Фатальная инсомния
Добавил пользователь Владимир З. Обновлено: 05.01.2026
Смертельная бессонница - чрезвычайно редкое генетическое заболевание, отличительным признаком которого является нарушение сна . [2] Проблемы со сном обычно начинаются постепенно и со временем усугубляются. [3] Другие симптомы могут включать проблемы с речью, проблемы с координацией и слабоумие. [4] [5] Это приводит к смерти в течение от нескольких месяцев до нескольких лет. [2]
Это прионов болезнь в мозге . [2] Это, как правило , вызвана мутацией в гене , кодирующем белок PrP C . [2] Он имеет две формы: фатальная семейная бессонница (FFI), которая является аутосомно-доминантной, и спорадическая фатальная бессонница (sFI), которая возникает из-за ненаследственной мутации. Подозрение на диагноз основывается на симптомах и может быть подтверждено исследованием сна , ПЭТ-сканированием и генетическим тестированием, если в семье пациента есть история болезни. Как и в случае с другими прионными заболеваниями, диагноз может быть подтвержден только головным мозгом. вскрытие при вскрытии. [1]
Другие симптомы включают: обильное потоотделение, миоз (точечные зрачки), внезапное наступление менопаузы у женщин или импотенцию у мужчин, ригидность шеи и повышение артериального давления и частоты сердечных сокращений. Спорадическая форма заболевания часто проявляется двоением в глазах . Запор также является обычным явлением. По мере того, как болезнь прогрессирует, человек застревает в состоянии предсонной неопределенности, или гипнагогии , то есть у здоровых людей непосредственно перед сном. На этих стадиях люди часто и часто двигают конечностями, как будто во сне. [9]
Возраст начала варьирует от 18 до 60 лет, в среднем 50 лет. [10] Заболевание можно выявить до начала с помощью генетического тестирования. [11] Смерть обычно наступает через 6–36 месяцев от начала заболевания. Проявления болезни значительно различаются от человека к человеку, даже среди людей в одной семье, в спорадической форме, например, проблемы со сном обычно не сообщаются, а ранними симптомами являются атаксия, когнитивные нарушения и двоение в глазах. [ необходима цитата ]
Ген PRNP, который обеспечивает инструкции по созданию прионного белка PrP C , расположен на коротком (p) плече хромосомы 20 в положении p13. [12] И люди с FFI, и люди с семейной болезнью Крейтцфельдта – Якоба (fCJD) несут мутацию в кодоне 178 гена прионного белка. FFI также неизменно связан с присутствием кодона метионина в положении 129 мутантного аллеля, тогда как fCJD связан с присутствием валина кодон в этой позиции. «Заболевание - это изменение аминокислоты в положении 178, когда аспарагин (N) обнаруживается вместо нормальной аспарагиновой кислоты (D). Это должно сопровождаться метионином в положении 129». [13]
Гипнограмма, сравнивающая режим сна здорового контроля с пятью пациентами с FFI, у которых наблюдается снижение эффективности сна и нарушенные циклы сна. [W: пробуждение; R: REM; N1-3: стадии NREM-сна.
Невролог Соболев рассказал о симптомах бессонницы, которая убивает
Фатальная бессонница — это наследственное заболевание, которое может проявиться в любом возрасте. За несколько месяцев человек просто разучивается спать. О болезни, от которой пока нет лекарства, рассказал невролог Анатолий Соболев.
С обычной бессонницей наверняка сталкивались многие. Состояние, когда ты по несколько часов ворочаешься с боку на бок, маешься, считаешь овец — безрезультатно, вместо сна — в лучшем случае полудрема. Утром — полная разбитость, головные боли и абсолютное нежелание чем-либо заниматься. У бессонницы могут быть разные сроки — от нескольких дней до нескольких месяцев. Иногда без помощи специалиста не обойтись, нужна консультация невролога.
А теперь представьте, что ваша бессонница неизлечима. Вы спите все меньше и меньше, а потом и вовсе не можете заснуть. Это по-настоящему страшно, ведь без сна человек может прожить гораздо меньше, чем без еды, например. О редкой и опасной фатальной бессоннице рассказал петербургский невролог Анатолий Соболев.
Врач-невролог. Специалист клиники «ID-Clinic».
Что такое фатальная бессонница
«Фатальная семейная бессонница — это крайне редкое нейродегенеративное прионное заболевание. Передается по наследству. Эта болезнь приводит к прогрессирующей бессоннице, вегетативным и когнитивным расстройствам и, как итог, — летальному исходу», — говорит эксперт.
Первый случай, похожий на фатальную семейную бессонницу, был описан в Венеции в 1765 году. В то время о таком диагнозе и не догадывались. Но конкретно само заболевание выделили и внесли в медицинские справочники только в 1986 году.
Фатальная бессонница наследуется по аутосомно-доминантному типу, то есть, проявляется в каждом поколении. Однако мутация в гене может произойти, что называется, «de novo» — с нуля, без предыдущей истории заболевания в семье.
Когда и как проявляется
Нет какого-то конкретного возраста, заболевание может проявиться как у молодых, так и у пожилых. Разбег большой — от 20 до 60 лет, средний возраст «дебюта» — 40-50 лет.
«Сначала у человека просто сокращается общее время сна, а также ему часто снятся яркие сновидения. Но вскоре бессонница продолжает прогрессировать. На фоне нее развиваются аффективные расстройства (депрессия, апатия), а также когнитивные — отмечается замедление мышления, проблемы с кратковременной памятью», — рассказывает врач.
По мере развития болезни пациент оказывается в состоянии, балансируя между явью и сном. Такое состояние называют гипнагогией. У человека появляются галлюцинации, он перестает контролировать движения рук и ног. Помимо этого, развивается дисфункция вегетативной нервной системы: повышается артериальное давление, появляется тахипноэ (учащенное дыхание).
Есть и другие симптомы:
сексуальная дисфункция (у мужчин, например, начинаются проблемы с потенцией),
двоение в глазах,
неустойчивость (на ранней стадии болезни),
нарушения речи и глотания (на более поздних этапах заболевания).
Смерть наступает в промежутке от 6 до 36 месяцев от начала болезни. Средний срок — 18 месяцев.
Что провоцирует болезнь
«Заболевание обусловлено мутацией гена PRNP. Он расположен в коротком плече 20-й хромосомы. Данная мутация приводит к синтезу патологического белка PrP — приону. Прион способен „заражать“ другие белки, изменяя их пространственную конфигурацию. Затем эти патологические белки накапливаются в тканях, что приводит к их дисфункции и разрушению. Известны и другие прионные болезни, например, коровье бешенство, куру, болезнь Крейтцфельдта-Якоба», — объясняет врач.
Вероятность наследования патологического гена в следующем поколении равна 50%. Однако даже при наличии гена с мутацией заболевание может не проявиться . Таким образом, если в семье есть случаи прогрессирующей бессонницы на протяжении нескольких поколений, закончившейся летальным исходом, можно заподозрить фатальную семейную бессонницу.
Как лечат фатальную бессонницу
В настоящее время не существует стандартизированных протоколов и руководств по этой патологии. Ученым только предстоит найти лекарство от этой болезни.
«Лечение паллиативное и симптоматическое, пациентом занимаются как врачи, так и соцработники. Помимо медикаментозной терапии, важна психосоциальная поддержка заболевшего и его семьи. Больным рекомендуется прекратить прием любых лекарств, влияющих на сознание, когнитивные функции и усиливающих проявления бессонницы», — говорит Анатолий Соболев.
Таким пациентам бесполезно давать снотворное — эффекта ноль, а в некоторых случаях оно только усугубляет состояние больного.
Фатальная семейная бессонница
Редчайший диагноз «фатальная семейная бессонница» до недавних пор был в деталях известен лишь очень немногим узким специалистам. Однако в последние десятилетия он стал объектом научного интереса, обсуждения и изучения, причем в совершенно определенном контексте, – о чем будет сказано ниже. На эту закономерную актуализацию чутко откликнулся псевдонаучно-популярный сегмент интернета, сразу же запестревший заголовками вроде «Только что открыта новая ужасная болезнь» или «Смерть без сна – миф или реальность?».
Оставим подобные формулировки на совести копирайтеров (ни один человек, хотя бы заглянувший в учебник медицинской этики и деонтологии, до такого не додумался бы) и попробуем внести необходимую ясность в вопрос об этом тяжелом нейродегенеративном заболевании, по возможности лишив его ореола сенсационности, загадочности и чуть ли не «популярности». Последнее уже дает свои плоды, порой весьма своеобразные: буквально два дня назад автор данного материала консультировал пациентку с сенесто-ипохондрическим синдромом, которая, вычитав на каком-то форуме оживленное обсуждение фатальной бессонницы, тут же поставила себе еще и этот диагноз (все остальные к тому времени уже были поставлены) и в подтверждение отправилась делать дорогостоящий генетический анализ; отрицательному результату, разумеется, не поверила.
Фатальная семейная бессонница – не «новая» и, тем более, не «только что открытая» болезнь. В русскоязычную страничку Википедии вкралась либо ошибка, либо (хочется верить) опечатка: там указывается, что первый известный случай описан итальянским врачом в 1979 году. Это действительно произошло в Италии, в Венеции, но впервые смерть именно от инсомнии (лат. «полное отсутствие сна») была документирована двумя столетиями раньше, в 1765 году. По другим источникам, эта дата соответствует, – да и то предположительно, – году рождения пациента по имени Джакомо, страдавшего фатальной инсомнией и скончавшегося в 1836 году. Так или иначе, сам факт существования фатальной инсомнии признан медициной более двухсот лет назад. Другое дело, что официально учитываемая нозологическая единица, формулируемая как «Фатальная семейная инсомния», введена лишь в 1986 году.
В Международной классификации болезней 10 пересмотра (МКБ-10, вступила в силу в 1995-1999 годах) этот диагноз был отнесен к рубрике атипичных вирусных инфекций и подразумевался пунктом «неуточненные». В новой МКБ-11, которая вот-вот будет принята членами ВОЗ как главный нозологический классификатор мира, фатальная семейная бессонница обозначена уже в явной форме и отнесена к той рубрике, где она и должна быть по своей этиопатогенетической сути – к группе генетических прионных болезней нервной системы.
Это не вирусная инфекция. Фатальная семейная бессонница представляет собой разновидность спонгиоформной (губчатой) энцефалопатии, вызываемой прионом.
Об истории открытия и патогенных свойствах белков-прионов более подробно говорится в информационно-справочных материалах на сайте Лахта Клиники: «Прионные болезни» и «Болезнь Крейцфельдта-Якоба» . Вкратце, прион – это протеин PrP, для организма млекопитающих нормальный и присутствующий, в частности, в клеточных мембранах (функции его изучены недостаточно полно). В силу наследуемого генетического сбоя или спонтанной мутации гена, кодирующего этот белок, искажается конформация, т.е. способ компактной пространственной свертки, «упаковки» атомов в белковой молекуле. Вместо обычного PrP C синтезируется гомологичный протеин PrP Sc , – прион, – который вместе с аномальной структурой приобретает чрезвычайную стойкость к химическим и физическим воздействиям (дезинфицирующим, стерилизующим и т.д.), а также уникальную способность к самовоспроизведению, присущую, как считалось ранее, исключительно живой материи. Помимо этой способности, обязательными и необходимыми свойствами белковой жизни микробиология полагает клеточное строение (вирусы не являются клеткой), наличие протеиновой оболочки (у вироидов, в отличие от вирусов, нет белкового капсида) и, главное, использование нуклеиновых кислот в качестве носителя генетической информации, т.е. алгоритма, по которому будет осуществляться точная репликация клеток или макроорганизма в целом. Даже мельчайший из известных инфекционных агентов, – субвирусная частица, вироид, – представляет собой саморазмножающуюся молекулу рибонуклеиновой кислоты (РНК), паразитирующую в клетке организма-хозяина. Молекула же прионного белка не обладает ни клеточным строением, ни оболочкой, ни нуклеиновым радикалом в составе. И тем не менее, в случае контакта с прионом нормальный белок превращается в точную копию аномального, обладающую той же конформационной структурой и теми же агрессивными свойствами, что и прион. Пораженный участок с экспоненциальной скоростью утрачивает природное строение и функциональную состоятельность, процесс по типу цепной реакции распространяется на смежные объемы, поглощая содержащийся в них PrP С и трансформируя его во все новые и новые молекулы PrP Sc . На цитологическом уровне это приводит к массовой гибели клеток, на гистологическом – к злокачественному, т.е. быстрому и необратимому, перерождению высокоорганизованной нервной ткани в пористую губкообразную субстанцию с лакунами на месте погибших клеток, волокнистыми отложениями прионного белка (амилоидными фибриллами) и глиозом, т.е. разрастанием нейроглии (каркасной, вспомогательной ткани органов нервной системы); на уровне клиническом – развиваются тяжелые, неотвратимо прогрессирующие психоневрологические синдромы, в конечном счете несовместимые с жизнью и результирующие летальным исходом.
Фатальная инсомния, таким образом, представляет собой разновидность прионной спонгиоформной энцефалопатии (впрочем, как раз губчатость пораженных мозговых тканей наблюдается здесь гораздо реже, чем при прочих прионных болезнях). Специфика обусловлена преимущественной локализацией нейродегенеративного процесса в таламусе. Этот отдел центральной нервной системы, один из самых древних в эволюционном аспекте, выполняет ряд важнейших функций; кроме прочего, таламус отвечает за регуляцию циркадных ритмов (сон-бодрствование) и обеспечивает возможность сна как таковую, периодически приглушая сознание для отдыха, переработки накопившейся информации и восстановления мозговых нервно-психических ресурсов. Поскольку эта возможность относится к жизненно необходимым, ее выпадение неизбежно ведет к истощению и смерти.
Причины
Как явствует из названия, фатальная семейная бессонница является наследственной болезнью, это генетическая прионопатия. Следует, однако, отметить, что данная характеристика оказалась не абсолютной: по состоянию на 2016 год было документально диагностировано уже 24 случая спорадической прионной инсомнии, развившейся в силу случайной или, возможно, спровоцированной какими-либо внешними факторами мутации гена PRNP, расположенного на коротком плече 20 хромосомы и кодирующего прионный белок.
Симптоматика
Клиническая картина развивается в несколько этапов. Поначалу больные жалуются на стойкую бессонницу, безуспешно пытаясь компенсировать ее дневной дремотой или устранить с помощью доступных седативных средств. По мере истощения нарастает эмоциональная неустойчивость, все заметней снижается умственная и физическая работоспособность, прогрессируют нарушения памяти, внимания, речи, вегетативной регуляции, мышечного тонуса (появляются миоклонические судороги), координации движений, пространственной ориентации. На поздних стадиях обнаруживаются признаки глубокого нейроэндокринного дисбаланса; истощенная ЦНС начинает продуцировать галлюцинаторные, иллюзорные, тревожно-панические и иные психотические симптомы, больной теряет в весе, становится дементным, беспомощным, апатичным. Сон отсутствует полностью, и через несколько месяцев наступает смерть.
Продолжительность жизни после манифестации первых симптомов (почти всегда это собственно бессонница) в среднем составляет 18 месяцев, а интервал разброса данного показателя простирается от полугода до шести лет. Средний возраст заболевающих – около 40 лет.
Диагностика
Несмотря на чрезвычайную редкость фатальной семейной инсомнии, заподозрить именно это заболевание практикующему врачу позволили бы клиническая специфичность, абсолютная терапевтическая резистентность и быстрое прогрессирование психоневрологической симптоматики по сценарию «снежного кома». Следует, однако, дифференцировать данную прионопатию от симптоматически сходных агрипнических и инсомнических синдромов. Наибольшей информативностью в этом плане обладает медико-генетическое исследование (изучение семейного анамнеза), нейрофизиологическая диагностика процессов сна и бодрствования, а также ПЭТ, МРТ и другие визуализирующие технологии, позволяющие выявить характерные органические изменения в структурах головного мозга.
Лечение
В настоящее время прионные болезни, в том числе фатальная инсомния, остаются необратимыми и неизлечимыми. Этиотропная, т.е. нацеленная на устранение первопричин заболевания, терапия пока не разработана, доступны лишь паллиативные средства. Наиболее перспективным направлением считается развитие методов генной терапии.
Надо переспать Как смертельное заболевание лишает человека сна и жизни

В геноме каждого человека, по оценкам ученых, присутствует в среднем около 54 мутаций, которые могут привести к тяжелому заболеванию и даже гибели. Однако в подавляющем большинстве случаев этого не происходит. Биологи Соня Валлаб и ее муж Эрик Миникель решили выяснить, что именно спасает людей. Для Валлаб ответ на этот вопрос очень важен, потому что у нее самой обнаружили мутировавший ген, приводящий к смертоносной бессоннице.
В 2010 году мать Валлаб умерла от наследственного заболевания, называемого фатальной семейной бессонницей. Свое название оно получило потому, что им часто страдают родственники, а смертность является стопроцентной. Болезнь коварна еще и потому, что она проявляется примерно в 50 лет, когда носитель мутантного гена успевает обзавестись детьми. Вероятность наследования мутации составляет 50 процентов. Заболевший страдает от тяжелой бессонницы, от которой не спасают снотворные, и от панических атак, а через несколько месяцев умирает.

В следующем году после смерти матери Валлаб прошла генетический анализ, результаты которого оказались неутешительными: в ее гене PRNP обнаружился тот самый роковой дефект. Однако девушке, которой на тот момент было 26, не понравилась перспектива умереть от неизлечимой бессонницы. Они с мужем бросили работу в области права и транспортного консалтинга, чтобы стать биологами, узнать все о смертельном наследственном заболевании и попытаться остановить его. Прежде всего надо было выяснить, действительно ли мутация PRNP в каждом случае вызывает болезнь.
Недавно было показано, что десятки потенциально опасных мутаций иногда оказываются совершенно безвредными. Таких «овец в волчьей шкуре» разоблачили с помощью крупнейшего из когда-либо проводившихся генетических исследований — Exome Aggregation Consortium (ExAC). В основе этой масштабной работы лежит простая идея. Ученые создали базу белок-кодирующих областей генома (экзомов) 60 тысяч человек. Ресурс помогает определить частоту мутаций в различных популяциях и выяснить, какие белки они кодируют и каковы их функции.

Фактически ExAC позволяет исследователю не выяснять источник наследственных заболеваний, а определить, какие болезни вызывает та или иная мутация, интересная для генетиков. База данных также предоставляет качественную информацию для носителей дефектной ДНК. Мутация D178N, например, является главным подозреваемым в развитии прионных расстройств, поскольку ее часто находят у пациентов с фатальной семейной бессонницей или коровьим бешенством и редко — у здоровых людей. Однако если мутация встречается у людей чаще, чем регистрируются случаи болезни, это может означать, что шансы Валлаб остаться здоровой значительно увеличиваются.
В 2013 году Валлаб начала работать со стволовыми клетками, а Миникель изучал биоинформатику. Оба проходили обучение в Массачусетской больнице широкого профиля в Бостоне. В том же году они познакомились с генетиком Даниэлем Макартуром (Daniel MacArthur), который работал над созданием ExAC. Макартур столкнулся с серьезными проблемами: у него не было программного обеспечения, которое помогло бы помочь с огромным количеством данных. Миникель присоединился к команде генетика, чтобы помочь ему выяснить, действительно ли мутация D178N настолько фатальна.

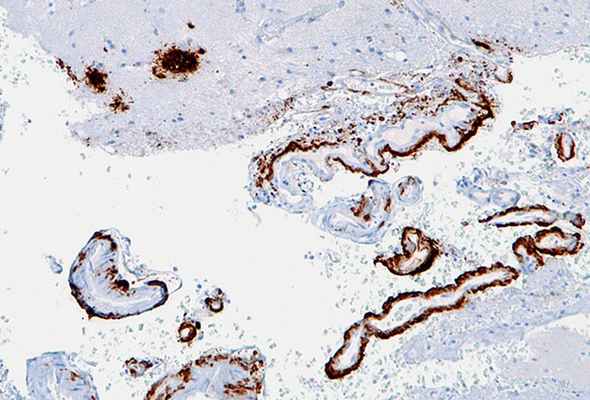
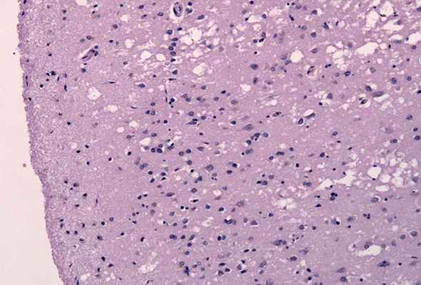
Амилоидные бляшки в коре головного мозга
ExAC была полностью готова в 2014 году. Генетики и врачи признали, что база данных может значительно изменить понимание генетических рисков. Дело в том, что в исследованиях, раскрывающих связь генов с заболеваниями, не учитывалось наличие возможных зловредных мутаций в других этнических группах — образцы геномов здоровых людей принадлежат, как правило, европейцам, что может сильно искажать результаты.
В августе 2016 года научная группа Макартура опубликовала статью в Nature, где утверждалось, что многие мутации, считающиеся вредными, на самом деле безопасны. 192 варианта генов, считающиеся патогенными, распространены среди здоровых людей. Что касается дефектного PRNP, то Валлаб и Миникель собрали генетические данные более 16 тысяч людей, которые страдали от прионных заболеваний, и сравнили их с геномами 600 тысяч человек, включая участников ExAC. Ученые нашли 52 человека с мутацией в прионном гене, что значительно превышает частоту встречаемости соответствующих заболеваний.

Ткани головного мозга пациента с болезнью Крейтцфельдта-Якоба
Однако мутация D178N не обнаружилась у людей из сравниваемой группы. Это значит, что у Валлаб нет шансов избежать смерти от неизлечимой бессонницы, если не найти способ ее лечения.
ExAC подарило небольшой шанс: Миникелю удалось установить трех человек с мутациями, которые подавляли активность одного из двух прионных генов. Если при этом функции организма не нарушаются, то можно найти способ не допустить агрегацию дефектных белков и остановить развитие болезни. Сейчас пара работает в лаборатории биохимика Стюарта Шрайбера, чтобы создать препараты для лечения фатальной семейной бессонницы. На данный момент Валлаб 32 года — на 20 лет меньше, чем было ее матери, когда она скончалась.
Инсомния (бессонница)
Инсомния является патологическим состоянием, при котором нарушен процесс наступления, поддержания сна. Может являться самостоятельным заболеванием или симптомом болезни. Бессонница встречается у 30 процентов населения. С возрастом нарушение сна встречается чаще и представляет собой серьезную проблему.

Содержание статьи
Почему возникает бессонница
Причины возникновения кроются в физиологической предрасположенности, заболевания нервной системы, внутренних органов, психогенного расстройства. Причины бессонницы могут быть:
- неврозы и неврозоподобные состояния;
- соматические заболевания;
- органические поражения ЦНС;
- патологии периферической нервной системы.
Жизнь в больших городах, частые перелеты, прием психотропных препаратов, алкоголя, кофе - все это является предрасполагающими факторами к развитию инсомнии.
Причины инсомнии у детей
Хроническая бессонница у детей появляется по тем же причинам, что и у взрослых. Основной из них считается психоэмоциональное перенапряжение, возраст, индивидуальные особенности организма. Плохой сон может быть из-за ночных кошмаров. У ребенка появляется страх перед засыпанием.
Дисфункция ЦНС приводит к развитию бессонницы. В этом случае инсомния выступает как симптом СДВГ.
Важно! Изменения, происходящие в половых гормонах у женщин и мужчин отчасти объясняют приобретенную бессонницу у пожилых людей. В группу риска входят люди от 60 лет и старше.
Стадии развития и классификация бессонницы
Инсомния подразделяются на хроническую, острую, транзиторную. По времени проявления признаков нарушения сна выделяют 3 типа расстройств:
Характеризуется нарушением засыпания
Это частые пробуждения. Человек хорошо засыпает, сон поверхностный, прерывистый, чуткий. Пробуждения частые, засыпание тяжелые
Процесс пробуждения нарушен. Засыпают легко, сон хороший, пробуждение затруднено. Пациенты жалуются, что при пробуждении глаза не открываются, хочется спать еще
Виды бессонницы могут быть:
- транзиторная или простыми словами преходящая. Длится менее 7 дней. Вызвана изменениями среды сна, стрессами, депрессией, временем сна. Последствия такие же как при лишении сна;
- острая - невозможность нормально спать на протяжении 30 дней. Острая бессонница получила название кратковременной;
- хроническая инсомния. Продолжается более 30 дней. Может быть вызвана иными расстройствами. Может вызывать двоение в глазах. Последствия хронической бессонницы проявляются в галлюцинациях, умственной отсталости.
Инсомния может быть физиологической, постоянной. По происхождению выделяют первичную и вторичную инсомнию. Первичная возникает из-за идиопатических причин. Вторичная инсомния - на фоне других патологий.
Пример У женщины обнаружен странный недуг. Она жаловалась, что не может уснуть. Со стороны казалось, что она постоянно спит. Врачи были уверены - причина депрессия. терапия не оказала должного эффекта. Состояние пациентки ухудшалось. Через год женщина скончалась. Через несколько лет ее дедушка умер от таких же симптомов в психиатрической больнице. Еще позже заболел дядя женщины. Он перестал спать, воспринимать реальность. Исход заболевания был таким же. Его мозг был направлен на обследование, где обнаружилось наличие аспарагина в одной из хромосом вместо аспарагиновой кислоты. Он изменил форму белковой в молекулы, превращая ее в прион. В результате под его действием изменились другие белковые молекулы. В результате, в отделе мозга, отвечающего за сон накопились амилоидные бляшки. Они и стали причиной бессонницы, нарушений, летального исхода. Так была открыта фатальная семейная бессонница.
Клинические признаки бессонницы
В синдром инсомнии входит трудности засыпания, поддержания сна, окончания сна. Симптомы зависят от от времени проявления:
- пресомнические нарушения Пациенты жалуются на проблемы с засыпанием. Человек может потратить до 120 минут чтобы заснуть. Это может быть из-за недостаточной усталости организма, приема препаратов, страхов, тревог. Как только человек ложится спать, сон как рукой снимает, в голову лезут разные мысли. При этом найти удобную позу для сна тяжело. Поэтому человек начинает постоянно крутиться, вертеться в кровати;
- интрасомнические нарушения. Больной жалуется на плохой сон. Любые раздражители приводят к пробуждению. Причинами могут быть кошмары, вегетативное нарушение дыхания. К этой группе относится синдром беспокойных ног, проявляющийся подергиванием конечностей;
- постсомнические нарушения. Бессонница проявляется в бодрствующем состоянии после пробуждения. Тяжело просыпаться, чувство разбитости, сонливость, снижение работоспособности, резкие перепады настроения, гипертензия, головные боли.
В детском возрасте бессонница обусловлена кошмарами, страхом. Чаще всего проявляется с 3-11 лет.
Запишитесь на онлайн консультацию, если вас беспокоит бессонница. Наши врачи найдут возможные причины патологии, посоветуют проверенные клиники для прохождения обследования, подберут аналоги препаратов, дадут все необходимые рекомендации, составят список необходимых анализов, будут на связи в любое время суток.
Диагностика патологии
Широкое применение в диагностике бессонницы получила афинская шкала. Общая картина оценивается по восьми параметрам. Наиболее распространенными критериями для оценки сна являются:
- задержка при засыпании более получаса;
- снижение эффективности сна до 85 процентов и ниже.
Постановка диагноза не вызывает затруднения у специалистов. Порой сложнее выявить причины инсомнии. Чтобы выявить соматическую патологию требуется консультация узконаправленных специалистов - инсомнический синдром требует диагностики у невролога.
Осложнения инсомнии
Бессонница, как и любые патологии не проходит бесследно. К ее последствиям относят:
- риск развития хронических заболеваний;
- снижение иммунной системы;
- психиатрические проблемы;
- замедление реакции;
- дезориентация во времени и пространстве;
- низкая производительность;
- летальный исход.
Развившиеся неврологические заболевания угрожают параличом, двигательными расстройствами, психическими нарушениями.
Лечение инсомнии
Первым этапом лечения являются изменение образа жизни, гигиена сна. Для этого оптимизируют время отхождения ко сну и пробуждения, отсутствие света, шумовых раздражителей. Использование препаратов допустимо только после консультации с врачами. Самыми распространенными являются:
- антидепрессанты. Если исходить из того, что инсомния бывает результатом депрессии, то антидепрессанты будут отличным вариантом для борьбы с бессонницей;
- снотворные препараты на основе трав. Растительные препараты лучше применять в виде настоев, отваров. Снотворные лекарства химической природы, обладающие седативным эффектом, необходимы для нормализации сна;
- физиопроцедуры включают в себя электрофорез, электросон, гидромассаж, дарсонвализация.
Детям, страдающим от бессонницы налаживают режим дня. Препараты чаще всего не назначаются.
Профилактика бессонницы
Методами профилактики может быть создание ритуалов отхождения ко сну. Например, прослушивание спокойной музыки, ароматерапия, комфортный душ или ванна. Ложиться спать необходимо в одно и то же время. Врачи советуют ложиться спать не позже 23.00. Перед сном нежелательно активно проводить время, просматривать фильмы, долго лазать в телефонах, делать физические упражнения.
Перед сном комнату обязательно проветривают, можно выйти на вечернюю прогулку. При желании можно включить аромалампы.
Частые вопросы
Под этим термином имеют в виду патологическую бессонницу. Возникает по ряду причин. Требует консультацию у сомнолога, психолога, невролога.
Если началась длительная бессонница, необходимо найти и устранить причины. Она может быть связана со стрессами, депрессией, тревогами. Для начала устанавливают точное время отхождения ко сну, устраняют все раздражители, отказываются от активного времяпрепровождения по вечерам.
Здесь имеется ввиду бодрствование по ночам довольно длительный промежуток времени. К сожалению если это состояние не лечить, это может привести к летальному исходу.
Сначала записываются к терапевту. Он проведет обследование и направит на консультацию к неврологу, сомнологу и иным узконаправленным специалистам.
Заключение эксперта
Значение слова инсомния дословно переводится как “без сна”. Является патологическим состоянием. Причины разнообразные - от безобидных до угрожающих жизни. Бессонница встречается у людей всех возрастов. Может быть самостоятельным “заболеванием”, а может входить в симптомокомплекс болезни. Лечиться она комплексно.
Читайте также:
