпулисы).
Центральная остеокластома чаще локализуется в области малых и больших коренных зубов, преимущественно на левой стороне. Выделяют три основные формы центральных остеокластом: ячеистую, кистозную, литическую.
Ячеистая форма чаще наблюдается в зрелом и пожилом возрасте, развивается медленно. Челюстная кость постепенно утолщается, ее поверхность становится бугристой. Клинически опухоль не имеет четких границ, на ощупь она плотная и безболезненная. Слизистая оболочка в области опухоли несколько цианотична. При рентгенологическом исследовании ячеистая форма представляет собой множество полостей различных размеров.
При кистозной форме первым клиническим признаком может быть боль в интактных зубах. При обследовании можно обнаружить признаки, характерные для кисты челюсти: выбухание на поверхности челюсти, пергаментный хруст. Рентгенологическая картина напоминает одонтогенную кисту.
Литическая форма чаще развивается в детском и юношеском возрасте, характеризуется быстрым ростом и значительной болезненностью. Под влиянием быстрого роста опухоли зубы, расположенные в ее зоне, смещаются и становятся подвижными, рано истончается кортикальный слой челюсти. При разрушении периоста опухоль прорастает в окружающие ткани. При расположении опухоли в области нижней челюсти возможен патологический перелом, а на верхней челюсти – прорастание в верхнечелюстную пазуху и полость носа. На рентгенограмме при литической форме остеобластокластомы определяется бесструктурный очаг разрежения кости с разрушением кортикального слоя челюсти. Отмечается рассасывание верхушек корней зубов в зоне опухоли.
Известны случаи озлокачествления остеокластомы.
В диагностикеиспользуют рентгенографическое и гистологическое исследование.
Лечение хирургическое, заключается в удалении опухоли в пределах здоровых тканей, при необходимости сочетается с одномоментной костной пластикой.
Периферическая остеокластома (гигантоклеточный эпулис)
В группу эпулисов объединяют разнородные в этиологическом и морфологическом отношении образования на альвеолярном отростке челюстей. Термин «эпулис» означает наддесневик.
По гистологической картине эпулисы разделяются на три разновидности: гигантоклеточный, фиброзный, ангиоматозный. Из них только гигантоклеточный эпулис относится к истинным доброкачественным опухолям – остеокластомам. Две другие разновидности (ангиоматозный и фиброзный) являются следствием реактивного воспалительного разрастания грануляционной ткани. Исходя из общности клинической картины и локализации, эти образования условно объединяют под общим названием «эпулисы»
Гигантоклеточный эпулис возникает в любом возрасте, даже у детей. Опухоль располагается на альвеолярном отростке, имеет округлую или овальную форму, темно-красный цвет, гладкую поверхность. Растет медленно и безболезненно, иногда травмируется и возникает кровотечение. Опухоль на ощупь имеет мягкую или упругоэластическую консистенцию. Зубы, расположенные в области опухоли, смещены, а в некоторых случаях слегка подвижны, но безболезненны. Несмотря на медленный рост, эпулис может достигать значительных размеров. Метастазов гигантоклеточный эпулис не дает, но рецидивы при нерадикальном хирургическом лечении возникают довольно часто. На рентгенограмме можно обнаружить участки деструкции костной ткани альвеолярного отростка с нечеткими контурами в зоне расположения эпулиса.
Лечениехирургическое, сводится к удалению эпулиса и выскабливанию подлежащей размягченной кости. В случаях рецидива показана частичная резекция альвеолярного отростка и удаление зуба.
Фиброзныйиангиоматозный эпулисыосвещены в главе «Опухолеподобные заболевания»
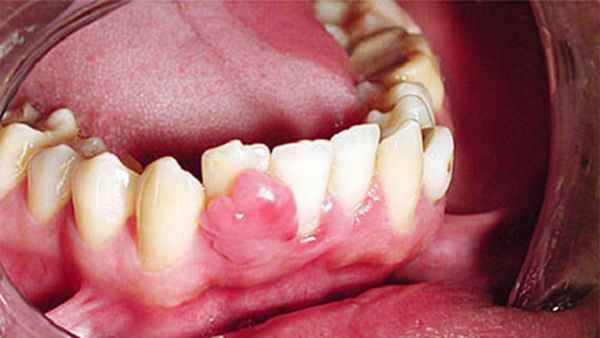
Эпулис

Эпулис или центральная гигантоклеточная гранулёма – это новообразование в ротовой полости, которое появляется на десне в результате воздействия на неё различных травмирующих факторов. Эта доброкачественная опухоль вырастает из периодонтических тканей и наиболее часто локализуется рядом с резцами, клыками и малыми коренными зубами на верхней челюсти. В редких случаях эпулис появляется на нижней челюсти со стороны щеки.
Основная группа риска – женщины до 30 лет, однако некоторые формы эпулиса встречаются чаще у детей – на этапе смены прикуса. У новорожденных эпулис как правило не диагностируется, поскольку возникает он из ткани периодонта, поэтому челюсть с непрорезавшимися зубами редко бывает подвержена этой болезни.
Разновидности эпулиса и причины их возникновения
Основная причина, по которой возникает эпулис – это травмирующее воздействие стенками расколовшихся зубов, краями неправильно отполированных протезов, деталями ортодонтических конструкций. Дополнительными факторами риска для появления эпулиса являются: скученность зубов, сужение зубного ряда, патология окклюзии и перебои в работе эндокринной системы.
В зависимости от характера проявления и гистологического (тканевого) строения новообразований выделяют три разновидности эпулиса: фиброматозную, ангиоматозную и гигантоклеточную.
- Фиброматозная форма – характерным признаком этой формы является медленный рост новообразований. Опухоль в своей основе имеет грубую соединительную ткань, безболезненна, не кровоточит и достаточно плотная.
- Ангиоматозная форма – ключевым отличием её от фиброматозной формы является выделение небольшого количества крови при малейшей травме. При пальпации опухоль безболезненная и кажется довольно мягкой. Имеет большое количество кровеносных сосудов.
- Гигантоклеточная форма эпулиса является т.н. «периферийной» разновидностью гигантоклеточной опухоли. Опухоль при этой форме заболевания безболезненна, мягкая и эластичная, имеет бугристую поверхность и обладает характерным синевато-красным оттенком, что вызвано застоем крови.
Симптомы эпулиса
Данное заболевание в разных формах может обладать достаточно похожими симптомами.
Фиброматозная форма, самая первая стадия развития эпулиса, проявляется появлением округлой или неправильной формы опухоли на расширяющейся «ножке». Новообразование обладает гладкой поверхностью и покрыто бледно-белесой слизистой оболочкой, которую можно заметить при осмотре.
Ангиоматозная форма эпулиса отличается легким покраснением новообразования, его мягкостью и эластичностью. Развивается оно в пришеечной области. Часто на поверхности опухоли можно заметить следы прилегающих зубов. При малейшей травме она начинает заметно кровоточить.
В гигантоклеточной форме эпулис медленно разрастается, он располагается на альвеолярных отростках челюстей. Когда опухоль значительно увеличивается в размерах, затрудняется жевание пищи и глотание. Расположенные поблизости зубы могут начать расшатываться и смещаться, образуется скученность зубов. Во время осмотра можно выявить бугристую поверхность опухоли, покрытой синеватой слизистой оболочкой. Появление эпулиса не затрудняет открывание рта и мало воздействует на общее состояние организма пациента.
Диагностика
Процесс диагностики эпулиса включает не только сбор анамнеза и внешний осмотр пациента в кресле стоматолога, но также проведение клинических и гистологических исследований. Гистологическое исследование помогает выяснить клеточный состав опухоли.
Вне зависимости от формы заболевания, растёт опухоль достаточно медленно, а вот размер, которого она достигает, зависит от разновидности: например, при гигантоклеточной форме эпулис разрастается настолько, что смещает зубы, находящиеся рядом с ним.
Осмотр помогает выявить и причину возникновения новообразования: как правило, рядом с ним обнаруживается разрушенный зуб, царапающий десну острыми краями, неправильно установленный имплант или коронка.
Рентген-диагностика помогает выявить места истончения костной ткани, которые образуются в результате разрастания эпулиса. Гистологическое исследование поможет выявить сопутствующие эпулису новообразования - папилломы, фиброму полости рта, зачатки, полипы, разрастания десны вследствие гипертрофического гингивита.
Лечение эпулиса
Лечение данного заболевания на начальных этапах - это прежде всего, устранение любых внешних раздражителей (удаление зубных камней, лечение кариеса). Может потребоваться повторное проведение протезирования – в случае, когда эпулис был спровоцирован травмами, нанесенными неудачной ортопедической конструкцией.
При необходимости также обтачиваются и долечиваются травмированные зубы, цепляющие десну острыми краями. На начальных стадиях заболевание может быть купировано даже после обычной санации полости рта, но после её проведения необходимо наблюдение за динамикой выздоровления.
В более тяжелой форме (в частности, при гигантоклеточном эпулисе) показано хирургическое вмешательство. Его проводят, иссекая новообразование в границах незатронутых им здоровых тканей. Что же касается сместившихся или подвижных зубов, находящихся рядом с эпулисом, то прогноз относительно них во многом зависит от степени повреждения. Если зубы расшатываются достаточно сильно и не подлежат восстановлению, то их придется удалить.
Если не устранить полностью все факторы, спровоцировавшие появление эпулиса, вероятность рецидива очень велика. Если же факторы риска устранены, можно говорить о благоприятном прогнозе.
2019 © Хорошая стоматология — сеть стоматологических клиник.
Стоматологические услуги около м. Верхние Лихоборы, м. Митино, м. Тушинская, м. Речной вокзал, м. Отрадное, м. Щелковская
Данная страница носит информационно-справочный характер и не является публичной офертой.
Доброкачественные образования
Операции по удалению доброкачественных образований проводятся как при помощи скальпеля, так и при помощи новых высокотехнологичных методов (лазер).
Хирургическое иссечение новообразований в пределах здоровых тканей проводится с обязательным гистологическим исследованием удаленного материала.
Наиболее часто встречающиеся образования челюстно-лицевой области
Эпулис – доброкачественное образование, локализующееся на десне. Причинами появления эпулиса являются повреждения десны пломбой, разрушенным зубом, зубным камнем, протезом, аномалии прикуса, гормональные нарушения. Различают несколько форм эпулиса: ангиоматозный, фиброматозный, и гигантоклеточный.
Фиброматозный эпулис представляет собой круглую, чаше не правильную форму, появляется на десне и прилегает к зубу, редко проникает в промежуток между зубами. Эпулис чаще всего не беспокоит и не кровит.
Ангиоматозный эпулис появляется на шейкизуба, представляет собой гладкую поверхность, кровоточит при самом легком травмировании. Растет очень быстро, особенно у беременных.
Периферическая гигантоклеточная гранулема — безболезненное образование овальной или круглой формы, имеет бугристую поверхность. Располагается на челюсти, сильно кровоточит. Эпулисы больших размеров легко травмируются, при этом появляются эрозии. Часто, зубы, возле которых размещен эпулис, расшатываются и смещаются.
Диагноз специалист ставит на основании проведенного им осмотра и клинической картины. При гигантоклеточном эпулисе специалист назначат рентгенологическое исследование, с помощью которого определяют пораженные участки кости.
При лечении устраняют травмирующий фактор и удаляют образование.




Фиброма - доброкачественная опухоль соединительнотканной природы.Состоит из зрелой волокнистой ткани. Течение медленное, бессимптомное. В полости рта фиброма локализуется на слизистой оболочке губ, щек (чаще по линии смыкания зубов), десны, мягкого нёба, реже языка.

Папиллома - эпителиальная доброкачественная опухоль из покровного эпителия слизистой оболочки рта; встречается во всех возрастных группах.
Опухоль проявляется в виде разрастания на ножке грибовидной или округлой формы либо она располагается на широком основании и имеет полушаровидную форму. Размеры её варьируют от 1 -20 мм и более.
Папилломы локализуются в различных участках полости рта, чаще на языке, твёрдом нёбе и щеках. Нередко в полости рта встречаются множественные папилломы в результате травмирования их, хронического воспаления.

Атерома (киста сальной железы) — опухолевидное образование, возникающее в результате закупорки протока сальной железы.Может появляться на любых участках тела, в том числе,на коже лица.
Внешне атерома представляет собой безболезненное подвижное плотное образование шарообразной формы с четкими контурами. Если присмотреться к атероме, то можно заметить небольшую темную точку, которая закупоривает выход протока сальной железы.
Эти небольшие опухолевидные образования обычно растут очень медленно, не причиняют дискомфорта и боли, практически не требуют лечения. Размеры атеромы варьируют в пределах от 5 миллиметров до 5 сантиметров.
Как правило, осложнения могут быть вызваны либо повреждением атеромы, либо проникновением в нее инфекции. Также может произойти нагноение атеромы или ее разрыв в подкожную клетчатку. При этом опухоль увеличивается, становится болезненной, краснеет и приводит к повышению температуры тела. В этом случае необходимо вскрытие атеромы, медикаментозная обработка ее и дренирование. После стихания явлений воспаления производят удаление образования с капсулой.


Лазерное удаление атеромы проводится преимущественно на ранних стадиях заболевания, когда она еще не имеет больших размеров. С помощью лазерного аппарата можно удалить атерому быстро и практически безболезненно, операция занимает 15-20 минут. Удаление атеромы проходит под местной анестезией, со вскрытием и обработкой полости атеромы лазером.
Также удаление атеромы производится при помощи скальпеля с последующим наложением косметических швов.
Гемангиома –доброкачественное поражение, состоящее из кровеносных сосудов.

В тех случаях, когда имеется обширное поражение органов полости рта капиллярной и гипертрофической гемангиомой, хирургическое лечение осуществляется только в условиях стационара.
В лечении обширных гемангиом используют комбинированный метод, включающий, на первом этапе склерозирующую терапию, на втором – хирургическое вмешательство, направленное на иссечение склерозированных измененных избыточных тканей.
Склерозирующая терапия основана на развитии асептического воспаления, ведущего к склерозированию и запустеванию сосудистых полостей. Для лечения используют химические препараты – 2% раствор салицилового спирта и чаще 70° этиловый спирт, который вводят в опухолевую ткань. В результате повторных курсов лечения опухоль уменьшается или исчезает.
Кисты появляются в результате закупорки выводного протока слюнной железы, как следствие его травмы или воспалительного процесса в слюнной железе и прилежащих тканях.
Кисты слюнных желез наиболее часто возникают в области нижней губы, в подъязычной области. Киста имеет капсулу, содержимое кисты представляет вязкую полупрозрачную жидкость, напоминающую застойную слюну. Больных беспокоит образование округлой формы, сначала небольшое, затем медленно увеличивающееся, болевых ощущений не вызывающее. Лечение хирургическое: под местным обезболиванием кисту вылущивают, рану ушивают.
Читайте также:
