Опухоли гипофиза
Добавил пользователь Евгений Кузнецов Обновлено: 02.11.2025
Наверняка Вы задаётесь вопросом: что же теперь делать?
Подобный диагноз всегда делит жизнь на «до» и «после». Все эмоциональные ресурсы пациента и его родных брошены на переживания и страх. Но именно в этот момент необходимо изменить вектор «за что» на вектор «что можно сделать».
Предлагаем Вашему вниманию краткий, но подробный обзор аденомы гипофиза
Филиалы и отделения, где лечат аденомы гипофиза
МНИОИ им. П.А. Герцена – филиал ФГБУ «НМИЦ радиологии» Минздрава России.
Отделение нейроонкологии
Заведующий – к.м.н. ЗАЙЦЕВ Антон Михайлович
Отдел лучевой терапии
Заведующий - д.м.н. ХМЕЛЕВСКИЙ Евгений Витальевич
Тел: 495 150 11 22
МРНЦ им. А.Ф. Цыба – филиал ФГБУ «НМИЦ радиологии» Минздрава России.
Отделение протонной и фотонной терапии
Заведующий – д.м.н. ГУЛИДОВ Игорь Александрович
Тел: 8 (484) 399 31 30
Аденома гипофиза
Ежегодно в России выявляют более 8 тысяч новых заболеваний опухолей мозговой оболочки, головного и спинного мозга и других частей центральной нервной системы. Почти такое же количество граждан умирает от данных локализаций.
Аденома гипофиза - группа опухолей, происходящих из передней доли гипофиза. Данная опухоль составляет до 10% от всех внутричерепных опухолей. Чаще всего они проявляются в возрасте 30–40 лет, одинаково часто у мужчин и женщин.
По размерам аденомы гипофиза выделяют: микроаденомы (менее 1 см в максимальном измерении); макроаденомы.
По гормональной функции: гормонально-неактивная аденома гипофиза; гормонально-активная аденома гипофиза (пролактинома — вырабатывает пролактин, кортикотропинома — вырабатывает адренокортикотропный гормон, соматотропинома — вырабатывает соматотропный гормон, тиротропинома — крайне редкая опухоль, выделяет тиреотропный гормон, гонадотропинома вырабатывает лютеинизирующий гормон и/или фолликулостимулирующий гормон).
Проявления аденомы гипофиза
Проявления аденомы гипофиза зависят от гормональной функции опухоли. При гормонально-активных аденомах основные проявления — специфические гормональные нарушения. При гормонально-неактивных аденомах больные чаще всего обращаются с жалобами на нарушения зрения (чаще всего сужение полей и снижение остроты зрения) и головные боли. Редкое проявление большой аденомы гипофиза — резкий приступ головной боли, резкое сужение полей и падение остроты зрения, при вовлечении в процесс особого отдела головного мозга — гипоталамуса — нарушения сознания.
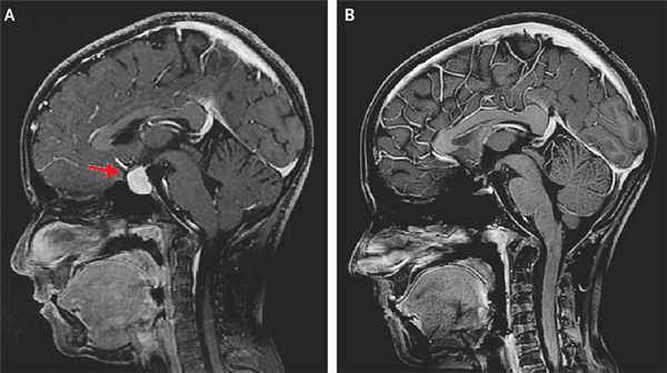
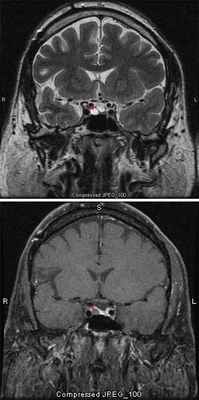
Диагностика аденомы гипофиза: тщательные гормональное и офтальмологическое обследования и нейровизуализация. Магнитно-резонансная томография — основной метод диагностики, позволяет выявить аденомы размерами менее 5 мм, однако, даже с учётом этого, примерно у 25–45% пациентов визуализировать аденому не удаётся. Компьютерную томографию применяют только в экстренных ситуациях при невозможности провести магнитно-резонансной томографии для исключения тяжёлых осложнений.
Согласно существующим протоколам лечения аденомы гипофиза методом первого выбора в случае несекретирующих аденом, а также соматотропином и кортикотропином является хирургическое удаление, а для пролактином – назначение агонистов допамина. Неэффективность хирургического лечения (частичная резекция опухоли или ее рецидив) является показанием к проведению лучевой терапии. В случае пролактином, методом второго выбора является хирургическое удаление, и лишь при его неэффективности – лучевая терапия. Однако существуют определенные ситуации, в которых первым этапом может быть отдано предпочтение лучевой терапии: например, инвазия аденом гипофиза небольшого размера в стенку кавернозного синуса, или непригодный для хирургического лечения соматический статус пациента, или отказ больного от операции и его выбор в пользу лучевой терапии.
Лечение и удаление аденомы гипофиза
При удалении аденомы гипофиза, уровень излечения варьирует от 21 до 92% (в среднем 67,1%) с 0,5% летальностью и низким уровнем послеоперационного дефицита (2,9%). Частота рецидивов составляет 11,5%. При сочетании хирургии с фракционной лучевой терапией улучшается контроль роста опухоли, но возрастает частота гипопитуитаризма (до 48,5%) В случае применения лучевой терапии эффективность лечения составляет примерно 80%. Гипопитуитаризм отмечается в 9,8%. Рецидивы – только в 0,2%. Летальность – 0%
Лучевая терапия является методом выбора в лечении небольших (до 3.5 см ) аденом гипофиза , особенно при их рецидивном росте или субтотальном удалении, с наименьшим риском развития гипофизарной недостаточности.
Филиалы и отделения, в которых лечат опухоли головного и спинного мозга, а также отделы центральной нервной системы
ФГБУ «НМИЦ радиологии» Минздрава России обладает всеми необходимыми технологиями лучевого, химиотерапевтического и хирургического лечения, включая расширенные и комбинированные операции. Все это позволяет выполнить необходимые этапы лечения в рамках одного Центра, что исключительно удобно для пациентов.
Опухоли гипофиза
Прежде, чем рассматривать опухоли гипофиза, давайте немножко коснемся функций этой железы.
Итак, несмотря на свои маленькие размеры, роль гипофиза в организме человека неоценима. Его можно назвать главным «контролером» выработки почти всех гормонов человеческого организма. Соответственно этой функции его роль заключается в регулировании нормального функционирования организма путем подачи сигналов в отдаленные органы и ткани организма. Таким образом, гипофиз отвечает за рост и развитие организма, функционирование различных органов.
Опухоли гипофиза – это новообразования, возникающие вследствие аномального размножения клеток данной железы, приводящие к изменению уровня выработки гормонов, регулирующих важнейшие функции организма, а также появлению различных неврологических расстройств.
В большинстве своем опухоли гипофиза являются доброкачественными новообразованиями (так называемая аденома гипофиза). Такие опухоли локализуются исключительно в гипофизе и не распространяются на прилегающие ткани. Злокачественные опухоли гипофиза обнаруживаются крайне редко.
Причины возникновения данного заболевания на сегодняшний день до конца не изучены. Однако определено, что определенную роль играет наследственный фактор. Кроме того, пусковым фактором могут стать генетические повреждения клеток гипофиза.
Кроме того, к факторам риска относят приём гормональных препаратов, травмы головы, инфекции нервной системы и хронические синуситы, воздействие на плод неблагоприятных факторов во время беременности.
Симптомов появления аденомы гипофиза огромное множество, но в целом их можно разделить на три группы:
- офтальмоневротические;
- эндокринно-обменные;
- проявления рентгенологического масштаба.
Следует отметить, что большие макроаденомы (более 19 мм) могут оказывать свое негативное действие не только за счет избыточной или недостаточной продукции гормонов, и из-за физического давления на другие органы. Вследствие этого могут наблюдаться постоянные головные боли, потеря зрения, общая слабость, непереносимость холода, резкий набор или потеря веса, сексуальная дисфункция, выпадение волос, падение артериального давления.
Кроме физического давления, опухоли могут вызывать биохимические изменения в организме за счет самостоятельного продуцирования гормонов, что приводит к их переизбытку в организме.
Так адренокортикотропнопродуцирующие опухоли повышают выработку адренокортикотропного гормона, стимулирующего секрецию кортизола надпочечниками. Результатом этого воздействия является развитие синдрома Кушинга.
Основными проявлениями синдрома Кушинга является:
- истончение кожи;
- отложение жира на верхней части спины, груди, животе;
- наличие характерного горбика в верхней части спины;
- лунообразное лицо;
- атрофия мышц;
- синяки и растяжки;
- повышение артериального давления.
Соматотропининдуцирующие опухоли, соответственно, усиливают продукцию соматотропного гормона (гормона роста). Основными проявлениями его переизбытка (акромегалии) является:
- увеличение размеров кистей и стоп;
- повышенное потоотделение;
- огрубевшие черты лица;
- дегенеративный артрит;
- неправильный прикус;
- проблемы со стороны сердечной деятельности и увеличение артериального давления.
Последствиями повышенного образования пролактина пролактинсекретирующими опухолями является снижение выработки тестостерона у мужчин и эстрогена у женщин, вызывая соответствующие специфические последствия в женском и мужском организме.
Для женщин характерно отсутствие менструаций либо нарушение их цикла, а также наличие патологических выделений из сосков.
У мужчин развивается гипогонадизм, что приводит к эректильной дисфункции, бесплодию, потере сексуального влечения, увеличению молочных желез и уменьшению количества волос на теле.
Тиреотропинпродуцирующие опухоли усиливают секрецию тиреотропного гормона, вследствие чего также усиливается выработка тироксина щитовидной железой и развивается гипертиреоз.
Диагностика опухолей гипофиза включает в себя:
- лабораторное исследование крови и мочи для определения уровня гормонов в организме;
- МРТ или КТ головного мозга;
- офтальмологическое обследование.
Ранняя диагностика – залог успешного лечения!
Основными методами лечения являются хирургическое вмешательство, консервативная медикаментозная терапия и лучевая терапия.
Причем для успешного лечения данной патологии привлекается целый ряд специалистов: это и эндокринолог, и нейрохирург, и невролог.
Хирургическое удаление опухоли применяется в двух случаях: при избыточном давлении на зрительный нерв с угрозой потери зрения и при избыточной продукции гормонов опухолью.
Основными видами операций являются:
- Эндоскопическое эндоназальное транссфеноидальное удаление аденомы. При этом опухоль удаляется через нос без разрезов, не затрагиваются прилегающие участки мозга, на лице не остается шрамов. Однако минусом такого вмешательства является сложность, а зачастую и невозмость удаления больших опухолей, особенно при проникновении ее в прилегающие ткани.
- Транскраниальный подход. При таком виде операции выполняется разрез клиновидной кости черепа и через него удаляется опухоль.
После выполнения операции, а иногда и в качестве самостоятельного вида лечения может применяться лучевая терапия.
Медикаментозная терапия в большинстве случаев направлена на снижение избыточной выработки гормонов. В редких случаях – для уменьшения размеров опухоли.
Аденома гипофиза

Аденома гипофиза – доброкачественное новообразование, которое развивается из клеток передней доли гипофиза. Во многих случаях существует бессимптомно в течение десятков лет и обнаруживается случайно, но у ряда людей сопровождается определенными проявлениями, существенно снижающими качество жизни.
Чтобы избежать осложнений этого заболевания, при появлении характерных для него симптомов следует обратиться к врачам эндокринологу, окулисту или невропатологу (в зависимости от проявлений) сети медицинских центров «СМ-Клиника». Врач проведет обследование, выставит верный диагноз и назначит наиболее эффективную в вашей ситуации схему лечения аденомы гипофиза.
О заболевании
Гипофиз представляет собой отдел головного мозга, один из главных органов эндокринной системы, железу, отвечающую за выработку гормонов роста, репродуктивной сферы и обмена веществ. Четыре из пяти опухолей гипофиза составляют аденомы. Они развиваются у людей обоих полов, чаще в возрасте от 30 до 40 лет, у детей – достаточно редки.
Порядка 20% аденом гипофиза у мужчин и женщин никак себя не проявляют и оказываются случайной диагностической находкой при обследовании в связи с иной патологией.
В зависимости от происхождения выделяют такие виды аденом гипофиза:
- первично-гипофизарные (патологически делящиеся клетки изначально локализуются в гипофизе);
- вторичные (возникают вследствие гиперфункции гипоталамуса или гипофункции периферических органов эндокринной системы).
Также опухоли различают по размеру:
- микроаденомы (менее 10 мм в диаметре);
- макроаденомы (более 10 мм в диаметре);
- гигантские макроаденомы (6 см и более).
По клинической симптоматике новообразования этой зоны мозга бывают двух типов – гормонально активные и неактивные. Первые возникают в случае поражения отделов железы, продуцирующих тот или иной гормон, во втором случае опухолевый процесс затрагивает клетки, не вырабатывающие гормоны, что, безусловно, отражается на клинической картине заболевания.
Классификация гормонально активных аденом гипофиза включает такие виды опухолей:
- продуцирующие пролактин – пролактиномы (35-45%);
- продуцирующие гормон роста – соматотропиномы;
- вырабатывающие АКТГ – кортикотропиномы;
- продуцирующие половые гормоны – гонадотропиномы;
- вырабатывающие гормоны щитовидной железы – тиреотропиномы (1-2%);
- смешанные (секретирующие одновременно несколько гормонов).
Симптомы
Признаки аденомы гипофиза можно объединить в две большие группы: офтальмо-неврологические и эндокринные. Первые возникают при сдавливании растущим новообразованием близлежащих отделов мозга и зависят от того, функция каких участков ЦНС страдает. Вторые же представляют собой симптомы гиперпродукции того или иного из указанных выше гормонов.
Так, офтальмо-неврологическими симптомами аденомы гипофиза могут стать:
- головные боли, особенно в лобной и/или височной областях, стойкие, не реагирующие на прием анальгетиков;
- тошнота, рвота;
- снижение остроты зрения;
- двоение в глазах;
- изменение полей зрения;
- глазодвигательные нарушения (ограничения объема движений глазных яблок);
- стойкая заложенность носа (при прорастании новообразования в ткани решетчатой или клиновидной пазух);
- при поражении гипоталамуса – нарушения сознания.
Проявления эндокринно-обменного синдрома напрямую зависят от клеточного строения гормонально-активной опухоли:
- при пролактиноме симптомами аденомы гипофиза у женщин становятся нарушения менструального цикла, бесплодия, галакторея, себорея, ожирение, нарушение либидо, у мужчин – увеличение в размерах грудных желез (гинекомастия), галакторея, эректильная дисфункция, снижение полового влечения;
- соматотропинома сопровождается увеличением роста – гигантизмом (у детей) и размеров отдельных частей тела – акромегалией (у взрослых); у пациентов повышается масса тела, возможно развитие сахарного диабета, патологии щитовидной железы, повышенной жирности кожи, гипергидроза, полиневропатии;
- при кортикотропиноме пациенты предъявляют жалобы на ожирение с отложением жира в виде фартука, растяжки на бедрах и животе, повышение артериального давления, частые переломы костей, участки атрофии, повышенную пигментацию кожи, склонность к гнойничновым и грибковой природы поражениям;
- тиреотропинома характеризуется симптоматикой гипотиреоза (общей слабостью, вялостью, отечностью, заторможенностью, пониженным настроением) или тиреотоксикоза (раздражительностью, потливостью, бессонницей, дрожанием в теле, ощущением сердцебиения);
- гонадотропинома продуцирует преимущественно неактивные биологически гормоны, поэтому ее основные проявления офтальмо-неврологического характера; иногда она сопровождается галактореей и признаками синдрома гиперстимуляции яичников.
Причины аденомы гипофиза
Точные причины образования аденом гипофиза ученым пока не ясны. Известно, что эта опухоль в большинстве случаев не носит наследственный характер, однако может являться проявлением ряда генетически обусловленных синдромов. Повышают риск ее развития такие факторы:
- травмы головы;
- инфекционные заболевания центральной нервной системы (энцефалиты, менингиты, лептоспироз и другие);
- прием оральных контрацептивов;
- патологическое течение беременности и родов;
- отравления ядами и токсинами;
- изменение выработки гормонов периферическими эндокринными железами.
Получить консультацию
Если у Вас наблюдаются подобные симптомы, советуем записаться на прием к врачу. Своевременная консультация предупредит негативные последствия для вашего здоровья.
Узнать подробности о заболевании, цены на лечение и записаться на консультацию к специалисту Вы можете по телефону:

Почему «СМ-Клиника»?
Диагностика аденомы гипофиза в «СМ-Клиника»
Неврологи центра «СМ-Клиника» помогут выявить аденому гипофиза и своевременно начать лечение. В арсенале наших врачей – все необходимые методики исследования и лабораторные анализы. Многолетний опыт докторов позволяет учесть особенности заболевания, верифицировать его вид согласно классификации и выставить пациенту точный диагноз.
Женщины и мужчины с симптомами аденомы гипофиза, как правило, первично обращаются к неврологу, офтальмологу или эндокринологу – это зависит от специфики клинической симптоматики. В идеале для уточнения и подтверждения диагноза такие пациенты нуждаются в осмотре каждого из этих специалистов.
Прежде всего, врач беседует с пациентом: выясняет жалобы, уточняет как давно и в каком порядке они возникли, как видоизменялись со временем, чем пациент пытался облегчить свое состояние и с каким результатом. Специалист интересуется сопутствующими болезнями человека и наследственностью – патологией, которой страдают его родственники. Затем он проводит объективное обследование – осматривает пациента, оценивая его телосложение, цвет и иные характеристики кожи, проводит пальпацию и перкуссию пораженной части тела (при необходимости).
На основании полученных данных врач в уме формирует некую возможную картину заболевания, предполагает, какие патологии могут иметь место у его пациента, и в зависимости от этого назначает программу обследования, позволяющую уточнить диагноз. Она может включать в себя:
- общий анализ крови;
- биохимический анализ крови (показатели белкового, углеводного, липидного обмена, определение количества гормонов – половых, тиреоидных, глюкокортикоидных);
- радиоиммунологическое исследование уровня гормонов гипофиза с помощью меченного радиоактивного изотопа;
- рентгенологическое обследование (основной способ диагностики аденомы гипофиза головного мозга) – рентгенография, МРТ, компьютерная томография, ангиография сосудов головного мозга – в зависимости от клинической ситуации;
- консультации профильных специалистов – эндокринолога, рентгенолога, офтальмолога.
Только комплексный, индивидуально ориентированный подход к диагностике дает возможность врачу выставить верный диагноз и назначить пациенту эффективное лечение.
Мнение эксперта
Как специалист, хочу отметить, что у мужчин аденома гипофиза часто дебютирует нарушениями половой функции – эректильной дисфункцией и снижением полового влечения. Эти симптомы обычно расцениваются как функциональные нарушения либо признаки инфекционно-воспалительных болезней половой системы. Мужчина теряет время, проходя не нужные ему обследования и получая терапию не по показаниям, а новообразование постепенно растет и диагностируется уже на стадии макроаденомы.
Чтобы избежать такой ситуации, мужчинам следует быть внимательными к своему здоровью и озвучивать врачу все имеющиеся у них нарушения, все симптомы нездоровья. Врачи же, в свою очередь, должны мыслить шире и проводить качественную дифференциальную диагностику возможных патологий, в случае сомнений – рекомендовать консультации профильных специалистов для исключения того или иного заболевания.
Аденома гипофиза
Аденома гипофиза – доброкачественная опухоль, которая характеризуется бесконтрольным ростом клеточных элементов гипофиза. По мере роста аденомы, происходит сдавление соседние структуры, что приводит к развитию зрительных нарушений, гидроцефалии.
Гипофиз – придаток мозга, который располагается в нижней части основания головного мозга в костном кармане. Отвечает за выработку гормонов: обмена веществ, роста, репродуктивную функцию.

Симптоматика аденомы гипофиза
Функционирующие аденомы гипофиза ответственны за симптомы в зависимости от того, какой гормон они продуцируют в избытке.
По мере роста аденома сдавливает нормально функционирующие участки гипофиза, тем самым снижая уровень определенных гормонов, а также близлежащие анатомические структуры, что определяет некоторую симптоматику.
Симптомы, связанные со сдавлением соседних анатомических структур
- головная боль
- потеря зрения, частичное выпадение полей зрения
Симптомы, связанные с изменением уровня гормонов
Большие новообразования могут приводить к дефициту гормонов. Признаки дефицита:
- тошнота, рвота
- ощущение слабости
- невозможность согреться
- сексуальная дисфункция
- изменение менструального цикла или его прекращение
- увеличение объёма мочи
- немотивированные потеря или набор веса
Функционирующие новообразования производят избыточное количество гормонов. Различные виды аденом приводят к развитию специфических симптомов, а иногда и комбинации, в зависимости от того, какой гормон продуцируется опухолью.
Адренокортикотропный гормон. Он стимулирует выработку кортизола. Симптоматика:
- накопление жировой ткани в области живота и шейного отдела позвоночника
- округление лица
- похудание рук и ног, мышечная слабость
- повышение артериального давления
- повышение уровня глюкозы в крови
- акне, стрии
- хрупкость костей
- беспокойство, раздражительность, депрессивные состояния
Гормон роста. Опухоль, продуцирующая соматотропин, является причиной развития акромегалии и может характеризоваться следующими симптомами:
- увеличение размеров рук и ног
- огрубевшие черты лица
- избыточное потоотделение
- высокое содержание глюкозы в крови
- сердечная патология
- суставные боли
- изменение прикуса
- усиленный рост волос по всему телу
Пролактин. Продуцирующие новообразования приводят к дисбалансу половых гормонов – снижение выработки эстрогена у женщин и тестостерона у мужчин. Для пролактиномы характерна следующая симптоматика:
- нерегулярность менструального цикла
- выделения из молочных желез
- эректильная дисфункция
- уменьшение выработки семенной жидкости
- гинекомастия (увеличение молочных желез у мужчин)
Тиреотропный гормон. В результате избыточной продукции новообразованием, увеличивается выработка щитовидной железой тироксина, что приводит к развитию следующих состояний:
- потеря веса
- учащение сердцебиения
- нервозность, раздражительность
- частое опорожнение кишечника
- чрезмерное потоотделение
Диагностика
Аденома гипофиза зачастую не диагностируется сразу, поскольку симптоматика роста новообразования напоминают симптомы других заболеваний.
Диагноз «Аденома гипофиза» ставится на основании жалоб пациента, клинической картины, описании характерных симптомов, а также на основании следующих проведенных исследований:
- КТ или МРТ сканы головного мозга позволят оценить локализацию и размеры опухоли
- общий анализ крови и мочи
- определение характера зрения

Лечение аденомы гипофиза
Способ лечения аденомы гипофиза зависит от типа опухоли, его размеров и степени давления, которое оказывается на соседние анатомические структуры. Определяющими факторами также являются возраст пациента и сопутствующие заболевания.
Алгоритм лечения определяется командой врачей – нейрохирургом, эндокринологом, онкологом-радиологом.
Хирургическое лечение
Существуют две основные хирургические техники (операции) для удаления аденомы гипофиза:
- Эндоскопический трансназальный транссфеноидальный доступ. В этом случае опухоль удаляется через нос и пазухи
- Транскраниальный (наружный доступ) используется при новообразованиях большего размера.
Лучевая терапия
Используются высокоэнергетические источники излучения для прицельного разрушения опухолей.
Лекарственная терапия
В одних случаях лекарственные препараты, назначаемые врачом, блокируют избыточную выработку гормонов, в других – подавляют рост опухоли.
При пролактин-продуцирующих опухолях назначают каберголин и бромокриптин, АКТГ-продуцирующих опухолях – кетоконазол, митотан, метирапон, пасиреотид, опухолях, продуцирующих гормон роста – аналоги соматостатина и ланреотид.
В некоторых случаях диагностированная аденома гипофиза не вызывает симптомов. Пациенту рекомендуется регулярное посещение врачей с целью контроля роста новообразования и контроля гормонального фона.
Опухоли гипофиза

Большинство опухолей гипофиза – аденомы. Для них характерно наличие головной боли и эндокринопатий, возникающих, если опухоль вырабатывает гормоны или разрушает гормонпродуцирующую ткань. Диагноз ставится на основании МРТ. Лечение проводят путем коррекции любого вида эндокринопатии и путем хирургического вмешательства, лучевой терапии или назначения агонистов дофаминергических рецепторов.
Большинство опухолей гипофиза и супраселлярной области являются аденомами. Гипофизарные опухоли редко бывают карциномами. В области турецкого седла могут развиваться также менингиомы, краниофарингиомы, дермоидные кисты, возможно метастатическое поражение.
Аденомы могут быть секретирующими и несекретирующими. Секретирующие аденомы продуцируют гипофизарные гормоны; размер многих из них составляет 10 мм (микроаденомы). Секретирующие аденомы классифицируют по характеру гистологического окрашивания (например, ацидофильные, базофильные, хромофобные [неокрашивающиеся]). Продуцируемый гормон часто связан с этими характеристиками; так, ацидофильные аденомы чрезмерно вырабатывают гормон роста, а базофильные – адренокортикотропный гормон (АКТГ). Чаще всего встречается избыточная продукция пролактина.
Любая опухоль, которая растет за пределы гипофиза, может сдавливать зрительные тракты, включая зрительный перекрест. Опухоли могут также сжать или разрушить ткани гипофиза или гипоталамуса, нарушая выработку гормонов или их секрецию.
Симптомы и признаки опухолей гипофиза
При растущей гипофизарной аденоме головная боль возможна и без повышения ВЧД. Если опухоль сдавливает зрительные тракты, то развиваются такие нарушения зрения, как битемпоральная гемианопсия, односторонняя атрофия зрительного нерва и контрлатеральная гемианопсия (см. картинку высшие зрительные пути - поражения по месту и соответствущие дефекты поля зрения Выше расположенные зрительные пути - локализация поражения и соответствующие дефекты полей зрения ).
У многих пациентов вследствие дефицита или избытка гормонов возникают эндокринопатии
При избыточном синтезе пролактина у женщин развивается аменорея Аменорея Аменорея (отсутствие менструаций) может быть первичной или вторичной. Первичная аменорея – это отсутствие менструации к возрасту 15 лет у пациенток с нормальным ростом и вторичными половыми. Прочитайте дополнительные сведения и галакторея Галакторея Галакторея – это выделение молока у любых мужчин, а также у женщин вне периода грудного вскармливания. Как правило, причиной галактореи является аденома гипофиза, секретирующая пролактин. Диагноз. Прочитайте дополнительные сведения , а у мужчин (реже) – эректильная дисфункция Эректильная дисфункция Эректильная дисфункция – это неспособность достижения или поддержания эрекции, необходимой для полового акта. Большинство случаев эректильной дисфункции связано с сосудистыми, неврологическими. Прочитайте дополнительные сведения и гинекомастия Гинекомастия На фотографии показано увеличенные ткани молочной железы у мужчины. Гинекомастия представляет собою гипертрофию железистой ткани грудных желез у мужчин. Ее необходимо отличать от псевдогинекомастии. Прочитайте дополнительные сведенияЧрезмерная выработка гормона роста до полового созревания приводит к гигантизму Гигантизм и акромегалия Гигантизм и акромегалия – это синдромы, обусловленные избыточной секрецией гормона роста (гиперсоматотропизмом), причиной которой почти всегда является аденома гипофиза. До закрытия эпифиза. Прочитайте дополнительные сведения , после полового созревания – к акромегалии Гигантизм и акромегалия Гигантизм и акромегалия – это синдромы, обусловленные избыточной секрецией гормона роста (гиперсоматотропизмом), причиной которой почти всегда является аденома гипофиза. До закрытия эпифиза. Прочитайте дополнительные сведения
При избыточной экспрессии АКТГ развивается синдром Кушинга Синдром Кушинга Синдром Кушинга – это сочетание клинических симптомов, вызванных хроническим повышением уровня кортизола или родственных ему кортикостероидов в крови. Болезнь Кушинга – это синдром Кушинга. Прочитайте дополнительные сведенияВ редких случаях кровоизлияние в гипофизарную опухоль вызывает апоплексию гипофиза, сопровождающуюся внезапной головной болью, офтальмоплегией и потерей зрения.
Диагностика опухолей гипофиза
МРТ со срезами толщиной 1 мм
Вопрос об исключении опухоли гипофиза ставят при наличии головных болей, характерных расстройств зрения и эндокринопатии. Проводят нейровизуализационные исследования с толщиной среза 1 мм. МРТ более чувствительна, чем КТ, особенно для выявления микроаденом.
Лечение опухолей гипофиза
По возможности, хирургическое удаление опухоли
При эндокринопатиях медикаментозное лечение
Проводят лечение эндокринопатий.
Опухоли гипофиза, секретирующие АКТГ, гормон роста или тиреотропный гормон, хирургически иссекают, как правило, используя транссфеноидальный доступ. Иногда, при хирургически недоступных или многоочаговых опухолях, необходима лучевая терапия.
Дофаминергические агонисты (например, бромокриптин, перголид, каберголин) эффективны при аденомах, продуцирующих пролактин. Как правило, хирургического вмешательства и лучевой терапии не требуется.
Ключевые моменты
Большинство гипофизарных опухолей являются аденомами, которые могут быть секреторными или несекреторными.
Секреторные аденомы могут привести к несахарному диабету, галакторее, синдрому Кушинга или гигантизму, или акромегалии.
Любая гипофизарная опухоль может сжимать участки зрительного нерва, в результате чего возникают битемпоральная гемианопия, односторонняя атрофия зрительного нерва или контралатеральная гемианопия; или она может сжимать гипофизарную ткань, вызывая дефицит гормонов гипофиза.
Оперативное удаление опухолей и лечение эндокринопатий; аденомы, продуцирующие пролактин, могут потребовать только лечение дофаминергическими агонистами.
Авторское право © 2022 Merck & Co., Inc., Rahway, NJ, США и ее аффилированные лица. Все права сохранены.
Читайте также:
