Феохромоцитомный криз. Поражение глаз при феохромоцитоме
Добавил пользователь Владимир З. Обновлено: 16.12.2025
В статье обсуждаются вопросы лечения гипертонического криза на догоспитальном этапе. Вне стационара допускается лечение неосложненного гипертонического криза, для чего могут быть использованы различные пероральные препараты с учетом противопоказаний к их назначению. Давление должно снижаться постепенно — на 20–25% по сравнению с исходным, в течение 2–6 ч, с последующим достижением целевого АД в сроки 24–48 ч. Препаратом первого выбора может быть каптоприл (например, широко известный оргинальный препарат Капотен), имеющий широкие показания к применению и относительно малое количество ограничений. При отсутствии противопоказаний альтернативой ему могут быть нифедипин или моксонидин. Однако нифедипин обладает выраженным проаритмогенным эффектом, а потому подходит далеко не всем пациентам. Моксонидин действует длительно и характеризуется поздним началом действия, что обусловливает медленное наступление его эффекта, а также повышает риск развития неуправляемой гипотензивной реакции, ведущей к дестабилизации гемодинамики, и обладает рядом негативных побочных эффектов со стороны центральной нервной системы. Для терапии гипертонического криза пациентам с тахикардией, выраженными вегетативными проявлениями может быть назначен на короткий срок бета-блокатор. Для купирования криза на фоне сердечной недостаточности и отеков, возможно, будет полезен фуросемид. После купирования гипертонического криза необходимо подобрать или скорректировать постоянную гипотензивную терапию.
Ключевые слова: артериальная гипертензия, гипертонический криз, сердечно-сосудистые заболевания, антигипертензивные средства, каптоприл, Капотен, нифедипин, бета-блокаторы.
Для цитирования: Филиппова О.В. Кризовое течение артериальной гипертензии на догоспитальном этапе: алгоритм ведения пациента. РМЖ. 2018;1(II):76-81.
Hypertensive crisis at the prehospital stage: patient management algorithm
Filippova O.V.
Sechenov University, Moscow
The article discusses the treatment of hypertensive crisis at the prehospital stage. The uncomplicated hypertensive crisis can be treated on the out-patient basis; for this purpose various oral preparations can be prescribed, taking into account contraindications to their use. The pressure should be decreased gradually, by 20-25% compared to the initial value during 2-6 hours with the subsequent achievement of the target BP within 24-48 hours. The drug of the first choice can be captopril (for example, the well-known orginal preparation Kapoten), which has wide indications for use and a relatively small number of restrictions. In the absence of contraindications, nifedipine or moxonidine may be used as an alternative. However, nifedipine has a pronounced proarrhythmic effect, and therefore is not suitable for some patients. Moxonidine acts long and is characterized by a late onset of action, which causes a slow onset of its effect, and also increases the risk of uncontrolled hypotensive reaction leading to destabilization of hemodynamics, and has a number of negative side effects from the central nervous system. For the treatment of hypertensive crisis, a short course of beta-blocker may be prescribed to the patients with tachycardia and expressed vegetative manifestations. To relief the crisis against the background of heart failure and edema, furosemide may be used. After relief of the hypertensive crisis, it is necessary to select or adjust a constant antihypertensive therapy.
Key words: hypertension, hypertensive crisis, cardiovascular diseases, antihypertensive drugs, captopril, Kapoten, nifedipine, beta-blockers.
For citation: Filippova O.V. Hypertensive crisis at the prehospital stage: patient management algorithm // RMJ. 2018. № 1(II). P. 76–81.
В статье представлен алгоритм лечения гипертонического криза на догоспитальном этапе. Показано, что препаратом первого выбора может быть каптоприл, имеющий широкие показания к применению и относительно малое количество ограничений.

Введение
Согласно данным Минздрава России, в 2017 г. продолжительность жизни россиян достигла национального исторического максимума — 72,6 года. Одна из причин этого успеха заключается в том, что повысилась эффективность контроля таких факторов риска, как артериальная гипертензия (АГ) и гиперхолестеринемия [1]. К сожалению, несмотря на значительные успехи здравоохранения, АГ в Российской Федерации остается одной из наиболее значимых медико-социальных проблем. Согласно данным исследования «ЭССЕ», контролируют артериальное давление (АД) только треть женщин и 14,4% мужчин [2]. Одной из причин утраты контроля над АД является нерациональное применение антигипертензивной терапии. Так, анализ применения бета-адреноблокаторов показал, что ни в одном случае доза препарата не превышала 50% от рекомендованной [3]. Наиболее часто АД резко повышается вследствие прекращения приема антигипертензиных средств. Подъем АД могут также вызывать такие факторы, как психоэмоциональный стресс, физическая нагрузка, злоупотребление алкоголем, метеорологические колебания, избыточное потребление соли, жидкости, а также прием ряда лекарственных средств (нестероидных противовоспалительных средств, симпатомиметиков, в т. ч. деконгестантов, кофеина, натрий-содержащих антацидов, оральных контрацептивов, глюкокортикостероидов, препаратов солодки и др.) [4–6].
Гипертонический криз
При утрате контроля над АГ может развиться гипертонический криз. Согласно определению Всемирной организации здравоохранения, гипертонический (гипертензивный) криз — внезапное повышение АД, сопровождающееся клиническими симптомами и требующее немедленного его снижения [4]. Причиной гипертонического криза может быть как гипертоническая болезнь (эссенциальная АГ) (70%), так и симптоматические АГ (в т. ч. феохромоцитома, тиреотоксикоз, вазоренальная АГ), а также некоторые другие состояния (острый гломерулонефрит, черепно-мозговая травма, преэклампсия и эклампсия беременных и др.) [4–6].
Ежегодно гипертонический криз развивается у 1–5% пациентов с АГ, из которых каждый четвертый страдает от различных осложнений криза. Осложненным гипертоническим кризом называют ассоциацию неконтролируемой АГ с субъективными и объективными признаками поражения сердца, центральной нервной системы, почек, сетчатки и других органов-мишеней (в англоязычной литературе — hypertensive emergency) [4].
До 40% пациентов, перенесших осложненный криз, умирают в течение 3 лет от почечной недостаточности или инсульта, у 3,2% в дальнейшем развивается почечная недостаточность, требующая гемодиализа. Прогноз ухудшается при большой продолжительности АГ, пожилом возрасте, гипертензивной ретинопатии 2–4 степени, уровне мочевины в сыворотке выше 10 ммоль/л, а также повышенном содержании креатинина в сыворотке крови [4, 6].
Возможные осложнения гипертонического криза включают развитие гипертонической энцефалопатии, острого коронарного синдрома (инфаркта миокарда), острой левожелудочковой недостаточности (отека легких), расслоения аорты. Также как осложненный рассматривают криз, если он развился при феохромоцитоме, эклампсии и преэклампсии беременных, тяжелой АГ, ассоциированной с субарахноидальным кровоизлиянием при травме головного мозга, угрозе кровотечения у послеоперационных больных и др.
Клиническая картина гипертонического криза и оценка признаков поражения органов-мишеней
Главная и обязательная черта гипертонического криза — это подъем АД до индивидуально высоких цифр в течение минут, максимум — нескольких часов. Следует учитывать, насколько повышение АД превосходит индивидуально привычные цифры АД, т. к. в молодом возрасте симптоматика криза может быть при более низком
уровне АД, а в пожилом — отсутствовать при более высоком. В настоящее время отсутствуют четкие представления, какие показатели АД следует считать соответствующими кризовому течению гипертензии при наличии выраженной клинической картины криза [4]. Последние рекомендации American College of Cardiology (АСС) (2017) указывают, что нормальным является АД Яркость клинической симптоматики тесно связана с темпом повышения АД. Классические жалобы, которые предъявляет пациент, включают головную боль, головокружение, тошноту, рвоту, нарушения зрения, «мушки» перед глазами, двоение в глазах. Тяжесть этих симптомов определяется выраженностью и длительностью предшествующей АГ: у пациентов с постепенным повышением АД в течение многих лет сохраняется саморегуляция мозгового кровотока, поэтому симптоматика у них может быть менее яркой. Возможны онемение рук, лица, языка, ощущение мурашек, слабость в руках, боли в области сердца, ощущение сердцебиения, одышки. Характерны признаки вегетативной дисфункции: озноб, чувство страха, раздражительность, потливость, иногда чувство жара, жажда, в конце криза — учащенное, обильное мочеиспускание с выделением большого количества светлой мочи. У пожилых пациентов вегетативные симптомы чаще отсутствуют, т. к. с возрастом снижается реактивность вегетативной нервной системы [5].
Если диагноз «гипертонический криз» поставлен, следующий шаг — оценка признаков поражения органов-мишеней. Разделение на неосложненный гипертонический криз (жизненеугрожающий), без признаков поражения органов-мишеней, и осложненный (жизнеугрожающий), с признаками поражения органов-мишеней, рационально с точки зрения определения тактики лечения и прогноза для пациента.
Как осложненный криз следует расценить, если имеется повреждение органа-мишени: новое, прогрессирующее или ухудшающееся [6].
Осложненный гипертонический криз характеризуется развитием острого, потенциально летального повреждения органов-мишеней: острой гипертонической энцефалопатии, острого нарушения мозгового кровообращения (ОНМК), острой левожелудочковой недостаточности (отека легких), острого коронарного синдрома, расслаивающейся аневризмы аорты, тяжелого артериального кровотечения, острой ретинопатии с кровоизлиянием в сетчатку глаза. Осложненный гипертонический криз требует немедленного снижения АД, лечения осложнений [4, 6].
Лечение гипертонического криза
Заключение
Таким образом, на догоспитальном этапе медицинской помощи имеются достаточно большие возможности для купирования неосложненного гипертонического криза при помощи пероральных лекарственных средств. Препаратом первого выбора может быть каптоприл, имеющий широкие показания к применению и относительно малое количество ограничений. При отсутствии противопоказаний альтернативой может являться нифедипин. Для терапии гипертонического криза молодым пациентам с тахикардией, выраженными вегетативными проявлениями, пациентам, у которых криз спровоцирован физической активностью или эмоциональным перенапряжением, может быть назначен короткодействующий бета-блокатор. Если пациент имеет в анамнезе метаболический синдром, ожирение, вариантом стартовой терапии гипертонического криза является моксонидин. Если же криз развился на фоне сердечной недостаточности и отеков, возможно, пациенту будет полезен фуросемид. В любом случае давление должно снижаться постепенно, во избежание развития гипоперфузии головного мозга и миокарда. Пациенты с осложненным гипертоническим кризом должны быть помещены в стационар под врачебное наблюдение и получать в качестве стартовой терапии антигипертензивные препараты парентерально. После купирования гипертонического криза необходимо подобрать или скорректировать постоянную антигипертензивную терапию.
Контент доступен под лицензией Creative Commons «Attribution» («Атрибуция») 4.0 Всемирная.
Феохромоцитомный криз. Поражение глаз при феохромоцитоме
Феохромоцитомный криз. Поражение глаз при феохромоцитоме
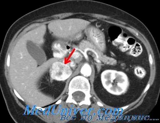
Особое место занимает феохромоцитома, развивающаяся в рамках множественного эндокринного аденоматоза — семейно-наследственного заболевания. При феохромоцитоме наблюдают выраженные сосудистые изменения на глазном дне в виде тяжелых ангиоретинопатий с нарушением зрительных функций вплоть до полной слепоты, по данным разных авторов, в 6,9—12 % случаев. Феохромоцитома встречается довольно редко, в основном у лиц в возрасте 20—50 лет. Ведущим симптомом феохромоцитомы является повышение артериального давления приступообразно (пароксизмальная форма) или стабильно (стабильная форма). Иногда приступы отмечаются на фоне постоянно повышенного артериального давления. Феохромоцитомный криз является одним из наиболее тяжелых.
Он связан с быстрым выбросом в кровь массивных количеств катехоламинов. Причиной их выброса могут стать стресс, пальпация живота, мочеиспускание и даже наклон туловища. Его могут спровоцировать симпатомиметики, глюкагон, инсулин, антагонисты амина, стимуляторы секреции пролактина, метоклопрамид, морфин, налоксон, психотропные препараты, гипервентиляция легких, употребление алкоголя и продуктов, содержащих тирамин. Нередко криз развивается во время проведения диагностических оксисупрарено- или ангиографических исследований. Особо следует подчеркнуть возможную связь между развитием криза и фазой менструального цикла. Приступы учащаются во время беременности или могут возникнуть впервые во время родов.
Феохромоцитома чаще распознается не до родов, а после них, при наличии уже развившихся осложнений. При недиагностированной феохромоцитоме показатели материнской смертности и гибели плода очень высоки. Понятный интерес вызывает использование эхокардиографического исследования плода у женщин с диагнозом феохромоцитомы. При этой экстрагенитальной патологии речь идет не столько о возможности развития плода с той или иной аномалией, сколько о появлении у него гемодинамических расстройств, поэтому важность изучения внутрисердечной динамики у плода очевидна (имеется в виду визуализация сердца плода с использованием двухмерного метода при перинатальном допплерографическом исследовании).
Возникая чаще внезапно, феохромоцитомные кризы нередко проходят через несколько минут самостоятельно, но обычно бывают более длительными. Появляется резкая головная боль, могут произойти кровоизлияния в мозг (в ряде случаев являющиеся причиной смерти), развиваются боль в сердце, иногда в животе, тахикардия, обильное потоотделение (особенно у детей), бледность кожи (редко — ее покраснение), тремор, может нарушаться зрение (вплоть до временной или постоянной слепоты), иногда (обычно у детей) происходит кровоизлияние в сетчатку. Особая тяжесть ангиопатий сетчатки и особая Чувствительность ее к гиперадреналинемии определяют выраженность офтальмопатии у детей, страдающих феохромоцитомой, поэтому специальные целенаправленные офтальмологические исследования у них обязательны.

Нередко развивается эритроцитоз, повышается СОЭ, определяется гипергликемия, гиперкальциемия, повышение фибринолитической активности крови и ее свертываемости. В моче при феохромоцитомном кризе наблюдается преходящая протеинурия, нередко — глюкозурия, цилиндру-рия, высокое содержание адреналина, норадреналина и их метаболитов. Вне приступа в составе крови и мочи у больных с феохромоцитомой изменений чаще не отмечается, если не развиты вторичные изменения в почках.
С целью тактической диагностики используют пневмосупраренорентгенографию, компьютерную томографию, магнитно-резонансную томографию, ангиографические исследования.
С целью стабилизации гемодинамики после удаления опухоли, еще до ее удаления переливают кровь, внутривенно вводят плазмозамещающие растворы (полиглюкин и др. — 1,5—2,5 л) под контролем частоты пульса и величины артериального давления [Потемкин В.В., Калинин А.П., Калюжный И.Т., Нурманбетов Д.Н., Жуковский М.А., Ефремов А.В.].
Различные аспекты анестезии и интенсивной терапии в хирургии опухолей надпочечников, как и в хирургии других желез внутренней секреции, подробно рассмотрены в монографии М.И.Неймарка, А.П.Калинина.
После удаления феохромоцитомы, как правило, наступают регрессии изменений на глазном дне и полное или частичное восстановление зрения в зависимости от тяжести поражения зрительного анализатора [Калинин А.П., Можеренков В.П., Можеренков В.П., Калинин А.П., Прокофьева Г.Л.].
Редактор: Искандер Милевски. Дата обновления публикации: 18.3.2021
Феохромоцитома
Феохромоцитома – заболевание, представляющее собой опухоль хромаффинной ткани (ткань, образованная хромаффинными клетками мозгового вещества надпочечников) и приводящее к избыточному синтезу гормонов в организме.
- Причины
- Симптомы феохромоцитомы
- Диагностика
- Лечение феохромоцитомы
- Опасность
- Группа риска
- Профилактика
- мозговое вещество надпочечников (чаще поражается правый надпочечник);
- брюшная часть аорты;
- грудная полость;
- мочевой пузырь;
- симпатические параганглии.
Причины
Для заболевания «феохромоцитома» причины до сих пор не установлены. Врачи считают, что на развитие феохромоцитомы влияет наследственный фактор и гормональные изменения в организме, влияющие на уровень адреналина в крови.
Симптомы феохромоцитомы
Характерные для феохромоцитомы симптомы представляют собой:
- артериальную гипертензию;
- нарушение обмена веществ;
- непроизвольные мышечные сокращения;
- понижение давления при изменении положения тела из горизонтального в вертикальное;
- бледный оттенок кожи;
- быструю потерю веса;
- запоры;
- повышенное потоотделение;
- учащенное сердцебиение;
- сильные головные боли;
- ощущение беспокойства.

Диагностика
Для выявления феохромоцитомы диагностику должен назначать врач-эндокринолог. Пациенту назначаются следующие анализы и исследования:
- общий анализ крови;
- анализ мочи;
- ультразвуковое исследование надпочечников;
- компьютерная томография надпочечников;
- магнитно-резонансная томография надпочечников;
- гормональное исследование (специальные пробы).
Лечение феохромоцитомы
Лечение феохромоцитомы представлено исключительно хирургическим вмешательством (удаление опухоли). Перед операцией пациенту следует пройти курс консервативного лечения:
- препараты, уменьшающие действие адреналина;
- препараты, нормализующие артериальное давление;
- препараты, уменьшающие частоту сердечных сокращений;
- сосудорасширяющие средства.
Опасность
Если своевременно не начать лечение феохромоцитомы, опухоль может перерасти в злокачественную. Также существует высокий риск развития следующих осложнений:
- инфаркт миокарда;
- инсульт;
- атеросклероз сосудов почек;
- сердечная недостаточность;
- сахарный диабет;
- нарушение мозгового кровообращения;
- отек легких.
Если наступит феохромоцитомный криз, больной может умереть.
Группа риска
В группу риска входят:
- люди с наследственной предрасположенностью;
- женщины в возрасте 30-50 лет;
- мальчики до 14 лет;
- люди, больные нейрофиброматозом;
- люди с болезнью Хиппеля-Линдау.
Профилактика
Для профилактики феохромоцитомы людям, находящимся в группе риска, рекомендуется регулярно проводить исследование, выявляющее мутантные гены, которые могут повлиять на развитие заболевания.
Феохромоцитома
Феохромоцитома – это секретирующая катехоламины опухоль, состоящая из хромаффинных клеток и обычно локализующаяся в надпочечниках. Она проявляется постоянной или пароксизмальной артериальной гипертензией. Диагноз основывается на результатах определения производных катехоламинов в крови и моче. Выяснению локализации опухоли способствуют визуализирующие методы, особенно КТ или МРТ. Лечение заключается в удалении опухоли (если это возможно). К медикаментозным препаратам, нормализующим артериальное давление, относятся альфа-блокаторы, обычно в сочетании с бета-блокаторами.
Секретируемые катехоламины включают норадреналин , адреналин , дофамин , а также диоксифенилаланин (ДОФА) в различных пропорциях. Почти 90% феохромоцитом локализуется в мозговом веществе надпочечников Мозговое вещество надпочечников Надпочечники, расположенные у верхнего полюса каждой почки (см. рисунок Надпочечники), состоят из Коры надпочечников Мозгового вещества Кора надпочечников и мозговое вещество надпочечников имеют. Прочитайте дополнительные сведения , но они могут присутствовать и в других тканях, образующихся из клеток нервного гребешка. Возможными местами их расположения являются:
Параганглии симпатической цепочки
Забрюшинные узлы вдоль аорты
Надпочечниковые феохромоцитомы встречаются у мужчин и женщин с одинаковой частотой; в 10% случаев (у детей в 20%) они присутствуют с обеих сторон и менее чем в 10% являются злокачественными. Среди вненадпочечниковых опухолей, известных как параганглиомы, на долю злокачественных приходится 30%. Феохромоцитомы обнаруживаются в любом возрасте, но с максимальной частотой – между 20 и 40 годами. Считается, что примерно 50% обусловлены зародышевыми мутациями.
Феохромоцитомы могут иметь разные размеры, но в среднем их диаметр составляет 5-6 см. Вес колеблется от 50 до 200 г, хотя описаны опухоли весом в несколько килограммов. Иногда они настолько велики, что доступны пальпации или вызывают симптомы сдавления или обструкции. Независимо от гистологического строения опухоль считается доброкачественной, если не распространяется за капсулу и не метастазирует. В целом, крупные опухоли с большей вероятностью могут быть злокачественными.
Феохромоцитомы могут свидетельствовать о наличии синдрома множественной эндокринной неоплазии Обзор множественных эндокринных неоплазий (МЭН) [Overview of Multiple Endocrine Neoplasias (MEN)] Синдромы множественной эндокринной неоплазии (МЭН) включают 3 генетически различных семейных заболевания, характеризующихся аденоматозной гиперплазией и злокачественными опухолями нескольких. Прочитайте дополнительные сведения (МЭН) типа 2А и 2В, которому сопутствуют или же могут появиться впоследствии другие эндокринные опухоли (опухоль околощитовидных желез или медуллярная карцинома щитовидной железы). Они развиваются у 1% больных с нейрофиброматозом Нейрофиброматоз Нейрофиброматоз - это группа заболеваний, которые имеют однотипные клинические проявления, но, как предполагают в настоящее время, вызваны различными генетическими причинами. Это заболевание. Прочитайте дополнительные сведенияСимптомы и признаки феохромоцитомы
Основным признаком является артериальная гипертензия Артериальная гипертензия Артериальная гипертензия – это стойкое повышение систолического артериального давления в покое (≥ 130 мм рт.ст.) и/или диастолического артериального давления (≥ 80 мм рт.ст.). Повышение АД без. Прочитайте дополнительные сведенияХолодная и липкая кожа
Сильная головная боль
Тошнота и рвота
Боль в эпигастральной области
Пароксизмальные приступы могут быть спровоцированы пальпацией опухоли, переменой положения тела, сжатием или массажем брюшной полости, вводным наркозом, эмоциональной травмой, не встретившей сопротивления бета-блокадой (что как ни парадоксально повышает артериальное давление, блокируя бета-опосредованную вазодилятацию) или мочеиспусканием (если опухоль находится в мочевом пузыре). Резкая потеря веса при стойкой гипертензии у пациентов пожилого возраста заставляет думать о феохромоцитоме.
При физикальном обследовании, если оно проводится вне приступа, можно обнаружить только повышенное АД. Ретинопатия и кардиомегалия зачастую выражены меньше, чем можно было бы ожидать при данной степени артериальной гипертонии, но иногда отмечается специфическая катехоламиновая кардиомиопатия. Тем не менее сердечные и цереброваскулярные события чаще наблюдаются у пациентов с феохромоцитомами, чем у других пациентов с аналогичным уровнем артериального давления.
Диагностика феохромоцитомы
Определение свободных метанефринов в плазме или метанефринов в моче
При положительных результатах определения катехоламинов – КТ или МРТ грудной и брюшной полости
Возможно, визуализация с помощью йод-123 МЙБГ (метайодбензилгаунидина) или ПЭТ-КТ с галлием-68
Феохромоцитому следует подозревать у пациентов с типичными симптомами и особенно при возникновении внезапных необъяснимых приступов резкого подъема АД. Для диагноза необходимо обнаружить высокие уровни производных катехоламинов в сыворотке или моче.
Исследование крови
Уровень свободного метанефрина в плазме, обладает 99%-ной чувствительностью. Такой показатель, как уровень свободных метанефринов в плазме, обладает 99%-ной чувствительностью, значительно более высокой, чем уровни адреналина и норадреналина поскольку он остается повышенным постоянно, тогда как адреналин и норадреналин секретируются эпизодически. Резко повышенный уровень норадреналина в плазме практически не оставляет сомнений в диагнозе.
Исследование мочи
Определение содержание метанефринов в моче немного менее характерно, чем уровня свободных метанефринов в плазме, но чувствительность этого теста достигает 95%. Нормальные результаты, полученные при 2-3 повторных определениях, несмотря на артериальную гипертонию у пациента, практически исключают диагноз. Почти столь же точными показателями являются уровни норадреналина и адреналина в моче. Основными метаболитами адреналина и норадреналина , выводимыми с мочой, являются метанефрины, ванилилминдальная кислота (ВМК) и гомованилиновая кислота (ГВК). У здорового человека содержание этих соединений в моче крайне незначительно. Нормальные показатели суточной экскреции следующие:
Свободный адреналин и норадреналин 100 мкг ( 582 нмолей)
Общие метанефрины: 1,3 мг ( 7,1 микромоль).
ВМК (ванилилминдальная кислота): 10 мг ( 50 микромоль)
ГВК (гомованилиновая кислота): 15 мг ( 82,4 микромоль).
При феохромоцитоме экскреция адреналина и норадреналина и их метаболитов эпизодически возрастает. Повышенная экскреция этих соединений может также происходить при следующих условиях:
Пациенты, получающие лечение алкалоидами раувольфии, метилдопой, ингибиторами моноаминооксидазы или катехоламинами
Употребление пищи с большим количеством ВМК
Другие исследования
Уменьшение объема циркулирующей крови может обусловить ложное повышение уровня гемоглобина и гематокрита. Могут иметь место также гипергликемия, глюкозурия и даже явный сахарный диабет Сахарный диабет (СД) Сахарный диабет характеризуется нарушением секреции инсулина и той или иной степенью инсулинорезистентности, обусловливающими гипергликемию. Ранние симптомы связаны с гипергликемией и включают. Прочитайте дополнительные сведения с повышенным уровнем свободных жирных кислот и глицерина в плазме натощак. Содержание инсулина в плазме оказывается неадекватно низким для данного уровня глюкозы. После удаления феохромоцитомы может развиться гипогликемия, особенно при применении пероральных сахароснижающих препаратов.
Здравый смысл и предостережения
Провокационные тесты с гистамином или тирамином представляют опасность и не должны проводиться.
Скрининговые исследования предпочтительнее провокационных тестов. Общий подход предусматривает определение уровня метанефринов в плазме или моче и отказ от провокационных проб. У пациентов с повышенным содержанием катехоламинов в плазме можно проводить супрессивный тест с приемом клонидина внутрь или с внутривенным введением пентолиния, но это редко необходимо.
При аномальных результатах скрининговых тестов обычно используют визуализирующие методы с целью определить локализацию опухоли. Проводят КТ и МРТ грудной и брюшной полости с контрастом и без него. При использовании изотонических контрастных сред нет необходимости в блокаде адренорецепторов. Также успешно используется ПЭТ с фтордезоксиглюкозой (ФДГ), особенно при исследовании больных с мутацией сукцинатдегидрогеназы, но доказано, что ПЭТ-исследование с галлием-68 является более полезным.
Во время катетеризации полой вены для установления локализации опухоли определяют также концентрации катехоламинов в плазме на разных ее уровнях, в том числе на уровне впадения надпочечниковых вен: чем ближе к вене, дренирующей опухоль, тем выше должен быть уровень норадреналина в пробе. Определение соотношения концентрации норадреналин / адреналин в надпочечниковых венах может помочь при выявлении небольших надпочечниковых новообразований, но в настоящее время оно редко необходимо.
В локализации феохромоцитом также может помочь использование радиофармпрепаратов с методами радионуклидной визуализации. Радионуклидное исследование проходит быстро и I-123 МЙБГ заменяется ПЭТ-сканированием с галлием-68.
Следует обращать внимание на признаки сопутствующих генетических синдромов (например, пятна цвета «кофе с молоком» указывают на нейрофиброматоз). Нужно оценивать возможность присутствия МЭН, определяя уровень кальцитонина в сыворотке и проводя все другие исследования, на необходимость которых указывают клинические данные. Многие центры в плановом порядке проводят генетическое тестирование, особенно если феохромоцитома затрагивает симпатические параганглии.
Лечение феохромоцитомы
Устранение артериальной гипертензии с помощью комбинации альфа- блокаторов, а затем и бета-блокаторов
Хирургическое удаление опухоли с тщательным периоперационным контролем артериального давления и объема циркулирующей крови
Методом выбора является хирургическое удаление опухоли. Операцию обычно проводят лишь после устранения гипертензии, для чего используют сочетание альфа- и бета-блокаторов (обычно феноксибензамин по 20-40 мг перорально 3 раза в день и пропранолол по 20-40 мг перорально 3 раза в день). Нужно стремиться к показателю кровяного давления 130/80 мм рт. ст; некоторые полагают, что цель также должна включать достижение определенного постурального падения давления, но это не обязательно. Для восстановления равновесия сердечно-сосудистой системы требуется около 10-14 дней, после чего можно полагать, что блокада является эффективной. Бета-блокаторы не следует применять вплоть до достижения эффективных результатов альфа-блокады. Некоторые альфа-блокаторы, такие как доксазозин, обладают достаточной эффективностью и лучше переносятся больными. Нитропруссид можно вводить при гипертонических кризах до или во время операции.
Здравый смысл и предостережения
Альфа-блокаторы следует принимать перед бета-блокаторами. Не встретившая сопротивления бета-2-блокада может привести к парадоксальному повышению кровяного давления, блокируя бета-опосредованную вазодилатацию.
При двусторонних опухолях (как это характерно для пациентов с множественными эндокринными неоплазиями [МЭН]) до и во время операции вводят достаточные количества гидрокортизона (100 мг внутривенно 2 раза в день), чтобы избежать острой надпочечниковой недостаточности после двусторонней адреналэктомии.
В большинстве случаев феохромоцитомы можно удалять лапароскопически. Необходимо непрерывно контролировать артериальное давление с помощью интраартериального катетера Катетеризация артерии Ряд манипуляций выполняется для получения сосудистого доступа. Потребности большинства пациентов во внутривенных инфузиях жидкости и лекарств могут быть удовлетворены с помощью чрескожного периферического. Прочитайте дополнительные сведения Атропин перед операцией использовать нельзя.
Кровопотерю при удалении опухоли следует заранее компенсировать путем переливания крови (1-2 единиц) перед операцией. При хорошем предоперационном контроле артериальное давление для увеличения ОЦК рекомендуется диета с высоким содержанием соли. В случае гипотензии следует рассмотреть целесообразность инфузионного введения норадреналина, 4–12 мг/л в растворе декстрозы. При недостаточной реакции на норадреналин можно использовать гидрокортизон (100 мг внутривенно), но обычно требуется только достаточное восполнение потерь жидкости.
При злокачественных метастазирующих феохромоцитомах применяют альфа- и бета-блокаторы. Опухоль может развиваться медленно и относительно поздно приводит к смерти больных. Однако артериальное давление удается контролировать даже при быстром росте опухоли. Введение 131 I-МИБГ или не так давно лютеция-177 помогает смягчить симптомы у пациентов с остаточными явлениями. Для уменьшения синтеза катехоламинов у пациентов, чье артериальное давление трудно контролировать, может быть использован метирозин – ингибитор тирозингидроксилазы. Лучевая терапия может уменьшить боль в костях из-за метастазов. Химиотерапия редко бывает эффективной, но наиболее распространенным протоколом лечения является комбинация циклофосфамида, винкристина и дакарбазина. Недавно были получены обнадеживающие результаты при применении химиотерапии с темозоломидом и таргетной терапии с сунитинибом.
Основные положения
Гипертензия бывает как постоянной, так и эпизодической.
Диагноз устанавливают на основании высоких уровней метаболитов катехоламинов (как правило, свободных метанефринов в сыворотке или метанефринов в 24-часовой моче).
Локализацию опухолей следует проводить с помощью методов диагностической визуализации, иногда используя меченные радиоактивным изотопом соединения.
Перед удалением опухоли применяют сочетание альфа- и бета-блокаторов.
Авторское право © 2022 Merck & Co., Inc., Rahway, NJ, США и ее аффилированные лица. Все права сохранены.
Феохромоцитомный криз. Поражение глаз при феохромоцитоме




Коваленко Андрей Евгеньевич
Заведующий хирургическим отделением Института эндокринологии и обмена веществ
им.В.П.Комиссаренко АМН Украины доктор медицинских наук
Одной из наиболее сложных, и в тоже время интересных, проблем эндокринной хирургии является лечение больных с катехоламин-секретирующими опухолями. Многогранность патофизиологических механизмов развития заболевания, обусловленная действием гормонов, вырабатываемых опухолью, обуславливает сложную клиническую диагностику.
1893 г. Manasse сообщил о пациенте с феохромоцитомой и в 1896 г. демонстрировал, что подобные опухоли приобретают желто-коричневый цвет при окраске солями хрома.
1912 г. L.Pick предложил термин «феохромоцитома» (от греч. «phaios» (темный цвет); «chroma» (соли хрома); «cytoma» (опухоль)
1926 г. Roux (Швейцария) и C.H.Mayo (США) успешно удалили феохромоцитому. Оба пациента имели скрытую опухоль с пароксизмальными эпизодами гипертензии, которые прошли после операции.
De Courcy 1952 г. и Sipple 1961 г. Отметили возрастание количества тиреоидных карцином, связанных с феохромоцитомой.
1953 г. Glushien сообщил о связи феохромоцитомы с ангиоматозом сетчатки (болезнь Хиппеля).
Эпидемиология
Феохромоцитома встречается у 1% больных с постоянно повышенным диастолическим артериальным давленим, являясь одной из причин гипертензии. В популяции феохромоцитомы встречаются редко, с частотой 1 : 200 000 в год, а заболеваемость составляет не более 1 человека на 2 млн. населения.
Опухоль может возникнуть у лиц любого возраста, но наиболее часто наблюдается между 20 и 40 годами. Распространенность феохромоцитом среди взрослых мужчин и женщин одинакова, однако среди детей встречается чаще у мальчиков – в 60%. Множественные опухоли у детей обнаруживаются чаще, чем у взрослых (соответственно в 35 и 8% случаев). Американские исследователи утверждают, что несмотря на совершенство методов диагностики, приблизительно у 1/3 больных диагноз феохромоцитомы при жизни установить не представляется возможным.
Этиология
Феохромоцитома является классическим представителем опухолей, происходящих из клеток диффузной нейро-эндокринной системы (АРUD-системы), основной отличительный признак которых - способность захвата и декарбоксилирования аминов (amine precursors uptake and decarboxylation), что позволяет объяснить сложные клинико-морфологические феномены этого заболевания.
Опухоль развивается из специфических хромаффинных клеток симпатоадреналовой системы, эмбриогенетически родственных клеткам симпатической нервной системы и дающих положительную хромаффинную реакцию, то есть способность окрашиваться солями хрома в желто-коричневый цвет.
Причины заболевания неизвестны. Феохромоцитома встречается спорадически, но в 10% наблюдений не исключается генетическая природа заболевания, ассоциированная с некоторыми семейными синдромами. Наследственность определяется геном доминантного типа с высокой степенью пенетрантности.
Наследственные синдромы
МЭН 2 А (синдром Сиппла) Этот наследственный синдром обусловлен дефектом одного из локусов 10-й хромосомы. Компоненты синдрома: медуллярный рак щитовидной железы, гиперплазия или аденома паращитовидных желез (клинически проявляются гиперпаратиреозом), феохромоцитома и (реже) двусторонняя гиперплазия коры надпочечников. МЭН 2 В Компоненты синдрома: феохромоцитома, медуллярный рак щитовидной железы, утолщение роговичных нервов, аденома паращитовидной железы, марфаноподбный синдром, нейромы слизистых оболочек губ, век, языка, ганглионейромы кишечника, мегаколон.
Читайте также:
- Сужение просвета пищевода. Деформация пищевода
- Врожденный вывих лучевой кости. Врожденные деформации и косолапость
- Гигантизм и акромегалия
- Синдром миокардиальной недостаточности. Синдром дыхательной недостаточности
- Краевые протезные парадонтиты. Распространенность маргинальных протезных парадонтитов
