Фиброма полости рта от раздражения. Гигантоклеточная фиброма полости рта. Липома, липофиброма полости рта. Травматическая неврома.
Добавил пользователь Владимир З. Обновлено: 13.12.2025
Фиброма полости рта - это недуг, при котором в слизистой образовывается доброкачественная опухоль, которая состоит из волокон соединительной ткани. Чтобы поставить такой диагноз врач обязан провести следующие исследования: осмотр, пальпация, ультразвуковое исследование, гистологическое исследование, ортопантомограмма, рентгенография, пародонтограмма.
В зависимости от структурного наполнения ФПР-новообразований различают собственно фиброму, ангиофиброму, липофиброму, дерматофиброму.
Причины
ФПР-патология отличается мультифакторной природой возникновения. Поэтому истинная причина ее развития сугубо индивидуальна для каждого пациента.
В первую очередь на ФПР-развитие прямое влияние оказывают воспалительные процессы и травмирующие факторы, воздействующие на органы и ткани РП-области.
Этим же объясняется преимущественное расположение ФПР-образований на деснах, языке, альвеолярном отростке челюсти, внутренней поверхности щек, мягком и твердом небе и слизистой оболочке губ.
Кроме того, предполагается участие в патогенезе недуга канцерогенных и токсических источников, генетической предрасположенности, эндокринных и нейрогуморальных расстройств.
К факторам риска ФПР-отклонений относят употребление алкогольных напитков, табакокурение, влияние пищевых, медикаментозных и химических раздражителей.
ФПР-изменения встречаются у людей разного возраста и пола с преобладанием частоты заболеваемости у лиц от 30 до 60 лет.

Фиброма полости рта
Симптомы
Клинически ФПР-новообразования представляют собой округлый опухолевый узел, размещенный на ножке или широком ложе. Он имеет бледно-розовую окраску, гладкую поверхность. При пальпации – безболезненный.
При выявлении подобного ФПР-узла пациенту следует записаться на прием к стоматологу для прохождения специализированного обследования и рациональной терапии.
ФПР-образования отличаются медленным ростом (размер их редко превышает 2 см), покрыты эпителием и имеют четкие границы. Больные могут жаловаться на дискомфортные ощущения, связанные с присутствием этих новообразований.
Консистенция ФПР-структур варьируется от мягкоэластичной до плотной или твердой. Их присутствие в зоне альвеолярного отростка нередко вызывает смещение зубов. В отдельных случаях происходит покрытие зубного ряда опухолевой тканью.
В случае травмирования ФПР-образований их поверхность приобретает белесоватую или ярко-красную окраску.
Диагностика
Для диагностирования недуга требуется тщательный сбор анамнестических сведений, внимательное изучение жалоб пациента и проведение перивчного осмотра. При сборе анамнеза отдельное внимание уделяется определению этиологической составляющей недуга.
Проводится физикальный осмотр, предполагающий выявление воспалительных патологий ротовой полости и соматических заболеваний, послуживших причиной ФПР-возникновения.
При обследовании пациентов с зубными протезами и имплантантами рекомендуется воспользоваться консультацией ортодонта, позволяющей оценить степень их травмирующего воздействия.
Кроме пальпации и визуального обследования ФПР-узла, возможно использование ультразвукового исследования для уточнения глубины его прорастания и планирования последующей терапевтической тактики.
Дифференциальная диагностика проводится с липомой и невромой. В сомнительных ситуациях для этого используется постоперационная биопсия с гистологическим анализом отобранного материала.
Патогистологическое тестирование биоптата определяет в мягких ФПР-структурах преобладание клеточных элементов, в плотных – тесно переплетенных пучков соединительнотканнных волокон.

Опухоль на внутренней стороне губы
Фиброма полости рта от раздражения. Гигантоклеточная фиброма полости рта. Липома, липофиброма полости рта. Травматическая неврома.
Фиброма полости рта от раздражения. Гигантоклеточная фиброма полости рта. Липома, липофиброма полости рта. Травматическая неврома.
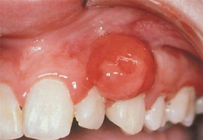
Фиброма от раздражения — одно из наиболее частых доброкачественных образований полости рта. Она образуется в результате реактивной гиперплазии в ответ на хроническое раздражение. Несмотря на свое название, это не истинная опухоль. Истинные фибромы полости рта наблюдают редко. Фиброма от раздражения — бледно-розовая папула с чёткими границами, которая медленно растёт, превращаясь в узелок. Она имеет правильную округлую форму, широкое основание, плотную консистенцию и при пальпации безболезненна. Иногда в результате повторной травмы фиброма от раздражения приобретает белесоватый цвет, поверхность её становится неровной и может изъязвиться. Локализуется фиброма от раздражения на слизистой оболочке щеки, губы, десны или языка. При гистологическом исследовании фиброма представляет густое переплетение коллагеновых волокон под истончённым эпителием. Лечение заключается в устранении раздражающего фактора и экономном иссечении. Фиброму от раздражения наблюдают в основном у взрослых. Иногда при неполном иссечении она рецидивирует. При туберозном склерозе образуются множественные ангиофибромы. Это заболевание наследуется по аутосомно-доминантному типу и проявляется также судорожными припадками, умственной отсталостью и наличием ангиофибром на лице.
Периферическая одонтогенная фиброма полости рта.
Периферическая одонтогенная фиброма по клиническим проявлениям сходна с ирритационной, но в отличие от неё образуется из клеток периодонтальной связки. Она обычно локализуется в межзубном сосочке. Пример периферической одонтогенной фибромы приведён на рисунке.
Гигантоклеточная фиброма полости рта.
Гигантоклеточная фиброма имеет вид розовой папулы или узелка на широком основании, с гладкой или слегка зернистой поверхностью. Это разновидность ирритационной фибромы, она диагностируется в основном при гистологическом исследовании, которое обычно выявляет множество больших многоядерных фибробластов звёздчатой формы, свободно расположенных в соединительной ткани, богатой кровеносными сосудами. Гигантоклеточную фиброму наблюдают в возрасте до 35 лет, и наиболее часто она локализуется на десне, языке и нёбе. Лечение заключается в хирургическом иссечении. Рецидивы наблюдают редко.

Валики полости рта
Липома полости рта.
Липому относят к часто встречающимся опухолям кожи, но в полости рта она образуется редко. Характеризуется медленным ростом, состоит из зрелых жировых клеток и имеет тонкую капсулу из фиброзной соединительной ткани. Липому обычно наблюдают в возрасте до 30 лет одинаково часто у мужчин и у женщин. При локализации в полости рта липома имеет вид жёлтого или бледно-розового полусферического образования с чёткими границами и гладкой поверхностью. Иногда липомы напоминают полип, имеют ножку и дольчатое строение. Локализуется липома на слизистой оболочке щеки, языка, дне полости рта, переходной складке десны или губе. Нёбную локализацию встречают редко. При пальпации липома подвижна, имеет мягкую, несколько тестоватую консистенцию. Лечение заключается в хирургическом удалении. Рецидивы наблюдают редко.
Липофиброма полости рта.
Липофиброму относят к редким опухолям полости рта. Это смешанная опухоль, располагается под слизистой оболочкой и состоит из зрелых жировых клеток и фиброзной соединительной ткани. Клиническая картина складывается из симптомов, характерных для липомы и фибромы. Липофиброма обычно локализуется под слизистой оболочкой щеки и губы, подвижна, безболезненна и в зависимости от преобладания жировой или фиброзной соединительной ткани имеет мягкую или плотную консистенцию. Растёт липофиброма медленно, но может достигать нескольких сантиметров в диаметре.
Травматическая неврома полости рта.
Неврома — доброкачественная опухоль из нервной ткани. Она может образоваться de novo или в результате травмы (ампутационная или травматическая неврома). Травматическая неврома образуется в результате гиперпластической реакции на повреждение нерва. В полости рта травматическая неврома часто локализуется в переходной складке преддверия рта вблизи подбородочного отверстия, а также области резцов нижней челюсти, ретромолярного нижнечелюстного пространства и на нижней поверхности языка. Размер травматической невромы зависит от количества повреждённых нервных волокон и выраженности гиперпластической реакции.
Травматическая неврома обычно имеет вид небольшого узелка, не превышающего 0,5 см в диаметре. При расположении глубоко под слизистой оболочкой неврому бывает трудно выявить. Невромы при пальпации болезненны, обычно при этом пациенты описывают свои ощущения как «удар электрическим током». Наличие множественных невром на губах, языке или нёбе наблюдают при множественной эндокринной неоплазии III типа, которая известна также как МЭН IIb типа. Это заболевание наследуется аутосомно-доминантно и характеризуется множественными невромами слизистой оболочки, марфаноидным телосложением и опухолями эндокринных желёз. Травматическую неврому удаляют хирургическим путём или лечат инъекциями глюкокортикоидов. После иссечения невромы возможен рецидив, так как само вмешательство также сопровождается травмой нервных волокон.
Информация на сайте подлежит консультации лечащим врачом и не заменяет очной консультации с ним.
См. подробнее в пользовательском соглашении.
Фиброма полости рта

Фиброма полости рта – это доброкачественное новообразование на слизистой оболочке ротовой полости. Выглядит как небольшое узловатое уплотнение, возвышающееся над плоскостью с помощью длинной плоской ножки и состоит из волокон соединительной ткани. Типичные места возникновения фибромы – это внутренняя поверхность щеки, слизистая оболочка губ, мягкое нёбо, десна и язык. Чаще всего данный тип новообразований появляется у детей в возрасте от шести до пятнадцати лет.
Одним из распространенных факторов, влияющих на появление фибромы, является привычка прикусывать губу или язык. Десна чаще всего травмируется заострённым краешком обломанного зуба или неправильно установленным протезом. Часто у больных в анамнезе присутствуют хронический воспалительный процесс, гингивиты, стоматиты, пародонтоз, глосситы различного происхождения и т.д.
Признаки заболевания
Фиброма в ротовой полости имеет вид шаровидного образования, безболезненного на ощупь. Новообразование держится на невысокой ножке, поэтому выступает над поверхностью. У опухоли гладкая поверхность и полностью отсутствуют наросты, эрозии или какие-либо видимые изменения слизистой оболочки. Фиброма, как правило, достаточно медленно и относительно незаметно для носителя растёт и увеличивается в размерах. Если опухоль не была травмирована, она может некоторое время пребывать в «спокойствии», сохраняя свой обычный размер. Если же травмирующий её фактор не был устранён, со временем возможно образование на её месте злокачественной опухоли.
Виды фибром
Различают шесть основных типов фибром ротовой полости, они отличаются по природе, причине появления и по клиническим проявлениям:
- Плотная фиброма полости рта обладает довольно плотной консистенцией. Она обусловлена тем, что в «каркас» опухоли входят грубые соединительные волокна с небольшим числом ядер, которые размещены близко друг к другу. Локализация: твёрдое нёбо и десна.
- Мягкая фиброма обладает мягкой консистенцией из-за тонких, рыхлых волокон соединительной ткани и большого числа ядер. Типичное месторасположение мягкой фибромы ротовой полости – слизистая оболочка языка и щек. Бывают и опухоли смежного типа: фиброгемангиомы, фибролипомы и т. п.
- Фиброма, вызванная раздражением – это, по большому счету, не полноценное новообразование, а последствие гиперплазий, которые развились после хронического раздражения и механического повреждения слизистой оболочки. Этот вид фибромы полости рта встречается чаще всего. Фибромы от раздражений возникают на слизистой оболочке ротовой полости в виде папул розового цвета.
- Симметричные фибромы появляются рядом с третьими молярами на поверхности нёба и на десне. Обладают плотной консистенцией и формой, напоминающей бобовые. Такого типа новообразования – не истинная опухоль, а итог увеличения десны в объемах, этот патологический процесс протекает с образованием рубцов.
- Дольчатая фиброма полости рта обладает характерной бугристой поверхностью и разрастается по причине реактивной гиперплазии ткани десен при их хроническом травмировании из-за съемных протезов.
- Фиброзный эпулис - это доброкачественное новообразование ротовой полости, расположенное на деснах. Эпулис фиброзного типа обычно достаточно плотный по консистенции и медленно растёт.
Лечение
Самым эффективным и наиболее часто применяемым подходом можно считать хирургическое вмешательство. Суть его заключается в иссечении опухоли посредством лазера или радиоволновым методом. Новообразование удаляется полностью, включая ножку. Если фиброма полости рта была достаточно большого размера, во избежание деформации пораженной слизистой оболочки пользуются лоскутным закрытием образовавшихся дефектов. Из расположенных поблизости тканей вырезают небольшую «заплатку» и закрывают ею место удаления опухоли.
2019 © Хорошая стоматология — сеть стоматологических клиник.
Стоматологические услуги около м. Верхние Лихоборы, м. Митино, м. Тушинская, м. Речной вокзал, м. Отрадное, м. Щелковская
Данная страница носит информационно-справочный характер и не является публичной офертой.
Лихеноидный мукозит полости рта. системная красн
Лихеноидный мукозит полости рта. Системная красная волчанка.
Белые поражения, вызванные раздражением электрическим током, имеют значительное сходство с красным плоским лишаем. Они бывают более выражены у лиц старше 30 лет и часто появляются на слизистой оболочке щёк в непосредственной близости от металлических конструкций (пломба, протез). Лёгкие поражения не сопровождаются какими-либо болезненными ощущениями, в то время как при образовании эрозий пациенты жалуются на жгучую боль. По гистологической картине эти поражения напоминают красный плоский лишай. Раньше причиной заболевания считали слабые электрические токи, которые индуцируются пломбой или зубным протезом, состоящими из разнородных металлов. Согласно современным представлениям, белые поражения обусловлены аллергической реакцией замедленного типа на металлы, например, ртуть, выступающие в роли антигена. Аналогичные поражения наблюдают при системном лечении некоторыми препаратами, в том числе содержащими металлы, входящими в состав зубных пломб и протезов. В таких случаях их называют лихеноидной лекарственной сыпью. Лечение заключается в замене пломбы новой, состоящей из другого материала, например, золота, фарфора, иономеров стекла или композитного материала. Прогноз хороший, заживление слизистой оболочки происходит в течение нескольких недель после устранения причины заболевания.
Системная красная волчанка.
Системная красная волчанка — диффузное заболевание соединительной ткани, характеризующееся образованием антинуклеарных антител, в том числе к нативной ДНК, которые участвуют в повреждении тканей. Выделяют три клинические формы заболевания: хроническую дискоидную красную волчанку, называемую также хронической кожной красной волчанкой и поражающую только кожу, системную красную волчанку, для которой характерно поражение многих органов и систем, и подострую кожную красную волчанку, характеризующуюся поражением кожи и лёгкими системными проявлениями. Причина ни одной из этих форм заболевания не установлена.
Системная красная волчанка
При хронической дискоидной красной волчанке поражаются только кожа и слизистые оболочки. Она имеет доброкачественное течение, её наблюдают в любом возрасте, но чаще у женщин старше 40 лет. Для клинической картины характерна эритематозная сыпь на носу и щеках, образующая фигуру бабочки. Кожные поражения могут локализоваться и на других участках, в частности в области лба, на скулах, волосистой части головы, ушных раковинах.
Течение дискоидной красной волчанки хроническое с периодами обострения и ремиссии. Для зрелых морфологических элементов характерны три зоны: атрофическая центральная, окаймлённая гиперкератотическим пояском, который, в свою очередь, окружён эритематозной периферической зоной. После заживления элементов центральная часть остаётся гипопигментированной вследствие повреждения меланоцитов в области эпидермально-дермального соединения и образования коллагена. Часто на поражённых участках появляются телеангиэктазии, угри, нежное шелушение, выпадают волосы. Поражение кожи ограничивается верхней половиной тела, преимущественно областью головы и шеи.
У 20—40% больных хронической дискоидной красной волчанкой отмечают также поражение слизистой оболочки полости рта, которое может предшествовать кожным проявлениям или появиться после них. На губах возникают эритематозные пятна, окаймлённые белым или серебристым шелушащимся краем; на открытой солнцу красной кайме нижней губы они, как правило, имеют первичный характер, в то время как на верхней губе бывают следствием распространения поражения с кожи. Основным элементом при поражении слизистой оболочки полости рта служат диффузные эритематозные бляшки, которые могут включать белые очаги, а также изъязвляться.
Иногда хроническая дискоидная красная волчанка проявляется изолированными красно-белыми бляшками. Наиболее часто поражения локализуются на слизистой оболочке щёк, реже — на языке, нёбе, деснах. Бляшки характеризуются атрофичной красной центральной частью, на которой иногда имеются вкрапления точечных белых пятен. Периферическая часть имеет неровные края и состоит из чередующихся красных и белых кератотических линий длиной до 1 см, отходящих в радиальном направлении. Эти поражения можно ошибочно принять за проявления красного плоского лишая, однако вовлечение в процесс ушных раковин позволяет исключить это заболевание. Изъязвления болезненны и требуют лечения. Больным рекомендуют избегать эмоционального стресса, переохлаждения, пребывания на солнце, употребления горячей и острой пиши. Хороший эффект отмечают при пользовании фотозащитными средствами, местном и системном применении глюкокортикоидов, противомалярийных препаратов и иммунодепрессантов. Больных, принимающих противомалярийные препараты, должен наблюдать офтальмолог.
При системных проявлениях красной волчанки больные жалуются на повышенную утомляемость, повышение температуры тела, боль в суставах. Часто отмечают генерализованное увеличение лимфатических узлов, возможны увеличение печени, селезёнки, периферическая невропатия, изменение картины крови. Важно избегать пребывания на солнце, так как это может спровоцировать обострение заболевания. Поражение почек и сердца, часто наблюдаемое при СКВ, может стать причиной смерти. СКВ может сопровождаться поражением кожи и слизистой оболочки полости рта, но переход дискоидной красной волчанки в системную наблюдают крайне редко. У больных СКВ часто выявляют синдром Шегрена, ревматоидный артрит и другие диффузные заболевания соединительной ткани. В дифференциальную диагностику при красной волчанке с поражением слизистой оболочки полости рта следует включать аллергический мукозит, кандидоз, лейкоплакию, эритролейкоплакию и красный плоский лишай. Гистологическое исследование биопсийного материала и иммунофлюоресцентное исследование позволяют подтвердить диагноз. При выполнении зубоврачебных вмешательств у больных СКВ, принимающих глюкокортикоиды, необходимо соблюдать осторожность, учитывая, что эти препараты замедляют заживление ран, повышают восприимчивость к инфекции и могут стать причиной адреналовых кризов, провоцируемых стрессом и способных вызвать сердечно-сосудистый коллапс. У этих больных повышен также риск кардиомиопатии, что может потребовать профилактики антибиотиками.
- Читать далее "Лихеноидная лекарственная сыпь и лекарственная волчанка. Молочница полости рта. Хронический гиперпластический кандидоз."
Оглавление темы "Болезни полости рта.":
1. Лихеноидный мукозит полости рта. Системная красная волчанка.
2. Лихеноидная лекарственная сыпь и лекарственная волчанка. Молочница полости рта. Хронический гиперпластический кандидоз.
3. Острый атрофический кандидоз. Ангулярный хейлит. Хронический атрофический кандидоз.
4. Меланоплакия. Татуировка полости рта. Веснушки.
5. Меланоз курильщиков. Меланотическое пятно полости рта. Невус полости рта. Сложный невус полости рта.
6. Меланома полости рта. Синдром Пейтца—Егерса.
7. Болезнь Аддисона и полость рта. Пигментация полости рта обусловленная тяжёлыми металлами.
8. Позадиклыковой сосочек. Лимфоэпителиальная киста полости рта. Валик, экзостоз, остеома полости рта.
9. Фиброма полости рта от раздражения. Гигантоклеточная фиброма полости рта. Липома, липофиброма полости рта. Травматическая неврома.
10. Нейрофиброма полости рта. Папиллома полости рта. Бородавки, кондиломы полости рта. Очаговая эпителиальная гиперплазия.
Фиброма десны в полости рта: лечение, может ли рассосаться сама
Лечение фибромы на десне, губе и других мягких тканях ротовой полости, как правило, подразумевает хирургическое вмешательство — удаление лазером или радиоволновым методом. Однако в некоторых случаях можно обойтись без радикальной терапии, это зависит от причин возникновения образования и возможности быстрого устранения провоцирующих факторов.
Для постановки точного диагноза важно пройти стоматологический осмотр, проконсультироваться с врачом и при необходимости сделать снимок патологического участка. Своевременное обращение в клинику минимизирует вероятность возникновения осложнений. Кроме того, пациенту стоит придерживаться профилактических мер для предупреждения заболевания и его последствий.
Что такое фиброма
Это доброкачественное новообразование в виде небольшого узла на ножке или широком основании, которое состоит из фрагментов соединительной ткани. В большинстве случаев локализуется на слизистых оболочках десен, губ, неба, на внутренней стороне щек, немного реже на языке. С патологическим процессом чаще сталкиваются младшие школьники и подростки в возрасте 6-15 лет.
Пациенту не больно, на самой ранней стадии он и не замечает патологию. По мере роста утолщение легко нащупывается и случайно травмируется.

Может ли фиброма во рту рассосаться сама, без врачебного вмешательства? В большинстве случаев требуется хирургическое иссечение опухоли. Однако не стоит переживать насчет сложности и длительности операции. Меньше чем через час опытный врач устранит дефект без последующих осложнений и долгого реабилитационного периода. В настоящее время в клиниках используется лазерная и радиоволновая методики.
Несмотря на относительную безвредность фиброзных разрастаний, лечить их все-таки нужно даже при отсутствии дискомфортных ощущений. Если уплотнения увеличиваются в размерах и постоянно подвергаются травмирующему воздействию, с высокой долей вероятности в ранку проникнет инфекция. В таком случае лечение будет очень долгим, трудным и не всегда приведет к положительной динамике. Кроме того, отсутствие терапии иногда влечет за собой перерождение новообразование в злокачественное.
Причины образования
После проведения многочисленных исследований ученым так и не удалось определить исчерпывающий перечень факторов, которые провоцируют развитие патологии. Однако некоторые состояния и явления все же встречаются чаще всего при диагностировании этого недуга. Например, это возможно при наследственной предрасположенности к фибромам на десне (представлены на фото ниже), языке, внутренней стороне щек и других участках слизистых оболочек. В таком случае болезнь развивается в детском возрасте у маленьких пациентов от 1 до 10 лет.

Нередко в анамнезе при наличии данного диагноза устанавливается факт регулярного травматического воздействия. Возможно постоянное прикусывание определенной области мягких тканей. Травмировать их могут и острые края коронок, ортодонтические конструкции, протезы, особенно плохо зафиксированные, твердая пища.
Провоцирующим фактором выступает и прием определенных лекарственных средств. Некоторые медикаменты могут вызывать появление доброкачественных уплотнений у представителей разных возрастных категорий, не только у детей и подростков. Препараты, после использования которых может развиться фиброматоз:
- Циклоспорин. Он показан для предупреждения отторжения органов при трансплантации.
- Вальпроат, применяемый эпилептиками.
- Верапамил и прочие блокаторы кальциевых каналов.
- Эстрогены синтетического происхождения в оральных контрацептивах или других гормональных таблетках.
Виновниками развития заболевания могут быть воспалительные процессы в ротовой полости. Сюда относят стоматит, глоссит, пародонтоз, гингивит и др.
Наследственный фактор исключить невозможно, однако риск возникновения образований можно существенно снизить, если соблюдать простые профилактические правила:
- не забывать о гигиене;
- проводить регулярную профессиональную чистку от плотного налета и зубного камня;
- оберегать мягкие ткани от травматического воздействия (твердой пищи, прикусывания), а также не допускать резких температурных перепадов;
- своевременно лечить стоматологические болезни;
- консультироваться с медиками перед началом приема лекарственных средств, не допускать самолечения;
- посещать стоматолога для профилактики не реже раза в полгода.
Классификация фибром
Патология делится на несколько видов по критериям. Сюда относится плотность доброкачественного новообразования, природа его происхождения, а также степень выраженности клинических проявлений.

Плотная фиброма
Характеризуется твердой консистенцией. Это связано с тем, что содержимое представляет собой достаточно жесткие волокна соединительной ткани. Они включают незначительное количество ядер. Образования такого типа чаще всего встречаются на десневых поверхностях и небе.
Мягкая фиброма
Волокнистые структуры тонкие и расположены свободно, поэтому их скопления отличаются высокой степенью мягкости. Подобный тип в большинстве случаев наблюдается на языке и внутренней стороне обеих щек. Доброкачественные новообразования смешанного вида, сочетающие в себе признаки всех перечисленных выше разновидностей, можно обнаружить на подъязычной части и на слизистых оболочках дна ротовой полости. Например, это может быть:
- Фибролипома. Твердая на ощупь, поскольку включает в себя фиброзные волокна. Устраняется оперативным путем, лазером, радиоволнами.
- Фиброгемангиома. Как правило, провоцируется инфекционными процессами, происходящими в детском организме. У взрослых людей встречается крайне редко. Никогда не перерождается в злокачественные опухоли. Чаще лечится хирургически, в некоторых случаях может рассосаться самостоятельно.
Фиброма от раздражения
Это не опухолевое образование в своем привычном виде, а результат реактивной гиперплазии. Хроническая патология характеризуется развитием очаговых поражений, которые вызываются систематическим механическим воздействием и последующим травмированием.
Чаще всего причиной являются установленные коронки, пломбы, протезы. В последнем случае болезнь носит название протезной гранулемы. Ортопедическая конструкция оказывает непрерывное давление на альвеолярный отросток, приводит к его резорбции, смещается вперед и способствует возникновению уплотнений, к которым присоединяется воспалительный процесс.

К группе риска относятся не только пациенты, прошедшие через протезирование, но и лица с несвоевременно вылеченным кариесом, в зрелом возрасте, с инородными предметами в ротовой полости (например, при пирсинге). Исследования показали, что к подобным гипертрофическим преобразованиям склонны больше женщины, чем мужчины.
Симметричные фибромы
Врачи диагностируют такие новообразования в области расположения третьих моляров на участках между деснами и небом. На ощупь опухоль твердая, по форме напоминает фасолину.
Следует отметить, что такой тип уплотнений не относится к истинному фиброматозу. Это всего лишь разросшиеся ткани в десневых оболочках, сопровождающиеся процессом рубцевания и иными изменениями подобного характера.
Дольчатая фиброма
Возникает вследствие реактивной гиперплазии при систематическом травмировании нежных чувствительных волокон протезами или другими ортопедическими конструкциями. Главная отличительная черта таких образований — шершавая, рельефная поверхность. При прощупывании чувствуются бугорки.
Фиброзный эпулис
Это плотное разрастание ткани розоватого оттенка, которое не причиняет боли и другого дискомфорта. Края нередко гиперемированы, имеют четкие границы и неправильную форму. Основание достаточно широкое.
Обычно поражается вестибулярная часть десен. Встречаются случаи возникновения новообразования в межзубных промежутках в виде седла с распространением на внутриротовую поверхность.
Довольно часто расположенная в патологической области зубная единица имеет плохо припасованную металлическую коронковую часть, обширное кариозное поражение либо протезный кламмер. Именно эти структуры являются провоцирующим фактором при возникновении хронического воспалительного процесса с формированием гранул, которые с течением времени преобразуются в зрелые соединительные фиброзные волокна.

В стоматологии существуют и ангиоматозные эпулисы. Они более яркого оттенка, несколько мягче на ощупь и кровоточат. При этом кровь появляется не только в те моменты, когда на поверхности воздействуют механически, а независимо от наличия или отсутствия травматического фактора. При проведении диагностических исследований на патологическом участке обнаруживается множество сосудистых разветвлений.
Симптомы
Новообразование растет и развивается достаточно медленно, поэтому долгое время пациент может даже не подозревать о его присутствии во рту. Фиброма слизистой оболочки полости рта выглядит как возвышающийся над плоскостью полушаровидный нарост, покрытый тканями розоватого оттенка. Если на него нажать, болевые ощущения или иной дискомфорт не появляются. Поверхность гладкая, на ней отсутствуют какие-либо неровности, шероховатости.
Появление язвочек при подобном диагнозе происходит очень редко. В таких случаях обычно присоединяется инфекция с последующим развитием воспалительного процесса. Возникают припухлости, покраснения, эрозии, ощущается боль. Болезненность сохраняется, даже если не дотрагиваться до патологического участка.
Если не травмировать образование, оно может достаточно долгое время не менять свои размеры и оставаться в стабильном состоянии. Если подвергать его постоянному травматическому воздействию, появляется высокий риск злокачественного перерождения, что опасно для жизни и здоровья больного.
Диагностика фибром верхней и нижней челюсти
Врач не назначит лечение, пока не убедится в том, что диагноз поставлен верно. Для этого проводятся диагностические процедуры, результаты которых подтвердят или опровергнут опасения медиков.
В первую очередь пациента просят описать симптомы. Стоматолог проводит осмотр и пальпацию новообразования. Однако этого недостаточно для разработки терапевтической тактики, поскольку крайне важно определить глубину прорастания опухолевого образования в мягкие ткани. С этой целью выполняется ультразвуковое исследование.
В сложных случаях (при язвах, развитии воспалительного процесса на патологическом участке десны и др.), показана биопсия. После хирургического удаления опухоли фрагменты обязательно направляются на гистологический анализ.
Обследование необходимо не только для установления диагноза, но и для того, чтобы выявить факторы, которые спровоцировали недуг. Проводится полноценный стоматологический осмотр, направленный на подтверждение наличия воспалений. Кроме того, не обойтись без рентгенографии, ортопантомограммы и других снимков в разных проекциях.

Если у человека есть протезы, может понадобиться консультация стоматолога-ортопеда. Это нужно для исключения вероятного травматического воздействия искусственных элементов на слизистые оболочки.
Дифференциальная диагностика
Одним из самых информативных методов для отграничения фибромы от других доброкачественных новообразований остается биопсия. Исследование показано при подозрениях на папиллому, липому, эпулисы с различной структурой, нейрофиброму, кисту, плоскоклеточную карциному, бородавку и др.
Если нарост локализуется на языке либо подъязычной части, крайне важно дифференцировать его от всех существующих уплотнений. Своевременные диагностические мероприятия позволяют обнаружить рак на самых ранних стадиях и провести качественную терапию с коротким восстановительным периодом.
Лечение фибромы полости рта
Наиболее эффективным и самым распространенным терапевтическим методом остается оперативное вмешательство. Уплотнение иссекается с помощью лазера либо радиоволн. Длится такая процедура около получаса. Если новообразование очень большое, после его удаления рана покрывается лоскутом, который формируется врачом из окружающих тканей.
Когда патология вызвана приемом определенных лекарственных средств, они должны быть полностью исключены и заменены на альтернативные со схожими свойствами. После отмены препаратов в подобных случаях нередко внешний вид слизистых восстанавливается без посторонней помощи, а вероятность рецидивов приближается к нулю. Однако это не относится к ситуациям, когда болезнь запущена.

Без операции можно обойтись и при травмирующем воздействии ортопедических конструкций. Например, когда на ткани давит коронка, пломба, протез. Устранение провоцирующего фактора часто приводит к уменьшению или полному исчезновению доброкачественного образования. Вероятнее всего, потребуется демонтаж старых конструкций и их замена на новые.
На просторах интернета можно встретить истории исцеления домашними средствами. Стоит запомнить, что недуг не лечится с помощью народных рецептов. Травяные отвары и настои, другие составы применяются только в качестве вспомогательного элемента комплексной терапии.
Подведем итоги
Слизистые фибромы на внутренней стороне щек, деснах, губах, языке растут очень медленно и не доставляют сильного дискомфорта. Они не представляют опасности для пациента, но устранять проблему нужно как можно раньше. Дело в том, что доброкачественное уплотнение в ротовой полости при регулярном травмировании способно переродиться в злокачественное, а онкологический процесс требует серьезной терапии и крайне опасен для жизни и здоровья.
Избавиться от заболевания народными методами невозможно. Важно пройти качественную стоматологическую диагностику и проконсультироваться со специалистами. В большинстве случаев показано хирургическое иссечение, но при небольших размерах наростов, отсутствии тяжелой симптоматики и устранении провоцирующих факторов существует вероятность быстрого восстановления тканей без внешнего воздействия.

Не стоит переживать, если врач принял решение об операции. В современных клиниках практикуется лазерное или радиоволновое удаление в амбулаторных условиях. Это наиболее щадящие и высокоэффективные методы. Крайне важным моментом в положительном прогнозе лечения фибромы зубов является раннее обращение к врачу и правильное иссечение опытным медиком.
Читайте также:
