Эзофагоскопия при трахеопищеводном свище.
Добавил пользователь Владимир З. Обновлено: 13.12.2025
Врожденный трахеопищеводный свищ диагностируется у 1 из 3000 новорожденных. Изолированные фистулы составляют не более 3-4% всех аномалий развития пищевода; чаще всего они располагаются на уровне VII шейного- I грудного позвонков.
Проблема профилактики и лечения трахеопищеводных свищей актуальна для педиатрии, анестезиологии и реаниматологии, торакальной хирургии.
Классификация
По своему происхождению трахеопищеводные свищи могут быть врожденными или приобретенными в процессе жизни. Различают 5 типов врожденных трахеопищеводных свищей, обозначаемых римскими знаками:
– оба конца атрезированного пищевода слепые, проксимальный конец пищевода сообщается с трахеей в верхней ее части;
- оба конца атрезированного пищевода слепые, проксимальный конец пищевода сообщается с трахеей в нижней ее части;
– атрезия проксимального отрезка пищевода; дистальный конец пищевода соединяется с дыхательной трубкой в нижней ее части. Составляет большинство случаев врожденных трахеопищеводных свищей;
- атрезия проксимального отрезка пищевода; оба конца пищевода (проксимальный и дистальный) соединяются с трахеей на разных уровнях.
Этиология
Может быть послеоперационной, поствоспалительной, посттравматической, постинтубационной, опухолевой.
По наличию/отсутствию клапанного механизма трахеопищеводные свищи подразделяются на клапанные и бесклапанные. При единственном дефекте говорят об изолированном свище, при сочетании с другими патологическими процессами трахеи или пищевода – о сочетанном.
Клиническое течение может быть неосложненным, гладким или осложненным различными состояниями (аспирационной пневмонией, нутритивной недостаточностью и кахексией, бактериальной деструкцией легких, пневмогенным сепсисоми т. д.).
Причины
Врожденный трахеопищеводный свищ образуется к 4-6-й неделе эмбриогенеза при неполном разделении первичной кишки и дыхательной трубки. При рождении дети с данной аномалией обычно имеют массу тела менее 2500 г.
Природа происхождения приобретенных трахеоэзофагеальных фистул может быть различной. Чаще всего с такой патологией приходится сталкиваться онкологам, а сами свищи возникают в результате далеко зашедшего рака пищевода или трахеи, лимфом, лимфогранулематоза.
Второй по распространенности причиной служат травмы пищеварительной и дыхательной трубки (в том числе их ятрогенные повреждения), полученные при проведении эзофагоскопии, бужировании пищевода, перфорации пищевода или трахеи инородными телами, вследствие химических ожогов пищевода, при закрытых и проникающих ранениях шеи и груди. Возможно непреднамеренное повреждение трахеи и пищевода при операционных вмешательствах в этой области.
В анестезиолого-реанимационной практике отмечены случаи образования пролежней от трахеостомической или интубационной трубки, приводящие к формированию трахеопищеводного свища.
К числу редких причин относят перфорацию дивертикула пищевода в трахею. Трахеопищеводный свищ может явиться осложнением неспецифической бактериальной инфекции (эмпиемы плевры, абсцесса легкого, гнойного медиастинита) или специфических воспалительных процессов (туберкулеза внутригрудных лимфатических узлов, сифилиса, актиномикоза).
Симптомы
Клиническая картина, ее выраженность и особенности зависят от времени возникновения, размеров, типа, направления хода трахеопищеводного свища. Большинство детей с данной аномалией рождаются недоношенными, а доношенные новорожденные имеют признаки внутриутробной гипотрофии. Во время гестации у беременных отмечается многоводие.
Признаки врожденного трахеопищеводного свища с атрезией пищевода появляются уже через несколько часов после рождения. Возникает кашель, приступы удушья, вздутие живота. Во время первого же кормления диагноз становится очевиден. Каждый глоток молока или воды сопровождается приступом кашля, выделением пенистой слизи из носа и рта ребенка. Дыхание затрудняется, развивается резкий цианоз и аритмия, в легких выслушиваются обильные крупнопузырчатые хрипы. Рано присоединяется аспирационная пневмония и ателектазы легких. Состояние ребенка прогрессивно ухудшается.
Наиболее выражены перечисленные признаки при широком и коротком трахеопищеводном свище. При наличии узкого и длинного свищевого хода аномалия долгое время нередко остается нераспознанной. Изредка при кормлении возникает поперхивание и несильный кашель, однако изменение позы кормления избавляет ребенка от приступов, поэтому родители не придает этому факту должного значения. Такие дети страдают частыми пневмониями.
У 40% новорожденных с трахеопищеводным свищом выявляются сопутствующие врожденные пороки сердца, аномалии развития кишечника и мочевыводящих путей. В литературе описан синдром VATER, включающий в себя аномалии развития позвоночника (клиновидные позвонки), атрезию заднего прохода, трахеопищеводный свищ, гипоплазию лучевой кости и дисплазию почек.
Приобретенный трахеопищеводного свищ манифестирует кашлем, удушьем, цианозом, связанными с приемом пищи. В откашливаемом секрете можно обнаружить кусочки еды. При клапанной трахеоэзофагеальной фистуле кашель может отсутствовать.
Нередко у больных отмечаются боли в груди и эпигастрии, кровохарканье, рвота с примесью крови, одышка, нарушение фонации, снижение массы тела. Во всех случаях трахеопищеводный свищ сопровождается периодическими подъемами температуры, рецидивирующими легочными инфекциями.
Диагностика
При подозрении на трахеопищеводный свищ пациент нуждается в консультации торакального хирурга, гастроэнтеролога, детского хирурга, эндоскописта, рентгенолога.
На первичном этапе используется зондирования пищевода с помощью резинового катетера: если продвижению катетера мешает сопротивление слепого конца пищевода, а при введении в катетер жидкости, окрашенной метиленовым синим, она при кашле выделяется через рот или нос, вероятность трахеопищеводного свища оценивается как очень высокая.
Лучевое исследование включает выполнение рентгеноскопии и рентгенографии легких, эзофагографии,
МСКТ грудной клетки. Контрастное исследование пищевода проводят очень осторожно, используя водорастворимые или масляные вещества, которые вводятся через зонд (применение сульфата бария в этих случаях недопустимо). Трахеопищеводный свищ требует проведения тщательной дифференциальной диагностики с изолированной атрезией и стенозом пищевода, ахалазией кардии, дисфагией различного генеза.
Эндоскопическая диагностика трахеопищеводного свища остается основной. Для лучшей визуализации патологического соустья и получения максимальной информации о его особенностях, выполняется эзофагоскопия и трахеобронхоскопия. При критическом стенозе трахеи диагностическая трахеоскопия может быть трансформирована в лечебную процедуру путем эндоскопического восстановления просвета трахеи или стентирования стенозированного участка.
Лечение
Лечение трахеопищеводных свищей проводится хирургическим путем, консервативная терапия малоперспективна и используется только на этапе подготовки к оперативному вмешательству. С целью удаления скапливающегося секрета производится установка катетера в слепо заканчивающийся конец пищевода, выполняются санационные бронхоскопии.
В рамках лечения аспирационной пневмонии назначается оксигенотерапия, антибактериальная и инфузионная терапия, УВЧ на грудную клетку. Для предотвращения попадания пищи в трахеобронхиальное дерево полностью прекращается кормление через рот, осуществляется гастростомия, нутритивная поддержка, витаминотерапия.
Варианты радикального хирургического устранения трахеопищеводного свища могут быть различны. Операция обычно производится из шейного доступа или заднебоковой торакотомии. Длинный свищевой ход выделяют и пересекают между двумя наложенными лигатурами. Дефекты в стенках пищевода и трахеи ушивают погружными швами. При коротком и широком свищевом ходе трахею отсекают от пищевода, после чего на оба дефекта накладывают непрерывный двухрядный шов. Для закрытия дефекта могут использоваться аутоткани (сальник или стенка желудка)
В тех случаях, когда трахеопищеводный свищ сочетается со стенозом трахеи либо атрезией пищевода, производится разобщение свища с одномоментной циркулярной резекцией или пластикой трахеи и/или одномоментной пластикой пищевода. Если имеется большой диастаз между проксимальным и дистальным сегментами пищевода, не позволяющий наложить анастомоз «конец-в конец», верхний отдел пищевода выводят на шею, свищ разобщают и на этом операцию заканчивают. В межоперационный период питание больного осуществляют через гастростому. На втором этапе производят пластику пищевода желудочным или тонкокишечным трансплантатом. При трахеопищеводных свищах, обусловленных распадом раковой опухоли, ограничиваются паллиативной гастростомией.
В послеоперационном периоде продолжается активная противопневмоническая терапия. В первые сутки осуществляется парентеральное питание, затем – кормление через зонд, который оставляют на 7-10 суток.
Из послеоперационных осложнений возможны стенозы в области пищеводных анастомозов, которые подлежат бужированию, и рецидивы свища, требующие повторной операции.
Летальность при оперативном лечении трахеопищеводного свища составляет 10-15% и связана, главным образом, с исходно тяжелым состоянием пациента. В то же время при отказе от операции показатели летальности возрастают до 80-90%
Публикации в СМИ
Врождённый трахеопищеводный свищ — отсутствующий в норме канал, выстланный грануляционной тканью или эпителием и соединяющий просвет пищевода с просветом трахеи; аномалия развития.
Классификация • Свищевой ход короткий и широкий (наблюдают чаще всего) • Свищевой ход узкий и длинный • Пищевод и трахея на протяжении имеют одну общую стенку • Пищевод и трахея на протяжении сливаются и представляют из себя одну трубку.
Клиническая картина. Клинические симптомы проявляются в большинстве случаев после первых кормлений, интенсивность их зависит от варианта порока развития • Широкий и короткий свищ — кормление новорождённого почти всегда сопровождается приступом кашля, цианозом, пенистыми выделениями изо рта. Быстро развивается аспирационная пневмония. После еды количество влажных крупнопузырчатых хрипов в лёгких увеличивается. Кормление ребёнка в вертикальном положении уменьшает возможность затекания молока через свищевой ход в трахею, и кашель возникает реже, не сопровождаясь цианозом • Узкий и длинный свищевой ход не проявляется в период новорождённости. При кормлении изредка возникают несильные приступы кашля. Родители обычно не придают им значения, т.к. кормление ребёнка в определённом положении избавляет его от приступов. Новорождённые часто болеют пневмонией • Большое соустье проявляется при первом кормлении. Каждый глоток жидкости вызывает приступ кашля. Нарушение дыхания бывает продолжительным, сопровождается резким цианозом. Общее состояние прогрессивно ухудшается из-за тяжёлой пневмонии и ателектазов лёгких.
Специальные методы исследования • Рентгенологическое исследование • Эзофагоскопия. При введении эзофагоскопа и осмотре пищевода свищевой ход становится заметным по выделяющимся из него в такт дыхания мелким пузырькам воздуха. Узкий и длинный свищ обычно при эзофагоскопии не виден • Трахеобронхоскопия. На глубине 7–8 см, обычно выше бифуркации трахеи на 2–3 см по заднеправой её поверхности, обнаруживают щелевидный дефект. Бронхоскопия облегчается при введении в пищевод 1% р-ра метиленового синего. Появление р-ра метиленового синего в трахее подтверждат диагноз.
ЛЕЧЕНИЕ. Единственный метод лечения — хирургический.
Предоперационная подготовка начинается сразу после выявления трахеопищеводного свища • Полностью исключают кормление через рот, вводят желудочный зонд, удаляемый после каждого кормления • С первого дня начинают активное противопневмоническое лечение (антибиотики, оксигенотерапия, УВЧ на грудную клетку, внутривенное введение препаратов крови, плазмы, витаминов и т. д.).
Способы оперативного лечения • При наличии длинного свищевого хода последний выделяют, перевязывают двумя лигатурами и пересекают между ними. На пищевод и трахею накладывают один ряд погружных швов • При широкой и короткой фистуле пищевод отсекают от трахеи и оба отверстия закрывают двухрядным непрерывным швом, причём пищевод ушивают в поперечном направлении • При ликвидации трахеопищеводного свища, при котором оба органа имеют на некотором протяжении общую стенку (обычно 0,5–0,7 см), пищевод пересекают в двух местах. Образовавшееся на трахее отверстие ушивают, а затем восстанавливают непрерывность пищевода путём создания анастомоза конец в конец.
Послеоперационное ведение • Активная противопневмоническая терапия • Первые 10–12 ч — парентеральное питание, затем кормление через тонкий зонд, оставленный после операции. Зонд удаляют на 6–7 сут, после создания анастомоза кормление через зонд проводят в течение 9–10 дней • В случае выявления сужения в области ликвидированного свища следует провести курс бужирования не раньше чем через месяц после хирургического вмешательства.
Прогноз благоприятный в случае своевременного выполнения оперативного лечения.
МКБ-10 • Q39.2 Врождённый трахеально-пищеводный свищ без атрезии
Код вставки на сайт
Cвищ трахеопищеводный врождённый
Врождённый трахеопищеводный свищ — отсутствующий в норме канал, выстланный грануляционной тканью или эпителием и соединяющий просвет пищевода с просветом трахеи; аномалия развития.
Классификация • Свищевой ход короткий и широкий (наблюдают чаще всего) • Свищевой ход узкий и длинный • Пищевод и трахея на протяжении имеют одну общую стенку • Пищевод и трахея на протяжении сливаются и представляют из себя одну трубку.
Клиническая картина. Клинические симптомы проявляются в большинстве случаев после первых кормлений, интенсивность их зависит от варианта порока развития • Широкий и короткий свищ — кормление новорождённого почти всегда сопровождается приступом кашля, цианозом, пенистыми выделениями изо рта. Быстро развивается аспирационная пневмония. После еды количество влажных крупнопузырчатых хрипов в лёгких увеличивается. Кормление ребёнка в вертикальном положении уменьшает возможность затекания молока через свищевой ход в трахею, и кашель возникает реже, не сопровождаясь цианозом • Узкий и длинный свищевой ход не проявляется в период новорождённости. При кормлении изредка возникают несильные приступы кашля. Родители обычно не придают им значения, т.к. кормление ребёнка в определённом положении избавляет его от приступов. Новорождённые часто болеют пневмонией • Большое соустье проявляется при первом кормлении. Каждый глоток жидкости вызывает приступ кашля. Нарушение дыхания бывает продолжительным, сопровождается резким цианозом. Общее состояние прогрессивно ухудшается из-за тяжёлой пневмонии и ателектазов лёгких.
Специальные методы исследования • Рентгенологическое исследование • Эзофагоскопия. При введении эзофагоскопа и осмотре пищевода свищевой ход становится заметным по выделяющимся из него в такт дыхания мелким пузырькам воздуха. Узкий и длинный свищ обычно при эзофагоскопии не виден • Трахеобронхоскопия. На глубине 7–8 см, обычно выше бифуркации трахеи на 2–3 см по заднеправой её поверхности, обнаруживают щелевидный дефект. Бронхоскопия облегчается при введении в пищевод 1% р-ра метиленового синего. Появление р-ра метиленового синего в трахее подтверждат диагноз.
ЛЕЧЕНИЕ. Единственный метод лечения — хирургический.
Предоперационная подготовка начинается сразу после выявления трахеопищеводного свища • Полностью исключают кормление через рот, вводят желудочный зонд, удаляемый после каждого кормления • С первого дня начинают активное противопневмоническое лечение (антибиотики, оксигенотерапия, УВЧ на грудную клетку, внутривенное введение препаратов крови, плазмы, витаминов и т. д.).
Способы оперативного лечения • При наличии длинного свищевого хода последний выделяют, перевязывают двумя лигатурами и пересекают между ними. На пищевод и трахею накладывают один ряд погружных швов • При широкой и короткой фистуле пищевод отсекают от трахеи и оба отверстия закрывают двухрядным непрерывным швом, причём пищевод ушивают в поперечном направлении • При ликвидации трахеопищеводного свища, при котором оба органа имеют на некотором протяжении общую стенку (обычно 0,5–0,7 см), пищевод пересекают в двух местах. Образовавшееся на трахее отверстие ушивают, а затем восстанавливают непрерывность пищевода путём создания анастомоза конец в конец.
Послеоперационное ведение • Активная противопневмоническая терапия • Первые 10–12 ч — парентеральное питание, затем кормление через тонкий зонд, оставленный после операции. Зонд удаляют на 6–7 сут, после создания анастомоза кормление через зонд проводят в течение 9–10 дней • В случае выявления сужения в области ликвидированного свища следует провести курс бужирования не раньше чем через месяц после хирургического вмешательства.
Прогноз благоприятный в случае своевременного выполнения оперативного лечения.
МКБ-10 • Q39.2 Врождённый трахеально-пищеводный свищ без атрезии
Трахеопищеводный свищ, как ятрогенное осложнение политравмы, проявления, диагностика, лечение Текст научной статьи по специальности «Клиническая медицина»
ЯТРОГЕНИЯ / ПОРАЖЕНИЕ ТРАХЕИ И ПИЩЕВОДА / ТРАХЕОПИЩЕВОДНЫЙ СВИЩ / ПОЛИТРАВМА / ДТП / НАЗОГАСТРАЛЬНЫЙ ЗОНД / ЧЕРЕПНО-МОЗГОВАЯ ТРАВМА / IATROGENIA / TRACHEA AND ESOPHAGUS DAMAGE / TRACHEOESOPHAGEAL FISTULA / POLYTRAUMA / CAR ACCIDENT / NASOGASTRIC TUBE / CRANIOCEREBRAL INJURY
Аннотация научной статьи по клинической медицине, автор научной работы — Морозов Артем Михайлович, Мохов Евгений Михайлович, Кадыков Виктор Алексеевич, Ольшевская Анна Сергеевна, Духанина Мария Владимировна
Представлен случай политравмы , полученный в результате ДТП , осложненный развитием трахеопищеводного свища (ТПС) при длительной вентиляционной поддержке. В статье описаны клинические проявления, методы диагностики и средства паллиативной терапии данной патологии. Несмотря на проводимое комплексное лечение, наличие ТПС у пациента привело к ухудшению состояния, что в совокупности объема полученных травм и различных осложнений привело к летальному исходу.
Похожие темы научных работ по клинической медицине , автор научной работы — Морозов Артем Михайлович, Мохов Евгений Михайлович, Кадыков Виктор Алексеевич, Ольшевская Анна Сергеевна, Духанина Мария Владимировна
Транспищеводная интубация трахеи при операции по поводу трахеопищеводного свища в сочетании с двухуровневым рубцовым стенозом трахеи
Интенсивная терапия пациента с вирусно-бактериальной пневмонией, длительной вентиляцией (137 сут) и трахеопищеводным свищом (клиническое наблюдение)
TRACHEOESOPHAGEAL FISTULA AS AN IATROGENIC COMPLICATION OF POLYTRAUMA, MANIFESTATIONS, DIAGNOSIS, TREATMENT
A case of polytrauma caused by car accident complicated by the development of tracheoesophageal fistula (TPS) with prolonged ventilation support is presented. The article describes clinical manifestations, diagnostic methods, and palliative therapy of this pathology. Despite complex treatment, the presence of TEF in the patient led to worsening of the condition, which in complex with number of other injuries and various complications led to death.
Текст научной работы на тему «Трахеопищеводный свищ, как ятрогенное осложнение политравмы, проявления, диагностика, лечение»
© МОРОЗОВ А. М., МОХОВ Е. М., КАДЫКОВ В. А., ОЛЬШЕВСКАЯ А. С., ДУХАНИНА М. В., ПАХОМОВ М. А. УДК 616.321+616.329-007.253 DOI: 10.20333/2500136-2020-1-84-88
Трахеопищеводный свищ, как ятрогенное осложнение политравмы, проявления, диагностика, лечение
А. М. Морозов, Е. М. Мохов, В. А. Кадыков, А. С. Ольшевская, М. В. Духанина, М. А. Пахомов Тверской государственный медицинский университет, Тверь 170100, Российская Федерация
Резюме. Представлен случай политравмы, полученный в результате ДТП, осложненный развитием трахеопищеводного свища (ТПС) при длительной вентиляционной поддержке. В статье описаны клинические проявления, методы диагностики и средства паллиативной терапии данной патологии. Несмотря на проводимое комплексное лечение, наличие ТПС у пациента привело к ухудшению состояния, что в совокупности объема полученных травм и различных осложнений привело к летальному исходу.
Ключевые слова: ятрогения, поражение трахеи и пищевода, трахеопищеводный свищ, политравма, ДТП, назогастральный зонд, черепно-мозговая травма.
Конфликт интересов. Авторы декларируют отсутствие явных и потенциальных конфликтов интересов, связанных с публикацией настоящей статьи.
Для цитирования: Морозов АМ, Мохов ЕМ, Кадыков ВА, Ольшевская АС, Духанина МВ, Пахомов МА. Трахеопищеводный свищ, как ятрогенное осложнение политравмы, проявления, диагностика, лечение. Сибирское медицинское обозрение. 2020;(1):84-88 DOI: 10.20333/2500136-2020-1-84-88
Tracheoesophageal fistula as an iatrogenic complication of polytrauma, manifestations, diagnosis, treatment
A. M. Morozov, E. M. Mokhov, V. A. Kadykov, A. S. Olshevskaya, M. V. Dukhanina, M. A. Pakhomov Tver State Medical University, Tver 170100, Russian Federation
Abstract. A case of polytrauma caused by car accident complicated by the development of tracheoesophageal fistula (TPS) with prolonged ventilation support is presented. The article describes clinical manifestations, diagnostic methods, and palliative therapy of this pathology. Despite complex treatment, the presence of TEF in the patient led to worsening of the condition, which in complex with number of other injuries and various complications led to death. Key words: iatrogenia, trachea and esophagus damage, tracheoesophageal fistula, polytrauma, car accident, nasogastric tube, craniocerebral injury. Conflict of interest. The authors declare the absence of obvious and potential conflicts of interest associated with the publication of this article. Citation: Morozov AM, Mokhov EM, Kadykov VA, Olshevskaya AS, Dukhanina MV, Pakhomov MA. Tracheoesophageal fistula as an iatrogenic complication of polytrauma, manifestations, diagnosis, treatment. Siberian MedicalReview.2020;(1):84-88. DOI: 10.20333/2500136-2020-1-84-88
Респираторная поддержка является основополагающим моментом в лечении терминальных состояний и тяжелых травм, однако доказано, что широкое применение эндотрахеального наркоза, поддержание дыхания путем ИВЛ с помощью интубационной и трахеостомической трубки служит причиной развития дефекта стенок трахеи и пищевода, что является причиной последующих расстройств функционирования полых органов шеи различного генеза, вследствие развития стенотических заболеваний [1].
Трахеопищеводный свищ (ТПС) - редкое осложнение, развивающееся менее чем у 1 % больных, перенесших трахеотомию [2, 3]. Причиной возникновения данного осложнения является эрозия задней стенки трахеи [4, 5]. Инфицирование зоны некроза приводит к развитию гнойно-некротического трахеита. Последующий некролиз стенок трахеи и пищевода
служит причиной деструкции стенок трахеи и пищевода с развитием ТПС [1, 6, 7]. Масштаб повреждений зависит от времени интубации: установка трубки даже на 10 часов может повлечь за собой повреждение эпителия и асептический некроз, тогда как интубация более чем на 10 дней ведет к глубокой ишемии стенки [5, 8].
Наиболее частая причина развития ТПС - дыхательная реанимация, показаниями к которой у 2/3 больных были тяжелые черепно-мозговые травмы (ЧМТ) или сочетанная травма [1].
Основной ранний симптом, заставляющий заподозрить ТПС, - кашель, связанный с приемом пищи и проглатыванием слюны, самый частый - регулярная аспирация желудочного содержимого при санации трахеобронхиального дерева, поздний - нарастающая кахексия, общая слабость и утомляемость [10]. Также отмечается повышение давления в желудке за счет интенсивной аэрофагии [1, 4].
Основными методами диагностики ТПС являются трахео- и эзофагоскопия. В дополнение, диагноз можно поставить на основании КТ и эзофаго-графии [9].
Замечено, что длина фистулы не может быть объективно оценена с помощью эндоскопических методов исследования. Она обычно преувеличивается, вследствие дилатации пищевода раздутой манжетой трубки при эзофагоскопии и недооценивается при бронхоскопии [8].
При данной патологии показано исключение приема пищи и жидкости через рот, обеспечение санации ротовой полости для профилактики аспирационных осложнений и пневмонии, пациентам показана га-стростомия [1].
Консервативное лечение, включающее репозицию эндотрахеальной трубки ниже места свища, удаление назогастрального зонда, гастростомию, является не только паллиативной терапией для ИВЛ-зависимых пациентов, но также дает возможность для полного выздоровления [7].
Пациентка П. поступила 03.01.2018, через 20 минут после ДТП: пешеход, сбитый автомобилем. Доставлена бригадой СМП в тяжелом состоянии в реанимационное отделение больницы.
Диагноз при поступлении: сочетанная травма в ДТП. ОЧМТ. Ушиб головного мозга тяжелой степени. Ушибленная рана волосистой части головы. Ссадины лица. Ушиб грудной клетки. Закрытый перелом левой плечевой кости в средней трети со смещением. Повреждения связочного аппарата обоих коленных суставов. Ушибленные раны обеих голеней. Травматический шок 2 степени.
После экстренных противошоковых мероприятий продолжена диагностика повреждений:
1) КТ головного мозга и шейного отдела позвоночника: КТ-признаки перелома основания черепа в затылочной области, субарахноидальное кровоизлияние (САК), острой субдуральной пластинчатой гематомы левой гемисферы, отека головного мозга, аксиальной дислокации головного мозга. Ге-мосинус.
2) СКТ органов грудной полости: КТ-признаки ушиба лёгких. Перелом левой лопатки, левой плечевой кости, правого акромиона.
После КТ-диагностики по экстренным показаниям взята в операционную, где были произведены иммобилизация левой верхней конечности гипсовым лонгетом от лучезапястного сустава до здорового надплечья, ПХО ран.
На основании жалоб, анамнеза заболевания, клинических и лабораторных данных поставлен клинический диагноз: сочетанная травма в ДТП. ОЧМТ. Ушиб головного мозга тяжелой степени. САК. Перелом костей свода и основания черепа. Острая субдуральная пластинчатая гематома левой гемис-феры. Ушибленная рана волосистой части головы. Ссадины лица. Ушиб легких. Закрытый перелом левой лопатки. Оскольчатый перелом левой плечевой кости в средней трети со смещением. Перелом правого акромиона. Повреждения связочного аппарата обоих коленных суставов (разрыв внутренней коллатеральной, передней и задней крестообразных связок). Ушибленные раны обеих голеней. Травматический шок 2 степени.
1 сутки: больная доставлена из операционной на мешке Амбу. Состояние крайне тяжелое, соответствует полученной травме. Поставлен центральный венозный катетер. Температура тела 36,7 °С. Продолжается ИВЛ аппаратом 718Ьте через ИТ № 7,5 в режиме 81МУ/РС. НИАД 110/70, ЧСС 115 уд. в мин.
К 4 суткам поднялась температура до 38,8 °С, состояние пациентки за прошедшее время остается тяжелым. Глаза не открывает, корнеальные рефлексы сохранены. В клиническом анализе крови: НЬ 69 г/л, в связи с этим принято решение провести сеанс ге-мотрансфузии, назначена одна доза эритроцитарной массы.
Коагулограмма: АЧТВ 65,2 сек., МНО 2,11, ПТИ 28,6 %, фибриноген 1 г/л. В связи с данными коагу-лограммы, с целью восполнения фактора свертываемости крови и гемостаза, принято решение назначить свежезамороженную плазму 2 дозы.
К 9 суткам, сознание - 5 баллов, взгляд не фиксирует, не следит, расходящееся косоглазие. Спустя 2 недели после полученных травм на компьютерной томографии органов грудной клетки выявлены признаки правосторонней гиповентиляционной пневмонии.
К 29 суткам больная фиксирует взгляд, пытается следить за предметами.
При санации ТБД на 33 сутки - слизистое отделяемое с гнойным компонентом в умеренных количествах.
Избирательно выполняет команды врача на 36 сутки, пытается шевелить стопами и сгибать ноги в коленных суставах. 38 сутки, неврологом поставлен диагноз: постгипоксическая энцефалопатия.
К 42 суткам снята с аппарата ИВЛ, дыхание спонтанное, через ТСТ № 8,5 с установленным АБ фильтром, ЧД 15-17 в мин. SpO2 - 99-100% на фоне постоянной инсуффляции увлажненного кислорода с потоком 2 л/мин.
На следующий день (58 сутки) переведена на спонтанное дыхание через ИТ № 7,5. В желудок установлен трубчатый дренаж (катетер Foley 26 fr), наложена га-стростомия по Топроверу в левом подреберье.
59 сутки: отвечает на вопросы кивательными движениями.
Отлучение от ИВЛ на 60 сутки переносит неудовлетворительно: ЧСС до 135, ЧД до 24, принудительная вентиляция. Повторно проведено ФГДС заключение: пищеводно-трахеальный свищ, эрозивно-некротиче-ский эзофагит.
61 сутки аускультативно: дыхание несколько ослаблено, в нижних отделах с обеих сторон проводные хрипы. Санация трахеобронхиального дерева, ротоглотки, слизистое отделяемое в большом количестве. Обильная рвота кофейной гущей. Назогастральный зонд удален, рекомендовано ставить только по необходимости, в связи с большим риском травматизации пищевода. Объективно - живот вздут. Питание получает по гастростоме, усваивает хорошо.
63 сутки: уровень сознания - 12 баллов, появились движения в правой кисти.
На 65 сутки появились эмоции, пытается говорить губами.
67 сутки - дыхание спонтанное с кислородной поддержкой.
71 сутки: взят бакпосев из трахеостомы: ассоциация микроорганизмов, Pseudomonas aeruginosa, чувствительная к имипенему, Staphylococcus aureus, чувствительный к оксациллину.
На 81 сутки больная узнает родственников, самостоятельные движения в конечностях отсутствуют.
85 сутки: при санации ТБД и ротоглотки слизи-сто-гнойное отделяемое в умеренном количестве. Бакпосев из трахеостомы: 89 сутки - Klebsiella pneumoniae, чувствительная к имипенему, гентамицину.
90 сутки: периодически появляется голос; 91 сутки: глотание не затруднено, дыхание самостоятельное, через естественные дыхательные пути. 92 сутки: мокроту, скопившуюся в ротоглотке, сплевывает самостоятельно. Активно откашливает мокроту на 98 сутки.
104 сутки: уровень сознания ясный, доступна продуктивному контакту, речь тихая. Пациентка переведена в хирургическое отделение, где наблюдалась 13 дней, после перевода продолжает активно откашливать большое количество мокроты. Состояние оценивалось как тяжелое, обусловленное неврологическим дефицитом на фоне гипоксического поражения головного мозга, без динамики. Активно откашливает мокроту в большом количестве.
116 сутки, вызов в палату: больная без сознания, кожные покровы бледно-синюшной окраски, дыхание не проводится, пульсация на магистральных сосудах не определяется, АД не определяется, зрачки расширены, на прикосновения не реагирует. Экстренно транспортирована в реанимационное отделение с диагнозом клиническая смерть. Немедленно начатые реанимационные мероприятия оказались безрезультатны. Зафиксирована биологическая смерть.
По результатам судебно-медицинского экспертизы диагноз основной: сочетанная травма головы, груди, конечностей - открытая черепно-мозговая травма: ушибленная рана на волосистой части головы в затылочной области, открытый линейный перелом чешуи затылочной кости с переходом на основание черепа; размозжение вещества лобных и затылочных долей головного мозга; закрытый перелом левой скуловой кости; травма груди: закрытый перелом левой лопатки; травма конечностей: закрытый перелом правой плечевой кости, разрывы связочного аппарата обоих коленных суставов; ушибленная рана на передней поверхности правой голени, ссадины на передних поверхностях в области коленных суставов.
Осложнения: колликвационный некроз головного мозга.
Сопутствующие: двусторонняя нижнедолевая ги-постатическая пневмония. Некротический нефроз.
Современное лечение терминальных патологий предполагает длительное использование респираторной поддержки, что увеличивает риск возникновения ТПС. Данный клинический случай иллюстрирует относительно редкое осложнение, усугубившее течение основного заболевания, которое можно отнести к категории ятрогенных. ТПС сформировался вследствие пролежня трахеи и пищевода из-за длительного давления на стенки органов двух жестких трубок (назогастральный зонд и интубационная трубка). Поэтому, несмотря на высокий темп развития реанимационной помощи, длительное интенсивное лечение может нести и негативные последствия, о чем свидетельствует увеличение числа больных с данной патологией в последнее время.
Анализ данного клинического случая показал необходимость тщательного проведения санационных мероприятий для предупреждения развития эндо-трахеобронхита и нозокомиальной респиратор-ассо-циированной пневмонии. Также имеет значимость минимизации респираторной поддержки и ее длительности.
Изучив этиологию данной патологии, стоит обратить внимание на недопустимость постоянного нахождения назогастрального зонда у больных, находящихся на ИВЛ. Одновременное использование обычного желудочного зонда и трахеостомической трубки с раздутой манжетой является опасным в плане развития трофических нарушений в пищеводе и трахее. Представляется целесообразным применение тонких назогастральных катетеров для энтерального питания, а также периодическое изменение положения трахеостомической трубки и ослабление давления в ее манжетке.
2. Louvier P, Bernaldez B, Gomez S. Tracheoesophageal Fistula due to Prolonged Mechanical Ventilation. Archivos de Bronconeumologia. 2019; pii: S0300-2896(19)30276-5. DOI: 10.1016/j.arbres.2019.06.002
3. Rana R, Sapkota R, Shakya B, Gautam S. Prolonged Intubation Induced Tracheoesophageal Fistula in Sus-
pected Meningococcal Sepsis with ARDS: A Case Report. JNMA: journal of the Nepal Medical Association. 2019;56 (214) :980-982.
4. Сапичева ЮЮ, Скрипкин ЮВ, Жгулев ДА, Прищепо МИ, Лихванцев ВВ. Интенсивная терапия пациента с вирусно-бактериальной пневмонией, длительной вентиляцией (137 сут) и трахеопище-водным свищом (клиническое наблюдение). Анестезиология и реаниматология. 2016;61(2): 147— 150. [Sapicheva YuYu, Skripkin YuV, Zhgulev DA, Prishchepo MI, Likhvantsev VV. Intensive Therapy of the Patient With Viral-bacterial Pneumonia, Prolonged Ventilation (137 days) and Tracheoesophageal Fistula (clinical case). Russian Journal of Anaesthesiology and Reanimatology. 2016;61(2):147-150. (In Russian)]
6. Абрамова СМ. Диагностика и лечение со-четанных трахеопищеводных свищей и рубцовых стенозов трахеи. Актуальные проблемы современной медицины и фармации-2017. Минск: Белорусский государственный медицинский университет; 2017. 1602с. [Abramova SM. Diagnosis and Treatment of Combined Tracheoesophageal Fistulas and Cicatrical Stenosis of the Trachea. Actual Problems of Modern Medicine and Pharmacy-2017. Minsk: Belorus state medical university;2017. 1602p. (In Russian)]
8. Foroulis CN, Nana C, Kleontas A, Tagarakis G, Karap anagiotidis GT, Zarogoulidis P, To ssio s P, Anastasiadis K. Repair of Post-intubation Tracheoesophageal Fistulae Through the Left Pre-sternocleidomastoid Approach: a Recent Case Series of 13 Patients. Journal of Thoracic Disease. 2015;7(1):20-26. DOI: 10.3978/j.issn.2072-1439
9. Скворцов МБ, Нечаев ЕВ, Боричевский ВИ. Трансорганное закрытие трахеопищеводного свища и последующее лечение его последствий. Сибирский медицинский журнал. 2015;133(2): 125-132. [Skvortsov MB, Nechayev EuV, Borichevskiy VI. Transorgannoe Closing Tracheoesophageal Fistula and Subsequent Treatment of its Consequences. Siberian Medical Journal. 2015;133(2): 125-132. (In Russian)]
10. Kucuka C, Ardab K, Atac N, Turkkanid MH, Yildiz OO. Tracheomegaly and Tracheosephagial Fistula Following Mechanical Ventilation: a Case Report and Review of the Literature. Respiratory Medicine Case Reports. 2016; (17): 86-89.
Сведения об авторах
Дата поступления 23.04.2019 г. Дата рецензирования 03.12.2019 г.
Принята к печати 13.12.2019 г.
Received 23 April 2019 Revision Received 03 December 2019 Accepted 13 December 2019
Трахеопищеводный свищ ( Трахеоэзофагеальная фистула )
Трахеопищеводный свищ – это патологическое соустье, соединяющее просвет дыхательного горла с пищеводом. Может являться аномалией развития или приобретенной патологией. Трахеопищеводный свищ проявляется приступами кашля во время приема пищи, которые сопровождаются удушьем, цианозом, выделением пенистой мокроты с кусочками пищи. Часто развивается аспирационная пневмония. Подтверждающая диагностика проводится с помощью эндоскопических методов (эзофагоскопии, трахеобронхоскопии), рентгенографии пищевода. Лечение исключительно оперативное – закрытие трахеопищеводного свища, нередко с одномоментной трахеопластикой, циркулярной резекцией трахеи, эзофагопластикой.
МКБ-10
Общие сведения
Причины
Врожденный трахеопищеводный свищ образуется к 4-6-й неделе эмбриогенеза при неполном разделении первичной кишки и дыхательной трубки. При рождении дети с данной аномалией обычно имеют массу тела менее 2500 г.
Природа происхождения приобретенных трахеоэзофагеальных фистул может быть различной. Чаще всего с такой патологией приходится сталкиваться онкологам, а сами свищи возникают в результате далеко зашедшего рака пищевода или трахеи, лимфом, лимфогранулематоза. Второй по распространенности причиной служат травмы пищеварительной и дыхательной трубки (в том числе их ятрогенные повреждения), полученные при проведении эзофагоскопии, бужировании пищевода, перфорации пищевода или трахеи инородными телами, вследствие химических ожогов пищевода, при закрытых и проникающих ранениях шеи и груди. Возможно непреднамеренное повреждение трахеи и пищевода при операционных вмешательствах в этой области.
В анестезиолого-реанимационной практике отмечены случаи образования пролежней от трахеостомической или интубационной трубки, приводящие к формированию трахеопищеводного свища. К числу редких причин относят перфорацию дивертикула пищевода в трахею. Трахеопищеводный свищ может явиться осложнением неспецифической бактериальной инфекции (эмпиемы плевры, абсцесса легкого, гнойного медиастинита) или специфических воспалительных процессов (туберкулеза внутригрудных лимфатических узлов, сифилиса, актиномикоза).
Классификация
По своему происхождению трахеопищеводные свищи могут быть врожденными или приобретенными в процессе жизни. Различают 5 типов врожденных трахеопищеводных свищей, обозначаемых римскими знаками:
По наличию/отсутствию клапанного механизма трахеопищеводные свищи подразделяются на клапанные и бесклапанные. При единственном дефекте говорят об изолированном свище, при сочетании с другими патологическими процессами трахеи или пищевода – о сочетанном. Клиническое течение трахеопищеводных свищей может быть неосложненным, гладким или осложненным различными состояниями (аспирационной пневмонией, нутритивной недостаточностью и кахексией, бактериальной деструкцией легких, пневмогенным сепсисом и т. д.).
Симптомы трахеопищеводного свища
Клиническая картина, ее выраженность и особенности зависят от времени возникновения, размеров, типа, направления хода свища. Большинство детей с данной аномалией рождаются недоношенными, а доношенные новорожденные имеют признаки внутриутробной гипотрофии. Во время гестации у беременных отмечается многоводие.
Признаки врожденного трахеопищеводного свища с атрезией пищевода появляются уже через несколько часов после рождения. Возникает кашель, приступы удушья, вздутие живота. Во время первого же кормления диагноз становится очевиден. Каждый глоток молока или воды сопровождается приступом кашля, выделением пенистой слизи из носа и рта ребенка. Дыхание затрудняется, развивается резкий цианоз и аритмия, в легких выслушиваются обильные крупнопузырчатые хрипы. Рано присоединяется аспирационная пневмония и ателектазы легких. Состояние ребенка прогрессивно ухудшается.
Наиболее выражены перечисленные признаки при широком и коротком трахеопищеводном свище. При наличии узкого и длинного свищевого хода аномалия долгое время нередко остается нераспознанной. Изредка при кормлении возникает поперхивание и несильный кашель, однако изменение позы кормления избавляет ребенка от приступов, поэтому родители не придает этому факту должного значения. Такие дети страдают частыми пневмониями.
У 40% новорожденных с трахеопищеводным свищом выявляются сопутствующие врожденные пороки сердца, аномалии развития кишечника и мочевыводящих путей. В литературе описан синдром VATER, включающий в себя аномалии развития позвоночника (клиновидные позвонки), атрезию заднего прохода, трахеопищеводный свищ, гипоплазию лучевой кости и дисплазию почек.
Приобретенный трахеопищеводный свищ манифестирует кашлем, удушьем, цианозом, связанными с приемом пищи. В откашливаемом секрете можно обнаружить кусочки еды. При клапанной трахеоэзофагеальной фистуле кашель может отсутствовать. Нередко у больных отмечаются боли в груди и эпигастрии, кровохарканье, рвота с примесью крови, одышка, нарушение фонации, снижение массы тела. Во всех случаях трахеопищеводный свищ сопровождается периодическими подъемами температуры, рецидивирующими легочными инфекциями.
Диагностика
При подозрении на трахеопищеводный свищ пациент нуждается в консультации торакального хирурга, гастроэнтеролога, детского хирурга, эндоскописта, рентгенолога. На первичном этапе используется зондирования пищевода с помощью резинового катетера: если продвижению катетера мешает сопротивление слепого конца пищевода, а при введении в катетер жидкости, окрашенной метиленовым синим, она при кашле выделяется через рот или нос, вероятность трахеопищеводного свища оценивается как очень высокая.
Лучевое исследование включает выполнение рентгеноскопии и рентгенографии легких, эзофагографии, МСКТ грудной клетки. Контрастное исследование пищевода проводят очень осторожно, используя водорастворимые или масляные вещества, которые вводятся через зонд (применение сульфата бария в этих случаях недопустимо). Трахеопищеводный свищ требует проведения тщательной дифференциальной диагностики с изолированной атрезией и стенозом пищевода, гастроэзофагеальным рефлюксом, ахалазией кардии, дисфагией различного генеза.
Эндоскопическая диагностика трахеопищеводного свища остается основной. Для лучшей визуализации патологического соустья и получения максимальной информации о его особенностях, выполняется эзофагоскопия и трахеобронхоскопия. При критическом стенозе трахеи диагностическая трахеоскопия может быть трансформирована в лечебную процедуру путем эндоскопического восстановления просвета трахеи или стентирования стенозированного участка.
Лечение трахеопищеводного свища
Лечение проводится хирургическим путем, консервативная терапия малоперспективна и используется только на этапе подготовки к оперативному вмешательству. С целью удаления скапливающегося секрета производится установка катетера в слепо заканчивающийся конец пищевода, выполняются санационные бронхоскопии. В рамках лечения аспирационной пневмонии назначается оксигенотерапия, антибактериальная и инфузионная терапия, УВЧ на грудную клетку. Для предотвращения попадания пищи в трахеобронхиальное дерево полностью прекращается кормление через рот, осуществляется гастростомия, нутритивная поддержка, витаминотерапия.
Варианты радикального хирургического устранения трахеопищеводного свища могут быть различны. Операция обычно производится из шейного доступа или заднебоковой торакотомии. Длинный свищевой ход выделяют и пересекают между двумя наложенными лигатурами. Дефекты в стенках пищевода и трахеи ушивают погружными швами. При коротком и широком свищевом ходе трахею отсекают от пищевода, после чего на оба дефекта накладывают непрерывный двухрядный шов. Для закрытия дефекта могут использоваться аутоткани (сальник или стенка желудка).
В тех случаях, когда трахеопищеводный свищ сочетается со стенозом трахеи либо атрезией пищевода, производится разобщение свища с одномоментной циркулярной резекцией или пластикой трахеи и/или одномоментной пластикой пищевода. Если имеется большой диастаз между проксимальным и дистальным сегментами пищевода, не позволяющий наложить анастомоз «конец-в конец», верхний отдел пищевода выводят на шею, свищ разобщают и на этом операцию заканчивают.
В межоперационный период питание больного осуществляют через гастростому. На втором этапе производят пластику пищевода желудочным или тонкокишечным трансплантатом. При трахеопищеводных свищах, обусловленных распадом раковой опухоли, ограничиваются паллиативной гастростомией. В послеоперационном периоде продолжается активная противопневмоническая терапия. В первые сутки осуществляется парентеральное питание, затем – кормление через зонд, который оставляют на 7-10 суток.
Прогноз
Из послеоперационных осложнений возможны стенозы в области пищеводных анастомозов, которые подлежат бужированию, и рецидивы свища, требующие повторной операции. Летальность при оперативном лечении трахеопищеводного свища составляет 10-15% и связана, главным образом, с исходно тяжелым состоянием пациента. В то же время при отказе от операции показатели летальности возрастают до 80-90%.
Эзофагоскопия при трахеопищеводном свище.

Свищ пищевода – это появление соединения между пищеводом и окружающими его органами и тканями. Наиболее часто свищи формируются между пищеводом и трахеей, бронхами (пищеводно-трахеальные и пищеводно-бронхиальные), либо с плеврой и средостением (пищеводно-плевральные и пищеводно-медиастинальные).
Приобретенные свищи пищевода являются тяжелым заболеванием и требуют в своем лечении комплексного и персонифицированного подхода.
Причины появления свищей
Частой причиной развития приобретенных свищей являются гнойно-воспалительные осложнения после операций на пищеводе, легких и средостении.
Другими причинами могут служить:
- прорастание злокачественной опухоли,
- перфорация дивертикула пищевода и пептической язвы пищевода,
- туберкулез,
- абсцесс легкого,
- актиномикоз,
- перфорация при эзофагоскопии и бужировании пищевода,
- открытые и закрытые повреждения шеи, груди и живота.
Известны свищи опухолевого происхождения, травматические, а также свищи, возникающие при специфическом и неспецифическом воспалении.
Наиболее часто образуются свищи при злокачественных опухолях. Как правило, они возникают при распаде раковой опухоли пищевода, прорастающей в трахею и бронхи.
Чем опасны свищи
При формирования свищей пищевода возникает контакт внутренней среды организма с внешней. Бактерии извне проникают внутрь, запуская инфекционный процесс в грудной клетке. Это может приводить к развитию пневмонии, эмпиемы плевры, медиастинита.
Свищи пищевода являются относительно редким заболеванием, и настороженность врачей в плане их выявления снижена, что приводит к поздней диагностике, неправильной тактике лечения, несвоевременной специализированной помощи и нередко – к летальному исходу.
Виды свищей
Свищ пищевода может возникать в любом его отделе. Различают наружные и внутренние свищи пищевода в зависимости от того, куда именно происходит «открытие» свища.
- Наружные свищи открываются непосредственно в окружающую среду, на кожу (например, наружный свищ в шейном отделе).
- Внутренние свищи сообщаются, соответственно, с внутренними органами.
В результате появления «соединения» или канала между пищеводом и внешней или внутренней средой происходит поступление содержимого пищевода (съеденной пищи и слюны) в соответствующий орган или полость.
Наиболее тяжело протекающими являются пищеводно-респираторные свищи, при которых происходит попадание содержимого пищевода в легкие через трахеобронхиальное дерево. Это приводит к развитию хронического аспирационного синдрома и, зачастую, к рецидивирующей аспирационной пневмонии.
Симптомы
Симптоматика свищей пищевода зависит от его локализации, длительности заболевания, характера свища, размера, степени вовлечения окружающих структур.
Клинические проявления свищей пищевода значительно варьируют и во многом зависят от основного заболевания/состояния, которое привело к формированию свища у данного пациента.
К пищеводным симптомам при свищах относятся:
- затруднение при проглатывании пищи (дисфагия),
- боли при проглатывании,
- срыгивание съеденной пищей.
При наружном свище на коже отмечается появление свищевого хода (отверстия), из которого поступает содержимое, обычно, гноевидного характера с развитием воспалительных изменений в области свища.
Более сложным является диагностика внутренних свищей.
У большинства пациентов развиваются гнойно-вопалительные осложнения со стороны респираторной системы:
- гнойный бронхит,
- пневмония,
- бронхообструктивный синдром,
- абсцесс и гангрена легких,
- сепсис.
При отсутствии связи с трахеобронхиальным деревом такой яркой клинической картины может не быть. Заподозрить развитие пищеводного свища возможно по неспецифическим симптомам. К ним относятся:
- повышение температуры тела (от субфебрильных цифр до лихорадки),
- немотивированная слабость,
- одышка,
- снижение массы тела,
- серый или цианотичный оттенок кожных покровов.
Диагностика
Диагностика свищей пищевода должна носить комплексный характер.
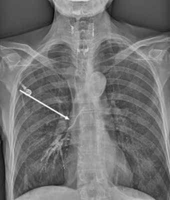
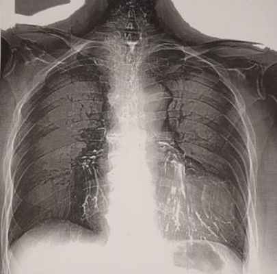
- Обязательным является проведение рентгенографии и рентгеноскопии пищевода с водорастворимым контрастным веществом (барий использовать не рекомендуется, рисунок 1, 2).

Рисунок 1. Пищеводно-респираторный свищ при рентгенографии/рентгеноскопии пищевода

Рисунок 2. Остатки бария сульфата в бронхах у пациентки с пищеводно-бронхиальными свищами
- Эзофагогастродуоденоскопия для оценки состояния пищевода и верхних отделов желудочно-кишечного-тракта.
- Фибробронхоскопия для оценки состояния трахеобронхиального дерева и возможной верификации зоны свища.
- Сочетанная фибробронхоскопия и эзофагоскопия в том числе с применением красителей (метиленового синего).
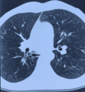
- Мультиспиральная компьютерная томография шеи, органов грудной клетки и/или брюшной полости для обнаружения зоны свища, скоплений жидкости, оценки степени поражения легочной паренхимы, плевральной полости и средостения (рисунок 3).

Рисунок 3. Вторичные бронхоэктазы и пневмофиброз нижней доли правого легкого у пациента с пищеводно-бронхиальным свищом и тотальной ожоговой стриктурой пищевода.
Лечение свища пищевода
Лечение может быть консервативным и хирургическим.
Первой задачей является исключение поступления пищи и жидкости в пищевод, что достигается за счет отказа от перорального питания (через рот). Для обеспечения питания пациента в этом случае может быть применено:
- парентеральное питание,
- назоинтестинальный зонд с установкой последнего за связку Трейтца,
- формирование гастростомы или энтеростомы.
С целью предотвращения рефлюкса содержимого желудка в пищевод в отдельных случаях может быть рекомендовано проведение фундопликации.
Обязательным является проведение нутритивной поддержки и антибактериальной терапии. В зависимости от тяжести состояния больного и вовлечения органов грудной клетки и брюшной полости в инфекционный процесс может быть проведено дренирование скоплений жидкости в области свища.
При бесперспективности консервативного лечения, прогрессировании признаков инфекционного процесса показано проведение радикального хирургического лечения.
Хирургический доступ зависит от локализации свища (на шее, в грудной клетке, в брюшной полости).
В зависимости от состояния болезни, операция может проводиться с сохранением или удалением пищевода.
При возможности выполнения органосохраняющей операции:
- Свищевой ход выделяют и иссекают.
- Дефекты стенки пищевода и другого органа поочередно ушивают.
- Линию швов дополнительно укрепляют местными тканями (плеврой, перикардом, мышцей, диафрагмой, сальником и т.п.).
В большинстве случаев при запущенных состояниях: хирургическое лечение может закончиться удалением пищевода с формированием эзофагостомы (для дренирования слюны) и гастро-энтеростомы для обеспечения энтерального питания.
После стабилизации состояния пациента, купирования инфекционного процесса, стабилизации массы тела пациенту будет предложено проведение реконструктивного вмешательства на пищеводе, которое включает проведение загрудинной пластики пищевода (рисунок 4).

Рисунок 4. Пациент с этапным лечение пищеводно-бронхиального свища на фоне тотальной ожоговой стриктуры пищевода и ожоговым стенозом желудка. 1-м этапом пациенту была выполнена эзофагогастрэктмоия с формиованием эзофагостомы м энтеростомы для питания, лобэктомия нижней доли правого легкого. Через 3 месяца пациент поступил для проведения реконструктивного вмешательства на пищеводе. Стрелкой указана эзофагостома на шее (согласие пациента на публикацию фото получено).
Лечение в отделении торакоабдоминальной хирургии и онкологии
Приобретенные свищи пищевода являются грозным потенциально жизне-угрожающим заболеванием!
При подозрении на возникновение свища необходимо консультация в специализированном хирургическом отделении, имеющем опыт лечения пациентов со свищами пищевода и реконструктивных вмешательств.
Целесообразным представляется проведение этапного лечения данного заболевания. Положительный результат лечения можно получить при своевременной диагностике этой патологии, правильном планировании лечения и выполнения хирургического вмешательства в высокоспециализированном хирургическом стационаре.
Наше отделение имеет большой опыт лечения пациентов с приобретенными свищами различной локализации, как с проведение консервативного лечения, так и различных вариантов хирургических вмешательств (органосохраняющих, эзофагэктомии с последующим реконструктивным вмешательством и т.д.).
Лечение в отделении проводится по программам ОМС, ДМС, ВМП, а также на коммерческой основе.
Читайте, как попасть на лечение в отделение торакоабдоминальной хирургии и онкологии РНЦХ.
Для записи на консультацию позвоните по телефонам:
Отправьте заявку на консультацию, заполнив форму на нашем сайте и прикрепив необходимые документы.
Читайте также:
