Краевые протезные парадонтиты. Распространенность маргинальных протезных парадонтитов
Добавил пользователь Евгений Кузнецов Обновлено: 27.01.2026
Пародонтит – это воспаление пародонта. Пародонт включает в себя периодонт (ткани, окружающие корень зуба), костную ткань альвеолы и десну. Следовательно, если в патологический процесс вовлекаются перечисленные ткани, то развивается пародонтит.
На начальной стадии заболевания пародонтит может проявляться лишь легкой ранимостью или кровоточивостью десен, а на поздних – выпадением зубов. К причинам, вызывающим пародонтит относят нарушение нормального питания (кровоснабжения и обмена веществ) в тканях пародонта. Причины пародонтита можно разделить на внутренние и внешние.
Одной из наиболее существенных внутренних причин называют склероз сосудов, питающих пародонт. К другим причинам относят нейрососудистые изменения, т.е. изменение нервной регуляции. Нарушение нервной и сосудистой регуляции питания пародонта постепенно приводит к атрофии составляющих ее элементов. Способствуют процессу снижение иммунитета, гиповитаминоз и эндокринная патология. К значимым внешним причинам развития пародонтита относят микроорганизмы, живущие в полости рта и развитие зубного камня.
Лечение парадонтита
Ткань десны должна плотно обхватывать шейку зуба. Но при парадонтите происходит разрушение поддерживающей костной ткани и десны, в результате чего десневые карманы расширяются и становятся резервуаром бактерий. Со временем эти карманы углубляются, что приводит к дальнейшему разрушению ткани кости и десны. Вследствие этого, цель лечения парадонтита – это тщательная очистка десневых карманов от бактерий и предупреждение дальнейшего разрушения. Большинство больных парадонтитом прекрасно поддается неинвазивному лечению соблюдении гигиены полости рта это единственное, что Вам может потребоваться. Кюретаж позволяет удалить зубной камень с бактериями с поверхности зуба и под деснами. Это может быть проведено с помощью инструментов или ультразвука. Стоматолог может прописать антибиотики или другие препараты, которые подавляют рост бактерий. В настоящее время существуют местные антибиотики, которые снижают потребность в системных антибиотиках, и, следовательно, уменьшается риск побочных эффектов. При более тяжелых формах парадонтита, когда глубина десневого кармана превышает 5 мм, требуется уже хирургическое вмешательство:
· Лоскутная операция (операция, направленная на уменьшение десневого кармана). Эта операция заключается в небольшом разрезе в области десны, таким образом участок десны приподнимается, при этом оголяется корень зуба, который очищается от камня
· Костный трансплантат. Данная процедура проводится при значительном разрушении костной ткани, которая окружает корень зуба и удерживает зуб на своем месте. Этот трансплантат может быть изготовлен как из собственной костной ткани пациента, так и из синтетического материала.
· Профилактика парадонтита
Самым лучшим способом профилактики парадонтита является соблюдение гигиены полости рта в течение всей жизни. Это означает, что необходимо чистить зубы два раза в день и хотя бы раз в день пользоваться зубной нитью. Лучше всего чистить зубы после каждого приема пищи, как рекомендуют стоматологи. Время, которое должна занимать чистка зубов, должно составлять от трех до пяти минут. Кроме того, следуйте этим советам:
· Выберите подходящую зубную щетку. Зубную щетку следует менять каждые три – четыре месяца. Чистите зубы так, как будто от этого бы зависело их состояние. Чистка зубов не принесет никакого положительного результата, если она выполняется неправильно. чистки межзубных промежутков держите зубную щетку под углом 45 градусов.
· Пользуйтесь зубной нитью. Это один из важных моментов гигиены полости рта. Обращайте внимание на чистку зубов, а не на тип зубной пасты. В рекламе зубных паст часто утверждается, что они удаляют зубной налет и зубной камень или уничтожают бактерии, которые приводят к этим явлениям. На самом деле все зубные пасты могут эффективно бороться с данными явлениями, просто необходимо правильно чистить зубы. Также, ни одно средство не может удалить зубной камень под деснами, хотя зубные пасты с определенными свойствами могут помочь в профилактике образования зубного камня.
Краевые протезные парадонтиты. Распространенность маргинальных протезных парадонтитов
Краевые протезные парадонтиты. Распространенность маргинальных протезных парадонтитов
Маргинальные травматические пародонтиты возникают при пользовании и несъемными протезами. Причиной их возникновения является побочное и травматическое действие протезов.
Побочное действие несъемного протеза следует из принципиальной схемы его конструкции, предполагающей погружение края коронки в десневой карман. При этом нарушается физиология десиевого кармана и в первую очередь его самоочищение, так как создаются условия к ретенции секретов полости рта, слущенного эпителия и др. Следствием этого и является воспаление, с самого начала принимающее хроническое течение.
Побочное действие протеза в чистом его виде может иметь место лишь при наложении идеального протеза. К сожалению, технология изготовления штампованных и даже паяных коронок исключает эту возможность и края их всегда вызывают раздражение, являющееся ведущим патогенетическим фактором маргинального пародонтита. Д. А. Калвелис (1959, 1962) справедливо считает, что при погружении коронки в десневой карман невозможно достичь точного прилегания ее к десне.

Травма краевого пародонта бывает более грубой при протезировании паяными мостовидными протезами. Осложняющим моментом в этом случае является функциональная перегрузка опорных зубов и травма десневого сосочка в местах наложения припоя, т. е. на стыке коронки с промежуточной частью протеза. Вообще следует заметить, что наибольшей травме подвергается десневой сосочек и в меньшей степени край десны с вестибулярной и оральной сторон, где он более доступен обозрению и инструментальному контролю.
Очевидны трудности, которые возникают при наложении мостовидных протезов при вторичных деформациях окклюзионной поверхности зубных рядов в связи с мезиальным наклоном моляров. И чем меньше дефект, тем труднее наложение протеза и тем больше травма краевого пародонта.
Вряд ли следует подробно описывать порочность мостовидных протезов с односторонней опорой на моляры, применяемых для замещения утраченных коренных зубов. Функциональная перегрузка пародонта вызывает дистальный наклон опорного зуба с образованием костного кармана на стороне его движения. Очень часто искусственный зуб наклоняется к десне, вызывая в ней глубокий пролежень.
Г. Ю. Пакалис (1970) провел специальное исследование состояния пародонта при протезировании несъемными протезами (искусственные коронки из нержавеющей стали, комбинированные коронки, в которых в качестве облицовочного материала применяется пластмасса). Изучению подлежал секционный материал, взятый от 36 трупов. Патоморфологические исследования показали, что погружение края искусственной коронки даже на незначительную глубину вызывает воспаление и деформацию десневого края, появление углубления, повторяющего очертания края коронки. Поверхность его в одних случаях была выстлана эпителием, в других имела место гибель эпителия, пролиферация его в виде тяжей, проникающих в соединительную ткань. Описанные изменения пародонта в основном в виде воспаления, без резорбции или с резорбцией кости альвеолярного отростка он нашел у 54 из 77 изученных зубов с искусственными коронками.
Г. Ю. Пакалис указывает на недостаток исследований, проведенных на секционном материале, поскольку отсутствуют данные о сроках пользования протезом, был ли он первым или вторым и др. Поэтому им были поставлены проверочные опыты на собаках. У 17 собак 81 зуб был покрыт металлическими коронками с предварительной хирургической подготовкой их коронок. Последняя заключается в препарировании клинической коронки зуба без удаления эмали, расположенной под десной (12 зубов) или в препарировании зуба по всей его поверхности с проникновением под десну (69 зубов). Наблюдение велось от 5 до 9 мес. Исследования показали, что края искусственных коронок вне зависимости от глубины погружения их под десну вызывают воспаление краевого пародонта, которое после снятия коронок частично исчезает. Спустя 5 мес (при максимальной продолжительности опыта) в десне обнаруживались остаточные явления патологии в виде погружного роста эпителия, в подлежащую соединительную ткань.
Информация на сайте подлежит консультации лечащим врачом и не заменяет очной консультации с ним.
См. подробнее в пользовательском соглашении.
Пародонтит. Симптомы и причины заболевания.

Пародонтит – это воспаление всех окружающих зуб тканей, сопровождающееся разрушением и убылью косной ткани, а также разрушением зубодесневого прикрепления.
Причины развития пародонтита.
Пародонтит может быть локализованным в области одного или нескольких зубов, а также иметь генерализованный характер (в области всех зубов).
Причины развития локализованного пародонтита:
1. Нависающие края пломб в межзубных промежутках − это приводит к травме межзубных сосочков, а также создает условия для задержки пищевых остатков в таких межзубных промежутках, и как следствие- развитие воспаления,
2. Нависающие края искусственных коронок или мостовидных протезов, травмирующие десну,
3. Плохо изготовленные съемные протезы, травмирующие десну,
4. Физическая травма (удар),
5. Окклюзионная травма (патология прикуса) − когда нагрузка при смыкании зубов распределяется не равномерно на все зубы, а есть участок преждевременного накусывания (суперконтакт). В месте такого суперконтакта зуб испытывает перегрузку, что сопровождается развитием воспаления. Очень часто оклюзионные травмы имеют место быть у пациентов, у которых отсутствует часть зубов.
Причины развития генерализованного пародонтита:
Генерализованная форма пародонтита, т.е. когда воспаление есть в области всех или большинства зубов − развивается вследствие плохой гигиены полости рта, наличия большого количества над и поддесневых зубных отложений. Токсины, выделяемые микроорганизмами зубного налета, запускают цепь воспалительных реакций в деснах, которые приводят к разрушению прикрепления зуба к кости, к разрушению костной ткани и т.д.
Симптоматика локализованной и генерализованной формы пародонтита мало чем отличается друг от друга, разница только в причинах возникновения воспаления и в количестве зубов, у которых развивается воспаление. Поэтому мы опишем только генерализованную форму, как наиболее часто встречающуюся. Симптомы генерализованного пародонтита будут зависеть от степени выраженности воспаления.
Пародонтит легкой степени.
Визуально определяется большое количество мягкого зубного налета, твердых зубных отложений, включая поддесневые зубные камни. Отмечается воспаление краевой десны, десневых сосочков: десна выглядит ярко красной или синюшной. Воспаленная десна легко кровоточит, например, при чистке зубов. Костная ткань вокруг зубов начинает рассасываться. Атрофия кости достигает 1/4-1/5 длины корня, что хорошо видно на рентгенографических снимках. Имеются пародонтальные (зубодесневые) карманы глубиной до 3,5 мм, из которых выделяется серозно- гнойный экссудат.
Пародонтит средней степени тяжести.
Происходит дальнейшее нарастание симптомов. Количество пародонтальных карманов увеличивается, а их глубина достигает 5 мм. Выделение серозно- гнойного экссудата из них становится более выраженным. Атрофия костной ткани вокруг зубов достигает 1/3-1/2 длины корней. Атрофия кости приводит к появлению подвижности зубов (1-2 степени, т.е. умеренная подвижность). Часто происходит обнажение шеек зубов и корней, или возможно наоборот воспалительное разрастание десны по типу гипертрофического гингивита. При обострении хронического воспаления могут возникать пародонтальные абсцессы (гнойники в деснах).
Часто на этом этапе возникают вторичные деформации зубных рядов – зубы начинают «разъезжаться», т.к. ослабленные ткани, удерживающие зубы в кости, не выдерживают жевательного давления. Особенно это заметно в области передних зубов. Ухудшается общее состояние больных: появляется повышенная утомляемость, слабость, также происходит снижение иммунитета и частые простудные заболевания.
Пародонтит тяжелой степени.
Происходит дальнейшее нарастание симптомов. Тяжелый пародонтит характеризуется часто возникающими обострениями, которые сопровождаются образованием абсцессов, резким припуханием десен, болями в них, увеличением подвижности зубов. Глубина пародонтальных карманов может достигать 5-6 мм и вплоть до верхушки корня. Атрофия костной ткани может достигать 2/3 и более длины корня.Подвижность зубов достигает 3-4 степени (сильная подвижность).
При тяжелой форме больные начинают страдать не только от местных симптомов, но также жалуются на слабость, недомогание, плохой сон, аппетит, обострение хронических заболеваний внутренних органов и т.д. Особенно сильно ухудшается состояние больных сахарным диабетом, сердечно-сосудистыми, гормональными, ревматоидными заболеваниями.
Обострение хронического пародонтита.
Существует также такое понятие, как «Течение заболевания». Для пародонтита характерно хроническое течение, когда симптоматика сглажена (без острых явлений воспаления), при этом периодически может возникать обострение пародонтита. Во время обострений симптоматика становится Острой, т.е. симптомы обостряются, становятся резко выраженными. Развитие обострения может быть связано как с истощением местных защитных механизмов полости рта, так и со снижением иммунитета организма.
Диагностика пародонтита должна учитывать не только симптоматику и жалобы пациентов, но и обязательное рентгенографическое исследование. Как правило, при пародонтите проводят панорамную рентгенографию (ортопантомограмма). На таком панорамном снимке видны сразу все зубы и степень атрофии костной ткани у каждого зуба.
Пародонтит и Пародонтоз во время беременности.
Очень часто пациенты ошибочно используют термин «пародонтоз», подразумевая под ним заболевание, которое в действительности называется «пародонтит». Перед началом лечения нужно правильно поставить диагноз, т.к. вместо пародонтита у беременной женщины может оказаться гингивит беременных.
Какие же отличия пародонтоза и пародонтита у беременных?
Пародонтоз -это обменно-дистрофическое заболевание, которое проявляется медленной убылью десны и обнажением корней зубов. При этом воспаление в деснах отсутствует, при пародонтозе никогда не бывает ни кровоточивости, ни отека, ни болей.
Пародонтит — наоборот является воспалительным заболеванием десен, проявляющееся их кровоточивостью, отеком, покраснением или синюшностью, болями, образованием пародонтальных (зубодесневых) карманов с гнойным отделяемым. При средней и тяжелой степени пародонтита к описанным симптомам также присоединяется подвижность зубов, обнажение шеек и корней зубов.
Пародонтит является следующим этапом развития хронического гингивита, который не был вовремя вылечен. Причина гингивита и пародонтита одинакова. Это недостаточная гигиена полости рта, при которой на зубах скапливается большое количество мягкого микробного зубного налета и твердых над и поддесневых зубных отложений.
Во время беременности у женщин появляется изменение гормонального фона, который является предрасполагающим фактором, что и ускоряет переход гингивита в пародонтит.
Отличия гингивита и пародонтита у беременных.
1. Симптомы гингивита у беременных:
— на зубах мягкий микробный зубной налет (микробная бляшка) и твердые наддесневые зубные отложения,
— кровоточивость десны (особенно при чистке зубов, при приеме жесткой пищи)
— покраснение или синюшность десны,
— иногда боли в десне,
— у беременных женщин (из-за гормональных изменений) к этим симптомам может присоединиться разрастание десневого края.
Гингивит является начальной стадией воспаления десны, при которой отсутствует образование пародонтальных карманов, подвижность зубов, обнажение корней зубов.
2. Симптомы пародонтита во время беременности:
Все вышеперечисленные симптомы гингивита, при пародонтите сохраняются.Основным отличием пародонтита от гингивита является:
— разрушение костной ткани вокруг зубов (при легкой форме пародонтита атрофия кости достигает 1/3 длины корня, при средней степени тяжести – до 1/2 длины корня, при тяжелом пародонтите атрофия достигает 2/3 и более длины корня),
— образование пародонтальных (зубодесневых) карманов (при разрушении кости одновременно происходит образование пародонтальных карманов и разрушение зубо-десневого прикрепления). Глубина пародонтальных карманов зависит от тяжести воспаления и может составлять от 2-3 мм до 10 мм. Из пародонтальных карманов обычно выделяется серозно-гнойный экссудат,
— появление подвижности зубов,
— обнажение шеек и корней зубов,
— на рентгенограмме будет видно, что уровень костной ткани соответствует норме (при гингивите разрушения костной ткани на рентгене Вы никогда не увидите), а на рентгенограмме, сделанной у пациента с пародонтитом средней степени тяжести будет видно, что костная ткань разрушена на 1/2 длины корня.
Лечение пародонтита у беременных.
Напомним, что основная причина развития пародонтита – это твердые зубные отложения и мягкий микробный зубной налет. Поэтому лечение будет направлено на устранение этих причин.
Удаление над и поддесневых зубных отложений это самый главный этап лечения, т.к. если не удалить причину заболевания, то все остальные мероприятия дадут, лишь временный и весьма небольшой эффект.
Снимают зубные отложения чаще ультразвуком, но можно делать это ручными инструментами. После снятия отложений зубки обязательно полируются специальными щетками и пастами.
В первом триместре беременности обычно любые стоматологические вмешательства (анестезия, лечение зубов) противопоказаны, но зубные отложения снимать можно. Но, если возможно, то лучше даже такую процедуру перенести на второй триместр. Второй триместр является наиболее безопасным для лечебных процедур.
В третьем триместре снимать зубные отложения тоже можно, но в связи с повышенной утомляемостью и нервозностью беременных в этот период – лучше всё же (если есть такая возможность) перенести процедуры на период после родов.
После снятия зубных отложений, врач назначает противовоспалительную терапию индивидуально.
Противовоспалительная терапия – это такая терапия, которая обычно состоит из антисептических полосканий и аппликаций противовоспалительными гелями. Курс обычно длится 10 дней, проводить его можно (в случае невыраженного воспаления) даже в домашних условиях. Напоминаем, что эффективен такой курс будет только после снятия зубных отложений.
Врач назначит вам самые безопасные средства для антисептического полоскания полости рта. Лучше использовать готовые растительные эликсиры для полосканий, которые продаются в аптеках. Но правильный выбор средств сможет сделать только врач! Кроме полосканий врач назначит и аппликации на десну противовоспалительных гелей.
Многие гели не рекомендуется назначать беременным женщинам в 1-м триместре беременности (во 2-3- м триместрах – можно).
Правильно назначенные стоматологом гели наносятся на краевую часть десны и межзубные сосочки, как с передней, так и с задней поверхности зубов. После нанесения желательно 2-3 часа не принимать пищу и не полоскать рот (пить можно). Наносятся 2 раза в день утром и вечером сразу после полоскания антисептиками. Курс не более 10 дней.Так же врач подберет для Вас противовоспалительные зубные пасты –примером хорошей противовоспалительной зубной пасты является, например, «Пародонтакс». Эта паста содержит высокие концентрации лекарственных трав, а также содержит в своем составе небольшое количество солей (поэтому солоноватая на вкус). Содержание солей позволяет вытягивать из десен и зубодесневых карманов.
После снятия зубных отложений и назначения противовоспалительной терапии, стоматолог на приеме обучит Вас адекватной гигиене полости рта, т.к. все воспалительные заболевания десен связаны с недостаточной гигиеной полости рта.
У беременных женщин (в связи с гормональной перестройкой) воспаление возникает даже при минимальном количестве зубного налета и зубного камня, в связи с чем, им нужно уделять гигиене в 2 раза больше времени, чем остальным людям.
Огромную помощь в поддержании гигиены полости рта может оказать ирригатор для промывания межзубных промежутков, пародонтальных карманов и других труднодоступных участков полости рта. Так же беременным нужно соблюдать правильный режим питания. Для этого необходимо избегать частых перекусываний и потребления сладких напитков между основными приемами пищи. Если Вы съели печенюшку или конфетку – значит нужно идти чистить зубы, т.к. углеводы – это главное сырье для размножения микробов в полости рта. Если Вам лень выполнять это простое правило, то это по большому счету говорит о бессмысленности лечения и неизбежном прогрессировании заболевания даже в случае проведения противовоспалительных мероприятий.
Дополнительные лечебные мероприятия при заболеваниях пародонта.
Если у Вас гингивит, то всего вышеперечисленного вполне достаточно, чтобы вылечить это заболевание и забыть о кровоточивости десен. Но если у Вас развился Пародонтит, то все вышеперечисленные мероприятия – это только базовое лечение, направленное на снятие симптомов воспаления. Как известно при пародонтите возникает подвижность зубов, появляются глубокие пародонтальные (зубодесневые) карманы, поэтому необходимы дополнительные лечебные мероприятия. К ним относится шинирование подвижных зубов, кюретаж пародонтальных карманов.

Статью подготовила: Заведующий отделением: врач-стоматолог-терапевт Логиновских Татьяна Сергеевна
Парадонтит
Пародонтит - это воспалительный процесс, развивающийся в тканях, которые окружают и удерживают зуб (пародонт) и проявляющийся деструктивными процессами в кости и связочном аппарате.
Статистика свидетельствует о том, что пародонтит является одним из наиболее широко распространенных заболеваний, с которыми сталкиваются стоматологи.
Причины
Причины пародонтита подразделяются на общие и локальные. В первую группу входят заболевания сахарным диабетом, иммунодефицитные состояния, патологии кровяной системы и др. заболевания, влияющие на состояние пародонта. Некоторые заболевания хронического характера также могут оказывать влияние на возникновение пародонтита, а также вызывать осложнения его течения. К наиболее распространённым локальным причинам развития пародонтита относится проникновение в ротовую полость различных микроорганизмов. Также к причинам развития пародонтита относят травматические факторы, связанные с неправильным расположением зубов, гипертонусом жевательной мускулатуры, нарушениями прикуса и др.
Симптомы
Первые симптомы пародонтита:
- неприятный запах и привкус во рту;
- кровоточивость зубов;
- обнажение шейки зуба и дискомфорт.
Если не устранен налет, имеется зубной камень, это может стать толчком к развитию заболевания. Пародонтит характеризуется прогрессирующим разрушением и деструкцией отростков альвеол, а именно их ячеек. Это проявляется такими симптомами: кровоточивость десен; вязкость слюны; слабость связки и мышц; зубной налет.
При обострении заболевания наблюдаются выделения гнойного характера из зубнодесневого кармана, покраснение и воспаление десен, подвижность и смещение зубов, неприятный запах изо рта. Иногда появляются свищи, абсцессы на десне, увеличение лимфатических подчелюстных узлов. Хроническая форма заболевания может привести к развитию микробной аллергии. При активной фазе заболевания расшатываются и выпадают зубы.
Диагностика
Как правило, при прощупывании подчелюстных лимфатических узлов обнаруживается их увеличение и болезненность.
При осмотре ротовой полости хорошо видны признаки пародонтита:
- Покраснение и отек десны
- Разрыхление края десны
- Образование зубодесневых карманов
- Обильные зубные отложения
- Расхождение верхних резцов
- Подвижность зубов
- Обнажаются корни зубов
- Рентгенография.
При данной патологии используют рентгенологический метод (панорамная рентгенография зубов). На данном исследовании хорошо видна степень разрушения межзубных перегородок. Контуры межзубных перегородок нечеткие.
Компьютерная томография зубов – исследование, с помощью которого получают трехмерное воссоздание костных структур. Компьютерная томография дает полное представление об изменениях костных структур.
УЗИ с использованием эффекта Доплера – исследование, позволяющее определить состояние кровоснабжения пародонта.
Лечение
Лечение пародонтита направлено на то, чтобы ткань десны плотно обхватывала шейку зуба. Но очень часто лечение пародонтита начинается на этапе когда разрушение поддерживающей костной ткани и десны уже произошло, вследствие чего лечение пародонтита затягивается из-за скопления патогенных микроорганизмов в десневых карманах. В таких случаях лечение пародонтита направлено на предотвращение углубления десневых карманов и на предотвращение дальнейшего разрушения десны и костной ткани. Для этого производят тщательную профессиональную гигиену полости рта с очисткой десневых карманов от бактерий, что предупреждает дальнейшее разрушение и прогрессирование пародонтита.
При своевременно поставленном диагнозе пародонтит хорошо поддается лечению неинвазивными методами. Если глубина десневых карманов не более 5 мм, то достаточно процедуры по очищению корня зуба от воспаленной пульпы с использованием антибиотиков. В дальнейшем требуется соблюдать гигиену полости рта и периодически посещать стоматолога для удаления зубного камня.
Проведенный с помощью инструментов кюретаж или ультразвуковая чистка зубов удаляет над- и поддесневой зубной камень. Удаление зубного камня с помощью ультразвука кроме всего прочего полирует поверхность зубов, предотвращая появление зубного камня, а кислород обеззараживает десневые карманы и способствует ускоренному заживлению. После ультразвуковой чистки рекомендовано применять местные гели с антибиотиками. Местные антибактериальные препараты позволяют подавить рост бактерий в десневых карманах, что и является основным моментом в лечении пародонтита. Отказ от приема системных антибиотиков для лечения пародонтита в пользу местных препаратов позволяет снизить вероятность развития побочных эффектов.
Если же глубина десневого кармана при пародонтите превышает 5 мм, то требуется хирургическое вмешательство.
Для уменьшения десневого кармана при пародонтите проводят лоскутную операцию. Производится небольшой разрез в области десны, что позволяет приподнять ее и оголить корень зуба, который нужно очистить от зубного камня. Если пародонтит уже распространился на костную ткань, то перед тем, как ушить разрез, костную ткань выравнивают. Лоскутная операция проводится под местной анестезией и длится от 1 до 3 часов.
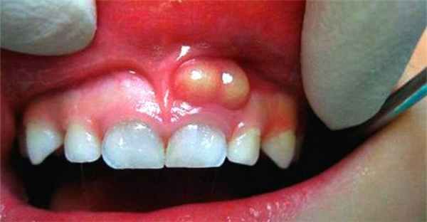
Пародонтальный абсцесс
Пародонтальный абсцесс относится к острой форме пародонтита.

Проявляется четко ограниченным болезненным образованием округлой формы в придесневой области. Среди основных симптомов заболевания можно выделить:
- Отечность слизистой,
- Подвижность зуба,
- Боли при жевании и накусывании,
- Повышение температуры,
- Гнойные выделения из-под десны при надавливании,
- Увеличение лимфоузлов.
Патологическое состояние приводит к появлению свища, необратимой деструкции костной ткани челюсти, утрате зуба. Самопроизвольное вскрытие пародонтального абсцесса – не повод откладывать визит к стоматологу. Процесс склонен к рецидивированию.
Причины возникновения
Основная причина появления абсцесса – повреждение зубоэпителиального прикрепления и проникновение в образованную полость болезнетворных бактерий и микроорганизмов. Целостность десны может быть нарушена в результате:
- Заболеваний пародонта (гингивит, пародонтит),
- Механической травмы (зубочисткой, осколками костей при приеме пищи, нависающими краями пломбы или недостатками протезной конструкции),
- Общих заболеваний, снижающих иммунитет.
Активация патогенных микроорганизмов на фоне затруднения оттока гнойного экссудата (вследствие глубоких зубодесневых карманов и зубных отложений) выражается обострением пародонтита и образованием нарыва.

Хроническая генерализованная форма тяжелой степени может обостряться множественными абсцессами.
Диагностика
Выявление очагового воспаления и постановку диагноза проводят стоматолог-терапевт или пародонтолог. Заболевание важно дифференцировать от обострения хронического периодонтита, кистогранулемы, периостита, остеомиелита. Первичная и дифференциальная диагностика состоят из:
- Опроса,
- Обследования состояния ротовой полости,
- Изучения анамнеза болезни,
- Анализа анамнеза жизни,
- Рентгенографических исследований (прицельный снимок, ортопантомограмма, КТ).
В некоторых случаях могут потребоваться данные лабораторных проб – ОАК, биохимия крови, цитологическое исследование слюнной жидкости.
Методы лечения
Основные цели при лечении заболевания – купирование очага воспаления, стабилизация состояния и создание условий для запуска процесса регенерации. Лечение пародонтального абсцесса проводится комплексно. Выбор методов определяется особенностями клинического течения и степенью тяжести болезни.
Терапевтические методы объединяют выявление и устранение факторов, поддерживающих воспалительный процесс:
- Нависающие острые края пломб,
- Кариес и осложнения,
- Зубной налет, над- и поддесневые отложения.
Хирургическое лечение назначается для ликвидации основного очага и состоит, в первую очередь, из вскрытия абсцесса и обеспечение выведения из полости гнойного содержимого. Оперативные мероприятия требуют предварительной подготовки и проводятся в ситуациях, когда консервативные методы оказались недостаточно эффективными.

При наличии выявленных зубочелюстных аномалий и дефектов зубного ряда для стабилизации патологического процесса назначается ортодонтическое и ортопедическое лечение.
Наши преимущества
Бережно, точно и оперативно – вот принципы, которыми мы руководствуются при диагностике и подборе методов лечения. Мы предлагаем:
- Мультидисциплинарность. В нашем центре вы можете получить все необходимые исследования и консультации. При необходимости план лечения будет составлен с учетом рекомендаций других специалистов.
- Профессионализм. Опыт, квалификация и свободное владение различными терапевтическими и хирургическими методиками позволяют подобрать результативную тактику вмешательства, отвечающую потребностям и ожиданиям пациента.
- Оснащенность. Современное оборудование, материалы и инструменты, повышенные требования безопасности и стерильности.
Цены на лечение
Стоимость лечения пародонтального абцесса будет зависеть от количества необходимых процедур по комплексному лечению пародонтита и объема необходимого хирургического вмешательства (вскрытие абсцесса, кюретаж пародонтального кармана, остеопластика, гингивопластика и др.).
Читайте также:
