Erythema elevatum diutinum. Кольцевидная гранулема
Добавил пользователь Евгений Кузнецов Обновлено: 02.11.2025
ЭРИТЕМА СТОЙКАЯ ВОЗВЫШАЮЩАЯСЯ (erythema elevatum diutinum) - проявление аллергического васкулита.
Симптоматическая форма встречается чаще: её возникновение связывают с приёмом лекарственных препаратов, а также с рядом заболеваний, в частности язвенным колитом, полиартритом и др.
Идиопатическая форма, возможно, обусловлена наследственной предрасположенностью.
Клиника.
Заболевание характеризуется сгруппированными красновато-синюшными узелками обычно в области суставов (чаще кистей, коленных, локтевых), которые при слиянии образуют бляшки с западающим центром, оставляющие после себя гиперпигментацию. В некоторых случаях возможно изъязвление.
Дифференциальный диагноз проводят с:
- ревматическими узелками, ,
- узелками доильщиц,
- околосуставными узловатостями Жансельма-Лютца.
Лечение:
- препараты кальция,
- аскорутин,
- ангиопротекторы.
Вернуться к списку статей о кожных заболеваниях
Некоторые другие статьи о кожных болезнях:
Адипонекроз подкожный новорожденных
О. Л. Иванов, А. Н. Львов
«Справочник дерматолога»Гранулёма кольцевидная
О. Л. Иванов, А. Н. Львов
«Консультация дерматолога»Гранулёма лица с эозинофилией
О. Л. Иванов, А. Н. Львов
«Справочник дерматолога»Импетиго герпетиформное Гебры
О. Л. Иванов, А. Н. Львов
«Справочник дерматолога»Красный плоский лишай
Конспект лекции
Кафедра дерматологии СПбГМАПемфигоид
О. Л. Иванов, А. Н. Львов
«Справочник дерматолога»Порфирия
О. Л. Иванов, А. Н. Львов
«Справочник дерматолога»Парапсориаз
Б. А. Беренбейн, А. А. Студницин
«Диагностика кожных болезней»
Руководство для врачей.Эпидермолиз буллёзный
О. Л. Иванов, А. Н. Львов
«Справочник дерматолога»Эритема кольцевидная Дарье
О. Л. Иванов, А. Н. Львов
«Справочник дерматолога»
Реклама, размещённая на сайте «Ваш дерматолог», является одним из источников его финансирования.
Наличие рекламы медицинских центров, лекарств, методов лечения, нельзя расценивать как рекомендацию владельца сайта к их посещению, приобретению или применению.
Последнее обновление страницы: 10.06.2010 Обратная связь Карта сайта
© NAU. При цитировании и копировании материалов убедительная просьба делать активную ссылку на сайт «Ваш дерматолог»
Представленная на сайте информация не должна использоваться для самостоятельной диагностики и лечения
и не может служить заменой очной консультации врача - дерматолога.
Erythema elevatum diutinum. Кольцевидная гранулема
Erythema elevatum diutinum. Кольцевидная гранулема
Erythema elevatum diutinum редкое заболевание характеризуется стойкими красными или пурпуровыми узелками, имеющими тенденцию располагаться группами вблизи суставов, особенно на тыльных поверхностях кистей, запястий и в области коленных суставов. Вначале узелки мягкие, но в дальнейшем вследствие фиброзных изменений становятся твердыми.
Erythema elevatum diutinum имеет характерную гистологическую картину, впервые описанную Уэйдманом и Безанконом, затем Кетроном, а также Уэйсом (Besanсоn, Ketron, Weiss) и многими другими авторами. Заболевание было впервые описано в 1894 г. Крокером и Уиллиамсом (Crocker, Williams), как erythema elevatum diutinum тип Бури (Bury). В настоящее время оно рассматривается как разновидность поздней стадии кольцевидной гранулемы [Хэбер и Руссел (Russel)].
В ранней стадии erythema elevatum diutinum характеризуется густым, преимущественно периваскулярным инфильтратом, состоящим главным образом из нейтрофилов, смешанных с небольшим количеством лимфоцитов и гистиоцитов. В большинстве случаев наблюдается своеобразная гиалиновая дегенерация ретикулярных волокон вокруг капилляров. Эту дегенерацию Уэйдман и Безанкон, а также Кетрон рассматривают как образование «токсического гиалина». Этот токсический гиалин имеет гладкую стекловидную поверхность и окрашивается эозином в интенсивно красный цвет.
В поздней, фиброзной стадии клеточный инфильтрат менее выражен; преобладают явления фиброза. Капилляры могут оставаться окруженными токсическим гиалином, а иногда отмечается лишь фиброзное утолщение их стенок (Кетрон).
Дифференциальный диагноз erythema elevatum diutinum. Гистологические изменения при erythema elevatum diutinum отличаются от картины гранулемы лица преобладанием в инфильтрате нейтрофилов над эозинофилами, отсутствием зоны нормального коллагена под эпидермисом и наличием «токсического гиалина» вокруг капилляров.

Кольцевидная гранулема
Высыпания, обычно локализующиеся на коже кистей и стоп, состоят из маленьких, плотных, бледно-красных узелков, имеющих тенденцию группироваться в кольца и круги. Заболевание хроническое и не вызывает субъективных расстройств.
Гистопатология кольцевидной гранулемы. Гистологически кольцевидная гранулема характеризуется очаговой дегенерацией коллагена в дерме, отложением муцина между дегенерированными коллагеновыми пучками, а также реактивным воспалением и фиброзом. Дегенерация коллагена в очагах может быть полной или частичной. В некоторых случаях имеются очаги как полной, так и неполной дегенерации, иногда обнаруживается лишь один большой очаг полной дегенерации коллагена. Однако чаще всего видны множественные очаги частичной дегенерации без очагов полной дегенерации. В очаге полной дегенерации резко очерчен участок коагуляционного некроза, окруженный радиально расположенными инфильтратом из гистиоцитов, фибробластов и небольшого числа лимфоцитов.
В очаге неполной дегенерации обнаруживаются нерезко ограниченные участки, в которых коллагеновые волокна находятся в различных стадиях дегенерации — от легкой гомогенизации и фрагментации до зернистой дегенерации и коагуляционного некроза. Значительное количество коллагена в таких участках может быть «нормальным.
Между частично дегенерированными коллагеновыми волокнами располагается инфильтрат из лимфоцитов, гистиоцитов и фибробластов, книзу расположена вновь образованная коллагеновая ткань, следовательно, в участках поражения в Дерме имеется полная дезорганизация расположения пучков коллагена.
При обоих типах коллагеновой дегенерации (чаше в очагах неполной дегенерации) между дегенерированными коллагеновыми пучками располагаются отложения муцина в виде нежных нитей и зерен. Обычными красками муцин окрашивается в светло-голубой цвет, муцикармином Беста (Best) — в красный.
В участках дегенерации коллагена эластическая ткань фрагментирована и иногда в значительной степени разрушена. Местами деструкция эластической ткани может быть более значительной, чем разрушение соединительной ткани. Вокруг кровеносных сосудов по периферии очагов дегенерации находят умеренную или даже значительную лимфоцитарную инфильтрацию. В стенках кровеносных сосудов патологических изменений нет, иногда, впрочем, встречаются участки незначительной эндотелиальной пролиферации. В некоторых случаях обнаруживаются обычно вблизи периферии инфильтрата единичные гигантские клетки инородных тел, не связанные с зоной некроза [Пренти (Prunty) и Монтгомери].
Информация на сайте подлежит консультации лечащим врачом и не заменяет очной консультации с ним.
См. подробнее в пользовательском соглашении.
Erythema elevatum diutinum. Кольцевидная гранулема
Заболевание встречается у лиц среднего и пожилого возраста (40-70 лет), преимущественно у женщин, но в редких случаях наблюдается и у детей.
Этиология и патогенез точно не известны.Относится к нейтрофильным васкулитам.Считается, что заболевание является реакцией Артюса, при которой иммунные комплексы осаждаются на стенках кровеносных сосудов с последующим воспалением.Ассоциируется со следующими заболеваниями:
- Аутоиммунные:ревматоидный артрит, целиакия, воспалительное заболевание кишечника и сахарный диабет 1 типа.
- Инфекции:стрептококковая, гепатит, сифилис, ВИЧ
- Гипергаммаглобулинемиея и моноклональные гемопатияии IgA,
- Миелодисплазия
- Гангренозная пиодермия
- Рецидивирующий полихондрит
- Множественная миелома
Поражения, характерные для заболевания, наблюдались в местах внутридермальной инъекции стрептококкового антигена и укусов комаров. Описаны случаи возникновения заболевания после приема интерферона b, противотуберкулезных препаратов, цисплатина и эритропоэтина.
Заболевание характеризуется высыпанием сгруппированных папул, которые при слиянии образуют возвышающиеся бляшки, обычно с гладкой (в отдельных случаях бородавчатой) поверхностью, диаметром 3-5 см, в начале мягкой, а затем, из-за развития фиброза, плотной консистенции с западающим центром и неправильными очертаниями, иногда дугообразными или кольцевидными.Цвет элементов изменяется со временем, от желтого-розового до красного, коричневого или фиолетового. Иногда наблюдаются везикулы, узловатые образования, изьязвление бляшек с геморрагическими корками.
Излюбленная локализация - область суставов (чаще кистей, коленных, локтевых) и разгибательная поверхность конечностей.В более редких случаях поражаются ягодицы, лицо, подошвы, ладони, половые органы.В некоторых случаях очаги поражения захватывают обширные участки кожи.Как правило, поражения носят симметричный характер. Обычно высыпания не сопровождаются субъективными ощущениями, но иногда наблюдается их болезненность и незначительный зуд.Часто пациенты заявляют, что очаги поражения увеличиваются в размерах в течении дня, а наименьшими являются по утрам.
У 40% больных наблюдается артралгия, в редких случаях - периферический кератит, панувеит и узловой склерит.Течение заболевания хроническое, с периодическими обострениями и ремиссиями.Продолжительность болезни составляет от 5 до 35 лет, после чего происходит спонтанное разрешение элементов сыпи с гиперпигментацией и атрофическими рубцами.
Диагноз ставится на основании клинической картины, анамнеза и гистологического исследования при котором обнаруживаются признаки аллергического васкулита с деструктивными изменениями и инфильтрацией сосудистых стенок, преимущественно из нейтрофильных гранулоцитов с явлениями кариорексиса. В мелких сосудах верхней трети дермы отмечаются набухание эндотелиоцитов, фибриноидные изменения, особенно в свежих элементах, также инфильтрированных нейтрофильными гранулоцитами. В более старых элементах сосуды подвергаются гиалинозу, отмечается отложения холестерина в гистиоцитах и внеклеточной ткани (внеклеточный холестерол). В дальнейшем развиваются фиброзные изменения как в сосудах, так и в дерме.
Рекомендовано определение антинейтрофильных цитоплазматических антител класса IgA (ANCA), титр которых повышен у большинства больных.Необходимо исключить ассоциированные заболевания и осложнения - консультации ревматолога, онколога, офтальмолога, инфекциониста, гематолога.Все пациенты должны быть протестированны на ВИЧ-инфекцию, сифилис, вирусные гепатиты.
Erythema elevatum diutinum. Кольцевидная гранулема
Городская клиническая больница №14 им. В.Г. Короленко Департамента здравоохранения Москвы
ГКБ №14 им. В.Г. Короленко Департамента здравоохранения Москвы
Городская клиническая больница №14 им. В.Г. Короленко Департамента здравоохранения Москвы
Атипичная (подкожная) форма кольцевидной гранулемы у девочки 3 лет
Журнал: Клиническая дерматология и венерология. 2013;11(1): 42‑45
Гайнулин Ш.М., Гребенюк В.Н., Гришко Т.Н., Смольяникова В.А. Атипичная (подкожная) форма кольцевидной гранулемы у девочки 3 лет. Клиническая дерматология и венерология. 2013;11(1):42‑45.
Gaĭnulin ShM, Grebeniuk VN, Grishko TN, Smol'ianikova VA. Atypical (subcutaneous) granuloma annulare in a 3-year-old girl. Klinicheskaya Dermatologiya i Venerologiya. 2013;11(1):42‑45. (In Russ.).
Городская клиническая больница №14 им. В.Г. Короленко Департамента здравоохранения Москвы
Представлен клинический случай в связи с редкостью патологии. Обсуждаются подходы к терапии, так как хирургическое лечение не предотвращает появления новых образований, но приводит к появлению рубцов.
Городская клиническая больница №14 им. В.Г. Короленко Департамента здравоохранения Москвы
ГКБ №14 им. В.Г. Короленко Департамента здравоохранения Москвы
Городская клиническая больница №14 им. В.Г. Короленко Департамента здравоохранения Москвы
Кольцевидную гранулему (КГ) впервые описал в 1895 г. Calcott Fox («ringed eruption of the fingers»). Название заболевания было предложено Dr. Crocker (1902 г.) и не имеет ни одного синонима.
Являясь хроническим воспалительным гранулематозным заболеванием, КГ чаще возникает в детском возрасте [1—4]. Она составляет около 0,25% от общего числа всех дерматологических больных [5]. Причина заболевания неизвестна. Возможно, определенную этиологическую роль играют некоторые инфекции, иммунодефицит, введение вакцины БЦЖ, болезни желудочно-кишечного тракта, глистная инвазия, нарушение углеводного обмена, эндокринные расстройства, укусы насекомых. КГ рассматривают как иммуноаллергическую реакцию кожи на фокальные очаги хронической инфекции [2, 6, 7]. КГ может возникнуть на фоне болезни Лайма (клещевого боррелиоза).
Сыпь при этом дерматозе мономорфная [2, 7]. Ее представляют мелкие единичные или множественные, плотные, плоские или полушаровидные папулы диаметром 3—5 мм, розоватой окраски или телесного цвета, несколько возвышаются над поверхностью кожи. Вследствие периферического роста и слияния элементов сыпи образуются округлые или полицикличекие очаги, размеры которых достигают в диаметре 5 см и более [2, 3, 6, 7]. Центральная часть бляшек западает в процессе инволюции. Поверхность высыпаний гладкая и блестящая. Предпочтительной локализацией поражений является тыльная сторона кистей и стоп, реже высыпания располагаются на других участках кожного покрова. Течение — от нескольких месяцев до нескольких лет, возможны рецидивы [1, 2, 7]. Субъективные ощущения отсутствуют. При КГ возможно спонтанное разрешение сыпи, процесс которого обычно ускоряется после проведения биопсии [2].
Выделяют несколько клинических форм заболевания — локализованную, диссеминированную, подкожную (глубокую), перфорирующую, бляшечную, эритематозную, инфильтративную, туберозную и лихеноидную. Для гистологической картины КГ характерны эндотелиальная пролиферация (в дерме), околососудистая дегенерация коллагена с некрозом и некробиозом, а также отложение муцина, наличие инфильтрата из фибробластов, гистиоцитов, лимфоидных эпителиоидных клеток, единичных гигантских клеток, фиброз в поздних стадиях [4, 7]. Круг дифференциальной диагностики КГ включает ряд дерматозов, в частности мелкоузелковый саркоидоз, бугорковый сифилид, липоидный некробиоз, ревматические узелки, саркоидоз Дарье—Русси, центробежную кольцевидную эритему и стойкую возвышающуюся эритему, а также узловатую эритему [7, 8].
При мелкоузелковом саркоидозе сыпь рассеянная, обычно локализуется на лице, цвет синюшно-буроватый, элементы склонны к группировке и менее плотны, диаскопически определяется феномен «запыленности».
Бугорковый сифилид в отличие от КГ имеет темно-красный, буроватый цвет элементов cыпи, их фокусное расположение рассеянное, элементы расположены на лице и туловище, характерно частое изъязвление с исходом в мозаичные рубцы. Обычно отмечается положительная реакция крови на сифилис.
Липоидный некробиоз более чем в половине случаев обусловлен сахарным диабетом. Высыпания в виде плотных, блестящих, полушаровидных папул красновато-желтоватого или розовато-синюшного цвета. Увеличиваясь в размерах, они образуют бляшки разных очертаний. Со временем очаги склерозируются и атрофируются в центре. Предпочтительная их локализация — голени, стопы, предплечья.
Саркоидоз Дарье—Русси представлен одним или несколькими глубоко расположенными узлами размером 0,5—2,0 см. В ряде случаев они могут группироваться. Кожа в местах поражения не изменена.
Ревматоидные узелки и узлы чаще локализуются в области крупных суставов. Эффлоресценции большой величины и залегают более глубоко. Они плотные и болезненные при надавливании, наблюдаются у больных ревматизмом.
Возникновение кольцевидной центробежной эритемы связывают с фокальной инфекцией, заболеваниями желудочно-кишечного тракта, эндокринными расстройствами и другими причинами. Появляющиеся кольцевидные пятна диаметром 1—2 см центробежно разрастаются. Они имеют периферическую розовато-желтоватую, несколько возвышающуюся кайму, цианотический центр. Сливаясь между собой, пятна образуют полицикличекие очаги, которые часто через несколько месяцев самопроизвольно исчезают. Нередко бывают рецидивы. Erythema elevatum et diutinum (Crocker—Willian) проявляется множественными стойкими папулами и инфильтративными бляшками. Окраска их желтовато-коричневая или кирпично-красная. По периферии сыпи образуется плотный валик, а центр западает. Локализуются поражения обычно вблизи суставов на кистях, стопах, бедрах, реже — на ягодицах. Характерно упорное длительное течение. Через несколько месяцев возможно регрессирование очагов.
Узловатая эритема — острый дерматоз, редко встречается у детей, проявляется болезненными плотными узлами в диаметре 3—5 см, локализуется преимущественно на голенях и бедрах. Кожа над ними ярко-красная. Сыпь сопровождается лихорадкой, общей слабостью, недомоганием, артралгией. По мере инволюции патологического процесса наблюдается «цветение синяка». В среднем высыпания регрессируют в течение 1 мес под влиянием адекватной терапии.

Больная П., 3 года, с диагнозом узловатая эритема направлена на консультацию в ГКБ №14 им. В.Г. Короленко. Болеет около 1 года с того момента, когда на передней поверхности голеней образовались единичные безболезненные узелки величиной с вишневую косточку. После их хирургического удаления появились новые подобные элементы (рис. 1). Рисунок 1. (а, б). Послеоперационные рубцы у девочки 3 лет с глубокой формой КГ. При обращении к хирургу с предварительным диагнозом «ушиб» направлена на рентгенологическое исследование голени в двух проекциях. Заключение: форма, контуры, структура костей обычные; костных патологических изменений не выявлено. При повторном консультировании у хирурга через 2 мес в области средней трети обеих голеней обнаружены образования до 1,5—2,0 см в диаметре, безболезненные при пальпации. Диагноз не установлен, больная направлена на консультацию к онкологу. На основании рентгенографии костей был выставлен диагноз «фиброма мягких тканей обеих голеней». При ультразвуковом исследовании мягких тканей в правой голени, в средней трети подкожно определялись образования пониженной эхогенности округлой формы, однородной структуры размером 8×5×7 мм с четкими ровными краями и овоидной формы неоднородной структуры размером 10×5×9 мм. В мягких тканях левой голени в средней трети подкожно определялось образование овоидной формы, неоднородной структуры пониженной эхогенности размером 17×9×18 мм и верхней трети — аналогичное размером 12×5×13 мм. Выдано заключение: ультразвуковые признаки опухолей.
Через 3 нед оперативно удалены мягкотканные образования передней поверхности правой голени. Клинический диагноз: мягкотканное образование левого коленного сустава и передней поверхности левой голени.
Данные патогистологического исследования, проведенного в отделении клинической патологии №3 ГУЗ Смоленского областного института патологии: морфологические изменения мягких тканей обеих нижних конечностей близки к морфологии изменений при ювенильном хроническом полиартрите (синдром Стилла). Препараты докрашены по Ван-Гизону. Во всех исследуемых участках определяется однотипная морфологическая картина: множественные очаги деструкции соединительной ткани по Ван-Гизону дают гомогенное желтое прокрашивание, по периферии их располагается значительная клеточная инфильтрация, состоящая из гистиоцитов, лимфоидных клеток, фибробластов. При микроскопическом исследовании препаратов с левой и правой голени: в дерме очаги гранулематозного воспаления, представленные очагами некроза, на периферии которых — макрофаги с палисадообразным расположением ядер и малые лимфоциты. Продуктивный васкулит. Заключение: опухолевые клетки не обнаружены. Подобная морфологическая картина может наблюдаться при ревматизме и диффузных болезнях соединительной ткани.
В Первом Московском медицинском университете больная консультирована для исключения заболеваний из группы системных васкулитов. Самочувствие и температура тела нормальные. Общий анализ крови (от 06.12.11): L — 4,5 тыс., нейтрофилы — 41%, лимфоциты — 47%, скорость оседания эритроцитов — 8 мм, Э — 4%. На R-грамме коленных суставов — «концевой остеопороз». При осмотре пациентки самочувствие удовлетворительное, масса тела — 15 кг, признаки хронической интоксикации, гипертрофированные миндалины, подмышечные лимфатические узлы в диаметре до 2 см. На голенях слева — узелок диаметром 1 см, безболезненный, плотный. По органам — без патологий, при УЗИ — увеличение селезенки. Физиологические отправления не нарушены. Реакция Манту в 1 год — 8 мм. Заключение: данных за ювенильный ревматоидный артрит, васкулит не имеется. Рекомендуется исключить туберкулезную интоксикацию, мочевую инфекцию. Заключение из университетской детской больницы: рецидивирующие ревматоидные узлы в области голеней. Рекомендовано: макролиды — вильпрофен, нурофен (по 5 мл 2 раза в день), местно на область узлов наносить хондроитин мазь на ночь, на область коленных суставов — эмульгель вольтарен.

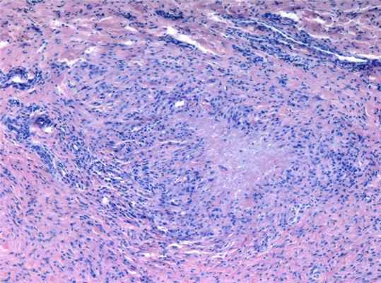
Трудности распознавания редких форм КГ сопряжены с неадекватной тактикой ведения больных, в частности, с хирургическим удалением патологических очагов. В описанном случае удаление узелковых образований в трех местах на голенях 3-летней девочке явилось тяжелой психической травмой, после которой ребенок испытывает страх перед врачами. В нескольких случаях КГ, наблюдавшихся нами ранее, врачи обычно прибегали к хирургическому удалению элементов сыпи, локализованных на голове, и у 5-летней девочки КГ была удалена вместе с клитором, на котором она располагалась. Патоморфологический анализ представленных препаратов (рис. 2): Рисунок 2. Патоморфологические изменения в операционном материале (окрашивание гематоксилином и эозином; ув. 100). в предоставленном материале — фрагменты дермы с участком подкожно-жировой ткани, эпидермис отсутствует, в фиброзированной строме обнаруживаются участки деструкции коллагеновых волокон, окруженных палисадообразным инфильтратом, преимущественно из гистиоцитов и лимфоцитов. Заключение: выявленные изменения характерны для КГ.
Для лечения КГ предложено много разных методов. Так, при локализованной форме предлагается вводить кортикостероиды непосредственно в очаг или применять их в виде кремов и мазей в сочетании с димексидом под окклюзионную повязку. Используют пункционную биопсию, скарификацию очагов, вводят в очаги физиологический раствор. Из физиотерапевтических способов лечения применяют деструктивные методы воздействия: криодеструкцию (орошения очагов хлорэтилом, замораживание снегом угольной кислоты), электрокоагуляцию, лазерную фотодеструкцию, рентгеновское облучение, в меньшей мере — ультразвук, электро- или фонофорез лекарственных средств, локальное отрицательное давление. С хорошими результатами используются низкоинтенсивные терапевтические лазеры [9]. Применяют также ультрафиолетовое облучение в субэритемных дозах.
Наш клинический диагноз КГ после осмотра больной был гистологически подтвержден. Редкий случай подкожной формы КГ представляет несомненный клинический интерес: за многие месяцы существования заболевание не было распознано, несмотря на многократные консультации в разных научно-практических медицинских учреждениях областного и федерального уровня.
ГРАНУЛЕМЫ
ГРАНУЛЕМЫ ГРАНУЛЕМЫ, ГРАНУЛЕМАТОЗ (от лат. granum—зерно и ота—приставка для обозначения опухолей), термины, обозначающие новообразовательные процессы в тканях, связанные с т. н. продуктивным воспалением (см.) их; следовательно Г. есть не опухоль в собственном смысле этого слова, а воспалительное разрастание ткани. Г. наблюдаются чаще всего при инфекц. заболеваниях хронич. и острого характера (tbc, сифилис, проказа, риносклерома, актиноми-коз,сап, брюшной и сыпной тифы, малярия, бешенство, острый ревматизм и др.). За некоторыми Г. установились определенные обозначения; так, ту б. Г.называют бугорками (туберкулами), сифилитические Г.—сифилема-ми, гуммами. Иногда Г. носят имена авторов, описавших их; так, говорят об Ашофских (Aschoff) узелках миокарда при остром ревматизме, о Дюрковских (Durck) Г. в мозгу при тропической малярии, о nodules rabf-ques Babes'а при бешенстве и т. д.; термин «granuloma malignum» нек-рые применяют по отношению к лимфогранулематозу. Помимо такого рода инфекционных Г., характерных для тех или иных общих инфекций и не имеющих в отдельности самодовлеющего значения, в патологии существует еще несколько особых типов Г., представляющих собой до известной степени изолированные страдания, т. е. как бы самостоятельные нозологические единицы; так/ говорят о g. (mycosis) fungoides, g. teleangiectodes (см. Ботриомикоз), g. inguinale tropicum, Г. спи-нальной, Г. апикальной (верхушки корня зуба) и т. п.—В еличина Г. колеблется от едва заметной, а иногда и незаметной для невооруженного глаза точки (милиарные и субмилиарные Г.) до размеров яблока или детской головки.—Форма Г. чаще округлая, иногда неправильная, разветвленная. Г. обычно представляются более плотными по сравнению с окружающими тканями, при чем плотность прямо пропорциональна давности Г. и объясняется значительным развитием в месте Г. и вокруг нее плотной соединительной ткани. Механизм развития (формальный генез) Г. варьирует в зависимости от характера тканей и этиологического фактора. Обычно сначала имеет место поражение стенки сосуда (капиляров, мелких вен, артерий, лимфатических сосудов), и затем вокруг последнего из местных тканевых элементов развивается гранулема (см. Воспаление, Грануляционная ткань). В более редких случаях Г. возникают полностью в эпителиальных комплексах (например бугорки в просветах семенных канальцев, в фоликулах щитовидной железы), участие же сосудов и вообще мезенхимных элементов сказывается лишь позднее и незначительно.—Т е ч е н и е и исход Г. Новообразованные клетки со временем (различным для разных Г.) подверга- ются ожирению, некробиозу и распаду, особенно в центрах Г.; сюда относится т.н. творожистый распад в бугорках, гуммах. С другой стороны, развивается плотная соединительная ткань, особенно по периферии Г.; иногда вся Г. претерпевает такое фиброзное превращение. Некробиотические процессы в Г. нередко обусловливаются резкими изменениями сосудов, питающих область Г. (см. Гумма). Окружающие Г. части органа могут испытывать давление, стяжение, перешнуровку и связанные с ними атрофические и дегенеративные процессы со стороны паренхимы, явления стеноза и т. п. Нередко центр. части Г. подвергаются гнойному расплавлению (актиномикоз, сап). Указанные этапы развития сопровождаются изменениями ма-кроскопич. свойств Г.: из серого или серо-красного узелка (вначале) она превращается в бледножелтоватый (липоидная инфильтрация, некроз), а затем в бледносерый или белый фокус (рубец). При пышном развитии сосудов (напр. в эпулидах, при ботриоми-козе) Г. сохраняют розово-красный цвет, напоминающий ангиому; впрочем сходство с ангиомой может быть весьма значительным и микроскопически. Каузальный генез Г. изучают, применяя различные методы обработки их на бактерии; бактериоскопические, а иногда бактериологич. методы в некоторых случаях бывают тем более необходимы, что гистологически Г. могут быть сходными и даже тождественными при самых различных заболеваниях (напр. при tbc, сифилисе, проказе). — Г. могут иногда принимать необычное течение, симулируя своей величиной, быстрым ростом, множественностью или системным распространением (например по лимф, железам, рет.-энд. аппарату), а также и общими явлениями (изменениями со стороны крови, кахексией) — типичные злокачественные опухоли. Классическим представителем такой злокачественной гранулемы является лимфогранулематоз (см.).-—О гранулемах при различных заболеваниях—см. эти последние. и. Давыдовский. Granuloma annulare, кольцевидная гранулема, lichen annularis, helodermia simplex et annularis, celluloma annulare, хроническое заболевание кожи, которое характеризуется образованием плотных узелков, величиной от просяного зерна до горошины, телесного или тусклорозового цвета; эти узелки располагаются вследствие эксцентрического роста и возникновения новых элементов кругами или в виде колец. G. annulare представляет резко ограниченные, плосковозвышенные, круглой или продолговатой формы, глубоко сидящие в коже, не спаянные с подлежащими тканями узелки, к-рые чаще всего развиваются на тыльной стороне кисти и пальцев рук, особенно в области суставов, но могут возникать на локтях, предплечьях и стопах, голенях, бедрах, ягодицах, ушах, затылке и как исключение на лице. Узелки никогда не изъязвляются. Кожа в центре круга или кольца обычно нормальна, редко наблюдается атрофия. Субъективные ощущения отсутствуют. Б-нь встречается чаще у женщин и детей. G. annulare развивается медленно и тянется месяцы и даже годы. Наблюдалось самостоятельное, без лечения, рас- сасывание узелков без образования рубца и появление рецидивов.—Описанная Крок-кером и Вильямсом (Crocker, Williams) erythema elevatum diutinum—хрон. кожная болезнь, характеризующаяся наличием резко ограниченных, вогнутых узелков, не образующих кольцевидных форм, представляет очевидно редкую разновидность G, annulare. При гистологическом исследовании находят в глубоких и средних слоях кожи фо-кусно располагающийся клеточный инфильтрат, состоящий из фибробластов, эпителио-идных и лимфоидных клеток. Наличие гигантских клеток отмечено в единичных случаях; значительно чаще наблюдаются некрозы коллагеновых волокон и клеток Г. Сосуды расширены, утолщены, вокруг них—мелкоклеточная инфильтрация. Эластич. ткань в гнездах инфильтрата отсутствует.—Этиология G. annulare неясна. Большинство авторов видит причину болезни в tbc, однако не представляя для этого достаточно убедительных доказательств. Никому не удалось найти туб. палочек в срезах, и прививки пораженной ткани свинкам дали отрицательные результаты. Для терап. целей рекомендуют радий, мезоторий, рентген, мышьяк, сальварсан, салициловые препараты, рассасывающие и шелушащие мази, криотерапию (выжигание снежной углекислотой—40 секунд при умеренном давлении). Лит.: Розентул М., Случай granuloma annulare, Венерология и дерматология, 1925, № 3; С о-болева Л., К вопросу о granuloma annulare и ее отношении к туберкулезу, Труды Харьковского венерологического института, Харьков, 1927; Crocker Н. and Williams С, Erythema elevatum diutinum, Brit, journ. of dermatology, v. VI, 1894; С a 1 1 о m о n V., Granuloma annulare bei Mutter und Tochter, Dermatologiscne Wochenschrift, Band LXXXII, 1926. M. Роаентуп. Г. зубная (син. Г. корневая), ограниченный участок грануляционнойткани, р асполо-женный как правило у верхушки корня зуба с омертвевшей пульпой. Зубная Г. представляет собой проявление хрон. воспаления, возникающего в тканях, окружающих верхушку корня, под влиянием проникания в них из корневого канала микроорганизмов и их токсинов, продуктов распада ткани пульпы и остатков пищи, а также пломбировочных материалов и медикаментов. Зубная Г. возникает в ткани перицемента (надкостнице корня)—в области верхушечного отверстия—в виде круглоклеточного очага; зона клеточной пролиферации постепенно расширяется, захватывая новые участки перицемента и распространяясь также на костный мозг в области дна ячейки. Вследствие рассасывания костных балочек, в области дна ячейки сначала образуется участок разрежения кости, а позже—лишенный костных перекладин очаг грануляц. ткани; другими словами, имеет место ограниченный рарифи-цирующий остит (см. отд. табл., рис. 3). Зрелая зубная Г. состоит из грануляционной ткани собственно и периферич. волокнистой капсулы; волокна последней непосредственно переходят в ткань перицемента, вследствие чего при экстракции корня нередко удаляется и Г. Ткань собственно зубной Г. характеризуется обилием плазматических клеток, а также присутствием крупных «макрофагов»—клеток, протоплазма которых, в порядке резорптивного ожирения, набита мелкими зернами двоякопреломляющих липоидов (холестерин-эстеры). Среди этих элементов расположены разнообразные клетки гистиогенного и гематогенного происхождения: в долго существующих гранулемах, в условиях затлхшего воспалительного процесса, — преимущественно фиксированные элементы [см. цветн.табл.(т.УН, ст.679—680), рис.3] фибробластич. ряда, а в случаях обострений воспаления—с преобладанием лейкоцитарной инфильтрации, нередко превращающей Г. в абсцес.—Кроме простых зубных Г., состоящих только из соединительнотканных элементов, различают эпителиальные гранулемы, ткань к-рых б. или м. пронизана тяжами эпителия (см. отд. таблицу, рис. 1), икистовидные гранулемы, характеризующиеся присутствием выстланных эпителием полостей (см. отд. табл., рис. 2). Последние, появляясь обычно в центре Г., могут возникать в результате а) перерождения центральных участков массивных тяжей эпителия с последующим расщеплением их (см. отд. табл., рис. 1) и б) распада грануляционной ткани, напр. в процессе нагноения; в этом случае образовавшаяся полость последовательно выстилается эпителием путем разрастания ближайшего к полости эпителиального тяжа. В результате регрессивных процессов в ткани гранулемы появляется белковый и жировой детрит. При распаде детрита выпадают кристаллы холестерина, являющиеся характерной составной частью содержимого полостей кистевидных Г. и корневых кист (см. отд. табл., рис. 2). Эпителий в Г. построен по типу Мальпигиева слоя покровного эпителия полости рта; исключением является изредка находимый в Г. на верхней челюсти цилиндрический эпителий, появляющийся в результате воспалительного разрастания слизистой Гайморовой полости. По вопросу о происхождении эпителия Г. существуют две теории: 1) теория разрастания т. н. «debris epitheliauxparadentaires», островков эмбрионального эпителия, залегающих в перице-менте всех зубов, и 2) теория разрастания покровного эпителия полости рта. Наиболее обоснованной считается первая теория. При благоприятных условиях, создающихся в результате лечения корней, а иногда самопроизвольно, зубные Г. подвергаются обратному развитию. В порядке организации ткани зубной Г. происходит новообразование костных перекладин, и может иметь место восстановление нормальной архитектуры в области дна ячейки. С точки зрения учения о т. н. ротовом сепсисе зубные Г. рассматриваются как скрытые инфекционные очаги, из которых микроорганизмы могут поступать в общий кровяной ток. Эпителиальные и кистевидные Г. являются предварительным стадием развития зубных кист (см.).—Клинически зубные Г. как правило ничем себя не проявляют или дают неопределенные симптомы хрон. воспаления надкостницы корня; чаще всего они обнаруживаются только при обострениях воспалительного процесса.—Д и а г н о з зубной Г. обычно ставится на основании рентгенограммы, дающей картину упомянутого
Рисунок 1. Эпителиальная гранулема: / расщепление эпителиального тяжа и образование щелевидной полости: 2 тяжи эпителиальной ткани; 3 островки грануляционной ткани. Рисунок 2. Кистовидная гранулема: / — тяжи эпителия; 2 полость гранулемы, в содержимом которой находится большое количество кристаллов холестерина; 3 эпителиальная выстилка полости; 4 корень зуба (с препарата автора). Рисунок 3. Зубная гранулема in situ (трупный материал): /пернцемент; 2 костные стенки альвеолы; 3 -фиброзная капсула гранулемы, переходящая в пернцемент (вследствие наличия гранулемы и рассасывания костной ткани в области дна альвеолы в перпапикальном губчатом костном веществе образовалось лишенное костных балочек пространство, выполненное тканью гранулемы); 4 -гранулема; 5- корень зуба. Рисунок 4. Голова медузы (no Mohr- Stehelin'y)- К СТ. Гранулемы, Голова медузы. выше ограниченного периапикального (у верхушки корня) рарифицирующего остита.—Лечение зубной Г.: а) консервативное—по общим правилам лечения гангренозных корней зубов, мало надежное, и б) преимущественно применяющееся, хирургическое—операция резекции (см.) верхушки корня, удаляемой вместе с зубной Г. Лит.: Абрикосов А., Патологическая анатомия полости рта и зубов, М., 1914;Р ывкинд А., Патологическая гистология зубных гранулем, Журнал одонтологии и стоматологии, 1924, № 1—2; Р ы в-киндА. и Данилевский А., Патология и клиника хронического апикального парадентита, М., 1928; Лукомский И., Одонтогенные опухоли, М., 1927; S i e g m u n d H. u. W e b e г R., Patho-logische Histologie der Mundhohle, Lpz., 1926; Hndb. der Zahnheilkunde, hrsg. v. C. Partscli, С Brulm und A. Kantorowicz, B. I, Miinchen, 1924. А. Рывкинд. Granuloma venereum (granuloma inguinale), хроническое инфекционное язвенное или ве-гетирующее порая-сение кожи половых органов и смежных областей, встречающееся преимущественно в тропических странах (например Новая Гвинея, где случаи G. venereum очень часты). Различают три формы G. venereum: 1) язвенную, 2) гипертрофическую— папилематозную и 3) смешанную. Грануляции легко кровоточат, болезненны и иногда вызывают зуд. Изредка наблюдаются гнойные бубоны. Инкубация от 8 дней до 2 мес. Возможно внепо-ловое заражение. RW—отрицательна. Для заражения необходим дефект эпидермиса. Общее состояние мало нарушается. Болезнь тянется годами. Иногда наступает смертельный исход в связи с генерализацией процесса: поражаются печень, легкие, селезенка, костная система, брюшина, или наступает сепсис при глубоких разрушениях ткани мошонки, промежности и прямой кишки. Возбудитель G. venereum, открытый Донованом (Donovan; 1905) и благодаря образованию капсулы названный Calymmatobacterium granulomatis (Aragao), является полиморфной бактерией—окруженный капсулой кокк или бацил, располагающийся внутри макрофагов, легко определяющийся в секрете и срезах, Грам-отрицателен; красится по Гим-за и СагЬоШиошп'ом, растет на асцит-агаре, картофеле, желатину не разжижает, свертывает молоко. Животные гибнут при вну-трибрюшинном введении культуры через 24—48 часов, анатомически не обнаруживая Г. Гистологически G. venereum представляет грануляционную ткань с обилием плазматических клеток (плазмома) без гигантских и эпителиоидных клеток с резким акан-тозом эпителия. Нередки значительные атипические разрастания эпителия, что давало повод к неправильному диагнозу рака. Специфическим лечением является внутривенное введение 5 —10 см 3 1-процентного водного раствора Tartarus stibiatus. Сальварсан бессилен. Лит.: Mayer M. u. da Rocha-Lima H., Venerisches Granuloma (Hndb. d. Haut-и. Geschlechts-krankbeiten, hrsg. v. J. Jadassohn, B. XXI, Berlin, 1927); Sutton R., Diseases of the skin, p. 1093, London, 1926. M. Розентул.
Читайте также:
